Serial Change in Patellar Height after Tension Band Wiring of Patellar Fractures
Abstract
1. Introduction
2. Materials and Methods
2.1. Study Design and Patients
2.2. Surgical Technique
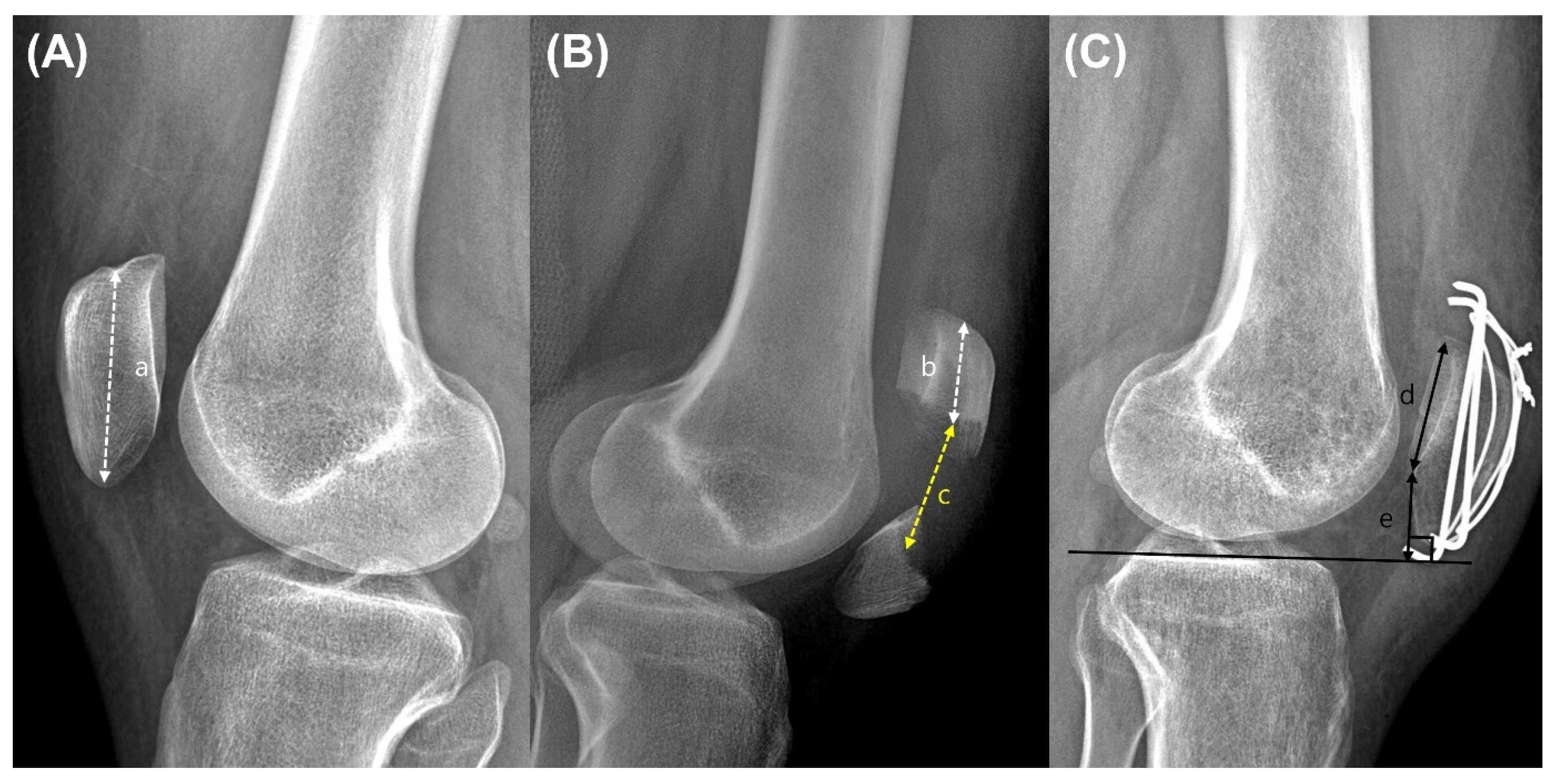
2.3. Clinical and Radiographic Assessments
2.4. Statistical Analysis
3. Results
4. Discussion
5. Conclusions
Author Contributions
Funding
Institutional Review Board Statement
Informed Consent Statement
Data Availability Statement
Conflicts of Interest
References
- Levack, B.; Flannagan, J.P.; Hobbs, S. Results of surgical treatment of patellar fractures. J. Bone Jt. Surg. Br. 1985, 67, 416–419. [Google Scholar] [CrossRef] [PubMed]
- Lazaro, L.E.; Wellman, D.S.; Sauro, G.; Pardee, N.C.; Berkes, M.B.; Little, M.T.; Nguyen, J.T.; Helfet, D.L.; Lorich, D.G. Outcomes after operative fixation of complete articular patellar fractures: Assessment of functional impairment. J. Bone Jt. Surg. Am. 2013, 95, 1290–1296. [Google Scholar] [CrossRef]
- Sebastian, P.; Michael, Z.; Frederik, G.; Michael, M.; Marcus, W.; Moritz, C.; Peter, B.; Chlodwig, K. Influence of patella height after patella fracture on clinical outcome: A 13-year period. Arch. Orthop. Trauma. Surg. 2022, 142, 1557–1561. [Google Scholar] [CrossRef] [PubMed]
- Dietz, S.O.; Hessmann, M.H.; Gercek, E.; Rommens, P.M. Patella fracture. Oper. Orthop. Traumatol. 2009, 21, 206–220. [Google Scholar] [CrossRef] [PubMed]
- Catalano, J.B.; Iannacone, W.M.; Marczyk, S.; Dalsey, R.M.; Deutsch, L.S.; Born, C.T.; Delong, W.G. Open fractures of the patella: Long-term functional outcome. J. Trauma. 1995, 39, 439–444. [Google Scholar] [CrossRef]
- Floren, M.; Davis, J.; Peterson, M.G.; Laskin, R.S. A mini-midvastus capsular approach with patellar displacement decreases the prevalence of patella baja. J. Arthroplast. 2007, 22, 51–57. [Google Scholar] [CrossRef] [PubMed]
- Barth, K.A.; Strickland, S.M. Surgical Treatment of Iatrogenic Patella Baja. Curr. Rev. Musculoskelet. Med. 2022, 15, 673–679. [Google Scholar] [CrossRef] [PubMed]
- Fox, A.J.; Wanivenhaus, F.; Rodeo, S.A. The basic science of the patella: Structure, composition, and function. J. Knee Surg. 2012, 25, 127–141. [Google Scholar] [CrossRef] [PubMed]
- Chang, C.H.; Chuang, H.C.; Su, W.R.; Kuan, F.C.; Hong, C.K.; Hsu, K.L. Fracture of the inferior pole of the patella: Tension band wiring versus transosseous reattachment. J. Orthop. Surg. Res. 2021, 16, 365. [Google Scholar] [CrossRef]
- Kennedy, M.I.; Aman, Z.; DePhillipo, N.N.; LaPrade, R.F. Patellar Tendon Tenotomy for Treatment of Patella Baja and Extension Deficiency. Arthrosc. Tech. 2019, 8, e317–e320. [Google Scholar] [CrossRef]
- Mariani, P.P.; Del Signore, S.; Perugia, L. Early development of patella infera after knee fractures. Knee Surg. Sports Traumatol. Arthrosc. 1994, 2, 166–169. [Google Scholar] [CrossRef] [PubMed]
- Clement, N.D.; Bardgett, M.; Weir, D.; Holland, J.; Gerrand, C.; Deehan, D.J. What is the Minimum Clinically Important Difference for the WOMAC Index After TKA? Clin. Orthop. Relat. Res. 2018, 476, 2005–2014. [Google Scholar] [CrossRef]
- Yoon, J.R.; Yoon, T.H.; Lee, S.H. The effect of Parkinson’s disease on total knee arthroplasty: A systematic review and meta-analysis. Knee Surg. Relat. Res. 2023, 35, 6. [Google Scholar] [CrossRef]
- Anderson, A.F.; Irrgang, J.J.; Kocher, M.S.; Mann, B.J.; Harrast, J.J.; International Knee Documentation, C. The International Knee Documentation Committee Subjective Knee Evaluation Form: Normative data. Am. J. Sports Med. 2006, 34, 128–135. [Google Scholar] [CrossRef]
- Bito, H.; Takeuchi, R.; Kumagai, K.; Aratake, M.; Saito, I.; Hayashi, R.; Sasaki, Y.; Saito, T. Opening wedge high tibial osteotomy affects both the lateral patellar tilt and patellar height. Knee Surg. Sports Traumatol. Arthrosc. 2010, 18, 955–960. [Google Scholar] [CrossRef] [PubMed]
- Seo, J.G.; Moon, Y.W.; Kim, S.M.; Park, S.H.; Lee, B.H.; Chang, M.J.; Jo, B.C. Prevention of pseudo-patella baja during total knee arthroplasty. Knee Surg. Sports Traumatol. Arthrosc. 2015, 23, 3601–3606. [Google Scholar] [CrossRef]
- Lee, S.S.; So, S.Y.; Jung, E.Y.; Kim, H.J.; Lee, B.H.; Wang, J.H. Predictive Factors for Patellofemoral Degenerative Progression After Opening-Wedge High Tibial Osteotomy. Arthroscopy 2019, 35, 1703–1710. [Google Scholar] [CrossRef]
- Freehafer, A.A. A study of the function of the patella. Clin. Orthop. 1962, 25, 162–167. [Google Scholar] [PubMed]
- Kaufer, H. Mechanical function of the patella. J. Bone Jt. Surg. Am. 1971, 53, 1551–1560. [Google Scholar] [CrossRef]
- Grabiner, M.D.; Koh, T.J.; Draganich, L.F. Neuromechanics of the patellofemoral joint. Med. Sci. Sports Exerc. 1994, 26, 10–21. [Google Scholar] [CrossRef] [PubMed]
- Kwak, S.D.; Colman, W.W.; Ateshian, G.A.; Grelsamer, R.P.; Henry, J.H.; Mow, V.C. Anatomy of the human patellofemoral joint articular cartilage: Surface curvature analysis. J. Orthop. Res. 1997, 15, 468–472. [Google Scholar] [CrossRef]
- Bellemans, J. Biomechanics of anterior knee pain. Knee 2003, 10, 123–126. [Google Scholar] [CrossRef]
- Lieb, F.J.; Perry, J. Quadriceps function. An anatomical and mechanical study using amputated limbs. J. Bone Jt. Surg. Am. 1968, 50, 1535–1548. [Google Scholar] [CrossRef]
- Goodfellow, J.; Hungerford, D.S.; Zindel, M. Patello-femoral joint mechanics and pathology. 1. Functional anatomy of the patello-femoral joint. J. Bone Jt. Surg. Br. 1976, 58, 287–290. [Google Scholar] [CrossRef]
- Nejima, S.; Kumagai, K.; Yamada, S.; Sotozawa, M.; Inaba, Y. Radiologic simulation of leg length change after double level osteotomy in preoperative surgical planning. Knee Surg. Relat. Res. 2023, 35, 24. [Google Scholar] [CrossRef] [PubMed]
- Na, B.R.; Yang, H.Y.; Seo, J.W.; Lee, C.H.; Seon, J.K. Effect of medial open wedge high tibial osteotomy on progression of patellofemoral osteoarthritis. Knee Surg. Relat. Res. 2022, 34, 42. [Google Scholar] [CrossRef] [PubMed]
- Barbosa, R.M.; da Silva, M.V.; Macedo, C.S.; Santos, C.P. Imaging evaluation of patellofemoral joint instability: A review. Knee Surg. Relat. Res. 2023, 35, 7. [Google Scholar] [CrossRef] [PubMed]
- Vestergaard, V.; Schroder, H.M.; Hare, K.B.; Toquer, P.; Troelsen, A.; Pedersen, A.B. Patient-reported outcomes of 7133 distal femoral, patellar, and proximal tibial fracture patients: A national cross-sectional study with one-, three-, and five-year follow-up. Knee 2020, 27, 1310–1324. [Google Scholar] [CrossRef]
- Salem, K.H.; Sheth, M.R. Variables affecting patellar height in patients undergoing primary total knee replacement. Int. Orthop. 2021, 45, 1477–1482. [Google Scholar] [CrossRef]
- Gokay, N.S.; Erginer, R.; Dervisoglu, S.; Yalcin, M.B.; Gokce, A. Patella infera or patellar tendon adherence after high tibial osteotomy. Knee Surg. Sports Traumatol. Arthrosc. 2014, 22, 1591–1598. [Google Scholar] [CrossRef]



| Measurements | Interobserver | Intraobserver | |
|---|---|---|---|
| 1 | 2 | ||
| Fracture gap | 0.877 | 0.882 | 0.846 |
| Fracture location | 0.932 | 0.911 | 0.885 |
| Contralateral mBPI | 0.861 | 0.812 | 0.83 |
| Immediate postoperative mBPI | 0.884 | 0.9 | 0.875 |
| Postoperative 3 months mBPI | 0.843 | 0.865 | 0.845 |
| Postoperative 6 months mBPI | 0.895 | 0.837 | 0.864 |
| Postoperative 12 months mBPI | 0.913 | 0.813 | 0.892 |
| Final follow-up mBPI | 0.88 | 0.884 | 0.836 |
| Number of patients | 41 |
| Age, year | 52.4 ± 16.7 (18–85) |
| Sex, male/female | 22:19 |
| Body mass index, kg/m2 | 23.9 ± 4.0 (18.0–33.8) |
| Follow-up period, months | 15.2 ± 4.0 (11.8–27.1) |
| Contralateral mBPI | 0.78 ± 0.05 (0.66–0.88) |
| AO/OTA classification | |
| 34A1 | 1 |
| 34C1 | 26 |
| 34C2 | 14 |
| Group A mBPI_diff < 0.17 | Group B mBPI_diff ≥ 0.17 | p Value | |
|---|---|---|---|
| Number of patients | 20 | 21 | |
| Age, year | 47.5 ± 17.5 | 57.0 ± 14.8 | 0.069 |
| Sex, male/female | 12:8 | 10:11 | 0.536 |
| Body mass index, kg/m2 | 24.0 ± 4.6 | 23.7 ± 3.5 | 0.824 |
| Follow-up period, months | 15.6 ± 4.9 | 14.8 ± 3.0 | 0.555 |
| Postoperative ROM, ° | 136.8 ± 12.2 | 138.6 ± 6.2 | 0.547 |
| Postoperative IKDC subjective score | 61.8 ± 17.7 | 56.6 ± 15.7 | 0.323 |
| Postoperative WOMAC index | 11.6 ± 6.6 | 12.7 ± 5.6 | 0.573 |
| Fracture gap, mm | 17.2 ± 14.4 | 13.4 ± 8.5 | 0.323 |
| Contralateral mBPI | 0.79 ± 0.06 | 0.78 ± 0.47 | 0.245 |
| mBPI difference (contralateral mBPI−final follow-up mBPI) | 0.06 ± 0.07 | 0.30 ± 0.10 | <0.001 |
| Fracture location, % | 52.1 ± 16.6 | 76.2 ± 10.3 | <0.001 |
| Complications, n | 2 (wire irritation) | 3 (wire irritation) | 0.675 |
| Dependent Variable | Independent Variables | Non-Standardized Coefficients | Standardized Coefficients | p-Value | |
|---|---|---|---|---|---|
| B | SE | B | |||
| mBPI difference | Age | −0.001 | 0.44 | 0.398 | |
| Sex | 0.025 | 0.039 | 0.535 | ||
| Body mass index | −0.006 | 0.005 | 0.256 | ||
| Fracture gap | 0.002 | 0.002 | 0.344 | ||
| Contralateral mBPI | 0.368 | 0.36 | 0.314 | ||
| Fracture location | 0.492 | 0.088 | 0.669 | <0.001 | |
| Postoperative ROM | 0.001 | 0.002 | 0.438 | ||
Disclaimer/Publisher’s Note: The statements, opinions and data contained in all publications are solely those of the individual author(s) and contributor(s) and not of MDPI and/or the editor(s). MDPI and/or the editor(s) disclaim responsibility for any injury to people or property resulting from any ideas, methods, instructions or products referred to in the content. |
© 2024 by the authors. Licensee MDPI, Basel, Switzerland. This article is an open access article distributed under the terms and conditions of the Creative Commons Attribution (CC BY) license (https://creativecommons.org/licenses/by/4.0/).
Share and Cite
Cho, J.-H.; Ko, K.R.; Park, S.J.; Lee, S.-S. Serial Change in Patellar Height after Tension Band Wiring of Patellar Fractures. Medicina 2024, 60, 789. https://doi.org/10.3390/medicina60050789
Cho J-H, Ko KR, Park SJ, Lee S-S. Serial Change in Patellar Height after Tension Band Wiring of Patellar Fractures. Medicina. 2024; 60(5):789. https://doi.org/10.3390/medicina60050789
Chicago/Turabian StyleCho, Jin-Ho, Kyung Rae Ko, Seung Jun Park, and Sung-Sahn Lee. 2024. "Serial Change in Patellar Height after Tension Band Wiring of Patellar Fractures" Medicina 60, no. 5: 789. https://doi.org/10.3390/medicina60050789
APA StyleCho, J.-H., Ko, K. R., Park, S. J., & Lee, S.-S. (2024). Serial Change in Patellar Height after Tension Band Wiring of Patellar Fractures. Medicina, 60(5), 789. https://doi.org/10.3390/medicina60050789

