Approach to Radical Hysterectomy for Cervical Cancer in Pregnancy: Surgical Pathway and Ethical Considerations
Abstract
1. Introduction
2. Case Report
2.1. Patient Information
2.2. Clinical Findings
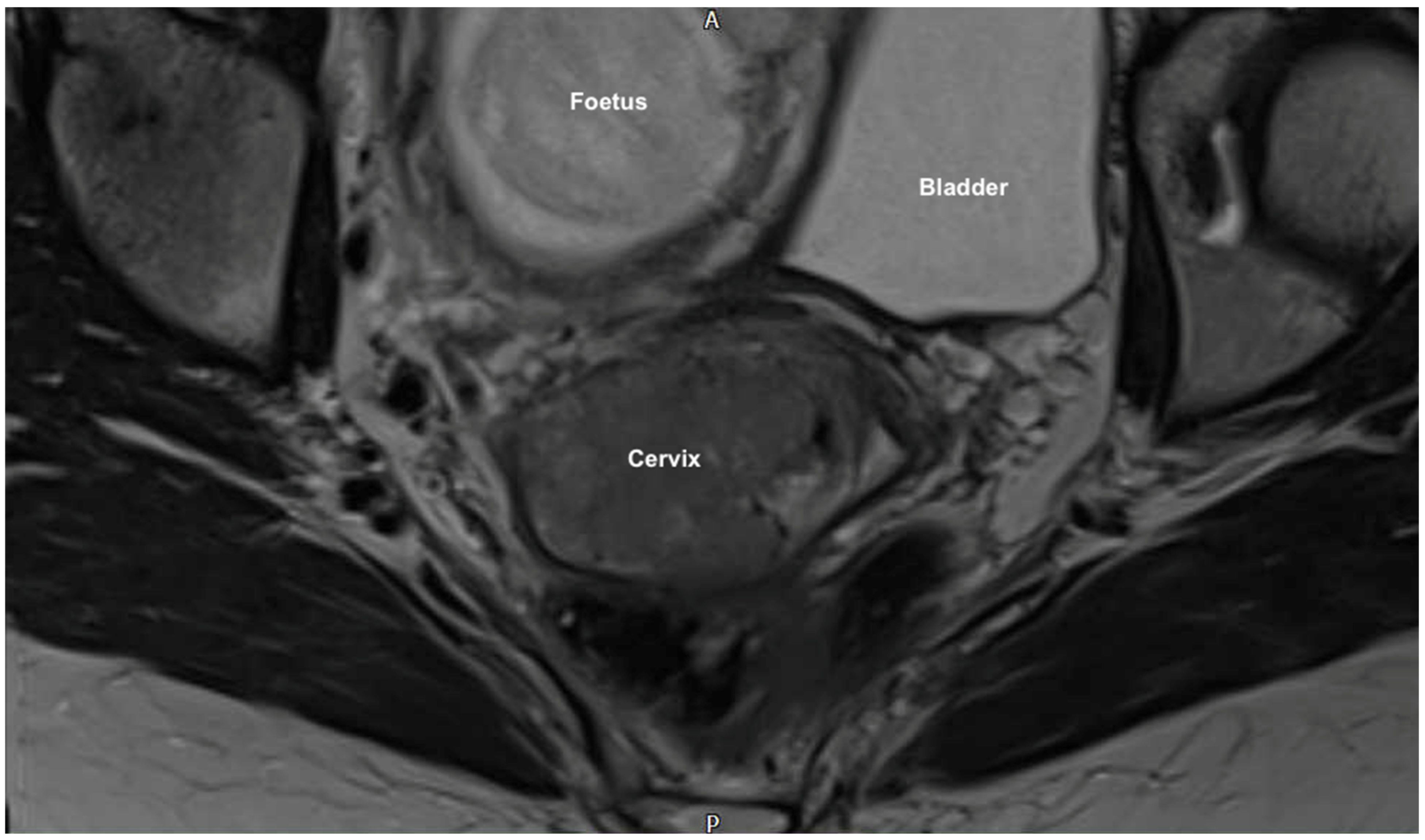
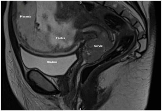
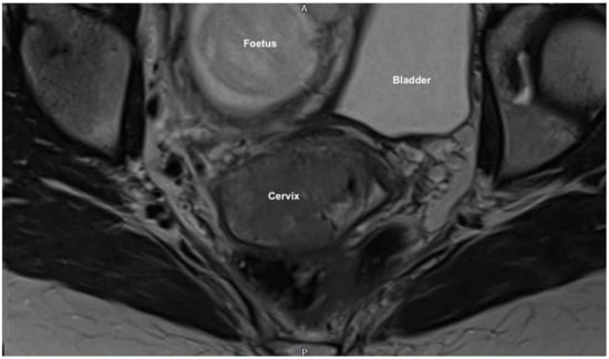
2.3. Diagnostic Assessment
2.4. Timeline of Events
- -
- Continuation of the pregnancy with neoadjuvant chemotherapy (which evidence suggests would not cause significant harm to the foetus with a response rate of approximately 70%) [6] until three weeks prior to delivery via caesarean hysterectomy at approximately 32–34 weeks, followed by combined chemoradiotherapy and brachytherapy;
- -
- Termination of the pregnancy with direct hysterotomy or with ultrasound guided foetal intracardiac potassium chloride injection and subsequent attempted vaginal delivery, both options followed by combined chemoradiotherapy and brachytherapy;
- -
- Termination of the pregnancy (due to the risks associated with vaginal delivery) with midline laparotomy, type III radical Wertheim hysterectomy, bilateral salpingectomy, oophorectomy (pending surgical findings) and bilateral pelvic and para-aortic lymphadenectomy, likely followed by combined chemoradiotherapy and brachytherapy.
2.5. Therapeutic Intervention
- -
- The patient was positioned in modified Lloyd Davis and catheterized. Surgical access was gained via a midline incision extending above the level of the umbilicus.
- -
- Findings were of an exophytic 5 cm tumour, which had completely replaced the ectocervix and an 18-week gestation gravid uterus. Pelvic and abdominal structures were otherwise normal in appearance.
- -
- The pelvic sidewall and mid-abdominal retroperitoneum were opened by incising the peritoneum at the psoas muscles, paracolic gutters, and along the mesenteric root and Todlt line to the level of L1, revealing the main pelvic avascular spaces (Table 1) [9,10] with full exposure of the inferior vena cava and common iliac vasculature.
- -
- Exposure of the infundibulo-pelvic ligaments and ureters were achieved with mobilization of the cecum, duodenum, and descending and sigmoid colon to the level of the common iliac vessel bifurcation with identification of the superior hypogastric plexus. The ureters, common iliac and internal and external iliac vasculatures were slung.
- -
- The round ligaments were transected and the anterior and posterior leaves of the broad ligaments were incised. The ovaries were normal in appearance, allowing conservation with bilateral salpingectomy and division of the tuboovarian ligaments. They were secured above the level of the pelvic brim (Figure 5).
- -
- Anteriorly, the paravesical spaces were developed with the umbilical arteries adhering medially to the bladder, exposing the complete anterior side of the urogenital mesentery. The umbilical artery together with the superior bladder mesentery were both separated from the anterior mesometrium.
- -
- The pararectal spaces were developed with exposure and preservation of the hypogastric nerves adhering medially to the mesorectum up to the level of the inferior hypogastric plexus and vein aergentis. The external iliac and obturator lymph nodes of the anterior pelvic compartments (Figure 6) were removed by completely stripping the external iliac artery and vein and removing the paravisceral pelvic fat pads, obtaining exposure of the obturator nerve, obturator artery and vein, the arcus tendineus, and proximal sciatic nerve (Figure 7 and Figure 8).
- -
- Further ureterolysis was performed to skeletonize the ureters distally to the level of the bladder insertion. The peritoneum of the vescicouterine pouch was incised and the bladder was fully mobilized and separated from the anterior cervix and the proximal vagina with division of the vesicovaginal pillars (Figure 9).
- -
- The uterine arteries were identified at origin and secured (Figure 10). The peritoneum of the pouch of Douglas was incised and the anterior mesorectum was separated from the posterior vaginal wall with division of Dennonveiliers fascia down to the mid-vagina. Laterally, the mesorectum was separated from the uterosacral ligaments to the level of the inferior hypogastric plexus, which was subsequently mobilized from these ligaments from both proximal and lateral aspects (Figure 11). Immediately above the superior margin of the inferior hypogastric plexus, the rectouterine ligaments and uterosacral ligaments were subsequently transected in a stepwise fashion.
- -
- Anteriorly, the mesometrium was mobilized from its origin at the site of the already transected uterine arteries and veins towards the uterus and beyond the superior surface of the ureter. The vesicovaginal venous plexus together with the dense sub-peritoneal connective tissue above the prevesical segment of the ureter was ligated and divided. Thus completed the formation of the anterior, posterior and lateral parametrium (to a depth of 5 cm) (Figure 12 and Figure 13), paracolpium and vaginal cuff.
- -
- -
- Pelvic lymph node dissection was continued in the posterior compartment by removing all lymph nodes and fatty tissue around the internal and common iliac vessels, exposing the proximal pelvic obturator nerves and the lumbar rami of the sacral plexus. Para-aortic lymph node dissection was subsequently completed up to the level of the renal veins.
- -
- Following confirmation of haemostasis with washout and irrigation, a size 16 Robinson’s drain was inserted. The laparotomy was closed in layers with loop PDS, interrupted single Maxon and skin staples with a total estimated blood loss of 100 mL. A hysterotomy was performed following hysterectomy with the delivery of an infant weighing 203g. Appearances were in keeping with gestation. [11] All specimens were sent to histopathology urgently (Figure 17 and Figure 18).
| Medial Paravescical Space | The separation of the wider Paravescical Space into these two spaces is given by the passage of the obliterated umbilical artery. | The boundaries of these spaces considered together are: Ventrally—superior pubic ramus, arcuate line of the os ilium; Dorsally—cardinal ligament including parametrium (over the ureter) and paracervix (below the ureter), uterine artery/vein; Medially—caudal portion of vesico-uterine ligament, bladder; Laterally—obturator internus fascia/muscle, external iliac artery/vein. |
| Lateral Paravescical Space | ||
| Medial Pararectal Space (Okabayashi Space) | The separation of the wider Pararectal Space into these two spaces is given by the passage of the ureter. | Its boundaries are: Ventrally—cardinal ligament; Dorsally—presacral fascia, sacrum; Laterally—ureter, mesoureter; Medially—uterosacral ligaments. |
| Lateral Pararectal Space (Latzko Space) | Its boundaries are: Ventrally—cardinal ligament; Dorsally—presacral fascia, sacrum; Laterally—internal iliac artery; Medially—ureter, mesoureter. | |
| Yabuki Space | Also known as the fourth space. | There are still controversies around its exact location but it should be found between the the cranial portion of the vesicouterine ligament and the ureter. |
| Retropubic Space | Also known as Retzius Space | Its boundaries are: Ventrally—pubic symphysis; Dorsally—parietal peritoneum, bladder; Cranially—transversals fascia; Caudally—urethra, adjacent pubocervical fascia and bladder neck; Laterally—the arcus tendinous fasciae pelvis. |
| Vescicovaginal Space | Also known as anterior cul-de-sac | Its boundaries are: Ventrally—bladder; Dorsally—pubocervical fascia, cervix/vagina; Laterally—cranial portion of vesicouterine ligament; Cranially—peritoneal reflection between the dome of the bladder and the lower uterine segment; Caudally—junction of the proximal and middle thirds of the urethra. |
| Rectovaginal Space | Also known as posterior cul-de-sac | Its boundaries are: Ventrally—posterior vaginal wall; Dorsally—anterior rectal wall; Laterally—uterosacral ligaments (cranial), rectovaginal ligament (caudal); Cranially—peritoneal reflections of the pouch of Douglas; Caudally—levator ani muscle. |
| Retrorectal Space | Also known as presacral space | Its boundaries are: Ventrally—mesorectal fascia/rectum; Dorsally—longitudinal anterior vertebral ligament, sacral promontory; Laterally—right (right common iliac artery/right ureter), left (left common iliac vein/left ureter), hypogastric fascia, which is formed by the medial fibers of the uterosacral ligaments; Cranially—peritoneal reflection of the rectosigmoid colon; Caudally—levator ani muscle. |
















2.6. Follow Up and Outcomes
3. Discussion
4. Informed Consent
Author Contributions
Funding
Informed Consent Statement
Data Availability Statement
Conflicts of Interest
References
- Buskwofie, A.; David-West, G.; Clare, C.A. A review of cervical cancer: Incidence and disparities. J. Natl. Med. Assoc. 2020, 112, 229–232. [Google Scholar] [CrossRef] [PubMed]
- Arbyn, M.; Weiderpass, E.; Bruni, L.; De Sanjosé, S.; Saraiya, M.; Ferlay, J.; Bray, F. Estimates of incidence and mortality of cervical cancer in 2018: A worldwide analysis. Lancet Glob. Health 2020, 8, e191–e203, Erratum in Lancet Glob. Health 2022, 10, e41. [Google Scholar] [CrossRef] [PubMed]
- Kehoe, S. Cervical and endometrial cancer during pregnancy. Recent Results Cancer Res. 2008, 178, 69–74. [Google Scholar] [CrossRef]
- Gungorduk, K.; Sahbaz, A.; Ozdemir, A.; Gokcu, M.; Sancı, M.; Köse, M.F. Management of cervical cancer during pregnancy. J. Obstet. Gynaecol. 2016, 36, 366–371. [Google Scholar] [CrossRef]
- Cibula, D.; Pötter, R.; Planchamp, F.; Avall-Lundqvist, E.; Fischerova, D.; Meder, C.H.; Köhler, C.; Landoni, F.; Lax, S.; Lindegaard, J.C.; et al. The European Society of Gynaecological Oncology/European Society for Radiotherapy and Oncology/European Society of Pathology guidelines for the management of patients with cervical cancer. Radiother. Oncol. 2018, 127, 404–416. [Google Scholar] [CrossRef] [PubMed]
- Amant, F.; Berveiller, P.; Boere, I.A.; Cardonick, E.; Fruscio, R.; Fumagalli, M.; Halaska, M.J.; Hasenburg, A.; Johansson, A.L.V.; Lambertini, M.; et al. Gynecologic cancers in pregnancy: Guidelines based on a third international consensus meeting. Ann. Oncol. 2019, 30, 1601–1612. [Google Scholar] [CrossRef] [PubMed]
- Höckel, M.; Wolf, B.; Schmidt, K.; Mende, M.; Aktas, B.; Kimmig, R.; Dornhöfer, N.; Horn, L.C. Surgical resection based on ontogenetic cancer field theory for cervical cancer: Mature results from a single-centre, prospective, observational, cohort study. Lancet Oncol. 2019, 20, 1316–1326. [Google Scholar] [CrossRef]
- Buderath, P.; Stukan, M.; Ruhwedel, W.; Strutas, D.; Feisel-Schwickardi, G.; Wimberger, P.; Kimmig, R. Total mesometrial resection (TMMR) for cervical cancer FIGO IB-IIA: First results from the multicentric TMMR register study. J. Gynecol. Oncol. 2022, 33, e9. [Google Scholar] [CrossRef]
- Kostov, S.; Slavchev, S.; Dzhenkov, D.; Mitev, D.; Yordanov, A. Avascular spaces of the female pelvis-clinical applications in obstetrics and gynecology. J. Clin. Med. 2020, 9, 1460. [Google Scholar] [CrossRef]
- Puntambekar, S.; Manchanda, R. Surgical pelvic anatomy in gynecologic oncology. Int. J. Gynaecol. Obstet. 2018, 143 (Suppl. S2), 86–92. [Google Scholar] [CrossRef]
- Höckel, M.; Horn, L.C.; Hentschel, B.; Höckel, S.; Naumann, G. Total mesometrial resection: High resolution nerve-sparing radical hysterectomy based on developmentally defined surgical anatomy. Int. J. Gynecol. Cancer 2003, 13, 791–803. [Google Scholar] [CrossRef]
- Majd, H.S.; Collins, S.L.; Addley, S.; Weeks, E.; Chakravarti, S.; Halder, S.; Alazzam, M. The modified radical peripartum cesarean hysterectomy (Soleymani-Alazzam-Collins technique): A systematic, safe procedure for the management of severe placenta accreta spectrum. Am. J. Obstet. Gynecol. 2021, 225, e1–e175, Erratum in Am. J. Obstet. Gynecol. 2022. [Google Scholar] [CrossRef]
- Wertheim, E. The extended abdominal operation for carcinoma uteri (based on 500 operative cases). Am. J. Obs. Dis. Women Child. 1912, 66, 169–232. [Google Scholar]
- Okabayashi, H. Radical abdominal hysterectomy for cancer of the cervix uteri. Surg. Gynecol. Obstet. 1921, 33, 335–341. [Google Scholar]
- Meigs, J.V. Carcinoma of the cervix—The Wertheim operation. Surg. Gynecol. Obstet. 1944, 78, 195–198. [Google Scholar]
- Piver, M.S.; Rutledge, F.; Smith, J.P. Five classes of extended hysterectomy for women with cervical cancer. Obstet. Gynecol. 1974, 44, 265–272. [Google Scholar] [CrossRef]
- Querleu, D.; Morrow, C.P. Classification of radical hysterectomy. Lancet Oncol. 2008, 9, 297–303. [Google Scholar] [CrossRef]
- Cibula, D.; Abu-Rustum, N.R.; Benedetti-Panici, P.; Köhler, C.; Raspagliesi, F.; Querleu, D.; Morrow, C.P. New classification system of radical hysterectomy: Emphasis on a three-dimensional anatomic template for parametrial resection. Gynecol. Oncol. 2011, 122, 264–268. [Google Scholar] [CrossRef]
- Höckel, M.; Horn, L.C.; Fritsch, H. Association between the mesenchymal compartment of uterovaginal organogenesis and local tumour spread in stage IB-IIB cervical carcinoma: A prospective study. Lancet Oncol. 2005, 6, 751–756. [Google Scholar] [CrossRef]
- Höckel, M.; Horn, L.C.; Manthey, N.; Braumann, U.D.; Wolf, U.; Teichmann, G.; Frauenschläger, K.; Dornhöfer, N.; Einenkel, J. Resection of the embryologically defined uterovaginal (Müllerian) compartment and pelvic control in patients with cervical cancer: A prospective analysis. Lancet Oncol. 2009, 10, 683–692. [Google Scholar] [CrossRef]
- Wolf, B.; Ganzer, R.; Stolzenburg, J.U.; Hentschel, B.; Horn, L.C.; Höckel, M. Extended mesometrial resection (EMMR): Surgical approach to the treatment of locally advanced cervical cancer based on the theory of ontogenetic cancer fields. Gynecol. Oncol. 2017, 146, 292–298. [Google Scholar] [CrossRef] [PubMed]
- Maringe, C.; Spicer, J.; Morris, M.; Purushotham, A.; Nolte, E.; Sullivan, R.; Rachet, B.; Aggarwal, A. The impact of the COVID-19 pandemic on cancer deaths due to delays in diagnosis in England, UK: A national, population-based, modelling study. Lancet Oncol. 2020, 21, 1023–1034, Erratum in Lancet Oncol. 2021, 22, e5. [Google Scholar] [CrossRef] [PubMed]
- Castanon, A.; Rebolj, M.; Pesola, F.; Sasieni, P. Recovery strategies following COVID-19 disruption to cervical cancer screening and their impact on excess diagnoses. Br. J. Cancer 2021, 124, 1361–1365. [Google Scholar] [CrossRef] [PubMed]
- Germann, N.; Haie-Meder, C.; Morice, P.; Lhomme, C.; Duvillard, P.; Hacene, K.; Gerbaulet, A. Management and clinical outcomes of pregnant patients with invasive cervical cancer. Ann. Oncol. 2005, 16, 397–402. [Google Scholar] [CrossRef]
- Peccatori, F.A.; Azim, H.A., Jr.; Orecchia, R.; Hoekstra, H.J.; Pavlidis, N.; Kesic, V.; Pentheroudakis, G.; ESMO Guidelines Working Group. Cancer, pregnancy and fertility: ESMO Clinical Practice Guidelines for diagnosis, treatment and follow-up. Ann. Oncol. 2013, 24 (Suppl. S6), vi160-70. [Google Scholar] [CrossRef]
- Monk, B.J.; Montz, F.J. Invasive cervical cancer complicating intrauterine pregnancy: Treatment with radical hysterectomy. Obstet. Gynecol. 1992, 80, 199–203. [Google Scholar]
- Watanabe, Y.; Tsuritani, M.; Kataoka, T.; Kanemura, K.; Shiina, M.; Ueda, H.; Hoshiai, H. Radical hysterectomy for invasive cervical cancer during pregnancy: A retrospective analysis of a single institution experience. Eur. J. Gynaecol. Oncol. 2009, 30, 79–81. [Google Scholar]
- Majd, H.S.; Ferrari, F.; Gubbala, K.; Campanile, R.G.; Tozzi, R. Latest developments and techniques in gynaecological oncology surgery. Curr. Opin. Obstet. Gynecol. 2015, 27, 291–296. [Google Scholar] [CrossRef]
- Vandenbroucke, T.; Han, S.N.; Van Calsteren, K.; Wilderjans, T.F.; Van den Bergh, B.R.H.; Claes, L.; Amant, F. Psychological distress and cognitive coping in pregnant women diagnosed with cancer and their partners. Psychooncology 2017, 26, 1215–1221, Erratum in Psychooncology 2018, 27, 2521. [Google Scholar] [CrossRef]


Publisher’s Note: MDPI stays neutral with regard to jurisdictional claims in published maps and institutional affiliations. |
© 2022 by the authors. Licensee MDPI, Basel, Switzerland. This article is an open access article distributed under the terms and conditions of the Creative Commons Attribution (CC BY) license (https://creativecommons.org/licenses/by/4.0/).
Share and Cite
Guerrisi, R.; Smyth, S.L.; Ismail, L.; Horne, A.; Ferrari, F.; Soleymani majd, H. Approach to Radical Hysterectomy for Cervical Cancer in Pregnancy: Surgical Pathway and Ethical Considerations. J. Clin. Med. 2022, 11, 7352. https://doi.org/10.3390/jcm11247352
Guerrisi R, Smyth SL, Ismail L, Horne A, Ferrari F, Soleymani majd H. Approach to Radical Hysterectomy for Cervical Cancer in Pregnancy: Surgical Pathway and Ethical Considerations. Journal of Clinical Medicine. 2022; 11(24):7352. https://doi.org/10.3390/jcm11247352
Chicago/Turabian StyleGuerrisi, Rocco, Sarah Louise Smyth, Lamiese Ismail, Amanda Horne, Federico Ferrari, and Hooman Soleymani majd. 2022. "Approach to Radical Hysterectomy for Cervical Cancer in Pregnancy: Surgical Pathway and Ethical Considerations" Journal of Clinical Medicine 11, no. 24: 7352. https://doi.org/10.3390/jcm11247352
APA StyleGuerrisi, R., Smyth, S. L., Ismail, L., Horne, A., Ferrari, F., & Soleymani majd, H. (2022). Approach to Radical Hysterectomy for Cervical Cancer in Pregnancy: Surgical Pathway and Ethical Considerations. Journal of Clinical Medicine, 11(24), 7352. https://doi.org/10.3390/jcm11247352

