Sign in to use this feature.

Years

Between: -

Subjects

remove_circle_outline
remove_circle_outline
remove_circle_outline
remove_circle_outline
remove_circle_outline
remove_circle_outline
remove_circle_outline
remove_circle_outline
remove_circle_outline

Journals

remove_circle_outline
remove_circle_outline
remove_circle_outline
remove_circle_outline
remove_circle_outline
remove_circle_outline
remove_circle_outline
remove_circle_outline
remove_circle_outline
remove_circle_outline
remove_circle_outline
remove_circle_outline
remove_circle_outline
remove_circle_outline
remove_circle_outline
remove_circle_outline
remove_circle_outline
remove_circle_outline
remove_circle_outline
remove_circle_outline
remove_circle_outline
remove_circle_outline
remove_circle_outline
remove_circle_outline
remove_circle_outline
remove_circle_outline
remove_circle_outline
remove_circle_outline
remove_circle_outline
remove_circle_outline
remove_circle_outline
remove_circle_outline
remove_circle_outline
remove_circle_outline
remove_circle_outline
remove_circle_outline
remove_circle_outline
remove_circle_outline
remove_circle_outline
remove_circle_outline
remove_circle_outline
remove_circle_outline
remove_circle_outline
remove_circle_outline
remove_circle_outline

Article Types

Countries / Regions

remove_circle_outline
remove_circle_outline
remove_circle_outline
remove_circle_outline
remove_circle_outline

Search Results (4,000)

Search Parameters:
Keywords = external cause

Order results
Result details
Results per page
Select all
Export citation of selected articles as:
19 pages, 6580 KB  
Review
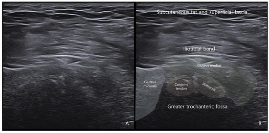
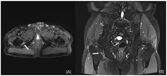
Beyond Nerve Entrapment: A Narrative Review of Muscle–Tendon Pathologies in Deep Gluteal Syndrome
by Yong Hyun Yoon, Ji Hyo Hwang, Ho won Lee, MinJae Lee, Chanwool Park, Jonghyeok Lee, Seungbeom Kim, JaeYoung Lee, Jeimylo C. de Castro, King Hei Stanley Lam, Teinny Suryadi and Kwan Hyun Youn
Diagnostics 2025, 15(19), 2531; https://doi.org/10.3390/diagnostics15192531 - 7 Oct 2025
Abstract
Deep Gluteal Syndrome (DGS) has traditionally been defined as a clinical entity caused by sciatic nerve (SN) entrapment. However, recent anatomical and imaging studies suggest that muscle- and tendon-origin pathologies—including enthesopathy—may also serve as primary pain generators. This narrative review aims to broaden [...] Read more.
Deep Gluteal Syndrome (DGS) has traditionally been defined as a clinical entity caused by sciatic nerve (SN) entrapment. However, recent anatomical and imaging studies suggest that muscle- and tendon-origin pathologies—including enthesopathy—may also serve as primary pain generators. This narrative review aims to broaden the current understanding of DGS by integrating muscle and tendon pathologies into its diagnostic and therapeutic framework. The literature was selectively reviewed from PubMed, Cochrane Library, Google Scholar, PEDro, and Web of Science to identify clinically relevant studies illustrating evolving concepts in DGS pathophysiology, diagnosis, and management. We review clinical features and diagnostic tools including physical examination, MRI, and dynamic ultrasonography, with special attention to deep external rotator enthesopathy. Treatment strategies are summarized, including conservative therapy, ultrasound-guided injections, hydrodissection, and prolotherapy. This narrative synthesis underscores the importance of recognizing muscle-origin enthesopathy and soft-tissue pathologies as significant contributors to DGS. A pathophysiology-based, multimodal approach is essential for accurate diagnosis and effective treatment. Full article
Show Figures

Figure 1

23 pages, 11972 KB  
Article
The Variability in the Thermophysical Properties of Soils for Sustainability of the Industrial-Affected Zone of the Siberian Arctic
by Tatiana V. Ponomareva, Kirill Yu. Litvintsev, Konstantin A. Finnikov, Nikita D. Yakimov, Georgii E. Ponomarev and Evgenii I. Ponomarev
Sustainability 2025, 17(19), 8892; https://doi.org/10.3390/su17198892 - 6 Oct 2025
Abstract
The sustainability of Arctic ecosystems that are extremely vulnerable is contingent upon the state of cryosoils. Understanding the principles of ecosystem stability in permafrost conditions, particularly under external natural or human-induced influences, necessitates an examination of the thermal and moisture regimes of the [...] Read more.
The sustainability of Arctic ecosystems that are extremely vulnerable is contingent upon the state of cryosoils. Understanding the principles of ecosystem stability in permafrost conditions, particularly under external natural or human-induced influences, necessitates an examination of the thermal and moisture regimes of the seasonally thawed soil layer. The study concentrated on the variability in the soil’s thermophysical properties in Central Siberia’s permafrost zone (the northern part of Krasnoyarsk Region, Taimyr, Russia). In the industrially affected area of interest, we evaluated and contrasted the differences in the thermophysical properties of soils between two opposing types of landscapes. On the one hand, these are soils that are characteristic of the natural landscape of flat shrub tundra, with a well-developed moss–lichen cover. An alternative is the soils in the landscape, which have exhibited significant degradation in the vegetation cover due to both natural and human-induced factors. The heat-insulating properties of background areas are controlled by the layer of moss and shrubs, while its disturbance determines the excessive heating of the soil at depth. In comparison to the background soil characteristics, degradation of on-ground vegetation causes the active layer depth of the soils to double and the temperature gradient to decrease. With respect to depth, we examine the changes in soil temperature and heat flow dynamics (q, W/m2). The ranges of thermal conductivity (λ, W/(m∙K)) were assessed using field-measured temperature profiles and heat flux values in the soil layers. The background soil was discovered to have lower thermal conductivity values, which are typical of organic matter, in comparison to the soil of the transformed landscape. Thermal diffusivity coefficients for soil layers were calculated using long-term temperature monitoring data. It is shown that it is possible to use an adjusted model of the thermal conductivity coefficient to reconstruct the dynamics of moisture content from temperature dynamics data. A satisfactory agreement is shown when the estimated (Wcalc, %) and observed (Wexp, %) moisture content values in the soil layer are compared. The findings will be employed to regulate the effects on landscapes in order to implement sustainable nature management in the region, thereby preventing the significant degradation of ecosystems and the concomitant risks to human well-being. Full article
(This article belongs to the Special Issue Land Use Strategies for Sustainable Development)
Show Figures

Figure 1

19 pages, 1868 KB  
Article
Improved Deadbeat Predictive Current Predictive Control Based on Low-Complexity State Feedback Controllers and Online Parameter Identification
by Yun Zhang, Mingchen Luan, Zhenyu Tang, Haitao Yan and Long Wang
Machines 2025, 13(10), 917; https://doi.org/10.3390/machines13100917 - 5 Oct 2025
Abstract
To improve the control accuracy and address the parameter disturbance issues of joint-driven permanent magnet synchronous motors in intelligent manufacturing, this paper proposes an improved deadbeat predictive current predictive control (DPCC) scheme that eliminates dead zones. This scheme establishes a multi-parameter identification model [...] Read more.
To improve the control accuracy and address the parameter disturbance issues of joint-driven permanent magnet synchronous motors in intelligent manufacturing, this paper proposes an improved deadbeat predictive current predictive control (DPCC) scheme that eliminates dead zones. This scheme establishes a multi-parameter identification model based on the error equation of the d-q axis predicted current, which improves the problem of not being able to identify all parameters caused by insufficient input signals. It also implements decoupling compensation for the coupling between the d-q axis inductance, stator resistance, and magnetic flux linkage. To meet the anticipated control objectives and account for external disturbances, a low-complexity specified performance tracking controller (LCSPC) based on output target error signals has been designed. This mitigates output delay issues arising from nonlinear components during motor operation. Finally, simulation analysis and experimental testing demonstrate that the proposed control scheme achieves high identification accuracy with minimal delay, thus meeting the transient control performance requirements for motors in intelligent manufacturing processes. Full article
(This article belongs to the Section Electrical Machines and Drives)
13 pages, 691 KB  
Article
The Pelvic Support Osteotomy: A Useful Therapeutic Alternative for Chronically Unstable Hips in Children and Adolescents
by César Salcedo Cánovas, Javier Martínez Ros, José Molina González, Juan Pedro García Paños, Sarah Toledo García and María José Ros Nicolás
Children 2025, 12(10), 1330; https://doi.org/10.3390/children12101330 - 3 Oct 2025
Abstract
Background/Objectives: The sequelae from conditions affecting the proximal femur may cause instability, pain, leg length discrepancies and abnormal gait. Treatment options include arthrodesis and total hip arthroplasty, but both alternatives have limitations in young patients with severe deformities. Pelvic support osteotomy constitutes a [...] Read more.
Background/Objectives: The sequelae from conditions affecting the proximal femur may cause instability, pain, leg length discrepancies and abnormal gait. Treatment options include arthrodesis and total hip arthroplasty, but both alternatives have limitations in young patients with severe deformities. Pelvic support osteotomy constitutes a viable option in these cases. The present study analyses the effectiveness and safety of the procedure. Methods: This was a retrospective observational study on patients with an unstable or stiff hip treated with a pelvic support osteotomy. Both the results obtained and the complications that occurred were subjected to a statistical analysis. In addition, a narrative literature review was carried out to elucidate the biomechanical rationale and the results of the technique. Results: This study included a total of 12 patients (8 male and 4 female) with a mean age of 13 years (range: 0–19). All cases were unilateral and the mean follow-up time was 6.9 years (range: 1–10). Preoperative leg length discrepancy was 8 cm (range: 5–10), and all patients presented with a marked Trendelenburg sign. The mean leg lengthening achieved was 8 cm (range: 8–10), following a mean external fixation time of 263 days (range: 180–360), which entails an external fixation index of 32.5 days per centimeter lengthened (range: 25–37). Mean leg length discrepancy fell to 0.9 cm (range: 0–3) and the Trendelenburg sign improved following treatment: it disappeared in three patients (25%), it became mild in seven (58%), and it improved to moderate in two (17%). Eight patients (66%) experienced some sort of complication over the course of treatment. Conclusions: Pelvic support osteotomies, combined with femoral lengthening, are a safe and effective option for managing severely damaged hips in children and adolescents. Full article
(This article belongs to the Section Pediatric Orthopedics & Sports Medicine)
Show Figures

Figure 1

10 pages, 3506 KB  
Protocol
Indicator Tubes: A Novel Solution for Monitoring Temperature Excursions in Biobank Storage
by Patrick J. Catterson, Tyler T. Olson, Margaret B. Penno, Steven P. Callahan and Melissa V. Olson
Methods Protoc. 2025, 8(5), 120; https://doi.org/10.3390/mps8050120 - 3 Oct 2025
Abstract
Maintaining the integrity of cryogenically preserved biological materials is critical, as even brief, undetected temperature excursions in storage can compromise sample viability. Existing monitoring systems may miss transient thaw–refreeze events, posing serious quality risks. To address this, we developed and validated frozen indicator [...] Read more.
Maintaining the integrity of cryogenically preserved biological materials is critical, as even brief, undetected temperature excursions in storage can compromise sample viability. Existing monitoring systems may miss transient thaw–refreeze events, posing serious quality risks. To address this, we developed and validated frozen indicator tubes that visually signal deviations from the frozen state, serving as a cost-effective backup to electronic monitors. Our first method uses an aqueous dye solution that immobilizes the dye when frozen; any thawing causes the dye to disperse, providing a clear, external visual cue of a partial or complete thaw. For ultra-low-temperature storage (−80 °C), we introduced a second method using an ethanol-based solution calibrated to indicate thaw events. This system detects temperature rises of 10 °C or more sustained for at least fifteen minutes—conditions that may jeopardize sample stability. When paired with standard monitoring systems, these indicator tubes offer an added layer of protection by providing simple, reliable, and immediate visual confirmation of critical temperature breaches. This innovation enhances confidence in cryogenic storage protocols and supports the long-term preservation of sensitive biological materials. Full article
(This article belongs to the Section Synthetic and Systems Biology)
Show Figures

Figure 1

21 pages, 2866 KB  
Article
Evaluation of the Adaptive Behavior of a Shell-Type Elastic Element of a Drilling Shock Absorber with Increasing External Load Amplitude
by Andrii Velychkovych, Vasyl Mykhailiuk and Andriy Andrusyak
Vibration 2025, 8(4), 60; https://doi.org/10.3390/vibration8040060 - 2 Oct 2025
Abstract
Vibration loads during deep drilling are one of the main causes of reduced service life of drilling tools and emergency failure of downhole motors. This work investigates the adaptive operation of an original elastic element based on an open cylindrical shell used as [...] Read more.
Vibration loads during deep drilling are one of the main causes of reduced service life of drilling tools and emergency failure of downhole motors. This work investigates the adaptive operation of an original elastic element based on an open cylindrical shell used as part of a drilling shock absorber. The vibration protection device contains an adjustable radial clearance between the load-bearing shell and the rigid housing, which provides the effect of structural nonlinearity. This allows effective combination of two operating modes of the drilling shock absorber: normal mode, when the clearance does not close and the elastic element operates with increased compliance; and emergency mode, when the clearance closes and gradual load redistribution and increase in device stiffness occur. A nonconservative problem concerning the contact interaction of an elastic filler with a coaxially installed shaft and an open shell is formulated, and as the load increases, contact between the shell and the housing, installed with a radial clearance, is taken into account. Numerical finite element modeling is performed considering dry friction in contact pairs. The distributions of radial displacements, contact stresses, and equivalent stresses are examined, and deformation diagrams are presented for two loading modes. The influence of different cycle asymmetry coefficients on the formation of hysteresis loops and energy dissipation is analyzed. It is shown that with increasing load, clearance closure begins from local sectors and gradually covers almost the entire outer surface of the shell. This results in deconcentration of contact pressure between the shell and housing and reduction of peak concentrations of equivalent stresses in the open shell. The results confirm the effectiveness of the adaptive approach to designing shell shock absorbers capable of reliably withstanding emergency overloads, which is important for deep drilling where the exact range of external impacts is difficult to predict. Full article
(This article belongs to the Special Issue Vibration Damping)
Show Figures

Figure 1

23 pages, 6028 KB  
Article
Bayesian Analysis of Stormwater Pump Failures and Flood Inundation Extents
by Sebastian Ramsauer, Felix Schmid, Georg Johann, Daniela Falter, Hannah Eckers and Jorge Leandro
Water 2025, 17(19), 2876; https://doi.org/10.3390/w17192876 - 2 Oct 2025
Abstract
Former coal mining in the Ruhr area of North Rhine-Westphalia, Germany, leads to significant challenges in flood management due to drainless sinks in urban areas caused by ground depression. Consequently, pumping stations have been constructed to enable the drainage of incoming river discharge, [...] Read more.
Former coal mining in the Ruhr area of North Rhine-Westphalia, Germany, leads to significant challenges in flood management due to drainless sinks in urban areas caused by ground depression. Consequently, pumping stations have been constructed to enable the drainage of incoming river discharge, preventing overland flooding. However, in the event of the failure of pumping stations, these areas are exposed to a higher flood risk. To address this issue, a methodology has been developed to assess the probability of pumping failures by identifying the most significant failure mechanisms and integrating them into a Bayesian network. To evaluate the impact on the flood inundation probability, a new approach is applied that defines pump failure scenarios depending on available pump discharge capacity and integrates them into a flood inundation probability map. The result is a method to estimate the flood inundation probability stemming from pumping failure, which allows the integration of internal failure mechanisms (e.g., technical or electronic failure) as well as external failure mechanisms (e.g., sedimentation or heavy rainfall). Therefore, authorities can assess the most probable pumping failures and their impact on flood risk management strategies. Full article
(This article belongs to the Section Hydrology)
Show Figures

Figure 1

27 pages, 14407 KB  
Article
Exploring Factors Behind Weekday and Weekend Variations in Public Space Vitality in Traditional Villages, Using Wi-Fi Sensing Method
by Sheng Liu, Zhenni Zhu, Yichen Gao, Shanshan Wang and Yanchi Zhou
ISPRS Int. J. Geo-Inf. 2025, 14(10), 386; https://doi.org/10.3390/ijgi14100386 - 2 Oct 2025
Abstract
With the rise in rural tourism, public space use has become more complex, causing significant weekday-weekend vitality imbalances. However, the factors shaping these dynamics in traditional villages remain unclear. This study uses Wi-Fi sensing method to analyze vitality variations across weekdays and weekends, [...] Read more.
With the rise in rural tourism, public space use has become more complex, causing significant weekday-weekend vitality imbalances. However, the factors shaping these dynamics in traditional villages remain unclear. This study uses Wi-Fi sensing method to analyze vitality variations across weekdays and weekends, and it develops a 13-metric evaluation framework to examine how built environment factors, from both internal and external dimensions, differentially influence the vitality of public spaces in traditional villages across various time periods. Using 17 public spaces in Yantou Village, Lishui, China, as a case, it finds: (1) Historical Element Proximity consistently and significantly drives public space vitality across all periods; (2) Leisure Facility Count and Decorative Element Count demonstrate strong positive effects during weekend morning peaks. (3) Retail Facility Count significantly reduces vitality during weekend morning peak but enhances it during midday off-peak, whereas Street Vendor Count shows the opposite pattern—increasing vitality in morning peak and decreasing it in midday off-peak. Using Wi-Fi sensing’s high-resolution, real-time, and non-invasive capabilities, this study provides a scientific method to accurately assess the variations in public space vitality and their impact factors between weekdays and weekends in traditional villages, offering technical support for enhancing public space vitality and sustainably revitalizing rural heritage. Full article
(This article belongs to the Special Issue Spatial Information for Improved Living Spaces)
Show Figures

Figure 1

19 pages, 604 KB  
Review
Managing Infections in Burn Patients: Strategies and Considerations for Antimicrobial Dosing
by Abdullah F. Alharthi, Khalid Al Sulaiman, Sultan Alotaibi, Rahaf Alqahtani, Nader Damfu, Aisha Alharbi, Sufyan Alomair, Haifa A. Alhaidal and Ohoud Aljuhani
Eur. Burn J. 2025, 6(4), 53; https://doi.org/10.3390/ebj6040053 - 1 Oct 2025
Abstract
Burn injuries are a major cause of morbidity and mortality, largely due to complications such as infection. Impairment of the immune system following burns increases susceptibility to both internal and external infections, underscoring the need for effective infection control strategies in burn care. [...] Read more.
Burn injuries are a major cause of morbidity and mortality, largely due to complications such as infection. Impairment of the immune system following burns increases susceptibility to both internal and external infections, underscoring the need for effective infection control strategies in burn care. In addition, burn patients frequently exhibit profound alterations in drug pharmacokinetics and pharmacodynamics (PK/PD), particularly during the resuscitation and hypermetabolic phases. In the resuscitation phase, increased capillary permeability and reduced cardiac output can prolong drug distribution, delay therapeutic response, lower peak plasma concentrations, and slow elimination. In contrast, the hypermetabolic phase is characterized by elevated catecholamine levels and enhanced tissue perfusion, which accelerate drug distribution and clearance. These physiological changes often necessitate antimicrobial dose adjustments to maintain therapeutic efficacy. This review emphasizes the critical importance of infection prevention and management in burn patients, with a focus on optimizing antimicrobial dosing and therapeutic monitoring in the context of PK/PD alterations. Full article
Show Figures

Figure 1

18 pages, 3033 KB  
Article
Design and Research of an Intelligent Detection Method for Coal Mine Fire Edges
by Yingbing Yang, Duan Zhao, Yicheng Ge and Tao Li
Appl. Sci. 2025, 15(19), 10589; https://doi.org/10.3390/app151910589 - 30 Sep 2025
Abstract
Mine fire is caused by external heat source or coal seam spontaneous combustion, and there are serious hidden dangers in mining operation. The existing detection methods have high cost, limited coverage and delayed response. An edge intelligent fire detection system based on multi-source [...] Read more.
Mine fire is caused by external heat source or coal seam spontaneous combustion, and there are serious hidden dangers in mining operation. The existing detection methods have high cost, limited coverage and delayed response. An edge intelligent fire detection system based on multi-source information fusion is proposed. We enhance the YOLOv5s backbone network by (1) optimized small-target detection and (2) adaptive attention mechanism to improve recognition accuracy. In order to overcome the limitation of video only, a dynamic weighting algorithm combining video and multi-sensor data is proposed, which adjusts the strategy according to the real-time fire risk index. Deploying quantitative models on edge devices can improve underground intelligence and response speed. The experimental results show that the improved YOLOv5s is 7.2% higher than the baseline, the detection accuracy of the edge system in the simulated environment is 8.28% higher, and the detection speed is 26% higher than that of cloud computing. Full article
Show Figures

Figure 1

26 pages, 374 KB  
Review
A Review of Sterilization Methods and Their Commercial Impacts on Polysaccharide-Based Biomaterials
by Evan Moore, Yvonne J. Cortese and Declan Mary Colbert
Macromol 2025, 5(4), 45; https://doi.org/10.3390/macromol5040045 - 30 Sep 2025
Abstract
The most significant barrier against biopolymers’ commercialization is their sensitivity to external factors and poor material properties. In recent years, significant progress has been made to enhance these materials so that they are able to provide their unique physiological benefits while maintaining acceptable [...] Read more.
The most significant barrier against biopolymers’ commercialization is their sensitivity to external factors and poor material properties. In recent years, significant progress has been made to enhance these materials so that they are able to provide their unique physiological benefits while maintaining acceptable material performance. As these materials have developed, so too has their application in the food and medical industry, which often requires them to undergo sterilization. Sterilization is a process in which all microbial life and spores are removed from the surface and within materials and is a regulatory requirement for some food packaging products and all medical applications. Sterilization is carried out primarily using radiation, chemical, and heat treatment, which are all effective in disrupting cell regulation and causing cell death. These processes are known to induce structural and/or chemical changes in materials as well as potential migratory or leaching effects. This review aims to provide a comprehensive evaluation of these sterilization processes and the effects they have on polysaccharides, while established data is discussed that provides insight into their market viability post-sterilization and the importance of further characterization using sterilization. Full article
Show Figures

Graphical abstract

37 pages, 3856 KB  
Article
Urban Health Assessment Through a Planetary Health Perspective: Methods and First Results from the Rome NBFC Experiment
by Carmina Sirignano, Daiane De Vargas Brondani, Gianluca Di Iulio, Chiara Anselmi, Stefania Argentini, Alessandro Bracci, Carlo Calfapietra, Silvia Canepari, Giampietro Casasanta, Giorgio Cattani, Simona Ceccarelli, Hellas Cena, Tony Christian Landi, Rosa Coluzzi, Rachele De Giuseppe, Stefano Decesari, Annalisa Di Cicco, Alessandro Domenico Di Giosa, Luca Di Liberto, Alessandro Di Menno di Bucchianico, Marisa Di Pietro, Oxana Drofa, Simone Filardo, Raffaela Gaddi, Alessandra Gaeta, Clarissa Gervasoni, Alessandro Giammona, Michele Pier Luca Guarino, Laura De Gara, Maria Cristina Facchini, Vito Imbrenda, Antonia Lai, Stefano Listrani, Alessia Lo Dico, Lorenzo Marinelli, Lorenzo Massimi, Maria Cristina Monti, Luca Mortarini, Marco Paglione, Ferdinando Pasqualini, Danilo Ranieri, Laura Restaneo, Matteo Rinaldi, Eleonora Rubin, Andrea Scartazza, Rosa Sessa, Alice Traversa, Lina Fusaro, Annamaria Altomare, Gloria Bertoli and Francesca Costabileadd Show full author list remove Hide full author list
Atmosphere 2025, 16(10), 1144; https://doi.org/10.3390/atmos16101144 - 29 Sep 2025
Abstract
Addressing the planetary crisis associated with climate change, biodiversity loss, global pollution, and public health requires novel and holistic approaches. Here, we present the methodology and initial results of an experiment conducted in Rome within the framework of the National Biodiversity Future Center [...] Read more.
Addressing the planetary crisis associated with climate change, biodiversity loss, global pollution, and public health requires novel and holistic approaches. Here, we present the methodology and initial results of an experiment conducted in Rome within the framework of the National Biodiversity Future Center (NBFC) project, Spoke 6. The major objective of this study was to outline the planetary health approach as a lens to assess urban health. This transdisciplinary case study explored the relationship between urban traffic-related external exposome and pro-oxidative responses in humans and plants. This methodology is based on the integration of atmospheric dynamics modeling, state-of-the-art aerosol measurements, biomonitoring in human cohorts, in vitro cellular assays, and the assessment of functional trait markers in urban trees. The results indicate that short-term exposure to urban aerosols, even at low concentrations, triggers rapid oxidative and inflammatory responses in bronchial epithelial cells, modulates gene and miRNA expression, alters gut microbiota diversity, and induces functional trait changes in urban trees. This study also highlights the feedback mechanisms between vegetation and atmospheric conditions, emphasizing the role of urban greenery in modulating microclimate and exposure. The methodology and initial results presented here will be further analyzed in future studies to explore proof of a cause–effect relationship between short-term exposure to traffic-related environmental stressors in urban areas and oxidative stress in humans and plants, with implications for chronic responses. In a highly urbanized world, this evidence could be pivotal in motivating the widespread implementation of planetary health approaches for assessing urban health. Full article
(This article belongs to the Section Air Quality and Health)
Show Figures

Figure 1

10 pages, 584 KB  
Article
The Anterolateral Thigh Flap as a Solution for Extensive Lateral Skull Base Defects: A Case Series
by Riccardo Nocini, Athena E. Arsie, Valerio Arietti, Marco Mazzola, Maria Sofia Salvetta and Luca Sacchetto
Appl. Sci. 2025, 15(19), 10543; https://doi.org/10.3390/app151910543 - 29 Sep 2025
Abstract
Introduction: Tumors of the lateral skull base, particularly those arising from the external auditory canal and peri-retroauricular regions, present considerable surgical and reconstructive difficulties due to their intricate anatomy and aggressive nature. The anterolateral thigh (ALT) free flap offers a viable reconstruction [...] Read more.
Introduction: Tumors of the lateral skull base, particularly those arising from the external auditory canal and peri-retroauricular regions, present considerable surgical and reconstructive difficulties due to their intricate anatomy and aggressive nature. The anterolateral thigh (ALT) free flap offers a viable reconstruction option, enhancing oncological radicality while minimizing morbidity. Materials and Methods: A retrospective analysis was conducted on five cases of malignant tumors involving the external auditory canal and adjacent soft tissues, treated at a tertiary center from March 2023 to March 2025. All patients underwent radical resection, which included lateral or subtotal temporal bone resection, along with parotidectomy and neck dissection when necessary. Reconstruction was performed using myocutaneous anterolateral thigh free flaps. The study evaluated clinical outcomes, complications, and esthetic results. Results: The ALT flap was used in all cases without major postoperative complications. Two patients received adjuvant radiotherapy; one did not start treatment due to early recurrence. At follow-up, three patients were disease-free, while two had died from unrelated causes. Esthetic and functional outcomes were satisfactory in all patients. Conclusions: The ALT free flap is a universal and reliable option for the reconstruction of complex lateral skull base defects, especially in patients following the radical removal of tumors of the external auditory canal and peri-retroauricular areas. It offers excellent tissue coverage, facilitates adjuvant treatment, and has a low complication rate. While our experience supports its use in aggressive oncological resection, larger studies are needed to confirm these findings. Level of evidence: 4. Full article
(This article belongs to the Special Issue Otolaryngology-Head and Neck Surgery: From Diagnosis to Treatment)
Show Figures

Figure 1

21 pages, 1584 KB  
Article
Ionospheric Information-Assisted Spoofing Detection Technique and Performance Evaluation for Dual-Frequency GNSS Receiver
by Zhenyang Wu, Haixuan Fu, Xiaoxuan Xu, Yuhao Xiao, Yimin Ma, Ziheng Zhou and Hong Li
Electronics 2025, 14(19), 3865; https://doi.org/10.3390/electronics14193865 - 29 Sep 2025
Abstract
Global Navigation Satellite System (GNSS) spoofing, which manipulates PVT solutions through false measurements, increasingly threatens GNSS reliability and user safety. However, most existing simulator-based spoofers, constrained by their inability to access real-time ionospheric information (e.g., Global Ionosphere Maps, GIMs) from external sources, struggle [...] Read more.
Global Navigation Satellite System (GNSS) spoofing, which manipulates PVT solutions through false measurements, increasingly threatens GNSS reliability and user safety. However, most existing simulator-based spoofers, constrained by their inability to access real-time ionospheric information (e.g., Global Ionosphere Maps, GIMs) from external sources, struggle to replicate authentic total electron content (TEC) along each signal propagation path accurately and in a timely manner. In contrast, widespread dual-frequency (DF) receivers with access to the internet can validate local TEC measurements against external references, establishing a pivotal spoofing detection distinction. Here, we propose an Ionospheric Information-Assisted Spoofing Detection Technique (IIA-SDT), exploiting the inherent consistency between TEC values derived from DF pseudo-range measurements and external references in spoofing-free scenarios. Spoofing probably disrupts this consistency: in simulator-based full-channel spoofing where all channels are spoofed, the inaccuracies of the offline ionospheric model used by the spoofer inevitably cause TEC mismatches; in partial-channel spoofing where the spoofer fails to control all channels, an unintended PVT deviation is induced, which also causes TEC deviations due to the spatial variation of the ionosphere. Basic principles and theoretical analysis of the proposed IIA-SDT are elaborated in the paper. Simulations using ionospheric data collected from 2023 to 2024 at a typical mid-latitude location are conducted to evaluate IIA-SDT performance under various parameter configurations. With a window length of 5 s and satellite number of 8, the annual average detection probability approximates 75% at a false alarm rate of 1×103, with observable temporal variations. Field experiments across multiple scenarios further validate the spoofing detection capability of the proposed method. Full article
Show Figures

Figure 1

28 pages, 2202 KB  
Article
Dynamic Modeling, Control, and Upscaling of Solar-Hybridized Biomass Gasification for Continuous and Stabilized Syngas Fuel Production
by Axel Curcio, Sylvain Rodat, Valéry Vuillerme and Stéphane Abanades
Processes 2025, 13(10), 3109; https://doi.org/10.3390/pr13103109 - 28 Sep 2025
Abstract
Solar biomass gasification results in reducing CO2 emissions while saving biomass resources and producing higher-quality syngas when compared with conventional autothermal processes that require partial feedstock combustion for supplying the process heat. However, the solar process suffers from inherent barriers related to [...] Read more.
Solar biomass gasification results in reducing CO2 emissions while saving biomass resources and producing higher-quality syngas when compared with conventional autothermal processes that require partial feedstock combustion for supplying the process heat. However, the solar process suffers from inherent barriers related to the variability of solar energy caused by cloud passages and shutdowns at night. The concept of hybrid solar gasification thus appears attractive for continuous and stabilized operation under intermittent or variable solar irradiation. This study addresses the dynamic simulation and control of hybrid solar–autothermal biomass gasification for continuous and stabilized syngas fuel production. A hybridization path with a constant H2 + CO production was retained, and this control strategy was implemented in a second-by-second dynamic optimization problem using a model predictive control (MPC) algorithm. Its feasibility was demonstrated both at the small scale and industrial scale, and daily to yearly performance results were provided. For a 10 MW hybrid gasifier, the yearly solar heat share was 22% for a controlled 1000 NL/s production rate of H2 + CO (corresponding to the complete allothermal gasification of ~2 t/h of wood at 1200 K), and this decreased with increasing H2 + CO production objectives (17.4% at 1300 NL/s). A total of 24,200 t of wood feedstock and 8290 t of O2 were required annually to generate 1410 t of H2 and 19,200 t of CO, with a 1.03 average H2:CO molar ratio. In addition, solar-only gasification and hybridization with external heating were also assessed. External auxiliary heating might be as efficient as in situ oxy-combustion and would not affect syngas composition by contamination from combustion products throughout hybridization. However, similar to external heat storage, the related thermal efficiency and heat losses must be considered. Full article
(This article belongs to the Special Issue Biomass to Renewable Energy Processes, 2nd Edition)
Show Figures

Graphical abstract

Back to TopTop