Sign in to use this feature.

Years

Between: -

Subjects

remove_circle_outline
remove_circle_outline
remove_circle_outline
remove_circle_outline
remove_circle_outline

Journals

Article Types

Countries / Regions

Search Results (28)

Search Parameters:
Keywords = gas gangrene

Order results
Result details
Results per page
Select all
Export citation of selected articles as:
11 pages, 238 KB  
Review
The Role of Hyperbaric Oxygen Therapy in Management of Necrotizing Soft Tissue Infection
by Thomas J. Gregory and Kinjal Sethuraman
J. Clin. Med. 2025, 14(10), 3511; https://doi.org/10.3390/jcm14103511 - 17 May 2025
Viewed by 5365
Abstract
Necrotizing soft tissue infection (NSTI) is a life-threatening, high morbidity pathology that requires aggressive, multidisciplinary management. Surgery and antibiotic administration are core components of treatment. Adjunctive incorporation of hyperbaric oxygen therapy (HBOT) can further enhance treatment and recovery. Benefit is achieved through multiple [...] Read more.
Necrotizing soft tissue infection (NSTI) is a life-threatening, high morbidity pathology that requires aggressive, multidisciplinary management. Surgery and antibiotic administration are core components of treatment. Adjunctive incorporation of hyperbaric oxygen therapy (HBOT) can further enhance treatment and recovery. Benefit is achieved through multiple effects brought about by increase of local and systemic oxygen tension. Direct effects include bacteriostasis, disruption of bacterial toxin production, and attenuation of inflammation. Indirect benefits include demarcation of viable tissue to enhance surgical efforts, potentiation of antibiotics, and enhancement of immune system function. Overall, HBOT has few contraindications and is typically well tolerated by patients. Treatment course and appropriateness of individual patients can be determined through consultation with Hyperbaric Medicine specialists. The benefits of HBOT in morbidity and mortality of NSTI have been well demonstrated and this therapy should be considered as a component of care to all affected patients. Full article
(This article belongs to the Special Issue Surgical Wound Infections and Management)
19 pages, 4316 KB  
Article
BrnQ Branched-Chain Amino Acid Transporters Influence Toxin Production by, but Not Growth of, Clostridium perfringens Type A Strain ATCC3624
by Jihong Li, Iman Mehdizadeh Gohari, Isabella Zhang and Bruce A. McClane
Toxins 2025, 17(4), 187; https://doi.org/10.3390/toxins17040187 - 8 Apr 2025
Viewed by 886
Abstract
By producing alpha toxin (PLC) and perfringolysin O (PFO), Clostridium perfringens type A strains are the most common cause of traumatic gas gangrene. C. perfringens cannot synthesize branched-chain amino acids (BCAAs), so BCAA transporters are essential for C. perfringens growth and survival. C. [...] Read more.
By producing alpha toxin (PLC) and perfringolysin O (PFO), Clostridium perfringens type A strains are the most common cause of traumatic gas gangrene. C. perfringens cannot synthesize branched-chain amino acids (BCAAs), so BCAA transporters are essential for C. perfringens growth and survival. C. perfringens type A strain ATCC3624 encodes the BrnQ1, BrnQ2, and BrnQ3 BCAA transporters. RT-PCR analyses showed that, with increasing culture time in TY broth, brnQ2 and brnQ3 expression levels remained stable but brnQ1 expression levels declined. Single null mutants unable to produce one of the BrnQ proteins grew and survived similarly as wild type. However, these mutants all showed altered PLC production, especially in the early culture stage, and those effects were reversible by complementation. Therefore, the presence of BrnQ proteins impacts toxin production levels, even though they are not necessary for growth. Interestingly, a triple mutant that was unable to produce any BrnQ protein also grew similarly as ATCC3624. Since BCAA uptake is essential for C. perfringens, this strain must produce another (still to be identified) BCAA transporter. Full article
Show Figures

Figure 1

23 pages, 19032 KB  
Review
Clostridial Myonecrosis: A Comprehensive Review of Toxin Pathophysiology and Management Strategies
by Hussain Hussain, Aya Fadel, Efrain Garcia, Robert J. Hernandez, Zahraa F. Saadoon, Lamia Naseer, Ekaterina Casmartino, Mohammad Hamad, Taylor Schnepp, Rehan Sarfraz, Sohair Angly and Arumugam R. Jayakumar
Microorganisms 2024, 12(7), 1464; https://doi.org/10.3390/microorganisms12071464 - 18 Jul 2024
Cited by 12 | Viewed by 8940
Abstract
Clostridial myonecrosis, commonly known as gas gangrene (GG), is a rapidly progressing and potentially fatal bacterial infection that primarily affects muscle and soft tissue. In the United States, the incidence of GG is roughly 1000 cases per year, while, in developing countries, the [...] Read more.
Clostridial myonecrosis, commonly known as gas gangrene (GG), is a rapidly progressing and potentially fatal bacterial infection that primarily affects muscle and soft tissue. In the United States, the incidence of GG is roughly 1000 cases per year, while, in developing countries, the incidence is higher. This condition is most often caused by Clostridium perfringens, a Gram-positive, spore-forming anaerobic bacterium widely distributed in the environment, although other Clostridium species have also been reported to cause GG. The CP genome contains over 200 transport-related genes, including ABC transporters, which facilitate the uptake of sugars, amino acids, nucleotides, and ions from the host environment. There are two main subtypes of GG: traumatic GG, resulting from injuries that introduce Clostridium spores into deep tissue, where anaerobic conditions allow for bacterial growth and toxin production, and spontaneous GG, which is rarer and often occurs in immunocompromised patients. Clostridium species produce various toxins (e.g., alpha, theta, beta) that induce specific downstream signaling changes in cellular pathways, causing apoptosis or severe, fatal immunological conditions. For example, the Clostridium perfringens alpha toxin (CPA) targets the host cell’s plasma membrane, hydrolyzing sphingomyelin and phosphatidylcholine, which triggers necrosis and apoptosis. The clinical manifestations of clostridial myonecrosis vary. Some patients experience the sudden onset of severe pain, swelling, and muscle tenderness, with the infection progressing rapidly to widespread tissue necrosis, systemic toxicity, and, if untreated, death. Other patients present with discharge, pain, and features of cellulitis. The diagnosis of GG primarily involves clinical evaluation, imaging studies such as X-rays, computer tomography (CT) scans, and culture. The treatment of GG involves surgical exploration, broad-spectrum antibiotics, antitoxin, and hyperbaric oxygen therapy, which is considered an adjunctive treatment to inhibit anaerobic bacterial growth and enhance the antibiotic efficacy. Early recognition and prompt, comprehensive treatment are critical to improving the outcomes for patients affected by this severe and life-threatening condition. Full article
Show Figures

Figure 1

12 pages, 9785 KB  
Article
Absent in Melanoma 2 Mediates Inflammasome Signaling Activation against Clostridium perfringens Infection
by Zhaoguo Ma, Yanan Lou, Na Wang, Yi Zhao, Shuxin Zhang, Mingyue Zhang, Jiaqi Li, Qian Xu, Aobo He and Shuixing Yu
Int. J. Mol. Sci. 2024, 25(12), 6571; https://doi.org/10.3390/ijms25126571 - 14 Jun 2024
Viewed by 1880
Abstract
Absent in melanoma 2 (AIM2), a key component of the IFI20X/IFI16 (PYHIN) protein family, is characterized as a DNA sensor to detect cytosolic bacteria and DNA viruses. However, little is known about its immunological role during pathogenic Clostridium perfringens (C. perfringens [...] Read more.
Absent in melanoma 2 (AIM2), a key component of the IFI20X/IFI16 (PYHIN) protein family, is characterized as a DNA sensor to detect cytosolic bacteria and DNA viruses. However, little is known about its immunological role during pathogenic Clostridium perfringens (C. perfringens) infection, an extracellular bacterial pathogen. In a pathogenic C. perfringens gas gangrene model, Aim2−/− mice are more susceptible to pathogenic C. perfringens soft tissue infection, revealing the importance of AIM2 in host protection. Notably, Aim2 deficiency leads to a defect in bacterial killing and clearance. Our in vivo and in vitro findings further establish that inflammasome signaling is impaired in the absence of Aim2 in response to pathogenic C. perfringens. Mechanistically, inflammasome signaling downstream of active AIM2 promotes pathogen control. Importantly, pathogenic C. perfringens-derived genomic DNA triggers inflammasome signaling activation in an AIM2-dependent manner. Thus, these observations uncover a central role for AIM2 in host defense and triggering innate immunity to combat pathogenic C. perfringens infections. Full article
(This article belongs to the Section Molecular Immunology)
Show Figures

Figure 1

19 pages, 13924 KB  
Article
Purinergic Receptor Antagonists Inhibit Hemolysis Induced by Clostridium perfringens Alpha Toxin
by Zishuo Guo, Nan Yue, Ming Chen, Jiaxin Li, Ruomei Lv, Jing Wang, Tingting Liu, Jing Huang, Shan Gao, Yanwei Li, Bing Yuan, Jinglin Wang, Lin Kang, Bin Ji and Wenwen Xin
Pathogens 2024, 13(6), 454; https://doi.org/10.3390/pathogens13060454 - 27 May 2024
Cited by 3 | Viewed by 1834
Abstract
Clostridium perfringens alpha toxin (CPA), which causes yellow lamb disease in sheep and gas gangrene and food poisoning in humans, is produced by all types of C. perfringens and is the major virulence determinant of C. perfringens type A. CPA induces hemolysis in [...] Read more.
Clostridium perfringens alpha toxin (CPA), which causes yellow lamb disease in sheep and gas gangrene and food poisoning in humans, is produced by all types of C. perfringens and is the major virulence determinant of C. perfringens type A. CPA induces hemolysis in many species, including humans, murines, sheep and rabbits, through its enzymatic activity, which dissolves the cell membrane. Recent studies have shown that some pore-forming toxins cause hemolysis, which is achieved by the activation of purinergic receptors (P2). However, the relationship between P2 receptors and non-pore-forming toxin hemolysis has not been investigated. In the present study, we examined the function of P2 receptors in CPA toxin hemolysis and found that CPA-induced hemolysis was dependent on P2 receptor activation, and this was also true for Staphylococcus aureus β-Hemolysin, another non-pore-forming toxin. Furthermore, we use selective P2 receptor antagonists to demonstrate that P2X1 and P2X7 play important roles in the hemolysis of human and murine erythrocytes. In addition, we found that redox metabolism was mainly involved in CPA-induced hemolysis using metabolomic analysis. We further demonstrate that CPA activates P2 receptors and then activates NADPH oxidase through the PI3K/Akt and MEK1/ERK1 pathways, followed by the production of active oxygen to induce hemolysis. These findings contribute to our understanding of the pathological effects of CPA, clarify the relationship between P2 activation and non-pore-forming toxin-induced hemolysis, and provide new insights into CPA-induced hemolysis. Full article
Show Figures

Figure 1

13 pages, 550 KB  
Review
Infective Endocarditis by Clostridioides and Clostridium Species—A Narrative Review
by Petros Ioannou, Ioannis Kopidakis, Eirini Makraki, Stella Baliou and George Samonis
Antibiotics 2024, 13(1), 33; https://doi.org/10.3390/antibiotics13010033 - 28 Dec 2023
Cited by 7 | Viewed by 3329
Abstract
Bacteria of the genus Clostridium are anaerobic Gram-positive spore-forming bacilli that include more than 200 species. Some of them are known to cause invasive infections and diseases caused by the production of toxins. Some of the diseases that are mediated by toxins are [...] Read more.
Bacteria of the genus Clostridium are anaerobic Gram-positive spore-forming bacilli that include more than 200 species. Some of them are known to cause invasive infections and diseases caused by the production of toxins. Some of the diseases that are mediated by toxins are colitis in patients with specific risk factors, such as previous administration of antimicrobials or foodborne botulism. Invasive diseases include bacteremia, infective endocarditis (IE), clostridial myonecrosis (gas gangrene), and other diseases that involve the destruction of soft tissue due to the local production of toxins. The present study aimed to review all cases of IE by Clostridioides and Clostridium species and describe the epidemiology, clinical characteristics, treatment, and outcomes of these infections. A narrative review was performed based on a search in PubMed and Scopus for studies published until 11 September 2023, providing such data of IE caused by Clostridioides and Clostridium species in humans. A total of 20 studies containing data for 21 patients were included. A prosthetic valve was present in 5 patients (23.8%). The aortic valve was the most commonly involved, followed by the mitral valve. Fever, sepsis, and embolic phenomena were the most common clinical presentations. Beta-lactams and metronidazole were the most commonly used antimicrobials. Surgery was performed in nine patients (45%). Mortality reached 33.3%. IE in multiple valves was associated with increased mortality. Despite the heterogeneous genetic and molecular characteristics that necessitate the taxonomic change of some of this genus’s previous members, the clinical syndrome of IE caused by these bacteria seems to have similar characteristics. Full article
Show Figures

Figure 1

10 pages, 733 KB  
Review
Regulation of Clostridial Toxin Gene Expression: A Pasteurian Tradition
by Bruno Dupuy
Toxins 2023, 15(7), 413; https://doi.org/10.3390/toxins15070413 - 26 Jun 2023
Cited by 1 | Viewed by 3039
Abstract
The alarming symptoms attributed to several potent clostridial toxins enabled the early identification of the causative agent of tetanus, botulism, and gas gangrene diseases, which belongs to the most famous species of pathogenic clostridia. Although Clostridioides difficile was identified early in the 20th [...] Read more.
The alarming symptoms attributed to several potent clostridial toxins enabled the early identification of the causative agent of tetanus, botulism, and gas gangrene diseases, which belongs to the most famous species of pathogenic clostridia. Although Clostridioides difficile was identified early in the 20th century as producing important toxins, it was identified only 40 years later as the causative agent of important nosocomial diseases upon the advent of antibiotic therapies in hospital settings. Today, C. difficile is a leading public health issue, as it is the major cause of antibiotic-associated diarrhea in adults. In particular, severe symptoms within the spectrum of C. difficile infections are directly related to the levels of toxins produced in the host. This highlights the importance of understanding the regulation of toxin synthesis in the pathogenicity process of C. difficile, whose regulatory factors in response to the gut environment were first identified at the Institut Pasteur. Subsequently, the work of other groups in the field contributed to further deciphering the complex mechanisms controlling toxin production triggered by the intestinal dysbiosis states during infection. This review summarizes the Pasteurian contribution to clostridial toxin regulation studies. Full article
Show Figures

Figure 1

12 pages, 612 KB  
Review
Clostridium perfringens—Opportunistic Foodborne Pathogen, Its Diversity and Epidemiological Significance
by Tomasz Grenda, Aleksandra Jarosz, Magdalena Sapała, Anna Grenda, Ewelina Patyra and Krzysztof Kwiatek
Pathogens 2023, 12(6), 768; https://doi.org/10.3390/pathogens12060768 - 26 May 2023
Cited by 44 | Viewed by 13364
Abstract
The C. perfringens species is associated with various environments, such as soils, sewage, and food. However, it is also a component of the gastrointestinal (GI) microflora (i.e., microbiota) of sick and healthy humans and animals. C. perfringens is linked with different systemic and [...] Read more.
The C. perfringens species is associated with various environments, such as soils, sewage, and food. However, it is also a component of the gastrointestinal (GI) microflora (i.e., microbiota) of sick and healthy humans and animals. C. perfringens is linked with different systemic and enteric diseases in livestock and humans, such as gas gangrene, food poisoning, non-foodborne diarrhoea, and enterocolitis. The strains of this opportunistic pathogen are known to secrete over 20 identified toxins that are considered its principal virulence factors. C. perfringens belongs to the anaerobic bacteria community but can also survive in the presence of oxygen. The short time between generations, the multi-production capability of toxins and heat-resistant spores, the location of many virulence genes on mobile genetic elements, and the inhabitance of this opportunistic pathogen in different ecological niches make C. perfringens a very important microorganism for public health protection. The epidemiological evidence for the association of these strains with C. perfringens–meditated food poisoning and some cases of non-foodborne diseases is very clear and well-documented. However, the genetic diversity and physiology of C. perfringens should still be studied in order to confirm the importance of suspected novel virulence traits. A very significant problem is the growing antibiotic resistance of C. perfringens strains. The aim of this review is to show the current basic information about the toxins, epidemiology, and genetic and molecular diversity of this opportunistic pathogen. Full article
(This article belongs to the Special Issue Emerging Animal Pathogens and Infections in Poland)
Show Figures

Figure 1

15 pages, 1031 KB  
Review
Clinical and Microbiological Features of Fulminant Haemolysis Caused by Clostridium perfringens Bacteraemia: Unknown Pathogenesis
by Ai Suzaki and Satoshi Hayakawa
Microorganisms 2023, 11(4), 824; https://doi.org/10.3390/microorganisms11040824 - 23 Mar 2023
Cited by 19 | Viewed by 6006
Abstract
Bacteraemia brought on by Clostridium perfringens has a very low incidence but is severe and fatal in fifty per cent of cases. C. perfringens is a commensal anaerobic bacterium found in the environment and in the intestinal tracts of animals; it is known [...] Read more.
Bacteraemia brought on by Clostridium perfringens has a very low incidence but is severe and fatal in fifty per cent of cases. C. perfringens is a commensal anaerobic bacterium found in the environment and in the intestinal tracts of animals; it is known to produce six major toxins: α-toxin, β-toxin, ε-toxin, and others. C. perfringens is classified into seven types, A, B, C, D, E, F and G, according to its ability to produce α-toxin, enterotoxin, and necrotising enterotoxin. The bacterial isolates from humans include types A and F, which cause gas gangrene, hepatobiliary infection, and sepsis; massive intravascular haemolysis (MIH) occurs in 7–15% of C. perfringens bacteraemia cases, resulting in a rapid progression to death. We treated six patients with MIH at a single centre in Japan; however, unfortunately, they all passed away. From a clinical perspective, MIH patients tended to be younger and were more frequently male; however, there was no difference in the toxin type or genes of the bacterial isolates. In MIH cases, the level of θ-toxin in the culture supernatant of clinical isolates was proportional to the production of inflammatory cytokines in the peripheral blood, suggesting the occurrence of an intense cytokine storm. Severe and systemic haemolysis is considered an evolutionary maladaptation as it leads to the host’s death before the bacterium obtains the benefit of iron utilisation from erythrocytes. The disease’s extraordinarily quick progression and dismal prognosis necessitate a straightforward and expedient diagnosis and treatment. However, a reliable standard of diagnosis and treatment has yet to be put forward due to the lack of sufficient case analysis. Full article
(This article belongs to the Special Issue Bacterial Pathogens Associated with Bacteremia)
Show Figures

Figure 1

16 pages, 3317 KB  
Article
Phytochemicals Identification and Bioactive Compounds Estimation of Artemisia Species Grown in Saudia Arabia
by Abdalrhaman M. Salih, Ahmed A. Qahtan and Fahad Al-Qurainy
Metabolites 2023, 13(3), 443; https://doi.org/10.3390/metabo13030443 - 17 Mar 2023
Cited by 20 | Viewed by 4173
Abstract
Artemisia species are very important medicinal plants, particularly in the Middle East and in developing countries. Their products have been used in traditional and medicine contemporary for the treating of infectious ulcers, gangrenous ulcers, inflammations, and malaria. Artemisinin derived from Artemisia species has [...] Read more.
Artemisia species are very important medicinal plants, particularly in the Middle East and in developing countries. Their products have been used in traditional and medicine contemporary for the treating of infectious ulcers, gangrenous ulcers, inflammations, and malaria. Artemisinin derived from Artemisia species has been used as a drug in many countries for malaria disease treatment. Hence, this study aimed to identify and evaluate the bioactive compounds of three species of Artemisia (Artemisia judaica, Artemisia monosperma, and Artemisia sieberi) growing in Saudi Arabia. Therefore, several analytical techniques, such as gas chromatography–mass spectrometry (GC-MS), UV-Visible spectrophotometry (UV-Vis), and high-performance liquid chromatography (HPLC), with reference standards, were used. The GC-MS analysis of the artemisia species revealed many bioactive constituents associated with plant secondary metabolites; some of these identified phytochemical components have biological activity. A. Judaica showed the highest number of bioactive compounds, followed by A. sieberi and A. monosperma. Further, the total phenol, total flavonoid, total tannin, terpenoids, and TCA were estimated. Furthermore, biomolecules such gallic acid, tannin acid, quercetin, and artemisinin in different artemisia species were quantified using HPLC with the reference standard. The amount of artemisinin in the leaf extract of these species (A. sieberi, A. Judaica, and A. monosperma) was found to be about 3.01, 2.5, and 1.9 mg/g DW, respectively. Moreover, the antioxidant activity of the samples was estimated. The obtained results have shown that these species possessed high antioxidant activity, and the scavenging of the DPPH radical and hydrogen peroxide were found to be raised with the increase in the plant extract concentration. This reflects the number of bioactive compounds in these species. The findings of this research support and justify the utilization of Artemisia species in folk medicine in the Middle East. Full article
Show Figures

Figure 1

13 pages, 3067 KB  
Article
Piceatannol Alleviates Clostridium perfringens Virulence by Inhibiting Perfringolysin O
by Guizhen Wang, Hongtao Liu, Yawen Gao, Xiaodi Niu, Xuming Deng, Jianfeng Wang, Haihua Feng, Zhimin Guo and Jiazhang Qiu
Molecules 2022, 27(16), 5145; https://doi.org/10.3390/molecules27165145 - 12 Aug 2022
Cited by 9 | Viewed by 2680
Abstract
Clostridium perfringens (C. perfringens) is an important foodborne pathogen that can cause diseases such as gas gangrene and necrotizing enteritis in a variety of economic animals, seriously affecting public health and the economic benefits and healthy development of the livestock and [...] Read more.
Clostridium perfringens (C. perfringens) is an important foodborne pathogen that can cause diseases such as gas gangrene and necrotizing enteritis in a variety of economic animals, seriously affecting public health and the economic benefits and healthy development of the livestock and poultry breeding industry. Perfringolysin O (PFO) is an important virulence factor of C. perfringens and plays critical roles in necrotic enteritis and gas gangrene, rendering it an ideal target for developing new drugs against infections caused by this pathogen. In this study, based on biological activity inhibition assays, oligomerization tests and computational biology assays, we found that the foodborne natural component piceatannol reduced pore-forming activity with an inhibitory ratio of 83.84% in the concentration of 16 µg/mL (IC50 = 7.83 µg/mL) by binding with PFO directly and changing some of its secondary structures, including 3-Helix, A-helix, bend, and in turn, ultimately affecting oligomer formation. Furthermore, we confirmed that piceatannol protected human intestinal epithelial cells from the damage induced by PFO with LDH release reduced by 38.44% at 16 µg/mL, based on a cytotoxicity test. By performing an animal experiment, we found the C. perfringens clones showed an approximate 10-fold reduction in infected mice. These results suggest that piceatannol may be a candidate for anti-C. perfringens drug development. Full article
(This article belongs to the Special Issue Bioactive Compounds: From Extraction to Biological Evaluations)
Show Figures

Figure 1

9 pages, 2342 KB  
Review
Fournier’s Gangrene under Sodium–Glucose Cotransporter-2 Inhibitors Therapy in Gynecological Patients
by Adriana Serrano Olave, Ana Isabel Bueno Moral, Carmen Martínez Bañón, Ernesto González Mesa and Jesús S. Jiménez López
Int. J. Environ. Res. Public Health 2022, 19(10), 6261; https://doi.org/10.3390/ijerph19106261 - 21 May 2022
Cited by 7 | Viewed by 6995
Abstract
Fournier’s gangrene (FG) is a serious pathology of the soft tissues and fascia of the perineum and genital region with a high morbidity and mortality rate. In recent years, the SGLT-2 inhibitor oral antidiabetic has been related to this entity. According to the [...] Read more.
Fournier’s gangrene (FG) is a serious pathology of the soft tissues and fascia of the perineum and genital region with a high morbidity and mortality rate. In recent years, the SGLT-2 inhibitor oral antidiabetic has been related to this entity. According to the new warnings from the main drug agencies, a compilation of cases has been initiated to establish or deny a possible causal relationship. Most of these cases have been reported in men. However, it is important not to underestimate this entity in the gynecological field, since it is extremely serious and requires intense and rapid aggressive treatment based on surgery and empiric antibiotherapy. Later, some cares are needed to involve surgical reconstruction of the defects introduced by debridement. As a result of the low incidence of FG, clinical trials’ data may be insufficient to robustly assess this issue because of the limited numbers of participants. Real-world evidence may help to clarify the association between SGLT2i and FG. The aim of this review is to describe and compare the reported cases of GF in diabetic women who received SGLT2 inhibitors as antiglycemic agents. Full article
Show Figures

Figure 1

5 pages, 1396 KB  
Case Report
Chronic Appendicitis—From Ambiguous Clinical Image to Inconclusive Imaging Studies
by Agnieszka Brodzisz, Maryla Kuczyńska, Monika Zbroja, Weronika Cyranka, Czesław Cielecki and Magdalena Maria Woźniak
Diagnostics 2022, 12(4), 818; https://doi.org/10.3390/diagnostics12040818 - 26 Mar 2022
Cited by 5 | Viewed by 4047
Abstract
A six-year-old boy visits a general practitioner due to diarrhea and abdominal pain with a moderate fever of up to 39 °C for 2 days. Treatment is initiated; however, the recurrence of abdominal pain is observed. Physical examination of the child at the [...] Read more.
A six-year-old boy visits a general practitioner due to diarrhea and abdominal pain with a moderate fever of up to 39 °C for 2 days. Treatment is initiated; however, the recurrence of abdominal pain is observed. Physical examination of the child at the emergency department reveals abdominal guarding and visible, palpable, painful intestinal loops in the left iliac and hypogastric regions—this is referred to as an ‘acute abdomen’. An X-ray shows single levels of air and fluid indicative of bowel obstruction. Ultrasound reveals distended, fluid-filled intestinal loops with diminished motility. The intestinal wall is swollen. Laboratory tests indicate increased inflammatory indices. Contrast-enhanced computed tomography examination of the abdominal cavity and lesser pelvis shows intestinal dilation. The loops were filled with liquid content and numerous collections of gas. The patient is qualified for a laparotomy. An intraoperative diagnosis of perforated gangrenous appendicitis with autoamputation was made. In addition, numerous interloop and pelvic abscesses, excessive adhesions, signs of small intestine micro-perforation, and diffuse peritonitis are found. The patient’s condition and laboratory parameters significantly improve during the following days of hospitalization. Despite the implementation of multidirectional, specialized diagnostics in the case of acute abdomen, in everyday practice we still encounter situations where the final diagnosis is made intraoperatively only. Full article
(This article belongs to the Special Issue Modern Imaging and Computer-Aided Diagnosis in Gastroenterology)
Show Figures

Figure 1

21 pages, 6871 KB  
Review
Clostridial Diseases of Horses: A Review
by Francisco A. Uzal, Mauricio A. Navarro, Javier Asin and Eileen E. Henderson
Vaccines 2022, 10(2), 318; https://doi.org/10.3390/vaccines10020318 - 17 Feb 2022
Cited by 25 | Viewed by 11276
Abstract
The clostridial diseases of horses can be divided into three major groups: enteric/enterotoxic, histotoxic, and neurotoxic. The main enteric/enterotoxic diseases include those produced by Clostridium perfringens type C and Clostridioides difficile, both of which are characterized by enterocolitis. The main histotoxic diseases [...] Read more.
The clostridial diseases of horses can be divided into three major groups: enteric/enterotoxic, histotoxic, and neurotoxic. The main enteric/enterotoxic diseases include those produced by Clostridium perfringens type C and Clostridioides difficile, both of which are characterized by enterocolitis. The main histotoxic diseases are gas gangrene, Tyzzer disease, and infectious necrotic hepatitis. Gas gangrene is produced by one or more of the following microorganisms: C. perfringens type A, Clostridium septicum, Paeniclostridium sordellii, and Clostridium novyi type A, and it is characterized by necrotizing cellulitis and/or myositis. Tyzzer disease is produced by Clostridium piliforme and is mainly characterized by multifocal necrotizing hepatitis. Infectious necrotic hepatitis is produced by Clostridium novyi type B and is characterized by focal necrotizing hepatitis. The main neurotoxic clostridial diseases are tetanus and botulism, which are produced by Clostridium tetani and Clostridium botulinum, respectively. Tetanus is characterized by spastic paralysis and botulism by flaccid paralysis. Neither disease present with specific gross or microscopic lesions. The pathogenesis of clostridial diseases involves the production of toxins. Confirming a diagnosis of some of the clostridial diseases of horses is sometimes difficult, mainly because some agents can be present in tissues of normal animals. This paper reviews the main clostridial diseases of horses. Full article
(This article belongs to the Special Issue Equine Infectious Diseases and Immunotherapy)
Show Figures

Figure 1

18 pages, 4019 KB  
Article
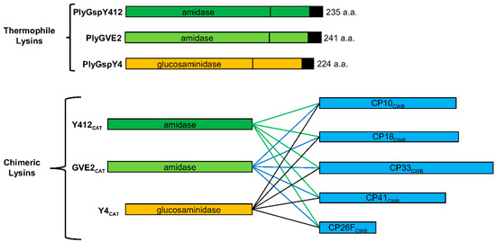
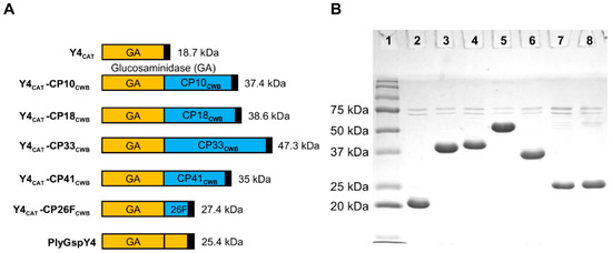
Thermophile Lytic Enzyme Fusion Proteins that Target Clostridium perfringens
by Steven M. Swift, Kevin P. Reid, David M. Donovan and Timothy G. Ramsay
Antibiotics 2019, 8(4), 214; https://doi.org/10.3390/antibiotics8040214 - 8 Nov 2019
Cited by 26 | Viewed by 5095
Abstract
Clostridium perfringens is a bacterial pathogen that causes necrotic enteritis in poultry and livestock, and is a source of food poisoning and gas gangrene in humans. As the agriculture industry eliminates the use of antibiotics in animal feed, alternatives to antibiotics will be [...] Read more.
Clostridium perfringens is a bacterial pathogen that causes necrotic enteritis in poultry and livestock, and is a source of food poisoning and gas gangrene in humans. As the agriculture industry eliminates the use of antibiotics in animal feed, alternatives to antibiotics will be needed. Bacteriophage endolysins are enzymes used by the virus to burst their bacterial host, releasing bacteriophage particles. This type of enzyme represents a potential replacement for antibiotics controlling C. perfringens. As animal feed is often heat-treated during production of feed pellets, thermostable enzymes would be preferred for use in feed. To create thermostable endolysins that target C. perfringens, thermophile endolysin catalytic domains were fused to cell wall binding domains from different C. perfringens prophage endolysins. Three thermostable catalytic domains were used, two from prophage endolysins from two Geobacillus strains, and a third endolysin from the deep-sea thermophilic bacteriophage Geobacillus virus E2 (GVE2). These domains harbor predicted L-alanine-amidase, glucosaminidase, and L-alanine-amidase activities, respectively and degrade the peptidoglycan of the bacterial cell wall. The cell wall binding domains were from C. perfringens prophage endolysins (Phage LYtic enzymes; Ply): PlyCP18, PlyCP10, PlyCP33, PlyCP41, and PlyCP26F. The resulting fifteen chimeric proteins were more thermostable than the native C. perfringens endolysins, and killed swine and poultry disease-associated strains of C. perfringens. Full article
(This article belongs to the Section Antimicrobial Peptides)
Show Figures

Figure 1

Back to TopTop