Sign in to use this feature.

Years

Between: -

Subjects

remove_circle_outline
remove_circle_outline
remove_circle_outline

Journals

Article Types

Countries / Regions

Search Results (16)

Search Parameters:
Keywords = patella fractures

Order results
Result details
Results per page
Select all
Export citation of selected articles as:
19 pages, 2467 KB  
Systematic Review
Reconstruction of the Extensor Apparatus After Total Patellectomy in Orthopedic Oncology: A Systematic Literature Review
by Edoardo Ipponi, Fabrizia Gentili, Fabio Cosseddu, Antonio D’Arienzo, Paolo Domenico Parchi and Lorenzo Andreani
J. Clin. Med. 2025, 14(14), 4818; https://doi.org/10.3390/jcm14144818 - 8 Jul 2025
Viewed by 1993
Abstract
Background: Patellar resection is recommended in cases of massive cortical bone disruption or malignancies. Modern literature lacks a consensus surgical reconstruction after total patellectomy. Our study reviews the surgical techniques described in the literature and summarizes the reported functional outcomes and complication [...] Read more.
Background: Patellar resection is recommended in cases of massive cortical bone disruption or malignancies. Modern literature lacks a consensus surgical reconstruction after total patellectomy. Our study reviews the surgical techniques described in the literature and summarizes the reported functional outcomes and complication rates. Materials: We systematically reviewed the existing literature, searching the PubMed, Embase, and Scopus databases for articles published between 1950 and 2024. We recorded age, diagnosis, tumor size, Lodwick classification, soft tissue involvement, and pre-operative fractures for each case or case series. We also recorded the reconstructive approaches. Complications, local recurrences, MSTS scores, and knee range of motion (ROM) were considered when reported. Results: Twenty-eight articles met our inclusion criteria. Among these, 4 were case series and 24 were case reports. A total of 47 cases treated with total patellectomy were reviewed. Reconstruction was performed with direct suture in 8 cases, while 17 had local augments, including allograft (10 cases), muscle flaps or transportations (4), autologous bone (1), or a composite (2). Reconstruction was not mentioned in 22 cases. ROM was reported for 17 cases, and the MSTS score was reported for 9 cases. Conclusions: In cases of relatively small tissue defects, a direct suture of the extensor apparatus can allow adequate functional recovery. In cases of larger gaps, surgeons should use muscle flaps, transfers, or soft tissue augments. Massive bone and tendon allografts should mainly be considered in cases where the neoplasm was not confined to the patella but extensively involved the patellar ligament or the quadriceps tendon. Full article
(This article belongs to the Special Issue Diagnosis and Treatment for Bone Tumor)
Show Figures

Figure 1

10 pages, 1370 KB  
Article
Biomechanical Comparison of the New-Generation Implant Designed for the Fixation of Patella Fractures with the Tension Band Method
by Ahmet Ülker, Ahmet Burak Satılmış, Zafer Uzunay, Tolgahan Cengiz, Abdurrahim Temiz, Mustafa Yaşar, Tansel Mutlu and Uygar Daşar
Medicina 2025, 61(6), 952; https://doi.org/10.3390/medicina61060952 - 22 May 2025
Viewed by 1359
Abstract
Background and Objectives: This study compares the biomechanical performance of a new-generation implant designed for patella fracture fixation with the traditional tension band method. Its goal is to assess fracture fixation’s stability and the new implant’s potential advantages in reducing complications such [...] Read more.
Background and Objectives: This study compares the biomechanical performance of a new-generation implant designed for patella fracture fixation with the traditional tension band method. Its goal is to assess fracture fixation’s stability and the new implant’s potential advantages in reducing complications such as skin irritation, pain, and implant failure. Materials and Methods: In this experimental study, 20 calf patellae were divided into two groups. The first group was treated with the traditional tension band method, while the second group received the new-generation implant, designed using finite element analysis (FEA) for optimization. Both groups underwent biomechanical testing with axial forces at a 45° flexion angle to simulate real-life load conditions. The maximum forces at which mechanical insufficiency occurred were recorded. Data were analyzed using SPSS for statistical comparison. Results: Finite element analysis revealed that the new-generation implant provided better fracture line stability than the tension band method under applied forces. In the biomechanical tests, the maximum force at which mechanical insufficiency occurred was significantly higher in the new-generation implant group (1130 ± 222 N) compared to the tension band method group (680.5 ± 185.4 N), with a statistically significant difference (p = 0.008). The new implant demonstrated superior fixation, with better resistance to distraction forces. Conclusions: The new-generation implant offers enhanced biomechanical stability compared to the traditional tension band method, particularly regarding fixation strength under applied forces. This study supports the potential of the new implant to improve fixation stability and reduce common complications associated with patella fracture surgeries. Further testing in more extensive human cadaver studies is recommended to confirm these findings and assess long-term clinical outcomes. Full article
Show Figures

Figure 1

11 pages, 1444 KB  
Article
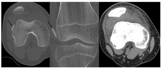
Mapping of Patellar Fracture Patterns: A Multicenter Study of 237 Patients
by Julia Elisabeth Lenz, Amadeus Dominik Schraag, Luis Plank, Christian von Rüden, Volker Alt and Johannes Weber
J. Clin. Med. 2025, 14(4), 1335; https://doi.org/10.3390/jcm14041335 - 17 Feb 2025
Cited by 2 | Viewed by 1911
Abstract
Background/Objectives: Patellar fractures are rare but clinically significant due to their impact on knee function. These injuries vary from simple transverse to complex comminuted patterns. Computed tomography (CT) offers superior visualization compared to radiographs, enabling accurate classification and surgical planning. This study utilized [...] Read more.
Background/Objectives: Patellar fractures are rare but clinically significant due to their impact on knee function. These injuries vary from simple transverse to complex comminuted patterns. Computed tomography (CT) offers superior visualization compared to radiographs, enabling accurate classification and surgical planning. This study utilized CT-based fracture mapping to analyze fracture patterns and evaluate the impact of age, trauma-center level, and AO/OTA classification. Methods: This retrospective study included 237 patients diagnosed with patellar fractures who underwent CT imaging. Fractures were classified using the AO/OTA system, and fracture mapping was performed by overlaying fracture lines onto a standardized template. Statistical analysis assessed correlations between patient demographics, trauma-center level, and fracture patterns. Results: The cohort comprised 107 males and 130 females with a mean age of 56.9 ± 20.9 years. Males were significantly younger than females (49.2 vs. 63.3 years, p < 0.001). Fractures were evenly distributed between the right (46%) and left (54%) patellae. Type C fractures were the most common (54.4%), followed by Type B (29.9%) and Type A (15.6%). Trauma-center level was inversely associated with fracture severity (p < 0.001), with complex fractures more common at lower-level centers. Age was positively correlated with fracture severity (p = 0.001). Fracture mapping revealed the central patella as the most frequently affected region, with transverse fractures extending medially and laterally, sparing the upper and lower poles. Conclusions: CT imaging enhances the classification and mapping of patellar fractures, highlighting the central patella as the primary site of injury. Fracture severity correlates with age and trauma-center level. These findings support CT-based mapping as a valuable tool for improving surgical planning and treatment outcomes. Full article
(This article belongs to the Special Issue Clinical Therapeutic Advances in Bone Fractures)
Show Figures

Figure 1

13 pages, 3031 KB  
Review
Patellar Sleeve Fracture: An Update of Literature
by Giacomo Papotto, Flora Maria Chiara Panvini, Konrad Schütze, Carlos Pankrats, Francesco Costanzo, Giovanni Carlo Salvo, Rocco Ortuso, Saverio Comitini, Antonio Kory, Gianfranco Longo and Marco Ganci
Surgeries 2024, 5(3), 835-847; https://doi.org/10.3390/surgeries5030067 - 9 Sep 2024
Cited by 3 | Viewed by 8705
Abstract
Patellar sleeve fractures, though relatively rare, present unique challenges in diagnosis and management. This review aims to provide a comprehensive overview of the current understanding of patellar sleeve fractures, focusing on their epidemiology, clinical presentation, imaging, and management strategies. Epidemiologically, these fractures are [...] Read more.
Patellar sleeve fractures, though relatively rare, present unique challenges in diagnosis and management. This review aims to provide a comprehensive overview of the current understanding of patellar sleeve fractures, focusing on their epidemiology, clinical presentation, imaging, and management strategies. Epidemiologically, these fractures are uncommon, representing approximately 1% of all fractures in pediatric patients, yet they account for 50% of all patella fractures in this population. They predominantly affect adolescents, with a peak incidence around 12.7 years of age, and are more common in boys, occurring at a ratio of 3 to 5:1. Understanding these demographic patterns is crucial for early recognition and appropriate management. Clinically, patellar sleeve fractures typically present with the sudden onset of severe pain, often associated with explosive activities such as jumping. However, diagnosis can be challenging, particularly in cases with minimal displacement or where alternative muscle groups compensate for the injury. Differential diagnosis is essential, and clinicians should be vigilant for signs such as palpable gaps at the lower pole of the patella and patella alta. Imaging modalities play a vital role in diagnosis, with plain X-rays often revealing no bony damage. Ultrasonography may offer a cost-effective alternative, especially in cases where radiographic findings are inconclusive. Advanced imaging techniques such as MRI can assist in characterizing the extent of the injury and assessing for associated complications. Management strategies encompass a spectrum of approaches, ranging from conservative measures such as immobilization and physical therapy to surgical interventions, including open reduction and internal fixation or arthroscopic surgery. The choice of treatment depends on various factors, including the fracture pattern, displacement, patient age, activity level, and associated injuries. Despite advancements in diagnosis and treatment, the optimal management of patellar sleeve fractures remains a clinical challenge. Further research is warranted to elucidate optimal algorithms for diagnosis and treatment, with the ultimate goal of improving outcomes and reducing the risk of long-term complications associated with this rare but clinically significant knee injury. Full article
Show Figures

Figure 1

10 pages, 1792 KB  
Case Report
Reconstruction of the Quadriceps Extensor Mechanism with a Calcaneal Tendon–Bone Allograft in a Dog with a Resorbed Tibial Tuberosity Fracture
by Hyunho Kim, Haebeom Lee, Daniel D. Lewis, Jaemin Jeong, Gyumin Kim and Youngjin Jeon
Animals 2024, 14(16), 2315; https://doi.org/10.3390/ani14162315 - 9 Aug 2024
Cited by 2 | Viewed by 3460
Abstract
A non-reducible tibial tuberosity fracture is a rare complication of tibial tuberosity transposition performed during correcting of medial patella luxation (MPL) in dogs. This condition severely disrupts the quadriceps extensor mechanism, leading to significant pelvic limb lameness. An 11-year-old, 1.8 kg spayed female [...] Read more.
A non-reducible tibial tuberosity fracture is a rare complication of tibial tuberosity transposition performed during correcting of medial patella luxation (MPL) in dogs. This condition severely disrupts the quadriceps extensor mechanism, leading to significant pelvic limb lameness. An 11-year-old, 1.8 kg spayed female Yorkshire Terrier sustained a comminuted left tibial tuberosity fracture during surgical correction of an MPL. Six months after surgery, the dog was markedly lame and unable to extend the left stifle. Radiographs revealed patella alta and resorption of the fragmented tibial tuberosity. A composite frozen allogeneic calcaneal tendon–bone block was utilized to reconstruct the tibial tuberosity and reattach the patellar ligament. Initial postoperative radiographs confirmed restoration of a normal patellar ligament to patella length ratio (1.42). Both the allogeneic bone used for tibial tuberosity reconstruction and the tendon used to reattach the patellar ligament were successfully integrated. The dog regained satisfactory limb function without recurrence of patella luxation, as reported by the owners 29 months postoperatively. The use of a calcaneal tendon–bone allograft effectively restored the functional integrity of the quadriceps extensor mechanism, providing a viable option for addressing quadriceps insufficiency resulting from the loss of the osseous tibial insertion. Full article
(This article belongs to the Special Issue Small Animal Orthopedic Surgery, Physical Therapy and Rehabilitation)
Show Figures

Figure 1

10 pages, 3779 KB  
Brief Report
Modified Tension Band Wiring Using Only Non-Absorbable Braided Polyblend Sutures for the Treatment of Patellar Fractures
by Annalisa Itro, Annalisa De Cicco, Gianluca Conza, Luca Schiavo, Niccolò Garofalo, Adriano Braile, Francesco Nappi and Giuseppe Toro
Surg. Tech. Dev. 2024, 13(2), 227-236; https://doi.org/10.3390/std13020015 - 13 Jun 2024
Viewed by 3111
Abstract
Patellar fractures represent approximately 1% of all fractures and the pattern is influenced by the quality of the bone and the energy of the trauma. Transverse fractures are associated with extensor mechanism failure and interruption of joint congruence. Patellar fractures are generally fixed [...] Read more.
Patellar fractures represent approximately 1% of all fractures and the pattern is influenced by the quality of the bone and the energy of the trauma. Transverse fractures are associated with extensor mechanism failure and interruption of joint congruence. Patellar fractures are generally fixed using tension band principles, through K-wires and metal cerclage. The tension band was conceived to transform the considerable tensile force applied to the patella into a compressive one to obtain a stable fixation. The use of metal implants might be associated with a significant discomfort, mostly related to the irritating action of K-wires and cerclage on the surrounding soft tissues, often leading to the need for implant removal. Therefore, we introduced an original technique for fix patellar fractures by using only a non-adsorbable braided polyblend suture. Postoperative care included progressive range of motion recovery using an articulated knee brace and a specific protocol. The suture-only tension band technique seems to be a useful technique in terms of complications and reoperation rate while allowing secure and early mobilization. Full article
Show Figures

Figure 1

11 pages, 1881 KB  
Article
Serial Change in Patellar Height after Tension Band Wiring of Patellar Fractures
by Jin-Ho Cho, Kyung Rae Ko, Seung Jun Park and Sung-Sahn Lee
Medicina 2024, 60(5), 789; https://doi.org/10.3390/medicina60050789 - 9 May 2024
Cited by 2 | Viewed by 2477
Abstract
Background and Objectives: Patella baja is a common complication after operative treatment for patellar fracture. This study aimed to investigate (1) the serial changes in patellar height and (2) the potential predictive factors for patellar height changes after tension band wiring (TBW) for [...] Read more.
Background and Objectives: Patella baja is a common complication after operative treatment for patellar fracture. This study aimed to investigate (1) the serial changes in patellar height and (2) the potential predictive factors for patellar height changes after tension band wiring (TBW) for patellar fractures. Materials and Methods: Forty-one patients who underwent TBW for patellar fracture between March 2019 and September 2022 were enrolled. To identify serial changes in patellar height, modified Blackburne–Peel index (mBPI) was assessed at just after surgery, at 3 months, at 6 months, at 1 year and at the final follow-up. Multiple regression analysis was conducted to identify factors correlated with mBPI difference between the contralateral side (considered as preoperative status) and injured side. Results: The postoperative mBPI exhibited a decline over time (mean mBPI immediately post operation/3 months/6 months/1 year/final follow-up: 0.69/0.63/0.63/0.62/0.61) Specifically, mBPI showed a significant reduction immediately post operation to 3 months (p < 0.001), although comparisons at other time points did not reveal significant differences. A lower position of the fracture was associated with a decrease in patellar height after surgery. Conclusions: Patellar height was mainly decreased from immediately post operation to 3 months. A fracture in a lower position of associated with decreased patellar height after the TBW of the transverse patellar fracture. Full article
(This article belongs to the Special Issue Advances in Orthopedics and Sports Medicine)
Show Figures

Figure 1

12 pages, 1750 KB  
Review
Evolution in the Management of Patella Fractures
by Mahak Baid, Sid Narula, Jonathan R. Manara and William Blakeney
J. Clin. Med. 2024, 13(5), 1426; https://doi.org/10.3390/jcm13051426 - 29 Feb 2024
Cited by 15 | Viewed by 11645
Abstract
Patella fractures usually occur as a result of direct trauma to the anterior knee joint, indirect injury as a result of eccentric muscle contraction, or rapid knee flexion against a contracted quadriceps muscle. The patella functions as part of the extensor mechanism of [...] Read more.
Patella fractures usually occur as a result of direct trauma to the anterior knee joint, indirect injury as a result of eccentric muscle contraction, or rapid knee flexion against a contracted quadriceps muscle. The patella functions as part of the extensor mechanism of the knee, where large forces are transmitted, and its subcutaneous nature has made treatment of patella fractures a challenge. In this review article, we evaluate how the management of these fractures has evolved over time and the advantages associated with the various treatment techniques. There are few comparative studies looking at the different treatment types for fractures of the patella, with the goal of achieving a functional extensor mechanism with low rates of post-traumatic arthritis and metal-work irritation. Full article
(This article belongs to the Special Issue Orthopaedic Trauma Surgery: Diagnosis, Treatment and Outcome)
Show Figures

Figure 1

14 pages, 535 KB  
Article
The Influence of Hyponatremia and Hypokalemia on the Risk of Fractures in Various Anatomical Regions among Adult Trauma Patients: A Propensity Score-Matched Analysis
by Shiun-Yuan Hsu, Cheng-Shyuan Rau, Ching-Hua Tsai, Sheng-En Chou, Wei-Ti Su and Ching-Hua Hsieh
Diagnostics 2024, 14(4), 355; https://doi.org/10.3390/diagnostics14040355 - 6 Feb 2024
Cited by 1 | Viewed by 2882
Abstract
Background: Hyponatremia and hypokalemia are common electrolyte imbalances in trauma patients and have been identified to be risk factors for a fall. In addition, hyponatremia was reported to be related to osteoporosis and fragility fractures, while the association between hypokalemia and osteoporosis has [...] Read more.
Background: Hyponatremia and hypokalemia are common electrolyte imbalances in trauma patients and have been identified to be risk factors for a fall. In addition, hyponatremia was reported to be related to osteoporosis and fragility fractures, while the association between hypokalemia and osteoporosis has only been reported in rare case reports. This study investigated the impact of hyponatremia and hypokalemia on the incidence of fractures in various body regions of adult trauma patients, using the propensity score-matched patient cohort to reduce the influence of patients’ baseline characteristics. Methods: The study analyzed data from 11,173 hospitalized adult trauma patients treated from 1 January 1998, to 31 December 2022. The study included 1968 patients with hyponatremia and 9205 without, and 1986 with hypokalemia and 9187 without. Different 1:1 propensity score-matched cohorts were generated to create the 1903 pairings of patients with or without hyponatremia, 1977 pairings of patients with or without hypokalemia, and 380 pairing of patients with both hyponatremia and hypokalemia vs. normal control patients. Analysis was conducted on the incidence of fracture in various anatomic regions. Results: Hyponatremic patients had increased odds of thoracic vertebral fracture [odds ratio (95% confidence interval) 1.63 (1.10–2.42), p = 0.014], pelvic fracture [2.29 (1.12–4.67), p = 0.019], and femoral fracture [1.28 (1.13–1.45), p < 0.001] but decreased odds of radial and patella fractures. Hypokalemic patients showed no significant differences in fracture risk except for a decreased likelihood of radial fractures. The patients with both hyponatremia and hypokalemia showed a decreased likelihood of radial fractures and patella fractures. Conclusion: Hyponatremia may have a greater impact on the occurrence of bone fractures than hypokalemia in trauma patients who have suffered a fall. Electrolyte abnormalities should be taken into account while assessing the risk of fractures in trauma patients. Full article
(This article belongs to the Section Clinical Laboratory Medicine)
Show Figures

Figure 1

15 pages, 11089 KB  
Case Report
Management of Juvenile Osteochondral Fractures Utilising Absorbable PLGA Implants
by Hermann Nudelman, Aba Lőrincz, Anna Gabriella Lamberti, Marcell Varga, Tamás Kassai and Gergő Józsa
J. Clin. Med. 2024, 13(2), 375; https://doi.org/10.3390/jcm13020375 - 10 Jan 2024
Cited by 3 | Viewed by 2704
Abstract
The incidence of articular injury, particularly osteochondral fractures (OCFs), has seen a cinnotable increase in recent years. Regardless of their location, fragments can be overlooked by plain radiographs, which might lead to osteoarthritis in the long run. Diagnostic imaging has a pivotal role [...] Read more.
The incidence of articular injury, particularly osteochondral fractures (OCFs), has seen a cinnotable increase in recent years. Regardless of their location, fragments can be overlooked by plain radiographs, which might lead to osteoarthritis in the long run. Diagnostic imaging has a pivotal role in the assessment and classification of the fracture severity, as well as the presence of any associated dislocations. These fractures require surgical intervention for the restoration of joint function and the reduction of long-term complications. This paper aims to present the surgical correction and post-operative treatment of osteochondral fractures with absorbable implants in four children. The following affected areas are discussed: lateral condyle of the femur, patella and radial head. Utilising absorbable implants for the management of OCFs provides numerous advantages, including the elimination of the need for re-anaesthesia and reoperation, reduction of complications and facilitation of early rehabilitation. This approach also minimises the period of hospitalisation and proves effective in pediatric OCF treatment. Full article
(This article belongs to the Section Clinical Pediatrics)
Show Figures

Figure 1

12 pages, 2737 KB  
Perspective
Framing Patellar Instability: From Diagnosis to the Treatment of the First Episode
by Davide Maria Maggioni, Riccardo Giorgino, Carmelo Messina, Domenico Albano, Giuseppe Michele Peretti and Laura Mangiavini
J. Pers. Med. 2023, 13(8), 1225; https://doi.org/10.3390/jpm13081225 - 2 Aug 2023
Cited by 3 | Viewed by 3748
Abstract
The patellofemoral joint (PFJ) is a complex articulation between the patella and the femur which is involved in the extensor mechanism of the knee. Patellofemoral disorders can be classified into objective patellar instability, potential patellar instability, and patellofemoral pain syndrome. Anatomical factors such [...] Read more.
The patellofemoral joint (PFJ) is a complex articulation between the patella and the femur which is involved in the extensor mechanism of the knee. Patellofemoral disorders can be classified into objective patellar instability, potential patellar instability, and patellofemoral pain syndrome. Anatomical factors such as trochlear dysplasia, patella alta, and the tibial tuberosity–trochlear groove (TT-TG) distance contribute to instability. Patellofemoral instability can result in various types of dislocations, and the frequency of dislocation can be categorized as recurrent, habitual, or permanent. Primary patellar dislocation requires diagnostic framing, including physical examination and imaging. Magnetic resonance imaging (MRI) is essential for assessing the extent of damage, such as bone bruises, osteochondral fractures, and medial patellofemoral ligament (MPFL) rupture. Treatment options for primary dislocation include urgent surgery for osteochondral fragments or conservative treatment for cases without lesions. Follow-up after treatment involves imaging screening and assessing principal and secondary factors of instability. Detecting and addressing these factors is crucial for preventing recurrent dislocations and optimizing patient outcomes. Full article
(This article belongs to the Special Issue Personalized Medicine for Orthopaedic Disorders)
Show Figures

Figure 1

11 pages, 4349 KB  
Case Report
Reconstruction of High-Grade Trochlea Dysplasia in a Young Female with Recurrent Patella Dislocation: A Case Report
by Chih-Hsuan Wu, Kuo-Yao Hsu, You-Hung Cheng, Cheng-Pang Yang, Huan Sheu, Shih-Sheng Chang, Chao-Yu Chen and Chih-Hao Chiu
Medicina 2023, 59(5), 986; https://doi.org/10.3390/medicina59050986 - 19 May 2023
Viewed by 5983
Abstract
The patellofemoral joint involves a combination of bony structures and soft tissues to maintain stability. Patella instability is a disabling condition, and the cause is multifactorial. The main risk factors include patella alta, trochlea dysplasia, excessive tibial tuberosity to trochlea grove (TT–TG) distance, [...] Read more.
The patellofemoral joint involves a combination of bony structures and soft tissues to maintain stability. Patella instability is a disabling condition, and the cause is multifactorial. The main risk factors include patella alta, trochlea dysplasia, excessive tibial tuberosity to trochlea grove (TT–TG) distance, and excessive lateral patella tilt. In this case report, we highlight the thinking process of diagnosis and method for selecting the optimal treatment in accordance with the guidelines by Dejour et al. when we are presented with a patient with patella instability. A 20-year-old Asian woman without underlying medical conditions, presented with recurrent (>3 episodes) right patella dislocation for 7 years. Investigations revealed a type D trochlea dysplasia, increased TT–TG distance, and excessive lateral tilt angle. She underwent trochlea sulcus deepening, sulcus lateralization and lateral facet elevation, lateral retinacular release, and medial quadriceps tendon–femoral ligament (MQTFL) reconstruction. Due to the complexity behind the anatomy and biomechanics of patella instability, an easy-to-follow treatment algorithm is essential for the treating surgeon to provide effective and efficient treatment. MQTFL reconstruction is recommended for recurrent patella dislocation due to satisfactory clinical and patient reported outcomes and a reduced risk of iatrogenic patella fracture. Controversies for surgical indication in lateral retinacular release, and whether the sulcus angle is an accurate parameter for diagnosis of trochlea dysplasia, remain, and further research is required. Full article
(This article belongs to the Section Surgery)
Show Figures

Figure 1

9 pages, 1470 KB  
Article
The Design of the Patellar Component Does Not Affect the Patient-Reported Outcome Measures in Primary Posterior-Stabilized Total Knee Arthroplasty: A Randomized Prospective Study
by Oog-Jin Shon and Gi Beom Kim
J. Clin. Med. 2022, 11(5), 1363; https://doi.org/10.3390/jcm11051363 - 2 Mar 2022
Cited by 6 | Viewed by 2470
Abstract
This randomized comparative study was conducted to investigate the outcomes of patellar resurfacing with a medialized dome or an anatomical type in patients receiving primary unilateral posterior-stabilized TKA. Between March 2019 and January 2021, 98 knees were randomly assigned to receive patellar resurfacing [...] Read more.
This randomized comparative study was conducted to investigate the outcomes of patellar resurfacing with a medialized dome or an anatomical type in patients receiving primary unilateral posterior-stabilized TKA. Between March 2019 and January 2021, 98 knees were randomly assigned to receive patellar resurfacing by a medialized dome type (group D, 49 knees) or an anatomic type (group A, 49 knees). The primary outcome was the Knee Injury and Osteoarthritis Outcome Score. The secondary outcomes were the Western Ontario and McMaster Universities Osteoarthritis Index, Feller’s patella score, the Kujala anterior knee pain score, knee joint range of motion (ROM), and postoperative complications, including periprosthetic patellar fracture, patellar tilt angle, and lateral patellar shift. Patient-reported outcomes were not significantly different between the two groups. The ROM of the knee joint was significantly better in group A at six months after surgery (p = 0.021). No complications such as patellar fractures were observed. The anatomic type of patellar component showed a significant improvement of the patellar tilt angle after surgery compared with the medialized dome type of component. However, there were no significant differences in patient-reported clinical outcomes between the two groups during the follow-up period of 12 months. Full article
(This article belongs to the Special Issue Recent Advances in Arthroplasty - Part II)
Show Figures

Figure 1

8 pages, 2053 KB  
Article
Application of Three-Dimensional Computed Tomography Improved the Interrater Reliability of the AO/OTA Classification Decision in a Patellar Fracture
by Seong-Eun Byun, Oog-Jin Shon, Jae-Ang Sim, Yong-Bum Joo, Ji-Wan Kim, Young-Gon Na and Wonchul Choi
J. Clin. Med. 2021, 10(15), 3256; https://doi.org/10.3390/jcm10153256 - 23 Jul 2021
Cited by 7 | Viewed by 3207
Abstract
We investigated whether interrater reliabilities of the AO/OTA classification of patellar fracture change with the imaging modalities applied, including plain radiography and two- and three-dimensional (2-D and 3-D) computed tomography (CT). Seven orthopedic specialists and four orthopedic residents completed a survey of 50 [...] Read more.
We investigated whether interrater reliabilities of the AO/OTA classification of patellar fracture change with the imaging modalities applied, including plain radiography and two- and three-dimensional (2-D and 3-D) computed tomography (CT). Seven orthopedic specialists and four orthopedic residents completed a survey of 50 patellar fractures to classify the fractures according to the AO/OTA classification for patellar fractures. Initially, the survey was conducted using plain radiography only, then with 2-D CT introduced three weeks later and 3-D CT introduced six weeks later. Fleiss’ Kappa coefficients were calculated to determine interrater reliability. The overall interrater reliability of the AO/OTA classifications was 0.40 (95% CI, 0.38–0.42) with plain radiography only and 0.43 (95% CI, 0.41–0.45) with the addition of 2-D CT. With the addition of 3-D CT, the reliability was significantly improved to 0.54 (95% CI, 0.52–0.56). In specialists, interrater reliability of the classifications was moderate with all three imaging modalities. With the use of 3-D CT, interrater reliability of the classification was 0.53 (95% CI, 0.50–0.56), which was significantly higher than that with the use of 2-D CT (κ = 0.45; 95% CI, 0.42–0.48). In residents, interrater reliability of the classification was 0.30 (95% CI, 0.24–0.36) with plain radiography. The reliability improved to 0.49 (95% CI, 0.43–0.56) with the addition of 2-D CT, which was significantly higher than that with plain radiography only. The use of 3-D CT imaging improved interrater reliability of the classification. Therefore, surgeons, especially residents, may benefit from using 3-D CT imaging for classifying and planning the treatment of patellar fractures. Full article
(This article belongs to the Special Issue Diagnosis and Management of Knee Injuries)
Show Figures

Figure 1

10 pages, 375 KB  
Perspective
Complications and Recurrence of Patellar Instability after Medial Patellofemoral Ligament Reconstruction in Children and Adolescents: A Systematic Review
by Riccardo D’Ambrosi, Katia Corona, Paolo Capitani, Gianluca Coccioli, Nicola Ursino and Giuseppe Maria Peretti
Children 2021, 8(6), 434; https://doi.org/10.3390/children8060434 - 21 May 2021
Cited by 26 | Viewed by 4966
Abstract
Background: This study aimed to review the data available in the current literature concerning the complications and recurrence of instability following medial patellofemoral ligament (MPFL) reconstruction for patellar instability in young and adolescent patients (those <20 years old). Methods: A systematic review was [...] Read more.
Background: This study aimed to review the data available in the current literature concerning the complications and recurrence of instability following medial patellofemoral ligament (MPFL) reconstruction for patellar instability in young and adolescent patients (those <20 years old). Methods: A systematic review was performed based on the preferred reporting items for systematic reviews and meta-analyses (PRISMA) guidelines. Two independent reviewers searched the PubMed, Scopus, EMBASE, and Cochrane databases. The terms “medial patellofemoral ligament” or “MPFL” and “reconstruction” and “young” or “adolescents” or “children” were used. The inclusion criteria for the literature review comprised studies that reported the complications and recurrences of instability in patients who had undergone MPFL reconstruction for patellar instability. Results: In all, 332 patients were included in the review, of which 195 were females (63.5%) and 112 were males (36.5%), and they totaled 352 treated knees. The mean age at the time of the surgery was 14.28 years, and the mean follow-up duration was 30.17 months. A total of 16 (4.5%) complications were reported: one (0.3%) patella fracture, one (0.3%) screw removal due to intolerance, one (0.3%) infection, five (1.4%) wound complications, six (1.7%) subluxations and two (0.6%) instances of post-operative stiffness. A total of 18 (5.1%) recurrences of patellar instability were recorded. Conclusions: MPFL reconstruction in young patients can be considered an effective and safe treatment leading to clinical improvement in terms of recurrence of dislocation. No major complications related to the technique were reported, but a high level of research evidence is required to better evaluate the clinical results in a long-term follow-up. Full article
(This article belongs to the Section Pediatric Surgery)
Show Figures

Figure 1

Back to TopTop