Sign in to use this feature.

Years

Between: -

Subjects

remove_circle_outline
remove_circle_outline
remove_circle_outline
remove_circle_outline
remove_circle_outline
remove_circle_outline
remove_circle_outline

Journals

Article Types

Countries / Regions

Search Results (21)

Search Parameters:
Keywords = medullary cavity

Order results
Result details
Results per page
Select all
Export citation of selected articles as:
16 pages, 2649 KB  
Article
Intraoperative Biologization of β-TCP and PCL-TCP by Autologous Proteins
by Andrea Sowislok, Gerrit Gruber, Farnusch Kaschani, Markus Kaiser, Eleftherios Papaeleftheriou and Marcus Jäger
J. Funct. Biomater. 2025, 16(9), 340; https://doi.org/10.3390/jfb16090340 - 9 Sep 2025
Viewed by 656
Abstract
Protein adsorption on orthopedic biomaterials during the initial intraoperative contact critically influences biological responses and osseointegration. Osteoconductive grafts such as β-tricalcium phosphate (β-TCP) and poly (ε-caprolactone)-β-TCP (PCL-TCP) can be functionally activated by exposure to autologous tissue. However, the composition and relevance of the [...] Read more.
Protein adsorption on orthopedic biomaterials during the initial intraoperative contact critically influences biological responses and osseointegration. Osteoconductive grafts such as β-tricalcium phosphate (β-TCP) and poly (ε-caprolactone)-β-TCP (PCL-TCP) can be functionally activated by exposure to autologous tissue. However, the composition and relevance of the resulting protein layer still remain unclear. In this study involving 10 patients undergoing primary total hip arthroplasty, β-TCP and PCL-TCP samples were incubated both in the femoral medullary cavity and within a surgical tissue collector harvesting autologous tissue (blood, bone fragments, muscle, and fat). Surface morphology was assessed microscopically, and protein adsorption was characterized via high-resolution LC-MS/MS with subsequent bioinformatics and statistical analysis. Both materials adsorbed over 2000 different autologous proteins. β-TCP showed higher overall protein concentrations, while PCL-TCP demonstrated greater proteomic diversity and incubation method-dependent shifts in protein profiles, influenced by surface roughness and wettability. Samples incubated in the tissue collector exhibited less protein variability and smaller material-specific differences compared to incubation in the femoral cavity, particularly for PCL-TCP. Predominant proteins were linked to immune regulation, stress response, and protein metabolism. These findings emphasize the impact of material properties and incubation environment on protein adsorption, with ex vivo incubation leading to more consistent protein adsorption patterns. Full article
(This article belongs to the Special Issue Functional Scaffolds for Bone and Joint Surgery)
Show Figures

Figure 1

12 pages, 19663 KB  
Article
Growth of a Long Bone Section Based on Inorganic Hydroxyapatite Crystals as Cellular Automata
by César Renán Acosta, Irma Martín and Gabriela Rivadeneyra
AppliedMath 2025, 5(3), 85; https://doi.org/10.3390/appliedmath5030085 - 4 Jul 2025
Viewed by 370
Abstract
This work explores the morphogenesis of the skeletal mineral component, with a specific emphasis on hydroxyapatite (HAp) crystal assembly. Bone is fundamentally a triphasic biomaterial, consisting of an inorganic mineral phase, an organic matrix, and an aqueous component. The inorganic phase (hydroxyapatite), is [...] Read more.
This work explores the morphogenesis of the skeletal mineral component, with a specific emphasis on hydroxyapatite (HAp) crystal assembly. Bone is fundamentally a triphasic biomaterial, consisting of an inorganic mineral phase, an organic matrix, and an aqueous component. The inorganic phase (hydroxyapatite), is characterized by its hexagonal prismatic nanocrystalline structure. We leverage a cellular automata (CA) paradigm to computationally simulate the mineralization process, leading to the formation of the bone’s hydroxyapatite framework. This model exclusively considers the physicochemical aspects of bone formation, intentionally excluding the biological interactions that govern in vivo skeletal development. To optimize computational efficiency, a simplified anatomical segment of a long bone (e.g., the femur) is modeled. This geometric simplification encompasses an outer ellipsoidal cylindrical boundary (periosteal envelope), an inner ellipsoidal surface defining the interface between cortical and cancellous bone, and a central circular cylindrical lumen representing the medullary cavity, which accommodates the bone marrow and primary vasculature. The CA methodology is applied to generate the internal bone microarchitecture, while deliberately omitting the design of smaller, secondary vascular channels. Full article
Show Figures

Figure 1

12 pages, 3528 KB  
Technical Note
Considerations and Challenges of Resorbable Intramedullary Nailing in Pediatric Forearm Fractures
by Gergő Józsa, Tamás Kassai, Marcell Varga, Ádám L. Dávid, Zoltán Tóth, Tibor Molnár, Eszter Antal, Anna Gabriella Lamberti, Hermann Nudelman and Aba Lőrincz
Children 2025, 12(5), 606; https://doi.org/10.3390/children12050606 - 6 May 2025
Cited by 2 | Viewed by 1030
Abstract
Background: Pediatric diaphyseal forearm fractures, often caused by sports or leisure activities, require treatment based on fracture stability. While stable fractures can be managed conservatively, unstable fractures typically require surgery, with elastic stable intramedullary (IM) nailing (ESIN) being the gold standard. Bioabsorbable [...] Read more.
Background: Pediatric diaphyseal forearm fractures, often caused by sports or leisure activities, require treatment based on fracture stability. While stable fractures can be managed conservatively, unstable fractures typically require surgery, with elastic stable intramedullary (IM) nailing (ESIN) being the gold standard. Bioabsorbable IM nails (BINs) offer an alternative by eliminating the need for implant removal surgery. Methods: Between May 2023 and January 2025, we consecutively managed 161 children with poly-L-lactic-co-glycolic acid (PLGA) BINs in two healthcare centers for diaphyseal forearm fracture and evaluated every reported difficulty and complication of resorbable IM nails. Results: Seven unique peri- or postoperative events occurred during the study period. Even with a high success rate, some complications occurred during the study period. Difficulties and complications were mainly dependent on the surgical technique. Iatrogenic complications such as bone cortex perforation and implant end split were evaluated, along with anatomical variations like focal and general medullary cavity stenosis narrowings that affected implant insertion. Secondary malalignment, one early (2 months) refracture, and one recurrent fracture (2 years) were also noted. Conclusions: Although BINs reduce the need for a second surgery, careful planning, technique, and follow-up are crucial for optimal outcomes. Further research is needed to assess long-term results and complications. Full article
(This article belongs to the Section Pediatric Orthopedics & Sports Medicine)
Show Figures

Figure 1

26 pages, 3246 KB  
Article
Morphological, Histological and Morphometrical Aspects of Auditory Ossicles in Pig Fetuses (Sus scrofa domestica)
by Cristian Olimpiu Martonos, Pompei Bolfa, Andras-Laszlo Nagy, David Hilchie, William Brady Little, Cristian Constantin Dezdrobitu and Alexandru Ion Gudea
Animals 2025, 15(8), 1129; https://doi.org/10.3390/ani15081129 - 14 Apr 2025
Cited by 1 | Viewed by 1985
Abstract
The detailed study of the morphology and morphometrics of the auditory ossicles in swine became a topic for investigation due to their resemblance to the human ear. The methods used in this study cover the typical macroscopical investigation of gross morphology: a detailed [...] Read more.
The detailed study of the morphology and morphometrics of the auditory ossicles in swine became a topic for investigation due to their resemblance to the human ear. The methods used in this study cover the typical macroscopical investigation of gross morphology: a detailed metrical and histological assessment through H&E standard protocol on auditory ossicles originating from eight pig fetuses originating from four distinctive sows. The ossicular assembly in the malleus, incus and stapes present in 66-day fetuses shows all the features generally described in swine. The malleus comprises two uneven laminae of mineralized hyaline cartilage and a medullary cavity. The areas of the head and neck show a high degree of vascularization. The incus has two similar cortical fascicles separated by a compartmentalized medullary cavity, with the highest degree of mineralization found at the distal part of the long process. Stapes show an early degree of mineralization at the level of the crura, lacking medullary cavities. The ossicular chain shows typical morphological elements, similar to adults, and from a dimensional perspective, our investigations point to an uneven degree of development of the ossicles, according to gestational age: the malleus and stapes reach almost 80% and the incus about 50–60% of their adult sizes. Full article
(This article belongs to the Section Mammals)
Show Figures

Figure 1

14 pages, 19708 KB  
Article
Exogenous Melatonin Improves the Tibial Performance, Morphology and Metabolism Balance in Rapid Bone Growth Phase of Long Photoperiod Broilers
by Miao Yu, Mengjie Xu, Guangju Wang, Jinghai Feng and Minhong Zhang
Agriculture 2025, 15(5), 553; https://doi.org/10.3390/agriculture15050553 - 4 Mar 2025
Viewed by 809
Abstract
Bone metabolism dynamic balance is pivotal to bone formation in broilers. Long photoperiods have resulted in leg bones disorders in broilers. Melatonin (MT) is an essential hormone that protects the growth and development of bones, but the functions of melatonin on leg bone [...] Read more.
Bone metabolism dynamic balance is pivotal to bone formation in broilers. Long photoperiods have resulted in leg bones disorders in broilers. Melatonin (MT) is an essential hormone that protects the growth and development of bones, but the functions of melatonin on leg bone metabolism are poorly defined in long photoperiod broilers. A total of 216 healthy 5-day-old Arbor Acres (AA) male broiler chickens were randomly allocated into three treatment groups, i.e., 12L:12D photoperiod, 18L:6D photoperiod, 18L:6D photoperiod with exogenous MT supplementation (18L:6D + MT) for 2 weeks. Here, we found that 18L:6D photoperiod increased tibial length (p < 0.001), circumference (p = 0.012) and long diameter (p = 0.003) of broilers, but decreased the tibial weight index (p = 0.038) and strength. The 18L:6D photoperiod induced the tibial cartilage damage, decreased the osteoblast/osteoclast ratio (p = 0.002) and decreased the medullary cavity collagen fiber (p = 0.018) in broilers. Exogenous MT improved the tibial strength, relieved the tibial cartilage damage, increased the tibia osteoblast activity, alleviated osteoclast recruitment and activation and enhanced the collagen fiber in medullary cavity in long photoperiod broilers. Taken together, exogenous MT improved the tibial performance, morphology and formation of broilers underlying long photoperiod. Full article
(This article belongs to the Section Farm Animal Production)
Show Figures

Figure 1

15 pages, 3280 KB  
Article
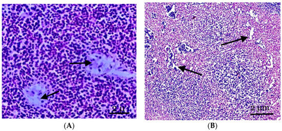
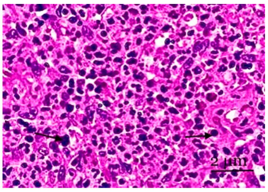
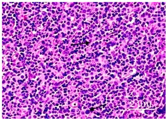
Morphofunctional Alteration of Mesenteric Lymph Nodes in the Inflammation of the Abdominal Cavity
by Serik N. Abdreshov, Georgii A. Demchenko, Anar N. Yeshmukhanbet, Makpal A. Yessenova, Sandugash A. Mankibaeva, Gulshat K. Atanbaeva and Marzhan S. Kulbayeva
Biology 2024, 13(3), 166; https://doi.org/10.3390/biology13030166 - 4 Mar 2024
Cited by 2 | Viewed by 3049
Abstract
This paper provides data regarding the ratios of the functional structures of lymph nodes after inflammation in the abdominal organs. Lymph systems, including lymph nodes, function as filters of tissues and tissue fluids and are places of origin and lymphocyte production for normal [...] Read more.
This paper provides data regarding the ratios of the functional structures of lymph nodes after inflammation in the abdominal organs. Lymph systems, including lymph nodes, function as filters of tissues and tissue fluids and are places of origin and lymphocyte production for normal physiological functions. They display specific morphological and functional responses in reaction to endogenous and exogenous substances. The morphological pattern of the mesenteric lymph node in experimental rat groups reflects a decrease in its immune function due to the processes of inflammation in the abdominal cavity. These processes work together with the associated organs and their involvement in the abdominal lymph nodes, in which there are discharges of the structure of the paracortical zone under conditions of reduced lymphogenic processes, according to the decrease in the size of the paracortex and the ratios of lymphoid nodes with and without germinal centers. Histological and morphometric analyses show changes in the mesenteric lymph node. These analyses are characterized by changes in the cortical and medullary substances, while the proportion of the cortical structure decreases. We also noted an increase in the number of macrophages in the lymphoid nodes and cerebral sinus, as well as a decrease in the number of mature plasmocytes, the paracortex, and the pulp strands. These changes indicate immunosuppressive effects on the lymph node. Under the conditions of inflammation, the formation of a mixed immune response occurs. Full article
(This article belongs to the Section Physiology)
Show Figures

Figure 1

28 pages, 26849 KB  
Article
Taphonomy of a Mysticete Whale from the Lower Pliocene of the Coast of Cádiz (Spain)
by Giulia Bosio, Ildefonso Bajo-Campos, Alberto Collareta, Sergio Ros-Montoya, Daniel de la Torre, Giovanni Coletti and Giovanni Bianucci
J. Mar. Sci. Eng. 2024, 12(1), 17; https://doi.org/10.3390/jmse12010017 - 20 Dec 2023
Viewed by 4148
Abstract
A fossil mysticete was discovered along the southwestern coast of Spain, occurring in a block detached from the Neogene deposits exposed along a coastal cliff at the locality of Conil de la Frontera (Cádiz, Spain). These deposits range from Pliocene to Pleistocene in [...] Read more.
A fossil mysticete was discovered along the southwestern coast of Spain, occurring in a block detached from the Neogene deposits exposed along a coastal cliff at the locality of Conil de la Frontera (Cádiz, Spain). These deposits range from Pliocene to Pleistocene in age and include shallow-marine, mixed carbonate–siliciclastic sediments, with the whale being found in occurrence of a stratigraphic unconformity marked by Thalassinoides burrows. 87Sr/86Sr analyses on oyster shells associated with the skeleton suggest an Early Pliocene age, in agreement with the age of the lowermost unit cropping out at the study site. The studied cetacean specimen consists of an articulated, almost complete balaenopteroid skeleton exposed in the field dorsal side up; being contained in an upside-down block, however, it is preserved in ventral disposition. Bones exhibit a low degree of preservation of the cortical bone tissue, which locally features shark bite marks and Osedax traces as well as abundant encrustations of barnacles and ostreids. Two shark teeth were also found near the skeleton. Bones have preserved their main histological features, even though they locally exhibit microcracks, dissolution, substitution by Fe oxides, and microborings. Sediment particles and late diagenetic cements fill the medullary cavities. We propose that the whale carcass experienced refloating before sinking to the seafloor and that the skeleton was probably exposed on the seafloor for some time before being eventually buried. Full article
(This article belongs to the Section Geological Oceanography)
Show Figures

Figure 1

24 pages, 6450 KB  
Article
Melon Robotic Grafting: A Study on the Precision Cutting Mechanism and Experimental Validation
by Shan Chen, Huan Liang, Qian Zhang, Qingchun Feng, Tao Li, Liping Chen and Kai Jiang
Agriculture 2023, 13(11), 2139; https://doi.org/10.3390/agriculture13112139 - 13 Nov 2023
Cited by 7 | Viewed by 2283
Abstract
The grafting machine cutting step is the core step of the grafting process. The existing grafting machine cutting mechanism adopts fixed angle cutting and manually adjusts the cutting angle based on experience, and the cutting angle is not definite for rootstock cutting in [...] Read more.
The grafting machine cutting step is the core step of the grafting process. The existing grafting machine cutting mechanism adopts fixed angle cutting and manually adjusts the cutting angle based on experience, and the cutting angle is not definite for rootstock cutting in different growth periods. In this paper, we proposed a method to guide the precise cutting mechanism according to internal and external parameters of melon rootstock at a specific period. First, we constructed a cutting model based on internal and external characteristics of rootstock cutting in the growth period of “two leaves and one core” and clarified the safe cutting area. Second, we designed a rotary precision cutting mechanism for rootstock cutting with automatic angle adjustment and constructed the displacement equation of the cutting trajectory of the cutter according to the cutting model. Last, we examined the cutting effect of the precision cutting mechanism and determined the precise cutting angle of the rootstock cutting mechanism in the growth period. Finally, the cutting effect of the precision cutting mechanism was examined, and the precision cutting angle of the rootstock during the growth period was determined. A comparison test between the precision cutting mechanism and the traditional cutting mechanism was carried out, and visual images of the incision were captured and analyzed. The results show that under the five horizontal cutting angles in the safe cutting area of rootstock, the length of the cut surface is inversely proportional to the cutting angle, and the flatness of the cut surface is directly proportional to the cutting angle. Comprehensive evaluation of the length of the cut surface, the cutting success rate, and the quality of cutting revealed that the average cutting angle of the precision cutting mechanism in the safe cutting area (26°) is better than that of the traditional cutting mechanism. It meets the technical requirements of the cutting technology for mechanically grafted rootstocks. The results provide a reference for studying new rootstock precision cutting mechanisms and cutting angle adaptive control models. Full article
(This article belongs to the Special Issue Recent Advances in Horticultural Grafting)
Show Figures

Figure 1

11 pages, 2793 KB  
Article
Impact of a Static Magnetic Field on Early Osseointegration: A Pilot Study in Canines
by Roberta Michels, Carina Kampleitner, Toni Dobsak, Kevin Doppelmayer, Patrick Heimel, Stefan Lettner, Stefan Tangl, Reinhard Gruber and César Augusto Magalhães Benfatti
Materials 2023, 16(5), 1846; https://doi.org/10.3390/ma16051846 - 23 Feb 2023
Cited by 3 | Viewed by 2097
Abstract
A static magnetic field generated by neodymium–iron–boron (NdFeB) magnets placed in the inner cavity of dental implants can enhance bone regeneration in rabbits. It is, however, unknown whether static magnetic fields support osseointegration in a canine model. We therefore determined the potential osteogenic [...] Read more.
A static magnetic field generated by neodymium–iron–boron (NdFeB) magnets placed in the inner cavity of dental implants can enhance bone regeneration in rabbits. It is, however, unknown whether static magnetic fields support osseointegration in a canine model. We therefore determined the potential osteogenic effect of implants carrying NdFeB magnets inserted in the tibia of six adult canines in the early stages of osseointegration. Here, we report that after 15 days of healing, magnetic and regular implants showed a high variation with a median new bone-to-implant contact (nBIC) in the cortical (41.3% and 7.3%) and the medullary (28.6% and 44.8%) region, respectively. Consistently, the median new bone volume/tissue volume (nBV/TV) in the cortical (14.9% and 5.4%) and the medullary (22.2% and 22.4%) region were not significantly different. One week of healing only resulted in negligible bone formation. These findings suggest that considering the large variation and the pilot nature of this study, magnetic implants failed to support peri-implant bone formation in a canine model. Full article
(This article belongs to the Special Issue Materials in Implant Dentistry and Regenerative Medicine Volume II)
Show Figures

Figure 1

8 pages, 1481 KB  
Article
First Clinical Report of the Intraoperative Macro- and Micro-Photodiagnosis and Photodynamic Therapy Using Talaporfin Sodium for a Patient with Disseminated Lumbar Medulloblastoma
by Jiro Akimoto, Shinjiro Fukami, Kenta Nagai and Michihiro Kohno
J. Clin. Med. 2023, 12(2), 432; https://doi.org/10.3390/jcm12020432 - 5 Jan 2023
Cited by 4 | Viewed by 2314
Abstract
Photodiagnosis (PD) and photodynamic therapy (PDT) using the second-generation photosensitizer talaporfin sodium together with an exciting laser for primary intracranial malignant tumors is well recognized in Japan, and many medical institutions are introducing this new therapeutic option. In particular, intraoperative PDT using talaporfin [...] Read more.
Photodiagnosis (PD) and photodynamic therapy (PDT) using the second-generation photosensitizer talaporfin sodium together with an exciting laser for primary intracranial malignant tumors is well recognized in Japan, and many medical institutions are introducing this new therapeutic option. In particular, intraoperative PDT using talaporfin sodium for infiltrating tumor cells in the cavity walls after the resection of malignant glioma is now covered by health insurance after receiving governmental approvement, and this method has been recommended in therapeutic guidelines for primary malignant brain tumors in Japan. On the other hand, experimental and clinical studies on the development of novel therapeutic strategies for malignant spinal cord tumors have not been reported to date, although their histological features are almost identical to those of intracranial malignant tumors. Therefore, the clinical outcomes of malignant spinal cord tumors have been less favorable than those of malignant brain tumors. In this report, we performed the PD and PDT using talaporfin sodium on a patient with a metastatic lumbar lesion that was detected on magnetic resonance image (MRI) 50 months after the resection of cerebellar medulloblastoma who presented with lumbago and sciatica. We were able to detect the target lesion in the conus medullaris using a surgical microscope, and detected the disseminated medulloblastoma cells floating in the cerebrospinal fluid using a compact fluorescence microscope. Furthermore, we performed PDT to the resected lumbar lesion with the adjuvant platinum-based chemotherapy, and the patient survived a meaningful life for more than 2 years after the lumbar surgery. This report describes the first case of a human patient in whom the efficacy of PD and PDT was demonstrated for a malignant spinal cord tumor. Full article
Show Figures

Figure 1

11 pages, 2133 KB  
Article
Clinical Presentation and Characteristics of the Upper Extremity in Patients with Musculocontractural Ehlers–Danlos Syndrome
by Fumihiro Isobe, Masanori Hayashi, Rena Kobayashi, Manami Nakamura, Tomoki Kosho and Jun Takahashi
Genes 2022, 13(11), 1978; https://doi.org/10.3390/genes13111978 - 29 Oct 2022
Cited by 4 | Viewed by 2991
Abstract
Musculocontractural Ehlers–Danlos syndrome (mcEDS) is a subtype of EDS caused by defective dermatan sulfate biosynthesis, characterized by multiple malformations (craniofacial features, ocular and visceral malformations) and progressive cutaneous, skeletal, vascular, and visceral fragility-related manifestations. Repeated dislocations and deformities of the joints due to [...] Read more.
Musculocontractural Ehlers–Danlos syndrome (mcEDS) is a subtype of EDS caused by defective dermatan sulfate biosynthesis, characterized by multiple malformations (craniofacial features, ocular and visceral malformations) and progressive cutaneous, skeletal, vascular, and visceral fragility-related manifestations. Repeated dislocations and deformities of the joints due to joint relaxation are observed, causing serious damage to the musculoskeletal system of the whole body; however, the motor function of the upper limbs and the morphology of the bone joints have not been systematically investigated. In this study, we present a detailed and comprehensive report on upper limb lesions of 13 patients with a mean age at the first visit of 21 years. Twelve patients (92.3%) had a history of dislocation. Eleven patients (84.6%) had shoulder dislocations, and two patients (15.4%) had elbow dislocations. Four patients (30.8%) had elbow osteoarthritis, and three patients (23.1%) had distal radioulnar joint (DRUJ) osteoarthritis. The phalanges and metacarpals are thin, and the ratio of medullary cavity of the metacarpal bone decreases with age. As bone and joint deformity progresses, patients with mcEDS should be recommended to receive regular follow-up, including radiology. The present findings suggest an important role for dermatan sulfate in the maintenance of the skeletal system. Full article
(This article belongs to the Section Molecular Genetics and Genomics)
Show Figures

Figure 1

18 pages, 4010 KB  
Article
Intramedullary Skeletal Distraction Robot: Novel Design and Optimization of Implantable Lengthening Nail
by ShiKeat Lee, Zhenguo Nie, Handing Xu, Kai Hu, Hanwei Lin, Fugui Xie and Xin-jun Liu
Machines 2022, 10(10), 843; https://doi.org/10.3390/machines10100843 - 23 Sep 2022
Viewed by 3084
Abstract
Leg Length Discrepancy (LLD) is a critical problem which not only impacts the quality of life but also causes other physical ailments such as limping and severe back pain. Most people had a non-negligible difference in the length of their two legs, and [...] Read more.
Leg Length Discrepancy (LLD) is a critical problem which not only impacts the quality of life but also causes other physical ailments such as limping and severe back pain. Most people had a non-negligible difference in the length of their two legs, and 0.1% of the population with differences of 20 mm or more are diagnosed as a difference in limb length. The Ilizarov external fixator is commonly used in treating LLD as conventional therapeutic equipment, but often causes serious complications that cannot be prevented. Therefore, intramedullary leg-lengthening treatment has become popular in distraction osteogenesis to eliminate extracorporeal surgery. This paper presents a study on the design and optimization of a novel electromagnetic-driven Intramedullary Skeletal Distraction Robot (ISDR) with robust mechanical stiffness and surplus electromagnetic driving force. Compared with PRECICE, the split structure of ISDR eases the optimal design and manufacturing difficulties to strengthen mechanical stiffness, and the electromagnetic configuration allows improving the distraction force by adjusting the Permanent Magnet Brushless Direct Current (PMBLDC) motor parameters. ISDR, which is implanted in the medullary cavity, has the Von-Mises stress of 952.15 MPa, and the first mode of natural frequency is 28.823 Hz indicating that it can withstand the load during the walking gait phases. On the other hand, the ISDR distraction force encounters resistance from muscle fibers, and an average driving torque of 9 Nmm ensures its distraction. Based on the results, ISDR is proven secure and reliable during and after leg-lengthening treatment, which can significantly reduce lifestyle disruption and medical complications. Full article
(This article belongs to the Topic Advanced Electrical Machines and Drives Technologies)
Show Figures

Figure 1

9 pages, 3142 KB  
Article
Clinical, Radiological, and Histopathological Characteristics of Periosteal Chondrosarcoma with a Focus on the Frequency of Medullary Invasion
by Makoto Nakagawa, Makoto Endo, Yosuke Susuki, Nobuhiko Yokoyama, Akira Maekawa, Akira Nabeshima, Keiichiro Iida, Toshifumi Fujiwara, Nokitaka Setsu, Tomoya Matsunobu, Yoshihiro Matsumoto, Ryohei Yokoyama, Yuichi Yamada, Kenichi Kohashi, Hidetaka Yamamoto, Yoshinao Oda, Yukihide Iwamoto and Yasuharu Nakashima
J. Clin. Med. 2022, 11(7), 2062; https://doi.org/10.3390/jcm11072062 - 6 Apr 2022
Cited by 4 | Viewed by 3545
Abstract
Periosteal chondrosarcoma is an extremely rare malignant cartilage-forming tumour that originates from the periosteum and occurs on the surface of bone. Often, it is difficult to distinguish periosteal chondrosarcoma from other tumours, and reports in the literature are scarce. This study aims to [...] Read more.
Periosteal chondrosarcoma is an extremely rare malignant cartilage-forming tumour that originates from the periosteum and occurs on the surface of bone. Often, it is difficult to distinguish periosteal chondrosarcoma from other tumours, and reports in the literature are scarce. This study aims to investigate the characteristics of periosteal chondrosarcoma, focusing particularly on medullary invasion. Among 33 periosteal cartilaginous tumours, seven patients with pathologically proven periosteal chondrosarcoma were identified retrospectively. The average tumour size was 5.4 cm in the long axis; two tumours were smaller than 3.0 cm. Six tumours were resected with a wide margin, and the remaining tumour had a marginal margin. Histology revealed that six tumours (85.7%) had invaded the medullary cavity; three of these did not show invasion into the medullary cavity on MRI evaluation. Neither local recurrence nor metastasis was observed among these patients. The frequency of invasion of the medullary cavity was higher than that reported previously. The recommended treatment for periosteal chondrosarcoma is resection with an adequate margin. Therefore, surgeons should consider the possibility of medullary invasion when attempting to achieve a histologically negative margin, even if the tumour does not show invasion into the medullary cavity on MRI. Full article
Show Figures

Figure 1

15 pages, 4584 KB  
Article
Biological Behavior of Xenogenic Scaffolds in Alcohol-Induced Rats: Histomorphometric and Picrosirius Red Staining Analysis
by Dayane Maria Braz Nogueira, André Luiz de Faria Figadoli, Patrícia Lopes Alcantara, Karina Torres Pomini, Iris Jasmin Santos German, Carlos Henrique Bertoni Reis, Geraldo Marco Rosa Júnior, Marcelie Priscila de Oliveira Rosso, Paulo Sérgio da Silva Santos, Mariana Schutzer Ragghianti Zangrando, Eliana de Souza Bastos Mazuqueli Pereira, Miguel Ângelo de Marchi, Beatriz Flavia de Moraes Trazzi, Jéssica de Oliveira Rossi, Samira Salmeron, Cláudio Maldonado Pastori, Daniela Vieira Buchaim and Rogerio Leone Buchaim
Polymers 2022, 14(3), 584; https://doi.org/10.3390/polym14030584 - 31 Jan 2022
Cited by 11 | Viewed by 3741
Abstract
In this experimental protocol, the objective was to evaluate the biological behavior of two xenogenic scaffolds in alcohol-induced rats through histomorphometric and Picrosirius Red staining analysis of non-critical defects in the tibia of rats submitted or not to alcohol ingestion at 25% v [...] Read more.
In this experimental protocol, the objective was to evaluate the biological behavior of two xenogenic scaffolds in alcohol-induced rats through histomorphometric and Picrosirius Red staining analysis of non-critical defects in the tibia of rats submitted or not to alcohol ingestion at 25% v/v. Eighty male rats were randomly divided into four groups (n = 20 each): CG/B (water diet + Bio-Oss® graft, Geistlich Pharma AG, Wolhusen, Switzerland), CG/O (water diet + OrthoGen® graft, Baumer, Mogi Mirim, Brazil), AG/B (25% v/v alcohol diet + Bio-Oss® graft), and AG/O (25% v/v alcohol diet + OrthoGen® graft). After 90 days of liquid diet, the rats were surgically obtained, with a defect in the tibia proximal epiphysis; filled in according to their respective groups; and euthanized at 10, 20, 40 and 60 days. In two initial periods (10 and 20 days), all groups presented biomaterial particles surrounded by disorganized collagen fibrils. Alcoholic animals (AG/B and AG/O) presented, in the cortical and medullary regions, a reactive tissue with inflammatory infiltrate. In 60 days, in the superficial area of the surgical cavities, particles of biomaterials were observed in all groups, with new compact bone tissue around them, without complete closure of the lesion, except in non-alcoholic animals treated with Bio-Oss® xenograft (CG/B), where the new cortical interconnected the edges of the defect. Birefringence transition was observed in the histochemical analysis of collagen fibers by Picrosirius Red, in which all groups in periods of 10 and 20 days showed red-orange birefringence, and from 40 days onwards greenish-yellow birefringence, which demonstrates the characteristic transition from the formation of thin and disorganized collagen fibers initially to more organized and thicker later. In histomorphometric analysis, at 60 days, CG/B had the highest volume density of new bone (32.9 ± 1.15) and AG/O the lowest volume density of new bone (15.32 ± 1.71). It can be concluded that the bone neoformation occurred in the defects that received the two biomaterials, in all periods, but the Bio-Oss® was superior in the results, with its groups CG/B and AG/B displaying greater bone formation (32.9 ± 1.15 and 22.74 ± 1.15, respectively) compared to the OrthoGen® CG/O and AG/O groups (20.66 ± 2.12 and 15.32 ± 1.71, respectively), and that the alcoholic diet interfered negatively in the repair process and in the percentage of new bone formed. Full article
(This article belongs to the Special Issue Chitosan, Chitin, and Cellulose Nanofiber Biomaterials)
Show Figures

Figure 1

28 pages, 12420 KB  
Article
Skeletochronology and Paleohistology of Hyposaurus rogersii (Crocodyliformes, Dyrosauridae) from the Early Paleogene of New Jersey, USA
by Rodrigo A. Pellegrini, Wayne R. Callahan, Alexander K. Hastings, David C. Parris and John D. McCauley
Animals 2021, 11(11), 3067; https://doi.org/10.3390/ani11113067 - 27 Oct 2021
Cited by 10 | Viewed by 4740
Abstract
The paleohistology of dyrosaurids is known from a small sample, despite being common fossils and representing a rare lineage of crocodylomorphs that survived the Cretaceous–Paleogene extinction. Their lifestyle has been inferred only from sections of the snout, vertebrae, partial femur, and tibia. To [...] Read more.
The paleohistology of dyrosaurids is known from a small sample, despite being common fossils and representing a rare lineage of crocodylomorphs that survived the Cretaceous–Paleogene extinction. Their lifestyle has been inferred only from sections of the snout, vertebrae, partial femur, and tibia. To improve this, we conducted a skeletochronological and paleohistological study of midshaft cross-sections of both femora and humeri of a nearly complete Hyposaurus rogersii skeleton. We found lamellar-zonal bone that underwent remodeling, evidenced by resorption cavities and abundant secondary osteons within the primary periosteal cortex. The osteons, mostly longitudinally oriented and arranged in circular rows, often anastomose radially along a linear path, resembling radial rows. The medullary cavity is completely open, lacking trabeculae: endosteal deposition is limited to thin lamellae surrounding the cavity. Analysis of cyclical growth marks and the presence of an external fundamental system indicate the specimen was a fully mature adult 17–18 years of age. Comparison of the skeleton to others suggests sexual dimorphism and that it was female. The open medullary cavity, and no evidence for pachyosteosclerosis, osteosclerosis, osteoporosis, or pachyostosis indicate H. rogersii was not a deep diver or a fast swimmer in the open ocean but a near-shore marine ambush predator. Full article
(This article belongs to the Special Issue Bone Morphology in Paleontology and Evolution Research)
Show Figures

Figure 1

Back to TopTop