Abstract
Background: Triple-negative breast cancer (TNBC) is one of the most aggressive breast cancer subtypes due to its rapid growth, poor prognosis, and low response to chemotherapies owing to a lack of therapeutic targets and drug resistance. Histone deacetylases (HDACs) induce stromal changes that increase extracellular matrix density through the activity of cancer-associated fibroblasts (CAFs). HDACs are overexpressed in TNBC and have been linked to the activation and sustained activity of CAFs. Additionally, HDAC inhibitors decrease the fibroblastic activity. Objectives: We aimed to analyze the antifibrotic effect of the N-(2′-hydroxyphenyl)-2-propylpentanamide (HO-AAVPA), an inhibitor of the HDAC1, 6, and 8 (iHDAC) on TNBC. Methods: The TNBC (4T1) cell line was inoculated under the dorsal skin in mice to develop a TNBC tumor. CAF’s activation was determined by measuring collagen-1 and alpha-smooth muscle actin (α-SMA), as well as their association with the G-protein-coupled estrogenic receptor (GPER1) and HDAC1 expression. Results: Dose of 20 mg/kg of HO-AAVPA decreased tumor fibrosis by inducing decreased collagen-1 and alpha-smooth muscle actin (α-SMA) levels and increased GPER1 expression. Moreover, HO-AAVPA reduced the activation and activity of CAFs. Conclusion: Our results support the notion that HDAC1 inhibition may be a novel approach to sensitizing resistant tumor cells to chemotherapy and radiotherapy by increasing GPER1 expression, and thus the use of antiproliferative GPER1 agonists/antagonists, at least in the early stages, without causing significant changes in liver function or morphological alterations.
1. Introduction
Breast cancer (BC) is a heterogeneous and complex disease in which several internal and external factors impact its development and progression [1]. With an estimated 2.29 million new cases diagnosed and over 666,000 deaths per year, BC is the most diagnosed cancer worldwide and the leading cause of cancer-related death among women [2]. Current therapeutic strategies show limited efficacy in patients with relapsed or metastatic cancer due to the development of resistance to treatments, which was formerly attributed to genetic factors [3,4]. However, a wide variety of direct and indirect mechanisms contribute to cancer resistance to drugs and radiation, including genetic and epigenetic modifications, metabolic alterations, tumor cell diversity, increased DNA repair, and changes in the tumor stroma [5,6]. Therefore, the search for new pharmacological alternatives for the control or cure of BC continues to be of great social and health importance.
Since the 1960s, rapid, non-genomic responses to estrogen have been observed in ovariectomized rats, involving the production of cAMP and calcium mobilization [7,8]. These effects, initially attributed solely to the estrogen receptor (ER)-α, were later linked to the G protein-coupled receptor (GPCR) GP estrogen receptor 1 (GPER) [9,10], which mediates rapid estrogen signaling, including ERK activation [11] and c-Fos expression, independently of ERα [12]. Revankar et al. (2005) identified GPER as a distinct intracellular estrogen receptor whose localization modulates its functional activity. The subsequent development of selective ligands (G-1, G-15, and G-36) enabled precise investigation of GPER-mediated pathways. In triple-negative breast cancer (TNBC), GPER has garnered increasing attention due to its association with tumor progression and specific clinicopathological features. Ongoing studies aim to elucidate its role in estrogen signaling and its potential contribution to TNBC development and therapy resistance [13].
Revankar et al. (2005) established GPER as a distinct estrogen receptor with intracellular localization influencing its activity. The development of selective ligands (G-1, G-15, G-36) has enabled the targeted study of GPER. In the context of triple-negative breast cancer (TNBC), GPER has gained attention for its association with tumor progression and clinicopathological features. Ongoing research focuses on elucidating its role in estrogen signaling and its implications in TNBC development and therapy resistance [13].
The breast stroma is a crucial tissue component of the mammary gland, comprising fibroblasts, adipocytes, neuronal and immune cells, and protein components of the extracellular matrix (ECM), including proteoglycans, hyaluronic acid, fibronectin, collagen, laminin, growth factors, cytokines, chemokines, metabolites, and antibodies. All these components are known collectively as the tumor microenvironment (TME) [14,15,16,17]. A strong relationship between the stroma density and tumor development/progression has been established, with a 2- to 6-fold higher BC susceptibility in women with increased stroma density, which is primarily correlated with an increase in collagen deposits, high insulin-like growth factor 1 (IGF-1) and metalloproteinase 3 inhibitor (TIMP-3) levels [18,19].
The ECM serves as a scaffold for tumor development and contributes to the cell migration [20], metabolic changes [21] and drug resistance in tumor cells [22], mainly due to the increase in matrix protein deposits and other functions regulated by cancer-associated fibroblasts (CAFs). There are 81 genes related to treatment resistance, 11 of which are involved in ECM formation, including the gene that codes for collagen 1 (COL1A1), which provides tamoxifen resistance [23] and radiotherapy resistance [24]. The increase in matrix components creates a rigid and close physical barrier of proteins that hinders the entry of chemotherapeutics due to the capture of drugs without affecting the diffusion of oxygen and nutrients [21], and the delivery of metabolites, as these are small and polar molecules [16,17]. In vitro comparative studies using monocultures and co-cultures of breast carcinoma cells and BC-associated fibroblasts (BCAFs) have revealed that only the BCAFs increase in growth factors, interleukins (IL-6 and 8), and matrix metalloproteinases (MMP2 and MMP11), all of which are associated with increased tumor growth, angiogenesis, metastasis, and invasiveness [25]. Tumor cells secrete Platelet-Derived Growth Factor (PDGF) and Transforming Growth Factor-β (TGF-β) to stimulate the transformation of normal fibroblasts (NFs) into BCAFs, which in turn secrete growth factors that promote tumor cell proliferation and drug resistance [26].
TGF-β participates in the formation of an aberrant cell that activates fibroblasts and modulates the TME, increasing ECM deposition and the formation of a physical barrier (e.g., cells, proteins, carbohydrates, and lipids), thereby hindering the entrance of antitumor drugs. This, in turn, contributes to the epithelial–mesenchymal transition (EMT) and cell proliferation [27,28,29]. It is known that the deletion or downregulation of histone deacetylase 1 (HDAC1) mRNA suppresses TGF-β1-induced EMT and cell migration [30].
NFs are quiescent cells that regulate various processes, such as wound healing, tissue inflammation, and fibrosis, and are associated with anti-tumorigenic activity [31,32]. Although the mechanism by which NFs transform to CAFs has not been fully elucidated, this process is not due to mutations in the NF genome but rather changes in histone acetylation, methylation, phosphorylation, ubiquitination, ADP ribosylation, SUMOylation and DNA methylation, which can lead to fibroblast reprogramming, allowing them to acquire pro-tumorigenic phenotypes, secondary to modifications in their transcriptional activity, which leads to TME and remodeling [33,34,35]. The primary post-translational modifications mediated by HDACs (histone deacetylation) can lead to gene inactivation, subsequently downregulating processes that are conducive to tumor cell initiation and progression, in which CAFs play a critical role [36]. The development of compounds that inhibit HDACs could create new therapeutic strategies, either as independent drugs or adjuvants, which could reverse the CAFs phenotype into NFs; in other words, changing the pro-tumoral activity of the CAFs into NFs cells, i.e., restoring the microenvironment of the BC to make it less pro-tumoral, and thus favoring that tumor cells be more sensitive to antitumoral treatments [37,38,39,40].
Some pan-HDAC inhibitors (HDACi), such as valproic acid (VPA) and suberoylanilide hydroxamic acid (SAHA), are effective against some types of cancer. However, they have low specificity for HDAC isoforms. They are associated with severe side effects, such as hepatotoxicity and hyperammonemia with VPA [41] and myelosuppression and thrombocytopenia with SAHA [42].
The high mortality linked to chemotherapeutic resistance, which is driven by increased intratumoral fibrosis and the side effects of HDACi, highlights the need for new compounds that offer antiproliferative benefits with fewer adverse effects. The N-(2′-hydroxyphenyl)-2-propylpentanamide HO-AAVPA) [43,44], VPA-derived compound, which in vitro studies have demonstrated that it has antiproliferative effects on TNBC, and in vivo, it exhibits less adverse effects (Figure 1) [45,46,47]. The antiproliferative effects of the HO-AAVPA may have been caused by the HDAC inhibition influence in the cell death (apoptosis) [48] and EMT mechanism from CAFs into NF [49]. If this is true, it is essential to evaluate the antifibrotic effects of HO-AAVPA under in vivo conditions. Thus, the present work aimed to analyze the anti-HDAC1 effects of HO-AAVPA on MET, through the evaluation of CAFs activation and permanent activity and the possible reversion of intratumoral fibrosis in a murine model of TNBC (4T1). Liver histopathology changes were also evaluated to assess the hepatotoxic effects of HO-AAVPA.
Figure 1.
Chemical structure of the compound N-(2-hydroxyphenyl)-2-propylpentanamide. Adapted from Prestegui-Martel et al. J Enzyme Inhib Med Chem, 2016 [50].
2. Materials and Methods
2.1. Synthesis of the Compound N-(2-Hydroxyphenyl)-2-Propylpentanamide (HO-AAVPA)
The synthesis of HO-AAVPA was carried out according to the synthetic route outlined in our work group’s report [50]. Briefly, the synthesis of HO-AAVPA proceeds by first activating valproic acid (VPA) (Sigma-Aldrich, Merck KGaA, Darmstadt, Germany) through its conversion to the reactive intermediate 2-propylpentanoyl chloride using oxalyl chloride (Sigma-Aldrich, Merck KGaA, Darmstadt, Germany) at 0 °C, followed by an amide coupling reaction where this acyl chloride is treated with ortho-hydroxy-aniline (Sigma Sigma-Aldrich, Merck KGaA, Darmstadt, Germany) and subsequently quenched with a base like sodium bicarbonate (Sigma-Aldrich, Merck KGaA, Darmstadt, Germany) to yield the final derivative.
2.2. Animals
Female mice aged 9–12 weeks from the Balb-C strain were provided by the Vivarium of the Autonomous University of Aguascalientes. All mice were kept on a 12:12 h light-dark cycle with constant ambient temperature (21 ± 1 °C) and humidity (50 ± 7%). Food (Lab Diet 5010, Purina, St. Louis, MO, USA) and water were available ad libitum. All experiments were carried out in accordance with the ethical principles and regulations specified by NOM-062-ZOO-199 (México), and reviewed and approved by the Institutional Bioethics Committee, called CEADI-UAA (Ethics Committee for the Use of Animals in Teaching and Research at the Autonomous University of Aguascalientes) (file number CEADI-UAA/05/2025).
Experimental Groups and Randomization
To establish the breast cancer model, 22 female mice were first inoculated subcutaneously with 4T1 cells. After one week, once palpable tumor development was confirmed, animals were randomly allocated into the tumor control (n = 10) and tumor + vehicle (n = 10) groups. During the 22-day observation and follow-up period, the mortality rate associated with tumor progression was recorded. Following completion of this initial phase (21 days), an additional 30 animals were inoculated with 4T1 cells to evaluate the pharmacological treatments. One week after tumor establishment, animals were randomly assigned into the following treatment groups: VPA 600 mg/kg (n = 7), HO-AAVPA 20 mg/kg (n = 7), HO-AAVPA 40 mg/kg (n = 7), and HO-AAVPA 80 mg/kg (n = 7). All treatments were administered once daily for 21 consecutive days.
2.3. Breast Cancer Induction
The 4T1 murine mammary carcinoma cell line was obtained from the American Type Culture Collection (ATCC, Cat. No. CRL-2539™, Manassas, VA, USA) and maintained according to ATCC recommendations on a Roswell Park Memorial Institute (RPMI 1640, GIBCOTM) (Thermo Fisher Scientific, Cat. 11875-093, Waltham, MA, USA) medium enriched with 10% fetal bovine serum (FBS) from GIBCO™ (Thermo Fisher Scientific, Cat. No. 16000044, Waltham, MA, USA). Once the confluence was reached (70–80%), cells were harvested using EDTA (cat. E8008, Sigma-Aldrich, Merck KGaA, Darmstadt, Germany). Cells were then centrifuged at 2500 rpm and resuspended in RPMI 1640 with 10% FBS. Cells were counted using the Neubauer chamber technique [51] and Trypan blue (cat. 93595-100ML, Sigma-Aldrich, Merck KGaA, Darmstadt, Germany) stain. A suspension of 7.5 × 105 cells/50 μL was subcutaneously injected into the interscapular space of each animal [52].
2.4. Drug Treatments
Different treatments were prepared: Sodium valproate (cat. P4543-10G, Sigma-Aldrich, Merck KGaA, Darmstadt, Germany) in PBS 1x (Cat. P3813-10PAK, Sigma-Aldrich, Merck KGaA, Darmstadt, Germany) (600 mg/kg body weight/20 mL), vehicle 1:1 mixture of ethanol (cat. 02870, Sigma-Aldrich, Merck KGaA, Darmstadt, Germany) and castor oil (cat. C5135, Sigma-Aldrich, Merck KGaA, Darmstadt, Germany) (20 μL), HO-AAVPA in a 1:1 mixture of ethanol and castor oil (20, 40 and 80 mg/kg body weight/20 mL). Subcutaneous injections were administered in ventral area daily for 21 days (Figure 2). At the end of the treatment period, surviving animals in each group were euthanized by overdose of sodium pentobarbital (150 mg/kg). The final number of animals included in the subsequent histological, immunohistochemical, and biochemical analyses was as follows: tumor control (n = 8), tumor + vehicle (n = 9), VPA 600 mg/kg (n = 5), HO-AAVPA 20 mg/kg (n = 7), HO-AAVPA 40 mg/kg (n = 7), and HO-AAVPA 80 mg/kg (n = 7).
Figure 2.
Experimental design showing treatment groups and sample collection for histopathology, immunohistochemistry, and Western blot analyses. “n” indicates the number of induced animals per group.
2.5. Histology
Four weeks after 4T1 cell injection, animals were euthanized, and liver and tumor tissues were collected for histological evaluation. Samples were fixed in 15–17% neutral-buffered formalin, dehydrated through a graded ethanol series, cleared in xylene, and embedded in paraffin. Paraffin blocks were sectioned at 5 µm thickness, and liver and tumor sections were stained with hematoxylin (cat. 51275, Sigma-Aldrich, St. Louis, MO, USA) and eosin (cat. 318906, Sigma-Aldrich, St. Louis, MO, USA) following standard protocols [53]. Liver sections were additionally stained with periodic acid–Schiff (PAS) reagent (cat. 101646, Sigma-Aldrich, St. Louis, MO, USA) [54] to evaluate glycogen content. Tumor histological grade was determined using the Bloom–Richardson (SBR) system [55]. Sirius Red staining (cat. 365548, Sigma-Aldrich St. Louis, MO, USA) was performed on tumor sections to assess intratumoral fibrosis [56]. Histopathological evaluation and image acquisition were performed using optical microscopy with digital microphotography, and quantitative analyses were conducted with Image Pro Plus v11 (Media Cybernetics, Rockville, MD, USA). A portion of tumor tissue was snap-frozen in liquid nitrogen and stored at –80 °C for subsequent Western blot analysis.
2.5.1. Cell Death Area Evaluation
Cell death was quantified in H&E-stained tumor sections by analyzing seven microscopic fields per tissue sample. The scale bar was used to calibrate the pixel-to-micrometer ratio, and the total tissue area (mm2) within each field was measured. Regions exhibiting characteristic features of cell death (pyknosis, karyorrhexis, or acellular zones) were delineated, and their area was quantified. The percentage of cell death was calculated as (cell death area/total tissue area) × 100 [57].
2.5.2. Fibrosis Evaluation
Fibrosis quantification was performed using Sirius Red staining as previously described [58]. Nine microscopic fields per sample were analyzed. Images were converted to grayscale and thresholded to isolate collagen-positive regions. Fibrosis was expressed as the ratio of thresholded collagen area to total tissue area within each field, following the methodology described by Vogel. et al. (2015) and Schindelin et al. (2012) [57,59].
2.6. Immunofluorescence
Immunofluorescence was performed on tumor sections as described by Joshi and Yu (2017) [60] using primary antibodies against HDAC1 (cat. GTX100513, dilution 1:500, from GeneTex Inc., Irvine, CA, USA) and α-SMA (cat. GTX100034, 1:700 dilution, from GeneTex Inc., Irvine, CA, USA). Anti-rabbit Alexa 488 fluorochrome-conjugated secondary antibodies (cat. A11008, 1:500 dilution, Invitrogen™, Thermo-Fisher Scientific Inc., Waltham, MA, USA) were used for HDAC1 labeling. In contrast, rhodamine labeling (cat. AP132R, 1:500 dilution, Millipore™, Merck KGaA, Darmstadt, Germany) was used for α-SMA. Samples were fixed with 2% paraformaldehyde (PFA) (Cat. P6148-500MG, Sigma-Aldrich, Merck KGaA, Darmstadt, Germany) between each immunostaining. Nuclear staining was performed with Hoechst 33342 for 10 min (cat. 14530, 1:1000 dilution, Sigma-Aldrich, Merck KGaA, Darmstadt, Germany).
Quantification of HDAC1- and α-SMA-Positive Cells
ImageJ Pro v11 (Media Cybernetics, Rockville, MD, USA) was used to quantify HDAC1- and α-SMA-positive cells. Fifteen microscopic fields per tissue sample were analyzed. The software was first calibrated using the scale bar located in the lower right corner of each image to establish a reference pixel-to-micrometer ratio and to determine the corresponding field area in micrometers squared (µm2), which was subsequently converted to millimeters squared (mm2). A grid overlay was applied to facilitate systematic cell counting, and the Cell Counter tool was used to identify and count positively stained cells, displaying green fluorescence for HDAC1 and red fluorescence for α-SMA. The number of positive cells per mm2 was then calculated by normalizing the counted cells to the corresponding field area [57].
2.7. Western Blot
2.7.1. Protein Extraction
Protein extraction was performed from tumor tissue snap-frozen in liquid nitrogen and stored at −80 °C. Samples were lysed on ice using freshly prepared RIPA buffer consisting of 50 mM Tris-HCl (cat. T3253-250G, Sigma-Aldrich, Merck KGaA, Darmstadt, Germany), 150 mM NaCl (cat. 3624-01; JT Baker, Phillipsburg, NJ, USA), 1% NP-40 (cat. 85124, Thermo Fisher Scientific, Waltham, MA, USA), 0.5% sodium deoxycholate (cat. SRE0046, Sigma-Aldrich, Merck KGaA, Darmstadt, Germany), and 0.1% SDS (cat. L3253-250G, Sigma-Aldrich, Merck KGaA, Darmstadt, Germany) (https://www.abcam.com/protocols/general-western-blot-protocol, accessed on 20 Mach 2024). The buffer was supplemented with a protease inhibitor cocktail (Mini cOmplete™, cat. 11836153000, Roche, Merck KGaA, Darmstadt, Germany). Lysates were incubated on ice for 30 min with occasional gentle vortexing, followed by centrifugation at 14,000× g for 15 min at 4 °C. The supernatants were collected for protein quantification.
2.7.2. Protein Quantification
Protein concentration was determined using the Pierce BCA assay (cat. 23225, Thermo Fisher Scientific, Waltham, MA, USA) according to the manufacturer’s instructions.
2.7.3. Immunoblotting
GPER1 samples were denatured at room temperature to prevent aggregation, while GAPDH and COL1 samples were boiled at 95 °C for 5 min. Electrophoresis was performed by loading 40 μg of total protein per lane into a 7% SDS-polyacrylamide gel. Proteins were transferred onto Immun-Blot® PVDF membranes (0.2 μm pore size; Bio-Rad Laboratories, Hercules, CA, USA; cat. 1620177). Membranes were blocked for 2 h at room temperature with 5% non-fat milk (Svelty®, Nestlé, Mexico) prepared in Tris-buffered saline (TBS; 20 mM Tris-base, Promega, Madison, WI, USA; Cat. H5131; 137 mM NaCl, JT Baker, Phillipsburg, NJ, USA; Cat. 3624-01). After blocking, membranes were incubated overnight at 4 °C with primary antibodies against COL1A1 (cat. GTX112731, 1:1500, GeneTex Inc., Irvine, CA, USA), GPR30 (cat. GTX107748, 1:500, GeneTex Inc., Irvine, CA, USA), and GAPDH (cat. G9545, 1:10,000, Sigma-Aldrich, Merck KGaA, Darmstadt, Germany).
Following primary antibody incubation, membranes were washed three times (10 min each) with TBS containing 0.05% Tween-20 (Promega, Madison, WI, USA; cat. H5152), and subsequently incubated for 2 h at room temperature with HRP-conjugated anti-rabbit secondary antibody (cat. A0545, 1:2000, Sigma-Aldrich, Merck KGaA, Darmstadt, Germany). Protein bands were developed using the Immobilon™ chemiluminescent substrate kit (cat. WBKLS0500, Millipore, Merck KGaA, Darmstadt, Germany) and visualized using the imaging system described in Section 2.8. Densitometric quantification was performed using Image Lab™ software (version 6.1.0, Bio-Rad Laboratories Inc., Hercules, CA, USA). Relative expression levels were calculated according to Pillai et al. (2020) [61] by normalizing all target protein signals to GAPDH.
2.8. Instruments
The following instruments were used throughout the experimental procedures. Tissue embedding was performed using a paraffin embedding station (Leica EG1150H, Leica Microsystems, Wetzlar, Germany), and tissue sectioning was carried out with a rotary microtome (Leica RM212RT, Leica Microsystems, Wetzlar, Germany). Histological staining was conducted using an automated slide stainer (Leica ST4040, Leica Microsystems, Wetzlar, Germany). Optical analyses were performed using an Axioscop 40 optical microscope (Zeiss™, Carl Zeiss AG, Oberkochen, Germany), and microphotographs of liver and tumor tissue sections were acquired using a CoolSNAP-Pro color digital camera coupled to the microscope, with image capture managed through Image-Pro Plus software v11 (Media Cybernetics, Rockville, MD, USA). Protein electrophoresis for Western blot assays was conducted using a Mini-PROTEAN system (Bio-Rad, Hercules, CA, USA), and chemiluminescent signal detection was performed with a DNR Bio-Imaging System (Microchem 4.2, Jerusalem, Israel).
2.9. Statistical Analysis
A one-way analysis of variance (one-way ANOVA) was performed for the relative expression of GPER1 and COL1 (Western blot), followed by Tukey’s tests. A normality test was performed on the cell death area, the number of cells positive for HDAC1 and α-SMA, and fibrosis inhibition, which revealed that the data were non-parametric. Therefore, the Kruskal–Wallis test and its corresponding Dunn test were performed. Statistical tests were performed using the GraphPad Prism program version 8 (GraphPad, San Diego, CA, USA). Data are expressed as means ± S.D. p-values less than 0.05 were considered significant.
3. Results
3.1. Effects of VPA and HO-AAVPA on Tumor Histology
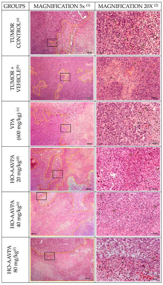
The tumoral tissues of all experimental groups exhibited similar changes in cell death, accompanied by stromal changes, such as increased zones of cellular death surrounded by viable tumor cells (Figure 3a–f). Theses death zones displayed nuclear pyknosis, karyorrhexis, karyolysis, cytoplasmic vacuolization, and large acellular areas (Figure 3a–f). Despite these histological changes, the size of the necrotic areas not differ significantly in size between the experimental groups (Figure 4).
Figure 3.
Stromal and morphological alterations induced by HO-AAVPA. (a) Tumor control group; (b) tumor + vehicle group; (c) VPA (600 mg/kg) group; (d) HO-AAVPA 20 mg/kg group; (e) HO-AAVPA 40 mg/kg group; and (f) HO-AAVPA 80 mg/kg group. Panels are arranged in two columns: column 1 shows areas of cell death (yellow line) surrounded by viable cells; column 2 shows morphological changes, including pyknotic nuclei (squares), karyolysis (triangle), and karyorrhexis (circle). Hematoxylin and eosin staining was used. Images were captured at 5× and 20× magnification.
Figure 4.
Effect of HO-AAVPA on cell death. No statistically significant differences were observed among experimental groups. Data are presented as mean ± standard deviation (SD). Statistical analysis was performed using the Kruskal–Wallis test.
Hepatic Morphology Changes in Response to VPA and HO-AAVPA
Table 1 presents the evaluation of morphological changes in hepatocytes, with VPA inducing macro- and microvesicular steatosis in 60–90% of the liver tissue, as well as moderate glycogen accumulation and mixed inflammatory infiltrates (lymphocytes and polymorphonuclear cells) around the portal triad, consistent with a NASH-type lesion. HO-AAVPA-treated groups induced from very-low to low steatosis, moderate to high glycogen deposits and non-significant inflammatory infiltrates. Control groups did not show steatosis nor inflammatory infiltrate, whereas glycogen deposits were normal. These results were supported by H&E and periodic acid-Schiff (PAS) staining (Figure 5a).
Table 1.
Hepatic histopathological findings.
Figure 5.
Morphological changes in liver tissue. (a) Representative micrographs showing hepatocyte alterations: column (1) corresponds to hematoxylin and eosin (H&E) staining, showing the general morphology of hepatic tissue; column (2) corresponds to periodic acid–Schiff (PAS) staining, where micro- and macrovesicular steatosis (black arrows) are observed in the VPA-treated group and glycogen deposits (yellow arrows) in the HO-AAVPA 20, 40, and 80 mg/kg groups, evidenced by spaces between the cell membrane and the nucleus. (b) Significant differences were observed in the degree of steatosis, with an increase in the VPA and HO-AAVPA 20 mg/kg groups compared with the control, whereas the HO-AAVPA 40 and 80 mg/kg groups exhibited a marked reduction in steatosis compared with the VPA and HO-AAVPA 20 mg/kg groups. (c) Quantification of glycogen vesicles in liver tissue in response to the treatments. A significant increase was detected in the HO-AAVPA 20 mg/kg and 40 mg/kg groups compared with the tumor control, as well as a significant difference between the tumor + vehicle group and the HO-AAVPA 40 mg/kg group. (d) Differences in inflammatory infiltrate. A significant increase was found in the VPA 600 mg/kg group compared with the tumor control, tumor + vehicle, and HO-AAVPA 40 mg/kg groups; in the HO-AAVPA 80 mg/kg group compared with the tumor control and HO-AAVPA 40 mg/kg groups; and in the HO-AAVPA 20 mg/kg group compared with the HO-AAVPA 40 mg/kg group. Statistical analysis was performed using the Kruskal–Wallis test followed by Dunn’s post hoc test. **** p < 0.0001, *** p < 0.001, ** p < 0.01, * p < 0.05. “n” indicates the number of animals evaluated per group.
Histological analysis of liver tissue revealed distinct morphological changes among the experimental groups (Figure 5a). In the VPA-treated group, hepatocytes exhibited micro- and macrovesicular steatosis, characterized by the presence of cytoplasmic lipid vacuoles (indicated by black arrows). In contrast, animals treated with HO-AAVPA at doses of 20, 40, and 80 mg/kg showed the presence of glycogen deposits (yellow arrows), evidenced by spaces between the plasma membrane and the nucleus. Significant differences were observed in the degree of steatosis (Figure 5b). The VPA and HO-AAVPA 20 mg/kg groups displayed a marked increase in lipid accumulation compared with the control group. In contrast, HO-AAVPA at 40 and 80 mg/kg significantly reduced the extent of steatosis relative to both the VPA and HO-AAVPA 20 mg/kg groups. Quantification of glycogen vesicles (Figure 5c) showed a significant increase in the HO-AAVPA 20 and 40 mg/kg groups compared with the tumor control. Moreover, a significant difference was detected between the tumor + vehicle and HO-AAVPA 40 mg/kg groups. Analysis of inflammatory infiltrate (Figure 5d) revealed a substantial increase in the VPA 600 mg/kg group compared with the tumor control, tumor + vehicle, and HO-AAVPA 40 mg/kg groups. Similarly, a higher inflammatory response was observed in the HO-AAVPA 80 mg/kg group compared with the tumor control and HO-AAVPA 40 mg/kg groups, as well as between the HO-AAVPA 20 mg/kg and 40 mg/kg groups.
3.2. Changes in Tumoral Stroma Fibrosis by VPA and HO-AAVPA
Sirius Red Stain
Sirius Red staining revealed a marker reduction in fibrotic area in animals treated with VPA and HO-AAVPA (20, 40 and 80 mg/kg) (Figure 6c–f). In these groups, a noticeably lower number of red-stained fibers was observed in the tissue compared with both the tumor control group (Figure 6a) and the tumor + vehicle groups (Figure 6b). Under polarized light, Sirius Red staining allowed for the visualization of collagen deposits as birefringent, “fluorescent-like” fibers. In the tumor control and tumor + vehicle groups, large and dispersed clusters of collagen fibers with intermediate thickness were evident, with red fibers corresponding to collagen type I and green fibers to collagen type III on a dark background (Figure 6a,b). In contrast, animals treated with VPA (600 mg/kg) and HO-AAVPA (20, 40 and 80 mg/kg) sowed a pronounced reduction in both collagen I and III deposition, with only sparse and thin fiber bundles remaining (Figure 6c–f).
Figure 6.
Sirius Red staining and collagen visualization under polarized light in tumor tissue from treated and control groups. Representative micrographs of Sirius Red–stained sections showing fibrotic areas in tumor tissues from the control, tumor + vehicle, VPA (600 mg/kg), and HO-AAVPA-treated groups (20, 40, and 80 mg/kg). Column (1) corresponds to Sirius Red staining observed under bright-field illumination, highlighting collagen distribution within tumor tissue, whereas column (2) shows the same sections observed under polarized light, allowing differentiation of collagen fiber types, where red fibers correspond to collagen type I and green fibers to collagen type III. (a,b) The tumor control and tumor + vehicle groups exhibit extensive and dispersed collagen fiber clusters with intermediate thickness. (c–f) Treatment with VPA and HO-AAVPA significantly reduced the fibrotic area, exhibiting fewer and thinner collagen fibers compared with the control groups. Images illustrate a dose-dependent decrease in collagen I and III deposition in animals treated with HO-AAVPA.
HO-AAVPA significantly decreases collagen stores (relative units), decreasing by 95.1%, 95.3%, 93.5% and 93.2% in the VPA, 20, 40, and 80 mg/kg HO-AAVPA-treated groups, respectively, as compared with the tumor + vehicle group. Likewise, in comparison to the tumor group, HO-AAVPA reduced the stores of collagen by 80%, 80.6%, 99.9% and 72.2%, respectively. All together, these findings demonstrate the antifibrotic potential of HO-AAVPA in comparison to the high production of fibrosis induced by the vehicle (Figure 7).
Figure 7.
Quantification of fibrosis in experimental groups (relative units). A significant reduction in fibrosis was observed in the VPA and HO-AAVPA treatment groups compared with the tumor control group (**** p < 0.0001; *** p < 0.001). Additionally, all treatments (VPA and HO-AAVPA at 20, 40, and 80 mg/kg) showed significantly lower fibrosis levels compared with the tumor + vehicle group. HO-AAVPA at 20 and 40 mg/kg reduced fibrosis by 8.76- and 8.79-fold, respectively, compared to tumor control. Meanwhile, VPA and HO-AAVPA (20–80 mg/kg) showed reductions of 9.58, 9.65, 9.66, and 9.31-fold, respectively, compared to tumor + vehicle. Statistical analysis was performed using the Kruskal–Wallis test followed by Dunn’s post hoc test. “n” represents the number of animals evaluated.
3.3. HDAC1 and α-SMA Expression in Tumor Tissue with VPA and HO-AAVPA
The immunofluorescence results show the differences in biomarker expression across the experimental groups. Hoechst staining was used for dot visualization of cell nuclei, Alexa 488 for HDAC1 expression (bright green dots), and rhodamine for α-SMA in the cytoplasm of activated cancer-associated fibroblasts. The three channels were then merged to provide a combined view (Figure 8a). The analysis revealed an increase in HDAC1 expression and a decrease in α-SMA expression among the different experimental groups. A significant increase in HDAC1-positive cells was detected in the tumor + vehicle, VPA, and HO-AAVPA groups (20, 40, and 80 mg/kg), with 2.3-, 2.2-, 2.4-, 2.3-, and 2.2-fold elevations, respectively, compared with the tumor control (Figure 8b). Conversely, VPA and HO-AAVPA treatments markedly reduced the proportion of CAFs expressing α-SMA (FACα-SMA+), showing 1.9, 2.7, 2.3, and 2.2-fold decreases relative to the tumor + vehicle group, and 1.5, 2.1, 1.8, and 1.7-fold decreases compared with the tumor control (Figure 8c).
Figure 8.
Immunofluorescence analysis of HDAC1 and α-SMA expression in tumor tissue. (a) Nuclei stained with Hoechst 33342; HDAC1 detected with anti-HDAC1-Alexa 488 (green), α-SMA with anti-αSMA rhodamine (red). Images captured at 20× magnification. (b) Quantification of HDAC1-positive cells. (c) Quantification of α-SMA-positive cells. Data are presented as mean ± SD. Statistical analysis: Kruskal–Wallis with Dunn’s post hoc test. **** p < 0.0001, *** p < 0.0005, * p < 0.05. “n” represents of animals evaluated.
3.4. Expression of COL1A1 and GPER1 with VPA and HO-AAVPA
The GPER1 plays a crucial role in tumor cell metastasis and invasiveness, as well as in the survival of BC patients [62]. We assessed the expression of COL1A1 and GPER1 in induced tumor tissues (Figure 9a). The Western blot results indicated that HDACi treatments significantly down-regulated COL1A1 expression (Figure 9b). Regarding GPER1, its expression was more significantly decreased following treatment with 40 and 80 mg/Kg HO-AAVPA than the 20 mg/Kg and 600 mg/Kg treatments, but not compared to the remaining groups (Figure 9c).
Figure 9.
Expression of GPER1 was analyzed by Western blot in tumor tissue. (a) Representative blots for total lysates from different experimental groups using anti-GAPDH, anti-COL1, and anti-GPER1 antibodies. (b) Fold change in COL1 expression. (c) Fold change in GPER1 expression quantified with Image-Lab™ software. Data are presented as mean ± SD (minimum n = 5). Statistical analysis: one-way ANOVA with Tukey’s post hoc test. *** p < 0.001, ** p < 0.005, * p < 0.05.
4. Discussion
Morphological changes in tumor cells and stroma can indicate tumor malignancy [63]. We used the SBR (maximum score = 9 points) to evaluate the tumor grades. Based on this scale, the tumor tissues had characteristics of a high-grade carcinoma. The SBR evaluates three characteristics: tubule formation (˂10%, 3 points), nuclear characteristics of pleomorphism (marked variation 3 points), and the mitotic index (>10 atypical mitoses in 10 fields 3 points) [55,64] (Figure 4). Treatment with VPA and HO-AAVPA led to stromal and cell changes in tumor tissues; however, the differences in the sizes of cells death zones and tumor growth among the different treatment doses were not significant (Figure 3). Although, the results indicated a slightly increase in cell death induced and a correlation between the dose and duration of treatment with respect to the antiproliferative and proapoptotic effects of HDACis. An in vitro study by Prestegui-Martel et al. (2016) reported concentration-dependent antiproliferative effect of OH-AAVPA in various BC cell lines [50]. The differences in results obtained from in vitro and in vivo studies could be attributed to the fact that in vitro, the OH-AAVPA immediately reaches its biological targets, whereas in an in vivo model, it must cross physiological barriers to reach the tumor zone and biological targets. Genetic, epigenetic, metabolic, and physiological variability play important roles in the response to OH-AAVPA in animal models.
HDACis are well known as anticancer; among these, vorinostat (SAHA), romidepsin (FK228), belinostat (PXD101), and panobinostat (LBH589) have been approved by the U.S. Food and Drug Administration (FDA) or the European Medicines Agency for the treatment of cutaneous T-cell lymphoma (CTCL), peripheral T-cell lymphoma (PTCL), and multiple myeloma (MM). Additionally, chidamide (CS055), approved by the China Food and Drug Administration (CFDA), has been used for the treatment of PTCL and advanced BC (metastatic or locally recurrent and inoperable) [65]. VPA is an interesting drug suggested as an anticancer [66]. However, secondary effects associated with its use have been reported, including hepatotoxicity. Liver toxicity is mediated by the generation of reactive oxygen species (ROS) resulting from the mitochondrial β-oxidation of VPA to 4-ene VPA and subsequently to 2,4-diene VPA [67,68], which depletes hepatic glutathione, leading to oxidative stress. Micro-vesicular steatosis has been observed in isolated hepatocytes and liver biopsies taken from animals who received 4-ene VPA [69]. In contrast, both macro- and micro-vesicular steatosis, particularly in the hepatolobular zone, have been found in epileptic patients who underwent prolonged VPA consumption [70]. In the present work, the VPA group exhibited micro-vesicular changes in hepatocytes (Figure 5) and increased animal mortality following two weeks of treatment confirming the hepatotoxic effects of VPA reported elsewhere [71]. The presence of vesicles observed in the hepatic tissue of animals from the VPA-treated group may plausibly be attributed to glycogen accumulation. This interpretation could be supported by findings from Oiso et al. (2011), who showed that HDAC1 inhibition decreases the expression of phosphoenolpyruvate carboxykinase (PEPCK), an enzyme responsible for the regulation of gluconeogenesis, and the transcription factor hepatocyte nuclear factor-4 alpha (HNF-4α), which participates in glucose and lipid metabolism [72,73]. PEPCK also down-regulates gluconeogenesis and indirectly promotes glycogenesis [72]. Although hepatic glycogen formation is characterized by vesicles, with some remnants of glycogen granules exhibiting rough edges in H&E stains, whereas lipid accumulation is characterized by smooth-edged vesicles as described by Hardisty and Brix [74].
The inhibitory effect of HO-AAVPA on HDAC1 [43,44] decreased the number of fibroblasts that expressed α-SMA. It is known that activated fibroblasts promote TME and tumor progression [75]. Kim and collaborators reported that Scriptaid, a class I HDACi, antagonizes TGFβ-mediated gene expression in CAFs. In an in vivo tumor model, it decreased ECM protein deposition, such as collagen I, which reduced its contractility and rigidity, thereby delaying tumor growth [75]. In cultured kidney epithelial cells, Trichostatin A (a class I and II HDACis) has been shown to suppress the EMT [76]. The decreased fibrosis by HO-AAVPA (Figure 6 and Figure 7) could be due to diminished CAF activity [77], thereby contributing to a potential reversal of the pro-tumor microenvironment through a decrease in the intrinsic mechanosensory processes of both CAFs and tumor cells, as well as their metastatic capacity [75].
The lightly diminishing antifibrotic effect seen in the highest dose of HO-AAVPA (80 mg/kg) may be explained by the induction of P-glycoprotein (P-gp) expression. P-gp is a protein that pulls out the anticancer drugs in HeLa tumor cells with HDAC1 inhibitors, as reported by Kim et al. (2009) and Wang et al. (2016) [78,79]. Thus, it is possible that there is a symbiotic relationship between tumor cells and CAFs (revised by C. Ramírez-Farías et al., 2021) [80], which promotes increased fibrosis, as was also observed in the present study (Figure 7). In support of this view, collagen deposits have been linked to tamoxifen resistance [23,80]. It is well known that genes related to ECM, such as COLA1A, are altered in advanced BC, a condition associated with high tumor cell invasiveness [23,81] and increased recruitment of stromal cells and ECM components, factors which provide a major metastatic phenotype [82]. Base on the present results, we can infer that decreased COL1A1 expression induced by HO-AAVPA (Figure 9b), could be used as a therapeutic strategy in patients that demonstrate resistance to first-line anticancer therapies due to high ECM density [75,76], in such cases, specific doses of HO-AAVPA (20–80 mg/kg) might sensitize tumor cells to anticancer treatments. This view is supported by the results of Chiu et al. (2013), who reported that in a TNBC in vivo model, using SAHA and radiation inhibited tumor growth and decreased pulmonary metastasis [83].
The participation of GPER1 in the development and progression of BC is not completely clear. However, its role as an inducer of cell proliferation and cell invasion in TNBC activation strongly suggests a good therapeutic target. Increased GPER1 expression promotes CAFs, both in tissue and isolated monocultures, favoring cell proliferation, migration, and phenotypic changes, resulting in a pro-oncogenic factor, including the EMT [84,85]. However, Chen et al. (2016) and Weißenborn et al. (2014) reported that GPER1 activation by G-1 (a GPER1 agonist) suppressed both BC cell proliferation and EMT in a concentration-dependent manner in TBNC cell line assays [86,87]. These observations support the view that increased GPER1 expression could be a promising therapeutic target for treating patients with TNBC, particularly in treatment-resistant tumors. In the present experiment, TNBC tumors treated with HO-AAVPA showed increased GPER1 protein expression in the 20 mg/kg and 600 mg/Kg groups and a subsequent decrease in expression in the 40 and 80 mg/kg groups (Figure 9c), which could be due to biphasic dose–response effects [88]. However, studies performed on immortalized endometrial cell lines (11z cells) treated with HDACis demonstrated decreased GPER1 expression, with ERs impacting cell proliferation and signal translation in a concentration-dependent manner [89]. Likewise, there are studies that show that HDACi downregulate GPER1 expression in in vitro experiments [48]. Still, its effect in EMT promotes the proliferation and modification has a beneficial role as suggested by De Francesco et al. (2018) [90]. However, it has been suggested that GPER1 overexpression is associated with pro-metastatic pathways [91].
Therefore, more studies are required to determine the role of GPER in EMT, as occurs in triple-negative cancer progression, and favoring restoration of breast cancer sensitivity to treatments.
5. Conclusions
We propose the use of HDAC inhibitors in the treatment of TNBC, based on their antifibrotic effect, as indicated by the decrease in CAFs and α-SMA in positive cells. The findings support the hypothesis that increased HDAC activity leads to a reduction in collagen deposition, without causing significant changes in liver function or morphological alterations, which suggests that HO-AAVPA does not possess toxic effects. Additionally, these results highlight the antiproliferative effect of GPER1 in modulating the course of TNBC during the early stages of the disease.
Further studies are necessary to determine the cellular, molecular, and epigenetic mechanisms in which HDAC inhibitors participate, as well as to clarify the dual role of GPER1 in the development and progression of this type of cancer.
Author Contributions
Conceptualization, A.Q.S., J.C.-B., C.R.-F. and J.V.-J.; methodology, A.Q.S., J.C.-B., C.R.-F., J.V.-J., A.C.-R. and M.E.Á.-B.; software, C.R.-F. and M.E.Á.-B.; validation, D.G.-B., C.R.-F., A.C.-R. and M.E.Á.-B.; formal analysis, C.R.-F.; investigation, C.R.-F.; resources, A.Q.S., J.V.-J. and J.C.-B.; data curation, C.R.-F.; writing—original draft preparation, C.R.-F. and A.Q.S.; writing—review and editing, C.R.-F., A.Q.S., A.C.-R. and J.C.-B.; visualization, C.R.-F.; supervision, A.Q.S. and J.C.-B.; project administration, A.Q.S., J.C.-B. and J.V.-J.; funding acquisition, A.Q.S., J.C.-B., J.V.-J. and C.R.-F. All authors have read and agreed to the published version of the manuscript.
Funding
This research was funded by Consejo Nacional Humanidades, Ciencias y Tecnologías (CONAHCyT), grant number 254600 and scholarship number 7616065 and SIP-COFAA-IPN.
Institutional Review Board Statement
The animal study protocol was approved Comité de Ética para el Uso de Animales en la Docencia e Investigación of the Universidad Autónoma de Aguascalientes (CEADI-UAA) (AUT-B-C-1121-077 approved on (22 February 2019)) for studies involving animals.
Informed Consent Statement
Not applicable.
Data Availability Statement
The data supporting the findings of this study are available through drive, with the identifier [https://drive.google.com/drive/folders/15a0H18OagjkEaOS1cfeCMSfGHflMldZL?usp=drive_link] (accessed on 3 October 2025). The data include statistical analyses and immunofluorescence microphotographs. To access the data, please contact Cynthia Ramirez-Farias at cynthia.ramirez.farias@gmail.com.
Conflicts of Interest
The authors declare no conflicts of interest. The funders had no role in the design of the study, in the collection, analysis, or interpretation of data, in the writing of the manuscript, or in the decision to publish the results.
References
- Ng, Z.; Ong, M.; Jegadeesan, T.; Deng, S.; Yap, C. Breast Cancer: Exploring the Facts and Holistic Needs during and beyond Treatment. Healthcare 2017, 5, 26. [Google Scholar] [CrossRef] [PubMed]
- Sung, H.; Ferlay, J.; Siegel, R.L.; Laversanne, M.; Soerjomataram, I.; Jemal, A.; Bray, F. Global Cancer Statistics 2020: GLOBOCAN Estimates of Incidence and Mortality Worldwide for 36 Cancers in 185 Countries. CA Cancer J. Clin. 2021, 71, 209–249. [Google Scholar] [CrossRef]
- De Angelis, M.; Francescangeli, F.; Zeuner, A. Breast Cancer Stem Cells as Drivers of Tumor Chemoresistance, Dormancy and Relapse: New Challenges and Therapeutic Opportunities. Cancers 2019, 11, 1569. [Google Scholar] [CrossRef] [PubMed]
- Majidinia, M.; Yousefi, B. Breast tumor stroma: A driving force in the development of resistance to therapies. Chem. Biol. Drug Des. 2017, 89, 309–318. [Google Scholar] [CrossRef]
- Das, C.K.; Mandal, M.; Kögel, D. Pro-survival autophagy and cancer cell resistance to therapy. Cancer Metastasis Rev. 2018, 37, 749–766. [Google Scholar] [CrossRef]
- Jena, B.C.; Das, C.K.; Bharadwaj, D.; Mandal, M. Cancer associated fibroblast mediated chemoresistance: A paradigm shift in understanding the mechanism of tumor progression. Biochim. Biophys. Acta BBA—Rev. Cancer 2020, 1874, 188416. [Google Scholar] [CrossRef] [PubMed]
- Szego, C.M.; Davis, J.S. Adenosine 3′,5′-monophosphate in rat uterus: Acute elevation by estrogen. Proc. Natl. Acad. Sci. USA 1967, 58, 1711–1718. [Google Scholar] [CrossRef]
- Pietras, R.J.; Szego, C.M. Endometrial cell calcium and oestrogen action. Nature 1975, 253, 357–359. [Google Scholar] [CrossRef]
- Aronica, S.M.; Kraus, W.L.; Katzenellenbogen, B.S. Estrogen action via the cAMP signaling pathway: Stimulation of adenylate cyclase and cAMP-regulated gene transcription. Proc. Natl. Acad. Sci. USA 1994, 91, 8517–8521. [Google Scholar] [CrossRef]
- Carmeci, C.; Thompson, D.A.; Ring, H.Z.; Francke, U.; Weigel, R.J. Identification of a Gene (GPR30) with Homology to the G-Protein-Coupled Receptor Superfamily Associated with Estrogen Receptor Expression in Breast Cancer. Genomics 1997, 45, 607–617. [Google Scholar] [CrossRef]
- Filardo, E.J.; Quinn, J.A.; Bland, K.I.; Frackelton, A.R. Estrogen-Induced Activation of Erk-1 and Erk-2 Requires the G Protein-Coupled Receptor Homolog, GPR30, and Occurs via Trans-Activation of the Epidermal Growth Factor Receptor through Release of HB-EGF. Mol. Endocrinol. 2000, 14, 1649–1660. [Google Scholar] [CrossRef] [PubMed]
- Maggiolini, M.; Vivacqua, A.; Fasanella, G.; Recchia, A.G.; Sisci, D.; Pezzi, V.; Montanaro, D.; Musti, A.M.; Picard, D.; Andò, S. The G Protein-coupled Receptor GPR30 Mediates c-fos Up-regulation by 17β-Estradiol and Phytoestrogens in Breast Cancer Cells. J. Biol. Chem. 2004, 279, 27008–27016. [Google Scholar] [CrossRef]
- Revankar, C.M.; Cimino, D.F.; Sklar, L.A.; Arterburn, J.B.; Prossnitz, E.R. A Transmembrane Intracellular Estrogen Receptor Mediates Rapid Cell Signaling. Science 2005, 307, 1625–1630. [Google Scholar] [CrossRef]
- Cunha, G.R. Mesenchymal–epithelial interactions: Past, present, and future. Differentiation 2008, 76, 578–586. [Google Scholar] [CrossRef]
- Kalluri, R.; Zeisberg, M. Fibroblasts in cancer. Nat. Rev. Cancer 2006, 6, 392–401. [Google Scholar] [CrossRef] [PubMed]
- Puri, S.; Hebrok, M. Cellular Plasticity within the Pancreas—Lessons Learned from Development. Dev. Cell 2010, 18, 342–356. [Google Scholar] [CrossRef]
- Wiseman, B.S.; Werb, Z. Stromal Effects on Mammary Gland Development and Breast Cancer. Science 2002, 296, 1046–1049. [Google Scholar] [CrossRef] [PubMed]
- Boyd, N.F.; Dite, G.S.; Stone, J.; Gunasekara, A.; English, D.R.; McCredie, M.R.; Giles, G.G.; Tritchler, D.; Chiarelli, A.; Yaffe, M.J.; et al. Heritability of Mammographic Density, a Risk Factor for Breast Cancer. N. Engl. J. Med. 2002, 347, 886–894. [Google Scholar] [CrossRef]
- Martin, L.J.; Boyd, N.F. Mammographic density. Potential mechanisms of breast cancer risk associated with mammographic density: Hypotheses based on epidemiological evidence. Breast Cancer Res. 2008, 10, 201. [Google Scholar] [CrossRef]
- Grzincic, E.M.; Murphy, C.J. Gold Nanorods Indirectly Promote Migration of Metastatic Human Breast Cancer Cells in Three-Dimensional Cultures. ACS Nano 2015, 9, 6801–6816. [Google Scholar] [CrossRef]
- Grassian, A.R.; Coloff, J.L.; Brugge, J.S. Extracellular Matrix Regulation of Metabolism and Implications for Tumorigenesis. Cold Spring Harb. Symp. Quant. Biol. 2011, 76, 313–324. [Google Scholar] [CrossRef]
- Senthebane, D.A.; Jonker, T.; Rowe, A.; Thomford, N.E.; Munro, D.; Dandara, C.; Wonkam, A.; Govender, D.; Calder, B.; Soares, N.C.; et al. The Role of Tumor Microenvironment in Chemoresistance: 3D Extracellular Matrices as Accomplices. Int. J. Mol. Sci. 2018, 19, 2861. [Google Scholar] [CrossRef]
- Jansen, M.P.; Foekens, J.A.; van Staveren, I.L.; Dirkzwager-Kiel, M.M.; Ritstier, K.; Look, M.P.; Gelder, M.E.M.-V.; Sieuwerts, A.M.; Portengen, H.; Dorssers, L.C.; et al. Molecular Classification of Tamoxifen-Resistant Breast Carcinomas by Gene Expression Profiling. J. Clin. Oncol. 2005, 23, 732–740. [Google Scholar] [CrossRef] [PubMed]
- Yang, X.; Chen, X.; Zhang, S.; Fan, W.; Zhong, C.; Liu, T.; Cheng, G.; Zhu, L.; Liu, Q.; Xi, Y.; et al. Collagen 1-mediated CXCL1 secretion in tumor cells activates fibroblasts to promote radioresistance of esophageal cancer. Cell Rep. 2023, 42, 113270. [Google Scholar] [CrossRef]
- Eiro, N.; González, L.; Martínez-Ordoñez, A.; Fernandez-Garcia, B.; González, L.O.; Cid, S.; Dominguez, F.; Perez-Fernandez, R.; Vizoso, F.J. Cancer-associated fibroblasts affect breast cancer cell gene expression, invasion and angiogenesis. Cell Oncol. 2018, 41, 369–378. [Google Scholar] [CrossRef]
- Östman, A. Cancer-associated fibroblasts: Recent developments and emerging challenges. Semin. Cancer Biol. 2014, 25, 1–2. [Google Scholar] [CrossRef] [PubMed]
- Derynck, R.; Akhurst, R.J. Differentiation plasticity regulated by TGF-β family proteins in development and disease. Nat. Cell Biol. 2007, 9, 1000–1004. [Google Scholar] [CrossRef] [PubMed]
- Papageorgis, P.; Stylianopoulos, T. Role of TGFβ in regulation of the tumor microenvironment and drug delivery (Review). Int. J. Oncol. 2015, 46, 933–943. [Google Scholar] [CrossRef]
- Wakefield, L.M.; Hill, C.S. Beyond TGFβ: Roles of other TGFβ superfamily members in cancer. Nat. Rev. Cancer 2013, 13, 328–341. [Google Scholar] [CrossRef]
- Lei, W.; Zhang, K.; Pan, X.; Hu, Y.; Wang, D.; Yuan, X.; Shu, G.; Song, J. Histone deacetylase 1 is required for transforming growth factor-β1-induced epithelial–mesenchymal transition. Int. J. Biochem. Cell Biol. 2010, 42, 1489–1497. [Google Scholar] [CrossRef]
- Dvorak, K.M.; Pettee, K.M.; Rubinic-Minotti, K.; Su, R.; Nestor-Kalinoski, A.; Eisenmann, K.M. Carcinoma associated fibroblasts (CAFs) promote breast cancer motility by suppressing mammalian Diaphanous-related formin-2 (mDia2). PLoS ONE 2018, 13, e0195278. [Google Scholar] [CrossRef]
- Ruocco, M.R.; Avagliano, A.; Granato, G.; Imparato, V.; Masone, S.; Masullo, M.; Nasso, R.; Montagnani, S.; Arcucci, A. Involvement of Breast Cancer-Associated Fibroblasts in Tumor Development, Therapy Resistance and Evaluation of Potential Therapeutic Strategies. Curr. Med. Chem. 2018, 25, 3414–3434. [Google Scholar] [CrossRef] [PubMed]
- Lee, Y.T.; Tan, Y.J.; Falasca, M.; Oon, C.E. Cancer-Associated Fibroblasts: Epigenetic Regulation and Therapeutic Intervention in Breast Cancer. Cancers 2020, 12, 2949. [Google Scholar] [CrossRef]
- Marks, D.L.; Olson, R.L.; Fernandez-Zapico, M.E. Epigenetic control of the tumor microenvironment. Epigenomics 2016, 8, 1671–1687. [Google Scholar] [CrossRef] [PubMed]
- Sylvestre, M.; Tarte, K.; Roulois, D. Epigenetic mechanisms driving tumor supportive microenvironment differentiation and function: A role in cancer therapy? Epigenomics 2020, 12, 157–169. [Google Scholar] [CrossRef]
- Massagué, J. TGFβ signalling in context. Nat. Rev. Mol. Cell Biol. 2012, 13, 616–630. [Google Scholar] [CrossRef]
- Chiappinelli, K.B.; Zahnow, C.A.; Ahuja, N.; Baylin, S.B. Combining Epigenetic and Immunotherapy to Combat Cancer. Cancer Res. 2016, 76, 1683–1689. [Google Scholar] [CrossRef]
- Falahi, F.; van Kruchten, M.; Martinet, N.; Hospers, G.; Rots, M.G. Current and upcoming approaches to exploit the reversibility of epigenetic mutations in breast cancer. Breast Cancer Res. 2014, 16, 412. [Google Scholar] [CrossRef]
- McCuaig, R.; Wu, F.; Dunn, J.; Rao, S.; Dahlstrom, J.E. The biological and clinical significance of stromal-epithelial interactions in breast cancer. Pathology 2017, 49, 133–140. [Google Scholar] [CrossRef]
- Strauss, J.; Figg, W.D. Using Epigenetic Therapy to Overcome Chemotherapy Resistance. Anticancer. Res. 2016, 36, 1–4. Available online: https://pubmed.ncbi.nlm.nih.gov/26722021. (accessed on 3 October 2024). [PubMed]
- Aires, C.C.; van Cruchten, A.; Ijlst, L.; de Almeida, I.T.; Duran, M.; Wanders, R.J.; Silva, M.F. New insights on the mechanisms of valproate-induced hyperammonemia: Inhibition of hepatic N-acetylglutamate synthase activity by valproyl-CoA. J. Hepatol. 2011, 55, 426–434. [Google Scholar] [CrossRef] [PubMed]
- Butowski, N.A.; Chang, S.M. General and neurological complications of targeted therapy. In Handbook of Clinical Neurology; Elsevier: Amsterdam, The Netherlands, 2012; pp. 937–945. Available online: https://linkinghub.elsevier.com/retrieve/pii/B9780444535023000331 (accessed on 1 October 2024).
- Sixto-López, Y.; Rosales-Hernández, M.C.; de Oca, A.C.-M.; Fragoso-Morales, L.G.; Mendieta-Wejebe, J.E.; Correa-Basurto, A.M.; Abarca-Rojano, E.; Correa-Basurto, J. N-(2′-Hydroxyphenyl)-2-Propylpentanamide (HO-AAVPA) Inhibits HDAC1 and Increases the Translocation of HMGB1 Levels in Human Cervical Cancer Cells. Int. J. Mol. Sci. 2020, 21, 5873. [Google Scholar] [CrossRef] [PubMed]
- Sixto-López, Y.; Gómez-Vidal, J.A.; De Pedro, N.; Bello, M.; Rosales-Hernández, M.C.; Correa-Basurto, J. Hydroxamic acid derivatives as HDAC1, HDAC6 and HDAC8 inhibitors with antiproliferative activity in cancer cell lines. Sci. Rep. 2020, 10, 10462. [Google Scholar] [CrossRef]
- de Oca, A.C.-M.; Rodarte-Valle, E.; Rosales-Hernández, M.C.; Abarca-Rojano, E.; Rojas-Hernández, S.; Fragoso-Vázquez, M.J.; Mendieta-Wejebe, J.E.; Correa-Basurto, A.M.; Vázquez-Moctezuma, I.; Correa-Basurto, J. N-(2′-Hydroxyphenyl)-2-propylpentanamide (OH-VPA), a histone deacetylase inhibitor, induces the release of nuclear HMGB1 and modifies ROS levels in HeLa cells. Oncotarget 2018, 9, 33368–33381. [Google Scholar] [CrossRef]
- Marcos, X.; Sixto-López, Y.; Pérez-Casas, S.; Correa-Basurto, J. Computational study of DMPC liposomes loaded with the N-(2-Hydroxyphenyl)-2-propylpentanamide (HO-AAVPA) and determination of its antiproliferative activity in vitro in NIH-3T3 cells. J. Biomol. Struct. Dyn. 2022, 40, 11448–11459. [Google Scholar] [CrossRef]
- Ortiz-Morales, A.A.; García-Vázquez, J.B.; Fragoso-Vázquez, M.J.; Rosales-Hernández, M.C.; Fragoso-Morales, L.G.; Estrada-Pérez, A.R.; Correa-Basurto, J. PAMAM-G4 protect the N-(2-hydroxyphenyl)-2-propylpentanamide (HO-AAVPA) and maintain its antiproliferative effects on MCF-7. Sci. Rep. 2023, 13, 3383. [Google Scholar] [CrossRef]
- Martel, B.P.; Chávez-Blanco, A.D.; Domínguez-Gómez, G.; González, A.D.; Gaona-Aguas, P.; Flores-Mejía, R.; Somilleda-Ventura, S.A.; Rodríguez-Cortes, O.; Morales-Bárcena, R.; Muñoz, A.M.; et al. N-(2-Hydroxyphenyl)-2-Propylpentanamide (HO-AAVPA) Induces Apoptosis and Cell Cycle Arrest in Breast Cancer Cells, Decreasing GPER Expression. Molecules 2024, 29, 3509. [Google Scholar] [CrossRef]
- Ramírez-Farías, C.G. Evaluación del Anticancerígeno N-(2-Hidroxifenil)-2-propilpentanamida en un Modelo de Cáncer Mamario Alotransplantado a la Cápsula Renal de Animales Receptores; Universidad Autónoma de Aguascalientes: Aguascalientes, México, 2019; Available online: http://bdigital.dgse.uaa.mx:8080/xmlui/handle/11317/1595?show=full (accessed on 30 November 2023).
- Prestegui-Martel, B.; Bermúdez-Lugo, J.A.; Chávez-Blanco, A.; Dueñas-González, A.; García-Sánchez, J.R.; Pérez-González, O.A.; Padilla-Martínez, I.I.; Fragoso-Vázquez, M.J.; Mendieta-Wejebe, J.E.; Correa-Basurto, A.M.; et al. N-(2-hydroxyphenyl)-2-propylpentanamide, a valproic acid aryl derivative designed in silico with improved anti-proliferative activity in HeLa, rhabdomyosarcoma and breast cancer cells. J. Enzym. Inhib. Med. Chem. 2016, 31 (Suppl. 3), 140–149. Available online: https://www.tandfonline.com/doi/full/10.1080/14756366.2016.1210138 (accessed on 23 January 2024). [CrossRef]
- Cadena-Herrera, D.; Lara, J.E.E.-D.; Ramírez-Ibañez, N.D.; López-Morales, C.A.; Pérez, N.O.; Flores-Ortiz, L.F.; Medina-Rivero, E. Validation of three viable-cell counting methods: Manual, semi-automated, and automated. Biotechnol. Rep. 2015, 7, 9–16. [Google Scholar] [CrossRef] [PubMed]
- Gregório, A.C.; A Fonseca, N.; Moura, V.; Lacerda, M.; Figueiredo, P.; Simões, S.; Dias, S.; Moreira, J.N. Inoculated Cell Density as a Determinant Factor of the Growth Dynamics and Metastatic Efficiency of a Breast Cancer Murine Model. PLoS ONE 2016, 11, e0165817. [Google Scholar] [CrossRef]
- Suvarna, K.S.; Layton, C.; Bancroft, J.D. (Eds.) Theory and Practice of Histological Techniques, 7th ed.; Elsevier Churchill Livingston: Edinburgh, UK, 2013; 637p, Available online: https://books.google.com.mx/books?id=FoOn7il3yqcC&lpg=PA173&ots=r10VonkDou&lr&hl=es&pg=PA186#v=onepage&q&f=false (accessed on 29 October 2025).
- Krishna, M. Role of special stains in diagnostic liver pathology. Clin. Liver Dis. 2013, 2 (Suppl. 1), S8–S10. [Google Scholar] [CrossRef]
- Amat, S.; Penault-Llorca, F.; Cure, H.; Le Bouedec, G.; Achard, J.-L.; Van Praagh, I.; Feillel, V.; Mouret-Reynier, M.-A.; Dauplat, J.; Chollet, P. Scarff-Bloom-Richardson (SBR) grading: A pleiotropic marker of chemosensitivity in invasive ductal breast carcinomas treated by neoadjuvant chemotherapy. Int. J. Oncol. 2002, 20, 791–796. Available online: https://pubmed.ncbi.nlm.nih.gov/11894126 (accessed on 28 September 2024). [CrossRef]
- Rittié, L. Method for Picrosirius Red-Polarization Detection of Collagen Fibers in Tissue Sections. In Fibrosis; Methods in Molecular Biology; Rittié, L., Ed.; Springer: New York, NY, USA, 2017; Volume 1627, pp. 395–407. Available online: http://link.springer.com/10.1007/978-1-4939-7113-8_26 (accessed on 29 October 2025).
- Schindelin, J.; Arganda-Carreras, I.; Frise, E.; Kaynig, V.; Longair, M.; Pietzsch, T.; Rueden, C.; Saalfeld, S.; Schmid, B.; Tinevez, J.-Y. Fiji: An open-source platform for biological-image analysis. Nat. Methods 2012, 9, 676–682. [Google Scholar] [CrossRef] [PubMed]
- Junqueira, L.C.U.; Bignolas, G.; Brentani, R.R. Picrosirius staining plus polarization microscopy, a specific method for collagen detection in tissue sections. Histochem. J. 1979, 11, 447–455. [Google Scholar] [CrossRef] [PubMed]
- Vogel, B.; Siebert, H.; Hofmann, U.; Frantz, S. Determination of collagen content within picrosirius red stained paraffin-embedded tissue sections using fluorescence microscopy. MethodsX 2015, 2, 124–134. [Google Scholar] [CrossRef] [PubMed]
- Joshi, S.; Yu, D. Immunofluorescence. In Basic Science Methods for Clinical Researchers; Elsevier: Amsterdam, The Netherlands, 2017; pp. 135–150. Available online: https://linkinghub.elsevier.com/retrieve/pii/B9780128030776000084 (accessed on 26 September 2024).
- Pillai-Kastoori, L.; Schutz-Geschwender, A.R.; Harford, J.A. A systematic approach to quantitative Western blot analysis. Anal. Biochem. 2020, 593, 113608. [Google Scholar] [CrossRef] [PubMed]
- Talia, M.; De Francesco, E.M.; Rigiracciolo, D.C.; Muoio, M.G.; Muglia, L.; Belfiore, A.; Maggiolini, M.; Sims, A.H.; Lappano, R. The G Protein-Coupled Estrogen Receptor (GPER) Expression Correlates with Pro-Metastatic Pathways in ER-Negative Breast Cancer: A Bioinformatics Analysis. Cells 2020, 9, 622. [Google Scholar] [CrossRef]
- Wernicke, M.; Piñeiro, L.C.; Caramutti, D.; Dorn, V.G.; Raffo, M.M.L.; Guixa, H.G.; Telenta, M.; Morandi, A.A. Breast Cancer Stromal Myxoid Changes Are Associated with Tumor Invasion and Metastasis: A Central Role for Hyaluronan. Mod. Pathol. 2003, 16, 99–107. [Google Scholar] [CrossRef]
- Elston, C.W.; Ellis, I.O. pathological prognostic factors in breast cancer. I. The value of histological grade in breast cancer: Experience from a large study with long-term follow-up. Histopathology 1991, 19, 403–410. [Google Scholar] [CrossRef] [PubMed]
- Liang, T.; Wang, F.; Elhassan, R.M.; Cheng, Y.; Tang, X.; Chen, W.; Fang, H.; Hou, X. Targeting histone deacetylases for cancer therapy: Trends and challenges. Acta Pharm. Sin. B 2023, 13, 2425–2463. [Google Scholar] [CrossRef]
- Michaelis, M.; Doerr, H.W.; Cinatl, J. Valproic acid as anti-cancer drug. Curr. Pharm. Des. 2007, 13, 3378–3393. [Google Scholar] [CrossRef]
- Abbott, F.S.; Anari, M.R. Chemistry and biotransformation. In Valproate; Löscher, W., Ed.; Birkhäuser: Basel, Switzerland, 1999; pp. 47–75. [Google Scholar] [CrossRef]
- Löscher, W. The discovery of valproate. In Valproate. Milestones in Drug Therapy; Löscher, W., Ed.; Birkhäuser: Basel, Switzerland, 1999. [Google Scholar] [CrossRef]
- Tang, W.; Borel, A.G.; Fujimiya, T.; Abbott, F.S. Fluorinated Analogs as Mechanistic Probes in Valproic Acid Hepatotoxicity: Hepatic Microvesicular Steatosis and Glutathione Status. Chem. Res. Toxicol. 1995, 8, 671–682. [Google Scholar] [CrossRef]
- Sato, K.; Ueda, Y.; Ueno, K.; Okamoto, K.; Iizuka, H.; Katsuda, S. Hepatocellular carcinoma and nonalcoholic steatohepatitis developing during long-term administration of valproic acid. Virchows Arch. 2005, 447, 996–999. [Google Scholar] [CrossRef] [PubMed]
- Ezhilarasan, D.; Mani, U. Valproic acid induced liver injury: An insight into molecular toxicological mechanism. Environ. Toxicol. Pharmacol. 2022, 95, 103967. [Google Scholar] [CrossRef]
- Oiso, H.; Furukawa, N.; Suefuji, M.; Shimoda, S.; Ito, A.; Furumai, R.; Nakagawa, J.; Yoshida, M.; Nishino, N.; Araki, E. The role of class I histone deacetylase (HDAC) on gluconeogenesis in liver. Biochem. Biophys. Res. Commun. 2011, 404, 166–172. [Google Scholar] [CrossRef]
- Xie, X.; Liao, H.; Dang, H.; Pang, W.; Guan, Y.; Wang, X.; Shyy, J.Y.-J.; Zhu, Y.; Sladek, F.M. Down-Regulation of Hepatic HNF4α Gene Expression during Hyperinsulinemia via SREBPs. Mol. Endocrinol. 2009, 23, 434–443. [Google Scholar] [CrossRef]
- Hardisty, J.F.; Brix, A.E. Comparative Hepatic Toxicity: Prechronic/Chronic Liver Toxicity in Rodents. Toxicol. Pathol. 2005, 33, 35–40. [Google Scholar] [CrossRef] [PubMed]
- Kim, D.J.; Dunleavey, J.M.; Xiao, L.; Ollila, D.W.; Troester, M.A.; Otey, C.A.; Li, W.; Barker, T.H.; Dudley, A.C. Suppression of TGFβ-mediated conversion of endothelial cells and fibroblasts into cancer associated (myo)fibroblasts via HDAC inhibition. Br. J. Cancer 2018, 118, 1359–1368. [Google Scholar] [CrossRef] [PubMed]
- Yoshikawa, M.; Hishikawa, K.; Marumo, T.; Fujita, T. Inhibition of Histone Deacetylase Activity Suppresses Epithelial-to-Mesenchymal Transition Induced by TGF-β1 in Human Renal Epithelial Cells. J. Am. Soc. Nephrol. 2007, 18, 58–65. [Google Scholar] [CrossRef]
- Guo, W.; Shan, B.; Klingsberg, R.C.; Qin, X.; Lasky, J.A. Abrogation of TGF-β1-induced fibroblast-myofibroblast differentiation by histone deacetylase inhibition. Am. J. Physiol-Lung Cell Mol. Physiol. 2009, 297, L864–L870. [Google Scholar] [CrossRef]
- Kim, S.N.; Kim, N.H.; Lee, W.; Seo, D.W.; Kim, Y.K. Histone Deacetylase Inhibitor Induction of P-Glycoprotein Transcription Requires Both Histone Deacetylase 1 Dissociation and Recruitment of CAAT/Enhancer Binding Protein β and pCAF to the Promoter Region. Mol. Cancer Res. 2009, 7, 735–744. [Google Scholar] [CrossRef]
- Wang, H.; Huang, C.; Zhao, L.; Zhang, H.; Yang, J.M.; Luo, P.; Zhan, B.-X.; Pan, Q.; Li, J.; Wang, B.-L. Histone deacetylase inhibitors regulate P-gp expression in colorectal cancer via transcriptional activation and mRNA stabilization. Oncotarget 2016, 7, 49848–49858. [Google Scholar] [CrossRef] [PubMed]
- Ramírez-Farías, C.; González-Blas, D.; Quintanar-Stephano, A. El papel del microambiente tumoral y los fibroblastos asociados a cáncer en el desarrollo y la progresión del cáncer de mama. Rev. Senol. Patol. Mamar. 2021, 100371. [Google Scholar] [CrossRef]
- Kim, S.H.; Lee, H.Y.; Jung, S.P.; Kim, S.; Lee, J.E.; Nam, S.J.; Bae, J.W. Role of secreted type I collagen derived from stromal cells in two breast cancer cell lines. Oncol. Lett. 2014, 8, 507–512. [Google Scholar] [CrossRef] [PubMed]
- Matossian, M.D.; Burks, H.E.; Elliott, S.; Hoang, V.T.; Bowles, A.C.; Sabol, R.A.; Bunnell, B.A.; Martin, E.C.; Burow, M.E.; Collins-Burow, B.M. Panobinostat suppresses the mesenchymal phenotype in a novel claudin-low triple negative patient-derived breast cancer model. Oncoscience 2018, 5, 99–108. [Google Scholar] [CrossRef]
- Chiu, H.-W.; Yeh, Y.-L.; Wang, Y.-C.; Huang, W.-J.; Chen, Y.-A.; Chiou, Y.-S.; Ho, S.-Y.; Lin, P.; Wang, Y.-J. Suberoylanilide Hydroxamic Acid, an Inhibitor of Histone Deacetylase, Enhances Radiosensitivity and Suppresses Lung Metastasis in Breast Cancer In Vitro and In Vivo. PLoS ONE 2013, 8, e76340. [Google Scholar] [CrossRef]
- Tirado-Garibay, A.C.; Falcón-Ruiz, E.A.; Ochoa-Zarzosa, A.; López-Meza, J.E. GPER: An Estrogen Receptor Key in Metastasis and Tumoral Microenvironments. Int. J. Mol. Sci. 2023, 24, 14993. [Google Scholar] [CrossRef]
- Hsu, L.H.; Chu, N.M.; Lin, Y.F.; Kao, S.H. G-Protein Coupled Estrogen Receptor in Breast Cancer. Int. J. Mol. Sci. 2019, 20, 306. [Google Scholar] [CrossRef] [PubMed]
- Chen, Z.J.; Wei, W.; Jiang, G.M.; Liu, H.; Wei, W.D.; Yang, X.; Wu, Y.-M.; Liu, H.; Wong, C.K.C.; Du, J. Activation of GPER suppresses epithelial mesenchymal transition of triple negative breast cancer cells via NF-κB signals. Mol. Oncol. 2016, 10, 775–788. [Google Scholar] [CrossRef]
- Weißenborn, C.; Ignatov, T.; Ochel, H.-J.; Costa, S.D.; Zenclussen, A.C.; Ignatova, Z.; Ignatov, A. GPER functions as a tumor suppressor in triple-negative breast cancer cells. J. Cancer Res. Clin. Oncol. 2014, 140, 713–723. [Google Scholar] [CrossRef]
- Jodynis-Liebert, J.; Kujawska, M. Biphasic Dose-Response Induced by Phytochemicals: Experimental Evidence. J. Clin. Med. 2020, 9, 718. [Google Scholar] [CrossRef]
- Imesch, P.; Samartzis, E.P.; Dedes, K.J.; Fink, D.; Fedier, A. Histone deacetylase inhibitors down-regulate G-protein-coupled estrogen receptor and the GPER-antagonist G-15 inhibits proliferation in endometriotic cells. Fertil. Steril. 2013, 100, 770–776. [Google Scholar] [CrossRef] [PubMed]
- De Francesco, E.M.; Maggiolini, M.; Musti, A.M. Crosstalk between Notch, HIF-1α and GPER in Breast Cancer EMT. Int. J. Mol. Sci. 2018, 19, 2011. [Google Scholar] [CrossRef] [PubMed]
- Xu, T.; Ma, D.; Chen, S.; Tang, R.; Yang, J.; Meng, C.; Feng, Y.; Liu, L.; Wang, J.; Luo, H.; et al. High GPER expression in triple-negative breast cancer is linked to pro-metastatic pathways and predicts poor patient outcomes. Npj Breast Cancer 2022, 8, 100. [Google Scholar] [CrossRef] [PubMed]
Disclaimer/Publisher’s Note: The statements, opinions and data contained in all publications are solely those of the individual author(s) and contributor(s) and not of MDPI and/or the editor(s). MDPI and/or the editor(s) disclaim responsibility for any injury to people or property resulting from any ideas, methods, instructions or products referred to in the content. |
© 2026 by the authors. Licensee MDPI, Basel, Switzerland. This article is an open access article distributed under the terms and conditions of the Creative Commons Attribution (CC BY) license.








