Sign in to use this feature.

Years

Between: -

Subjects

remove_circle_outline
remove_circle_outline
remove_circle_outline
remove_circle_outline
remove_circle_outline
remove_circle_outline
remove_circle_outline
remove_circle_outline
remove_circle_outline

Journals

remove_circle_outline
remove_circle_outline
remove_circle_outline
remove_circle_outline
remove_circle_outline
remove_circle_outline
remove_circle_outline

Article Types

Countries / Regions

remove_circle_outline
remove_circle_outline
remove_circle_outline
remove_circle_outline
remove_circle_outline
remove_circle_outline

Search Results (676)

Search Parameters:
Keywords = ligament injury

Order results
Result details
Results per page
Select all
Export citation of selected articles as:
12 pages, 1120 KB  
Article
Comparison Between Standard Screw and Internal Brace in Treatment of Subtle Lisfranc Injury
by Dong-Il Chun, Sanghoon Lee, Jaeho Cho, Sung Hyun Lee, Jeoung Wook Lee and Young Yi
J. Clin. Med. 2026, 15(3), 1018; https://doi.org/10.3390/jcm15031018 - 27 Jan 2026
Abstract
Background: Subtle Lisfranc injuries are low-energy, purely ligamentous lesions increasingly recognized in active patients; although screw fixation is common, Internal Brace (IB) flexible fixation is an alternative. Methods: In this multicenter retrospective study (2014–2021), 65 patients with subtle ligamentous Lisfranc injury (C1–M2 diastasis [...] Read more.
Background: Subtle Lisfranc injuries are low-energy, purely ligamentous lesions increasingly recognized in active patients; although screw fixation is common, Internal Brace (IB) flexible fixation is an alternative. Methods: In this multicenter retrospective study (2014–2021), 65 patients with subtle ligamentous Lisfranc injury (C1–M2 diastasis < 5 mm) underwent standard screw (SS, n = 35) or IB fixation (n = 30). Outcomes included AOFAS and VAS, standing radiographs and weight-bearing CT (WBCT) diastasis, pedobarography (4–6 months), and complications. Results: Demographics and injury mechanisms were similar. Both groups improved from preoperative status to final follow-up (p < 0.05). At 6 months, IB had higher AOFAS and lower VAS than SS (p < 0.05). Final stability was comparable: standing C1–M2 diastasis 2.54 mm (IB) vs. 2.55 mm (SS); WBCT dorsal 1.26 vs. 1.21 mm and plantar 3.58 vs. 3.42 mm (all NS). Pedobarography showed no significant side-to-side differences in either group. Complications favored IB: SS had screw breakage 11.4% (4/35), recurrent diastasis 2.9% (1/35), and early arthritis 5.7% (2/35); IB had no implant breakage, no severe recurrent diastasis, and no early arthritis. Conclusions: In this Level III study, IB fixation was associated with better 6-month clinical outcomes with similar final radiographic stability and fewer hardware-related complications versus SS. Full article
(This article belongs to the Section Orthopedics)
Show Figures

Figure 1

17 pages, 3041 KB  
Article
The Role of the Individual Bundles of the Deltoid Ligament in Multidirectional Stability and Articular Contact Pressure of the Ankle Joint: A Finite Element Analysis
by Yuandong Li, Xiaoxi Ji, Qingqing Yang, Huizhi Wang and Cheng-Kung Cheng
Bioengineering 2026, 13(2), 145; https://doi.org/10.3390/bioengineering13020145 - 27 Jan 2026
Abstract
The deltoid ligament (DL) is the primary stabilizer of the medial ankle; however, a limited understanding of the functional roles of its various bundles hinders rational surgical decision-making. This study aims to investigate the roles of individual DL bundles in maintaining ankle stability [...] Read more.
The deltoid ligament (DL) is the primary stabilizer of the medial ankle; however, a limited understanding of the functional roles of its various bundles hinders rational surgical decision-making. This study aims to investigate the roles of individual DL bundles in maintaining ankle stability and articular contact pressure and thus seeks to guide decisions on whether reconstruction is required for specific injuries. A validated finite element foot model was used to simulate isolated and multiple deficiencies in the DL bundle. The articular displacements, rotations, and peak talar cartilage contact pressure were evaluated under anterior drawer force and under internal–external rotation, eversion, and plantarflexion–dorsiflexion moments. Compared with the intact model, anterior tibiotalar ligament (ATTL) deficiency resulted in the greatest anterior drawer displacement (increase: 29%). Talonavicular ligament (TNL) deficiency caused the largest internal–external rotation and plantarflexion (increases in external rotation: 69%; in internal rotation: 10%; in plantarflexion: 32%). Tibiocalcaneal ligament (TCL) deficiency caused the largest eversion (increase: 93%). Deep posterior tibiotalar ligament (dPTTL) deficiency caused the largest dorsiflexion (increase: 68%). The maximum talar cartilage contact pressure occurred in the TNL-deficient model under the plantarflexion condition. In conclusion, individual DL bundles exhibit specific functions in terms of controlling multidirectional ankle stability—the ATTL, TNL, TCL, and dPTTL are the primary stabilizers for anterior translation, rotation/plantarflexion, eversion, and dorsiflexion, respectively. These findings provide a biomechanical rationale for personalized surgical strategies. When comprehensive DL reconstruction is not feasible, clinicians can prioritize the reconstruction of specific bundles according to the patient’s instability severity and functional demands across degrees of freedom. Full article
(This article belongs to the Special Issue Sports Biomechanics and Injury Rehabilitation)
Show Figures

Figure 1

5 pages, 653 KB  
Interesting Images
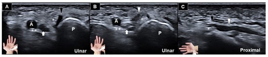
Ultrasonograhic Identification of the Entrapment of a Transligamentous Sensory Branch of the Ulnar Nerve
by Wei-Ting Wu, Ke-Vin Chang and Levent Özçakar
Diagnostics 2026, 16(3), 405; https://doi.org/10.3390/diagnostics16030405 - 27 Jan 2026
Abstract
Anatomical variations of the ulnar nerve at the wrist are uncommon and may lead to diagnostic confusion or iatrogenic injury if unrecognized. We present an ultrasound-based identification of a rare transligamentous ulnar nerve sensory branch entrapment in an elderly male with chronic ulnar-sided [...] Read more.
Anatomical variations of the ulnar nerve at the wrist are uncommon and may lead to diagnostic confusion or iatrogenic injury if unrecognized. We present an ultrasound-based identification of a rare transligamentous ulnar nerve sensory branch entrapment in an elderly male with chronic ulnar-sided hand paresthesia. High-resolution ultrasonography revealed an aberrant sensory branch deviating from the ulnar nerve, piercing the palmar carpal ligament, and coursing superficially rather than entering Guyon’s canal. Further assessment demonstrated focal nerve flattening within the ligament with proximal enlargement, consistent with entrapment. This case highlights the value of ultrasound in detecting rare peripheral nerve variants and their entrapments. Therefore, it is also noteworthy to extend the sonographic evaluation beyond conventional entrapment sites at the wrist. Full article
(This article belongs to the Section Medical Imaging and Theranostics)
Show Figures

Figure 1

14 pages, 1488 KB  
Article
AI-Based Electromyographic Analysis of Single-Leg Landing for Injury Risk Prediction in Taekwondo Athletes
by Jun-Sik Kim, Fatima Faridoon, Jaeyeop Choi, Junghwan Oh, Juhyun Kang and Hae Gyun Lim
Healthcare 2026, 14(3), 292; https://doi.org/10.3390/healthcare14030292 - 23 Jan 2026
Viewed by 116
Abstract
Background/Objectives: Improper landing mechanics in Taekwondo can lead to non-contact injuries such as ankle sprains and knee ligament tears, highlighting the necessity for objective methods to evaluate landing stability and injury risk. Electromyography (EMG) enables the examination of muscle activation patterns; however, [...] Read more.
Background/Objectives: Improper landing mechanics in Taekwondo can lead to non-contact injuries such as ankle sprains and knee ligament tears, highlighting the necessity for objective methods to evaluate landing stability and injury risk. Electromyography (EMG) enables the examination of muscle activation patterns; however, conventional analyses based on simple averages have limited predictive value. Methods: This study analyzed EMG signals recorded during single-leg landings (45 cm height) in 30 elite male Taekwondo athletes. Participants were divided into regular exercise groups (REG, n = 15) and non-exercise groups (NEG, n = 15). Signals were segmented into two phases. Eight features were extracted per muscle per phase. Classification models (Random Forest, XGBoost, Logistic Regression, Voting Classifier) were used to classify between groups, while regression models (Ridge, Random Forest, XGBoost) predicted continuous muscle activation changes as injury risk indicators. Results: The Random Forest Classifier achieved an accuracy of 0.8365 and an F1-score of 0.8547. For regression, Ridge Regression indicated high performance (R2 = 0.9974, MAE = 0.2620, RMSE = 0.4284, 5-fold CV MAE: 0.2459 ± 0.0270), demonstrating strong linear correlations between EMG features and outcomes. Conclusions: The AI-enabled EMG analysis can be used as an objective measure of the study of the individual landing stability and risk of injury in Taekwondo athletes, but its clinical application has to be validated in the future by biomechanical injury indicators and prospective cohort studies. Full article
(This article belongs to the Section Artificial Intelligence in Healthcare)
Show Figures

Figure 1

13 pages, 258 KB  
Article
Lower Extremity Injuries in Elite Snowsport Athletes: A Retrospective Survey
by Buket Sevindik Aktas, Esedullah Akaras, E. Whitney G. Moore, Ersagun Kepir, Anthony Kulas and Gokhan Yagiz
J. Clin. Med. 2026, 15(2), 695; https://doi.org/10.3390/jcm15020695 - 15 Jan 2026
Viewed by 135
Abstract
Background/Objectives: Lower extremity injuries represent a major health concern in elite snowsport disciplines, where high mechanical loads, complex movement patterns, and demanding environmental conditions substantially increase injury risk. Understanding injury incidence and burden in this population is essential for developing sport- and [...] Read more.
Background/Objectives: Lower extremity injuries represent a major health concern in elite snowsport disciplines, where high mechanical loads, complex movement patterns, and demanding environmental conditions substantially increase injury risk. Understanding injury incidence and burden in this population is essential for developing sport- and sex-specific prevention strategies. This retrospective study determined lower extremity injury incidence and burden among elite snowsport athletes. Methods: Ninety-nine Turkish National Snowsport Teams Training Camp athletes (34 females; 65 males) consented to a review of their medical records for injury incidence. Overall, sex- and sport-specific injury incidence (number/10,000 h) and burden (weeks missing/10,000 h) were calculated. Results: Overall, medial tibial stress syndrome (MTSS) was the highest burden (9.5 ± 38.7), and ankle sprain (1.7 ± 0.4) was the highest-incident injury. However, injury incidence and burden patterns differed by sex and sport. Notably, medial tibial stress syndrome (MTSS) showed comparable incidence in female and male athletes but resulted in a substantial injury burden in both sexes, reflecting prolonged time-loss from training and competition and indicating a meaningful negative impact on athletic performance. Specifically, the highest-burden injury for women was anterior cruciate ligament (ACL) rupture (16.2 ± 64.5), and for men the most common injury was MTSS (9.7 ± 40.7). For cross-country skiers, MTSS had the highest burden and incidence. For all other sports, and across sexes, ankle sprain was the highest incidence injury—women (1.3 ± 3.0), men (2.0 ± 4.5), biathletes (2.3 ± 5.7), Alpine skiers (2.8 ± 4.5), ski jumpers (1.6 ± 3.1), and snowboarders (3.2 ± 4.7)—plus the highest-burden injury for biathletes (6.9 ± 14.3) and ski jumpers (6.0 ± 14.0). The highest burden injury for Alpine skiers was ACL damage (34.3 ± 87.2), and for snowboarders it was knee collateral ligament injury (27.8 ± 78.6). Moreover, patellar tendinitis, hamstring strains, calf strains, Achilles ruptures, anterior tibial pain, meniscus tears, and hip injuries were frequently observed in injury patterns. Conclusions: Ankle sprains were the most frequent lower extremity injury in elite snowsport athletes, whereas medial tibial stress syndrome (MTSS) and anterior cruciate ligament (ACL) injuries accounted for the greatest injury burden. Injury incidence and burden differed by sex and snowsport discipline. Full article
(This article belongs to the Section Sports Medicine)
8 pages, 211 KB  
Article
Sex-Based Differences in Patient-Reported Outcome Measures Are Not Present Three Months After ACL Reconstruction
by Abdulmajeed Alfayyadh, Jack R. Williams, Kelsey Neal, Ashutosh Khandha, Lynn Snyder-Mackler and Thomas S. Buchanan
J. Clin. Med. 2026, 15(2), 680; https://doi.org/10.3390/jcm15020680 - 14 Jan 2026
Viewed by 170
Abstract
Background: Patient-reported outcome measures (PROMs) provide important insights into recovery after anterior cruciate ligament reconstruction (ACLR). Previous research suggests that males and females recover differently after ACLR, with females reporting greater pain, slower functional gains, and lower psychological readiness at later stages of [...] Read more.
Background: Patient-reported outcome measures (PROMs) provide important insights into recovery after anterior cruciate ligament reconstruction (ACLR). Previous research suggests that males and females recover differently after ACLR, with females reporting greater pain, slower functional gains, and lower psychological readiness at later stages of rehabilitation. However, it is unknown if patient-reported outcomes differ by sex early after ACLR. To address this gap, we conducted a cross-sectional analysis comparing patient-reported outcome measures between sexes three months after ACLR. We hypothesized that females would report worse PROMs compared to males. Methods: This cross-sectional analysis used data from a prospectively maintained ACL reconstruction cohort. Fifty-six individuals (female: 23 and male: 33) with primary, unilateral ACLR completed PROMs three months after surgery. These PROMs included the Knee Injury and Osteoarthritis Outcome Score (KOOS; Symptoms, Pain, Activities of Daily Living, Sport and Recreation, Quality of Life), International Knee Documentation Committee (IKDC) subjective score, Knee Outcome Survey–Activities of Daily Living Scale (KOS-ADLS), Anterior Cruciate Ligament–Return to Sport After Injury (ACL-RSI), and the Tampa Scale of Kinesiophobia (TSK). All outcomes were expressed on a 0 to 100 percent scale, with higher scores indicating better outcomes, except for TSK, where lower scores indicated better outcomes. Normality was assessed within sex, using the Shapiro–Wilk test. Two-tailed independent-samples t-tests with Welch correction were used for approximately normal variables; otherwise, Mann–Whitney U tests were utilized (α = 0.05). Several outcomes had limited statistical power to detect MCID-sized differences, and findings for these measures should be interpreted cautiously. Results: No significant differences between sexes were found for any of the PROMs. Males trended towards having better KOOS Sport and Recreation and IKDC, but these were not statistically significant, and the effect sizes were small-to-moderate. Conclusions: No statistically significant sex-based differences were detected in PROMs at approximately 3 months after ACLR, indicating that any sex-related divergences between these measures may not occur until later in recovery. Full article
41 pages, 1522 KB  
Review
Socceromics: A Systematic Review of Omics Technologies to Optimize Performance and Health in Soccer
by Adam Owen, Halil İbrahim Ceylan, Piotr Zmijewski, Carlo Biz, Giovanni Sciarretta, Alessandro Rossin, Pietro Ruggieri, Andrea De Giorgio, Carlo Trompetto, Nicola Luigi Bragazzi and Luca Puce
Int. J. Mol. Sci. 2026, 27(2), 749; https://doi.org/10.3390/ijms27020749 - 12 Jan 2026
Viewed by 248
Abstract
The integration of omics technologies, including genomics, proteomics, metabolomics, and microbiomics, has transformed sports science, particularly soccer, by providing new opportunities to optimize player performance, reduce injury risk, and enhance recovery. This systematic literature review was conducted in accordance with PRISMA 2020 guidelines [...] Read more.
The integration of omics technologies, including genomics, proteomics, metabolomics, and microbiomics, has transformed sports science, particularly soccer, by providing new opportunities to optimize player performance, reduce injury risk, and enhance recovery. This systematic literature review was conducted in accordance with PRISMA 2020 guidelines and structured using the PICOS/PECOS framework. Comprehensive searches were performed in PubMed, Scopus, and Web of Science up to August 2025. Eligible studies were peer-reviewed original research involving professional or elite soccer players that applied at least one omics approach to outcomes related to performance, health, recovery, or injury prevention. Reviews, conference abstracts, editorials, and studies not involving soccer or omics technologies were excluded. A total of 139 studies met the inclusion criteria. Across the included studies, a total of 19,449 participants were analyzed. Genomic investigations identified numerous single-nucleotide polymorphisms (SNPs) spanning key biological pathways. Cardiovascular and vascular genes (e.g., ACE, AGT, NOS3, VEGF, ADRA2A, ADRB1–3) were associated with endurance, cardiovascular regulation, and recovery. Genes related to muscle structure, metabolism, and hypertrophy (e.g., ACTN3, CKM, MLCK, TRIM63, TTN-AS1, HIF1A, MSTN, MCT1, AMPD1) were linked to sprint performance, metabolic efficiency, and muscle injury susceptibility. Neurotransmission-related genes (BDNF, COMT, DRD1–3, DBH, SLC6A4, HTR2A, APOE) influenced motivation, fatigue, cognitive performance, and brain injury recovery. Connective tissue and extracellular matrix genes (COL1A1, COL1A2, COL2A1, COL5A1, COL12A1, COL22A1, ELN, EMILIN1, TNC, MMP3, GEFT, LIF, HGF) were implicated in ligament, tendon, and muscle injury risk. Energy metabolism and mitochondrial function genes (PPARA, PPARG, PPARD, PPARGC1A, UCP1–3, FTO, TFAM) shaped endurance capacity, substrate utilization, and body composition. Oxidative stress and detoxification pathways (GSTM1, GSTP1, GSTT1, NRF2) influenced recovery and resilience, while bone-related variants (VDR, P2RX7, RANK/RANKL/OPG) were associated with bone density and remodeling. Beyond genomics, proteomics identified markers of muscle damage and repair, metabolomics characterized fatigue- and energy-related signatures, and microbiomics revealed links between gut microbial diversity, recovery, and physiological resilience. Evidence from omics research in soccer supports the potential for individualized approaches to training, nutrition, recovery, and injury prevention. By integrating genomics, proteomics, metabolomics, and microbiomics data, clubs and sports practitioners may design precision strategies tailored to each player’s biological profile. Future research should expand on multi-omics integration, explore gene–environment interactions, and improve representation across sexes, age groups, and competitive levels to advance precision sports medicine in soccer. Full article
(This article belongs to the Special Issue Molecular and Physiological Mechanisms of Exercise)
Show Figures

Figure 1

13 pages, 369 KB  
Article
One-Stage Versus Two-Stage ACL Reconstruction with Concomitant MCL Surgery in Combined ACL and MCL Injuries: A Minimum 2-Year Follow-Up Study
by Kwangho Chung, Hyun-Soo Moon, Sung-Hwan Kim, Seung Ho Yoon and Min Jung
J. Clin. Med. 2026, 15(2), 583; https://doi.org/10.3390/jcm15020583 - 11 Jan 2026
Viewed by 208
Abstract
Background: The optimal timing and staging of anterior cruciate ligament reconstruction (ACLR) in patients with concomitant medial collateral ligament (MCL) injury remain controversial. This study aimed to compare clinical outcomes between a one-stage ACLR group and a two-stage ACLR group in patients with [...] Read more.
Background: The optimal timing and staging of anterior cruciate ligament reconstruction (ACLR) in patients with concomitant medial collateral ligament (MCL) injury remain controversial. This study aimed to compare clinical outcomes between a one-stage ACLR group and a two-stage ACLR group in patients with combined ACL and MCL injuries in which the MCL was surgically managed. Methods: This retrospective study included 68 patients with combined ACL and grade III MCL injuries treated with ACLR and MCL surgery. Patients were divided into the one-stage ACLR group (n = 42) and the two-stage ACLR group (n = 26) according to the timing and staging of ACLR relative to MCL surgery. Clinical outcomes, including knee stability, patient-reported outcomes, and range of motion (ROM), were compared between groups. Results: After a minimum 2-year follow-up, both groups demonstrated significant improvements in clinical and stability outcomes, with enhanced anterior knee stability, improved patient-reported outcomes, and better objectively assessed knee function. No significant differences were found between groups in anterior, valgus (one-stage: 1.8 ± 1.1 mm, two-stage: 2.3 ± 1.3 mm; p = 0.160), or rotational stability. Likewise, there were no significant differences in mean flexion deficits (one-stage: 2.6 ± 4.1°, two-stage: 1.0 ± 2.0°; p = 0.137), mean extension deficits (one-stage: 1.5 ± 2.5°, two-stage: 1.3 ± 2.0°; p = 0.137), flexion deficits ≥10° (one-stage: 9.5% [4/42], two-stage: 0%; p = 0.290), extension deficits ≥ 5° (one-stage: 9.5% [4/42], two-stage: 3.8% [1/26]; p = 0.642), or additional procedures for postoperative stiffness (one-stage: 16.7% [7/42], two-stage: 11.5% [3/26]; p = 0.730). Patient-reported outcomes, including the Lysholm and IKDC subjective scores, were also comparable between groups. Conclusions: Both the one-stage ACLR group and the two-stage ACLR group for surgically managed combined ACL and MCL injuries yielded comparable clinical and stability outcomes, suggesting that one-stage ACLR can be performed without an apparent increase in the risk of postoperative stiffness or ROM limitations. However, given the limited sample size, these results should be interpreted cautiously because the study may have been insufficiently powered to detect small clinically meaningful differences. Full article
(This article belongs to the Special Issue Clinical Perspectives on Surgical Management of Knee Injuries)
Show Figures

Figure 1

19 pages, 1826 KB  
Article
Evaluation of the Efficacy of an Artificial Intelligence-Based Assessment and Correction System in the Rehabilitation of Patients Following Anterior Cruciate Ligament Reconstruction Surgery
by Tingting Zhu, Ying Huang, Jingjing Pu, Chaolong Wang, Min Ruan, Ping Lu, Xiaojiang Yang, Nirong Bao, Yueying Chen and Aiqin Zhang
J. Clin. Med. 2026, 15(2), 575; https://doi.org/10.3390/jcm15020575 - 10 Jan 2026
Viewed by 307
Abstract
Background: Arthroscopic anterior cruciate ligament (ACL) reconstruction is widely recognised as the primary treatment for ACL injuries. However, with the increasing incidence of sports-related injuries and growing demand for rehabilitation services, conventional rehabilitation models—largely reliant on therapists’ experience and subjective assessment—are increasingly insufficient [...] Read more.
Background: Arthroscopic anterior cruciate ligament (ACL) reconstruction is widely recognised as the primary treatment for ACL injuries. However, with the increasing incidence of sports-related injuries and growing demand for rehabilitation services, conventional rehabilitation models—largely reliant on therapists’ experience and subjective assessment—are increasingly insufficient to meet the clinical need for precise and individualised rehabilitation programmes. This study aimed to evaluate the effectiveness of a rehabilitation protocol incorporating an artificial intelligence (AI)-based assessment and correction system on functional recovery following ACL reconstruction. Methods: Using convenience sampling, 80 patients undergoing ACL reconstruction between June to December 2024 were recruited for this randomised controlled trial. Participants were randomly assigned to either a control group (n = 40), which received conventional functional exercise training, or a trial group (n = 40), which received rehabilitation intervention guided by an AI-based assessment and correction system. Knee function scores (Lysholm score, IKDC score), Berg Balance Scale (BBS) scores, joint range of motion (ROM), and rehabilitation exercise compliance scores were collected and analysed 1, 2, 3, and 4 months postoperatively. Results: Compared with the control group, the trial group demonstrated significantly greater improvements in Lysholm score, IKDC score, BBS score, and active knee joint ROM (p < 0.05) at postoperative assessment points. Additionally, rehabilitation exercise adherence was significantly higher in the trial group compared to the control group (p < 0.05). Conclusions: Rehabilitation protocols integrating AI-based assessment and correction systems effectively enhance knee function recovery, joint mobility and balance ability following ACL reconstruction. Moreover, these protocols significantly improve rehabilitation exercise adherence, demonstrating superior efficacy compared to conventional rehabilitation approaches. This digital rehabilitation model represents an efficient and promising intervention for postoperative ACL rehabilitation. Full article
(This article belongs to the Section Clinical Rehabilitation)
Show Figures

Figure 1

12 pages, 495 KB  
Systematic Review
Postoperative Weight-Bearing, Range-of-Motion Protocols and Knee Biomechanics After Concomitant Posterolateral Meniscal Root Repair with ACL Reconstruction: A Systematic Review
by Thibaut Noailles, Julien Behr, Nicolas Bouguennec, Loïc Geffroy, César Tourtoulou and Alain Meyer
J. Clin. Med. 2026, 15(2), 542; https://doi.org/10.3390/jcm15020542 - 9 Jan 2026
Viewed by 339
Abstract
Background/Objectives: Meniscal root tears, particularly those of the posterolateral root, are frequently associated with anterior cruciate ligament (ACL) injuries and significantly alter load distribution and knee stability. Surgical repair of the posterolateral meniscal root (PLMR) aims to restore normal biomechanics; however, postoperative [...] Read more.
Background/Objectives: Meniscal root tears, particularly those of the posterolateral root, are frequently associated with anterior cruciate ligament (ACL) injuries and significantly alter load distribution and knee stability. Surgical repair of the posterolateral meniscal root (PLMR) aims to restore normal biomechanics; however, postoperative rehabilitation strategies remain heterogeneous. The objective of this systematic review was to describe and analyze postoperative weight-bearing (WB) and range-of-motion (ROM) protocols following concomitant PLMR repair and anterior cruciate ligament reconstruction (ACLR), integrating both clinical and biomechanical perspectives. Methods: This systematic review followed PRISMA guidelines and analyzed biomechanical and clinical studies assessing postoperative WB and ROM management following PLMR repair combined with ACLR. Results: Eleven studies were included, describing heterogeneous postoperative rehabilitation protocols for WB and ROM following posterolateral meniscal root repair with ACLR. Biomechanical data consistently showed that root section increased tibial internal rotation and contact pressure on the lateral tibial plateau, whereas repair restored near-native load sharing. Clinically, most authors recommended non-weight-bearing or toe-touch loading for 4–6 weeks and flexion limited to 0–90° during early rehabilitation. Gradual progression to full loading and motion between 8 and 12 weeks was the most consistent strategy. Conclusions: Although the current evidence is limited and mainly based on low-level studies, available data suggest that a cautious and progressive rehabilitation protocol after PLMR repair with ACLR early controlled motion and delayed full loading may optimize repair healing while protecting graft integrity. Full article
(This article belongs to the Special Issue Clinical Application of Knee Arthroscopy)
Show Figures

Figure 1

6 pages, 1582 KB  
Case Report
Anterior Cruciate Ligament Rupture with Concurrent Gastrocnemius Tear: A Case Report of a Rare Pattern of Injury
by Su Jin Lee, Khang Duy Ricky Le and Roger Davies
Reports 2026, 9(1), 22; https://doi.org/10.3390/reports9010022 - 9 Jan 2026
Viewed by 180
Abstract
Background, Clinical Significance: Anterior cruciate ligament (ACL) injuries are common, however the occurrence of concurrent gastrocnemius muscle tears is exceptionally rare. Given this, the diagnosis and management of this pattern of injury is poorly characterised, with lack of current clinically relevant classification systems [...] Read more.
Background, Clinical Significance: Anterior cruciate ligament (ACL) injuries are common, however the occurrence of concurrent gastrocnemius muscle tears is exceptionally rare. Given this, the diagnosis and management of this pattern of injury is poorly characterised, with lack of current clinically relevant classification systems and evidence-based guidelines to guide treatment. Early recognition is essential. with advanced imaging critical to guiding the diagnosis and management of patients with this pattern of injury. Case presentation: A 39 year old man presented with acute right knee swelling, pain and difficulty weightbearing following a sports-related fall. Clinical examination was suspicious for an ACL injury. Magnetic Resonance Imaging (MRI) of the knee demonstrated the disrupted and displaced ACL fibres, with extensive peri-cruciate oedema around the expected position of the ACL. It was associated with partial avulsion of the medial gastrocnemius origin and incomplete avulsion of the lateral gastrocnemius origin. The patient was referred for an urgent orthopaedics review and is currently on trial of conservative management. Conclusions: In this case report and review of the literature, we evaluate the current understanding of the complexities of combined musculoskeletal injuries and limitations of existing classifications in providing accurate diagnosis and management strategies. Given the rarity of this presentation, the case underscores the lack of evidence-based recommendations for early management, particularly in young, active individuals who are at risk of significant long-term functional impact. Full article
Show Figures

Figure 1

19 pages, 1035 KB  
Article
The Transforming Growth Factor β Genes and Susceptibility to Musculoskeletal Injuries in a Physically Active Caucasian Cohort
by Agata Rzeszutko-Bełzowska and Agata Leońska-Duniec
J. Clin. Med. 2026, 15(1), 358; https://doi.org/10.3390/jcm15010358 - 3 Jan 2026
Viewed by 251
Abstract
Background/Objectives: Changes in the physiological activity of transforming growth factor-beta (TGF-β) family caused by genetic variability may significantly affect the phenotype of the musculoskeletal system and, consequently, the risk of sports injuries. This study aimed to investigate whether the TGFBI (rs1442), TGFBR3 [...] Read more.
Background/Objectives: Changes in the physiological activity of transforming growth factor-beta (TGF-β) family caused by genetic variability may significantly affect the phenotype of the musculoskeletal system and, consequently, the risk of sports injuries. This study aimed to investigate whether the TGFBI (rs1442), TGFBR3 (rs1805113 and rs1805117), and MSTN (rs11333758) polymorphisms, either individually or in combination, were associated with susceptibility to muscle injury, anterior cruciate ligament (ACL) rupture, and other injuries. Methods: The study group included 202 physically active Caucasians with reported sport injuries and 133 healthy controls. All the samples were genotyped using real-time polymerase chain reaction (real-time PCR). Results: The results revealed that (1) the TGFBR3 rs1805117 TC genotype was nominally associated with increased ACL injury risk; (2) the MSTN rs11333758 heterozygotes was more frequent in the one injury group (vs controls) and in the ACL group, whereas in the multiple vs. one comparison the over-dominant model suggested lower odds for heterozygotes; and (3) the TGFBI rs1442 CG genotype was nominally associated with lower odds of fractures, dislocations or sprains. In addition, simultaneous analysis of chosen SNPs revealed interactions between TGFBR3 rs1805117 and rs1805113, with a nominal association of the rs1805113 G allele with increased injury risk, as did rs11333758 and rs1805113, with a potential effect of rs11333758 on injury status. However, haplotype analysis of the TGFBR3 SNPs revealed no significant associations. After Bonferroni correction, none of the associations remained statistically significant. Conclusions: The results suggested that carrying specific TGFBI, TGFBR3, and MSTN genotypes may be potentially associated with susceptibility to musculoskeletal injuries in a physically active Caucasians. Full article
(This article belongs to the Section Sports Medicine)
Show Figures

Figure 1

8 pages, 926 KB  
Technical Note
Use of the Vascularized Fascial Flap Based on the 1,2 ICSRA Artery for Scapholunate Ligament Repair: An Anatomic Study
by Enrico Palombo, Simone Otera, Yuri Piccolo, Stefano Gumina, Diego Ribuffo and Alessia Pagnotta
Surgeries 2026, 7(1), 8; https://doi.org/10.3390/surgeries7010008 - 1 Jan 2026
Viewed by 228
Abstract
Scapholunate (SL) ligament injuries, if not properly treated, can compromise wrist biomechanics, leading to instability, scapholunate advanced collapse (SLAC) and progressive osteoarthritis. Depending on the severity of the injury, current repair techniques include either arthroscopic or open surgical approaches; however, the limited vascularization [...] Read more.
Scapholunate (SL) ligament injuries, if not properly treated, can compromise wrist biomechanics, leading to instability, scapholunate advanced collapse (SLAC) and progressive osteoarthritis. Depending on the severity of the injury, current repair techniques include either arthroscopic or open surgical approaches; however, the limited vascularization of the region often represents an obstacle to optimal ligament healing. This study aims to assess the feasibility of using a vascularized fascial flap based on the 1,2 intercompartmental supraretinacular artery (1,2 ICSRA) for biological augmentation of the scapholunate ligament. Five previously injected cadaveric upper limbs were dissected and flap dimensions, including length, width, and pedicle length, were measured using a millimeter-calibrated ruler by two independent operators. All flaps provided sufficient coverage, and the vascular pedicle length allowed tension-free positioning without vascular kinking. These findings demonstrate that a 1,2 ICSRA-based fascial flap is anatomically feasible for scapholunate ligament augmentation. It should be noted that this is a purely cadaveric study, and the technique has not yet been tested in vivo. The results suggest potential surgical applications, providing a vascularized biological option that may enhance ligament healing in future clinical studies. Full article
(This article belongs to the Special Issue Feature Papers in Hand Surgery and Research)
Show Figures

Figure 1

14 pages, 788 KB  
Article
Reframing Ankle Sprain Management: The Role of Thermography in Ligament Injury Monitoring
by Victor-Luis Escamilla-Galindo, Daniel Fernández-Muñoz, Javier Fernández-Carmona, Julio A. Ceniza-Villacastín and Ismael Fernández-Cuevas
J. Clin. Med. 2026, 15(1), 134; https://doi.org/10.3390/jcm15010134 - 24 Dec 2025
Viewed by 372
Abstract
Background: Ankle sprains are one of the most frequent ligament injuries in elite sports. Despite their high incidence, current rehabilitation approaches are often based on time-based criteria and neglect the physiological status of the injured tissues. Infrared thermography (IRT) is a non-invasive [...] Read more.
Background: Ankle sprains are one of the most frequent ligament injuries in elite sports. Despite their high incidence, current rehabilitation approaches are often based on time-based criteria and neglect the physiological status of the injured tissues. Infrared thermography (IRT) is a non-invasive tool useful for detecting temperature asymmetries related to inflammation and tissue dysfunction. This study aimed to analyze the temporal evolution of ankle temperature asymmetry during return-to-play (RTP). Methods: A retrospective observational study of 26 ankle injuries analyzed with thermography that met the inclusion criteria. Thermograms were processed with a software to calculate temperature asymmetry in the ankle region of interest (ankleROI). Statistical analyses included paired and one-sample t-tests, as well as linear regression models, to assess temporal changes throughout the RTP process. Results: A significant hyperthermic response was observed immediately after injury (Δ = +0.594 °C; p < 0.001, Cohen’s d = 0.918). The first significant asymmetry reduction occurred between 21.5 and 28.5 days post-injury (Δ = −0.488 °C; p = 0.004), with a consistent weekly decrease of −0.109 °C (95% CI [−0.143, −0.078]). These findings indicate a progressive decrease in decrement on thermal asymmetry over approximately four weeks of RTP. Conclusions: IRT demonstrates potential as a physiological monitoring tool during the RTP process after ankle sprains. The observed pattern of temperature recovery provides objective reference thresholds that could complement existing functional and clinical criteria. Full article
(This article belongs to the Special Issue Management of Ligaments and Tendons Injuries)
Show Figures

Figure 1

20 pages, 1263 KB  
Case Report
Beyond the Injury: A Case Report on Psychological Intervention During ACL Rehabilitation in a Professional Futsal Player
by Luis Miguel Ramos-Pastrana, Laura Gil-Caselles, Roberto Ruiz-Barquín, José María Giménez-Egido and Aurelio Olmedilla-Zafra
Int. J. Environ. Res. Public Health 2026, 23(1), 26; https://doi.org/10.3390/ijerph23010026 - 23 Dec 2025
Viewed by 515
Abstract
Background: An anterior cruciate ligament (ACL) rupture is one of the most psychologically demanding injuries in professional sport. This study aimed to describe a structured psychological intervention conducted during the rehabilitation process following an ACL rupture in a professional female futsal player. Methods: [...] Read more.
Background: An anterior cruciate ligament (ACL) rupture is one of the most psychologically demanding injuries in professional sport. This study aimed to describe a structured psychological intervention conducted during the rehabilitation process following an ACL rupture in a professional female futsal player. Methods: A single-case longitudinal design was implemented with three phases (pre-test, intervention, post-test) across a 12-month rehabilitation period. Psychological assessment was conducted at four key points: initial evaluation, rehabilitation follow-up, medical discharge, and three- and six-month follow-ups. The battery included perfectionism (FMPS), anxiety (STAI), depression (BDI-II), mental health indicators (DASS-21, GHQ-12), sleep quality (PSQI), pain perception and catastrophizing (VAS, PCS), mood states (POMS), psychological readiness for return to play (PRIA-RS), and perceived intervention effectiveness. The program consisted of 15 individual sessions plus a follow-up, combining cognitive–behavioral therapy principles, mindfulness-based techniques (relaxation, body scan, visualization), cognitive restructuring, sleep hygiene, goal setting, problem-solving, and emotional expression strategies. Results: Progressive and sustained improvements were observed in mood states and pain catastrophizing, along with enhanced sleep quality, psychological readiness, and reintegration into competition. Improved overall mental health indicators were also observed, supporting adherence to rehabilitation and return-to-play confidence. Conclusions: This case highlights the relevance of structured psychological intervention as an integral component of injury rehabilitation in professional athletes with ACL rupture, supporting its inclusion in multidisciplinary care and future research to optimize recovery and prevent maladaptive outcomes. Full article
Show Figures

Figure 1

Back to TopTop