Sign in to use this feature.

Years

Between: -

Subjects

remove_circle_outline
remove_circle_outline
remove_circle_outline
remove_circle_outline
remove_circle_outline
remove_circle_outline
remove_circle_outline
remove_circle_outline
remove_circle_outline

Journals

remove_circle_outline
remove_circle_outline
remove_circle_outline
remove_circle_outline
remove_circle_outline
remove_circle_outline
remove_circle_outline
remove_circle_outline
remove_circle_outline
remove_circle_outline
remove_circle_outline
remove_circle_outline
remove_circle_outline
remove_circle_outline

Article Types

Countries / Regions

remove_circle_outline
remove_circle_outline
remove_circle_outline
remove_circle_outline
remove_circle_outline
remove_circle_outline
remove_circle_outline

Search Results (2,022)

Search Parameters:
Keywords = radiotherapy targeted

Order results
Result details
Results per page
Select all
Export citation of selected articles as:
20 pages, 22998 KB  
Article
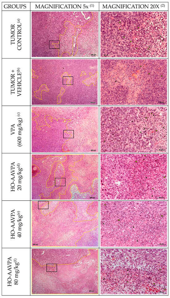
N-(2-Hydroxyphenyl)-2-Propylpentanamide Modulates HDAC1 and GPER1 Expression in a Rodent Model of Triple-Negative Breast Cancer
by Cynthia Ramírez-Farías, Javier Ventura-Juárez, Argelia Calvillo-Robledo, Manuel Enrique Ávila-Blanco, Daniel González-Blas, José Correa-Basurto and Andrés Quintanar Stephano
Biomedicines 2026, 14(2), 322; https://doi.org/10.3390/biomedicines14020322 - 30 Jan 2026
Abstract
Background: Triple-negative breast cancer (TNBC) is one of the most aggressive breast cancer subtypes due to its rapid growth, poor prognosis, and low response to chemotherapies owing to a lack of therapeutic targets and drug resistance. Histone deacetylases (HDACs) induce stromal changes that [...] Read more.
Background: Triple-negative breast cancer (TNBC) is one of the most aggressive breast cancer subtypes due to its rapid growth, poor prognosis, and low response to chemotherapies owing to a lack of therapeutic targets and drug resistance. Histone deacetylases (HDACs) induce stromal changes that increase extracellular matrix density through the activity of cancer-associated fibroblasts (CAFs). HDACs are overexpressed in TNBC and have been linked to the activation and sustained activity of CAFs. Additionally, HDAC inhibitors decrease the fibroblastic activity. Objectives: We aimed to analyze the antifibrotic effect of the N-(2′-hydroxyphenyl)-2-propylpentanamide (HO-AAVPA), an inhibitor of the HDAC1, 6, and 8 (iHDAC) on TNBC. Methods: The TNBC (4T1) cell line was inoculated under the dorsal skin in mice to develop a TNBC tumor. CAF’s activation was determined by measuring collagen-1 and alpha-smooth muscle actin (α-SMA), as well as their association with the G-protein-coupled estrogenic receptor (GPER1) and HDAC1 expression. Results: Dose of 20 mg/kg of HO-AAVPA decreased tumor fibrosis by inducing decreased collagen-1 and alpha-smooth muscle actin (α-SMA) levels and increased GPER1 expression. Moreover, HO-AAVPA reduced the activation and activity of CAFs. Conclusion: Our results support the notion that HDAC1 inhibition may be a novel approach to sensitizing resistant tumor cells to chemotherapy and radiotherapy by increasing GPER1 expression, and thus the use of antiproliferative GPER1 agonists/antagonists, at least in the early stages, without causing significant changes in liver function or morphological alterations. Full article
(This article belongs to the Special Issue Advances in Novel Drug Discovery, Synthesis, and Evaluation)
Show Figures

Graphical abstract

14 pages, 1719 KB  
Review
DUSP1: Triple-Negative Breast Cancer and Therapeutic Potential
by Suryakant Niture, Dinesh Thotala, Jerry Jaboin and Danushka Seneviratne
Curr. Oncol. 2026, 33(2), 82; https://doi.org/10.3390/curroncol33020082 - 30 Jan 2026
Abstract
Triple-negative breast cancer (TNBC) is an aggressive breast cancer subtype characterized by high rates of recurrence, limited targeted treatment options, and frequent resistance to standard therapies. Dual-specificity protein phosphatase 1 (DUSP1), a stress-responsive regulator of mitogen-activated protein kinase (MAPK) signaling, has emerged as [...] Read more.
Triple-negative breast cancer (TNBC) is an aggressive breast cancer subtype characterized by high rates of recurrence, limited targeted treatment options, and frequent resistance to standard therapies. Dual-specificity protein phosphatase 1 (DUSP1), a stress-responsive regulator of mitogen-activated protein kinase (MAPK) signaling, has emerged as a context-dependent modulator of tumor progression and therapeutic response in TNBC. While reduced DUSP1 expression has been associated with aggressive tumor phenotypes and poor prognosis, accumulating evidence indicates that therapy-induced upregulation of DUSP1 can promote resistance to chemotherapy and radiotherapy by attenuating pro-apoptotic MAPK signaling and fostering immunosuppressive tumor microenvironment (TME). Emerging evidence highlights that DUSP1’s role is context-dependent on human cancers, including breast cancer (BC). This review synthesizes current evidence on DUSP1 biology in TNBC, with emphasis on its mechanistic involvement in chemotherapy resistance, radiation-induced immune modulation, and emerging implications for immunotherapy response. Full article
(This article belongs to the Section Breast Cancer)
Show Figures

Graphical abstract

18 pages, 439 KB  
Review
Neuroblastoma in Childhood: Biological Insights, Risk Stratification, and Advances in Multimodal Therapy
by Amina De Bona, Martina Barbieri, Nicole Rinaldi and Susanna Esposito
J. Clin. Med. 2026, 15(3), 1101; https://doi.org/10.3390/jcm15031101 - 30 Jan 2026
Abstract
Neuroblastoma is the most common extracranial solid tumor of childhood and remains a leading cause of cancer-related mortality in pediatric patients. Characterized by marked clinical and biological heterogeneity, the disease ranges from spontaneously regressing tumors in infants to highly aggressive, treatment-resistant malignancies in [...] Read more.
Neuroblastoma is the most common extracranial solid tumor of childhood and remains a leading cause of cancer-related mortality in pediatric patients. Characterized by marked clinical and biological heterogeneity, the disease ranges from spontaneously regressing tumors in infants to highly aggressive, treatment-resistant malignancies in older children. Advances in molecular biology and genomics have significantly improved understanding of neuroblastoma pathogenesis, revealing the critical role of genetic and epigenetic alterations—such as MYCN amplification, ALK mutations, and chromosomal aberrations—in disease behavior and prognosis. Contemporary risk stratification systems now integrate clinical, biological, and molecular features to guide therapy more precisely. Management strategies have evolved toward risk-adapted, multimodal approaches. Low- and intermediate-risk patients often achieve excellent outcomes with surgery alone or limited chemotherapy, whereas high-risk neuroblastoma requires intensive multimodal treatment including induction chemotherapy, surgical resection, high-dose chemotherapy with autologous stem cell rescue, radiotherapy, and maintenance therapy. The incorporation of immunotherapeutic approaches, particularly anti-GD2 monoclonal antibodies, has significantly improved survival in high-risk disease. Emerging therapies such as targeted agents, radiopharmaceuticals, and cellular immunotherapies are further expanding the therapeutic landscape. Despite these advances, high-risk and relapsed neuroblastoma remain associated with substantial morbidity and mortality. Ongoing challenges include treatment resistance, long-term toxicity, and disparities in access to advanced therapies. Continued progress will depend on integrating molecular profiling into clinical decision-making, refining risk-adapted treatment strategies, and expanding international collaborative research efforts. This narrative review summarizes current knowledge on neuroblastoma epidemiology, biology, staging, and treatment, highlighting recent advances and future directions aimed at improving outcomes for affected children. Full article
Show Figures

Figure 1

17 pages, 512 KB  
Review
The Optimal Management of Patients with Prostate Cancer with Oligometastatic Disease and Low Metastatic Burden in the PSMA-PET Era
by Menal Bhandari, Isaac Lasko, Jacob Pozin, Michael Chang, Hann-Hsiang Chao, Elizabeth Henry, Nicholas G. Nickols, Timothy Ritter, Joseph K. Salama and Abhishek A. Solanki
Cancers 2026, 18(3), 450; https://doi.org/10.3390/cancers18030450 - 30 Jan 2026
Abstract
Historically, systemic therapy has been the primary treatment for metastatic prostate cancer (MPC), with radiotherapy and surgery reserved for palliation. The recent literature suggests that adding local therapy (i.e., radiotherapy or surgery) to systemic therapy may improve survival for MPC patients with low [...] Read more.
Historically, systemic therapy has been the primary treatment for metastatic prostate cancer (MPC), with radiotherapy and surgery reserved for palliation. The recent literature suggests that adding local therapy (i.e., radiotherapy or surgery) to systemic therapy may improve survival for MPC patients with low metastatic burden (LMB). While some evidence supports the use of early intervention with local therapy targeting both the primary tumor and limited metastatic sites, the definition of LMB disease requires further clarification. Prostate-specific membrane antigen (PSMA) positron emission tomography (PET) scans play a vital role in staging MPC because they offer superior sensitivity and specificity compared to conventional imaging. PSMA PET thus improves patient selection and helps direct treatment planning. Local therapy in MPC can be separated into the treatment of primary and metastatic tumors. Furthermore, treatment of both the primary tumor and metastases can be managed using either radiotherapy or surgical intervention. Studies exploring the use of local therapy for both the primary tumor and oligometastatic sites have demonstrated promising clinical outcomes in patients with LMB or oligometastatic disease. This review provides a detailed description of the current optimal management of patients with metastatic prostate cancer with limited disease. Full article
(This article belongs to the Section Cancer Therapy)
Show Figures

Figure 1

10 pages, 733 KB  
Article
Generalization of the Conformity Index for Multi-Target Radiotherapy Plans
by Yong Sang, Jun Dang, Jianan Wu, Yanling Wu, Enzhuo Quan and Jianrong Dai
Cancers 2026, 18(3), 426; https://doi.org/10.3390/cancers18030426 - 28 Jan 2026
Abstract
Background and Purpose: Based on the distortion of the current conformity index (CI) formula in handling multi-target plans, the VTV parameter in the current CI formula has been redefined to more accurately calculate the CI value of multi-target plans, providing a [...] Read more.
Background and Purpose: Based on the distortion of the current conformity index (CI) formula in handling multi-target plans, the VTV parameter in the current CI formula has been redefined to more accurately calculate the CI value of multi-target plans, providing a reference for clinical applications. Methods and Materials: Considering the limitations of the current VTV calculation formula in CI proposed by van’t Riet and Paddick, a new VTV has been defined to better reflect the true conformity of the target volume in multi-target planning. We selected 15 breast cancer (BC) plans with PTVsc and PTVcw as the target volumes, and 15 nasopharyngeal carcinoma (NPC) plans with PTVp, PTVn, PTVrpn, PTV1, and PTV2 as target volumes. VTVnew and CInew were calculated using the proposed formulas, while VTVold and CIold were calculated using traditional formulas based on van’t Riet and Paddick. A paired, two-tailed Wilcoxon signed-rank test was conducted to compare VTVnew with VTVold, and CInew with CIold across all target volumes. Pearson’s correlation analysis was performed between CInew and CIold. Results: For BC, the VTV values calculated by the two methods for PTVsc and PTVcw showed statistically significant differences; the values calculated in this study were significantly lower than those calculated by van’t Riet and Paddick (p < 0.05). Consequently, the CInew values for BC were significantly higher than CIold. These results were consistent with those for PTVp, PTVn, PTVrpn, and PTV2 in NPC. For PTV1 in NPC, the results calculated by the two formulas were identical. Conclusions: The new VTV calculation formula eliminates the influence of dose spillage from adjacent targets, retaining only the prescription dose range of the specific target under analysis. This makes the calculated CI more reflective of true conformity compared to traditional formulas. We recommend using the proposed formula to calculate CI values for multi-target plans such as those for BC and NPC. Full article
(This article belongs to the Special Issue Image-Assisted High-Precision Radiation Oncology)
Show Figures

Figure 1

18 pages, 4493 KB  
Article
Integrated Single-Cell and Spatial Transcriptomics Coupled with Machine Learning Uncovers MORF4L1 as a Critical Epigenetic Mediator of Radiotherapy Resistance in Colorectal Cancer Liver Metastasis
by Yuanyuan Zhang, Xiaoli Wang, Haitao Liu, Yan Xiang and Le Yu
Biomedicines 2026, 14(2), 273; https://doi.org/10.3390/biomedicines14020273 - 26 Jan 2026
Viewed by 117
Abstract
Background and Objective: Colorectal cancer (CRC) liver metastasis (CRLM) represents a major clinical challenge, and acquired resistance to radiotherapy (RT) significantly limits therapeutic efficacy. A deep and comprehensive understanding of the cellular and molecular mechanisms driving RT resistance is urgently required to develop [...] Read more.
Background and Objective: Colorectal cancer (CRC) liver metastasis (CRLM) represents a major clinical challenge, and acquired resistance to radiotherapy (RT) significantly limits therapeutic efficacy. A deep and comprehensive understanding of the cellular and molecular mechanisms driving RT resistance is urgently required to develop effective combination strategies. Here, we aimed to dissect the dynamic cellular landscape of the tumor microenvironment (TME) and identify key epigenetic regulators mediating radioresistance in CRLM by integrating cutting-edge single-cell and spatial omics technologies. Methods and Results: We performed integrated single-cell RNA sequencing (scRNA-seq) and spatial transcriptomics (ST) on matched pre- and post-radiotherapy tumor tissues collected from three distinct CRLM patients. Employing a robust machine-learning framework on the multi-omics data, we successfully identified MORF4L1 (Mortality Factor 4 Like 1), an epigenetic reader, as a critical epigenetic mediator of acquired radioresistance. High-resolution scRNA-seq analysis of the tumor cell compartment revealed that the MORF4L1-high subpopulation exhibited significant enrichment in DNA damage repair (DDR) pathways, heightened activity of multiple pro-survival metabolic pathways, and robust signatures of immune evasion. Pseudotime trajectory analysis further confirmed that RT exposure drives tumor cells toward a highly resistant state, marked by a distinct increase in MORF4L1 expression. Furthermore, cell–cell communication inference demonstrated a pronounced, systemic upregulation of various immunosuppressive signaling axes within the TME following RT. Crucially, high-resolution ST confirmed these molecular and cellular interactions in their native context, revealing a significant spatial co-localization of MORF4L1-expressing tumor foci with multiple immunosuppressive immune cell types, including regulatory T cells (Tregs) and tumor-associated macrophages (TAMs), thereby underscoring its role in TME-mediated resistance. Conclusions: Our comprehensive spatial and single-cell profiling establishes MORF4L1 as a pivotal epigenetic regulator underlying acquired radioresistance in CRLM. These findings provide a compelling mechanistic rationale for combining radiotherapy with the targeted inhibition of MORF4L1, presenting a promising new therapeutic avenue to overcome treatment failure and improve patient outcomes in CRLM. Full article
(This article belongs to the Special Issue Epigenetic Regulation in Cancer Progression)
Show Figures

Figure 1

78 pages, 5907 KB  
Review
Immune-Centered Cross-Talk Between Cancer Cells and the Tumor Microenvironment—Implications for Therapy
by Eliza Turlej, Aleksandra Domaradzka, Rostyslav Koksharov and Agnieszka Gizak
Cancers 2026, 18(3), 344; https://doi.org/10.3390/cancers18030344 - 23 Jan 2026
Viewed by 172
Abstract
The tumor microenvironment (TME), composed of various immune and non-immune cells, as well as cancer stem cells, plays a critical role not only in promoting cancer cell proliferation and metastasis but also in modulating therapeutic response. A wide range of therapeutic strategies targeting [...] Read more.
The tumor microenvironment (TME), composed of various immune and non-immune cells, as well as cancer stem cells, plays a critical role not only in promoting cancer cell proliferation and metastasis but also in modulating therapeutic response. A wide range of therapeutic strategies targeting the TME are currently employed in cancer treatment, including standard chemotherapy, radiotherapy, immunotherapy, anti-angiogenic therapies, agents targeting cancer-associated fibroblasts (CAFs), oncolytic viruses (OVs), cold atmospheric plasma therapy, and nanovaccines. This review provides a comprehensive overview of the influence of the TME on cancer sensitivity to these therapies across all types of solid tumors. Full article
(This article belongs to the Section Tumor Microenvironment)
Show Figures

Graphical abstract

36 pages, 3123 KB  
Review
Targeting ATR-CHK1 and ATM-CHK2 Axes in Pancreatic Cancer—A Comprehensive Review of Literature
by Mateusz Kciuk, Katarzyna Wanke, Beata Marciniak, Damian Kołat, Marta Aleksandrowicz, Somdutt Mujwar, Tarik Ainane and Renata Kontek
Int. J. Mol. Sci. 2026, 27(3), 1152; https://doi.org/10.3390/ijms27031152 - 23 Jan 2026
Viewed by 173
Abstract
Pancreatic cancer (PC) remains a highly lethal malignancy with limited treatment options and poor survival. Targeting DNA damage response (DDR) pathways has emerged as a promising therapeutic strategy, particularly the ATR-CHK1 and ATM-CHK2 axes. Preclinical studies demonstrate that ATR inhibition disrupts replication stress [...] Read more.
Pancreatic cancer (PC) remains a highly lethal malignancy with limited treatment options and poor survival. Targeting DNA damage response (DDR) pathways has emerged as a promising therapeutic strategy, particularly the ATR-CHK1 and ATM-CHK2 axes. Preclinical studies demonstrate that ATR inhibition disrupts replication stress tolerance, impairs homologous recombination, and disables checkpoint control, enhancing cytotoxicity from standard therapies including gemcitabine, FOLFIRINOX, fluoropyrimidines, and radiotherapy. Synergistic effects have also been observed with other DDR-targeted agents, such as PARP and WEE1 inhibitors. Genomic contexts, including ATM deficiency, ARID1A alterations, and oncogene-driven replication stress, refine therapeutic sensitivity, supporting precision patient stratification. Early-phase clinical trials of ATR inhibitors (ART0380, AZD6738, BBI-355) alone or in combination show promising safety, tolerability, and preliminary efficacy. In this review, we summarize current literature on targeting the ATM-CHK2 and ATR-CHK1 pathways in PC, highlighting preclinical evidence, clinical developments, and strategies for biomarker-driven, precision oncology approaches. Full article
Show Figures

Figure 1

55 pages, 5013 KB  
Review
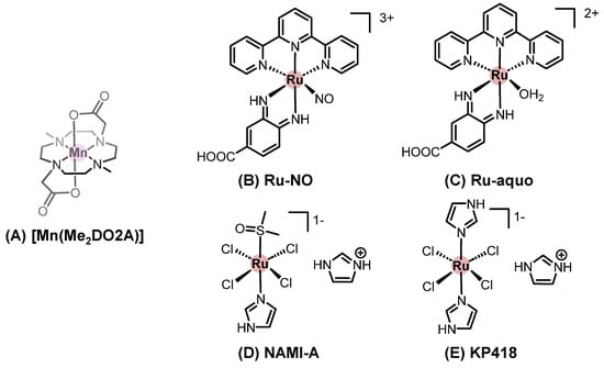
Navigating the Challenges of Metallopharmaceutical Agents: Strategies and Predictive Modeling for Skin Cancer Therapy
by Fernanda van Petten Vasconcelos Azevedo, Ana Lúcia Tasca Gois Ruiz, Diego Samuel Rodrigues, Douglas Hideki Nakahata, Raphael Enoque Ferraz de Paiva, Daniele Ribeiro de Araujo, Ana Carola de La Via, Wendel Andrade Alves, Michelle Barreto Requena, Cristina Kurachi, Mirian Denise Stringasci, José Dirceu Vollet-Filho, Wilton Rogério Lustri, Vanderlei Salvador Bagnato, Camilla Abbehausen, Pedro Paulo Corbi and Carmen Silvia Passos Lima
Pharmaceutics 2026, 18(2), 145; https://doi.org/10.3390/pharmaceutics18020145 - 23 Jan 2026
Viewed by 213
Abstract
Skin cancer (SC) is the most prevalent malignancy worldwide, with subtypes varying in aggressiveness: basal cell carcinoma tends to be locally invasive, squamous cell carcinoma has a higher metastatic risk, and melanoma remains the deadliest form. Current treatments such as surgery, radiotherapy, and [...] Read more.
Skin cancer (SC) is the most prevalent malignancy worldwide, with subtypes varying in aggressiveness: basal cell carcinoma tends to be locally invasive, squamous cell carcinoma has a higher metastatic risk, and melanoma remains the deadliest form. Current treatments such as surgery, radiotherapy, and systemic chemotherapy are associated with aesthetic and functional morbidity, recurrence, and/or systemic toxicity. Although targeted therapies and immunotherapies offer clinical benefits, their high cost and limited accessibility underscore the need for innovative, affordable alternatives. Metal-based compounds (metallopharmaceuticals) are promising anticancer agents due to their ability to induce oxidative stress, modulate redox pathways, and interact with DNA. However, clinical translation has been limited by poor aqueous solubility, rapid degradation, and low skin permeability. This review discusses the most recent preclinical findings on gold, silver, platinum, palladium, ruthenium, vanadium, and copper complexes, mainly in topical and systemic treatments of SC. Advances in chemical and physical enhancers, such as hydrogels and microneedles, and in drug delivery systems, including bacterial nanocellulose membranes and nanoparticles, as well as liposomes and micelles, for enhancing skin permeation and protecting the integrity of metal complexes are also discussed. Additionally, we examine the contribution of photodynamic therapy to SC treatment and the use of mathematical and computational modeling to simulate skin drug transport, predict biodistribution, and support rational nanocarrier design. Altogether, these strategies aim to bridge the gap between physicochemical innovation and clinical applicability, paving the way for more selective, stable, and cost-effective SC treatments. Full article
(This article belongs to the Special Issue Dosage Form Design and Delivery Therapy for Skin Disorders)
Show Figures

Graphical abstract

20 pages, 7024 KB  
Article
Paving the Way for CCK2R-Targeted Peptide Receptor Radionuclide Therapy with [177Lu]Lu-DOTA-MGS5 in Patients with Small Cell Lung Cancer
by Taraneh Sadat Zavvar, Giulia Santo, Leonhard Gruber, Ariane Kronthaler, Judith Hagenbuchner, Ira Skvortsova, Inken Piro, Katja Steiger, Vladan Martinovic, Danijela Minasch, Judith Löffler-Ragg, Gianpaolo di Santo, Irene J. Virgolini and Elisabeth von Guggenberg
Pharmaceutics 2026, 18(1), 138; https://doi.org/10.3390/pharmaceutics18010138 - 22 Jan 2026
Viewed by 153
Abstract
Background/Objectives: Peptide receptor radionuclide therapy (PRRT) is an established treatment for neuroendocrine tumors (NETs), enabling targeted radiation delivery via radiolabeled peptides. Small cell lung cancer (SCLC) remains a major therapeutic challenge due to its aggressive nature and poor prognosis. Despite advances, relapse [...] Read more.
Background/Objectives: Peptide receptor radionuclide therapy (PRRT) is an established treatment for neuroendocrine tumors (NETs), enabling targeted radiation delivery via radiolabeled peptides. Small cell lung cancer (SCLC) remains a major therapeutic challenge due to its aggressive nature and poor prognosis. Despite advances, relapse rates are high and effective therapies are limited. We previously demonstrated the diagnostic potential of the cholecystokinin-2 receptor (CCK2R)-targeting minigastrin analog [68Ga]Ga-DOTA-MGS5 in PET/CT imaging of different NETs. Building on this, we developed and evaluated [177Lu]Lu-DOTA-MGS5 as a therapeutic PRRT agent. Methods: Preclinical studies investigating the receptor-mediated cellular internalization and intracellular distribution over time in A431 cells with and without CCK2R expression were performed using the fluorescent tracer ATTO-488-MGS5. Short- and long-term cytotoxic effects of [177Lu]Lu-DOTA-MGS5 were evaluated on the same cell line using trypan blue exclusion and clonogenic survival assays. CCK2R expression was assessed by immunohistochemistry in 42 SCLC tissue specimens. In addition, the first PRRT with [177Lu]Lu-DOTA-MGS5 was conducted in a patient with extensive disease SCLC (ED-SCLC) after confirming CCK2R-positive uptake in [68Ga]Ga-DOTA-MGS5 PET/CT. Results: Rapid binding and internalization into A431-CCK2R cells, with progressive accumulation in intracellular compartments, was observed for ATTO-488-MGS5. Short-term irradiation effects of [177Lu]Lu-DOTA-MGS5 were comparable for 4 h and 24 h incubation and were between the effects obtained with 2 and 4 Gy of external beam radiotherapy (EBRT). Clonogenic survival of A431-CCK2R cells incubated with increasing activity of [177Lu]Lu-DOTA-MGS5 decreased in a dose-dependent manner. Immunohistochemistry on SCLC specimens confirmed moderate to high CCK2R expression in 16 out of 42 SCLC samples. In the first patient with SCLC treated with four cycles of [177Lu]Lu-DOTA-MGS5 with a total activity of 17.2 GBq, an improvement in clinical symptoms was observed. Conclusions: The preclinical and clinical results confirm the feasibility of [177Lu]Lu-DOTA-MGS5 PRRT in patients with SCLC and support further clinical studies investigating the therapeutic value and clinical applicability of this new CCK2R-targeted theranostic approach in larger patient cohorts. Full article
Show Figures

Figure 1

12 pages, 6655 KB  
Article
Initial Experience with Correlation Object–Based DRR Targeting Using Stereoscopic X-Ray Imaging in Lung SBRT
by Marlies Boussaer, Cristina Teixeira, Kajetan Berlinger, Selma Ben Mustapha, Anne-Sophie Bom, Sven Van Laere, Mark De Ridder and Thierry Gevaert
Cancers 2026, 18(2), 316; https://doi.org/10.3390/cancers18020316 - 20 Jan 2026
Viewed by 156
Abstract
Background/Objectives: Despite significant advances in imaging technology, real-time intra-fraction monitoring of moving targets remains a challenge in markerless radiotherapy. This retrospective study investigates the use of ExacTrac Dynamic by Brainlab as an intra-fraction monitoring tool for stereotactic body radiotherapy (SBRT) in both early-stage [...] Read more.
Background/Objectives: Despite significant advances in imaging technology, real-time intra-fraction monitoring of moving targets remains a challenge in markerless radiotherapy. This retrospective study investigates the use of ExacTrac Dynamic by Brainlab as an intra-fraction monitoring tool for stereotactic body radiotherapy (SBRT) in both early-stage NSCLC and oligometastatic disease. Methods: A total of 63 X-ray pairs from 21 patients were analyzed to evaluate tumor visualization with and without a surrogate approach. Statistical analysis was conducted to determine whether failures could be attributed to tumor size or localization using the Mann–Whitney U-test and Fisher’s exact test. The accuracy of the X-ray/digitally reconstructed radiograph (DRR) surrogate-based fusion was assessed by calculating and comparing the corresponding 3D vectors according to the linear mixed effects model, with a random slope effect for size of surrogate and a random intercept per patient. Results: Surrogates enhanced tumor visualization on X-ray/DRR fusions from 14.3% to 75.5%. Tumor size and lung affected (left or right) did not predict visualization success. Tumor location, however, tended to influence visibility, with lesions in the upper lobes being more readily visualized (88%) than those in the lower lobes (48.1%), although no statistical significance was reported (p > 0.05). Regarding geometric accuracy, 76% of the analyzed data points deviated less than 5 mm in the 3D vector measurements, the mean values were around 4 mm (±3 mm), and the medians were within 3 mm across all conditions. No statistically significant differences (p > 0.05) were found based on the surrogate size or the triggering time of the X-ray during the breathing cycle. Conclusions: Surrogate-based DRRs, referred to as Correlation Objects, demonstrate consistent geometric accuracy across multiple surrogate sizes and X-ray acquisitions, supporting the clinical translation of markerless lung targeting workflows for lung SBRT. Full article
(This article belongs to the Special Issue Advances in Thoracic Oncology Research)
Show Figures

Figure 1

60 pages, 7234 KB  
Review
Cellular Allies Against Glioblastoma: Therapeutic Potential of Macrophages and Mesenchymal Stromal Cells
by Bruno Agustín Cesca, Kali Pellicer San Martin and Luis Exequiel Ibarra
Pharmaceutics 2026, 18(1), 124; https://doi.org/10.3390/pharmaceutics18010124 - 19 Jan 2026
Viewed by 261
Abstract
Background/Objectives: Glioblastoma (GBM) remains the most aggressive primary brain tumor in adults, with limited therapeutic options and poor prognosis despite maximal surgery, radiotherapy, and chemotherapy. The complex and immunosuppressive tumor microenvironment, pronounced intratumoral heterogeneity, and the presence of the blood–brain barrier (BBB) [...] Read more.
Background/Objectives: Glioblastoma (GBM) remains the most aggressive primary brain tumor in adults, with limited therapeutic options and poor prognosis despite maximal surgery, radiotherapy, and chemotherapy. The complex and immunosuppressive tumor microenvironment, pronounced intratumoral heterogeneity, and the presence of the blood–brain barrier (BBB) severely restrict the efficacy of conventional and emerging therapies. In this context, cell-based strategies leveraging macrophages, mesenchymal stromal cells (MSCs), and their derivatives have gained attention as “cellular allies” capable of modulating the GBM microenvironment and acting as targeted delivery platforms. Methods: This review systematically analyzes preclinical and early clinical literature on macrophage- and MSC-based therapeutic strategies in GBM, including engineered cells, extracellular vesicles (EVs), membrane-coated nanoparticles, and hybrid biomimetic systems. Studies were selected based on relevance to GBM biology, delivery across or bypass of the BBB, microenvironmental modulation, and translational potential. Evidence from in vitro models, orthotopic and syngeneic in vivo models, and available clinical trials was critically evaluated, with emphasis on efficacy endpoints, biodistribution, safety, and manufacturing considerations. Results: The reviewed evidence demonstrates that macrophages and MSCs can function as active therapeutic agents or delivery vehicles, enabling localized oncolysis, immune reprogramming, stromal and vascular remodeling, and enhanced delivery of viral, genetic, and nanotherapeutic payloads. EVs and membrane-based biomimetic platforms further extend these capabilities while reducing cellular risks. However, therapeutic efficacy is highly context-dependent, influenced by tumor heterogeneity, BBB integrity, delivery route, and microenvironmental dynamics. Clinical translation remains limited, with most approaches at preclinical or early-phase clinical stages. Conclusions: Cell-based and cell-derived platforms represent a promising but still evolving therapeutic paradigm for GBM. Their successful translation will require rigorous biomarker-driven patient selection, improved models that capture invasive GBM biology, scalable GMP-compliant manufacturing, and rational combination strategies to overcome adaptive resistance mechanisms. Full article
(This article belongs to the Special Issue Where Are We Now and Where Is Cell Therapy Headed? (2nd Edition))
Show Figures

Graphical abstract

41 pages, 3913 KB  
Review
Advancing Bioconjugated Quantum Dots with Click Chemistry and Artificial Intelligence to Image and Treat Glioblastoma
by Pranav Kalaga and Swapan K. Ray
Cells 2026, 15(2), 185; https://doi.org/10.3390/cells15020185 - 19 Jan 2026
Viewed by 439
Abstract
Glioblastoma (GB) is one of the most aggressive and invasive cancers. Current treatment protocols for GB include surgical resection, radiotherapy, and chemotherapy with temozolomide. However, despite these treatments, physicians still struggle to effectively image, diagnose, and treat GB. As such, patients frequently experience [...] Read more.
Glioblastoma (GB) is one of the most aggressive and invasive cancers. Current treatment protocols for GB include surgical resection, radiotherapy, and chemotherapy with temozolomide. However, despite these treatments, physicians still struggle to effectively image, diagnose, and treat GB. As such, patients frequently experience recurrence of GB, demanding innovative strategies for early detection and effective therapy. Bioconjugated quantum dots (QDs) have emerged as powerful nanoplatforms for precision imaging and targeted drug delivery due to their unique optical properties, tunable size, and surface versatility. Due to their extremely small size, QDs can cross the blood–brain barrier and be used for precision imaging of GB. This review explores the integration of QDs with click chemistry for robust bioconjugation, focusing on artificial intelligence (AI) to advance GB therapy, mechanistic insights into cellular uptake and signaling, and strategies for mitigating toxicity. Click chemistry enables site-specific and stable conjugation of targeting ligands, peptides, and therapeutic agents to QDs, enhancing selectivity and functionalization. Algorithms driven by AI may facilitate predictive modeling, image reconstruction, and personalized treatment planning, optimizing QD design and therapeutic outcomes. We discuss molecular mechanisms underlying interactions of QDs with GB, including receptor-mediated endocytosis and intracellular trafficking, which influence biodistribution and therapeutic efficacy. Use of QDs in photodynamic therapy, which uses reactive oxygen species to induce apoptotic cell death in GB cells, is an innovative therapy that is covered in this review. Finally, this review addresses concerns associated with the toxicity of metal-based QDs and highlights how QDs can be coupled with AI to develop new methods for precision imaging for detecting and treating GB for induction of apoptosis. By converging nanotechnology and computational intelligence, bioconjugated QDs represent a transformative platform for paving a safer path to smarter and more effective clinical interventions of GB. Full article
(This article belongs to the Special Issue Cell Death Mechanisms and Therapeutic Opportunities in Glioblastoma)
Show Figures

Figure 1

20 pages, 2956 KB  
Article
Tumor Microenvironment: Insights from Multiparametric MRI in Pancreatic Ductal Adenocarcinoma
by Ramesh Paudyal, James Russell, H. Carl Lekaye, Joseph O. Deasy, John L. Humm, Muhammad Awais, Saad Nadeem, Richard K. G. Do, Eileen M. O’Reilly, Lawrence H. Schwartz and Amita Shukla-Dave
Cancers 2026, 18(2), 273; https://doi.org/10.3390/cancers18020273 - 15 Jan 2026
Viewed by 260
Abstract
Background/Objectives: The tumor microenvironment (TME) of pancreatic ductal adenocarcinoma (PDAC) is characterized by an enriched stroma, hampering the effectiveness of therapy. This co-clinical study aimed to (1) provide insight into early post-treatment changes in the TME using multiparametric magnetic resonance imaging (mpMRI)-derived quantitative [...] Read more.
Background/Objectives: The tumor microenvironment (TME) of pancreatic ductal adenocarcinoma (PDAC) is characterized by an enriched stroma, hampering the effectiveness of therapy. This co-clinical study aimed to (1) provide insight into early post-treatment changes in the TME using multiparametric magnetic resonance imaging (mpMRI)-derived quantitative imaging biomarkers (QIBs) in a preclinical PDAC model treated with radiotherapy and correlate these QIBs with histology; (2) evaluate the feasibility of obtaining these QIBs in patients with PDAC using clinically approved mpMRI data acquisitions. Methods: Athymic mice (n = 12) at pre- and post-treatment as well as patients with PDAC (n = 11) at pre-treatment underwent mpMRI including diffusion-weighted (DW) and dynamic contrast-enhanced (DCE) data acquisition sequences. DW and DCE data were analyzed using monoexponential and extended Tofts models, respectively. DeepLIIF quantified the total percentage (%) of tumor cells in hematoxylin and eosin (H&E)-stained tissues from athymic mice. Spearman correlation and Wilcoxon signed rank tests were performed for statistical analysis. Results: In the preclinical PDAC model, mean pre- and post-treatment ADC and Ktrans values differed significantly (p < 0.01), changing by 20.50% and 20.41%, respectively, and the median total tumor cells quantified by DeepLIIF was 24% (range: 15–53%). Post-treatment ADC values and relative change in ve (rΔve) showed a significant negative correlation with total tumor cells (ρ = −0.77, p < 0.014 for ADC and ρ = −0.77, p = 0.009 for rΔve). In patients with PDAC, pre-treatment mean ADC and Ktrans values were 1.76 × 10−3 (mm2/s) and 0.24 (min−1), respectively. Conclusions: QIBs in both preclinical and clinical settings underscore their potential for future co-clinical research to evaluate emerging drug combinations targeting both tumor and stroma. Full article
(This article belongs to the Special Issue Image-Assisted High-Precision Radiation Oncology)
Show Figures

Figure 1

19 pages, 4326 KB  
Article
Effects of Different Types of Lactobacillus helveticus Exopolysaccharides on Immune Function in Immunodeficient Mice
by Shunyu Wang, Hongchao Wang, Fuhao Li, Yurong Zhao, Zhangming Pei, Wenwei Lu, Jianxin Zhao and Shourong Lu
Foods 2026, 15(2), 261; https://doi.org/10.3390/foods15020261 - 11 Jan 2026
Viewed by 204
Abstract
Immunodeficiency presents a significant clinical challenge in contexts such as tumour radiotherapy, chemotherapy, and organ transplantation. Current therapeutic interventions are constrained by single-target approaches and substantial adverse effects. As natural bioactive compounds, the immunomodulatory activities of Lactobacillus exopolysaccharides (EPS) are intimately linked to [...] Read more.
Immunodeficiency presents a significant clinical challenge in contexts such as tumour radiotherapy, chemotherapy, and organ transplantation. Current therapeutic interventions are constrained by single-target approaches and substantial adverse effects. As natural bioactive compounds, the immunomodulatory activities of Lactobacillus exopolysaccharides (EPS) are intimately linked to their monosaccharide composition. Mannose and fucose, two rare functional monosaccharides, fulfil critical roles in physiological processes including immune recognition and inflammatory regulation. However, the functional optimisation of EPS through mannose and fucose enrichment remains incompletely characterised. This study established a cyclophosphamide (CTX)-induced immunodeficient mouse model to investigate the immunomodulatory effects of mannose-enriched and fucose-enriched EPS derived from Lactobacillus helveticus. Intervention efficacy was evaluated through a comprehensive assessment of immune organ indices, cytokine profiles, histopathological alterations, and gut microbiota composition. Both mannose-enriched and fucose-enriched EPS significantly elevated splenic indices and ameliorated white pulp atrophy. Furthermore, these EPS variants restored cytokine homeostasis in serum and small intestinal tissues, attenuated hepatic steatosis, and restructured the gut microbiota by enhancing microbial diversity, increasing Firmicutes abundance, and elevating the relative proportions of Bacteroides, Faecalibacterium, and Bifidobacterium. Collectively, mannose-enriched and fucose-enriched EPS from Lactobacillus helveticus alleviated CTX-induced immunodeficiency through multiple mechanisms, including restoration of immune organ integrity, modulation of cytokine networks, and re-establishment of gut microbiota homeostasis. This study provides a theoretical foundation for developing immunomodulatory functional foods and offers novel insights into the microbiota-immunity axis in immune regulation. Full article
Show Figures

Figure 1

Back to TopTop