Sign in to use this feature.

Years

Between: -

Subjects

remove_circle_outline
remove_circle_outline
remove_circle_outline
remove_circle_outline
remove_circle_outline
remove_circle_outline
remove_circle_outline

Journals

remove_circle_outline
remove_circle_outline
remove_circle_outline
remove_circle_outline
remove_circle_outline
remove_circle_outline
remove_circle_outline
remove_circle_outline
remove_circle_outline
remove_circle_outline
remove_circle_outline
remove_circle_outline
remove_circle_outline

Article Types

Countries / Regions

remove_circle_outline
remove_circle_outline
remove_circle_outline
remove_circle_outline
remove_circle_outline

Search Results (368)

Search Parameters:
Keywords = retroperitoneal

Order results
Result details
Results per page
Select all
Export citation of selected articles as:
10 pages, 3116 KB  
Case Report
Functional Ureteral Obstruction Due to Retroperitoneal Tissue Interposition During Oblique Lumbar Interbody Fusion: A Report of Two Cases
by Jun-Seok Lee, Young-Hoon Kim, Sang-Il Kim, Kihyun Kwon, Sangjun Park, Joonghyun Ahn, Chungwon Bang and Hyung-Youl Park
J. Clin. Med. 2026, 15(9), 3235; https://doi.org/10.3390/jcm15093235 - 23 Apr 2026
Viewed by 173
Abstract
Background/Objectives: Ureteral complications following oblique lumbar interbody fusion (OLIF) are uncommon and are typically attributed to direct mechanical injury. Functional ureteral obstruction without overt ureteral damage remains poorly characterized. We report two cases that provide clinical and intraoperative evidence of a previously [...] Read more.
Background/Objectives: Ureteral complications following oblique lumbar interbody fusion (OLIF) are uncommon and are typically attributed to direct mechanical injury. Functional ureteral obstruction without overt ureteral damage remains poorly characterized. We report two cases that provide clinical and intraoperative evidence of a previously underrecognized mechanism of ureteral obstruction associated with anterior cage positioning during OLIF. Case Presentation: Among 180 OLIF procedures performed by a single surgeon, two cases (1.1%) of postoperative or intraoperative ureteral compromise without direct structural injury were identified. In the first case, postoperative imaging revealed hydronephrosis and focal angulation of the left proximal ureter at the level of the interbody cage, without contrast extravasation. The obstruction was managed with double-J ureteral stenting, and serial renal function monitoring confirmed preserved renal function throughout the clinical course. In the second case, retroperitoneal tissue including the ureter was directly observed intraoperatively to be interposed between the anterior longitudinal ligament and the interbody cage during anterior cage placement. Release of the interposed tissue resulted in immediate ureteral decompression without structural damage. Correlation of the postoperative findings in the first case with the intraoperative observations of the second case supports a unified mechanistic explanation: anterior cage advancement may draw retroperitoneal tissue into the cage–anterior longitudinal ligament interface, subjecting the ureter to focal compression or angulation. Conclusions: Functional ureteral obstruction during OLIF may occur secondary to retroperitoneal tissue interposition rather than direct ureteral trauma. Awareness of this mechanism and meticulous protection of the anterior retroperitoneal layer during cage advancement may help prevent avoidable ureteral complications. Full article
(This article belongs to the Special Issue Clinical Research on Minimally Invasive Spine Surgery)
31 pages, 1120 KB  
Review
Liver Xenotransplantation: From Early Primate Trials to the First-in-Human Porcine Bridging Therapies
by Alexandru Grigorie Nastase, Alin Mihai Vasilescu, Ana Maria Trofin, Nicolae Florin Iftimie, Juan José Segura-Sampedro, Ramona Cadar, Iulian Buzincu, Alexandra Davidescu, Anda Lucia Nastase, Oana Georgiana Briceanu, Corina Lupascu-Ursulescu and Cristian Dumitru Lupascu
J. Clin. Med. 2026, 15(8), 3144; https://doi.org/10.3390/jcm15083144 - 20 Apr 2026
Viewed by 231
Abstract
Liver transplantation remains the definitive treatment for end-stage liver disease and acute liver failure, yet a critical and persistent shortage of donor organs results in thousands of preventable deaths annually worldwide. Xenotransplantation has emerged as a potential solution to this structural deficit. This [...] Read more.
Liver transplantation remains the definitive treatment for end-stage liver disease and acute liver failure, yet a critical and persistent shortage of donor organs results in thousands of preventable deaths annually worldwide. Xenotransplantation has emerged as a potential solution to this structural deficit. This narrative review traces the evolution of liver xenotransplantation, from early non-human primate trials in the 1960s through the application of CRISPR/Cas9-driven multi-gene editing platforms in contemporary porcine donors. The immunological barriers that drove the transition from primate to porcine donors are examined, including hyperacute rejection mediated by anti-α-Gal antibodies, coagulation dysregulation and xenograft thrombotic microangiopathy. The genetic engineering strategies underlying current triple-knockout, ten-gene-edited donor pigs are reviewed alongside the preclinical non-human primate evidence establishing biological feasibility. The three pig-to-human liver xenotransplantation studies published between 2025 and 2026 are then analyzed, encompassing heterotopic auxiliary transplantation in a brain-dead decedent, extracorporeal liver cross-circulation and the first auxiliary liver xenotransplantation in a living recipient with a documented 171-day survival. These cases collectively provide preliminary evidence supporting proof-of-concept for porcine hepatic bridging therapy, with current evidence supporting a role for xenogeneic liver support as a temporary bridge to recovery or allotransplantation rather than definitive organ replacement. Xenograft thrombotic microangiopathy is identified as the principal remaining biological barrier, and the substantial translational challenges, including reproducibility, scalability and regulatory readiness that must be resolved before broader clinical application can be considered. Full article
(This article belongs to the Special Issue Clinical Advances in Abdominal Surgery)
11 pages, 989 KB  
Article
Has the Step-Up Approach Improved Prognosis in Severe Necrotizing Acute Pancreatitis?
by Ricardo Gadea-Mateo, Marina Garcés-Albir, Dimitri Dorcaratto, Georgy Kadzhaya-Khlystov, Vicente Sanchiz, Elena Muñoz-Forner, Rosana Villagrasa, Isabel Mora-Oliver, Elisabetta Casula, Mar Juan-Diaz, Pablo Navarro-Cortés, Jorge Guijarro-Rosaleny, Isabel Pascual-Moreno and Luis Sabater
J. Clin. Med. 2026, 15(8), 2881; https://doi.org/10.3390/jcm15082881 - 10 Apr 2026
Viewed by 284
Abstract
Background/Objectives: Acute pancreatitis is a prevalent pathology with increasing incidence. Despite advances in treatment, some patients still present a severe clinical course with high morbidity and mortality rates. We evaluated the association between implementation of a step-up-based management strategy and clinical outcomes [...] Read more.
Background/Objectives: Acute pancreatitis is a prevalent pathology with increasing incidence. Despite advances in treatment, some patients still present a severe clinical course with high morbidity and mortality rates. We evaluated the association between implementation of a step-up-based management strategy and clinical outcomes in patients with severe acute pancreatitis (SAP) treated at a tertiary referral center. Method: A retrospective observational study was conducted, including patients treated for SAP at a tertiary care center. Clinical outcomes, including mortality, morbidity, and length of hospital stay, were compared between two periods: Period A (1998–2010, classical treatment) and Period B (2011–2021, step-up approach). A subanalysis on minimally invasive techniques was also performed for Period B. Results: In total, 116 patients were included (39 Period A; 77 Period B). Pancreatic fistulas were reduced in Period B (15.38% vs. 5.33%; p = 0.088), as was mortality (30.76% vs. 18.67%; p = 0.15). Open surgeries decreased significantly in Period B (71.9% vs. 16.9%; p = 0.043), as did the mean hospital stay (60.5 ± 28 vs. 33.08 ± 28 days; p < 0.001). When comparing endoscopy management versus Video-Assisted Retroperitoneal Debridement (VARD), the rate of pancreatic fistulas was higher in the VARD group (0% vs. 57.1%; p < 0.01). Patients requiring VARD presented with larger collections (710 cc vs. 1737.9 cc; p = 0.03) and fewer procedures (4.2 ± 2.3 vs. 1.5 ± 0.5; p = 0.002). Conclusions: The step-up management in patients with SAP was associated with a decrease in open surgical approches and length of stay. VARD was performed in patients with higher volume collections and was associated with fewer interventions than patients treated by endoscopic necrosectomy; however, the incidence of pancreatic fistulas was higher. Full article
(This article belongs to the Section General Surgery)
Show Figures

Graphical abstract

14 pages, 1516 KB  
Case Report
Dual Challenges: Addressing Post-Traumatic Retroperitoneal Urinoma in the Context of Pyeloureteral Duplication
by Marius Doru Stan, Irina Vlase, Emma Gheorghe, Bogdan Alexandru Georgescu, Dragos Fasie, Mihaela Botnarciuc, Lucian-Flavius Herlo, Ionut Ciprian Iorga, Felix Voinea, Andreea Nelson Twakor, Bogdan Cimpineanu and Iulian Catalin Bratu
Diagnostics 2026, 16(8), 1132; https://doi.org/10.3390/diagnostics16081132 - 9 Apr 2026
Viewed by 308
Abstract
Background and Clinical Significance: Retroperitoneal urinomas are uncommon complications that can arise following trauma, particularly in the context of congenital anomalies such as pyeloureteral duplication. These conditions pose significant diagnostic and therapeutic challenges, requiring a comprehensive and multidisciplinary approach to ensure optimal patient [...] Read more.
Background and Clinical Significance: Retroperitoneal urinomas are uncommon complications that can arise following trauma, particularly in the context of congenital anomalies such as pyeloureteral duplication. These conditions pose significant diagnostic and therapeutic challenges, requiring a comprehensive and multidisciplinary approach to ensure optimal patient outcomes. Case Presentation: Here, we report the case of a 22-year-old male who presented to the emergency department with right lumbar and flank pain, nausea, and abrasions following a fall from a height. Initial imaging revealed a right-sided retroperitoneal urinoma and a rare congenital anomaly: complete pyeloureteral duplication with the upper pole draining into the right seminal vesicle. The patient underwent two surgical interventions, including the insertion of a ureteral stent and reimplantation of the ureter using a latero-terminal U trans U technique. Conclusions: This case highlights the complexity of managing traumatic retroperitoneal urinomas associated with congenital anomalies such as complete pyeloureteral duplication. It emphasizes the importance of timely surgical intervention to prevent complications and improve patient outcomes. Full article
(This article belongs to the Special Issue Challenges in Urology: From Diagnosis to Management—2nd Edition)
Show Figures

Figure 1

9 pages, 229 KB  
Article
Minimizing Lymphatic Morbidity: Incidence of Lower Extremity Lymphedema After vNOTES-Assisted Sentinel Node Mapping in Endometrial Cancer
by Duygu Kurtulus, Kevser Arkan, Ali Deniz Erkmen, Gul Cavusoglu Colak, Sedat Akgol and Behzat Can
Curr. Oncol. 2026, 33(4), 208; https://doi.org/10.3390/curroncol33040208 - 7 Apr 2026
Viewed by 305
Abstract
Background: Endometrial cancer is the most common gynecologic malignancy in developed countries. Sentinel lymph node (SLN) mapping has emerged as a less invasive alternative to systematic lymphadenectomy and is increasingly incorporated into surgical staging algorithms. Vaginal natural orifice transluminal endoscopic surgery (vNOTES) [...] Read more.
Background: Endometrial cancer is the most common gynecologic malignancy in developed countries. Sentinel lymph node (SLN) mapping has emerged as a less invasive alternative to systematic lymphadenectomy and is increasingly incorporated into surgical staging algorithms. Vaginal natural orifice transluminal endoscopic surgery (vNOTES) provides transvaginal access to the retroperitoneum and may facilitate SLN mapping while potentially reducing postoperative morbidity, including lower extremity lymphedema (LEL). Objective: This study aimed to evaluate the feasibility of vNOTES hysterectomy with bilateral salpingo-oophorectomy (BSO) and retroperitoneal SLN mapping and to report early postoperative lymphedema outcomes in patients with newly diagnosed endometrial cancer. Methods: This retrospective cohort study included 113 patients who underwent vNOTES-assisted hysterectomy with BSO and SLN mapping using methylene blue dye at a tertiary referral center between January 2022 and January 2023. Lymphedema was evaluated using the Gynecologic Cancer Lymphedema Questionnaire at 6 and 12 months postoperatively, supported by clinical examination. Descriptive statistical analyses were performed to summarize clinical characteristics and symptom profiles. Results: The mean patient age was 55.0 ± 10.5 years and the mean BMI was 30.94 ± 2.54 kg/m2. Endometrioid adenocarcinoma was the most common histological subtype (75.5%), and most tumors were grade 1 (57.1%). SLN mapping was successful in 102 of 113 patients (overall detection rate 90.3%), with bilateral detection in 79.6% and unilateral detection in 10.6% of cases. Limb swelling was reported in 4.1% of patients, while only one patient (1.0%) met the criteria for self-reported mild lymphedema. No clinical signs of inguinal lymphedema were detected. Conclusions: vNOTES hysterectomy combined with retroperitoneal SLN mapping was associated with a low incidence of postoperative lower extremity lymphedema in this single-arm cohort. These findings suggest that vNOTES-assisted SLN mapping may represent a feasible minimally invasive approach for nodal assessment in selected patients with endometrial cancer. Prospective comparative studies are required to confirm these findings and to evaluate long-term oncologic and lymphatic outcomes. Full article
(This article belongs to the Section Gynecologic Oncology)
Show Figures

Graphical abstract

20 pages, 2141 KB  
Article
Presence and Variability of the Microbiome in Perivascular Adipose Tissue: A Whole-Genome Sequencing Study in Dahl SS Rats
by Sameera Mahimkar, Janice M. Thompson, Christopher B. Blackwood, Stephanie W. Watts and Carolina B. Restini
Life 2026, 16(4), 609; https://doi.org/10.3390/life16040609 - 7 Apr 2026
Viewed by 363
Abstract
Background: Perivascular adipose tissue (PVAT) contains adipocytes and a stromal-vascular fraction with immune cells that modulate the adjacent vasculature. The presence of immune cells in PVAT of vascular beds is poorly understood—are they resident or recruited? We propose a novel resident microbiome [...] Read more.
Background: Perivascular adipose tissue (PVAT) contains adipocytes and a stromal-vascular fraction with immune cells that modulate the adjacent vasculature. The presence of immune cells in PVAT of vascular beds is poorly understood—are they resident or recruited? We propose a novel resident microbiome present in PVAT, given the immune-rich stromal environment. Hypothesis: We hypothesized the existence of distinct bacterial and viral communities in healthy PVAT compared to non-PVAT adipose tissues. Methods: PVAT samples from thoracic and abdominal aorta, mesenteric resistance arteries, non-PVAT tissues (subscapular brown adipose tissue, retroperitoneal white adipose tissue), and fecal samples were collected one year apart from male Dahl SS rats, split into two cohorts (2023 and 2024, n = 3 each). Whole-genome shotgun sequencing (CosmosID) and 16S rRNA gene analysis assessed microbial relative abundance. Results: PVAT harbored bacterial and viral sequences, and species composition varied significantly between cohorts. Bacterial and viral fecal samples showed lower variability. Conclusions: PVAT microbiome differed dramatically from the fecal microbiome, with temporal influences on bacterial and viral diversity, marking the first such report. Despite inherent limitations, these findings establish the potential of PVAT microbiota in vascular biology and immune modulation, paving the development of microbiome-targeted drugs to address vascular dysfunctions. Full article
(This article belongs to the Section Cell Biology and Tissue Engineering)
Show Figures

Graphical abstract

10 pages, 4390 KB  
Case Report
Aggressive Burkitt Lymphoma Mimicking Acute Pancreatitis: A Case Report
by Nicole Sequeira, Rachael Hagen, Chidambaram Ramasamy, Poolakkad S. Satheeshkumar and Kapil Meleveedu
Reports 2026, 9(2), 103; https://doi.org/10.3390/reports9020103 - 27 Mar 2026
Viewed by 379
Abstract
Background and Clinical Significance: Burkitt lymphoma is an aggressive form of non-Hodgkin lymphoma of B-cell origin, caused by a MYC gene translocation on chromosome 8. There are three clinical subtypes, of which the sporadic subtype is most prevalent in the United States. [...] Read more.
Background and Clinical Significance: Burkitt lymphoma is an aggressive form of non-Hodgkin lymphoma of B-cell origin, caused by a MYC gene translocation on chromosome 8. There are three clinical subtypes, of which the sporadic subtype is most prevalent in the United States. Sporadic Burkitt lymphoma is diagnosed at a median age of 30 years and commonly manifests as bulky abdominal lesions, most often involving the ileocecal region. Pancreatic involvement is uncommon, and presentation as acute pancreatitis secondary to Burkitt lymphoma is exceedingly rare. Case Presentation: We present a case of a young male who presented with epigastric pain, nausea, and vomiting. He had a diffusely tender abdomen and elevated lipase levels. On imaging, he was found to have large retroperitoneal and intraperitoneal masses, contiguous with an enlarged pancreas. Burkitt lymphoma was confirmed upon biopsy of duodenal and gastric masses via endoscopic ultrasound. MRI brain and testicular ultrasound revealed unilateral fifth cranial nerve and bilateral testicular involvement, respectively. His course was complicated by bowel perforation requiring urgent surgery. However, he achieved complete remission with dose-dense systemic and intrathecal chemotherapy. Conclusions: This case highlights the diverse presentations of Burkitt’s lymphoma and a favorable prognosis with treatment. Clinicians should maintain a high index of suspicion for a malignant etiology of acute pancreatitis in patients without classic risk factors. Full article
(This article belongs to the Section Oncology)
Show Figures

Figure 1

4 pages, 1502 KB  
Interesting Images
Stabler Sign Secondary to Postoperative Breast Hematoma: CT Evidence of Extraperitoneal Blood Tracking
by Yoen Young Chuah, Yeong Yeh Lee, Wen-Sheng Tzeng and Yow-Ling Shiue
Diagnostics 2026, 16(7), 981; https://doi.org/10.3390/diagnostics16070981 - 25 Mar 2026
Viewed by 355
Abstract
Inguinal ecchymosis, known as Stabler sign, is classically associated with retroperitoneal hemorrhage. However, imaging confirmation of the underlying mechanism is rarely demonstrated. We report a 33-year-old woman who developed progressive right inguinal ecchymosis one week after excisional surgery for fibrocystic breast nodules. Physical [...] Read more.
Inguinal ecchymosis, known as Stabler sign, is classically associated with retroperitoneal hemorrhage. However, imaging confirmation of the underlying mechanism is rarely demonstrated. We report a 33-year-old woman who developed progressive right inguinal ecchymosis one week after excisional surgery for fibrocystic breast nodules. Physical examination revealed extensive bruising over the right breast and a separate ecchymotic area in the right inguinal region. Laboratory tests showed mild anemia with stable hemoglobin levels, while coagulation parameters and pancreatic enzymes were normal. Contrast-enhanced computed tomography excluded retroperitoneal or pelvic hemorrhage but revealed a large right breast hematoma. Multiplanar CT reconstructions demonstrated hyperattenuating fluid tracking along the superficial fascial planes of the anterior chest wall and abdominal wall toward the inguinal region. Anatomically, the superficial fascial system comprising Camper’s and Scarpa’s fascia provides a potential pathway for gravity-dependent migration of extraperitoneal blood. This case suggests that inguinal ecchymosis may result from extraperitoneal blood tracking from a distant postoperative hematoma rather than retroperitoneal bleeding. Full article
(This article belongs to the Section Medical Imaging and Theranostics)
Show Figures

Figure 1

8 pages, 1801 KB  
Case Report
An Unusual Case of Upper Digestive Bleeding—Metastatic Amelanotic Melanoma: Case Report and Literature Review
by Mihaela Dranga, Cristina Cijevschi Prelipcean, Otilia Nedelciuc, Alina-Ecaterina Jucan, Georgiana-Elena Sârbu, Atodiresei Carmen, Iolanda Valentina Popa, Roxana Nemțeanu, Irina Ciortescu, Victor Ianole and Catalina Mihai
Life 2026, 16(3), 469; https://doi.org/10.3390/life16030469 - 13 Mar 2026
Viewed by 466
Abstract
Metastatic melanoma is one of the most common malignancies associated with the spread of the primary tumor. The primary site is usually the skin or the eyes. The most frequent site of metastases is the gastrointestinal tract, accounting for 60% of cases at [...] Read more.
Metastatic melanoma is one of the most common malignancies associated with the spread of the primary tumor. The primary site is usually the skin or the eyes. The most frequent site of metastases is the gastrointestinal tract, accounting for 60% of cases at autopsy. In 2% of patients, metastases occur without a detectable primary tumor. We present a rare case of upper digestive bleeding caused by multiple gastrointestinal tract metastases from an amelanotic melanoma. This case report describes a 65-year-old male who arrived at the emergency department after experiencing an episode of upper gastrointestinal bleeding (melena). One week prior to admission, he had been treated with nonsteroidal anti-inflammatory drugs for lower back pain due to L4–L5 disc herniation. Upper digestive endoscopy revealed multiple polypoid masses in the stomach and duodenum, and capsule endoscopy showed additional lesions in the small bowel. Histopathological examination confirmed the diagnosis: metastases from an amelanotic malignant melanoma. Abdominal and cranial computed tomography scans revealed multiple secondary lesions in the brain, gallbladder, retroperitoneal area, gastrointestinal tract, and peritoneum. Localized radiotherapy was applied to the cerebral metastasis, and systemic chemotherapy with dacarbazine was initiated, resulting in a partial clinical response. Unfortunately, the disease progressed, and the patient died one month after diagnosis. Metastatic melanoma of the gastrointestinal tract is an exceedingly rare cause of upper digestive bleeding. Full article
(This article belongs to the Section Medical Research)
Show Figures

Figure 1

15 pages, 974 KB  
Article
Nutrient-Derived Modulation of the Gremlin-1/BMP-4 Axis by White Tea Preserves Insulin Sensitivity During Early Diet-Induced Metabolic Dysregulation
by Medeni Arpa, Bayram Şen, Mehtap Atak and Hülya Kılıç
Int. J. Mol. Sci. 2026, 27(5), 2512; https://doi.org/10.3390/ijms27052512 - 9 Mar 2026
Viewed by 463
Abstract
Given the increasing burden of diet-induced metabolic dysregulation, preventive nutritional strategies targeting early insulin resistance are of growing interest. The aim of this study was to evaluate the effects of white tea supplementation on body weight gain, insulin resistance, and the Gremlin-1/Bone Morphogenetic [...] Read more.
Given the increasing burden of diet-induced metabolic dysregulation, preventive nutritional strategies targeting early insulin resistance are of growing interest. The aim of this study was to evaluate the effects of white tea supplementation on body weight gain, insulin resistance, and the Gremlin-1/Bone Morphogenetic Protein-4 (BMP-4) axis in visceral adipose tissue under high-fat diet conditions in a non-obese experimental model. Thirty-two male Sprague–Dawley rats were randomized into four groups (n = 8/group): standard diet (control), only high-fat diet (HFD), high-fat diet plus orlistat (ORL: 30 mg/kg/day), and high-fat diet plus white tea (WT: 5 mg/kg/day). Interventions were administered once daily by oral gavage for 12 weeks. Body weight was recorded weekly. At the end of the study, serum insulin, Gremlin-1, and BMP-4 and retroperitoneal adipose tissue Gremlin-1 and BMP-4 levels were measured by ELISA. Adipose tissue GREM1 gene expression was quantified by qRT-PCR. Insulin resistance was estimated using the HOMA-IR index. Appropriate statistical analyses were conducted in line with the study design and data distribution. High-fat feeding resulted in the highest HOMA-IR values, whereas white tea supplementation reduced HOMA-IR compared to the HFD group (p = 0.008). Body weight gain was increased in both the HFD and ORL groups compared to the control (p = 0.009 and p = 0.012, respectively). The lowest weight gain was observed in the WT group, which was lower than the HFD group (p = 0.044). GREM1 expression showed a 1.92-fold increase in the HFD group relative to the control, with smaller increases in the WT and ORL groups; however, intergroup differences did not reach statistical significance (p = 0.063). Serum BMP-4 levels were lower in the WT group compared to the control (p = 0.012), while tissue BMP-4 and Gremlin-1 levels did not differ between groups. Correlation analyses revealed a moderate inverse association between serum Gremlin-1 and serum BMP-4 (rho = −0.493, p = 0.011) and a moderate positive correlation between serum BMP-4 and HOMA-IR (rho = 0.564, p = 0.003). White tea supplementation attenuated body weight gain and preserved insulin sensitivity in a non-obese high-fat diet model, as evidenced by reduced weight gain and lower HOMA-IR values compared with high-fat feeding alone. These metabolic improvements were accompanied by coordinated changes in circulating components of the Gremlin-1/BMP-4 axis, including reduced serum BMP-4 levels and associations between BMP-4, Gremlin-1, and insulin resistance. Although tissue-level alterations were modest, the observed systemic patterns are consistent with an exploratory association between white tea intake and early metabolic signaling changes; however, definitive pathway modulation cannot be inferred from the present dataset. Collectively, these findings support white tea as a nutrient-derived bioactive with preventive metabolic potential during the early stages of diet-induced metabolic dysregulation, prior to the development of overt obesity. Full article
Show Figures

Figure 1

6 pages, 2018 KB  
Case Report
Retroperitoneal Myolipoma with Hip Invasion: A Case Report
by Bassel El Osta, Luigi Di Lorenzo, Andrea Vescio, Laura Campanacci and Hassan Zmerly
Reports 2026, 9(1), 77; https://doi.org/10.3390/reports9010077 - 6 Mar 2026
Viewed by 338
Abstract
Background and Clinical Significance: Myolipoma is a rare benign tumor, typically found in the retroperitoneum and characterized by a combination of mature adipocytes and well-differentiated smooth muscle cells. Myoplipomas usually present a delay in diagnosis due to the painless and slow-growing clinical [...] Read more.
Background and Clinical Significance: Myolipoma is a rare benign tumor, typically found in the retroperitoneum and characterized by a combination of mature adipocytes and well-differentiated smooth muscle cells. Myoplipomas usually present a delay in diagnosis due to the painless and slow-growing clinical behavior; therefore, the lesion can reach a large dimension with challenging treatment. Case Presentation: We present the case of a retroperitoneal myolipoma infiltrating the left hip of an 11-year-old male. It was suspected based on magnetic resonance imaging. The patient has been successfully treated with surgical excision without complications. Histological examination revealed mature adipose tissue infiltrating smooth muscle cells. The muscle fibers appeared normal, while the dense connective tissue was infiltrated by clusters of mature lymphocytes. Conclusions: Although myolipoma is extremely rare in male children and has never been reported to infiltrate the hip, it should be considered in the differential diagnosis of fat-containing retroperitoneal masses. Full article
(This article belongs to the Section Orthopaedics/Rehabilitation/Physical Therapy)
Show Figures

Figure 1

22 pages, 2432 KB  
Article
Effects of Tannic Acid on Immune Function and Gut Microbiota in Brandt’s Voles (Lasiopodomys brandtii)
by Jin Li, Kunying Zhou, Di Xu, Yunqi Liu, Yu Sun and Deli Xu
Microorganisms 2026, 14(3), 577; https://doi.org/10.3390/microorganisms14030577 - 3 Mar 2026
Viewed by 568
Abstract
The present study investigates the effects of tannic acid (TA) on body composition, immune function, and gut microbiota in Brandt’s voles (Lasiopodomys brandtii); analyzes the gut microbiota–immune parameter associations during their response to plant secondary metabolites; and provides a theoretical basis [...] Read more.
The present study investigates the effects of tannic acid (TA) on body composition, immune function, and gut microbiota in Brandt’s voles (Lasiopodomys brandtii); analyzes the gut microbiota–immune parameter associations during their response to plant secondary metabolites; and provides a theoretical basis for understanding their adaptive mechanisms. Thirty-three female Brandt’s voles were randomly divided into four groups and intragastrically administered distilled water (control group) or TA at doses of 300, 600, and 1200 mg·kg−1·d−1 for 9 weeks. The results showed that TA had no significant effect on body mass, body composition (including subcutaneous, retroperitoneal, mesenteric, and perigonadal fat, as well as total fat mass), immune organ weights, or cellular immune responses in Brandt’s voles. However, high-dose TA (1200 mg·kg−1·d−1) significantly reduced the serum anti-KLH IgG titers in a dose-dependent manner, indicating selective impairment of humoral immunity. High-dose TA (1200 mg·kg−1·d−1) also decreased the alpha diversity of the gut microbiota, with lower Chao1, Observed features, and Shannon indices compared to the control and low-dose (300 mg·kg−1·d−1) groups. Beta diversity analysis indicated that high-dose TA (1200 mg·kg−1·d−1) altered the overall gut microbiota structure, while taxonomic analyses revealed a decrease in Desulfobacterota and an increase in several gut-associated taxa, including Firmicutes, Clostridia, Lachnospirales, and Lachnospiraceae. In conclusion, high-dose TA (1200 mg·kg−1·d−1) induced significant changes in the gut microbiota and selectively suppressed humoral immunity. However, other immune parameters and growth-related measures remained unaffected. These findings suggest a potential role of gut microbial adjustments in modulating host responses to dietary TA and contribute to knowledge of the tolerance mechanisms in this species. Full article
(This article belongs to the Special Issue Gut Microbes and Probiotics)
Show Figures

Figure 1

13 pages, 2217 KB  
Case Report
Plasmablastic Transformation of CLL/SLL: The Role of Early NGS Diagnosis and Targeted Multimodal Therapy
by Jelena Filipović, Sara Milošević, Tatjana Terzić, Thorsten Braun, Ramy Rahmé, Grégory Lazarian, Thami Benboubker, Michael Soussan and Antoine Martin
Diagnostics 2026, 16(5), 702; https://doi.org/10.3390/diagnostics16050702 - 27 Feb 2026
Viewed by 503
Abstract
Background and Clinical Significance: Plasmablastic lymphoma (PBL) is a rare and highly aggressive B-cell neoplasm most often associated with immunodeficiency. Transformation of chronic lymphocytic leukemia/small lymphocytic lymphoma (CLL/SLL) into PBL is exceptionally uncommon, particularly in immunocompetent individuals. This paper describes a rare synchronous [...] Read more.
Background and Clinical Significance: Plasmablastic lymphoma (PBL) is a rare and highly aggressive B-cell neoplasm most often associated with immunodeficiency. Transformation of chronic lymphocytic leukemia/small lymphocytic lymphoma (CLL/SLL) into PBL is exceptionally uncommon, particularly in immunocompetent individuals. This paper describes a rare synchronous SLL-to-PBL transformation and summarizes current knowledge on synchronous and metachronous cases reported in the literature. Case Presentation A midle-aged immunocompetent patent presented with generalized lymphadenopathy and lumbar pain. Concurrent biopsies of an axillary lymph node and a retroperitoneal mass were obtained. Diagnostic evaluation included immunohistochemistry; fluorescent in situ hybridization (FISH); PCR-based assessment of IGH, IGK, and IGL loci; and next-generation sequencing (NGS) of IGHV to assess clonal relatedness. The patient was treated with six cycles of Dara-CHOP, followed by autologous stem cell transplantation and maintenance therapy with daratumumab and ibrutinib. The axillary node showed SLL (CD20+, CD5+, CD23+), while the retroperitoneal mass demonstrated classic features of PBL (CD138+, MUM1+, MYC+, Ki-67 ~100%, CD20−). FISH detected MYC rearrangement in the PBL component. PCR and NGS confirmed identical IGHV1-69 rearrangements, establishing clonal relatedness and Richter transformation. A review of published cases shows that both synchronous and metachronous CLL/SLL-to-PBL transformations are exceedingly rare. The patient achieved partial metabolic remission after treatment and remains in sustained metabolic response 24 months after diagnosis. Conclusions: This case highlights a rare example of synchronous CLL/SLL-to-PBL transformation in an immunocompetent patient. Integration of detailed molecular diagnostics enabled early recognition and guided a personalized treatment approach incorporating CD38-targeted therapy and BTK inhibition, resulting in an excellent long-term clinical outcome. Full article
(This article belongs to the Special Issue Diagnosis and Management of Hematologic Malignancies)
Show Figures

Figure 1

13 pages, 1525 KB  
Article
Comparative Analysis of Minimally Invasive Therapeutic Strategies for Post-Surgical Pelvic and Retroperitoneal Lymphoceles
by Eser Bulut, Ali Küpeli, Hasan Rıza Aydın, İsmail Taşkent, İbrahim Sibal, Neslihan Merd and Maksude Esra Kadıoğlu
J. Clin. Med. 2026, 15(4), 1346; https://doi.org/10.3390/jcm15041346 - 9 Feb 2026
Viewed by 385
Abstract
Background/Objective: Pelvic and retroperitoneal lymphoceles remain a clinically significant complication following pelvic surgery. The optimal minimally invasive management strategy continues to be a matter of debate. The objective of this study is to compare daily catheter drainage and catheter length of stay after [...] Read more.
Background/Objective: Pelvic and retroperitoneal lymphoceles remain a clinically significant complication following pelvic surgery. The optimal minimally invasive management strategy continues to be a matter of debate. The objective of this study is to compare daily catheter drainage and catheter length of stay after percutaneous catheterization in patients with iatrogenic pelvic lymphocele who undergo sclerotherapy alone versus sclerotherapy with intranodal lymphangiography and lymphatic embolization (INL–LE). Methods: A total of 47 patients (55 lymphoceles) who developed symptomatic pelvic or retroperitoneal lymphoceles after oncologic pelvic surgery were retrospectively reviewed between September 2020 and April 2023. They were divided into two groups, one treated with sclerotherapy alone (24 lesions) and the other with sclerotherapy combined with INL–LE (31 lesions). The duration of catheter placement, daily drainage volume during sclerotherapy, lymphocele volume, and catheter dwell time subsequent to lymphatic embolization were compared between the two groups. Results: Of the 55 lymphoceles, 31 were treated with sclerotherapy plus lymphangiography/embolization (INL–LE group), whereas 24 lymphoceles were treated with sclerotherapy alone. Baseline characteristics were not different between the groups. Although initial drainage was higher in the INL–LE group, third-day drainage volume, the number of sclerotherapy sessions, and catheter dwell time were all significantly lower compared with the sclerotherapy group (all p < 0.001). Lesion size positively correlated with drainage volume and catheter duration, whereas embolization negatively correlated with drainage volume, the number of sessions, and catheter duration. Based on multivariate analysis, the addition of INL–LE was independently associated with a significantly shorter catheter dwell time (β = −0.803, p = 0.001). Conclusions: In this retrospective cohort, the addition of lymphatic embolization to sclerotherapy was associated with reduced drainage persistence and a shorter catheter dwell time compared with sclerotherapy alone. Full article
Show Figures

Figure 1

9 pages, 4444 KB  
Case Report
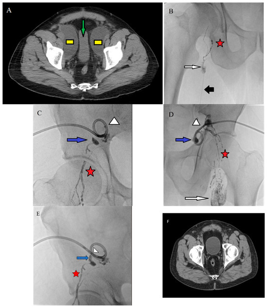
Endovascular Management of Iliac Hematoma Associated with May–Thurner Syndrome Using Mechanical Thrombectomy and Bare-Metal Stenting: A Case Report
by HyeRee Cho, YooJin Nam, Pa Hong and YangWon Kim
J. Clin. Med. 2026, 15(3), 1263; https://doi.org/10.3390/jcm15031263 - 5 Feb 2026
Viewed by 519
Abstract
Background/Objectives: May–Thurner syndrome (MTS) is a common cause of iliofemoral deep vein thrombosis (DVT). Venous bleeding associated with MTS is extremely rare and has been reported mainly as spontaneous iliac vein rupture (SIVR) with retroperitoneal or iliac hematoma. Additionally, standardized treatment strategies have [...] Read more.
Background/Objectives: May–Thurner syndrome (MTS) is a common cause of iliofemoral deep vein thrombosis (DVT). Venous bleeding associated with MTS is extremely rare and has been reported mainly as spontaneous iliac vein rupture (SIVR) with retroperitoneal or iliac hematoma. Additionally, standardized treatment strategies have not yet been established. Herein, we report a case of an iliac hematoma associated with MTS that was successfully treated with endovascular mechanical thrombectomy and bare-metal stenting. Case Presentation: A 69-year-old man presented with acute swelling and pain in the left lower extremity. Computed tomography angiography demonstrated extensive iliofemoral DVT and an iliac hematoma adjacent to the left common iliac vessels, without definite evidence of iliac vein rupture. Initial conservative management with anticoagulation therapy was selected as the patient was hemodynamically stable and showed no active bleeding. However, follow-up imaging one week later revealed persistent DVT with interval enlargement of the hematoma. Pelvic arteriography excluded an arterial bleeding source. Endovascular treatment was performed, including mechanical thrombectomy using the AngioJet system and bare-metal stent placement to restore venous outflow. Follow-up imaging revealed complete thrombus resolution, hematoma regression, and sustained stent patency. Conclusions: Iliac hematomas associated with MTS may occur without definite radiological evidence of iliac vein rupture. In selected hemodynamically stable patients, an individualized endovascular strategy focused on venous outflow restoration using the AngioJet system and bare metal stents may be a feasible treatment option. Full article
(This article belongs to the Section Vascular Medicine)
Show Figures

Figure 1

Back to TopTop