Sign in to use this feature.

Years

Between: -

Subjects

remove_circle_outline
remove_circle_outline
remove_circle_outline
remove_circle_outline
remove_circle_outline
remove_circle_outline
remove_circle_outline
remove_circle_outline
remove_circle_outline

Journals

remove_circle_outline
remove_circle_outline
remove_circle_outline
remove_circle_outline
remove_circle_outline
remove_circle_outline
remove_circle_outline
remove_circle_outline
remove_circle_outline
remove_circle_outline
remove_circle_outline
remove_circle_outline
remove_circle_outline
remove_circle_outline
remove_circle_outline
remove_circle_outline
remove_circle_outline
remove_circle_outline
remove_circle_outline
remove_circle_outline
remove_circle_outline
remove_circle_outline
remove_circle_outline
remove_circle_outline
remove_circle_outline
remove_circle_outline
remove_circle_outline
remove_circle_outline

Article Types

Countries / Regions

remove_circle_outline
remove_circle_outline
remove_circle_outline
remove_circle_outline
remove_circle_outline
remove_circle_outline
remove_circle_outline
remove_circle_outline
remove_circle_outline

Search Results (2,996)

Search Parameters:
Keywords = hypertension evaluation

Order results
Result details
Results per page
Select all
Export citation of selected articles as:
10 pages, 1189 KB  
Case Report
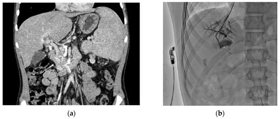
Shunt Surgery for Pediatric Prehepatic Portal Hypertension: A Single-Center Case Series
by Gabija Pikturnaitė, Austėja Račytė, Alina Rudokaitė, Gediminas Vaitėnas, Jonas Povilavičius, Benas Prušinskas, Ilona Dockienė, Marius Kurminas, Rūta Bernatavičienė and Gilvydas Verkauskas
J. Clin. Med. 2025, 14(21), 7780; https://doi.org/10.3390/jcm14217780 (registering DOI) - 2 Nov 2025
Abstract
Background/Objectives: Management of prehepatic portal hypertension involves endoscopic and medical therapies with subsequent shunting if symptoms persist. Lately, surgical shunts, particularly the Meso-Rex shunt, are increasingly considered early in the disease course, offering benefits such as minimized hyperammonemia, improved somatic growth, and [...] Read more.
Background/Objectives: Management of prehepatic portal hypertension involves endoscopic and medical therapies with subsequent shunting if symptoms persist. Lately, surgical shunts, particularly the Meso-Rex shunt, are increasingly considered early in the disease course, offering benefits such as minimized hyperammonemia, improved somatic growth, and preservation of liver function. Our study evaluates post-operative outcomes after different surgical procedures in children with prehepatic portal hypertension. Methods: This single-centre retrospective case series included six children undergoing surgical shunting for prehepatic portal hypertension over a 5-year period. Medical records before and after surgery, followed for an average of 4.0 years, were analyzed. Results: Five patients underwent a Meso-Rex bypass, while one patient underwent a mesorenal shunt procedure. All cases showed clinically significant regression of esophageal varices six months post-surgery. Thrombocyte as well as leukocyte count significantly increased in five out of six patients during the long-term follow-up. Currently, five out of six surgically formed shunts (83%) continue to function normally. Conclusions: Our study supports early surgical intervention for improved long-term outcomes in managing portal hypertension, reducing complications like hypersplenism and variceal bleeding. Early consideration and ongoing monitoring are crucial for long-term success in children with portal hypertension. Full article
Show Figures

Figure 1

15 pages, 2660 KB  
Article
The Role of the NO/cGMP Pathway and SKCa and IKCa Channels in the Vasodilatory Effect of Apigenin 7-Glucoside
by Maria Luiza Fidelis da Silva, Erdi Can Aytar and Arquimedes Gasparotto Junior
Molecules 2025, 30(21), 4265; https://doi.org/10.3390/molecules30214265 (registering DOI) - 31 Oct 2025
Abstract
This study aimed to elucidate the vasorelaxant mechanism of action for apigenin 7-glucoside (A7G) by integrating computational and ex vivo pharmacological approaches. Molecular docking simulations were conducted to predict the binding affinities and interactions of A7G with key vascular proteins, specifically human endothelial [...] Read more.
This study aimed to elucidate the vasorelaxant mechanism of action for apigenin 7-glucoside (A7G) by integrating computational and ex vivo pharmacological approaches. Molecular docking simulations were conducted to predict the binding affinities and interactions of A7G with key vascular proteins, specifically human endothelial nitric oxide synthase (eNOS-PDB ID: 1M9M), and human intermediate (IKCa-PDB ID: 9ED1) and small-conductance (SKCa-PDB ID: 6CNN) Ca2+-activated K+ channels. The vasodilatory properties of A7G were subsequently evaluated in isolated mesenteric vascular beds (MVBs) from normotensive Wistar Kyoto (WKY) and spontaneously hypertensive rats (SHR). The in silico analysis indicated that A7G possesses favorable binding affinities for the 1M9M, 9ED1, and 6CNN protein targets. Pharmacological assessments demonstrated that A7G induced a dose- and endothelium-dependent reduction in perfusion pressure in MVBs from WKY and SHR rats. The vasodilatory response to A7G was completely abrogated by perfusion with a high-potassium solution or a non-selective K+ channelblocker. Furthermore, co-administration of apamin and TRAM-34, selective inhibitors of SKCa and IKCa, respectively, also abolished the vasorelaxant effects of A7G. Collectively, these findings suggest that the vascular effects of A7G in both WKY and SHR rats involve an endothelium-dependent mechanism, likely initiated by the activation of the NO/cGMP pathway, which culminates in the opening of IKCa and SKCa channels. Full article
22 pages, 933 KB  
Article
Chronic Thromboembolic Pulmonary Disease: Right Ventricular Function and Pulmonary Hemodynamics in a 4-Year Follow-Up
by Rosalinda Madonna, Giorgia Tocci, Filippo Biondi, Viola Cipollini, Riccardo Morganti and Raffaele De Caterina
Int. J. Mol. Sci. 2025, 26(21), 10617; https://doi.org/10.3390/ijms262110617 (registering DOI) - 31 Oct 2025
Abstract
Chronic thromboembolic pulmonary disease (CTEPD) with or without pulmonary hypertension (PH) is characterized by persistent perfusion defects and progressive pulmonary vascular dysfunction after acute pulmonary embolism (PE), despite adequate anticoagulant therapy. We aimed at assessing clinical, hemodynamic, and functional evolution in patients screened [...] Read more.
Chronic thromboembolic pulmonary disease (CTEPD) with or without pulmonary hypertension (PH) is characterized by persistent perfusion defects and progressive pulmonary vascular dysfunction after acute pulmonary embolism (PE), despite adequate anticoagulant therapy. We aimed at assessing clinical, hemodynamic, and functional evolution in patients screened for CTEPD with persistent lung perfusion scintigraphy (Q-scan) defects to identify non-invasive predictors of right ventricular (RV) impairment and development of exercise-induced pulmonary hypertension (ExPH). We analyzed 55 patients with a history of PE and no prior cardiopulmonary disease, stratified by perfusion (Q)-scan at 4 months into Q-scan-positive (n = 35) and Q-scan-negative (n = 20). At that time, all patients underwent echocardiography, cardiopulmonary exercise testing (CPET), and exercise stress echocardiography (ESE). Clinical evaluation and resting echocardiography were repeated at 24, 36, and 48 months. At baseline, Q-positive patients had higher NT-proBNP levels and greater PESI scores. At 4 months, they exhibited a higher prevalence of exercise-induced pulmonary hypertension (ExPH) on both CPET and ESE (p < 0.001). Both groups showed a partial recovery of echocardiographic parameters over time; however, Q-positive patients featured significantly higher systolic (s) pulmonary artery pressure (PAP) and mean PAP and a lower TAPSE/sPAP ratio (p < 0.001), increased eccentricity index, and shorter right ventricle (RV) outflow tract acceleration time at 48 months, suggestive of persistent RV-PA uncoupling and of a higher subclinical hemodynamic burden. Persistent Q-scan defects identify a post-PE population at risk for long-term RV dysfunction and ExPH, even in the absence of pulmonary hypertension at rest. CPET and ESE at 4 months provide useful prognostic information, supporting their integration into structured follow-up strategies to identify patients early on with evolving pulmonary vascular disease. Full article
(This article belongs to the Section Molecular Pathology, Diagnostics, and Therapeutics)
Show Figures

Figure 1

9 pages, 235 KB  
Article
Age-Related Differences in Surgical and Biochemical Outcomes Following Parathyroidectomy for Primary Hyperparathyroidism
by Eun Jin Kim, Jin Kyong Kim, Sang-Wook Kang, Jandee Lee, Jong Ju Jeong, Kee-Hyun Nam and Woong Youn Chung
J. Clin. Med. 2025, 14(21), 7740; https://doi.org/10.3390/jcm14217740 (registering DOI) - 31 Oct 2025
Viewed by 19
Abstract
Background/Objectives: Despite its increasing incidence in older patients, parathyroidectomy for primary hyperparathyroidism (PHPT) is frequently deferred owing to risks and age-related comorbidities and the limited evidence of age-specific surgical safety and biochemical outcomes. We evaluate age-related differences in clinical characteristics, perioperative outcomes, [...] Read more.
Background/Objectives: Despite its increasing incidence in older patients, parathyroidectomy for primary hyperparathyroidism (PHPT) is frequently deferred owing to risks and age-related comorbidities and the limited evidence of age-specific surgical safety and biochemical outcomes. We evaluate age-related differences in clinical characteristics, perioperative outcomes, postoperative complications, and biochemical responses, including bone turnover markers, after parathyroidectomy for PHPT. Methods: We retrospectively enrolled 596 patients who underwent parathyroidectomy between 2009 and 2022, stratified into three age groups: <65, 65–74, and ≥75 years (Group A, n = 401; Group B, n = 141; and Group C, n = 54, respectively). Demographics, comorbidities, operative details, complications, pathology, and biochemical parameters were compared between the groups. Results: Older patients exhibited a higher prevalence of hypertension, cardiovascular disease, diabetes, osteoporosis, and chronic kidney disease (all p < 0.01), whereas multiple endocrine neoplasias were more frequent in younger patients (p = 0.002). Younger patients had a longer operation time (p = 0.006). There were no significant intergroup differences in postoperative hospital stay and complication rates, including transient hypoparathyroidism, hungry bone syndrome, and recurrent laryngeal nerve injury. Pathologic diagnoses were comparable, with single adenoma being most common (81.0–86.2%). The postoperative calcium and parathyroid hormone levels normalized in all groups. Younger patients had higher baseline bone turnover markers and demonstrated greater absolute reductions postoperatively (p = 0.030 and p = 0.042, respectively); however, improvements were observed in all age groups. Conclusions: When appropriately selected, parathyroidectomy is safe and effective in all age groups, including older patients with comorbidities. Considering its evident biochemical and skeletal benefits, age should not preclude surgical intervention for PHPT. Full article
(This article belongs to the Section Endocrinology & Metabolism)
16 pages, 1671 KB  
Article
Cognitive Impairment and Psychological Morbidity Among Stroke Survivors in Rehabilitation: A Cross-Sectional Analysis
by Ana-Maria Bumbea, Daniela Gabriela Glavan, Ramona-Constantina Vasile, Alexandra Daniela Rotaru-Zavaleanu, Andrei Greșiță, Roxana Surugiu, Sorin Nicolae Dinescu, Irina Burlacu and Madalina Aldea
J. Clin. Med. 2025, 14(21), 7735; https://doi.org/10.3390/jcm14217735 (registering DOI) - 31 Oct 2025
Viewed by 105
Abstract
Background: Stroke represents a leading cause of disability worldwide and is frequently associated with cognitive impairment, anxiety, and post-stroke depression (PSD), all of which can hinder rehabilitation and reduce quality of life. This study aimed to evaluate the correlations between cognitive function, depression, [...] Read more.
Background: Stroke represents a leading cause of disability worldwide and is frequently associated with cognitive impairment, anxiety, and post-stroke depression (PSD), all of which can hinder rehabilitation and reduce quality of life. This study aimed to evaluate the correlations between cognitive function, depression, and anxiety in stroke survivors. Methods: A total of 71 patients (41 female, 30 male; mean age 68.1 years, range 42–88) were assessed during rehabilitation using the Mini-Mental State Examination (MMSE), the Hospital Anxiety and Depression Scale (HADS), and the Patient Health Questionnaire-9 (PHQ-9). Stroke type and comorbidities, including hypertension, chronic ischemic heart disease, atrial fibrillation, and type II diabetes, were also recorded. Results: As expected, most patients experienced ischemic strokes (73.1%), while 16.9% had hemorrhagic strokes. Comorbidities were highly prevalent, particularly hypertension (63 patients) and chronic ischemic heart disease (60 patients). Cognitive impairment (MMSE < 24) was observed in 28.2% of participants. Emotional assessment showed a mean HADS score of 11.55, with 36.6% of patients classified as having moderate to severe depression (PHQ-9 ≥ 10). Hemorrhagic stroke patients reported slightly higher PHQ-9 scores (8.4 compared to 8.2), while ischemic patients had higher HADS scores (11.8 compared to 9.8). A strong correlation was found between PHQ-9 and HADS (r = 0.90), while MMSE scores showed weak associations with emotional outcomes. Conclusions: Cognitive and affective disturbances are common during stroke rehabilitation, with depression and anxiety strongly interrelated but only weakly linked to cognitive decline. These findings emphasize the need for integrated screening and mental health support in rehabilitation programs. Future studies may explore technology-assisted tools, including virtual reality, to enhance patient engagement and recovery. Full article
(This article belongs to the Section Mental Health)
Show Figures

Figure 1

12 pages, 439 KB  
Article
Perinatal Outcomes in Mexican Women with a History of Myomectomy: A Retrospective Cohort Study
by Fela Vanesa Morales-Hernández, Jocelyn Andrea Almada-Balderrama, Andrea Alicia Olguín-Ortega, Pilar de Abiega-Franyutti, Enrique Reyes-Muñoz and Myrna Souraye Godines-Enriquez
J. Clin. Med. 2025, 14(21), 7677; https://doi.org/10.3390/jcm14217677 - 29 Oct 2025
Viewed by 192
Abstract
Background/Objectives: Myomectomy is the preferred treatment for women with uterine fibroids who desire to preserve their fertility. This study aimed to compare perinatal outcomes between Mexican women with and without a history of myomectomy, matched in a 1:2 ratio based on maternal [...] Read more.
Background/Objectives: Myomectomy is the preferred treatment for women with uterine fibroids who desire to preserve their fertility. This study aimed to compare perinatal outcomes between Mexican women with and without a history of myomectomy, matched in a 1:2 ratio based on maternal age and parity. Methods: A retrospective cohort study was conducted involving women with and without a history of myomectomy who received prenatal care and delivered at a tertiary care hospital in Mexico City. Women with comorbidities such as pregestational diabetes, chronic hypertension, autoimmune diseases, nephropathy, cardiomyopathy, and cancer were excluded from the study. Group 1 consisted of women with a history of myomectomy, and Group 2 included matched women without such a history. The following perinatal outcomes were evaluated: miscarriage, preterm birth, cesarean section, obstetric hemorrhage, placenta previa, surgical adhesions, and obstetric hysterectomy. Adjusted relative risk (aRR) with 95% confidence intervals (CI) was calculated. Results: A total of 122 women were analyzed in group 1, and 244 in group 2. The risk of obstetric hemorrhage aRR 7.5 (95% CI 3.9–11.9), surgical adhesions aRR 11.8 (5.3–20.7), and placenta accreta aRR 15.3 (1.3–111) were significantly higher in Group 1 compared to Group 2. Other outcomes, including miscarriage, preterm birth, cesarean section, placenta previa, and obstetric hysterectomy, were similar between groups. Conclusions: Mexican pregnant women with a history of myomectomy have a higher risk of obstetric hemorrhage, surgical adhesions, and placenta accreta compared to those without such a history. Full article
Show Figures

Figure 1

11 pages, 226 KB  
Article
Arterial Stiffness in Kidney Transplant Recipients: A Cross-Sectional Tunisian Study
by Hiba Ghabi, Amira Khemiri, Ikram Mami, Syrine Tlili, Jihen Sahli, Fethi Ben Hmida, Lamia Rais and Mouhamed Karim Zouaghi
Transplantology 2025, 6(4), 32; https://doi.org/10.3390/transplantology6040032 - 29 Oct 2025
Viewed by 140
Abstract
Background: Arterial stiffness assessed by measuring pulse wave velocity (PWV) is a well-established predictor of cardiovascular mortality. To our knowledge, no studies on arterial stiffness in kidney transplant recipients (KTRs) from Tunisia have been conducted. The present study aimed to assess arterial stiffness [...] Read more.
Background: Arterial stiffness assessed by measuring pulse wave velocity (PWV) is a well-established predictor of cardiovascular mortality. To our knowledge, no studies on arterial stiffness in kidney transplant recipients (KTRs) from Tunisia have been conducted. The present study aimed to assess arterial stiffness in Tunisian KTRs and to identify the key predictors associated with its increase. Methods: We conducted a cross-sectional, single-center study enrolling Tunisian KTRs aged 18 years or older with a minimum post-transplant follow-up of six months. Arterial stiffness was measured as pulse carotid–femoral PWV (CF-PWV) by a Complior device. A CF-PWV ≥ 10 m/s was defined as elevated. Results: Fifty-four KTRs were included (mean age: 42.55 ± 10.61 years). Among them, 19 (35.2%) had a CF-PWV ≥ 10 m/s. The univariate analysis showed a significant association between elevated CF-PWV and the following parameters: age, hypertension prior to transplantation, dyslipidemia, donor age, parameters obtained through office blood pressure measurement (systolic blood pressure (SBP), diastolic blood pressure (DBP), and pulse pressure (PP)), central SBP recorded by the Complior device, nocturnal SBP obtained through 24 h ambulatory blood pressure monitoring (ABPM), and fasting blood glucose. A multivariable analysis with CF-PWV ≥ 10 m/s as a dependent variable retained the following independent factors: dyslipidemia (p = 0.015; OR = 60.32), donor age (p = 0.014; OR = 1.16), SBP obtained through office blood pressure measurement (p = 0.015; OR = 1.25), and fasting blood glucose (p = 0.034; OR = 22.35). Conclusions: Given the major impact of cardiovascular disease on post-transplant outcomes, understanding the determinants of arterial stiffness is crucial for improving patient care. Routine PWV assessment may not be feasible in all centers due to cost or limited equipment availability. Therefore, identifying the clinical and biological markers associated with arterial stiffness offers a low-cost and widely accessible alternative for evaluating cardiovascular risk. These findings may support the development of a simple risk score to help nephrologists detect and manage high-risk KTRs more effectively. Full article
(This article belongs to the Section Solid Organ Transplantation)
17 pages, 1161 KB  
Article
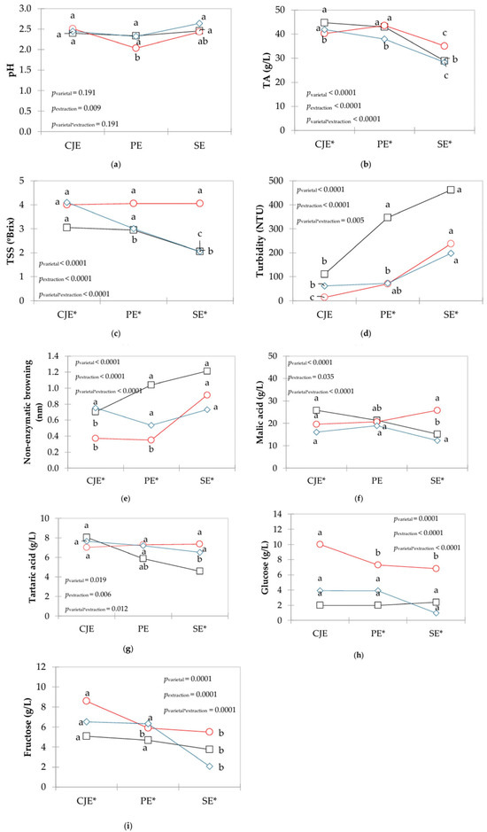
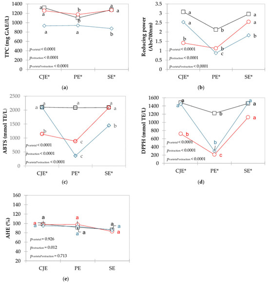
Chemical and Biochemical Properties of Verjuice Obtained from Vitis labrusca Grapes by Using Different Extraction Methods
by Letícia da Silva Soares, Voltaire Sant’Anna, Fernanda Leal Leães, Fernanda Hart Weber, Júnior Mendes Furlan, Naiara Jacinta Clerici, Adriano Brandelli, Ludmylla Tamara Crepalde and Amanda Dupas de Matos
Appl. Sci. 2025, 15(21), 11531; https://doi.org/10.3390/app152111531 - 28 Oct 2025
Viewed by 211
Abstract
Verjuice, a green grape juice traditionally produced from grapes obtained through thinning, represents a sustainable alternative for the utilization of viticulture by-products. No standardized methods of production are utilized to make verjuice, highlighting the need for further research. This study evaluated three extraction [...] Read more.
Verjuice, a green grape juice traditionally produced from grapes obtained through thinning, represents a sustainable alternative for the utilization of viticulture by-products. No standardized methods of production are utilized to make verjuice, highlighting the need for further research. This study evaluated three extraction methods—pressing extraction (PE), steam extraction (SE), and centrifuge juicer extraction (CJE)—to produce verjuice from three Vitis labrusca varietals (Bordô, Concord, and White Niágara). Physicochemical parameters, volatile compounds (VOC), total polyphenol content, antioxidant and anti-hypertensive activities were analyzed. Extraction method and grape varietal influenced physicochemical composition, antioxidant capacity, and VOC. The SE method resulted in higher yields but lower polyphenolic content, while the CJE was more efficient in extracting phenolic compounds and preserving antioxidant properties. Higher concentrations of malic acid were observed in verjuice extracted by PE and CJE methods from Bordô and Concord grapes, while higher tartaric acid content was found in Bordô and Niágara grapes extracted by CJE. Within grapes, verjuices presented wider volatile profile than those described in the literature, and CJE and PE methods yielded higher amounts of VOC. Thus, V. labrusca presents great potential to produce verjuices and CJE shows to be an efficient alternative to the pressing method. Full article
(This article belongs to the Special Issue Valorization of Agri-Food Waste Biomass)
Show Figures

Figure 1

19 pages, 595 KB  
Article
Infectious Diseases in the Context of the War in Ukraine: Refugee Health Implications in Romania
by Olga Adriana Caliman-Sturdza, Roxana Gheorghita, Monica Terteliu Baitan and Roxana Filip
Healthcare 2025, 13(21), 2732; https://doi.org/10.3390/healthcare13212732 - 28 Oct 2025
Viewed by 167
Abstract
Background: Refugees often face major health challenges owing to displacement, poor living conditions, limited access to healthcare, and the psychological toll of forced migration. Access to healthcare has been a major concern because of disrupted medical services, pre-existing health conditions, and integration challenges [...] Read more.
Background: Refugees often face major health challenges owing to displacement, poor living conditions, limited access to healthcare, and the psychological toll of forced migration. Access to healthcare has been a major concern because of disrupted medical services, pre-existing health conditions, and integration challenges in host countries. This study aimed to evaluate the effect of infectious diseases on refugees in the context of the war in Ukraine by analyzing data from patients who accessed health services from a county hospital. Methods: We analyzed the data of Ukrainian refugees who presented for an infectious disease between February 2022 and March 2025 in the largest hospital unit in Romania located immediately near the border with Ukraine. Results: A total of 2052 refugee patients of Ukrainian nationality presented to the Emergency Reception Unit of “St. Ioan cel Nou Suceava” for consultations; 672 patients required an evaluation by an infectious disease specialist and 48 were hospitalized in the Department of Infectious Diseases. The most common disease encountered in children was influenza, whereas the most common disease in adults was SARS-CoV-2 infection. The most frequently encountered comorbidities in pediatric patients were anemia (26.9%) and dehydration syndrome (46.2%). In adults, comorbidities included chronic obstructive pulmonary disease (18.2%), hypertension (13.6%), chronic coronary disease (4.5%), diabetes (9.1%), and chronic hepatitis (4.5%). Patients were treated with antivirals, rehydration solutions or only symptomatic treatment. Conclusions: Romania is implementing public health measures to address these challenges, focusing on vaccination and disease screening, and ensuring access to essential healthcare services. These services include access to primary care physicians, specialist consultations, hospitalization, and essential medications. Full article
Show Figures

Figure 1

19 pages, 709 KB  
Review
Salt Substitutes in Low-Income Settings: Blood Pressure Benefits, Cardiovascular Outcomes, and Safety Considerations: A Narrative Review
by Salma Younas, Harshavardhan Parvathi, Sweta Sahu, Renu Rani, Samiya Saher, Yiannis S. Chatzizisis and Maria Carolina Delgado-Lelievre
J. Vasc. Dis. 2025, 4(4), 42; https://doi.org/10.3390/jvd4040042 - 28 Oct 2025
Viewed by 224
Abstract
Background: Hypertension remains a leading cause of cardiovascular morbidity and mortality, disproportionately affecting low- and middle-income countries (LMICs), where healthcare access and awareness are limited. Excessive sodium intake, often from discretionary salt used in cooking, contributes significantly to this burden. Salt substitutes, typically [...] Read more.
Background: Hypertension remains a leading cause of cardiovascular morbidity and mortality, disproportionately affecting low- and middle-income countries (LMICs), where healthcare access and awareness are limited. Excessive sodium intake, often from discretionary salt used in cooking, contributes significantly to this burden. Salt substitutes, typically formulated by partially replacing sodium chloride with potassium chloride or other minerals, offer a cost-effective dietary intervention to lower blood pressure (BP) and reduce cardiovascular risk, particularly in resource-constrained settings. Objective: This review examines the efficacy of low-sodium salt substitutes (LSSS) in reducing blood pressure (BP) and its effects on cardiovascular (CV) outcomes, safety concerns, and challenges to their implementation in LMICs. Methods: We conducted a comprehensive narrative review of studies published between 1994 and 2024 using PubMed, Embase, and Scopus databases. Eligible studies included randomized controlled trials, systematic reviews, observational studies, and implementation research that evaluated the effects of LSSS on BP, CV outcomes, safety, and feasibility in LMIC contexts. Thematic synthesis was used to summarize the findings. Key Findings: Salt substitutes consistently lowered systolic and diastolic BP across diverse populations, with mean reductions ranging from 3 to 5 mmHg. Trials have also demonstrated reductions in stroke incidence, CV events, and all-cause mortality. However, the benefits were mostly derived from studies conducted in China and other upper-middle-income settings. Safety concerns (particularly hyperkalemia in individuals with chronic kidney disease or RAAS inhibitors) warrant targeted risk screening and public education. Implementation barriers in LMICs include cost, limited availability, poor awareness, and a lack of regulatory oversight. Conclusions: Salt substitutes present a promising, scalable strategy to reduce BP and CV disease burden in LMICs. However, their adoption must be context-specific, culturally sensitive, and supported by government subsidies, regulatory frameworks, and educational campaigns. Future trials should evaluate the long-term safety and cost-effectiveness in underrepresented LMIC populations to guide equitable public health interventions. Full article
(This article belongs to the Section Cardiovascular Diseases)
Show Figures

Graphical abstract

12 pages, 243 KB  
Article
Maternal Vitamin D Status, Gestational Hypertension, and Preeclampsia: A Cross-Sectional Study in Urban Greece
by Artemisia Kokkinari, Kleanthi Gourounti, Maria Dagla, Nikoleta Tsinisizeli and Georgios Iatrakis
Biomedicines 2025, 13(11), 2624; https://doi.org/10.3390/biomedicines13112624 - 27 Oct 2025
Viewed by 656
Abstract
Background: Evidence linking maternal vitamin D status with gestational hypertensive disorders and neonatal outcomes in Southern Europe remains limited. We evaluated maternal and cord 25-hydroxyvitamin D [25(OH)D] at birth in an urban Greek cohort and examined associations with gestational hypertension and preeclampsia. [...] Read more.
Background: Evidence linking maternal vitamin D status with gestational hypertensive disorders and neonatal outcomes in Southern Europe remains limited. We evaluated maternal and cord 25-hydroxyvitamin D [25(OH)D] at birth in an urban Greek cohort and examined associations with gestational hypertension and preeclampsia. Methods: We conducted a cross-sectional study of 248 mother–infant dyads delivering at Tzaneio General Hospital of Piraeus, Greece. Eligible participants were of Greek origin or long-term residents (>10 years). Maternal venous and umbilical cord blood were obtained at birth and analyzed for serum 25(OH)D. Postpartum questionnaires captured sun exposure, supplement use, and selected lifestyle factors; clinical and obstetric data, including diagnoses of gestational hypertension and preeclampsia, were abstracted from medical records. We classified 25(OH)D as deficient (<20 ng/mL), insufficient (20–29 ng/mL), and, for risk-stratified analyses, treated values < 30 ng/mL as low. Results: Maternal 25(OH)D concentrations varied seasonally (winter 16.96 ± 9.60 ng/mL; summer 24.22 ± 12.57 ng/mL) and correlated with cord concentrations (r = 0.80). Most mothers (75–89%) had <30 ng/mL across seasons, and 73% of neonates were <20 ng/mL despite supplementation. Gestational hypertension occurred in 29/248 (11.7%) and preeclampsia in 15/248 (6.0%), with low maternal 25(OH)D common among affected women. Conclusions: In this cross-sectional study of an urban Mediterranean population, hypovitaminosis D was highly prevalent among mothers and neonates, with seasonal variation and clustering among hypertensive pregnancies. These findings support prenatal care strategies beyond fixed supplementation, incorporating season- and environment-sensitive dosing with screening and dietary counseling. Prospective studies are needed to clarify causality and refine supplementation targets. Full article
(This article belongs to the Special Issue Maternal-Fetal and Neonatal Medicine)
11 pages, 537 KB  
Article
Comparison of SCORE, SCORE2 and Framingham Risk Score-Based Methods for Vascular Age Calculation
by Helga Gyöngyösi, Beáta Kőrösi, Dóra Batta, Zsófia Nemcsik-Bencze, Andrea László, Péter Torzsa, Dániel Eörsi, Johanna Takács and János Nemcsik
J. Clin. Med. 2025, 14(21), 7570; https://doi.org/10.3390/jcm14217570 - 25 Oct 2025
Viewed by 254
Abstract
Background/objectives: Calculation of vascular age can help patients to understand the importance of adherence to a healthy lifestyle and medications. There are different methods of calculating vascular age, but different methods can provide different vascular age results. Our aim was to evaluate vascular [...] Read more.
Background/objectives: Calculation of vascular age can help patients to understand the importance of adherence to a healthy lifestyle and medications. There are different methods of calculating vascular age, but different methods can provide different vascular age results. Our aim was to evaluate vascular age based on the Systematic Coronary Risk Evaluation (SCORE), Systematic Coronary Risk Evaluation 2 (SCORE 2) and Framingham Risk Score (FRS) methods. Methods: Subjects between the ages of 40–65 were involved. Vascular ages were defined based on SCORE, SCORE2 and FRS methods according to data from the literature. Results: In total, 141 patients were involved in the study; among them 94 had hypertension (HT) and 23 had white-coat hypertension. In the total population, SCORE2 and FRS vascular ages were higher compared to chronological age. SCORE2 and FRS vascular ages were higher than SCORE vascular age, and FRS vascular age was higher compared to SCORE2 as well. These tendencies were the same in the case of hypertensive patients and in patients with white-coat hypertension. In healthy patients, there were no differences between chronological age and vascular age. Conclusions: The differences found between the calculated vascular ages and the proportion of subjects with elevated vascular age warrant further comparison of different vascular age calculation methods. Full article
(This article belongs to the Section Vascular Medicine)
Show Figures

Figure 1

20 pages, 4435 KB  
Article
Impact of a Lifestyle Intervention on Gut Microbiome Composition: A Quasi-Controlled Before-and-After Analysis
by Fatma Shehata, Karen M. Dwyer, Michael Axtens, Sean L. McGee and Leni R. Rivera
Metabolites 2025, 15(11), 692; https://doi.org/10.3390/metabo15110692 - 24 Oct 2025
Viewed by 418
Abstract
Background: The human gastrointestinal tract harbors a complex microbiota that plays a vital role in metabolic health. Dysbiosis of the gut microbiome has been linked to metabolic syndrome (MetS), a growing health concern characterized by obesity, hypertension, and dyslipidemia, all of which [...] Read more.
Background: The human gastrointestinal tract harbors a complex microbiota that plays a vital role in metabolic health. Dysbiosis of the gut microbiome has been linked to metabolic syndrome (MetS), a growing health concern characterized by obesity, hypertension, and dyslipidemia, all of which are strongly associated with insulin resistance and low-grade inflammation. This study aimed to analyze changes in gut microbiome composition and metabolic parameters in individuals with MetS following a 3-month shared medical appointment program driven by a patient-centered agenda with an emphasis on lifestyle pillars of diet, activity, sleep, and stress management. Methods: Thirty-six individuals with MetS were recruited. Of these, 14 completed a structured metabolic health program with facilitated group appointments, including personalized dietary adjustments, increased physical activity, stress management, and clinical monitoring, while 22 served as an untreated group. Fecal samples were collected for full-length 16S rRNA sequencing. Clinical and biochemical parameters, including body weight, blood pressure, HbA1c, triglycerides, and liver enzymes, were assessed. Microbiome data were analyzed for alpha and beta diversity and differential abundance. Correlations between microbial genera and clinical parameters were evaluated using Spearman correlation. Results: Post-intervention, significant improvements were observed in body weight (p = 0.0061), HbA1c (p = 0.033), triglycerides (p = 0.047), AST (p = 0.016), and systolic blood pressure (p = 0.020). Alpha and beta diversity of the gut microbiome showed no significant changes. However, differential abundance analysis revealed increased levels of butyrate-producing and anti-inflammatory genera including Duncaniella, Megasphaera, Pseudoruminococcus, and Oliverpabstia. Conclusions: A 3-month lifestyle intervention in individuals with MetS was associated with marked improvements in metabolic health and beneficial shifts in gut microbiota composition. These findings suggest that even small lifestyle modifications may be a potential therapeutic target for metabolic syndrome management, highlighting the need for personalized approaches in future research. Full article
(This article belongs to the Special Issue Diet, Gut Microbiota and Metabolic Health)
Show Figures

Graphical abstract

27 pages, 1153 KB  
Review
The Use of Ultrasound Imaging in Continuous Blood Vessel Area and Velocity Data Acquisition for Determining the Local Pulse Wave Velocity
by Victoria Charlotte Wei Yi Ng, Hwa Liang Leo and Yoke-Rung Wong
J. Clin. Med. 2025, 14(21), 7550; https://doi.org/10.3390/jcm14217550 - 24 Oct 2025
Viewed by 228
Abstract
Pulse wave velocity (PWV) is a useful biomarker in the monitoring and risk stratification of various cardiovascular diseases including hypertension. The current gold standard for non-invasive measurement is carotid-femoral PWV (cfPWV) measurement via direct tonometry. However, cfPWV provides only a global PWV measure, [...] Read more.
Pulse wave velocity (PWV) is a useful biomarker in the monitoring and risk stratification of various cardiovascular diseases including hypertension. The current gold standard for non-invasive measurement is carotid-femoral PWV (cfPWV) measurement via direct tonometry. However, cfPWV provides only a global PWV measure, which emphasises the need for an alternative capable of local PWV assessment. There are several alternatives for local PWV measurement proposed in the literature and one promising alternative is ultrasound, which offers good penetration depth, accessibility, and a relatively low cost, making it well-suited for non-invasive, real-time acquisition of haemodynamic parameters for PWV estimation. This paper aims to evaluate the different approaches for ultrasound-based acquisition while considering technical and physiological constraints to optimise the accuracy, reliability, and reproducibility of the parameters collected for estimation. In particular, this paper focuses on the flow-area (QA) and lnDiameter-velocity (lnDU) methods, which require local area and velocity data for PWV estimation. Accordingly, this paper discusses the use of ultrasound imaging in vessel data acquisition, highlights various challenges and considerations to be managed during acquisition and processing, outlines the different ultrasound-based imaging modalities for acquiring area and velocity data, and compares the simultaneous and non-simultaneous acquisition of data for PWV estimation. Full article
(This article belongs to the Section Vascular Medicine)
Show Figures

Figure 1

15 pages, 380 KB  
Article
The Incidence of Pulmonary Hypertension and the Association with Bronchopulmonary Dysplasia in Preterm Infants of Extremely Low Gestational Age: Single Centre Study at the Maternity Hospital of University Medical Centre Ljubljana, Slovenia
by Tomaž Križnar, Štefan Grosek and Tina Perme
Children 2025, 12(11), 1441; https://doi.org/10.3390/children12111441 - 24 Oct 2025
Viewed by 193
Abstract
Background: Pulmonary hypertension (PH) occurs in ~25% of infants with moderate-to-severe bronchopulmonary dysplasia (BPD) and is associated with substantial morbidity and mortality. The American Heart Association and American Thoracic Society recommend routine echocardiographic screening for PH in preterm infants with BPD at [...] Read more.
Background: Pulmonary hypertension (PH) occurs in ~25% of infants with moderate-to-severe bronchopulmonary dysplasia (BPD) and is associated with substantial morbidity and mortality. The American Heart Association and American Thoracic Society recommend routine echocardiographic screening for PH in preterm infants with BPD at 36 weeks’ postmenstrual age (PMA), yet the true incidence remains unclear owing to non-uniform diagnostic criteria. Emerging evidence suggests a potential role for earlier screening. Objectives: (i) to determine the incidence of pulmonary hypertension (PH) and bronchopulmonary dysplasia (BPD) in preterm infants of extremely low gestational age; (ii) to determine the incidence of PH among infants diagnosed with BPD (BPD-PH); and (iii) to evaluate the utility of early screening at 7 days of life and late screening at discharge in relation to subsequent BPD. Methods: We conducted a prospective cohort study of all infants born at 22 + 0 to 28 + 6 weeks’ gestation and admitted to our tertiary NICU between 1 September 2022 and 31 December 2024. Clinical and echocardiographic assessments for PH and BPD were performed by neonatologists trained in neonatal echocardiography. Results: Seventy-eight infants born at 22 + 0–28 + 6 weeks’ gestation were enrolled; 71 underwent early screening and 57 underwent late screening. Early echocardiography at day 7 and late screening at discharge identified no cases of PH. PH was diagnosed clinically and/or echocardiographically in 10 infants before day 7 and in one infant at 38 weeks’ PMA. BPD developed in 42 of 57 infants (73.7%). Conclusions: In this cohort of extremely low-gestational-age infants, echocardiographic screening performed by neonatologists detected no PH at day 7 and only one case at late screening (at 38 weeks’ PMA/before discharge). Most PH was identified prior to day 7 on clinical and/or echocardiographic grounds. Full article
Show Figures

Figure 1

Back to TopTop