Sign in to use this feature.

Years

Between: -

Subjects

remove_circle_outline
remove_circle_outline
remove_circle_outline
remove_circle_outline
remove_circle_outline
remove_circle_outline
remove_circle_outline

Journals

Article Types

Countries / Regions

remove_circle_outline
remove_circle_outline
remove_circle_outline
remove_circle_outline

Search Results (498)

Search Parameters:
Keywords = lymph-node ratio

Order results
Result details
Results per page
Select all
Export citation of selected articles as:
14 pages, 1738 KB  
Article
Biportal-RATS vs. Uniportal-VATS for Lung Resections: A Propensity Score-Matched Analysis from Early Experience
by Dania Nachira, Khrystyna Kuzmych, Maria Teresa Congedo, Alessia Oddone, Giuseppe Calabrese, Alessia Senatore, Giovanni Punzo, Maria Letizia Vita, Leonardo Petracca-Ciavarella, Stefano Margaritora and Elisa Meacci
J. Clin. Med. 2025, 14(24), 8715; https://doi.org/10.3390/jcm14248715 - 9 Dec 2025
Viewed by 205
Abstract
Background/Objectives: Minimally invasive thoracic surgery has evolved rapidly, with uniportal video-assisted thoracoscopic surgery (U-VATS) and robotic-assisted thoracic surgery (RATS). Biportal-RATS (Bi-RATS) has emerged as a hybrid technique, combining robotics advantages with the reduced invasiveness of U-VATS. The aim of this study was [...] Read more.
Background/Objectives: Minimally invasive thoracic surgery has evolved rapidly, with uniportal video-assisted thoracoscopic surgery (U-VATS) and robotic-assisted thoracic surgery (RATS). Biportal-RATS (Bi-RATS) has emerged as a hybrid technique, combining robotics advantages with the reduced invasiveness of U-VATS. The aim of this study was to evaluate the safety, perioperative outcomes, lymphadenectomy, and postoperative quality of life (QoL) of Bi-RATS compared with U-VATS for lung resections. Methods: This single-center, observational cohort study included 130 consecutive patients undergoing anatomical lung resection between December 2021 and December 2024. Baseline and perioperative characteristics, including complications, chest drain duration, hospital stay, and lymph node yield, were analyzed. Health-related QoL was assessed preoperatively and 6 months postoperatively using the EQ-5D-5L questionnaire and EQ-VAS. Propensity score matching (PSM) at a 1:1 ratio was performed to minimize selection bias, obtaining 32 patients per group. Results: After PSM, the baseline characteristics were comparable between groups. Operative time was longer with Bi-RATS (221.3 ± 84.5 vs. 119.3 ± 53.4 min, p < 0.001). No significant differences were observed in postoperative complications, drain duration, or hospital stay. Bi-RATS seemed to be associated with a higher lymph node yield, particularly in segmentectomies. At 6 months, the overall EQ-VAS was comparable between techniques (78.9 U-VATS vs. 78.1 Bi-RATS; p = 0.832), while among the EQ-5D-5L dimensions, only mobility favored Bi-RATS (p = 0.045). Conclusions: Bi-RATS appears safe and effective, with perioperative outcomes and overall EQ-VAS comparable to those of U-VATS 6 months after surgery. These findings suggest that Bi-RATS may represent a valuable evolution of minimally invasive thoracic surgery. Full article
(This article belongs to the Special Issue Thoracic Surgery: Current Practice and Future Directions: 2nd Edition)
Show Figures

Figure 1

13 pages, 687 KB  
Article
Development of a Prognostic Model for Oral Cancer by Incorporating Novel Nodal Parameters Beyond Conventional TNM Staging
by Ping-Chia Cheng, Chih-Ming Chang, Li-Jen Liao, Po-Wen Cheng and Wu-Chia Lo
Diagnostics 2025, 15(24), 3133; https://doi.org/10.3390/diagnostics15243133 - 9 Dec 2025
Viewed by 183
Abstract
Background: Oral cancer is a major global health burden with heterogeneous survival outcomes. This study aimed to identify clinicopathological factors, particularly lymph node-related parameters, associated with prognosis in patients with oral cancer and to construct a survival model for predicting overall survival (OS). [...] Read more.
Background: Oral cancer is a major global health burden with heterogeneous survival outcomes. This study aimed to identify clinicopathological factors, particularly lymph node-related parameters, associated with prognosis in patients with oral cancer and to construct a survival model for predicting overall survival (OS). Methods: A total of 174 patients with oral cancer who underwent surgery between January 2018 and November 2021 were retrospectively analyzed. Clinicopathological variables, including age, gender, body mass index (BMI), pathological T, N and overall stage, tumor subsite, perineural invasion (PNI), lymphovascular invasion (LVI), surgical margin status, lymph node yield (LNY), lymph node metastases (LNM), and lymph node ratio (LNR), were evaluated. Univariate and multivariate Cox regression analyses were performed to identify independent prognostic factors for OS and disease-specific survival (DSS). Results: Univariate analysis showed that older age, lower BMI, advanced pathological stage, presence of PNI or LVI, positive/close margins, LNY < 15, LNM ≥ 3, and LNR ≥ 0.0454 were significantly associated with poorer OS. Multivariate analysis identified age ≥ 63 years, pathological stage 3–4, LNY < 15, LNM ≥ 3, and LNR ≥ 0.0454 as independent predictors of OS. LNR ≥ 0.0454 was the only independent predictor of DSS. A survival model incorporating age, pathological stage, LNY, LNM, and LNR demonstrated good discriminatory ability for OS. Conclusions: Multiple independent prognostic factors for oral cancer survival were identified. The proposed survival model provides a practical tool for risk stratification and may assist personalized treatment planning, with particular emphasis on lymph node-related parameters. Full article
(This article belongs to the Special Issue Diagnosis and Management in Oral and Maxillofacial Surgery)
Show Figures

Figure 1

18 pages, 2562 KB  
Article
Adding Neoadjuvant Immunotherapy to Chemotherapy in Non-Metastatic Triple-Negative Breast Cancer: A Propensity-Matched Cohort Study from a Tertiary Cancer Center
by Mahmoud Al-Masri, Yasmin Safi, Ramiz Kardan, Daliana Mustafa, Ola Ramadan and Rama AlMasri
Cancers 2025, 17(24), 3933; https://doi.org/10.3390/cancers17243933 - 9 Dec 2025
Viewed by 250
Abstract
Background: Triple-negative breast cancer (TNBC) is an aggressive subtype with limited targeted treatment options. Immunotherapy has recently emerged as a potential strategy. The addition of pembrolizumab to neoadjuvant chemotherapy, as established in the KEYNOTE-522 trial, represents a major advancement in targeted immunotherapy for [...] Read more.
Background: Triple-negative breast cancer (TNBC) is an aggressive subtype with limited targeted treatment options. Immunotherapy has recently emerged as a potential strategy. The addition of pembrolizumab to neoadjuvant chemotherapy, as established in the KEYNOTE-522 trial, represents a major advancement in targeted immunotherapy for TNBC. However, real-world data validating its feasibility and outcomes remain limited. This study aims to evaluate, in real-life settings, the impact of adding pembrolizumab to neoadjuvant chemotherapy on complete pathological response (pCR), recurrence-free survival (RFS), and overall survival (OS) in patients with non-metastatic TNBC. Methods: This retrospective cohort study included patients treated at King Hussein Cancer Center (KHCC) between 2015 and 2022. Among 8523 breast cancer cases, 761 were TNBC. Eligible patients had non-metastatic TNBC, received neoadjuvant therapy, and underwent surgery. The immunotherapy group included patients treated with neoadjuvant pembrolizumab (2019–2022); the no-immunotherapy group received standard neoadjuvant chemotherapy (2015–2022). Propensity score matching (1:1, nearest neighbor) was performed based on pre-treatment covariates including age, BMI, clinical stage, comorbidities, smoking, and histopathology. Pathological response, complication rates, RFS, and OS were analyzed using logistic regression and Kaplan–Meier curves with log-rank testing. Results: The matched cohort included 130 patients (65 per group). The study groups’ baseline characteristics were well-balanced between the two groups. Postoperative complication rates were similar across groups, with no significant increase in adverse events observed in the immunotherapy group. The mean lymph node positivity ratio was significantly lower in the immunotherapy group (2.2 ± 7.7 vs. 24.3 ± 33.1, p < 0.001), indicating reduced nodal burden. Pathologic complete response (pCR) was markedly higher with immunotherapy (66.2% vs. 9.2%, p < 0.001). However, survival outcomes were significantly improved with immunotherapy. At three years, RFS was markedly higher in the immunotherapy group (91.8%; 95% CI: 85.0–99.0%) compared to the no-immunotherapy group (53.8%; 95% CI: 42.8–67.8%), with a log-rank p < 0.001. Overall survival also significantly favored the immunotherapy group, with three-year OS of 87.2% versus 67.8% in no-immunotherapy group (p = 0.0015). Conclusions: Neoadjuvant pembrolizumab significantly enhances pathological response, reduces nodal involvement, and provides durable RFS and OS benefits in non-metastatic TNBC without increasing perioperative complications. This study supports incorporating immunotherapy into standard neoadjuvant regimens for TNBC patients and provides real-world evidence from a Middle Eastern tertiary cancer center. Full article
(This article belongs to the Special Issue Immunotherapy Approaches in Breast Cancer Treatment (2nd Edition))
Show Figures

Figure 1

16 pages, 1496 KB  
Article
Cost-Effectiveness of Positron Emission Tomography/Computed Tomography (PET/CT) in the Initial N-Staging of Head–Neck Cancer and Comparison with CT and Magnetic Resonance Imaging (MRI)
by Nikolaos Papathanasiou, Maria Spiliotopoulou, Eleni Karagkouni, Dimitrios Apostolopoulos, Paraskevi Katsakiori, John Yfantopoulos and Nikolaos Kotsopoulos
Curr. Oncol. 2025, 32(12), 677; https://doi.org/10.3390/curroncol32120677 - 1 Dec 2025
Viewed by 394
Abstract
The aim of the study was to evaluate the cost-effectiveness of PET/CT in the initial N-staging of head–neck cancer (HNC) and to compare it with alternative strategies using CT or MRI within the Greek National Healthcare System. A cohort of 100 clinically N0 [...] Read more.
The aim of the study was to evaluate the cost-effectiveness of PET/CT in the initial N-staging of head–neck cancer (HNC) and to compare it with alternative strategies using CT or MRI within the Greek National Healthcare System. A cohort of 100 clinically N0 (with no apparent metastatic cervical lymph nodes) HNC patients was simulated over a 10-year time horizon. Initially, a decision tree model was used to simulate the following three different imaging strategies for HNC staging: (a) whole-body FDG-PET/CT, (b) CT of the neck, chest, and abdomen (“CT”), and (c) MRI of the neck plus CT of the chest–abdomen (“MRI”). Subsequently, a Markov model was used to simulate transitions into the health states of recurrence and death. Epidemiological evidence, diagnostic accuracy rates, transition probabilities, and healthcare costs were obtained from the literature and official local tariffs. The estimated total costs per patient were EUR 128,729 for PET/CT, EUR 128,779 for MRI, and EUR 128,585 for CT. The corresponding life years (LYs) were 6.171 LYs for PET/CT, 6.170 LYs for MRI, and 6.170 LYs for CT, respectively. The analysis showed that PET/CT dominates MRI. The incremental cost-effectiveness ratio (ICER) of PET/CT vs. CT was estimated at EUR 144,984 per LY gained. All three imaging strategies had comparable health outcomes and costs, with PET/CT being an appropriate and efficient imaging modality because of its high diagnostic accuracy in the N-staging of HNC. Full article
Show Figures

Figure 1

18 pages, 472 KB  
Article
Axillary Pathological Complete Response After Neoadjuvant Therapy in cN1–2 Breast Cancer: An Internally Validated PET/CT-Integrated Nomogram
by Mustafa Berkeşoğlu, Gözde Arslan, Ferah Tuncel, Cumhur Özcan, Zehra Pınar Koç, Pınar Pelin Özcan, Erkan Güler, Sami Benli, Yüksel Balcı and Kadir Eser
Curr. Oncol. 2025, 32(12), 667; https://doi.org/10.3390/curroncol32120667 - 28 Nov 2025
Viewed by 309
Abstract
We aimed to develop and internally validate a nomogram to estimate axillary pathological complete response (pCR, ypN0) after neoadjuvant systemic therapy (NAST) in clinically node-positive (cN1–2) breast cancer. In a single-center retrospective cohort of 144 consecutive patients treated with NAST (anti-HER2 as indicated), [...] Read more.
We aimed to develop and internally validate a nomogram to estimate axillary pathological complete response (pCR, ypN0) after neoadjuvant systemic therapy (NAST) in clinically node-positive (cN1–2) breast cancer. In a single-center retrospective cohort of 144 consecutive patients treated with NAST (anti-HER2 as indicated), all underwent standardized pre- and post-NAST 18F-FDG PET/CT and axillary staging (sentinel lymph node biopsy [SLNB], targeted axillary dissection [TAD], or axillary lymph node dissection [ALND]). Axillary pCR occurred in 51.4% (74/144). In a multivariable analysis, independent positive determinants of ypN0 included the triple-negative subtype, Modified PERCIST (SUVmax-based) reduction ≥ 80.70%, pre-NAST tumor-to-axilla SUVmax ratio ≥ 1.21, and residual breast tumor size < 0.5 mm; conversely, conglomerate/matted nodal morphology at diagnosis was inversely associated. The model showed good internal discrimination (AUC 0.857, 95% CI 0.797–0.917) and acceptable calibration (Hosmer–Lemeshow p = 0.425). Exploratory, subtype-restricted signals were observed for inflammatory indices within Luminal B (HER2+) but were not retained in the final model. The resulting nomogram—combining tumor biology, PET/CT response, and pre-NAST nodal features—may support risk stratification for axillary de-escalation after NAST; however, prospective external validation—ideally embedded in ongoing de-escalation frameworks—remains essential before clinical implementation, and the tool should currently be regarded as hypothesis-generating rather than a stand-alone decision aid for routine practice. Full article
Show Figures

Graphical abstract

13 pages, 1514 KB  
Article
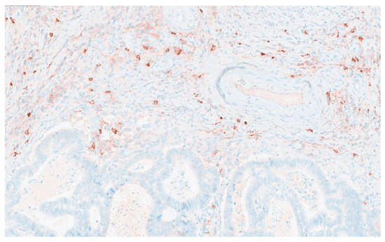
Relationship Between Mast Cell Population of Microenvironment and Prognosis in Colorectal Cancer
by Neşe Yeldir, Ebru Engin Delipoyraz, Aslı Çakır and Ahmet Bilici
J. Clin. Med. 2025, 14(23), 8312; https://doi.org/10.3390/jcm14238312 - 22 Nov 2025
Viewed by 371
Abstract
Background: Mast cells are integral components of the tumor microenvironment and have been implicated in the regulation of tumor progression in various malignancies. The association between inflammation and colorectal cancer (CRC) development has become increasingly recognized. Depending on the tumor microenvironment, mast cells [...] Read more.
Background: Mast cells are integral components of the tumor microenvironment and have been implicated in the regulation of tumor progression in various malignancies. The association between inflammation and colorectal cancer (CRC) development has become increasingly recognized. Depending on the tumor microenvironment, mast cells may exert either pro-tumorigenic or antitumorigenic functions. Objective: This study aimed to evaluate the relationship between stromal mast cell density and prognostic factors in patients with CRC. Methods: In this retrospective cohort study, 81 patients who underwent curative surgical resection for CRC were analyzed. Immunohistochemical staining for mast cell tryptase (MCT) was performed on paraffin-embedded tumor specimens. Mast cells were quantified in regions of hot spots within the tumor stroma. Patients were categorized as high mast cell density (MCC-H, ≥22 cells/HPF) or low mast cell density (MCC-L, <22 cells/HPF). Associations with clinicopathological parameters were assessed using chi-square or Fisher’s exact tests. Progression-free survival (PFS) and overall survival (OS) were analyzed using Kaplan–Meier estimates and log-rank tests. Independent prognostic factors were identified using multivariate Cox proportional hazards regression, with hazard ratios (HRs) and 95% confidence intervals (CIs) reported. Results: ROC analysis identified an MCC cut-off of 22 cells/HPF (AUC = 0.61; sensitivity = 0.67, specificity = 0.52) for mortality prediction. Multivariate analysis revealed lymph node involvement (HR: 1.41, 95% CI: 1.03–1.94, p = 0.033) and macroscopic tumor perforation (HR: 0.15, 95% CI: 0.04–0.55, p = 0.004) as independent predictors of PFS. High MCC (≥22) independently predicted improved OS (HR: 0.07, 95% CI: 0.006–0.87, p = 0.039). A significant association was observed between OS, MCC, and lymph node stage. Conclusions: Stromal mast cell count is an independent prognostic factor for overall survival in patients with CRC. Our findings suggest that MCC may serve as a reliable prognostic biomarker following surgical resection and could aid in postoperative risk stratification. Full article
(This article belongs to the Section Oncology)
Show Figures

Figure 1

15 pages, 1077 KB  
Article
Clinicopathologic Determinants of Lymph Node Count and Prognostic Significance of Metastatic Lymph Node Ratio in Colorectal Cancer
by Fatma Yildirim, Murat Sezak, Osman Bozbiyik, Pinar Gursoy and Basak Doganavsargil
Diagnostics 2025, 15(23), 2962; https://doi.org/10.3390/diagnostics15232962 - 22 Nov 2025
Viewed by 457
Abstract
Background/Objectives: Accurate lymph node (LN) evaluation is crucial to predicting outcomes in colorectal cancer (CRC). Higher lymph node counts (LNCs) improve prognosis, whereas increased metastatic involvement worsens survival. This study aimed to identify factors associated with higher LNCs and evaluate the prognostic [...] Read more.
Background/Objectives: Accurate lymph node (LN) evaluation is crucial to predicting outcomes in colorectal cancer (CRC). Higher lymph node counts (LNCs) improve prognosis, whereas increased metastatic involvement worsens survival. This study aimed to identify factors associated with higher LNCs and evaluate the prognostic value of the metastatic lymph node ratio (MLNR). Methods: A retrospective analysis was performed on 989 CRC resections. Patients were stratified into four MLNR categories—MLNR0 (no metastasis), MLNR1 (<0.20), MLNR2 (0.20–0.50), and MLNR3 (>0.50)—and into two LNC groups—lower LNC (<12) and higher LNC (≥12). Results: The median LN count was 14 (range: 5–198). Lower LNCs occurred in 346 cases (35.0%), predominantly in the left colon. Higher LNCs were significantly associated with younger age (p < 0.001), larger tumor size (p < 0.001), higher pN stage (p < 0.001), right-sided location (p = 0.003), Crohn’s-like lymphocytic response (p = 0.006), and the absence of satellite nodules (p = 0.016). There were 86 pT4 and 178 pN2 tumors. Overall survival was 50.6%, with the 1-, 3-, and 5-year rates being 0.891, 0.721, and 0.612, respectively. Survival was higher in patients with higher LNCs (53.5% vs. 45.1%, p < 0.001). Survival rates by MLNR were 61.2% (MLNR0), 47.7% (MLNR1), 34.0% (MLNR2), and 26.4% (MLNR3). Mortality strongly correlated with MLNR (p < 0.001), and life expectancy decreased as MLNR increased (p < 0.01). Conclusions: MLNR provides superior prognostic information compared to pN status, even in patients with suboptimal lymph node retrieval (LNC < 12). As an independent survival predictor, MLNR may be integrated into staging systems and guide therapeutic strategies, highlighting its clinical utility in both standard and “gray zone” CRC cases. Full article
(This article belongs to the Special Issue Hot Topics in Modern and Personalized Pathology)
Show Figures

Figure 1

10 pages, 218 KB  
Article
Complications of Robotic Pelvic Lymph Node Dissection for Prostate Cancer: An Analysis of the National Surgical Quality Improvement Program Targeted Prostatectomy Database
by Vatsala Mundra, Renil S. Titus, Eusebio Luna-Velasquez, Jiaqiong Xu, Carlos Riveros, Sanjana Ranganathan, Aamuktha Porika, Brian J. Miles, Dharam Kaushik, Christopher J. D. Wallis and Raj Satkunasivam
Curr. Oncol. 2025, 32(11), 642; https://doi.org/10.3390/curroncol32110642 - 16 Nov 2025
Viewed by 413
Abstract
Introduction/Background: Treatment of localized prostate cancer includes radical prostatectomy (RP) with or without pelvic lymph node dissection (PLND). While multiple guidelines recommend PLND for staging purposes, recent data has shown questionable therapeutic benefit. Thus, understanding the morbidity associated with PLND is important for [...] Read more.
Introduction/Background: Treatment of localized prostate cancer includes radical prostatectomy (RP) with or without pelvic lymph node dissection (PLND). While multiple guidelines recommend PLND for staging purposes, recent data has shown questionable therapeutic benefit. Thus, understanding the morbidity associated with PLND is important for counseling patients. We used the American College of Surgeons National Surgical Quality Improvement Program (ACS NSQIP) targeted prostatectomy database to quantify real-world 30-day postoperative outcomes of patients undergoing contemporary robot-assisted PLND at the time of RP for prostate cancer to quantify the incremental morbidity. Methods: We conducted a retrospective cohort study using the NSQIP database of adult patients undergoing radical prostatectomy from 2019 to 2022. The primary outcomes were procedure-specific outcomes such as lymphocele and rectal injury. Secondary outcomes included a composite of any of the following 30-day major postoperative outcomes: mortality, reoperation, cardiac or neurologic event, as well as the individual components of this outcome, as well as infectious and other complications. We also analyzed yearly trends associated with PLND. Groups were balanced using propensity score matching (PSM) with a 1:1 ratio using demographic characteristics, prior medical history, and cancer staging data. Likelihood of complications was assessed by conditional logistic regression. Results: We identified 13,413 patients between 2019 and 2022 who underwent robotic prostatectomy: 11,341 (85%) had PLND while 2072 (15%) did not. After PSM, our cohort included 2071 matched pairs of patients with and without PLND. Patients who underwent PLND were more likely to be diagnosed with lymphocele (2.14% vs. 0.68%, OR 4.17; 95% CI 2.00, 8.68), have unplanned readmission (4.22% vs. 3.27%, OR 1.31; 95% CI 1.03, 1.65), and develop organ-site/space SSI (1.18% vs. 0.60%) (OR 1.97, 95% CI 1.20, 3.23). There was no significant association between the receipt of PLND and the likelihood of urinary leak or fistula, or ureteral obstruction. There were no significant differences between the two groups with respect to secondary outcomes of interest. Conclusion: Contemporary robotic PLND is associated with a 3-fold increased likelihood of lymphocele, as well as increased likelihood of unplanned readmission and organ-site SSI, though no significant differences in major postoperative complications were identified. We found that the odds of lymphoceles, readmission, and SSI in our study are lower than previously reported. These data provide real-world data to guide patient counseling and optimize patient selection for PLND at the time of RALP. Full article
(This article belongs to the Section Surgical Oncology)
14 pages, 1529 KB  
Article
Evaluating the Role of Morphological Subtypes in the Classification of Periampullary Adenocarcinomas
by João Bernardo Sancio, Raul Valério Ponte, Henrique Araújo Lima, Augusto Henrique Marchiodi, Yuiti Pedro Henrique Yamashita, Leonardo do Prado Lima, Priscila Ferreira de Lima e Souza, Eduardo Paulino Junior, Marcelo Dias Sanches and Vivian Resende
Cancers 2025, 17(22), 3652; https://doi.org/10.3390/cancers17223652 - 14 Nov 2025
Viewed by 333
Abstract
Background: Morphological subclassification may refine prognosis after curative pancreaticoduodenectomy (PD) for periampullary cancers. Methods: We conducted a single-center retrospective cohort including 120 consecutive PDs performed between 2005 and 2022. Tumors were classified as intestinal (INT), pancreatobiliary (PB), or pancreatic ductal adenocarcinoma [...] Read more.
Background: Morphological subclassification may refine prognosis after curative pancreaticoduodenectomy (PD) for periampullary cancers. Methods: We conducted a single-center retrospective cohort including 120 consecutive PDs performed between 2005 and 2022. Tumors were classified as intestinal (INT), pancreatobiliary (PB), or pancreatic ductal adenocarcinoma (PAN). Clinicopathologic variables included T stage, margin status, lymphovascular and perineural invasion, and lymph node ratio (LNR; cutoff 0.154 determined by ROC/Youden). Overall survival (OS) was the primary endpoint and was analyzed using Kaplan–Meier with log-rank tests and multivariable Cox regression. Results: INT tumors were associated with earlier T stage, fewer adverse histologic features, and higher R0 resection rates compared with PB and PAN. In multivariable analysis, mortality risk was higher for PB (HR 4.41; 95% CI 1.25–15.53) and PAN (HR 13.96; 95% CI 3.99–48.75) relative to INT. LNR ≥ 0.154 independently predicted worse OS (HR 1.93; 95% CI 1.11–3.35). Mean OS was 108.8 months for INT, 62.0 months for PB, and 22.7 months for PAN (log-rank p < 0.001). Conclusions: Morphological subtype and LNR are independent prognostic factors after PD for periampullary malignancies. Integrating morphology and nodal burden into risk models may improve postoperative stratification and guide adjuvant therapy. Full article
(This article belongs to the Section Cancer Causes, Screening and Diagnosis)
Show Figures

Figure 1

10 pages, 1114 KB  
Article
Free Peritoneal Cancer Cells in Patients with Adenocarcinoma of the Stomach or Esophagogastric Junction: Risk Factors and Outcomes
by Asada Methasate, Akarawin Sirimongkol, Chawisa Nampoolsuksan, Jirawat Swangsri and Thammawat Parakonthun
Surgeries 2025, 6(4), 98; https://doi.org/10.3390/surgeries6040098 - 10 Nov 2025
Viewed by 486
Abstract
Background/Objectives: To identify independent predictors of free peritoneal cancer cells (FPCC), and to investigate survival outcomes relative to peritoneal cytology status among patients who underwent intended curative gastrectomy for adenocarcinoma of the stomach or esophagogastric junction. Methods: Medical records of patients who underwent [...] Read more.
Background/Objectives: To identify independent predictors of free peritoneal cancer cells (FPCC), and to investigate survival outcomes relative to peritoneal cytology status among patients who underwent intended curative gastrectomy for adenocarcinoma of the stomach or esophagogastric junction. Methods: Medical records of patients who underwent radical surgery between January 2005 and December 2020 were retrospectively reviewed. Clinical data and cytology results were evaluated. Multivariate Cox regression analysis was used to identify independent predictors of FPCC. Kaplan–Meier survival analysis was used to estimate disease recurrence and survival outcomes. Results: Out of the 349 enrolled patients, 188 (53.8%) had negative cytology, 32 (9.2%) were positive, and 129 (36.9%) showed atypical cells in peritoneal cytology. Poor differentiation (adjusted odds ratio [aOR]: 2.63, 95% confidence interval [95%CI]: 1.04–6.82; p = 0.015), pT4 (aOR: 4.62, 95%CI: 1.28–14.34; p = 0.018), pN3 (aOR: 4.13, 95%CI: 1.14–15.03; p = 0.031), and metastatic lymph node ratio >0.40 (aOR: 6.49, 95%CI: 1.44–29.14; p = 0.015) were independent predictors of FPCC. Median overall survival was 34.1 months in the negative group, 13.1 months in the positive group, and 28.7 months in the atypical cell group (p < 0.001). Median time to disease recurrence was 20.5, 4.9, and 11.3 months, respectively (p < 0.001). Survival and recurrence outcomes in the atypical cell group were comparable to those with negative cytology. Conclusions: Poorly differentiated histology, pT4, pN3, and metastatic lymph node ratio >0.40 are independent predictors of FPCC, which is significantly associated with poor survival and disease recurrence outcomes. These findings suggest that high-risk patients may benefit from routine peritoneal cytologic screening during surgery to improve risk stratification and guide postoperative treatment planning. Full article
Show Figures

Figure 1

26 pages, 1535 KB  
Article
Prognostic and Predictive Significance of B7-H3 and CD155 Expression in Gastric Cancer Patients
by Ozlem Dalda, Zehra Bozdag, Sami Akbulut, Hasan Gokce, Yasin Dalda, Ayse Nur Akatli and Mustafa Huz
Diagnostics 2025, 15(21), 2695; https://doi.org/10.3390/diagnostics15212695 - 24 Oct 2025
Viewed by 785
Abstract
Background/Objectives: This study aimed to characterize the expression patterns of B7 homolog 3 (B7-H3) and cluster of differentiation 155 (CD155), two immune-related transmembrane glycoproteins, in resectable gastric adenocarcinoma and to elucidate their clinicopathological, prognostic, and molecular implications. Methods: The study included [...] Read more.
Background/Objectives: This study aimed to characterize the expression patterns of B7 homolog 3 (B7-H3) and cluster of differentiation 155 (CD155), two immune-related transmembrane glycoproteins, in resectable gastric adenocarcinoma and to elucidate their clinicopathological, prognostic, and molecular implications. Methods: The study included 112 patients who underwent gastrectomy for gastric adenocarcinoma between 2020 and 2025, along with 30 samples of normal gastric tissue obtained from sleeve gastrectomy specimens. Histological subtype, grade of differentiation, TNM stage, and invasion parameters were re-evaluated. Immunohistochemical expression of B7-H3 and CD155 was quantified for membranous, stromal and membranous/cytoplasmic staining patterns. Quantitative reverse transcription polymerase chain reaction (RT-PCR) was performed on 29 tumor and 25 normal samples to confirm mRNA expression levels, with fold change ≥2 considered biologically significant upregulation and ≤0.5 considered downregulation. Machine learning models were developed to predict metastasis and mortality based on clinical and immunohistochemical features. Results: 78.5% of tumors were at an advanced stage (T3–T4), and metastasis was present in 22.3% of patients. Perineural invasion (PNI) and lymphovascular invasion (LVI) were observed in 67.9% and 88.4% of cases, respectively. Increased B7-H3 and CD155 expression were significantly associated with advanced tumor stage, metastasis, and the presence of PNI and LVI (all p < 0.05). In metastatic tumors, median membranous B7-H3, stromal B7-H3, and CD155 scores were 60, 130, and 190, respectively, compared with 20, 90, and 120 in non-metastatic tumors. A significant positive correlation was found between stromal B7-H3 and CD155 expression (r = 0.384, p < 0.001), indicating parallel upregulation. Quantitative RT-PCR confirmed significant overexpression of both genes in tumor tissues relative to normal controls. B7-H3 was upregulated in 75.9% and CD155 in 58.6% of samples, with co-upregulation in 55.2%. Fold-change levels were markedly higher in metastatic versus non-metastatic cases (B7-H3: 7.69-fold vs. 3.04-fold; CD155: 7.44-fold vs. 1.79-fold). ML analysis using the XGBoost model achieved 91.1% accuracy for metastasis prediction (F1-score 0.800). Key variables included pathological T4b stage, perineural invasion, N3b status, T4a stage, and CD155 score. The mortality model yielded 86.7% accuracy (F1-score 0.864), with metastasis, differentiation status, nodal involvement, age, lymph node ratio, and perineural invasion emerging as principal predictors. Conclusions: Combined evaluation of B7-H3 and CD155, supported by immunohistochemical staining and RT-PCR quantification of B7-H3 and CD155 mRNA expression levels, provides meaningful prognostic insights and supports their potential as dual molecular biomarkers for aggressive gastric adenocarcinoma phenotypes. Full article
(This article belongs to the Section Pathology and Molecular Diagnostics)
Show Figures

Figure 1

17 pages, 6213 KB  
Article
Preoperative Prediction of Axillary Lymph Node Metastasis in Breast Cancer Using Radiomics Features of Voxel-Wise DCE-MRI Time-Intensity-Curve Profile Maps
by Ya Ren, Kexin Chen, Meng Wang, Jie Wen, Sha Feng, Honghong Luo, Cuiju He, Yuan Guo, Dehong Luo, Xin Liu, Dong Liang, Hairong Zheng, Na Zhang and Zhou Liu
Biomedicines 2025, 13(10), 2562; https://doi.org/10.3390/biomedicines13102562 - 21 Oct 2025
Viewed by 760
Abstract
Objective: Axillary lymph node (ALN) status in breast cancer is pivotal for guiding treatment and determining prognosis. The study aimed to explore the feasibility and efficacy of a radiomics model using voxel-wise dynamic contrast-enhanced magnetic resonance imaging (DCE-MRI) time-intensity-curve (TIC) profile maps [...] Read more.
Objective: Axillary lymph node (ALN) status in breast cancer is pivotal for guiding treatment and determining prognosis. The study aimed to explore the feasibility and efficacy of a radiomics model using voxel-wise dynamic contrast-enhanced magnetic resonance imaging (DCE-MRI) time-intensity-curve (TIC) profile maps to predict ALN metastasis in breast cancer. Methods: A total of 615 breast cancer patients who underwent preoperative DCE-MRI from October 2018 to February 2024 were retrospectively enrolled and randomly allocated into training (n = 430) and testing (n = 185) sets (7:3 ratio). Based on wash-in rate, wash-out enhancement, and wash-out stability, each voxel within manually segmented 3D lesions that were categorized into 1 of 19 TIC subtypes from the DCE-MRI images. Three feature sets were derived: composition ratio (type-19), radiomics features of TIC subtypes (type-19-radiomics), and radiomics features of third-phase DCE-MRI (phase-3-radiomics). Student’s t-test and the least absolute shrinkage and selection operator (LASSO) was used to select features. Four models (type-19, type-19-radiomics, type-19-combined, and phase-3-radiomics) were constructed by a support vector machine (SVM) to predict ALN status. Model performance was assessed using sensitivity, specificity, accuracy, F1 score, and area under the curve (AUC). Results: The type-19-combined model significantly outperformed the phase-3-radiomics model (AUC = 0.779 vs. 0.698, p < 0.001; 0.674 vs. 0.559) and the type-19 model (AUC = 0.779 vs. 0.541, p < 0.001; 0.674 vs. 0.435, p < 0.001) in cross-validation and independent testing sets. The type-19-radiomics showed significantly better performance than the phase-3-radiomics model (AUC = 0.764 vs. 0.698, p = 0.002; 0.657 vs. 0.559, p = 0.037) and type-19 model (AUC = 0. 764 vs. 0.541, p < 0.001; 0.657 vs. 0.435, p < 0.001) in cross-validation and independent testing sets. Among four models, the type-19-combined model achieved the highest AUC (0.779, 0.674) in cross-validation and testing sets. Conclusions: Radiomics analysis of voxel-wise DCE-MRI TIC profile maps, simultaneously quantifying temporal and spatial hemodynamic heterogeneity, provides an effective, noninvasive method for predicting ALN metastasis in breast cancer. Full article
(This article belongs to the Special Issue Breast Cancer Research: Charting Future Directions)
Show Figures

Figure 1

10 pages, 364 KB  
Article
Laterocervical Lymph Node Metastases in Papillary Thyroid Carcinoma: Predictive Factors for Recurrence and Oncological Outcome
by Andrea Migliorelli, Marianna Manuelli, Agnese Maria Tringali, Claudio Moretti, Virginia Corazzi, Matteo Geminiani, Andrea Ciorba, Francesco Stomeo, Stefano Pelucchi and Chiara Bianchini
J. Pers. Med. 2025, 15(10), 496; https://doi.org/10.3390/jpm15100496 - 16 Oct 2025
Viewed by 857
Abstract
Background/Objectives: Papillary cancer is the most common thyroid cancer. The development of lateral cervical lymph node metastases (I–V levels) is considered a major cause of recurrence. The aim of this study is to investigate the potential predictive factors for lateral cervical lymph [...] Read more.
Background/Objectives: Papillary cancer is the most common thyroid cancer. The development of lateral cervical lymph node metastases (I–V levels) is considered a major cause of recurrence. The aim of this study is to investigate the potential predictive factors for lateral cervical lymph node metastasis and disease recurrence, in order to tailor the clinical approach to these patients. An ROC (Receiver Operating Characteristic) curve has been set to search out a cut-off value for the lymph node ratio (LNR), a ratio of involved lymph nodes-to-examined lymph nodes, that could serve as an index of tumor recurrence. Methods: This was an observational retrospective study. The clinical charts of 43 patients with histopathological diagnosis of papillary thyroid cancer who underwent thyroidectomy with lateral and central neck dissection have been reviewed. These results have also been compared with those who underwent total thyroidectomy alone that served as a control group. Results: Extrathyroidal extension (p-value < 0.001), tumor size (p-value = 0.015), number of lymph nodes involvement (p-value = 0.022), and LNR (p-value = 0.004) were identified as potential predictors of tumor recurrence. The ROC curve revealed that an LNR value exceeding 0.205 is indicative of disease recurrence, with an Area Under the Curve (AUC) of 0.818, a sensitivity of 82%, and a specificity of 81%. Furthermore, fT4 value (p-value = 0.008), tumor size (p-value = 0.019), and alcohol consumption (p-value < 0.001) may serve as potential predictors of lymph node metastasis. Conclusions: Extrathyroidal extension, vascular invasion, tumor size, number of pathological lymph nodes, and LNR are associated with recurrence of papillary thyroid carcinoma; in particular, the lymph node ratio can be considered an effective indicator of recurrence risk. Full article
(This article belongs to the Section Personalized Medical Care)
Show Figures

Figure 1

16 pages, 1005 KB  
Article
Predictive Value of Quantitative ADC, SUVmax, and the SUVmax/ADC Ratio for Biological Behavior and Prognosis in High-Risk Prostate Cancer
by Abdullah Enes Ataş, Ülkü Kerimoğlu, Zeki İlhan, Şeyma Ünüvar, Özlem Şahin, Zeynep Aydın and Hacı Hasan Esen
J. Clin. Med. 2025, 14(20), 7150; https://doi.org/10.3390/jcm14207150 - 10 Oct 2025
Viewed by 840
Abstract
Background/Objectives: To investigate the importance of ADC, SUVmax, and SUVmax/ADC values in the prognosis and biological behavior of prostate cancer. Methods: In this retrospective study, ADC measurements in diffusion MRI were made by two radiologists by correlating the lesions with the [...] Read more.
Background/Objectives: To investigate the importance of ADC, SUVmax, and SUVmax/ADC values in the prognosis and biological behavior of prostate cancer. Methods: In this retrospective study, ADC measurements in diffusion MRI were made by two radiologists by correlating the lesions with the highest SUVmax value from Ga-68 PSMA PET/CT examinations of 81 patients with prostate cancer. The quantitative values were compared with histopathological grade, presence of perineural invasion, and lymph node and bone metastasis. Results: For D’Amico high-risk patients, a statistically significant difference among the ADC, SUVmax, and SUVmax/ADC measurements was reported (p < 0.001). Cut-off values were defined as 0.52 (×10−3 mm2/s) for ADC, 9.73 for SUVmax, and 20.28 for the SUVmax/ADC ratio (AUC = 0.887, 0.747, 0.817, respectively) for the high-risk categories. The Youden indices were 0.643, 0.405, and 0.437, respectively. In logistic regression, the SUVmax/ADC ratio was a significant predictor of the high-risk group (AUC = 0.844, p = 0.002), demonstrating superior performance to a model with individual ADC and SUVmax values (AUC = 0.796, p = 0.006). For the advanced-grade group, the SUVmax and SUVmax/ADC ratios differed significantly (p < 0.001). The CAPRA score showed significant correlations with all imaging biomarkers: negatively with ADC (rho = −0.456, p < 0.001) and positively with SUVmax (rho = 0.359, p = 0.001) and the SUVmax/ADC ratio (rho = 0.441, p < 0.001). The presence of perineural invasion had no significant correlation with any of the variables (p > 0.05). The presence of bone metastases and PSA and free PSA levels differed significantly (p = 0.003, p = 0.001, respectively). In the presence of lymph node metastasis, SUVmax and SUVmax/ADC ratios were found to be significant (p = 0.019, p = 0.01, respectively). In the survival (OS) analysis, a low ADC value was found to be associated with shorter survival (median OS: 61 vs. 106 months). Conclusions: Among advanced-grade and high-risk prostate cancer patients, ADC, SUVmax, and SUVmax/ADC values can be employed as alternative prognostic factors for predicting the biological behavior of the disease. Full article
(This article belongs to the Section Nuclear Medicine & Radiology)
Show Figures

Figure 1

10 pages, 1467 KB  
Article
The Impact of Lymph Node Ratio for Children with Wilms Tumors: A National Cancer Database Analysis
by Ioannis A. Ziogas, Andrii Khomiak, Kaitlin E. Olson, Dimitrios P. Moris, Alexandria J. Robbins, Jenny Stevens, Shannon N. Acker, Jonathan P. Roach, Kristine S. Corkum and Nicholas G. Cost
Cancers 2025, 17(19), 3276; https://doi.org/10.3390/cancers17193276 - 9 Oct 2025
Viewed by 523
Abstract
Background: Lymph node status is a prognostic factor in Wilms tumor, and adequate lymph node sampling is strongly recommended. This study investigates the impact of lymph node ratio (LNR) (number of positive to examined lymph nodes) on overall survival in children with [...] Read more.
Background: Lymph node status is a prognostic factor in Wilms tumor, and adequate lymph node sampling is strongly recommended. This study investigates the impact of lymph node ratio (LNR) (number of positive to examined lymph nodes) on overall survival in children with resected Wilms tumors. Methods: This retrospective National Cancer Database analysis included children (<18 years) who underwent resection with lymph node sampling for unilateral, non-metastatic Wilms tumor. Results: Among 2206 patients, the median age was three years, the median tumor size was 10.5 cm, and the median number of examined nodes was five. A total of 82.1% of patients had an LNR of 0, 5.4% had an LNR < 0.2, and 12.5% had an LNR ≥ 0.2. In multivariable Cox regression, LNR ≥ 0.2 was associated with worse survival (HR = 1.75, 95%CI: 1.03–2.97, p = 0.04), along with increasing age (HR = 1.11, 95%CI: 1.05–1.17, p < 0.001) and tumor size (HR = 1.03, 95%CI: 1.00–1.06, p = 0.03). Conclusions: LNR is an independent prognostic factor in Wilms tumor and may refine risk stratification and guide treatment decisions. Full article
(This article belongs to the Section Cancer Pathophysiology)
Show Figures

Figure 1

Back to TopTop