Sign in to use this feature.

Years

Between: -

Subjects

remove_circle_outline
remove_circle_outline
remove_circle_outline
remove_circle_outline
remove_circle_outline
remove_circle_outline
remove_circle_outline
remove_circle_outline
remove_circle_outline

Journals

remove_circle_outline
remove_circle_outline
remove_circle_outline
remove_circle_outline
remove_circle_outline
remove_circle_outline
remove_circle_outline
remove_circle_outline
remove_circle_outline
remove_circle_outline
remove_circle_outline
remove_circle_outline
remove_circle_outline

Article Types

Countries / Regions

remove_circle_outline
remove_circle_outline
remove_circle_outline
remove_circle_outline
remove_circle_outline

Search Results (931)

Search Parameters:
Keywords = distributed mobile application

Order results
Result details
Results per page
Select all
Export citation of selected articles as:
40 pages, 10175 KB  
Article
EdgeML-Driven Real-Time Vehicle Tracking and Traffic Control for Traffic Management in Smart Cities
by Hyago V. L. B. Silva, Davi Rosim, Felipe A. P. de Figueiredo, Samuel B. Mafra, Ahmed S. Khwaja and Alagan Anpalagan
Appl. Sci. 2026, 16(5), 2216; https://doi.org/10.3390/app16052216 - 25 Feb 2026
Abstract
The escalating global rates of traffic accidents in urban areas and the growing demands of smart cities underscore the urgent need for advanced real-time monitoring solutions. This paper presents an EdgeML-based system for vehicle tracking that performs real-time speed and distance analysis and [...] Read more.
The escalating global rates of traffic accidents in urban areas and the growing demands of smart cities underscore the urgent need for advanced real-time monitoring solutions. This paper presents an EdgeML-based system for vehicle tracking that performs real-time speed and distance analysis and traffic violation detection. This is achieved by deploying a YOLOv8 object detection model on a Raspberry Pi 5 with a Coral USB Edge TPU accelerator. The system integrates computer vision and IoT technologies to enable real-time processing. It utilizes the Message Queuing Telemetry Transport (MQTT) protocol to allow scalable communication between distributed edge devices and a central MongoDB database, facilitating real-time storage and analysis of traffic data. A synthetic dataset generated via the Blender 3D modeling tool validates the system’s accuracy, demonstrating average speed and distance measurement errors of ±2.11 km/h and ±0.58 m, respectively. These findings are further supported by preliminary practical experiments in a real-world environment, where speed estimation errors remained within 0–2 km/h and distance errors stayed below 0.11 m. Key innovations of this work include license plate recognition, speeding and collision detection, and context analysis using Google’s Gemini-2.5-Flash API. A Streamlit dashboard provides real-time visualization of traffic metrics, violations, and aggregated data. A comparative evaluation of YOLOv5n, YOLOv8n, YOLOv11n, and YOLOv12n identifies YOLOv8n as the most suitable model for embedded deployment, achieving 91.07 ± 0.61% mAP@0.5 without quantization, 88.77 ± 3.31% mAP@0.5 with quantization, while maintaining real-time performance of 30–43 frames per second (FPS) on the Edge TPU. The system’s modular architecture, low latency, and robust performance highlight its suitability for smart city applications, enhancing traffic safety and enabling data-driven urban mobility management. Full article
(This article belongs to the Special Issue Smart Cities: AI-Enhanced Urban Living)
Show Figures

Figure 1

21 pages, 17407 KB  
Article
Toward Self-Sovereign Management of Subscriber Identities in 5G/6G Core Networks
by Paul Scalise, Michael Hempel and Hamid Sharif
Telecom 2026, 7(1), 23; https://doi.org/10.3390/telecom7010023 - 16 Feb 2026
Viewed by 202
Abstract
5G systems have delivered on their promise of seamless connectivity and efficiency improvements since their global rollout began in 2020. However, maintaining subscriber identity privacy on the network remains a critical challenge. The 3GPP specifications define numerous identifiers associated with the subscriber and [...] Read more.
5G systems have delivered on their promise of seamless connectivity and efficiency improvements since their global rollout began in 2020. However, maintaining subscriber identity privacy on the network remains a critical challenge. The 3GPP specifications define numerous identifiers associated with the subscriber and their activity, all of which are critical to the operations of cellular networks. While the introduction of the Subscription Concealed Identifier (SUCI) protects users across the air interface, the 5G Core Network (CN) continues to operate largely on the basis of the Subscription Permanent Identifier (SUPI)—the 5G-equivalent to the IMSI from prior generations—for functions such as authentication, billing, session management, emergency services, and lawful interception. Furthermore, the SUPI relies solely on the transport layer’s encryption for protection from malicious observation and tracking of the SUPI across activities. The crucial role of the largely unprotected SUPI and other closely related identifiers creates a high-value target for insider threats, malware campaigns, and data exfiltration, effectively rendering the Mobile Network Operator (MNO) a single point of failure for identity privacy. In this paper, we analyze the architectural vulnerabilities of identity persistence within the CN, challenging the legacy “honest-but-curious” trust model. To quantify the extent of subscriber identities being utilized and exchange within various API calls in the CN, we conducted a study of the occurrence of SUPI as a parameter throughout the collection of 5G SBI (Service-Based Interface) Core VNF (Virtual Network Function) API (Application Programming Interface) schemas. Our extensive analysis of the 3GPP specifications for 3GPP Release 18 revealed a total of 4284 distinct parameter names being used across all API calls, with a total of 171,466 occurrences across the API schema. More importantly, it revealed a highly skewed distribution in which subscriber identity plays a pivotal role. Specifically, the “supi” parameter ranks 57th with 397 occurrences. We found that SUPI occurs both as a direct parameter (“supi”) and within 72 other parameter names that contain subscriber identifiers as defined in 3GPP TS 23.003. For these 73 parameter names, we identified a total of 8757 occurrences. At over 5.11% of all parameter occurrences, this constitutes a disproportionately large share of total references. We also detail scenarios where subscriber privacy can be compromised by internal actors and review future privacy-preserving frameworks that aim to decouple subscriber identity from network operations. By suggesting a shift towards a zero-trust model for CN architecture and providing subscribers with greater control over their identity management, this work also offers a potential roadmap for mitigating insider threats in current deployments and influencing specific standardization and regulatory requirements for future 6G and Beyond-6G networks. Full article
Show Figures

Figure 1

25 pages, 15600 KB  
Article
Filter Independence-Aware Pruning: Efficient Neural Networks for On-Device AI
by Jiali Wang, Hongxia Bie, Zhao Jing, Yichen Zhi, Yongkai Fan and Wentao Ma
Electronics 2026, 15(4), 794; https://doi.org/10.3390/electronics15040794 - 12 Feb 2026
Viewed by 272
Abstract
Filter pruning is an effective approach for improving the inference efficiency of neural networks and is particularly attractive for on-device artificial intelligence (AI) applications. However, many existing methods fail to accurately identify redundant filters due to limited modeling of inter-filter dependencies. A filter [...] Read more.
Filter pruning is an effective approach for improving the inference efficiency of neural networks and is particularly attractive for on-device artificial intelligence (AI) applications. However, many existing methods fail to accurately identify redundant filters due to limited modeling of inter-filter dependencies. A filter pruning method based on nuclear norm analysis is proposed to quantify filter independence and guide structured pruning. By analyzing the layer-wise distribution of independence scores, a principled trade-off between pruning rate and accuracy preservation is achieved. In most evaluation scenarios, the proposed method achieves 75–95% parameter reduction and 70–80% FLOPs reduction, while substantially higher compression ratios (up to 99%) can be obtained for more redundant network architectures, with consistent performance trends observed across multiple accuracy-related metrics. Furthermore, deployment on an RK3588 neural processing unit (NPU) demonstrates substantial reductions in memory consumption and inference latency, confirming the practical effectiveness of the method for mobile and edge AI applications. Full article
(This article belongs to the Section Artificial Intelligence)
Show Figures

Figure 1

30 pages, 7886 KB  
Article
Detection and Precision Application Path Planning for Cotton Spider Mite Based on UAV Multispectral Remote Sensing
by Hua Zhuo, Mei Yang, Bei Wu, Yuqin Xiao, Jungang Ma, Yanhong Chen, Manxian Yang, Yuqing Li, Yikun Zhao and Pengfei Shi
Agriculture 2026, 16(4), 424; https://doi.org/10.3390/agriculture16040424 - 12 Feb 2026
Viewed by 174
Abstract
Cotton spider mites pose a significant threat to cotton production, while traditional manual investigation and blanket pesticide application are inefficient for precision pest management in large-scale cotton fields. To address this challenge, this study developed an integrated UAV multispectral remote sensing system for [...] Read more.
Cotton spider mites pose a significant threat to cotton production, while traditional manual investigation and blanket pesticide application are inefficient for precision pest management in large-scale cotton fields. To address this challenge, this study developed an integrated UAV multispectral remote sensing system for spider mite monitoring and precision spraying. Multispectral imagery was acquired from cotton fields in Shaya County, Xinjiang using UAV-mounted cameras, and vegetation indices including RDVI, MSAVI, SAVI, and OSAVI were selected through feature optimization. Comparative evaluation of three machine learning models (Logistic Regression, Random Forest, and Support Vector Machine) and two deep learning models (1D-CNN and MobileNetV2) was conducted. Considering classification performance and computational efficiency for real-time UAV deployment, Random Forest was identified as optimal, achieving 85.47% accuracy, an 85.24% F1-score, and an AUC of 0.912. The model generated centimeter-level spatial distribution maps for precise spray zone delineation. An improved NSGA-III multi-objective path optimization algorithm was proposed, incorporating PCA-based heuristic initialization, differential evolution operators, and co-evolutionary dual population strategies to optimize deadheading distance, energy consumption, operation time, turning frequency, and load balancing. Ablation study validated the effectiveness of each component, with the fully improved algorithm reducing IGD by 59.94% and increasing HV by 5.90% compared to standard NSGA-III. Field validation showed 98.5% coverage of infested areas with only 3.6% path repetition, effectively minimizing pesticide waste and phytotoxicity risks. This study established a complete technical pipeline from monitoring to application, providing a valuable reference for precision pest control in large-scale cotton production systems. The framework demonstrated robust performance across multiple field sites, though its generalization is currently limited to one geographic region and growth stage. Future work will extend its application to additional cotton varieties, growth stages, and geographic regions. Full article
Show Figures

Figure 1

62 pages, 1774 KB  
Review
Quantum-Enhanced Edge Intelligence Leveraging Large Language Models for Immersive Space–Aerial–Ground Communications: Survey, Challenges, and Open Issues
by Abhishek Gupta and Ajmery Sultana
Sensors 2026, 26(4), 1181; https://doi.org/10.3390/s26041181 - 11 Feb 2026
Viewed by 330
Abstract
The integration of unmanned aerial vehicles (UAVs), autonomous vehicles, and advanced satellite systems in sixth-generation (6G) networks is poised to redefine next-generation communications as well as next-generation intelligent transportation systems. This paper examines the convergence of UAVs, CubeSats, and terrestrial infrastructures that comprise [...] Read more.
The integration of unmanned aerial vehicles (UAVs), autonomous vehicles, and advanced satellite systems in sixth-generation (6G) networks is poised to redefine next-generation communications as well as next-generation intelligent transportation systems. This paper examines the convergence of UAVs, CubeSats, and terrestrial infrastructures that comprise the framework of Space–Aerial–Ground Integrated Networks (SAGINs) as vital enablers of the International Mobile Telecommunications (IMT)-2030 standards. This paper examines the role of UAVs in providing flexible and quickly deployable airborne connectivity. It also discusses how CubeSats enhance global coverage through low-latency relaying and resilient backhaul links from low Earth orbit (LEO). Additionally, the paper highlights how terrestrial systems contribute high-capacity, densely concentrated communication layers that support various end-user applications. By examining their interoperability and coordinated resource allocation, the paper underscores that the seamless interaction of SAGIN nodes is essential for achieving the ultra-reliable, intelligent, and pervasive communication capabilities envisioned by IMT-2030. As 6G aims for ultra-low latency, high reliability, and massive connectivity, UAVs and CubeSats emerge as key enablers for extending coverage and capacity, particularly in remote and dense urban regions. Furthermore, the role of large language models (LLMs) is explored for intelligent network management and real-time data optimization, while quantum communication is analyzed for ensuring security and minimizing latency. The integration of LLMs into quantum-enhanced edge intelligence for SAGINs represents an emerging research frontier for adaptive, high-throughput, and context-aware decision-making. By exploiting quantum-assisted parallelism and entanglement-based optimization, LLMs enhance the processing efficiency of multimodal data across space, aerial, and terrestrial nodes. This paper further investigates distributed quantum inference and multimodal sensor data fusion to enable resilient, self-optimizing communication systems comprising a high volume of data traffic, which is a critical bottleneck in the global connectivity transition. LLMs are envisioned as cognitive control centers capable of generating semantic representations for mission-critical communications that enhance energy efficiency, reliability, and adaptive learning at the edge. The findings of the survey reveal that quantum-enhanced LLMs overcome challenges pertaining to bandwidth allocation, dynamic routing, and interoperability in existing classical communication systems. Overall, quantum-empowered LLMs significantly assist intelligent, autonomous, and immersive communications in SAGIN, while enabling secure, privacy-preserving communication. Full article
(This article belongs to the Special Issue Vehicular Sensing for Improved Urban Mobility: 2nd Edition)
Show Figures

Figure 1

25 pages, 6643 KB  
Article
From Analytical Detection to Spatial Prediction: LC–MS and Machine Learning Approaches for Glyphosate Monitoring in Interconnected Land–Soil–Water Systems
by Annamaria Ragonese and Carmine Massarelli
Land 2026, 15(2), 303; https://doi.org/10.3390/land15020303 - 11 Feb 2026
Viewed by 216
Abstract
The widespread application of glyphosate—the world’s most used herbicide—presents a significant environmental challenge due to its persistence and mobility within interconnected land–soil–water systems. This study addresses the limitations of traditional, discrete water monitoring by developing a predictive framework for glyphosate and its primary [...] Read more.
The widespread application of glyphosate—the world’s most used herbicide—presents a significant environmental challenge due to its persistence and mobility within interconnected land–soil–water systems. This study addresses the limitations of traditional, discrete water monitoring by developing a predictive framework for glyphosate and its primary metabolite, aminomethylphosphonic acid (AMPA), in the agricultural context of Apulia, Southern Italy. The methodology integrates high-sensitivity analytical chemistry with advanced spatial intelligence. Water samples were analyzed using an optimized UHPLC–MS/MS framework with pre-column derivatization (FMOC-Cl), achieving an ultra-trace Limit of Quantification (LOQ) of 0.025 μg/L. To transition from point data to continuous spatial profiles, a hybrid Machine Learning (ML) architecture was implemented. The model utilized a suite of geospatial predictors, including land use (Corine Land Cover), Digital Elevation Models (DEMs), and slope characteristics extracted from river offset lines. A dual-modeling strategy was employed: Global Models (Random Forest, Gradient Boosting, and KNN) for regional trends and Individual Models for river segments exhibiting sufficient internal variability. Analytical findings (2018–2024) revealed that AMPA consistently exhibited higher mean concentrations than glyphosate, reaching peaks of 9.27 μg/L. This trend is primarily attributed to its superior environmental persistence and a half-life of up to 240 days, compared to the parent compound. Spatiotemporal analysis identified critical peaks in the second quarter for glyphosate and extreme surges in the fourth quarter for AMPA, particularly in the Cervaro basin. The Random Forest Regressor emerged as the most robust predictive tool, achieving a coefficient of determination (R2) of approximately 0.68 at the global scale and up to 0.75 for localized models where data density was sufficient. The integration of ML frameworks allows for the identification of contamination “micro-hotspots” and the mapping of probabilistic pollutant distribution along entire river reaches without additional sampling costs. This high-fidelity diagnostic tool provides a cost-effective strategy for environmental agencies to implement targeted mitigation and proactive water resource protection in Mediterranean agroecosystems. Full article
Show Figures

Figure 1

20 pages, 2823 KB  
Article
Spatial Profiling of Gingerol and Shogaol Analogues in Intact Zingiber officinale Rhizomes Using MALDI Mass Spectrometry Imaging
by Josie C. Torrecampo, Neaven Bon Joy M. Marcial, Chuckcris P. Tenebro, Janine J. Salcepuedes, Paul Felipe S. Cruz, Phil Aidan C. Cruz, Jonel P. Saludes and Doralyn S. Dalisay
Molecules 2026, 31(4), 618; https://doi.org/10.3390/molecules31040618 - 10 Feb 2026
Viewed by 370
Abstract
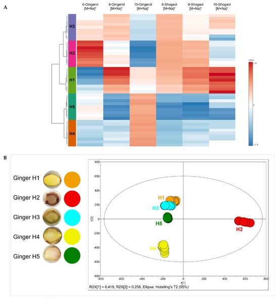
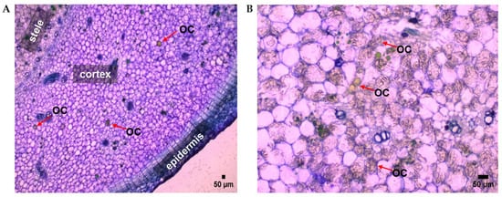
Ginger (Zingiber officinale) is a widely recognized functional food, known for its anti-inflammatory, antioxidant, and digestive health benefits largely attributed to gingerol-related compounds. While traditional extraction-based methods have been used to characterize these metabolites, they often compromise the spatial context within [...] Read more.
Ginger (Zingiber officinale) is a widely recognized functional food, known for its anti-inflammatory, antioxidant, and digestive health benefits largely attributed to gingerol-related compounds. While traditional extraction-based methods have been used to characterize these metabolites, they often compromise the spatial context within tissues. This study represents the first application of matrix-assisted laser desorption/ionization mass spectrometry imaging (MALDI MSI) with ion mobility spectrometry (IMS) to map the detailed spatial distribution of key ginger metabolites (6-, 8-, and 10-gingerols and shogaols) in a complex matrix of an intact rhizome tissue. Rhizomes from five ginger accessions collected in Negros Occidental, Philippines, were cryosectioned at 20 μm, coated with 2,5-dihydroxybenzoic acid (DHB) matrix, and analyzed using MALDI MSI at 100 µm spatial resolution across an m/z range of 50–1200. The MALDI MSI revealed that 6-, 8-, and 10-gingerols were predominantly localized in the stele and cortex regions, while shogaols exhibited broader distribution, including the epidermis. Principal component analysis (PCA) on UPLC-ESI-QTOF-MS data of methanolic rhizome extracts revealed clustering patterns among the five ginger accessions. These findings provide a spatially resolved metabolomic profile of gingerols and shogaols, offering novel insights into the anatomical localization of bioactive compounds. This integrative approach establishes a foundation for future studies on ginger physiology, breeding, and quality control of ginger-derived natural products. Full article
Show Figures

Graphical abstract

31 pages, 6177 KB  
Review
From Point Clouds to Predictive Maintenance: A Review of Intelligent Railway Infrastructure Monitoring
by Yalin Zhang, Peng Dai, Mykola Sysyn, Yuchuan Hu, Lei Kou, Haoran Song and Jing Shi
Sensors 2026, 26(4), 1131; https://doi.org/10.3390/s26041131 - 10 Feb 2026
Viewed by 211
Abstract
Point cloud technology, characterized by its high-precision 3D geometric acquisition in complex railway environments, has become a cornerstone for the intelligent detection, monitoring, and maintenance of railway infrastructure. This paper provides a systematic review of point cloud applications across critical railway scenarios, encompassing [...] Read more.
Point cloud technology, characterized by its high-precision 3D geometric acquisition in complex railway environments, has become a cornerstone for the intelligent detection, monitoring, and maintenance of railway infrastructure. This paper provides a systematic review of point cloud applications across critical railway scenarios, encompassing track geometry extraction, infrastructure component identification, tunnel and bridge modeling, clearance and encroachment analysis, and structural condition monitoring. We evaluate various mobile and stationary acquisition platforms alongside their typical data processing workflows. Furthermore, this review synthesizes cutting-edge advancements in processing algorithms, with a focus on feature extraction, semantic segmentation, and the transformative impact of deep learning and artificial intelligence on data fusion. Notably, the paper explores the synergy between point clouds and computational mechanics, specifically the construction of high-fidelity digital twins through multi-physics coupling to enable real-time simulation of structural stress distribution and damage evolution. We critically analyze persistent technical bottlenecks, such as acquisition efficiency, monitoring precision, data fragmentation, environmental interference, and the complexities of multi-modal data fusion. Finally, the paper outlines future research trajectories, focusing on autonomous intelligent sensing, multi-sensor integration, and the comprehensive digital transformation of railway infrastructure management, aiming to provide a robust theoretical framework and technical roadmap for the sustainable intelligentization of global railway systems. Full article
Show Figures

Figure 1

36 pages, 4643 KB  
Article
System Readiness Assessment for Emerging Multimodal Mobility Systems Using a Hybrid Qualitative–Quantitative Framework
by Fabiana Carrión, Gregorio Romero, Jose-Manuel Mira and Jesus Félez
Vehicles 2026, 8(2), 35; https://doi.org/10.3390/vehicles8020035 - 9 Feb 2026
Viewed by 486
Abstract
This paper presents a hybrid qualitative–quantitative framework for assessing the technical feasibility and system readiness of emerging multimodal mobility concepts, with specific application to the Pods4Rail project. The methodology integrates expert-based Technology Readiness Level (TRL) assessment with a probabilistic System Readiness Level (SRL) [...] Read more.
This paper presents a hybrid qualitative–quantitative framework for assessing the technical feasibility and system readiness of emerging multimodal mobility concepts, with specific application to the Pods4Rail project. The methodology integrates expert-based Technology Readiness Level (TRL) assessment with a probabilistic System Readiness Level (SRL) estimation that incorporates uncertainties in both TRLs and Integration Readiness Levels (IRLs). The qualitative component uses expert judgment and visual heat maps to identify subsystem-specific maturity gaps, particularly in automation, digitalization, and sustainability. The quantitative component explicitly separates three methodological layers often treated implicitly in prior research: (i) the probabilistic model representing uncertainties in TRL and IRL, (ii) the uncertainty-propagation problem linking these variables to system-level readiness, and (iii) the Monte Carlo algorithm employed to solve this problem. This structure enables the derivation of SRL distributions that reflect uncertainty more realistically than deterministic approaches, allowing statistical analysis of different characteristics of these distributions and exploratory sensitivity analysis. Results show that the Pods4Rail system is positioned between SRL 1 and SRL 2, corresponding to concept refinement and technology development stages. While hardware-related subsystems such as the Transport Unit and Rail Carrier Unit exhibit relatively higher maturity, planning, logistics, and operational management functionalities remain at early development stages. By combining interpretative insight with statistical rigor, the proposed framework offers a transparent and reproducible approach to early-phase readiness assessment. Its transferability makes it suitable for other innovative mobility systems facing similar challenges of incomplete information, uncertain integration pathways, and high conceptual complexity. Full article
Show Figures

Figure 1

21 pages, 1000 KB  
Article
Length- and Usage-Weighted Indices for Representative Route Extraction from Trajectory Data
by Choongheon Yang
Sensors 2026, 26(4), 1114; https://doi.org/10.3390/s26041114 - 9 Feb 2026
Viewed by 171
Abstract
This paper introduces weighted indices—link passing ratio adjusted by length, average link usage ratio weighted by frequency and length, and path overlap weighted by length and usage—to improve representative path extraction from large-scale vehicle trajectory data. Conventional indices often overstate the representativeness of [...] Read more.
This paper introduces weighted indices—link passing ratio adjusted by length, average link usage ratio weighted by frequency and length, and path overlap weighted by length and usage—to improve representative path extraction from large-scale vehicle trajectory data. Conventional indices often overstate the representativeness of short links, leading to biased path similarity and unstable grouping. The proposed indices explicitly down-weight short segments such that routes with many small links no longer appear falsely similar. Using data from 18,205 real-world urban trajectories, the weighted indices reduced short-link bias by 20–30% and increased the stability of representative path grouping by 15–30% compared with conventional metrics. Distribution of comparisons confirmed that the weighted indices consistently capture the structural characteristics of real-world GPS-based trajectories, reflecting stable link usage and overlap patterns. These improvements were evaluated on a refined subset comprising 12,540 link-level observations and 8320 route pair comparisons, ensuring statistical robustness and consistency. These improvements are expected to enhance downstream applications such as estimations of vehicle kilometers traveled, congestion diagnostics, and sensor-based mobility services. The findings demonstrate that refining trajectory similarity metrics at the link level has direct implications for intelligent transportation systems, supporting accurate analysis and practical decision-making in large-scale urban mobility management. Full article
(This article belongs to the Section Intelligent Sensors)
Show Figures

Figure 1

29 pages, 11323 KB  
Article
DenseNet-CSL: An Enhanced Network for Multi-Class Recognition of Agricultural Pests, Weeds, and Crop Diseases
by Yiqi Huang, Tao Huang, Jing Du, Jinxue Qiu, Conghui Liu, Fanghao Wan, Wanqiang Qian, Xi Qiao and Liang Wang
Agriculture 2026, 16(4), 394; https://doi.org/10.3390/agriculture16040394 - 8 Feb 2026
Viewed by 224
Abstract
Ensuring food security and agricultural biosecurity increasingly depends on the rapid and accurate identification of harmful organisms that threaten crop production. Traditional identification methods rely heavily on expert knowledge, are time-consuming, and often fail in complex multi-species scenarios. To address these limitations, this [...] Read more.
Ensuring food security and agricultural biosecurity increasingly depends on the rapid and accurate identification of harmful organisms that threaten crop production. Traditional identification methods rely heavily on expert knowledge, are time-consuming, and often fail in complex multi-species scenarios. To address these limitations, this study establishes a comprehensive image dataset that includes three major categories of agricultural harmful organisms—pests, weeds, and crop diseases—and proposes an enhanced convolutional neural network, DenseNet-CSL (DenseNet with Coordinate Attention, Deep Supervision, and Label Smoothing), developed based on DenseNet121 for efficient multi-class recognition. The dataset comprises 62 pest species, 28 weed species, and 30 major crop diseases, totaling 23,995 images collected under diverse growth stages, ecological conditions, and imaging environments. DenseNet-CSL incorporates three targeted improvements: a Coordinate Attention mechanism to strengthen spatial and channel feature representation, Deep Supervision to accelerate convergence and enhance generalization, and Label Smoothing Loss to regularize the output distribution and reduce overconfidence, which is beneficial under imbalanced and noisy data. Experimental results demonstrate that DenseNet-CSL achieves a precision of 81.3%, a recall of 80.1%, and an F1-score of 80% on the constructed dataset—outperforming DenseNet121, ResNet101, EfficientNetV2, and MobileNetV3—while shortening inference time by 1.36 s and adding only 1.772 MB of additional model parameters. These findings highlight the effectiveness of DenseNet-CSL for multi-class recognition of agricultural pests, weeds, and diseases, and underscore the importance of multi-source, multi-scene datasets for improving model robustness and generalization. The proposed framework provides a viable technical pathway for intelligent diagnosis and monitoring of agricultural harmful organisms, supporting port quarantine and agricultural biosecurity applications. Full article
(This article belongs to the Section Artificial Intelligence and Digital Agriculture)
Show Figures

Figure 1

24 pages, 5375 KB  
Article
Study of the Optical, Structural and Electrophoretic Properties (Zeta Potential and Hydrodynamic Diameter) of SiO2-Coated Ag Nanoparticles
by Víctor E. Gámez-Albo, Ana B. López-Oyama, Eugenio Rodríguez González, Jesús R. González-Castillo, Daniel Jímenez-Olarte, Deyanira Del Ángel-López, Elizabeth Reyna-Beltrán and Edgar G. Zamorano-Noriega
Nanomaterials 2026, 16(3), 212; https://doi.org/10.3390/nano16030212 - 6 Feb 2026
Viewed by 249
Abstract
Colloidal solutions containing silica-coated silver nanoparticles (Ag@SiO2) were synthesized through a two-step process integrating physical and chemical mechanisms. In the first step, laser ablation of a silicon target submerged in deionized water generated an H2O–SiO2 colloid, termed the [...] Read more.
Colloidal solutions containing silica-coated silver nanoparticles (Ag@SiO2) were synthesized through a two-step process integrating physical and chemical mechanisms. In the first step, laser ablation of a silicon target submerged in deionized water generated an H2O–SiO2 colloid, termed the as-cast colloid. This contained nanometric SiO2 particles alongside micrometer-sized or larger silicon fragments produced by laser shockwave-induced target surface fragmentation. To refine particle size distribution and elevate nanometric SiO2 concentration, the as-cast colloid underwent secondary laser irradiation, effectively fragmenting larger particles. The second step involved adding ionic silver to both as-cast and irradiated colloids, yielding Ag@SiO2 nanoparticles. Structural properties were probed via XRD and TEM; optical characteristics via UV–Vis spectroscopy; and electrophoretic mobility via zeta potential measurements, both pre- and post-silver incorporation, to elucidate irradiation’s influence on synthesis. For controlled agglomeration, AlCl3 was used to modify surface charge, neutralizing silanol groups on the silica shell and minimizing electrostatic repulsion through aluminum ion interactions. These findings demonstrate tunable Ag@SiO2 colloids with precise surface properties for future development of advanced nanomaterials suitable for microbicidal applications. Full article
(This article belongs to the Section Nanophotonics Materials and Devices)
Show Figures

Figure 1

25 pages, 7527 KB  
Article
Heterogeneous Multi-Domain Dataset Synthesis to Facilitate Privacy and Risk Assessments in Smart City IoT
by Matthew Boeding, Michael Hempel, Hamid Sharif and Juan Lopez
Electronics 2026, 15(3), 692; https://doi.org/10.3390/electronics15030692 - 5 Feb 2026
Viewed by 303
Abstract
The emergence of the Smart Cities paradigm and the rapid expansion and integration of Internet of Things (IoT) technologies within this context have created unprecedented opportunities for high-resolution behavioral analytics, urban optimization, and context-aware services. However, this same proliferation intensifies privacy risks, particularly [...] Read more.
The emergence of the Smart Cities paradigm and the rapid expansion and integration of Internet of Things (IoT) technologies within this context have created unprecedented opportunities for high-resolution behavioral analytics, urban optimization, and context-aware services. However, this same proliferation intensifies privacy risks, particularly those arising from cross-modal data linkage across heterogeneous sensing platforms. To address these challenges, this paper introduces a comprehensive, statistically grounded framework for generating synthetic, multimodal IoT datasets tailored to Smart City research. The framework produces behaviorally plausible synthetic data suitable for preliminary privacy risk assessment and as a benchmark for future re-identification studies, as well as for evaluating algorithms in mobility modeling, urban informatics, and privacy-enhancing technologies. As part of our approach, we formalize probabilistic methods for synthesizing three heterogeneous and operationally relevant data streams—cellular mobility traces, payment terminal transaction logs, and Smart Retail nutrition records—capturing the behaviors of a large number of synthetically generated urban residents over a 12-week period. The framework integrates spatially explicit merchant selection using K-Dimensional (KD)-tree nearest-neighbor algorithms, temporally correlated anchor-based mobility simulation reflective of daily urban rhythms, and dietary-constraint filtering to preserve ecological validity in consumption patterns. In total, the system generates approximately 116 million mobility pings, 5.4 million transactions, and 1.9 million itemized purchases, yielding a reproducible benchmark for evaluating multimodal analytics, privacy-preserving computation, and secure IoT data-sharing protocols. To show the validity of this dataset, the underlying distributions of these residents were successfully validated against reported distributions in published research. We present preliminary uniqueness and cross-modal linkage indicators; comprehensive re-identification benchmarking against specific attack algorithms is planned as future work. This framework can be easily adapted to various scenarios of interest in Smart Cities and other IoT applications. By aligning methodological rigor with the operational needs of Smart City ecosystems, this work fills critical gaps in synthetic data generation for privacy-sensitive domains, including intelligent transportation systems, urban health informatics, and next-generation digital commerce infrastructures. Full article
Show Figures

Figure 1

15 pages, 2723 KB  
Article
Effect of Charge Distribution Along Anionic Polyacrylamide Chains on Quartz Adsorption: A Molecular Dynamics Study
by Gonzalo R. Quezada, Karien I. García, Enoque Diniz Mathe, Williams Leiva, Eder Piceros, Pedro Robles and Ricardo I. Jeldres
Polymers 2026, 18(3), 414; https://doi.org/10.3390/polym18030414 - 5 Feb 2026
Viewed by 280
Abstract
The interfacial behavior of polyelectrolytic flocculants is governed not only by their chemical composition but also by the molecular-scale distribution of charged and neutral segments, which directly influences transport, adsorption, and interfacial stability. In this work, classical molecular dynamics simulations are used to [...] Read more.
The interfacial behavior of polyelectrolytic flocculants is governed not only by their chemical composition but also by the molecular-scale distribution of charged and neutral segments, which directly influences transport, adsorption, and interfacial stability. In this work, classical molecular dynamics simulations are used to elucidate how charge-site architecture controls the conformation, dynamics, and adsorption stability of anionic polyacrylamides at the quartz–water interface. Polymer architectures ranging from homogeneous charge distributions to block-like arrangements were systematically analyzed at constant molecular weight and global charge density. The results show that increasing charge segregation induces more compact conformations, enhanced translational mobility in solution, and reduced solvent accessibility. At the interface, polymers containing extended neutral blocks exhibit significantly more stable adsorption on quartz than polymers with homogeneously distributed charges, consistent with the low surface charge density of silica. These findings demonstrate that charge-site distribution is an independent and critical design parameter governing polymer–surface interactions. From a chemical engineering perspective, the results provide fundamental insight relevant to the rational design of polymeric additives for solid–liquid separation, flocculation, and sustainable mineral processing applications. Full article
Show Figures

Figure 1

18 pages, 3642 KB  
Article
Development of Distributed Acoustic Sensing for Environmental Monitoring and Hazard Detection on Robotic Platforms
by Alexandr Dolya, Askar Abdykadyrov, Alizhan Tulembayev, Dauren Kassenov and Ainur Kuttybayeva
Appl. Sci. 2026, 16(3), 1559; https://doi.org/10.3390/app16031559 - 4 Feb 2026
Viewed by 268
Abstract
This paper presents the development of a robot-oriented Distributed Acoustic Sensing (DAS) system designed for environmental monitoring and hazard detection on ground robotic platforms. Unlike conventional DAS solutions primarily intended for stationary or quasi-stationary infrastructures, the proposed approach explicitly accounts for robot-induced mechanical [...] Read more.
This paper presents the development of a robot-oriented Distributed Acoustic Sensing (DAS) system designed for environmental monitoring and hazard detection on ground robotic platforms. Unlike conventional DAS solutions primarily intended for stationary or quasi-stationary infrastructures, the proposed approach explicitly accounts for robot-induced mechanical vibrations, mobility constraints, and limited onboard resources. A dedicated anti-jitter signal processing pipeline combined with edge-based data processing is introduced to suppress motion-induced strain components while preserving weak external acoustic signals. The system integrates optical fiber deployment along the robot structure using flexible guides and vibration-isolated clamps, ensuring stable mechanical coupling under continuous motion. Experimental validation, including laboratory tests and preliminary outdoor field trials, demonstrates reliable detection of acoustic events in the 10–200 Hz frequency range, with reduced processing latency of 80–100 ms and a detection reliability of up to 95%. Comparative analysis with conventional sensors confirms the advantages of the proposed DAS-based approach in terms of sensitivity, spatial coverage, and robustness. The results demonstrate the feasibility and effectiveness of DAS technology for real-time sensing applications on mobile robotic platforms. Full article
Show Figures

Figure 1

Back to TopTop