Prenylated Dihydroflavonol from Sophora flavescens Regulate the Polarization and Phagocytosis of Macrophages In Vitro
Abstract
1. Introduction
2. Results
2.1. Effects of TMP on M1 Polarization of Macrophages
2.1.1. Effects of TMP on Down-Regulated M1 Polarization of Macrophages
2.1.2. Effects of TMP on M1-Related Cytokines and NLRP3-Related Proteins
2.1.3. Modulating the M1 Polarization-Related Signaling Pathways in Macrophages
2.2. TMP Showed an Inhibitory Effect on M2-Type Macrophages
2.2.1. TMP Regulated the Levels of M2 Polarization-Related Proteins and Cytokine
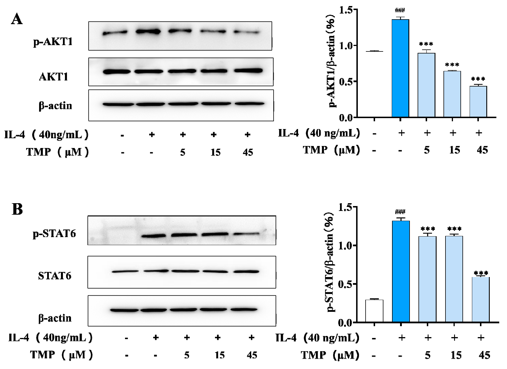
2.2.2. TMP Modulated the M2 Polarization-Related Signaling Activation
2.3. The Effect of TMP on M0 Macrophages
2.4. The Effect of TMP on Macrophage Phagocytosis
3. Discussion
4. Materials and Methods
4.1. Plant Extraction and Compound Isolation
4.2. Cell Culture and Treatment
4.3. Cell Viability Assay
4.4. Analysis of NO Production
4.5. Enzyme-Linked Immunosorbent Assays
4.6. Western Blot Analysis
4.7. Fluorescence Staining
4.8. Phagocytosis Experiment
4.9. Statistical Analysis
Author Contributions
Funding
Institutional Review Board Statement
Informed Consent Statement
Data Availability Statement
Conflicts of Interest
Abbreviations
| LPS | Lipopolysaccharides |
| COX-2 | Cyclooxygenase-2 |
| iNOS | Inducible nitric oxide synthase |
| IL-1β | Interleukin-1beta |
| IL-4 | Interleukin-4 |
| IL-6 | Interleukin-6 |
| IL-10 | Interleukin-10 |
| IL-18 | Interleukin-18 |
| AKT/mTOR | Protein kinase B/mammalian target of rapamycin |
| MAPK | Mitogen-activated protein kinase |
| NF-κB | Nuclear factor kappa-light-chain-enhancer of activated B cells |
| Arg1 | Arginase 1 |
| TGF-β | Transforming growth factor beta |
| CD163 | Scavenger receptor cysteine-rich type 1 protein M130 |
| CD206 | Mannose Receptor |
| STAT6 | Signal Transducer and Activator of Transcription 6 |
| MEK/ERK | Methyl Ethyl Ketone/extracellular regulated protein kinases |
| PI3K | Phosphoinositide 3-kinase |
| MTT | 3- (4,5-Dimethyl-2-Thiazolyl)-2,5-Diphenyl Tetrazolium Bromide |
| NLRP3 | Nucleotide-binding oligomerization domain, leucine-rich repeat and pyrin domain-containing 3 |
| TNF-α | Tumor Necrosis Factor-α |
| JNK | c-Jun N-terminal kinase |
| IκBα | Inhibitor of kappa B alpha |
| IKK | Inhibitor of kappa B kinase |
References
- Shapouri-Moghaddam, A.; Mohammadian, S.; Vazini, H.; Taghadosi, M.; Esmaeili, S.A.; Mardani, F.; Seifi, B.; Mohammadi, A.; Afshari, J.T.; Sahebkar, A. Macrophage plasticity, polarization, and function in health and disease. J. Cell Physiol. 2018, 233, 6425–6440. [Google Scholar] [CrossRef]
- Ginhoux, F.; Schultze, J.L.; Murray, P.J.; Ochando, J.; Biswas, S.K. New insights into the multidimensional concept of macrophage ontogeny, activation and function. Nat. Immunol. 2016, 17, 34–40. [Google Scholar] [CrossRef] [PubMed]
- Yunna, C.; Mengru, H.; Lei, W.; Weidong, C. Macrophage M1/M2 polarization. Front. Immunol. 2020, 877, 173090. [Google Scholar] [CrossRef] [PubMed]
- Murray, P.J. Macrophage polarization. Annu. Rev. Physiol. 2017, 79, 541–566. [Google Scholar] [CrossRef] [PubMed]
- Sreejit, G.; Fleetwood, A.J.; Murphy, A.J.; Nagareddy, P.R. Origins and diversity of macrophages in health and disease. Clin. Transl. Immunol. 2020, 9, e1222. [Google Scholar] [CrossRef]
- Funes, S.C.; Rios, M.; Escobar-Vera, J.; Kalergis, A.M. Implications of macrophage polarization in autoimmunity. Immunology 2018, 154, 186–195. [Google Scholar] [CrossRef]
- Stout, R.D.; Suttles, J. Immunosenescence and macrophage functional plasticity: Dysregulation of macrophage function by age-associated microenvironmental changes. Immunol. Rev. 2005, 205, 60–71. [Google Scholar] [CrossRef]
- Kyriakis, J.M.; Avruch, J. Mammalian mitogen-activated protein kinase signal transduction pathways activated by stress and inflammation. Physiol. Rev. 2001, 81, 807–869. [Google Scholar] [CrossRef]
- Arthur, J.S.C.; Ley, S.C.J. Mitogen-activated protein kinases in innate immunity. Nat. Rev. Immunol. 2013, 13, 679–692. [Google Scholar] [CrossRef]
- Wang, W.; Yan, J.; Wang, H.; Shi, M.; Zhang, M.; Yang, W.; Peng, C.; Li, H. Rapamycin ameliorates inflammation and fibrosis in the early phase of cirrhotic portal hypertension in rats through inhibition of mTORC1 but not mTORC2. PLoS ONE. 2014, 9, e83908. [Google Scholar] [CrossRef]
- Iwanowycz, S.; Wang, J.; Altomare, D.; Hui, Y.; Fan, D. Emodin bidirectionally modulates macrophage polarization and epigenetically regulates macrophage memory. J. Biol. Chem. 2016, 291, 11491–11503. [Google Scholar] [CrossRef] [PubMed]
- He, X.; Fang, J.; Huang, L.; Wang, J.; Huang, X. Sophora flavescens Ait.: Traditional usage, phytochemistry and pharmacology of an important traditional Chinese medicine. J. Ethnopharmacol. 2015, 172, 10–29. [Google Scholar] [CrossRef]
- Huang, Q.; Xu, L.; Qu, W.; Ye, Z.; Huang, W.-Y.; Liu, L.-Y.; Lin, J.-F.; Li, S.; Ma, H.Y. Technology: TLC bioautography-guided isolation of antioxidant activity components of extracts from Sophora flavescens Ait. Eur. Food Res. Technol. 2017, 243, 1127–1136. [Google Scholar] [CrossRef]
- Li, J.J.; Zhang, X.; Shen, X.C.; Xu, C.Y.; Tan, C.J.; Lin, Y. Phytochemistry and biological properties of isoprenoid flavonoids from Sophora flavescens Ait. Fitoterapia 2020, 143, 104556. [Google Scholar] [CrossRef]
- Boozari, M.; Soltani, S.; Iranshahi, M. Biologically active prenylated flavonoids from the genus Sophora and their structure–activity relationship—A review. Phytother. Res. 2019, 33, 546–560. [Google Scholar] [CrossRef]
- Yang, Y.-F.; Liu, T.-T.; Li, G.-X.; Chen, X.-Q.; Li, R.-T.; Zhang, Z.-J. Flavonoids from the roots of Sophora flavescens and their potential anti-inflammatory and antiproliferative activities. Molecules 2023, 28, 2048. [Google Scholar] [CrossRef]
- Li, G.-X.; Du, X.-Y.; Xie, Y.-Q.; Liu, D.; Li, R.-T.; Zhang, Z.-J. Flavescenols a and b, two lavandulylated acylphloroglucinols from sophora flavescens. Phytochem. Lett. 2021, 43, 179–183. [Google Scholar] [CrossRef]
- Olefsky, J.M.; Glass, C.K. Macrophages, inflammation, and insulin resistance. Annu. Rev. Physiol. 2010, 72, 219–246. [Google Scholar] [CrossRef] [PubMed]
- Fullerton, J.N.; Gilroy, D.W. Resolution of inflamma tion: A new therapeutic frontier. Nat. Rev. Drug Discov. 2016, 15, 551–567. [Google Scholar] [CrossRef]
- Feng, J.; Liu, Z.; Chen, H.; Zhang, M.; Ma, X.; Han, Q.; Lu, D.; Wang, C. Protective effect of cynaroside on sepsis-induced multiple organ injury through Nrf2/HO-1-dependent macrophage polarization. Eur. J. Pharmacol. 2021, 911, 174522. [Google Scholar] [CrossRef]
- Tang, L.; Li, Q.; Ge, X.; Miao, L. LncRNA GAS5 inhibits progression of colorectal cancer by regulating M1/M2 macrophages polarization. AIP Conf. Proc. 2019, 2110, 020013. [Google Scholar]
- Ren, Q.; Guo, F.; Tao, S.; Huang, R.; Ma, L.; Fu, P. Pharmacotherapy: Flavonoid fisetin alleviates kidney inflammation and apoptosis via inhibiting Src-mediated NF-κB p65 and MAPK signaling pathways in septic AKI mice. Biomed. Pharmacother. 2020, 122, 109772. [Google Scholar] [CrossRef]
- Zhuo, Y.; Li, D.; Cui, L.; Li, C.; Zhang, S.; Zhang, Q.; Zhang, L.; Wang, X.; Yang, L. Pharmacotherapy: Treatment with 3, 4-dihydroxyphenylethyl alcohol glycoside ameliorates sepsis-induced ALI in mice by reducing inflammation and regulating M1 polarization. Biomed. Pharmacother. 2019, 116, 109012. [Google Scholar] [CrossRef]
- Chang, B.; Koo, B.; Lee, H.; Oh, J.S.; Kim, S. Activation of macrophage mediated host defense against Salmonella typhimurium by Morus alba L. Food Nutr. Res. 2018, 62, 1289. [Google Scholar] [CrossRef] [PubMed]
- Li, B.; Liu, C.; Tang, K.; Dong, X.; Xue, L.; Su, G.; Zhang, W.; Jin, Y. Aquaporin-1 attenuates macrophage-mediated inflammatory responses by inhibiting p38 mitogen-activated protein kinase activation in lipopolysaccharide-induced acute kidney injury. Inflamm. Res. 2019, 68, 1035–1047. [Google Scholar] [CrossRef]
- Ma, H.; Huang, Q.; Qu, W.; Li, L.; Wang, M.; Li, S.; Chu, F. In vivo and in vitro anti-inflammatory effects of Sophora flavescens residues. J. Ethnopharmacol. 2018, 224, 497–503. [Google Scholar] [CrossRef] [PubMed]
- Lin, W.C.; Deng, J.S.; Huang, S.S.; Lin, W.R.; Wu, S.H.; Lin, H.Y.; Huang, G.J. Anti-inflammatory activity of Sanghuangporus sanghuang by suppressing the TLR4-mediated PI3K/AKT/mTOR/IKKβ signaling pathway. RSC Adv. 2017, 7, 21234–21251. [Google Scholar] [CrossRef]
- Yu, H.; Bai, Y.; Qiu, J.; He, X.; Xiong, J.; Dai, Q.; Wang, X.; Li, Y.; Sheng, H.; Xin, R.; et al. Pseudomonas aeruginosa PcrV Enhances the Nitric Oxide-Mediated Tumoricidal Activity of Tumor-Associated Macrophages via a TLR4/PI3K/AKT/mTOR-Glycolysis-Nitric Oxide Circuit. Front. Oncol. 2021, 11, 736882. [Google Scholar] [CrossRef]








Disclaimer/Publisher’s Note: The statements, opinions and data contained in all publications are solely those of the individual author(s) and contributor(s) and not of MDPI and/or the editor(s). MDPI and/or the editor(s) disclaim responsibility for any injury to people or property resulting from any ideas, methods, instructions or products referred to in the content. |
© 2024 by the authors. Licensee MDPI, Basel, Switzerland. This article is an open access article distributed under the terms and conditions of the Creative Commons Attribution (CC BY) license (https://creativecommons.org/licenses/by/4.0/).
Share and Cite
Su, L.; Rao, K.; Wang, L.; Pu, L.; Zhang, Z.; Li, H.; Li, R.; Liu, D. Prenylated Dihydroflavonol from Sophora flavescens Regulate the Polarization and Phagocytosis of Macrophages In Vitro. Molecules 2024, 29, 4741. https://doi.org/10.3390/molecules29194741
Su L, Rao K, Wang L, Pu L, Zhang Z, Li H, Li R, Liu D. Prenylated Dihydroflavonol from Sophora flavescens Regulate the Polarization and Phagocytosis of Macrophages In Vitro. Molecules. 2024; 29(19):4741. https://doi.org/10.3390/molecules29194741
Chicago/Turabian StyleSu, Lu, Kairui Rao, Lizhong Wang, Li Pu, Zhijun Zhang, Hongmei Li, Rongtao Li, and Dan Liu. 2024. "Prenylated Dihydroflavonol from Sophora flavescens Regulate the Polarization and Phagocytosis of Macrophages In Vitro" Molecules 29, no. 19: 4741. https://doi.org/10.3390/molecules29194741
APA StyleSu, L., Rao, K., Wang, L., Pu, L., Zhang, Z., Li, H., Li, R., & Liu, D. (2024). Prenylated Dihydroflavonol from Sophora flavescens Regulate the Polarization and Phagocytosis of Macrophages In Vitro. Molecules, 29(19), 4741. https://doi.org/10.3390/molecules29194741

