Sign in to use this feature.

Years

Between: -

Subjects

remove_circle_outline
remove_circle_outline
remove_circle_outline
remove_circle_outline
remove_circle_outline
remove_circle_outline
remove_circle_outline

Journals

Article Types

Countries / Regions

Search Results (65)

Search Parameters:
Keywords = hyperostosis

Order results
Result details
Results per page
Select all
Export citation of selected articles as:
18 pages, 2581 KB  
Article
Enhancing Approaches to Detect Papilloma-Associated Hyperostosis Using a Few-Shot Transfer Learning Framework in Extremely Scarce Radiological Datasets
by Pham Huu Duy, Nguyen Minh Trieu and Nguyen Truong Thinh
Diagnostics 2026, 16(2), 311; https://doi.org/10.3390/diagnostics16020311 - 18 Jan 2026
Viewed by 326
Abstract
Background/Objectives: The application of deep learning models for rare diseases faces significant difficulties due to severe data scarcity. The detection of focal hyperostosis (PAH) is a crucial radiological sign for the surgical planning of sinonasal inverted papilloma, yet data is often limited. This [...] Read more.
Background/Objectives: The application of deep learning models for rare diseases faces significant difficulties due to severe data scarcity. The detection of focal hyperostosis (PAH) is a crucial radiological sign for the surgical planning of sinonasal inverted papilloma, yet data is often limited. This study introduces and validates a robust methodological framework for building clinically meaningful deep learning models under extremely limited data conditions (n = 20). Methods: We propose a few-shot learning framework based on the nnU-Net architecture, which integrates an in-domain transfer learning strategy (fine-tuning a pre-trained skull segmentation model) to address data scarcity. To further enhance robustness, a specialized data augmentation technique called “window shifting” is introduced to simulate inter-scanner variability. The entire framework was evaluated using a rigorous 5-fold cross-validation strategy. Results: Our proposed framework achieved a stable mean Dice Similarity Coefficient (DSC) of 0.48 ± 0.06. This performance significantly outperformed a baseline model trained from scratch, which failed to converge and yielded a clinically insignificant mean DSC of 0.09 ± 0.02. Conclusions: The analysis demonstrates that this methodological approach effectively overcomes instability and overfitting, generating reproducible and valuable predictions suitable for rare data types where large-scale data collection is not feasible. Full article
(This article belongs to the Special Issue Deep Learning Techniques for Medical Image Analysis)
Show Figures

Figure 1

13 pages, 2376 KB  
Article
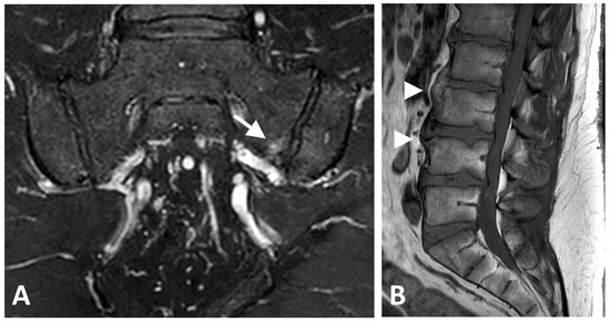
Whole Spine and Sacroiliac Joint MRI of Patients With and Without Metabolic Syndrome: A Preliminary Study
by Amir Bieber, Shay Brikman, Mohamad Nujeidat, Irina Novofasovsky, Reuven Mader and Iris Eshed
Diagnostics 2026, 16(1), 108; https://doi.org/10.3390/diagnostics16010108 - 29 Dec 2025
Viewed by 516
Abstract
Background: MRIs of spine Diffuse Idiopathic Skeletal Hyperostosis (DISH) demonstrate inflammation-related lesions such as bone marrow edema (BME) and fatty lesions in vertebral corners. DISH is known to be associated with metabolic syndrome (MeS). Spinal MRI lesions in patients with metabolic syndrome (MeS) [...] Read more.
Background: MRIs of spine Diffuse Idiopathic Skeletal Hyperostosis (DISH) demonstrate inflammation-related lesions such as bone marrow edema (BME) and fatty lesions in vertebral corners. DISH is known to be associated with metabolic syndrome (MeS). Spinal MRI lesions in patients with metabolic syndrome (MeS) alone were not described. Aim: To characterize spine and sacroiliac MRI lesions among patients with MeS. Methods: This study is a small preliminary cross-sectional case–control study. Study groups were defined as patients with and without MeS. All patients were between 40 and 50 years of age and did not have DISH by chest radiography or CT. All patients underwent whole-spine and sacroiliac joint MRI. MRI was scored by a radiologist blinded to the patient’s clinical data for the presence of BME, fat lesion, sclerosis, ankylosis, erosions, enthesitis, and capsulitis. Groups were compared for the prevalence of each lesion, and scores were calculated for inflammatory and structural scores. Clinical data regarding MeS was also collected. Results: Twenty-four patients were included (twelve male; mean age: 45 years at imaging); fifteen with and nine without MeS. Patients in the MeS study group had significantly more MRI lesions, reflected as a higher total sum lesion score (p = 0.013), a higher fat lesion score (p = 0.013), and a higher total structural lesion score (p = 0.014). Also, each of the MeS components was significantly associated with higher MRI scores. Conclusions: Significantly higher spinal and sacroiliac scores of both inflammatory- and structural-related lesions were present on MRI of MeS patients compared to patients without MeS. Full article
(This article belongs to the Section Medical Imaging and Theranostics)
Show Figures

Figure 1

9 pages, 434 KB  
Article
Vertebral Ankylosis Is Associated with Reduced Cervical Extensor Muscle Bulk and Increased Fatty Degeneration
by Junho Song, Austen D. Katz, Alex Ngan, Andrew C. Hecht, Sheeraz A. Qureshi and Sohrab Virk
J. Clin. Med. 2026, 15(1), 119; https://doi.org/10.3390/jcm15010119 - 24 Dec 2025
Viewed by 560
Abstract
Background/Objectives: Ankylosing spondylitis and diffuse idiopathic skeletal hyperostosis produce long-segment spinal ankylosis, altered biomechanics, and high fracture risk in the cervical spine. Paraspinal muscle degeneration (“spine-specific sarcopenia”) has been linked to pain, disability, and worse outcomes after cervical spine surgery, but the relationship [...] Read more.
Background/Objectives: Ankylosing spondylitis and diffuse idiopathic skeletal hyperostosis produce long-segment spinal ankylosis, altered biomechanics, and high fracture risk in the cervical spine. Paraspinal muscle degeneration (“spine-specific sarcopenia”) has been linked to pain, disability, and worse outcomes after cervical spine surgery, but the relationship between vertebral ankylosis and cervical paraspinal muscle health is unknown. We aimed to evaluate the association between vertebral ankylosis and cervical paraspinal muscle health using MRI-based measures of muscle quantity and quality. Methods: Adult patients with cervical vertebral ankylosis and available cervical MRI were identified at a single academic center and propensity score-matched 1:1 to patients without ankylosing conditions based on age, sex, body mass index, American Society of Anesthesiologists class, and comorbidity index. Axial T2-weighted images at C2-3 through C7-T1 were used to manually trace bilateral deep extensor and deep flexor muscles to obtain bilateral cross-sectional areas (CSAs) at each level. Extensor fatty infiltration was graded using the Goutallier classification. CSAs and Goutallier grades were compared between the matched groups. Results: Compared with matched controls, patients with vertebral ankylosis demonstrated significantly smaller deep extensor CSA at multiple cervical levels and higher Goutallier grades in the lower cervical spine and at the cervicothoracic junction. Deep flexor CSA tended to be smaller in the ankylosis group, but differences did not reach statistical significance. Conclusions: Vertebral ankylosis is associated with poorer cervical paraspinal muscle health, characterized by reduced extensor muscle bulk and increased fatty degeneration. These findings support conceptualizing ankylosing spinal conditions as disorders of both bone and muscle and highlight the cervicothoracic extensors as a potential target for risk stratification and rehabilitation strategies. Full article
(This article belongs to the Special Issue Spine Surgery: Clinical Advances and Practice Updates)
Show Figures

Figure 1

6 pages, 2324 KB  
Interesting Images
Diagnosing Dysphagia in Forestier Syndrome: A Dynamic Digital Radiology Application
by Michaela Cellina, Daniele Bongetta, Carlo Martinenghi and Giancarlo Oliva
Diagnostics 2025, 15(23), 3020; https://doi.org/10.3390/diagnostics15233020 - 27 Nov 2025
Viewed by 509
Abstract
Diffuse idiopathic skeletal hyperostosis (DISH), or Forestier’s disease, is a non-inflammatory condition characterized by the calcification and ossification of spinal ligaments and entheses, especially the anterior longitudinal ligament. Its prevalence increases with age and it is more common in males. The term DISH [...] Read more.
Diffuse idiopathic skeletal hyperostosis (DISH), or Forestier’s disease, is a non-inflammatory condition characterized by the calcification and ossification of spinal ligaments and entheses, especially the anterior longitudinal ligament. Its prevalence increases with age and it is more common in males. The term DISH usually refers to the imaging aspects of this condition, while “Forestier’s disease” is used for the clinical correlates of the condition, especially the development of dysphagia. Diagnosis is usually made with conventional radiography, based on the Resnick and Niwayama criteria: flowing osteophytes over at least four contiguous vertebral bodies, the preservation of intervertebral disk space, absent facet and costovertebral joint ankylosis, and absent sacroiliac joint abnormalities. A “melted candle wax” appearance along the spine is typical of the advanced disease. Large anterior osteophytes in the cervical spine lead not only to stiffness and chronic neck pain, but also to compressive symptoms such as dysphagia, dysphonia, and even airway compromise. Digital Dynamic Radiography (DDR), thanks to a flat-panel detector system, captures high-temporal resolution sequential low-dose radiographs at high frame rates in dynamic motion studies to provide functional information. We report the case of a 50-year-old female patient diagnosed with Forestier’s disease. Cervical radiography showed coarse anterior osteophytes and calcifications typical of DISH. The patient complained about persistent cervical pain and significant dysphagia. To investigate the underlying mechanism, a DDR with barium oral administration was performed. The examination confirmed the mechanical narrowing of the pharyngeal lumen caused by bulky anterior osteophytes. Given the severity of the symptoms, the patient underwent a surgical resection of the osteophytic and calcified components, with a subsequent improvement of swallowing function. This case highlights how DDR provides functional and morphological information in patients with dysphagia related to cervical DISH. Full article
(This article belongs to the Section Medical Imaging and Theranostics)
Show Figures

Figure 1

8 pages, 1445 KB  
Case Report
Unilateral Vocal Cord Paresis Caused by Diffuse Idiopathic Skeletal Hyperostosis: Case Report and Literature Review
by Emily Kwon, Michael Moentmann, Hugo Bueno, Wayne Hsueh and Rachel Kaye
J. Otorhinolaryngol. Hear. Balance Med. 2025, 6(2), 20; https://doi.org/10.3390/ohbm6020020 - 6 Nov 2025
Viewed by 859
Abstract
Background/Objectives: Diffuse idiopathic skeletal hyperostosis (DISH) is characterized by calcification and ossification of ligaments and tendons, primarily affecting the spine. While often asymptomatic, DISH in the cervical spine can cause dysphagia and, more rarely, vocal cord paralysis due to compression of the recurrent [...] Read more.
Background/Objectives: Diffuse idiopathic skeletal hyperostosis (DISH) is characterized by calcification and ossification of ligaments and tendons, primarily affecting the spine. While often asymptomatic, DISH in the cervical spine can cause dysphagia and, more rarely, vocal cord paralysis due to compression of the recurrent laryngeal nerve at the cricothyroid joint. Here, we report cases of unilateral vocal fold paresis in two patients with DISH. Case Presentation: Our first case is an 80-year-old male presented with two months of dysphonia. Strobovideolaryngoscopy found left vocal fold paresis with glottic insufficiency. Computed Tomography (CT) imaging showed DISH with large anteriorly projecting osteophytes in the cervical spine causing rightward deviation of the laryngeal structures and compressing the cricothyroid joint. Second, a 30-year-old female with Turner Syndrome and subglottic stenosis who developed progressively worsening dysphonia over 6 months, characterized by diminished voice projection and clarity. Strobovideolaryngoscopy revealed a mild-to-moderate right vocal fold paresis. CT of the neck demonstrated multiple right-sided osteophytes projecting into the right tracheoesophageal groove, along the course of the right recurrent laryngeal nerve, in the absence of significant disc degeneration. Discussion and Conclusions: On our review of the literature, no other similar instances of unilateral vocal fold paresis were found. We present these cases to emphasize the need for early recognition and treatment to prevent symptom progression of DISH. Full article
(This article belongs to the Section Laryngology and Rhinology)
Show Figures

Figure 1

16 pages, 1030 KB  
Article
Hyperostosis Cranii Ex Vacuo in Shunted Children: A Proposed Fifth Subtype of CSF Overdrainage Syndrome
by Mateusz Zajączkowski, Łukasz Klasa, Olga Milczarek and Stanisław Kwiatkowski
Int. J. Transl. Med. 2025, 5(4), 51; https://doi.org/10.3390/ijtm5040051 - 28 Oct 2025
Viewed by 1263
Abstract
Background: Cerebrospinal fluid (CSF) shunting remains a crucial intervention in the treatment of paediatric hydrocephalus. Overdrainage syndrome is a well-recognised but potentially severe complication, in which hyperostosis cranii ex vacuo—diffuse thickening of the cranial bones—emerges as an adaptive response to chronic intracranial hypotension. [...] Read more.
Background: Cerebrospinal fluid (CSF) shunting remains a crucial intervention in the treatment of paediatric hydrocephalus. Overdrainage syndrome is a well-recognised but potentially severe complication, in which hyperostosis cranii ex vacuo—diffuse thickening of the cranial bones—emerges as an adaptive response to chronic intracranial hypotension. Currently, no established diagnostic criteria exist to reliably identify and classify this phenomenon, nor are there defined strategies to prevent associated complications of reduced intracranial compliance. Objective: This study aimed to characterise the morphoradiological and clinical phenotype of hyperostosis cranii ex vacuo in paediatric patients with long-term shunt dependency and to propose its classification as a fifth subtype of CSF overdrainage syndrome with direct implications for long-term neurosurgical care. Methods: A retrospective observational study was conducted on nine paediatric patients with radiologically confirmed diffuse calvarial thickening secondary to surgical treatment of hydrocephalus. Quantitative morphometric analysis of frontal, parietal, and occipital bones, sella turcica dimensions, and dural enhancement was performed using high-resolution neuroimaging. Clinical records were reviewed for hydrocephalus aetiology, shunt revision history, and neurological impairment. Results: All patients exhibited a mean two-fold increase in age-adjusted calvarial thickness. Premature craniosynostosis was identified in 33.3% of cases. Diffuse pachymeningeal enhancement was noted in all patients with contrast-enhanced imaging. Neurological comorbidities included epilepsy, spastic paraparesis, and features of Chiari type I malformation. Conclusions: Hyperostosis cranii ex vacuo represents a distinct and underrecognised consequence of chronic CSF overdrainage. We propose preliminary diagnostic criteria and a structured management pathway—from radiological recognition through ICP assessment to tiered surgical intervention. Formal recognition of this entity as a fifth subtype of CSF overdrainage syndrome may enhance early diagnosis, improve risk stratification, and guide long-term surveillance of shunted children. Full article
Show Figures

Figure 1

9 pages, 951 KB  
Article
Clinical Outcomes of Transdiscal Screws for Thoracolumbar Spinal Fractures with Marked Anterior Distraction Gap Accompanied by Diffuse Idiopathic Skeletal Hyperostosis
by Ryo Ugawa, Yoshihiro Fujiwara and Toshiyuki Matsumoto
Medicina 2025, 61(10), 1874; https://doi.org/10.3390/medicina61101874 - 19 Oct 2025
Viewed by 831
Abstract
Background and Objectives: Diffuse idiopathic skeletal hyperostosis (DISH)-related spinal fractures with marked anterior distraction are highly unstable and pose substantial surgical challenges. The transdiscal screw for diffuse idiopathic skeletal hyperostosis (TSD) technique has been proposed to enhance fixation strength by penetrating adjacent [...] Read more.
Background and Objectives: Diffuse idiopathic skeletal hyperostosis (DISH)-related spinal fractures with marked anterior distraction are highly unstable and pose substantial surgical challenges. The transdiscal screw for diffuse idiopathic skeletal hyperostosis (TSD) technique has been proposed to enhance fixation strength by penetrating adjacent vertebral endplates; however, its clinical utility in large-displacement cases remained unclear. Materials and Methods: In this retrospective study, we reviewed 21 patients with thoracolumbar DISH-related fractures and an anterior fracture gap ≥ 15 mm, who underwent posterior fixation between 2010 and 2024. 11 patients underwent TSD fixation (TSD group), and 10 underwent conventional fixation without bilateral TSD (control group). Results: The mean number of fused segments did not differ significantly between the groups (5.0 ± 1.4 vs. 5.0 ± 1.3, p = 0.43). Operative time was comparable (164 ± 57 vs. 168 ± 60 min, p = 0.90). Blood loss tended to be lower in the TSD group (306 ± 334 vs. 528 ± 658 mL, p = 0.33). For fracture-gap reduction, the TSD group improved from 17.4 ± 2.3 mm preoperatively to 13.8 ± 4.4 mm postoperatively and 2.0 ± 3.6 mm at final follow-up, while the control group showed less reduction (16.8 ± 2.2, 15.4 ± 1.4, and 7.0 ± 9.1 mm, respectively). Screw loosening occurred in three TSD patients and six controls (p = 0.13). All patients in the TSD group achieved bone union without reoperation, whereas four controls experienced implant backout, three required reoperation, and two failed to achieve bone union (p = 0.035). Conclusions: Posterior fixation using TSD provided reliable stability, maintained reduction, and reduced the risk of implant failure compared with conventional fixation in highly unstable DISH-related fractures with anterior distraction. Although larger prospective studies are needed, TSD may represent a valuable surgical option for this challenging patient population. Full article
(This article belongs to the Special Issue Spinal Surgery: Advances and Concerns)
Show Figures

Graphical abstract

11 pages, 34421 KB  
Case Report
Early Diagnosis and Follow-Up of a Novel Homozygous Mutation in SOST Gene in a Child with Recurrent Facial Palsy: A Case Report and Review of the Literature
by Fabio Acquaviva, Giorgia Bruno, Federica Palladino, Alfonso Rubino, Carmela Russo, Maria Pandolfi, Eugenio Maria Covelli, Eloisa Evangelista, Luigia De Falco, Alfonsina Tirozzi, Daniele De Brasi and Antonio Varone
Int. J. Mol. Sci. 2025, 26(17), 8175; https://doi.org/10.3390/ijms26178175 - 22 Aug 2025
Viewed by 1275
Abstract
Recurrent facial palsy is a rare event in the pediatric population, mostly idiopathic or associated with common comorbidities or, rarely, observed in syndromic conditions. However, some cases are difficult to explain and need more accurate diagnostic approaches. In this work, we describe a [...] Read more.
Recurrent facial palsy is a rare event in the pediatric population, mostly idiopathic or associated with common comorbidities or, rarely, observed in syndromic conditions. However, some cases are difficult to explain and need more accurate diagnostic approaches. In this work, we describe a pediatric case of recurrent facial palsy secondary to hyperostosis of the skull and narrowing of the neural foramina related to a SOST-related sclerosing bone dysplasia. To our knowledge, this is the first Italian case that is also related to a novel loss-of-function variant in the SOST gene. We highlight the clinical relevance of a proper early diagnosis and the need for correct monitoring of the clinical evolution, considering the natural history of the disease, to prevent/reduce severe neurological complications. Full article
Show Figures

Figure 1

9 pages, 676 KB  
Article
Do All Fractures in the Ankylotic Spine Really Require Surgical Intervention?
by Moshe Stavsky, Elad Harats, Ahmad Sharabati, Amjad Hamad, Harel Arzi, Bilal Qutteineh and Yair Barzilay
J. Clin. Med. 2025, 14(15), 5599; https://doi.org/10.3390/jcm14155599 - 7 Aug 2025
Viewed by 1454
Abstract
Background: Patients with ankylotic spines suffering from vertebral column fractures are frequently operated on to maintain spinal stability and prevent secondary displacement and nerve damage. The aim of this study was to identify a subset of patients that may be treated non-operatively, [...] Read more.
Background: Patients with ankylotic spines suffering from vertebral column fractures are frequently operated on to maintain spinal stability and prevent secondary displacement and nerve damage. The aim of this study was to identify a subset of patients that may be treated non-operatively, thus avoiding operative complications in this group of patients. Methods: Extension-type injuries in patients with DISH (diffuse idiopathic skeletal hyperostosis) not involving the posterior elements of the spine comprised the study group. Results: Twenty two extension fractures occurred in 21 patients with DISH in SZMC (Shaare Zedek Medical Cente) between 2014–2025. All patients were treated non-operatively. Patients were allowed free mobilization, and no orthosis was used. The only limitation was keeping the bed inclined to 20–30 degrees to prevent extension at the fracture site. All fractures healed uneventfully, and no patient required late surgical intervention, and no neurological complications were noted. Conclusions: Patients with DISH who sustain extension-type injuries of the thoracolumbar spine, with no involvement of the posterior elements, may be treated non-operatively, with good results. Full article
Show Figures

Figure 1

18 pages, 1790 KB  
Case Report
Genotype–Phenotype Correlation Insights in a Rare Case Presenting with Multiple Osteodysplastic Syndromes
by Christos Yapijakis, Iphigenia Gintoni, Myrsini Chamakioti, Eleni Koniari, Eleni Papanikolaou, Eva Kassi, Dimitrios Vlachakis and George P. Chrousos
Genes 2025, 16(8), 871; https://doi.org/10.3390/genes16080871 - 24 Jul 2025
Viewed by 1338
Abstract
Background: Osteodysplastic syndromes comprise a very diverse group of clinically and genetically heterogeneous disorders characterized by defects in bone and connective tissue development, as well as in bone density. Here, we report the case of a 48-year-old female with a complex medical history [...] Read more.
Background: Osteodysplastic syndromes comprise a very diverse group of clinically and genetically heterogeneous disorders characterized by defects in bone and connective tissue development, as well as in bone density. Here, we report the case of a 48-year-old female with a complex medical history characterized by bone dysplasia, hyperostosis, and partial tooth agenesis. Methods: Genetic testing was performed using WES analysis and Sanger sequencing. Molecular modeling analysis and dynamics simulation explored the impact of detected pathogenic variants. Results: The genetic analysis detected multiple pathogenic variants in genes CREB3L1, SLCO2A1, SFRP4, LRP5, and LRP6, each of which has been associated with rare osteodysplastic syndromes. The patient was homozygous for the same rare alleles associated with three of the identified autosomal recessive disorders osteogenesis imperfecta type XVI, primary hypertrophic osteoarthropathy, and metaphyseal dysplasia Pyle type. She also had a variant linked to autosomal dominant endosteal hyperostosis and a variant previously associated with increased risk of osteoporosis and bone fractures. Two of the detected variants are predicted to cause abnormal splicing, while molecular modeling and dynamics simulations analysis suggest that the other three variants probably confer altered local secondary structure and flexibility that may have functionally devastating consequences. Conclusions: Our case highlights the rare coexistence of multiple osteodysplastic syndromes in a single patient that may complicate differential diagnosis. Furthermore, this case emphasizes the necessity for early genetic investigation of such complex cases with overlying phenotypic traits, followed by genetic counseling, facilitating orchestration of clinical interventions and allowing prevention and/or prompt management of manifestations. Full article
(This article belongs to the Section Human Genomics and Genetic Diseases)
Show Figures

Figure 1

5 pages, 485 KB  
Case Report
Lifesaving Treatment for DISH Syndrome in the Tenth Decade of Patient’s Life
by Bartosz Krolicki, Victor Mandat and Tomasz S. Mandat
Geriatrics 2025, 10(4), 92; https://doi.org/10.3390/geriatrics10040092 - 7 Jul 2025
Cited by 1 | Viewed by 1581
Abstract
Background/Objectives: Diffuse idiopathic skeleton hyperostosis (DISH) is also known as Forestier–Rotes-Querol syndrome. The etiology of DISH is unknown. DISH is characterized by ossification of the anterior longitudinal ligaments of the spine. The area most frequently involved in the disease is the thoracic [...] Read more.
Background/Objectives: Diffuse idiopathic skeleton hyperostosis (DISH) is also known as Forestier–Rotes-Querol syndrome. The etiology of DISH is unknown. DISH is characterized by ossification of the anterior longitudinal ligaments of the spine. The area most frequently involved in the disease is the thoracic region of the spine. DISH in most cases is asymptomatic. If the cervical spine is involved, the most common symptoms are dysphagia and dyspnea. The ossifications in the cervical region of the spine are localized most frequently in its lower segments. Case presentation: The authors present the case of a 92-year-old cachectic female patient (body mass index (BMI) of 17; lost 13% of her body weight within the last 6 months). The patient underwent resection of the anterior osteophytes C2-T1. Results: At one-year follow up, the patient had gained weight (BMI—20) and regained her ability to consume solid products. To our knowledge, this is the oldest patient treated surgically for DISH. Conclusions: If dysphagia or dyspnea appears among elderly patients, cervical spine inspection should be conducted. If DISH is diagnosed safe, effective surgical treatment should be considered. Full article
Show Figures

Figure 1

11 pages, 285 KB  
Article
Validation of Axial Juvenile Spondyloarthropathy Criteria in Turkish Juvenile Spondyloarthropathy Patients
by Dilara Unal, Cansu Ayten Tatar, Erdal Sag, Yagmur Bayindir, Emil Aliyev, Veysel Cam, Hulya Ercan Emreol, Mehmet Orhan Erkan, Ozge Basaran, Yelda Bilginer and Seza Ozen
Diagnostics 2025, 15(12), 1498; https://doi.org/10.3390/diagnostics15121498 - 12 Jun 2025
Viewed by 868
Abstract
Background: Juvenile spondyloarthritis (JSpA) is a heterogeneous group of diseases. An international consensus group developed the axial juvenile SpA (AxJSpA) classification criteria for this purpose, defining a homogeneous group of patients diagnosed with jSpA and experiencing axial symptoms before the age of 18 [...] Read more.
Background: Juvenile spondyloarthritis (JSpA) is a heterogeneous group of diseases. An international consensus group developed the axial juvenile SpA (AxJSpA) classification criteria for this purpose, defining a homogeneous group of patients diagnosed with jSpA and experiencing axial symptoms before the age of 18 years. Aim: To validate this new set of criteria in our pediatric SpA patients. Methods: This study was held in the Hacettepe University Department of Pediatric Rheumatology. Juvenile SpA patients suspected of axial disease diagnosed and followed at the same center between 2005 and 2024 were included. Patients who had other etiologies for axial symptoms, including chronic nonbacterial osteomyelitis, mechanical back pain–overuse injuries, amplified pain/growing pains, and SAPHO syndrome (synovitis, acne, pustulosis, hyperostosis, and osteitis) served as the control group. Results: In total, 123 JSpA patients and 74 controls were included in this study. The sensitivity/specificity of the new criteria were 61%/77% with an area under curve value of 0.75 (95% CI: 0.68–0.83) in our cohort. Among different criteria sets, European Spondyloarthropathy Study Group (ESSG) criteria were the most sensitive (sensitivity/specificity 91%/68%), and ASAS peripheral criteria (Assessment of SpondyloArthritis International Society) were the most specific (sensitivity/specificity 67%/84%) in our cohort when compared to ASAS axial criteria (sensitivity/specificity 74%/65%), ILAR (International League of Associations for Rheumatology) (sensitivity/specificity 85%/81%), and ILAR + SI (sacroiliitis) (sensitivity/specificity 67%/74%) criteria. Conclusions: The area under the curve of the new AxJSpA criteria was similar to that of the original report; however, both sensitivity and specificity were lower in our cohort, possibly due to factors like earlier disease presentation and a lower prevalence of chronic structural changes on MRI. Full article
Show Figures

Figure 1

9 pages, 974 KB  
Article
The Prevalence of Maxillary and Mandibular Exostosis in the Mississippi Population: A Retrospective Study
by Landon Wilson, Dalton Snyder, Jason Griggs, Sevda Kurt-Bayrakdar, İbrahim Şevki Bayrakdar and Rohan Jagtap
Surgeries 2025, 6(1), 17; https://doi.org/10.3390/surgeries6010017 - 26 Feb 2025
Cited by 1 | Viewed by 3413
Abstract
Purpose: The objective of this study was to determine the prevalence of exostosis in the Mississippi population. Methods: The patient archives of the UMMC School of Dentistry between January 2018 and May 2021 were examined. Patients with exostosis were included in [...] Read more.
Purpose: The objective of this study was to determine the prevalence of exostosis in the Mississippi population. Methods: The patient archives of the UMMC School of Dentistry between January 2018 and May 2021 were examined. Patients with exostosis were included in the study based on the findings from intraoral photographs, full-moth series (FMS), panoramic radiographs, and cone-beam computerized tomography (CBCT) images of the patients. Patients were excluded from the study if they did not have maxillary or mandibular exostosis. In addition, each patient’s age, gender, and ethnic origins, such as Caucasian, African-American, or Asian, were recorded. All data regarding exostosis were evaluated and categorized according to age, gender, and ethnicity. Multiple logistic regression analysis was performed for more detailed statistical analysis. Results: A total of 1242 patients were examined for the presence of maxillary and mandibular tori. In total, 303 patients were diagnosed with maxillary and/or mandibular tori among the Mississippi population, with a prevalence rate of 24.4%. Exostosis was seen more in females (57.4%) compared to males (42.6%). The highest prevalence of exostosis was seen in Caucasians (71.3%), followed by African-Americans (23.8%) and Asians (5%). Conclusions: High prevalence of exostosis was seen in the Mississippi population. Our findings will help clinicians to be more aware of these bony protuberances and, thus, better at diagnosing them. This may specifically help oral surgeons, periodontists, and prosthodontists in pre-prosthodontic surgery and denture fabrication. Full article
Show Figures

Figure 1

22 pages, 1010 KB  
Review
What Is New and What Is Next for SAPHO Syndrome Management: A Narrative Review
by Mario Ferraioli, Juela Levani, Riccardo De Luca, Caterina Matucci-Cerinic, Marco Gattorno, Serena Guiducci, Silvia Bellando Randone and Maria Sole Chimenti
J. Clin. Med. 2025, 14(4), 1366; https://doi.org/10.3390/jcm14041366 - 18 Feb 2025
Cited by 11 | Viewed by 8510
Abstract
Synovitis–acne–pustulosis–hyperostosis–osteitis (SAPHO) syndrome is a rare disease characterized by a sterile inflammatory osteitis and/or arthritis associated with a wide range of dermatological manifestations, such as acne, palmoplantar pustulosis, and psoriasis. This review, providing up-to-date knowledge on this disease, aims at informing researchers and [...] Read more.
Synovitis–acne–pustulosis–hyperostosis–osteitis (SAPHO) syndrome is a rare disease characterized by a sterile inflammatory osteitis and/or arthritis associated with a wide range of dermatological manifestations, such as acne, palmoplantar pustulosis, and psoriasis. This review, providing up-to-date knowledge on this disease, aims at informing researchers and clinicians to help them program future studies in order to improve patients’ care. Due to the vast clinical heterogeneity that characterizes this disease, SAPHO syndrome has received various names; among these, chronic recurrent multifocal osteomyelitis represents the most used one. The various nomenclatures in use also reflect different approaches to its management. Indeed, considering the world-wide distribution and the vast onset age (from children to late adulthood), in addition to the multiform clinical presentation, its diagnosis and treatment are often challenging for clinicians. In this review, we provide valuable insights on SAPHO syndrome, delving into its many aspects: epidemiology, pathogenesis, clinical presentation, diagnosis, and classification. Most importantly, this paper addresses the continuously changing treatment panorama of this disease, from established drugs to newly introduced ones. Furthermore, a peculiar focus regards nonpharmacologic approaches, including traditional Chinese medicine, the apheresis technique, and surgery. Similarly, this review also discusses patients’ lifestyle, including quality of life. To improve SAPHO syndrome’s management, different knowledge gaps should be filled, such as its current epidemiology and pathogenesis. In turn, perfected knowledge in these fields could also advance research in therapy. Full article
(This article belongs to the Section Immunology & Rheumatology)
Show Figures

Figure 1

16 pages, 12366 KB  
Case Report
Biomechanical Analysis of Diffuse Idiopathic Skeletal Hyperostosis and Osteoporosis: Vertebral Fracture Risk Evaluation Using Finite Element Modeling with Clinical and Micro-CT Data in an Elderly Donor
by Guido Schröder, Thomas Mittlmeier, Steffi S. I. Falk, Andreas Götz, Josephine Kruse, Estelle Akl, Hannes Kröger, Julian Ramin Andresen, Reimer Andresen, Hans-Christof Schober and Änne Glass
Biomedicines 2024, 12(11), 2496; https://doi.org/10.3390/biomedicines12112496 - 31 Oct 2024
Cited by 1 | Viewed by 2659
Abstract
Introduction: Biomechanical analysis of spinal structures is crucial in the evaluation of injuries, the risk of fracture, and age-related changes. Osteoporotic vertebrae are very fragile and therefore constitute a serious risk, especially in the elderly. Methods: At present, clinically relevant decision making in [...] Read more.
Introduction: Biomechanical analysis of spinal structures is crucial in the evaluation of injuries, the risk of fracture, and age-related changes. Osteoporotic vertebrae are very fragile and therefore constitute a serious risk, especially in the elderly. Methods: At present, clinically relevant decision making in fracture risk assessment is predicated upon finite element analysis (FEA), which utilizes high-resolution computed tomography (CT) scans from clinical practice alongside micro-CT scans from laboratory settings. Of particular interest is the utilization of cortical vertebral body thicknesses, as meticulously measured via micro-CT. The data from a body donation over 80 years old with diffuse idiopathic skeletal hyperostosis (DISH) and osteoporosis (OP) were utilized through FEA to evaluate stresses in cortical and trabecular bone and to predict the stiffness and deformability of the examined vertebral bodies. Results: The investigation revealed a higher density of cortical and cancellous bone in vertebrae affected by DISH. Cortical density was highest in the thoracic section (median 188 µm), while cancellous bone density was 222 HU in the cervical vertebrae. The load on cortical bone increased as we progressed towards the lumbar spine; however, it remained quite constant in cancellous bone. Despite a low bone density, we registered no fractures in vertebrae. Conclusions: The data showed that DISH increased the thickness of the cortical bone and the density of the cancellous bone. The combination of increased cortical and cancellous bone density might reduce the risk of fracture in patients with low bone density. These conclusions emphasize the significance of biomechanical properties in the assessment of fracture risk and have important implications for clinical practice, particularly in relation to the prevention of vertebral fractures in osteoporotic patients with DISH. Full article
(This article belongs to the Special Issue Molecular Mechanisms and Treatments on Musculoskeletal Disorders)
Show Figures

Figure 1

Back to TopTop