Safety of Bedside Portable Low-Field Brain MRI in ECMO Patients Supported on Intra-Aortic Balloon Pump
Abstract
1. Introduction
2. Materials and Methods
2.1. Pre-Clinical Safety Assessment
2.2. POC Brain MRI
3. Results
3.1. Pre-Clinical Safety Assessment
3.2. POC Brain MRI
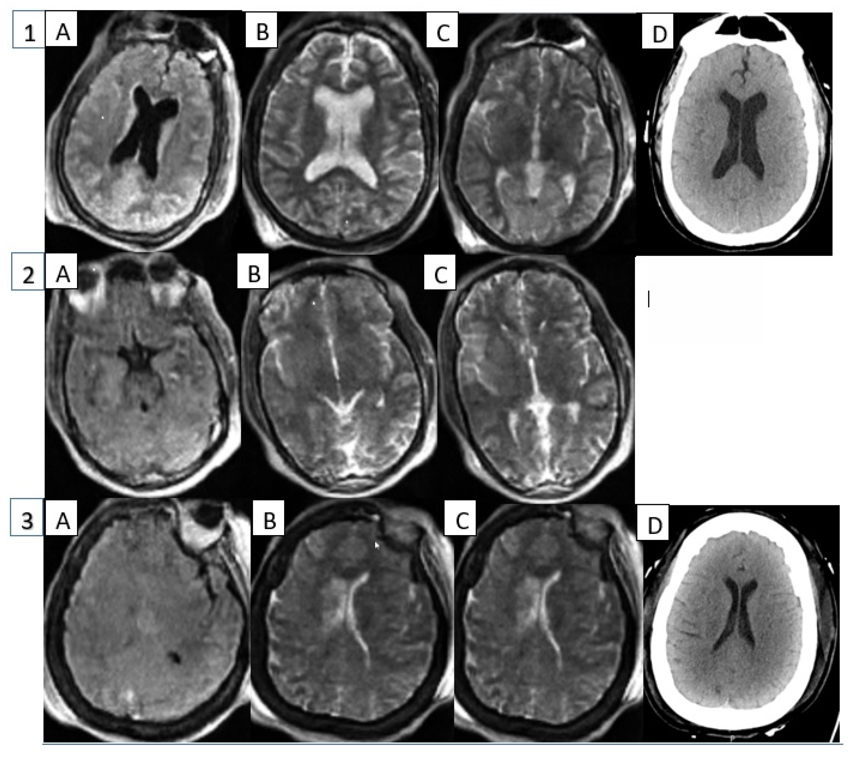
3.3. Clinical Presentation and Imaging Findings
- Patient 1: A 72-year-old male with a past medical history of hypertension, diabetes, and end-stage renal disease that was cannulated on VA-ECMO via the right atrium and ascending aorta for post-cardiotomy shock. His cardiac function initially improved, and he was transitioned from VA-ECMO to IABP support after two days of VA-ECMO support. However, his cardiac function quickly deteriorated solely on IABP support, and he was placed back on VA-ECMO support in addition to IABP. He underwent his first HCT on day 2 of IABP (day 1 of ECMO) and was found to have global hypoxic ischemic brain injury and cerebral edema. A second HCT performed on day 4 of IABP (day 3 ECMO) had no changes from the prior HCT. POC MRI exams were performed immediately after each HCT, and both showed T2 signal abnormalities within the occipital lobes and left temporal and parietal lobes. For each POC MRI, the IABP was placed on a 1:2 rate, triggered with EKG waveform.
- Patient 2: A 37-year-old female with a past medical history of asthma, who was cannulated on VA-ECMO via the femoral vein and artery with IABP support for cardiogenic shock secondary to COVID-19 myocarditis. She underwent a POC brain MRI on day 2 of IABP (day 1 of ECMO), which showed focal encephalomalacia of the left cerebellar hemisphere. She did not undergo HCT imaging while on VA-ECMO and IABP support. During the POC MRI, the IABP was placed on a 1:1 rate, triggered with arterial pressure.
- Patient 3: A 71-year-old female with a past medical history of hypertension, diabetes, and chronic kidney disease who was cannulated on VA-ECMO via femoral vein and artery and IABP for post-cardiotomy shock. She underwent an HCT on day 1 of IABP (day 1 of ECMO), which was significant for age-indeterminate infarcts in the right thalamus and the right parietal and left occipital lobes. A subsequent POC brain MRI on day 4 of IABP (day 4 of ECMO) was without abnormalities. During the POC MRI, the IABP was paced on a 1:1 rate, triggered with EKG waveform.
4. Discussion
5. Conclusions
Author Contributions
Funding
Institutional Review Board Statement
Informed Consent Statement
Data Availability Statement
Acknowledgments
Conflicts of Interest
References
- Rao, P.; Khalpey, Z.; Smith, R.; Burkhoff, D.; Kociol, R.D. Venoarterial Extracorporeal Membrane Oxygenation for Cardiogenic Shock and Cardiac Arrest. Circ. Heart Fail. 2018, 11, e004905. [Google Scholar] [CrossRef] [PubMed]
- Meani, P.; Gelsomino, S.; Natour, E.; Johnson, D.M.; Rocca, H.B.; Pappalardo, F.; Bidar, E.; Makhoul, M.; Raffa, G.; Heuts, S.; et al. Modalities and effects of left ventricle unloading on extracorporeal life support: A review of the current literature. Eur. J. Heart Fail. 2017, 19 (Suppl. S2), 84–91. [Google Scholar] [CrossRef] [PubMed]
- Li, Y.; Yan, S.; Gao, S.; Liu, M.; Lou, S.; Liu, G.; Ji, B.; Gao, B. Effect of an intra-aortic balloon pump with venoarterial extracorporeal membrane oxygenation on mortality of patients with cardiogenic shock: A systematic review and meta-analysis. Eur. J. Cardiothorac. Surg. 2019, 55, 395–404. [Google Scholar] [CrossRef] [PubMed]
- Cho, S.M.; Canner, J.; Caturegli, G.; Choi, C.W.; Etchill, E.; Giuliano, K.; Chiarini, G.; Calligy, K.; Rycus, P.; Lorusso, R.; et al. Risk Factors of Ischemic and Hemorrhagic Strokes During Venovenous Extracorporeal Membrane Oxygenation: Analysis of Data From the Extracorporeal Life Support Organization Registry. Crit. Care Med. 2021, 49, 91–101. [Google Scholar] [CrossRef] [PubMed]
- Cho, S.M.; Canner, J.; Chiarini, G.; Calligy, K.; Caturegli, G.; Rycus, P.; Barbaro, R.P.; Tonna, J.; Lorusso, R.; Kilic, A.; et al. Modifiable Risk Factors and Mortality From Ischemic and Hemorrhagic Strokes in Patients Receiving Venoarterial Extracorporeal Membrane Oxygenation: Results From the Extracorporeal Life Support Organization Registry. Crit. Care Med. 2020, 48, e897–e905. [Google Scholar] [CrossRef] [PubMed]
- Cho, S.M.; Wilcox, C.; Keller, S.; Acton, M.; Rando, H.; Etchill, E.; Giuliano, K.; Bush, E.L.; Sair, H.I.; Pitts, J.; et al. Assessing the SAfety and FEasibility of bedside portable low-field brain Magnetic Resonance Imaging in patients on ECMO (SAFE-MRI ECMO study): Study protocol and first case series experience. Crit. Care 2022, 26, 119. [Google Scholar] [CrossRef] [PubMed]
- Prasad, S.K.; Pennell, D.J. Safety of cardiovascular magnetic resonance in patients with cardiovascular implants and devices. Heart 2004, 90, 1241–1244. [Google Scholar] [CrossRef] [PubMed]



| MRI Study | Patient | Age (yrs) | Sex | BMI | ECMO Indication | Cannulation Strategy | Neurologic Symptoms | MRI Time | HCT Finding | MRI Finding | Adverse Events |
|---|---|---|---|---|---|---|---|---|---|---|---|
| 1 | 1 | 72 | Male | 44.7 | Post-Cardiotomy Shock | Right Atrium, Aorta (V-A) | Coma under sedation | 28 min | No acute findings | T2 signal abnormality in occipital lobes and left temporal and parietal lobe | None |
| 2 | 1 | 72 | Male | 44.7 | Post-Cardiotomy Shock | Right Atrium, Aorta (V-A) | Coma under sedation | 29 min | No acute findings | occipital and left parietal and temporal lobe T2 abnormality | None |
| 3 | 2 | 37 | Female | 29.1 | COVID-19 myocarditis | Fem-Fem (V-A) | Coma under sedation | 32 min | Not applicable | encephalomalacia left cerebellar hemisphere | None |
| 4 | 3 | 71 | Female | 44.8 | Post-Cardiotomy Shock | Fem-Fem (V-A) | Coma under sedation | 46 min | Small hypoattenuating lesions in right thalamus, parietal and left occipital lobes, indeterminate | No acute findings | None |
Publisher’s Note: MDPI stays neutral with regard to jurisdictional claims in published maps and institutional affiliations. |
© 2022 by the authors. Licensee MDPI, Basel, Switzerland. This article is an open access article distributed under the terms and conditions of the Creative Commons Attribution (CC BY) license (https://creativecommons.org/licenses/by/4.0/).
Share and Cite
Wilcox, C.; Acton, M.; Rando, H.; Keller, S.; Sair, H.I.; Chinedozi, I.; Pitts, J.; Kim, B.S.; Whitman, G.; Cho, S.M. Safety of Bedside Portable Low-Field Brain MRI in ECMO Patients Supported on Intra-Aortic Balloon Pump. Diagnostics 2022, 12, 2871. https://doi.org/10.3390/diagnostics12112871
Wilcox C, Acton M, Rando H, Keller S, Sair HI, Chinedozi I, Pitts J, Kim BS, Whitman G, Cho SM. Safety of Bedside Portable Low-Field Brain MRI in ECMO Patients Supported on Intra-Aortic Balloon Pump. Diagnostics. 2022; 12(11):2871. https://doi.org/10.3390/diagnostics12112871
Chicago/Turabian StyleWilcox, Christopher, Matthew Acton, Hannah Rando, Steven Keller, Haris I. Sair, Ifeanyi Chinedozi, John Pitts, Bo Soo Kim, Glenn Whitman, and Sung Min Cho. 2022. "Safety of Bedside Portable Low-Field Brain MRI in ECMO Patients Supported on Intra-Aortic Balloon Pump" Diagnostics 12, no. 11: 2871. https://doi.org/10.3390/diagnostics12112871
APA StyleWilcox, C., Acton, M., Rando, H., Keller, S., Sair, H. I., Chinedozi, I., Pitts, J., Kim, B. S., Whitman, G., & Cho, S. M. (2022). Safety of Bedside Portable Low-Field Brain MRI in ECMO Patients Supported on Intra-Aortic Balloon Pump. Diagnostics, 12(11), 2871. https://doi.org/10.3390/diagnostics12112871

