Considerations and Challenges of Resorbable Intramedullary Nailing in Pediatric Forearm Fractures
Abstract
1. Introduction
2. Patients and Methods
2.1. Study Design and Patient Selection
2.2. Intervention
2.3. Operative Algorithm
3. Results
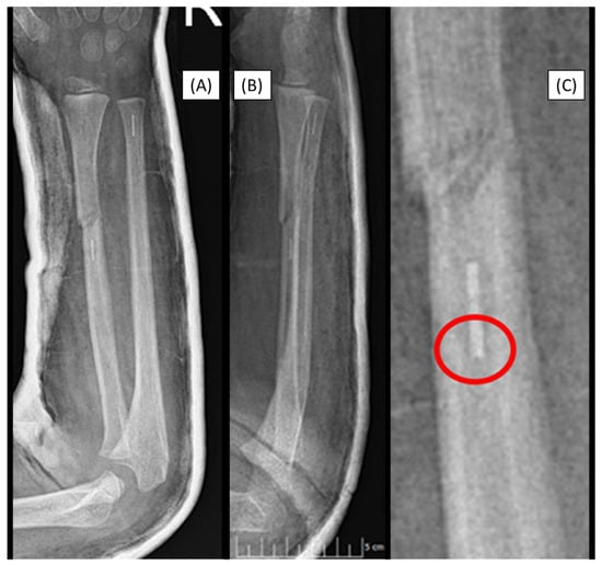
3.1. Case 1: Iatrogenic Cortex Perforation
3.2. Case 2: Narrow Medullary Cavity
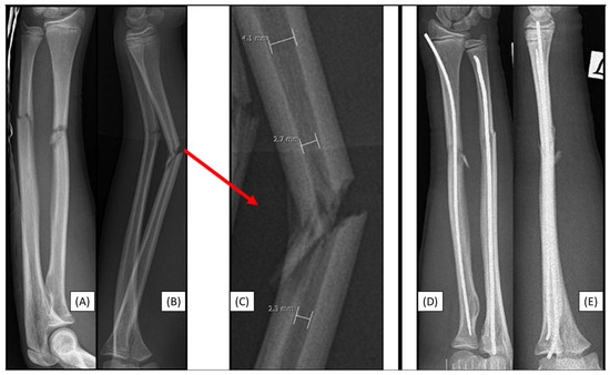
3.3. Case 3: Apical Implant Splitting
3.4. Case 4: Focal Medullary Cavity Stenosis
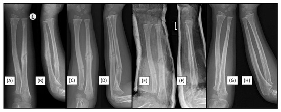
3.5. Case 5: Secondary Malalignment
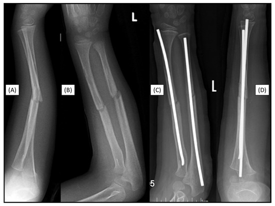
3.6. Case 6: Early Refracture
3.7. Case 7: Recurrent Fracture
4. Discussion
5. Conclusions
Author Contributions
Funding
Institutional Review Board Statement
Informed Consent Statement
Data Availability Statement
Acknowledgments
Conflicts of Interest
References
- Lyons, R.A.; Delahunty, A.M.; Kraus, D.; Heaven, M.; McCabe, M.; Allen, H.; Nash, P. Children’s Fractures: A Population Based Study. Inj. Prev. 1999, 5, 129–132. [Google Scholar] [CrossRef]
- Schieber, R.A.; Branche-Dorsey, C.M.; Ryan, G.W.; Rutherford, G.W.; Stevens, J.A.; O’Neil, J. Risk Factors for Injuries from In-Line Skating and the Effectiveness of Safety Gear. N. Engl. J. Med. 1996, 335, 1630–1635. [Google Scholar] [CrossRef]
- Joeris, A.; Lutz, N.; Blumenthal, A.; Slongo, T.; Audigé, L. The AO Pediatric Comprehensive Classification of Long Bone Fractures (PCCF). Acta Orthop. 2017, 88, 129–132. [Google Scholar] [CrossRef] [PubMed]
- Caruso, G.; Caldari, E.; Sturla, F.D.; Caldaria, A.; Re, D.L.; Pagetti, P.; Palummieri, F.; Massari, L. Management of Pediatric Forearm Fractures: What Is the Best Therapeutic Choice? A Narrative Review of the Literature. Musculoskelet. Surg. 2021, 105, 225–234. [Google Scholar] [CrossRef] [PubMed]
- Flynn, J.M. Pediatric Forearm Fractures: Decision Making, Surgical Techniques, and Complications. Instr. Course Lect. 2002, 51, 355–360. [Google Scholar]
- Noonan, K.J.; Price, C.T. Forearm and Distal Radius Fractures in Children. J. Am. Acad. Orthop. Surg. 1998, 6, 146–156. [Google Scholar] [CrossRef]
- Lascombes, P.; Prevot, J.; Ligier, J.N.; Metaizeau, J.P.; Poncelet, T. Elastic Stable Intramedullary Nailing in Forearm Shaft Fractures in Children: 85 Cases. J. Pediatr. Orthop. 1990, 10, 167–171. [Google Scholar] [CrossRef] [PubMed]
- Schmittenbecher, P.P. State-of-the-Art Treatment of Forearm Shaft Fractures. Injury 2005, 36 (Suppl. S1), A25–A34. [Google Scholar] [CrossRef]
- Kubiak, R.; Aksakal, D.; Weiss, C.; Wessel, L.M.; Lange, B. Is There a Standard Treatment for Displaced Pediatric Diametaphyseal Forearm Fractures?: A STROBE-Compliant Retrospective Study. Medicine 2019, 98, e16353. [Google Scholar] [CrossRef]
- Kang, S.-N.; Mangwani, J.; Ramachandran, M.; Paterson, J.M.H.; Barry, M. Elastic Intramedullary Nailing of Paediatric Fractures of the Forearm: A decade of experience in a teaching hospital in the United Kingdom. J. Bone Jt. Surg. Br. 2011, 93-B, 262–265. [Google Scholar] [CrossRef]
- Cullen, M.C.; Roy, D.R.; Giza, E.; Crawford, A.H. Complications of Intramedullary Fixation of Pediatric Forearm Fractures. J. Pediatr. Orthop. 1998, 18, 14–21. [Google Scholar] [CrossRef] [PubMed]
- Fernandez, F.F.; Langendörfer, M.; Wirth, T.; Eberhardt, O. Failures and Complications in Intramedullary Nailing of Children’s Forearm Fractures. J. Child. Orthop. 2010, 4, 159–167. [Google Scholar] [CrossRef]
- Brooker, B.; Harris, P.C.; Donnan, L.T.; Graham, H.K. Rupture of the Extensor Pollicis Longus Tendon Following Dorsal Entry Flexible Nailing of Radial Shaft Fractures in Children. J. Child. Orthop. 2014, 8, 353. [Google Scholar] [CrossRef] [PubMed]
- Lieber, J.; Dietzel, M.; Scherer, S.; Schäfer, J.F.; Kirschner, H.-J.; Fuchs, J. Implant Removal Associated Complications after ESIN Osteosynthesis in Pediatric Fractures. Eur. J. Trauma Emerg. Surg. 2022, 48, 3471–3478. [Google Scholar] [CrossRef]
- Scheider, P.; Ganger, R.; Farr, S. Complications of Hardware Removal in Pediatric Upper Limb Surgery: A Retrospective Single-Center Study of 317 Patients. Medicine 2020, 99, e19010. [Google Scholar] [CrossRef]
- Was Tun, Wenn Die Elastisch-Stabile Intramedulläre Nagelung (ESIN) an Ihre Grenzen Stößt? Available online: https://www.springermedizin.de/was-tun-wenn-die-elastisch-stabile-intramedullaere-nagelung-esin/8702902 (accessed on 3 February 2025).
- Pogorelić, Z.; Gulin, M.; Jukić, M.; Biliškov, A.N.; Furlan, D. Elastic Stable Intramedullary Nailing for Treatment of Pediatric Forearm Fractures: A 15-Year Single Centre Retrospective Study of 173 Cases. Acta Orthop. Traumatol. Turc. 2020, 54, 378–384. [Google Scholar] [CrossRef] [PubMed]
- Salonen, A.; Salonen, H.; Pajulo, O. A Critical Analysis of Postoperative Complications of Antebrachium TEN-Nailing in 35 Children. Scand. J. Surg. 2012, 101, 216–221. [Google Scholar] [CrossRef]
- Kruppa, C.; Bunge, P.; Schildhauer, T.A.; Dudda, M. Low Complication Rate of Elastic Stable Intramedullary Nailing (ESIN) of Pediatric Forearm Fractures. Medicine 2017, 96, e6669. [Google Scholar] [CrossRef]
- Lieber, J.; Joeris, A.; Knorr, P.; Schalamon, J.; Schmittenbecher, P. ESIN in Forearm Fractures. Eur. J. Trauma 2005, 31, 3–11. [Google Scholar] [CrossRef]
- Patel, A.; Li, L.; Anand, A. Systematic Review: Functional Outcomes and Complications of Intramedullary Nailing versus Plate Fixation for Both-Bone Diaphyseal Forearm Fractures in Children. Injury 2014, 45, 1135–1143. [Google Scholar] [CrossRef]
- Rousset, M.; Mansour, M.; Samba, A.; Pereira, B.; Canavese, F. Risk Factors for Re-Fracture in Children with Diaphyseal Fracture of the Forearm Treated with Elastic Stable Intramedullary Nailing. Eur. J. Orthop. Surg. Traumatol. Orthop. Traumatol. 2016, 26, 145–152. [Google Scholar] [CrossRef]
- Lőrincz, A.; Lengyel, Á.M.; Kedves, A.; Nudelman, H.; Józsa, G. Pediatric Diaphyseal Forearm Fracture Management with Biodegradable Poly-L-Lactide-Co-Glycolide (PLGA) Intramedullary Implants: A Longitudinal Study. J. Clin. Med. 2024, 13, 4036. [Google Scholar] [CrossRef]
- Roeder, C.; Alves, C.; Balslev-Clausen, A.; Canavese, F.; Gercek, E.; Kassai, T.; Klestil, T.; Klingenberg, L.; Lutz, N.; Varga, M.; et al. Pilot Study and Preliminary Results of Biodegradable Intramedullary Nailing of Forearm Fractures in Children. Children 2022, 9, 754. [Google Scholar] [CrossRef]
- Józsa, G.; Kassai, T.; Varga, M. Preliminary Experience with Bioabsorbable Intramedullary Nails for Paediatric Forearm Fractures: Results of a Mini-Series. Genij Ortop. 2023, 29, 640–644. [Google Scholar] [CrossRef]
- Perhomaa, M.; Pokka, T.; Korhonen, L.; Kyrö, A.; Niinimäki, J.; Serlo, W.; Sinikumpu, J.-J. Randomized Controlled Trial of the Clinical Recovery and Biodegradation of Polylactide-Co-Glycolide Implants Used in the Intramedullary Nailing of Children’s Forearm Shaft Fractures with at Least Four Years of Follow-Up. J. Clin. Med. 2021, 10, 995. [Google Scholar] [CrossRef] [PubMed]
- Gentile, P.; Chiono, V.; Carmagnola, I.; Hatton, P.V. An Overview of Poly(Lactic-Co-Glycolic) Acid (PLGA)-Based Biomaterials for Bone Tissue Engineering. Int. J. Mol. Sci. 2014, 15, 3640–3659. [Google Scholar] [CrossRef] [PubMed]
- Eppley, B.L.; Reilly, M. Degradation Characteristics of PLLA-PGA Bone Fixation Devices. J. Craniofac. Surg. 1997, 8, 116. [Google Scholar] [CrossRef]
- Korhonen, L.; Perhomaa, M.; Kyrö, A.; Pokka, T.; Serlo, W.; Merikanto, J.; Sinikumpu, J.-J. Intramedullary Nailing of Forearm Shaft Fractures by Biodegradable Compared with Titanium Nails: Results of a Prospective Randomized Trial in Children with at Least Two Years of Follow-Up. Biomaterials 2018, 185, 383–392. [Google Scholar] [CrossRef]
- Bhanushali, A.; Bright, R.; Xu, L.; Cundy, P.; Williams, N. Return to Sport after Forearm Fractures in Children: A Scoping Review and Survey. J. Child. Orthop. 2023, 17, 164–172. [Google Scholar] [CrossRef]
- Lieber, J.; Sommerfeldt, D.W. Diametaphyseal forearm fracture in childhood. Pitfalls and recommendations for treatment. Unfallchirurg 2011, 114, 292–299. [Google Scholar] [CrossRef]
- Baldwin, K.; Morrison, M.J.; Tomlinson, L.A.; Ramirez, R.; Flynn, J.M. Both Bone Forearm Fractures in Children and Adolescents, Which Fixation Strategy Is Superior—Plates or Nails? A Systematic Review and Meta-Analysis of Observational Studies. J. Orthop. Trauma 2014, 28, e8–e14. [Google Scholar] [CrossRef] [PubMed]
- Dávid, Á.L.; Mucsina, F.; Antal, E.; Lamberti, A.G.; Lőrincz, A.; Józsa, G. Comparison of Titanium versus Resorbable Intramedullary Nailing in Pediatric Forearm Fractures. Children 2024, 11, 942. [Google Scholar] [CrossRef] [PubMed]
- Schmittenbecher, P.P. Complications and errors in use of intramedullary nailing in shaft fractures in childhood. Kongressband Dtsch. Ges. Chir. Kongr. 2001, 118, 435–437. [Google Scholar]
- Kolluru, P.V.; Lipner, J.; Liu, W.; Xia, Y.; Thomopoulos, S.; Genin, G.M.; Chasiotis, I. Strong and Tough Mineralized PLGA Nanofibers for Tendon-to-Bone Scaffolds. Acta Biomater. 2013, 9, 9442–9450. [Google Scholar] [CrossRef]
- Lipner, J.; Liu, W.; Liu, Y.; Boyle, J.; Genin, G.M.; Xia, Y.; Thomopoulos, S. The Mechanics of PLGA Nanofiber Scaffolds with Biomimetic Gradients in Mineral for Tendon-to-Bone Repair. J. Mech. Behav. Biomed. Mater. 2014, 40, 59–68. [Google Scholar] [CrossRef]
- Titanium Alloys—Ti6Al4V Grade 5. Available online: https://www.azom.com/article.aspx?ArticleID=1547 (accessed on 1 April 2025).
- Morgan, E.F.; Unnikrisnan, G.U.; Hussein, A.I. Bone Mechanical Properties in Healthy and Diseased States. Annu. Rev. Biomed. Eng. 2018, 20, 119–143. [Google Scholar] [CrossRef]
- Nudelman, H.; Lőrincz, A.; Lamberti, A.G.; Varga, M.; Kassai, T.; Józsa, G. Management of Pediatric Ankle Fractures: Comparison of Biodegradable PLGA Implants with Traditional Metal Screws. Front. Pediatr. 2024, 12, 1410750. [Google Scholar] [CrossRef]
- Wang, C.; Su, Y. Radial and Ulnar Medullary Canal Diameter in Children: Anatomical Limitations of Elastic Stable Intramedullary Nailing. Front. Surg. 2022, 9, 882813. [Google Scholar] [CrossRef]
- Jaspers, M.E.H.; Moortgat, P. Objective Assessment Tools: Physical Parameters in Scar Assessment. In Textbook on Scar Management: State of the Art Management and Emerging Technologies; Téot, L., Mustoe, T.A., Middelkoop, E., Gauglitz, G.G., Eds.; Springer: Cham, Switzerland, 2020; ISBN 978-3-030-44765-6. [Google Scholar]







| Surgical Step | PLGA Nails | ESIN [17] |
|---|---|---|
| Cortical Access | Gentle drilling: initial perpendicular entry, angled along diaphysis | Simpler insertion |
| Canal Preparation | Precise sequential dilation, exactly matched to implant size | Less precise sizing needed |
| Implant Insertion | Careful, rotation-free insertion to prevent splitting | Rotational adjustments allowed; less implant failure risk |
| Implant Trimming | Trimmed flush to the cortical surface | Often bent externally; may require removal due to irritation |
| Immobilization | Strict immobilization; casting for 4–6 weeks | Casting may be omitted; active use of the arm is encouraged as tolerated |
| Return to Sports | Cautious activity restrictions based on severity (4–6 months) | Greater activity tolerance (2–6-month sports restriction) [30] |
| Hardware Removal | Unnecessary, due to almost complete resorption after 4 years [26] | Second surgery 5–8 months postoperatively, with 2–4-week activity limitation |
Disclaimer/Publisher’s Note: The statements, opinions and data contained in all publications are solely those of the individual author(s) and contributor(s) and not of MDPI and/or the editor(s). MDPI and/or the editor(s) disclaim responsibility for any injury to people or property resulting from any ideas, methods, instructions or products referred to in the content. |
© 2025 by the authors. Licensee MDPI, Basel, Switzerland. This article is an open access article distributed under the terms and conditions of the Creative Commons Attribution (CC BY) license (https://creativecommons.org/licenses/by/4.0/).
Share and Cite
Józsa, G.; Kassai, T.; Varga, M.; Dávid, Á.L.; Tóth, Z.; Molnár, T.; Antal, E.; Lamberti, A.G.; Nudelman, H.; Lőrincz, A. Considerations and Challenges of Resorbable Intramedullary Nailing in Pediatric Forearm Fractures. Children 2025, 12, 606. https://doi.org/10.3390/children12050606
Józsa G, Kassai T, Varga M, Dávid ÁL, Tóth Z, Molnár T, Antal E, Lamberti AG, Nudelman H, Lőrincz A. Considerations and Challenges of Resorbable Intramedullary Nailing in Pediatric Forearm Fractures. Children. 2025; 12(5):606. https://doi.org/10.3390/children12050606
Chicago/Turabian StyleJózsa, Gergő, Tamás Kassai, Marcell Varga, Ádám L. Dávid, Zoltán Tóth, Tibor Molnár, Eszter Antal, Anna Gabriella Lamberti, Hermann Nudelman, and Aba Lőrincz. 2025. "Considerations and Challenges of Resorbable Intramedullary Nailing in Pediatric Forearm Fractures" Children 12, no. 5: 606. https://doi.org/10.3390/children12050606
APA StyleJózsa, G., Kassai, T., Varga, M., Dávid, Á. L., Tóth, Z., Molnár, T., Antal, E., Lamberti, A. G., Nudelman, H., & Lőrincz, A. (2025). Considerations and Challenges of Resorbable Intramedullary Nailing in Pediatric Forearm Fractures. Children, 12(5), 606. https://doi.org/10.3390/children12050606

