Sign in to use this feature.

Years

Between: -

Subjects

remove_circle_outline
remove_circle_outline
remove_circle_outline
remove_circle_outline
remove_circle_outline
remove_circle_outline
remove_circle_outline

Journals

Article Types

Countries / Regions

Search Results (123)

Search Parameters:
Keywords = prenylation inhibition

Order results
Result details
Results per page
Select all
Export citation of selected articles as:
27 pages, 1186 KB  
Article
In Vivo Anti-Inflammatory Evaluation and In Silico Physicochemical Characterization of Flavanones from E. platycarpa Leaves
by Berenice Andrade-Carrera, Valeri Domínguez-Villegas, Ana Cristina Calpena and María Luisa Garduño-Ramírez
Molecules 2025, 30(18), 3728; https://doi.org/10.3390/molecules30183728 - 13 Sep 2025
Viewed by 583
Abstract
The inflammatory response is a defence mechanism triggered by tissue damage, aiming to eliminate harmful agents and initiate healing. Conventional anti-inflammatory drugs, such as NSAIDs and corticosteroids, are widely used but often cause severe side effects. Flavonoids, particularly flavanones, have shown significant anti-inflammatory [...] Read more.
The inflammatory response is a defence mechanism triggered by tissue damage, aiming to eliminate harmful agents and initiate healing. Conventional anti-inflammatory drugs, such as NSAIDs and corticosteroids, are widely used but often cause severe side effects. Flavonoids, particularly flavanones, have shown significant anti-inflammatory activity with fewer adverse effects. In this study, eight analogues (1a1d) and (2a2d) were obtained from natural flavanones (1) and (2) using a pharmacomodulation strategy. NMR, FTIR, structurally confirmed all compounds and MS. Theoretical physicochemical analyses, including molecular orbital energies, dipole moments, and Log P, suggested favourable drug-like properties for these analogues. The anti-inflammatory activity was evaluated in vivo using a TPA-induced mouse ear edema model. Analogue (2c) exhibited the highest inhibition (98.62 ± 1.92%), followed by (2d) (76.12 ± 1.74%) and (1c) (71.64 ± 1.86%). Notably, structural modifications such as cyclization, methoxylation, and prenylation were associated with increased lipophilicity and biological activity, suggesting that tuning physicochemical properties may enhance pharmacological efficacy while preserving drug-likeness. Overall, these findings highlight semi-synthetic derivatization of flavanones as a valuable approach for developing potent and selective anti-inflammatory agents, positioning analogue (2c) as a promising lead for further pharmacological development. Full article
Show Figures

Figure 1

18 pages, 1121 KB  
Review
The Cellular and Mitochondrial Consequences of Mevalonate Pathway Inhibition by Nitrogen-Containing Bisphosphonates: A Narrative Review
by Adrianna Budzinska and Wieslawa Jarmuszkiewicz
Pharmaceuticals 2025, 18(7), 1029; https://doi.org/10.3390/ph18071029 - 11 Jul 2025
Viewed by 1471
Abstract
Nitrogen-containing bisphosphonates (N-BPs) are commonly used drugs in the treatment of bone diseases due to their potent inhibition of the mevalonate pathway, leading to disrupted protein prenylation and reduced osteoclast activity. Although N-BPs are effective in reducing bone resorption, increasing evidence indicates their [...] Read more.
Nitrogen-containing bisphosphonates (N-BPs) are commonly used drugs in the treatment of bone diseases due to their potent inhibition of the mevalonate pathway, leading to disrupted protein prenylation and reduced osteoclast activity. Although N-BPs are effective in reducing bone resorption, increasing evidence indicates their side effects on various non-skeletal cells. The aim of this review is to synthesize the current knowledge on the cellular and molecular effects of N-BPs outside the skeletal system, with particular emphasis on their impact on mitochondrial function and energy metabolism. At the cellular level, N-BPs may reduce viability, modulate inflammatory responses, trigger apoptosis, disrupt cytoskeletal organization, and influence signaling and energy metabolism. N-BPs may also impair the prenylation of proteins essential for mitochondrial dynamics and quality control, and may disrupt Ca2+ homeostasis. As we have shown in endothelial cells, by inhibiting the mevalonate pathway, N-BPs may lead to a reduction in key components of the mitochondrial respiratory chain, such as coenzyme Q (CoQ) and a-heme. These effects can contribute to impaired mitochondrial respiratory function, increased oxidative stress, and mitochondria-dependent apoptosis, affecting cellular energy metabolism and viability. These findings underscore the multifaceted impact of N-BPs beyond bone, emphasizing the importance of mitochondrial health and energy metabolism in understanding their broader biological effects and potential adverse outcomes. Full article
(This article belongs to the Special Issue The Pharmacology of Bisphosphonates: New Advances)
Show Figures

Figure 1

21 pages, 9039 KB  
Article
The Cholesterol Biosynthesis Pathway Plays an Important Role in Chemotherapeutic Drug Response and Metastasis in High-Grade Osteosarcoma
by Amonnat Sukhamwang, Dumnoensun Pruksakorn, Pornngarm Dejkriengkraikul, Apiwat Sangphukieo, Sivamoke Dissook and Supachai Yodkeeree
Cells 2025, 14(13), 993; https://doi.org/10.3390/cells14130993 - 29 Jun 2025
Cited by 1 | Viewed by 2264
Abstract
High-grade osteosarcoma (HGOS) is the most common primary malignant bone tumor in children and adolescents. Poor response to chemotherapy is linked to worse prognosis and increased risk of recurrence and metastasis. However, current assessment methods, such as tumor necrosis evaluation, are time-consuming and [...] Read more.
High-grade osteosarcoma (HGOS) is the most common primary malignant bone tumor in children and adolescents. Poor response to chemotherapy is linked to worse prognosis and increased risk of recurrence and metastasis. However, current assessment methods, such as tumor necrosis evaluation, are time-consuming and delay treatment decisions. Thus, identifying molecular pathways and predictive biomarkers is essential for guiding early therapeutic strategies. In this study, RNA-seq analysis of HGOS tissues revealed enrichment of cholesterol biosynthesis and mitotic pathways in poor responders. Additionally, high HMGCR expression, as analyzed from TCGA data, was associated with poor prognosis in sarcoma. Functional validation using SaOS-2 cells, which exhibited poor drug sensitivity and elevated HMGCR levels, demonstrated that simvastatin enhanced the efficacy of cisplatin and doxorubicin by inducing mitochondrial-mediated apoptosis and downregulating anti-apoptotic proteins. Simvastatin also reduced cell migration and invasion by suppressing epithelial–mesenchymal transition and extracellular matrix degradation. Mechanistically, simvastatin disrupted Ras prenylation and inhibited downstream oncogenic signaling pathways, including Akt/mTOR and Akt/GSK3, which regulate survival and metastasis-associated gene expression. These findings suggest that the cholesterol biosynthesis pathway particularly plays a critical role in chemoresistance and metastasis in HGOS and may serve as a promising predictive molecular target for guiding early therapeutic strategies. Full article
Show Figures

Figure 1

22 pages, 953 KB  
Review
Alpha-Mangostin: A Review of Current Research on Its Potential as a Novel Antimicrobial and Anti-Biofilm Agent
by Hanna Górecka, Mateusz Guźniczak, Igor Buzalewicz, Agnieszka Ulatowska-Jarża, Kamila Korzekwa and Aleksandra Kaczorowska
Int. J. Mol. Sci. 2025, 26(11), 5281; https://doi.org/10.3390/ijms26115281 - 30 May 2025
Viewed by 3040
Abstract
Alpha-mangostin (α-MG) is a prenylated xanthone extracted from the pericarp of the mangosteen tree (Garcinia mangostana) fruit. The compound exhibits a broad range of therapeutic properties, such as anti-inflammatory, antioxidative, and antimicrobial activity. This review highlights new findings in [...] Read more.
Alpha-mangostin (α-MG) is a prenylated xanthone extracted from the pericarp of the mangosteen tree (Garcinia mangostana) fruit. The compound exhibits a broad range of therapeutic properties, such as anti-inflammatory, antioxidative, and antimicrobial activity. This review highlights new findings in antibacterial studies involving α-MG, demonstrates its potent activity against Gram-positive bacteria, including Staphylococcus and Enterococcus genera, and describes the antibacterial mechanisms involved. Most cited literature comes from 2020 to 2025, highlighting the topic’s relevance despite limited new publications in this period. The primary antibacterial mechanism of α-MG consists of the disruption of the bacterial membrane and increased bacterial wall permeability, leading to drug accumulation and cell lysis. Other mechanisms include genomic interference and enzyme activity inhibition, which impair metabolic pathways. α-MG can also disrupt biofilm formation, facilitate its removal, and prevent its maturation. Furthermore, α-MG presents strong synergistic action with common antibiotics and other phytochemicals, even against drug-resistant strains, facilitating infection treatment and allowing for reduced drug dosage. The main challenge in developing α-MG-based drugs is their low aqueous solubility; therefore, nanoformulations have been explored to improve its bioavailability and antibacterial stability. Extended research in this direction may enable the development of effective antibacterial and anti-biofilm therapies based on α-MG. Full article
(This article belongs to the Special Issue Drug Treatment for Bacterial Infections)
Show Figures

Figure 1

17 pages, 7483 KB  
Article
Myeloid PGGT1B Deficiency Promotes Psoriasiform Dermatitis by Promoting the Secretion of Inflammatory Factors
by Shanshan Yu, Fangyuan Long, Xuecui Wei, Heng Gu and Zhimin Hao
Int. J. Mol. Sci. 2025, 26(10), 4901; https://doi.org/10.3390/ijms26104901 - 20 May 2025
Cited by 1 | Viewed by 687
Abstract
Psoriasis pathogenesis involves dysregulated immune responses, yet the role of protein prenylation (particularly PGGT1B-mediated geranylgeranylation) in macrophage-driven inflammation remains poorly understood. This study aims to explore the role and molecular mechanism of protein geranylgeranyltransferase type I subunit beta (PGGT1B) in the development of [...] Read more.
Psoriasis pathogenesis involves dysregulated immune responses, yet the role of protein prenylation (particularly PGGT1B-mediated geranylgeranylation) in macrophage-driven inflammation remains poorly understood. This study aims to explore the role and molecular mechanism of protein geranylgeranyltransferase type I subunit beta (PGGT1B) in the development of psoriasis. Myeloid cell-specific PGGT1B gene knockout mice were generated, and a mouse psoriasis model was established with imiquimod to study the role and mechanism of PGGT1B gene downregulation-induced macrophage activation in the pathogenesis of psoriasis. Bone marrow-derived macrophages (BMDMs) from wild-type and PGGT1B knockout mice were cultured and stimulated with resiquimod (R848) to simulate the immune microenvironment of psoriasis. In addition, the differentially expressed genes induced by PGGT1B knockout were analyzed using RNA-seq, and bioinformatics analysis was carried out to study the possible biological process of PGGT1B regulation. Finally, PMA-THP-1 was co-cultured with HaCaT cells to study the effect of PGGT1B deletion in macrophages on the proliferation and differentiation of keratinocytes. Bone marrow PGGT1B deficiency aggravated the psoriasis-like lesions induced by imiquimod in mice. In BMDMs with PGGT1B deficiency, the NF-κB signaling pathway was over-activated by R848, and the expressions of proinflammatory cytokines IL-1β, IL-6, and TNF-α were significantly increased. Activation of cell division cycle 42 (CDC42) may mediate the activation of the NF-κB pathway in PGGT1B-deficient BMDMs. PGGT1B deletion can promote the proliferation and inhibit the differentiation of HaCaT cells. Reduced PGGT1B levels can increase the expression of CDC42, which further activates NLRP3 inflammation in macrophages through NF-κB signaling, further aggravating the inflammatory state of psoriasis. Psoriasis-like lesions induced by IMQ are aggravated when PGGT1B expression is reduced in mouse bone marrow cells. A possible mechanism for this is that PGGT1B-deficient macrophages migrate to the epidermis more easily during psoriasis, which leads to the activation of Cdc42, NF-κB signaling, and NLRP3 inflammatory corpuscles. Full article
(This article belongs to the Section Molecular Immunology)
Show Figures

Figure 1

19 pages, 5288 KB  
Article
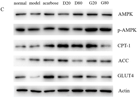
Inhibition Mechanism of Mulberry Prenylated Flavonoids Sanggenone D/Kuwanon G Against α-Glucosidase and the Regulation of Glucose via GLUT4 Pathway
by Erwen Wu, Yanqing Zhu, Qingyi Wei, Huijie Lu, Yuxiao Zou, Fan Liu and Qian Li
Nutrients 2025, 17(9), 1539; https://doi.org/10.3390/nu17091539 - 30 Apr 2025
Viewed by 579
Abstract
Background: Inhibition of α-glucosidase activity is recognized as an effective strategy for managing type 2 diabetes. Methods: The inhibitory mechanisms of two kinds of mulberry flavonoids, namely sanggenone D and kuwanon G, on α-glucosidase were investigated and the hypoglycemic pathways were explored in [...] Read more.
Background: Inhibition of α-glucosidase activity is recognized as an effective strategy for managing type 2 diabetes. Methods: The inhibitory mechanisms of two kinds of mulberry flavonoids, namely sanggenone D and kuwanon G, on α-glucosidase were investigated and the hypoglycemic pathways were explored in the current study. Results: The outcomes indicate that sanggenone D (IC50: 4.51 × 10−5 mol/L) and kuwanon G (IC50: 3.83 × 10−5 mol/L) inhibited α-glucosidase activity by non-competition/anti-competition mixed inhibition and competitive inhibition, respectively. Moreover, the secondary structure of α-glucosidase was altered by static quenching and exhibited a decrease in α-helix and β-antiparallel content, and an increase in β-sheet content. Furthermore, the interaction forces between sanggenone D/kuwanon G and α-glucosidase were hydrophobic interactions and hydrogen bonds, as evidenced by molecular docking. The binding affinity, stability, and binding energy aligned with the results of IC50. Notably, the cyclization in sanggenone D structure resulted in a decrease in the number of phenolic hydroxyl groups and thus a reduction in the formation of hydrogen bonds, which ultimately diminished the binding affinity of sanggenone D to α-glucosidase. In addition, Western blot analysis further indicated that sanggenone D and kuwanon G regulated glucose metabolism by activating the GLUT4 pathway. Conclusions: The results provided useful reference for the application of sanggenone D and kuwanon G in hypoglycemic functional components. Full article
(This article belongs to the Section Nutrition and Metabolism)
Show Figures

Graphical abstract

19 pages, 7441 KB  
Article
Neuroprotective Effect of Nor-Prenylated Acylphloroglucinols from Hypericum perforatum L. (St John’s Wort) in the MPTP-Induced Zebrafish Model
by Wuyang Liu, Peng Zhao, Yihan Liu, Xiangyan Meng, Jinyan Xie, Junmian Tian and Jinming Gao
Int. J. Mol. Sci. 2025, 26(7), 3096; https://doi.org/10.3390/ijms26073096 - 27 Mar 2025
Viewed by 871
Abstract
Hypericum perforatum L. (St John’s wort) has been widely studied and used for antidepressant treatment, as well as, rarely, featuring in studies on its chemical composition for Parkinson’s disease (PD) treatment. Five new nor-prenylated acylphloroglucinols with a cyclohexanone core, norperforatums A–E ( [...] Read more.
Hypericum perforatum L. (St John’s wort) has been widely studied and used for antidepressant treatment, as well as, rarely, featuring in studies on its chemical composition for Parkinson’s disease (PD) treatment. Five new nor-prenylated acylphloroglucinols with a cyclohexanone core, norperforatums A–E (15), together with four known analogs [(2R,3R,4S,6R)-3-methyl-4,6-di(3-methyl-2-butenyl)-2-(2-methyl-1-oxopropyl)-3-(4-methyl-3-pentenyl)cyclohexanone (6), hyperscabrin B (7), (2R,3R,4S,6R)-6-methoxycarbonyl-3-methyl-4,6-di(3-methyl-2-butenyl)-2-(2-methyl-1-oxopropyl)-3-(4-methyl-3-pentenyl)cyclohexanone (8), and hyperscabin K (9)], were isolated from the aerial parts of H. perforatum. The structures and absolute configurations of the new compounds were characterized by multiple spectroscopic means, including nuclear magnetic resonance (NMR), high-resolution electrospray ionization mass spectrometry (HR-ESI-MS), ultraviolet visible absorption spectroscopy (UV), infrared spectroscopy (IR), calculated electronic circular dichroism (ECD) data, and X-ray signal crystal diffraction. In addition, the efficacy of these isolations was evaluated against 1-methyl-4-phenyl-1,2,3,6-tetrahydropyridine (MPTP)-induced PD in zebrafish larvae. Compound 9 had the best therapeutic effect, by significantly increasing the total distance traveled and the mean speed of movement in PD dyskinesia zebrafish larvae. Moreover, it enhanced superoxide dismutase (SOD) activity and inhibited reactive oxygen species (ROS) production in a dose-dependent manner. These results suggest that compound 9 may have ameliorative effects on PD symptoms by inhibiting oxidative stress. This study provides new insights into the treatment of H. perforatum for PD. Full article
(This article belongs to the Special Issue Natural Products with Anti-neuroinflammatory Activity)
Show Figures

Figure 1

17 pages, 3519 KB  
Article
11C-Labeling of a Flavanone Extracted from a South American Native Species for Evaluation of Its Interaction with GSK-3β
by Maia Zeni, Maria Daniela Santi, Florencia Arredondo, Laura Reyes, Manuela Bentura, Diego Carvalho, Mariana Peralta, Maria Gabriela Ortega, Juan A. Abin-Carriquiry, Loreto Martínez-Gonzalez, Juan Pablo Gambini, Pablo Duarte, Ana Martinez, Ana Rey and Javier Giglio
Molecules 2025, 30(4), 874; https://doi.org/10.3390/molecules30040874 - 14 Feb 2025
Viewed by 902
Abstract
Natural products play a crucial role in drug discovery, primarily due to their structural complexity. The prenylated flavanone glabranin ((S)-5,7-dihydroxy-8-(3-methylbut-2-en-1-yl)-2-phenylchroman-4-one), isolated from the Dalea elegans plant species, has demonstrated neuroprotective effects, attributed to its inhibition of GSK-3β, as per our previous in silico [...] Read more.
Natural products play a crucial role in drug discovery, primarily due to their structural complexity. The prenylated flavanone glabranin ((S)-5,7-dihydroxy-8-(3-methylbut-2-en-1-yl)-2-phenylchroman-4-one), isolated from the Dalea elegans plant species, has demonstrated neuroprotective effects, attributed to its inhibition of GSK-3β, as per our previous in silico studies. Given the enzyme’s diverse functions and its potential as a target for neurodegenerative diseases, our group synthesized and evaluated an 11C-labeled derivative of glabranin. We present its in vitro biological activity, including IC50, neuronal uptake in Alzheimer’s-affected brain regions, key physicochemical properties, and animal studies. This study confirms [11C]FLA’s interaction with GSK-3β in vitro, highlighting the potential of radiotracers in bioactive compound research. Full article
(This article belongs to the Section Natural Products Chemistry)
Show Figures

Figure 1

15 pages, 1954 KB  
Article
Natural Phenolics Disrupt Microbial Communication by Inhibiting Quorum Sensing
by Martin Helcman, Karel Šmejkal, Marie Čulenová, Tibor Béres and Jakub Treml
Microorganisms 2025, 13(2), 287; https://doi.org/10.3390/microorganisms13020287 - 27 Jan 2025
Viewed by 1468
Abstract
Quorum sensing, a bacterial cell-to-cell communication mechanism, plays a key role in bacterial virulence and biofilm formation. Targeting quorum-sensing pathways represents a promising strategy for the development of novel antibacterial agents. This study evaluated the anti-quorum-sensing activities of 18 natural compounds, including cannabinoids, [...] Read more.
Quorum sensing, a bacterial cell-to-cell communication mechanism, plays a key role in bacterial virulence and biofilm formation. Targeting quorum-sensing pathways represents a promising strategy for the development of novel antibacterial agents. This study evaluated the anti-quorum-sensing activities of 18 natural compounds, including cannabinoids, arylbenzofurans, flavonoids, caffeine, and chlorogenic acid, using the luminescent biosensor strain Vibrio harveyi MM30. V. harveyi MM30, a mutant strain deficient in the production of autoinducer-2 (AI-2) but responsive to exogenous AI-2, was used to assess the activity of test compounds on the AI-2 receptor pathway. Test compounds were incubated in AI-2-containing media, and luminescence was measured to evaluate quorum-sensing inhibition. Comparisons were made in the absence of AI-2 to determine AI-2-independent inhibitory activity. The most active compounds were further tested on methicillin-resistant Staphylococcus aureus (MRSA 7112) to determine their effects on AI-2 production in spent media. Among the tested compounds, the non-prenylated arylbenzofuran moracin M and the prenylated arylbenzofuran moracin C exhibited significant quorum-sensing inhibitory activity in the AI-2-mediated pathway. None of the test compounds significantly inhibited quorum sensing in the absence of AI-2. Five compounds (cannabigerol, cannabidiol, cannabigerolic acid, moracin M, and moracin C) were selected for further investigation in MRSA 7112 cultures. The spent media from MRSA 7112 cultures treated with moracin M (16, 32, 64 µg/mL) and cannabigerolic acid (16 µg/mL) showed significant inhibition of AI-2 production when transferred to V. harveyi MM30 cultures. Moracin M and cannabigerolic acid demonstrated potential as quorum-sensing inhibitors by targeting AI-2 production and signalling pathways in MRSA 7112 and V. harveyi. These findings suggest their potential for further development as antibacterial agents targeting quorum-sensing mechanisms. Full article
(This article belongs to the Section Antimicrobial Agents and Resistance)
Show Figures

Figure 1

11 pages, 1271 KB  
Article
Xanthohumol: Anti-Inflammatory Effects in Mechanically Stimulated Periodontal Ligament Stem Cells
by Christian Niederau, René H. Tolba, Joachim Jankowski, Nikolaus Marx, Michael Wolf and Rogerio Bastos Craveiro
Biomedicines 2024, 12(12), 2688; https://doi.org/10.3390/biomedicines12122688 - 25 Nov 2024
Viewed by 1262
Abstract
Background/Objectives: Initial sterile inflammation is an essential molecular process in the periodontium during orthodontic tooth movement. A better understanding and possible modulations of these processes are of great interest to develop individual therapies for special patient groups. The prenylated plant polyphenol xanthohumol (XN) [...] Read more.
Background/Objectives: Initial sterile inflammation is an essential molecular process in the periodontium during orthodontic tooth movement. A better understanding and possible modulations of these processes are of great interest to develop individual therapies for special patient groups. The prenylated plant polyphenol xanthohumol (XN) could have modulating effects as it has shown anti-inflammatory and angiogenesis-inhibiting effects in various cell lines. This study investigated the anti-inflammatory properties of XN in an in vitro model of compressively stimulated human periodontal ligament stem cells (hPDLSCs), which have a different function in the periodontium than the previously used cementoblasts. Methods: The expression of inflammatory markers at the mRNA and protein levels and the regulation of central kinases were investigated. Results: XN showed a dose-dependent influence on cell viability. Low concentrations between 0.2 and 4 µM showed positive effects, while 8 µM caused a significant decrease in viability after 24 h. Mechanical stimulation induced an upregulation of pro-inflammatory gene (IL-6, COX2) and protein (IL-6) expression. Here, XN significantly reduced stimulation-related IL-6 mRNA and gene expression. Furthermore, the phosphorylation of AKT and ERK was upregulated by mechanical stimulation, and XN re-established phosphorylation at a level similar to the control. Conclusions: We demonstrated a selective anti-inflammatory effect of XN in hPDLSCs. These findings provide the basis for further investigation of XN in the modulation of inflammatory responses in orthodontic therapy and the treatment of periodontal inflammation. Full article
Show Figures

Figure 1

12 pages, 8285 KB  
Article
Prenylated Dihydroflavonol from Sophora flavescens Regulate the Polarization and Phagocytosis of Macrophages In Vitro
by Lu Su, Kairui Rao, Lizhong Wang, Li Pu, Zhijun Zhang, Hongmei Li, Rongtao Li and Dan Liu
Molecules 2024, 29(19), 4741; https://doi.org/10.3390/molecules29194741 - 7 Oct 2024
Cited by 2 | Viewed by 1752
Abstract
As an important member of innate immunity, macrophages show remarkable plasticity and heterogeneity, and play an important role in immune regulation, tissue development, homeostasis of the internal environment and injury repair. However, the excessive activation of macrophages is closely related to the occurrence [...] Read more.
As an important member of innate immunity, macrophages show remarkable plasticity and heterogeneity, and play an important role in immune regulation, tissue development, homeostasis of the internal environment and injury repair. However, the excessive activation of macrophages is closely related to the occurrence and development of many diseases. The prenylated flavonoid structure is one of the characteristic structures isolated from Sophora flavescens, with anti-inflammatory, anti-tumor, anti-allergy and other effects. In this study, the effects of (2R)-3β,7,4′-trihydroxy-5-methoxy-8-prenylflavanone (TMP), a prenylated dihydroflavonol, on the polarization and phagocytosis of macrophages were systematically studied. In LPS-induced M1-type macrophages, TMP dose-dependently inhibited the expression of COX-2, iNOS and the secretion of NO, IL-1β, IL-6 and IL-18, showing an inhibitory effect on M1 polarization. Further experiments revealed that it was related to the inhibition of TLR4-related AKT/mTOR, MAPK and NF-κB signaling pathways; in IL-4-induced M2-type macrophages, TMP down-regulated the expression of M2-related Arg1, IL-10, TGF-β, CD206 and CD163, as well as the phosphorylation levels of AKT1 and STAT6. For macrophages in a physiological state, it was very important for cells to return from a stress state to a phenotypic stability in the M0 state. These results indicated that TMP negatively regulated the M1/M2 polarization of macrophages, and made them tend to M0 homeostasis, which might provide new theoretical and data support for explaining the anti-inflammatory immunoregulatory activity of Sophora flavescens. Full article
Show Figures

Figure 1

21 pages, 2473 KB  
Article
Antibacterial Activity Potential of Industrial Food Production Waste Extracts against Pathogenic Bacteria: Comparative Analysis and Characterization
by James Ziemah, Matthias S. Ullrich and Nikolai Kuhnert
Foods 2024, 13(12), 1902; https://doi.org/10.3390/foods13121902 - 17 Jun 2024
Cited by 9 | Viewed by 2001
Abstract
The Food and Agricultural Organization estimates a 17% loss in the food production chain, making it imperative to adopt scientific and technological approaches to address this issue for sustainability. Industrial food production waste and its value-added applications, particularly in relation to a wide [...] Read more.
The Food and Agricultural Organization estimates a 17% loss in the food production chain, making it imperative to adopt scientific and technological approaches to address this issue for sustainability. Industrial food production waste and its value-added applications, particularly in relation to a wide variety of pathogenic microorganisms and the health-related effects have not been thoroughly investigated. This study explores the potential of food production waste extracts—lemon peel (LP), hot trub (HT), and coffee silverskin (CSS) as sources of bioactive compounds. Extraction was conducted using hydro-methanolic extraction with yields in LP (482 mg/1 g) > HT (332 mg/1 g) > CSS (20 mg/1 g). The agar diffusion assay revealed the substantial antibacterial activity of all three extracts against Erwinia Amylovora, Escherichia coli, Bacillus subtilis, and Bacillus aquimaris. All extracts demonstrated activity against Gram-positive and Gram-negative bacteria, displaying minimum inhibitory concentrations effective against pathogenic bacteria like Listeria monocytogenes, Staphylococcus aureus, Vibrio parahaemolyticus, and Salmonella enterica. Total phenolic content (TPC in mg GAE/1g) was 100, 20, and 100 for CSS, HT, and LP, respectively. Antioxidant activity by ABTS indicated IC50 of 3.09, 13.09, and 2.61 for LP, HT, and CSS, respectively. Also, the antioxidant activity of the extracts was further confirmed by DPPH assay with the best activity in CSS (9.84 GAEg−1) and LP (9.77 mg of GAEg−1) rather than in HT (1.45 GAEg−1). No adverse cytotoxic effects on HaCaT cells were observed. Pancreatic amylase inhibition demonstrated antidiabetic potential, with LP showing the highest levels (92%). LC-MS characterization identified polyphenols as the main compounds in CSS, prenylated compounds in HT, and flavanols in LP. The findings imply the potential sustainable use of food production waste in industry. Full article
(This article belongs to the Section Nutraceuticals, Functional Foods, and Novel Foods)
Show Figures

Figure 1

15 pages, 5135 KB  
Article
4-O-Methylascochlorin Synergistically Enhances 5-Fluorouracil-Induced Apoptosis by Inhibiting the Wnt/β-Catenin Signaling Pathway in Colorectal Cancer Cells
by Min-Young Jo, Yun-Jeong Jeong, Kwon-Ho Song, Yung Hyun Choi, Taeg Kyu Kwon and Young-Chae Chang
Int. J. Mol. Sci. 2024, 25(11), 5746; https://doi.org/10.3390/ijms25115746 - 25 May 2024
Cited by 4 | Viewed by 3883
Abstract
4-O-Methyl-ascochlorin (MAC), a derivative of the prenyl–phenol antibiotic ascochlorin extracted from the fungus Ascochyta viciae, shows anticarcinogenic effects on various cancer cells. 5-Fluorouracil (5-FU) is used to treat colorectal cancer (CRC); however, its efficacy must be enhanced. In this study, we investigated [...] Read more.
4-O-Methyl-ascochlorin (MAC), a derivative of the prenyl–phenol antibiotic ascochlorin extracted from the fungus Ascochyta viciae, shows anticarcinogenic effects on various cancer cells. 5-Fluorouracil (5-FU) is used to treat colorectal cancer (CRC); however, its efficacy must be enhanced. In this study, we investigated the molecular mechanisms by which MAC acts synergistically with 5-FU to inhibit cell proliferation and induce apoptosis in CRC cells. MAC enhanced the cytotoxic effects of 5-FU by suppressing the Akt/mTOR/p70S6K and Wnt/β-catenin signaling pathways. It also reduced the viability of 5-FU-resistant (5-FU-R) cells. Furthermore, expression of anti-apoptosis-related proteins and cancer stem-like cell (CSC) markers by 5-FU-R cells decreased in response to MAC. Similar to MAC, the knockdown of CTNNB1 induced apoptosis and reduced expression of mRNA encoding CRC markers in 5-FU-R cells. In summary, these results suggest that MAC and other β-catenin modulators may be useful in overcoming the 5-FU resistance of CRC cells. Full article
(This article belongs to the Section Molecular Pathology, Diagnostics, and Therapeutics)
Show Figures

Figure 1

37 pages, 1251 KB  
Review
Prenylated Flavonoids of the Moraceae Family: A Comprehensive Review of Their Biological Activities
by Jaime Morante-Carriel, Suzana Živković, Hugo Nájera, Susana Sellés-Marchart, Ascensión Martínez-Márquez, María José Martínez-Esteso, Anna Obrebska, Antonio Samper-Herrero and Roque Bru-Martínez
Plants 2024, 13(9), 1211; https://doi.org/10.3390/plants13091211 - 27 Apr 2024
Cited by 13 | Viewed by 4255
Abstract
Prenylated flavonoids (PFs) are natural flavonoids with a prenylated side chain attached to the flavonoid skeleton. They have great potential for biological activities such as anti-diabetic, anti-cancer, antimicrobial, antioxidant, anti-inflammatory, enzyme inhibition, and anti-Alzheimer’s effects. Medicinal chemists have recently paid increasing attention to [...] Read more.
Prenylated flavonoids (PFs) are natural flavonoids with a prenylated side chain attached to the flavonoid skeleton. They have great potential for biological activities such as anti-diabetic, anti-cancer, antimicrobial, antioxidant, anti-inflammatory, enzyme inhibition, and anti-Alzheimer’s effects. Medicinal chemists have recently paid increasing attention to PFs, which have become vital for developing new therapeutic agents. PFs have quickly developed through isolation and semi- or full synthesis, proving their high value in medicinal chemistry research. This review comprehensively summarizes the research progress of PFs, including natural PFs from the Moraceae family and their pharmacological activities. This information provides a basis for the selective design and optimization of multifunctional PF derivatives to treat multifactorial diseases. Full article
(This article belongs to the Special Issue Secondary Metabolites in Plants)
Show Figures

Figure 1

19 pages, 4010 KB  
Article
Methyl-Jasmonate Functions as a Molecular Switch Promoting Cross-Talk between Pathways for the Biosynthesis of Isoprenoid Backbones Used to Modify Proteins in Plants
by Quentin Chevalier, Alexandre Huchelmann, Pauline Debié, Pierre Mercier, Michael Hartmann, Catherine Vonthron-Sénécheau, Thomas J. Bach, Hubert Schaller and Andréa Hemmerlin
Plants 2024, 13(8), 1110; https://doi.org/10.3390/plants13081110 - 16 Apr 2024
Viewed by 2437
Abstract
In plants, the plastidial mevalonate (MVA)-independent pathway is required for the modification with geranylgeranyl groups of CaaL-motif proteins, which are substrates of protein geranylgeranyltransferase type-I (PGGT-I). As a consequence, fosmidomycin, a specific inhibitor of 1-deoxy-d-xylulose (DX)-5 phosphate reductoisomerase/DXR, the second enzyme [...] Read more.
In plants, the plastidial mevalonate (MVA)-independent pathway is required for the modification with geranylgeranyl groups of CaaL-motif proteins, which are substrates of protein geranylgeranyltransferase type-I (PGGT-I). As a consequence, fosmidomycin, a specific inhibitor of 1-deoxy-d-xylulose (DX)-5 phosphate reductoisomerase/DXR, the second enzyme in this so-called methylerythritol phosphate (MEP) pathway, also acts as an effective inhibitor of protein prenylation. This can be visualized in plant cells by confocal microscopy by expressing GFP-CaM-CVIL, a prenylation sensor protein. After treatment with fosmidomycin, the plasma membrane localization of this GFP-based sensor is altered, and a nuclear distribution of fluorescence is observed instead. In tobacco cells, a visual screen of conditions allowing membrane localization in the presence of fosmidomycin identified jasmonic acid methyl esther (MeJA) as a chemical capable of gradually overcoming inhibition. Using Arabidopsis protein prenyltransferase loss-of-function mutant lines expressing GFP-CaM-CVIL proteins, we demonstrated that in the presence of MeJA, protein farnesyltransferase (PFT) can modify the GFP-CaM-CVIL sensor, a substrate the enzyme does not recognize under standard conditions. Similar to MeJA, farnesol and MVA also alter the protein substrate specificity of PFT, whereas DX and geranylgeraniol have limited or no effect. Our data suggest that MeJA adjusts the protein substrate specificity of PFT by promoting a metabolic cross-talk directing the origin of the prenyl group used to modify the protein. MVA, or an MVA-derived metabolite, appears to be a key metabolic intermediate for this change in substrate specificity. Full article
Show Figures

Figure 1

Back to TopTop