Prevalence of Histological Transformation in First-Line Osimertinib Non-Small Cell Lung Cancers: Case Series and Literature Review
Abstract
1. Introduction
1.1. Histological Transformation: A Literature Review
1.1.1. Histological Transformation of EGFR-Mutated ADCs to SCLC
1.1.2. Histological Transformation of Pre- and Post-Therapy Samples—Mutated ADCs to SCC
1.1.3. Histological Transformation of EGFR-Mutated ADCs to LCNET
1.1.4. Histological Transformation of EGFR-Mutated ADCs to Sarcomatoid Carcinoma
2. Case Description
2.1. Study Cohort
2.2. Molecular Data
2.3. Histological Transformation
2.4. Transformed Cases
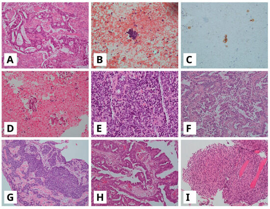
- T1: 58-year-old-woman, received Osimertinib for approximately 25 months. At progression, a histological transformation to SCLC was observed (Figure 2A–C). This case preserved EGFR exon-19 deletion on the tumor progression specimen. Furthermore, it harbored also a TP53-activating alteration c.776A>T p.(D259V) on exon 7, which was already detected at diagnosis. Our liquid biopsy, performed on the plasma sample at progression time, was negative. The patient received second-line treatment with carboplatin and etoposide chemotherapy combined with radiotherapy targeting a mediastinal metastatic lesion. After 14 months, the patient showed progression disease and was switched to topotecan chemotherapy for an additional 13 months. The patient died two months later.
- T2: A 61-year-old-woman developed histological transformation to SCLC after 14 months of Osimertinib therapy (Figure 2D,E). The tumor retained the EGFR exon 19 deletion and showed an acquired MET amplification at progression. Through examination of the diagnostic specimen, it was found that this case harbored a TP53 pathogenic alteration c.329G>C p.(R110P) on exon 4. Liquid biopsy performed on the plasma sample at progression time confirmed MET amplification as an acquired resistance mechanism. According to the presence of MET amplification, the patient received an MET inhibitor, Tepotinib, in combination with Osimertinib as second-line treatment. After disease progression, five months later, she underwent carboplatin and etoposide chemotherapy combined with the PD-L1 inhibitor Atezolizumab. She continued treatment for 7 months before her death.
- T3: A 78-year-old-man with a histological transformation to SCLC after 14 months of Osimertinib therapy (Figure 2F,G). Through examination of the diagnostic specimen, it was found that this case harbored a TP53-activating alteration c.659A>G p.(Y220C) on exon 6. Liquid biopsy was not performed. Following disease progression, the patient received palliative care and died one month later.
- T4: A 72-year-old-woman developed transformation to spindle cell carcinoma, a variant of sarcomatoid carcinoma, after approximately 11 months of treatment (Figure 2H,I). The tumor harbored a TP53-activating alteration c.602del p. (L201fs), within exon 6, on the diagnostic specimen. Liquid biopsy at progression detected only the EGFR exon 19 deletion with no additional resistance mechanisms. The patient was treated with carboplatin combined with pemetrexed as second-line treatment chemotherapy but died three months later.
3. Materials and Methods
3.1. Study Cohort and Design
3.2. Molecular Analysis
3.3. PD-L1 Evaluation
3.4. Data Analysis
4. Discussion
5. Conclusions
Supplementary Materials
Author Contributions
Funding
Institutional Review Board Statement
Informed Consent Statement
Data Availability Statement
Conflicts of Interest
Abbreviations
| mADC | metastatic lung adenocarcinoma |
| NSCLC | non-small cell lung cancer |
| SCC | squamous cell carcinoma |
| LCNEC | large cell neuroendocrine carcinoma |
| TKI | tyrosine kinase inhibitors |
| SCLC | small cell lung cancer |
| tSCLC | transformed SCLC |
| tLCNET | transformed LCNEC |
| EMT | epithelial–mesenchymal transition |
| H&E | hematoxylin and eosin |
| FFPE | formalin-fixed paraffin-embedded |
| IHC | immunohistochemistry |
| TPS | tumor proportional score |
References
- Nicholson, A.G.; Tsao, M.S.; Beasley, M.B.; Borczuk, A.C.; Brambilla, E.; Cooper, W.A.; Dacic, S.; Jain, D.; Kerr, K.M.; Lantuejoul, S.; et al. The 2021 WHO Classification of Lung Tumors: Impact of Advances Since 2015. J. Thorac. Oncol. 2022, 17, 362–387. [Google Scholar] [CrossRef]
- Sankar, V.; Kothai, R.; Vanisri, N.; Akilandeswari, S.; Anandharaj, G. Lung cancer—A review. Int. J. Health Sci. Res. 2023, 13, 307–315. [Google Scholar] [CrossRef]
- Li, Y.; Yan, B.; He, S. Advances and challenges in the treatment of lung cancer. Biomed. Pharmacother. 2023, 169, 115891. [Google Scholar] [CrossRef] [PubMed]
- Pezzuto, F.; Hofman, V.; Bontoux, C.; Fortarezza, F.; Lunardi, F.; Calabrese, F.; Hofman, P. The significance of co-mutations in EGFR-mutated non-small cell lung cancer: Optimizing the efficacy of targeted therapies? Lung Cancer 2023, 181, 107249. [Google Scholar] [CrossRef] [PubMed]
- Fu, K.; Xie, F.; Wang, F.; Fu, L. Therapeutic strategies for EGFR-mutated non-small cell lung cancer patients with osimertinib resistance. J. Hematol. Oncol. 2022, 15, 173. [Google Scholar] [CrossRef] [PubMed] [PubMed Central]
- Cheng, W.L.; Feng, P.H.; Lee, K.Y.; Chen, K.Y.; Sun, W.L.; Van Hiep, N.; Luo, C.S.; Wu, S.M. The Role of EREG/EGFR Pathway in Tumor Progression. Int. J. Mol. Sci. 2021, 22, 12828. [Google Scholar] [CrossRef] [PubMed] [PubMed Central]
- He, J.; Huang, Z.; Han, L.; Gong, Y.; Xie, C. Mechanisms and management of 3rd-generation EGFR-TKI resistance in advanced non-small cell lung cancer (Review). Int. J. Oncol. 2021, 59, 90. [Google Scholar] [CrossRef] [PubMed] [PubMed Central]
- Schoenfeld, A.J.; Chan, J.M.; Kubota, D.; Sato, H.; Rizvi, H.; Daneshbod, Y.; Chang, J.C.; Paik, P.K.; Offin, M.; Arcila, M.E.; et al. Tumor Analyses Reveal Squamous Transformation and Off-Target Alterations As Early Resistance Mechanisms to First-line Osimertinib in EGFR-Mutant Lung Cancer. Clin. Cancer Res. 2020, 26, 2654–2663. [Google Scholar] [CrossRef] [PubMed] [PubMed Central]
- Leonetti, A.; Sharma, S.; Minari, R.; Perego, P.; Giovannetti, E.; Tiseo, M. Resistance mechanisms to osimertinib in EGFR-mutated non-small cell lung cancer. Br. J. Cancer 2019, 121, 725–737. [Google Scholar] [CrossRef] [PubMed]
- Reita, D.; Pabst, L.; Pencreach, E.; Guérin, E.; Dano, L.; Rimelen, V.; Voegeli, A.C.; Vallat, L.; Mascaux, C.; Beau-Faller, M. Molecular Mechanism of EGFR-TKI Resistance in EGFR-Mutated Non-Small Cell Lung Cancer: Application to Biological Diagnostic and Monitoring. Cancers 2021, 13, 4926. [Google Scholar] [CrossRef] [PubMed] [PubMed Central]
- Marcoux, N.; Gettinger, S.N.; O’Kane, G.; Arbour, K.C.; Neal, J.W.; Husain, H.; Evans, T.L.; Brahmer, J.R.; Muzikansky, A.; Bonomi, P.D.; et al. EGFR-Mutant Adenocarcinomas That Transform to Small-Cell Lung Cancer and Other Neuroendocrine Carcinomas: Clinical Outcomes. J. Clin. Oncol. 2019, 37, 278–285. [Google Scholar] [CrossRef] [PubMed] [PubMed Central]
- Vendrell, J.A.; Quantin, X.; Serre, I.; Solassol, J. Combination of tissue and liquid biopsy molecular profiling to detect transformation to small cell lung carcinoma during osimertinib treatment. Ther. Adv. Med. Oncol. 2020, 12, 1758835920974192. [Google Scholar] [CrossRef] [PubMed] [PubMed Central]
- Sequist, L.V.; Waltman, B.A.; Dias-Santagata, D.; Digumarthy, S.; Turke, A.B.; Fidias, P.; Bergethon, K.; Shaw, A.T.; Gettinger, S.; Cosper, A.K.; et al. Genotypic and histological evolution of lung cancers acquiring resistance to EGFR inhibitors. Sci. Transl. Med. 2011, 3, 75ra26. [Google Scholar] [CrossRef]
- Niederst, M.J.; Sequist, L.V.; Poirier, J.T.; Mermel, C.H.; Lockerman, E.L.; Garcia, A.R.; Katayama, R.; Costa, C.; Ross, K.N.; Moran, T.; et al. RB loss in resistant EGFR mutant lung adenocarcinomas that transform to small-cell lung cancer. Nat. Commun. 2015, 6, 6377. [Google Scholar] [CrossRef] [PubMed] [PubMed Central]
- Dorantes-Heredia, R.; Ruiz-Morales, J.M.; Cano-García, F. Histopathological transformation to small-cell lung carcinoma in non-small cell lung carcinoma tumors. Transl. Lung Cancer Res. 2016, 5, 401–412. [Google Scholar] [CrossRef] [PubMed] [PubMed Central]
- Chen, Y.; He, M.; Dai, Z.; Wang, Y.; Chen, J.; Wang, X.; Dong, X.; Huang, J.; Ruan, J.; Zhang, X.; et al. Clinical and molecular profiling of EGFR-mutant lung adenocarcinomas transformation to small cell lung cancer during TKI treatment. Front. Oncol. 2023, 13, 1308313. [Google Scholar] [CrossRef] [PubMed] [PubMed Central]
- Hao, L.; Chen, H.; Wang, L.; Zhou, H.; Zhang, Z.; Han, J.; Hou, J.; Zhu, Y.; Zhang, H.; Wang, Q. Transformation or tumor heterogeneity: Mutations in EGFR, SOX2, TP53, and RB1 persist in the histological rapid conversion from lung adenocarcinoma to small-cell lung cancer. Thorac. Cancer 2023, 14, 1036–1041. [Google Scholar] [CrossRef] [PubMed] [PubMed Central]
- Offin, M.; Chan, J.M.; Tenet, M.; Rizvi, H.A.; Shen, R.; Riely, G.J.; Rekhtman, N.; Daneshbod, Y.; Quintanal-Villalonga, A.; Penson, A.; et al. Concurrent RB1 and TP53 Alterations Define a Subset of EGFR-Mutant Lung Cancers at risk for Histologic Transformation and Inferior Clinical Outcomes. J. Thorac. Oncol. 2019, 14, 1784–1793. [Google Scholar] [CrossRef] [PubMed] [PubMed Central]
- Catania, C.; Liu, S.V.; Garassino, M.; Delmonte, A.; Scotti, V.; Cappuzzo, F.; Genova, C.; Russo, A.; Russano, M.; Bennati, C.; et al. Correlation between treatments and outcomes of patients with EGFR-mutated non-small-cell lung cancer that transitioned into small-cell lung cancer: An international retrospective study. ESMO Open 2025, 10, 105326. [Google Scholar] [CrossRef] [PubMed] [PubMed Central]
- Lai, L.; Meng, W.; Wei, J.; Zhang, X.; Tan, Z.; Lu, Y.; Hou, E. Transformation of NSCLC to SCLC after 1st- and 3rd-generation EGFR-TKI resistance and response to EP regimen and erlotinib: 2 CARE-compliant case reports. Medicine 2021, 100, e25046. [Google Scholar] [CrossRef] [PubMed] [PubMed Central]
- Lee, P.H.; Huang, Y.H.; Lin, H.; Hsu, K.H.; Chen, K.C.; Tseng, J.S.; Chang, G.C.; Yang, T.Y. Histological Transformation after Acquired Resistance to the Third-Generation EGFR-TKI in Patients with Advanced EGFR-Mutant Lung Adenocarcinoma. Medicina 2022, 58, 908. [Google Scholar] [CrossRef] [PubMed] [PubMed Central]
- Zhang, B.; Lewis, W.; Stewart, C.A.; Morris, B.B.; Solis, L.M.; Serrano, A.; Xi, Y.; Wang, Q.; Lopez, E.R.; Concannon, K.; et al. Brief Report: Comprehensive Clinicogenomic Profiling of Small Cell Transformation from EGFR-Mutant NSCLC Informs Potential Therapeutic Targets. JTO Clin. Res. Rep. 2023, 5, 100623. [Google Scholar] [CrossRef] [PubMed] [PubMed Central]
- Mambetsariev, I.; Arvanitis, L.; Fricke, J.; Pharaon, R.; Baroz, A.R.; Afkhami, M.; Koczywas, M.; Massarelli, E.; Salgia, R. Small Cell Lung Cancer Transformation following Treatment in EGFR-Mutated Non-Small Cell Lung Cancer. J. Clin. Med. 2022, 11, 1429. [Google Scholar] [CrossRef] [PubMed] [PubMed Central]
- Jin, C.B.; Yang, L. Histological transformation of non-small cell lung cancer: Clinical analysis of nine cases. World J. Clin. Cases 2021, 9, 4617–4626. [Google Scholar] [CrossRef] [PubMed] [PubMed Central]
- Ferrer, L.; Giaj Levra, M.; Brevet, M.; Antoine, M.; Mazieres, J.; Rossi, G.; Chiari, R.; Westeel, V.; Poudenx, M.; Letreut, J.; et al. A Brief Report of Transformation from NSCLC to SCLC: Molecular and Therapeutic Characteristics. J. Thorac. Oncol. 2019, 14, 130–134. [Google Scholar] [CrossRef] [PubMed]
- Ye, J.; Ma, Y.; Ou, Q.; Yan, J.; Ye, B.; Li, Y. Long-Term Clinical Benefit in EGFR-Mutant Lung Adenocarcinoma with Local Squamous Cell Carcinoma Transformation After EGFR TKI Resistance: A Case Report. Front. Oncol. 2022, 12, 883367. [Google Scholar] [CrossRef] [PubMed] [PubMed Central]
- Hou, S.; Zhou, S.; Qin, Z.; Yang, L.; Han, X.; Yao, S.; Ji, H. Evidence, Mechanism, and Clinical Relevance of the Transdifferentiation from Lung Adenocarcinoma to Squamous Cell Carcinoma. Am. J. Pathol. 2017, 187, 954–962. [Google Scholar] [CrossRef] [PubMed]
- Shiba-Ishii, A.; Takemura, N.; Kawai, H.; Matsubara, D. Histologic transformation of non-small-cell lung cancer in response to tyrosine kinase inhibitors: Current knowledge of genetic changes and molecular mechanisms. Cancer Sci. 2024, 115, 2138–2146. [Google Scholar] [CrossRef] [PubMed] [PubMed Central]
- Song, H.; Kim, D.; Jang, S.J.; Hwang, H.S.; Song, J.S. Clinicopathologic features of histologic transformation in lung adenocarcinoma after treatment with epidermal growth factor receptor-tyrosine kinase inhibitors. Ann. Diagn. Pathol. 2025, 77, 152478. [Google Scholar] [CrossRef] [PubMed]
- Woo, C.G.; Son, S.M.; Lee, H.C.; Han, H.S.; Lee, K.H.; Kim, D.; Kim, E.G.; Lee, O.J. Histologic Changes in Non-Small Cell Lung Cancer under Various Treatments: A Comparison of Histology and Mutation Status in Serial Samples. Cancer Res. Treat. 2022, 54, 737–743. [Google Scholar] [CrossRef] [PubMed] [PubMed Central]
- Sato, Y.; Saito, G.; Fujimoto, D. Histologic transformation in lung cancer: When one door shuts, another opens. Ther. Adv. Med. Oncol. 2022, 14, 17588359221130503. [Google Scholar] [CrossRef] [PubMed] [PubMed Central]
- Xi, Y.Z.; Xie, L.; Tan, X.W.; Zeng, S.L. Transformation of adenocarcinoma to squamous cell carcinoma as a source of EGFR-TKI resistance: A case report and literature review. Front. Oncol. 2022, 12, 942084. [Google Scholar] [CrossRef] [PubMed] [PubMed Central]
- Yang, L.; Fan, Y.; Lu, H. Pulmonary Large Cell Neuroendocrine Carcinoma. Pathol. Oncol. Res. 2022, 28, 1610730. [Google Scholar] [CrossRef] [PubMed] [PubMed Central]
- Santoni-Rugiu, E. Clinical outcomes provide new insights into transformation to small-cell lung cancer of pulmonary EGFR-mutant adenocarcinoma. Precis. Cancer Med. 2019, 37, 278–285. [Google Scholar] [CrossRef]
- Kogo, M.; Shimizu, R.; Uehara, K.; Takahashi, Y.; Kokubo, M.; Imai, Y.; Tomii, K. Transformation to large cell neuroendocrine carcinoma as acquired resistance mechanism of EGFR tyrosine kinase inhibitor. Lung Cancer 2015, 90, 364–368. [Google Scholar] [CrossRef] [PubMed]
- Moriya, R.; Hokari, S.; Shibata, S.; Koizumi, T.; Tetsuka, T.; Ito, K.; Hashidate, H.; Tsukada, H. Histological Transformation to Large Cell Neuroendocrine Carcinoma from Lung Adenocarcinoma Harboring an EGFR Mutation: An Autopsy Case Report. Intern. Med. 2017, 56, 2013–2017. [Google Scholar] [CrossRef] [PubMed] [PubMed Central][Green Version]
- Pathak, R.; Villaflor, V.M. Histologic Transformation in EGFR-Mutant Lung Adenocarcinomas: Mechanisms and Therapeutic Implications. Cancers 2021, 13, 4641. [Google Scholar] [CrossRef] [PubMed]
- Baglivo, S.; Ludovini, V.; Sidoni, A.; Metro, G.; Ricciuti, B.; Siggillino, A.; Rebonato, A.; Messina, S.; Crinò, L.; Chiari, R. Large Cell Neuroendocrine Carcinoma Transformation and EGFR-T790M Mutation as Coexisting Mechanisms of Acquired Resistance to EGFR-TKIs in Lung Cancer 2017. Mayo Clin. Proc. 2017, 92, 1304–1311. [Google Scholar] [CrossRef] [PubMed]
- Pang, L.; Zhuang, W.; Huang, Y.; Liao, J.; Yang, M.; Zhang, L.; Zhang, Y.; Fang, W. Rare transformation from lung adenocarcinoma to sarcomatoid carcinoma mediates resistance to inhibitors targeting different driver oncogenes. J. Natl. Cancer Cent. 2024, 5, 75–81. [Google Scholar] [CrossRef] [PubMed] [PubMed Central]
- Hsieh, M.S.; Lin, M.W.; Lee, Y.H. Lung adenocarcinoma with sarcomatoid transformation after tyrosine kinase inhibitor treatment and chemotherapy. Lung Cancer 2019, 137, 76–84. [Google Scholar] [CrossRef] [PubMed]
- Calabrese, F.; Pezzuto, F.; Lunardi, F.; Fortarezza, F.; Tzorakoleftheraki, S.E.; Resi, M.V.; Tiné, M.; Pasello, G.; Hofman, P. Morphologic-Molecular Transformation of Oncogene Addicted Non-Small Cell Lung Cancer. Int. J. Mol. Sci. 2022, 23, 4164. [Google Scholar] [CrossRef] [PubMed] [PubMed Central]
- Lababede, O.; Meziane, M.A. The Eighth Edition of TNM Staging of Lung Cancer: Reference Chart and Diagrams. Oncologist 2018, 23, 844–848. [Google Scholar] [CrossRef] [PubMed] [PubMed Central]
- Giannini, R.; Lupi, C.; Sensi, E.; Alì, G.; Proietti, A.; Boldrini, L.; Servadio, A.; Giordano, M.; Macerola, E.; Bruno, R.; et al. EGFR and KRAS Mutational Analysis in a Large Series of Italian Non-Small Cell Lung Cancer Patients: 2387 Cases from a Single Center. Oncol. Rep. 2016, 36, 1166–1172. [Google Scholar] [CrossRef]
- Garon, E.B.; Rizvi, N.A.; Hui, R.; Leighl, N.; Balmanoukian, A.S.; Eder, J.P.; Patnaik, A.; Aggarwal, C.; Gubens, M.; Horn, L.; et al. Pembrolizumab for the treatment of non-small-cell lung cancer. N. Engl. J. Med. 2015, 372, 2018–2028. [Google Scholar] [CrossRef] [PubMed]
- Chmielecki, J.; Gray, J.E.; Cheng, Y.; Ohe, Y.; Imamura, F.; Cho, B.C.; Lin, M.C.; Majem, M.; Shah, R.; Rukazenkov, Y.; et al. Candidate mechanisms of acquired resistance to first-line osimertinib in EGFR-mutated advanced non-small cell lung cancer. Nat. Commun. 2023, 14, 1070, Erratum in Nat. Commun. 2023, 14, 3179. [Google Scholar] [CrossRef] [PubMed] [PubMed Central]
- Fukui, T.; Ishihara, M.; Kasajima, M.; Hiyoshi, Y.; Nakahara, Y.; Otani, S.; Igawa, S.; Yokoba, M.; Mitsufuji, H.; Kubota, M.; et al. Questionnaire survey on patient awareness of invasive rebiopsy in advanced non-small cell lung cancer. Thorac. Cancer 2019, 10, 501–507. [Google Scholar] [CrossRef] [PubMed] [PubMed Central]
- Rudin, C.M.; Brambilla, E.; Faivre-Finn, C.; Sage, J. Small-cell lung cancer. Nat. Rev. Dis. Primers 2021, 7, 3. [Google Scholar] [CrossRef] [PubMed] [PubMed Central]
- Li, J.; Wei, B.; Feng, J.; Wu, X.; Chang, Y.; Wang, Y.; Yang, X.; Zhang, H.; Han, S.; Zhang, C.; et al. Case report: TP53 and RB1 loss may facilitate the transformation from lung adenocarcinoma to small cell lung cancer by expressing neuroendocrine markers. Front. Endocrinol. 2022, 13, 1006480. [Google Scholar] [CrossRef] [PubMed] [PubMed Central]
- Pizzutilo, E.G.; Pedrani, M.; Amatu, A.; Ruggieri, L.; Lauricella, C.; Veronese, S.M.; Signorelli, D.; Cerea, G.; Giannetta, L.; Siena, S.; et al. Liquid Biopsy for Small Cell Lung Cancer either De Novo or Transformed: Systematic Review of Different Applications and Meta-Analysis. Cancers 2021, 13, 2265. [Google Scholar] [CrossRef] [PubMed] [PubMed Central]


| Authors | Year | Median Age | Median Transformation Time (Months) | Co-Occurred Gene Alterations |
|---|---|---|---|---|
| Hao et al. [17] | 2023 | 65 | 17.8 | TP53, RBP1, SOX2 |
| Lai et al. [20] | 2021 | 48 | 12 | - |
| Po-Hsin Lee et al. [21] | 2022 | 55 | 16 | - |
| Bingnan Zhang et al. [22] | 2022 | 58 | 24 | TP53, RBP1, PIK3CA, MYC, MET, BRAF |
| Isa Mambetsariev et al. [23] | 2022 | 60 | 16 | TP53, RBP1 |
| Cai Bao Jin et al. [24] | 2021 | 60 | 15 | - |
| Chen et al. [16] | 2023 | 58 | 33 | TP53, RB1 |
| Ferrer et al. [25] | 2019 | 61 | 16 | PI3K, c-MET, ALK |
| EGFR Alterations | Number of Cases |
|---|---|
| EGFR Exon-19 deletions | 61 |
| p.(E746_A750del) | 35 |
| p.(E746_T751del) | 2 |
| p.(L747_E749del) | 1 |
| p.(L747_P753delinsS) | 1 |
| p.(E746_S753delinsV) | 1 |
| p.(E746_T751delinsL) | 1 |
| p.(L747_P753>S/p.(L747_T751del) | 5 |
| p.(E746_A750>QP)/p.(E746_S752del) | 4 |
| p.(L747_A750>P/L747_S752del) | 2 |
| p.(E746_A750>QP)/p.(E746_S752del) | 1 |
| Del19 * | 8 |
| EGFR p.(L858R) mutation | 39 |
| p.(L858R) | 36 |
| p.(L858R) + p.(S768I) | 1 |
| p.(L858R) + p.(A871G) | 1 |
| p.(L858R) + p.(V834L) | 1 |
| INFO | DIAGNOSIS | PROGRESSION | |||||
|---|---|---|---|---|---|---|---|
| Case ID | Sample Type, Site | EGFR | PD-L1 | TP53 | Sample Type, Site | Time (Months) | Identified Resistance |
| 1 | Citology, lung | p.L747_p753>S/p.(L747_T751delREAT) * | NA | NA | Citology, pleural liquid | 6 | MET amplification (ratio 3.7; CNV 7.6) |
| 2 | Histology, lung | p.(E746_A750del) | 2% | p.(D259V) | Histology, lung | 36 | Histological transformation |
| 3 | Histology, lung | p.(E746_A750del) | NEG | p.(Y220C) | Citology, liquid pleuritic | 15 | Histological transformation |
| 4 | Histology, lung | p.(E746_A750delELREA) | 1% | wt | Histology, lung | 13 | NO |
| 5 | Histology, lung | Exon 19 deletion ** | NEG | p.(Q165Ter) | Citology, lung | 38 | NO |
| 6 | Histology, lung | p.(E746_A750del) | 45% | wt | Citology, lung | 13 | NO |
| 7 | Cytology, lung | p.(L858R) | 10% | wt | Citology, liquid pleuritic | 23 | |
| 8 | Histology, lung | p.(L858R) | 20% | NA | Histology, lung | 6 | KRAS p.(G12D) |
| 9 | Citology, lung | p.(L858R) | 20% | wt | Histology, lung | 12 | NO |
| 10 | Histology, lung | p.(E746_A750>QP)/p.(E746_S752delELREATS) * | 95% | NA | Histology, lung | 18 | NO |
| 11 | Citology, liquid pleuritic | p.(E746_A750del) | 70% | p.(Leu201fs) | Histology, lung | 11 | Histological transformation |
| 12 | Histology, lung | p.(E746_T751delinsL) | NEG | NA | Citology, liquid pleuritic | 15 | NO |
| 13 | Histology, lung | p.(L858R) | 10% | NA | Citology, liquid pleuritic | 5 | NO |
| 14 | Histology, lung | p.(L858R) | NEG | wt | Histology, lung | 12 | NO |
| 15 | Histology, lung | p.(L858R) + p.(V834L) | 30% | p.(I232S) | Histology, lung | 24 | NO |
| 16 | NA | p.(L747_S752delinsP) | NA | NA | Histology, lung | 20 | NO |
| 17 | Histology, lung | p.(E746_A750del) | 3% | NA | Citology, liquid pleuritic | 10 | NO |
| 18 | Histology, lung | p.(E746_A750del) | 5% | wt | Citology, liquid pleuritic | 11 | KRAS p.(G13D) |
| 19 | Citology, lung | p.(E746_A750del) | 1% | wt | Citology, lung | 2 | NO |
| 20 | Histology, lung | p.(E746_A750del) | NEG | p.(R273C) | Histology, lung | 12 | NO |
| 21 | Histology, lung | p.(E746_A750del) | 10% | NA | Histology, lung | 15 | EGFR EX20 p.(C797S) |
| 22 | Histology, lung | p.(E746_A750del) | 15% | wt | Histology, lung | 12 | MET AMPL POS (ratio 6.2; CNV 12.1) |
| 23 | Citology, lung | p.(L858R) | 1% | wt | Citology, lung | 5 | NO |
| 24 | Histology, lung | p.(E746_A750del) | NA | p.(R110P) | Histology, lung | 14 | Histological transformation, MET amplification (liquid biopsy) |
| 25 | Biopsy, lung | p.(E746_A750del) | NA | NA | Histology, lung | 18 | NO |
| 26 | Biopsy, lung | p.(E746_A750del) | 0.7 | p.(V274D) | Histology, lung | 10 | MET amplification |
| 27 | Biopsy, sacral lesion | p.(L747_P7563>S/p.(L747_t751delLREAT) * | Neg | wt | Histology, lung | 9 | NO |
| 28 | Biopsy, | p.(L858R) | Neg | wt | Citology, liquid pleuritic | 11 | NO |
| 29 | Citology, lung | p.(E746_A750del) | 0.01 | NA | Histology, lung | 36 | EGFR EX20 c.2389T>A p.(C797S) |
| 30 | Biopsy, lung | p.(L858R) + p.(A871G) | NA | Histology, lung | NA & | NO | |
| 31 | Biopsy, lung | p.(E746_A750del) | Neg | wt | Histology, lung | 48 | NO |
| 32 | Citology, lung | p.(E746_A750del) | 0.7 | p.(C135Y) | Histology, lung | 7 | NO |
| Transformed Cases | T1 | T2 | T3 | T4 |
|---|---|---|---|---|
| Diagnosis | ||||
| Tumor histology | ADC | ADC | ADC | ADC |
| Sample type, site | Biopsy, lung | Biopsy, pleura | Biopsy, lymph node | Citology, pleural effusion |
| EGFR del19 | p.(E746_A750del) | p.(E746_A750del) | p.(E746_A750del) | p.(E746_A750del) |
| PD-L1 | 2% | Not available | 0% | 70% |
| 1-line TKI time | 25 months | 14 months | 14 months | 11 months |
| Progression | ||||
| Tumor histology | SCLC | SCLC | SCLC | Spindle cell |
| Sample type, site | Histology, lymph node | Biopsy, lung | Citology, pleural effusion | Biopsy, lung |
| EGFR del19 | p.(E746_A750del) | p.(E746_A750del) | p.(E746_A750del) | p.(E746_A750del) |
| PD-L1 | 5% | Not available | Neg | 25% |
| Concurrent resistance mechanisms | Not identified | MET amplification | Not identified | Not identified |
| Liquid biopsy | Neg | Not executed | MET amplification | Exon 19 deletion |
Disclaimer/Publisher’s Note: The statements, opinions and data contained in all publications are solely those of the individual author(s) and contributor(s) and not of MDPI and/or the editor(s). MDPI and/or the editor(s) disclaim responsibility for any injury to people or property resulting from any ideas, methods, instructions or products referred to in the content. |
© 2025 by the authors. Licensee MDPI, Basel, Switzerland. This article is an open access article distributed under the terms and conditions of the Creative Commons Attribution (CC BY) license (https://creativecommons.org/licenses/by/4.0/).
Share and Cite
Sparavelli, R.; Bruno, R.; Celi, A.; Sbrana, A.; Petrini, I.; Chella, A.; Ugolini, C.; Alì, G. Prevalence of Histological Transformation in First-Line Osimertinib Non-Small Cell Lung Cancers: Case Series and Literature Review. Int. J. Mol. Sci. 2025, 26, 10462. https://doi.org/10.3390/ijms262110462
Sparavelli R, Bruno R, Celi A, Sbrana A, Petrini I, Chella A, Ugolini C, Alì G. Prevalence of Histological Transformation in First-Line Osimertinib Non-Small Cell Lung Cancers: Case Series and Literature Review. International Journal of Molecular Sciences. 2025; 26(21):10462. https://doi.org/10.3390/ijms262110462
Chicago/Turabian StyleSparavelli, Rebecca, Rossella Bruno, Alessandra Celi, Andrea Sbrana, Iacopo Petrini, Antonio Chella, Clara Ugolini, and Greta Alì. 2025. "Prevalence of Histological Transformation in First-Line Osimertinib Non-Small Cell Lung Cancers: Case Series and Literature Review" International Journal of Molecular Sciences 26, no. 21: 10462. https://doi.org/10.3390/ijms262110462
APA StyleSparavelli, R., Bruno, R., Celi, A., Sbrana, A., Petrini, I., Chella, A., Ugolini, C., & Alì, G. (2025). Prevalence of Histological Transformation in First-Line Osimertinib Non-Small Cell Lung Cancers: Case Series and Literature Review. International Journal of Molecular Sciences, 26(21), 10462. https://doi.org/10.3390/ijms262110462

