Due to scheduled maintenance work on our servers, there may be short service disruptions on this website between 11:00 and 12:00 CEST on March 28th.
Sign in to use this feature.

Years

Between: -

Subjects

remove_circle_outline
remove_circle_outline
remove_circle_outline
remove_circle_outline
remove_circle_outline
remove_circle_outline
remove_circle_outline

Journals

remove_circle_outline
remove_circle_outline
remove_circle_outline
remove_circle_outline
remove_circle_outline
remove_circle_outline
remove_circle_outline
remove_circle_outline
remove_circle_outline
remove_circle_outline
remove_circle_outline
remove_circle_outline
remove_circle_outline
remove_circle_outline

Article Types

Countries / Regions

remove_circle_outline
remove_circle_outline
remove_circle_outline
remove_circle_outline

Search Results (1,184)

Search Parameters:
Keywords = interstitial cells

Order results
Result details
Results per page
Select all
Export citation of selected articles as:
16 pages, 3574 KB  
Article
CDKN2A/p16 Exon 2 Hypermethylation in Lung Squamous Cell Carcinoma Associated with Interstitial and Emphysematous Lung Diseases: A Comparative Analysis of Tumor, Adjacent and Distant Lung Tissues
by Keita Miyakawa, Kyohei Oyama, Jiayao Liu, Naoko Akiyama, Akira Sakata, Manami Hayashi, Yuki Kamikokura, Naoko Aoki, Sayaka Yuzawa, Shin Ichihara, Takaaki Sasaki, Masahiro Kitada, Yusuke Mizukami and Mishie Tanino
Curr. Oncol. 2026, 33(4), 187; https://doi.org/10.3390/curroncol33040187 - 27 Mar 2026
Abstract
Lung squamous cell carcinoma (LUSC) tends to arise in the setting of interstitial or emphysematous lung diseases, including idiopathic pulmonary fibrosis (IPF), pulmonary emphysema (PE), and smoking-related interstitial fibrosis (SRIF), where field cancerization may extend. DNA methylation of promoter regions of p16, [...] Read more.
Lung squamous cell carcinoma (LUSC) tends to arise in the setting of interstitial or emphysematous lung diseases, including idiopathic pulmonary fibrosis (IPF), pulmonary emphysema (PE), and smoking-related interstitial fibrosis (SRIF), where field cancerization may extend. DNA methylation of promoter regions of p16, CDH13, and RASSF1A and p16 exon 2 was assessed by methylation-specific PCR. Tumor, adjacent (<3 cm), and distant (≥3 cm) lung tissues were obtained from 25 patients with LUSC (IPF, n = 7; PE, n = 8; SRIF, n = 10). p16 exon 2 methylation was significantly higher in tumors than in non-tumorous tissues in PE and SRIF cases. In contrast, IPF cases showed p16 exon 2 hypermethylation also in distant tissues. Across tumor samples, p16 promoter hypermethylation was frequently observed in stage II or higher. p16 expression in tumors was generally reduced in IPF and PE cases, compared with SRIF cases. No consistent methylation or expression patterns were observed for CDH13 or RASSF1A. p16-associated molecular alterations exhibited disease- and stage-related differences, suggesting heterogeneity in LUSC carcinogenesis. These findings indicate a broader epigenetic field effect, as reflected by p16 exon 2, in IPF-associated LUSC and suggest that complex, elusive mechanisms underlying p16 aberrations may contribute to this phenomenon. Full article
(This article belongs to the Section Thoracic Oncology)
Show Figures

Figure 1

15 pages, 5064 KB  
Article
Mitochondria-Dependent Metabolic Reprogramming Enhances Myofibroblast Differentiation and Aggravates Bleomycin-Induced Pulmonary Fibrosis
by Kai Yazaki, Yosuke Matsuno, Yuki Yabuuchi, Sosuke Matsumura, Kenya Kuramoto, Kazufumi Yoshida, Masashi Matsuyama, Takumi Kiwamoto, Yuko Morishima, Yukio Ishii, Kaori Ishikawa, Kazuto Nakada and Nobuyuki Hizawa
Cells 2026, 15(7), 582; https://doi.org/10.3390/cells15070582 - 25 Mar 2026
Abstract
Idiopathic pulmonary fibrosis (IPF) is a progressive interstitial lung disease characterized by irreversible fibrosis. Aberrant cell differentiation plays a crucial role in the development of IPF. Although recent studies have suggested that mitochondrial dysfunction may play a role in IPF, its direct impact [...] Read more.
Idiopathic pulmonary fibrosis (IPF) is a progressive interstitial lung disease characterized by irreversible fibrosis. Aberrant cell differentiation plays a crucial role in the development of IPF. Although recent studies have suggested that mitochondrial dysfunction may play a role in IPF, its direct impact on fibrosis remains unclear. This study aimed to clarify the role of mitochondria in lung cell differentiation and pulmonary fibrosis development by employing mito-mice ND6M, in which the activity of respiratory chain complex I is decreased due to a mitochondrial DNA mutation (G13997A). Pulmonary fibrosis was induced by administering bleomycin (BLM) to both wild-type and mito-mice ND6M. Bone marrow-derived macrophages and primary lung fibroblasts, generated from both types of mice, were analyzed to evaluate M1/M2 polarization and myofibroblast differentiation, respectively. Compared to wild-type mice, mito-mice ND6M exhibited more severe fibrosis and lower survival rates following BLM inoculation. Lactate production in the lungs after BLM administration was significantly higher in mito-mice ND6M than in wild-type mice. TGF-β1-treated fibroblasts from mito-mice ND6M exhibited increased α-smooth muscle actin expression. While type I collagen expression was not different between these mice, TGF-β1-induced expression of phosphoserine phosphatase and serine hydroxymethyltransferase2, two of the enzymes involved in the serine–glycine pathway, was significantly higher in mito-mice ND6M than in wild-type mice. On the other hand, mitochondrial dysfunction had a small effect on pulmonary inflammation and on M1/M2 macrophage polarization. In conclusion, mitochondrial dysfunction promotes TGF-β1-induced myofibroblast differentiation and BLM-induced pulmonary fibrosis. Mitochondria-dependent metabolic reprogramming may therefore represent a promising therapeutic target in IPF. Full article
(This article belongs to the Special Issue Advances in Pulmonary Fibrosis)
Show Figures

Graphical abstract

21 pages, 4584 KB  
Article
Interaction Between Telocytes and Mast Cells in Genetically Determined Non-Obstructive Azoospermia with AZFc Deletion: An Ultrastructural Study
by Irina Chekmareva, Andrey Kostin, Nina Kulchenko, Grigory Demyashkin, Oksana Paklina, Alexander Alekhnovich, Artem Volodkin, Atim Emaimo John, Ilya Klabukov, Denis Baranovskii, Viktoria Shishkina, Igor Buchwalow, Markus Tiemann and Dmitrii Atiakshin
Int. J. Mol. Sci. 2026, 27(7), 2923; https://doi.org/10.3390/ijms27072923 - 24 Mar 2026
Viewed by 126
Abstract
In idiopathic azoospermia caused by non-obstructive infertility with AZFc deletion, the testicle usually contains an increased number of mast cells (MCs)—which are responsible for collagen synthesis in the testes—as well as Leydig cell hyperplasia. However, the relationship between MCs and telocytes in this [...] Read more.
In idiopathic azoospermia caused by non-obstructive infertility with AZFc deletion, the testicle usually contains an increased number of mast cells (MCs)—which are responsible for collagen synthesis in the testes—as well as Leydig cell hyperplasia. However, the relationship between MCs and telocytes in this pathology remains unexplored. The aim of this study was to examine ultrastructural changes in the interstitial tissue microenvironment of the convoluted seminiferous tubules in the testis, using clinical specimens from men with genetically determined non-obstructive infertility with AZFc deletion. Histological, immunohistochemical, and electron microscopic (EM) studies were performed on surgical materials from 14 patients with AZFc deletion. The IHC study was performed using a panel of antibodies: tryptase, chymase, carboxypeptidase A3, and αSMA. The EM study was performed on ultrathin sections with a thickness of 100–120 nm. MCs were found to be in a functionally active state and characterized by a variety of secretory activities. For the first time, telocytes and their colocalization with MCs and Leydig cells were visualized. It is possibly the telocytes—interacting with MCs—that synchronize the functional activity of the entire MC population of the testis. The interaction of MCs with telocytes, as well as individual secretory granules associated with loci of tropocollagen and collagen microfibril accumulation, leads to the accumulation of collagen fibrils in the interstitium, as observed in idiopathic infertility with AZFc deletion. Even with a small number of MCs in the interstitium of the convoluted seminiferous tubules in the testis, the telocytes are able to synchronize MCs’ activation and secretory activity, supporting the development of a profibrotic phenotype of the tissue microenvironment. The obtained results advance our understanding of idiopathic infertility with AZFc deletion by delineating the ultrastructural landscape of the testicular interstitium and establishing telocytes as key regulators of cellular crosstalk. Telocytes use complex mechanisms for the spatial integration of MCs and fibroblasts in the profibrotic phenotype formation of the convoluted seminiferous tubule tissue microenvironment. Potentially, telocytes can directly be involved in synchronizing such processes by activating the biogenesis and secretion of collagen monomers by fibroblasts; the MC secretome directly affects the polymerization of collagen monomers and dimers into microfibrils in the extracellular matrix, stimulating excessive collagen fiber formation and the development of fibrotic changes. Full article
(This article belongs to the Special Issue Telocytes: Unraveling Their Roles in Health and Disease)
Show Figures

Figure 1

27 pages, 3228 KB  
Article
Chitosan- and Gelatin-Based Composite Granular Hydrogels for Cartilage Tissue Regeneration
by Neda Khatami, Pedro Guerrero, Koro de la Caba, Ander Abarrategi and Sandra Camarero-Espinosa
Int. J. Mol. Sci. 2026, 27(6), 2889; https://doi.org/10.3390/ijms27062889 - 23 Mar 2026
Viewed by 149
Abstract
Cartilage regeneration remains an unmet clinical challenge. Despite the great advances in the production of hydrogels as support matrices for cartilage regeneration, the resulting mechanical properties remain low. Granular composite hydrogels appear as ideal candidates due to their injectability and modularity in design. [...] Read more.
Cartilage regeneration remains an unmet clinical challenge. Despite the great advances in the production of hydrogels as support matrices for cartilage regeneration, the resulting mechanical properties remain low. Granular composite hydrogels appear as ideal candidates due to their injectability and modularity in design. Here, we report on the fabrication and characterization of heterogeneous composite granular hydrogels based on methacrylated chitosan (CHIMA) and gelatin (GelMA) microparticles supported by an interstitial methacrylated alginate (ALMA) matrix. Microparticles were prepared by an oil-emulsion method and their size and morphology optimized, resulting in CHIMA and GelMA microparticles of 10.8 µm (95% CI 9.2, 13.1) and 115.8 µm (95% CI 107.5, 137.6) in diameter, respectively. The microparticles were mixed with ALMA and crosslinked to form granular hydrogels that demonstrated reduced swelling and weight loss. The storage modulus increased from 33 to 66.4 kPa for CHIMA/ALMA hydrogels and from 11.5 to 19.5 kPa for GelMA/ALMA hydrogels when the particle concentration increased from 10 to 50%, and was higher than traditional ALMA hydrogels. Hydrogels of 50:50 CHIMA:GelMA permitted a 6.6-fold increase in cell number after 28 days of culture, and promoted the chondrogenic differentiation of embedded mouse mesenchymal stem cells with a glycosaminoglycan deposition of over 15 µg and the expression of chondrogenic markers. Full article
Show Figures

Figure 1

21 pages, 714 KB  
Review
Metabolic Checkpoints and Lymphoid Neogenesis in Lung Dendritic Cells: Mechanisms Guiding Tolerance and Chronic Lung Inflammation
by Dara C. Fonseca-Balladares, Gabriela O. S. Costa, Kevin Nolan, Michael H. Lee, Thaís C. F. Menezes, Brian B. Graham and Claudia Mickael
Int. J. Mol. Sci. 2026, 27(6), 2887; https://doi.org/10.3390/ijms27062887 - 23 Mar 2026
Viewed by 130
Abstract
Dendritic cells (DCs) are key sentinels in the lung mucosa that interpret environmental signals to either promote tolerance or trigger inflammation, influencing the development of chronic lung diseases. This review highlights recent mechanistic insights showing that metabolic checkpoints serve as upstream regulators of [...] Read more.
Dendritic cells (DCs) are key sentinels in the lung mucosa that interpret environmental signals to either promote tolerance or trigger inflammation, influencing the development of chronic lung diseases. This review highlights recent mechanistic insights showing that metabolic checkpoints serve as upstream regulators of DC fate and activity: inflammatory stimuli activate HIF-1α/mTOR-linked glycolytic pathways that drive maturation, cytokine secretion, antigen presentation, and migration. In contrast, AMPK-related oxidative and lipid metabolism pathways support tolerogenic states that encourage regulatory T-cell responses and inhibit checkpoints like PD-1/PD-L1. We also present evidence that DC subset specialization (cDC1 vs. cDC2) and their tissue location interact with these metabolic pathways to regulate lymphoid tissue formation, including the development and persistence of tertiary lymphoid structures in chronically inflamed lungs. These ectopic lymphoid tissues enhance local immune responses through DC–stromal interactions and ongoing T follicular helper–B cell communication, contributing to persistent inflammation and tissue remodeling in conditions such as COPD, asthma, pulmonary hypertension, and fibrotic interstitial lung disease. Finally, we discuss the translational potential of targeting this immunometabolic–lymphoid pathway, suggesting that modulating metabolic regulators, migratory circuits, and tolerogenic programs could restore immune balance while maintaining host defense—a promising framework for developing advanced therapies for chronic lung inflammation. Full article
(This article belongs to the Special Issue Immune Regulation in Lung Diseases)
Show Figures

Figure 1

22 pages, 1122 KB  
Review
Calcific Aortic Valve Disease: Mechanism and Future Therapeutic Strategies
by Giwon Hwang, Soyoung Jo, Hyeshin Kwon, Minjeong Kwon, Ilwhea Ku, Jae-kwan Song and Yong Hwa Jo
Cells 2026, 15(6), 542; https://doi.org/10.3390/cells15060542 - 18 Mar 2026
Viewed by 273
Abstract
Calcific aortic valve disease (CAVD) is an active pathological process driven by complex cellular and molecular mechanisms rather than passive aging. The disease is characterized by endothelial dysfunction, lipid infiltration, inflammation, extracellular matrix remodeling, and osteogenic differentiation of valvular interstitial cells, ultimately leading [...] Read more.
Calcific aortic valve disease (CAVD) is an active pathological process driven by complex cellular and molecular mechanisms rather than passive aging. The disease is characterized by endothelial dysfunction, lipid infiltration, inflammation, extracellular matrix remodeling, and osteogenic differentiation of valvular interstitial cells, ultimately leading to hydroxyapatite deposition and progressive valve calcification. Key signaling pathways, including Notch, Wnt/β-catenin, BMP2, and TGF-β, play critical roles in osteogenic reprogramming, while inflammatory cytokines such as IL-6, IL-1β, and TNF-α contribute to a pro-calcific microenvironment. To summarize current knowledge on CAVD pathophysiology and emerging therapeutic strategies, relevant preclinical studies were identified through searches of PubMed, and clinical trials were identified through ClinicalTrials.gov. Evidence indicates that extracellular matrix remodeling, fibrosis, and dysregulated phosphate metabolism, particularly involving TNAP and DPP-4, further accelerate disease progression. Despite advances in understanding disease mechanisms, effective pharmacological therapies remain limited, with the current treatment largely restricted to valve replacement. Emerging therapeutic approaches targeting molecular pathways, including enzyme inhibition, RNA-based therapeutics, and advanced drug delivery systems, may offer promising strategies for disease modification. A deeper understanding of CAVD pathophysiology may facilitate the development of targeted therapies to delay or prevent disease progression. Full article
(This article belongs to the Special Issue Advancements in Cardiac Metabolism)
Show Figures

Figure 1

15 pages, 10271 KB  
Article
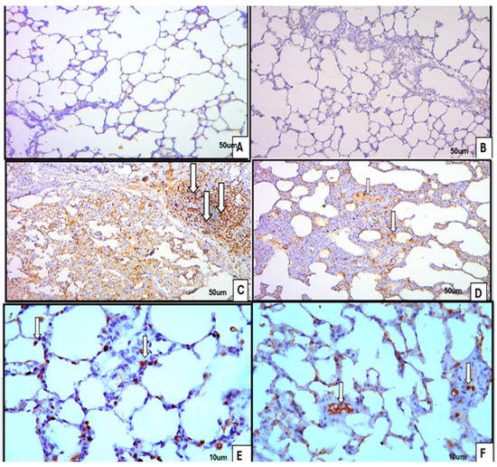
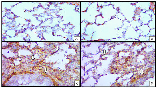
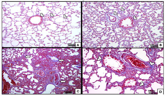
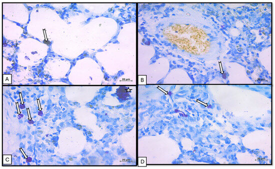
Testing the Possible Protective Effect of Ivermectin on Bleomycin-Induced Pulmonary Fibrosis in Albino Rats: Histological and Immunohistochemical Study
by Eman A. Zaher, Ayman A. Refai, Soha S. Zakaria, Mohammad I. Jumaa, Ala M. Aljehani, Enas Elhosary, Reham A. Al-Dhelaan, Mostafa A. Arafa and Rania H. Elsyade
Medicina 2026, 62(3), 560; https://doi.org/10.3390/medicina62030560 - 18 Mar 2026
Viewed by 164
Abstract
Background and Objectives: Pulmonary fibrosis (PF) is an interstitial lung disease that leads to death and is characterized by excessive collagen deposition and tissue scarring. Bleomycin (BLM) is widely used to induce PF in rodent models, closely resembling human idiopathic pulmonary fibrosis. [...] Read more.
Background and Objectives: Pulmonary fibrosis (PF) is an interstitial lung disease that leads to death and is characterized by excessive collagen deposition and tissue scarring. Bleomycin (BLM) is widely used to induce PF in rodent models, closely resembling human idiopathic pulmonary fibrosis. Ivermectin, a broad-spectrum antiparasitic agent, has recently attracted interest due to its reported anti-inflammatory and antifibrotic effects. The beneficial effects of ivermectin to treat PF may be attributed to suppressing the NLRP3 inflammasome. Ivermectin can cause acute toxicity, including convulsions, when overdosed in animals. In humans, it may induce neurological disorders, particularly in individuals with mutations in the ABCB1 gene. This study aimed to investigate the potential protective role of ivermectin against BLM-induced PF in rats. Materials and Methods: Forty adult male albino rats were randomly allocated into four groups (n = 10 each): control, ivermectin-treated (0.6 mg/kg, orally on days 0, 1, 7, and 8), BLM-treated (single intratracheal dose of 5 mg/kg), and BLM- and ivermectin-treated. Lung tissues were collected for histopathological analysis and Mallory trichrome staining to assess collagen deposition. Mast cell (MC) infiltration was assessed using toluidine blue. Immunohistochemistry for α-SMA and Ki-67 was used to evaluate myofibroblast and cell proliferation. Oxidative stress parameters, including serum total antioxidant capacity, lung glutathione and lung nitric oxide were measured. Results: Ivermectin treatment markedly attenuated BLM-induced lung fibrosis, showing reduced collagen accumulation, restoration of alveolar architecture, and decreased inflammatory cell infiltration. Immunohistochemical evaluation revealed decreased expression of α-SMA and Ki-67, while biochemical analyses demonstrated improved oxidative stress markers. Conclusions: Ivermectin significantly mitigates BLM-induced pulmonary fibrosis in rats through modulation of inflammation, suppression of myofibroblast proliferation, and reduction in oxidative stress and collagen deposition. These findings highlight ivermectin as a potential candidate for the management of fibrotic lung diseases, warranting further mechanistic and clinical investigations. Full article
(This article belongs to the Section Pharmacology)
Show Figures

Figure 1

18 pages, 6195 KB  
Article
Decoding Fibroblast Diversity Associated with the Postnatal Loss of Cardiac Regenerative Capacity
by Parisa Aghagolzadeh, Vincent Rapp, Mohamed Nemir, Felix Mahfoud, Marijke Brink and Thierry Pedrazzini
Int. J. Mol. Sci. 2026, 27(6), 2709; https://doi.org/10.3390/ijms27062709 - 16 Mar 2026
Viewed by 180
Abstract
The mammalian heart rapidly loses regenerative capacity after birth and responds to myocardial infarction (MI) with scar formation and development of interstitial fibrosis. Cardiac fibroblasts orchestrate extracellular matrix (ECM) remodeling and cell–cell communication during development and injury; however, how fibroblast heterogeneity and fibroblast [...] Read more.
The mammalian heart rapidly loses regenerative capacity after birth and responds to myocardial infarction (MI) with scar formation and development of interstitial fibrosis. Cardiac fibroblasts orchestrate extracellular matrix (ECM) remodeling and cell–cell communication during development and injury; however, how fibroblast heterogeneity and fibroblast communication networks differ between regenerative neonatal and non-regenerative adult hearts remains incompletely defined. We performed scRNA-seq analysis on metabolically active CD45/CD31 nonmyocyte cells from the left ventricles of normal neonatal (P3) and adult (P84) mice to probe heterogeneity in a cardiac fibroblast-enriched population. We identified five transcriptionally distinct cardiac fibroblast subclusters (CF0-CF4) demonstrating different distributions across ages, including an adult-enriched immune/complement-associated program (CF0); an ECM structural-associated program present across ages (CF1); and neonatal-enriched contractile/ECM-remodeling (CF2), Wnt-modulating matrix-regulatory (CF3), and proliferative (CF4) programs. Matrisome category scoring revealed age-dependent divergence in ECM programs: neonatal fibroblasts showed higher enrichment of core matrisome components (particularly collagens and proteoglycans), whereas adult fibroblasts were relatively enriched for matrisome-associated categories, including ECM regulators and secreted factors. Ligand–receptor inference using CellChat demonstrated a broad reduction in fibroblast–fibroblast interaction strength and information flow in adult networks, and adult-enriched signaling was dominated by immune/chemotactic pathways. Finally, projection of subcluster marker programs onto an independent bulk RNA-seq dataset of cardiac fibroblasts 3 days after MI revealed that adult injury partially recapitulates neonatal-associated programs, including activation of the contractile/ECM-remodeling program (CF2) and robust induction of a cell-cycle-associated program (CF4), but lacks an additional neonatal-specific injury program associated with the Wnt-modulating subset (CF3), which was weakly induced or absent in adults. This cardiac fibroblast-enriched single-cell study defines age-dependent fibroblast states, ECM specialization, and communication network architecture that distinguish regenerative neonatal from non-regenerative adult hearts. It also provides a framework to interpret divergent stromal responses after MI and to prioritize fibroblast programs for regenerative and anti-fibrotic strategies. Full article
(This article belongs to the Special Issue Cardiovascular Research: From Molecular Mechanisms to Novel Therapies)
Show Figures

Figure 1

30 pages, 2028 KB  
Review
MicroRNA Regulation in Kidney Interstitial Fibrosis
by Hirofumi Sakuma, Satoshi Kawaguchi, Yuya Kobayashi, Akiko Koizumi and Naoki Nakagawa
Epigenomes 2026, 10(1), 21; https://doi.org/10.3390/epigenomes10010021 - 16 Mar 2026
Viewed by 191
Abstract
MicroRNAs (miRNAs) are small non-coding RNAs that play central roles in post-transcriptional gene regulation and cellular homeostasis maintenance. Dysregulation of miRNA expression is increasingly recognized as a key contributor to tissue injury during the acute phase and to disease progression in the chronic [...] Read more.
MicroRNAs (miRNAs) are small non-coding RNAs that play central roles in post-transcriptional gene regulation and cellular homeostasis maintenance. Dysregulation of miRNA expression is increasingly recognized as a key contributor to tissue injury during the acute phase and to disease progression in the chronic phase. Chronic kidney disease (CKD) commonly progresses and ultimately leads to kidney failure through interstitial fibrosis, which is the final common pathway of CKD progression. Interstitial fibrosis is driven not only by fibroblast activation but also by phenotypic transitions in injured tubular epithelial cells, infiltrating macrophages, and peritubular capillary cells. These multifaceted cellular pathways induce and exacerbate interstitial fibrosis, and several miRNAs have been identified as important regulators of these pathways. In addition to fibrotic pathophysiological features, disease-specific dysregulation of miRNAs has been increasingly detected in various causes of CKD, including diabetic kidney disease, chronic glomerulonephritis, and nephrosclerosis. In this review, we provide an integrated overview of miRNA-mediated regulation in CKD, with particular emphasis on cell lineage functions within fibrotic pathways and disease-specific roles. Finally, we discuss the emerging potential of miRNAs as biomarkers and therapeutic targets for CKD and highlight future research directions. Full article
Show Figures

Figure 1

13 pages, 675 KB  
Article
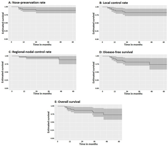
OSIRIS-Nose: Organ Sparing Using Interventional Radiotherapy (Brachytherapy) for Invasive Squamous Cell Cancer of the Nasal Vestibule
by Tamer Soror, Pierre-Alexander Justenhoven, Warren Bacorro, György Kovács, Dirk Rades, Karl-Ludwig Bruchhage and Anke Leichtle
Cancers 2026, 18(5), 883; https://doi.org/10.3390/cancers18050883 - 9 Mar 2026
Viewed by 297
Abstract
Background/Objectives: Squamous cell carcinoma of the nasal vestibule (SCCNV) represents a rare malignancy traditionally managed by radical surgical resection, frequently at the cost of substantial functional impairment and disfiguring aesthetic consequences. This study investigates an organ-preserving therapeutic strategy integrating high-dose-rate interventional radiotherapy [...] Read more.
Background/Objectives: Squamous cell carcinoma of the nasal vestibule (SCCNV) represents a rare malignancy traditionally managed by radical surgical resection, frequently at the cost of substantial functional impairment and disfiguring aesthetic consequences. This study investigates an organ-preserving therapeutic strategy integrating high-dose-rate interventional radiotherapy (HDR-IRT; brachytherapy) with organ-preserving surgery. Material and Methods: A retrospective analysis of patients with primary SCCNV treated using HDR-IRT between 2008 and 2022, excluding recurrent disease and cutaneous squamous cell carcinomas. Interstitial HDR-IRT catheters were implanted intraoperatively, with radiation delivered twice daily to a target volume encompassing the tumor and a 10–15 mm safety margin. Results: Fifty-one patients were included, with a median age of 71 years. The median total dose was 40 Gy. Gross total resection was performed in 7 patients, and subtotal resection in 44. The median follow-up was 35 months. The 5-year nose preservation rate was 90%, with local control at 84%, regional failure-free survival at 94%, and overall survival at 82%. In total, 49 acute toxicity events were documented, including two grade 3 events, while 35 chronic toxicity events were reported, including one grade 3 event. At 3 years, 84.3% of cosmetic outcomes were rated as satisfactory, 9.8% as acceptable, and 5.9% as unsatisfactory. Conclusions: The OSIRIS approach, combining HDR-IRT with organ-preserving surgery, is an effective treatment for SCCNV, offering high organ preservation and favorable long-term disease control, with manageable toxicity and positive cosmetic outcomes. Full article
(This article belongs to the Special Issue Personalized Radiotherapy in Cancer Care (2nd Edition))
Show Figures

Figure 1

18 pages, 8151 KB  
Article
SELENOF Mitigates Bovine Mastitis by Preserving Mitochondrial Homeostasis and Suppressing NLRP3-Mediated Pyroptosis
by Xue Qi, Ling Shi, Xinhuai Shi and Changmin Hu
Animals 2026, 16(5), 793; https://doi.org/10.3390/ani16050793 - 4 Mar 2026
Viewed by 213
Abstract
Bovine mastitis threatens the dairy industry with limited effective therapies. The selenoprotein family offers potential anti-inflammatory interventions, yet the role of Selenoprotein F (SELENOF) remains unclear. This study investigated SELENOF in mitochondrial damage and pyroptosis using clinical mammary biopsies and a Staphylococcus aureus [...] Read more.
Bovine mastitis threatens the dairy industry with limited effective therapies. The selenoprotein family offers potential anti-inflammatory interventions, yet the role of Selenoprotein F (SELENOF) remains unclear. This study investigated SELENOF in mitochondrial damage and pyroptosis using clinical mammary biopsies and a Staphylococcus aureus-induced Mammary alveolar cell-type T (MAC-T) cell model. Histology, TEM, immunofluorescence, Western blot, qPCR, RNA-seq, and mitochondrial staining (MitoTracker Red and JC-1) were employed. Mastitic mammary tissue exhibited severe architectural disruption, including focal necrosis with coalescing vacuoles of variable size, extensive epithelial denudation, and interstitial thickening with dense inflammatory infiltrates. At the ultrastructural level, mitochondrial swelling, cristae loss, and plasma membrane rupture were evident. Additionally, these tissue specimens exhibited marked upregulation of inflammatory mediator transcripts, notably IL-1β, IL-6, and TNF-α, alongside heightened abundance of pyroptosis-associated proteins including NOD-like receptor family pyrin domain containing 3 (NLRP3), cleaved caspase-1, and GSDMD-N (Gasdermin D N-terminal domain). RNA-seq identified SELENOF as significantly downregulated. The MAC-T model recapitulated the mitochondrial dysfunction, inflammatory response, and pyroptosis observed in mastitic tissue. SELENOF overexpression restored mitochondrial membrane potential, dampened the output of inflammatory signaling molecules, and suppressed NLRP3-mediated pyroptosis via attenuation of caspase-1/GSDMD-N pathway activation. These findings establish SELENOF as a novel target that mitigates bovine mastitis by preserving mitochondrial homeostasis and suppressing NLRP3-mediated pyroptosis. Full article
Show Figures

Figure 1

16 pages, 1035 KB  
Review
The KCa3.1 K+ Channel and Cardiovascular Disease: An Upstream Target Linking Inflammation, Fibrosis and Electrical Instability
by Ibrahim Antoun, Georgia R. Layton, Riyaz Somani, G. André Ng, Peter Bradding and Mustafa Zakkar
Cells 2026, 15(5), 416; https://doi.org/10.3390/cells15050416 - 27 Feb 2026
Viewed by 413
Abstract
KCa3.1 encodes the intermediate-conductance calcium-activated potassium channel KCa3.1, a regulator of membrane potential and calcium-dependent signalling in cardiovascular and immune cells. Increasing evidence indicates that KCa3.1 is a shared driver of vascular remodelling, inflammation, fibrosis, and electrical instability across multiple cardiovascular diseases. In [...] Read more.
KCa3.1 encodes the intermediate-conductance calcium-activated potassium channel KCa3.1, a regulator of membrane potential and calcium-dependent signalling in cardiovascular and immune cells. Increasing evidence indicates that KCa3.1 is a shared driver of vascular remodelling, inflammation, fibrosis, and electrical instability across multiple cardiovascular diseases. In ischaemic heart disease (IHD), KCa3.1 is upregulated in endothelial cells, vascular smooth muscle cells, macrophages, and T lymphocytes, where it promotes smooth muscle proliferation, neointimal formation, and chronic vascular inflammation. Genetic deletion or pharmacological blockade of KCa3.1 reduces atherosclerotic plaque burden and restenosis in animal models. In atrial fibrillation (AF), KCa3.1 contributes to electrical remodelling by shortening atrial action potential duration and to structural remodelling by driving fibroblast activation and collagen deposition. KCa3.1 also regulates macrophage polarisation and pro-inflammatory cytokine release in atrial tissue, linking immune activation to arrhythmogenic substrate formation. Inhibition of KCa3.1 prolongs atrial refractoriness, attenuates atrial fibrosis, and reduces AF inducibility in multiple preclinical models. Emerging data in valvular heart disease suggest that KCa3.1 is upregulated in valvular interstitial cells and regions of active calcification, where it supports myofibroblast differentiation, osteogenic signalling, and inflammatory crosstalk, implicating the channel in fibrocalcific valve degeneration. Collectively, these findings position KCa3.1 as a central molecular integrator of electrical, fibrotic, and inflammatory pathways in cardiovascular disease. The availability of selective KCa3.1 inhibitors with established human safety profiles supports the feasibility of therapeutic translation. Targeting KCa3.1 may enable disease-modifying strategies that extend beyond symptom control to suppress maladaptive cardiovascular remodelling. Full article
Show Figures

Figure 1

17 pages, 266 KB  
Article
Impact of Esophageal Dilation and Smoking on Bronchoalveolar Lavage Immune Profiles, Cellular Distribution, and Lipid-Laden Macrophage Index in Idiopathic Pulmonary Fibrosis
by Soner Demirbaş, Celalettin Korkmaz, Adil Zamani, Pembe Oltulu, Hülya Vatansev, Pınar Diydem Yılmaz, Şebnem Yosunkaya and Turgut Teke
J. Clin. Med. 2026, 15(5), 1761; https://doi.org/10.3390/jcm15051761 - 26 Feb 2026
Viewed by 245
Abstract
Background: Idiopathic pulmonary fibrosis (IPF) is a progressive interstitial lung disease with a poor prognosis. Esophageal dilation and hiatal hernia are common in IPF and may facilitate microaspiration, exacerbating inflammation. We investigated the relationship between radiological esophageal dilation, smoking status, and bronchoalveolar lavage [...] Read more.
Background: Idiopathic pulmonary fibrosis (IPF) is a progressive interstitial lung disease with a poor prognosis. Esophageal dilation and hiatal hernia are common in IPF and may facilitate microaspiration, exacerbating inflammation. We investigated the relationship between radiological esophageal dilation, smoking status, and bronchoalveolar lavage (BAL) cellular and immunological profiles in IPF patients. Methods: This retrospective study included 71 IPF patients. Esophageal diameters were measured at four levels (L1–L4) via high-resolution computed tomography (HRCT). BAL fluid was analyzed for differential cell counts, the Lipid-Laden Macrophage Index (LLMI), and T-lymphocyte subsets (CD4+, CD8+) using flow cytometry. Results: Esophageal dilation (diameter >10 mm) was present in 52.1% of patients, and 36.6% had a hiatal hernia. A significant negative correlation was found between distal esophageal dilation (L4) and BAL CD4+ counts (r = −0.267, p = 0.024). Similarly, the mean maximum esophageal diameter negatively correlated with BAL CD4+ levels (r = −0.288, p = 0.015). Patients with hiatal hernia had significantly higher BAL neutrophil percentages than those without (20.0% ± 4.39% vs. 8.93% ± 2.0%, p = 0.047). Furthermore, smokers exhibited significantly lower BAL CD4+ levels than non-smokers (p = 0.042). No significant correlation was found between esophageal dilation and the LLMI (p > 0.05). Conclusions: Esophageal dilation is significantly associated with altered local immune profiles in IPF. The negative correlation between distal esophageal dilation and BAL CD4+ counts, plus the link between hiatal hernia and neutrophilic inflammation, suggests an interplay between esophageal dysfunction and the pulmonary immune microenvironment. Radiological assessment of esophageal dilation may serve as a non-invasive surrogate marker for identifying high-risk clinical phenotypes in IPF. Full article
15 pages, 10163 KB  
Article
Betulinic Acid Attenuates Lipopolysaccharide-Induced Kidney Inflammatory Injury by Suppressing PANoptosis in Weaned Piglets
by Yu Yang, Huan Yao, Jiayu He, Zhaoping Ou, You Huang, Wenyu Ba, Ziming Wang, Jiao Wu, Hongyi Ding, Zhuliang Tan, Quanwei Li, Jine Yi and Shuiping Liu
Vet. Sci. 2026, 13(3), 213; https://doi.org/10.3390/vetsci13030213 - 25 Feb 2026
Viewed by 262
Abstract
In the intensive livestock farming industry, weaned piglets are highly prone to renal injury triggered by weaning stress, pathogen infection, and antibiotic abuse. This injury induces metabolic disorders and immunosuppression, severely restricting production efficiency. As a natural pentacyclic triterpene, betulinic acid (BA) exhibits [...] Read more.
In the intensive livestock farming industry, weaned piglets are highly prone to renal injury triggered by weaning stress, pathogen infection, and antibiotic abuse. This injury induces metabolic disorders and immunosuppression, severely restricting production efficiency. As a natural pentacyclic triterpene, betulinic acid (BA) exhibits notable biological activities, particularly in anti-inflammatory and antioxidant activities. However, its preventive potential against renal injury in piglets and the underlying mechanisms remain unclear. In this study, BA was administered as a long-term dietary pretreatment prior to lipopolysaccharide (LPS) challenge to evaluate its protective role in a preventive model of renal inflammatory injury in weaned piglets. BA pretreatment significantly mitigated pathological lesions, including renal tubular epithelial cell shedding and interstitial congestion, reduced the renal index, and decreased the concentrations of renal injury markers and serum UREA. In addition, BA pretreatment mitigated the renal oxidative stress and inflammatory injury induced by LPS in piglets. Molecular analyses showed that BA pretreatment was associated with decreased expression of key markers involved in apoptosis, necroptosis, and pyroptosis in renal tissue. Furthermore, protein–protein interaction analysis suggested potential associations between the HMGB1/TLR4/NF-κB signaling pathway and PANoptosis-related processes, providing exploratory and hypothesis-generating support for the proposed regulatory network. Collectively, these findings suggest that dietary BA pretreatment exerts a preventive effect against LPS-induced renal inflammatory injury in weaned piglets, potentially through modulation of HMGB1/TLR4/NF-κB-associated PANoptosis-related pathways, providing a theoretical basis for its application in livestock production. Full article
Show Figures

Graphical abstract

19 pages, 776 KB  
Review
Lipoprotein Metabolism in Hematological Malignancies: A Role in Shaping the Tumor Cell Microenvironment?
by Manal Sellam, Mélanie Lambert, Nadine Varin-Blank and Kevin Saitoski
Metabolites 2026, 16(2), 145; https://doi.org/10.3390/metabo16020145 - 20 Feb 2026
Viewed by 536
Abstract
The tumor microenvironment (TME) plays a key role in driving tumor progression, metastasis, and resistance to therapy. The TME is a highly variable ecosystem composed of both cancer and surrounding normal cells, immune survey cells and the extracellular matrix, also composed of signaling [...] Read more.
The tumor microenvironment (TME) plays a key role in driving tumor progression, metastasis, and resistance to therapy. The TME is a highly variable ecosystem composed of both cancer and surrounding normal cells, immune survey cells and the extracellular matrix, also composed of signaling molecules that mediate interactions between them. Blood cancer cells pose a unique challenge because of their circulation and widespread distribution along with their capacity to invade various niches, interacting with a wide range of host cells such as fibroblasts, immune cells, endothelial cells, and adipocytes. Metabolism reprogramming in this tumor context, notably referring to elevated cholesterol and fatty acid metabolism, emerges as a crucial event in shaping an immune-suppressive microenvironment that promotes tumor progression. Cholesterol and fatty acids are supplied by both de novo biosynthesis and exogenous uptake from lipoproteins. Lipoproteins are pseudo-micellar structures, designed to transport essential water-insoluble metabolites, including triacylglycerols and cholesterol, in the plasma, lymph, and interstitial fluids. A number of studies have reported abnormal circulating lipoprotein levels in leukemic patients and have suggested that lipoproteins are key for cancer cells to thrive. However, the role of lipoprotein metabolism in cancer cells in the context of the TME is still incompletely discussed so far. The aim of this review is to consider the importance of lipoprotein metabolism in shaping the tumor microenvironment in the context of hematological malignancies. Full article
(This article belongs to the Special Issue Metabolic Crosstalk in the Tumor Microenvironment)
Show Figures

Figure 1

Back to TopTop