Sign in to use this feature.

Years

Between: -

Subjects

remove_circle_outline
remove_circle_outline
remove_circle_outline
remove_circle_outline
remove_circle_outline
remove_circle_outline
remove_circle_outline

Journals

Article Types

Countries / Regions

Search Results (118)

Search Parameters:
Keywords = nuclear theranostics

Order results
Result details
Results per page
Select all
Export citation of selected articles as:
18 pages, 2930 KB  
Review
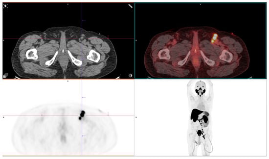
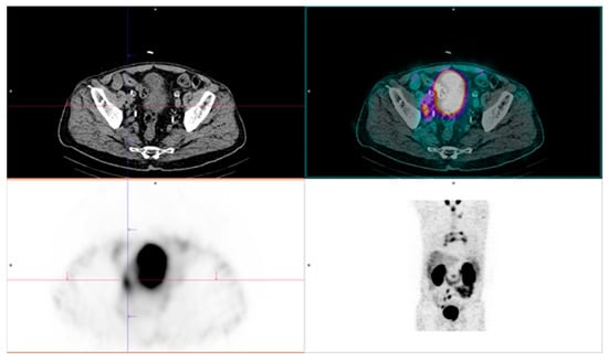
The Role of Nuclear Medicine in Prostate Cancer
by Isidora Grozdic Milojevic, Bogomir Milojevic, Daniel Skrijelj, Uros Bumbasirevic, Aleksandar Janicic, Boris Kajmakovic, Dragana Sobic-Saranovic, Vera Artiko and Slobodanka Beatovic
Diagnostics 2025, 15(22), 2876; https://doi.org/10.3390/diagnostics15222876 - 13 Nov 2025
Abstract
Background: Considering the high global frequency of prostate cancer, it is necessary to know the benefits and drawbacks of numerous diagnostic and therapeutic modalities. Methods: In this article, we include 88 manuscripts (46/88 original studies) found on PubMed, written in English [...] Read more.
Background: Considering the high global frequency of prostate cancer, it is necessary to know the benefits and drawbacks of numerous diagnostic and therapeutic modalities. Methods: In this article, we include 88 manuscripts (46/88 original studies) found on PubMed, written in English in extenso, dealing with nuclear medicine methods in patients with prostate cancer. Results: Choline PET/CT had low sensitivity in detecting the primary tumor. This method has been almost completely replaced by PSMA PET/CT, which is included in international guidelines and recommended for initial staging of unfavorable intermediate- to high-risk prostate cancer, the detection of recurrent disease after treatment, the evaluation of mCRPC, therapy response evaluation, and theranostics. FDG is currently used in aggressive forms of prostate cancer and as a supplement in PSMA PET/CT for patient selection for RLT. Na[18F]F has demonstrated satisfactory diagnostic capacity for evaluating bone loss; however, due to a lack of research, it is not recommended in international guidelines. 18F-Fluciclovine has lower sensitivity than [18F]F-PSMA-1007 for the detection of early biochemical recurrence in prostate cancer. GRPR and SSTR analogs are less frequently used but can be useful in the evaluation of rarer pathohistological types. [99mTc]Tc-PSMA can be used in resource-limited settings where PET/CT is unavailable, with a lower sensitivity compared to [18F]F-PSMA-1007 but a higher sensitivity compared to bone scans. Conclusions: PSMA tracers are important tools for evaluating intermediate- and high-risk prostate cancer, with limitations in 5–10% of prostate cancers that do not express PSMA. Theranostics are increasingly incorporating PSMA. Full article
(This article belongs to the Special Issue Applications of PET/CT in Clinical Diagnostics)
Show Figures

Figure 1

22 pages, 615 KB  
Review
Theranostic Nanoplatforms in Nuclear Medicine: Current Advances, Emerging Trends, and Perspectives for Personalized Oncology
by María Jimena Salgueiro and Marcela Zubillaga
J. Nanotheranostics 2025, 6(4), 27; https://doi.org/10.3390/jnt6040027 - 3 Oct 2025
Viewed by 741
Abstract
The convergence of nanotechnology with nuclear medicine has led to the development of theranostic nanoplatforms that combine targeted imaging and therapy within a single system. This review provides a critical and updated synthesis of the current state of nanoplatform-based theranostics, with a particular [...] Read more.
The convergence of nanotechnology with nuclear medicine has led to the development of theranostic nanoplatforms that combine targeted imaging and therapy within a single system. This review provides a critical and updated synthesis of the current state of nanoplatform-based theranostics, with a particular focus on their application in oncology. We explore multifunctional nanocarriers that integrate diagnostic radionuclides for SPECT/PET imaging with therapeutic radioisotopes (α-, β-, or Auger emitters), chemotherapeutics, and biological targeting ligands. We highlight advances in nanomaterial engineering—such as hybrid architectures, surface functionalization, and stimuli-responsive designs—that improve tumor targeting, biodistribution, and therapeutic outcomes. Emphasis is placed on translational challenges including pharmacokinetics, toxicity, regulatory pathways, and GMP-compliant manufacturing. The article closes with a forward-looking perspective on how theranostic nanoplatforms could reshape the future of personalized oncology through precision-targeted diagnostics and radiotherapy. Full article
Show Figures

Figure 1

21 pages, 4979 KB  
Article
Synthesis and Characterization of Multifunctional Mesoporous Silica Nanoparticles Containing Gold and Gadolinium as a Theranostic System
by André Felipe Oliveira, Isabela Barreto da Costa Januário Meireles, Maria Angela Barros Correia Menezes, Klaus Krambrock and Edésia Martins Barros de Sousa
J. Nanotheranostics 2025, 6(4), 26; https://doi.org/10.3390/jnt6040026 - 26 Sep 2025
Viewed by 713
Abstract
Among the many nanomaterials studied for biomedical uses, silica and gold nanoparticles have gained significant attention because of their unique physical and chemical properties and their compatibility with living tissues. Mesoporous silica nanoparticles (MSNs) have great stability and a large surface area, while [...] Read more.
Among the many nanomaterials studied for biomedical uses, silica and gold nanoparticles have gained significant attention because of their unique physical and chemical properties and their compatibility with living tissues. Mesoporous silica nanoparticles (MSNs) have great stability and a large surface area, while gold nanoparticles (AuNPs) display remarkable optical features. Both types of nanoparticles have been widely researched for their individual roles in drug delivery, imaging, biosensing, and therapy. When combined with gadolinium (Gd), a common contrast agent, these nanostructures provide improved imaging due to gadolinium’s strong paramagnetic properties. This study focuses on incorporating gold nanoparticles and gadolinium into a silica matrix to develop a theranostic system. Various analytical techniques were used to characterize the nanocomposites, including infrared spectroscopy (FTIR), ultraviolet-visible spectroscopy (UV-Vis), thermogravimetric analysis (TGA), nitrogen adsorption, scanning electron microscopy (SEM), dynamic light scattering (DLS), X-ray fluorescence (XRF), X-ray diffraction (XRD), vibrating sample magnetometry (VSM), and neutron activation analysis (NAA). Techniques like XRF mapping, XANES, nitrogen adsorption, SEM, and VSM were crucial in confirming the presence of gadolinium and gold within the silica network. VSM and EPR analyses confirmed the attenuation of the saturation magnetization for all nanocomposites. This validates their potential for biomedical applications in diagnostics. Moreover, activating gold nanoparticles in a nuclear reactor generated a promising radioisotope for cancer treatment. These results indicate the potential of using a theranostic nanoplatform that employs mesoporous silica as a carrier, gold nanoparticles for radioisotopes, and gadolinium for imaging purposes. Full article
Show Figures

Figure 1

16 pages, 501 KB  
Review
Radiopharmaceuticals in Malignant Melanoma: A Comprehensive Review of Diagnostic, Therapeutic, and Immune-Related Applications by PET/CT, SPECT/CT, and PET/MRI
by Irina Pirsan and Doina Piciu
Diagnostics 2025, 15(18), 2305; https://doi.org/10.3390/diagnostics15182305 - 11 Sep 2025
Viewed by 1079
Abstract
Background: Malignant melanoma remains an oncological challenge, with advanced-stage five-year survival rates under 20%. Precise molecular imaging has become indispensable for accurate staging, selection of targeted or immunotherapies, treatment response assessment, and early detection of immune-related adverse events. This review examines the roles [...] Read more.
Background: Malignant melanoma remains an oncological challenge, with advanced-stage five-year survival rates under 20%. Precise molecular imaging has become indispensable for accurate staging, selection of targeted or immunotherapies, treatment response assessment, and early detection of immune-related adverse events. This review examines the roles of PET/CT, PET/MRI, and SPECT/CT radiopharmaceuticals in melanoma management and highlights novel tracers and theranostic strategies poised to enhance precision nuclear medicine in this disease. Methods: We performed a review of English-language literature from January 2000 through June 2025, querying PubMed, Scopus, and clinical-trial registries for original research articles, meta-analyses, clinical guidelines, and illustrative case reports. Eligible studies investigated PET/CT, PET/MRI, or SPECT/CT applications in melanoma diagnosis, nodal and distant staging, therapy monitoring, irAE (immune-related adverse events) detection, and the development of emerging radiotracers or theranostic radiopharmaceutical pairs. Results:18F-FDG PET/CT demonstrated a high detection rate for distant metastases, outperforming conventional CT and MRI in advanced disease, despite limited resolution for infracentimetric nodal deposits. PET/MRI offers comparable diagnostic accuracy with superior soft-tissue contrast and improved brain lesion detection, while SPECT/CT enhanced sentinel lymph node localization prior to surgical biopsy. Also, FDG PET/CT identified visceral irAEs with great sensitivities, revealing asymptomatic toxicities in up to one-third of patients. Emerging radiotracers targeting melanin, fibroblast activation protein, PD-1 (programmed cell death protein 1)/PD-L1 (programmed cell death-ligand 1), and CD8+ T cells have demonstrated enhanced tumor specificity and are on their way to forming novel theranostic pairs. Conclusions: While 18F-FDG PET/CT remains the cornerstone of melanoma imaging, complementary advantages of PET/MRI and SPECT/CT imaging refine melanoma management. The advent of highly specific radiotracers and integrated theranostic approaches heralds a new era of tailored nuclear-medicine strategies, promising improved patient stratification, therapy guidance, and clinical outcomes in melanoma. Full article
(This article belongs to the Section Medical Imaging and Theranostics)
Show Figures

Figure 1

48 pages, 2984 KB  
Review
Progress in Nanofluid Technology: From Conventional to Green Nanofluids for Biomedical, Heat Transfer, and Machining Applications
by Beatriz D. Cardoso, Andrews Souza, Glauco Nobrega, Inês S. Afonso, Lucas B. Neves, Carlos Faria, João Ribeiro and Rui A. Lima
Nanomaterials 2025, 15(16), 1242; https://doi.org/10.3390/nano15161242 - 13 Aug 2025
Cited by 1 | Viewed by 2136
Abstract
Nanofluids (NFs), consisting of nanoparticles (NPs) suspended in base fluids, have attracted growing interest due to their superior physicochemical properties and multifunctional potential. In this review, conventional and green NF technology aspects, including synthesis routes, formulation, and applications, are discussed. Conventional NFs, involving [...] Read more.
Nanofluids (NFs), consisting of nanoparticles (NPs) suspended in base fluids, have attracted growing interest due to their superior physicochemical properties and multifunctional potential. In this review, conventional and green NF technology aspects, including synthesis routes, formulation, and applications, are discussed. Conventional NFs, involving NPs synthesized using physical and chemical approaches, have improved NP morphology control but are likely to cause environmental and safety concerns. In contrast, green NFs that are plant extract, microorganism, and biogenic waste-based represent a sustainable and biocompatible alternative. The effect of key parameters (e.g., NP size, shape, concentration, dispersion stability, and base fluid properties) on the performance of NFs is critically examined. The review also covers potential applications: in biomedical engineering (e.g., drug delivery, imaging, theranostics, and antimicrobial therapies), in heat transfer (e.g., solar collectors, cooling electronics, nuclear reactors), and precision machining (e.g., lubricants and coolants). Comparative insights regarding green versus conventionally prepared NFs are provided concerning their toxicity, environmental impact, scalability, and functional performance across various applications. Overall, this review highlights the new promise of both green and conventional NFs and provides key opportunities and challenges to guide future developments in this field. Full article
Show Figures

Graphical abstract

23 pages, 2197 KB  
Article
Development of AGT-7: An Innovative 99mTc-Labeled Theranostic Platform for Glioblastoma Imaging and Therapy
by Stavroula G. Kyrkou, Vasileios-Panagiotis Bistas, Evangelia-Alexandra Salvanou, Timothy Crook, Maria Giannakopoulou, Vasiliki Zoi, Maximos Leonardos, Andreas Fotopoulos, Chrissa Sioka, Ioannis Leonardos, George A. Alexiou, Penelope Bouziotis and Andreas G. Tzakos
Pharmaceuticals 2025, 18(8), 1175; https://doi.org/10.3390/ph18081175 - 8 Aug 2025
Viewed by 762
Abstract
Background: Glioblastoma, the most common malignant primary brain tumor in adults, continues to present a major therapeutic challenge, with a median survival of only 12–15 months and a 5-year survival rate below 2%. Despite aggressive treatment—including maximal surgical excision, radiation, and temozolomide [...] Read more.
Background: Glioblastoma, the most common malignant primary brain tumor in adults, continues to present a major therapeutic challenge, with a median survival of only 12–15 months and a 5-year survival rate below 2%. Despite aggressive treatment—including maximal surgical excision, radiation, and temozolomide (TMZ) chemotherapy—recurrent disease is nearly universal due to the tumor’s infiltrative nature. Objectives: To address the critical need for improved diagnostic and therapeutic strategies for glioblastoma multiforme (GBM), we have developed an innovative theranostic molecule, [99mTc]Tc-AGT-7. Methods: AGT-7 integrates diagnostic and therapeutic modalities comprising [99mTc]Tc-TF (a nuclear medicine imaging agent) and TMZ. The diagnostic component has been tailored to selectively accumulate in glioma mitochondria. A chelating moiety enables radiolabeling with technetium-99m (99mTc) for precise Single-Photon Emission Computed Tomography (SPECT) imaging. The therapeutic arm includes the tethering of a TMZ moiety for localized cytotoxicity. Conclusions: In vitro studies illustrated that AGT-7 has potent cytotoxic effects in GBM cell lines (T98 and U87), with greater efficacy than TMZ, and toxicity assays in zebrafish embryos indicated a favorable safety profile. Biodistribution studies in CFW mice demonstrated that [99mTc]Tc-AGT-7 exhibited a ~10-fold lower heart uptake compared to [99mTc]Tc-TF, implying reduced off-target cardiac localization. This significantly lowers the risk of cardiotoxicity and enhances AGT-7’s potential as a glioma-targeted theranostic agent. Full article
(This article belongs to the Special Issue Development of Novel Radiopharmaceuticals for SPECT and PET Imaging)
Show Figures

Graphical abstract

19 pages, 950 KB  
Review
A Narrative Review of Theranostics in Neuro-Oncology: Advancing Brain Tumor Diagnosis and Treatment Through Nuclear Medicine and Artificial Intelligence
by Rafail C. Christodoulou, Platon S. Papageorgiou, Rafael Pitsillos, Amanda Woodward, Sokratis G. Papageorgiou, Elena E. Solomou and Michalis F. Georgiou
Int. J. Mol. Sci. 2025, 26(15), 7396; https://doi.org/10.3390/ijms26157396 - 31 Jul 2025
Viewed by 4598
Abstract
This narrative review explores the integration of theranostics and artificial intelligence (AI) in neuro-oncology, addressing the urgent need for improved diagnostic and treatment strategies for brain tumors, including gliomas, meningiomas, and pediatric central nervous system neoplasms. A comprehensive literature search was conducted through [...] Read more.
This narrative review explores the integration of theranostics and artificial intelligence (AI) in neuro-oncology, addressing the urgent need for improved diagnostic and treatment strategies for brain tumors, including gliomas, meningiomas, and pediatric central nervous system neoplasms. A comprehensive literature search was conducted through PubMed, Scopus, and Embase for articles published between January 2020 and May 2025, focusing on recent clinical and preclinical advancements in personalized neuro-oncology. The review synthesizes evidence on novel theranostic agents—such as Lu-177-based radiopharmaceuticals, CXCR4-targeted PET tracers, and multifunctional nanoparticles—and highlights the role of AI in enhancing tumor detection, segmentation, and treatment planning through advanced imaging analysis, radiogenomics, and predictive modeling. Key findings include the emergence of nanotheranostics for targeted drug delivery and real-time monitoring, the application of AI-driven algorithms for improved image interpretation and therapy guidance, and the identification of current limitations such as data standardization, regulatory challenges, and limited multicenter validation. The review concludes that the convergence of AI and theranostic technologies holds significant promise for advancing precision medicine in neuro-oncology, but emphasizes the need for collaborative, multidisciplinary research to overcome existing barriers and enable widespread clinical adoption. Full article
(This article belongs to the Special Issue Biomarker Discovery and Validation for Precision Oncology)
Show Figures

Figure 1

26 pages, 1745 KB  
Review
Emerging PET Imaging Agents and Targeted Radioligand Therapy: A Review of Clinical Applications and Trials
by Maierdan Palihati, Jeeban Paul Das, Randy Yeh and Kathleen Capaccione
Tomography 2025, 11(8), 83; https://doi.org/10.3390/tomography11080083 - 28 Jul 2025
Cited by 2 | Viewed by 3541
Abstract
Targeted radioligand therapy (RLT) is an emerging field in anticancer therapeutics with great potential across tumor types and stages of disease. While much progress has focused on agents targeting somatostatin receptors and prostate-specific membrane antigen (PSMA), the same advanced radioconjugation methods and molecular [...] Read more.
Targeted radioligand therapy (RLT) is an emerging field in anticancer therapeutics with great potential across tumor types and stages of disease. While much progress has focused on agents targeting somatostatin receptors and prostate-specific membrane antigen (PSMA), the same advanced radioconjugation methods and molecular targeting have spurred the development of numerous theranostic combinations for other targets. A number of the most promising agents have progressed to clinical trials and are poised to change the landscape of positron emission tomography (PET) imaging. Here, we present recent data on some of the most important emerging molecular targeted agents with their exemplar clinical images, including agents targeting fibroblast activation protein (FAP), hypoxia markers, gastrin-releasing peptide receptors (GRPrs), and integrins. These radiopharmaceuticals share the promising characteristic of being able to image multiple types of cancer. Early clinical trials have already demonstrated superiority to 18F-fluorodeoxyglucose (18F-FDG) for some, suggesting the potential to supplant this longstanding PET radiotracer. Here, we provide a primer for practicing radiologists, particularly nuclear medicine clinicians, to understand novel PET imaging agents and their clinical applications, as well as the availability of companion targeted radiotherapeutics, the status of their regulatory approval, the potential challenges associated with their use, and the future opportunities and perspectives. Full article
(This article belongs to the Section Cancer Imaging)
Show Figures

Figure 1

14 pages, 1102 KB  
Article
MMP-9 Activation via ROS/NF-κB Signaling in Colorectal Cancer Progression: Molecular Insights and Prognostic–Therapeutic Perspectives
by Andrej Veljkovic, Goran Stanojevic, Branko Brankovic, Stefanos Roumeliotis, Konstantinos Leivaditis, Branka Djordjevic, Xiaobo Li, Aleksandra Klisic, Jovan Hadzi-Djokic and Gordana Kocic
Curr. Issues Mol. Biol. 2025, 47(7), 557; https://doi.org/10.3390/cimb47070557 - 17 Jul 2025
Viewed by 1155
Abstract
Colorectal cancer (CRC) is characterized by complex interactions between inflammation, oxidative stress, and extracellular matrix remodeling. Recent studies have highlighted the significance of the reactive oxygen species (ROS)–nuclear factor kappa B (NF-κB)–matrix metalloproteinase-9 (MMP-9) axis in promoting tumor invasion and metastasis in CRC, [...] Read more.
Colorectal cancer (CRC) is characterized by complex interactions between inflammation, oxidative stress, and extracellular matrix remodeling. Recent studies have highlighted the significance of the reactive oxygen species (ROS)–nuclear factor kappa B (NF-κB)–matrix metalloproteinase-9 (MMP-9) axis in promoting tumor invasion and metastasis in CRC, linking oxidative stress with inflammatory signaling and extracellular matrix degradation. In this study, we analyzed the concentration of advanced oxidation protein products (AOPPs), expression of NF-κB, and the activity of MMP-9 in tumor tissue, adjacent tissue, and healthy control colon tissue. Tissue specimens were collected from 50 patients with primary CRC following surgical resection. The analyses were performed using appropriate and validated biochemical methods, including ELISA, spectrophotometry, and indirect immunofluorescence. Significantly higher levels of all three markers were observed in tumor tissue compared to controls. Additionally, adjacent tissue exhibited elevated NF-κB expression and MMP-9 activity when compared to healthy colon tissue. AOPP levels correlated strongly with MMP-9 activity, highlighting the role of oxidative stress in the activation of MMP-9. MMP-9 demonstrated the highest predictive value for CRC, emphasizing its potential as a diagnostic and theranostic marker. Our findings support the hypothesis that the ROS–NF-κB–MMP-9 axis plays an important role in CRC progression, particularly during stages T2 and T3. Targeting this pathway may offer new therapeutic strategies for limiting tumor invasion and recurrence. Moreover, ensuring adequate surgical resection margins is crucial to optimizing treatment outcomes. Full article
(This article belongs to the Special Issue Future Challenges of Targeted Therapy of Cancers: 2nd Edition)
Show Figures

Figure 1

34 pages, 4581 KB  
Review
Nanoradiopharmaceuticals: Design Principles, Radiolabeling Strategies, and Biomedicine Applications
by Andrés Núñez-Salinas, Cristian Parra-Garretón, Daniel Acuña, Sofía Peñaloza, Germán Günther, Soledad Bollo, Francisco Arriagada and Javier Morales
Pharmaceutics 2025, 17(7), 912; https://doi.org/10.3390/pharmaceutics17070912 - 14 Jul 2025
Cited by 2 | Viewed by 1746
Abstract
Nanoradiopharmaceuticals integrate nanotechnology with nuclear medicine to enhance the precision and effectiveness of radiopharmaceuticals used in diagnostic imaging and targeted therapies. Nanomaterials offer improved targeting capabilities and greater stability, helping to overcome several limitations. This review presents a comprehensive overview of the fundamental [...] Read more.
Nanoradiopharmaceuticals integrate nanotechnology with nuclear medicine to enhance the precision and effectiveness of radiopharmaceuticals used in diagnostic imaging and targeted therapies. Nanomaterials offer improved targeting capabilities and greater stability, helping to overcome several limitations. This review presents a comprehensive overview of the fundamental design principles, radiolabeling techniques, and biomedical applications of nanoradiopharmaceuticals, with a particular focus on their expanding role in precision oncology. It explores key areas, including single- and multi-modal imaging modalities (SPECT, PET), radionuclide therapies involving beta, alpha, and Auger emitters, and integrated theranostic systems. A diverse array of nanocarriers is examined, including liposomes, micelles, albumin nanoparticles, PLGA, dendrimers, and gold, iron oxide, and silica-based platforms, with an assessment of both preclinical and clinical research outcomes. Theranostic nanoplatforms, which integrate diagnostic and therapeutic functions within a single system, enable real-time monitoring and personalized dose optimization. Although some of these systems have progressed to clinical trials, several obstacles remain, including formulation stability, scalable manufacturing, regulatory compliance, and long-term safety considerations. In summary, nanoradiopharmaceuticals represent a promising frontier in personalized medicine, particularly in oncology. By combining diagnostic and therapeutic capabilities within a single nanosystem, they facilitate more individualized and adaptive treatment approaches. Continued innovation in formulation, radiochemistry, and regulatory harmonization will be crucial to their successful routine clinical use. Full article
(This article belongs to the Special Issue Nanosystems for Advanced Diagnostics and Therapy)
Show Figures

Figure 1

29 pages, 770 KB  
Review
Evolving Paradigm in Radioactive Iodine Therapy for Differentiated Thyroid Cancer: Historical Perspectives, Current Practices and Future Directions
by Jasna Mihailović
Diagnostics 2025, 15(11), 1438; https://doi.org/10.3390/diagnostics15111438 - 5 Jun 2025
Cited by 1 | Viewed by 5654
Abstract
Therapy with radioactive iodine (I-131) following a total thyroidectomy has been a gold standard in the treatment of differentiated thyroid cancer (DTC) for over 80 years. Over the years, its role has shifted from routine use to a more selective, risk-adapted approach, informed [...] Read more.
Therapy with radioactive iodine (I-131) following a total thyroidectomy has been a gold standard in the treatment of differentiated thyroid cancer (DTC) for over 80 years. Over the years, its role has shifted from routine use to a more selective, risk-adapted approach, informed by tumor biology, patient risk stratification and evolving clinical guidelines. This review examines the changing landscape of I-131 therapy, tracing its historical foundations, current indications, and future directions shaped by molecular medicine. We discuss the transition from a standardized, one-size-fits-all treatment approach to an individualized, dynamic stratification model that allows for ongoing risk reassessment and tailored treatment strategies. Key updates in clinical practice, such as the 2015 ATA Guidelines, the 2022 ETA Consensus Statement, and joint SNMMI and EANM nuclear medicine recommendations, are critically examined. We also address ongoing controversies in the management of low- and intermediate-risk patients, including the roles of I-131 whole-body scanning, activity selection, and overall treatment approach. Molecular theranostics is ushering in a new era in DTC management, enabling improved patient selection and more precise treatment. Advances in molecular profiling, imaging, and targeted therapies support a personalized treatment approach that aims to optimize therapeutic decisions while minimizing side effects and enhancing long-term safety. Full article
(This article belongs to the Special Issue Applications of PET/CT in Clinical Diagnostics)
Show Figures

Figure 1

26 pages, 2541 KB  
Protocol
Synthesis of DOTA-Based 43Sc Radiopharmaceuticals Using Cyclotron-Produced 43Sc as Exemplified by [43Sc]Sc-PSMA-617 for PSMA PET Imaging
by Jason P. Meier, Mohammed Bhuiyan, Richard Freifelder, Hannah J. Zhang, Lucas Gonzalez, Antonino Pusateri, Hsiu-Ming Tsai, Lara Leoni, Kaustab Ghosh, Erica Markiewicz, Christopher Henning, Yuhan Zhang, Ralph Weichselbaum, Jerry Nolen, David A. Rotsch, Chien-Min Kao, Russell Z. Szmulewitz, Chin-Tu Chen and Satish K. Chitneni
Methods Protoc. 2025, 8(3), 58; https://doi.org/10.3390/mps8030058 - 4 Jun 2025
Viewed by 1551
Abstract
The implementation of theranostics in oncologic nuclear medicine has exhibited immense potential in improving patient outcomes in prostate cancer with the implementation of [68Ga]Ga-PSMA-11 PET and [177Lu]Lu-PSMA-617 into clinical practice. However, the correlation between radiopharmaceutical biodistributions seen with [ [...] Read more.
The implementation of theranostics in oncologic nuclear medicine has exhibited immense potential in improving patient outcomes in prostate cancer with the implementation of [68Ga]Ga-PSMA-11 PET and [177Lu]Lu-PSMA-617 into clinical practice. However, the correlation between radiopharmaceutical biodistributions seen with [68Ga]Ga-PSMA-11 PET imaging and downstream [177Lu]Lu-PSMA-617 therapy remains imperfect. This suggests that prostate cancer theranostics could potentially be further refined through the implementation of true theranostics, tandem pairs of diagnostic and therapeutic radiopharmaceuticals that utilize the same ligand and element, thus yielding identical pharmacokinetics. The radioscandiums are one such group of true theranostic radiopharmaceuticals. The radioscandiums consist of two β+ emitting scandium isotopes (43Sc/44Sc), as well as a β emitting therapeutic isotope (47Sc), which can all conjugate with PSMA-targeting PSMA-617. This potential has led to extensive investigations into the production of the radioscandiums as well as pre-clinical assessments with several ligands; however, there is a lack of literature extensively describing the complete synthesis of scandium radiopharmaceuticals. which therefore limits the accessibility of radioscandium research in theranostics. As such, this work aims to present an easily translatable protocol for the synthesis of [43Sc]Sc-PSMA-617 from a [42Ca]CaCO3 starting material, including target formation, nuclear production via 42Ca(d,n)43Sc reaction, chemical separation, radiolabeling, solvent reformulation, and target recycling. Full article
(This article belongs to the Section Biochemical and Chemical Analysis & Synthesis)
Show Figures

Figure 1

34 pages, 2833 KB  
Review
Current Status and Future Perspectives of Nuclear Medicine in Prostate Cancer from Imaging to Therapy: A Comprehensive Review
by Joohee Lee and Taejin Kim
Biomedicines 2025, 13(5), 1132; https://doi.org/10.3390/biomedicines13051132 - 7 May 2025
Cited by 4 | Viewed by 5220
Abstract
Nuclear medicine has emerged as a critical modality in the diagnostic and therapeutic management of urological malignancies, particularly prostate cancer. Advances in single-photon emission computed tomography/computed tomography (CT) and positron emission tomography/CT (PET/CT) have enhanced tumor assessment across staging, treatment response, and recurrence [...] Read more.
Nuclear medicine has emerged as a critical modality in the diagnostic and therapeutic management of urological malignancies, particularly prostate cancer. Advances in single-photon emission computed tomography/computed tomography (CT) and positron emission tomography/CT (PET/CT) have enhanced tumor assessment across staging, treatment response, and recurrence settings. Molecular imaging, which offers insights beyond traditional anatomical imaging, is increasingly integral in specific clinical scenarios. Theranostic nuclear medicine, which combines diagnostic imaging with targeted therapy, has become a well-established treatment option, particularly for patients with metastatic castration-resistant prostate cancer (mCRPC). The development of the prostate-specific membrane antigen (PSMA) radioligands has revolutionized clinical management by enabling precise disease staging and delivering effective radioligand therapy (RLT). Ongoing research aims to refine the role of PSMA PET imaging in staging and treatment monitoring, while optimizing PSMA-targeted RLT for broader clinical use. Given that prostate cancer remains highly prevalent, the anticipated increase in the demand for RLT presents both challenges and opportunities for nuclear medicine services globally. Theranostic approaches exemplify personalized medicine by enabling the tailoring of treatments to individual tumor biology, thereby improving survival outcomes and maintaining patients’ quality of life with minimal toxicity. Although the current focus is on advanced disease, future research holds promise for expanding these strategies to earlier stages, potentially enhancing curative prospects. This evolving field not only signifies a paradigm shift in the care of prostate cancer patients but also underscores the growing importance of nuclear medicine in delivering precision oncology. Full article
Show Figures

Figure 1

24 pages, 1200 KB  
Review
Theranostics in Hematological Malignancies: Cutting-Edge Advances in Diagnosis and Targeted Therapy
by Bojana Bogdanovic, Florent Hugonnet and Christopher Montemagno
Cancers 2025, 17(7), 1247; https://doi.org/10.3390/cancers17071247 - 7 Apr 2025
Cited by 1 | Viewed by 2575
Abstract
Hematologic malignancies, including leukemia, lymphoma, and multiple myeloma, continue to challenge clinicians with complex treatment regimens that often involve significant side effects and limited success, especially in advanced stages. Recent advancements in nuclear medicine have introduced theranostic strategies that merge diagnostic imaging with [...] Read more.
Hematologic malignancies, including leukemia, lymphoma, and multiple myeloma, continue to challenge clinicians with complex treatment regimens that often involve significant side effects and limited success, especially in advanced stages. Recent advancements in nuclear medicine have introduced theranostic strategies that merge diagnostic imaging with targeted therapeutic approaches, offering the potential for more precise and personalized treatment. A key area of progress lies in the development of alpha-emitting radiopharmaceuticals, such as 225Ac, 211At, or 212Pb, which can deliver potent radiation directly to tumor cells, sparing healthy tissue and minimizing collateral damage. In parallel with these therapeutic advancements, molecular imaging using radiolabeled agents enables better disease monitoring, assessment of treatment efficacy, and personalized management of patients with hematologic malignancies. The integration of diagnostic imaging with radiotherapy allows for a more tailored approach, where treatment can be adjusted based on real-time information about tumor progression and response. This review examines the recent strides made in both the development of radiopharmaceuticals and their applications in molecular imaging, with a focus on the potential to improve precision, reduce toxicity, and optimize patient outcomes. The synergy between targeted therapy and molecular imaging represents a transformative shift in the management of hematologic malignancies. As these technologies evolve, they are poised to redefine treatment paradigms, offering new hope for patients and potentially improving survival rates with more effective and less toxic treatment options. Full article
(This article belongs to the Special Issue Cancer Treatment: Present and Future of Radioligand Therapy)
Show Figures

Figure 1

18 pages, 4504 KB  
Article
Is Copper-61 the New Gallium-68? Automation and Preclinical Proof-of-Concept of 61Cu-Based Radiopharmaceuticals for Prostate Cancer Imaging
by Diana Rodrigues, Alexandra I. Fonseca, Sérgio do Carmo, José Sereno, Ivanna Hrynchak, João N. Moreira, Célia Gomes and Antero Abrunhosa
Pharmaceuticals 2025, 18(4), 469; https://doi.org/10.3390/ph18040469 - 26 Mar 2025
Cited by 2 | Viewed by 1556
Abstract
Background: While gallium-68 has traditionally dominated PET imaging in oncology, copper radionuclides have sparked interest for their potential applications in nuclear medicine and theranostics. Considering the advantageous physical decay properties of copper-61 compared to those of gallium-68, we describe a fully automated GMP-compliant [...] Read more.
Background: While gallium-68 has traditionally dominated PET imaging in oncology, copper radionuclides have sparked interest for their potential applications in nuclear medicine and theranostics. Considering the advantageous physical decay properties of copper-61 compared to those of gallium-68, we describe a fully automated GMP-compliant synthesis process for 61Cu-based radiopharmaceuticals and demonstrate their in vivo application for targeting the overexpressed PSMA by PET/MR imaging. Methods: Copper-61 was obtained through the irradiation of natural zinc liquid targets in a biomedical cyclotron. [61Cu]Cu-DOTAGA-PSMA-I&T and [61Cu]Cu-NODAGA-PSMA-I&T were produced without manual intervention in two Synthera® Extension modules. Radiochemical purity was analyzed by radio-HPLC and iTLC. Cellular uptake was evaluated in LNCaP and DU145 cells. In vivo PET/MRI was performed in control mice to evaluate the biodistribution of both radiopharmaceuticals, and in tumor-bearing mice to assess the targeting ability towards PSMA. Results: The fully automated process developed proved to be effective for the synthesis of 61Cu-based radiopharmaceuticals, with appropriate molar activities. The final products exhibited high radiochemical purity (>98%) and remained stable for up to 6 h after the EOS. A time-dependent increase in cellular uptake was observed in LNCaP cells, but not in DU145 cells. As opposed to [61Cu]Cu-NODAGA-PSMA-I&T, [61Cu]Cu-DOTAGA-PSMA-I&T exhibited poor kinetic stability in vivo. Subsequent PET/MR imaging with [61Cu]Cu-NODAGA-PSMA-I&T showed tumor uptake lasting up to 4 h post-injection, predominant renal clearance, and no detectable accumulation in non-targeted organs. Conclusions: These results demonstrate the feasibility of the implemented process, which yields adequate amounts of high-quality radiopharmaceuticals and can be adapted to any standard production facility. This streamlined approach enhances reproducibility and scalability, bringing copper-61 closer to widespread clinical use, to the detriment of the conventionally accepted gallium-68. Full article
Show Figures

Figure 1

Back to TopTop