Sign in to use this feature.

Years

Between: -

Subjects

remove_circle_outline
remove_circle_outline
remove_circle_outline
remove_circle_outline
remove_circle_outline
remove_circle_outline
remove_circle_outline
remove_circle_outline
remove_circle_outline

Journals

remove_circle_outline
remove_circle_outline
remove_circle_outline
remove_circle_outline
remove_circle_outline
remove_circle_outline
remove_circle_outline
remove_circle_outline
remove_circle_outline
remove_circle_outline
remove_circle_outline
remove_circle_outline
remove_circle_outline
remove_circle_outline
remove_circle_outline
remove_circle_outline
remove_circle_outline
remove_circle_outline
remove_circle_outline
remove_circle_outline
remove_circle_outline
remove_circle_outline
remove_circle_outline
remove_circle_outline
remove_circle_outline
remove_circle_outline

Article Types

Countries / Regions

remove_circle_outline
remove_circle_outline
remove_circle_outline
remove_circle_outline
remove_circle_outline
remove_circle_outline

Search Results (2,153)

Search Parameters:
Keywords = failure severity analysis

Order results
Result details
Results per page
Select all
Export citation of selected articles as:
12 pages, 606 KB  
Article
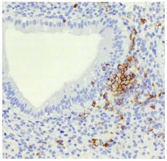
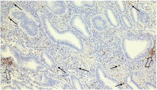
Clustering of Uterine Natural Killer Cells Around Uterine Glands in Women with Recurrent Implantation Failure and Recurrent Pregnancy Loss: An Immunohistochemical Study
by Lenka Lapides, Martin Klein, Ivan Varga, Jaroslav Voller and Pavel Babal
Int. J. Mol. Sci. 2025, 26(20), 10109; https://doi.org/10.3390/ijms262010109 - 17 Oct 2025
Viewed by 80
Abstract
The immunological factor of sterility, specifically the abnormal count and activity of uterine NK (uNK) cells, may represent one of the potential contributors affecting specific subgroups of sterile couples undergoing assisted reproductive treatment (ART). Therefore, the primary purpose of the present paper was [...] Read more.
The immunological factor of sterility, specifically the abnormal count and activity of uterine NK (uNK) cells, may represent one of the potential contributors affecting specific subgroups of sterile couples undergoing assisted reproductive treatment (ART). Therefore, the primary purpose of the present paper was to assess uNK cell count. A total of 387 endometrial biopsies from patients with recurrent implantation failure (RIF) or recurrent pregnancy loss (RPL) were analyzed to identify abnormalities in uNK cell count, using immunohistopathological evaluation. ANOVA analysis revealed a strong association with factor 0.161 with p-value < 0.01, indicating that higher uNK cell count is associated with the presence of clusters (multicellular aggregates of uNK cells). These results suggest that the formation of clusters and the spatial distribution of uNK cells are significant factors in the context of the aforementioned clinical questions. However, the actual translational potential to clinical practice has not yet been established due to several challenges, namely: 1. the constantly changing definitions and diagnostic criteria for RIF and RPL, 2. varying sampling approaches for uNK cells, and 3. the historical lack of clear differentiation between uterine and peripheral NK cells. When all these issues are resolved, the observed tendency of uNK cells to form clusters will need to be a central focus of future investigations addressing RIF and RPL, thus improving ART outcomes. Full article
Show Figures

Figure 1

20 pages, 1689 KB  
Article
Prediction of High-Risk Failures in Urban District Heating Pipelines Using KNN-Based Relabeling and AI Models
by Sungyeol Lee, Jaemo Kang, Jinyoung Kim and Myeongsik Kong
Appl. Sci. 2025, 15(20), 11104; https://doi.org/10.3390/app152011104 - 16 Oct 2025
Viewed by 124
Abstract
This study generated an AI (Artificial Intelligence)-based prediction model for identifying high-risk groups of failures in urban district heating pipelines using pipeline attribute information and historical failure records. A total of 324,495 records from normally operating pipelines and 2293 failure cases were collected. [...] Read more.
This study generated an AI (Artificial Intelligence)-based prediction model for identifying high-risk groups of failures in urban district heating pipelines using pipeline attribute information and historical failure records. A total of 324,495 records from normally operating pipelines and 2293 failure cases were collected. Because the dataset exhibited severe imbalance, a KNN (K Nearest Neighbors)-based similarity selection was applied to reclassify the top 10% of normal data most similar to failure cases as high-risk. Input variables for model development included pipe diameter, purpose, insulation level, year of burial, and burial environment, supplemented with derived variables to enhance predictive capacity. The dataset was trained using XGBoost (eXtreme Gradient Boosting) v3.0.2, LightGBM (Light Gradient-Boosting Machine) v4.5.0, and an ensemble model (XGBoost + LightGBM), and the performance metrics were compared. The XGBoost model (K = 2) achieved the best results, with an F2-score of 0.921 and an AUC of 0.993. Variable importance analysis indicated that year of burial, insulation level, and purpose were the most influential features, highlighting pipeline aging and insulation condition as key determinants of high-risk classification. The proposed approach enables prioritization of failure risk management and identification of vulnerable sections using only attribute data, even in situations where sensor installation and infrared thermography are limited. Future research should consider distance functions suitable for mixed variables, sensitivity to unit length, and SHAP (Shapley Additive exPlanations)-based interpretability analysis to further generalize the model and enhance its field applicability. Full article
Show Figures

Figure 1

31 pages, 1941 KB  
Review
Machine Learning in Slope Stability: A Review with Implications for Landslide Hazard Assessment
by Miguel Trinidad and Moe Momayez
GeoHazards 2025, 6(4), 67; https://doi.org/10.3390/geohazards6040067 - 16 Oct 2025
Viewed by 214
Abstract
Slope failures represent one of the most serious geotechnical hazards, which can have severe consequences for personnel, equipment, infrastructure, and other aspects of a mining operation. Deterministic and stochastic conventional methods of slope stability analysis are useful; however, some limitations in applicability may [...] Read more.
Slope failures represent one of the most serious geotechnical hazards, which can have severe consequences for personnel, equipment, infrastructure, and other aspects of a mining operation. Deterministic and stochastic conventional methods of slope stability analysis are useful; however, some limitations in applicability may arise due to the inherent anisotropy of rock mass properties and rock mass interactions. In recent years, Machine Learning (ML) techniques have become powerful tools for improving prediction and risk assessment in slope stability analysis. This review provides a comprehensive overview of ML applications for analyzing slope stability and delves into the performance of each technique as well as the interrelationship between the geotechnical parameters of the rock mass. Supervised learning methods such as decision trees, support vector machines, random forests, gradient boosting, and neural networks have been applied by different authors to predict the safety factor and classify slopes. Unsupervised learning techniques such as clustering and Gaussian mixture models have also been applied to identify hidden patterns. The objective of this manuscript is to consolidate existing work by highlighting the advantages and limitations of different ML techniques, while identifying gaps that should be analyzed in future research. Full article
Show Figures

Figure 1

11 pages, 472 KB  
Article
The Age Factor in Ixekizumab Survival: Older Patients Show Higher Long-Term Treatment Survival
by Inés Noval-Martín, Jorge Santos-Juanes, Irene Álvarez-Losada, Laura Palacios-García, Ana Lozano-Blazquez, Virginia García-Jimenez, Cristina Galache Osuna and Raquel Santos-Juanes Galache
Medicina 2025, 61(10), 1827; https://doi.org/10.3390/medicina61101827 - 12 Oct 2025
Viewed by 255
Abstract
Background and Objectives: Ixekizumab is a human monoclonal antibody targeting interleukin-17A, approved for the treatment of moderate-to-severe plaque psoriasis. Given its demonstrated efficacy and safety in clinical trials, this study aimed to evaluate the real-world drug survival of Ixekizumab and identify clinical [...] Read more.
Background and Objectives: Ixekizumab is a human monoclonal antibody targeting interleukin-17A, approved for the treatment of moderate-to-severe plaque psoriasis. Given its demonstrated efficacy and safety in clinical trials, this study aimed to evaluate the real-world drug survival of Ixekizumab and identify clinical predictors of treatment discontinuation. Materials and Methods: A retrospective, observational, hospital-based study was conducted in the Department of Dermatology at the Central University Hospital of Asturias (HUCA). Patients with moderate-to-severe plaque psoriasis who initiated treatment with Ixekizumab (Taltz®) between 8 June 2017 and 10 October 2024, were included. Demographic data, comorbidities, age at disease onset, family history, PASI score, and previous treatments were recorded. Drug survival was assessed using Kaplan–Meier survival curves and the log-rank test. Predictors of discontinuation were analyzed using univariate and multivariate Cox proportional hazards models. Results: A total of 103 patients (55.3% women) were included. Drug survival rates were 85% at one year, 73% at two years, and 61% at four years, with a mean treatment duration of 52.5 months (95% CI: 46.01–58.99). Multivariate analysis showed that patients under the age of 65 had a significantly higher risk of treatment discontinuation (hazard ratio: 1.813; p < 0.05). The most common reason for discontinuation was secondary treatment failure (45.16%). Ixekizumab demonstrated sustained drug survival in a real-world setting, with rates falling within the mid-to-upper range reported in the literature. Older age (>65 years) was associated with greater treatment persistence, highlighting a potential influence of age on long-term therapeutic adherence. Full article
(This article belongs to the Section Dermatology)
Show Figures

Figure 1

30 pages, 3350 KB  
Article
A Unified Modelling Framework Combining FTA, RBD, and BowTie for Reliability Improvement
by Mohamad Afiq Amiruddin Parnon, Kassandra A. Papadopoulou and Jyoti K. Sinha
Appl. Sci. 2025, 15(20), 10902; https://doi.org/10.3390/app152010902 - 10 Oct 2025
Viewed by 254
Abstract
Ensuring reliability and safety is essential in complex energy systems such as wind turbines, where failures can trigger unexpected downtimes, severe incidents, and significant costs. This study proposes a hybrid BowTie-based reliability framework that integrates Fault Tree Analysis, Reliability Block Diagrams, and BowTie [...] Read more.
Ensuring reliability and safety is essential in complex energy systems such as wind turbines, where failures can trigger unexpected downtimes, severe incidents, and significant costs. This study proposes a hybrid BowTie-based reliability framework that integrates Fault Tree Analysis, Reliability Block Diagrams, and BowTie methodology to quantify risk and evaluate the effectiveness of safety barriers. The framework employs key reliability metrics including availability, probability of failure on demand, and probability of failure per hour, and supports scenario-based sensitivity analyses to explore redesign options. A simulation-based case study of a wind turbine generator subsystem is presented, using parameter values drawn from published reliability data. Results highlight that protective relays and automatic trip systems represent critical single points of defence, while improvements such as enhanced oil analysis and redundant dashboards reduce consequence frequency from 2.912 × 10−17 to 8.257 × 10−19 failures/h (a 97.16% reduction, nearly two orders of magnitude). Compared to conventional models, the proposed framework introduces explicit defence in depth modelling, improves computational compactness, and provides a practical decision support tool for asset managers by balancing safety and reliability. At this stage, the study should be regarded as a proof of concept that demonstrates feasibility and sets a foundation for future research and application to larger, more complex infrastructures. Full article
(This article belongs to the Special Issue Uncertainty and Reliability Analysis for Engineering Systems)
Show Figures

Figure 1

13 pages, 10889 KB  
Article
Transthyretin Amyloidosis—One of the Causes of Heart Failure in Patients with Severe Clinical Course of COVID-19
by Zarina Gioeva, Liudmila Mikhaleva, Nikita Gutyrchik, Nikolay Shakhpazyan, Valentina Pechnikova, Konstantin Midiber, Andrej Kontorshchikov, Elizaveta Zentsova and Lev Kakturskij
Int. J. Mol. Sci. 2025, 26(19), 9806; https://doi.org/10.3390/ijms26199806 - 9 Oct 2025
Viewed by 422
Abstract
Wild-type transthyretin amyloidosis is an underdiagnosed condition that significantly contributes to mortality in the elderly population. This histopathological study describes autopsy findings in patients with severe clinical course of COVID-19 and ATTR not identified during life. Autopsy findings in the myocardium were analyzed [...] Read more.
Wild-type transthyretin amyloidosis is an underdiagnosed condition that significantly contributes to mortality in the elderly population. This histopathological study describes autopsy findings in patients with severe clinical course of COVID-19 and ATTR not identified during life. Autopsy findings in the myocardium were analyzed in 19 patients with pre-existing ATTR who died from severe COVID-19. RT PCR was used for pre- and post-mortem detection of SARS-CoV-2 RNA. Immunohistochemical typing was performed with a broad panel of antibodies against different amyloid types. Autopsy specimens from the myocardium and lungs were positive for SARS-CoV-2 RNA in 10 (53%) cases. Microscopic examination of the myocardium revealed focal cardiosclerosis and cardiomyocyte dissociation in 15 (68%) cases, hypertrophy and atrophy of cardiomyocytes in 17 (77%) and 7 (32%), respectively, and myocarditis in 4 (18%) cases. Immunohistochemical analysis determined ATTR amyloidosis in all cases. In patients with rapidly progressive heart failure, the postmortem examination revealed multiple sites of interstitial amyloid deposits and focal cardiosclerosis in the myocardium. Pre-existing cardiac amyloidosis contributes to the aggressive clinical course of COVID-19. Coupled with the toxic effect of the SARS-CoV-2 virus on the myocardium, the disease may lead to progressive heart failure and poor outcomes. Full article
(This article belongs to the Special Issue Molecular Pathology and Treatment of Heart Failure)
Show Figures

Figure 1

36 pages, 916 KB  
Systematic Review
Failure to Rescue After Surgery for Pancreatic Cancer: A Systematic Review and Narrative Synthesis of Risk Factors and Safety Strategies
by Masashi Uramatsu, Yoshikazu Fujisawa, Paul Barach, Hiroaki Osakabe, Moe Matsumoto and Yuichi Nagakawa
Cancers 2025, 17(19), 3259; https://doi.org/10.3390/cancers17193259 - 8 Oct 2025
Viewed by 612
Abstract
Background: Failure to rescue (FTR), defined as death after major postoperative complications, is a critical quality indicator in pancreatic cancer surgery. Despite advances in surgical techniques and perioperative care, FTR rates remain high and vary across institutions. Methods: This systematic review [...] Read more.
Background: Failure to rescue (FTR), defined as death after major postoperative complications, is a critical quality indicator in pancreatic cancer surgery. Despite advances in surgical techniques and perioperative care, FTR rates remain high and vary across institutions. Methods: This systematic review uses a narrative synthesis followed by PRISMA 2020. A PubMed search (1992–2025) identified 83 studies; after screening, 52 studies (2010–2025) were included. Eligible designs were registry-based, multicenter, single-center, or prospective audits. Given substantial heterogeneity in study designs, FTR definitions, and outcome measures, a narrative synthesis was performed; no formal risk-of-bias assessment or meta-analysis was conducted. Results: Definitions of FTR varied (in-hospital, 30-day, 90-day, severity-based, and complication-specific cases). Reported rates differed by definition: average reported rates were 13.2% for 90-day CD ≥ III (G1); 10.3% for in-hospital/30-day CD ≥ III (G3); and 7.4% for 30-day “serious/major” morbidity (G8). Absolute differences were +3.0 and +2.9 percentage points (exploratory, descriptive comparisons). Five domains were consistently associated with lower FTR: (i) centralization to high-volume centers; (ii) safe adoption/refinement of surgical techniques; (iii) optimized perioperative management including early imaging and structured escalation pathways; (iv) patient-level risk stratification and prehabilitation; and (v) non-technical skills (NTSs) such as decision-making, situational awareness, communication, teamwork, and leadership. Among NTS domains, stress and fatigue management were not addressed in any included study. Limitations: Evidence is predominantly observational with substantial heterogeneity in study designs and FTR definitions; the search was limited to PubMed; and no formal risk-of-bias, publication-bias assessment, or meta-analysis was performed. Consequently, estimates and associations are descriptive/associative with limited certainty and generalizability. Conclusions: NTSs were rarely used or measured across the included studies, with validated instruments; quantitative assessment was uncommon, and no study evaluated stress or fatigue management. Reducing the FTR after pancreatic surgery will require standardized, pancreas-specific definitions of FTR, process-level rescue metrics, and deliberate strengthening of NTS. We recommend a pancreas-specific operational definition with an explicit numerator/denominator: numerator = all-cause mortality within 90 days of surgery; denominator = patients who experience major complications (Clavien–Dindo grade III–V, often labeled “CD ≥ 3”). Addressing the gaps in stress and fatigue management and embedding behavioral metrics into quality improvement programs are critical next steps to reduce preventable mortality after complex pancreatic cancer procedures. Full article
(This article belongs to the Special Issue Novel Diagnosis and Treatment Approaches in Pancreatic Cancer)
Show Figures

Figure 1

20 pages, 3503 KB  
Article
The Development, Implementation, and Application of a Probabilistic Risk Assessment Framework to Evaluate Supply Chain Shortages
by Priyanka Pandit, Arjun Earthperson and Mihai A. Diaconeasa
Logistics 2025, 9(4), 141; https://doi.org/10.3390/logistics9040141 - 6 Oct 2025
Viewed by 650
Abstract
Background: Supply chain disruptions from natural hazards, geopolitical tensions, or global events, such as the COVID-19 pandemic, can trigger widespread shortages, with particularly severe consequences in healthcare through drug supply interruptions. Existing methods to assess shortage risks include scoring, simulation, and machine [...] Read more.
Background: Supply chain disruptions from natural hazards, geopolitical tensions, or global events, such as the COVID-19 pandemic, can trigger widespread shortages, with particularly severe consequences in healthcare through drug supply interruptions. Existing methods to assess shortage risks include scoring, simulation, and machine learning, but these approaches face limitations in interpretability, scalability, or computational cost. This study explores the application of probabilistic risk assessment (PRA), a method widely used in high-reliability industries, to evaluate pharmaceutical supply chain risks. Methods: We developed the supply chain probabilistic risk assessment framework and tool, which integrates facility-level failure probabilities and flow data to construct and quantify fault trees and network graphs. Using FDA inspection data from drug manufacturing facilities, the framework generates shortage risk profiles, performs uncertainty analysis, and computes importance measures to rank facilities by risk significance. Results: SUPRA quantified 7567 supply chain models in under eight seconds, producing facility-level importance measures and shortage risk profiles that highlight critical vulnerabilities. The tool demonstrated scalability, interpretability, and efficiency compared with traditional simulation-based methods. Conclusions: PRA offers a systematic, data-driven approach for shortage risk assessment in supply chains. SUPRA enables decision-makers to anticipate vulnerabilities, prioritize mitigation strategies, and strengthen resilience in critical sectors such as healthcare. Full article
Show Figures

Figure 1

11 pages, 354 KB  
Article
Development of a Tool to Assess the Severity of Pulmonary Hypertension in Patients with Interstitial Lung Disease: A Guide to Assist Therapeutic Choices
by Garrett Fiscus, Chebly Dagher, David O’Sullivan, Brett Carollo, Kristen Swanson, Harrison W. Farber and Raj Parikh
Adv. Respir. Med. 2025, 93(5), 41; https://doi.org/10.3390/arm93050041 - 6 Oct 2025
Viewed by 249
Abstract
Background: Pulmonary hypertension (PH) is a frequent complication in patients with interstitial lung disease (ILD); its occurrence results in significant morbidity and mortality. Currently approved treatment options for PH-ILD include inhaled prostacyclin therapy, although this approach may be insufficient in patients who have [...] Read more.
Background: Pulmonary hypertension (PH) is a frequent complication in patients with interstitial lung disease (ILD); its occurrence results in significant morbidity and mortality. Currently approved treatment options for PH-ILD include inhaled prostacyclin therapy, although this approach may be insufficient in patients who have developed simultaneous right ventricular failure. Moreover, there is no available treatment algorithm regarding the optimal therapy and timing of lung transplant referral for PH-ILD patients based on disease severity. Design/Methods: In this study, we created such a tool to guide PH-specific therapy in PH-ILD patients, especially as further treatment strategies are developed. We developed a 4-point PH-ILD Severity score that integrated both subjective and objective information (WHO FC, CI, TAPSE, PVR) from retrospective analysis of 57 PH-ILD patients. Results: A score of 3 or greater in the PH-ILD Severity score yielded an AUC of 0.831 (p < 0.001) for the composite endpoint of clinical worsening (hospitalization due to a cardiopulmonary indication; decrease in 6 min walk distance by >15% at 2 consecutive visits; all-cause mortality; lung transplantation). Conclusions: Further confirmation and evolution of this PH-ILD Severity score will assist in the development of optimal treatment plans in ILD patients diagnosed with concomitant PH. Full article
Show Figures

Figure 1

21 pages, 25531 KB  
Article
Effect of Processing Parameters on the Mechanical Behavior of 3D-Printed Basalt Moon Dust Reinforced Polylactic Acid Composites
by Lucian Alexander-Roy, Meelad Ranaiefar, Mrityunjay Singh and Michael Halbig
Polymers 2025, 17(19), 2685; https://doi.org/10.3390/polym17192685 - 4 Oct 2025
Viewed by 415
Abstract
Advanced composite materials and manufacturing technologies are critical to sustain human presence in space. Mechanical testing and analysis are needed to elucidate the effect of processing parameters on composites’ material properties. In this study, test specimens are 3D printed via a fused-filament fabrication [...] Read more.
Advanced composite materials and manufacturing technologies are critical to sustain human presence in space. Mechanical testing and analysis are needed to elucidate the effect of processing parameters on composites’ material properties. In this study, test specimens are 3D printed via a fused-filament fabrication (FFF) approach from a basalt moon dust-polylactic acid (BMD-PLA) composite filament and from pure PLA filament. Compression and tensile testing were conducted to determine the yield strength, ultimate strength, and Young’s modulus of specimens fabricated under several processing conditions. The maximum compressive yield strength for the BMD-reinforced samples is 27.68 MPa with print parameters of 100% infill, one shell, and 90° print orientation. The maximum compressive yield strength for the PLA samples is 63.05 MPa with print parameters of 100% infill, three shells, and 0° print orientation. The composite samples exhibit an increase in strength when layer lines are aligned with loading axis, whereas the PLA samples decreased in strength. This indicates a fundamental difference in how the composite behaves in comparison to the pure matrix material. In tension, test specimens have unpredictable failure modes and often broke outside the gauge length. A portion of the tension test data is included to help guide future work. Full article
(This article belongs to the Section Polymer Processing and Engineering)
Show Figures

Figure 1

25 pages, 843 KB  
Article
Supply Chain Risk Management in the Hygiene and Personal Care Products Industry
by Ciro Rodrigues dos Santos, Ualison Rébula de Oliveira and Vicente Aprigliano
Systems 2025, 13(10), 871; https://doi.org/10.3390/systems13100871 - 4 Oct 2025
Viewed by 512
Abstract
The Personal Care Products (PCP) industry, encompassing cosmetics, hygiene, and personal care items, serves millions of consumers daily and operates under constant pressure for innovation, agility, and sustainability. Within this context, supply chains are viewed as complex and integrated systems, composed of interrelated [...] Read more.
The Personal Care Products (PCP) industry, encompassing cosmetics, hygiene, and personal care items, serves millions of consumers daily and operates under constant pressure for innovation, agility, and sustainability. Within this context, supply chains are viewed as complex and integrated systems, composed of interrelated elements whose interactions determine overall performance and are influenced by external factors. Disruptions—particularly those involving indirect suppliers—can propagate throughout the network, affecting operations, reputation, and business outcomes. Despite the importance of the topic, empirical studies that systematically identify and prioritize these risks in the PCP sector remain scarce, which motivated the conduct of this study. Thus, the aim of this research is to identify, analyze, and evaluate the main supply risks faced by the PCP industry, considering severity, occurrence, and detection capability. Methodologically, the research employed an exploratory multi-case design, carried out in three steps: a literature review to identify key supply chain risks; structured interviews with industry experts to analyze and evaluate these risks; and the application of Gray Relational Analysis (GRA) to aggregate expert judgments and construct a prioritized risk ranking. This combination of qualitative and quantitative techniques provided a detailed foundation for analyzing and interpreting the main risks in the Brazilian PCP sector. The results indicate that indirect supplier failure is the most critical risk, prioritized by 70% of the companies studied. Other significant risks include the inability to meet changes in demand, import issues, lack of supply chain visibility, natural and social disasters, and sustainability or reputational concerns. Consequently, this study contributes to a systemic understanding of risk management in the PCP industry supply chain, providing managers with a practical mapping of critical points and highlighting concrete opportunities to strengthen integration, anticipate disruptions, and enhance operational resilience and performance across the sector. Full article
(This article belongs to the Special Issue Operation and Supply Chain Risk Management)
Show Figures

Figure 1

10 pages, 386 KB  
Review
Liver Robotic Surgery: A Review of Current Use and Future Perspectives
by Vincenzo Schiavone, Filippo Carannante, Gabriella Teresa Capolupo, Valentina Miacci, Gianluca Costa, Marco Caricato and Gianluca Mascianà
J. Clin. Med. 2025, 14(19), 7014; https://doi.org/10.3390/jcm14197014 - 3 Oct 2025
Viewed by 479
Abstract
Background: Robotic liver surgery is emerging as a key advancement in minimally invasive techniques, though it still faces several challenges. Meanwhile, colorectal cancer (CRC) continues to be a leading cause of cancer deaths, with liver metastases affecting 25–30% of patients. These metastases significantly [...] Read more.
Background: Robotic liver surgery is emerging as a key advancement in minimally invasive techniques, though it still faces several challenges. Meanwhile, colorectal cancer (CRC) continues to be a leading cause of cancer deaths, with liver metastases affecting 25–30% of patients. These metastases significantly burden healthcare systems by raising costs and resource demands. Methods: A narrative literature review was performed, resulting in the inclusion of 14 studies in our analysis. Fourteen studies met the inclusion criteria and were analyzed with attention to patient characteristics, surgical details, perioperative outcomes, and reporting limitations. For consistency, simultaneous robotic-assisted resection (RAR) refers to cases in which the colorectal primary and liver metastasectomy were performed during the same operative session. Results: The 14 studies included a total of 771 patients (520 males and 251 females), aged between 31 and 88, undergoing simultaneous robotic-assisted resection (RAR). Most were affected by rectal cancer (76%) and unilobar liver metastases (82%). All surgeries using the DaVinci system are represented by 62% wedge resection and 38% anatomical (21.39% major and 16.61% minor). Patients’ BMI ranged from 19.5 to 40.4 kg/m2, the average blood loss was 181.5 mL (30–780), the median hospital stay was 7 days (range 2–28), and the mean operative time ranged from 30 to 682 min. Data on POLF (postoperative liver failure) are reported in two studies: Rocca et al., 1/90 patients; Marino et al., 1/40 patients. Biliary leak is reported in one case by Marino et al., while Winckelmans et al. reported a 2.6% incidence of biliary leak in the laparoscopic group and 3.4% in the robotic group. Conclusions: As research advances and new therapies emerge for colorectal liver metastasis (CRLM), surgery remains the mainstay of treatment. However, evidence is limited by small sample sizes, heterogeneous study designs, inconsistent reporting of perioperative chemotherapy, timing of surgery, metastasis localization, and complications. Robotic liver surgery has become a well-established technique and possibly represents the future for managing colorectal liver metastases. Further prospective and comparative studies with standardized outcome reporting are needed to define optimal patient selection and long-term effectiveness. Full article
Show Figures

Figure 1

9 pages, 669 KB  
Article
Analysis of Equipment Failures as a Contributor to Hydrogen Refuelling Stations Incidents
by Rialivhuwa Nekhwevha, Daniel M. Madyira and Samuel L. Gqibani
Hydrogen 2025, 6(4), 79; https://doi.org/10.3390/hydrogen6040079 - 3 Oct 2025
Viewed by 366
Abstract
Hydrogen is a sustainable, clean source of energy and a viable alternative to carbon-based fossil fuels. To support the transport sector’s transition from fossil fuels to hydrogen, a hydrogen refuelling station network is being developed to refuel hydrogen-powered vehicles. However, hydrogen’s inherent properties [...] Read more.
Hydrogen is a sustainable, clean source of energy and a viable alternative to carbon-based fossil fuels. To support the transport sector’s transition from fossil fuels to hydrogen, a hydrogen refuelling station network is being developed to refuel hydrogen-powered vehicles. However, hydrogen’s inherent properties present a significant safety challenge, and there have been several hydrogen incidents noted, with severe impacts to people and assets reported from operational hydrogen refuelling stations worldwide. This paper presents the outcome of an analysis of hydrogen incidents that occurred at hydrogen refuelling stations. For this purpose, the HIAD 2.1 and H2tool.org databases were used for the collection of hydrogen incidents. Forty-five incidents were reviewed and analysed to determine the frequent equipment failures in the hydrogen refuelling stations and the underlying causes. This study adopted a mixed research approach for the analysis of the incidents in the hydrogen refuelling stations. The analysis reveals that storage tank failures accounted for 40% of total reported incidents, hydrogen dispenser failures accounted for 33%, compressors accounted for 11%, valves accounted for 9%, and pipeline failures accounted for 7%. To enable the safe operation of hydrogen refuelling stations, hazards must be understood, effective barriers implemented, and learning from past incidents incorporated into safety protocols to prevent future incidents. Full article
Show Figures

Figure 1

11 pages, 524 KB  
Article
Valvular Heart Disease in Non-Valvular Heart Failure Continuum: The Role of Cardiopulmonary Exercise Testing
by Kiriaki Mavromoustakou, Michail Botis, Panagiotis Iliakis, Ioannis Leontsinis, Panagiotis Xydis, Kyriakos Dimitriadis, Christina Chrysohoou and Konstantinos Tsioufis
Biomedicines 2025, 13(10), 2415; https://doi.org/10.3390/biomedicines13102415 - 2 Oct 2025
Viewed by 427
Abstract
Background/Objectives: Patients with non-valvular heart failure frequently develop valvular disease. However, the prevalence of valvular disease across patients with different heart failure etiologies remains underexplored. This study aimed to investigate the burden of VHD among patients with non-valvular heart failure, and secondly [...] Read more.
Background/Objectives: Patients with non-valvular heart failure frequently develop valvular disease. However, the prevalence of valvular disease across patients with different heart failure etiologies remains underexplored. This study aimed to investigate the burden of VHD among patients with non-valvular heart failure, and secondly evaluate its association with cardiopulmonary test. Methods: We analyzed data from patients with non-valvular heart failure (HF) who were evaluated as outpatients at the HF clinic between February 2020 and November 2024. Patients were categorized into three groups: coronary artery disease-related HF (CAD-HF), dilated cardiomyopathy (DCM), and other causes (e.g., hypertension, diabetes, and various cardiomyopathies). Demographic and clinical characteristics, as well as echocardiographic and cardiopulmonary exercise testing (CPET) results, were evaluated. Results: Among all groups mild mitral regurgitation (MR) was the most common valvular disease, followed by mild tricuspid regurgitation (TR). Patients with CAD-HF frequently had mild aortic regurgitation (AR) compared to DCM (23.6% vs. 14.9%, p = 0.05). In the CPET subgroup, which included 41 patients who consented to participate, in patients with moderate-to-severe VHD had significantly lower VO2/HR (oxygen pulse), VO2max, and OUES, indicating worsened functional capacity despite similar left ventricular ejection fraction. Hypertension and atrial fibrillation were independently associated with greater valvular disease severity on multivariable analysis. Conclusions: No significant differences in valvular disease between patients with DCM and CAD-HF were documented, apart from a higher prevalence of mild AR in the CAD-HF group. Patients with moderate-to-severe valvular regurgitation demonstrated worse cardiopulmonary performance, regardless of ejection fraction, highlighting the important role of CPET in evaluating the functional impact of valvular heart disease in this population. Full article
(This article belongs to the Special Issue Advanced Research on Heart Failure and Heart Transplantation)
Show Figures

Figure 1

25 pages, 3027 KB  
Article
Challenges Related to Seabed Soil Conditions in Offshore Engineering in China: Findings from Site Investigations
by Xiaoqing Wu, Youkou Dong, Kuanjun Wang, Kanmin Shen and Hongyi Yang
J. Mar. Sci. Eng. 2025, 13(10), 1893; https://doi.org/10.3390/jmse13101893 - 2 Oct 2025
Viewed by 372
Abstract
Seabed-related issues are common in offshore areas. This poses significant challenges for the design and construction of offshore engineering projects. Under unfavourable seabed soil conditions, foundations may fail to meet the load-bearing capacity requirements, resulting in severe settlement and tilting and, ultimately, the [...] Read more.
Seabed-related issues are common in offshore areas. This poses significant challenges for the design and construction of offshore engineering projects. Under unfavourable seabed soil conditions, foundations may fail to meet the load-bearing capacity requirements, resulting in severe settlement and tilting and, ultimately, the failure of offshore structures. Despite the critical nature of these challenges, a comprehensive literature review for the identification and risk analysis of various unfavourable seabed soil conditions is currently lacking. This paper provides an overview of five key challenges related to seabed soil conditions in China, namely thick, soft mud layers; shallow gas and pockmarks; sand liquefaction; dense sand layers; and boulder stones. The formation mechanisms, distribution areas and engineering characteristics of these conditions are discussed in detail, integrating insights from previous research. Data from site investigations of real-world offshore engineering projects are presented, based on which risk assessment is conducted. This study not only enhances our understanding of the identification, distribution and hazards associated with various unfavourable seabed soil conditions in offshore engineering but also offers guidance on utilizing investigation data for effective risk assessment. Full article
(This article belongs to the Special Issue Submarine Unfavorable Geology and Geological Disasters)
Show Figures

Figure 1

Back to TopTop