Add-On Cyclic Angiotensin-(1-7) with Cyclophosphamide Arrests Progressive Kidney Disease in Rats with ANCA Associated Glomerulonephritis
Abstract
1. Introduction
2. Materials and Methods
2.1. Animals
2.2. Laboratory Parameters
2.3. Histological Analysis
2.4. Immunofluorescence Analysis
2.5. Immunoperoxidase Analysis
2.6. Ultrastructural Analysis
2.7. Statistical Analysis
3. Results
3.1. Systemic Parameters
3.2. Addition of cAng-(1-7) to Cyclophosphamide Arrests Progression of Kidney Disease in Rats with ANCA-GN
3.3. Addition of cAng-(1-7) to Cyclophosphamide Ameliorates Renal Structure in Rats with ANCA-GN
3.4. Addition of cAng-(1-7) to Cyclophosphamide Restores PEC/Progenitor Cell Distribution
3.5. Addition of cAng-(1-7) to Cyclophosphamide Limits Glomerular Inflammation and Endothelial Rarefaction in Rats with ANCA-GN
3.6. Addition of cAng-(1-7) to Cyclophosphamide Ameliorates Ultrastructural Abnormalities in Glomeruli in Rats with ANCA-GN
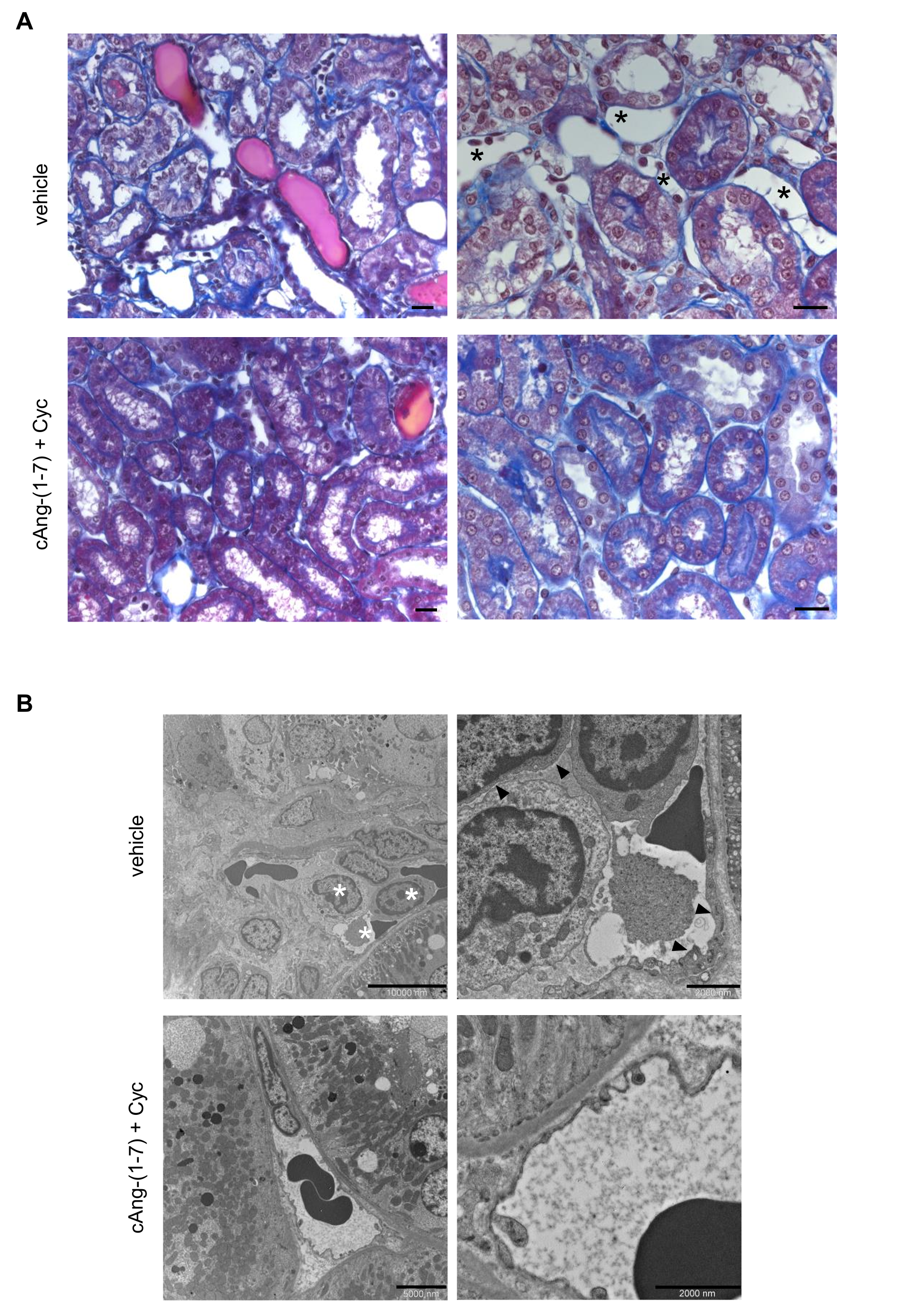
3.7. Addition of cAng-(1-7) to Cyclophosphamide Ameliorates Tubulo-Interstitial Abnormalities in Rats with ANCA-GN
4. Discussion
Author Contributions
Funding
Institutional Review Board Statement
Informed Consent Statement
Data Availability Statement
Acknowledgments
Conflicts of Interest
References
- Zonozi, R.; Niles, J.L.; Cortazar, F.B. Renal Involvement in Antineutrophil Cytoplasmic Antibody-Associated Vasculitis. Rheum. Dis. Clin. N. Am. 2018, 44, 525–543. [Google Scholar] [CrossRef] [PubMed]
- Jennette, J.C. Rapidly progressive crescentic glomerulonephritis. Kidney Int. 2003, 63, 1164–1177. [Google Scholar] [CrossRef] [PubMed]
- Jennette, J.C.; Nachman, P.H. ANCA Glomerulonephritis and Vasculitis. Clin. J. Am. Soc. Nephrol. CJASN 2017, 12, 1680–1691. [Google Scholar] [CrossRef] [PubMed]
- Thorner, P.S.; Ho, M.; Eremina, V.; Sado, Y.; Quaggin, S. Podocytes contribute to the formation of glomerular crescents. J. Am. Soc. Nephrol. 2008, 19, 495–502. [Google Scholar] [CrossRef] [PubMed]
- Rizzo, P.; Perico, N.; Gagliardini, E.; Novelli, R.; Alison, M.R.; Remuzzi, G.; Benigni, A. Nature and mediators of parietal epithelial cell activation in glomerulonephritides of human and rat. Am. J. Pathol. 2013, 183, 1769–1778. [Google Scholar] [CrossRef]
- Sethi, S.; De Vriese, A.S.; Fervenza, F.C. Acute glomerulonephritis. Lancet Lond. Engl. 2022, 399, 1646–1663. [Google Scholar] [CrossRef]
- Remuzzi, G.; Perico, N.; Macia, M.; Ruggenenti, P. The role of renin-angiotensin-aldosterone system in the progression of chronic kidney disease. Kidney Int. Suppl. 2005, 99, S57–S65. [Google Scholar] [CrossRef]
- Remuzzi, A.; Sangalli, F.; Macconi, D.; Tomasoni, S.; Cattaneo, I.; Rizzo, P.; Bonandrini, B.; Bresciani, E.; Longaretti, L.; Gagliardini, E.; et al. Regression of Renal Disease by Angiotensin II Antagonism Is Caused by Regeneration of Kidney Vasculature. J. Am. Soc. Nephrol. 2016, 27, 699–705. [Google Scholar] [CrossRef]
- Simoes e Silva, A.C.; Silveira, K.D.; Ferreira, A.J.; Teixeira, M.M. ACE2, angiotensin-(1-7) and Mas receptor axis in inflammation and fibrosis. Br. J. Pharm. 2013, 169, 477–492. [Google Scholar] [CrossRef]
- Young, D.; O’Neill, K.; Jessell, T.; Wigler, M. Characterization of the rat mas oncogene and its high-level expression in the hippocampus and cerebral cortex of rat brain. Proc. Natl. Acad. Sci. USA 1988, 85, 5339–5342. [Google Scholar] [CrossRef]
- Zhang, J.; Noble, N.A.; Border, W.A.; Huang, Y. Infusion of angiotensin-(1-7) reduces glomerulosclerosis through counteracting angiotensin II in experimental glomerulonephritis. Am. J. Physiol. Ren. Physiol. 2010, 298, F579–F588. [Google Scholar] [CrossRef] [PubMed][Green Version]
- Garcia, G.E.; Truong, L.D.; Johnson, R.J. Angiotensin-converting enzyme 2 decreased expression during kidney inflammatory diseases: Implications to predisposing to COVID-19 kidney complications. Kidney Int. 2021, 100, 1138–1140. [Google Scholar] [CrossRef]
- Mori, J.; Patel, V.B.; Ramprasath, T.; Alrob, O.A.; DesAulniers, J.; Scholey, J.W.; Lopaschuk, G.D.; Oudit, G.Y. Angiotensin 1-7 mediates renoprotection against diabetic nephropathy by reducing oxidative stress, inflammation, and lipotoxicity. Am. J. Physiol. Ren. Physiol. 2014, 306, F812–F821. [Google Scholar] [CrossRef] [PubMed]
- Choi, H.S.; Kim, I.J.; Kim, C.S.; Ma, S.K.; Scholey, J.W.; Kim, S.W.; Bae, E.H. Angiotensin-[1-7] attenuates kidney injury in experimental Alport syndrome. Sci. Rep. 2020, 10, 4225. [Google Scholar] [CrossRef]
- Yamada, K.; Iyer, S.N.; Chappell, M.C.; Ganten, D.; Ferrario, C.M. Converting enzyme determines plasma clearance of angiotensin-(1-7). Hypertension 1998, 32, 496–502. [Google Scholar] [CrossRef]
- Rew, Y.; Malkmus, S.; Svensson, C.; Yaksh, T.L.; Chung, N.N.; Schiller, P.W.; Cassel, J.A.; DeHaven, R.N.; Taulane, J.P.; Goodman, M. Synthesis and biological activities of cyclic lanthionine enkephalin analogues: Delta-opioid receptor selective ligands. J. Med. Chem. 2002, 45, 3746–3754. [Google Scholar] [CrossRef] [PubMed]
- Tugyi, R.; Mezo, G.; Fellinger, E.; Andreu, D.; Hudecz, F. The effect of cyclization on the enzymatic degradation of herpes simplex virus glycoprotein D derived epitope peptide. J. Pept. Sci. 2005, 11, 642–649. [Google Scholar] [CrossRef]
- Kluskens, L.D.; Nelemans, S.A.; Rink, R.; de Vries, L.; Meter-Arkema, A.; Wang, Y.; Walther, T.; Kuipers, A.; Moll, G.N.; Haas, M. Angiotensin-(1-7) with thioether bridge: An angiotensin-converting enzyme-resistant, potent angiotensin-(1-7) analog. J. Pharmacol. Exp. Ther. 2009, 328, 849–854. [Google Scholar] [CrossRef]
- Cassis, P.; Locatelli, M.; Corna, D.; Villa, S.; Rottoli, D.; Cerullo, D.; Abbate, M.; Remuzzi, G.; Benigni, A.; Zoja, C. Addition of cyclic angiotensin-(1-7) to angiotensin-converting enzyme inhibitor therapy has a positive add-on effect in experimental diabetic nephropathy. Kidney Int. 2019, 96, 906–917. [Google Scholar] [CrossRef] [PubMed]
- Kuipers, A.; Moll, G.N.; Wagner, E.; Franklin, R. Efficacy of lanthionine-stabilized angiotensin-(1-7) in type I and type II diabetes mouse models. Peptides 2019, 112, 78–84. [Google Scholar] [CrossRef]
- Cerullo, D.; Rottoli, D.; Corna, D.; Rizzo, P.; Abbate, M.; Macconi, D.; Benigni, A.; Remuzzi, G.; Zoja, C. Characterization of a Rat Model of Myeloperoxidase-Anti-Neutrophil Cytoplasmic Antibody-Associated Crescentic Glomerulonephritis. Nephron 2021, 145, 428–444. [Google Scholar] [CrossRef] [PubMed]
- Han, Y.; Ma, F.Y.; Di Paolo, J.; Nikolic-Paterson, D.J. An inhibitor of spleen tyrosine kinase suppresses experimental crescentic glomerulonephritis. Int. J. Immunopathol. Pharmacol. 2018, 32, 2058738418783404. [Google Scholar] [CrossRef] [PubMed]
- Zhao, L.; David, M.Z.; Hyjek, E.; Chang, A.; Meehan, S.M. M2 macrophage infiltrates in the early stages of ANCA-associated pauci-immune necrotizing GN. Clin. J. Am. Soc. Nephrol. CJASN 2015, 10, 54–62. [Google Scholar] [CrossRef] [PubMed]
- Anguiano, L.; Kain, R.; Anders, H.-J. The glomerular crescent: Triggers, evolution, resolution, and implications for therapy. Curr. Opin. Nephrol. Hypertens. 2020, 29, 302–309. [Google Scholar] [CrossRef] [PubMed]
- Trimarchi, H. Crescents in primary glomerulonephritis: A pattern of injury with dissimilar actors. A pathophysiologic perspective. Pediatr. Nephrol. Berl. Ger. 2021, 6, 1205–1214. [Google Scholar] [CrossRef]
- Xiao, H.; Heeringa, P.; Liu, Z.; Huugen, D.; Hu, P.; Maeda, N.; Falk, R.J.; Jennette, J.C. The role of neutrophils in the induction of glomerulonephritis by anti-myeloperoxidase antibodies. Am. J. Pathol. 2005, 167, 39–45. [Google Scholar] [CrossRef]
- Rizzo, P.; Novelli, R.; Rota, C.; Gagliardini, E.; Ruggiero, B.; Rottoli, D.; Benigni, A.; Remuzzi, G. The Role of Angiotensin II in Parietal Epithelial Cell Proliferation and Crescent Formation in Glomerular Diseases. Am. J. Pathol. 2017, 187, 2441–2450. [Google Scholar] [CrossRef]
- Nakazawa, D.; Shida, H.; Tomaru, U.; Yoshida, M.; Nishio, S.; Atsumi, T.; Ishizu, A. Enhanced formation and disordered regulation of NETs in myeloperoxidase-ANCA-associated microscopic polyangiitis. J. Am. Soc. Nephrol. JASN 2014, 25, 990–997. [Google Scholar] [CrossRef]
- Tsukui, D.; Kimura, Y.; Kono, H. Pathogenesis and pathology of anti-neutrophil cytoplasmic antibody(ANCA)-associated vasculitis. J. Transl. Autoimmun. 2021, 4, 100094. [Google Scholar] [CrossRef]
- Kitching, A.R.; Anders, H.-J.; Basu, N.; Brouwer, E.; Gordon, J.; Jayne, D.R.; Kullman, J.; Lyons, P.A.; Merkel, P.A.; Savage, C.O.S.; et al. ANCA-associated vasculitis. Nat. Rev. Dis. Primer. 2020, 6, 71. [Google Scholar] [CrossRef]
- Abraham, A.P.; Ma, F.Y.; Mulley, W.R.; Nikolic-Paterson, D.J.; Tesch, G.H. Matrix metalloproteinase-12 deficiency attenuates experimental crescentic anti-glomerular basement membrane glomerulonephritis. Nephrol. Carlton. Vic. 2018, 23, 183–189. [Google Scholar] [CrossRef] [PubMed]
- Dzau, V.J.; Gonzalez, D.; Kaempfer, C.; Dubin, D.; Wintroub, B.U. Human neutrophils release serine proteases capable of activating prorenin. Circ. Res. 1987, 60, 595–601. [Google Scholar] [CrossRef] [PubMed]
- Ramaha, A.; Patston, P.A. Release and degradation of angiotensin I and angiotensin II from angiotensinogen by neutrophil serine proteinases. Arch. Biochem. Biophys. 2002, 397, 77–83. [Google Scholar] [CrossRef] [PubMed]
- Rizzo PNovelli, R.; Benigni, A. Inhibiting angiotensin-converting enzyme promotes renal repair by modulating progenitor cell activation. Pharmacol. Res. 2016, 108, 16–22. [Google Scholar] [CrossRef] [PubMed]
- Hammer, A.; Yang, G.; Friedrich, J.; Kovacs, A.; Lee, D.; Grave, K.; Jörg, S.; Alenina, N.; Grosch, J.; Winkler, J.; et al. Role of the receptor Mas in macrophage-mediated inflammation in vivo. Proc. Natl. Acad. Sci. USA 2016, 113, 14109–14114. [Google Scholar] [CrossRef]
- Barroso, L.C.; Magalhaes, G.S.; Galvão, I.; Reis, A.C.; Souza, D.G.; Sousa, L.P.; Santos, R.A.S.; Campagnole-Santos, M.J.; Pinho, V.; Teixeira, M.M. Angiotensin-(1-7) Promotes Resolution of Neutrophilic Inflammation in a Model of Antigen-Induced Arthritis in Mice. Front. Immunol. 2017, 8, 1596. [Google Scholar] [CrossRef]
- de Carvalho Santuchi, M.; Dutra, M.F.; Vago, J.P.; Lima, K.M.; Galvão, I.; de Souza-Neto, F.P.; Silva, M.M.E.; Oliveira, A.C.; de Oliveira, F.C.B.; Gonçalves, R.; et al. Angiotensin-(1-7) and Alamandine Promote Anti-inflammatory Response in Macrophages In Vitro and In Vivo. Mediat. Inflamm. 2019, 2019, 2401081. [Google Scholar] [CrossRef]
- da Silveira, K.D.; Coelho, F.M.; Vieira, A.T.; Sachs, D.; Barroso, L.C.; Costa, V.V.; Bretas, T.L.B.; Bader, M.; de Sousa, L.P.; da Silva, T.A.; et al. Anti-inflammatory effects of the activation of the angiotensin-(1-7) receptor, MAS, in experimental models of arthritis. J. Immunol. 2010, 185, 5569–5576. [Google Scholar] [CrossRef]
- Ruth, A.-J.; Kitching, A.R.; Kwan, R.Y.Q.; Odobasic, D.; Ooi, J.D.K.; Timoshanko, J.R.; Hickey, M.J.; Holdsworth, S.R. Anti-Neutrophil Cytoplasmic Antibodies and Effector CD4+ Cells Play Nonredundant Roles in Anti-Myeloperoxidase Crescentic Glomerulonephritis. J. Am. Soc. Nephrol. 2006, 17, 1940–1949. [Google Scholar] [CrossRef]
- Han, Y.; Ma, F.Y.; Tesch, G.H.; Manthey, C.L.; Nikolic-Paterson, D.J. Role of macrophages in the fibrotic phase of rat crescentic glomerulonephritis. Am. J. Physiol. Renal. Physiol. 2013, 304, F1043–F1053. [Google Scholar] [CrossRef]







| Groups | Body Weight (g) | SBP (mmHg) | Kidney Weight/ Body Weight (%) |
|---|---|---|---|
| Vehicle (n = 6) | 272 ± 7 ** | 192 ± 7 *** | 0.69 ± 0.05 *** |
| cAng-(1-7) + Cyc (n = 5) | 301 ± 7 | 168 ± 3 | 0.46 ± 0.01 |
| Cyclophosphamide (n = 6) | 289 ± 8 | 182 ± 5 ** | 0.54 ± 0.03 * |
| Control (n = 5) | 326 ± 15 | 148 ± 3 | 0.37 ± 0.01 |
Publisher’s Note: MDPI stays neutral with regard to jurisdictional claims in published maps and institutional affiliations. |
© 2022 by the authors. Licensee MDPI, Basel, Switzerland. This article is an open access article distributed under the terms and conditions of the Creative Commons Attribution (CC BY) license (https://creativecommons.org/licenses/by/4.0/).
Share and Cite
Cerullo, D.; Rottoli, D.; Corna, D.; Abbate, M.; Benigni, A.; Remuzzi, G.; Zoja, C. Add-On Cyclic Angiotensin-(1-7) with Cyclophosphamide Arrests Progressive Kidney Disease in Rats with ANCA Associated Glomerulonephritis. Cells 2022, 11, 2434. https://doi.org/10.3390/cells11152434
Cerullo D, Rottoli D, Corna D, Abbate M, Benigni A, Remuzzi G, Zoja C. Add-On Cyclic Angiotensin-(1-7) with Cyclophosphamide Arrests Progressive Kidney Disease in Rats with ANCA Associated Glomerulonephritis. Cells. 2022; 11(15):2434. https://doi.org/10.3390/cells11152434
Chicago/Turabian StyleCerullo, Domenico, Daniela Rottoli, Daniela Corna, Mauro Abbate, Ariela Benigni, Giuseppe Remuzzi, and Carlamaria Zoja. 2022. "Add-On Cyclic Angiotensin-(1-7) with Cyclophosphamide Arrests Progressive Kidney Disease in Rats with ANCA Associated Glomerulonephritis" Cells 11, no. 15: 2434. https://doi.org/10.3390/cells11152434
APA StyleCerullo, D., Rottoli, D., Corna, D., Abbate, M., Benigni, A., Remuzzi, G., & Zoja, C. (2022). Add-On Cyclic Angiotensin-(1-7) with Cyclophosphamide Arrests Progressive Kidney Disease in Rats with ANCA Associated Glomerulonephritis. Cells, 11(15), 2434. https://doi.org/10.3390/cells11152434

