Sign in to use this feature.

Years

Between: -

Subjects

remove_circle_outline
remove_circle_outline
remove_circle_outline
remove_circle_outline
remove_circle_outline
remove_circle_outline
remove_circle_outline

Journals

Article Types

Countries / Regions

Search Results (59)

Search Parameters:
Keywords = endoscopic contrast-enhanced ultrasound

Order results
Result details
Results per page
Select all
Export citation of selected articles as:
12 pages, 2243 KB  
Article
Contrast-Enhanced Harmonic Endoscopic Ultrasonography for Diagnosing Gastric Subepithelial Tumors
by Moon Won Lee, Dong Chan Joo, Gwang Ha Kim, Bong Eun Lee and Hye Kyung Jeon
Diagnostics 2026, 16(1), 165; https://doi.org/10.3390/diagnostics16010165 - 5 Jan 2026
Viewed by 195
Abstract
Background/Objectives: Contrast-enhanced harmonic endoscopic ultrasonography (CH-EUS) is a promising tool for differentiating gastric subepithelial tumors (SETs). However, most published studies have mainly included gastrointestinal stromal tumors (GIST) and leiomyomas in the gastrointestinal tract, not limited to gastric SETs. This study evaluated the diagnostic [...] Read more.
Background/Objectives: Contrast-enhanced harmonic endoscopic ultrasonography (CH-EUS) is a promising tool for differentiating gastric subepithelial tumors (SETs). However, most published studies have mainly included gastrointestinal stromal tumors (GIST) and leiomyomas in the gastrointestinal tract, not limited to gastric SETs. This study evaluated the diagnostic performance of CH-EUS in gastric SETs encountered in clinical practice. Methods: We retrospectively analyzed 68 patients who underwent CH-EUS for gastric SETs between March 2021 and July 2025 at our institution. Gastric SETs were classified into benign (n = 27: ectopic pancreas, leiomyoma, schwannoma, glomus tumor, plexiform fibromyxoma, desmoid tumor, solitary fibrous tumor, and abscess) and GIST groups (n = 41). CH-EUS features, including arterial enhancement, irregular vessels, and diffuse enhancement, were assessed. Histopathological confirmation was obtained through EUS-guided fine-needle biopsy or endoscopic/surgical resection. Results: The GIST group showed significantly higher rates of arterial enhancement (95.1% vs. 74.1%, p = 0.024), irregular vessels (51.2% vs. 22.2%, p = 0.017), and diffuse enhancement (87.8% vs. 66.7%, p = 0.035) than the benign SETs. The diagnostic performance of arterial enhancement showed a sensitivity of 95.1% and specificity of 25.9%, while irregular vessels demonstrated a sensitivity of 51.2% and specificity of 77.8%, and diffuse enhancement showed a sensitivity of 87.8% and specificity of 33.3%. When combining ≥2 CH-EUS features, the sensitivity and specificity were 92.7% and 33.3%, respectively, with an overall accuracy of 69.1%. The presence of all three features yielded a specificity of 81.5% but a lower sensitivity (46.3%). Conclusions: CH-EUS exhibited a high sensitivity but low specificity in differentiating GISTs from various benign gastric SETs when using a combination of at least two CE-EUS features, including arterial enhancement, irregular vessels, and diffuse enhancement. Full article
(This article belongs to the Special Issue New Advances in Gastrointestinal Endoscopy)
Show Figures

Figure 1

16 pages, 892 KB  
Review
Role of Endoscopic Ultrasound in Pancreatic Metastases: A Comprehensive Review
by Mario Ricchiuti, Alberto Martino, Michele Amata, Francesco Paolo Zito, Roberto Fiorentino, Daniela Scimeca, Severo Campione, Ferdinando Riccardi, Carlo Molino, Roberto Di Mitri, Giovanni Sarnelli, Luca Barresi and Giovanni Lombardi
Gastroenterol. Insights 2026, 17(1), 3; https://doi.org/10.3390/gastroent17010003 - 31 Dec 2025
Viewed by 196
Abstract
Metastases to the pancreas (PM), although rare, have been increasingly identified in recent years, especially among high-volume pancreatic centers. They are often asymptomatic and incidentally detected during follow-up examinations, even several years after the treatment of the primary tumor. In this scenario, endoscopic [...] Read more.
Metastases to the pancreas (PM), although rare, have been increasingly identified in recent years, especially among high-volume pancreatic centers. They are often asymptomatic and incidentally detected during follow-up examinations, even several years after the treatment of the primary tumor. In this scenario, endoscopic ultrasound (EUS) has emerged as a crucial diagnostic tool for PM, being capable of providing a detailed morphological characterization and safe and effective tissue acquisition for cytohistological examination. The aim of our study was to extensively review the current evidence concerning the role of EUS in the diagnosis of PM, specifically focusing on its morphological features, contrast-enhancement patterns, and tissue acquisition techniques. Full article
(This article belongs to the Special Issue Advances in the Management of Gastrointestinal and Liver Diseases)
Show Figures

Figure 1

25 pages, 633 KB  
Review
Diagnosis and Surgical Management for Advanced Pancreatic Cancer Requiring Vascular Resection
by Symeou Solonas, Lolis D. Evangelos and Glantzounis K. Georgios
Diagnostics 2026, 16(1), 102; https://doi.org/10.3390/diagnostics16010102 - 28 Dec 2025
Viewed by 442
Abstract
Pancreatic ductal adenocarcinoma (PDAC) remains one of the most aggressive malignancies, with overall survival outcomes that have improved only modestly in recent years. Careful preoperative evaluation is essential for defining resectability and planning surgery. Modern imaging modalities, including high-resolution, contrast-enhanced CT, MRI and [...] Read more.
Pancreatic ductal adenocarcinoma (PDAC) remains one of the most aggressive malignancies, with overall survival outcomes that have improved only modestly in recent years. Careful preoperative evaluation is essential for defining resectability and planning surgery. Modern imaging modalities, including high-resolution, contrast-enhanced CT, MRI and endoscopic ultrasound, provide a detailed assessment of vascular involvement and allow accurate staging according to various international criteria and consensus statements. In borderline and locally advanced cases, neoadjuvant therapy can aid in downsizing the tumor and increasing the likelihood of achieving negative margin resection (R0), offering long-term survival along with quality of life. When vascular invasion limits resectability, venous resection and reconstruction may permit an R0 resection in patients with borderline resectable disease that is both technically operable and physiologically tolerable for the patient. Arterial resection, however, remains controversial and is rarely justified because of its limited perioperative and survival benefits. Arterial divestment has emerged as an interesting alternative, allowing tumor clearance while avoiding full arterial reconstruction. Vascular reconstructions can be achieved through venorrhapy, end-to-end anastomosis, or segmental replacement using either autologous or synthetic grafts. With the advances in neoadjuvant treatment, the appropriate selection of candidates for vascular resection significantly increases the resectability rate, offering long-term survival along with satisfactory quality of life. In this review, a detailed literature review is performed regarding the best strategies in the diagnosis and surgical management of patients with borderline resectable and locally advanced pancreatic cancer requiring vascular resection. Full article
(This article belongs to the Special Issue Current Diagnosis and Treatment in Surgical Oncology)
Show Figures

Figure 1

8 pages, 3406 KB  
Case Report
Elastography and Contrast-Guided Sampling Using Endoscopic Ultrasound-Guided Fine-Needle Biopsy for Evaluation of Large Gastric Subepithelial Lesions: A Case Report
by Giacomo Emanuele Maria Rizzo, Serena Russo, Maria Cristina Saffioti, Lucio Mandalà, Giuseppe Infantino, Mario Traina, Elio D’Amore, Dario Quintini, Gabriele Rancatore, Marco Giachetto, Dario Ligresti, Margherita Pizzicannella, Giuseppe Rizzo, Nicoletta Belluardo, Piergiorgio Mezzatesta and Ilaria Tarantino
Gastroenterol. Insights 2026, 17(1), 2; https://doi.org/10.3390/gastroent17010002 - 23 Dec 2025
Viewed by 279
Abstract
Endoscopic ultrasound (EUS) with fine-needle biopsy (FNB) is one of the techniques applied for sampling subepithelial lesions (SELs) of the gastrointestinal tract. Elastography and contrast-enhanced evaluation could permit identification of different patterns among areas of the lesions, depending on their consistence and the [...] Read more.
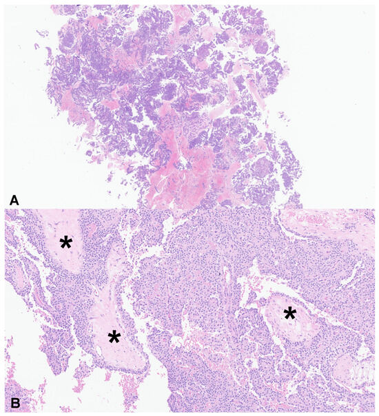
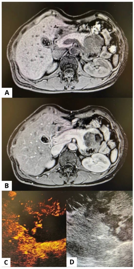
Endoscopic ultrasound (EUS) with fine-needle biopsy (FNB) is one of the techniques applied for sampling subepithelial lesions (SELs) of the gastrointestinal tract. Elastography and contrast-enhanced evaluation could permit identification of different patterns among areas of the lesions, depending on their consistence and the presence of vital cells or necrosis. Targeting a specific area when performing FNB in the case of large lesions could potentially permit an increase in accuracy and reduce the need for re-sampling. A 61-year-old woman was admitted reporting severe abdominal pain. The patient underwent cholecystectomy many years ago. She had no known family history of gastrointestinal, hepatic, biliary, or pancreatic disease. Laboratory tests were normal. A computed tomography scan showed a large lesion between the stomach and the pancreatic body, suspected to originate from the gastric wall. An endoscopic view showed a large bulging into the gastric lumen and EUS identified a lesion originating from the muscular layer of the gastric wall. Elastography and contrast-enhanced EUS identified two different areas, one softer with lower enhancement (A) and the other harder with higher enhancement after contrast injection (B). FNB was performed targeting both the areas, sending samples for separate histological evaluation. Histology showed a gastrointestinal stromal tumor (GIST), finding differences in amount of necrotic and neoplastic cells between the two areas. EUS-FNB guided by elastography and/or contrast-enhanced EUS could identify differences within large SELs, allowing targeting of areas more likely to collect diagnostic samples. Full article
(This article belongs to the Section Gastrointestinal Disease)
Show Figures

Figure 1

10 pages, 232 KB  
Article
Staging Laparoscopy in High-Risk Gastric Cancer: A Decade of Real-World Evidence and Therapeutic Impact from a Tertiary Referral Center
by Andrea Cossu, Riccardo Calef, Francesco Puccetti, Silvia Foti, Stefano Cascinu, Riccardo Rosati, Ugo Elmore and OSR CCeR Collaborative Group
Cancers 2026, 18(1), 27; https://doi.org/10.3390/cancers18010027 - 21 Dec 2025
Viewed by 381
Abstract
Background and Aims: Gastric cancer (GC) remains a leading cause of cancer-related mortality, frequently diagnosed at advanced stages. High-risk features—tumor size ≥ 40 mm, cT3/cT4, nodal involvement, diffuse histology, and Borrmann type III/IV—are associated with peritoneal metastasis (PM). Staging laparoscopy with peritoneal washing [...] Read more.
Background and Aims: Gastric cancer (GC) remains a leading cause of cancer-related mortality, frequently diagnosed at advanced stages. High-risk features—tumor size ≥ 40 mm, cT3/cT4, nodal involvement, diffuse histology, and Borrmann type III/IV—are associated with peritoneal metastasis (PM). Staging laparoscopy with peritoneal washing (PW) is superior to conventional preoperative imaging modalities, including contrast-enhanced CT, MRI, PET/CT and endoscopic ultrasound, in detecting occult peritoneal disease. In this era of personalized medicine and expanding loco-regional strategies such as cytoreductive surgery (CRS)/Hyperthermic IntraPEritoneal Chemotherapy (HIPEC) and Pressurized IntraPeritoneal Aerosol Chemotherapy (PIPAC), accurate staging is crucial. This study assessed the impact of SL and PW in high-risk GC. Methods: We retrospectively analyzed 113 consecutive high-risk GC patients who underwent SL and PW between 2014 and 2024 at our institution. The primary endpoint was detection of PM or positive cytology (CY+). Secondary endpoints were treatment modification, eligibility for loco-regional therapy, and safety. Results: SL/PW identified PM or CY+ in 26 patients (23%), including 16 with CY+ only. None had radiologic signs of peritoneal disease. SL findings altered treatment in all cases: 21 patients (81%) with Peritoneal Cancer Index (PCI) < 6 underwent induction chemotherapy followed by CRS + HIPEC; 5 patients (PCI > 6) were spared non-therapeutic laparotomy and treated with bidirectional systemic chemotherapy and PIPAC. In 10 patients, systemic therapy was shifted from FLOT (fluorouracil, leucovorin, oxaliplatin, and docetaxel) to FOLFOX (fluorouracil, leucovorin, and oxaliplatin) ± nivolumab. No perioperative complications occurred; all patients were discharged within 24 h without delay in systemic treatment. Conclusions: SL with PW is safe and significantly improves staging accuracy in high-risk GC, enabling personalized therapeutic planning. Routine integration of SL should be considered essential in treatment algorithms to guide systemic and loco-regional strategies. Full article
(This article belongs to the Special Issue Surgical Innovations in Advanced Gastric Cancer)
10 pages, 2221 KB  
Article
Solid Pseudopapillary Neoplasm of the Pancreas: EUS Features and Diagnostic Accuracy of EUS-Guided Fine Needle Biopsy Using a 22-Gauge Fork-Tip Needle in a High Volume Center
by Nicolò de Pretis, Pietro Mastella, Roberto Baldan, Luigi Martinelli, William Mantovani, Federico Caldart, Salvatore Crucillà, Claudio Luchini, Paola Mattiolo, Aldo Scarpa, Stefano Francesco Crinò, Maria Cristina Conti Bellocchi, Riccardo De Robertis, Salvatore Paiella, Antonio Pea, Antonio Amodio, Giulia De Marchi and Luca Frulloni
Appl. Sci. 2025, 15(22), 12313; https://doi.org/10.3390/app152212313 - 20 Nov 2025
Viewed by 350
Abstract
Background and Aims: Solid pseudopapillary neoplasms (SPN) are rare neoplasms of the pancreatic gland. Despite the indolent behavior, surgical resection is required according to the risk of metastasis development. Few data are available on endoscopic ultrasound (EUS) features, comparison between the features described [...] Read more.
Background and Aims: Solid pseudopapillary neoplasms (SPN) are rare neoplasms of the pancreatic gland. Despite the indolent behavior, surgical resection is required according to the risk of metastasis development. Few data are available on endoscopic ultrasound (EUS) features, comparison between the features described at EUS and contrast-enhanced, and diagnostic accuracy and safety of EUS-guided FNB in these tumors. Patients and Methods: All consecutive patients with a EUS-guided FNB-based pathological diagnosis of SPN were extrapolated from a prospectively maintained database. Demographic, radiologic, and echo-endoscopic features were collected. FNB specimens were re-evaluated from two expert pathologist and the main histological features of SPN were investigated. Results: Thirty-seven patients were included (32 females and 5 males), with a mean age of 35.8 ± 15.8 years. Contrast-enhanced imaging based diagnosis was accurate in 20 patients (54.1%). EUS features were significantly different compared to contrast-enhanced imaging in terms of cystic appearance (40.5% vs. 16.2%; p = 0.03) and vascular pattern (p = 0.01). FNB-based diagnosis of SPN was confirmed on surgical specimen in all, 37 patients, resulting in a diagnostic accuracy of EUS-guided FNB of 100%. Only one patient (2.6%) experienced a mild procedure-related adverse event. Discussion: Contrast-enhanced imaging based diagnosis of SPN is difficult. Despite the rarity of the disease, EUS-guided FNB with 22-gauge fork-tip needle has a very high diagnostic accuracy for SPN, with rare and mild adverse events. Full article
(This article belongs to the Section Biomedical Engineering)
Show Figures

Figure 1

14 pages, 970 KB  
Review
Endoscopic Ultrasound in Squamous Cell Esophageal Cancer: From Staging to Strategy—A Narrative Review
by Francesca Lusetti, Roberta Muscia, Ermelinda D’Alessandro, Giuseppe Fierro, Gianpiero Manes and Germana de Nucci
Diagnostics 2025, 15(22), 2867; https://doi.org/10.3390/diagnostics15222867 - 12 Nov 2025
Viewed by 1026
Abstract
Esophageal squamous cell carcinoma (ESCC) remains a major global health challenge due to its aggressive nature and frequent late-stage diagnosis. Accurate locoregional staging is critical for guiding appropriate therapy, and endoscopic ultrasound (EUS) has emerged as the preferred modality for assessing tumor depth [...] Read more.
Esophageal squamous cell carcinoma (ESCC) remains a major global health challenge due to its aggressive nature and frequent late-stage diagnosis. Accurate locoregional staging is critical for guiding appropriate therapy, and endoscopic ultrasound (EUS) has emerged as the preferred modality for assessing tumor depth and regional lymph node involvement. In this narrative review, we provide a comprehensive overview of the role of EUS in the management of ESCC, from initial staging to post-treatment assessment. We discuss its strengths and limitations, particularly in differentiating early-stage disease and in restaging after neoadjuvant therapy. The importance of a multimodal approach—integrating EUS with computed tomography (CT), positron emission tomography (PET), and histologic sampling—is emphasized to improve diagnostic precision. We also explore emerging techniques, such as contrast-enhanced EUS, elastography, and novel therapeutic strategies including immune checkpoint inhibitors and endoscopic mucosal resurfacing. While EUS remains a cornerstone in the management of ESCC, ongoing innovation and integration with personalized medicine are expected to further enhance its clinical impact. Full article
(This article belongs to the Special Issue Imaging in Esophageal Squamous Cell Cancer)
Show Figures

Figure 1

14 pages, 2631 KB  
Article
Clinicopathological Features of Small Pancreatic Neuroendocrine Neoplasms 10 mm or Smaller
by Tetsuro Hirano, Masahiro Serikawa, Yasutaka Ishii, Shinya Nakamura, Juri Ikemoto, Masaru Furukawa, Yumiko Yamashita, Noriaki Iijima, Yasuhiro Okuda, Risa Nomura, Koji Arihiro, Kenichiro Uemura, Shinya Takahashi, Hideki Ohdan and Shiro Oka
Diagnostics 2025, 15(19), 2423; https://doi.org/10.3390/diagnostics15192423 - 23 Sep 2025
Viewed by 474
Abstract
Background/Objectives: There is limited evidence on imaging characteristics and pathological grading of small pancreatic neuroendocrine tumors (PNENs). This study aimed to compare imaging features and histopathological diagnoses of PNENs based on tumor size. Methods: Patients with PNEN who underwent pathological diagnosis at Hiroshima [...] Read more.
Background/Objectives: There is limited evidence on imaging characteristics and pathological grading of small pancreatic neuroendocrine tumors (PNENs). This study aimed to compare imaging features and histopathological diagnoses of PNENs based on tumor size. Methods: Patients with PNEN who underwent pathological diagnosis at Hiroshima University Hospital were retrospectively reviewed. Detection rates, imaging findings, and diagnostic accuracy of endoscopic ultrasound-guided fine needle aspiration (EUS-FNA) were analyzed according to tumor size. Results: Among 107 patients with PNEN, 42 had tumors ≤10 mm, and 65 had tumors >10 mm. The detection rate for lesions ≤10 mm was 92.3% according to EUS and 83.3% according to contrast-enhanced CT, showing the superior sensitivity of EUS. Typical imaging features—well-defined margins, homogeneous internal structure, and early enhancement—were significantly more frequent in tumors ≤10 mm (p < 0.001). There were no significant differences in imaging findings between G1 and G2 tumors ≤10 mm. The diagnostic sensitivity of EUS-FNA was 91.2% for tumors ≤10 mm and 86.3% for tumors >10 mm, with no significant difference. However, the concordance rate between EUS-FNA and surgical histology for tumor grading was significantly higher in the ≤10 mm group (87.5% vs. 56.3%, p = 0.012). Discussion: In small PNENs (≤10 mm), imaging features are often typical but do not reliably determine tumor grade. In our cohort, EUS-FNA showed high diagnostic accuracy and provided essential pathological information to guide management, including the choice between surveillance and surgery. Full article
(This article belongs to the Section Pathology and Molecular Diagnostics)
Show Figures

Figure 1

15 pages, 1231 KB  
Review
Endoscopic Ultrasound (EUS) in Gastric Cancer: Current Applications and Future Perspectives
by Dimitrios I. Ziogas, Nikolaos Kalakos, Anastasios Manolakis, Theodoros Voulgaris, Ioannis Vezakis, Mario Tadic and Ioannis S. Papanikolaou
Diseases 2025, 13(8), 234; https://doi.org/10.3390/diseases13080234 - 24 Jul 2025
Cited by 1 | Viewed by 5630
Abstract
Gastric cancer remains the fourth leading cause of cancer-related mortality worldwide. Advanced disease is associated with a poor prognosis, emphasizing the critical importance of early diagnosis through endoscopy. In addition to prognosis, disease extent also plays a pivotal role in guiding management strategies. [...] Read more.
Gastric cancer remains the fourth leading cause of cancer-related mortality worldwide. Advanced disease is associated with a poor prognosis, emphasizing the critical importance of early diagnosis through endoscopy. In addition to prognosis, disease extent also plays a pivotal role in guiding management strategies. Therefore, accurate locoregional staging (T and N staging) is vital for optimal prognostic and therapeutic planning. Endoscopic ultrasound (EUS) has long been an essential tool in this regard, with computed tomography (CT) and, more recently, positron emission tomography–computed tomography (PET–CT) serving as alternative imaging modalities. EUS is particularly valuable in the assessment of early gastric cancer, defined as tumor invasion confined to the mucosa or submucosa. These tumors are increasingly managed by endoscopic resection techniques offering improved post-treatment quality of life. EUS has also recently been utilized in the restaging process after neoadjuvant chemotherapy, aiding in the evaluation of tumor resectability and prognosis. Its performance may be further enhanced through the application of emerging techniques such as contrast-enhanced endosonography, EUS elastography, and artificial intelligence systems. In advanced, unresectable disease, complications such as gastric outlet obstruction (GOO) severely impact patient quality of life. In this setting, EUS-guided gastroenterostomy (EUS-GE) offers a less invasive alternative to surgical gastrojejunostomy. This review summarizes and critically analyzes the role of EUS in the context of gastric cancer, highlighting its applications across different stages of the disease and evaluating its performance relative to other diagnostic modalities. Full article
(This article belongs to the Section Gastroenterology)
Show Figures

Figure 1

22 pages, 368 KB  
Review
Early Detection of Pancreatic Cancer: Current Advances and Future Opportunities
by Zijin Lin, Esther A. Adeniran, Yanna Cai, Touseef Ahmad Qureshi, Debiao Li, Jun Gong, Jianing Li, Stephen J. Pandol and Yi Jiang
Biomedicines 2025, 13(7), 1733; https://doi.org/10.3390/biomedicines13071733 - 15 Jul 2025
Cited by 3 | Viewed by 16313
Abstract
Pancreatic ductal adenocarcinoma (PDAC) remains among the most lethal malignancies, with a five-year survival rate below 12%, largely attributable to its asymptomatic onset, late-stage diagnosis, and limited curative treatment options. Although PDAC accounts for approximately 3% of all cancers, it is projected to [...] Read more.
Pancreatic ductal adenocarcinoma (PDAC) remains among the most lethal malignancies, with a five-year survival rate below 12%, largely attributable to its asymptomatic onset, late-stage diagnosis, and limited curative treatment options. Although PDAC accounts for approximately 3% of all cancers, it is projected to become the second leading cause of cancer-related mortality in the United States by 2030. A major contributor to its dismal prognosis is the lack of validated early detection strategies for asymptomatic individuals. In this review, we present a comprehensive synthesis of current advances in the early detection of PDAC, with a focus on the identification of high-risk populations, novel biomarker platforms, advanced imaging modalities, and artificial intelligence (AI)-driven tools. We highlight high-risk groups—such as those with new-onset diabetes after age 50, pancreatic steatosis, chronic pancreatitis, cystic precursor lesions, and hereditary cancer syndromes—as priority populations for targeted surveillance. Novel biomarker panels, including circulating tumor DNA (ctDNA), miRNAs, and exosomes, have demonstrated improved diagnostic accuracy in early-stage disease. Recent developments in imaging, such as multiparametric MRI, contrast-enhanced endoscopic ultrasound, and molecular imaging, offer improved sensitivity in detecting small or precursor lesions. AI-enhanced radiomics and machine learning models applied to prediagnostic CT scans and electronic health records are emerging as valuable tools for risk prediction prior to clinical presentation. We further refine the Define–Enrich–Find (DEF) framework to propose a clinically actionable strategy that integrates these innovations. Collectively, these advances pave the way for personalized, multimodal surveillance strategies with the potential to improve outcomes in this historically challenging malignancy. Full article
Show Figures

Graphical abstract

13 pages, 1325 KB  
Review
Endoscopic Ultrasound as a Diagnostic Tool for the Mediastinum and Thorax
by Sara Nikolic, Lucía Guilabert, Giuseppe Vanella, Catalina Vladut, Giuseppe La Mattina, Giuseppe Infantino, Elio D’Amore, Cecilie Siggaard Knoph and Giacomo Emanuele Maria Rizzo
J. Clin. Med. 2025, 14(14), 4836; https://doi.org/10.3390/jcm14144836 - 8 Jul 2025
Cited by 1 | Viewed by 2502
Abstract
Endoscopic ultrasound (EUS) is a helpful tool for the study of the mediastinum, a challenging region for both transesophageal and endobronchial (EBUS) endosonography. This area is divided into sections and contains numerous lymph nodes essential for the staging and diagnosis of conditions like [...] Read more.
Endoscopic ultrasound (EUS) is a helpful tool for the study of the mediastinum, a challenging region for both transesophageal and endobronchial (EBUS) endosonography. This area is divided into sections and contains numerous lymph nodes essential for the staging and diagnosis of conditions like lung cancer, sarcoidosis, and infections. EUS allows for detailed examination of the mediastinal region, identifying various kinds of abnormalities, whether they are benign cysts or malignant tumors. The aim of this narrative review is to provide a clear overview of how EUS contributes to mediastinal diagnostics and to offer practical insights for clinicians. A comprehensive, non-systematic search of PubMed was conducted by the authors to identify relevant studies. EUS methods, such as elastography and contrast-enhanced imaging, have improved diagnosis by analyzing tissue stiffness and blood flow, and they help endosonographers distinguish between different conditions. EUS-guided tissue sampling techniques, like fine needle aspiration and biopsy, are crucial for detecting cancer and examining lymph nodes in a minimally invasive way. By combining EUS with endobronchial ultrasound, operators can achieve more accurate results, especially in cancer staging and treatment planning. Overall, this approach is a key tool in treating thoracic and mediastinal conditions. Full article
(This article belongs to the Section Respiratory Medicine)
Show Figures

Figure 1

24 pages, 691 KB  
Review
Multimodal Preoperative Management of Rectal Cancer: A Review of the Existing Guidelines
by Ionut Negoi
Medicina 2025, 61(7), 1132; https://doi.org/10.3390/medicina61071132 - 24 Jun 2025
Cited by 1 | Viewed by 2968
Abstract
Rectal cancer management necessitates a rigorous multidisciplinary strategy, emphasizing precise staging and detailed risk stratification to inform optimal therapeutic decision-making. Obtaining an accurate histological diagnosis before initiating treatment is essential. Comprehensive staging integrates clinical evaluation, thorough medical history analysis, assessment of carcinoembryonic antigen [...] Read more.
Rectal cancer management necessitates a rigorous multidisciplinary strategy, emphasizing precise staging and detailed risk stratification to inform optimal therapeutic decision-making. Obtaining an accurate histological diagnosis before initiating treatment is essential. Comprehensive staging integrates clinical evaluation, thorough medical history analysis, assessment of carcinoembryonic antigen (CEA) levels, and computed tomography (CT) imaging of the abdomen and thorax. High-resolution pelvic magnetic resonance imaging (MRI), utilizing dedicated rectal protocols, is critical for identifying recurrence risks and delineating precise anatomical relationships. Endoscopic ultrasound further refines staging accuracy by determining the tumor infiltration depth in early-stage cancers, while preoperative colonoscopy effectively identifies synchronous colorectal lesions. In early-stage rectal cancers (T1–T2, N0, and M0), radical surgical resection remains the standard of care, although transanal local excision can be selectively indicated for certain T1N0 tumors. In contrast, locally advanced rectal cancers (T3, T4, and N+) characterized by microsatellite stability or proficient mismatch repair are optimally managed with total neoadjuvant therapy (TNT), which combines chemoradiotherapy with oxaliplatin-based systemic chemotherapy. Additionally, tumors exhibiting high microsatellite instability or mismatch repair deficiency respond favorably to immune checkpoint inhibitors (ICIs). The evaluation of tumor response following neoadjuvant therapy, utilizing MRI and endoscopic assessments, facilitates individualized treatment planning, including non-operative approaches for patients with confirmed complete clinical responses who comply with rigorous follow-up. Recent advancements in molecular characterization, targeted therapies, and immunotherapy highlight a significant evolution towards personalized medicine. The effective integration of these innovations requires enhanced interdisciplinary collaboration to improve patient prognosis and quality of life. Full article
(This article belongs to the Special Issue Recent Advances and Future Challenges in Colorectal Surgery)
Show Figures

Figure 1

12 pages, 1060 KB  
Review
Role of B-Mode and Contrast-Enhanced Ultrasound in the Diagnostic Workflow of Gastro-Entero-Pancreatic Neuroendocrine Tumors (GEP-NETs)
by Linda Galasso, Maria Grazia Maratta, Valeria Sardaro, Giorgio Esposto, Irene Mignini, Raffaele Borriello, Antonio Gasbarrini, Maria Elena Ainora, Giovanni Schinzari and Maria Assunta Zocco
Cancers 2025, 17(11), 1879; https://doi.org/10.3390/cancers17111879 - 4 Jun 2025
Viewed by 1411
Abstract
Gastro-entero-pancreatic neuroendocrine tumors (GEP-NETs) represent a rare and varied class of neoplasms, characterized by diverse clinical presentations and prognostic trajectories. Accurate and prompt diagnosis is vital to inform and optimize therapeutic decisions. Ultrasound, including standard B-mode imaging and advanced methods such as contrast-enhanced [...] Read more.
Gastro-entero-pancreatic neuroendocrine tumors (GEP-NETs) represent a rare and varied class of neoplasms, characterized by diverse clinical presentations and prognostic trajectories. Accurate and prompt diagnosis is vital to inform and optimize therapeutic decisions. Ultrasound, including standard B-mode imaging and advanced methods such as contrast-enhanced ultrasound (CEUS) and endoscopic ultrasound (EUS), serves as a key component in the diagnostic evaluation of these tumors. B-mode US and CEUS provide non-invasive, accessible methods for early detection and characterization. On B-mode imaging, GEP-NETs typically present as well-defined, hyperechoic, or iso-echoic lesions, while CEUS highlights their characteristic vascularity, marked by arterial-phase hyperenhancement and venous-phase washout. Compared to CT and MRI, ultrasound offers real-time, dynamic imaging without ionizing radiation or nephrotoxic contrast agents, making it particularly advantageous for patients requiring frequent monitoring or with contraindications to other imaging modalities. CT and MRI are widely regarded as the preferred methods for staging and surgical planning due to their detailed anatomical visualization. However, ultrasound, especially CEUS, provides a significant adjunctive role in both early detection and the follow-up on GEP-NETs. This analysis delves into the strengths, challenges, and innovations in ultrasound technology for diagnosing pancreatic NETs, focusing on its contribution to comprehensive imaging strategies and its impact on patient care decisions. Full article
Show Figures

Figure 1

14 pages, 597 KB  
Review
Endoscopic Ultrasound-Guided Pancreatic Cystic Fluid Biochemical and Genetic Analysis for the Differentiation Between Mucinous and Non-Mucinous Pancreatic Cystic Lesions
by Angelo Bruni, Luigi Tuccillo, Giuseppe Dell’Anna, Francesco Vito Mandarino, Andrea Lisotti, Marcello Maida, Claudio Ricci, Lorenzo Fuccio, Leonardo Henry Eusebi, Giovanni Marasco and Giovanni Barbara
J. Clin. Med. 2025, 14(11), 3825; https://doi.org/10.3390/jcm14113825 - 29 May 2025
Cited by 1 | Viewed by 2208
Abstract
Pancreatic cystic lesions (PCLs) are increasingly identified via computerized tomography (CT) and magnetic resonance (MR), with a prevalence of 2–45%. Distinguishing mucinous PCLs (M-PCLs), which include intraductal papillary mucinous neoplasms (IPMNs) and mucinous cystic neoplasms (MCNs) that can progress to pancreatic ductal adenocarcinoma, [...] Read more.
Pancreatic cystic lesions (PCLs) are increasingly identified via computerized tomography (CT) and magnetic resonance (MR), with a prevalence of 2–45%. Distinguishing mucinous PCLs (M-PCLs), which include intraductal papillary mucinous neoplasms (IPMNs) and mucinous cystic neoplasms (MCNs) that can progress to pancreatic ductal adenocarcinoma, from non-mucinous PCLs (NM-PCLs) is essential. Carcinoembryonic antigen (CEA) remains widely used but often demonstrates limited sensitivity and specificity. In contrast, endoscopic ultrasound-guided measurement of intracystic glucose more accurately differentiates PCL subtypes, as tumor-related metabolic changes lower cyst fluid glucose in mucinous lesions. Numerous prospective and retrospective studies suggest a glucose cut-off between 30 and 50 mg/dL, yielding a sensitivity of 88–95% and specificity of 76–91%, frequently outperforming CEA. Additional benefits include immediate point-of-care assessment via standard glucometers and minimal interference from blood contamination. DNA-based biomarkers, including KRAS and GNAS mutations, enhance specificity (up to 99%) but exhibit moderate sensitivity (61–71%) and necessitate specialized, expensive platforms. Molecular analyses can be crucial in high-risk lesions, yet their uptake is constrained by technical challenges. In practice, combining glucose assessment with targeted molecular assays refines risk stratification and informs the choice between surgical resection or active surveillance. Future investigations should establish standardized glucose thresholds, improve the cost-effectiveness of genetic testing, and integrate advanced biomarkers into routine protocols. Ultimately, these strategies aim to optimize patient management, limit unnecessary interventions for benign lesions, and ensure timely therapy for lesions at risk of malignant transformation. Full article
Show Figures

Figure 1

17 pages, 296 KB  
Review
Interventional Endoscopic Ultrasonography: Advances in Application
by Haidar Khan, Sharon Slomovich, Neal C. Shah and Frank Gress
J. Clin. Med. 2025, 14(10), 3286; https://doi.org/10.3390/jcm14103286 - 8 May 2025
Cited by 1 | Viewed by 2430
Abstract
Technological advances have greatly expanded the diagnostic and therapeutic capabilities of endoscopic ultrasound (EUS). The integration of cutting-edge imaging techniques, including tissue harmonic echo, contrast-enhanced harmonic EUS, elastography, and needle-based confocal laser endomicroscopy, have significantly enhanced lesion characterization and diagnostic accuracy. Additionally, developments [...] Read more.
Technological advances have greatly expanded the diagnostic and therapeutic capabilities of endoscopic ultrasound (EUS). The integration of cutting-edge imaging techniques, including tissue harmonic echo, contrast-enhanced harmonic EUS, elastography, and needle-based confocal laser endomicroscopy, have significantly enhanced lesion characterization and diagnostic accuracy. Additionally, developments in stent design and the introduction of new accessories have broadened the therapeutic applications of EUS. Ongoing innovations in clinical practice have transformed procedures such as drainage, tumor ablation, EUS-directed transgastric endoscopic retrograde cholangiopancreatography (ERCP), the placement of fiducial markers, advancements in endohepatology, lesion characterization, and treatment. These developments continue to expand the role of EUS in delivering precise and effective therapeutic interventions. Full article
(This article belongs to the Section Gastroenterology & Hepatopancreatobiliary Medicine)
Show Figures

Graphical abstract

Back to TopTop