Sign in to use this feature.

Years

Between: -

Subjects

remove_circle_outline
remove_circle_outline
remove_circle_outline
remove_circle_outline
remove_circle_outline
remove_circle_outline
remove_circle_outline

Journals

Article Types

Countries / Regions

Search Results (31)

Search Parameters:
Keywords = portable neuroimaging

Order results
Result details
Results per page
Select all
Export citation of selected articles as:
21 pages, 3543 KB  
Article
Exploring New Horizons: fNIRS and Machine Learning in Understanding PostCOVID-19
by Antony Morales-Cervantes, Victor Herrera, Blanca Nohemí Zamora-Mendoza, Rogelio Flores-Ramírez, Aaron A. López-Cano and Edgar Guevara
Mach. Learn. Knowl. Extr. 2025, 7(4), 129; https://doi.org/10.3390/make7040129 - 24 Oct 2025
Viewed by 515
Abstract
PostCOVID-19 is a condition affecting approximately 10% of individuals infected with SARS-CoV-2, presenting significant challenges in diagnosis and clinical management. Portable neuroimaging techniques, such as functional near-infrared spectroscopy (fNIRS), offer real-time insights into cerebral hemodynamics and represent a promising tool for studying postCOVID-19 [...] Read more.
PostCOVID-19 is a condition affecting approximately 10% of individuals infected with SARS-CoV-2, presenting significant challenges in diagnosis and clinical management. Portable neuroimaging techniques, such as functional near-infrared spectroscopy (fNIRS), offer real-time insights into cerebral hemodynamics and represent a promising tool for studying postCOVID-19 in naturalistic settings. This study investigates the integration of fNIRS with machine learning to identify neural correlates of postCOVID-19. A total of six machine learning classifiers—Random Forest, Support Vector Machine (SVM), K-Nearest Neighbors (KNNs), XGBoost, Logistic Regression, and Multi-Layer Perceptron (MLP)—were evaluated using a stratified subject-aware cross-validation scheme on a dataset comprising 29,737 time-series samples from 37 participants (9 postCOVID-19, 28 controls). Four different feature representation strategies were compared: raw time-series, PCA-based dimensionality reduction, statistical feature extraction, and a hybrid approach that combines time-series and statistical descriptors. Among these, the hybrid representation demonstrated the highest discriminative performance. The SVM classifier trained on hybrid features achieved strong discrimination (ROC-AUC = 0.909) under subject-aware CV5; at the default threshold, Sensitivity was moderate and Specificity was high, outperforming all other methods. In contrast, models trained on statistical features alone exhibited limited Sensitivity despite high Specificity. These findings highlight the importance of temporal information in the fNIRS signal and support the potential of machine learning combined with portable neuroimaging for postCOVID-19 identification. This approach may contribute to the development of non-invasive diagnostic tools to support individualized treatment and longitudinal monitoring of patients with persistent neurological symptoms. Full article
Show Figures

Graphical abstract

119 pages, 7063 KB  
Systematic Review
Neuroimaging Insights into the Public Health Burden of Neuropsychiatric Disorders: A Systematic Review of Electroencephalography-Based Cognitive Biomarkers
by Evgenia Gkintoni, Apostolos Vantarakis and Philippos Gourzis
Medicina 2025, 61(6), 1003; https://doi.org/10.3390/medicina61061003 - 28 May 2025
Cited by 7 | Viewed by 5976
Abstract
Background and Objectives: Neuropsychiatric disorders, including schizophrenia, bipolar disorder, and major depression, constitute a leading global public health challenge due to their high prevalence, chronicity, and profound cognitive and functional impact. This systematic review explores the role of electroencephalography (EEG)-based cognitive biomarkers [...] Read more.
Background and Objectives: Neuropsychiatric disorders, including schizophrenia, bipolar disorder, and major depression, constitute a leading global public health challenge due to their high prevalence, chronicity, and profound cognitive and functional impact. This systematic review explores the role of electroencephalography (EEG)-based cognitive biomarkers in improving the understanding, diagnosis, monitoring, and treatment of these conditions. It evaluates how EEG-derived markers can reflect neuro-cognitive dysfunction and inform personalized and scalable mental health interventions. Materials and Methods: A systematic review was conducted following PRISMA guidelines. The databases searched included PubMed, Scopus, PsycINFO, and Web of Science for peer-reviewed empirical studies published between 2014 and 2025. Inclusion criteria focused on EEG-based investigations in clinical populations with neuropsychiatric diagnoses, emphasizing studies that assessed associations with cognitive function, symptom severity, treatment response, or functional outcomes. Of the 447 initially identified records, 132 studies were included in the final synthesis. Results: This review identifies several EEG markers—such as mismatch negativity (MMN), P300, frontal alpha asymmetry, and theta/beta ratios—as reliable indicators of cognitive impairments across psychiatric populations. These biomarkers are associated with deficits in attention, memory, and executive functioning, and show predictive utility for treatment outcomes and disease progression. Methodological trends indicate an increasing use of machine learning and multimodal neuroimaging integration to enhance diagnostic specificity. While many studies exhibit moderate risk of bias, the overall findings support EEG biomarkers’ reproducibility and translational relevance. Conclusions: EEG-based cognitive biomarkers offer a valuable, non-invasive means of capturing the neurobiological underpinnings of psychiatric disorders. Their diagnostic and prognostic potential, as well as high temporal resolution and portability, supports their use in clinical and public health contexts. The field, however, requires further standardization, cross-validation, and investment in scalable applications. Advancing EEG biomarker research holds promise for precision psychiatry and proactive mental health strategies at the population level. Full article
(This article belongs to the Section Psychiatry)
Show Figures

Figure 1

15 pages, 2672 KB  
Review
Usability and Acceptance Analysis of Wearable BCI Devices
by Ilaria Lombardi, Mario Buono, Giovanna Giugliano, Vincenzo Paolo Senese and Sonia Capece
Appl. Sci. 2025, 15(7), 3512; https://doi.org/10.3390/app15073512 - 23 Mar 2025
Cited by 3 | Viewed by 1923
Abstract
In the current scientific and technological scenario, wearable neuroimaging devices represent a revolution in neuroscience and wearable technology. These tools combine the features of neuroimaging technologies with the convenience of wearable devices, enabling real-time exploration of brain activity in real-world contexts. This convergence [...] Read more.
In the current scientific and technological scenario, wearable neuroimaging devices represent a revolution in neuroscience and wearable technology. These tools combine the features of neuroimaging technologies with the convenience of wearable devices, enabling real-time exploration of brain activity in real-world contexts. This convergence defines new perspectives in scientific research, medical diagnosis, and human performance analysis. Technologies such as EEG and fNIRS enable the non-invasive monitoring of brain activity without the need for heavy clinical equipment. Indeed, miniaturization, portability, wireless communication, and energy efficiency are key objectives in the design of advanced devices. In such a scenario, comfort is a key requirement to enable widespread use in different contexts, requiring the design of lightweight and minimally invasive wearable devices. The literature review examines the impact of wearable EEG and fNIRS devices on the user in real-life and laboratory environments in terms of usability and acceptability. The study presents evaluation and design factors—applied to laboratory testing—defined to improve the quality and perception of the user experience and to ensure the accuracy of cognitive load detection. These results will be useful in defining wearable devices, new applications, and future challenges for BCI. Full article
(This article belongs to the Special Issue Wearable Devices: Design and Performance Evaluation)
Show Figures

Figure 1

15 pages, 1379 KB  
Review
Investigating Sepsis-Associated Delirium Through Optical Neuroimaging: A New Frontier in Critical Care Research
by Shixie Jiang, Matthew Gunther, Jose R. Maldonado, Philip A. Efron, Steven T. DeKosky and Huabei Jiang
Chemosensors 2024, 12(12), 264; https://doi.org/10.3390/chemosensors12120264 - 15 Dec 2024
Cited by 2 | Viewed by 2572
Abstract
Sepsis is a life-threatening syndrome consisting of physiological, pathological, and biochemical abnormalities induced by infection which continues to be a major public health burden. It remains one of the most common reasons for intensive care unit (ICU) admission. Delirium precipitated by sepsis in [...] Read more.
Sepsis is a life-threatening syndrome consisting of physiological, pathological, and biochemical abnormalities induced by infection which continues to be a major public health burden. It remains one of the most common reasons for intensive care unit (ICU) admission. Delirium precipitated by sepsis in the intensive care setting is one of its most common neuropsychiatric complications that leads to prolonged hospitalization, increased mortality, and an increased risk of incident dementia. Understanding the pathophysiology and neurobiological mechanisms of sepsis-associated delirium is difficult; neuroimaging biomarkers are lacking due to difficulties with imaging critically ill patients. Optical imaging techniques, including near-infrared spectroscopy and diffuse optical tomography are potentially promising approaches for investigating this pathophysiology due to their portability and high spatiotemporal resolution. In this review, we examine the emergence of optical neuroimaging techniques for the study of sepsis-associated delirium in the ICU and how they can further advance our knowledge and lead to the development of improved preventative, predictive, and therapeutic strategies. Full article
Show Figures

Figure 1

23 pages, 3425 KB  
Review
Engineering and Technological Advancements in Repetitive Transcranial Magnetic Stimulation (rTMS): A Five-Year Review
by Abigail Tubbs and Enrique Alvarez Vazquez
Brain Sci. 2024, 14(11), 1092; https://doi.org/10.3390/brainsci14111092 - 30 Oct 2024
Cited by 7 | Viewed by 8972
Abstract
In the past five years, repetitive transcranial magnetic stimulation (rTMS) has evolved significantly, driven by advancements in device design, treatment protocols, software integration, and brain-computer interfaces (BCIs). This review evaluates how these innovations enhance the safety, efficacy, and accessibility of rTMS while identifying [...] Read more.
In the past five years, repetitive transcranial magnetic stimulation (rTMS) has evolved significantly, driven by advancements in device design, treatment protocols, software integration, and brain-computer interfaces (BCIs). This review evaluates how these innovations enhance the safety, efficacy, and accessibility of rTMS while identifying key challenges such as protocol standardization and ethical considerations. A structured review of peer-reviewed studies from 2019 to 2024 focused on technological and clinical advancements in rTMS, including AI-driven personalized treatments, portable devices, and integrated BCIs. AI algorithms have optimized patient-specific protocols, while portable devices have expanded access. Enhanced coil designs and BCI integration offer more precise and adaptive neuromodulation. However, challenges remain in standardizing protocols, addressing device complexity, and ensuring equitable access. While recent innovations improve rTMS’s clinical utility, gaps in long-term efficacy and ethical concerns persist. Future research must prioritize standardization, accessibility, and robust ethical frameworks to ensure rTMS’s sustainable impact. Full article
(This article belongs to the Special Issue Advances in Non-Invasive Brain Stimulation)
Show Figures

Figure 1

13 pages, 1253 KB  
Article
Prefrontal Cortex Responses to Social Video Stimuli in Young Children with and without Autism Spectrum Disorder
by Candida Barreto, Adrian Curtin, Yigit Topoglu, Jessica Day-Watkins, Brigid Garvin, Grant Foster, Zuhal Ormanoglu, Elisabeth Sheridan, James Connell, David Bennett, Karen Heffler and Hasan Ayaz
Brain Sci. 2024, 14(5), 503; https://doi.org/10.3390/brainsci14050503 - 16 May 2024
Cited by 2 | Viewed by 4276
Abstract
Autism spectrum disorder (ASD) is a neurodevelopmental disorder affecting individuals worldwide and characterized by deficits in social interaction along with the presence of restricted interest and repetitive behaviors. Despite decades of behavioral research, little is known about the brain mechanisms that influence social [...] Read more.
Autism spectrum disorder (ASD) is a neurodevelopmental disorder affecting individuals worldwide and characterized by deficits in social interaction along with the presence of restricted interest and repetitive behaviors. Despite decades of behavioral research, little is known about the brain mechanisms that influence social behaviors among children with ASD. This, in part, is due to limitations of traditional imaging techniques specifically targeting pediatric populations. As a portable and scalable optical brain monitoring technology, functional near infrared spectroscopy (fNIRS) provides a measure of cerebral hemodynamics related to sensory, motor, or cognitive function. Here, we utilized fNIRS to investigate the prefrontal cortex (PFC) activity of young children with ASD and with typical development while they watched social and nonsocial video clips. The PFC activity of ASD children was significantly higher for social stimuli at medial PFC, which is implicated in social cognition/processing. Moreover, this activity was also consistently correlated with clinical measures, and higher activation of the same brain area only during social video viewing was associated with more ASD symptoms. This is the first study to implement a neuroergonomics approach to investigate cognitive load in response to realistic, complex, and dynamic audiovisual social stimuli for young children with and without autism. Our results further confirm that new generation of portable fNIRS neuroimaging can be used for ecologically valid measurements of the brain function of toddlers and preschool children with ASD. Full article
Show Figures

Figure 1

19 pages, 887 KB  
Review
Remote Wearable Neuroimaging Devices for Health Monitoring and Neurophenotyping: A Scoping Review
by Mohamed Emish and Sean D. Young
Biomimetics 2024, 9(4), 237; https://doi.org/10.3390/biomimetics9040237 - 16 Apr 2024
Cited by 12 | Viewed by 7575
Abstract
Digital health tracking is a source of valuable insights for public health research and consumer health technology. The brain is the most complex organ, containing information about psychophysical and physiological biomarkers that correlate with health. Specifically, recent developments in electroencephalogram (EEG), functional near-infra-red [...] Read more.
Digital health tracking is a source of valuable insights for public health research and consumer health technology. The brain is the most complex organ, containing information about psychophysical and physiological biomarkers that correlate with health. Specifically, recent developments in electroencephalogram (EEG), functional near-infra-red spectroscopy (fNIRS), and photoplethysmography (PPG) technologies have allowed the development of devices that can remotely monitor changes in brain activity. The inclusion criteria for the papers in this review encompassed studies on self-applied, remote, non-invasive neuroimaging techniques (EEG, fNIRS, or PPG) within healthcare applications. A total of 23 papers were reviewed, comprising 17 on using EEGs for remote monitoring and 6 on neurofeedback interventions, while no papers were found related to fNIRS and PPG. This review reveals that previous studies have leveraged mobile EEG devices for remote monitoring across the mental health, neurological, and sleep domains, as well as for delivering neurofeedback interventions. With headsets and ear-EEG devices being the most common, studies found mobile devices feasible for implementation in study protocols while providing reliable signal quality. Moderate to substantial agreement overall between remote and clinical-grade EEGs was found using statistical tests. The results highlight the promise of portable brain-imaging devices with regard to continuously evaluating patients in natural settings, though further validation and usability enhancements are needed as this technology develops. Full article
Show Figures

Figure 1

8 pages, 1101 KB  
Communication
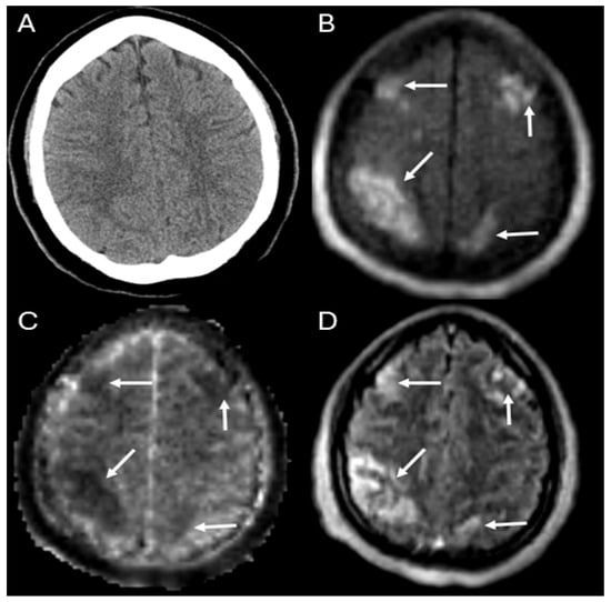
Detection of Acute Brain Injury in Intensive Care Unit Patients on ECMO Support Using Ultra-Low-Field Portable MRI: A Retrospective Analysis Compared to Head CT
by Sung-Min Cho, Shivalika Khanduja, Jiah Kim, Jin Kook Kang, Jessica Briscoe, Lori R. Arlinghaus, Kha Dinh, Bo Soo Kim, Haris I. Sair, Audrey-Carelle N. Wandji, Elena Moreno, Glenda Torres, Jose Gavito-Higuera, Huimahn A. Choi, John Pitts, Aaron M. Gusdon and Glenn J. Whitman
Diagnostics 2024, 14(6), 606; https://doi.org/10.3390/diagnostics14060606 - 13 Mar 2024
Cited by 8 | Viewed by 2640
Abstract
Early detection of acute brain injury (ABI) is critical to intensive care unit (ICU) patient management and intervention to decrease major complications. Head CT (HCT) is the standard of care for the assessment of ABI in ICU patients; however, it has limited sensitivity [...] Read more.
Early detection of acute brain injury (ABI) is critical to intensive care unit (ICU) patient management and intervention to decrease major complications. Head CT (HCT) is the standard of care for the assessment of ABI in ICU patients; however, it has limited sensitivity compared to MRI. We retrospectively compared the ability of ultra-low-field portable MR (ULF-pMR) and head HCT, acquired within 24 h of each other, to detect ABI in ICU patients supported on extracorporeal membrane oxygenation (ECMO). A total of 17 adult patients (median age 55 years; 47% male) were included in the analysis. Of the 17 patients assessed, ABI was not observed on either ULF-pMR or HCT in eight patients (47%). ABI was observed in the remaining nine patients with a total of 10 events (8 ischemic, 2 hemorrhagic). Of the eight ischemic events, ULF-pMR observed all eight, while HCT only observed four events. Regarding hemorrhagic stroke, ULF-pMR observed only one of them, while HCT observed both. ULF-pMR outperformed HCT for the detection of ABI, especially ischemic injury, and may offer diagnostic advantages for ICU patients. The lack of sensitivity to hemorrhage may improve with modification of the imaging acquisition program. Full article
(This article belongs to the Section Point-of-Care Diagnostics and Devices)
Show Figures

Figure 1

14 pages, 4811 KB  
Article
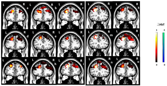
Portable Diffuse Optical Tomography for Three-Dimensional Functional Neuroimaging in the Hospital
by Jingyu Huang, Shixie Jiang, Hao Yang, Richard Czuma, Ying Yang, F. Andrew Kozel and Huabei Jiang
Photonics 2024, 11(3), 238; https://doi.org/10.3390/photonics11030238 - 6 Mar 2024
Cited by 4 | Viewed by 2203
Abstract
Functional neuroimaging studies of neuropsychiatric disorders and cognitive impairment are commonly conducted in the clinic setting but less so in the acutely medically ill while hospitalized. This is largely due to technical and logistical limitations, given the lack of portable devices with high [...] Read more.
Functional neuroimaging studies of neuropsychiatric disorders and cognitive impairment are commonly conducted in the clinic setting but less so in the acutely medically ill while hospitalized. This is largely due to technical and logistical limitations, given the lack of portable devices with high spatial and temporal resolutions. This exploratory study reports on the development and implementation of a novel diffuse optical tomography (DOT) system that can be employed for bedside three-dimensional functional neuroimaging. To test this portable DOT system, our protocol included a task-based sequence involving the Months Backwards Test with imaging centered on the bilateral prefrontal cortex. Fifteen subjects were recruited from intensive care units and the general wards of a single tertiary academic hospital and included in our final analysis. Volumetric hemoglobin analyses of the dorsolateral prefrontal cortex (DLPFC) and dorsomedial prefrontal cortex (DMPFC) were reliably captured in all our subjects. The peak value was calculated to be 3.36 µM and 0.74 µM for oxygenated-hemoglobin (HbO) and total-hemoglobin (HbT) (p < 0.042, [HbT]), respectively. The standard error was calculated to be 4.58 uM and 3.68 uM for (HbO) and (HbT). We additionally developed a seed-based correlation analysis to demonstrate the capability of DOT in studying functional connectivity. The right DLPFC was found to be moderately associated with the left DLPFC in all our subjects (r = 0.656). The DMPFC was observed to be associated with the left DLPFC but less so (r = 0.273) at the group level. Overall, the contribution of left-to-right DLPFC connectivity was significantly higher than left DLPFC to DMPFC in our group (p = 0.012). Future studies should investigate the potential of such a DOT system in the research of neuropsychiatric and neurocognitive disorders within the hospital to study different types of mechanisms, pathophysiology, and interventions that occur acutely and can advance our knowledge of these disorders. Full article
(This article belongs to the Section Biophotonics and Biomedical Optics)
Show Figures

Figure 1

14 pages, 895 KB  
Article
Effects of Virtual Reality Cognitive Training on Neuroplasticity: A Quasi-Randomized Clinical Trial in Patients with Stroke
by Antonio Gangemi, Rosaria De Luca, Rosa Angela Fabio, Paola Lauria, Carmela Rifici, Patrizia Pollicino, Angela Marra, Antonella Olivo, Angelo Quartarone and Rocco Salvatore Calabrò
Biomedicines 2023, 11(12), 3225; https://doi.org/10.3390/biomedicines11123225 - 6 Dec 2023
Cited by 32 | Viewed by 6651
Abstract
Cognitive Rehabilitation (CR) is a therapeutic approach designed to improve cognitive functioning after a brain injury, including stroke. Two major categories of techniques, namely traditional and advanced (including virtual reality—VR), are widely used in CR for patients with various neurological disorders. More objective [...] Read more.
Cognitive Rehabilitation (CR) is a therapeutic approach designed to improve cognitive functioning after a brain injury, including stroke. Two major categories of techniques, namely traditional and advanced (including virtual reality—VR), are widely used in CR for patients with various neurological disorders. More objective outcome measures are needed to better investigate cognitive recovery after a stroke. In the last ten years, the application of electroencephalography (EEG) as a non-invasive and portable neuroimaging method has been explored to extract the hallmarks of neuroplasticity induced by VR rehabilitation approaches, particularly within the chronic stroke population. The aim of this study is to investigate the neurophysiological effects of CR conducted in a virtual environment using the VRRS device. Thirty patients with moderate-to-severe ischemic stroke in the chronic phase (at least 6 months after the event), with a mean age of 58.13 (±8.33) for the experimental group and 57.33 (±11.06) for the control group, were enrolled. They were divided into two groups: an experimental group and a control group, receiving neurocognitive stimulation using VR and the same amount of conventional neurorehabilitation, respectively. To study neuroplasticity changes after the training, we focused on the power band spectra of theta, alpha, and beta EEG rhythms in both groups. We observed that when VR technology was employed to amplify the effects of treatments on cognitive recovery, significant EEG-related neural improvements were detected in the primary motor circuit in terms of power spectral density and time-frequency domains. Indeed, EEG analysis suggested that VR resulted in a significant increase in both the alpha band power in the occipital areas and the beta band power in the frontal areas, while no significant variations were observed in the theta band power. Our data suggest the potential effectiveness of a VR-based rehabilitation approach in promoting neuroplastic changes even in the chronic phase of ischemic stroke. Full article
Show Figures

Graphical abstract

22 pages, 4146 KB  
Article
Deep Belief Networks (DBN) with IoT-Based Alzheimer’s Disease Detection and Classification
by Nayef Alqahtani, Shadab Alam, Ibrahim Aqeel, Mohammed Shuaib, Ibrahim Mohsen Khormi, Surbhi Bhatia Khan and Areej A. Malibari
Appl. Sci. 2023, 13(13), 7833; https://doi.org/10.3390/app13137833 - 3 Jul 2023
Cited by 48 | Viewed by 3329
Abstract
Dementias that develop in older people test the limits of modern medicine. As far as dementia in older people goes, Alzheimer’s disease (AD) is by far the most prevalent form. For over fifty years, medical and exclusion criteria were used to diagnose AD, [...] Read more.
Dementias that develop in older people test the limits of modern medicine. As far as dementia in older people goes, Alzheimer’s disease (AD) is by far the most prevalent form. For over fifty years, medical and exclusion criteria were used to diagnose AD, with an accuracy of only 85 per cent. This did not allow for a correct diagnosis, which could be validated only through postmortem examination. Diagnosis of AD can be sped up, and the course of the disease can be predicted by applying machine learning (ML) techniques to Magnetic Resonance Imaging (MRI) techniques. Dementia in specific seniors could be predicted using data from AD screenings and ML classifiers. Classifier performance for AD subjects can be enhanced by including demographic information from the MRI and the patient’s preexisting conditions. In this article, we have used the Alzheimer’s Disease Neuroimaging Initiative (ADNI) dataset. In addition, we proposed a framework for the AD/non-AD classification of dementia patients using longitudinal brain MRI features and Deep Belief Network (DBN) trained with the Mayfly Optimization Algorithm (MOA). An IoT-enabled portable MR imaging device is used to capture real-time patient MR images and identify anomalies in MRI scans to detect and classify AD. Our experiments validate that the predictive power of all models is greatly enhanced by including early information about comorbidities and medication characteristics. The random forest model outclasses other models in terms of precision. This research is the first to examine how AD forecasting can benefit from using multimodal time-series data. The ability to distinguish between healthy and diseased patients is demonstrated by the DBN-MOA accuracy of 97.456%, f-Score of 93.187 %, recall of 95.789 % and precision of 94.621% achieved by the proposed technique. The experimental results of this research demonstrate the efficacy, superiority, and applicability of the DBN-MOA algorithm developed for the purpose of AD diagnosis. Full article
Show Figures

Figure 1

14 pages, 2217 KB  
Article
Fast Optical Signals for Real-Time Retinotopy and Brain Computer Interface
by David Perpetuini, Mehmet Günal, Nicole Chiou, Sanmi Koyejo, Kyle Mathewson, Kathy A. Low, Monica Fabiani, Gabriele Gratton and Antonio Maria Chiarelli
Bioengineering 2023, 10(5), 553; https://doi.org/10.3390/bioengineering10050553 - 5 May 2023
Cited by 5 | Viewed by 3267
Abstract
A brain–computer interface (BCI) allows users to control external devices through brain activity. Portable neuroimaging techniques, such as near-infrared (NIR) imaging, are suitable for this goal. NIR imaging has been used to measure rapid changes in brain optical properties associated with neuronal activation, [...] Read more.
A brain–computer interface (BCI) allows users to control external devices through brain activity. Portable neuroimaging techniques, such as near-infrared (NIR) imaging, are suitable for this goal. NIR imaging has been used to measure rapid changes in brain optical properties associated with neuronal activation, namely fast optical signals (FOS) with good spatiotemporal resolution. However, FOS have a low signal-to-noise ratio, limiting their BCI application. Here FOS were acquired with a frequency-domain optical system from the visual cortex during visual stimulation consisting of a rotating checkerboard wedge, flickering at 5 Hz. We used measures of photon count (Direct Current, DC light intensity) and time of flight (phase) at two NIR wavelengths (690 nm and 830 nm) combined with a machine learning approach for fast estimation of visual-field quadrant stimulation. The input features of a cross-validated support vector machine classifier were computed as the average modulus of the wavelet coherence between each channel and the average response among all channels in 512 ms time windows. An above chance performance was obtained when differentiating visual stimulation quadrants (left vs. right or top vs. bottom) with the best classification accuracy of ~63% (information transfer rate of ~6 bits/min) when classifying the superior and inferior stimulation quadrants using DC at 830 nm. The method is the first attempt to provide generalizable retinotopy classification relying on FOS, paving the way for the use of FOS in real-time BCI. Full article
Show Figures

Figure 1

7 pages, 1327 KB  
Article
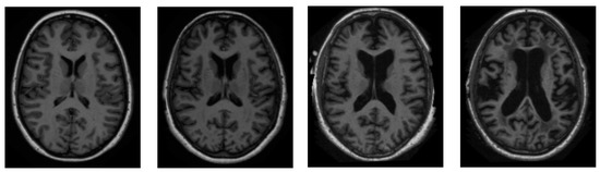
Safety of Bedside Portable Low-Field Brain MRI in ECMO Patients Supported on Intra-Aortic Balloon Pump
by Christopher Wilcox, Matthew Acton, Hannah Rando, Steven Keller, Haris I. Sair, Ifeanyi Chinedozi, John Pitts, Bo Soo Kim, Glenn Whitman and Sung Min Cho
Diagnostics 2022, 12(11), 2871; https://doi.org/10.3390/diagnostics12112871 - 19 Nov 2022
Cited by 12 | Viewed by 6141
Abstract
(1) Background: Fifty percent of patients supported on veno-arterial extracorporeal membrane oxygenation (VA-ECMO) are concurrently supported with an intra-aortic balloon pump (IABP). Acute brain injury (ABI) is a devastating complication related to ECMO and IABP use. The standard of care for ABI diagnosis [...] Read more.
(1) Background: Fifty percent of patients supported on veno-arterial extracorporeal membrane oxygenation (VA-ECMO) are concurrently supported with an intra-aortic balloon pump (IABP). Acute brain injury (ABI) is a devastating complication related to ECMO and IABP use. The standard of care for ABI diagnosis requires transport to a head CT (HCT) scanner. Recent data suggest that point-of-care (POC) magnetic resonance imaging (MRI) is safe and may be effective in diagnosing ABI in ECMO patients; however, no data exist in patients supported on ECMO with an IABP. We report pre-clinical safety data and a case series to evaluate the safety and feasibility of POC brain MRI in ECMO patients supported with IABP. (2) Methods: Prior to patient use, ex vivo testing with an IABP catheter within the Swoop® Portable MRI (0.064 T) System™ was conducted. After IRB approval, clinical testing was performed for the safety and feasibility of early ABI detection. (3) Results: No deflection force was measured with a 7.5 French Maquet Linear IABP within the 0.064 T field. Three adult ECMO patients (average age: 40 years; 67% female) supported with IABP completed four POC brain MRI exams (median exam time: 30 min). Multiple signal abnormalities were detected on the POC brain MRI, corresponding to HCT results. (4) Conclusions: Our preliminary results suggest that adult VA-ECMO patients with IABP support can be safely imaged with low-field POC brain MRI in the intensive care unit, allowing for the early and bedside imaging of patients. Full article
(This article belongs to the Special Issue Critical Care Imaging)
Show Figures

Figure 1

13 pages, 2918 KB  
Article
Identification of Functional Cortical Plasticity in Children with Cerebral Palsy Associated to Robotic-Assisted Gait Training: An fNIRS Study
by David Perpetuini, Emanuele Francesco Russo, Daniela Cardone, Roberta Palmieri, Chiara Filippini, Michele Tritto, Federica Pellicano, Grazia Pia De Santis, Rocco Salvatore Calabrò, Arcangelo Merla and Serena Filoni
J. Clin. Med. 2022, 11(22), 6790; https://doi.org/10.3390/jcm11226790 - 16 Nov 2022
Cited by 28 | Viewed by 4115
Abstract
Cerebral palsy (CP) is a non-progressive neurologic condition that causes gait limitations, spasticity, and impaired balance and coordination. Robotic-assisted gait training (RAGT) has become a common rehabilitation tool employed to improve the gait pattern of people with neurological impairments. However, few studies have [...] Read more.
Cerebral palsy (CP) is a non-progressive neurologic condition that causes gait limitations, spasticity, and impaired balance and coordination. Robotic-assisted gait training (RAGT) has become a common rehabilitation tool employed to improve the gait pattern of people with neurological impairments. However, few studies have demonstrated the effectiveness of RAGT in children with CP and its neurological effects through portable neuroimaging techniques, such as functional near-infrared spectroscopy (fNIRS). The aim of the study is to evaluate the neurophysiological processes elicited by RAGT in children with CP through fNIRS, which was acquired during three sessions in one month. The repeated measure ANOVA was applied to the β-values delivered by the General Linear Model (GLM) analysis used for fNIRS data analysis, showing significant differences in the activation of both prefrontal cortex (F (1.652, 6.606) = 7.638; p = 0.022), and sensorimotor cortex (F (1.294, 5.175) = 11.92; p = 0.014) during the different RAGT sessions. In addition, a cross-validated Machine Learning (ML) framework was implemented to estimate the gross motor function measure (GMFM-88) from the GLM β-values, obtaining an estimation with a correlation coefficient r = 0.78. This approach can be used to tailor clinical treatment to each child, improving the effectiveness of rehabilitation for children with CP. Full article
Show Figures

Figure 1

11 pages, 1604 KB  
Review
Traumatic Brain Injury (TBI) Detection: Past, Present, and Future
by Ali T. Alouani and Tarek Elfouly
Biomedicines 2022, 10(10), 2472; https://doi.org/10.3390/biomedicines10102472 - 3 Oct 2022
Cited by 33 | Viewed by 6091
Abstract
Traumatic brain injury (TBI) can produce temporary biochemical imbalance due to leaks through cell membranes or disruption of the axoplasmic flow due to the misalignment of intracellular neurofilaments. If untreated, TBI can lead to Alzheimer’s, Parkinson’s, or total disability. Mild TBI (mTBI) accounts [...] Read more.
Traumatic brain injury (TBI) can produce temporary biochemical imbalance due to leaks through cell membranes or disruption of the axoplasmic flow due to the misalignment of intracellular neurofilaments. If untreated, TBI can lead to Alzheimer’s, Parkinson’s, or total disability. Mild TBI (mTBI) accounts for about about 90 percent of all TBI cases. The detection of TBI as soon as it happens is crucial for successful treatment management. Neuroimaging-based tests provide only a structural and functional mapping of the brain with poor temporal resolution. Such tests may not detect mTBI. On the other hand, the electroencephalogram (EEG) provides good spatial resolution and excellent temporal resolution of the brain activities beside its portability and low cost. The objective of this paper is to provide clinicians and scientists with a one-stop source of information to quickly learn about the different technologies used for TBI detection, their advantages and limitations. Our research led us to conclude that even though EEG-based TBI detection is potentially a powerful technology, it is currently not able to detect the presence of a mTBI with high confidence. The focus of the paper is to review existing approaches and provide the reason for the unsuccessful state of EEG-based detection of mTBI. Full article
(This article belongs to the Section Biomedical Engineering and Materials)
Show Figures

Figure 1

Back to TopTop