Sign in to use this feature.

Years

Between: -

Subjects

remove_circle_outline
remove_circle_outline
remove_circle_outline
remove_circle_outline
remove_circle_outline
remove_circle_outline
remove_circle_outline

Journals

Article Types

Countries / Regions

Search Results (17)

Search Parameters:
Keywords = pediatric supracondylar humerus fracture

Order results
Result details
Results per page
Select all
Export citation of selected articles as:
10 pages, 1965 KB  
Article
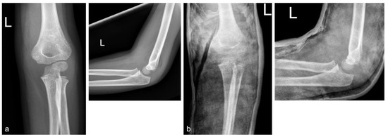
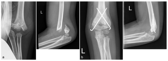
A Modified Technique for Medial Pin Placement in Pediatric Supracondylar Humerus Fractures
by Zhi-Kang Yao, Li-Kai Kuo and Wei-Ning Chang
Surg. Tech. Dev. 2025, 14(4), 36; https://doi.org/10.3390/std14040036 - 21 Oct 2025
Viewed by 648
Abstract
Background: Displaced pediatric supracondylar humerus fractures (PSHFs) commonly require surgical treatment. Medial pin placement can cause iatrogenic ulnar nerve injury. This study presents a modified, step-by-step cross-pinning technique for PSHFs designed to avoid iatrogenic ulnar nerve injury. Methods: We retrospectively included [...] Read more.
Background: Displaced pediatric supracondylar humerus fractures (PSHFs) commonly require surgical treatment. Medial pin placement can cause iatrogenic ulnar nerve injury. This study presents a modified, step-by-step cross-pinning technique for PSHFs designed to avoid iatrogenic ulnar nerve injury. Methods: We retrospectively included patients with PSHF (Gartland types III or IV) who underwent closed reduction and percutaneous cross-pinning at our hospital from June 2014 to December 2024. Demographic data, fracture type, and preoperative and postoperative neurological deficits were recorded. Results: A total of 40 patients (16 boys and 24 girls) with a mean age of 6.6 ± 2.2 years (range, 2–14) were included. Most injuries were type III (35/40; 87.5%), whereas five patients (12.5%) had type IV injuries. Our technique resulted in no new cases of postoperative ulnar neuropathy. Conclusions: This study describes a modified medial pin insertion technique for unstable PSHFs. Careful attention to medial pin placement can minimize iatrogenic ulnar nerve injury. Full article
Show Figures

Figure 1

11 pages, 3741 KB  
Article
The Limited Significance of the Internal Rotation Stress Test in Pediatric Gartland Type III Supracondylar Humerus Fractures
by Sungmin Kim, Jun-Hyuk Lim, Myung-Jin Sung, Hyeon-Su Na, Gyo-Rim Kang and Sung-Taek Jung
J. Clin. Med. 2025, 14(7), 2276; https://doi.org/10.3390/jcm14072276 - 26 Mar 2025
Viewed by 855
Abstract
Background: Gartland type III pediatric supracondylar humerus fractures can be unstable and prone to loss of reduction. The Internal Rotational Stress Test (IRST) aims to assess and address rotational instability during surgery. Method: This retrospective study analyzed treatments for Gartland type III pediatric [...] Read more.
Background: Gartland type III pediatric supracondylar humerus fractures can be unstable and prone to loss of reduction. The Internal Rotational Stress Test (IRST) aims to assess and address rotational instability during surgery. Method: This retrospective study analyzed treatments for Gartland type III pediatric supracondylar humerus fractures at our institution from January 2020 to December 2022. Only patients who underwent IRST were included. IRST was performed after inserting either two or three lateral pins. Patients were divided into Group 1 (IRST +) or 2 (IRST −) based on IRST results. Radiographic and clinical outcomes were compared between the two groups. Result: A total of 46 patients were included in the study. The mean age at the time of diagnosis was 5.7 years (range, 4 to 11 years), and the mean duration of follow-up was 2.8 years (range, 1.0 to 4.8 years). Group 1 consisted of 24 patients, and Group 2 comprised 22 patients. We did not find any differences in radiographic parameters and clinical scores between the two groups. Additionally, in both groups, there were no instances of major loss of reduction, defined as greater than 12 degrees or 12%. In five patients, we identified two types of fracture patterns that were stable with only two lateral pins. Conclusions: In patients with Gartland type III supracondylar humerus fractures, if reduction is adequately achieved and sufficient fixation force is maintained, the IRST results do not significantly impact radiologic and clinical outcomes. The pattern of the fracture can influence instability, necessitating further research on this matter. Full article
(This article belongs to the Section Orthopedics)
Show Figures

Figure 1

9 pages, 246 KB  
Article
Pediatric Supracondylar Humerus Fracture: When Should We Surgically Treat? A Case-Series
by Filippo Familiari, Andrea Zappia, Giorgio Gasparini, Michele Mercurio, Giuseppe Tedesco, Daria Anna Riccelli, Livio Perticone, Giovanni Carlisi, Gianluca Testa, Ludovico Lucenti, Vito Pavone and Andrea Vescio
J. Clin. Med. 2025, 14(1), 237; https://doi.org/10.3390/jcm14010237 - 3 Jan 2025
Cited by 1 | Viewed by 2973
Abstract
Background/Objectives: Supracondylar humerus fractures (SCHFs) are the most common pediatric elbow injuries and often require surgical intervention. Despite guidelines, optimal timing for surgical management, particularly for cases without neurovascular compromise, remains unclear. This study evaluates the influence of surgical timing on short-term [...] Read more.
Background/Objectives: Supracondylar humerus fractures (SCHFs) are the most common pediatric elbow injuries and often require surgical intervention. Despite guidelines, optimal timing for surgical management, particularly for cases without neurovascular compromise, remains unclear. This study evaluates the influence of surgical timing on short-term outcomes, focusing on fracture reduction quality and surgical parameters. Methods: In total, 62 pediatric patients who had been treated for Gartland type II and III SCHF between 2018 and 2023 were retrospectively assessed. Patients were grouped based on time of admission (morning, afternoon, early evening, and night shifts) and time to surgery (<12 h vs. >12 h). Primary outcomes included immediate radiological reduction, assessed via the Baumann’s angle (BA) and shaft-condylar angle (SCA). Secondary outcomes encompassed surgery duration and radiation exposure. Statistical analyses used ANOVA and chi-square tests, with p < 0.05 considered significant. Results: No significant differences were observed in BA (p = 0.84) or SCA (p = 0.79) between early and delayed surgical groups. Similarly, surgical timing (shift or delay >12 h) did not significantly affect surgery duration (p = 0.92) or radiation exposure (p = 0.12). The complication rate was 6.45%. Conclusions: Surgical timing, including delays beyond 12 h, does not adversely affect short-term outcomes in SCHFs. However, after-hours procedures may pose practical challenges, emphasizing the importance of surgeon experience and institutional protocols. Larger prospective studies are warranted to validate these findings and examine them in the long term. Full article
12 pages, 462 KB  
Article
Complications and Outcomes of Surgically Treated Pediatric Supracondylar Humerus Fractures
by Sebastian G. Hahn, Andrea Schuller, Lorenz Pichler, Anna Hohensteiner, Thomas Sator, Oskar Bamer, Britta Chocholka, Manuela Jaindl, Elisabeth Schwendenwein, Bikash Parajuli, Sanika Rapole, Thomas Tiefenboeck and Stephan Payr
Children 2024, 11(7), 791; https://doi.org/10.3390/children11070791 - 28 Jun 2024
Cited by 4 | Viewed by 6564
Abstract
This study describes the outcome of supracondylar humerus fractures in children using crossed K-wires after closed or open reduction with the medial, lateral or bilateral approach. Patients treated between January 2000 and December 2019 were classified according to the Von Laer classification, complications [...] Read more.
This study describes the outcome of supracondylar humerus fractures in children using crossed K-wires after closed or open reduction with the medial, lateral or bilateral approach. Patients treated between January 2000 and December 2019 were classified according to the Von Laer classification, complications were classified according to the Sink classification and clinical outcomes were classified according to modified Flynn criteria. In total, 364 patients with a mean age of 5.23 ± 2.45 years were included. The majority were type IV fractures (156; 42.9%) and 94 (60.3%) needed an open reduction for which the medial approach (53; 56.4%) was predominantly used. Overall, of 50 complications (31 using closed reduction, 19 open reduction), 17/50 (34%) needed revision surgery. An excellent clinical outcome was achieved in 348/364 (95.6%) patients. The approach used for open reduction as such had no influence on the complication rate or clinical outcome. For severely displaced fractures, the data showed that an open approach for crossed K-wires tended to result in fewer complications and better clinical outcomes than a closed reduction. If an open reduction is indicated, the required approach (medial, lateral or bilateral) should be primarily selected according to the requirements of the fracture pattern and eventual cosmetic considerations. Full article
(This article belongs to the Special Issue Research in Paediatric Orthopaedic Surgery (2nd Edition))
Show Figures

Figure 1

14 pages, 4465 KB  
Article
Intrainstitutional Changes of the Treatment of Supracondylar Humerus Fracture in Children over a Period of 9 Years
by Ferdinand Wagner, Amalia Boeriu, Pascal Eberz, Annabelle Weigert, Boris Michael Holzapfel, Wolfgang Böcker, Jochen Hubertus, Oliver Muensterer, Florian Bergmann and Christian Max Ziegler
Children 2024, 11(1), 27; https://doi.org/10.3390/children11010027 - 26 Dec 2023
Viewed by 2888
Abstract
To assess changes in treatment modalities for supracondylar humerus fractures (SCHFs) at a large pediatric university hospital, we analyzed patient data from 2014 to 2022. A total of 233 SCHFs treated surgically at our hospital were included. To evaluate postoperative outcome and quality [...] Read more.
To assess changes in treatment modalities for supracondylar humerus fractures (SCHFs) at a large pediatric university hospital, we analyzed patient data from 2014 to 2022. A total of 233 SCHFs treated surgically at our hospital were included. To evaluate postoperative outcome and quality of life, DASH and EuroQol-5D-Y questionnaires were sent to patients. In addition to a significant fluctuation in fracture severity, we found an increase in training interventions (more surgeries were performed by trainees) and a significant decrease in surgery times after 2016. From 2020, there was a significant shift in the type of surgical method away from closed reduction with elastic stable intramedullary nailing (ESIN) and towards closed reduction and crossed K-wire osteosynthesis (CRK). Surgeries performed in the morning and evening hours increased, while those performed in the afternoon and after midnight decreased. After a mean follow-up of 4 years, there was no difference in elbow function between ESIN and open reduction and K-wires (ORK). Treatment with ESIN was equivalent to ORK in terms of function, at least in the medium-term follow-up. In summary, the combination of shifting treatment from SCHF to daytime hours, increasing trainee participation and using cross K-wire fixation instead of ESIN had no negative impact on surgery times. In our setting, these measures have reduced resource utilization and increased efficiency without compromising patient care. Full article
(This article belongs to the Section Pediatric Orthopedics & Sports Medicine)
Show Figures

Figure 1

11 pages, 976 KB  
Systematic Review
Management of Traumatic Nerve Palsies in Paediatric Supracondylar Humerus Fractures: A Systematic Review
by Christy Graff, George Dennis Dounas, Maya Rani Louise Chandra Todd, Jonghoo Sung and Medhir Kumawat
Children 2023, 10(12), 1862; https://doi.org/10.3390/children10121862 - 27 Nov 2023
Cited by 7 | Viewed by 5895
Abstract
Purpose: Up to 12% of paediatric supracondylar humerus fractures (SCHFs) have an associated traumatic nerve injury. This review aims to summarize the evidence and guide clinicians regarding the timing of investigations and/or surgical interventions for traumatic nerve palsies after this injury. Methods: A [...] Read more.
Purpose: Up to 12% of paediatric supracondylar humerus fractures (SCHFs) have an associated traumatic nerve injury. This review aims to summarize the evidence and guide clinicians regarding the timing of investigations and/or surgical interventions for traumatic nerve palsies after this injury. Methods: A formal systematic review was undertaken in accordance with the Joanna Briggs Institute (JBI) methodology for systematic reviews and PRISMA guidelines. Manuscripts were reviewed by independent reviewers against the inclusion and exclusion criteria, and data extraction, synthesis, and assessment for methodological quality were undertaken. Results: A total of 51 manuscripts were included in the final evaluation, reporting on a total of 510 traumatic nerve palsies in paediatric SCHFs. In this study, 376 nerve palsies recovered without any investigation or intervention over an average time of 19.5 weeks. Comparatively, 37 went back to theatre for exploration beyond the initial treatment due to persistent deficits, at an average time of 4 months. The most common finding at the time of exploration was entrapment of the nerve requiring neurolysis. A total of 27 cases did not achieve full recovery regardless of management. Of the 15 reports of nerve laceration secondary to paediatric SCHFs, 13 were the radial nerve. Conclusions: Most paediatric patients who sustain a SCHF with associated traumatic nerve injury will have full recovery. Delayed or no recovery of the nerve palsy should be considered for exploration within four months of the injury; earlier exploration should be considered for radial nerve palsies. Full article
(This article belongs to the Special Issue Pediatric Fractures—Volume II)
Show Figures

Figure 1

12 pages, 2565 KB  
Article
Pediatric Supracondylar Fracture of the Humerus with Sideward Displacement
by Michael Zaidman, Mark Eidelman, Khaled Abu-Dalu and Pavel Kotlarsky
Surg. Tech. Dev. 2023, 12(3), 107-118; https://doi.org/10.3390/std12030010 - 30 Jun 2023
Cited by 1 | Viewed by 7596
Abstract
Background: Supracondylar humeral fracture is probably the most common elbow fracture in children requiring surgical intervention. We observed a subtype of pediatric supracondylar humeral fracture with a sideward translation, without substantial displacement in the sagittal plane on initial radiographs. The purpose of this [...] Read more.
Background: Supracondylar humeral fracture is probably the most common elbow fracture in children requiring surgical intervention. We observed a subtype of pediatric supracondylar humeral fracture with a sideward translation, without substantial displacement in the sagittal plane on initial radiographs. The purpose of this study was to calculate the incidence of this fracture subtype and suggest a modification to the standard operative technique, to achieve the desired fracture alignment and fixation. Methods: We reviewed the clinical records and radiographs of all pediatric patients with supracondylar humeral fractures surgically treated in our institution between the years 2006 and 2014. The fracture types, fixation configuration and any complications were recorded. Results: Overall, 263 consecutive patients were included. The incidence of supracondylar fracture of the humerus with solely sideward displacement was 6%. The fracture was characterized clinically and radiographically. We proposed a modification to the standard operative technique for this fracture subtype for successful closed reduction and percutaneous pinning. Conclusions: Special attention to this fracture subtype, including appropriate operating room setup and the application of a suitable reduction and pinning technique, has the potential to achieve successful results and avoid the need for open reduction. Full article
Show Figures

Figure 1

10 pages, 1345 KB  
Article
Correlation of Fall Height, Fracture Severity and Clinical Outcome in Pediatric Supracondylar Fractures—A Retrospective Analysis with an Observation Period of 20 Years
by Andrea Schuller, Sebastian Hahn, Lorenz Pichler, Anna Hohensteiner, Thomas Sator, Manuela Jaindl, Elisabeth Schwendenwein, Thomas Tiefenboeck and Stephan Payr
Children 2023, 10(3), 510; https://doi.org/10.3390/children10030510 - 4 Mar 2023
Cited by 4 | Viewed by 2332
Abstract
The most common cause leading to supracondylar humerus fractures in children is falling onto an outstretched arm. A correlation between fall height and fracture severity may be assumed but has not yet been described. The aim of this study was to show that [...] Read more.
The most common cause leading to supracondylar humerus fractures in children is falling onto an outstretched arm. A correlation between fall height and fracture severity may be assumed but has not yet been described. The aim of this study was to show that fracture severity increases with fall height. Furthermore, the correlation between fracture severity and outcome was examined. A total of 971 children with supracondylar humerus fractures between January 2000 and December 2019 were included in this study. The correlations between fall height and fracture severity and between fracture severity and outcome were assessed. Increasing fall height correlates with fracture severity (p < 0.001; r = 0.24). Furthermore, the incidence of complications increases with fracture severity and a correlation was present accordingly (p < 0.001; r = 0.28). A total of 30 (3.1%) patients showed limitations in range of motion and/or persistent neurologic deficits at the latest follow-up. Type I fractures rarely lead to subsequent limitations. The correlation between increasing fall height and fracture severity was significant. Furthermore, children with type III and IV supracondylar fractures are more likely to develop complications or restrictions in movement than children with type I and II fractures. Hence, the initial fall height may be an indirect indicator of a more or less favorable outcome. Full article
(This article belongs to the Section Pediatric Orthopedics & Sports Medicine)
Show Figures

Figure 1

13 pages, 1235 KB  
Systematic Review
The Role of Patient Position in the Surgical Treatment of Supracondylar Fractures of the Humerus: Comparison of Prone and Supine Position
by Marco Sapienza, Gianluca Testa, Andrea Vescio, Flora Maria Chiara Panvini, Alessia Caldaci, Stefania Claudia Parisi, Vito Pavone and Federico Canavese
Medicina 2023, 59(2), 374; https://doi.org/10.3390/medicina59020374 - 15 Feb 2023
Cited by 16 | Viewed by 7847
Abstract
Background and Objectives: Supracondylar fractures of the humerus (SCHF) make up about one-third of pediatric fractures and are the most common elbow fractures in children. Reduction and fixation of SC fractures can be performed with the patient in the prone or supine [...] Read more.
Background and Objectives: Supracondylar fractures of the humerus (SCHF) make up about one-third of pediatric fractures and are the most common elbow fractures in children. Reduction and fixation of SC fractures can be performed with the patient in the prone or supine position. However, the role of the patient’s position during surgery is still unclear. The purpose of this systematic review is to evaluate, based on data from the literature, the role of patient position during closed reduction and fixation of pediatric SCHFs. Materials and Methods: A systematic review of the current literature from 1951 to 2021 was conducted according to PRISMA guidelines. Articles were identified from 6 public databases. Articles were screened and abstracted by two investigators and the quality of included publications (n = 14) was assessed (MINORS criteria). Statistical analyses were performed using R studio 4.1.2. Results: The systematic literature review identified 114 articles, from which, according to inclusion and exclusion criteria, 14 studies were identified. A total of 741 children were treated in the prone position and 538 in the supine position. The results of the systematic review showed that there were no statistical differences between the two positions with regard to clinical, radiographic, and complication outcomes. Conclusions:: The functional and radiographic outcome of displaced SCHFs is generally excellent regardless of the position, prone or supine, in which the patient is positioned for surgery. The choice of how to position the patient depends on the habit and experience of the surgeon and anesthesiologist performing the surgery. Full article
(This article belongs to the Special Issue Advanced Trauma Operative Management (ATOM) in Children)
Show Figures

Figure 1

8 pages, 1285 KB  
Article
Social Disparities in Outpatient and Inpatient Management of Pediatric Supracondylar Humerus Fractures
by Jacob M. Modest, Peter G. Brodeur, Kang W. Kim, Edward J. Testa, Joseph A. Gil and Aristides I. Cruz
J. Clin. Med. 2022, 11(15), 4573; https://doi.org/10.3390/jcm11154573 - 5 Aug 2022
Cited by 7 | Viewed by 1809
Abstract
Socioeconomic status, race, and insurance status are known factors affecting adult orthopaedic surgery care, but little is known about the influence of socioeconomic factors on pediatric orthopaedic care. The purpose of this study was to determine if demographic and socioeconomic related factors were [...] Read more.
Socioeconomic status, race, and insurance status are known factors affecting adult orthopaedic surgery care, but little is known about the influence of socioeconomic factors on pediatric orthopaedic care. The purpose of this study was to determine if demographic and socioeconomic related factors were associated with surgical management of pediatric supracondylar humerus fractures (SCHFs) in the inpatient versus outpatient setting. Pediatric patients (<13 years) who underwent surgery for SCHFs were identified in the New York Statewide Planning and Research Cooperative System database from 2009–2017. Inpatient and outpatient claims were identified by International Classification of Diseases-9-Clinical Modification (CM) and ICD-10-CM SCHF diagnosis codes. Claims were then filtered by ICD-9-CM, ICD-10-Procedural Classification System, or Current Procedural Terminology codes to isolate SCHF patients who underwent surgical intervention. Multivariable logistic regression analysis was performed to determine the effect of patient factors on the likelihood of having inpatient management versus outpatient management. A total of 7079 patients were included in the analysis with 4595 (64.9%) receiving inpatient treatment and 2484 (35.1%) receiving outpatient treatment. The logistic regression showed Hispanic (OR: 2.386, p < 0.0001), Asian (OR: 2.159, p < 0.0001) and African American (OR: 2.095, p < 0.0001) patients to have increased odds of inpatient treatment relative to White patients. Injury diagnosis on a weekend had increased odds of inpatient management (OR: 1.863, p = 0.0002). Higher social deprivation was also associated with increased odds of inpatient treatment (OR: 1.004, p < 0.0001). There are disparities among race and socioeconomic status in the surgical setting of SCHF management. Physicians and facilities should be aware of these disparities to optimize patient experience and to allow for equal access to care. Full article
(This article belongs to the Section Orthopedics)
Show Figures

Figure 1

12 pages, 242 KB  
Review
Pediatric Supracondylar Humerus Fractures: Should We Avoid Surgery during After-Hours?
by Sietse E. S. Terpstra, Paul T. P. W. Burgers, Huub J. L. van der Heide and Pieter Bas de Witte
Children 2022, 9(2), 189; https://doi.org/10.3390/children9020189 - 2 Feb 2022
Cited by 13 | Viewed by 3772
Abstract
Pediatric supracondylar humerus fractures occur frequently. Often, the decision has to be made whether to operate immediately, e.g., during after-hours, or to postpone until office hours. However, the effect of timing of surgery on radiological and clinical outcomes is unclear. This literature review [...] Read more.
Pediatric supracondylar humerus fractures occur frequently. Often, the decision has to be made whether to operate immediately, e.g., during after-hours, or to postpone until office hours. However, the effect of timing of surgery on radiological and clinical outcomes is unclear. This literature review with the PICO methodology found six relevant articles that compared the results of office-hours and after-hours surgery for pediatric supracondylar humerus fractures. The surgical outcomes of both groups in these studies were assessed. One of the articles found a significantly higher “poor fixation rate” in the after-hours group, compared with office hours. Another article found more malunions in the “night” subgroup vs. the “all groups but night” group. A third article found a higher risk of postoperative paresthesia in the “late night” subgroup vs. the “day” group. Lastly, one article reported increased consultant attendance and decreased operative time when postponing to office hours more often. No differences were reported for functional outcomes in any of the articles. Consequently, no strong risks or benefits from surgical treatment during office hours vs. after-hours were found. It appears safe to postpone surgery to office hours if circumstances are not optimal for acute surgery, and if there is no medical contraindication. However, research with a higher level-of-evidence is needed make more definite recommendations. Full article
(This article belongs to the Special Issue Pediatric Fractures)
11 pages, 3632 KB  
Article
Diagnosis and Treatment for Pediatric Supracondylar Humerus Fractures with Brachial Artery Injuries
by Tu Ngoc Vu, Son Hong Duy Phung, Long Hoang Vo and Uoc Huu Nguyen
Children 2021, 8(10), 933; https://doi.org/10.3390/children8100933 - 18 Oct 2021
Cited by 12 | Viewed by 5540
Abstract
(1) Background: This study aims to describe the clinical and paraclinical characteristics of and the diagnostic approach to brachial artery injuries in pediatric supracondylar humerus fractures, as well as to evaluate intraoperative vascular anatomical lesions and early postoperative results. (2) Methods: A retrospective, [...] Read more.
(1) Background: This study aims to describe the clinical and paraclinical characteristics of and the diagnostic approach to brachial artery injuries in pediatric supracondylar humerus fractures, as well as to evaluate intraoperative vascular anatomical lesions and early postoperative results. (2) Methods: A retrospective, hospital-based analysis of medical records at Viet Duc University Hospital (Vietnam), using a sample of children under 16 years who met the diagnostic criteria for supracondylar humerus fractures with brachial artery injuries between January 2016 and December 2020, was performed. A total of 50 patients were included in the analysis. (3) Results: Out of 50 pediatric patients, 36 patients were male (72%) and the mean age was 5.85 years (range, 1.5–14 years). Before treatment, there were 46 patients with severely displaced fractures which were classified as Gartland type III (92%). Following casting, the percentage of those with severely displaced fractures was reduced significantly to 12%, while there were no patients with Gartland type III fractures after percutaneous pinning. Doppler sonography failed to assess vascular lesions at the fracture site before and after casting in most patients. Two-thirds of surgical cases had only vasospasm, without physical damage to the vessel wall or intravascular thrombosis. Preoperative Doppler spectrum analysis was not consistent with the severity of intraoperative brachial artery injury. Out of 24 patients with vasospasm, we performed vascular blockade using papaverin in 11 cases and intraoperative balloon angioplasty of the brachial artery using the Fogarty catheter in 13 cases. Brachial artery graft was performed with 12 patients who had anatomical damage to the vascular wall. A complication of embolism occurred in one patient immediately after surgery, and two patients had superficial infections. One month following surgery, 2 out of 36 patients had a temporary loss of sensation in the area of incision. (4) Conclusions: Most pediatric patients did not present with symptoms of critical limb ischemia similar to those associated with lower extremity vascular injuries. The diagnosis and treatment of pediatric supracondylar humerus fractures with vascular injury is difficult and time-consuming, especially in cases of transverse fractures. Full article
(This article belongs to the Special Issue Pediatric Fractures)
Show Figures

Figure 1

9 pages, 4633 KB  
Article
Biomechanical Analysis of Sagittal Plane Pin Placement Configurations for Pediatric Supracondylar Humerus Fractures
by Witit Pothong, Phichayut Phinyo, Yuddhasert Sirirungruangsarn, Kriengkrai Nabudda, Nattamon Wongba, Chatchawarl Sarntipiphat and Dumnoensun Pruksakorn
Appl. Sci. 2021, 11(8), 3447; https://doi.org/10.3390/app11083447 - 12 Apr 2021
Cited by 4 | Viewed by 4460
Abstract
Anterior to posterior (AP) pinning is the recommended sagittal pin configuration in divergent lateral entry coronal pinning of pediatrics supracondylar fractures. However, there was still a lack of evidence regarding alternative sagittal pins configurations. We aimed to compare the construct stiffness of alternative [...] Read more.
Anterior to posterior (AP) pinning is the recommended sagittal pin configuration in divergent lateral entry coronal pinning of pediatrics supracondylar fractures. However, there was still a lack of evidence regarding alternative sagittal pins configurations. We aimed to compare the construct stiffness of alternative sagittal pin configurations by using synthetic bone models. Sixty synthetic pediatric humeri were osteotomized to create a supracondylar fracture. After the fracture reduction, all specimens were fixed in the coronal plane with divergent lateral entry pin configurations in four different patterns in the sagittal plane: AP, crossed, divergent and parallel sagittal pin configuration. Each configuration was tested with five loading patterns. The AP sagittal pin had significantly lower construct stiffness than the divergent (p = 0.003) and the parallel sagittal pin configuration (p = 0.005) in external rotation loading tests. The divergent sagittal pin had the highest construct stiffness in extension, valgus, and external rotation loads, but the parallel sagittal pin had lower construct stiffness under extension load than the divergent and crossed sagittal pin configurations. The divergent sagittal pin configuration provides greater construct stiffness than other sagittal pin configurations due to the maximal pin spreading distance at the fracture site and the pin angle lock mechanism. Full article
Show Figures

Figure 1

6 pages, 613 KB  
Article
The Relationship between the Dominant Hand and the Occurrence of the Supracondylar Humerus Fracture in Pediatric Orthopedics
by Alexandru Herdea, Alexandru Ulici, Alexandra Toma, Bogdan Voicu and Adham Charkaoui
Children 2021, 8(1), 51; https://doi.org/10.3390/children8010051 - 15 Jan 2021
Cited by 10 | Viewed by 4096
Abstract
It is known that during a fall, a child would rather protect their dominant hand by using the non-dominant one, although the role of handedness in upper limb fractures has not been studied in-depth. We carried out a retrospective, cross-sectional cohort study, including [...] Read more.
It is known that during a fall, a child would rather protect their dominant hand by using the non-dominant one, although the role of handedness in upper limb fractures has not been studied in-depth. We carried out a retrospective, cross-sectional cohort study, including pediatric patients who presented to the emergency room with a supracondylar humerus fracture following an injury by falling from the same height. In total, 245 patients were selected and grouped according to age. In the 1–3 years group, no statistical significance was found between hand dominance and the side of fracture (p = 0.7315). During preschool years (4–6 years old), the non-dominant hand is more often involved (p = 0.03, odds ratio: 3.5). In the 7–14 years group this trend was maintained and actually increased (p = 0.052, odds ratio: 3.8). We might conclude that children tend to protect their dominant hand by falling on their non-dominant one. The main objective of this study is to highlight a link between handedness and the side of the body where the hand fracture will be identified in the pediatric population, regarding supracondylar humerus fracture. Full article
(This article belongs to the Special Issue Bone Development and Disease in Infants)
Show Figures

Figure 1

8 pages, 1651 KB  
Article
Is Supine Position Superior to Prone Position in the Surgical Pinning of Supracondylar Humerus Fracture in Children?
by Vito Pavone, Andrea Vescio, Maria Riccioli, Annalisa Culmone, Pierluigi Cosentino, Marco Caponnetto, Sara Dimartino and Gianluca Testa
J. Funct. Morphol. Kinesiol. 2020, 5(3), 57; https://doi.org/10.3390/jfmk5030057 - 31 Jul 2020
Cited by 19 | Viewed by 5272
Abstract
Background: Supracondylar humerus fracture (SCHF) is a frequent injury in pediatric ages. Closed reduction and percutaneous pin fixation is a common treatment of displaced SCHF. Surgery is usually performed in the supine position; otherwise the prone position allows an easier fracture reduction and [...] Read more.
Background: Supracondylar humerus fracture (SCHF) is a frequent injury in pediatric ages. Closed reduction and percutaneous pin fixation is a common treatment of displaced SCHF. Surgery is usually performed in the supine position; otherwise the prone position allows an easier fracture reduction and a safe placement of pins. The aim of study is to compare the clinical and radiographic results of the treatment of displaced SCHF, comparing two different intra-operative positionings. Methods: 59 SCHF affected children were retrospectively divided into supine (Group 1; n = 34) and prone (Group 2; n = 25), according to intraoperative position. All treated subjects were clinically evaluated according to Flynn’s criteria and Mayo Elbow Performance Score, and radiographically, including the measurement of the Baumann angle. Results: Clinically, Group 1, according Flynn’s criteria, had excellent cosmetic outcome in 32 subjects (94.1%). Mean MAYO Score was 96.0 ± 3.8. Group 2, according Flynn’s criteria, had excellent cosmetic outcomes in 23 subjects (92.0%). Mean MAYO Score was 97.8 ± 3.3. Radiographically, mean difference of Baumann’s angle between the injured limb and the normal limb was 5.5° ± 1.0° in Group 1 and 5.1° ± 1.1° in Group 2. Conclusion: Both supine and prone positioning achieved a satisfying outcome with similar results in joint function recovery and complications. Full article
(This article belongs to the Section Functional Anatomy and Musculoskeletal System)
Show Figures

Figure 1

Back to TopTop