Sign in to use this feature.

Years

Between: -

Subjects

remove_circle_outline
remove_circle_outline
remove_circle_outline
remove_circle_outline
remove_circle_outline
remove_circle_outline
remove_circle_outline
remove_circle_outline
remove_circle_outline

Journals

remove_circle_outline
remove_circle_outline
remove_circle_outline
remove_circle_outline
remove_circle_outline
remove_circle_outline
remove_circle_outline
remove_circle_outline
remove_circle_outline
remove_circle_outline
remove_circle_outline

Article Types

Countries / Regions

remove_circle_outline
remove_circle_outline
remove_circle_outline
remove_circle_outline

Search Results (256)

Search Parameters:
Keywords = re-biopsies

Order results
Result details
Results per page
Select all
Export citation of selected articles as:
24 pages, 3502 KB  
Review
Modeling Drug and Radiation Resistance with Patient-Derived Organoids: Recent Progress, Unmet Needs, and Future Directions for Lung Cancer
by Dahye Lee, Yoonjoo Kim, Da Hyun Kang and Chaeuk Chung
Cells 2025, 14(24), 1994; https://doi.org/10.3390/cells14241994 - 15 Dec 2025
Abstract
Background: Chemotherapy, targeted therapy and radiotherapy are the cornerstones of cancer treatment. However, therapeutic resistance—not only to these classic modalities but also to novel therapeutics like immune checkpoint inhibitors (ICIs) and antibody-drug conjugates—remains a major hurdle. Resistance significantly limits efficacy and increases recurrence [...] Read more.
Background: Chemotherapy, targeted therapy and radiotherapy are the cornerstones of cancer treatment. However, therapeutic resistance—not only to these classic modalities but also to novel therapeutics like immune checkpoint inhibitors (ICIs) and antibody-drug conjugates—remains a major hurdle. Resistance significantly limits efficacy and increases recurrence rates. A deep understanding of the molecular mechanisms driving this resistance is critical for developing personalized therapeutic strategies and improving patient outcomes. Recent Advances: Patient-derived cancer organoids have emerged as a powerful preclinical platform that faithfully recapitulates the genetic, phenotypic, and histological characteristics of original tumors. Consequently, PDOs are being widely utilized to evaluate drug responses, investigate resistance mechanisms, and discover novel therapeutic targets for a range of therapies. Limitations: While organoid models have been instrumental in studying resistance, significant limitations persist. First, standard organoid-only models lack key tumor microenvironment components, such as immune cells, limiting immunotherapy research. Second, there is a significant lack of research on acquired resistance, particularly in lung cancer. This gap is largely driven by the clinical infeasibility of rebiopsy in patients with progressive diseases. Third, the absence of standardized protocols for generating and validating resistance models hinders reproducibility and complicates clinical translation. Conclusions: This review summarizes recent advances in using organoid models to study resistance to chemotherapy, radiotherapy, and novel therapeutics (ICIs and ADCs). We emphasize the critical need for standardization in resistance organoid research. We also propose future directions to overcome existing challenges, including the integration of co-culture systems (to include the TME) and advanced technologies (e.g., scRNA-seq, Spatial Transcriptomics). Our specific focus is on advancing lung cancer resistance modeling to enable functional precision medicine. Full article
Show Figures

Figure 1

13 pages, 556 KB  
Article
Diagnostic Value of Muscle Biopsy for the Evaluation of Adult Myopathy in Daily Clinical Practice
by Vera E. A. Kleinveld, Julia Wanschitz, Anna Hotter, Johannes A. Mayr, Romana Höftberger, Wolfgang N. Löscher and Corinne G. C. Horlings
Diagnostics 2025, 15(24), 3102; https://doi.org/10.3390/diagnostics15243102 - 6 Dec 2025
Viewed by 264
Abstract
Background/Objectives: Muscle biopsy is traditionally considered a cornerstone in the diagnosis of myopathies. Advances in the clinical and laboratory evaluation of myopathies warrant re-evaluation of the diagnostic yield. Methods: Results of muscle biopsies performed between 1 January 2009 and 31 January 2023 [...] Read more.
Background/Objectives: Muscle biopsy is traditionally considered a cornerstone in the diagnosis of myopathies. Advances in the clinical and laboratory evaluation of myopathies warrant re-evaluation of the diagnostic yield. Methods: Results of muscle biopsies performed between 1 January 2009 and 31 January 2023 in patients with symptoms indicative of myopathy were evaluated and set in relation to clinical diagnosis, based on phenotype, electromyography, laboratory results, and available antibody testing. Biopsies were classified as diagnostic (changed or specified clinical diagnosis), confirmative (same as clinical diagnosis), or non-informative (normal/unspecific findings). Genetic testing followed muscle biopsy at later follow-up, upon availability of genetic testing. Results: One-hundred sixty-two patients were included and divided into five groups based on clinical phenotype: inflammatory myopathy, n = 54; mitochondrial myopathy, n = 33; muscular dystrophy, n = 23; metabolic myopathy, n = 3; and non-specific phenotype (isolated hyperCKemia/myalgia), n = 49. Muscle biopsy was diagnostic in 21.0%, confirmative in 38.3% and non-informative in 40.7% of patients. The percentage of diagnostic biopsies was 66.7% in metabolic myopathy, 54.5% in mitochondrial myopathy, 17.4% in muscular dystrophy, 14.8% in inflammatory myopathy, and 4.1% in the non-specific phenotype. Conclusions: Overall, in our cohort, muscle biopsy yielded a new diagnosis or additional information in 21.0% of patients. In the majority, a diagnosis was established based on clinical and laboratory evaluation, and muscle biopsy was either confirmative or non-informative. We propose muscle biopsy in cases where serological and genetic tests are inconclusive, in the presence of specific signs indicative of myopathy, or when in-tissue genetic testing is necessary to obtain a comprehensive diagnosis. Full article
(This article belongs to the Section Clinical Diagnosis and Prognosis)
Show Figures

Figure 1

16 pages, 1601 KB  
Article
Evaluation of a Gene Expression-Based Machine Learning Classifier to Discriminate Normal from Cancer Gastric Organoids
by Daniel Skubleny, Hasnaien Ahmed, Sebastiao N. Martins-Filho, David Ross McLean, Daniel E. Schiller and Gina R. Rayat
Organoids 2025, 4(4), 32; https://doi.org/10.3390/organoids4040032 - 5 Dec 2025
Viewed by 217
Abstract
Three-dimensional cell model systems such as tumour organoids allow for in vitro modelling of self-organized tissue with functional and histologic similarity to in vivo tissue. However, there is a need for standard protocols and techniques to confirm the presence of cancer within organoids [...] Read more.
Three-dimensional cell model systems such as tumour organoids allow for in vitro modelling of self-organized tissue with functional and histologic similarity to in vivo tissue. However, there is a need for standard protocols and techniques to confirm the presence of cancer within organoids derived from tumour tissue. The aim of this study was to assess the utility of a Nanostring gene expression-based machine learning classifier to determine the presence of cancer or normal organoids in cultures developed from both benign and cancerous stomach biopsies. A prospective cohort of normal and cancer stomach biopsies were collected from 2019 to 2022. Tissue specimens were processed for formalin-fixed paraffin-embedding (FFPE) and a subset of specimens were established in organoid cultures. Specimens were labelled as normal or cancer according to analysis of the FFPE tissue by two pathologists. The gene expression in FFPE and organoid tissue was measured using a 107 gene Nanostring codeset and normalized using the Removal of Unwanted Variation III algorithm. Our machine learning model was developed using five-fold nested cross-validation to classify normal or cancer gastric tissue from publicly available Asian Cancer Research Group (ACRG) gene expression data. The models were externally validated using the Cancer Genome Atlas (TCGA), as well as our own FFPE and organoid gene expression data. A total of 60 samples were collected, including 38 cancer FFPE specimens, 5 normal FFPE specimens, 12 cancer organoids, and 5 normal organoids. The optimal model design used a Least Absolute Shrinkage and Selection Operator model for feature selection and an ElasticNet model for classification, yielding area under the curve (AUC) values of 0.99 [95% CI: 0.99–1], 0.90 [95% CI: 0.87–0.93], and 0.79 [95% CI: 0.74–0.84] for ACRG (internal test), FFPE, and organoid (external test) data, respectively. The performance of our final model on external data achieved AUC values of 0.99 [95% CI: 0.98–1], 0.94 [95% CI: 0.86–1], and 0.85 [95% CI: 0.63–1] for TCGA, FFPE, and organoid specimens, respectively. Using a public database to create a machine learning model in combination with a Nanostring gene expression assay allows us to allocate organoids and their paired whole tissue samples. This platform yielded reasonable accuracy for FFPE and organoid specimens, with the former being more accurate. This study re-affirms that although organoids are a high-fidelity model, there are still limitations in validating the recapitulation of cancer in vitro. Full article
Show Figures

Figure 1

13 pages, 495 KB  
Review
Exosome-Derived microRNAs as Liquid-Biopsy Biomarkers in Laryngeal Squamous Cell Carcinoma: A Narrative Review and Evidence Map
by Crina Oana Pintea, Cristian Ion Mot, Islam Ragab, Şerban Talpoş, Karina-Cristina Marin, Nicolae Constantin Balica, Edward Seclaman, Kristine Guran and Delia Ioana Horhat
Biomedicines 2025, 13(12), 2929; https://doi.org/10.3390/biomedicines13122929 - 28 Nov 2025
Viewed by 296
Abstract
Exosome-derived microRNAs (miRNAs) have been proposed as minimally invasive biomarkers for laryngeal squamous- cell carcinoma (LSCC). Because oral and maxillofacial surgeons are integral to head-and-neck oncologic and reconstructive pathways, such liquid-biopsy signals could support perioperative decision-making (selection for organ-preserving surgery), margin surveillance, and [...] Read more.
Exosome-derived microRNAs (miRNAs) have been proposed as minimally invasive biomarkers for laryngeal squamous- cell carcinoma (LSCC). Because oral and maxillofacial surgeons are integral to head-and-neck oncologic and reconstructive pathways, such liquid-biopsy signals could support perioperative decision-making (selection for organ-preserving surgery), margin surveillance, and reconstructive planning. We conducted a preregistered, protocol-driven search of PubMed/MEDLINE, Web of Science, and Scopus from inception to 1 June 2025. Given the very small number of clinically comparable diagnostic studies, discordant index tests/thresholds, and high heterogeneity, we did not perform quantitative pooling or publication-bias testing. Instead, we undertook a narrative synthesis and constructed an evidence map; risk of bias tools (QUADAS-2; ROBINS-I) were applied descriptively to inform qualitative confidence. Nine studies were formally analysed based on eligibility to the study topic. Two serum-based case–control investigations (111 LSCC, 80 controls) reported areas under the ROC curve of 0.876 (miR-21 + HOTAIR) and 0.797 (miR-941), with corresponding sensitivities of 94% and 82%. Seven mechanistic papers showed that vesicular cargos—including miR-1246, circPVT1, and LINC02191—drive STAT3-dependent M2 polarisation, NOTCH1-mediated stemness, Rap1b-VEGFR2 angiogenesis, and glycolytic re-programming, producing 1.6–2.6-fold increases in invasion, tube formation, or xenograft growth. Only three studies fulfilled MISEV-2018 characterisation criteria, and none incorporated external validation. This narrative review and evidence map identifies promising but preliminary diagnostic signals and biologically plausible mechanisms for exosomal miRNAs in LSCC; however, the evidence is sparse, single-region, methodologically inconsistent, and at high risk of bias. Findings do not support clinical implementation at this stage. Priorities include harmonised EV workflows, prespecified thresholds, and prospective, multi-centre validation. Full article
(This article belongs to the Section Cancer Biology and Oncology)
Show Figures

Figure 1

11 pages, 260 KB  
Case Report
High-Risk Node-Positive Hormone Receptor-Positive/HER2-Low Breast Cancer Relapse on Adjuvant Abemaciclib Treatment with ER Loss at Metastatic Recurrence: A Case Report and Literature Review
by Maria Vita Sanò, Lorenza Marino, Maria Puleo, Sarah Pafumi, Stefano Marletta, Giuseppina Rosaria Rita Ricciardi and Carlo Carnaghi
Diagnostics 2025, 15(23), 3042; https://doi.org/10.3390/diagnostics15233042 - 28 Nov 2025
Viewed by 439
Abstract
Background and Clinical Significance: Up to 30% of patients with HR+/HER2-early breast cancer (eBC) may experience distant recurrence, and patients with high-risk clinical features have a higher likelihood of recurrence. For these patients, the addition of a CDK4/6 inhibitor to standard adjuvant [...] Read more.
Background and Clinical Significance: Up to 30% of patients with HR+/HER2-early breast cancer (eBC) may experience distant recurrence, and patients with high-risk clinical features have a higher likelihood of recurrence. For these patients, the addition of a CDK4/6 inhibitor to standard adjuvant endocrine therapy (ET) has demonstrated a significant reduction in the risk of invasive and distant recurrence. Despite that, a small subset of patients still experience distant relapse. To date, the characteristics of patients who relapse on adjuvant CDK 4/6i are not well defined. Case Presentation: Here we report the case of a patient with early-stage HR+/HER2− breast cancer at high risk of recurrence, who experienced distant metastatic relapse during adjuvant therapy with abemaciclib plus ET, with a shift in the tumor subtype to triple-negative. Genomic alterations associated with ET and cyclin-dependent kinase 4 and 6 inhibitor resistance were analyzed with next-generation sequencing (NGS) carried out at recurrence. Results showed P53 and PI3KCA pathway alterations, but no ESR1 mutation or RB1 mutations. The duration was 12 months for adjuvant abemaciclib, and the first-line metastatic treatment lasted less than 3 months. Conversely, T-DXd administered due to the presence of HER2-low showed excellent effectiveness. Conclusions: The management of breast cancer relapse occurring during adjuvant therapy with CDK4/6 inhibitors is challenging. Performing a re-biopsy is crucial due to the possible loss of estrogen receptors, which would require a change in therapeutic strategy no longer based on endocrine therapy. In cases that remain luminal, knowledge of the mutational profile may help to offer patients novel targeted treatments. Full article
(This article belongs to the Special Issue Challenges in Monitoring and Diagnosis in Medical Sciences)
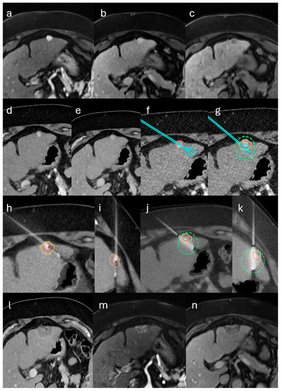
13 pages, 3122 KB  
Article
Combined Single-Session Stereotactic Biopsy and Microwave Ablation of Primary and Secondary Liver Tumors
by Liang Zhang, Anthony Ngu, Laura Sophia Kupke, Vinzenz Mayr, Quirin Strotzer, Moritz Brandenstein, Christian Stroszczynski and Ingo Einspieler
Biomedicines 2025, 13(12), 2865; https://doi.org/10.3390/biomedicines13122865 - 24 Nov 2025
Viewed by 274
Abstract
Objective: To evaluate the safety, diagnostic yield, and ablation efficacy of a single-session workflow combining stereotactic percutaneous core-needle biopsy (CNB) immediately followed by microwave ablation (MWA) for liver tumors. Methods: We retrospectively reviewed consecutive patients (December 2021–May 2025) who underwent stereotactic CNB followed [...] Read more.
Objective: To evaluate the safety, diagnostic yield, and ablation efficacy of a single-session workflow combining stereotactic percutaneous core-needle biopsy (CNB) immediately followed by microwave ablation (MWA) for liver tumors. Methods: We retrospectively reviewed consecutive patients (December 2021–May 2025) who underwent stereotactic CNB followed by MWA in the same procedure. Primary endpoints were primary technique efficacy (PTE) and complications. Secondary endpoints were 6-month local tumor progression (LTP) and diagnostic yield. Six-month LTP was summarized using a Kaplan–Meier (KM) point estimate with Greenwood 95% CIs. Results: Thirty-three patients underwent single-session biopsy and ablation (33 biopsied; 41 lesions ablated). PTE was 95.1% (39/41); two residual tumors were successfully re-ablated. Six-month LTP was 3.6% (patient level; KM 95% CI 0.0–10.5%) and 2.8% (lesion level; KM 95% CI 0.0–8.2%). There was one major complication (3%, post-ablation abscess) and no minor complications. Adequate tissue was obtained in all biopsies; a definitive diagnosis was established in 88% (29/33): malignancy in 73% (24/33) and benignity in 15% (5/33); 12% (4/33) were nondiagnostic. In the hepatocellular carcinoma (HCC)-suspected subgroup (LI-RADS LR-3 to LR-5; n = 24), all LR-5 lesions were HCC (11/11). Among LR-4 lesions (n = 7), histology showed HCC in 1/7 (14%) and cholangiocarcinoma in 2/7 (29%); 4/7 (57%) were benign or nondiagnostic. Among LR-3 lesions (n = 6), 2/6 (33%) were HCC and 4/6 (67%) were benign or nondiagnostic. In the metastasis-suspected subgroup (n = 9), malignancy was confirmed in 8/9 (89%); 1/9 (11%) was nondiagnostic. Conclusions: Single-session stereotactic CNB followed by MWA is feasible and safe, yields diagnostically useful tissue, and achieves high ablation efficacy. Full article
(This article belongs to the Special Issue State-of-the-Art Hepatic and Gastrointestinal Diseases in Germany)
Show Figures

Figure 1

61 pages, 5195 KB  
Review
Precision Oncology: Current Landscape, Emerging Trends, Challenges, and Future Perspectives
by Diane Qiao, Richard C. Wang and Zhixiang Wang
Cells 2025, 14(22), 1804; https://doi.org/10.3390/cells14221804 - 17 Nov 2025
Viewed by 2536
Abstract
Precision oncology is broadly defined as cancer prevention, diagnosis, and treatment specifically tailored to the patient based on his/her genetics and molecular profile. In simple terms, the goal of precision medicine is to deliver the right cancer treatment to the right patient, at [...] Read more.
Precision oncology is broadly defined as cancer prevention, diagnosis, and treatment specifically tailored to the patient based on his/her genetics and molecular profile. In simple terms, the goal of precision medicine is to deliver the right cancer treatment to the right patient, at the right dose, at the right time. Precision oncology is the most studied and widely applied subarea of precision medicine. Now, precision oncology has expanded to include modern technology (big data, single-cell spatial multiomics, molecular imaging, liquid biopsy, CRISPR gene editing, stem cells, organoids), a deeper understanding of cancer biology (driver cancer genes, single nucleotide polymorphism, cancer initiation, intratumor heterogeneity, tumor microenvironment ecosystem, pan-cancer), cancer stratification (subtyping of traditionally defined cancer types and pan-cancer re-classification based on shared properties across traditionally defined cancer types), clinical applications (cancer prevention, early detection, diagnosis, targeted therapy, minimal residual disease monitoring, managing drug resistance), lifestyle changes (physical activity, smoking, alcohol consumption, sunscreen), cost management, public policy, and more. Despite being the most developed area in precision medicine, precision oncology is still in its early stages and faces multiple challenges that need to be overcome for its successful implementation. In this review, we examine the history, development, and future directions of precision oncology by focusing on emerging technology, novel concepts and principles, molecular cancer stratification, and clinical applications. Full article
Show Figures

Figure 1

12 pages, 1131 KB  
Article
Molecular Diagnostics Supporting a ≥35% Diffuse Peritubular Capillaritis Extent Threshold for Diagnosis of AMR—A Retrospective Dual Center Study
by Michael Eder, Marian C. Clahsen-van Groningen, Michael Mengel, Haris Omic, Daniel Cejka, Benjamin Adam, Nicolas Kozakowski and Željko Kikić
Int. J. Mol. Sci. 2025, 26(22), 10945; https://doi.org/10.3390/ijms262210945 - 12 Nov 2025
Viewed by 301
Abstract
Peritubular capillaritis (ptc) is a hallmark lesion of antibody-mediated rejection (AMR), but the grading of its extent is historically based on arbitrary defined cut-offs. Molecular AMR diagnosis via intragraft gene expression measurements may provide evidence to challenge established ptc categories. We retrospectively included [...] Read more.
Peritubular capillaritis (ptc) is a hallmark lesion of antibody-mediated rejection (AMR), but the grading of its extent is historically based on arbitrary defined cut-offs. Molecular AMR diagnosis via intragraft gene expression measurements may provide evidence to challenge established ptc categories. We retrospectively included 38 renal allograft biopsies from clinical routine, performed because of suspicion of AMR. Biopsies were re-assessed by an experienced nephropathologist and intragraft gene expression was measured using the NanoString nCounter® platform. Ptc categories were correlated with AMR gene expression to identify a ptc extent cut-off with optimal prediction of molecular diagnosis of AMR [gene expression levels above first quartile (AMRQ>1)]. Finally, an independent validation cohort (n = 25, Erasmus MC, Rotterdam, The Netherlands) was included to reproduce the results. Re-assessment of biopsies revealed AMR in 26/68.4%, mixed rejection in 5/13.2%, and T-cell-mediated rejection in 3/7.9%. Biopsies with diffuse ptc had significantly higher AMR gene expression compared to biopsies with focal ptc and biopsies with no ptc (64.0/53.3–84.0 vs. 31.5/27.0–49.5, p = 0.023 and 27.0/14.3–31.8, p = 0.003, median/IQR). Sensitivity analysis revealed that a ≥35% ptc cut-off resulted in higher AUCs for predicting AMRQ>1 compared to ptc50% (AUC 0.78, 95% CI: 0.63–0.93, p = 0.009 versus AUC: 0.74, CI: 0.56–0.90, p = 0.03). In the validation cohort, only the ptc35–, but not the ptc50%, cut-off significantly predicted AMRQ>1 (AUC 0.75, 95% CI: 0.54–0.96 p = 0.04 vs. AUC 0.69, CI: 0.46–0.93, p = 0.13). Using intragraft gene expression measurement, we identified a new ptc extent threshold with better prediction of molecular AMR. The newly proposed cut-off of ≥35% could potentially improve diagnostic evaluation and prognostication in cases with suspected or diagnosed AMR. Full article
(This article belongs to the Special Issue Advances in Kidney Transplantation)
Show Figures

Figure 1

21 pages, 4155 KB  
Article
Integrating Deep Learning and Radiogenomics: A Novel Approach to Glioblastoma Segmentation and MGMT Methylation Prediction
by Nabil M. Abdelaziz, Emad Abdel-Aziz Dawood and Alshaimaa A. Tantawy
J. Imaging 2025, 11(11), 403; https://doi.org/10.3390/jimaging11110403 - 11 Nov 2025
Viewed by 627
Abstract
Radiogenomics, which integrates imaging phenotypes with genomic profiles, enhances diagnosis, prognosis, and treatment planning for glioblastomas. This study specifically establishes a correlation between radiomic features and MGMT promoter methylation status, advancing towards a non-invasive, integrated diagnostic paradigm. Conventional genetic analysis requires invasive biopsies, [...] Read more.
Radiogenomics, which integrates imaging phenotypes with genomic profiles, enhances diagnosis, prognosis, and treatment planning for glioblastomas. This study specifically establishes a correlation between radiomic features and MGMT promoter methylation status, advancing towards a non-invasive, integrated diagnostic paradigm. Conventional genetic analysis requires invasive biopsies, which cause delays in obtaining results and necessitate further surgeries. Our methodology is twofold: First, an enhanced U-Net model segments brain tumor regions with high precision (Dice coefficient: 0.889). Second, a hybrid classifier, leveraging the complementary features of EfficientNetB0 and ResNet50, predicts MGMT promoter methylation status from the segmented volumes. The proposed framework demonstrated superior performance in predicting MGMT promoter methylation status in glioblastoma patients compared to conventional methods, achieving a classification accuracy of 95% and an AUC of 0.96. These results underscore the model’s potential to enhance patient stratification and guide treatment selection. The accurate prediction of MGMT promoter methylation status via non-invasive imaging provides a reliable criterion for anticipating patient responsiveness to alkylating chemotherapy. This capability equips clinicians with a tool to inform personalized treatment strategies, optimizing therapeutic efficacy from the outset. Full article
(This article belongs to the Topic Intelligent Image Processing Technology)
Show Figures

Figure 1

28 pages, 1759 KB  
Review
Liquid Biopsy in Lung Cancer: Tracking Resistance to Targeted Therapies
by Scarlet B. Urtecho, Beatriz Jimenez Munarriz, Mary R. Rabey and Natasha B. Leighl
Cancers 2025, 17(21), 3474; https://doi.org/10.3390/cancers17213474 - 29 Oct 2025
Viewed by 1695
Abstract
Non-small cell lung cancer (NSCLC) remains the leading cause of cancer-related mortality worldwide. While target therapies have changed the outcomes of patients harboring actionable mutations, resistance inevitably emerges. Circulating tumor DNA (ctDNA) offers a minimally invasive tool for capturing tumor evolution in real [...] Read more.
Non-small cell lung cancer (NSCLC) remains the leading cause of cancer-related mortality worldwide. While target therapies have changed the outcomes of patients harboring actionable mutations, resistance inevitably emerges. Circulating tumor DNA (ctDNA) offers a minimally invasive tool for capturing tumor evolution in real time. This approach enables the rapid detection of resistance mechanisms, complements or substitutes for tissue re-biopsy, and reduces the burden of invasive procedures for patients. In this review, we summarize the current evidence on the use of liquid biopsy to uncover resistance mechanisms in patients progressing on targeted therapies, with a focus on its role in dynamic tumor profiling and longitudinal disease monitoring. Full article
(This article belongs to the Section Cancer Biomarkers)
Show Figures

Figure 1

16 pages, 1294 KB  
Case Report
Prevalence of Histological Transformation in First-Line Osimertinib Non-Small Cell Lung Cancers: Case Series and Literature Review
by Rebecca Sparavelli, Rossella Bruno, Alessandra Celi, Andrea Sbrana, Iacopo Petrini, Antonio Chella, Clara Ugolini and Greta Alì
Int. J. Mol. Sci. 2025, 26(21), 10462; https://doi.org/10.3390/ijms262110462 - 28 Oct 2025
Viewed by 714
Abstract
Patients with metastatic lung adenocarcinoma (mADC) harboring EGFR-activating mutations can benefit from first-line Osimertinib, but acquired resistance inevitably occurs. Different resistance mechanisms, on- and off-target, have been described. Here, we evaluated the prevalence of phenotypic transformation as a resistance mechanism in a [...] Read more.
Patients with metastatic lung adenocarcinoma (mADC) harboring EGFR-activating mutations can benefit from first-line Osimertinib, but acquired resistance inevitably occurs. Different resistance mechanisms, on- and off-target, have been described. Here, we evaluated the prevalence of phenotypic transformation as a resistance mechanism in a consecutive series of EGFR-mutated mADC, diagnosed at our institution, and on the basis of literature data. A consecutive 3-year series of non-small cell lung cancer (NSCLC) was reviewed according to histological and molecular characteristics. A total of 100 mADCs harboring EGFR exon-19 deletions (61 cases) and the p.(L858R) mutation (39 cases) were selected. All cases were treated by first-line Osimertinib. The prevalence and type of phenotypic transformation were evaluated in patients with available rebiopsy at the time of first-line progression. A total of 32 mADC patients underwent rebiopsy upon first-line Osimertinib progression, and 23 cases had EGFR exon-19 in-frame deletions and 9 p.(L858R) mutations. Four cases showed a phenotypic transformation after a median of 15 months from the start of Osimertinib treatment. All these cases harbored EGFR exon-19 deletions and TP53 pathogenic mutations on diagnostic tumor tissues. Three cases switched to small cell lung cancer histology; in one case, a MET amplification was also detected on rebiopsy. One case changed to spindle cell carcinoma. All cases maintained the initial activating EGFR alteration. For three cases, liquid biopsy was performed at the time of progression: one was negative, one presented only an EGFR exon-19 deletion, and one presented only a MET amplification. In our study, phenotypic transformation had a considerable prevalence among EGFR-positive mADC patients treated by first-line Osimertinib. Different types of histological changes were detected as the only resistance mechanism except for one case with a simultaneously acquired MET amplification. Moreover, all cases harbored TP53 alterations, influencing treatment response. Despite the usefulness of liquid biopsy, rebiopsy should be executed whenever possible. Indeed, it remains the only tool for assessing histological transformation, which greatly impacts prognosis and treatment decisions. Full article
(This article belongs to the Special Issue Advances in Lung Cancer: From Genetic Landscape to Treatment)
Show Figures

Figure 1

17 pages, 1101 KB  
Article
Evaluating the Role of Basiliximab Induction in Simultaneous Liver–Kidney Transplantation: A Multicenter Propensity-Score-Matched Analysis
by Avery Koi, Trine Engebretsen, Alfred S. Lea, Daniel Arango, Heather L. Stevenson and Michael L. Kueht
Antibodies 2025, 14(4), 91; https://doi.org/10.3390/antib14040091 - 28 Oct 2025
Viewed by 783
Abstract
Introduction: Simultaneous liver–kidney (SLK) transplant recipients are considered at lower immunologic risk than kidney-alone recipients, so steroid-only induction is often used. However, some centers continue to include basiliximab induction in their protocols. This study compared graft and infectious outcomes in SLK recipients receiving [...] Read more.
Introduction: Simultaneous liver–kidney (SLK) transplant recipients are considered at lower immunologic risk than kidney-alone recipients, so steroid-only induction is often used. However, some centers continue to include basiliximab induction in their protocols. This study compared graft and infectious outcomes in SLK recipients receiving basiliximab (Bas) induction versus those without basiliximab (No Bas). Methods: Using TriNetX, we conducted a retrospective, propensity-score-matched study of SLK recipients comparing 3-, 6-, and 12-month graft and infectious outcomes. Patients receiving alemtuzumab or anti-thymocyte globulin were excluded; steroid induction was permitted but not required in either cohort. Maintenance immunosuppression included tacrolimus, mycophenolate, and prednisone. Cohorts were matched on 71 variables, including demographics, disease etiology, severity markers, and cPRA. Results: After matching, 292 patients were included per cohort (mean age 56.9 ± 10.1 years; 61% male). Kidney and liver rejection rates were similar. The No Bas cohort had more liver biopsies (25.5% vs. 18.2% at 1 year, p = 0.04). Kidney biopsy, graft failure, re-transplantation, delayed graft function, and mortality were comparable. Liver primary non-function was more frequent in Bas (2.8% vs. 0.4%, p = 0.04). The No Bas cohort had higher CMV at 3 months (13.4% vs. 6.7%, p = 0.008) and higher EBV at all time points (4.0% vs. 0.4% at 1 year, p = 0.004). Conclusions: SLK recipients without basiliximab induction had comparable rejection outcomes but more viral infections, potentially from greater steroid exposure, and more liver biopsies, which may reflect higher clinical suspicion for rejection or incomplete capture of rejection events in EMR data. Full article
(This article belongs to the Special Issue Antibody-Mediated Rejection in Kidney Transplantation)
Show Figures

Figure 1

21 pages, 14940 KB  
Article
Clinical Application of Vision Transformers for Melanoma Classification: A Multi-Dataset Evaluation Study
by Antony Garcia, Jixing Zhou, Gabriela Pinero-Crespo, Thomas Beachkofsky and Xinming Huang
Cancers 2025, 17(21), 3447; https://doi.org/10.3390/cancers17213447 - 28 Oct 2025
Viewed by 940
Abstract
Background: Melanoma is one of the most lethal skin cancers, with survival rates largely dependent on early detection, yet diagnosis remains difficult because of its visual similarity to benign nevi. Convolutional neural networks have achieved strong performance in dermoscopic analysis but often [...] Read more.
Background: Melanoma is one of the most lethal skin cancers, with survival rates largely dependent on early detection, yet diagnosis remains difficult because of its visual similarity to benign nevi. Convolutional neural networks have achieved strong performance in dermoscopic analysis but often depend on fixed input sizes and local features, which can limit generalization. Vision Transformers, which capture global image relationships through self-attention, offer a promising alternative. Methods: A ViT-L/16 model was fine-tuned using the ISIC 2019 dataset containing more than 25,000 dermoscopic images. To expand the dataset and balance class representation, synthetic melanoma and nevus images were produced with StyleGAN2-ADA, retaining only high-confidence outputs. Model performance was evaluated on an external biopsy-confirmed dataset (MN187) and compared with CNN baselines (ResNet-152, DenseNet-201, EfficientNet-B7, ConvNeXt-XL, ViT-B/16) and the commercial MoleAnalyzer Pro system using ROC-AUC and DeLong’s test. Results: The ViT-L/16 model reached a baseline ROC-AUC of 0.902 on MN187, surpassing all CNN baselines and the MoleAnalyzer Pro system, though the difference was not statistically significant (p = 0.07). After adding 46,000 confidence-filtered GAN-generated images, the ROC-AUC increased to 0.915, giving a statistically significant improvement over the commercial MoleAnalyzer Pro system (p = 0.032). Conclusions: Vision Transformers show strong potential for melanoma classification, especially when combined with GAN-based augmentation, offering advantages in global feature representation and data expansion that support the development of dependable AI-driven clinical decision-support systems. Full article
(This article belongs to the Topic Machine Learning and Deep Learning in Medical Imaging)
Show Figures

Figure 1

23 pages, 10345 KB  
Article
A Patient-Derived Scaffold-Based 3D Culture Platform for Head and Neck Cancer: Preserving Tumor Heterogeneity for Personalized Drug Testing
by Alinda Anameriç, Emilia Reszczyńska, Tomasz Stankiewicz, Adrian Andrzejczak, Andrzej Stepulak and Matthias Nees
Cells 2025, 14(19), 1543; https://doi.org/10.3390/cells14191543 - 2 Oct 2025
Viewed by 844
Abstract
Head and neck cancer (HNC) is highly heterogeneous and difficult to treat, underscoring the need for rapid, patient-specific models. Standard three-dimensional (3D) cultures often lose stromal partners that influence therapy response. We developed a patient-derived system maintaining tumor cells, cancer-associated fibroblasts (CAFs), and [...] Read more.
Head and neck cancer (HNC) is highly heterogeneous and difficult to treat, underscoring the need for rapid, patient-specific models. Standard three-dimensional (3D) cultures often lose stromal partners that influence therapy response. We developed a patient-derived system maintaining tumor cells, cancer-associated fibroblasts (CAFs), and cells undergoing partial epithelial–mesenchymal transition (pEMT) for drug sensitivity testing. Biopsies from four HNC patients were enzymatically dissociated. CAFs were directly cultured, and their conditioned medium (CAF-CM) was collected. Cryopreserved primary tumor cell suspensions were later revived, screened in five different growth media under 2D conditions, and the most heterogeneous cultures were re-embedded in 3D hydrogels with varied gel mixtures, media, and seeding geometries. Tumoroid morphology was quantified using a perimeter-based complexity index. Viability after treatment with cisplatin or Notch modulators (RIN-1, recombination signal-binding protein for immunoglobulin κ J region (RBPJ) inhibitor; FLI-06, inhibitor) was assessed by live imaging and the water-soluble tetrazolium-8 (WST-8) assay. Endothelial Cell Growth Medium 2 (ECM-2) medium alone produced compact CAF-free spheroids, whereas ECM-2 supplemented with CAF-CM generated invasive aggregates that deposited endogenous matrix. Matrigel with this medium and single-point seeding gave the highest complexity scores. Two of the three patient tumoroids were cisplatin-sensitive, and all showed significant growth inhibition with the FLI-06 Notch inhibitor, while the RBPJ inhibitor RIN-1 induced minimal change. The optimized scaffold retains tumor–stroma crosstalk and provides patient-specific drug response data within days after operation, supporting personalized treatment selection in HNC. Full article
(This article belongs to the Special Issue 3D Cultures and Organ-on-a-Chip in Cell and Tissue Cultures)
Show Figures

Figure 1

10 pages, 370 KB  
Article
Transformation and Management of Long-Bone Atypical Cartilaginous Tumours
by Edmund Coke, Ofir Ben-Gal, Ashish Mahendra, Julian Pietrzycki, Sarah Vaughan and Sanjay Gupta
Cancers 2025, 17(19), 3178; https://doi.org/10.3390/cancers17193178 - 30 Sep 2025
Viewed by 567
Abstract
Background/Objectives: Atypical cartilaginous tumours (ACTs) are intermediate, locally aggressive chondroid tumours in the appendicular skeleton. Due to the potential for transformation into high-grade chondrosarcomas, management typically consists of regular MRI follow-up and, occasionally, surgery. We primarily aimed to examine the rate of [...] Read more.
Background/Objectives: Atypical cartilaginous tumours (ACTs) are intermediate, locally aggressive chondroid tumours in the appendicular skeleton. Due to the potential for transformation into high-grade chondrosarcomas, management typically consists of regular MRI follow-up and, occasionally, surgery. We primarily aimed to examine the rate of malignant transformation in ACTs in our hospital; secondarily, we aimed to identify the factors influencing management choices and outcomes. Methods: All patients referred between 2013 and 2020 with a long-bone ACT were identified from the unit database. For this retrospective study, we analysed the imaging, management, and outcomes for the patients discussed at our musculoskeletal radiological conference. Results: A total of 59 patients were included; of these, 0 cases of malignant transformation were observed with a mean follow-up time of 8.4 years. Of the presenting cases, the musculoskeletal radiological conference advised that 6 should be biopsied, 40 should receive MRI follow-up, 7 should receive X-ray follow-up, and 6 should be re-examined in clinic. Subsequently, 12 patients underwent surgery due to continued pain, diagnostic uncertainty, and historical practices. Of these, seven experienced continued post-operative pain. Conclusions: None of the encountered ACTs underwent malignant transformation, supporting previous findings that this transformation is a rare phenomenon. Furthermore, of the small sample of patients undergoing surgery, less than half were left pain-free. These findings support a more conservative approach to ACT management, with the potential to discharge after an initial review. Full article
Show Figures

Figure 1

Back to TopTop