Sign in to use this feature.

Years

Between: -

Subjects

remove_circle_outline
remove_circle_outline
remove_circle_outline
remove_circle_outline
remove_circle_outline

Journals

Article Types

Countries / Regions

Search Results (23)

Search Parameters:
Keywords = second-look surgery

Order results
Result details
Results per page
Select all
Export citation of selected articles as:
11 pages, 919 KB  
Article
Safety and Efficacy of Vancomycin–Gentamicin PMMA Bead Pouch Therapy in the Management of Pyogenic Soft Tissue Infections of the Extremities: A Case Series of 19 Patients
by Stavros Goumenos, Sebastian Meller, Konstantinos Dimas, Ioannis Trikoupis, Sokratis Varitimidis, Charalampos Zalavras and Vasileios Kontogeorgakos
Antibiotics 2026, 15(4), 352; https://doi.org/10.3390/antibiotics15040352 - 29 Mar 2026
Viewed by 447
Abstract
Objective: The aim of this case series was to investigate the safety and efficacy of vancomycin–gentamicin embedded PMMA beads (VGPB) in the setting of acute pyogenic soft tissue infections (STIs) of the extremities. Materials and Methods: A retrospective study of 19 [...] Read more.
Objective: The aim of this case series was to investigate the safety and efficacy of vancomycin–gentamicin embedded PMMA beads (VGPB) in the setting of acute pyogenic soft tissue infections (STIs) of the extremities. Materials and Methods: A retrospective study of 19 cases diagnosed with pyogenic STIs of the lower or upper extremity in two academic institutions was conducted between January 2017 and December 2023. All patients underwent surgical debridement, systemic antibiotics and intrawound deposition of vancomycin and gentamicin embedded cement beads (2 g of vancomycin plus 1 g of gentamicin diluted in 40 g of PMMA). Upon second look (4th–7th day post-index surgery) the cement beads were removed, serum samples from the surgical site of infection and from peripheral blood were obtained and the concentration of eluted vancomycin and gentamicin was measured. Furthermore, the white blood cell count (WBC), C reactive protein serum levels (CRP) and erythrocyte sedimentation rate (ESR) were measured before the surgical debridement and after the end of the bead therapy. All patients were reevaluated after discharge with a mean follow-up of 4.4 years (range, 1 to 7.6). Results: Wound vancomycin and gentamicin levels were significantly higher than those measured in the serum (34.01 ± 4.47 μg/mL versus 11.96 ± 2.79 μg/mL, p < 0.001 and 5.75 ± 1.22 μg/mL versus 0.51 ± 0.14 μg/mL, p < 0.001 respectively). Serum vancomycin and gentamicin concentrations were below the level of toxicity and no adverse events related to antibiotic-embedded bead treatment were documented. Serum WBC, ESR and CRP levels before debridement (13,446 ± 935.7 c/μL, 42.3 ± 18.7 mm/h and 113.9 ± 20.26 mg/L respectively) were significantly higher than those after the end of treatment (7889 ± 1203.6 c/μL, p < 0.001; 30.3 ± 9.14 mm/h, p = 0.017; and 22.7 ± 6.68 mg/L, p < 0.001 respectively). Two cases (10.5%) had a local recurrence of their STIs. Both of them relapsed within 4 months after their treatment and both had Gram-negative pathogens. Conclusions: Vancomycin–gentamicin PMMA bead pouch therapy appears to be a safe and effective adjuvant treatment for pyogenic soft tissue infections, offering high local antibiotic availability without systemic adverse effects. Full article
Show Figures

Figure 1

19 pages, 310 KB  
Review
Endometriosis and Reproductive Sparing Surgery: A Narrative Review and AGREE II-S-Based Evaluation of International Guidelines
by Giovanni Pecorella, Andrea Morciano, Radmila Sparic, Gernot Hudelist, Ertan Saridogan, Marta Stojković and Andrea Tinelli
J. Clin. Med. 2026, 15(1), 380; https://doi.org/10.3390/jcm15010380 - 4 Jan 2026
Cited by 1 | Viewed by 1470
Abstract
Endometriosis is a complex disease that may affect a woman’s fertility and quality of life. Owing to substantial variations in symptom severity, lesion distribution, and reproductive impact, its management presents considerable clinical challenges. The most recent internationally recognized guidelines include those issued by [...] Read more.
Endometriosis is a complex disease that may affect a woman’s fertility and quality of life. Owing to substantial variations in symptom severity, lesion distribution, and reproductive impact, its management presents considerable clinical challenges. The most recent internationally recognized guidelines include those issued by the European Society of Human Reproduction and Embryology (ESHRE, 2022), the German Society of Gynecology and Obstetrics (DGGG/SGGG/OEGGG S2k, 2025), the World Endometriosis Society (WES), the National Institute for Health and Care Excellence (NICE, 2024), and the American College of Obstetricians and Gynecologists (ACOG, reaffirmed 2022). To provide a comprehensive overview of these recommendations, we critically compared these guidelines, with particular emphasis on the recently updated German S2k guideline. Searches were conducted through PubMed and institutional repositories using selected key terms, and the AGREE II tool (Appraisal of Guidelines for Research and Evaluation) was employed to assess methodological quality. Key clinical domains examined included indications for conservative and radical surgery, management of endometriomas and deep infiltrating endometriosis (DIE), the role of surgery before Assisted Reproductive Technology (ART), the impact of second-look procedures, and integration of psychosocial dimensions via Patient-Reported Outcome Measures (PROMs). The results show a general trend toward interdisciplinary treatment models, cautious use of radical resection techniques, and customized, symptom-based surgical interventions. Despite ongoing disagreements, there is general agreement on collaborative decision-making, preserving fertility, and adjusting surgery time and technique between the guidelines to meet the requirements of individual patients. Full article
(This article belongs to the Section Obstetrics & Gynecology)
22 pages, 2281 KB  
Systematic Review
Incidence Rate and Determinants of Recurrent Cholesteatoma Following Surgical Management: A Systematic Review, Subgroup, and Meta-Regression Analysis
by Saqr Massoud, Raed Farhat, Uday Abd Elhadi, Rifat Awawde, Shlomo Merchavy and Alaa Safia
Biomedicines 2025, 13(10), 2506; https://doi.org/10.3390/biomedicines13102506 - 14 Oct 2025
Cited by 4 | Viewed by 3736
Abstract
Background/Objectives: Cholesteatoma is a destructive middle ear pathology that can cause chronic infection, ossicular erosion, and hearing loss. While surgical excision is the standard treatment, recurrence remains a major clinical challenge, and comprehensive data on long-term outcomes are limited. This meta-analysis evaluated cholesteatoma [...] Read more.
Background/Objectives: Cholesteatoma is a destructive middle ear pathology that can cause chronic infection, ossicular erosion, and hearing loss. While surgical excision is the standard treatment, recurrence remains a major clinical challenge, and comprehensive data on long-term outcomes are limited. This meta-analysis evaluated cholesteatoma recurrence rates following surgery, identified clinical and surgical predictors of recurrence, and assessed trends across follow-up durations, techniques, and patient demographics. Methods: We searched PubMed, Scopus, Web of Science, CENTRAL, and Google Scholar for relevant studies (CRD42024550351). Studies reporting postoperative recurrence were included. Data on demographics, surgical approach, cholesteatoma type, and outcomes were extracted. Risk of bias was assessed using the Newcastle–Ottawa Scale. Pooled recurrence rates were calculated using random-effects models, and subgroup and meta-regression analyses were performed to identify predictors. Results: Eighty-four studies comprising 12,819 patients were included. The cholesteatoma recurrence rate showed geographic variability. Recurrence was higher in children (13%) than adults (10%), and in acquired (12%) versus congenital (7%) cholesteatoma. Advanced-stage disease, left-sided lesions, and revision surgeries increased recurrence risk. Canal wall down had lower recurrence (7%) than canal wall up techniques (16%). Adjuncts such as mastoid obliteration, ossicular reconstruction, and planned second-look surgeries reduced recurrence. Cumulative recurrence reached 39% at 15 years and 33% at 25 years. Meta-regression identified age, staged procedures, and second-look surgeries as independent predictors. Conclusions: Cholesteatoma recurrence is influenced by age, surgical approach, and disease severity. CWD procedures and comprehensive surgical planning reduce recurrence risk. Long-term follow-up and standardized outcome definitions are essential to improve monitoring and disease control. Full article
(This article belongs to the Section Cancer Biology and Oncology)
Show Figures

Figure 1

8 pages, 878 KB  
Study Protocol
Gait Analysis After Anterior Cruciate Ligament Surgery Comparing Primary Repair and Reconstruction Techniques
by Filip Hušek, Jiří Vitvar, Roman Mizera, Zdeněk Horák and Lukáš Čapek
J. Clin. Med. 2025, 14(14), 5026; https://doi.org/10.3390/jcm14145026 - 16 Jul 2025
Cited by 2 | Viewed by 2520
Abstract
Background: ACL graft reconstruction is considered the gold standard for ACL injury treatment. Recently developed primary repair techniques such as InternalBrace ligament augmentation (Arthrex©) look like promising alternatives. The aim of our study is to compare functional results of two different surgical [...] Read more.
Background: ACL graft reconstruction is considered the gold standard for ACL injury treatment. Recently developed primary repair techniques such as InternalBrace ligament augmentation (Arthrex©) look like promising alternatives. The aim of our study is to compare functional results of two different surgical techniques using a gait analysis. Methods: A total of 42 patients who underwent surgical treatment for ACL rupture were included in this study. The first group was represented by patients who were surgically treated with ACL reconstruction. The second group included patients with acute ACL injury, who underwent primary repair with InternalBrace augmentation. Gait data were measured in the Human Motion Analysis Lab at our institution. The time interval for data collection was 6 weeks after surgery and 6 months after surgery. Results: There was no significant improvement in maximal and peak flexion for both group 1 and group 2 in the 6-week and 6-month intervals. Also, no significant improvement of maximal extension was found in group 1. In contrast, the study showed a reduction in maximal extension for group 2 in the 6-week and 6-month intervals. When comparing peak extension for the graft or InternalBrace techniques, no significant difference was found between both groups in the 6-week evaluation. However, results differed significantly in the 6-month evaluation. Conclusions: Considering the faster gain of extension, less invasiveness of the procedure, and shorter operating time, primary repair with InternalBrace augmentation seems to be a suitable option for treatment of proximal avulsions and Sherman I ACL ruptures. Full article
(This article belongs to the Section Orthopedics)
Show Figures

Figure 1

11 pages, 3843 KB  
Brief Report
Effect of Titanium Artifacts on Cholesteatoma in Magnetic Resonance Imaging After Reconstruction of the Middle Ear
by Christoph J. Pfeiffer, Denis Mihailovic, Hans-Björn Gehl, Lars-Uwe Scholtz, Alexander Kilgue, Conrad Riemann, Dina Voeltz and Ingo Todt
J. Clin. Med. 2025, 14(9), 2995; https://doi.org/10.3390/jcm14092995 - 26 Apr 2025
Cited by 1 | Viewed by 1910
Abstract
Background/Objectives: Surgical removal is the treatment of choice for cholesteatoma control. Depending on the size, the surgery involves partial resection of the ossicular chain and, if necessary, the bony skull base. Titanium foreign materials (prostheses, meshes) can be used to restore sound [...] Read more.
Background/Objectives: Surgical removal is the treatment of choice for cholesteatoma control. Depending on the size, the surgery involves partial resection of the ossicular chain and, if necessary, the bony skull base. Titanium foreign materials (prostheses, meshes) can be used to restore sound transmission and to cover larger defects of the skull base. After the operation, recurrence and residual control are necessary. This can be achieved by means of second-look surgery or an MRI examination with a non-EPI DWI sequence. Similarly to other metal implants, artifacts may occur in the image due to the titanium used. In this study, we assessed the magnitude of the MRI hardware differences induced by titanium prostheses and meshes and whether these differences could obscure cholesteatoma detection. Methods: 28 MRI examinations (T1-, T2-, non-EPI DWI sequences) in 14 males and 14 females (5.2–92.4 years) after cholesteatoma surgery and single-staged implantation of a PORP, TORP, or titanium mesh were considered. The size of the respective artifacts was measured, and the mean artifact sizes of the respective prosthesis types were compared. A second look surgery was performed in all cases due to the MRI result or clinical findings. Both were also compared. Results: Artifacts occurred in all titanium foreign bodies depending on the used MRI sequence (PORP, TORP, Mesh). We found a positive association between the size of the prosthesis and the size of the artifact. All subsequent second-look surgeries confirmed the MRI examinations according to a positive control for the presence of cholesteatoma. The detection rate was 82.1%. All false results were false negatives, and there were no positive results. Conclusions: Titanium material-related artifacts might influence the MRI detectability of recurrent cholesteatoma. Small cholesteatoma might be missed by an MRI-based follow-up. This finding supports the reevaluation of single-stage versus staged reconstruction modern approaches. Full article
(This article belongs to the Section Otolaryngology)
Show Figures

Figure 1

15 pages, 694 KB  
Review
Utility of Nasal Debridement Following Pediatric Functional Endoscopic Sinus Surgery: A Scoping Review
by Jeeho D. Kim, Bastien A. Valencia-Sanchez, Beau Hsia, Saif A. Alshaka, Gabriel Bitar and Vijay A. Patel
Sinusitis 2025, 9(1), 6; https://doi.org/10.3390/sinusitis9010006 - 9 Apr 2025
Viewed by 2805
Abstract
The role of second-look endoscopy and debridement (SLED) remains uncertain in children due to the perceived need for additional general anesthesia following their initial functional endoscopic sinus surgery (FESS) while mitigating risks and healthcare costs. This comprehensive review synthesizes current evidence on SLED [...] Read more.
The role of second-look endoscopy and debridement (SLED) remains uncertain in children due to the perceived need for additional general anesthesia following their initial functional endoscopic sinus surgery (FESS) while mitigating risks and healthcare costs. This comprehensive review synthesizes current evidence on SLED in children, focusing on its practice pattern and treatment outcomes. This review was designed and performed using the Preferred Reporting Items for Systematic Reviews and Meta-Analyses extension for Scoping Reviews Protocol. Independent queries of the PubMed Central, MEDLINE, and Bookshelf databases were performed. A total of 53 relevant, unique articles were initially identified; 12 articles were ultimately deemed appropriate for inclusion in final analysis. The most common indication for FESS was chronic rhinosinusitis or recurrent sinus infections while that for SLED under general anesthesia varied from institutional practice patterns to surgeon preference. No meaningful comparison of outcomes was possible as the “success rates” of FESS with or without SLED were largely based on unvalidated questionnaires and equally subjective surgeon assessments. Even when looking at outcomes based on revision rates, FESS with SLED was considered successful between 60.5% and 95.6% of the time, with a mean of 84.2%, while FESS without SLED was successful between 71.0% to 96.4% of the time, with a mean of 86.3%. However, no randomized, controlled studies were available in the pediatric literature pertaining to FESS with or without SLED. Moreover, it became apparent that previous conclusions on the utility of SLED were based on the outcomes of FESS following one single SLED under general anesthesia vs. no SLED. As such, there is an unmet need to examine the utility of serial, office-based SLED in children to better elucidate its utility in pediatric FESS. Full article
Show Figures

Figure 1

10 pages, 1652 KB  
Article
Comparing the Long-Term Stability of Titanium Clip Partial Prostheses with Other Titanium Partial and Total Ossicular Reconstruction Prostheses
by Jasmine Leahy, Alicia Yang, Kevin Wong, Enrique R. Perez, George B. Wanna and Maura K. Cosetti
J. Otorhinolaryngol. Hear. Balance Med. 2025, 6(1), 7; https://doi.org/10.3390/ohbm6010007 - 1 Apr 2025
Viewed by 2456
Abstract
Background/Objectives: Long-term prosthetic stability in ossicular chain reconstruction (OCR) surgery may be affected by multiple factors, including prosthesis type. We compared audiometric outcomes including air–bone gap (ABG) and air conduction pure-tone average (AC PTA) over a multi-year period in titanium clip partial prosthetics [...] Read more.
Background/Objectives: Long-term prosthetic stability in ossicular chain reconstruction (OCR) surgery may be affected by multiple factors, including prosthesis type. We compared audiometric outcomes including air–bone gap (ABG) and air conduction pure-tone average (AC PTA) over a multi-year period in titanium clip partial prosthetics and other titanium partial and total ossicular reconstruction prostheses. Methods: This was a retrospective study of 92 adult patients (19–74 years) receiving primary, second-look, or revision OCR at a single institution between 2017 and 2021. ABG and AC PTA at short (3–6 months) and long-term (>12 months) postoperative follow-up were compared among patients receiving clip partial prosthetics, traditional PORPs, and TORPs. Results: Overall, AC PTA and ABG were significantly improved in the short term and did not significantly deteriorate in the long term. Clip partial prostheses had significantly lower AC PTAs and ABGs than TORPs in both the short and long term and no difference with PORPs. There was also no significant deterioration in audiometric outcomes in either clip partials, PORPs, or TORPs over time. Clip partials had the highest rate of short- and long-term surgical success (i.e., ABG ≤ 20 dB) with 62.2% and 54.1%, respectively. Cholesteatoma and revision status were not independent predictors of long-term ABG success. Conclusions: The clip partial prosthesis seems to demonstrate similar, and potentially increased, resilience compared to the PORP and TORPs in both the short and long term. They may have comparable effects on audiometric outcomes to PORPs, demonstrating postoperative ABG and AC PTAs that reflect the previous literature. Clip partials appear to be a safe and effective prosthetic for OCR in patients with intact stapes regardless of cholesteatoma or revision status. Full article
(This article belongs to the Section Otology and Neurotology)
Show Figures

Figure 1

15 pages, 1653 KB  
Review
Expert-Based Narrative Review on Compression UltraSonography (CUS) for Diagnosis and Follow-Up of Deep Venous Thrombosis (DVT)
by Mario D’Oria, Laura Girardi, Ahmed Amgad, Mohab Sherif, Gabriele Piffaretti, Barbara Ruaro, Cristiano Calvagna, Philip Dueppers, Sandro Lepidi and Marco Paolo Donadini
Diagnostics 2025, 15(1), 82; https://doi.org/10.3390/diagnostics15010082 - 2 Jan 2025
Cited by 7 | Viewed by 10729
Abstract
Deep venous thrombosis (DVT) is a pathological condition that develops when a thrombus forms within the deep venous system. Typically, it involves the lower limbs and, less frequently, the upper extremities or other unusual districts such as cerebral or splanchnic veins. While leg [...] Read more.
Deep venous thrombosis (DVT) is a pathological condition that develops when a thrombus forms within the deep venous system. Typically, it involves the lower limbs and, less frequently, the upper extremities or other unusual districts such as cerebral or splanchnic veins. While leg DVT itself is rarely fatal and occasionally can lead to limb-threatening implications, its most fearsome complication, namely pulmonary embolism, is potentially fatal and significantly contributes to increased healthcare costs and impaired quality of life in affected patients and caregivers. Thanks to its high accuracy, ease of use, and safety profile, duplex ultrasound (DUS), particularly compression ultrasound (CUS), has emerged as the first-line imaging modality for DVT diagnosis. The evaluation of suspected DVT needs a multifaceted approach, and in this context, CUS rapidly became a key diagnostic tool owing to its many unique advantages. Its central role in the diagnostic algorithm of suspected DVT is clearly established in the latest clinical practice guidelines from the European Society for Vascular Surgery and the American Society of Haematology. Indeed, DUS effectively visualizes blood flow and identifies abnormalities like clot formation with high sensitivity (typically exceeding 90% for proximal DVT) and specificity (often approaching 100% for proximal DVT). Additionally, CUS is non-invasive, readily available at the bedside, and avoids radiation exposure, resulting in an ideal method for various clinical settings. CUS has been shown to have a substantial role not only in the diagnosis of an acute DVT but also in the follow-up of its management. Moreover, this method can provide a prognostic assessment, mostly in terms of risk stratification for recurrent thrombosis and/or for potential complications, such as post-thrombotic syndrome. In summary, given its established benefits, CUS is a technique that many physicians should be familiar with, especially those working in emergency departments, intensive care units, or general wards. When needed, healthcare operators with more advanced US skills (such as radiologists, angiologists, or vascular surgeons) may be called upon to provide a second look in case of uncertainty and/or need for additional information. Full article
Show Figures

Figure 1

9 pages, 12086 KB  
Article
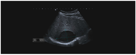
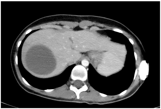
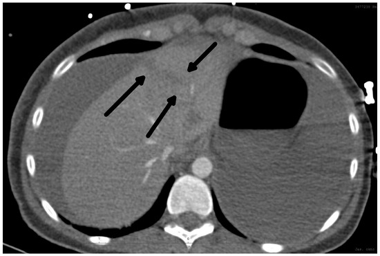
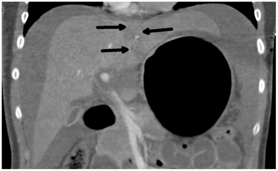
Rare Complication of Cardiopulmonary Resuscitation—Liver Injury
by David Hoskovec, Pavol Klobušický, Adam Pudlač, Matyáš Lochman, Zdeněk Krška and Petr Dytrych
Medicina 2024, 60(9), 1470; https://doi.org/10.3390/medicina60091470 - 9 Sep 2024
Cited by 1 | Viewed by 3760
Abstract
Background and Objectives: Liver injury is a rare complication of cardiopulmonary resuscitation. Correct and early diagnosis and treatment are essential. The clinical signs of injury may be masked by the cardiac arrest. We present a single-centre retrospective observational study of traumatic liver [...] Read more.
Background and Objectives: Liver injury is a rare complication of cardiopulmonary resuscitation. Correct and early diagnosis and treatment are essential. The clinical signs of injury may be masked by the cardiac arrest. We present a single-centre retrospective observational study of traumatic liver injury after cardiopulmonary resuscitation. Materials and Methods: A retrospective analysis of the patients treated for liver injury after cardiopulmonary resuscitation was conducted. Demographic data, the cause of resuscitation, the duration of restoration of spontaneous circulation (ROSC), and the surgical approach were analysed. Results: We have treated nine patients with severe liver injury after cardiopulmonary resuscitation. The diagnosis was made on the basis of cardiopulmonary instability, a fall in the erythrocyte count in eight cases, and was confirmed by CT or ultrasound examination. The last one was diagnosed accidentally on MR. Surgery, in cases of unstable patients, was followed immediately after a diagnosis. We combined liver sutures and intra-abdominal packing with a planned second-look surgery. Five of the nine patients survived. Conclusions: Liver injury after cardiopulmonary resuscitation is rare and is associated with high mortality. The recurrence of cardiopulmonary instability and/or a low or falling red blood cell count are the main signs of this injury. Bedside ultrasound and CT scans are the most important methods to confirm the diagnosis. The rule of surgical repair is the same as in all liver injuries, regardless of aetiology. The key factors for survival include early diagnosis, together with the length of restoration of spontaneous circulation (ROSC). Full article
(This article belongs to the Section Emergency Medicine)
Show Figures

Figure 1

20 pages, 2744 KB  
Article
Development and Validation of a Clinical Prediction Model for Venous Thromboembolism Following Neurosurgery: A 6-Year, Multicenter, Retrospective and Prospective Diagnostic Cohort Study
by Deshan Liu, Dixiang Song, Weihai Ning, Yuduo Guo, Ting Lei, Yanming Qu, Mingshan Zhang, Chunyu Gu, Haoran Wang, Junpeng Ji, Yongfei Wang, Yao Zhao, Nidan Qiao and Hongwei Zhang
Cancers 2023, 15(22), 5483; https://doi.org/10.3390/cancers15225483 - 20 Nov 2023
Cited by 7 | Viewed by 3383
Abstract
Background: Based on the literature and data on its clinical trials, the incidence of venous thromboembolism (VTE) in patients undergoing neurosurgery has been 3.0%~26%. We used advanced machine learning techniques and statistical methods to provide a clinical prediction model for VTE after neurosurgery. [...] Read more.
Background: Based on the literature and data on its clinical trials, the incidence of venous thromboembolism (VTE) in patients undergoing neurosurgery has been 3.0%~26%. We used advanced machine learning techniques and statistical methods to provide a clinical prediction model for VTE after neurosurgery. Methods: All patients (n = 5867) who underwent neurosurgery from the development and retrospective internal validation cohorts were obtained from May 2017 to April 2022 at the Department of Neurosurgery at the Sanbo Brain Hospital. The clinical and biomarker variables were divided into pre-, intra-, and postoperative. A univariate logistic regression (LR) was applied to explore the 67 candidate predictors with VTE. We used a multivariable logistic regression (MLR) to select all significant MLR variables of MLR to build the clinical risk prediction model. We used a random forest to calculate the importance of significant variables of MLR. In addition, we conducted prospective internal (n = 490) and external validation (n = 2301) for the model. Results: Eight variables were selected for inclusion in the final clinical prediction model: D-dimer before surgery, activated partial thromboplastin time before neurosurgery, age, craniopharyngioma, duration of operation, disturbance of consciousness on the second day after surgery and high dose of mannitol, and highest D-dimer within 72 h after surgery. The area under the curve (AUC) values for the development, retrospective internal validation, and prospective internal validation cohorts were 0.78, 0.77, and 0.79, respectively. The external validation set had the highest AUC value of 0.85. Conclusions: This validated clinical prediction model, including eight clinical factors and biomarkers, predicted the risk of VTE following neurosurgery. Looking forward to further research exploring the standardization of clinical decision-making for primary VTE prevention based on this model. Full article
(This article belongs to the Special Issue Venous Thromboembolism and Cancer)
Show Figures

Graphical abstract

10 pages, 2643 KB  
Article
Thalamopeduncular Tumors in Pediatric Age: Advanced Preoperative Imaging to Define Safe Surgical Planning: A Multicentric Experience
by Alberto D’Amico, Giulia Melinda Furlanis, Valentina Baro, Luca Sartori, Andrea Landi, Domenico d’Avella, Francesco Sala and Luca Denaro
J. Clin. Med. 2023, 12(17), 5521; https://doi.org/10.3390/jcm12175521 - 25 Aug 2023
Cited by 2 | Viewed by 1913
Abstract
Background: Thalamopeduncular tumors are challenging lesions arising at the junction between the thalamus and the cerebral peduncle. They represent 1–5% of pediatric brain tumors, are mainly pilocytic astrocytoma and occur within the first two decades of life. To date, the optimal treatment [...] Read more.
Background: Thalamopeduncular tumors are challenging lesions arising at the junction between the thalamus and the cerebral peduncle. They represent 1–5% of pediatric brain tumors, are mainly pilocytic astrocytoma and occur within the first two decades of life. To date, the optimal treatment remains unclear. Methods: We retrospectively reviewed pediatric patients who underwent surgery for thalamopeduncular tumors in the Academic Pediatric Neurosurgery Unit of Padova and Verona from 2005 to 2022. We collected information on age, sex, symptoms, preoperative and postoperative neuroradiological studies, histological specimens, surgical approaches, and follow-up. Results: We identified eight patients with a mean age of 9 years. All lesions were pilocytic astrocytoma. The main symptoms were spastic hemiparesis, cranial nerve palsy, headache, and ataxia. The corticospinal tract was studied in all patients using diffusion-tensor imaging brain MRI and in two patients using navigated transcranial magnetic stimulation. The transsylvian approach was the most frequently used. A gross total resection was achieved in two patients, a subtotal resection in five and a partial resection in one. In three patients, a second treatment was performed due to the regrowth of the tumor, performing an additional surgery in two cases and a second-look surgery followed by adjuvant therapy in one. After the surgery, four patients maintained stability in their postoperative neurological exam, two patients improved, and two worsened but in one of them, an improvement during recovery occurred. At the last follow-up available, three patients were disease-free, four had a stable tumor residual, and only one patient died from the progression of the disease. Conclusions: Advanced preoperative tools allow one to define a safe surgical strategy. Due to the indolent behavior of thalamopeduncular tumors, surgery should be encouraged. Full article
(This article belongs to the Special Issue A Multidisciplinary Approach in Head and Neck Malignancies)
Show Figures

Figure 1

10 pages, 561 KB  
Article
Using Type I Collagen Gel to Prevent Postoperative Intrauterine Adhesion: A Multicenter Retrospective Study
by Kwang Beom Lee, Seung Joo Chon, Sunghoon Kim, Dae Yeon Kim, Chan Woo Park, So Jin Shin, Seok Mo Kim, Ki Hwan Lee and Yong Il Ji
J. Clin. Med. 2023, 12(11), 3764; https://doi.org/10.3390/jcm12113764 - 30 May 2023
Cited by 5 | Viewed by 3461
Abstract
We evaluated the clinical outcomes of using type 1 collagen gel after therapeutic resectoscopy; overall, 150 women aged > 20 who planned to undergo therapeutic resectoscopy were enrolled. The patients were randomly assigned to either of the anti-adhesive treatment groups: the type 1 [...] Read more.
We evaluated the clinical outcomes of using type 1 collagen gel after therapeutic resectoscopy; overall, 150 women aged > 20 who planned to undergo therapeutic resectoscopy were enrolled. The patients were randomly assigned to either of the anti-adhesive treatment groups: the type 1 collagen gel (Collabarrier®) (study group; N = 75) or the sodium hyaluronate and sodium carboxymethylcellulose gel group (control group; N = 75) after resectoscopy. One month after applying anti-adhesive materials, postoperative intrauterine adhesions were evaluated using second-look hysteroscopy; the incidence rate of postoperative intrauterine adhesions examined through second-look hysteroscopy showed no significant differences between the groups. There were no statistical differences between the frequency and mean scores of the type and intensity of adhesions in both groups. Finally, no significant differences in adverse events, serious adverse events, adverse device effects, and serious adverse device effects were noted between the two groups; type 1 collagen gel can be effectively and safely used in intrauterine surgery to minimize postoperative adhesions, thereby eventually decreasing the prevalence of infertility, secondary amenorrhea, and recurrent pregnancy loss in reproductive women. Full article
(This article belongs to the Section Obstetrics & Gynecology)
Show Figures

Graphical abstract

13 pages, 948 KB  
Article
Improvement in Fertility and Pain after Endometriosis Resection and Adhesion Prevention with 4DryField® PH: Follow-up of a Randomized Controlled Clinical Trial
by Bernhard Krämer, Jürgen Andress, Felix Neis, Sascha Hoffmann, Sara Brucker, Stefan Kommoss and Alice Höller
J. Clin. Med. 2023, 12(10), 3597; https://doi.org/10.3390/jcm12103597 - 22 May 2023
Cited by 15 | Viewed by 5508
Abstract
Background: Adhesions after endometriosis resection are frequent and the most common causes for chronic pain and secondary infertility. Primary results of our randomized controlled trial (RCT) on adhesion prevention after deep infiltrating endometriosis (DIE) resection using the gel barrier 4DryField® PH showed [...] Read more.
Background: Adhesions after endometriosis resection are frequent and the most common causes for chronic pain and secondary infertility. Primary results of our randomized controlled trial (RCT) on adhesion prevention after deep infiltrating endometriosis (DIE) resection using the gel barrier 4DryField® PH showed 85% adhesion reduction in second-look surgeries. Secondary endpoint data on fertility and pain development were collected during 12-month follow-ups. Methods: This RCT comprised 50 patients. Preoperatively and after 1, 6 and 12 months, pain scores for cycle-independent pelvic pain, dysmenorrhea, dyspareunia, dyschezia, and dysuria, as well as the number of pregnancies, were recorded,. Results: The pregnancy rate in the intervention group was significantly higher (p < 0.05). Pain development was also improved: after 12 months, all 5 subscores were lower in the intervention group and improvements were more pronounced, most prominently concerning cycle-independent pelvic pain and dysmenorrhea, the two subcategories with the highest preoperative scores and, therefore, the highest relevance for the patients. Cycle-independent pelvic pain even recurred in the control group, while barrier application prevented this. Conclusions: Considering the known causal link between adhesions and pain, it is apparent that the favourable outcomes in the intervention group are linked to effective adhesion prevention. The significant increase in pregnancies is remarkable. Full article
(This article belongs to the Section Obstetrics & Gynecology)
Show Figures

Figure 1

10 pages, 4153 KB  
Case Report
Same Clinical Reality of Spontaneous Rupture of the Common Iliac Artery with Pseudoaneurysm Formation—Comparison of Two Therapeutical Solutions, Endovascular Stent-Graft and Open Surgical Correction, for Two Cases and Review of the Literature
by Horațiu Moldovan, Robert Tiganasu, Lucian Câlmâc, Cristian Voica, Marian Broască, Camelia Diaconu, Vlad Ichim, Mihai Cacoveanu, Liliana Mirea, Claudia Nica, Costin Minoiu, Irina Dobra, Daniela Gheorghiță, Lucian Dorobanțu, Adrian Molnar and Luminița Iliuță
J. Clin. Med. 2023, 12(2), 713; https://doi.org/10.3390/jcm12020713 - 16 Jan 2023
Cited by 8 | Viewed by 4311
Abstract
The incidence of isolated iliac artery aneurysms is approximately 2% and common iliac artery pseudoaneurysms are even rarer. A pseudoaneurysm is a localized hemorrhage as opposed to an actual aneurysm, which affects the entire vascular wall. They are typically asymptomatic and only detectable [...] Read more.
The incidence of isolated iliac artery aneurysms is approximately 2% and common iliac artery pseudoaneurysms are even rarer. A pseudoaneurysm is a localized hemorrhage as opposed to an actual aneurysm, which affects the entire vascular wall. They are typically asymptomatic and only detectable accidentally while looking for other causes. If large and symptomatic, they typically exhibit pressure symptoms as a result of the compression of the structures around them. Common symptoms include generalized stomach pain, urological problems, gastrointestinal bleeding, and neurological symptoms such as leg paralysis or sciatica-like back pain. Rarely, they may exhibit hemodynamic instability together with an aneurysm rupture, which has a high fatality rate. Due to the unique presentation, the diagnosis is typically rarely made and there is little experience with treating it. We report two cases of common iliac artery pseudoaneurysm found in two patients who had no notable medical history and who we chose to repair through the endovascular technique in the first case, an approach that has gained more ground for vascular repair worldwide, making it the current go-to method, and for the second case we chose a more traditional approach, through open surgery. Full article
(This article belongs to the Section Clinical Neurology)
Show Figures

Figure 1

24 pages, 20469 KB  
Article
Approach to Radical Hysterectomy for Cervical Cancer in Pregnancy: Surgical Pathway and Ethical Considerations
by Rocco Guerrisi, Sarah Louise Smyth, Lamiese Ismail, Amanda Horne, Federico Ferrari and Hooman Soleymani majd
J. Clin. Med. 2022, 11(24), 7352; https://doi.org/10.3390/jcm11247352 - 10 Dec 2022
Cited by 5 | Viewed by 4038
Abstract
Introduction. Cervical cancer is currently the fourth most common cancer in women and in the poorest countries this neoplasia still represents a widespread and potentially lethal disease. We present a rare case of cervical cancer in pregnancy, analyzing the historical changes behind the [...] Read more.
Introduction. Cervical cancer is currently the fourth most common cancer in women and in the poorest countries this neoplasia still represents a widespread and potentially lethal disease. We present a rare case of cervical cancer in pregnancy, analyzing the historical changes behind the procedure of radical hysterectomy for cervical cancer and discussing variations in surgical techniques and anatomical definitions that have since been proposed. Results. We present the case of a 33-year-old patient who attended with vaginal bleeding in the second trimester of pregnancy. Examination revealed an abnormal looking cervix, with investigations concluding stage IIb squamous cell carcinoma. Following extensive discussion regarding management options, the patient went on to have a peripartum foetocidal type III nerve sparing radical Wertheim hysterectomy at 18 weeks gestation with conservation and transposition of the ovaries above the level of the pelvic brim. The patient recovered well without significant morbidity and received further input from fertility and psychological medical teams in addition to adjuvant treatment within the department of clinical oncology. Discussion. This case represents several elements of great interest and learning. Notably, we highlight this both due to the surgical challenges that a gravid uterus presents in the execution of a radical hysterectomy; and regarding the compassionate care demonstrated by the team - not only in supporting the patient and her partner in a period of profound turmoil in terms of the management of their cancer diagnosis and unborn child, but also regarding the uncertainty in consideration of the oncological and fertility related outcomes. Conclusion. This manuscript adds to the growing literature on the appropriate use of radical surgery for cervical cancer, more specifically during pregnancy and in consideration of such ethical dilemma, where management guidelines do not exist to aid clinicians further in their provision of treatment. Full article
(This article belongs to the Section Oncology)
Show Figures

Figure 1

Back to TopTop