Sign in to use this feature.

Years

Between: -

Subjects

remove_circle_outline
remove_circle_outline
remove_circle_outline
remove_circle_outline
remove_circle_outline
remove_circle_outline
remove_circle_outline

Journals

Article Types

Countries / Regions

Search Results (183)

Search Parameters:
Keywords = pRNFL

Order results
Result details
Results per page
Select all
Export citation of selected articles as:
20 pages, 815 KB  
Article
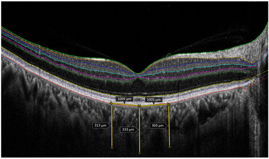
Sectoral Analysis of Corneal Thickness in Glaucoma and Healthy Eyes and Its Relationship with RNFL and Rim Area
by Piotr Miklaszewski, Anna Maria Gadamer, Zuzanna Lelek, Dominika Janiszewska-Bil, Anita Lyssek-Boroń, Dariusz Dobrowolski, Edward Wylęgała, Beniamin Oskar Grabarek, Michael Janusz Koss and Katarzyna Krysik
J. Clin. Med. 2026, 15(6), 2405; https://doi.org/10.3390/jcm15062405 - 21 Mar 2026
Viewed by 34
Abstract
Background/Objectives: To characterize sectoral corneal thickness (CT) profiles in eyes with primary open-angle glaucoma (POAG) compared with healthy eyes and to evaluate potential associations between CT, retinal nerve fiber layer (RNFL) thickness, and optic disc rim area (RA). Methods: In this [...] Read more.
Background/Objectives: To characterize sectoral corneal thickness (CT) profiles in eyes with primary open-angle glaucoma (POAG) compared with healthy eyes and to evaluate potential associations between CT, retinal nerve fiber layer (RNFL) thickness, and optic disc rim area (RA). Methods: In this cross-sectional study, 192 participants (91 with POAG and 101 controls) contributed 297 eyes (145 glaucoma eyes and 152 control eyes). All participants underwent comprehensive ophthalmological examination and spectral-domain optical coherence tomography (OCT; Optovue Solix, Fremont, CA, USA) to obtain peripapillary RNFL measurements, optic disc rim area, and corneal pachymetry maps across five sectors (central, superior, inferior, temporal, and nasal). Repeated-measures correlation analyses were used to assess within-subject associations between CT and RA, and generalized estimating equation (GEE) models were applied to evaluate independent associations between CT, glaucoma status, disease severity, and RNFL thickness while adjusting for relevant covariates. Results: Eyes with POAG exhibited significantly thinner corneas across all sectors compared with controls (all p < 0.05), with the greatest differences observed in the superior (median 607.0 μm vs. 640.0 μm, p < 0.001) and temporal (562.0 μm vs. 579.5 μm, p < 0.001) regions. Average RNFL thickness and rim area were also significantly reduced in glaucoma eyes (all p < 0.001). However, no independent associations between sectoral CT and RNFL thickness or RA were observed after adjustment for multiple comparisons. Although nominal associations between thinner inferotemporal CT and reduced RNFL thickness were observed in unadjusted analyses, these did not remain statistically significant after false discovery rate correction. In multivariable GEE models, glaucoma diagnosis and greater disease severity were consistently associated with reduced RNFL thickness (β range: −11.0 to −42.2 μm; all p < 0.001), whereas CT was not independently associated with RNFL thickness (all adjusted p > 0.07). Conclusions: Sectoral corneal thickness is significantly reduced in eyes with POAG but does not independently correlate with RNFL thickness or optic disc rim area after adjustment for confounding factors. These findings support the concept that corneal thinning reflects structural and biomechanical susceptibility to glaucoma rather than serving as a marker of established neuroretinal damage severity. Further longitudinal studies incorporating comprehensive biomechanical assessments are warranted to clarify the role of corneal structure in glaucoma pathophysiology. Full article
(This article belongs to the Section Ophthalmology)
Show Figures

Figure 1

18 pages, 2594 KB  
Article
APSified Peripapillary Vessel Density in Glaucoma Suspects and Open-Angle Glaucoma
by Michael Moritz, Julia Schottenhamml, Marius Muenk, Meike Müller, Christian Mardin and Bettina Hohberger
Diagnostics 2026, 16(6), 932; https://doi.org/10.3390/diagnostics16060932 - 21 Mar 2026
Viewed by 30
Abstract
Background/Objectives: Optical coherence tomography-angiography (OCT-A) is a non-invasive method of visualizing the capillary system. As vascular dysregulation impacts glaucoma pathogenesis, the aim of this study was to evaluate APSified-BMO-based-peripapillary vessel density (VD) in patients with ocular hypertension (OHT), pre-perimetric-open-angle glaucoma, as well [...] Read more.
Background/Objectives: Optical coherence tomography-angiography (OCT-A) is a non-invasive method of visualizing the capillary system. As vascular dysregulation impacts glaucoma pathogenesis, the aim of this study was to evaluate APSified-BMO-based-peripapillary vessel density (VD) in patients with ocular hypertension (OHT), pre-perimetric-open-angle glaucoma, as well as primary (POAG) and secondary (SOAG) open-angle glaucoma in comparison to healthy controls using OCT-A. Methods: The present study included 180 eyes from 115 patients of the Erlangen Glaucoma Registry, divided into 35 eyes with OHT, 16 pre-perimetric-OAG eyes, 64 OAG eyes—which were subdivided into 37 POAG and 27 SOAG eyes—and 65 healthy controls. All subjects underwent measurements of the retinal nerve fiber layer (RNFL), inner nuclear layer (INL), retinal ganglion cell (RGC) layer, and Bruch membrane opening–minimum rim width (BMO-MRW). APSified-BMO-based-peripapillary vessel density (VD) was visualized by using OCT-A and quantified using the Erlangen Angio Tool. Results: Mean APSified-BMO-based peripapillary VD showed a significant correlation with age (p < 0.0001). Considering the age effect, mean APSified-BMO-based peripapillary VD of OAG was significantly lower compared to healthy eyes (p < 0.0001) and OHT (p = 0.016). Subgroup analysis yielded a significant difference in mean APSified-BMO-based peripapillary VD between controls and POAG (p = 0.001) and SOAG (p = 0.018), respectively. In addition, a significant difference was observed between OHT and POAG patients (p = 0.036). No significant differences were observed between the OHT, pre-perimetric-OAG, and healthy eyes, respectively. Conclusions: As peripapillary VD was significantly decreased in glaucoma patients compared to controls, the data might suggest that peripapillary VD might be useful for monitoring glaucoma progress. Full article
(This article belongs to the Section Biomedical Optics)
Show Figures

Figure 1

16 pages, 2744 KB  
Article
BDNF and TNF-α, OCT and VF Parameters in Pituitary Macroadenoma Patients: A 12-Month Prospective Study
by Monika Sarnat-Kucharczyk, Beata Kos-Kudła, Małgorzata A. Janik, Paweł Janik, Katarzyna Komosińska-Vassev, Aleksandra Górecka and Ewa Mrukwa-Kominek
Int. J. Mol. Sci. 2026, 27(6), 2609; https://doi.org/10.3390/ijms27062609 - 12 Mar 2026
Viewed by 129
Abstract
Pituitary macroadenomas often cause visual pathway impairment due to optic chiasm compression. The association between systemic neurotrophic factors and visual recovery remains insufficiently explored. This prospective observational cohort study included 53 patients (106 eyes); 36 patients (72 eyes) completed a 12-month follow-up. Patients [...] Read more.
Pituitary macroadenomas often cause visual pathway impairment due to optic chiasm compression. The association between systemic neurotrophic factors and visual recovery remains insufficiently explored. This prospective observational cohort study included 53 patients (106 eyes); 36 patients (72 eyes) completed a 12-month follow-up. Patients were assigned to a treatment group (surgical and/or pharmacological; n = 23) or an observation group (n = 13). Serum brain-derived neurotrophic factor (BDNF) and tumor necrosis factor-α (TNF-α) were measured at baseline and 12 months. Structural parameters (retinal nerve fiber layer [RNFL], ganglion cell–inner plexiform layer [GCIPL]) and visual field indices (mean sensitivity [MS], mean deviation [MD], square root of loss variance [sLV]) were assessed using optical coherence tomography and automated perimetry. Serum BDNF levels differed significantly between groups at baseline (p = 0.0022) and at 12 months (p < 0.0001), while TNF-α levels showed no significant changes. The treatment group demonstrated significant improvement in visual field parameters and modest RNFL thickening in the right eye (p = 0.0087). Baseline BDNF levels correlated inversely with OCT and visual field measures, particularly in non-functioning adenomas (R = −0.70 to −0.80, p < 0.01). Baseline BDNF predicted treatment qualification (AUC = 0.815). Pituitary macroadenomas are associated with visual dysfunction and systemic neurotrophic alterations. Elevated BDNF may reflect a compensatory neuroprotective response, supporting combined molecular and ophthalmic monitoring. Full article
(This article belongs to the Special Issue Advanced Molecular Research in Brain Tumors)
Show Figures

Figure 1

16 pages, 3309 KB  
Article
Can the Posterior Segment Findings of the Eye and Serum Microbiota Metabolites Be a Biomarker in Schizophrenia?
by Sinem Keser, Sevler Yıldız, Süleyman Aydın, Jülide Keleş, Aziz Aksoy and Elif Emre
Medicina 2026, 62(3), 528; https://doi.org/10.3390/medicina62030528 - 12 Mar 2026
Viewed by 146
Abstract
Background and Objectives: In many neurodegenerative diseases, the pathological changes occurring in the central nervous system may be reflected in the periphery. The aim of this study was to examine the possible relationship between the retina, choroid, and nerve fibre layer thicknesses measured [...] Read more.
Background and Objectives: In many neurodegenerative diseases, the pathological changes occurring in the central nervous system may be reflected in the periphery. The aim of this study was to examine the possible relationship between the retina, choroid, and nerve fibre layer thicknesses measured on optic coherence tomography (OCT) and the serum microbiota metabolite levels of trimethyl amine-N-oxide (TMAO), S-equol, Indoxyl sulphate (IS), and Maresin 1 (MaR1). Materials and Methods: This study included a total of 60 subjects, comprising 30 patients diagnosed with schizophrenia and a control group of 30 healthy individuals. A sociodemographic form was given to all the subjects and the Positive and Negative Syndrome Scale (PANSS) to the schizophrenia patients. The eye fundus was evaluated with OCT. A 5 mL blood sample was taken from the arm of each subject, and the microbiota metabolite levels of TMAO, S-equol, IS, and MaR1 were examined. Results: The retina nerve fibre layer (RNFL) analysis results showed that the RNFL superior (p = 0.016), inferior (p = 0.002), central choroid (p = 0.033), nasal choroid (p = 0.004), temporal choroid (p = 0.038), and TMAO (p = 0.001) values were significantly lower in the schizophrenia patients than in the control group. In the patient group, a significant negative correlation was determined between the RNFL temporal measurements and IS, as well as a significant positive correlation between the central choroid measurement and the nasal choroid and temporal choroid measurements and between the nasal choroid and temporal choroid measurements. A statistically significant positive correlation was seen between S-equol and TMAO. A significant negative correlation was seen between the MaR1 level and age and disease duration. Conclusions: The study results showed that fundus changes are associated with serum microbiota metabolite levels in schizophrenia patients. Therefore, these parameters may be considered potential exploratory biomarkers; however, their clinical applicability requires validation in larger longitudinal studies. Full article
(This article belongs to the Section Ophthalmology)
Show Figures

Figure 1

9 pages, 682 KB  
Article
Ocular Safety of Unilateral Biportal Endoscopic Spinal Surgery: An Optical Coherence Tomography Angiography-Based Analysis
by Ali Gulec, Ebubekir Eravsar, Sadettin Ciftci, Abdullah Beyoglu and Bahattin Kerem Aydin
J. Clin. Med. 2026, 15(5), 1774; https://doi.org/10.3390/jcm15051774 - 26 Feb 2026
Viewed by 237
Abstract
Background: UBE has gained popularity as a minimally invasive alternative to open spinal procedures. However, it raises concerns about potential ocular complications. Despite these concerns, there is a lack of studies evaluating UBE’s impact on retinal microvasculature using objective imaging tools such [...] Read more.
Background: UBE has gained popularity as a minimally invasive alternative to open spinal procedures. However, it raises concerns about potential ocular complications. Despite these concerns, there is a lack of studies evaluating UBE’s impact on retinal microvasculature using objective imaging tools such as OCTA. This study aims to evaluate the effects of UBE on the microvascular structures of the retina and optic nerve using OCTA, and to determine whether UBE poses a risk for perioperative vision loss. Methods: This study included 32 patients who underwent UBE for lumbar stenosis and received ophthalmologic examinations preoperatively, and at postoperative weeks 1 and 4. Patients with systemic or ocular vascular comorbidities were excluded. OCTA parameters including vascular density (VD), foveal avascular zone (FAZ), retinal nerve fiber layer (RNFL), central macular thickness (CMT), and subfoveal choroidal thickness (SFCT) were evaluated using swept-source OCT. Results: No patients experienced clinical vision loss. A statistically significant change was observed over time in FAZ (p = 0.043), VDd superior (p = 0.018), VDd temporal (p = 0.032), and RNFLts (p = 0.032). However, only VDd superior showed a statistically significant decrease at postoperative week 4 compared to baseline (p = 0.050). All other parameters either returned to baseline or showed no significant change. No clinically relevant visual changes were detected. Conclusions: In this study, UBE spinal surgery was not associated with clinically evident visual loss or sustained OCTA-detected microvascular alterations during short-term follow-up. These findings should be interpreted as reflecting the absence of detectable short-term changes rather than definitive evidence of ocular safety. Full article
(This article belongs to the Special Issue Clinical Research on Minimally Invasive Spine Surgery)
Show Figures

Figure 1

10 pages, 1366 KB  
Article
Inflammatory Hyperreflective Retinal Foci: An OCT Biomarker of Neuroinflammation in Geographic Atrophy
by Federico Parolini, Elisabetta Pilotto, Edoardo Midena and Giulia Midena
J. Clin. Med. 2026, 15(4), 1453; https://doi.org/10.3390/jcm15041453 - 12 Feb 2026
Viewed by 436
Abstract
Background: Inflammatory hyperreflective retinal foci (I-HRF) have been recognized as an optical coherence tomography (OCT) biomarker of aggregates of activated microglial cells. Microglia, the principal resident immune cells, are key players in geographic atrophy (GA) development and progression. Objective: To quantify [...] Read more.
Background: Inflammatory hyperreflective retinal foci (I-HRF) have been recognized as an optical coherence tomography (OCT) biomarker of aggregates of activated microglial cells. Microglia, the principal resident immune cells, are key players in geographic atrophy (GA) development and progression. Objective: To quantify I-HRF distribution across inner (IR) and outer (OR) retinal layers in GA compared with healthy controls. Methods: Retrospective observational study including patients aged ≥50 years with GA lesion area >1.25 mm2 and age-matched healthy subjects. GA eyes were classified as bilateral GA (B-GA) or unilateral GA (U-GA; fellow eye with macular neovascularization). Using Spectralis OCT, I-HRF (≤30 μm; RNFL-like reflectivity; no posterior shadowing) were identified and counted across IR and OR. Results: Sixty-eight eyes from 46 patients with GA (B-GA: 49 eyes; U-GA: 19 eyes) and 19 control eyes were studied. I-HRF were higher in IR than in OR in all groups (p < 0.001). I-HRF were higher in GA eyes in both layers compared with controls (p < 0.05). U-GA exhibited higher I-HRF than B-GA in IR (44.32 ± 8.47 vs. 30.10 ± 7.62; p < 0.001), while I-HRF were not significantly different in OR (9.58 ± 3.04 vs. 8.02 ± 3.33; p = 0.081). Conclusions: I-HRF are increased in GA. They are more numerous in IR, consistent with their proposed inflammatory origin. These findings further support the role microglia may play in GA pathology. I-HRF may become an OCT biomarker to track GA-associated neuroinflammation in different GA phenotypes. Longitudinal studies are needed to clarify I-HRF significance in GA progression. Full article
(This article belongs to the Section Ophthalmology)
Show Figures

Figure 1

13 pages, 736 KB  
Article
Optical Coherence Tomography Angiography-Derived Peripapillary Vessel Density Findings in Multiple Sclerosis
by Angeliki G. Filippatou, Vasilios S. Liarakos, Eirini Okoutsidou, Dimitrios Tzanetakos, Aikaterini Theodorou, Lina Palaiodimou, Maria-Ioanna Stefanou, Alexandra Akrivaki, Evangelia-Makrina Dimitriadou, John S. Tzartos, Sotirios Giannopoulos, Konstantinos Voumvourakis and Georgios Tsivgoulis
J. Clin. Med. 2026, 15(4), 1329; https://doi.org/10.3390/jcm15041329 - 7 Feb 2026
Viewed by 392
Abstract
Background/Objectives: Multiple sclerosis (MS)-related optic neuritis (ON) results in thinning of the peripapillary nerve fiber layer (pRNFL) which tends to be temporal quadrant-predominant. Optical coherence tomography angiography (OCTA) enables visualization of the retinal vasculature. Prior studies have shown reduced peripapillary vessel density (VD) [...] Read more.
Background/Objectives: Multiple sclerosis (MS)-related optic neuritis (ON) results in thinning of the peripapillary nerve fiber layer (pRNFL) which tends to be temporal quadrant-predominant. Optical coherence tomography angiography (OCTA) enables visualization of the retinal vasculature. Prior studies have shown reduced peripapillary vessel density (VD) in MS but data on the quadrantic pattern of peripapillary VD loss are limited. Our objective was to investigate the pattern of OCTA-derived peripapillary VD reduction in MS. Methods: People with MS (PwMS) and healthy controls (HC) underwent optic disc OCTA scans (Solix, Optovue) and VD was derived for the peripapillary region and quadrants. Eyes with ON within six months were excluded. Analyses were performed with generalized estimating equations models and standardized coefficients are presented. Results: We included 50 eyes from 29 PwMS (12 ON, 38 non-ON) and 12 eyes from 6 HC. VD in the peripapillary region was lower in MS ON eyes compared to HC with the largest effect size observed in the temporal quadrant (average: −1.47, p < 0.001; superior: −1.08, p = 0.006; inferior: −0.94; p = 0.017; temporal: −1.55; p < 0.001; nasal: −1.06, p = 0.007). In MS non-ON eyes, only temporal VD was significantly lower compared to HC eyes (temporal: −0.77, p = 0.004). Moderate to strong correlations were observed between OCT and corresponding OCTA metrics from the same regions. Conclusions: Our findings suggest that vascular alterations in the peripapillary region may exhibit a temporal quadrant predominant pattern. Larger studies are needed to further characterize the patterns and temporal evolution of retinal peripapillary vascular injury in MS. Full article
(This article belongs to the Section Clinical Neurology)
Show Figures

Figure 1

15 pages, 4134 KB  
Article
A Spectral-Domain-OCT-Guided One-Year Follow-Up of Newly Diagnosed Pediatric Idiopathic Intracranial Hypertension Patients
by Yuval Cohen, Michael Eidel, Aviv Vidan, Gilad Hadar and Otzem Chassid
Diagnostics 2026, 16(3), 457; https://doi.org/10.3390/diagnostics16030457 - 1 Feb 2026
Viewed by 2056
Abstract
Background/Objectives: To examine longitudinal changes in total retinal nerve fiber layer thickness (RNFLT) as the primary outcome measure in newly diagnosed pediatric idiopathic intracranial hypertension (IIH) patients using Spectral-Domain Optical Coherence Tomography (SD-OCT) at one-year follow-up. Methods: This is a prospective observational cohort [...] Read more.
Background/Objectives: To examine longitudinal changes in total retinal nerve fiber layer thickness (RNFLT) as the primary outcome measure in newly diagnosed pediatric idiopathic intracranial hypertension (IIH) patients using Spectral-Domain Optical Coherence Tomography (SD-OCT) at one-year follow-up. Methods: This is a prospective observational cohort study with cross-sectional control-group comparison. We included children with clinically definite IIH (IIH group) and children without papilledema and a normal neurological exam as a control group. Optic nerve parameters, including the primary outcome measure RNFLT and secondary outcome measures such as total retinal thickness (TRT) and optic disk area (ODA), were evaluated using SD-OCT (3D OCT-2000, Topcon, Topcon Corporation, Tokyo, Japan). Evaluations took place at presentation and, for the IIH group, before lumbar puncture (LP), at 1-day post-LP and at 1-, 3-, 6-, and 12-month follow-ups. Results: A total of 44 children aged 7–17 years were recruited (IIH group: N = 19, control group: N = 25). The mean baseline RNFLT was 133.1 ± 18.5 µm and 113.1 ± 8.7 µm for the IIH and control groups (p < 0.001), respectively. The IIH group showed a significant decline in RNFLT at the third-month follow-up. Between 3-month to one-year follow-up, mean total RNFLT showed an insignificant decline of 6 µm and did not differ from the RNFLT of the control group; however, segmental analysis of RNFLT showed a significant decline in the thickness of the nasal segments. At the one-year follow-up, two children had significant thinning of RNFLT at the superior quadrant. Intracranial pressure measured in the IIH group was directly correlated with RNFLT at the superior segment. Conclusions: SD-OCT is a useful non-invasive adjunct tool for the diagnosis and follow-up of IIH in children from primary school age onward. RNFL thickening resolved in most children at 3 months from IIH diagnosis. The study is constrained by specific methodological limitations, including a small sample size and non-contemporaneous evaluation of the control group compared with the IIH group. The significance of the segmental RNFL changes observed after one year should be further investigated with regard to long-term development, if possible with a larger prospective study that also considers the ganglion cell layer to explore for permanent axonal damage to the optic nerve. Full article
(This article belongs to the Special Issue Diagnosis and Management of Ophthalmic Disorders)
Show Figures

Figure 1

14 pages, 1830 KB  
Article
Sleep Deficit and Inflammatory Markers as Combined Risk Factors for Glaucoma Progression: A Prospective Longitudinal Observational Cohort Study
by Raluca Neacşa, Cristiana Tănase, Adina-Diana Moldovan, Daniela Manasia and Mădălina-Elena Tobă
Int. J. Mol. Sci. 2026, 27(3), 1338; https://doi.org/10.3390/ijms27031338 - 29 Jan 2026
Viewed by 352
Abstract
Glaucoma progression differs markedly between individuals despite comparable intraocular pressure control, implying additional modifiable contributors to neurodegeneration. We evaluated the joint impact of sleep deficit and inflammatory cytokine trajectories on retinal nerve fiber layer (RNFL) loss. In this 24-month prospective longitudinal observational cohort, [...] Read more.
Glaucoma progression differs markedly between individuals despite comparable intraocular pressure control, implying additional modifiable contributors to neurodegeneration. We evaluated the joint impact of sleep deficit and inflammatory cytokine trajectories on retinal nerve fiber layer (RNFL) loss. In this 24-month prospective longitudinal observational cohort, 57 participants (19 controls, 19 prostaglandin-treated glaucoma, 19 untreated glaucoma) underwent spectral-domain OCT, validated sleep assessment, and serial IL-6 and TNF-α profiling. Longitudinal models tested independent and interactive effects of sleep deficit and inflammation on RNFL change, and mediation analyses assessed whether inflammation explains the sleep–progression association. RNFL loss rates were −0.20 ± 0.10 μm/year (controls), −1.06 ± 0.89 μm/year (treated), and −1.94 ± 0.78 μm/year (untreated; p < 0.001). Sleep deficit correlated with RNFL loss in glaucoma (r = −0.41, p = 0.010) but not controls, with stronger effects in untreated disease (p = 0.034). Each hour of sleep deficit was associated with 0.09–0.11 μm/year faster RNFL loss (p < 0.05). A combined sleep–inflammation model improved risk stratification (C-statistic = 0.68). Mediation was not supported. Sleep deficit and inflammatory cytokines act as parallel, independent risk factors for glaucoma progression. Integrating sleep and inflammatory profiling may enhance personalized risk assessment beyond pressure-based management. Full article
(This article belongs to the Special Issue Molecular Research and Advances in Ocular Disease)
Show Figures

Figure 1

16 pages, 1317 KB  
Article
An Exploratory Study of Six-Month Niacinamide Supplementation on Macular Structure and Electrophysiology in Primary Open-Angle Glaucoma
by Constantin Alin Nicola, Maria Cristina Marinescu, Cristina Alexandrescu, Anne Marie Firan, Walid Alyamani, Mihaela Simona Naidin, Radu Constantin Ciuluvica, Radu Antoniu Patrascu, Anca Maria Capraru and Adina Turcu-Stiolica
Vision 2026, 10(1), 7; https://doi.org/10.3390/vision10010007 - 28 Jan 2026
Viewed by 549
Abstract
Background and Objectives: Primary open-angle glaucoma (POAG) is one of the leading ocular diseases leading to irreversible blindness and is often asymptomatic until advanced cases. While intraocular pressure reduction remains the cornerstone of treatment, neuroprotective strategies targeting retinal ganglion cell metabolism are actively [...] Read more.
Background and Objectives: Primary open-angle glaucoma (POAG) is one of the leading ocular diseases leading to irreversible blindness and is often asymptomatic until advanced cases. While intraocular pressure reduction remains the cornerstone of treatment, neuroprotective strategies targeting retinal ganglion cell metabolism are actively investigated. Niacinamide (nicotinamide, vitamin B3), a precursor of NAD+, has shown neuroprotective potential in preclinical models. This exploratory study evaluated the short-term functional, structural, and electrophysiological effects of oral niacinamide supplementation in POAG. Materials and Methods: In this interventional study, patients with POAG received oral niacinamide 500 mg daily for six months. Visual field (VF) global and localized sensitivity (Mean Deviation [MD], Pattern Standard Deviation [PSD]), Optic Coherence Tomography (OCT)-derived peripapillary retinal nerve fiber layer (RNFL) and macular ganglion cell complex (GCC), and Visual evoked potentials (VEP) latency parameters (P2 1.4 Hz, P100 1°, and P100 15′) were assessed at baseline and at six months. Because both eyes from some participants were included, primary longitudinal inference was based on clustered analyses using generalized estimating equations and linear mixed-effects models to account for inter-eye correlation. Eye-level paired analyses were used for exploratory comparison. Change–change relationships across modalities were explored using Spearman correlation. Results: After accounting for inter-eye correlation, no statistically significant change in MD was detected (mean ΔMD +0.43 dB; GEE p = 0.099; LME p = 0.101), and PSD remained stable. RNFL thickness showed a small decrease (−1.26 µm; GEE p = 0.046), while GCC did not change significantly. VEP P100 latencies remained stable, whereas P2 latency showed a small increase (+3.9 ms; GEE p = 0.039). Correlation analysis revealed a moderate association between changes in GCC and MD (ρ = 0.44), suggesting concordance between macular structural stability and global visual field performance. Conclusions: When inter-eye correlation is appropriately accounted for, six months of niacinamide supplementation in POAG is associated with overall functional, structural, and electrophysiological stability, without evidence of clinically meaningful improvement or progression. These findings support short-term safety and highlight the importance of clustered analytical approaches and macular-centered biomarkers in future glaucoma neuroprotection trials. Full article
(This article belongs to the Topic New Developments in Glaucoma Diagnostics and Therapeutics)
Show Figures

Figure 1

12 pages, 3222 KB  
Article
Temporal Arcuate Relaxing Retinotomy for Persistent Full-Thickness Macular Holes: Anatomical and Functional Assessment
by Luca Ventre, Erik Mus, Antonio Valastro, Gabriella De Salvo and Michele Reibaldi
J. Clin. Med. 2026, 15(2), 863; https://doi.org/10.3390/jcm15020863 - 21 Jan 2026
Viewed by 158
Abstract
Background: Evidence guiding secondary repair of persistent full-thickness macular holes (FTMHs) remains limited and heterogeneous. Temporal arcuate relaxing retinotomy has been described as a salvage maneuver intended to increase temporal retinal compliance, yet functional safety data are scarce. We report consecutive real-world outcomes [...] Read more.
Background: Evidence guiding secondary repair of persistent full-thickness macular holes (FTMHs) remains limited and heterogeneous. Temporal arcuate relaxing retinotomy has been described as a salvage maneuver intended to increase temporal retinal compliance, yet functional safety data are scarce. We report consecutive real-world outcomes of temporal arcuate relaxing retinotomy for persistent FTMHs after failed standard repair(s). Methods: Retrospective consecutive case series of patients with persistent FTMH after ≥1 pars plana vitrectomy (PPV) with internal limiting membrane (ILM) peeling, treated with repeat PPV and temporal arcuate relaxing retinotomy. Outcomes included OCT (Optical Coherence Tomography)-confirmed closure after gas absorption and best-corrected visual acuity (BCVA, logMAR), ellipsoid zone (EZ) status, retinotomy-site morphology on OCT/fundus autofluorescence (FAF), and safety/functional outcomes (systematic scotoma symptom inquiry; Humphrey visual field testing when feasible). Exact binomial 95% confidence intervals (CI) were calculated for proportions. Results: Nine eyes (median age 70 years; range 55–76) underwent temporal arcuate relaxing retinotomy for persistent FTMH. Minimum linear diameter ranged 412–1037 µm (median 613 µm). OCT-confirmed closure was achieved in 7/9 eyes (77.8%; 95% CI 40.0–97.2) at a mean follow-up of 5.9 months (range 2–12). BCVA improved in 8/9 eyes (88.9%; 95% CI 51.8–99.7); mean BCVA improved from 1.26 ± 0.51 logMAR pre-operatively to 0.61 ± 0.18 logMAR at last follow-up (mean change −0.64 logMAR; Wilcoxon signed-rank test p = 0.011). As a sensitivity analysis, the paired t-test yielded p = 0.008. Humphrey visual fields were obtained in 6/9 eyes; one patient reported a new paracentral nasal scotoma, which was subjectively well tolerated. Conclusions: In this small consecutive series, temporal arcuate relaxing retinotomy was associated with a 78% closure rate and mean BCVA improvement in eyes with persistent FTMH after failed standard repair(s), with limited symptomatic scotoma reporting in those assessed. Given the retrospective design, small cohort, and incomplete standardized functional testing, larger comparative studies with uniform functional endpoints (microperimetry, RNFL/GCL metrics, and systematic perimetry) are needed to define patient selection, reproducibility, and relative performance versus contemporary salvage options. Full article
Show Figures

Figure 1

18 pages, 2295 KB  
Article
Automatic Retinal Nerve Fiber Segmentation and the Influence of Intersubject Variability in Ocular Parameters on the Mapping of Retinal Sites to the Pointwise Orientation Angles
by Diego Luján Villarreal and Adriana Leticia Vera-Tizatl
J. Imaging 2026, 12(1), 47; https://doi.org/10.3390/jimaging12010047 - 19 Jan 2026
Viewed by 377
Abstract
The current study investigates the influence of intersubject variability in ocular characteristics on the mapping of visual field (VF) sites to the pointwise directional angles in retinal nerve fiber layer (RNFL) bundle traces. In addition, the performance efficacy on the mapping of VF [...] Read more.
The current study investigates the influence of intersubject variability in ocular characteristics on the mapping of visual field (VF) sites to the pointwise directional angles in retinal nerve fiber layer (RNFL) bundle traces. In addition, the performance efficacy on the mapping of VF sites to the optic nerve head (ONH) was compared to ground truth baselines. Fundus photographs of 546 eyes of 546 healthy subjects (with no history of ocular disease or diabetic retinopathy) were enhanced digitally and RNFL bundle traces were segmented based on the Personalized Estimated Segmentation (PES) algorithm’s core technique. A 24-2 VF grid pattern was overlaid onto the photographs in order to relate VF test points to intersecting RNFL bundles. The PES algorithm effectively traced RNFL bundles in fundus images, achieving an average accuracy of 97.6% relative to the Jansonius map through the application of 10th-order Bezier curves. The PES algorithm assembled an average of 4726 RNFL bundles per fundus image based on 4975 sampling points, obtaining a total of 2,580,505 RNFL bundles based on 2,716,321 sampling points. The influence of ocular parameters could be evaluated for 34 out of 52 VF locations. The ONH-fovea angle and the ONH position in relation to the fovea were the most prominent predictors for variations in the mapping of retinal locations to the pointwise directional angle (p < 0.001). The variation explained by the model (R2 value) ranges from 27.6% for visual field location 15 to 77.8% in location 22, with a mean of 56%. Significant individual variability was found in the mapping of VF sites to the ONH, with a mean standard deviation (95% limit) of 16.55° (median 17.68°) for 50 out of 52 VF locations, ranging from less than 1° to 44.05°. The mean entry angles differed from previous baselines by a range of less than 1° to 23.9° (average difference of 10.6° ± 5.53°), and RMSE of 11.94. Full article
(This article belongs to the Section Medical Imaging)
Show Figures

Figure 1

9 pages, 362 KB  
Article
Unveiling the Physiological Correlates of Cognitive Function in Healthy Adults: An In-Depth Investigation Using Optical Coherence Tomography (OCT)
by Sarah Al-Mazidi, Hanan Khalid Mofty, Kholoud Ahmad Bokhary, Najla Mohammed ALdughayshim, Laila Al-Ayadhi and Adel G. Alakeely
J. Clin. Med. 2026, 15(2), 496; https://doi.org/10.3390/jcm15020496 - 8 Jan 2026
Viewed by 320
Abstract
Background/Objectives: The search for biomarkers of cognition has garnered significant interest over the past decade, owing to their objective nature, in contrast to the currently available cognition screening tools, which are based on subjective measures. Retina imaging is used in this field [...] Read more.
Background/Objectives: The search for biomarkers of cognition has garnered significant interest over the past decade, owing to their objective nature, in contrast to the currently available cognition screening tools, which are based on subjective measures. Retina imaging is used in this field because its tissue is considered as an extension of the brain’s vascular and neural structures, reflecting overall brain health. In cognitive disorders, early detection and intervention are essential for achieving the best possible outcomes. To evaluate the physiological correlates of cognitive function in healthy young adults by assessing retinal structures as a non-invasive biomarker of cognitive health. Methods: Eighty healthy young adults participated in this study. Optical Coherence Tomography (OCT) was used to measure retinal morphology, including macular thickness, volume, and retinal nerve fiber layer thickness; then, OCT results were correlated with cognitive assessments using the Montreal Cognitive Assessment (MoCA). Results: Participants with mild cognitive impairment exhibited thinner macular thickness and lower macular volume (p < 0.05, p < 0.001) than participants with normal cognitive function. We also found that macular thickness is positively associated with cognitive function in healthy adults (p < 0.001). The RNFL was found to be normal in all groups, despite changes in macular thickness, indicating that cognitive function in normal individuals depends on macular changes rather than the optic nerve. Conclusions: Macular OCT, which is a cost-effective and widely available tool, can be used to screen for mild cognitive impairment. A clinical trial is recommended to validate these findings and to generate guidelines for assessing cognitive physiology through the retina. Full article
(This article belongs to the Section Ophthalmology)
Show Figures

Figure 1

11 pages, 217 KB  
Article
The Effect of Intravitreal Ranibizumab Injection on Retinal Nerve Fiber Layer Thickness and Optic Disc Parameters
by Gülin Tuğba Ongun and Ramazan Yağcı
J. Clin. Med. 2026, 15(2), 449; https://doi.org/10.3390/jcm15020449 - 7 Jan 2026
Viewed by 393
Abstract
Objectives: To evaluate the effects of intravitreal ranibizumab on retinal nerve fiber layer (RNFL) thickness and optic disc parameters in patients treated for exudative age-related macular degeneration (AMD), diabetic macular edema (DME), and retinal vein occlusion (RVO). Methods: This retrospective study analyzed the [...] Read more.
Objectives: To evaluate the effects of intravitreal ranibizumab on retinal nerve fiber layer (RNFL) thickness and optic disc parameters in patients treated for exudative age-related macular degeneration (AMD), diabetic macular edema (DME), and retinal vein occlusion (RVO). Methods: This retrospective study analyzed the clinical records of 60 patients who received intravitreal ranibizumab injections for macular edema secondary to AMD, DME, or RVO between October 2014 and January 2016. All patients received intravitreal ranibizumab at a dose of 0.5 mg. Best-corrected visual acuity (BCVA) and intraocular pressure (IOP) were recorded at baseline and during follow-up. RNFL thickness and optic disc parameters were assessed using optical coherence tomography (OCT) and Heidelberg Retina Tomograph III (HRT-3). Measurements were obtained before treatment and at 1 week, 1 month, 3 months, and 6 months after injection. Comparisons were performed within and between disease groups. Results: Of the 60 patients, 31 (51.7%) had DME, 20 (33.3%) had AMD, and 9 (15.0%) had RVO. Best-corrected visual acuity improved significantly during the follow-up period. Mean RNFL thickness measured by OCT showed a significant reduction in the DME and RVO groups (p = 0.0001 and p = 0.043, respectively). In contrast, no significant changes in RNFL thickness were detected using HRT-3, and no consistent alterations in other optic disc parameters were observed. Changes in optic disc parameters varied among disease groups. Conclusions: Intravitreal ranibizumab treatment was associated with a reduction in mean RNFL thickness measured by OCT in patients with DME and RVO during a six-month follow-up period, whereas no corresponding RNFL thinning was detected using HRT-3 in any disease group. The observed optic disc parameter changes appeared to be disease specific. Given the absence of untreated control eyes and the exclusion of patients with glaucoma, these findings apply only to non-glaucomatous eyes and should not be extrapolated to patients with glaucoma. Further prospective studies with larger cohorts, appropriate control groups, and longer follow-up durations are warranted to clarify the long-term effects of anti-VEGF therapy on the optic nerve. Full article
(This article belongs to the Section Ophthalmology)
12 pages, 899 KB  
Article
Evaluation of OCT Angiography Parameters as Biomarkers for Glaucoma Progression
by Konstantina Kancheva, Mladena Radeva, Igor B. Resnick and Zornitsa Zlatarova
Diagnostics 2026, 16(1), 35; https://doi.org/10.3390/diagnostics16010035 - 23 Dec 2025
Viewed by 597
Abstract
Background: Optical coherence tomography angiography (OCT-A) provides quantitative assessment of retinal and peripapillary microvasculature and has emerged as a promising tool for glaucoma diagnostics. However, its sensitivity for detecting early glaucomatous progression over short intervals remains uncertain. This study evaluated cross-sectional and short-term [...] Read more.
Background: Optical coherence tomography angiography (OCT-A) provides quantitative assessment of retinal and peripapillary microvasculature and has emerged as a promising tool for glaucoma diagnostics. However, its sensitivity for detecting early glaucomatous progression over short intervals remains uncertain. This study evaluated cross-sectional and short-term longitudinal OCT-A vessel density (VD) metrics in primary open-angle glaucoma (POAG) and explored their relationships with structural (RNFL) and functional (MD) measures. Methods: Sixty eyes (30 POAG, 30 controls) underwent baseline and 6-month examinations including intraocular pressure (IOP), standard automated perimetry (SAP), structural OCT, and OCT-A (RTVue XR Avanti; AngioVue). Parameters analyzed included peripapillary VD (PP-VD), parafoveal VD (PF-VD), foveal avascular zone (FAZ) metrics, FD-300, and RNFL thickness. Between-group comparisons used t-tests or Mann–Whitney U tests. Effect sizes (Cohen’s d), 95% confidence intervals (CI), and ANCOVA models (adjusted for baseline, age, and sex) were included. Longitudinal change was defined as Δ = 6 months − baseline. Pearson correlations evaluated structure–vascular associations. Results: At baseline, POAG eyes showed significantly lower PP-VD, PF-VD, thinner RNFL, and worse MD (all p < 0.001). Strong correlations were observed between RNFL and PP-VD (r ≈ 0.7). Over 6 months, glaucoma eyes showed small but statistically significant reductions in RNFL (Δ = −1.04 µm), MD (Δ = −0.10 dB), and PP-VD (Δ = −0.57%), whereas controls remained stable. However, the absolute OCT-A changes were small and largely within the known range of test–retest variability. ANCOVA demonstrated a significant adjusted group effect only for PP-VD (B = −1.22%, 95% CI −1.53 to −0.90; p < 0.001). Conclusions: OCT-A demonstrated clear cross-sectional differences between POAG and controls and strong structure–vascular associations. However, with only two measurements over a 6-month interval, the study cannot distinguish true glaucomatous progression from physiological or device-related variability. Short-term changes should therefore be interpreted cautiously. PP-VD remains the most robust and consistent OCT-A parameter, but larger, longer, and prospectively powered studies are required to validate OCT-A as a reliable biomarker for progression. Full article
Show Figures

Figure 1

Back to TopTop