Sign in to use this feature.

Years

Between: -

Subjects

remove_circle_outline
remove_circle_outline
remove_circle_outline
remove_circle_outline

Journals

Article Types

Countries / Regions

Search Results (29)

Search Parameters:
Keywords = parietal epithelial cells

Order results
Result details
Results per page
Select all
Export citation of selected articles as:
14 pages, 2685 KB  
Article
Boric Acid Mitigates Alcohol-Induced Renal Podocyte Injury, Apoptosis, and Oxidative Stress in HBV Transgenic Mice
by Kubra Sevgin, Pelin Erguven, Sevda Tanrikulu-Kucuk, Sevgin Degirmencioglu, Pinar Cetinalp, Soner Aksu, Palmet Gun-Atak and Ibrahim Sogut
Antioxidants 2026, 15(3), 318; https://doi.org/10.3390/antiox15030318 - 3 Mar 2026
Abstract
Chronic alcohol consumption exacerbates kidney injury, particularly in individuals with hepatitis B virus (HBV) infection. This study investigated the protective effects of boric acid supplementation against alcohol-induced renal damage in HBV transgenic mice. HBV transgenic mice were divided into four groups: control (C), [...] Read more.
Chronic alcohol consumption exacerbates kidney injury, particularly in individuals with hepatitis B virus (HBV) infection. This study investigated the protective effects of boric acid supplementation against alcohol-induced renal damage in HBV transgenic mice. HBV transgenic mice were divided into four groups: control (C), boric acid (B), alcohol (A), and alcohol + boric acid (A + B). Renal injury was evaluated using H&E, PAS, TUNEL, and desmin staining. The expression of caspase-3, cytochrome c, and APAF-1 was analyzed by qRT-PCR. Biochemical analyses included BUN, creatinine, oxidative stress markers (ROS, MDA, TOS, OSI), total antioxidant status, and antioxidant enzyme activities (SOD, CAT, GPx). Histopathological findings showed activated parietal epithelial cells in all groups, indicating renal injury. Alcohol significantly increased tubular damage, podocyte desmin expression, apoptosis, cytochrome c and APAF-1 mRNA levels, and oxidative stress markers, while reducing antioxidant enzyme activities and BUN levels compared with controls. Boric acid supplementation significantly mitigated alcohol-induced tubular injury, apoptosis, oxidative stress, and serum creatinine levels, and improved BUN values. Boric acid treatment alone also alleviated glomerular and tubular injury and reduced tubular apoptosis compared with HBV control mice. Overall, boric acid exerts renoprotective effects in HBV-transgenic mice subjected to chronic alcohol exposure by inhibiting oxidative stress, apoptosis, and podocyte injury. Full article
(This article belongs to the Section Health Outcomes of Antioxidants and Oxidative Stress)
Show Figures

Figure 1

16 pages, 701 KB  
Review
The Autoimmune Gastritis Puzzle: Emerging Cellular Crosstalk and Molecular Pathways Driving Parietal Cell Loss and ECL Cell Hyperplasia
by Sara Massironi, Elena Oriani, Giuseppe Dell’Anna, Silvio Danese and Federica Facciotti
Cells 2025, 14(20), 1576; https://doi.org/10.3390/cells14201576 - 10 Oct 2025
Cited by 2 | Viewed by 2952
Abstract
Autoimmune gastritis (AIG) is a chronic, organ-specific autoimmune disease characterized by progressive destruction of gastric parietal cells driven by autoreactive CD4+ T-cells, epithelial stress pathways, and microbial factors. Parietal cell loss results in achlorhydria, intrinsic factor deficiency, and vitamin B12 malabsorption, ultimately [...] Read more.
Autoimmune gastritis (AIG) is a chronic, organ-specific autoimmune disease characterized by progressive destruction of gastric parietal cells driven by autoreactive CD4+ T-cells, epithelial stress pathways, and microbial factors. Parietal cell loss results in achlorhydria, intrinsic factor deficiency, and vitamin B12 malabsorption, ultimately leading to pernicious anemia. Compensatory hypergastrinemia promotes enterochromaffin-like (ECL) cell hyperplasia and contributes to the development of type 1 gastric neuroendocrine neoplasms (gNENs). These clinical consequences are well recognized, yet the cellular and molecular mechanisms driving mucosal atrophy and neoplastic transformation remain incompletely defined. Recent advances highlight the role of endoplasmic reticulum stress, impaired autophagy, innate immune effectors, and dysbiosis in perpetuating inflammation and epithelial injury. The frequent coexistence of AIG with other autoimmune disorders further adds to its clinical complexity. Therapeutic options remain limited, spanning vitamin B12 replacement and endoscopic management to emerging targeted approaches. Netazepide, a gastrin/CCK2 receptor antagonist, is the only agent tested in clinical trials, whereas interventions targeting ER stress, autophagy, immune tolerance, or microbiome composition are still in the preclinical stage. Clarifying these mechanisms is crucial to improve biomarker development, optimize surveillance, and identify targeted therapies to prevent neoplastic transformation. Full article
Show Figures

Figure 1

39 pages, 747 KB  
Review
Gastric Epithelial Cell Plasticity and Molecular Mechanisms of Metaplastic Transformations in the Stomach
by Sergii Vernygorodskyi, Anton B. Tonchev and Kameliya Zhechkova Bratoeva
J. Mol. Pathol. 2025, 6(3), 24; https://doi.org/10.3390/jmp6030024 - 16 Sep 2025
Cited by 1 | Viewed by 4319
Abstract
This research delves into the complex relationship between progenitor cells and the differentiated cell types that make up the stomach. It highlights the need for further investigation into the mechanisms governing stomach development and how these mechanisms relate to the maintenance of the [...] Read more.
This research delves into the complex relationship between progenitor cells and the differentiated cell types that make up the stomach. It highlights the need for further investigation into the mechanisms governing stomach development and how these mechanisms relate to the maintenance of the stomach in a healthy state. The transition from normal gastric mucosa to metaplasia involves significant alterations in the phenotype and function of gastric epithelial cells, including stem cells, mucous neck cells, chief cells, and parietal cells. The presented literature review provides an in-depth analysis of pyloric and pseudopyloric metaplasia, along with spasmolytic polypeptide-expressing metaplasia, focusing on their biological significance, underlying pathogenesis, diagnostic features, and prognostic implications. It explores the role of various gastric epithelial cell types in the pathogenesis of metaplasia, highlighting recent advances in cellular plasticity, molecular pathways, and the implications for gastric carcinogenesis. Full article
Show Figures

Figure 1

11 pages, 2159 KB  
Article
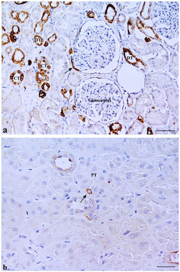
Class III Alcohol Dehydrogenase Modulates Renal Parietal Epithelial Cell Transformation During Chronic Alcohol Consumption in Mice
by Midori Katsuyama, Takahisa Okuda, Masamichi Ishizaki, Kentaro Wada, Motoyo Maruyama, Toshio Akimoto, Youkichi Ohno, Takahito Hayashi and Takeshi Haseba
Int. J. Mol. Sci. 2025, 26(13), 6279; https://doi.org/10.3390/ijms26136279 - 29 Jun 2025
Viewed by 907
Abstract
Class III alcohol dehydrogenase (ADH3), primarily localized in the liver and kidney, contributes to alcohol metabolism during chronic alcohol consumption (CAC). However, its role in kidney function remains unclear. This study investigated renal morphological changes associated with ADH3-mediated alcohol metabolism. Nine-week-old male wild-type [...] Read more.
Class III alcohol dehydrogenase (ADH3), primarily localized in the liver and kidney, contributes to alcohol metabolism during chronic alcohol consumption (CAC). However, its role in kidney function remains unclear. This study investigated renal morphological changes associated with ADH3-mediated alcohol metabolism. Nine-week-old male wild-type (WT) and ADH3-deficient (Adh3-/-) mice were administered 10% ethanol for 1 month. Histological analyses were performed using periodic acid–Schiff (PAS) staining and electron microscopy. Serum biochemical parameters were also assessed. In WT mice, CAC induced an increase in cuboidal parietal epithelial cells (PECs) in Bowman’s capsule, along with elevated testosterone levels in both serum and urine. Adh3-/- mice showed increased PECs even in the control group, with similarly elevated serum testosterone in both control and ethanol-treated groups. These findings suggest that ADH3 is involved in testosterone metabolism, and that that metabolism is suppressed by CAC because ADH3 shifts toward ethanol metabolism. The resulting testosterone elevation may contribute to PEC proliferation. An increase in PECs observed even in Adh3-/- control mice may also be caused by the lack of testosterone metabolism via ADH3. Thus, renal ADH3 may protect kidney structure through testosterone metabolism, but its role may be disturbed by CAC. This study highlights the role of ADH3 in the relationship between physiological steroid metabolism and alcoholic pathological abnormality in the kidney. Full article
(This article belongs to the Section Molecular Endocrinology and Metabolism)
Show Figures

Figure 1

22 pages, 3520 KB  
Article
Adhesion G Protein-Coupled Receptor Gpr126 (Adgrg6) Expression Profiling in Diseased Mouse, Rat, and Human Kidneys
by Peter Kösters, Salvador Cazorla-Vázquez, René Krüger, Christoph Daniel, Eva Vonbrunn, Kerstin Amann and Felix B. Engel
Cells 2024, 13(10), 874; https://doi.org/10.3390/cells13100874 - 18 May 2024
Cited by 2 | Viewed by 4022
Abstract
Uncovering the function of understudied G protein-coupled receptors (GPCRs) provides a wealth of untapped therapeutic potential. The poorly understood adhesion GPCR Gpr126 (Adgrg6) is widely expressed in developing kidneys. In adulthood, Gpr126 expression is enriched in parietal epithelial cells (PECs) and [...] Read more.
Uncovering the function of understudied G protein-coupled receptors (GPCRs) provides a wealth of untapped therapeutic potential. The poorly understood adhesion GPCR Gpr126 (Adgrg6) is widely expressed in developing kidneys. In adulthood, Gpr126 expression is enriched in parietal epithelial cells (PECs) and epithelial cells of the collecting duct and urothelium. Whether Gpr126 plays a role in kidney disease remains unclear. Here, we characterized Gpr126 expression in diseased kidneys in mice, rats, and humans. RT-PCR data show that Gpr126 expression is altered in kidney disease. A quantitative RNAscope® analysis utilizing cell type-specific markers revealed that Gpr126 expression upon tubular damage is mainly increased in cell types expressing Gpr126 under healthy conditions as well as in cells of the distal and proximal tubules. Upon glomerular damage, an increase was mainly detected in PECs. Notably, Gpr126 expression was upregulated in an ischemia/reperfusion model within hours, while upregulation in a glomerular damage model was only detected after weeks. An analysis of kidney microarray data from patients with lupus nephritis, IgA nephropathy, focal segmental glomerulosclerosis (FSGS), hypertension, and diabetes as well as single-cell RNA-seq data from kidneys of patients with acute kidney injury and chronic kidney disease indicates that GPR126 expression is also altered in human kidney disease. In patients with FSGS, an RNAscope® analysis showed that GPR126 mRNA is upregulated in PECs belonging to FSGS lesions and proximal tubules. Collectively, we provide detailed insights into Gpr126 expression in kidney disease, indicating that GPR126 is a potential therapeutic target. Full article
Show Figures

Figure 1

17 pages, 3860 KB  
Article
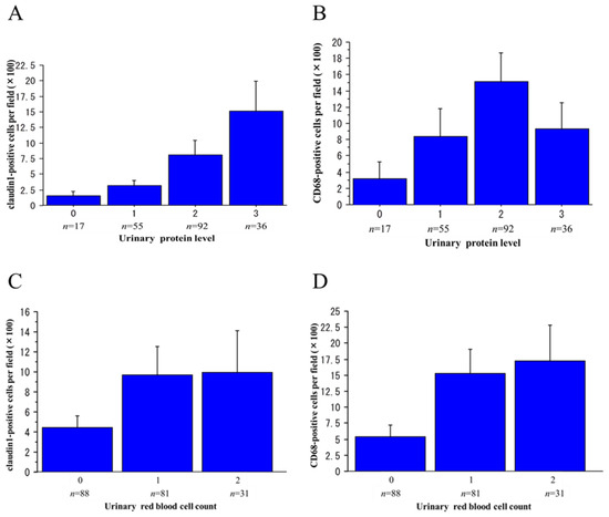
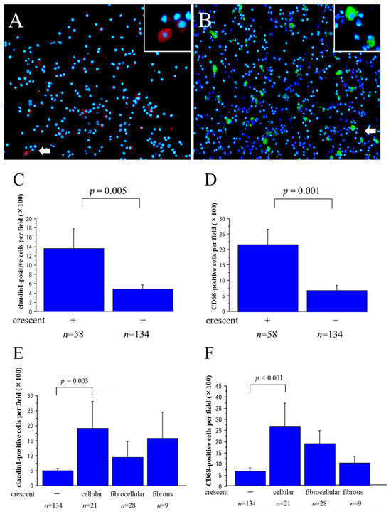
Evaluating the State of Glomerular Disease by Analyzing Urinary Sediments: mRNA Levels and Immunofluorescence Staining for Various Markers
by Kojiro Yamamoto, Takashi Oda, Takahiro Uchida, Hanako Takechi, Naoki Oshima and Hiroo Kumagai
Int. J. Mol. Sci. 2024, 25(2), 744; https://doi.org/10.3390/ijms25020744 - 6 Jan 2024
Cited by 3 | Viewed by 2324
Abstract
Renal biopsy is the gold standard for making the final diagnosis and for predicting the progression of renal disease, but monitoring disease status by performing biopsies repeatedly is impossible because it is an invasive procedure. Urine tests are non-invasive and may reflect the [...] Read more.
Renal biopsy is the gold standard for making the final diagnosis and for predicting the progression of renal disease, but monitoring disease status by performing biopsies repeatedly is impossible because it is an invasive procedure. Urine tests are non-invasive and may reflect the general condition of the whole kidney better than renal biopsy results. We therefore investigated the diagnostic value of extensive urinary sediment analysis by immunofluorescence staining for markers expressed on kidney-derived cells (cytokeratin: marker for tubular epithelial cells, synaptopodin: marker for podocytes, claudin1: marker for parietal epithelial cells, CD68: marker for macrophages (MΦ), neutrophil elastase: marker for neutrophils). We further examined the expression levels of the mRNAs for these markers by real-time reverse transcription polymerase chain reaction. We also examined the levels of mRNAs associated with the M1 (iNOS, IL-6) and M2 (CD163, CD204, CD206, IL-10) MΦ phenotypes. Evaluated markers were compared with clinical and histological findings for the assessment of renal diseases. Claudin1- and CD68-positive cell counts in urinary sediments were higher in patients with glomerular crescents (especially cellular crescents) than in patients without crescents. The relative levels of mRNA for CD68 and the M2 MΦ markers (CD163, CD204, CD206, and IL-10) in urinary sediments were also higher in patients with glomerular crescents. These data suggest that immunofluorescence staining for claudin1 and CD68 in urinary sediments and the relative levels of mRNA for CD68 and M2 MΦ markers in urinary sediments are useful for evaluating the state of glomerular diseases. Full article
(This article belongs to the Section Molecular Pathology, Diagnostics, and Therapeutics)
Show Figures

Figure 1

19 pages, 4292 KB  
Article
Development of a Genetically Engineered Mouse Model Recapitulating LKB1 and PTEN Deficiency in Gastric Cancer Pathogenesis
by Kuan-Te Fang, Hsin Hung, Nga Yin Sadonna Lau, Jou-Hsi Chi, Deng-Chyang Wu and Kuang-Hung Cheng
Cancers 2023, 15(24), 5893; https://doi.org/10.3390/cancers15245893 - 18 Dec 2023
Cited by 3 | Viewed by 2642
Abstract
The LKB1 and PTEN genes are critical in gastric cancer (G.C.) development. LKB1, a robust tumor suppressor gene, encodes a serine/threonine kinase that directly triggers the activation of AMPK—an integral cellular metabolic kinase. The role of the LKB1 pathway extends to maintaining the [...] Read more.
The LKB1 and PTEN genes are critical in gastric cancer (G.C.) development. LKB1, a robust tumor suppressor gene, encodes a serine/threonine kinase that directly triggers the activation of AMPK—an integral cellular metabolic kinase. The role of the LKB1 pathway extends to maintaining the stability of epithelial junctions by regulating E-cadherin expression. Conversely, PTEN, a frequently mutated tumor suppressor gene in various human cancers, emerges as a pivotal negative regulator of the phosphoinositide 3-kinase (PI3K) signaling pathway. This study is set to leverage the H+/K+ ATPase Cre transgene strain to precisely target Cre recombinase expression at parietal cells within the stomach. This strategic maneuver seeks to selectively nullify the functions of both LKB1 and PTEN in a manner specific to the stomach, thereby instigating the development of G.C. in a fashion akin to human gastric adenocarcinoma. Moreover, this study endeavors to dissect the intricate ways in which these alterations contribute to the histopathologic advancement of gastric tumors, their potential for invasiveness and metastasis, their angiogenesis, and the evolving tumor stromal microenvironment. Our results show that conditional deletion of PTEN and LKB1 provides an ideal cancer microenvironment for G.C. tumorigenesis by promoting cancer cell proliferation, angiogenesis, and metastasis. Full article
(This article belongs to the Special Issue Genes in Cancer)
Show Figures

Figure 1

14 pages, 1299 KB  
Review
MicroRNA193a: An Emerging Mediator of Glomerular Diseases
by Joyita Bharati, Megan Kumar, Neil Kumar, Ashwani Malhotra and Pravin C. Singhal
Biomolecules 2023, 13(12), 1743; https://doi.org/10.3390/biom13121743 - 4 Dec 2023
Cited by 7 | Viewed by 3532
Abstract
MicroRNAs (miRNAs) are noncoding small RNAs that regulate the protein expression of coding messenger RNAs. They are used as biomarkers to aid in diagnosing, prognosticating, and surveillance of diseases, especially solid cancers. MiR-193a was shown to be directly pathogenic in an experimental mouse [...] Read more.
MicroRNAs (miRNAs) are noncoding small RNAs that regulate the protein expression of coding messenger RNAs. They are used as biomarkers to aid in diagnosing, prognosticating, and surveillance of diseases, especially solid cancers. MiR-193a was shown to be directly pathogenic in an experimental mouse model of focal segmental glomerulosclerosis (FSGS) during the last decade. Its specific binding and downregulation of Wilm’s tumor-1 (WT-1), a transcription factor regulating podocyte phenotype, is documented. Also, miR-193a is a regulator switch causing the transdifferentiation of glomerular parietal epithelial cells to a podocyte phenotype in in vitro study. Interaction between miR-193a and apolipoprotein 1 (APOL1) mRNA in glomeruli (filtration units of kidneys) is potentially involved in the pathogenesis of common glomerular diseases. Since the last decade, there has been an increasing interest in the role of miR-193a in glomerular diseases, including diabetic nephropathy and membranous nephropathy, besides FSGS. Considering the lack of biomarkers to manage FSGS and diabetic nephropathy clinically, it is worthwhile to invest in evaluating miR-193a in the pathogenesis of these diseases. What causes the upregulation of miR-193a in FSGS and how the mechanism is different in different glomerular disorders still need to be elucidated. This narrative review highlights the pathogenic mechanisms of miR-193a elevation in various glomerular diseases and its potential use in clinical management. Full article
(This article belongs to the Special Issue Molecular Mechanisms of Kidney Injury and Repair II)
Show Figures

Graphical abstract

15 pages, 3366 KB  
Article
Sex Differences in Glomerular Lesions, in Atherosclerosis Progression, and in the Response to Angiotensin-Converting Enzyme Inhibitors in the ApoE−/− Mice Model
by Adrián Mallén, Ronny Rodriguez-Urquia, Rafael Alvarez, Eduard Dorca-Duch, Estanis Navarro and Miguel Hueso
Int. J. Mol. Sci. 2023, 24(17), 13442; https://doi.org/10.3390/ijms241713442 - 30 Aug 2023
Cited by 5 | Viewed by 2362
Abstract
This study analyzes sex-based differences in renal structure and the response to the Angiotensin-Converting Enzyme (ACE) inhibitor enalapril in a mouse model of atherosclerosis. Eight weeks old ApoE−/− mice received enalapril (5 mg/kg/day, subcutaneous) or PBS (control) for an additional 14 weeks. [...] Read more.
This study analyzes sex-based differences in renal structure and the response to the Angiotensin-Converting Enzyme (ACE) inhibitor enalapril in a mouse model of atherosclerosis. Eight weeks old ApoE−/− mice received enalapril (5 mg/kg/day, subcutaneous) or PBS (control) for an additional 14 weeks. Each group consisted of six males and six females. Females exhibited elevated LDL-cholesterol levels, while males presented higher creatinine levels and proteinuria. Enalapril effectively reduced blood pressure in both groups, but proteinuria decreased significantly only in females. Plaque size analysis and assessment of kidney inflammation revealed no significant sex-based differences. However, males displayed more severe glomerular injury, with increased mesangial expansion, mesangiolysis, glomerular foam cells, and activated parietal epithelial cells (PECs). Enalapril mitigated mesangial expansion, glomerular inflammation (particularly in the female group), and hypertrophy of the PECs in males. This study demonstrates sex-based differences in the response to enalapril in a mouse model of atherosclerosis. Males exhibited more severe glomerular injury, while enalapril provided renal protection, particularly in females. These findings suggest potential sex-specific considerations for ACE inhibitor therapy in chronic kidney disease and atherosclerosis cardiovascular disease. Further research is needed to elucidate the underlying mechanism behind these observations. Full article
Show Figures

Figure 1

19 pages, 3494 KB  
Article
Adhesion GPCR Gpr126 (Adgrg6) Expression Profiling in Zebrafish, Mouse, and Human Kidney
by Salvador Cazorla-Vázquez, Peter Kösters, Simone Bertz, Frederick Pfister, Christoph Daniel, Mark Dedden, Sebastian Zundler, Tilman Jobst-Schwan, Kerstin Amann and Felix B. Engel
Cells 2023, 12(15), 1988; https://doi.org/10.3390/cells12151988 - 2 Aug 2023
Cited by 3 | Viewed by 3685
Abstract
Adhesion G protein-coupled receptors (aGPCRs) comprise the second-largest class of GPCRs, the most common target for approved pharmacological therapies. aGPCRs play an important role in development and disease and have recently been associated with the kidney. Several aGPCRs are expressed in the kidney [...] Read more.
Adhesion G protein-coupled receptors (aGPCRs) comprise the second-largest class of GPCRs, the most common target for approved pharmacological therapies. aGPCRs play an important role in development and disease and have recently been associated with the kidney. Several aGPCRs are expressed in the kidney and some aGPCRs are either required for kidney development or their expression level is altered in diseased kidneys. Yet, general aGPCR function and their physiological role in the kidney are poorly understood. Here, we characterize in detail Gpr126 (Adgrg6) expression based on RNAscope® technology in zebrafish, mice, and humans during kidney development in adults. Gpr126 expression is enriched in the epithelial linage during nephrogenesis and persists in the adult kidney in parietal epithelial cells, collecting ducts, and urothelium. Single-cell RNAseq analysis shows that gpr126 expression is detected in zebrafish in a distinct ionocyte sub-population. It is co-detected selectively with slc9a3.2, slc4a4a, and trpv6, known to be involved in apical acid secretion, buffering blood or intracellular pH, and to maintain high cytoplasmic Ca2+ concentration, respectively. Furthermore, gpr126-expressing cells were enriched in the expression of potassium transporter kcnj1a.1 and gcm2, which regulate the expression of a calcium sensor receptor. Notably, the expression patterns of Trpv6, Kcnj1a.1, and Gpr126 in mouse kidneys are highly similar. Collectively, our approach permits a detailed insight into the spatio-temporal expression of Gpr126 and provides a basis to elucidate a possible role of Gpr126 in kidney physiology. Full article
Show Figures

Figure 1

12 pages, 1458 KB  
Communication
CD44 Expression in Renal Tissue Is Associated with an Increase in Urinary Levels of Complement Components in Chronic Glomerulopathies
by Natalia Chebotareva, Anatoliy Vinogradov, Larisa Tsoy, Vladimir Varshavskiy, Ekaterina Stoljarevich, Anna Bugrova, Yulia Lerner, Tatyana Krasnova, Evgeniya Biryukova and Alexey S. Kononikhin
Int. J. Mol. Sci. 2023, 24(8), 7190; https://doi.org/10.3390/ijms24087190 - 13 Apr 2023
Cited by 10 | Viewed by 3105
Abstract
It is suggested that activated CD44+ cells play a profibrogenic role in the pathogenesis of active glomerulopathies. Complement activation is also involved in renal fibrogenesis. The aim of the study was to evaluate the role of the activation of CD44+ cells in the [...] Read more.
It is suggested that activated CD44+ cells play a profibrogenic role in the pathogenesis of active glomerulopathies. Complement activation is also involved in renal fibrogenesis. The aim of the study was to evaluate the role of the activation of CD44+ cells in the kidney tissue and complement components’ filtration to the urine as factors of renal tissue fibrosis in patients with glomerulopathies. In total, 60 patients with active glomerulopathies were included in our study: 29 patients with focal segmental glomerulosclerosis (FSGS), 10 patients with minimal change disease (MCD), 10 patients with membranous nephropathy (MN), and 11 patients with IgA nephropathy. The immunohistochemical peroxidase method was used to study the expression of CD44+ in kidney biopsies. Components of complement were analyzed in urine by the multiple reaction monitoring (MRM) approach using liquid chromatography. Strong CD44 expression was noted predominantly in PEC and mesangial cells (MC) in patients with FSGS, and to a lesser extent, in patients with MN and IgA nephropathy, and it was absent in patients with MCD. Expression of profibrogenic CD44+ in glomeruli correlated with the levels of proteinuria and complement C2, C3, and C9 components, and CFB and CFI in urine. The CD44+ expression scores in the renal interstitium correlated with the level of C3 and C9 components of complement in the urine and the area of tubulo-interstitial fibrosis. The strongest expression of CD44+ was found in the glomeruli (MC, PEC, and podocytes) of patients with FSGS compared with other glomerulopathies. The CD44 expression score in the glomeruli and interstitium is associated with high levels of complement components in the urine and renal fibrosis. Full article
(This article belongs to the Special Issue Molecular Mechanisms of Kidney Injury 2.0)
Show Figures

Figure 1

13 pages, 1037 KB  
Review
Parietal Epithelial Cell Behavior and Its Modulation by microRNA-193a
by Joyita Bharati, Praveen N. Chander and Pravin C. Singhal
Biomolecules 2023, 13(2), 266; https://doi.org/10.3390/biom13020266 - 31 Jan 2023
Cited by 8 | Viewed by 4995
Abstract
Glomerular parietal epithelial cells (PECs) have been increasingly recognized to have crucial functions. Lineage tracking in animal models showed the expression of a podocyte phenotype by PECs during normal glomerular growth and after acute podocyte injury, suggesting a reparative role of PECs. Conversely, [...] Read more.
Glomerular parietal epithelial cells (PECs) have been increasingly recognized to have crucial functions. Lineage tracking in animal models showed the expression of a podocyte phenotype by PECs during normal glomerular growth and after acute podocyte injury, suggesting a reparative role of PECs. Conversely, activated PECs are speculated to be pathogenic and comprise extracapillary proliferation in focal segmental glomerulosclerosis (FSGS) and crescentic glomerulonephritis (CrescGN). The reparative and pathogenic roles of PECs seem to represent two sides of PEC behavior directed by the local milieu and mediators. Recent studies suggest microRNA-193a (miR193a) is involved in the pathogenesis of FSGS and CrescGN. In a mouse model of primary FSGS, the induction of miR193a caused the downregulation of Wilms’ tumor protein, leading to the dedifferentiation of podocytes. On the other hand, the inhibition of miR193a resulted in reduced crescent lesions in a mouse model of CrescGN. Interestingly, in vitro studies report that the downregulation of miR193a induces trans-differentiation of PECs into a podocyte phenotype. This narrative review highlights the critical role of PEC behavior in health and during disease and its modulation by miR193a. Full article
(This article belongs to the Collection Feature Papers in Section 'Molecular Medicine')
Show Figures

Graphical abstract

13 pages, 4149 KB  
Article
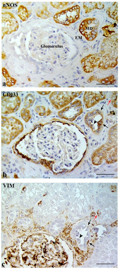
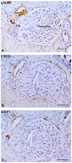
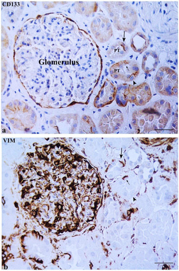
Scattered Tubular Cells Markers in Macula Densa of Normal Human Adult Kidney
by Giovanni Tossetta, Sonia Fantone, Teresa Lorenzi, Andrea Benedetto Galosi, Andrea Sagrati, Mara Fabri, Daniela Marzioni and Manrico Morroni
Int. J. Mol. Sci. 2022, 23(18), 10504; https://doi.org/10.3390/ijms231810504 - 10 Sep 2022
Cited by 2 | Viewed by 5883
Abstract
Background: The scattered tubular cells (STCs) are a population of resident progenitor tubular cells with expansion, self-renewal and epithelial differentiation abilities. Although these cells are localized within the proximal (PTs) and distal (DTs) tubules in a normal adult kidney, their presence has never [...] Read more.
Background: The scattered tubular cells (STCs) are a population of resident progenitor tubular cells with expansion, self-renewal and epithelial differentiation abilities. Although these cells are localized within the proximal (PTs) and distal (DTs) tubules in a normal adult kidney, their presence has never been demonstrated in human macula densa (MD). The purpose of the present study is to describe the presence of STCs in MD using specific markers such as prominin-1 (CD133), cytokeratin 7 (KRT7) and vimentin (VIM). Methods: We analyzed two sets of three consecutive serial sections for each sample. The first sections of each set were immunostained for nNOS to identify MD, the second sections were immune-stained for CD133 (specific STCs marker) while the third sections were analyzed for KRT7 (another STCs specific marker) and VIM (that stains the basal pole of the STCs) in the first and second sets, respectively, in order to study the co-expression of KRT7 and VIM with the CD133 marker. Results: CD133 was localized in some MD cells and in the adjacent DT cells. Moreover, CD133 was detected in the parietal epithelial cells of Bowman’s capsule and in some proximal tubules (PT). KRT7-positive cells were identified in MD and adjacent DT cells, while KRT7 positivity was mostly confined in both DT and collecting ducts (CD) in the other areas of the renal parenchyma. CD133 and KRT7 were co-expressed in some MD and adjacent DT cells. Some of the latter cells were positive both for CD133 and VIM. CD133 was always localized in the apical part of the cells, whereas the VIM expression was evident only in the cellular basal pole. Although some cells of MD expressed VIM or CD133, none of them co-expressed VIM and CD133. Conclusions: The presence of STCs was demonstrated in human adult MD, suggesting that this structure has expansion, self-renewal and epithelial differentiation abilities, similar to all other parts of renal tubules. Full article
(This article belongs to the Section Molecular Pathology, Diagnostics, and Therapeutics)
Show Figures

Figure 1

16 pages, 3216 KB  
Article
Add-On Cyclic Angiotensin-(1-7) with Cyclophosphamide Arrests Progressive Kidney Disease in Rats with ANCA Associated Glomerulonephritis
by Domenico Cerullo, Daniela Rottoli, Daniela Corna, Mauro Abbate, Ariela Benigni, Giuseppe Remuzzi and Carlamaria Zoja
Cells 2022, 11(15), 2434; https://doi.org/10.3390/cells11152434 - 5 Aug 2022
Cited by 4 | Viewed by 2888
Abstract
Rapidly progressive crescentic glomerulonephritis associated with anti-neutrophil cytoplasmic antibodies (ANCA-GN) is a major cause of renal failure. Current immunosuppressive therapies are associated with severe side effects, intensifying the need for new therapeutic strategies. The activation of Mas receptor/Angiotensin-(1-7) axis exerted renoprotection in chronic [...] Read more.
Rapidly progressive crescentic glomerulonephritis associated with anti-neutrophil cytoplasmic antibodies (ANCA-GN) is a major cause of renal failure. Current immunosuppressive therapies are associated with severe side effects, intensifying the need for new therapeutic strategies. The activation of Mas receptor/Angiotensin-(1-7) axis exerted renoprotection in chronic kidney disease. Here, we investigated the effect of adding the lanthionine-stabilized cyclic form of angiotensin-1-7 [cAng-(1-7)] to cyclophosphamide in a rat model of ANCA-GN. At the onset of proteinuria, Wistar Kyoto rats with ANCA-GN received vehicle or a single bolus of cyclophosphamide, with or without daily cAng-(1-7). Treatment with cAng-(1-7) plus cyclophosphamide reduced proteinuria by 85% vs. vehicle, and by 60% vs. cyclophosphamide, and dramatically limited glomerular crescents to less than 10%. The addition of cAng-(1-7) to cyclophosphamide protected against glomerular inflammation and endothelial rarefaction and restored the normal distribution of parietal epithelial cells. Ultrastructural analysis revealed a preserved GBM, glomerular endothelium and podocyte structure, demonstrating that combination therapy provided an additional layer of renoprotection. This study demonstrates that adding cAng-(1-7) to a partially effective dose of cyclophosphamide arrests the progression of renal disease in rats with ANCA-GN, suggesting that cAng-(1-7) could be a novel clinical approach for sparing immunosuppressants. Full article
(This article belongs to the Special Issue Recent Advances in Development and Progression of Kidney Diseases)
Show Figures

Figure 1

22 pages, 6403 KB  
Article
Differences in Immunohistochemical and Ultrastructural Features between Podocytes and Parietal Epithelial Cells (PECs) Are Observed in Developing, Healthy Postnatal, and Pathologically Changed Human Kidneys
by Marin Ogorevc, Ivona Kosovic, Natalija Filipovic, Ivana Bocina, Marija Juric, Benjamin Benzon, Snjezana Mardesic, Katarina Vukojevic, Marijan Saraga, Boris Kablar and Mirna Saraga-Babic
Int. J. Mol. Sci. 2022, 23(14), 7501; https://doi.org/10.3390/ijms23147501 - 6 Jul 2022
Cited by 7 | Viewed by 2989
Abstract
During human kidney development, cells of the proximal nephron gradually differentiate into podocytes and parietal epithelial cells (PECs). Podocytes are terminally differentiated cells that play a key role in both normal and pathological kidney function. Therefore, the potential of podocytes to regenerate or [...] Read more.
During human kidney development, cells of the proximal nephron gradually differentiate into podocytes and parietal epithelial cells (PECs). Podocytes are terminally differentiated cells that play a key role in both normal and pathological kidney function. Therefore, the potential of podocytes to regenerate or be replaced by other cell populations (PECs) is of great interest for the possible treatment of kidney diseases. In the present study, we analyzed the proliferation and differentiation capabilities of podocytes and PECs, changes in the expression pattern of nestin, and several early proteins including WNT4, Notch2, and Snail, as well as Ki-67, in tissues of developing, postnatal, and pathologically changed human kidneys by using immunohistochemistry and electron microscopy. Developing PECs showed a higher proliferation rate than podocytes, whereas nestin expression characterized only podocytes and pathologically changed kidneys. In the developing kidneys, WNT4 and Notch2 expression increased moderately in podocytes and strongly in PECs, whereas Snail increased only in PECs in the later fetal period. During human kidney development, WNT4, Notch2, and Snail are involved in early nephrogenesis control. In kidneys affected by congenital nephrotic syndrome of the Finnish type (CNF) and focal segmental glomerulosclerosis (FSGS), WNT4 decreased in both cell populations, whereas Notch2 decreased in FSGS. In contrast, Snail increased both in CNF and FSGS, whereas Notch2 increased only in CNF. Electron microscopy revealed cytoplasmic processes spanning the urinary space between the podocytes and PECs in developing and healthy postnatal kidneys, whereas the CNF and FSGS kidneys were characterized by numerous cellular bridges containing cells with strong expression of nestin and all analyzed proteins. Our results indicate that the mechanisms of gene control in nephrogenesis are reactivated under pathological conditions. These mechanisms could have a role in restoring glomerular integrity by potentially inducing the regeneration of podocytes from PECs. Full article
(This article belongs to the Special Issue Molecular Mechanisms of Kidney Injury)
Show Figures

Figure 1

Back to TopTop