Correlation of Fall Height, Fracture Severity and Clinical Outcome in Pediatric Supracondylar Fractures—A Retrospective Analysis with an Observation Period of 20 Years
Abstract
1. Introduction
2. Materials and Methods
Statistical Analysis
3. Results
3.1. Demographic Data
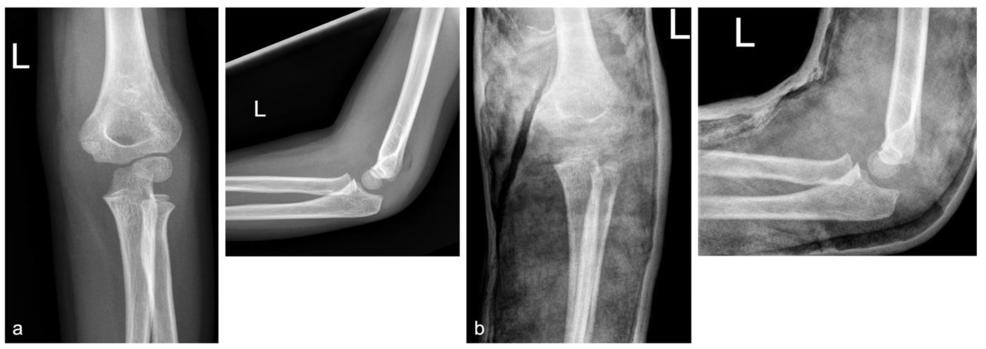
3.2. Correlation of Fall Height and Type of Fracture
3.3. Outcome
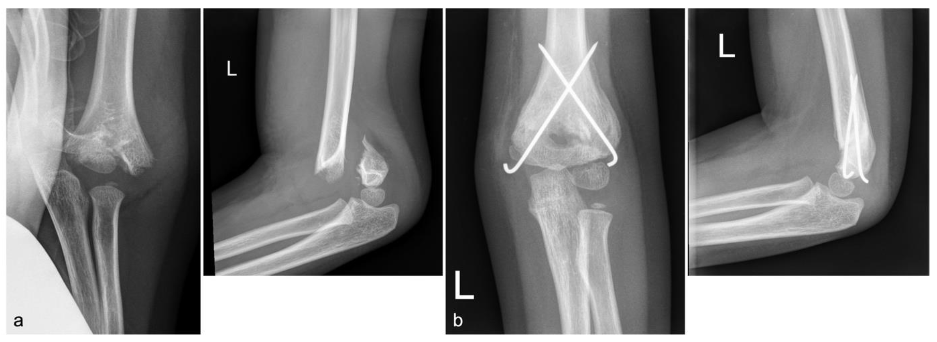
3.3.1. Complications after Treatment
3.3.2. Limitations of Range of Motion (ROM)/Neurological Deficits
3.3.3. Growth Disturbances
3.3.4. Correlation of Type of Fracture and Outcome
4. Discussion
5. Conclusions
Author Contributions
Funding
Institutional Review Board Statement
Informed Consent Statement
Data Availability Statement
Conflicts of Interest
References
- Sananta, P.; Sintong, L.; Prasetio, B.; Putera, M.A.; Andarini, S.; Kalsum, U.; Dradjat, R.S. Elbow Fracture in Children at Saiful Anwar General Hospital, Nine Years Experiences. Open Access Maced. J. Med. Sci. 2019, 7, 4069–4071. [Google Scholar] [CrossRef]
- Aydoğmuş, S.; Duymuş, T.M.; Keçeci, T.; Adiyeke, L.; Kafadar, A.B. Comparison of daytime and after-hours surgical treatment of supracondylar humeral fractures in children. J. Pediatr. Orthop. B 2017, 26, 400–404. [Google Scholar] [CrossRef] [PubMed]
- Okubo, H.; Nakasone, M.; Kinjo, M.; Onaka, K.; Futenma, C.; Kanaya, F. Epidemiology of paediatric elbow fractures: A retrospective multi-centre study of 488 fractures. J. Child. Orthop. 2019, 13, 516–521. [Google Scholar] [CrossRef] [PubMed]
- Anjum, R.; Sharma, V.; Jindal, R.; Singh, T.P.; Rathee, N. Epidemiologic pattern of paediatric supracondylar fractures of humerus in a teaching hospital of rural India: A prospective study of 263 cases. Chin. J. Traumatol. 2017, 20, 158–160. [Google Scholar] [CrossRef] [PubMed]
- Fernandes, J.C.F.; Milan, T.V.; Ribeiro, H.A.M.F.; Stein, H.E.; Ribas, H.C.; Carula, B.C. Distal Humeral Fracture: An Epidemiological Analysis of Orthopedic Patients for Children. Acta Ortop. Bras. 2019, 27, 261–264. [Google Scholar] [CrossRef]
- Cheng, J.C.; Lam, T.P.; Maffulli, N. Epidemiological features of supracondylar fractures of the humerus in Chinese children. J. Pediatr. Orthop. B 2001, 10, 63–67. [Google Scholar]
- LiBrizzi, C.L.; Klyce, W.; Ibaseta, A.; Shannon, C.; Lee, R.J. Sex-based differences in pediatric supracondylar humerus fractures. Medicine 2020, 99, e20267. [Google Scholar] [CrossRef]
- Baig, M. A Review of Epidemiological Distribution of Different Types of Fractures in Paediatric Age. Cureus 2017, 9, e1624. [Google Scholar] [CrossRef]
- Rokaya, P.K.; Karki, D.B.; Rawal, M.; Limbu, D.; Menyangbo, S.; Devkota, H. Pattern of Pediatric Supracondylar Fracture Operated at A Rural Teaching Hospital of Nepal: A Descriptive Cross-sectional Study. J. Nepal Med. Assoc. 2020, 58, 153–157. [Google Scholar] [CrossRef]
- Omid, R.; Choi, P.; Skaggs, D. Supracondylar humeral fractures in children. J. Bone Joint Surg. Am. 2008, 90, 1121–1132. [Google Scholar] [CrossRef]
- Alton, T.B.; Werner, S.E.; Gee, A.O. Classifications In Brief: The Gartland Classification of Supracondylar Humerus Fractures. Clin. Orthop. Relat. Res. 2015, 473, 738–741. [Google Scholar] [CrossRef] [PubMed]
- Weinberg, A.M.; Marzi, I.; Günter, S.M.; Wessel, L.; Riedel, J.; Von Laer, L. Supracondylar humerus fracture in childhood--an efficacy study. Results of a multicenter study by the Pediatric Traumatology Section of the German Society of Trauma Surgery--I: Epidemiology, effectiveness evaluation and classification. Unfallchirurg 2002, 105, 208–216. [Google Scholar] [CrossRef]
- Blount, W.P.; Schulz, I.; Cassidy, R. Fractures of the elbow in children. J. Am. Med. Assoc. 1951, 146, 699–704. [Google Scholar] [CrossRef]
- Cuomo, A.V.; Howard, A.; Hsueh, S.; Boutis, K. Gartland type I supracondylar humerus fractures in children: Is splint immobilization enough? Pediatr. Emerg. Care 2012, 28, 1150–1153. [Google Scholar] [CrossRef]
- Marzi, W.; Lucas, M. Kindertraumatologie; Springer: Berlin/Heidelberg, Germany, 2010; pp. 141–166. [Google Scholar]
- McGraw, J.J.M.U.; Akbarnia, B.A.M.; Hanel, D.P.M.; Keppler, L.M.; Burdge, R.E.M. Neurological Complications Resulting from Supracondylar Fractures of the Humerus in Children. J. Pediatr. Orthop. 1986, 6, 647–650. [Google Scholar] [CrossRef]
- Özcan, M.; Altinoz, O.; Erem, M.; Ciftdemir, M.; Copuroglu, C.; Turan, F.N. Prognosis and risk factors of nerve injuries in displaced pediatric supracondylar humerus fractures. Niger. J. Clin. Pract. 2020, 23, 647–653. [Google Scholar] [PubMed]
- Kumar, V.; Singh, A. Fracture Supracondylar Humerus: A Review. J. Clin. Diagn. Res. 2016, 10, RE01–RE06. [Google Scholar] [CrossRef]
- Shenoy, P.M.; Islam, A.; Puri, R. Current Management of Paediatric Supracondylar Fractures of the Humerus. Cureus 2020, 12, e8137. [Google Scholar] [CrossRef] [PubMed]
- Nunes, M.C.; Posser, T.D.; Israel, C.L.; Spinelli, L.D.F.; Calieron, L.G.; Kim, J.H. Biomechanical Analysis of Two Types of Humerus Supracondylar Fracture Fixation in Anatomical Model. Rev. Bras. Ortop. 2019, 54, 261–267. [Google Scholar]
- Na, Y.; Bai, R.; Zhao, Z.; Han, C.; Kong, L.; Ren, Y.; Liu, W. Comparison of lateral entry with crossed entry pinning for pediatric supracondylar humeral fractures: A meta-analysis. J. Orthop. Surg. Res. 2018, 13, 68. [Google Scholar] [CrossRef]
- Liu, C.; Kamara, A.; Liu, T.; Yan, Y.; Wang, E. Mechanical stability study of three techniques used in the fixation of transverse and oblique metaphyseal-diaphyseal junction fractures of the distal humerus in children: A finite element analysis. J. Orthop. Surg. Res. 2020, 15, 1–8. [Google Scholar] [CrossRef] [PubMed]
- Claireaux, H.; Goodall, R.; Hill, J.; Wilson, E.; Coull, P.; Green, S.; Schuster-Bruce, J.; Lim, D.; Miles, J.; Tarassoli, P. Multicentre collaborative cohort study of the use of Kirschner wires for the management of supracondylar fractures in children. Chin. J. Traumatol. 2019, 22, 249–254. [Google Scholar] [CrossRef] [PubMed]
- Pesenti, S.; Ecalle, A.; Gaubert, L.; Peltier, E.; Choufani, E.; Viehweger, E.; Jouve, J.-L.; Launay, F. Operative management of supracondylar humeral fractures in children: Comparison of five fixation methods. Orthop. Traumatol. Surg. Res. 2017, 103, 771–775. [Google Scholar] [CrossRef] [PubMed]
- Mohammadzadeh, M.A.; Mohammadzadeh, M.; Mohammadzadeh, A.; Herfatkar, R.; Mohammadzadeh, V.; Baghi, I.; Heydari, H.; Najaf, S.; Jalili, M. Arterial damage accompanying supracondylar fractures of the humerus. Trauma Mon. 2012, 16, 160–163. [Google Scholar] [CrossRef]
- Louahem, D.M.; Nebunescu, A.; Canavese, F.; Dimeglio, A. Neurovascular complications and severe displacement in supracondylar humerus fractures in children: Defensive or offensive strategy? J. Pediatr. Orthop. B 2006, 15, 51–57. [Google Scholar] [CrossRef]
- Slongo, T. Technique and biomechanics of Kirschner wire osteosynthesis in children. Oper. Orthop. Traumatol. 2020, 32, 509–529. [Google Scholar] [CrossRef]
- Chukwunyerenwa, C.; Orlik, B.; El-Hawary, R.; Logan, K.; Howard, J.J. Treatment of flexion-type supracondylar fractures in children: The ‘push–pull’ method for closed reduction and percutaneous K-wire fixation. J. Pediatr. Orthop. B 2016, 25, 412–416. [Google Scholar] [CrossRef]
- Barr, L.V. Paediatric supracondylar humeral fractures: Epidemiology, mechanisms and incidence during school holidays. J. Child. Orthop. 2014, 8, 167–170. [Google Scholar] [CrossRef] [PubMed]
- Brubacher, J.W.; Dodds, S.D. Pediatric supracondylar fractures of the distal humerus. Curr. Rev. Musculoskelet. Med. 2008, 1, 190–196. [Google Scholar] [CrossRef]
- Vaquero-Picado, A.; González-Morán, G.; Moraleda, L. Management of supracondylar fractures of the humerus in children. EFORT Open Rev. 2018, 3, 526–540. [Google Scholar] [CrossRef]
- Mitchelson, A.J.; Illingworth, K.D.; Robinson, B.S.; Elnimeiry, K.A.K.; Wilson, C.J.; Markwell, S.J.; Gabriel, K.R.; McGinty, J.; Saleh, K. Patient Demographics and Risk Factors in Pediatric Distal Humeral Supracondylar Fractures. Orthopedics 2013, 36, e700–e706. [Google Scholar] [CrossRef]
- Auso-Perez, J.R.; Rodríguez-Blanes, G.M. Comprehensive Analysis of Pediatric Supracondylar Fractures in the Emergency Department; A Single Center Experience. Bull. Emerg. Trauma 2020, 8, 142–147. [Google Scholar] [CrossRef] [PubMed]
- Farnsworth, C.L.; Silva, P.D.; Mubarak, S.J. Etiology of Supracondylar Humerus Fractures. J. Pediatr. Orthop. 1998, 18, 38–42. [Google Scholar] [CrossRef] [PubMed]
- Holt, J.; Glass, N.; Shah, A.S. Understanding the Epidemiology of Pediatric Supracondylar Humeral Fractures in the United States: Identifying Opportunities for Intervention. J. Pediatr. Orthop. 2018, 38, e245–e251. [Google Scholar] [CrossRef] [PubMed]
- Houshian, S.; Mehdi, B.; Larsen, M. The epidemiology of elbow fracture in children: Analysis of 355 fractures, with special reference to supracondylar humerus fractures. J. Orthop. Sci. 2001, 6, 312–315. [Google Scholar] [CrossRef]
- Copley, L.A.; Dormans, J.; Davidson, R. Vascular injuries and their sequelae in pediatric supracondylar humeral fractures: Toward a goal of prevention. J. Pediatr. Orthop. 1996, 16, 99–103. [Google Scholar] [CrossRef] [PubMed]
- Prabhakar, P.; Ho, C.A. Delaying Surgery in Type III Supracondylar Humerus Fractures Does Not Lead to Longer Surgical Times or More Difficult Reduction. J. Orthop. Trauma 2019, 33, e285–e290. [Google Scholar] [CrossRef] [PubMed]
- Zorrilla, S.; de Neira, J.; Prada-Cañizares, A.; Marti-Ciruelos, R.; Pretell-Mazzini, J. Supracondylar humeral fractures in children: Current concepts for management and prognosis. Int. Orthop. 2015, 39, 2287–2296. [Google Scholar] [CrossRef] [PubMed]
- Sapienza, M.; Testa, G.; Vescio, A.; Panvini, F.M.C.; Caldaci, A.; Parisi, S.C.; Pavone, V.; Canavese, F. The Role of Patient Position in the Surgical Treatment of Supracondylar Fractures of the Humerus: Comparison of Prone and Supine Position. Medicina 2023, 59, 374. [Google Scholar] [CrossRef]



| 2000–2009 | % | 2010–2019 | % | Total | % | |
|---|---|---|---|---|---|---|
| Female | 189 | 19.5 | 259 | 26.7 | 448 | 46.1 |
| Male | 223 | 23.0 | 300 | 30.9 | 523 | 53.9 |
| Total | 412 | 42.4 | 559 | 57.6 | 971 | 100.0 |
| Female | % | Male | % | Total | % | |
|---|---|---|---|---|---|---|
| Type I | 258 | 26.6 | 286 | 29.5 | 544 | 56.0 |
| Type II | 72 | 7.4 | 102 | 10.5 | 174 | 17.9 |
| Type III | 52 | 5.4 | 56 | 5.8 | 108 | 11.1 |
| Type IV | 66 | 6.8 | 79 | 8.1 | 145 | 14.9 |
| Total | 448 | 46.1 | 523 | 53.9 | 971 | 100.0 |
| Conservative | % | Operative | % | Total | % | |
|---|---|---|---|---|---|---|
| Type I | 531 | 54.7 | 13 | 1.3 | 544 | 56.0 |
| Type II | 89 | 9.2 | 85 | 8.8 | 174 | 17.9 |
| Type III | 3 | 0.3 | 105 | 10.8 | 108 | 11.1 |
| Type IV | 0 | 0.0 | 145 | 14.9 | 145 | 14.9 |
| Total | 623 | 64.2 | 348 | 35.8 | 971 | 100.0 |
| Open | % | Closed | % | Total | % | |
|---|---|---|---|---|---|---|
| Type I | 6 | 1.7 | 7 | 2.0 | 13 | 3.7 |
| Type II | 15 | 4.3 | 70 | 20.1 | 85 | 24.4 |
| Type III | 35 | 10.1 | 72 | 20.7 | 105 | 30.2 |
| Type IV | 91 | 26.1 | 54 | 15.5 | 145 | 41.7 |
| Total | 147 | 42.2 | 203 | 58.3 | 348 | 100.0 |
| Fall from Standing Position | % | Fall from <1 m | % | Fall from >1 m | % | Total | % | |
|---|---|---|---|---|---|---|---|---|
| Type I | 330 | 34.0 | 136 | 14.0 | 78 | 8.0 | 544 | 56.0 |
| Type II | 78 | 8.0 | 48 | 4.9 | 48 | 4.9 | 174 | 17.9 |
| Type III | 54 | 5.6 | 22 | 2.3 | 32 | 3.3 | 108 | 11.1 |
| Type IV | 49 | 5.0 | 35 | 3.6 | 61 | 6.3 | 145 | 14.9 |
| Total | 511 | 52.6 | 241 | 24.8 | 219 | 22.6 | 971 | 100.0 |
| Complications after Treatment | Limitation of ROM/ Neurological Deficits | Growth Disturbances | ||||||||||
|---|---|---|---|---|---|---|---|---|---|---|---|---|
| Female | Male | Total | % | Female | Male | Total | % | Female | Male | Total | % | |
| Type I | 1 | 4 | 5 | 9.6 | 3 | 0 | 3 | 10.0 | 1 | 2 | 3 | 33.3 |
| Type II | 6 | 7 | 13 | 25.0 | 4 | 4 | 8 | 26.7 | 0 | 1 | 1 | 11.1 |
| Type III | 5 | 11 | 16 | 30.8 | 3 | 6 | 9 | 30.0 | 0 | 4 | 4 | 44.4 |
| Type IV | 7 | 11 | 18 | 34.6 | 4 | 6 | 10 | 33.3 | 1 | 0 | 1 | 11.1 |
| Total | 19 | 33 | 52 | 100.0 | 14 | 16 | 30 | 100.0 | 2 | 7 | 9 | 100.0 |
| Complications after Treatment | % | Limitation of ROM/Neurological Deficits | % | Growth Disturbances | % | |
|---|---|---|---|---|---|---|
| Type I | 5 | 0.5 | 3 | 0.3 | 3 | 0.3 |
| Type II | 13 | 1.3 | 8 | 0.8 | 1 | 0.1 |
| Type III | 16 | 1.6 | 9 | 0.9 | 4 | 0.4 |
| Type IV | 18 | 1.9 | 10 | 1.0 | 1 | 0.1 |
| Total | 52 | 5.4 | 30 | 3.1 | 9 | 0.9 |
Disclaimer/Publisher’s Note: The statements, opinions and data contained in all publications are solely those of the individual author(s) and contributor(s) and not of MDPI and/or the editor(s). MDPI and/or the editor(s) disclaim responsibility for any injury to people or property resulting from any ideas, methods, instructions or products referred to in the content. |
© 2023 by the authors. Licensee MDPI, Basel, Switzerland. This article is an open access article distributed under the terms and conditions of the Creative Commons Attribution (CC BY) license (https://creativecommons.org/licenses/by/4.0/).
Share and Cite
Schuller, A.; Hahn, S.; Pichler, L.; Hohensteiner, A.; Sator, T.; Jaindl, M.; Schwendenwein, E.; Tiefenboeck, T.; Payr, S. Correlation of Fall Height, Fracture Severity and Clinical Outcome in Pediatric Supracondylar Fractures—A Retrospective Analysis with an Observation Period of 20 Years. Children 2023, 10, 510. https://doi.org/10.3390/children10030510
Schuller A, Hahn S, Pichler L, Hohensteiner A, Sator T, Jaindl M, Schwendenwein E, Tiefenboeck T, Payr S. Correlation of Fall Height, Fracture Severity and Clinical Outcome in Pediatric Supracondylar Fractures—A Retrospective Analysis with an Observation Period of 20 Years. Children. 2023; 10(3):510. https://doi.org/10.3390/children10030510
Chicago/Turabian StyleSchuller, Andrea, Sebastian Hahn, Lorenz Pichler, Anna Hohensteiner, Thomas Sator, Manuela Jaindl, Elisabeth Schwendenwein, Thomas Tiefenboeck, and Stephan Payr. 2023. "Correlation of Fall Height, Fracture Severity and Clinical Outcome in Pediatric Supracondylar Fractures—A Retrospective Analysis with an Observation Period of 20 Years" Children 10, no. 3: 510. https://doi.org/10.3390/children10030510
APA StyleSchuller, A., Hahn, S., Pichler, L., Hohensteiner, A., Sator, T., Jaindl, M., Schwendenwein, E., Tiefenboeck, T., & Payr, S. (2023). Correlation of Fall Height, Fracture Severity and Clinical Outcome in Pediatric Supracondylar Fractures—A Retrospective Analysis with an Observation Period of 20 Years. Children, 10(3), 510. https://doi.org/10.3390/children10030510

