Low-Dose CT Quality Assurance at Scale: Automated Detection of Overscanning, Underscanning, and Image Noise
Abstract
1. Introduction
2. Related Work
3. Methods
3.1. Over- and Underscanning
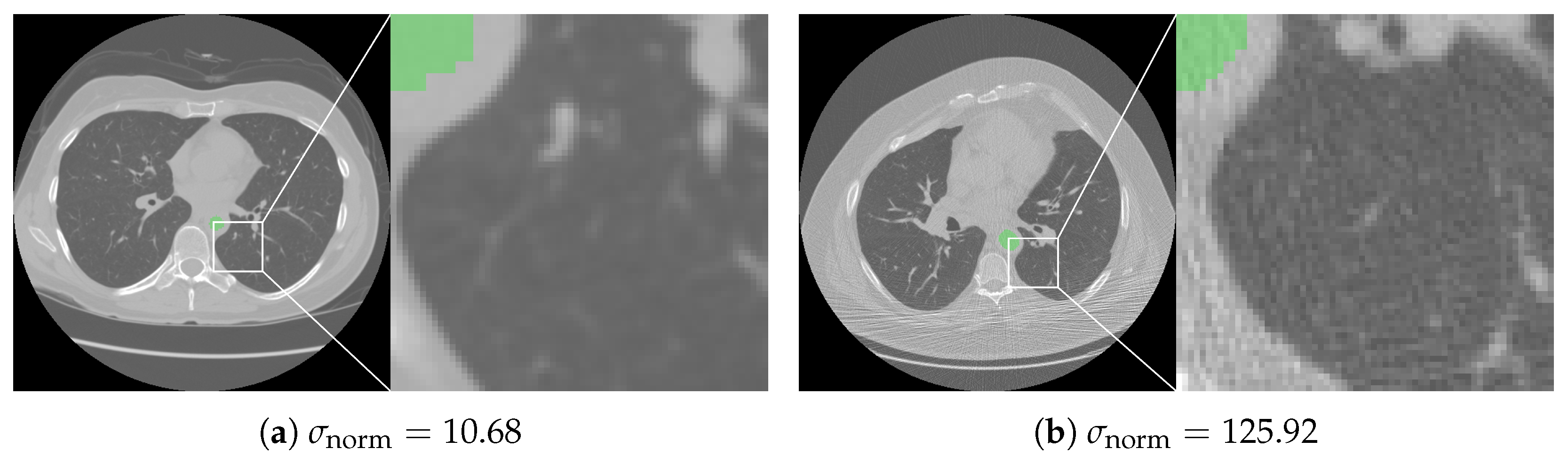
3.2. Noise Calculation
3.3. Evaluation
4. Results
4.1. Reader Study
4.2. NLST Evaluation
5. Discussion
Limitations
6. Conclusions
Author Contributions
Funding
Institutional Review Board Statement
Informed Consent Statement
Data Availability Statement
Acknowledgments
Conflicts of Interest
Abbreviations
| ACRIN | American College of Radiology Imaging Network |
| AI | Artificial Intelligence |
| CI | Confidence Interval |
| CNN | Convolutional Neural Network |
| CT | Computed Tomography |
| DICOM | Digital Imaging and Communications in Medicine |
| ERS | European Respiratory Society |
| ESR | European Society of Radiology |
| HU | Hounsfield Unit(s) |
| KIAMI | Korea Institute for Accreditation of Medical Imaging |
| kVp | Kilovoltage peak |
| LDCT | Low-Dose Computed Tomography |
| LSS | Lung Screening Study |
| Lung-RADS | Lung Imaging Reporting and Data System |
| mAs | Milliampere-seconds |
| NHS | National Health Service |
| NIfTI | Neuroimaging Informatics Technology Initiative |
| NLST | National Lung Screening Trial |
| PACS | Picture Archiving and Communication System |
| Portable Document Format | |
| QA | Quality Assurance |
| RIS | Radiology Information System |
| SNR | Signal-to-Noise Ratio |
References
- Bray, F.; Laversanne, M.; Sung, H.; Ferlay, J.; Siegel, R.L.; Soerjomataram, I.; Jemal, A. Global cancer statistics 2022: GLOBOCAN estimates of incidence and mortality worldwide for 36 cancers in 185 countries. CA Cancer J. Clin. 2024, 74, 229–263. [Google Scholar] [CrossRef]
- Verdecchia, A.; Francisci, S.; Brenner, H.; Gatta, G.; Micheli, A.; Mangone, L.; Kunkler, I. Recent cancer survival in Europe: A 2000–02 period analysis of EUROCARE-4 data. Lancet Oncol. 2007, 8, 784–796. [Google Scholar] [CrossRef] [PubMed]
- Goldstraw, P.; Crowley, J.; Chansky, K.; Giroux, D.J.; Groome, P.A.; Rami-Porta, R.; Postmus, P.E.; Rusch, V.; Sobin, L.; International Association for the Study of Lung Cancer International Staging Committee and Participating Institutions. The IASLC Lung Cancer Staging Project: Proposals for the revision of the TNM stage groupings in the forthcoming (seventh) edition of the TNM Classification of malignant tumours. J. Thorac. Oncol. 2007, 2, 706–714. [Google Scholar] [PubMed]
- Kufel, J.; Bargieł-Łączek, K.; Kocot, S.; Koźlik, M.; Bartnikowska, W.; Janik, M.; Czogalik, Ł.; Dudek, P.; Magiera, M.; Lis, A.; et al. What Is Machine Learning, Artificial Neural Networks and Deep Learning?—Examples of Practical Applications in Medicine. Diagnostics 2023, 13, 2585. [Google Scholar] [CrossRef] [PubMed]
- The National Lung Screening Trial Research Team. Data from the National Lung Screening Trial (NLST) [Data Set]. The Cancer Imaging Archive. 2013. Available online: https://www.cancerimagingarchive.net/collection/nlst/ (accessed on 30 July 2024). [CrossRef]
- The National Lung Screening Trial Research Team. Reduced lung-cancer mortality with low-dose computed tomographic screening. N. Engl. J. Med. 2011, 365, 395–409. [Google Scholar] [CrossRef]
- Poon, C.; Haderi, A.; Roediger, A.; Yuan, M. Should we screen for lung cancer? A 10-country analysis identifying key decision-making factors. Health Policy 2022, 126, 879–888. [Google Scholar] [CrossRef]
- American College of Radiology Committee on Lung-RADS®. Lung-RADS Assessment Categories. 2022. Available online: https://www.acr.org/Clinical-Resources/Clinical-Tools-and-Reference/Reporting-and-Data-Systems/Lung-RADS (accessed on 6 January 2026).
- NHS England. Targeted Screening for Lung Cancer with Low Radiation Dose Computed Tomography: Quality Assurance Standards Prepared for the Lung Cancer Screening Programme. 2025. Available online: https://www.england.nhs.uk/wp-content/uploads/2019/02/2502-B1647-quality-assurance-standards-prepared-for-the-lung-cancer-screening-programme.pdf (accessed on 6 January 2026).
- Kauczor, H.U.; Bonomo, L.; Gaga, M.; Nackaerts, K.; Peled, N.; Prokop, M.; Remy-Jardin, M.; Von Stackelberg, O.; Sculier, J.P.; European Society of Radiology (ESR); et al. ESR/ERS white paper on lung cancer screening. Eur. Radiol. 2015, 25, 2519–2531. [Google Scholar] [CrossRef]
- Kim, S.; Jeong, W.K.; Choi, J.H.; Kim, J.H.; Chun, M. Development of deep learning-assisted overscan decision algorithm in low-dose chest CT: Application to lung cancer screening in Korean National CT accreditation program. PLoS ONE 2022, 17, e0275531. [Google Scholar] [CrossRef]
- Oh, J.G.; Paik, S.H.; Kim, B.S.; Lee, J.M.; Goo, J.M. A Survey of Institutions with Sixteen Detector-Rows or More CT Scanners for the Introduction of National Lung Cancer Screening Program Using Low-Dose Chest CT. J. Korean Soc. Radiol. 2017, 77, 404–411. [Google Scholar] [CrossRef]
- Goldman, L.W. Principles of CT: Radiation dose and image quality. J. Nucl. Med. Technol. 2007, 35, 213–225. [Google Scholar] [CrossRef]
- Campbell, J.; Kalra, M.K.; Rizzo, S.; Maher, M.M.; Shepard, J.A. Scanning beyond anatomic limits of the thorax in chest CT: Findings, radiation dose, and automatic tube current modulation. Am. J. Roentgenol. 2005, 185, 1525–1530. [Google Scholar] [CrossRef]
- Zanca, F.; Demeter, M.; Oyen, R.; Bosmans, H. Excess radiation and organ dose in chest and abdominal CT due to CT acquisition beyond expected anatomical boundaries. Eur. Radiol. 2012, 22, 779–788. [Google Scholar] [PubMed]
- Schwartz, F.; Stieltjes, B.; Szucs-Farkas, Z.; Euler, A. Over-scanning in chest CT: Comparison of practice among six hospitals and its impact on radiation dose. Eur. J. Radiol. 2018, 102, 49–54. [Google Scholar] [CrossRef]
- Colevray, M.; Tatard-Leitman, V.; Gouttard, S.; Douek, P.; Boussel, L. Convolutional neural network evaluation of over-scanning in lung computed tomography. Diagn. Interv. Imaging 2019, 100, 177–183. [Google Scholar] [CrossRef] [PubMed]
- Cohen, S.L.; Ward, T.J.; Makhnevich, A.; Richardson, S.; Cham, M.D. Retrospective analysis of 1118 outpatient chest CT scans to determine factors associated with excess scan length. Clin. Imaging 2020, 62, 76–80. [Google Scholar] [CrossRef] [PubMed]
- Yar, O.; Onur, M.R.; İdilman, İ.S.; Akpınar, E.; Akata, D. Excessive z-axis scan coverage in body CT: Frequency and causes. Eur. Radiol. 2021, 31, 4358–4366. [Google Scholar]
- Bani-Ahmad, M.; England, A.; McLaughlin, L.; Alshipli, M.; Alzyoud, K.; Hadi, Y.H.; McEntee, M. AI-driven assessment of over-scanning in chest CT: A systematic review and meta-analysis. Eur. J. Radiol. Open 2025, 15, 100674. [Google Scholar] [CrossRef]
- Korea Institute for Accreditation of Medical Imaging (KIAMI). Quality Control Standards for Computed Tomography Equipment. Original Title in Korean: Jeonsanhwa Dancheung Chwalyeong Jangchi. 2024. Available online: https://kiami.or.kr/Kiami/Default.aspx?lm=3&rp=38 (accessed on 6 January 2026).
- Lafata, N.; MacLellan, C.J. Clinical CT Performance Evaluation. In Computed Tomography: Approaches, Applications, and Operations; Springer Nature: Cham, Switzerland, 2020; pp. 125–142. [Google Scholar]
- Padgett, J.; Biancardi, A.M.; Henschke, C.I.; Yankelevitz, D.; Reeves, A.P. Local noise estimation in low-dose chest CT images. Int. J. Comput. Assist. Radiol. Surg. 2014, 9, 221–229. [Google Scholar]
- Wegner, M.; Gargioni, E.; Krause, D. Classification of phantoms for medical imaging. Procedia CIRP 2023, 119, 1140–1145. [Google Scholar] [CrossRef]
- Choi, M.H.; Lee, Y.J.; Jung, S.E. The image quality and diagnostic performance of CT with low-concentration iodine contrast (240 mg Iodine/mL) for the abdominal organs. Diagnostics 2022, 12, 752. [Google Scholar]
- Wisselink, H.J.; Pelgrim, G.J.; Rook, M.; Dudurych, I.; van den Berge, M.; de Bock, G.H.; Vliegenthart, R. Improved precision of noise estimation in CT with a volume-based approach. Eur. Radiol. Exp. 2021, 5, 39. [Google Scholar] [CrossRef]
- Schuhbaeck, A.; Schaefer, M.; Marwan, M.; Gauss, S.; Muschiol, G.; Lell, M.; Pflederer, T.; Ropers, D.; Rixe, J.; Hamm, C.; et al. Patient-specific predictors of image noise in coronary CT angiography. J. Cardiovasc. Comput. Tomogr. 2013, 7, 39–45. [Google Scholar] [CrossRef]
- McKenney, S.E.; Seibert, J.A.; Lamba, R.; Boone, J.M. Methods for CT automatic exposure control protocol translation between scanner platforms. J. Am. Coll. Radiol. 2014, 11, 285–291. [Google Scholar] [CrossRef]
- Wasserthal, J.; Breit, H.C.; Meyer, M.T.; Pradella, M.; Hinck, D.; Sauter, A.W.; Heye, T.; Boll, D.T.; Cyriac, J.; Yang, S.; et al. TotalSegmentator: Robust segmentation of 104 anatomic structures in CT images. Radiol. Artif. Intell. 2023, 5, e230024. [Google Scholar] [CrossRef]
- Isensee, F.; Jaeger, P.F.; Kohl, S.A.; Petersen, J.; Maier-Hein, K.H. nnU-Net: A self-configuring method for deep learning-based biomedical image segmentation. Nat. Methods 2021, 18, 203–211. [Google Scholar] [CrossRef]
- Ronneberger, O.; Fischer, P.; Brox, T. U-net: Convolutional networks for biomedical image segmentation. In Medical Image Computing and Computer-Assisted Intervention, Proceedings of the MICCAI 2015: 18th International Conference, Munich, Germany, 5–9 October 2015; Proceedings, Part III 18. Springer: Cham, Switzerland, 2015; pp. 234–241. [Google Scholar]
- Hardikar, A.; Harle, R.; Marwick, T.H. Aortic thickness: A forgotten paradigm in risk stratification of aortic disease. Aorta 2020, 8, 132–140. [Google Scholar] [CrossRef] [PubMed]
- Mason, D.; scaramallion; mrbean bremen; rhaxton; Suever, J.; Vanessasaurus; Orfanos, D.P.; Lemaitre, G.; Panchal, A.; Rothberg, A.; et al. Pydicom/Pydicom: Pydicom 2.3.1. 2022. Available online: https://zenodo.org/records/7319790 (accessed on 6 January 2026).
- Huo, D.; Kiehn, M.; Scherzinger, A. Investigation of Low-Dose CT Lung Cancer Screening Scan “Over-Range” Issue Using Machine Learning Methods. J. Digit. Imaging 2019, 32, 931–938. [Google Scholar] [CrossRef] [PubMed]
- Kaviani, P.; Bizzo, B.C.; Digumarthy, S.R.; Dasegowda, G.; Karout, L.; Hillis, J.; Neumark, N.; Kalra, M.K.; Dreyer, K.J. Radiologist-trained and-tested (R2. 2.4) deep learning models for identifying anatomical landmarks in chest CT. Diagnostics 2022, 12, 1844. [Google Scholar] [CrossRef] [PubMed]
- Xun, S.; Li, Q.; Liu, X.; Huang, P.; Zhai, G.; Sun, Y.; Wu, M.; Tan, T. Charting the path forward: CT image quality assessment-an in-depth review. J. King Saud Univ. Comput. Inf. Sci. 2025, 37, 1–24. [Google Scholar] [CrossRef]
- Pfeiffer, D.E. Clinical CT Physics: State of Practice. In Clinical Imaging Physics: Current and Emerging Practice; Wiley-Blackwell: Hoboken, NJ, USA, 2020; pp. 175–192. [Google Scholar]
- Liao, E.A.; Quint, L.E.; Goodsitt, M.M.; Francis, I.R.; Khalatbari, S.; Myles, J.D. Extra Z-axis coverage at CT imaging resulting in excess radiation dose: Frequency, degree, and contributory factors. J. Comput. Assist. Tomogr. 2011, 35, 50–56. [Google Scholar] [CrossRef]
- Smith, T.B.; Zhang, S.; Erkanli, A.; Frush, D.; Samei, E. Variability in image quality and radiation dose within and across 97 medical facilities. J. Med. Imaging 2021, 8, 052105. [Google Scholar] [CrossRef]
- Silverman, J.; Paul, N.; Siewerdsen, J. Investigation of lung nodule detectability in low-dose 320-slice computed tomography. Med. Phys. 2009, 36, 1700–1710. [Google Scholar] [CrossRef] [PubMed]





| Rating | Description |
|---|---|
| 6 | Perfect |
| 5 | Nearly Perfect |
| 4 | Good |
| 3 | Acceptable |
| 2 | Poor |
| 1 | Insufficient |
| Lung Mask | Desc. Aorta Mask | |||
|---|---|---|---|---|
| Label | # | Probability | # | Probability |
| Perfect | 16 | 16.3% [CI: 9.6–25.2%] | 69 | 70.4% [CI: 60.3–79.2%] |
| Nearly Perfect | 73 | 90.8% [CI: 83.3–95.7%] | 26 | 96.9% [CI: 91.3–99.4%] |
| Good | 8 | 99.0% [CI: 94.4–100.0%] | 3 | 100% [CI: 96.3–100.0%] |
| Acceptable | 1 | 100% [CI: 96.3–100.0%] | 0 | 100% [CI: 96.3–100.0%] |
| Poor | 0 | 100% [CI: 96.3–100.0%] | 0 | 100% [CI: 96.3–100.0%] |
| Insufficient | 0 | 100% [CI: 96.3–100.0%] | 0 | 100% [CI: 96.3–100.0%] |
| Study | N | Superior (mm) | Inferior (mm) | Overall (mm) |
|---|---|---|---|---|
| Colevray et al. [17] | 1000 | |||
| Huo et al. [34] | 770 | |||
| Kaviani et al. [35] | 428 | |||
| This work | 38,834 |
| Metric | Total | ACRIN | LSS | p-Value |
|---|---|---|---|---|
| Sample size (N) | 38,834 | 15,147 | 23,687 | |
| Caudal overscanning (mm) | <0.001 | |||
| Cranial overscanning (mm) | <0.001 | |||
| Total overscanning (mm) | <0.001 | |||
| Caudal underscanning (%) | 4.36 | 4.07 | 4.55 | 0.028 |
| Cranial underscanning (%) | 0.89 | 1.18 | 0.71 | <0.001 |
| Normalized aorta noise (HU) | <0.001 | |||
| Age (years) | <0.001 | |||
| Male (%) | 57.50 | 54.52 | 59.41 | <0.001 |
Disclaimer/Publisher’s Note: The statements, opinions and data contained in all publications are solely those of the individual author(s) and contributor(s) and not of MDPI and/or the editor(s). MDPI and/or the editor(s) disclaim responsibility for any injury to people or property resulting from any ideas, methods, instructions or products referred to in the content. |
© 2026 by the authors. Licensee MDPI, Basel, Switzerland. This article is an open access article distributed under the terms and conditions of the Creative Commons Attribution (CC BY) license.
Share and Cite
Wienholt, P.; Hermans, A.; Siepmann, R.; Kuhl, C.; Pinto dos Santos, D.; Nebelung, S.; Truhn, D. Low-Dose CT Quality Assurance at Scale: Automated Detection of Overscanning, Underscanning, and Image Noise. Life 2026, 16, 152. https://doi.org/10.3390/life16010152
Wienholt P, Hermans A, Siepmann R, Kuhl C, Pinto dos Santos D, Nebelung S, Truhn D. Low-Dose CT Quality Assurance at Scale: Automated Detection of Overscanning, Underscanning, and Image Noise. Life. 2026; 16(1):152. https://doi.org/10.3390/life16010152
Chicago/Turabian StyleWienholt, Patrick, Alexander Hermans, Robert Siepmann, Christiane Kuhl, Daniel Pinto dos Santos, Sven Nebelung, and Daniel Truhn. 2026. "Low-Dose CT Quality Assurance at Scale: Automated Detection of Overscanning, Underscanning, and Image Noise" Life 16, no. 1: 152. https://doi.org/10.3390/life16010152
APA StyleWienholt, P., Hermans, A., Siepmann, R., Kuhl, C., Pinto dos Santos, D., Nebelung, S., & Truhn, D. (2026). Low-Dose CT Quality Assurance at Scale: Automated Detection of Overscanning, Underscanning, and Image Noise. Life, 16(1), 152. https://doi.org/10.3390/life16010152

