Sign in to use this feature.

Years

Between: -

Subjects

remove_circle_outline
remove_circle_outline
remove_circle_outline
remove_circle_outline
remove_circle_outline
remove_circle_outline
remove_circle_outline
remove_circle_outline
remove_circle_outline

Journals

remove_circle_outline
remove_circle_outline
remove_circle_outline
remove_circle_outline
remove_circle_outline
remove_circle_outline
remove_circle_outline
remove_circle_outline
remove_circle_outline
remove_circle_outline

Article Types

Countries / Regions

remove_circle_outline
remove_circle_outline
remove_circle_outline
remove_circle_outline
remove_circle_outline

Search Results (573)

Search Parameters:
Keywords = cytomegalovirus (CMV)

Order results
Result details
Results per page
Select all
Export citation of selected articles as:
13 pages, 809 KB  
Article
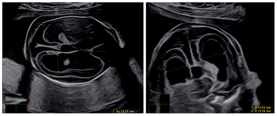
Antenatal Imaging and Neonatal Outcome in Infants with Congenital Cytomegalovirus Infection: The Effect of Valaciclovir
by Francesca Arcieri, Adele Vasta, Sara Sorrenti, Gregorio Volpe, Valentina D’Ambrosio, Daniele Di Mascio, Fabio Natale, Lucia Manganaro, Giuseppina Liuzzi, Maria Caterina Corigliano, Sara Bertolini, Stella Borza, Carla Camerino, Giuseppe Rizzo and Antonella Giancotti
J. Clin. Med. 2026, 15(2), 809; https://doi.org/10.3390/jcm15020809 - 19 Jan 2026
Abstract
Background: Congenital cytomegalovirus (cCMV) infection is a leading cause of neonatal morbidity. This retrospective study aimed to evaluate the efficacy of valacyclovir in reducing vertical transmission after primary maternal CMV infection and to assess the diagnostic performance of amniocentesis and prenatal imaging. Methods: [...] Read more.
Background: Congenital cytomegalovirus (cCMV) infection is a leading cause of neonatal morbidity. This retrospective study aimed to evaluate the efficacy of valacyclovir in reducing vertical transmission after primary maternal CMV infection and to assess the diagnostic performance of amniocentesis and prenatal imaging. Methods: Eighty-two pregnant women with confirmed primary CMV infection were included. Maternal CMV serology and viral DNA were assessed in blood and urine, with standardized prenatal care including serial ultrasound examinations and fetal MRI when indicated. Amniocentesis was offered to confirm fetal infection. Valacyclovir (8 g/day) was administered before 24 weeks’ gestation, and neonatal infection was diagnosed by CMV DNA detection in urine at birth. Statistical analyses were performed using SPSS version 27.0. Results: Most infections (62.2%) were diagnosed in the first trimester. Valacyclovir was administered in 97.6% of cases, and amniocentesis was performed in 81.7%, with CMV DNA detected in 19.4%. Among 74 live births, 23% of neonates were CMV-positive and 6.8% symptomatic. Seven infected neonates had negative amniocentesis (false-negative rate, 13.2%). Prenatal ultrasound and MRI failed to detect abnormalities in symptomatic cases. Conclusions: Valacyclovir may reduce, but does not eliminate, the risk of cCMV transmission. Negative amniocentesis does not fully exclude fetal infection, highlighting postnatal follow-up. Full article
(This article belongs to the Section Obstetrics & Gynecology)
Show Figures

Graphical abstract

13 pages, 2160 KB  
Article
B Cell Levels in Centenarians, Semi-Supercentenarians, and Supercentenarians: Descriptive Analysis by Age, Sex, Cytomegalovirus Status, and Interleukin-6
by Giorgio Bertolazzi, Anna Calabrò, Giulia Accardi, Anna Aiello, Calogero Caruso, Anna Maria Corsale, Marta Di Simone, Serena Meraviglia and Giuseppina Candore
J. Ageing Longev. 2026, 6(1), 9; https://doi.org/10.3390/jal6010009 - 13 Jan 2026
Viewed by 397
Abstract
This study aims to characterise the B cell compartment in a cohort of Sicilian centenarians by analysing absolute CD3CD19+ lymphocyte counts, in association with age, sex, cytomegalovirus (CMV) serostatus, related to immune ageing, and interleukin (IL)-6 levels, representative of inflamm-ageing. [...] Read more.
This study aims to characterise the B cell compartment in a cohort of Sicilian centenarians by analysing absolute CD3CD19+ lymphocyte counts, in association with age, sex, cytomegalovirus (CMV) serostatus, related to immune ageing, and interleukin (IL)-6 levels, representative of inflamm-ageing. It also investigates age-related changes in the CD4+/CD19+ ratio as a marker of immune ageing, reflecting shifts in immune homeostasis. B cell counts were assessed by flow cytometry on 53 Sicilians aged 19–110 years: 20 Adults, 15 Older adults, 11 long-living individuals, and 7 oldest centenarians. A multiple negative binomial regression was applied to evaluate the effects of age, sex, CMV serostatus, and Il-6 levels on values of B cells. The results showed a non-significant trend toward age-related decline without sex-based differences. A significant reduction in B cell count was observed in individuals with high anti_CMV titres, while IL-6 levels showed a borderline inverse correlation. CD4+/CD19+ ratio values showed an age-related increase. Our findings suggest that the age-related decline in B cell numbers may be mostly related to CMV infection and IL-6 values, without sex contribution. The age-related increase in the CD4+/CD19+ ratio, most pronounced in oldest centenarians, may represent a compensatory adaptation promoting immune regulation and chronic inflammation control. Full article
Show Figures

Graphical abstract

9 pages, 214 KB  
Article
Comparative Evaluation of Automated Nucleic Acid Extraction Systems for DNA and RNA Viral Target
by Davide Treggiari, Castilletti Concetta, Lavinia Nicolini, Cristina Mazzi, Francesca Perandin and Fabio Formenti
Pathogens 2026, 15(1), 71; https://doi.org/10.3390/pathogens15010071 - 9 Jan 2026
Viewed by 226
Abstract
Background: Efficient nucleic acid extraction is essential for reliable viral load testing, yet performance can differ widely depending on the extraction system and sample type. We compared three automated platforms, QIAcube, EZ1 Advanced, and Maxwell RSC, for their ability to recover cytomegalovirus (CMV) [...] Read more.
Background: Efficient nucleic acid extraction is essential for reliable viral load testing, yet performance can differ widely depending on the extraction system and sample type. We compared three automated platforms, QIAcube, EZ1 Advanced, and Maxwell RSC, for their ability to recover cytomegalovirus (CMV) DNA and West Nile virus (WNV) RNA from common clinical matrices. Methods: Mock specimens were prepared using whole blood, plasma, serum, and urine collected from two donors. Samples were spiked with CMV or WNV culture material and extracted in triplicate on each platform according to the manufacturers’ protocols. Viral loads were measured using ELITech ELITE MGB assays on the InGenius system. Whole blood samples were also tested after a 1:4 dilution. Matrix-specific standard curves were applied, and viral loads were compared using Wilcoxon rank-sum tests with false-discovery rate adjustment. Results: Extraction efficiency differed substantially by platform and specimen type. For CMV, QIAcube consistently produced the highest DNA recovery across all matrices, with particularly large differences in plasma and serum, where EZ1 and Maxwell RSC yielded significantly lower loads. The WNV results varied by matrix: EZ1 and QIAcube performed similarly in plasma, while Maxwell RSC achieved the highest RNA recovery in whole blood. While the QIAcube exhibited reduced WNV recovery in blood, it achieved the best performance in serum, as specified by the kit. No significant platform differences were observed for urine. Diluting whole blood reduced variability between platforms. Conclusions: Both sample matrix and extraction system strongly influence nucleic acid recovery. These results highlight the need for matrix-specific validation and standardized extraction approaches in molecular diagnostics. Full article
(This article belongs to the Section Viral Pathogens)
11 pages, 352 KB  
Article
The Use of CSF Multiplex PCR Panel in Patients with Viral Uveitis
by Young Hwan Jeong, Su Hwan Park, Seung Min Lee, Iksoo Byon, Jongyoun Yi and Sung-Who Park
Diagnostics 2026, 16(1), 143; https://doi.org/10.3390/diagnostics16010143 - 1 Jan 2026
Viewed by 350
Abstract
Background/Objectives: Polymerase chain reaction (PCR) testing of ocular fluids is an essential diagnostic method for identifying infectious causes of uveitis. However, multiplex PCR kits specifically developed for ophthalmic use are not commercially available in many regions, including Korea. Given the biochemical similarity [...] Read more.
Background/Objectives: Polymerase chain reaction (PCR) testing of ocular fluids is an essential diagnostic method for identifying infectious causes of uveitis. However, multiplex PCR kits specifically developed for ophthalmic use are not commercially available in many regions, including Korea. Given the biochemical similarity between cerebrospinal fluid (CSF) and aqueous humor, this study evaluated the diagnostic utility of a commercially available CSF multiplex PCR panel for detecting herpesviruses in patients with suspected viral uveitis. Methods: We retrospectively reviewed the medical records of patients whose aqueous humor samples were analyzed using a multiplex PCR assay originally designed for CSF testing (Seeplex Meningitis-V1 ACE Detection kit, Seegene, Seoul, Republic of Korea). The samples were obtained between May 2019 and June 2023 at two tertiary referral hospitals. The assay targeted herpes simplex virus types 1 and 2 (HSV-1, HSV-2), varicella-zoster virus (VZV), cytomegalovirus (CMV), Epstein–Barr virus (EBV), and human herpesvirus 6 (HHV-6). Patients were classified into three groups: (I) anterior uveitis with suspected herpesviral infection, (II) acute retinal necrosis (ARN), and (III) CMV retinitis. Baseline characteristics, PCR positivity rates, and virus prevalence were compared among the groups. Results: Among 149 eyes tested, 86 were included in the final analysis. The overall positivity rate was 38.4%. PCR positivity was 19.7% (12/61) in Group I, 93.8% (15/16) in Group II, and 66.7% (6/9) in Group III. CMV was the most common pathogen in Groups I (66.7%) and III (100%), while VZV was predominant in Group II (80%). No HHV-6 infection was detected. Conclusions: The positivity rate in anterior uveitis (Group I) was lower than previously reported, likely due to the limited sample volume relative to the assay’s requirement. Nevertheless, the assay demonstrated diagnostic reliability comparable to previous reports for ARN and CMV retinitis. Therefore, the CSF-based multiplex PCR panel serves as a feasible and cost-effective diagnostic option for sight-threatening posterior segment infections, facilitating prompt diagnosis and treatment, although further optimization is warranted for anterior uveitis. Full article
(This article belongs to the Special Issue Innovative Diagnostic Approaches in Retinal Diseases)
Show Figures

Figure 1

15 pages, 1770 KB  
Review
Screening for Congenital Cytomegalovirus Infection in Newborns
by Junfeng Zhang, Jiajia Cao and Qing Ye
Viruses 2026, 18(1), 63; https://doi.org/10.3390/v18010063 - 31 Dec 2025
Viewed by 364
Abstract
Congenital cytomegalovirus infection is an underrecognized congenital infection. Globally, it impacts approximately 1 of every 200 live births. Although infected infants can have an increased risk of long-term sequelae, such as neurodevelopmental impairments and sensorineural hearing loss, most of the infected infants do [...] Read more.
Congenital cytomegalovirus infection is an underrecognized congenital infection. Globally, it impacts approximately 1 of every 200 live births. Although infected infants can have an increased risk of long-term sequelae, such as neurodevelopmental impairments and sensorineural hearing loss, most of the infected infants do not show visible signs at birth. As congenital cytomegalovirus infection often goes undetected and screening programs are not widely accepted, awareness of congenital cytomegalovirus in neonates is lacking. The aim of this study is to offer the current status of the epidemiology, clinical manifestations, and laboratory testing for the diagnosis of congenital cytomegalovirus infection and newborn screening approaches. Full article
(This article belongs to the Section Human Virology and Viral Diseases)
Show Figures

Figure 1

9 pages, 1907 KB  
Article
Congenital Viral Infection Risk: The Role of Parvovirus B19 and Cytomegalovirus Molecular Genetic Testing
by Stefka Krumova, Ivelina Trifonova, Mariela Hristova-Savova, Lora Veleva, Radostina Stefanova, Petia Genova-Kalou, Petya Chaveeva, Vasil Kalev, Tanya Tilkova, Tsvetoslav Vassilev and Ivanka Dimova
Int. J. Mol. Sci. 2026, 27(1), 427; https://doi.org/10.3390/ijms27010427 - 31 Dec 2025
Viewed by 286
Abstract
Parvovirus B19 and cytomegalovirus are significant causes of congenital infections that can lead to adverse pregnancy outcomes. The present study aimed to investigate the infection of B19V and CMV in pregnant women with fetal anemia, effusions and intrauterine growth restriction and determine the [...] Read more.
Parvovirus B19 and cytomegalovirus are significant causes of congenital infections that can lead to adverse pregnancy outcomes. The present study aimed to investigate the infection of B19V and CMV in pregnant women with fetal anemia, effusions and intrauterine growth restriction and determine the utility of routine laboratory screening in pregnancy follow-up. Thirteen women with such pathological pregnancy complications attending an antenatal clinic from April 2024 to March 2025 were tested. Three types of clinical material were examined: maternal blood, amniotic fluid and umbilical cord serum. Participants underwent molecular and serological testing for both B19V and CMV. Demographic data, obstetric histories, and pregnancy outcomes were recorded and analyzed. Our results indicate that three participants showed evidence of either current infection with CMV and seven with B19V. Pregnant women with active infections required further follow-up and fetal surveillance. A stillbirth was reported in one woman with CMV infection. For seven samples that tested positive for B19V DNA, viral sequences were obtained and clustered with genotype 1a reference strains. The findings of this study highlight the significant contribution of B19V and CMV infections during pregnancy, particularly in cases complicated by fetal anemia, effusions, and intrauterine growth restriction. Full article
(This article belongs to the Special Issue Viral Infection and Virology Methods)
Show Figures

Figure 1

27 pages, 2694 KB  
Review
Postnatally Acquired Neonatal CMV Infection in Preterm Infants: From a Case Series to a Narrative Review of the Literature
by Serena Salomè, Ida D’Acunzo, Clara Coppola, Giovanna Montesano, Gaetano Ausanio, Angela Umbaldo, Fiorella Migliaro, Letizia Capasso and Francesco Raimondi
Children 2026, 13(1), 46; https://doi.org/10.3390/children13010046 - 29 Dec 2025
Viewed by 366
Abstract
Background: Postnatal cytomegalovirus (pCMV) infection is a frequent viral condition in early infancy and is primarily acquired through maternal breastfeeding. Although usually asymptomatic in term infants, it can lead to significant morbidity in preterm neonates (gestational age < 32 weeks) and in those [...] Read more.
Background: Postnatal cytomegalovirus (pCMV) infection is a frequent viral condition in early infancy and is primarily acquired through maternal breastfeeding. Although usually asymptomatic in term infants, it can lead to significant morbidity in preterm neonates (gestational age < 32 weeks) and in those with very low birthweight (<1500 g), presenting with sepsis-like syndrome, pneumonia, cytopenia, hepatitis, or colitis. Severe cases may result in long-term sequelae or death. Objectives: To describe a series of cases of pCMV infection and review the current evidence on its epidemiology, clinical manifestations, outcomes, and therapeutic management, aiming to identify gaps in knowledge and propose opportunities for improving the care of preterm infants. Methods: We analyzed clinical presentations of pCMV disease in a case series of preterm infants and reported cases and reviewed the recent literature regarding diagnostic approaches, antiviral therapy, and strategies for breastmilk management. Results: Current data highlight substantial variability in clinical management and outcomes. The lack of consensus on antiviral indications and treatment duration reflects a limited understanding of the disease’s natural history. Approaches to breastmilk handling differ widely among centers and countries, further complicating the standardization of care. Conclusions: pCMV infection remains a relevant yet under-recognized condition in neonatal medicine. Improved diagnostic strategies, clearer therapeutic guidelines, and harmonized recommendations for breastmilk management are needed to optimize the care of preterm infants at risk of or affected by pCMV disease. Full article
Show Figures

Figure 1

22 pages, 2173 KB  
Review
Cytomegalovirus in Pregnancy: Effects on the Developing Embryo and Fetus, Diagnosis and Treatment: Where to Go Now? A Narrative Review
by Asher Ornoy and Liza Weinstein-Fudim
Int. J. Mol. Sci. 2026, 27(1), 252; https://doi.org/10.3390/ijms27010252 - 25 Dec 2025
Viewed by 608
Abstract
Cytomegalovirus (CMV) is the most common infectious cause of congenital malformations, often presenting with atypical clinical findings. Fetal damage is most severe following primary maternal infection during the first trimester of pregnancy, with the likelihood of transmission increasing with pregnancy advancement. CMV damage [...] Read more.
Cytomegalovirus (CMV) is the most common infectious cause of congenital malformations, often presenting with atypical clinical findings. Fetal damage is most severe following primary maternal infection during the first trimester of pregnancy, with the likelihood of transmission increasing with pregnancy advancement. CMV damage may continue to intensify during the early postnatal years. In this narrative review we summarized publications from the last 30 years addressing the epidemiology, diagnosis, prevention and treatment of CMV in pregnancy, with a special emphasis on embryonic and fetal damage. Substantial progress has been made in the diagnosis and treatment of CMV infection during pregnancy, warranting a reconsideration of current clinical approaches. Assessment of viral load enables prediction of fetal infection; its reduction by maternal treatment with valacyclovir may lower both the rate and severity of transmission. Confirmed fetal infection can be diagnosed by amniocentesis and viral DNA detection. Clinical manifestations in infants may be evident at birth (cCMV) or gradually emerge during the first years. The most common fetal damage is hearing loss alongside a variety of brain lesions resulting in significant neurological deficits, including intellectual impairment. Brain involvement is diagnosed by ultrasound or magnetic resonance imaging (MRI). Pharmacological treatment with ganciclovir or valganciclovir, if initiated early after birth, can slow the progression of hearing loss and may ameliorate other neurological and neurodevelopmental deficits. As of today, there is no approved CMV vaccine for prevention. The mRNA-1647’s vaccine, currently in phase 3 clinical trial, appears promising. These advances underscore the need for screening pregnant women in the first trimester and newborn infants of mothers suspected of having CMV infection. Neurodevelopmental follow up for several years, including hearing and visual assessment, is advised in all infants positive for CMV. Infants with clinical manifestations should be offered treatment as early as possible following diagnosis of cCMV. Full article
(This article belongs to the Section Molecular Pathology, Diagnostics, and Therapeutics)
Show Figures

Figure 1

14 pages, 2822 KB  
Review
Pioneering Role of T.C. Merigan in the Treatment of Various Virus Infections
by Erik De Clercq
Molecules 2026, 31(1), 25; https://doi.org/10.3390/molecules31010025 - 22 Dec 2025
Viewed by 354
Abstract
The research of Prof. Dr. Thomas C. Merigan has spanned almost half a century. It started in 1963 with his interest in interferon (i). He then identified pyran copolymer as a synthetic polyanionic inducer of interferon (ii), and thereafter [...] Read more.
The research of Prof. Dr. Thomas C. Merigan has spanned almost half a century. It started in 1963 with his interest in interferon (i). He then identified pyran copolymer as a synthetic polyanionic inducer of interferon (ii), and thereafter thiophosphate-substituted polyribonucleotides, i.e., poly r(s¯A-s¯U) (iii). He recognized the potential of interferon as a therapeutic agent for virus infections (iv), varicella-zoster virus (VZV) being the first case in point (v). His interest then shifted to the treatment of herpes virus [herpes simplex virus (HSV) and cytomegalovirus (CMV)] infections (vi) and hepatitis B virus (HBV) infections (vii), to end up with human immunodeficiency virus (HIV) infections (viii, ix, x). T.C. Merigan’s pioneering work on the treatment of so many pivotal virus infections deserves further in-depth clinical evaluation. Full article
Show Figures

Figure 1

12 pages, 2246 KB  
Article
Peptide-Based Plasmon-Enhanced Spectroscopic Immunoassay to Detect Immunity Against Cytomegalovirus
by Aruna Chandra Singh, Clara Sidhoum, Hugo Payen, Divya Balakrishnan, Saulius Juodkazis, Thomas Østerbye and Sivashankar Krishnamoorthy
Biosensors 2025, 15(12), 817; https://doi.org/10.3390/bios15120817 - 17 Dec 2025
Viewed by 413
Abstract
Sensors to monitor the immune status of an individual play a crucial role in understanding the acquired immunity or signs of a latent infection. Such sensors can be an effective tool to manage infection and to design treatment options in vulnerable populations. We [...] Read more.
Sensors to monitor the immune status of an individual play a crucial role in understanding the acquired immunity or signs of a latent infection. Such sensors can be an effective tool to manage infection and to design treatment options in vulnerable populations. We demonstrate here highly sensitive detection of acquired immunity to Cytomegalovirus CMV by detection of anti-CMV antibodies using plasmon-enhanced fluorescence (PEF). The PEF sensors leverage plasmonic enhancement from a high density of intense electromagnetic hotspots in self-assembly-derived gold nanopillar arrays. Comparing PEF assays with assays on a planar surface plasmon resonance sensor shows the PEF sensors to be sensitive to a small fraction of the antibodies on the surface. The detection scheme deploys peptide monolayers with specific affinity to anti-CMV antibodies to capture them onto the sensor surfaces. The results of the assay on the PEF sensor reveal high promise for sensors with miniaturized sensing footprints, ease of spatial multiplexing, high sensitivity, and quick response times. The developments are readily applicable to a range of other diagnostic contexts where peptide–protein interactions and self-assembly-derived PEF sensors can be leveraged. Full article
(This article belongs to the Special Issue Periodic Man-Made Nanostructure-Based Biosensors)
Show Figures

Figure 1

15 pages, 686 KB  
Article
Associations Between Fetal Symptoms During Pregnancy and Neonatal Clinical Complications with Cytomegalovirus Infection
by Virág Bartek, Márta Csire, Gréta Kiss, Réka Hodula and Artur Beke
Children 2025, 12(12), 1690; https://doi.org/10.3390/children12121690 - 12 Dec 2025
Viewed by 455
Abstract
Introduction: Primary Cytomegalovirus (CMV) infection occurs in 0.7–4.1% of all pregnancies. Our study aims to analyze the incidence rate of ultrasound anomalies, as well as CMV PCR analysis of the amniotic fluid sample obtained from amniocentesis in CMV-infected pregnancies, as well as the [...] Read more.
Introduction: Primary Cytomegalovirus (CMV) infection occurs in 0.7–4.1% of all pregnancies. Our study aims to analyze the incidence rate of ultrasound anomalies, as well as CMV PCR analysis of the amniotic fluid sample obtained from amniocentesis in CMV-infected pregnancies, as well as the outcome of the pregnancies and neonatal follow-up. Methods: We analyzed cases of recent maternal CMV infections confirmed by serological testing at the Department of Obstetrics and Gynecology, Semmelweis University, between 2001 and 2023. In cases of primary CMV infection confirmed by serological testing during pregnancy, we offered amniocentesis at the genetic counseling, which was performed at the 20–21 weeks stage of the pregnancy. Results: In 130 cases of recent maternal CMV infection confirmed by serological testing, amniocentesis was performed, and a total of 11 cases (8.46%) were found to have CMV DNA in the amniotic fluid. Based on the neonatological follow-up examinations in 116 deliveries, 18 newborns had complications (15.52%); however, some cases were associated with multiple complications, resulting in a total of 33 types of complications being identified (28.45%). Among the 11 neurological complications (9.48%), we found 1 case each (0.86%) of severe inoperable intracranial space occupation, hydrocephalus, balance disorder, sleep disorder–sleep apnea, and speech development disorder. Two cases (1.72%) were found to have rigid muscles, epilepsy, and hypotonic muscles. Ophthalmological complications occurred in five cases (4.31%), such as enophthalmos, cataract, and retinopathy of prematurity (ROP), one case each, and two cases of strabism. Other complications were detected in 17 cases (14.66%). Conclusions: Because of the high incidence rate of recent CMV infection, serological testing is recommended following fetal abnormality detected by ultrasound. If a serologically confirmed new infection is diagnosed, the affected couple should be offered amniocentesis. Full article
(This article belongs to the Special Issue Prenatal Screening and Diagnosis: Fetal Medicine Perspectives)
Show Figures

Figure 1

6 pages, 178 KB  
Case Report
Reversion of Val(Ganciclovir)-Resistance-Associated Mutations in Two SOT Patients with Mismatched Serostatus for CMV (D+/R-)
by Elena Seminari, Alessandra Tebaldi, Aurelia Sangani, Paola Giordani, Daniele Lilleri, Stefania Paolucci, Giulia Campanini, Elizabeth Iskandar, Fausto Baldanti and Raffaele Bruno
Viruses 2025, 17(11), 1462; https://doi.org/10.3390/v17111462 - 31 Oct 2025
Viewed by 705
Abstract
The emergence of drug-resistant cytomegalovirus (CMV) complicates viral response to therapy. We present two cases of solid organ transplant (SOT) recipients, highlighting the reversion of UL97 mutations associated with val(ganciclovir) resistance. Patient 1, a heart transplant recipient, initially received pre-emptive treatment with val(ganciclovir), [...] Read more.
The emergence of drug-resistant cytomegalovirus (CMV) complicates viral response to therapy. We present two cases of solid organ transplant (SOT) recipients, highlighting the reversion of UL97 mutations associated with val(ganciclovir) resistance. Patient 1, a heart transplant recipient, initially received pre-emptive treatment with val(ganciclovir), followed by foscarnet for recurrent CMV episodes. Mutations A594V in the UL97-kinase gene and V715M in the UL54-polymerase gene were detected. He developed CMV colitis and was then treated with maribavir. After discontinuing val(ganciclovir), genotyping revealed no resistance mutations. Following CMV DNA suppression, secondary prophylaxis with letermovir and val(ganciclovir) was initiated. Patient 2, a double-lung transplant recipient, experienced several CMV episodes. Initially treated with val(ganciclovir), he developed the L595S mutation in the UL97 kinase gene, conferring resistance. Therapy was then switched to foscarnet, which was suspended due to renal failure, and then to maribavir. Subsequently, the H411Y mutation in the UL97 was detected, conferring maribavir resistance, while val(ganciclovir) mutation was no longer detectable. He was then treated with val(ganciclovir) and letermovir, achieving undetectable CMV DNA, and then continued letermovir alone as prophylaxis. Detecting gene mutations that confer drug resistance is crucial for managing antiviral therapy when virological response is lacking. In our cases, the reversion of (va)ganciclovir-resistance mutations occurred after drug withdrawal, a previously unreported finding. Full article
11 pages, 229 KB  
Article
HPV, EBV, CMV, and HSV in Head and Neck Cancer: Molecular Detection, Seroprevalence, and Clinical Correlations
by Mustafa Onel, Hayriye Kirkoyun Uysal, Murat Ulusan, Utkucan Ayeser, Kutay Sarsar, Yasemin Ayse Ucar, Ozlem Yoldas, Arat Hulikyan, Fulya Gurkan Kiraz, Ali Mert Uysal, Mehmet Celik, Mehmet Demirci and Ali Agacfidan
Biology 2025, 14(11), 1523; https://doi.org/10.3390/biology14111523 - 30 Oct 2025
Viewed by 809
Abstract
(1) Background: This study investigated the presence of human papillomavirus (HPV), HPV genotypes, Epstein–Barr virus (EBV), cytomegalovirus (CMV) and herpes simplex virus (HSV) in patients with Head and Neck Cancer (HNC) at both molecular and serological levels. (2) Methods Fifty patients with histopathologically [...] Read more.
(1) Background: This study investigated the presence of human papillomavirus (HPV), HPV genotypes, Epstein–Barr virus (EBV), cytomegalovirus (CMV) and herpes simplex virus (HSV) in patients with Head and Neck Cancer (HNC) at both molecular and serological levels. (2) Methods Fifty patients with histopathologically confirmed HNC who were admitted to the Department of Otorhinolaryngology, Istanbul Faculty of Medicine. Viral DNA was detected using quantitative real-time PCR, and serological IgM and IgG antibodies were analyzed using the CMIA method; (3) Results: In blood samples, CMV and HSV DNA were not detected, whereas EBV DNA was identified in 2% and HPV DNA in 4% of patients. In tumor tissues, CMV DNA was detected in 8%, EBV DNA in 10%, and HPV DNA in 6%; HSV DNA is 6%. HPV genotypes 18, 45, and 69 were found in tissue samples. Serologically, IgG positivity for CMV, EBV, and HSV-1 exceeded 90%, whereas IgM positivity was low and not statistically significant; (4) Conclusions: HPV, EBV, and CMV DNA were detected at low frequencies in patients with HNC, while HSV DNA was absent. These findings underline the need for larger multi-center studies and support the consideration of routine viral screening, particularly for HPV, in specific tumor subtypes. Full article
30 pages, 3105 KB  
Article
Sumac Polyphenols as Pan-Herpesvirus Inhibitors
by Shavkat I. Salikhov, Yuliya I. Oshchepkova, Jamolitdin F. Ziyavitdinov, Jamshid M. Ashurov, Nodir S. Berdiev, Mikhail S. Kolundin, Akhmed O. Gaidarov, Ali S. Turgiev, Kirill I. Yurlov, Victor F. Larichev, Irina T. Fedyakina, Valeria L. Andronova, Natalia E. Fedorova, Alla A. Kushch, Alexander V. Ivanov and Eduard V. Karamov
Int. J. Mol. Sci. 2025, 26(21), 10398; https://doi.org/10.3390/ijms262110398 - 26 Oct 2025
Viewed by 1039
Abstract
Pandemic preparedness is a complex of threat-agnostic countermeasures developed in advance which would be efficient against a future outbreak regardless of its causative agent, and broad-spectrum antivirals constitute a critical component of this complex. Plant polyphenols are known to suppress viruses of unrelated [...] Read more.
Pandemic preparedness is a complex of threat-agnostic countermeasures developed in advance which would be efficient against a future outbreak regardless of its causative agent, and broad-spectrum antivirals constitute a critical component of this complex. Plant polyphenols are known to suppress viruses of unrelated families by acting on multiple viral and cellular structures. We therefore searched for broad-spectrum antivirals among polyphenols that have been confirmed as safe to humans. The ellagitannin geraniin and galloylglucose constituents of the drug Rutan (1,2,3,4,6-penta-O-galloyl-β-D-glucose [R5], 3-bis-O-galloyl-1,2,4,6-tetra-O-galloyl-β-D-glucose [R6], 2,4-bis-O-galloyl-1,3,6-tri-O-galloyl-β-D-glucose [R7], 2,3,4-bis-O-galloyl-1,6-di-O-galloyl-β-D-glucose [R8]) were isolated from Geranium sanguineum and sumac (Rhus coriaria), respectively. We revealed their activity towards herpes simplex viruses (HSV-1 and HSV-2), human cytomegalovirus (CMV), and the Epstein–Barr virus (EBV). R5 suppressed HSV-1 and HSV-2 with equal efficiency, while Rutan and R7 were more active against HSV-1, and geraniin against HSV-2. Rutan and R5 also inhibited the intracellular replication of CMV and EBV (contrary to our expectations, geraniin and polyphenols R6–R8 showed no activity). Thus, we have shown for the first time that sumac polyphenols are capable of suppressing—in addition to HIV, influenza virus, and SARS-CoV-2—the reproduction of representatives of all three Orthoherpesviridae subfamilies, meeting the criteria for further development as broad-spectrum antivirals. Full article
(This article belongs to the Special Issue Molecular View of Natural Products with Antiviral Effects)
Show Figures

Figure 1

11 pages, 608 KB  
Article
Manifestation of Congenital CMV-Related Hearing Loss in Cohort Followed at Ear, Nose, and Throat Clinic
by Hajime Koyama, Akinori Kashio, Teru Kamogashira, Aki Sakata, Shinji Urata, Anjin Mori and Kenji Kondo
Audiol. Res. 2025, 15(5), 139; https://doi.org/10.3390/audiolres15050139 - 15 Oct 2025
Viewed by 625
Abstract
Background/Objectives: Cytomegalovirus (CMV)-associated hearing loss is common in non-genetic congenital hearing loss. Despite this high prevalence, a wide range of clinical characteristics exists, and the pattern of hearing loss remains unknown. This study aims to describe the clinical manifestations in children with CMV-associated [...] Read more.
Background/Objectives: Cytomegalovirus (CMV)-associated hearing loss is common in non-genetic congenital hearing loss. Despite this high prevalence, a wide range of clinical characteristics exists, and the pattern of hearing loss remains unknown. This study aims to describe the clinical manifestations in children with CMV-associated hearing loss and to clarify the timing of hearing level change and the degree of hearing level fluctuation. Methods: A total of 54 patients with hearing loss due to congenital CMV infection were included. Hearing loss type (congenital or later onset), hearing loss laterality (unilateral or bilateral), severity at first and last visit, hearing progression and timing, and the difference between patients with intellectual disability and without intellectual disability were assessed. Results: The number of patients with congenital hearing loss and later onset hearing loss were 19 patients and 13 patients, respectively. Seventy-four percent (14/19) of the congenital hearing loss patients and 62% (8/13) of the later onset hearing loss patients eventually progressed to severe to profound hearing loss bilaterally. Progression occurred in less than 1 year (9 cases), between 1 and 3 years (7 cases), between 3 and 7 years (4 cases), or more than 8 years (1 case). Multiple progression events occurred in 11 cases. Conclusions: Sixty-one percent of patients had progression of hearing loss. Several cases experienced progression over more than one year and showed multiple progression events. CMV patients without intellectual disability tended to suffer later onset hearing loss. Sixty-nine percent of the patients eventually progressed to bilateral severe to profound hearing loss, which means that continuous long-term follow-up is required. Full article
(This article belongs to the Section Hearing)
Show Figures

Figure 1

Back to TopTop