Sign in to use this feature.

Years

Between: -

Subjects

remove_circle_outline
remove_circle_outline
remove_circle_outline
remove_circle_outline
remove_circle_outline
remove_circle_outline
remove_circle_outline
remove_circle_outline
remove_circle_outline

Journals

remove_circle_outline
remove_circle_outline

Article Types

Countries / Regions

Search Results (139)

Search Parameters:
Keywords = perfect reconstruction

Order results
Result details
Results per page
Select all
Export citation of selected articles as:
16 pages, 5966 KB  
Article
Low-Dose CT Quality Assurance at Scale: Automated Detection of Overscanning, Underscanning, and Image Noise
by Patrick Wienholt, Alexander Hermans, Robert Siepmann, Christiane Kuhl, Daniel Pinto dos Santos, Sven Nebelung and Daniel Truhn
Life 2026, 16(1), 152; https://doi.org/10.3390/life16010152 - 16 Jan 2026
Abstract
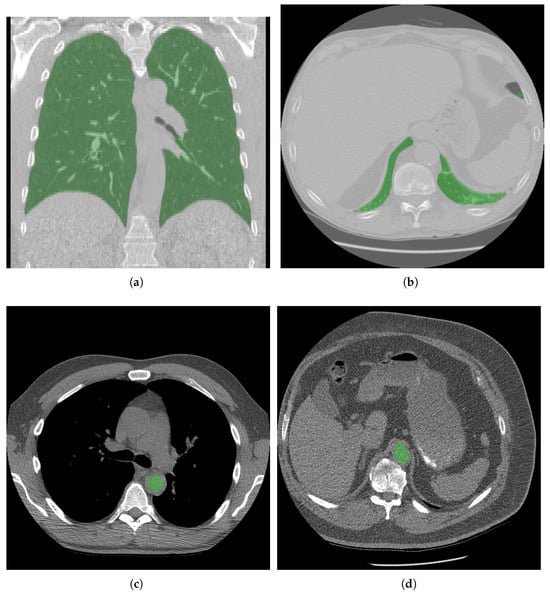
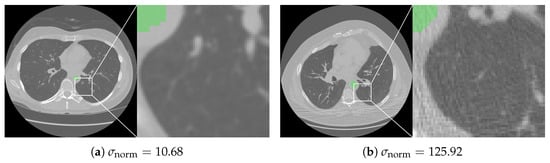
Automated quality assurance is essential for low-dose computed tomography (LDCT) lung screening, yet manual checks strain clinical workflows. We present a fully automated artificial intelligence tool that quantifies scan coverage and image noise in LDCT without user input. Lungs and the aorta are [...] Read more.
Automated quality assurance is essential for low-dose computed tomography (LDCT) lung screening, yet manual checks strain clinical workflows. We present a fully automated artificial intelligence tool that quantifies scan coverage and image noise in LDCT without user input. Lungs and the aorta are segmented to measure cranial/caudal over- and underscanning, and noise is computed as the standard deviation of Hounsfield units (HUs) within descending aortic blood, normalized to a 1 mm3 voxel. Performance was verified in a reader study of 98 LDCT scans from the National Lung Screening Trial (NLST), and then applied to 38,834 NLST scans reconstructed with a standard kernel. In the reader study, lung masks were rated ≥“Nearly Perfect” in 90.8% and aorta-blood masks in 96.9% of cases. Across 38,834 scans, mean overscanning distances were 31.21 mm caudally and 14.54 mm cranially; underscanning occurred in 4.36% (caudal) and 0.89% (cranial). The tool enables objective, large-scale monitoring of LDCT quality—reducing routine manual workload through exception-based human oversight, flagging protocol deviations, and supporting cross-center benchmarking—and may facilitate dose optimization by reducing systematic over- and underscanning. Full article
Show Figures

Figure 1

16 pages, 496 KB  
Article
Low-Latency Realism Through Randomized Distributed Function Computations: A Shannon Theoretic Approach
by Onur Günlü, Maciej Skorski and H. Vincent Poor
Entropy 2026, 28(1), 86; https://doi.org/10.3390/e28010086 - 11 Jan 2026
Viewed by 110
Abstract
Semantic communication frameworks aim to convey the underlying significance of data rather than reproducing it exactly, a perspective that enables substantial efficiency gains in settings constrained by latency or bandwidth. Motivated by this shift, we study the rate–distortion–perception (RDP) trade-off for image compression, [...] Read more.
Semantic communication frameworks aim to convey the underlying significance of data rather than reproducing it exactly, a perspective that enables substantial efficiency gains in settings constrained by latency or bandwidth. Motivated by this shift, we study the rate–distortion–perception (RDP) trade-off for image compression, a setting in which reconstructions must be not only accurate but also perceptually faithful. Our analysis is carried out through the lens of randomized distributed function computation (RDFC) framework, which provides a principled means of synthesizing randomness and shaping output distributions. Leveraging this framework, we establish finite-blocklength characterizations of the RDP region, quantifying how communication rate, distortion, and perceptual fidelity interact in non-asymptotic regimes. We further broaden this characterization by incorporating two practically relevant extensions: (i) scenarios in which encoder and decoder share side information, and (ii) settings that require strong secrecy guarantees against adversaries, which might include those with quantum capabilities. Moreover, we identify the corresponding asymptotic region under a perfect realism constraint and examine how side information, finite blocklength effects, and secrecy demands influence achievable performance. The resulting insights provide actionable guidance for the development of low-latency, secure, and realism-aware image compression and generative modeling systems. Full article
(This article belongs to the Special Issue Joint Sensing, Communication, and Computation)
Show Figures

Figure 1

30 pages, 8862 KB  
Article
Kalman Filter-Based Reconstruction of Power Trajectories for IoT-Based Photovoltaic System Monitoring
by Jorge Salvador Valdez-Martínez, Guillermo Ramirez-Zuñiga, Heriberto Adamas Pérez, Alberto Miguel Beltrán-Escobar, Estela Sarmiento-Bustos, Manuela Calixto-Rodriguez and Gustavo Delgado-Reyes
Mathematics 2026, 14(1), 144; https://doi.org/10.3390/math14010144 - 30 Dec 2025
Viewed by 333
Abstract
This paper presents the reconstruction of signal paths acquired from a power electronics system for energy conversion and management. This reconstruction is performed using the Kalman filter (KF) for monitoring photovoltaic (PV) systems enabled for Internet of Things (IoT) systems. This proposal is [...] Read more.
This paper presents the reconstruction of signal paths acquired from a power electronics system for energy conversion and management. This reconstruction is performed using the Kalman filter (KF) for monitoring photovoltaic (PV) systems enabled for Internet of Things (IoT) systems. This proposal is motivated by the fact that the global energy transition towards renewable sources makes PV systems a crucial alternative. To guarantee the efficiency and stability of these systems, monitoring critical electrical parameters using IoT technology is essential. However, the measurements acquired are frequently corrupted by stochastic noise, which obscures the true behavior of the system and limits its accurate characterization. Based on this problem, the main objective of this work is explicitly defined as evaluating the effectiveness of the KF as a power-path reconstruction method capable of recovering accurate electrical trajectories from noisy measurements in IoT-monitored photovoltaic networks. To achieve this goal, the system is modeled as a discrete-time stochastic process and the KF is implemented as a real-time estimator of power flow behavior. The experiment was conducted using real-world generation and consumption data from a proprietary two-layer IoT platform: an Edge Layer (acquisition with ESP8266 and PZEM-004T-100A sensors) and a Cloud Layer (visualization on Things-Board). To validate the results, quantitative metrics including the mean squared error (MSE), statistical moments, and probability distributions were computed. The MSE values were found to be nearly zero across all reconstructed power-paths. The statistical moments exhibited near-perfect agreement with those of the actual power signals, approaching 100% correspondence. Additionally, the probability distributions were compared visually and assessed statistically using the Kolmogorov–Smirnov (KS) test. The resulting KS values were very low, confirming the high accuracy of the reconstruction for all power-paths. The proposed research concluded that the KF successfully reconstructed the power trajectories, demonstrating high agreement with the measured steady-state behavior. This study thus confirms that integrating Kalman filtering with IoT monitoring delivers a practically viable and statistically accurate method for power trajectory reconstruction, which is fundamental for enhancing the observability and reliability of photovoltaic energy systems. Full article
(This article belongs to the Section C2: Dynamical Systems)
Show Figures

Figure 1

20 pages, 7967 KB  
Article
HIPER-CHAD: Hybrid Integrated Prediction-Error Reconstruction-Based Anomaly Detection for Multivariate Indoor Environmental Time-Series Data
by Vandha Pradwiyasma Widartha and Chang Soo Kim
Sensors 2026, 26(1), 171; https://doi.org/10.3390/s26010171 - 26 Dec 2025
Viewed by 330
Abstract
This study introduces the Hybrid Integrated Prediction-Error Reconstruction-based Anomaly Detection (HIPER-CHAD) model, which addresses the challenge of reliably detecting subtle anomalies in noisy multivariate indoor environmental time-series data. The main objective is to separate temporal modeling of normal behavior from probabilistic modeling of [...] Read more.
This study introduces the Hybrid Integrated Prediction-Error Reconstruction-based Anomaly Detection (HIPER-CHAD) model, which addresses the challenge of reliably detecting subtle anomalies in noisy multivariate indoor environmental time-series data. The main objective is to separate temporal modeling of normal behavior from probabilistic modeling of prediction uncertainty, ensuring that the anomaly score becomes robust to stochastic fluctuations while remaining sensitive to truly abnormal events. The HIPER-CHAD architecture first employs a Long Short-Term Memory (LSTM) network to forecast the next time step’s sensor readings, subsequently forming a residual error vector that captures deviations from the expected temporal pattern. A Variational Autoencoder (VAE) is then trained on these residual vectors rather than on the raw sensor data to learn the distribution of normal prediction errors and quantify their probabilistic unicity. The final anomaly score integrates the VAE’s reconstruction error with its Kullback–Leibler (KL) divergence, yielding a statistically grounded measure that jointly reflects the magnitude and distributional abnormality of the residual. The proposed model is evaluated on a real-world multivariate indoor environmental dataset and compared against eight traditional machine learning and deep learning baselines using a synthetic ground truth generated by a 99th percentile-based criterion. HIPER-CHAD achieves an F1-score of 0.8571, outperforming the next best model, the LSTM Autoencoder (F1 = 0.8095), while maintaining perfect recall. Furthermore, a time-step sensitivity analysis demonstrates that a 20-step window yields an optimal F1-score of 0.884, indicating that the proposed residual-based hybrid design provides a reliable and accurate framework for anomaly detection in complex multivariate time-series data. Full article
(This article belongs to the Special Issue Sensor Data-Driven Fault Diagnosis Techniques)
Show Figures

Figure 1

32 pages, 11476 KB  
Article
Secure and Reversible Thumbnail-Preserving Encryption for Point Clouds via Spatial Subdivision and Chaotic Perturbation
by Tz-Yi You, Yu-Ting Huang, Ting-Yu Hsiao, Yung-Wen Cheng, Yuan-Yu Tsai and Ching-Ta Lu
Mathematics 2026, 14(1), 80; https://doi.org/10.3390/math14010080 - 25 Dec 2025
Viewed by 265
Abstract
Thumbnail-preserving encryption (TPE) aims to balance data security and usability by allowing encrypted content to retain a coarse visual preview while protecting sensitive details. While existing TPE techniques primarily target 2D images, effective and reversible TPE for 3D point clouds remains underexplored. This [...] Read more.
Thumbnail-preserving encryption (TPE) aims to balance data security and usability by allowing encrypted content to retain a coarse visual preview while protecting sensitive details. While existing TPE techniques primarily target 2D images, effective and reversible TPE for 3D point clouds remains underexplored. This paper proposes a thumbnail-preserving encryption framework specifically designed for point clouds, addressing the challenges arising from irregular spatial structure and viewpoint-dependent visualization. The proposed method integrates perception-guided spatial subdivision with key-dependent chaotic perturbation to obfuscate fine-grained geometric details while intentionally preserving coarse structural information under the TPE threat model. A reversible integer-domain design is further incorporated to enable exact recovery of the original point cloud and support reversible data hiding by exploiting coordinate-level redundancy. Extensive experiments conducted on diverse point clouds demonstrate that the proposed framework maintains stable thumbnail fidelity across different viewing conditions, achieving high structural similarity, while guaranteeing perfect reversibility with zero reconstruction error. In contrast to existing image-based TPE frameworks, the proposed method extends the TPE paradigm to 3D point clouds by providing full reversibility, auxiliary message embedding support, and stable thumbnail fidelity under varying viewing conditions. Quantitative results demonstrate that thumbnail-level structural similarity is well preserved, while the original point clouds are exactly recovered after decryption. Full article
(This article belongs to the Special Issue Information Security and Image Processing)
Show Figures

Figure 1

13 pages, 2462 KB  
Article
The Impact of Axial CT Level Selection on Grading Trochlear Dysplasia Using Dejour Classification
by Koray Kaya Kılıc, Mehmet Baris Ertan, Huseyin Selcuk, Tolga Kirtis, Oguzhan Uslu and Ozkan Kose
Diagnostics 2026, 16(1), 77; https://doi.org/10.3390/diagnostics16010077 - 25 Dec 2025
Viewed by 257
Abstract
Purpose: The purpose of this study was to investigate how the choice of axial CT level affects the reliability and diagnostic accuracy of the Dejour classification for trochlear dysplasia and to evaluate a novel level defined at the most superior extent of the [...] Read more.
Purpose: The purpose of this study was to investigate how the choice of axial CT level affects the reliability and diagnostic accuracy of the Dejour classification for trochlear dysplasia and to evaluate a novel level defined at the most superior extent of the Blumensaat line. Materials and methods: Patients who presented with patellar instability or acute patellar dislocation between 2014 and 2024 and had preoperative CT scans were retrospectively reviewed. Fifty patients were randomly selected based on an a priori sample size calculation. For each knee, four axial CT levels were reconstructed: midpatellar level, Roman arc level, 3 cm above the joint line, and the top of the Blumensaat line. A consensus Dejour grade (A–D) was established by an experienced musculoskeletal radiologist and an orthopedic sports surgeon and used as the reference standard. Two orthopedic surgeons independently graded all 200 axial images twice at least 15 days apart. Quadratic weighted kappa (κ) with 95% confidence intervals (CI) was used to assess intra- and inter-observer reliability and agreement with the consensus. Diagnostic accuracy was defined as the proportion of correctly classified cases relative to the consensus and was compared across levels using Cochran’s Q test. Results: When all four levels were combined, intra-observer reliability was almost perfect for both observers (κ = 0.96 and 0.84; exact agreement 91% and 84%), and inter-observer reliability was substantial to almost perfect (κ = 0.72 and 0.78; exact agreement 72–73%). Agreement with the consensus across all levels was moderate (κ = 0.52–0.58; exact agreement 51–52%). Analyzing levels separately, intra-observer κ remained high at all levels, whereas inter-observer agreement and agreement with the consensus varied markedly. The midpatellar level showed only moderate inter-observer reliability and fair-to-moderate agreement with the consensus (κ = 0.36; accuracy 34–40%), whereas the top of the Blumensaat line showed the highest agreement with the consensus (κ 0.69) and the highest accuracy (up to 64%; pooled 61%); however, statistically significant between-level differences were detected in only one observer–time comparison. The 3 cm above the joint line and the Roman arc level demonstrated intermediate performance. Conclusions: Although intra-observer reliability of the Dejour classification is high regardless of axial CT level, both inter-observer agreement and diagnostic accuracy depend strongly on the selected slice. The axial CT level at the top of the Blumensaat line showed a consistent trend toward higher agreement and accuracy relative to the consensus standard and may be used as a standardized reference slice within routine multi-slice CT assessment to improve reproducibility; however, it should complement comprehensive imaging review and clinical evaluation. Full article
(This article belongs to the Section Medical Imaging and Theranostics)
Show Figures

Figure 1

31 pages, 14355 KB  
Article
Deconstructing Seokguram Grotto: Revisiting the Schematic Design
by Chaeshin Yoon and Yongchan Kwon
Buildings 2025, 15(24), 4546; https://doi.org/10.3390/buildings15244546 - 16 Dec 2025
Viewed by 743
Abstract
While the Seokguram Grotto is celebrated in art history for its sculptural mastery, its architectural identity as a constructed stone dome—distinct from excavated caves—remains under-researched. Existing studies have largely relied on geometric analyses based on irrational numbers, which lack a historical basis. This [...] Read more.
While the Seokguram Grotto is celebrated in art history for its sculptural mastery, its architectural identity as a constructed stone dome—distinct from excavated caves—remains under-researched. Existing studies have largely relied on geometric analyses based on irrational numbers, which lack a historical basis. This study aims to reconstruct the logical design process of Seokguram by distinguishing between architectural planning and the realities of construction. Methodologically, we employ the concept of design constraints to analyze the grotto’s dimensional system and scene perception. We identify external constraints, such as the recorded dimensions of the Bodhgaya Buddha and cosmological symbolism (rectangular antechamber and circular posterior), and internal constraints, specifically the need for complete visual coordination between the Buddha’s head and the detached nimbus stone. Our analysis reveals that the designers negotiated these constraints through an iterative process. Key findings demonstrate that the pedestal’s height and position were adjusted, and the arched headstone was strategically designed as a threshold to ensure the perfect alignment of the Buddha and the nimbus from the viewer’s perspective. Furthermore, contrary to previous hypotheses proposing the use of irrational numbers (e.g., √2), this study proves that the grotto follows a proportional system based on integer modules (with 12 cheok as the main module) and binary division, which facilitated practical construction. In conclusion, Seokguram is not merely a product of aesthetic intuition but a masterpiece of rational design. In contrast to the vertical transcendence of Western Cathedrals, Seokguram Grotto embodies tectonics of empathy, prioritizing human-scale intimacy and visual harmony. Full article
Show Figures

Figure 1

39 pages, 1526 KB  
Article
A Quantum MIMO-OFDM Framework with Transmit and Receive Diversity for High-Fidelity Image Transmission
by Udara Jayasinghe, Thanuj Fernando and Anil Fernando
Telecom 2025, 6(4), 96; https://doi.org/10.3390/telecom6040096 - 11 Dec 2025
Cited by 1 | Viewed by 587
Abstract
This paper proposes a quantum multiple-input multiple-output orthogonal frequency division multiplexing (MIMO-OFDM) framework for image transmission, which combines quantum multi-qubit encoding with spatial and frequency diversity to enhance noise resilience and image quality. The system utilizes joint photographic experts group (JPEG), high efficiency [...] Read more.
This paper proposes a quantum multiple-input multiple-output orthogonal frequency division multiplexing (MIMO-OFDM) framework for image transmission, which combines quantum multi-qubit encoding with spatial and frequency diversity to enhance noise resilience and image quality. The system utilizes joint photographic experts group (JPEG), high efficiency image file format (HEIF), and uncompressed images, which are first source-encoded (if applicable) and then processed using classical channel encoding. The channel-encoded bitstream is mapped into quantum states via multi-qubit encoding and transmitted through a 2 × 2 MIMO system with varied diversity schemes. The spatially mapped qubits undergo the quantum Fourier transform (QFT) to form quantum OFDM subcarriers, with a cyclic prefix added before transmission over fading quantum channels. At the receiver, the cyclic prefix is removed, the inverse QFT is applied, and the quantum MIMO decoder reconstructs spatially diverged quantum states. Then, quantum decoding reconstructs the bitstreams, followed by channel decoding and source decoding to recover the final image. Experimental results show that the proposed quantum MIMO-OFDM system outperforms its classical counterpart across all evaluated diversity configurations. It achieves peak signal-to-noise ratio (PSNR) values up to 58.48 dB, structural similarity index measure (SSIM) up to 0.9993, and universal quality index (UQI) up to 0.9999 for JPEG; PSNR up to 70.04 dB, SSIM up to 0.9998, and UQI up to 0.9999 for HEIF; and near-perfect reconstruction with infinite PSNR, SSIM of 1, and UQI of 1 for uncompressed images under high channel noise. These findings establish quantum MIMO-OFDM as a promising architecture for high-fidelity, bandwidth-efficient quantum multimedia communication. Full article
(This article belongs to the Special Issue Advances in Communication Signal Processing)
Show Figures

Figure 1

29 pages, 7050 KB  
Article
Mechanical Fault Diagnosis Method of Disconnector Based on Parallel Dual-Channel Model of Feature Fusion
by Chi Zhang, Hongzhong Ma and Tianyu Hu
Sensors 2025, 25(22), 6933; https://doi.org/10.3390/s25226933 - 13 Nov 2025
Viewed by 474
Abstract
Mechanical fault samples of disconnectors are scarce, the fault types vary, and the self-evidence is weak, which leads to a lack of perfect fault diagnosis methods, and hidden defects cannot be found in time. To solve this problem, a mechanical fault diagnosis method [...] Read more.
Mechanical fault samples of disconnectors are scarce, the fault types vary, and the self-evidence is weak, which leads to a lack of perfect fault diagnosis methods, and hidden defects cannot be found in time. To solve this problem, a mechanical fault diagnosis method for disconnectors based on a parallel dual-channel feature fusion model is proposed. Firstly, the optimal parameters for variational mode decomposition (VMD) are obtained using the black-winged kite algorithm (BKA). After the signal decomposition, the kurtosis values of each intrinsic mode function (IMF) are calculated, screened, and reconstructed. The reconstructed signal is input into the gated recurrent unit (GRU) to capture its time-series characteristics. Then, the vibration signal is generated by the recurrence plot (RP) to generate the atlas set and input into the vision Transformer (ViT) to extract its spatial characteristics. Finally, the time-series and spatial characteristics are fused, the multi-head self-attention mechanism is used for training, and softmax is used for fault classification. The measured data results show that the diagnostic accuracy of the model for mechanical fault types reaches 97.9%, which is 3.2%, 4.3%, 1.0%, 2.4%, 2.9%, 1.8%, 2.1%, 9%, and 7.5% higher than the other nine models numbered #2–#10, respectively, verifying its effectiveness and adaptability. Full article
(This article belongs to the Section Fault Diagnosis & Sensors)
Show Figures

Figure 1

10 pages, 425 KB  
Perspective
Anterior Cruciate Ligament Reconstruction Rehabilitation as a Complex Adaptive Process: From Control–Chaos to Actionable Return-to-Sport Decisions
by Georgios Kakavas, Nikoloaos Malliaropoulos and Florian Forelli
Bioengineering 2025, 12(11), 1229; https://doi.org/10.3390/bioengineering12111229 - 10 Nov 2025
Viewed by 1118
Abstract
Rehabilitation after anterior cruciate ligament reconstruction cannot be reduced to a linear, time-based sequence of protection, strength, and return to sport. Persistent asymmetries, quadriceps inhibition, and variable re-injury rates highlight that recovery is a complex adaptive process in which outcomes emerge from dynamic [...] Read more.
Rehabilitation after anterior cruciate ligament reconstruction cannot be reduced to a linear, time-based sequence of protection, strength, and return to sport. Persistent asymmetries, quadriceps inhibition, and variable re-injury rates highlight that recovery is a complex adaptive process in which outcomes emerge from dynamic interactions between biological, neural, and psychological subsystems. Grounded in complexity science and chaos theory, this editorial reframes rehabilitation as the regulation of variability rather than its suppression. The Control–Chaos Continuum provides a practical structure to translate this concept into progressive exposure, where clinicians dose uncertainty as a therapeutic stimulus. Adaptive periodization replaces rigid stages with overlapping macro-blocks that respond to readiness, feedback, and context. Neuroplastic mechanisms and ecological dynamics justify the deliberate introduction of controlled “noise” to foster coordination, confidence, and resilience. Ultimately, the goal is not perfect control but stable performance under variability—the ability to function “at the edge of chaos.” This conceptual perspective articulates a clinically actionable framework—linking the Control–Chaos Continuum with adaptive periodization—to guide non-linear decision-making and safe return-to-sport. Full article
(This article belongs to the Special Issue Advances in Physical Therapy and Rehabilitation, 2nd Edition)
Show Figures

Graphical abstract

15 pages, 3387 KB  
Article
Automatic Apparent Nasal Index from Single Facial Photographs Using a Lightweight Deep Learning Pipeline: A Pilot Study
by Babak Saravi, Lara Schorn, Julian Lommen, Max Wilkat, Andreas Vollmer, Hamza Eren Güzel, Michael Vollmer, Felix Schrader, Christoph K. Sproll, Norbert R. Kübler and Daman D. Singh
Medicina 2025, 61(11), 1922; https://doi.org/10.3390/medicina61111922 - 27 Oct 2025
Viewed by 842
Abstract
Background and Objectives: Quantifying nasal proportions is central to facial plastic and reconstructive surgery, yet manual measurements are time-consuming and variable. We sought to develop a simple, reproducible deep learning pipeline that localizes the nose in a single frontal photograph and automatically [...] Read more.
Background and Objectives: Quantifying nasal proportions is central to facial plastic and reconstructive surgery, yet manual measurements are time-consuming and variable. We sought to develop a simple, reproducible deep learning pipeline that localizes the nose in a single frontal photograph and automatically computes the two-dimensional, photograph-derived apparent nasal index (aNI)—width/height × 100—enabling classification into five standard anthropometric categories. Materials and Methods: From CelebA we curated 29,998 high-quality near-frontal images (training 20,998; validation 5999; test 3001). Nose masks were manually annotated with the VGG Image Annotator and rasterized to binary masks. Ground-truth aNI was computed from the mask’s axis-aligned bounding box. A lightweight one-class YOLOv8n detector was trained to localize the nose; predicted aNI was computed from the detected bounding box. Performance was assessed on the held-out test set using detection coverage and mAP, agreement metrics between detector- and mask-based aNI (MAE, RMSE, R2; Bland–Altman), and five-class classification metrics (accuracy, macro-F1). Results: The detector returned at least one accepted nose box in 3000/3001 test images (99.97% coverage). Agreement with ground truth was strong: MAE 3.04 nasal index units (95% CI 2.95–3.14), RMSE 4.05, and R2 0.819. Bland–Altman analysis showed a small negative bias (−0.40, 95% CI −0.54 to −0.26) with limits of agreement −8.30 to 7.50 (95% CIs −8.54 to −8.05 and 7.25 to 7.74). After excluding out-of-range cases (<40.0), five-class classification on n = 2976 images achieved macro-F1 0.705 (95% CI 0.608–0.772) and 80.7% accuracy; errors were predominantly adjacent-class swaps, consistent with the small aNI error. Additional analyses confirmed strong ordinal agreement (weighted κ = 0.71 linear, 0.78 quadratic; Spearman ρ = 0.76) and near-perfect adjacent-class accuracy (0.999); performance remained stable when thresholds were shifted ±2 NI units and across sex and age subgroups. Conclusions: A compact detector can deliver near-universal nose localization and accurate automatic estimation of the nasal index from a single photograph, enabling reliable five-class categorization without manual measurements. The approach is fast, reproducible, and promising as a calibrated decision-support adjunct for surgical planning, outcomes tracking, and large-scale morphometric research. Full article
(This article belongs to the Special Issue Recent Advances in Plastic and Reconstructive Surgery)
Show Figures

Figure 1

14 pages, 2518 KB  
Article
Assessment of Intervertebral Lumbar Disk Herniation: Accuracy of Dual-Energy CT Compared to MRI
by Giuseppe Ocello, Gianluca Tripodi, Flavio Spoto, Leonardo Monterubbiano, Gerardo Serra, Giorgio Merci and Giovanni Foti
J. Clin. Med. 2025, 14(19), 7000; https://doi.org/10.3390/jcm14197000 - 3 Oct 2025
Viewed by 1673
Abstract
Background: Lumbar disk herniation is a common cause of low back pain and radiculopathy, significantly impacting patients’ life quality and functional capacity. Magnetic Resonance Imaging (MRI) remains the gold standard for its assessment due to its superior soft tissue contrast and multiplanar imaging [...] Read more.
Background: Lumbar disk herniation is a common cause of low back pain and radiculopathy, significantly impacting patients’ life quality and functional capacity. Magnetic Resonance Imaging (MRI) remains the gold standard for its assessment due to its superior soft tissue contrast and multiplanar imaging capabilities. However, recent advances in spectral computed tomography (CT), particularly dual-energy CT (DECT), have introduced new diagnostic opportunities, offering improved soft tissue characterization. Objective: To evaluate the diagnostic performance of DECT in detecting and grading lumbar disk herniations using dedicated color-coded fat maps. Materials and Methods: A total of 205 intervertebral levels from 41 consecutive patients with lumbar symptoms were prospectively analyzed. All patients underwent both DECT and MRI within 3 days. Three radiologists with varying years of experience independently assessed DECT images using color-coded reconstructions. A five-point grading score was attributed to each lumbar level: 1 = normal disk, 2 = bulging/protrusion, 3 = focal herniation, 4 = extruded herniation, and 5 = migrated fragment. The statistical analysis included Pearson’s correlation for score consistency, Cohen’s Kappa for interobserver agreement, generalized estimating equations for a cluster-robust analysis, and an ROC curve analysis. The DECT diagnostic accuracy was assessed in a dichotomized model (grades 1–2 = no herniation; 3–5 = herniation), using MRI as reference. Results: A strong correlation was observed between DECT and MRI scores across all readers (mean Pearson’s r = 0.826, p < 0.001). The average exact agreement between DECT and MRI was 79.4%, with the highest concordance at L1–L2 (86.7%) and L5–S1 (80.4%). The interobserver agreement was substantial (mean Cohen’s κ = 0.765), with a near-perfect agreement between the two most experienced readers (κ = 0.822). The intraclass correlation coefficient was 0.906 (95% CI: 0.893–0.918). The ROC analysis showed excellent performance (AUC range: 0.953–0.986). In the dichotomous model, DECT demonstrated a markedly higher sensitivity than conventional CT (95.1% vs. 57.2%), with a comparable specificity (DECT: 99.0%; CT: 96.5%) and improved overall accuracy (98.4% vs. 90.0%). Subgroup analyses by age and disk location revealed no statistically significant differences. Conclusions: The use of DECT dedicated color-coded fat map reconstructions showed high diagnostic performance in the assessment of lumbar disk herniations compared to MRI. These findings support the development of dedicated post-processing tools, facilitating the broader clinical adoption of spectral CT, especially in cases where MRI is contraindicated or less accessible. Full article
(This article belongs to the Special Issue Dual-Energy and Spectral CT in Clinical Practice: 2nd Edition)
Show Figures

Figure 1

14 pages, 5562 KB  
Article
Does Q.Clear Processing Change PET Ratios? Quantitative Evidence Using BTXBrain-DAT
by Ari Chong, Jung-Min Ha and Ji Yeon Chung
Brain Sci. 2025, 15(10), 1036; https://doi.org/10.3390/brainsci15101036 - 24 Sep 2025
Viewed by 551
Abstract
Introduction: Bayesian penalized likelihood (BPL) reconstruction algorithms, commercially implemented as Q.Clear (GE Healthcare), enhance image quality but may alter quantitative metrics. The impact of BPL on dopamine transporter (DAT) PET quantification, including ratios, remains unclear. This study investigates whether Q.Clear processing alters [...] Read more.
Introduction: Bayesian penalized likelihood (BPL) reconstruction algorithms, commercially implemented as Q.Clear (GE Healthcare), enhance image quality but may alter quantitative metrics. The impact of BPL on dopamine transporter (DAT) PET quantification, including ratios, remains unclear. This study investigates whether Q.Clear processing alters key metrics such as specific binding ratios (SBRs) and interregional ratios. Methods: We retrospectively analyzed 170 paired F-18 FP-CIT PET datasets reconstructed with conventional 3D-OSEM (baseline-DICOM) and Q.Clear (Q.Clear-DICOM). Quantification was performed using BTXBrain-DAT (Brightonix Imaging), yielding 57 specific binding ratios (SBRs), three asymmetry indices, and nine interregional ratios. Paired statistical tests, Bland–Altman plots, and reproducibility checks were conducted. Visual reads by two nuclear medicine physicians were also compared between datasets. Results: Q.Clear processing significantly altered all quantitative metrics (p < 0.001). SBR values changed in all 57 regions, with most high-uptake regions showing an increase and low-uptake regions showing a decrease. Striatal and caudate asymmetry indices showed significant differences (p < 0.0001), whereas the putamen index remained stable. All interregional ratios differed significantly, although Bland–Altman analysis indicated relative stability for ratios compared with asymmetric indices. BTXBrain-DAT showed perfect reproducibility on repeat analysis, and visual interpretation was unaffected by reconstruction method. Conclusions: Q.Clear (BPL) reconstruction substantially influences F-18 FP-CIT PET quantification, including ratios and asymmetry indices, while leaving visual interpretation unchanged. These findings highlight the need for caution when using image enhancement functions for quantitative analysis, particularly in clinical studies involving low-uptake regions or multicenter data comparisons. Full article
(This article belongs to the Section Neurotechnology and Neuroimaging)
Show Figures

Figure 1

19 pages, 2830 KB  
Article
Cochineal Reds in Iberia and France: A Comparative Study of 18th Century Tin-Mordant Recipes to Dye Wool
by Mara Espírito Santo, Rafael Díaz Hidalgo, Luís Gonçalves Ferreira, Dominique Cardon, Joana Sequeira, Vanessa Otero and Paula Nabais
Heritage 2025, 8(9), 375; https://doi.org/10.3390/heritage8090375 - 11 Sep 2025
Viewed by 1462
Abstract
The Royal Textile Factory of Covilhã, founded in 1764, is the perfect example of the Portuguese Industrial and Cultural Heritage. Despite its historical significance, comprehensive studies on the dyeing techniques employed in the 18th century remain scarce. Given the influence of French technology [...] Read more.
The Royal Textile Factory of Covilhã, founded in 1764, is the perfect example of the Portuguese Industrial and Cultural Heritage. Despite its historical significance, comprehensive studies on the dyeing techniques employed in the 18th century remain scarce. Given the influence of French technology on Portuguese wool production, this study presents a comparative analysis of French and Spanish dyeing recipes to understand their influence on the practices adopted by the Portuguese wool industry. Focusing on the production of red dyes from cochineal insects, one of the main colours used in Covilhã until the late 19th century, this work presents the reconstruction of selected 18th-century scarlet recipes. Quantitative and qualitative differences between French and Spanish methodologies were analysed, particularly regarding the use of mordants, the quantities of cochineal, and the role of pH and tin liquor in achieving scarlet shades. The results highlight that although both traditions relied heavily on cochineal, significant variations existed in recipe composition and application. This work contributes to a better understanding of historical dyeing techniques and supports future conservation and reproduction efforts for Portuguese textile heritage. Full article
(This article belongs to the Special Issue Dyes in History and Archaeology 43)
Show Figures

Figure 1

17 pages, 4596 KB  
Article
Generative Adversarial Network-Based Detection and Defence of FDIAs: State Estimation for Battery Energy Storage Systems in DC Microgrids
by Hongru Wei, Minhong Zhu, Linting Guan and Tianqing Yuan
Processes 2025, 13(9), 2837; https://doi.org/10.3390/pr13092837 - 4 Sep 2025
Viewed by 954
Abstract
With the wide application of battery energy storage systems (BESSs) in DC microgrids, BESSs are facing increasingly severe cyber threats, among which, false data injection attacks (FDIAs) seriously undermine the accuracy of battery state estimation by tampering with sensor measurement data. To address [...] Read more.
With the wide application of battery energy storage systems (BESSs) in DC microgrids, BESSs are facing increasingly severe cyber threats, among which, false data injection attacks (FDIAs) seriously undermine the accuracy of battery state estimation by tampering with sensor measurement data. To address this problem, this paper proposes an improved generative adversarial network (WGAN-GP)-based detection and defence method for FDIAs in battery energy storage systems. Firstly, a more perfect FDIA model is constructed based on the comprehensive consideration of the dual objectives of circumventing the bad data detection (BDD) system of microgrid and triggering the effective deviation of the system operating state quantity; subsequently, the WGAN-GP network architecture introducing the gradient penalty term is designed to achieve the efficient detection of the attack based on the anomalous scores output from the discriminator, and the generator reconstructs the tampered measurement data. Finally, the state prediction after repair is completed based on Gaussian process regression. The experimental results show that the proposed method achieves more than 92.9% detection accuracy in multiple attack modes, and the maximum reconstruction error is only 0.13547 V. The overall performance is significantly better than that of the traditional detection and restoration methods, and it provides an effective technical guarantee for the safe and stable operation of the battery energy storage system. Full article
Show Figures

Figure 1

Back to TopTop