Sign in to use this feature.

Years

Between: -

Subjects

remove_circle_outline
remove_circle_outline
remove_circle_outline
remove_circle_outline
remove_circle_outline
remove_circle_outline
remove_circle_outline
remove_circle_outline

Journals

remove_circle_outline
remove_circle_outline
remove_circle_outline
remove_circle_outline
remove_circle_outline
remove_circle_outline
remove_circle_outline
remove_circle_outline
remove_circle_outline
remove_circle_outline
remove_circle_outline
remove_circle_outline
remove_circle_outline

Article Types

Countries / Regions

remove_circle_outline
remove_circle_outline
remove_circle_outline
remove_circle_outline
remove_circle_outline
remove_circle_outline

Search Results (410)

Search Parameters:
Keywords = pulmonary edema

Order results
Result details
Results per page
Select all
Export citation of selected articles as:
13 pages, 4849 KB  
Case Report
Acute Myocardial Infarction Complicated by Papillary Muscle Rupture and Cardiogenic Shock Requiring ECMO Support in a Patient with Bipolar Disorder and Chronic Cannabis Use
by Oana Elena Branea, Mihaly Veres, Oana Frandeș, Matild Keresztes, Mihai Claudiu Pui, Ciprian Fișcă, Radu Bălău and Leonard Azamfirei
Life 2026, 16(6), 879; https://doi.org/10.3390/life16060879 - 24 May 2026
Viewed by 157
Abstract
Cardiogenic shock secondary to acute myocardial infarction complicated by mechanical failure remains associated with high mortality despite advances in cardiac surgery and mechanical circulatory support. We report the case of a 42-year-old patient with posterior papillary muscle rupture leading to severe mitral regurgitation, [...] Read more.
Cardiogenic shock secondary to acute myocardial infarction complicated by mechanical failure remains associated with high mortality despite advances in cardiac surgery and mechanical circulatory support. We report the case of a 42-year-old patient with posterior papillary muscle rupture leading to severe mitral regurgitation, managed with emergency surgical intervention and extracorporeal membrane oxygenation. The patient, with a history of Type I Bipolar Disorder under long-term lithium therapy and chronic Cannabis use, presented in critical condition with cardiogenic shock (Killip IV), acute pulmonary edema, and ST-segment elevation myocardial infarction in the infero-posterior territory. Coronary angiography revealed right coronary artery occlusion and involvement of an obtuse marginal branch. Emergency mitral valve replacement with a mechanical prosthesis and aortocoronary bypass were performed. Due to failure to wean from cardiopulmonary bypass, central veno-arterial ECMO was initiated. The postoperative course was complicated by hemodynamic instability and recurrent pericardial collections requiring repeated surgical interventions and conversion to peripheral ECMO. Multiorgan dysfunction developed, including hepato-renal failure requiring hemofiltration, neurological injury, respiratory impairment, and neuropsychiatric complications. Despite these challenges, progressive recovery was achieved under intensive multidisciplinary management. This case emphasizes the importance of early surgical correction and tailored ECMO support in managing post-infarction mechanical complications. Full article
(This article belongs to the Special Issue Critical Issues in Intensive Care Medicine—2nd Edition)
Show Figures

Figure 1

12 pages, 227 KB  
Article
Severity-Stratified Hyponatremia Is Associated with Increased Mortality and Complications in Nontraumatic Intracerebral Hemorrhage
by Saketh Amasa, Vinit Reddy, Monique Mitchell, Kiran Sankarappan, Suad Hernandez, Khaled Taghlabi and Amir H. Faraji
J. Clin. Med. 2026, 15(10), 3964; https://doi.org/10.3390/jcm15103964 - 21 May 2026
Viewed by 120
Abstract
Introduction: Hyponatremia is common after nontraumatic intracerebral hemorrhage (ICH) and has been associated with worse outcomes, although prior studies have been limited by smaller sample sizes and heterogeneous exposure definitions. This study evaluated the association between severity-stratified hyponatremia and mortality, survival, and [...] Read more.
Introduction: Hyponatremia is common after nontraumatic intracerebral hemorrhage (ICH) and has been associated with worse outcomes, although prior studies have been limited by smaller sample sizes and heterogeneous exposure definitions. This study evaluated the association between severity-stratified hyponatremia and mortality, survival, and complication rates following nontraumatic ICH. Methods: A retrospective cohort study was performed using the TriNetX database. Patients with nontraumatic ICH were stratified by serum sodium measurements obtained within 7 days of diagnosis. Two separate propensity score-matched analyses were conducted: moderate hyponatremia versus normonatremia (17,547 patients per cohort) and severe hyponatremia versus normonatremia (5010 patients per cohort). The primary outcome was 30-day mortality. Secondary outcomes included seizures, cerebral edema, hydrocephalus, external ventricular drain placement, tracheostomy, percutaneous endoscopic gastrostomy (PEG) placement, pulmonary embolism, deep vein thrombosis, ischemic stroke, and myocardial infarction. Statistical significance was set at p < 0.05. Results: Moderate hyponatremia was associated with increased 30-day mortality (17.5% vs. 13.3%; HR 1.324, 95% CI 1.255–1.398; p < 0.001), while severe hyponatremia demonstrated a greater increase in mortality (18.7% vs. 12.9%; HR 1.473, 95% CI 1.332–1.628; p < 0.001). Both cohorts had higher rates of seizures, cerebral edema, hydrocephalus, tracheostomy, PEG placement, deep vein thrombosis, and myocardial infarction compared with matched normonatremic controls. External ventricular drain placement was also more frequent in both cohorts. Pulmonary embolism increased in moderate hyponatremia but was not significantly different in severe hyponatremia. Ischemic stroke occurred less frequently in both cohorts. Conclusions: Moderate and severe hyponatremia were associated with increased mortality and complications in patients with nontraumatic ICH, with stronger associations observed in severe hyponatremia. These findings support serum sodium as a clinically relevant marker for risk stratification and monitoring during acute ICH care. However, causality cannot be established, and whether correction of hyponatremia improves outcomes requires prospective studies. Full article
(This article belongs to the Section Brain Injury)
14 pages, 5902 KB  
Case Report
Successful Management of Recurrent Hemoptysis, Polycythemia and Respiratory Distress in a Dog
by Pin-Yen Chen, Chi-Ru Chen, Po-Yao Huang, Pei-Ying Lo, Wei-Tao Chang and Chung-Hui Lin
Animals 2026, 16(9), 1384; https://doi.org/10.3390/ani16091384 - 30 Apr 2026
Viewed by 831
Abstract
A male castrated Shih Tzu was evaluated for recurrent nocturnal episodes of acute respiratory distress accompanied by hemoptysis and transient erythrocytosis. The dog was clinically normal between episodes, but each nighttime event was severe and prompted repeated emergency visits. During each emergency presentation, [...] Read more.
A male castrated Shih Tzu was evaluated for recurrent nocturnal episodes of acute respiratory distress accompanied by hemoptysis and transient erythrocytosis. The dog was clinically normal between episodes, but each nighttime event was severe and prompted repeated emergency visits. During each emergency presentation, thoracic radiographs revealed severe diffuse interstitial-to-alveolar pulmonary infiltrates, and packed cell volume showed marked but reversible increases. A stepwise diagnostic evaluation, including serial indirect blood pressure measurement, coagulation assessment, echocardiography, and bronchoscopy with bronchoalveolar lavage, progressively excluded typical infectious, cardiac, structural, and coagulopathic causes of hemoptysis and acute respiratory distress. Given the stereotyped pattern of near-acute crises with diffuse pulmonary infiltrates and hemoptysis, mechanisms analogous to noncardiogenic pulmonary edema or exercise-induced pulmonary hemorrhage were considered. Therapeutic trials with sildenafil and furosemide failed to prevent further nocturnal recurrences. Considering concurrent transient PCV surges and the proposed role of catecholamine-driven splenic contraction as a rapidly mobilizable erythrocyte reservoir, a sympathetically mediated process was suspected, and α1-adrenergic blockade with prazosin was initiated. Following prazosin therapy, sustained clinical remission was achieved, with no further emergency episodes over a 17.5-month follow-up period. The response may have reflected multiple pharmacological effects of prazosin, including attenuation of sympathetically mediated splenic α1-adrenergic activity, systemic vasodilation, and reduction in venous return. This unique case suggests that dysregulation of the sympathetic nervous system may have contributed to the recurrent hemoptysis and acute respiratory distress and highlights adrenergic modulation as a potential therapeutic consideration in similar cases. Full article
(This article belongs to the Section Companion Animals)
Show Figures

Figure 1

12 pages, 364 KB  
Review
Calcium Channel Blockers in Critical Care Medicine: Current Clinical Applications and Future Investigational Perspectives
by Akram M. Eraky, Yasser Mokhtar, Guy Grabau, Adnan Khan, Ashish Acharya, Nichole Gadd, Mark Jarosz and Abhishek Premkumar
Med. Sci. 2026, 14(2), 213; https://doi.org/10.3390/medsci14020213 - 25 Apr 2026
Viewed by 916
Abstract
Calcium channel blockers (CCBs) are frequently used in the emergency department and intensive care unit for a wide range of critical conditions, including atrial fibrillation, hypertensive emergencies, acute pulmonary edema with sympathetic crashing, pulmonary hypertension, and vasospastic syndromes. However, their toxicity can lead [...] Read more.
Calcium channel blockers (CCBs) are frequently used in the emergency department and intensive care unit for a wide range of critical conditions, including atrial fibrillation, hypertensive emergencies, acute pulmonary edema with sympathetic crashing, pulmonary hypertension, and vasospastic syndromes. However, their toxicity can lead to significant hemodynamic compromise, underscoring the importance of understanding their pharmacologic effects and safety profile. This review summarizes the current applications of CCBs in critically ill patients, evaluates their safety in congestive heart failure, and highlights emerging therapeutic roles and recent advances in the management of CCB toxicity. Full article
(This article belongs to the Section Critical Care Medicine)
Show Figures

Figure 1

11 pages, 6276 KB  
Communication
Anthropogenic Vessel Strike as a Threat to Spotted Seals (Phoca largha) in Korean Waters: A Multimodal Forensic Investigation
by Ji-Hyung Park, Hae Suk Choi, Daji Noh, Sooyoung Choi, Seung Hyeok Seok, Sang Wha Kim and Adams Hei Long Yuen
Animals 2026, 16(9), 1306; https://doi.org/10.3390/ani16091306 - 23 Apr 2026
Viewed by 346
Abstract
The spotted seal (Phoca largha) is a flagship species and natural monument inhabiting Korean coastal waters. Due to its conservation importance and the rarity of carcass discoveries, determining the cause of death of each individual is critical. A juvenile female spotted [...] Read more.
The spotted seal (Phoca largha) is a flagship species and natural monument inhabiting Korean coastal waters. Due to its conservation importance and the rarity of carcass discoveries, determining the cause of death of each individual is critical. A juvenile female spotted seal carcass was discovered on the eastern coast of Korea in May 2025. External examination revealed multiple parallel lacerations consistent with propeller strike injuries. Post-mortem computed tomography (PMCT) was performed prior to necropsy to provide a comprehensive forensic analysis. CT imaging revealed the longest wound measured 10.49 cm in length and 1.58 cm in depth, suggesting a minimum propeller diameter of approximately 19 cm. Skeletal injuries included a coccygeal vertebral fracture and subluxation of the left astragalus and calcaneus. CT images of the respiratory tract showed frothy fluid in the nasal cavity and trachea, as well as ground-glass opacity and consolidation in the lung parenchyma. Necropsy findings confirmed severe pulmonary edema, congestion, and abundant frothy foam throughout the respiratory tract. Histological analysis revealed pulmonary edema with eosinophilic fluid and erythrocytes in alveolar spaces, markedly distended blood vessels, and intra-alveolar hemorrhage. This comprehensive approach demonstrated that the cause of death was drowning, secondary to propeller strike by a small vessel (<4.5 m). To the authors’ knowledge, this is the first case report providing a detailed forensic analysis of a juvenile spotted seal found on the eastern coast of Korea. This case highlights the importance of integrating PMCT with conventional necropsy to improve cause-of-death determination in marine mammal conservation. Full article
(This article belongs to the Section Veterinary Clinical Studies)
Show Figures

Figure 1

7 pages, 337 KB  
Case Report
When the Apex Deceives: A Mobile Left Ventricular Mass After Myocardial Infarction
by Georgios E. Zakynthinos, George Makavos, Nikolaos K. Kokkinos, Ourania Katsarou, Evangelos Oikonomou and Gerasimos Siasos
Reports 2026, 9(2), 124; https://doi.org/10.3390/reports9020124 - 18 Apr 2026
Viewed by 339
Abstract
Background and Clinical Significance: Mechanical complications and intracavitary thrombus are both recognized causes of clinical deterioration following acute myocardial infarction, yet they require fundamentally different therapeutic approaches. Distinguishing between these entities is critical, as misdiagnosis may lead to unnecessary surgical intervention or delayed [...] Read more.
Background and Clinical Significance: Mechanical complications and intracavitary thrombus are both recognized causes of clinical deterioration following acute myocardial infarction, yet they require fundamentally different therapeutic approaches. Distinguishing between these entities is critical, as misdiagnosis may lead to unnecessary surgical intervention or delayed anticoagulation with serious consequences. Left ventricular (LV) thrombus typically appears as a well-defined mass; however, atypical and highly mobile morphologies may closely mimic catastrophic post-infarction mechanical complications, creating significant diagnostic uncertainty. This case highlights the pivotal role of contrast-enhanced echocardiography in resolving such ambiguity and guiding appropriate management in a high-stakes clinical setting. Case Presentation: A 60-year-old man presented with acute dyspnea and pulmonary edema ten days after an anterior myocardial infarction treated with percutaneous coronary intervention, complicated by ischemic stroke. Transthoracic echocardiography demonstrated severe LV systolic dysfunction with moderate-to-severe mitral regurgitation and an unexpected, highly mobile, irregular mass protruding into the LV apex. The mass exhibited a shredded, tissue-like appearance, raising urgent concern for post-infarction mechanical complications, including papillary muscle rupture or apical myocardial disruption, and prompting immediate consideration of surgical intervention. Contrast-enhanced echocardiography was performed and revealed a mobile LV apical thrombus. Surgical management was avoided, and systemic anticoagulation was initiated, followed by transition to rivaroxaban in combination with ongoing dual antiplatelet therapy. The patient demonstrated rapid clinical improvement with optimized heart failure treatment and was discharged after four days, with planned follow-up imaging to assess thrombus resolution. Conclusions: Left ventricular thrombus may present with atypical, misleading morphologies that closely resemble life-threatening mechanical complications after myocardial infarction. Full article
(This article belongs to the Section Cardiology/Cardiovascular Medicine)
Show Figures

Figure 1

26 pages, 3302 KB  
Article
Comparison of Controller Logics for Automating Vasopressor Administration Using a Hardware-in-Loop Test Platform
by Michael D. Lopez, Jonathan Marrero Bermudez, David Berard, Lawrence Holland, Austin J. Ruiz, Jose M. Gonzalez, Sofia I. Hernandez Torres and Eric J. Snider
Bioengineering 2026, 13(4), 454; https://doi.org/10.3390/bioengineering13040454 - 13 Apr 2026
Viewed by 500
Abstract
Hemorrhagic shock remains one of the leading causes of preventable death for both civilian and military trauma. Fluid resuscitation is the primary treatment but requires constant monitoring, particularly for volume non-responsive patients susceptible to fluid overload, pulmonary edema, and other life-threatening conditions. To [...] Read more.
Hemorrhagic shock remains one of the leading causes of preventable death for both civilian and military trauma. Fluid resuscitation is the primary treatment but requires constant monitoring, particularly for volume non-responsive patients susceptible to fluid overload, pulmonary edema, and other life-threatening conditions. To overcome fluid non-responsiveness, vasoactive drugs or vasopressors can be necessary adjuvants to fluid therapy but require tedious titrations that can be difficult to manage during mass-casualty situations. This study developed and evaluated automated closed-loop vasopressor controllers for hemorrhage scenarios. Ten physiological closed-loop controller (PCLC) configurations with different underlying functionalities were tuned to be either more aggressive or conservative to reach the target mean arterial pressure. A hardware-in-loop test platform with fluid-pressure responsiveness, derived from animal data, tested each controller across three different starting pressure scenarios. The platform successfully differentiated controller designs based on performance metrics. While some configurations overshot the target and others could not reach the target pressure, strong-performing PCLCs consistently reached and maintained the target quickly. Three candidate PCLCs outperformed the rest and will be evaluated across wider scenarios to develop a robust controller design. This work accelerates PCLC-driven vasopressor administration development, providing a necessary fluid resuscitation adjuvant for precise hemodynamic management in hemorrhagic trauma. Full article
(This article belongs to the Section Biomedical Engineering and Biomaterials)
Show Figures

Figure 1

20 pages, 4224 KB  
Article
Prophylactic Nebulized hUC-MSC-EVs Attenuate Hypobaric Hypoxia-Induced Lung Injury via Alveolar–Capillary Barrier Stabilization and TEK/Tie2 Preservation
by Peixin Wu, Yue Yin, Jinxia Liu, Zhenfei Mo, Jiabo Ren, Xiuqing Ma, Zhixin Liang, Miaoyu Wang, Chunsun Li and Liangan Chen
Biomedicines 2026, 14(4), 874; https://doi.org/10.3390/biomedicines14040874 - 10 Apr 2026
Viewed by 604
Abstract
Background/Objectives: High-altitude pulmonary edema (HAPE) remains a serious condition with limited preventive options. This study evaluated the prophylactic protective effects of nebulized human umbilical cord mesenchymal stem cell-derived extracellular vesicles (hUC-MSC-EVs) in a rat model of hypobaric hypoxia-induced lung injury and explored [...] Read more.
Background/Objectives: High-altitude pulmonary edema (HAPE) remains a serious condition with limited preventive options. This study evaluated the prophylactic protective effects of nebulized human umbilical cord mesenchymal stem cell-derived extracellular vesicles (hUC-MSC-EVs) in a rat model of hypobaric hypoxia-induced lung injury and explored potential mechanistic clues, with a focus on oxidative stress and TEK/Tie2 signaling. Methods: Rats were exposed to hypobaric hypoxia (47 kPa; 9.7% O2) for 72 h and received prophylactic nebulized hUC-MSC-EVs (300 μg/rat). Lung injury was evaluated by histopathology, wet-to-dry ratio, and bronchoalveolar lavage fluid (BALF) protein concentration. Invasive pulmonary function indices were measured using a forced oscillation system. BALF cytokines (TNF-α, IL-6, and IL-10), reactive oxygen species (ROS), and TEK/Tie2 expression in lung tissue were assessed. In addition, transcriptome sequencing (RNA-seq) was performed to characterize global transcriptional changes. N-acetylcysteine (NAC), a classical antioxidant, was included as an auxiliary mechanistic intervention to assess the association of ROS with TEK/Tie2 changes. Results: Compared with hypoxia controls, prophylactic nebulized hUC-MSC-EVs reduced histopathological injury, pulmonary edema, and barrier leakage, and improved pulmonary function indices. hUC-MSC-EV intervention also attenuated inflammatory responses in BALF, with decreased TNF-α and IL-6 and increased IL-10. Hypobaric hypoxia increased ROS accumulation and decreased TEK/Tie2 expression, whereas nebulized hUC-MSC-EVs reduced ROS and partially preserved TEK/Tie2 expression. NAC pretreatment similarly reduced ROS and was accompanied by Tie2 preservation. Conclusions: Prophylactic nebulized hUC-MSC-EVs mitigated hypobaric hypoxia-induced lung injury, accompanied by reduced oxidative stress, improved vascular barrier integrity, and preservation of TEK/Tie2 expression. These findings support nebulized hUC-MSC-EVs as a potential lung-targeted prophylactic strategy for hypobaric hypoxia-induced lung injury and suggest that ROS imbalance may be associated with Tie2 preservation. Full article
(This article belongs to the Section Cell Biology and Pathology)
Show Figures

Figure 1

23 pages, 14316 KB  
Article
SARS-CoV-2 Effects on Respiratory and Neurological Systems: Morphological Findings and Gene Expression in K18-hACE2 Mice Model
by Ana Luisa Teixeira de Almeida, Andréa Marques Vieira da Silva, Mariana Mello e Souza, Miguel Pires Medeiros Diniz Rodrigues, Felipe Soares Coelho, Lorenna Carvalho da Rosa, Tamiris Azamor, Carolina Baeta Salvador Várady, Bruno Jorge Duque da Silva, Alex Costa de Almeida, Renata Tourinho Santos, Rodrigo Müller, Rafael Braga Gonçalves, Ana Paula Dinis Ano Bom and Debora Ferreira Barreto-Vieira
Microorganisms 2026, 14(4), 852; https://doi.org/10.3390/microorganisms14040852 - 10 Apr 2026
Viewed by 605
Abstract
The COVID-19 pandemic, caused by severe acute respiratory syndrome coronavirus 2 (SARS-CoV-2), has revealed a complex interplay between respiratory and neurological manifestations. This study utilized K18-hACE2 transgenic mice to investigate the morphological, ultrastructural, and transcriptomic changes induced by SARS-CoV-2 infection in both lungs [...] Read more.
The COVID-19 pandemic, caused by severe acute respiratory syndrome coronavirus 2 (SARS-CoV-2), has revealed a complex interplay between respiratory and neurological manifestations. This study utilized K18-hACE2 transgenic mice to investigate the morphological, ultrastructural, and transcriptomic changes induced by SARS-CoV-2 infection in both lungs and brain tissues. Histopathological analysis at seven days post-infection revealed significant pulmonary damage characterized by interstitial pneumonia, alveolar septal thickening, with a marked inflammatory infiltrate predominantly consisting of neutrophils and lymphocytes, and an abnormal profile of type II pneumocytes. Concurrently, in the brain, we observed vasculitis, gliosis, and edema, indicating an inflammatory response and vascular compromise that can disturb the blood–brain barrier. In addition, gene expression in lung tissue presented increased CCL2, IL10, and GDDA45D in infected mice and the downregulation of proinflammatory genes. However, in brain tissue, the increased expression of CCL2, CASP1, IL6, IFNB1, and GDDA45G inflammatory genes was observed in infected K18-hACE2 mice. Full article
(This article belongs to the Special Issue Pandemics and Infectious Diseases)
Show Figures

Figure 1

8 pages, 269 KB  
Case Report
Dyspnea Induced by Alpha 2-Adrenergic Agonists and Dissociative Anesthetics Combination in Dogs and Cats
by Taehoon Sung, Won-gyun Son, Junghee Yoon, Cheol-yong Hwang and Inhyung Lee
Animals 2026, 16(7), 1100; https://doi.org/10.3390/ani16071100 - 3 Apr 2026
Viewed by 675
Abstract
This case report describes the potential adverse effects of the combination of alpha 2-adrenergic agonists and dissociative anesthetics and discusses its prevention. The cases of 2 dogs and 3 cats, including 4 juvenile (<7 months old) animals and 1 adult cat (2 years [...] Read more.
This case report describes the potential adverse effects of the combination of alpha 2-adrenergic agonists and dissociative anesthetics and discusses its prevention. The cases of 2 dogs and 3 cats, including 4 juvenile (<7 months old) animals and 1 adult cat (2 years old), that presented with dyspnea immediately after induction at local veterinary clinics and were referred to the Seoul National University Veterinary Medicine Teaching Hospital are described. Four animals were premedicated with atropine, and all were anesthetized intravenously using a combination of an alpha 2-adrenergic agonist (medetomidine or xylazine) and a dissociative anesthetic (ketamine or Zoletil®). Both dogs developed immediate epistaxis, dyspnea, and radiographic evidence of diffuse alveolar infiltration. One dog was euthanized after experiencing seizures. All 3 cats developed anorexia followed by dyspnea within 24 to 48 h post-anesthesia, resulting in death in 2 cats, while 1 cat recovered with symptomatic treatment. The sympathomimetic effects of dissociative anesthetics and vasoconstrictive alpha 2-adrenergic agonists can cause transient hypertension, which can precipitate pulmonary edema and hemorrhage, leading to dyspnea. Either juvenile or atropine-premedicated patients may be at an increased risk, warranting dose adjustment, route selection, and careful monitoring during anesthesia. Full article
(This article belongs to the Section Veterinary Clinical Studies)
Show Figures

Figure 1

9 pages, 730 KB  
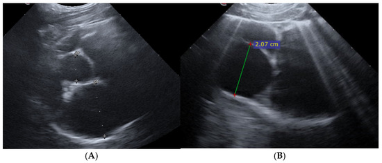
Case Report
Ιdiosyncratic Non-Cardiogenic Pulmonary Edema Following Acetazolamide Administration: A Case Report and Review of Pathogenic Mechanisms
by Athanasia-Marina Peristeri, Fotini Ampatzidou, Ioanna-Maria Mouskeftara, Olympia Akritidou, Anastasios Tsangaleas, Christina Chrysanthi Theocharidou and Athina Lavrentieva
Reports 2026, 9(2), 107; https://doi.org/10.3390/reports9020107 - 30 Mar 2026
Cited by 1 | Viewed by 893
Abstract
Background and Clinical Significance: Acetazolamide is routinely used post-cataract surgery to prevent intraocular pressure (IOP) spikes. Rare non-cardiogenic pulmonary edema (NCPE) cases highlight its risks in elderly comorbid patients. This report details acetazolamide-induced NCPE and provides a review of current evidence from the [...] Read more.
Background and Clinical Significance: Acetazolamide is routinely used post-cataract surgery to prevent intraocular pressure (IOP) spikes. Rare non-cardiogenic pulmonary edema (NCPE) cases highlight its risks in elderly comorbid patients. This report details acetazolamide-induced NCPE and provides a review of current evidence from the literature. Case Presentation: A 74-year-old male with chronic kidney disease, atrial fibrillation, and aortic aneurysm repair received 250 mg oral acetazolamide post-cataract extraction. Clinical, imaging, and lab data were documented during Intensive Care Unit (ICU) stay. PubMed/Google Scholar review identified similar cases. Within 30 min, severe hypoxemia with SpO2 (peripheral oxygen saturation) of 77%, accompanied by tachypnea and hypertension, necessitated endotracheal intubation. Echocardiography showed preserved left ventricular (LV) function; computed tomography (CT) confirmed bilateral alveolar opacities without cardiomegaly or embolism, indicating permeability-mediated NCPE. Lung-protective mechanical ventilation and vasopressor therapy resulted in hemodynamic and respiratory stabilization. On day 4, ventilator-associated pneumonia (VAP) due to Acinetobacter baumannii resolved with targeted antibiotic therapy. The patient made a full recovery following ICU discharge. To date, nine prior cases have been reported, alongside 31 entries in EudraVigilance reflecting a 19.4% mortality rate. Conclusions: Rapid-onset NCPE from acetazolamide involves endothelial injury, distinct from cardiogenic pulmonary edema. Early recognition, drug cessation, and admission to the intensive care unit (ICU) are vital components of therapeutic intervention. Risk stratification and pharmacovigilance are recommended for perioperative safety. Full article
(This article belongs to the Section Critical Care/Emergency Medicine/Pulmonary)
Show Figures

Figure 1

14 pages, 2719 KB  
Review
Extrinsic Left Atrial Compression: An Echocardiography-Guided Diagnosis Illustrated by Two Clinical Cases and a Structured Review of Published Cases
by Angelina Borizanova, Elena Kinova, Semra Beyti, Todor Angelov, Plamen Getsov and Assen Goudev
J. Clin. Med. 2026, 15(7), 2611; https://doi.org/10.3390/jcm15072611 - 29 Mar 2026
Viewed by 457
Abstract
Background: Extrinsic compression of the left atrium (LA) is a rare and underrecognized condition that may result in significant hemodynamic compromise and atrial arrhythmias. The available evidence has been largely limited to isolated case reports and small case series, and clinical awareness [...] Read more.
Background: Extrinsic compression of the left atrium (LA) is a rare and underrecognized condition that may result in significant hemodynamic compromise and atrial arrhythmias. The available evidence has been largely limited to isolated case reports and small case series, and clinical awareness has remained low. Methods: We performed a structured review of published case reports and case series indexed in PubMed between 2016 and 2026 describing extracardiac LA compression. A predefined and reproducible literature search strategy with explicit eligibility criteria was applied. The structured review included 22 publications reporting 23 individual cases of LA compression; in addition, two institutional cases with distinct etiologies were presented separately. Demographic characteristics, presenting symptoms, diagnostic modalities, complications, management strategies, and outcomes were synthesized descriptively. Results: The structured review identified gastroesophageal disorders, particularly hiatal hernia, as the most frequent etiology, followed by vascular, mediastinal, malignant, and musculoskeletal causes. Dyspnea was the most common presenting symptom, while hemodynamic compromise, pulmonary edema, and atrial arrhythmia represented the most frequent complications. Transthoracic echocardiography was the initial diagnostic modality in all reported cases, with computed tomography required for definitive etiological diagnosis. The two institutional cases illustrated both a common cause, hiatal hernia mimicking intracardiac mass, and a rare, aggressive malignant cause with extensive mediastinal involvement. Conclusions: Extrinsic LA compression arises from diverse extracardiac pathologies and may be clinically severe. Transthoracic echocardiography can serve as a pivotal first-line tool for early recognition and differentiation from intracardiac masses, while cross-sectional imaging is essential for etiological clarification. By integrating institutional experience with a structured synthesis of published cases, this review can provide practical insights to support timely diagnosis and management of this potentially life-threatening condition. Full article
(This article belongs to the Section Cardiology)
Show Figures

Graphical abstract

8 pages, 5105 KB  
Case Report
ECMO Before Heart Transplantation: Early Implantation and Optimized Assistance with the Eurosets ECMOLIFE System and Landing Advance—A Case Report
by Giuseppe Santarpino, Alessandro Fiorentino, Federico Cucci, Veronica D’Anna and Giuseppe Speziale
Reports 2026, 9(2), 105; https://doi.org/10.3390/reports9020105 - 28 Mar 2026
Viewed by 568
Abstract
Background: Extracorporeal membrane oxygenation (ECMO) is commonly used for temporary support in patients with severe cardiogenic shock and may serve as a bridge to heart transplantation. In recent years, outcomes have improved with better timing, patient management and advances in ECMO technology. Case [...] Read more.
Background: Extracorporeal membrane oxygenation (ECMO) is commonly used for temporary support in patients with severe cardiogenic shock and may serve as a bridge to heart transplantation. In recent years, outcomes have improved with better timing, patient management and advances in ECMO technology. Case presentation: We describe the case of a 61-year-old man who developed refractory cardiogenic shock after an extensive acute myocardial infarction complicated by recurrent ventricular arrhythmias. After an initial period of stabilization following complex percutaneous coronary intervention, the patient suddenly deteriorated with acute pulmonary edema and severe hypoxemia. A peripheral femoro-femoral veno-arterial ECMO with distal limb perfusion was promptly implanted using the ECMOLIFE system and the Landing Advance system (Eurosets s.r.l., Medolla, MO, Italy) to stabilize the patient and enable continuous monitoring. Due to severe left ventricular distension, surgical left ventricular venting was performed through a minimally invasive approach. ECMO support allowed rapid hemodynamic stabilization without major complications. During ECMO support, the patient remained stable and after less than 48 h a suitable donor heart became available. The patient was safely transferred to a transplant center while on ECMO and successfully underwent heart transplantation. Conclusions: This case shows that early ECMO implantation, combined with appropriate ventricular unloading and careful management with an advanced monitoring system, can be an optimal support as a bridge to heart transplantation. Limiting the duration of ECMO support and ensuring timely referral to a transplant center may improve outcomes in patients with refractory cardiogenic shock. Full article
Show Figures

Figure 1

21 pages, 5550 KB  
Article
The Failure of Pulmonary Oxygen Exchange in Severe Viral Lung Disease: Pneumolysis
by Gustavo Zubieta-Calleja, Felipe de Jesús Montelongo, Manuel Gabriel Romo Sanchez, Michele Samaja and Natalia Zubieta-DeUrioste
Oxygen 2026, 6(2), 7; https://doi.org/10.3390/oxygen6020007 - 27 Mar 2026
Cited by 1 | Viewed by 1391
Abstract
Background: Severe lung compromise from COVID-19, ARDS, and recently AH3N2 can progress to life-threatening hypoxia. Past experience led to standardized protocols that assumed similarity to SARS-CoV. Methods: COVID-19 pathophysiology and histopathological lung biopsy photomicrographs are analyzed. Results: Pneumolysis is defined [...] Read more.
Background: Severe lung compromise from COVID-19, ARDS, and recently AH3N2 can progress to life-threatening hypoxia. Past experience led to standardized protocols that assumed similarity to SARS-CoV. Methods: COVID-19 pathophysiology and histopathological lung biopsy photomicrographs are analyzed. Results: Pneumolysis is defined as progressive alveolar–capillary destruction resulting from SARS-CoV-2 attack on pneumocytes. In the final stages preceding pneumolysis, molecular mechanisms in the lungs include apoptosis in alveolar epithelial type I and II cells, compromising alveolar regeneration, and necrosis, resulting in leakage of intracellular contents and amplifying inflammation. Pyroptosis, driven by inflammasome activity, further disrupts alveolar integrity in ARDS. Histopathological findings include Masson bodies, alveolar-coating cells with nuclear atypia, reactive pneumocytes and reparative fibrosis, intra-alveolar hemorrhage, moderate inflammatory infiltrates and abscesses, microthrombi, hyaline membrane remnants, and emphysema. The three theoretical pathophysiological stages of progressive hypoxemia (silent hypoxemia, gasping, and death zone) are shown. Conclusions: Silent hypoxemia rapidly progresses to critical hypoxemia. This progression results from progressive pneumolysis, inflammation, immune overexpression, autoimmunity, and HAPE-type edema, leading to acute pulmonary insufficiency. Long-lasting COVID-19 can result in fibrosis and, as a compensatory mechanism, polierythrocythemia. The proposed treatment (based on tolerance to hypoxia and the hemoglobin factor) includes prompt oxygen administration, control of inflammatory and immune responses, antibiotics, rehydration, erythropoietin and platelet aggregation inhibitors. Full article
Show Figures

Graphical abstract

21 pages, 5265 KB  
Article
Monosodium Glutamate Inhibits Pseudomonas aeruginosa-Induced Acute Lung Injury by Targeting the Type III Secretion Systems and Modulating Host Immunity
by Jing Xu, Weiwei Wang, Yaxin Zhou, Hongxing Zhang, Zixuan Shang, Zhijin Zhang, Bing Li, Yubin Bai and Jiyu Zhang
Microorganisms 2026, 14(3), 725; https://doi.org/10.3390/microorganisms14030725 - 23 Mar 2026
Viewed by 538
Abstract
The opportunistic pathogen Pseudomonas aeruginosa poses a serious threat to immunocompromised patients. Monosodium glutamate (MSG), a widely used flavor enhancer, has been reported to possess anti-inflammatory and antioxidant properties. However, its therapeutic potential and mechanism against Pseudomonas aeruginosa (P. aeruginosa) infection [...] Read more.
The opportunistic pathogen Pseudomonas aeruginosa poses a serious threat to immunocompromised patients. Monosodium glutamate (MSG), a widely used flavor enhancer, has been reported to possess anti-inflammatory and antioxidant properties. However, its therapeutic potential and mechanism against Pseudomonas aeruginosa (P. aeruginosa) infection have remained unexplored. This study systematically elucidated the protective effects and molecular mechanisms of MSG against P. aeruginosa-induced acute lung injury (ALI). In a murine pneumonia model, MSG administration effectively alleviated lung pathological damage, edema, and inflammatory responses. Mechanistically, MSG exerted protection through a multifaceted strategy, including direct suppression of bacterial virulence via binding to PopB of T3SS inhibition of the TLR4/MyD88/MAPK-driven inflammatory cascade and pro-inflammatory cytokine production, enhancement of endogenous antioxidant defense (SOD, CAT), and reshaping of pulmonary macrophages from the M1 to M2 phenotype. Notably, the anti-virulence effect of MSG, achieved by binding to PopB (KD = 3.52 × 10−6 M), presented a distinct advantage over traditional antimicrobials by potentially mitigating resistance development. Collectively, these findings indicated that MSG can alleviate ALI caused by P. aeruginosa infection. Full article
(This article belongs to the Section Molecular Microbiology and Immunology)
Show Figures

Figure 1

Back to TopTop