Can the Posterior Segment Findings of the Eye and Serum Microbiota Metabolites Be a Biomarker in Schizophrenia?
Abstract
1. Introduction
2. Material and Method
2.1. Scales Used in This Study
2.2. Analysis of Biological Samples
2.3. Statistical Analysis
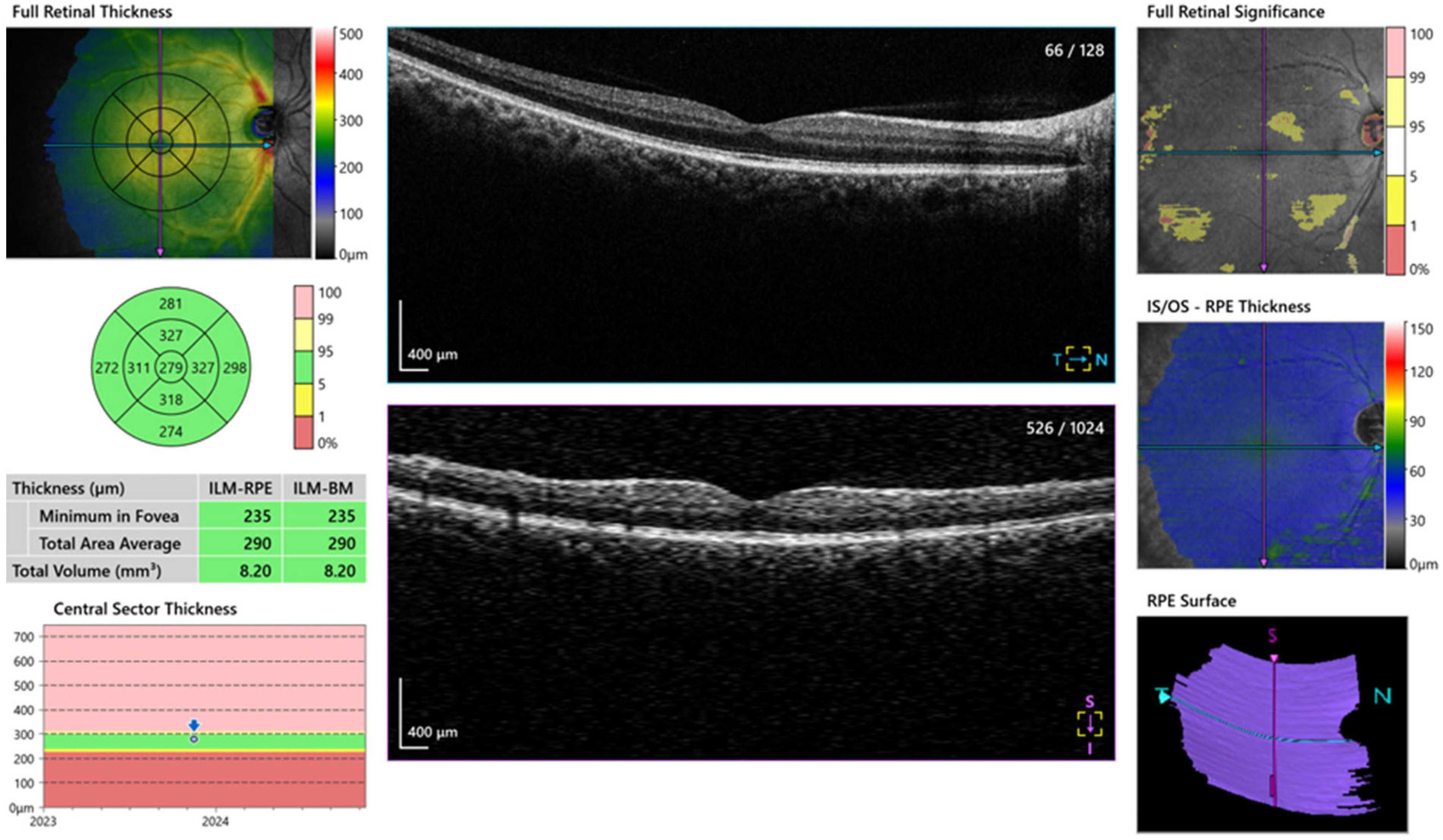
3. Results
4. Discussion
5. Conclusions and Recommendation
Author Contributions
Funding
Institutional Review Board Statement
Informed Consent Statement
Data Availability Statement
Conflicts of Interest
References
- American Psychiatric Association. Diagnostic and Statistical Manual of Mental Disorders, Fifth Edition (DSM-5); American Psychiatric Publishing: Arlington, VA, USA, 2013. [Google Scholar]
- Stone, W.S.; Phillips, M.R.; Yang, L.H.; Kegeles, L.S.; Susser, E.S.; Lieberman, J.A. Neurodegenerative model of schizophrenia: Growing evidence to support a revisit. Schizophr. Res. 2022, 243, 154–162. [Google Scholar] [CrossRef]
- Murray, C.J.; Lopez, A.D. Global mortality, disability, and the contribution of risk factors: Global burden of disease study. Lancet 1997, 349, 1436–1442. [Google Scholar] [CrossRef] [PubMed]
- Correll, C.U.; Schooler, N.R. Negative symptoms in schizophrenia: A review and clinical guide for recognition, assessment, and treatment. Neuropsychiatr. Dis. Treat. 2020, 16, 519–534. [Google Scholar] [CrossRef] [PubMed]
- Shew, W.; Zhang, D.J.; Menkes, D.B.; Danesh-Meyer, H.V. Optical coherence tomography in schizophrenia spectrum disorders: A systematic review and meta-analysis. Biol. Psychiatry Glob. Open Sci. 2023, 4, 19–30. [Google Scholar] [CrossRef]
- Adams, S.A.; Nasrallah, H.A. Multiple retinal anomalies in schizophrenia. Schizophr. Res. 2018, 195, 3–12. [Google Scholar] [CrossRef]
- London, A.; Benhar, I.; Schwartz, M. The retina as a window to the brain—From eye research to CNS disorders. Nat. Rev. Neurol. 2013, 9, 44–53. [Google Scholar] [CrossRef] [PubMed]
- Gonzalez-Diaz, J.M.; Radua, J.; Sanchez-Dalmau, B.; Camos-Carreras, A.; Zamora, D.C.; Bernardo, M. Mapping retinal abnormalities in psychosis: Meta-analytical evidence for focal peripapillary and macular reductions. Schizophr. Bull. 2022, 48, 1194–1205. [Google Scholar] [CrossRef]
- Lizano, P.; Bannai, D.; Lutz, O.; Kim, L.A.; Miller, J.; Keshavan, M. A meta-analysis of retinal cytoarchitectural abnormalities in schizophrenia and bipolar disorder. Schizophr. Bull. 2020, 46, 43–53. [Google Scholar] [CrossRef]
- Komatsu, H.; Onoguchi, G.; Silverstein, S.M.; Jerotic, S.; Sakuma, A.; Kanahara, N.; Kakuto, Y.; Ono, T.; Yabana, T.; Nakazawa, T.; et al. Retina as a potential biomarker in schizophrenia spectrum disorders: A systematic review and meta-analysis of optical coherence tomography and electroretinography. Mol. Psychiatry 2024, 29, 464–482. [Google Scholar] [CrossRef]
- Boudriot, E.; Schworm, B.; Slapakova, L.; Hanken, K.; Jäger, I.; Stephan, M.; Gabriel, V.; Ioannou, G.; Melcher, J.; Hasanaj, G.; et al. Optical coherence tomography reveals retinal thinning in schizophrenia spectrum disorders. Eur. Arch. Psychiatry Clin. Neurosci. 2023, 273, 575–588. [Google Scholar] [CrossRef]
- Wagner, S.K.; Cortina-Borja, M.; Silverstein, S.M.; Zhou, Y.; Romero-Bascones, D.; Struyven, R.R.; Trucco, E.; Mookiah, M.R.K.; MacGillivray, T.; Hogg, S.; et al. Association between retinal features from multimodal imaging and schizophrenia. JAMA Psychiatry 2023, 80, 478–487. [Google Scholar] [CrossRef]
- Silverstein, S.M.; Paterno, D.; Cherneski, L.; Green, S. Optical coherence tomography indices of structural retinal pathology in schizophrenia. Psychol. Med. 2018, 48, 2023–2033. [Google Scholar] [CrossRef]
- Chu, J.; Feng, S.; Guo, C.; Xue, B.; He, K.; Li, L. Immunological mechanisms of inflammatory diseases caused by gut microbiota dysbiosis: A review. Biomed. Pharmacother. 2023, 164, 114985. [Google Scholar] [CrossRef]
- Gomaa, E.Z. Human gut microbiota/microbiome in health and diseases: A review. Antonie Van Leeuwenhoek 2020, 113, 2019–2040. [Google Scholar] [CrossRef] [PubMed]
- Mousa, W.K.; Chehadeh, F.; Husband, S. Microbial dysbiosis in the gut drives systemic autoimmune diseases. Front. Immunol. 2022, 13, 906258. [Google Scholar] [CrossRef]
- Kandpal, M.; Indari, O.; Baral, B.; Jakhmola, S.; Tiwari, D.; Bhandari, V.; Pandey, R.K.; Bala, K.; Sonawane, A.; Jha, H.C. Dysbiosis of gut microbiota from the perspective of the gut–brain axis: Role in the provocation of neurological disorders. Metabolites 2022, 12, 1064. [Google Scholar] [CrossRef]
- Socała, K.; Doboszewska, U.; Szopa, A.; Serefko, A.; Włodarczyk, M.; Zielińska, A.; Poleszak, E.; Fichna, J.; Wlaź, P. The role of microbiota–gut–brain axis in neuropsychiatric and neurological disorders. Pharmacol. Res. 2021, 172, 105840. [Google Scholar] [CrossRef]
- Strandwitz, P.; Kim, K.H.; Terekhova, D.; Liu, J.K.; Sharma, A.; Levering, J.; McDonald, D.; Dietrich, D.; Ramadhar, T.R.; Lekbua, A.; et al. GABA-modulating bacteria of the human gut microbiota. Nat. Microbiol. 2019, 4, 396–403. [Google Scholar] [CrossRef] [PubMed]
- Munawar, N.; Ahsan, K.; Muhammad, K.; Ahmad, A.; Anwar, M.A.; Shah, I.; Al Ameri, A.K.; Al Mughairbi, F. Hidden role of gut microbiome dysbiosis in schizophrenia: Antipsychotics or psychobiotics as therapeutics? Int. J. Mol. Sci. 2021, 22, 7671. [Google Scholar] [CrossRef] [PubMed]
- Shi, L.; Ju, P.; Meng, X.; Wang, Z.; Yao, L.; Zheng, M.; Cheng, X.; Li, J.; Yu, T.; Xia, Q.; et al. Intricate role of intestinal microbe and metabolite in schizophrenia. BMC Psychiatry 2023, 23, 856. [Google Scholar] [CrossRef]
- Liu, J.; Tan, Y.; Cheng, H.; Zhang, D.; Feng, W.; Peng, C. Functions of gut microbiota metabolites: Current status and future perspectives. Aging Dis. 2022, 13, 1106–1126. [Google Scholar] [CrossRef]
- Zhen, J.; Zhou, Z.; He, M.; Han, H.X.; Lv, E.H.; Wen, P.B.; Liu, X.; Wang, Y.T.; Cai, X.C.; Tian, J.Q.; et al. The gut microbial metabolite trimethylamine N-oxide and cardiovascular diseases. Front. Endocrinol. 2023, 14, 1085041. [Google Scholar] [CrossRef] [PubMed]
- Gruppen, E.G.; Garcia, E.; Connelly, M.A.; Jeyarajah, E.J.; Otvos, J.D.; Bakker, S.J.L.; Dullaart, R.P.F. TMAO is associated with mortality: Impact of modestly impaired renal function. Sci. Rep. 2017, 7, 13781. [Google Scholar] [CrossRef]
- Oktaviono, Y.H.; Lamara, A.D.; Saputra, P.B.T.; Arnindita, J.N.; Pasahari, D.; Saputra, M.E.; Suasti, N.M.A. The roles of trimethylamine-N-oxide in atherosclerosis and its potential therapeutic aspect: A literature review. Biomol. Biomed. 2023, 23, 936–948. [Google Scholar] [CrossRef]
- Sekikawa, A.; Wharton, W.; Butts, B.; Veliky, C.V.; Garfein, J.; Li, J.; Goon, S.; Fort, A.; Li, M.; Hughes, T.M. Potential protective mechanisms of S-equol, a metabolite of soy isoflavone by the gut microbiome, on cognitive decline and dementia. Int. J. Mol. Sci. 2022, 23, 11921. [Google Scholar] [CrossRef]
- Colombo, G.; Astori, E.; Landoni, L.; Garavaglia, M.L.; Altomare, A.; Lionetti, M.C.; Gagliano, N.; Giustarini, D.; Rossi, R.; Milzani, A.; et al. Effects of the uremic toxin indoxyl sulphate on human microvascular endothelial cells. J. Appl. Toxicol. 2022, 42, 1948–1961. [Google Scholar] [CrossRef]
- Matsumoto, T.; Kojima, M.; Takayanagi, K.; Taguchi, K.; Kobayashi, T. Role of S-equol, indoxyl sulfate, and trimethylamine N-oxide on vascular function. Am. J. Hypertens. 2020, 33, 793–803. [Google Scholar] [CrossRef]
- Bulu, A.; Onalan, E.; Yakar, B.; Bulu, G.; Yıldırım, S.O.; Gürsu, M.F.; Kaplankaya, U.; Dönder, E.; Kaymaz, T. Maresin 1 and CHI3L1 levels exhibit opposing trends and correlations with renal dysfunction in diabetic nephropathy. Medicina 2025, 61, 1247. [Google Scholar] [CrossRef] [PubMed]
- Chiurchiù, V.; Leuti, A.; Dalli, J.; Jacobsson, A.; Battistini, L.; Maccarrone, M.; Serhan, C.N. Proresolving lipid mediators resolvin D1, resolvin D2, and maresin 1 are critical in modulating T cell responses. Sci. Transl. Med. 2016, 8, eaaf7483. [Google Scholar] [CrossRef] [PubMed]
- Hanson, D.R.; Gottesman, I.I. Theories of schizophrenia: A genetic–inflammatory–vascular synthesis. BMC Med. Genet. 2005, 6, 7. [Google Scholar] [CrossRef]
- Qi, D.; Liu, P.; Wang, Y.; Tai, X.; Ma, S. Unveiling the gut microbiota blueprint of schizophrenia: A multilevel omics approach. Front. Psychiatry 2024, 15, 1452604. [Google Scholar] [CrossRef] [PubMed]
- Kay, S.R.; Fiszbein, A.; Opler, L.A. The positive and negative syndrome scale (PANSS) for schizophrenia. Schizophr. Bull. 1987, 13, 261–276. [Google Scholar] [CrossRef] [PubMed]
- Kostakoğlu, E.; Batur, S.; Tiryaki, A.; Göğüş, A. Validity and reliability of the Turkish version of the Positive and Negative Syndrome Scale (PANSS). Turk. Psikol. Derg. 1999, 14, 23–32. [Google Scholar]
- Pan, J.; Zhou, Y.; Xiang, Y.; Yu, J. Retinal nerve fiber layer thickness changes in schizophrenia: A meta-analysis of case-control studies. Psychiatry Res. 2018, 270, 786–791. [Google Scholar] [CrossRef]
- Zhuo, C.; Xiao, B.; Chen, C.; Jiang, D.; Li, G.; Ma, X.; Li, R.; Wang, L.; Xu, Y.; Zhou, C.; et al. Aberrant inverted U-shaped brain pattern and trait-related retinal impairment in schizophrenia patients with combined auditory and visual hallucinations. Brain Imaging Behav. 2021, 15, 738–747. [Google Scholar] [CrossRef]
- Chu, E.M.Y.; Kolappan, M.; Barnes, T.R.; Joyce, E.M.; Ron, M.A. A window into the brain: An in vivo study of the retina in schizophrenia using optical coherence tomography. Psychiatry Res. Neuroimaging 2012, 203, 89–94. [Google Scholar] [CrossRef] [PubMed]
- Liang, W.; Huang, Y.; Tan, X.; Wu, J.; Duan, J.; Zhang, H.; Yin, B.; Li, Y.; Zheng, P.; Wei, H.; et al. Alterations of glycerophospholipid and fatty acyl metabolism in multiple brain regions of schizophrenia microbiota recipient mice. Neuropsychiatr. Dis. Treat. 2019, 15, 3219–3229. [Google Scholar] [CrossRef]
- Li, C.; Wang, A.; Wang, C.; Ramamurthy, J.; Zhang, E.; Guadagno, E.; Trakadis, Y. Association between retinal features from multimodal imaging and schizophrenia. Am. J. Med. Genet. B Neuropsychiatr. Genet. 2018, 177, 580–588. [Google Scholar] [CrossRef]
- Kalagi, N.A.; Thota, R.N.; Stojanovski, E.; Alburikan, K.A.; Garg, M.L. Association between plasma trimethylamine N-oxide levels and type 2 diabetes: A case-control study. Nutrients 2022, 14, 2093. [Google Scholar] [CrossRef]
- Senthong, V.; Li, X.S.; Hudec, T.; Coughlin, J.; Wu, Y.; Levison, B.; Wang, Z.; Hazen, S.L.; Tang, W.H.W. Plasma trimethylamine N-oxide, a gut microbe-generated phosphatidylcholine metabolite, is associated with atherosclerotic burden. J. Am. Coll. Cardiol. 2016, 67, 2620–2628. [Google Scholar] [CrossRef]
- Shanmugham, M.; Bellanger, S.; Leo, C.H. Gut-derived metabolite, trimethylamine-N-oxide (TMAO) in cardio-metabolic diseases: Detection, mechanism, and potential therapeutics. Pharmaceuticals 2023, 16, 504. [Google Scholar] [CrossRef]
- Hagi, K.; Nosaka, T.; Dickinson, D.; Lindenmayer, J.P.; Lee, J.; Friedman, J.; Boyer, L.; Han, M.; Abdul-Rashid, N.A.; Correll, C.U. Association between cardiovascular risk factors and cognitive impairment in people with schizophrenia: A systematic review and meta-analysis. JAMA Psychiatry 2021, 78, 510–518. [Google Scholar] [CrossRef]
- Itoh, Y.; Ezawa, A.; Kikuchi, K.; Tsuruta, Y.; Niwa, T. Correlation between serum levels of protein-bound uremic toxins in hemodialysis patients measured by LC/MS/MS. Mass Spectrom. 2013, 2, S0017. [Google Scholar] [CrossRef]
- Shaalan, T.Y.; Ahmed, S.H.; Mohammed, S.A.; Elahabak, D.M. Role of Maresin-1 in inflammatory resolution of psoriasis (Maresin-1, novel therapeutic alternative in psoriasis patients). Egypt. J. Hosp. Med. 2023, 92, 5615–5619. [Google Scholar] [CrossRef]
- Quiroz-Reyes, M.A.; Quiroz-Gonzalez, E.A.; Quiroz-Gonzalez, M.A.; Lima-Gomez, V. Effects of cigarette smoking on retinal thickness and choroidal vascularity index: A systematic review and meta-analysis. Int. J. Retin. Vitr. 2025, 11, 21. [Google Scholar] [CrossRef] [PubMed]
- Zeng, G.; Guo, W.; Chen, B.; Pang, Y.; Sun, L. Smoking associated metabolites from gut microbiota on health: Nicotine degradation brings hopes. EngMedicine 2024, 1, 100036. [Google Scholar] [CrossRef]





| Patients Group (n = 30) | Controls Group (n = 30) | p | ||||
|---|---|---|---|---|---|---|
| n | % | n | % | |||
| Gender | Female | 2 | 6.7 | 3 | 10.0 | 0.999 * |
| Male | 28 | 93.3 | 27 | 90.0 | ||
| Age (years), mean ± SD | 44.8 ± 12.3 | 44.5 ± 12.7 | 0.934 ** | |||
| Marital status | Single | 21 | 70.0 | 14 | 46.7 | 0.067 * |
| Married | 9 | 30.0 | 16 | 53.3 | ||
| Education level | Primary school | 17 | 56.7 | 12 | 40.0 | 0.174 * |
| High school | 9 | 30.0 | 8 | 26.7 | ||
| University | 4 | 13.3 | 10 | 33.3 | ||
| Place of residence | Rural | 5 | 16.7 | 6 | 20.0 | 0.739 * |
| Urban | 25 | 83.3 | 24 | 80.0 | ||
| Employment status | Employed | 4 | 13.3 | 7 | 23.3 | 0.317 * |
| Unemployed | 26 | 86.7 | 23 | 76.7 | ||
| Smoker | Yes | 23 | 76.7 | 12 | 40.0 | 0.004 * |
| No | 7 | 23.3 | 18 | 60.0 | ||
| Alcohol consumption | Yes | 0 | 0.0 | 0.0 | 0 | - |
| No | 30 | 100.0 | 30 | 100.0 | ||
| Patient Group (n = 30) | Control Group (n = 30) | p | |
|---|---|---|---|
| Mean ± SD | Mean ± SD | ||
| Macula | 268.4 ± 19.9 | 276.3 ± 21.7 | 0.149 * |
| Central macula, Mean ± SD | 120.0 ± 14.3 | 129.6 ± 15.8 | 0.016 * |
| RNFL superior, Mean ± SD | 121.6 ± 14.7 | 135.9 ± 19.8 | 0.002 * |
| RNFL inferior, Mean ± SD | 73.2 ± 8.4 | 74.7 ± 11.8 | 0.566 * |
| RNFL temporal, Mean ± SD | 83.0 ± 9.8 | 88.2 ± 12.0 | 0.075 * |
| RNFL nasal, Mean ± SD | 378.0 ± 59.0 | 411.6 ± 60.7 | 0.033 * |
| Central choroid, Mean ± SD | 315.3 ± 55.3 | 356.8 ± 50.6 | 0.004 * |
| Nasal choroid, Mean ± SD | 350.7 ± 51.0 | 379.9 ± 55.4 | 0.038 * |
| Temporal choroid, Mean ± SD | 9.1 (6.3–11.4) | 1.1 (0.1–15.4) | 0.179 ** |
| S-equol, Median (IQR) | 1.0 (0.9–1.2) | 1.4 (1.1–2.6) | 0.001 ** |
| TMAO, Median (IQR) | 122.9 (103.1–398.7) | 111.8 (95.4–231.5) | 0.379 ** |
| IS, Median (IQR) | 18.0 ± 11.4 | 4.7 ± 4.1 | <0.001 * |
| MaR1, Median (IQR) | 0.88 (0.71–1.60) | 0.77 (0.59–1.49) | 0.352 ** |
| PANNS | Central Macula | RNFL Superior | RNFL Inferior | RNFL Temporal | RNFL Nasal | Central Choroid | Nasal Choroid | Temporal Choroid | S-Equol | TMAO | IS | MaR1 | ||
|---|---|---|---|---|---|---|---|---|---|---|---|---|---|---|
| Central macula | r | 0.350 | ||||||||||||
| p | 0.058 | |||||||||||||
| RNFL superior | r | −0.057 | −0.111 | |||||||||||
| p | 0.765 | 0.559 | ||||||||||||
| RNFL inferior | r | −0.278 | −0.066 | 0.272 | ||||||||||
| p | 0.137 | 0.727 | 0.145 | |||||||||||
| RNFL temporal | r | −0.109 | −0.226 | −0.138 | 0.129 | |||||||||
| p | 0.567 | 0.230 | 0.466 | 0.495 | ||||||||||
| RNFL nasal | r | 0.016 | −0.102 | −0.164 | 0.036 | −0.186 | ||||||||
| p | 0.931 | 0.590 | 0.386 | 0.852 | 0.325 | |||||||||
| Central choroid | r | −0.111 | −0.218 | 0.036 | −0.029 | 0.214 | −0.148 | |||||||
| p | 0.558 | 0.248 | 0.850 | 0.881 | 0.255 | 0.434 | ||||||||
| Nasal choroid | r | −0.042 | −0.111 | −0.042 | 0.041 | 0.216 | −0.060 | 0.844 | ||||||
| p | 0.826 | 0.559 | 0.825 | 0.829 | 0.252 | 0.754 | <0.001 | |||||||
| Temporal choroid | r | −0.232 | −0.144 | 0.127 | 0.111 | 0.335 | −0.173 | 0.771 | 0.702 | |||||
| p | 0.218 | 0.448 | 0.503 | 0.560 | 0.070 | 0.360 | <0.001 | <0.001 | ||||||
| S-equol | r | −0.334 | −0.076 | 0.074 | 0.105 | −0.238 | 0.361 | −0.127 | −0.249 | −0.142 | ||||
| p | 0.071 | 0.690 | 0.697 | 0.581 | 0.205 | 0.050 | 0.505 | 0.185 | 0.454 | |||||
| TMAO | r | 0.020 | −0.103 | 0.284 | −0.029 | −0.344 | 0.256 | −0.158 | −0.180 | −0.208 | 0.457 | |||
| p | 0.915 | 0.588 | 0.128 | 0.878 | 0.063 | 0.172 | 0.403 | 0.340 | 0.269 | 0.011 | ||||
| IS | r | −0.262 | 0.066 | 0.225 | 0.252 | −0.466 | −0.130 | −0.239 | −0.142 | −0.243 | 0.115 | 0.258 | ||
| p | 0.163 | 0.730 | 0.232 | 0.178 | 0.010 | 0.494 | 0.203 | 0.453 | 0.196 | 0.545 | 0.169 | |||
| MaR1 | r | −0.093 | 0.154 | 0.296 | 0.165 | −0.084 | −0.229 | 0.160 | 0.121 | 0.056 | 0.001 | 0.127 | 0.121 | |
| p | 0.624 | 0.416 | 0.112 | 0.384 | 0.659 | 0.224 | 0.397 | 0.525 | 0.771 | 0.994 | 0.504 | 0.522 | ||
| Age | r | 0.196 | −0.234 | −0.251 | −0.066 | 0.217 | 0.169 | −0.185 | −0.114 | −0.091 | −0.198 | −0.275 | −0.331 | −0.619 |
| p | 0.300 | 0.214 | 0.182 | 0.730 | 0.249 | 0.373 | 0.327 | 0.547 | 0.632 | 0.294 | 0.142 | 0.074 | <0.001 | |
| Disease duration | r | 0.120 | −0.183 | −0.128 | 0.211 | 0.074 | 0.241 | −0.054 | 0.043 | 0.101 | −0.250 | −0.317 | −0.185 | −0.461 |
| p | 0.529 | 0.334 | 0.499 | 0.264 | 0.698 | 0.199 | 0.777 | 0.822 | 0.597 | 0.183 | 0.088 | 0.328 | 0.010 | |
| Area | p | 95% Confidence Interval | Sensitivity | Specificity | PPV | NPV | ||
|---|---|---|---|---|---|---|---|---|
| Lower Limit | Upper Limit | |||||||
| RNFL sup ≤ 117 | 0.676 | 0.012 | 0.543 | 0.791 | 53.3 | 83.3 | 76.2 | 64.1 |
| RNFL inf ≤ 133 | 0.709 | 0.002 | 0.578 | 0.819 | 83.3 | 60 | 67.6 | 78.3 |
| Central choroid ≤ 416 | 0.678 | 0.011 | 0.545 | 0.793 | 90 | 43.3 | 61.4 | 81.2 |
| Nasal choroid ≤ 305 | 0.729 | 0.001 | 0.599 | 0.836 | 53.3 | 86.7 | 80 | 65 |
| Temporal choroid ≤ 357 | 0.677 | 0.012 | 0.544 | 0.792 | 66.7 | 70 | 69 | 67.7 |
| TMAO ≤ 1.2 | 0.742 | <0.001 | 0.613 | 0.847 | 80 | 66.7 | 70.6 | 76.9 |
| B | S.E. | p | OR | 95% CI for OR | ||
|---|---|---|---|---|---|---|
| Lower | Upper | |||||
| RNFL inferior | −0.093 | 0.051 | 0.065 | 0.911 | 0.825 | 1.006 |
| Central choroid | −0.044 | 0.020 | 0.024 | 0.957 | 0.921 | 0.994 |
| TMAO | −1.746 | 0.932 | 0.061 | 0.175 | 0.028 | 1.084 |
| Age | −0.279 | 0.130 | 0.031 | 0.757 | 0.587 | 0.975 |
| Male gender | 0.931 | 2.364 | 0.694 | 2.537 | 0.025 | 260.799 |
| Smoker | 5.106 | 2.209 | 0.021 | 165.026 | 2.173 | 12,533.611 |
Disclaimer/Publisher’s Note: The statements, opinions and data contained in all publications are solely those of the individual author(s) and contributor(s) and not of MDPI and/or the editor(s). MDPI and/or the editor(s) disclaim responsibility for any injury to people or property resulting from any ideas, methods, instructions or products referred to in the content. |
© 2026 by the authors. Published by MDPI on behalf of the Lithuanian University of Health Sciences. Licensee MDPI, Basel, Switzerland. This article is an open access article distributed under the terms and conditions of the Creative Commons Attribution (CC BY) license.
Share and Cite
Keser, S.; Yıldız, S.; Aydın, S.; Keleş, J.; Aksoy, A.; Emre, E. Can the Posterior Segment Findings of the Eye and Serum Microbiota Metabolites Be a Biomarker in Schizophrenia? Medicina 2026, 62, 528. https://doi.org/10.3390/medicina62030528
Keser S, Yıldız S, Aydın S, Keleş J, Aksoy A, Emre E. Can the Posterior Segment Findings of the Eye and Serum Microbiota Metabolites Be a Biomarker in Schizophrenia? Medicina. 2026; 62(3):528. https://doi.org/10.3390/medicina62030528
Chicago/Turabian StyleKeser, Sinem, Sevler Yıldız, Süleyman Aydın, Jülide Keleş, Aziz Aksoy, and Elif Emre. 2026. "Can the Posterior Segment Findings of the Eye and Serum Microbiota Metabolites Be a Biomarker in Schizophrenia?" Medicina 62, no. 3: 528. https://doi.org/10.3390/medicina62030528
APA StyleKeser, S., Yıldız, S., Aydın, S., Keleş, J., Aksoy, A., & Emre, E. (2026). Can the Posterior Segment Findings of the Eye and Serum Microbiota Metabolites Be a Biomarker in Schizophrenia? Medicina, 62(3), 528. https://doi.org/10.3390/medicina62030528

