Unilateral Vocal Cord Paresis Caused by Diffuse Idiopathic Skeletal Hyperostosis: Case Report and Literature Review
Abstract
1. Introduction
2. Case Report
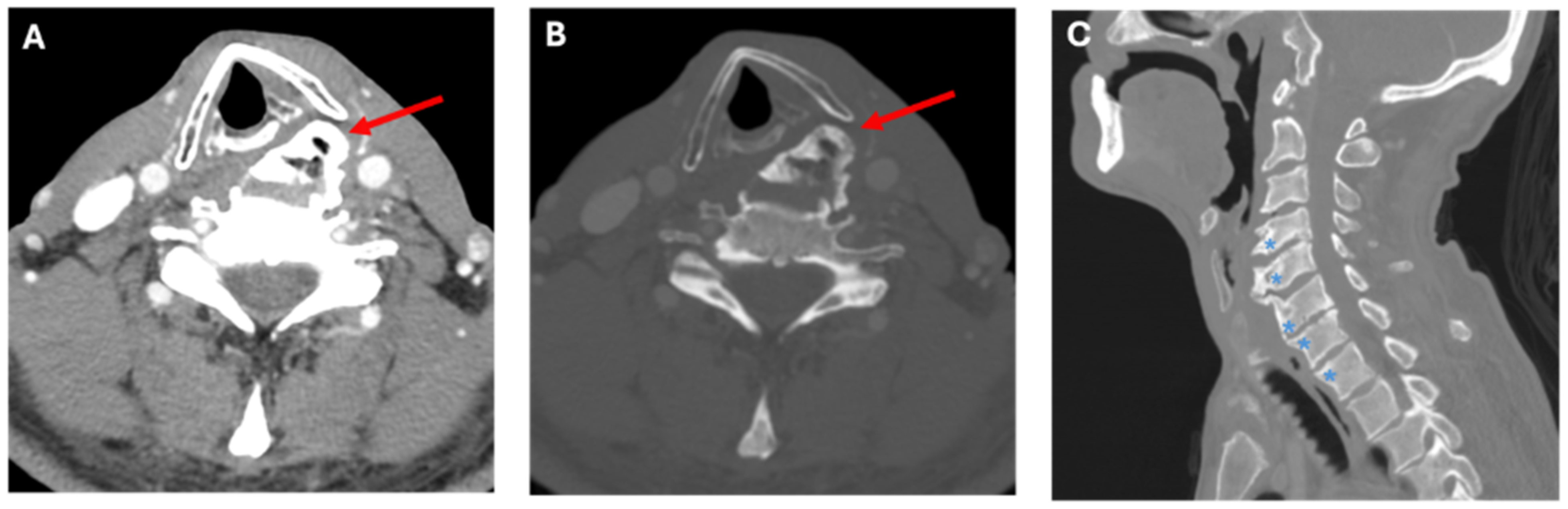
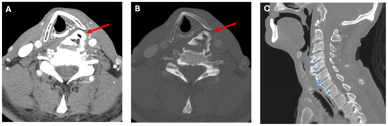
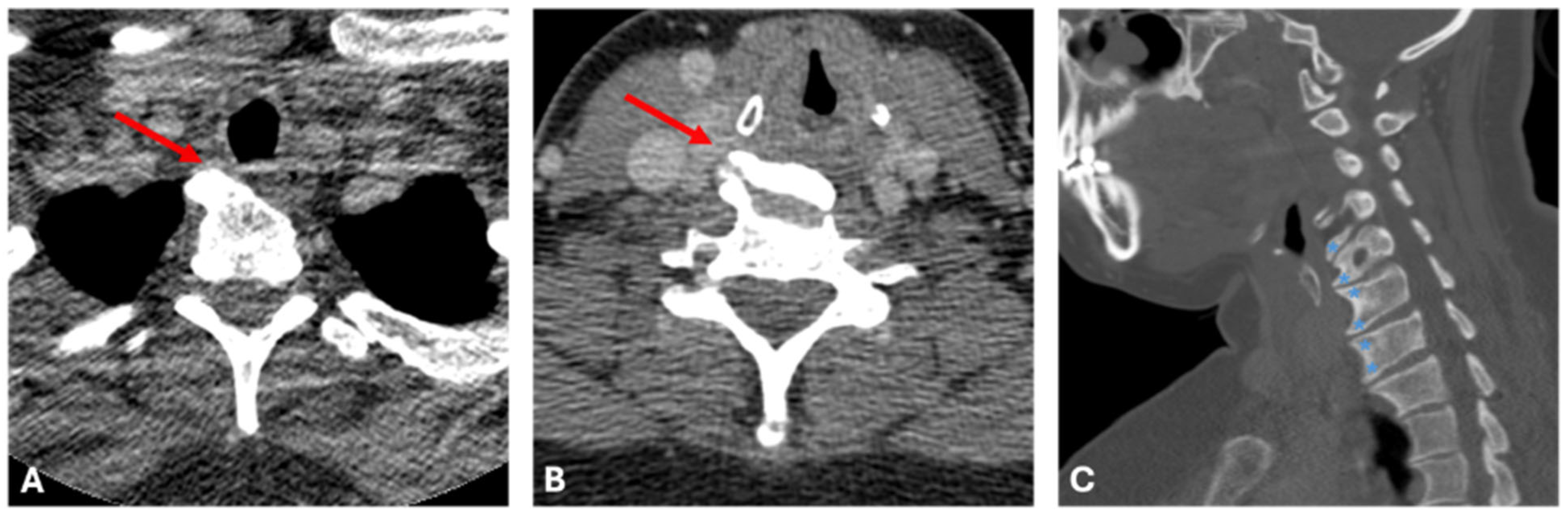
2.1. Case A
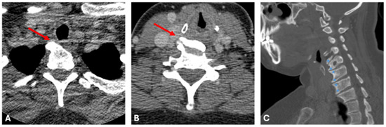
2.2. Case B
3. Discussion
4. Conclusions
Author Contributions
Funding
Institutional Review Board Statement
Informed Consent Statement
Data Availability Statement
Conflicts of Interest
Abbreviations
| DISH | Diffuse idiopathic skeletal hyperostosis |
| CT | Computed Tomography |
| VHI | Voice Handicap Index |
References
- Resnick, D.; Niwayama, G. Radiographic and pathologic features of spinal involvement in diffuse idiopathic skeletal hyperostosis (DISH). Radiology 1976, 119, 559–568. [Google Scholar] [CrossRef] [PubMed]
- Buyukkaya, R.; Buyukkaya, A.; Ozturk, B.; Ozşahin, M.; Erdoğmuş, B. Vocal cord paralysis and dysphagia caused by diffuse idiopathic skeletal hyperostosis (DISH): Clinical and radiographic findings. Turk. J. Phys. Med. Rehabil. 2014, 60, 341–344. [Google Scholar] [CrossRef]
- Sebaaly, A.; Boubez, G.; Sunna, T.; Wang, Z.; Alam, E.; Christopoulos, A.; Shédid, D. Diffuse idiopathic hyperostosis manifesting as dysphagia and bilateral cord paralysis: A case report and literature review. World Neurosurg. 2018, 111, 79–85. [Google Scholar] [CrossRef] [PubMed]
- Schattner, A.; Dubin, I.; Glick, Y. Diffuse idiopathic skeletal hyperostosis-mediated dysphagia. Int. J. Sci. Res. 2022, 11, 55–56. [Google Scholar] [CrossRef]
- Vengust, R.; Mihalič, R.; Turel, M. Two different causes of acute respiratory failure in a patient with diffuse idiopathic skeletal hyperostosis and ankylosed cervical spine. Eur. Spine J. 2010, 19, 130–134. [Google Scholar] [CrossRef]
- Goico-Alburquerque, A.; Zulfiqar, B.; Antoine, R.; Samee, M. Diffuse idiopathic skeletal hyperostosis: Persistent sore throat and dysphagia in an elderly smoker male. Case Rep. Med. 2017, 2017, 2567672. [Google Scholar] [CrossRef]
- Forestier, J.; Rotes-Querol, J. Senile ankylosing hyperostosis of the spine. Ann. Rheum. Dis. 1950, 9, 321–330. [Google Scholar] [CrossRef]
- Giuffra, V.; Giusiani, S.; Fornaciari, A.; Villari, N.; Vitiello, A.; Fornaciari, G. Diffuse idiopathic skeletal hyperostosis in the Medici, Grand Dukes of Florence (XVI century). Eur. Spine J. 2010, 19, S103–S107. [Google Scholar] [CrossRef]
- Giustina, A.; Mazziotti, G.; Canalis, E. Growth hormone, insulin-like growth factors, and the skeleton. Endocr. Rev. 2008, 29, 535–559. [Google Scholar] [CrossRef]
- Pillai, S.; Littlejohn, G. Metabolic factors in diffuse idiopathic skeletal hyperostosis—A review of clinical data. Open Rheumatol. J. 2014, 8, 116–128. [Google Scholar] [CrossRef]
- Liberale, C.; Bassani, S.; Nocini, R.; Molteni, G. Step-by-step surgery for diffuse idiopathic skeletal hyperostosis (DISH) of the cervical spine. Laryngoscope 2023, 134, 2787–2789. [Google Scholar] [CrossRef]
- Hegde, S.; Achar, T.S.; Badikkilaya, V.; Kanade, P.U. Forestier’s disease presenting as dysphagia and dysphonia—A rare case report. Glob. Spine J. 2023, 13, 215–567. [Google Scholar] [CrossRef]
- Shiue, Y.; Chang, T.S. Diffuse idiopathic skeletal hyperostosis presenting with hoarseness—A case report. Ear Nose Throat J. 2023, 104, 49S–50S. [Google Scholar] [CrossRef]
- Pattisapu, P.; Donovan, D.T. Osteophyte causing direct compressive paralysis of recurrent laryngeal nerve. Otolaryngol. Head Neck Surg. 2019, 161, 183–184. [Google Scholar] [CrossRef]
- Mathew, D.; Bukhari, S.; Ghobrial, I. A rare case of bilateral vocal cord palsy due to diffuse idiopathic skeletal hyperostosis. In Proceedings of the Hospital Medicine 2018, Orlando, FL, USA, 8–11 April 2018. Abstract #712. [Google Scholar]
- Virk, J.S.; Majithia, A.; Lingam, R.K.; Singh, A. Cervical osteophytes causing vocal fold paralysis: Case report and literature review. J. Laryngol. Otol. 2012, 126, 963–965. [Google Scholar] [CrossRef] [PubMed]
- Aydin, K.; Ulug, T.; Simsek, T. Bilateral vocal cord paralysis caused by cervical spinal osteophytes. Br. J. Radiol. 2002, 75, 990–993. [Google Scholar] [CrossRef] [PubMed]
- Allensworth, J.J.; O’Dell, K.D.; Schindler, J.S. Bilateral vocal fold paralysis and dysphagia secondary to diffuse idiopathic skeletal hyperostosis. Head Neck 2017, 39, E1–E3. [Google Scholar] [CrossRef]
- Psychogios, G.; Jering, M.; Zenk, J. Cervical hyperostosis leading to dyspnea, aspiration and dysphagia: Strategies to improve patient management. Front. Surg. 2018, 5, 33. [Google Scholar] [CrossRef]
- Karkas, A.A.; Schmerber, S.A.; Gay, E.P.; Chahine, K.N.; Righini, C.A. Respiratory distress and vocal cord immobilization caused by Forestier’s disease. Otolaryngol. Head Neck Surg. 2008, 139, 327–328. [Google Scholar] [CrossRef]
- Verstraete, W.L.; De Cauwer, H.G.; Verhulst, D.; Jacobs, F. Vocal cord immobilisation in diffuse idiopathic skeletal hyperostosis (DISH). Acta Otorhinolaryngol. Belg. 1998, 52, 79–84. [Google Scholar]
- Young, D.; Saxby, K.; Beard, M.; Buniak, W.; Elnazepstein, D.; Davidhussain, K. Acute bilateral vocal cord paralysis (BVCP) in a patient with undiagnosed diffuse idiopathic skeletal hyperostosis (DISH). Chest 2021, 160, 890–891. [Google Scholar] [CrossRef]
- Jain, S.; Singh, P.; Agrawa, G.; Kumar, S.; Banode, P. Arytenoid sclerosis in diffuse idiopathic skeletal hyperostosis presenting with acute stridor in elderly: Chance or association? J. Laryngol. Voice 2016, 6, 14–17. [Google Scholar] [CrossRef]
- Razura, D.E.; Shuman, E.A.; Johns, M.M.; O’Dell, K. Bilateral vocal fold motion impairment associated with diffuse idiopathic skeletal hyperostosis. OTO Open 2024, 8, 70003. [Google Scholar] [CrossRef]
- Liu, W.Z.; Chang, Z.Q.; Bao, Z.M. Young thoracic vertebra diffuse idiopathic skeletal hyperostosis with Scheuermann disease: A case report. World J. Clin. Cases 2023, 11, 655–661. [Google Scholar] [CrossRef]
- Toyoda, H.; Terai, H.; Yamada, K.; Suzuki, A.; Dohzono, S.; Matsumoto, T.; Nakamura, H. Prevalence of diffuse idiopathic skeletal hyperostosis in patients with spinal disorders. Asian Spine J. 2017, 11, 63–70. [Google Scholar] [CrossRef]
- Hiyama, A.; Katoh, H.; Sakai, D.; Sato, M.; Tanaka, M.; Watanabe, M. Prevalence of diffuse idiopathic skeletal hyperostosis (DISH) assessed with whole-spine computed tomography in 1479 subjects. BMC Musculoskelet Disord 2018, 19, 178. [Google Scholar] [CrossRef]




| Vocal Fold Mobility Status | Unilateral | Bilateral |
|---|---|---|
| Weak | 0 | 3 a |
| Immobile | 8 b | 9 c |
Disclaimer/Publisher’s Note: The statements, opinions and data contained in all publications are solely those of the individual author(s) and contributor(s) and not of MDPI and/or the editor(s). MDPI and/or the editor(s) disclaim responsibility for any injury to people or property resulting from any ideas, methods, instructions or products referred to in the content. |
© 2025 by the authors. Licensee MDPI, Basel, Switzerland. This article is an open access article distributed under the terms and conditions of the Creative Commons Attribution (CC BY) license (https://creativecommons.org/licenses/by/4.0/).
Share and Cite
Kwon, E.; Moentmann, M.; Bueno, H.; Hsueh, W.; Kaye, R. Unilateral Vocal Cord Paresis Caused by Diffuse Idiopathic Skeletal Hyperostosis: Case Report and Literature Review. J. Otorhinolaryngol. Hear. Balance Med. 2025, 6, 20. https://doi.org/10.3390/ohbm6020020
Kwon E, Moentmann M, Bueno H, Hsueh W, Kaye R. Unilateral Vocal Cord Paresis Caused by Diffuse Idiopathic Skeletal Hyperostosis: Case Report and Literature Review. Journal of Otorhinolaryngology, Hearing and Balance Medicine. 2025; 6(2):20. https://doi.org/10.3390/ohbm6020020
Chicago/Turabian StyleKwon, Emily, Michael Moentmann, Hugo Bueno, Wayne Hsueh, and Rachel Kaye. 2025. "Unilateral Vocal Cord Paresis Caused by Diffuse Idiopathic Skeletal Hyperostosis: Case Report and Literature Review" Journal of Otorhinolaryngology, Hearing and Balance Medicine 6, no. 2: 20. https://doi.org/10.3390/ohbm6020020
APA StyleKwon, E., Moentmann, M., Bueno, H., Hsueh, W., & Kaye, R. (2025). Unilateral Vocal Cord Paresis Caused by Diffuse Idiopathic Skeletal Hyperostosis: Case Report and Literature Review. Journal of Otorhinolaryngology, Hearing and Balance Medicine, 6(2), 20. https://doi.org/10.3390/ohbm6020020

