Complications and Outcomes of Surgically Treated Pediatric Supracondylar Humerus Fractures
Abstract
1. Introduction
2. Materials and Methods
2.1. Inclusion/Exclusion of Patients
2.2. Data Acquisition
2.3. Classifications
2.4. Surgery and Postoperative Standard Protocol
2.5. Data Analysis
3. Results
3.1. Demographic Data
3.2. Treatment Methods and Approaches
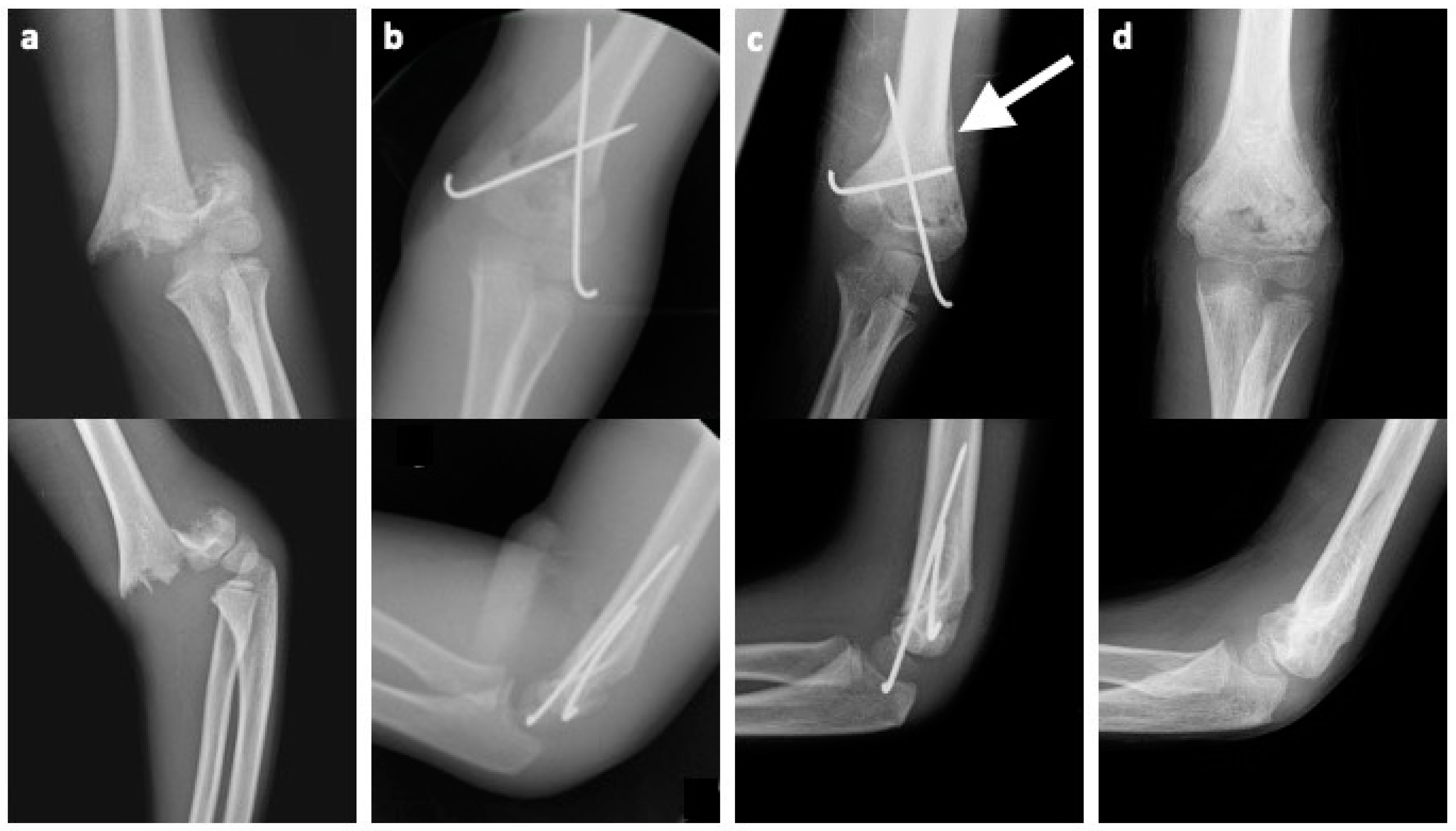
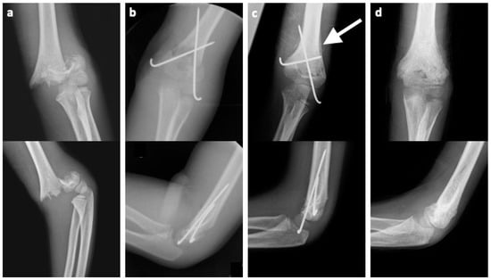
3.3. Postoperative Complications According to Sink et al.’s Classification
3.4. Outcome According to Modified Flynn Criteria
4. Discussion
Limitations
5. Conclusions
Author Contributions
Funding
Institutional Review Board Statement
Informed Consent Statement
Data Availability Statement
Conflicts of Interest
References
- Nunes, M.C.; Posser, T.D.; Israel, C.L.; Spinelli, L.F.; Calieron, L.G.; Kim, J.H. Biomechanical Analysis of Two Types of Humerus Supracondylar Fracture Fixation in Anatomical Model. Rev. Bras. Ortop. 2019, 54, 261–267. [Google Scholar]
- Sananta, P.; Sintong, L.; Prasetio, B.; Putera, M.A.; Andarini, S.; Kalsum, U.; Dradjat, R.S. Elbow Fracture in Children at Saiful Anwar General Hospital, Nine Years Experiences. Open Access Maced. J. Med. Sci. 2019, 7, 4069–4071. [Google Scholar] [CrossRef] [PubMed]
- LiBrizzi, C.L.; Klyce, W.; Ibaseta, A.; Shannon, C.; Lee, R.J. Sex-based differences in pediatric supracondylar humerus fractures. Medicine 2020, 99, e20267. [Google Scholar] [CrossRef] [PubMed]
- Schuller, A.; Hahn, S.; Pichler, L.; Hohensteiner, A.; Sator, T.; Jaindl, M.; Schwendenwein, E.; Tiefenboeck, T.; Payr, S. Correlation of Fall Height, Fracture Severity and Clinical Outcome in Pediatric Supracondylar Fractures-A Retrospective Analysis with an Observation Period of 20 Years. Children 2023, 10, 510. [Google Scholar] [CrossRef] [PubMed]
- Heitz, P.H.; Gravel, J.; Jourdain, N.; Hupin, M.; Nault, M.-L. Are outdoor playgrounds the real culprit for elbow fractures in children? A lesson learned from COVID-19 sanitary measures. Can. J. Surg. 2023, 66, E282–E288. [Google Scholar] [CrossRef] [PubMed]
- Rubinstein, M.; Hirway, P.; Zonfrillo, M.R. Identifying Risk Factors for Elbow Injury in Children Presenting to the Emergency Department with Distal Forearm Fractures. Pediatr. Emerg. Care 2021, 37, 352–356. [Google Scholar] [CrossRef] [PubMed]
- Kumar, V.; Singh, A. Fracture Supracondylar Humerus: A Review. J. Clin. Diagn. Res. 2016, 10, e1–e6. [Google Scholar] [CrossRef] [PubMed]
- Waldeyer, A.; Anderhuber, F.; Pera, F.; Streicher, J. Waldeyer—Anatomie des Menschen: Lehrbuch und Atlas in Einem Band; De Gruyter: Berlin, Germany, 2012; pp. 95–101. [Google Scholar]
- Schünke, M.; Schulte, E.; Schumacher, U. Prometheus Lernatlas der Anatomie: Allgemeine Anatomie und Bewegungssystem; Thieme: New York, NY, USA, 2018; pp. 16–18. [Google Scholar]
- Alton, T.B.; Werner, S.E.; Gee, A.O. Classifications in brief: The Gartland classification of supracondylar humerus fractures. Clin. Orthop. Relat. Res. 2015, 473, 738–741. [Google Scholar] [CrossRef] [PubMed]
- Weinberg, A.-M.; Frei, B.; Holweg, P. Suprakondyläre Humerusfraktur im Kindesalter. Der Unfallchirurg 2020, 123, 309–325. [Google Scholar] [CrossRef]
- Pesenti, S.; Ecalle, A.; Gaubert, L.; Peltier, E.; Choufani, E.; Viehweger, E.; Jouve, J.L.; Launay, F. Operative management of supracondylar humeral fractures in children: Comparison of five fixation methods. Orthop. Traumatol. Surg. Res. 2017, 103, 771–775. [Google Scholar] [CrossRef] [PubMed]
- Claireaux, H.; Goodall, R.; Hill, J.; Wilson, E.; Coull, P.; Green, S.; Schuster-Bruce, J.; Lim, D.; Miles, J.; Tarassoli, P. Multicentre collaborative cohort study of the use of Kirschner wires for the management of supracondylar fractures in children. Chin. J. Traumatol. 2019, 22, 249–254. [Google Scholar] [CrossRef] [PubMed]
- Patriota, G.; Assunção Filho, C.A.; Assunção, C.A. What is the best fixation technique for the treatment of supracondylar humerus fractures in children? Rev. Bras. Ortop. 2017, 52, 428–434. [Google Scholar] [CrossRef] [PubMed]
- Liu, C.; Kamara, A.; Liu, T.; Yan, Y.; Wang, E. Mechanical stability study of three techniques used in the fixation of transverse and oblique metaphyseal-diaphyseal junction fractures of the distal humerus in children: A finite element analysis. J. Orthop. Surg. Res. 2020, 15, 34. [Google Scholar] [CrossRef] [PubMed]
- Omid, R.; Choi, P.D.; Skaggs, D.L. Supracondylar humeral fractures in children. J. Bone Jt. Surg. Am. 2008, 90, 1121–1132. [Google Scholar] [CrossRef] [PubMed]
- Bahk, M.S.; Srikumaran, U.; Ain, M.C.; Erkula, G.; Leet, A.I.; Sargent, M.C.; Sponseller, P.D. Patterns of pediatric supracondylar humerus fractures. J. Pediatr. Orthop. 2008, 28, 493–499. [Google Scholar] [CrossRef] [PubMed]
- Iorio, C.; Crostelli, M.; Mazza, O.; Rota, P.; Polito, V.; Perugia, D. Conservative versus surgical treatment of Gartland type 2 supracondylar humeral fractures: What can help us choosing? J. Orthop. 2019, 16, 31–35. [Google Scholar] [CrossRef]
- Poggiali, P.; Nogueira, F.C.S.; Nogueira, M.P.M. Management of Supracondylar Humeral Fracture in Children. Rev. Bras. Ortop. 2022, 57, 23–32. [Google Scholar]
- Skaggs, D.L.; Flynn, J. Rockwood & Wilkins’ Fractures in Children; Supracondylar Fractures of the Distal Humerus; Wolters Kluwer: Philadelphia, PA, USA, 2010; pp. 754–844. [Google Scholar]
- Wingfield, J.J.; Ho, C.A.; Abzug, J.M.; Ritzman, T.F.; Brighton, B.K. Open Reduction Techniques for Supracondylar Humerus Fractures in Children. J. Am. Acad. Orthop. Surg. 2015, 23, e72–e80. [Google Scholar] [CrossRef] [PubMed]
- Shenoy, P.M.; Islam, A.; Puri, R. Current Management of Paediatric Supracondylar Fractures of the Humerus. Cureus 2020, 12, e8137. [Google Scholar] [CrossRef]
- British Orthopaedic Association. Available online: https://www.boa.ac.uk/static/a240155a-f0dd-4be7-8c8af7b6cc4da795/BOASTSupracondylarFracturesHumerusChildren2020-v2-FINAL.pdf (accessed on 22 June 2024).
- Abbott, M.D.; Buchler, L.; Loder, R.T.; Caltoum, C.B. Gartland type III supracondylar humerus fractures: Outcome and complications as related to operative timing and pin configuration. J. Child. Orthop. 2014, 8, 473–477. [Google Scholar] [CrossRef] [PubMed]
- Dormans, J.P.; Squillante, R.; Sharf, H. Acute neurovascular complications with supracondylar humerus fractures in children. J. Hand Surg. Am. 1995, 20, 1–4. [Google Scholar] [CrossRef] [PubMed]
- Uludağ, A.; Tosun, H.B.; Aslan, T.T.; Uludağ, Ö.; Gunay, A. Comparison of Three Different Approaches in Pediatric Gartland Type 3 Supracondylar Humerus Fractures treated with Cross-Pinning. Cureus 2020, 12, e8780. [Google Scholar] [CrossRef] [PubMed]
- Yaokreh, J.B.; Gicquel, P.; Schneider, L.; Stanchina, C.; Karger, C.; Saliba, E.; Ossenou, O.; Clavert, J.M. Compared outcomes after percutaneous pinning versus open reduction in pediatric supracondylar elbow fractures. Orthop. Traumatol. Surg. Res. 2012, 98, 645–651. [Google Scholar] [CrossRef] [PubMed]
- Trung, D.T.; Van, N.L.; Huu, V.N.; Nguyen, C.D.; Ngoc, H.N.; Nga, V.T.; Dinh, T.C. Closed Reduction and Percutaneous Pinning for Supracondylar Fractures of Humerus in Vietnamese Children. Open Access Maced. J. Med. Sci. 2019, 7, 4194–4198. [Google Scholar] [CrossRef] [PubMed]
- Ramachandran, M.; Birch, R.; Eastwood, D.M. Clinical outcome of nerve injuries associated with supracondylar fractures of the humerus in children: The experience of a specialist referral centre. J. Bone Jt. Surg. Br. 2006, 88, 90–94. [Google Scholar] [CrossRef] [PubMed]
- Ducić, S.; Bumbasirević, M.; Radlović, V.; Nikić, P.; Bukumirić, Z.; Brdar, R.; Radojicić, Z.; Bukva, B.; Abramović, D.; Ducić, T.J. Displaced supracondylar humeral fractures in children: Comparison of three treatment approaches. Srp. Arh. Celok. Lek. 2016, 144, 46–51. [Google Scholar] [CrossRef] [PubMed]
- Rijal, K.P.; Pandey, B.K. Supracondylar extension type III fracture of the humerus in children: Percutaneous cross-pinning. Kathmandu Univ. Med. J. 2006, 4, 465–469. [Google Scholar]
- Fleuriau-Chateau, P.; McIntyre, W.; Letts, M. An analysis of open reduction of irreducible supracondylar fractures of the humerus in children. Can. J. Surg. 1998, 41, 112–118. [Google Scholar] [PubMed]
- Furrer, M.; Mark, G.; Rüedi, T. Management of displaced supracondylar fractures of the humerus in children. Injury 1991, 22, 259–262. [Google Scholar] [CrossRef] [PubMed]
- Eren, A.; Güven, M.; Erol, B.; Cakar, M. Delayed surgical treatment of supracondylar humerus fractures in children using a medial approach. J. Child. Orthop. 2008, 2, 21–27. [Google Scholar] [CrossRef] [PubMed]
- Karagoz, B.; Kibar, B.; Oto, O.; Malkoc, F.E. Comparision of lateral, medial, and posterior approaches in the surgical treatment of pediatric supracondylar humerus fractures. North. Clin. Istanb. 2023, 10, 255–262. [Google Scholar] [CrossRef] [PubMed]
- Ersan, O.; Gonen, E.; İlhan, R.D.; Boysan, E.; Ates, Y. Comparison of anterior and lateral approaches in the treatment of extension-type supracondylar humerus fractures in children. J. Pediatr. Orthop. B 2012, 21, 121–126. [Google Scholar] [CrossRef] [PubMed]
- Xie, L.W.; Wang, J.; Deng, Z.Q. Treatment of pediatric supracondylar humerus fractures accompanied with pink pulseless hands. BMC Musculoskelet. Disord. 2021, 22, 26. [Google Scholar] [CrossRef] [PubMed]
- Griffin, K.J.; Walsh, S.R.; Markar, S.; Tang, T.Y.; Boyle, J.R.; Hayes, P.D. The pink pulseless hand: A review of the literature regarding management of vascular complications of supracondylar humeral fractures in children. Eur. J. Vasc. Endovasc. Surg. 2008, 36, 697–702. [Google Scholar] [CrossRef] [PubMed]
- Louahem, D.M.; Nebunescu, A.; Canavese, F.; Dimeglio, A. Neurovascular complications and severe displacement in supracondylar humerus fractures in children: Defensive or offensive strategy? J. Pediatr. Orthop. B 2006, 15, 51–57. [Google Scholar] [CrossRef] [PubMed]
- Bombaci, H.; Gereli, A.; Küçükyazici, O.; Görgeç, M.; Deniz, G. The effect of surgical exposure on the clinic outcomes of supracondylar humerus fractures in children. Ulus. Travma Acil Cerrahi Derg. 2007, 13, 49–54. [Google Scholar] [PubMed]
- Aktekin, C.N.; Toprak, A.; Ozturk, A.M.; Altay, M.; Ozkurt, B.; Tabak, A.Y. Open reduction via posterior triceps sparing approach in comparison with closed treatment of posteromedial displaced Gartland type III supracondylar humerus fractures. J. Pediatr. Orthop. B 2008, 17, 171–178. [Google Scholar] [CrossRef] [PubMed]
- Yavuz, İ.A.; Özdemir, G.; Akgül, T.; Yılmaz, B.; Çiçekli, Ö.; Yazar, E.A. Comparison of 4 surgical approaches in pediatric Gartland type 3 supracondylar humerus fractures treated by open reduction and pinning: A multicenter study. Acta Orthop. Traumatol. Turc. 2023, 57, 50–54. [Google Scholar] [CrossRef] [PubMed]
- Parsch, K. Praxis der Kinder- und Jugendtraumatologie; Dietz, H.G., Illing, P., Schmittenbecher, P.P., Slongo, T., Sommerfeldt, D.W., Eds.; Springer: Berlin/Heidelberg, Germany, 2011; pp. 277–317. [Google Scholar]
- Sink, E.L.; Leunig, M.; Zaltz, I.; Gilbert, J.C.; Clohisy, J. Reliability of a complication classification system for orthopaedic surgery. Clin. Orthop. Relat. Res. 2012, 470, 2220–2226. [Google Scholar] [CrossRef] [PubMed]
- Musa, M.; Singh, S.; Wani, M.; Rawa, S.; Mir, B.; Halwai, M.; Malik, M.; Muzaffar, N.; Akhter, N. Displaced Supracondylar Humeral Fractures in Children-Treatment Outcomes Following Closed Reduction and Percutaneous Pinning. Internet J. Orthop. Surg. 2017, 17, 1. [Google Scholar]
- Abousaleh, M.A.; Zeidan, A.A.; Mukhtar, I.; Keshta, A.S.; Aladraj, T.H.; Shaaban, O.A.; Keshta, M.S.; Alqasim, R. Comparative Effectiveness of Closed Reduction with percutaneous Pinning and Open Reduction with Internal Fixation in the Operative Management of Pediatric Type III Supracondylar Fractures. Cureus 2022, 14, e22707. [Google Scholar] [CrossRef] [PubMed]
- Körner, D.; Laux, F.; Stöckle, U.; Gonser, C. Factors influencing the complication rate in pediatric supracondylar humerus fractures. Orthop. Rev. 2019, 11, 7949. [Google Scholar] [CrossRef] [PubMed]
- McGraw, J.J.; Akbarnia, B.A.; Hanel, D.P.; Keppler, L.; Burdge, R.E. Neurological complications resulting from supracondylar fractures of the humerus in children. J. Pediatr. Orthop. 1986, 6, 647–650. [Google Scholar] [CrossRef] [PubMed]
- Rupp, M.; Schafer, C.; Heiss, C.; Alt, V. Pinning of supracondylar fractures in children—Strategies to avoid complications. Injury 2019, 50, 2–9. [Google Scholar] [CrossRef] [PubMed]
- Kzlay, Y.O.; Aktekin, C.N.; Özsoy, M.H.; Akşahin, E.; Sakaoğullar, A.; Pepe, M.; Kocadal, O. Gartland Type 3 Supracondylar Humeral Fractures in Children: Which Open Reduction Approach Should Be Used after Failed Closed Reduction? J. Orthop. Trauma 2017, 31, e18–e23. [Google Scholar] [CrossRef] [PubMed]
- Eren, A.; Ozkut, A.T.; Altintaş, F.; Güven, M. Comparison between the lateral and medial approaches in terms of functional and cosmetic results in the surgical treatment of type III supracondylar humeral fractures in children. Acta Orthop. Traumatol. Turc. 2005, 39, 199–204. [Google Scholar] [PubMed]
- Na, Y.; Bai, R.; Zhao, Z.; Han, C.; Kong, L.; Ren, Y.; Liu, W. Comparison of lateral entry with crossed entry pinning for pediatric supracondylar humeral fractures: A meta-analysis. J. Orthop. Surg. Res. 2018, 13, 68. [Google Scholar] [CrossRef]
- Ay, S.; Akinci, M.; Kamiloglu, S.; Ercetin, O. Open reduction of displaced pediatric supracondylar humeral fractures through the anterior cubital approach. J. Pediatr. Orthop. 2005, 25, 149–153. [Google Scholar] [CrossRef]
- Sahin, E.; Zehir, S.; Sipahioglu, S. Comparison of medial and posterior surgical approaches in pediatric supracondylar humerus fractures. Niger. J. Clin. Pract. 2017, 20, 1106–1111. [Google Scholar] [CrossRef] [PubMed]
- Kumar, R.; Malhotra, R. Medial approach for operative treatment of the widely displaced supracondylar fractures of the humerus in children. J. Orthop. Surg. 2000, 8, 13–18. [Google Scholar] [CrossRef] [PubMed]
- Waikhom, S.; Mukherjee, S.; Ibomcha, I.; Digendra, A.; Sohkhlet, H.R. Delayed Open Reduction and K-Wire Fixation of Widely Displaced Supracondylar Fractures of Humerus in Children using Medial Approach. J. Clin. Diagn. Res. 2016, 10, 6–10. [Google Scholar] [CrossRef] [PubMed]
- Reitman, R.D.; Waters, P.; Millis, M. Open reduction and internal fixation for supracondylar humerus fractures in children. J. Pediatr. Orthop. 2001, 21, 157–161. [Google Scholar] [CrossRef] [PubMed]
- Tomori, Y.; Nanno, M.; Takai, S. Clinical results of closed versus mini-open reduction with percutaneous pinning for supracondylar fractures of the humerus in children: A retrospective case-control study. Medicine 2018, 97, e13162. [Google Scholar] [CrossRef] [PubMed]
- Weiland, A.J.; Meyer, S.; Tolo, V.T.; Berg, H.L.; Mueller, J. Surgical treatment of displaced supracondylar fractures of the humerus in children. Analysis of fifty-two cases followed for five to fifteen years. J. Bone Jt. Surg. Am. 1978, 60, 657–661. [Google Scholar] [CrossRef]
- Xing, B.; Dong, B.; Che, X. Medial-lateral versus lateral-only pinning fixation in children with displaced supracondylar humeral fractures: A meta-analysis of randomized controlled trials. J. Orthop. Surg. Res. 2023, 18, 43. [Google Scholar] [CrossRef] [PubMed]

| (a) | ||||||||
|---|---|---|---|---|---|---|---|---|
| Method | Total | Von Laer Fracture Type | ||||||
| (n = 364) | % | II (n = 90) | % | III (n = 118) | % | IV (n = 156) | % | |
| CRPP | 218 | 59.9 | 73 | 81.1 | 83 | 70.3 | 62 | 39.7 |
| OR | 146 | 40.1 | 17 | 18.9 | 35 | 29.7 | 94 | 60.3 |
| (b) | ||||||||
| Open Reduction | Von Laer Fracture Type | |||||||
| Total n = 146/364 (40.1%) | % | II n = 17/90 (18.9%) | % | III n = 35/118 (29.7%) | % | IV n = 94/156 (60.3%) | % | |
| Medial | 85 | 58.2 | 8 | 47.1 | 24 | 68.6 | 53 | 56.4 |
| Lateral | 8 | 5.5 | 3 | 17.6 | 2 | 5.7 | 3 | 3.2 |
| Bilateral | 53 | 36.3 | 6 | 35.3 | 9 | 25.7 | 38 | 40.4 |
| Total | Von Laer Fracture Type | ||||||||
|---|---|---|---|---|---|---|---|---|---|
| n = 364 | % | II n = 90 | % | III n = 118 | % | IV n = 156 | % | ||
| I | 33 | 9 | 5 | 5.6 | 9 | 7.6 | 19 | 12.2 | |
| II | 7 | 1.9 | - | - | 3 | 2.5 | 4 | 2.6 | |
| Complication | III | 10 | 2.8 | 2 | 2.2 | 5 | 4.2 | 3 | 1.9 |
| Grade | IV | - | - | - | - | - | - | - | - |
| V | - | - | - | - | - | - | - | - | |
| Total | 50 | 13.7 | 7 | 7.8 | 17 | 14.4 | 26 | 16.7 | |
| Complication | No | 187 | 85.8 | 67 | 91.8 | 69 | 83.1 | 51 | 82.3 |
| CRPP | Yes | 31 | 14.7 | 6 | 8.2 | 14 | 16.9 | 11 | 17.1 |
| Total | 218 | 100 | 73 | 100 | 83 | 100 | 62 | 100 | |
| Complication | No | 127 | 86.8 | 16 | 94.1 | 32 | 91.4 | 79 | 84 |
| OR | Yes | 19 | 13 | 1 | 5.9 | 3 | 8.6 | 15 | 16 |
| Total | 146 | 100 | 17 | 100 | 35 | 100 | 94 | 100 | |
| Complication | No | 314 | 86.3 | 83 | 92.2 | 101 | 85.6 | 130 | 83.3 |
| Total | Yes | 50 | 13.7 | 7 | 7.8 | 17 | 14.4 | 26 | 16.7 |
| Total | 364 | 100 | 90 | 100 | 118 | 100 | 156 | 100 | |
| (a) | |||||||||
|---|---|---|---|---|---|---|---|---|---|
| Total | Von Laer Fracture Type | ||||||||
| Approach | Complication | n = 17/364 (4.7%) | % | II n = 17/90 (2.2%) | % | III n = 8/118 (6.8%) | % | IV n = 7/156 (4.5%) | % |
| CRPP | No | 205 | 94 | 72 | 98.9 | 76 | 91.6 | 57 | 91.9 |
| Yes | 13 | 6 | 1 | 1.1 | 7 | 8.4 | 5 | 8.1 | |
| OR | No | 142 | 97.3 | 16 | 94.1 | 34 | 97.1 | 92 | 97.9 |
| Yes | 4 | 2.7 | 1 | 5.9 | 1 | 2.9 | 2 | 2.1 | |
| (b) | |||||||||
| Total | Von Laer Fracture Type | ||||||||
| Approach | Complication | n = 4/146 (2.7%) | % | II n = 1/17 (5.9%) | % | III n = 1/35 (2.9%) | % | IV n = 3/94 (3.2%) | % |
| Medial | No | 82 | 96.5 | 7 | 87.5 | 23 | 95.8 | 52 | 98.1 |
| Yes | 3 | 3.5 | 1 | 12.5 | 1 | 4.2 | 1 | 1.9 | |
| Lateral | No | 7 | 87.5 | 3 | 100 | 2 | 100 | 2 | 66.7 |
| Yes | 1 | 12.5 | - | - | - | - | 1 | 33.3 | |
| Bilateral | No | 53 | 100 | 6 | 100 | 9 | 100 | 38 | 100 |
| Total | Von Laer Fracture Type | ||||||||
|---|---|---|---|---|---|---|---|---|---|
| Outcome | n = 364 | % | II n = 90 | % | III n = 118 | % | IV n = 156 | % | |
| Excellent | 348 | 95.6 | 85 | 94.4 | 111 | 94.1 | 152 | 97.4 | |
| Satisfactory | Good | 9 | 2.5 | 4 | 4.4 | 3 | 2.5 | 2 | 1.3 |
| Fair | 2 | 0.5 | - | - | 2 | 1.7 | - | - | |
| Unsatisfactory | Poor | 5 | 1.4 | 1 | 1.1 | 2 | 1.7 | 2 | 1.3 |
| CRPP | Open Reduction | ||||||||||
|---|---|---|---|---|---|---|---|---|---|---|---|
| n | % | Medial n | % | Lateral n | % | Bilateral n | % | Total n | % | ||
| Total | 73 | 100 | 8 | 100 | 3 | 100 | 6 | 100 | 17 | 100 | |
| Excellent | 69 | 94.5 | 8 | 100 | 2 | 66.7 | 6 | 100 | 16 | 94.1 | |
| II | Good | 3 | 4.1 | - | - | 1 | 33.3 | - | - | 1 | 5.1 |
| Fair | - | - | - | - | - | - | - | - | - | - | |
| Poor | 1 | 1.4 | - | - | - | - | - | - | - | - | |
| Total | 83 | 100 | 24 | 100 | 2 | 100 | 9 | 100 | 35 | 100 | |
| Excellent | 79 | 95.2 | 21 | 87.5 | 2 | 200 | 9 | 100 | 32 | 91.4 | |
| III | Good | 1 | 1.2 | 2 | 8.3 | - | - | - | - | 2 | 5.7 |
| Fair | 1 | 1.2 | 1 | 4.2 | - | - | - | - | 1 | 2.9 | |
| Poor | 2 | 2.4 | - | - | - | - | - | - | - | - | |
| Total | 62 | 100 | 53 | 100 | 3 | 100 | 38 | 100 | 94 | 100 | |
| Excellent | 61 | 98.4 | 53 | 100 | 3 | 100 | 35 | 92.1 | 91 | 96.8 | |
| IV | Good | - | - | - | - | - | - | 2 | 3.5 | 2 | 2.2 |
| Fair | - | - | - | - | - | - | - | - | - | - | |
| Poor | 1 | 1.6 | - | - | - | - | 1 | 2.6 | 1 | 1.1 | |
Disclaimer/Publisher’s Note: The statements, opinions and data contained in all publications are solely those of the individual author(s) and contributor(s) and not of MDPI and/or the editor(s). MDPI and/or the editor(s) disclaim responsibility for any injury to people or property resulting from any ideas, methods, instructions or products referred to in the content. |
© 2024 by the authors. Licensee MDPI, Basel, Switzerland. This article is an open access article distributed under the terms and conditions of the Creative Commons Attribution (CC BY) license (https://creativecommons.org/licenses/by/4.0/).
Share and Cite
Hahn, S.G.; Schuller, A.; Pichler, L.; Hohensteiner, A.; Sator, T.; Bamer, O.; Chocholka, B.; Jaindl, M.; Schwendenwein, E.; Parajuli, B.; et al. Complications and Outcomes of Surgically Treated Pediatric Supracondylar Humerus Fractures. Children 2024, 11, 791. https://doi.org/10.3390/children11070791
Hahn SG, Schuller A, Pichler L, Hohensteiner A, Sator T, Bamer O, Chocholka B, Jaindl M, Schwendenwein E, Parajuli B, et al. Complications and Outcomes of Surgically Treated Pediatric Supracondylar Humerus Fractures. Children. 2024; 11(7):791. https://doi.org/10.3390/children11070791
Chicago/Turabian StyleHahn, Sebastian G., Andrea Schuller, Lorenz Pichler, Anna Hohensteiner, Thomas Sator, Oskar Bamer, Britta Chocholka, Manuela Jaindl, Elisabeth Schwendenwein, Bikash Parajuli, and et al. 2024. "Complications and Outcomes of Surgically Treated Pediatric Supracondylar Humerus Fractures" Children 11, no. 7: 791. https://doi.org/10.3390/children11070791
APA StyleHahn, S. G., Schuller, A., Pichler, L., Hohensteiner, A., Sator, T., Bamer, O., Chocholka, B., Jaindl, M., Schwendenwein, E., Parajuli, B., Rapole, S., Tiefenboeck, T., & Payr, S. (2024). Complications and Outcomes of Surgically Treated Pediatric Supracondylar Humerus Fractures. Children, 11(7), 791. https://doi.org/10.3390/children11070791

