Sign in to use this feature.

Years

Between: -

Subjects

remove_circle_outline
remove_circle_outline
remove_circle_outline
remove_circle_outline
remove_circle_outline

Journals

Article Types

Countries / Regions

Search Results (17)

Search Parameters:
Keywords = extensor tendon repair

Order results
Result details
Results per page
Select all
Export citation of selected articles as:
12 pages, 31864 KB  
Case Report
Open Double Mallet Lesion of the Ring Finger with Concomitant Little Finger Fracture: A Case Report
by Suguru Yokoo, Takahiro Toriyama, Yukimasa Okada and Chuji Terada
Diagnostics 2026, 16(9), 1248; https://doi.org/10.3390/diagnostics16091248 - 22 Apr 2026
Viewed by 175
Abstract
Background and Clinical Significance: Mallet finger is a common injury of the extensor mechanism at the distal interphalangeal (DIP) joint; however, open double mallet lesions are rare and may present a complex reconstruction challenge. Case Presentation: A 15-year-old male high school [...] Read more.
Background and Clinical Significance: Mallet finger is a common injury of the extensor mechanism at the distal interphalangeal (DIP) joint; however, open double mallet lesions are rare and may present a complex reconstruction challenge. Case Presentation: A 15-year-old male high school student who sustained an open injury to the left ring and little fingers after a high-energy buggy accident. The ring finger showed an open double mallet lesion in which the extensor tendon remained attached to a tiny avulsion fragment, and a separate dorsal base fragment was also present. The adjacent little finger had a concomitant open fracture with substantial soft tissue injury. Emergency surgery was performed on the day of the injury. For the ring finger, reduction of the tendon-attached avulsion fragment and separate dorsal base fragment was achieved using extension-block pinning, transarticular DIP pinning, and pull-out fixation over a volar button. For the little finger, cross-pinning was performed because the distal fragment was too small for stable non-transarticular fixation. Serial radiographs showed maintained alignment and progressive healing. At the final follow-up, 21 months after the injury, residual deformity and limitation of DIP motion remained; however, no infection, major skin complications, or nail deformity were observed. The little finger DIP joint became ankylosed, whereas some residual mobility remained in the ring finger DIP joint. Despite persistent functional limitations, the patient was able to continue school attendance and percussion-related activities. Conclusions: This case highlights that in an open double mallet lesion, disruption of both the tendon-attached fragment and its bony bed should be considered, and stabilization of the base may be useful in selected injury patterns before definitive tendon-side repair. Full article
(This article belongs to the Section Clinical Diagnosis and Prognosis)
Show Figures

Figure 1

7 pages, 902 KB  
Case Report
Successful Digital Replantation in a Resource-Limited Kenyan Hospital: A Case Report and Discussion
by Alfio Luca Costa, Luca Folini, Alvise Montanari and Franco Bassetto
Surgeries 2026, 7(1), 13; https://doi.org/10.3390/surgeries7010013 - 20 Jan 2026
Viewed by 497
Abstract
Replantation of an amputated finger is a complex microsurgical procedure that is rarely attempted in low-resource settings due to limited infrastructure and expertise. We report a case of complete amputation of a finger in rural Kenya that was successfully replanted during a humanitarian [...] Read more.
Replantation of an amputated finger is a complex microsurgical procedure that is rarely attempted in low-resource settings due to limited infrastructure and expertise. We report a case of complete amputation of a finger in rural Kenya that was successfully replanted during a humanitarian surgical mission. A 28-year-old man sustained a severe crush avulsion agricultural machine injury resulting in the amputation of all ten digits; only one digit was deemed suitable for replantation. The replantation was performed under loupe and microscope magnification by a visiting specialist team in collaboration with local staff. Intraoperatively, bony fixation with Kirschner wires, extensor and flexor digitorum profundus tendon repair, arterial and venous anastomoses, and neurorrhaphy of the digital nerve were achieved. Postoperatively, the finger survived with adequate perfusion. At one-month follow-up, the replanted finger was viable with progressing wound healing and early joint motion; further rehabilitation was arranged to maximize functional recovery. This case, which is, to our knowledge, one of the first documented digital replantations in East Africa, illustrates that successful microsurgical limb salvage is feasible in a non-specialized hospital setting. Our experience underscores that, with proper planning, training, and teamwork, advanced reconstructive procedures like finger replantation can be safely carried out even in resource-constrained hospitals, offering patients in low-income regions outcomes previously achievable only in high-resource centers. Full article
(This article belongs to the Section Hand Surgery and Research)
Show Figures

Figure 1

8 pages, 8046 KB  
Case Report
Neglected Zone VII Extensor Tendons Reconstruction with a Palmaris Longus Tendon Autograft
by Łukasz Wiktor and Ryszard Tomaszewski
Medicina 2025, 61(2), 249; https://doi.org/10.3390/medicina61020249 - 1 Feb 2025
Viewed by 2773
Abstract
Background: This study reported a case of zone VII multiple neglected extensor tendons reconstruction with a palmaris longus tendon autograft in a 15-year-old boy 3 months after the initial trauma. Case presentations: Preoperative examinations revealed complete damage of the extensor carpi radialis longus [...] Read more.
Background: This study reported a case of zone VII multiple neglected extensor tendons reconstruction with a palmaris longus tendon autograft in a 15-year-old boy 3 months after the initial trauma. Case presentations: Preoperative examinations revealed complete damage of the extensor carpi radialis longus (ECRL), extensor carpi radialis brevis (ECRB), abductor pollicis longus (APL), and partial injury of the extensor pollicis brevis (EPB). The extensor tendons were reconstructed with a palmaris longus tendon autograft combined with graft tunnel reconstruction within the scar at the level of the damaged retinaculum. After the surgical treatment, short immobilization and early rehabilitation were applied, providing passive sliding of the reconstructed tendon supplemented with actively mediated extension. Results: Despite the neglectful nature of the injury, surgical treatment and early postoperative rehabilitation resulted in an excellent functional outcome. At the follow-up visit, 6 months postoperative, the patient presented a full range of motion of the radiocarpal joint and thumb without any limitations on hand function. Conclusions: (1) Palmaris longus tendon autograft is a viable option for the treatment of multiple zone VII extensor tendon damage. (2) The combination of early passive motion and actively mediated extension provides tendon gliding and results in good functional outcomes for a hand with zone VII extensor tendon injury. (3) Ultrasound examination can evaluate early results and detect complications, mainly tendon/graft adhesions, after extensor tendon reconstruction surgery. Full article
(This article belongs to the Section Orthopedics)
Show Figures

Figure 1

13 pages, 3451 KB  
Article
Return to Work After Subcutaneous Transposition of the Extensor Indicis Proprius to Repair Inveterate Ruptures of Extensor Pollicis Longus
by Gabriele Tamburrino, Giuseppe Rovere, Lucian Lior Marcovici, Filippo Migliorini, Camillo Fulchignoni and Andrea Fidanza
J. Clin. Med. 2025, 14(3), 814; https://doi.org/10.3390/jcm14030814 - 26 Jan 2025
Viewed by 2251
Abstract
Background/Objectives: An Extensor Pollicis Longus (EPL) subcutaneous rupture is a substantial complication in post-traumatic or degenerative wrist and tendinous lesions. The diagnosis is essentially dictated by a clinical evaluation; in fact, it is characterized by the inability to extend the thumb interphalangeal [...] Read more.
Background/Objectives: An Extensor Pollicis Longus (EPL) subcutaneous rupture is a substantial complication in post-traumatic or degenerative wrist and tendinous lesions. The diagnosis is essentially dictated by a clinical evaluation; in fact, it is characterized by the inability to extend the thumb interphalangeal joint and to retropose the thumb while the hand is resting on a surface. The tendinous transposition using the Extensor Indicis Proprius (EIP) as a donor tendon is a well-known surgical technique performed to restore functional activity to the thumb, and it is preferred for the closer cerebellar network with the thumb itself. However, there is a dearth of clinical results and scientific evidence in the literature. The aim of this study is to evaluate the return-to-work eligibility after an inveterate EPL subcutaneous rupture repaired with a transposition of the EIP. Methods: Patients who reported a subcutaneous rupture of the EPL due to rheumatic diseases or who had undergone previous hand or wrist surgery were excluded; however, all patients tested positive for traumatic wrist hypertension. The surgical technique involves three small incisions to achieve tenorrhaphy of the EIP at the distal head of the EPL. Dynamic tests are carried out intraoperatively to verify the tightness and sufficient rigidity of the suture. The objective evaluation involves the range of motion, pinch strength, and power extension of the thumb and the index finger. Patient-reported outcome measures for pain and patient satisfaction include the Numeric Pain Rating Scale and the Disabilities of the Arm, Shoulder, and Hand questionnaire. Results: A total of 12 patients were eligible (7 W, 5 M, mean age 56.3 years) and were followed for at least one year. There were no surgery-related complications. After the cast was removed 3 weeks after surgery, patients could extend their thumbs, put them back, and use their index fingers. An immediate improvement in objective and subjective assessments was reported. At 10 weeks, nine patients (75%) returned to full work with no pain and without the aid of rehabilitation; two patients (17%) returned to full work with no symptoms 2 weeks later; and only one patient (8%) with a neurological disease required physical therapy, achieving pain control and restoration of full mobility approximately six months after surgery. Conclusions: This surgical technique seems to address satisfactory results in terms of skill recovery and rapid return to work. A tailored rehabilitation program should be implemented for selected patients with neurological conditions that may prolong the adaptation process of the transposed tendon, the coordination, and the independent function of the thumb and index finger. Full article
(This article belongs to the Section Orthopedics)
Show Figures

Figure 1

17 pages, 601 KB  
Systematic Review
The Efficacy of Different Tenotomies in the Treatment of Lateral Epicondylitis: A Systematic Review
by Ayub Ansari, Dania Shoaib, Yazan Tanbour, Charles R. Marchese, Benjamin J. Pautler, Abdullah Baghdadi, Sara Sloan and Jennifer F. Dennis
J. Clin. Med. 2024, 13(22), 6764; https://doi.org/10.3390/jcm13226764 - 10 Nov 2024
Cited by 1 | Viewed by 5284
Abstract
Background: Lateral epicondylitis impacts 1–3% of the population. It affects nearly half of all tennis players, primarily due to repetitive forearm muscle use leading to pain at the lateral elbow, particularly at the extensor carpi radialis brevis tendon. While conservative treatments resolve most [...] Read more.
Background: Lateral epicondylitis impacts 1–3% of the population. It affects nearly half of all tennis players, primarily due to repetitive forearm muscle use leading to pain at the lateral elbow, particularly at the extensor carpi radialis brevis tendon. While conservative treatments resolve most cases, 4–11% of patients with persistent pain require surgery. Tenotomy is the gold standard for repair, but the research comparing the benefits of specific types of tenotomies (open, arthroscopic, percutaneous, ultrasonically assisted, and Tenex forms) is lacking. Methods: PubMed and Embase searches were conducted for articles focused on four tenotomy techniques. The inclusion criteria allowed for the use of randomized controlled trials (RCTs), prospective cohort studies, and comparative observational studies, while the exclusion criteria excluded meta-analyses. Following the PRISMA guidelines, the initial search resulted in 2327 articles. Once the inclusion and exclusion criteria were applied, 1702 articles underwent abstract screening. Finally, 232 articles proceeded to full-text screening, resulting in 37 articles undergoing data extraction. Results: The primary outcomes included functional improvement, pain relief, overall performance, and postoperative disability. The secondary outcomes included patient-reported satisfaction, return-to-work timeframes, and procedural complications. Conclusions: The tenotomy outcomes were similar, regardless of the method, indicating that discussions with patients about their specific outcome preferences may help guide tenotomy method selection. Full article
(This article belongs to the Section Orthopedics)
Show Figures

Figure 1

8 pages, 2267 KB  
Article
The Direct Tendon Suture and Paratenon Repair Technique for Acute Tendinous Mallet Finger: A Case Series
by Seungjun Lee and Seokchan Eun
J. Clin. Med. 2024, 13(11), 3215; https://doi.org/10.3390/jcm13113215 - 30 May 2024
Cited by 1 | Viewed by 4449
Abstract
(1) Introduction: Tendinous mallet finger is a frequent deformity that occurs after an extensor tendon injury during sports or daily life activities. Despite the existence of numerous non-operative and operative techniques to address this deformity, there is a controversy on its optimal management. [...] Read more.
(1) Introduction: Tendinous mallet finger is a frequent deformity that occurs after an extensor tendon injury during sports or daily life activities. Despite the existence of numerous non-operative and operative techniques to address this deformity, there is a controversy on its optimal management. In this study, we aimed to present a direct tendon suture technique using the distal interphalangeal (DIP) joint open approach for treating tendinous mallet finger injury. (2) Methods: Between 2019 and 2021, 19 patients with closed non-fracture tendinous mallet fingers underwent the direct tendon and paratenon repair technique. After skin incision, we opened the paratenon with lazy S shape incision and found the ruptured proximal and distal tendon ends. We reapproximated the tendons using a simple interrupted suture with Prolene #6/0. After that, we meticulously performed paratenon repair using PDS #6/0 for preventing readherence. Temporary trans-articular Kirschner wire fixation was used for 4 weeks. (3) Results: All patients were followed-up for 3–8 months (mean: 4.8 months). The mean final extension lag was 6.5 degrees, and the overall rate of cases with excellent and good outcomes using Crawford’s criteria was 85%. (4) Conclusions: In conclusion, this surgical approach could be a reliable alternative for the treatment of tendinous mallet finger injuries. Full article
Show Figures

Figure 1

16 pages, 13021 KB  
Review
A Novel Surgical Treatment Management Algorithm for Elbow Posterolateral Rotatory Instability (PLRI) Based on the Common Extensor Origin Integrity
by Christos Koukos, Michail Kotsapas, Konstantinos Sidiropoulos, Aurélien Traverso, Kerem Bilsel, Fredy Montoya and Paolo Arrigoni
J. Clin. Med. 2024, 13(8), 2411; https://doi.org/10.3390/jcm13082411 - 20 Apr 2024
Cited by 7 | Viewed by 4258
Abstract
Background: Here, we introduce a comprehensive treatment algorithm for posterolateral rotatory instability (PLRI) of the elbow, a condition affecting elbow mobility. We outline a diagnostic approach and a novel surgical management plan through the arthroscopic surgeon’s point of view. Methods: The [...] Read more.
Background: Here, we introduce a comprehensive treatment algorithm for posterolateral rotatory instability (PLRI) of the elbow, a condition affecting elbow mobility. We outline a diagnostic approach and a novel surgical management plan through the arthroscopic surgeon’s point of view. Methods: The central focus of this management approach is the integrity of common extensor origin (CEO). High clinical suspicion must be evident to diagnose PLRI. Special clinical and imaging tests can confirm PLRI but sometimes the final confirmation is established during the arthroscopic treatment. The most appropriate treatment is determined by the degree of CEO integrity. Results: The treatment strategy varies with the CEO’s condition: intact or minor tears require arthroscopic lateral collateral ligament imbrication, while extensive tears may need plication reinforced with imbrication or, in cases of retraction, a triceps tendon autograft reconstruction of the lateral ulnar collateral ligament alongside CEO repair. These approaches aim to manage residual instability and are complemented using a tailored rehabilitation protocol to optimize functional outcomes. Conclusion: PLRI is a unique clinical condition and should be treated likewise. This algorithm offers valuable insights for diagnosing and treating PLRI, enhancing therapeutic decision-making. Full article
(This article belongs to the Special Issue Recent Advances in Trauma and Orthopaedic Surgery)
Show Figures

Figure 1

11 pages, 225 KB  
Article
The Influence of Insurance Status on Extensor Tendon Repair Outcomes
by Stewart S. Dalton, Laura M. Maharjan, Hayyan Yousuf and William F. Pientka
Surgeries 2024, 5(1), 73-83; https://doi.org/10.3390/surgeries5010009 - 29 Feb 2024
Viewed by 2190
Abstract
Background: Little is known regarding how patient insurance status influences outcomes after extensor tendon-injury repair. We aim to establish a relationship between the outcomes of primarily repaired extensor tendon injuries and patient insurance status. We hypothesize that commercially insured patients will achieve superior [...] Read more.
Background: Little is known regarding how patient insurance status influences outcomes after extensor tendon-injury repair. We aim to establish a relationship between the outcomes of primarily repaired extensor tendon injuries and patient insurance status. We hypothesize that commercially insured patients will achieve superior outcomes due to more facile access to postoperative hand therapy and fewer barriers to appropriate postoperative care. Methods: A retrospective chart review was conducted of patients who underwent primary extensor tendon repair in any zone, excluding the thumb, at a single large safety-net hospital. Inclusion criteria included a minimum of eight weeks of follow-up, complete data available for review, and an extensor tendon injury requiring primary surgical repair. Four cohorts were examined: patients with commercial insurance, patients with Medicare/Medicaid, patients with county hospital-sponsored insurance, and uninsured patients. Statistical analysis was performed using Chi-Square and ANOVA analyses, with significance defined as p ≤ 0.05. Results: Of the 62 patients (100 digits) included, 20 had commercial insurance, 12 had Medicare/Medicaid, 13 had hospital-sponsored insurance, and 17 were uninsured. Except for mean age, there were no significant differences between groups in terms of demographic data, medical comorbidities, or digit characteristics. There were also no significant differences in mean follow-up, time to return to full activity, or surgical complications among groups. Procedure duration differed significantly between groups, with procedures lasting longer in uninsured patients. Postoperative final flexion total arc of motion (TAM) and extension measurements were similar across all groups. Additionally, hand therapy visits did not differ significantly between groups. Conclusions: Following extensor tendon repair, patient insurance status did not affect outcomes in terms of final range of motion, return to full activity, or postoperative complications. Full article
10 pages, 1519 KB  
Case Report
Ultrasound-Guided Injection of Autologous Platelet-Rich Plasma for Refractory Lateral Epicondylitis of Humerus: Case Series
by Guohang Huang, Jiangshan Zhang, Zhenhai Wei, Yiying Mai, Jisheng Guo and Li Jiang
J. Pers. Med. 2023, 13(1), 66; https://doi.org/10.3390/jpm13010066 - 28 Dec 2022
Cited by 7 | Viewed by 6613
Abstract
Refractory lateral epicondylitis (RLE) is a tendinopathy of the elbow with less effective conservation treatment. Platelet-rich plasma (PRP) is a new treatment option for RLE because of its repair-promoting effect on tissues. Although evidence demonstrates the efficacy of PRP in treating tendinopathies, the [...] Read more.
Refractory lateral epicondylitis (RLE) is a tendinopathy of the elbow with less effective conservation treatment. Platelet-rich plasma (PRP) is a new treatment option for RLE because of its repair-promoting effect on tissues. Although evidence demonstrates the efficacy of PRP in treating tendinopathies, the therapeutic utility of ultrasound-guided PRP injection for RLE is unknown. Here, we report two cases of RLE treated with PRP. The first patient was a 78-year-old man who received an unknown dose of local glucocorticoid injection at the local community clinic in June 2016. His pain recurred after exertion. The second patient was a 54-year-old woman who received a glucocorticoid injection (0.5 mL of compound betamethasone and 1.5 mL of 0.9% normal saline) in October 2020. Her pain could not be relieved. A physician diagnosed patients with RLE based on their medical history, symptoms, and clinical signs. The doctor injected PRP (the first patient in November 2020, the second in March 2021) under ultrasound guidance into the patient’s attachment point of the extensor tendon at the lateral humeral epicondyle. The doctor evaluated the effectiveness of the treatment by ultrasonography, visual analogue scale, and the patient-rated tennis elbow evaluation. After four weeks of treatment, the pain was relieved, and functions continued to improve in the following three months. Moreover, the ultrasonography showed that the damaged tendons were repaired. Together, we demonstrate that ultrasound-guided PRP injection could considerably relieve pain, improve elbow joint functions in patients with RLE, and provide visible evidence that PRP repairs tendon damage. Full article
(This article belongs to the Special Issue Recent Advances in Orthopaedic Surgery and Pathogenesis)
Show Figures

Figure 1

8 pages, 2376 KB  
Article
Motion Analysis of the Extensor Carpi Ulnaris in Triangular Fibrocartilage Complex Injury Using Ultrasonography Images
by Shuya Tanaka, Atsuyuki Inui, Yutaka Mifune, Hanako Nishimoto, Tomoya Yoshikawa, Issei Shinohara, Takahiro Furukawa, Tatsuo Kato, Masaya Kusunose and Ryosuke Kuroda
Sensors 2022, 22(21), 8216; https://doi.org/10.3390/s22218216 - 27 Oct 2022
Cited by 5 | Viewed by 4063
Abstract
The subsheath of the extensor carpi ulnaris (ECU) tendon, a component of the triangular fibrocartilage complex (TFCC), is particularly important as it dynamically stabilizes the distal radioulnar joint. However, the relationship between TFCC injury and ECU dynamics remains unclear. This study aimed to [...] Read more.
The subsheath of the extensor carpi ulnaris (ECU) tendon, a component of the triangular fibrocartilage complex (TFCC), is particularly important as it dynamically stabilizes the distal radioulnar joint. However, the relationship between TFCC injury and ECU dynamics remains unclear. This study aimed to analyze ECU movement and morphology using ultrasonography (US) images. Twenty wrists of patients with TFCC injury, who underwent TFCC repair, were included in the injury group, and 20 wrists of healthy volunteers were in the control group. For static image analysis, curvature and linearity ratios of the ECU in US long-axis images captured during radioulnar deviation were analyzed. For dynamic analysis of the ECU, the wrist was moved from radial deviation to ulnar deviation at a constant speed, and the velocity of the tendon was analyzed using particle image velocimetry. The static analysis showed that the ECU tendon was more curved in ulnar deviation in the injury group than in the control group, and the dynamic analysis showed that only vertical velocity toward the deep side during ulnar deviation was higher in the injury group. These results suggest that TFCC injury caused ECU curvature during ulnar deviation and increased the vertical velocity of the ECU during wrist deviation. Full article
(This article belongs to the Special Issue Vision- and Image-Based Biomedical Diagnostics)
Show Figures

Figure 1

8 pages, 3185 KB  
Case Report
Reconstruction of a Neglected, Extensor Hallucis Longus Tendon Rupture Using Interposed Scar Tissue: A Case Report and Literature Review
by Woo-Jong Kim, Ki-Jin Jung, Hyein Ahn, Eui-Dong Yeo, Hong-Seop Lee, Sung-Hun Won, Dhong-Won Lee, Jae-Young Ji, Sung-Joon Yoon and Yong-Cheol Hong
Int. J. Environ. Res. Public Health 2021, 18(22), 12157; https://doi.org/10.3390/ijerph182212157 - 19 Nov 2021
Cited by 9 | Viewed by 12918
Abstract
Injury of the extensor hallucis longus (EHL) tendon is relatively rare, but surgical repair is necessary to prevent deformity and gait disturbance. Primary suturing is possible if the condition is acute, but not when it is chronic. The scar tissue between the ruptured [...] Read more.
Injury of the extensor hallucis longus (EHL) tendon is relatively rare, but surgical repair is necessary to prevent deformity and gait disturbance. Primary suturing is possible if the condition is acute, but not when it is chronic. The scar tissue between the ruptured ends is a proliferative tissue composed of fibroblasts and collagen fibers. Given the histological similarity to normal tendons, several studies have reported tendon reconstruction using scar tissue. Here, we report a reconstruction of a neglected EHL rupture using interposed scar tissue. A 54-year-old female visited our clinic with a weak extension of a big toe. She had dropped a knife on her foot a month prior, but did not go to hospital. The wound had healed, but she noted dysfunctional extension of the toe and increasing pain. Magnetic resonance imaging (MRI) revealed that EHL continuity was lost and that the proximal tendon stump was displaced toward the midfoot. Scar tissue running in the direction of the original ligament was observed between the ruptured ends. In the surgical field, the scar tissue formed a shape similar to the extensor tendon. Therefore, we performed tendon reconstruction using the interposed scar tissue. For the first 2 postoperative weeks, the ankle and foot were immobilized to protect the repair. Six weeks after surgery, the patient commenced full weight-bearing. At the 3-month follow-up, active extension of the hallux was possible, with a full range of motion. The patient did not feel any discomfort during daily life. Postoperative MRI performed at 1 year revealed that the reconstructed EHL exhibited homogeneously low signal intensity, and was continuous. The AOFAS Hallux Metatarsophalangeal-Interphalangeal scale improved from 57 to 90 points and the FAAM scores improved from 74% to 95% (the Activities of Daily Living subscale) and from 64% to 94% (the Sports subscale). Scar tissue reconstruction is as effective as tendon autografting or allografting, eliminates the risk of donor site morbidity and infection, and requires only a small incision and a short operative time. Full article
(This article belongs to the Special Issue Lower Extremity Diseases, Injuries and Public Health)
Show Figures

Figure 1

5 pages, 3435 KB  
Case Report
Ultrasound Examination and Navigation for Repeat/Delayed Reconstruction of the Ankle Extensor Tendons
by Kamal Mezian, Karolína Sobotová, David Zámečník and Levent Özçakar
Diagnostics 2021, 11(8), 1408; https://doi.org/10.3390/diagnostics11081408 - 4 Aug 2021
Cited by 2 | Viewed by 3688
Abstract
Herein, we describe a 46-year-old woman with persistent pain and weakness in her left ankle/foot one year after surgical repair of all three ankle extensor tendons following a penetrating injury. This report presents a unique case whereby US imaging played a paramount role [...] Read more.
Herein, we describe a 46-year-old woman with persistent pain and weakness in her left ankle/foot one year after surgical repair of all three ankle extensor tendons following a penetrating injury. This report presents a unique case whereby US imaging played a paramount role in the diagnosis and surgical management of a previous nonanatomic repair of the ankle extensor tendons after a penetrating injury one year prior. The above-quoted findings were subsequently corrected with end-to-end sutures. On the third postoperative month follow-up, the patient was free of any complaints or complications. Full article
Show Figures

Figure 1

536 KB  
Article
A Novel Technique for Soft-Tissue Defect Repair After Traumatic Rupture of the Extensor Hallucis Longus Tendon
by Ellianne Nasser, William Clark and Michael Gibboney
J. Am. Podiatr. Med. Assoc. 2021, 111(3), 18066; https://doi.org/10.7547/18-066 - 1 May 2021
Cited by 1 | Viewed by 42
Abstract
Background: Surgical repair of extensor hallucis longus (EHL) tendon rupture with a concomitant capsular defect has not been reported in the literature. This case presents a novel approach to EHL tendon rupture repair along with repair of a first metatarsophalangeal joint capsule defect. [...] Read more.
Background: Surgical repair of extensor hallucis longus (EHL) tendon rupture with a concomitant capsular defect has not been reported in the literature. This case presents a novel approach to EHL tendon rupture repair along with repair of a first metatarsophalangeal joint capsule defect. Methods: A case study is presented of a 61-year-old man with a traumatic EHL tendon rupture and capsular defect treated with an EHL tendon turndown flap and tenodesis to the extensor hallucis brevis and capsularis tendons with autograft flap reconstruction of the first metatarsophalangeal joint capsule. Discussion: A 61-year-old man presented with an acute traumatic EHL tendon rupture and first metatarsophalangeal joint capsule compromise after a chainsaw injury. He subsequently lost dorsiflexion of his hallux, and magnetic resonance imaging confirmed a 2.2-cm gap in the EHL tendon. He was treated with an EHL tendon turndown flap and tenodesis to the extensor hallucis brevis and capsularis tendons to reestablish dorsiflexion to the hallux. The injury was noted to infiltrate the first metatarsophalangeal joint capsule and was treated with an autograft of the first metatarsophalangeal joint capsule for a capsular defect. At 1-year follow-up the patient has regained dorsiflexion of the hallux and is back to activities such as snow skiing without pain. Conclusions: Ruptures of the EHL tendon with first metatarsophalangeal joint capsule defects have not been reported in the literature. Herein, a novel approach was used to reestablish physiologic function to the EHL tendon and provide sufficient coverage of the first metatarsophalangeal joint. (J Am Podiatr Med Assoc 111(3): 1-5, 2021) Full article
Show Figures

Figure 1

20 pages, 4279 KB  
Article
A Pilot Study of Musculoskeletal Abnormalities in Patients in Recovery from a Unilateral Rupture-Repaired Achilles Tendon
by Dong Sun, Gusztáv Fekete, Julien S. Baker, Qichang Mei, Bíró István, Yan Zhang and Yaodong Gu
Int. J. Environ. Res. Public Health 2020, 17(13), 4642; https://doi.org/10.3390/ijerph17134642 - 28 Jun 2020
Cited by 18 | Viewed by 4449
Abstract
The purpose of this study was to compare the inter-limb joint kinematics, joint moments, muscle forces, and joint reaction forces in patients after an Achilles tendon rupture (ATR) via subject-specific musculoskeletal modeling. Six patients recovering from a surgically repaired unilateral ATR were included [...] Read more.
The purpose of this study was to compare the inter-limb joint kinematics, joint moments, muscle forces, and joint reaction forces in patients after an Achilles tendon rupture (ATR) via subject-specific musculoskeletal modeling. Six patients recovering from a surgically repaired unilateral ATR were included in this study. The bilateral Achilles tendon (AT) lengths were evaluated using ultrasound imaging. The three-dimensional marker trajectories, ground reaction forces, and surface electromyography (sEMG) were collected on both sides during self-selected speed during walking, jogging and running. Subject-specific musculoskeletal models were developed to compute joint kinematics, joint moments, muscle forces and joint reaction forces. AT lengths were significantly longer in the involved side. The side-to-side triceps surae muscle strength deficits were combined with decreased plantarflexion angles and moments in the injured leg during walking, jogging and running. However, the increased knee extensor femur muscle forces were associated with greater knee extension degrees and moments in the involved limb during all tasks. Greater knee joint moments and joint reaction forces versus decreased ankle joint moments and joint reaction forces in the involved side indicate elevated knee joint loads compared with reduced ankle joint loads that are present during normal activities after an ATR. In the frontal plane, increased subtalar eversion angles and eversion moments in the involved side were demonstrated only during jogging and running, which were regarded as an indicator for greater medial knee joint loading. It seems after an ATR, the elongated AT accompanied by decreased plantarflexion degrees and calf muscle strength deficits indicates ankle joint function impairment in the injured leg. In addition, increased knee extensor muscle strength and knee joint loads may be a possible compensatory mechanism for decreased ankle function. These data suggest patients after an ATR may suffer from increased knee overuse injury risk. Full article
(This article belongs to the Special Issue Advances in Foot Posture Assessment and Health Implications)
Show Figures

Figure 1

422 KB  
Article
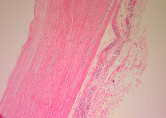
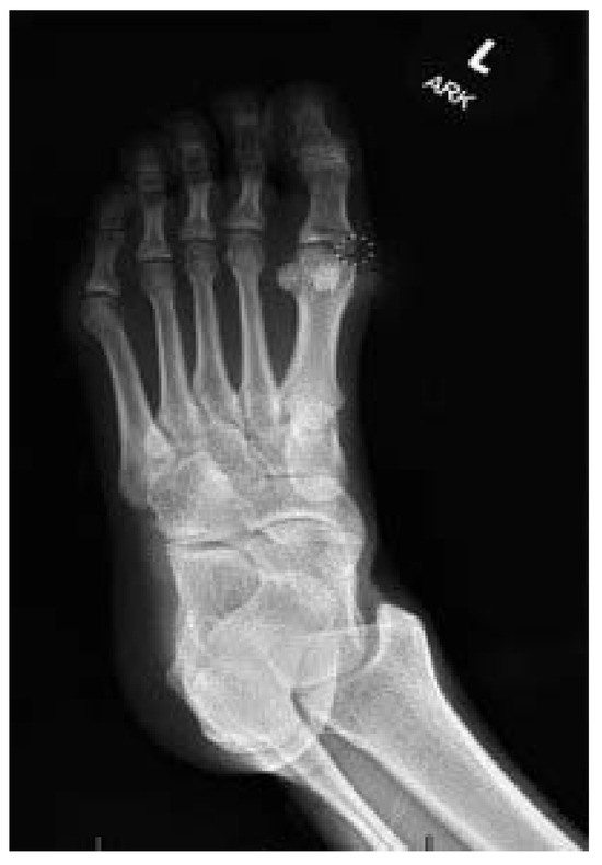
Intratendinous Ganglion Cyst of the Extensor Digitorum Longus: A Case Report
by He Xu, Michael I. Gazes, Trusha Jariwala and Paul T. Gambardella
J. Am. Podiatr. Med. Assoc. 2020, 110(1), 19046; https://doi.org/10.7547/19-046 - 1 Jan 2020
Cited by 4 | Viewed by 59
Abstract
Ganglion cysts have been recorded in many areas throughout the body. Intratendinous ganglion cysts in the foot are very rare. We present the case of 51-year-old woman with a recurrent right foot ganglion cyst. Surgical excision revealed a ganglion cyst in the tendon [...] Read more.
Ganglion cysts have been recorded in many areas throughout the body. Intratendinous ganglion cysts in the foot are very rare. We present the case of 51-year-old woman with a recurrent right foot ganglion cyst. Surgical excision revealed a ganglion cyst in the tendon sheath of the extensor digitorum longus. It is important to be aware of potential tendon involvement for ganglion cysts, as surgeons must be prepared to perform tendon repairs in addition to mass excisions if the tendon is compromised. Full article
Show Figures

Figure 1

Back to TopTop