Sign in to use this feature.

Years

Between: -

Subjects

remove_circle_outline
remove_circle_outline
remove_circle_outline
remove_circle_outline
remove_circle_outline
remove_circle_outline
remove_circle_outline

Journals

remove_circle_outline
remove_circle_outline
remove_circle_outline
remove_circle_outline
remove_circle_outline
remove_circle_outline
remove_circle_outline
remove_circle_outline
remove_circle_outline

Article Types

Countries / Regions

remove_circle_outline
remove_circle_outline
remove_circle_outline
remove_circle_outline
remove_circle_outline

Search Results (739)

Search Parameters:
Keywords = cutaneous immunity

Order results
Result details
Results per page
Select all
Export citation of selected articles as:
19 pages, 2498 KB  
Article
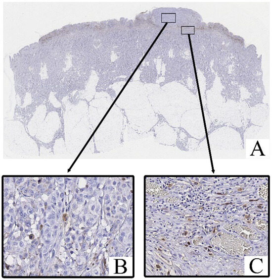
Multi-Modal Biomarker Profiling of Tumor Microenvironment and Genomic Alterations to Enhance Immunotherapy Stratification in Melanoma
by Meshack Bida, Thabiso Victor Miya, Tebogo Marutha, Rodney Hull, Mohammed Alaouna and Zodwa Dlamini
Curr. Issues Mol. Biol. 2025, 47(10), 821; https://doi.org/10.3390/cimb47100821 - 3 Oct 2025
Abstract
Tumor mutational burden (TMB) and tumor-infiltrating lymphocytes (TILs) are key biomarkers for predicting immunotherapy responses in cutaneous melanoma. The discordance between brisk TIL morphology and absent cytokine signals complicates immune profiling. We examined the interactions between TMB, TIL patterns, cytokine expression, and genomic [...] Read more.
Tumor mutational burden (TMB) and tumor-infiltrating lymphocytes (TILs) are key biomarkers for predicting immunotherapy responses in cutaneous melanoma. The discordance between brisk TIL morphology and absent cytokine signals complicates immune profiling. We examined the interactions between TMB, TIL patterns, cytokine expression, and genomic alterations to uncover immune escape mechanisms and refine prognostic tools. A structure-based BRAF druggability analysis was performed to anchor the genomic findings in a therapeutic context. Primary cutaneous melanoma cases (N = 205) were classified as brisk (n = 65), non-brisk (n = 60), or absent TILs (n = 80) according to the American association for cancer research (AACR) guidelines. Inter-observer concordance was measured using intraclass correlation. Tumor necrosis factor alpha (TNF-α) and interferon gamma (IFN-γ) levels were graded using immunohistochemistry. Eleven brisk TIL cases lacking TNF-α expression were analyzed using the (Illumina TruSight Oncology 500, Illumina-San Diego, CA, USA). Dabrafenib docking to the BRAF ATP site was performed with Glide SP/XP and rescored with Prime MM-GBSA. Brisk TILs lacking cytokine signals suggested post-translational silencing of TNF-α/IFN-γ. Among the 11 profiled cases, eight exhibited high TMB and copy number alterations, with enrichment of nine metastasis/immune regulation genes. Inter-observer concordance was high (absent TILs, 95%; brisk TILs, 90.7%). BRAF docking yielded a canonical type-I pose and strong ATP pocket engagement (ΔG_bind −84.93 kcal·mol−1). Single biomarkers are insufficient for diagnosis. A multiparametric framework combining histology, cytokine immunohistochemistry (IHC), and genomic profiling enhances stratification and reveals immune escape pathways, with BRAF modeling providing a mechanistic anchor for the targeted therapy. Full article
(This article belongs to the Section Molecular Medicine)
Show Figures

Figure 1

16 pages, 296 KB  
Review
Novel Therapeutic Approaches for Cutaneous Angiosarcoma, Particularly Focusing on Immune Checkpoint Inhibitors
by Yasuhiro Fujisawa
Cancers 2025, 17(19), 3163; https://doi.org/10.3390/cancers17193163 - 29 Sep 2025
Abstract
Background/Objectives: Cutaneous angiosarcoma (CAS) is a rare and aggressive endothelial malignancy with a high rate of local recurrence and distant metastasis. In advanced cases, where surgical resection is not feasible, systemic therapy remains the cornerstone of treatment. This review aims to summarize [...] Read more.
Background/Objectives: Cutaneous angiosarcoma (CAS) is a rare and aggressive endothelial malignancy with a high rate of local recurrence and distant metastasis. In advanced cases, where surgical resection is not feasible, systemic therapy remains the cornerstone of treatment. This review aims to summarize the current landscape of systemic therapies for unresectable or metastatic CAS and discuss emerging strategies, particularly focusing on immune checkpoint inhibitors (ICIs). Methods: A comprehensive review of the literature was conducted, including clinical trials, retrospective studies, and case series focusing on systemic treatments for advanced CAS. Therapeutic approaches covered include cytotoxic chemotherapy, molecular targeted therapies, and ICIs, as well as combination strategies. Special attention was given to biomarker studies and ongoing clinical trials. Results: Taxane-based chemotherapy, particularly paclitaxel, has demonstrated clinical activity and remains a standard option. Molecular targeted agents such as pazopanib have yielded modest efficacy. Recent trials of ICIs, including the SWOG S1609 DART and AngioCheck studies, have shown encouraging results in select subgroups, especially tumors from sun-exposed regions associated with high tumor mutational burden (TMB). Although AngioCheck did not meet its predefined response criteria, a subset of patients achieved disease control. Biomarkers such as TMB, PD-L1 expression, and tumor-infiltrating lymphocytes are under investigation to guide patient selection. Combination therapies with ICIs and tyrosine kinase inhibitors (TKIs) are being actively explored. Conclusions: While systemic therapies for CAS remain limited in efficacy, ICIs—particularly in combination with TKIs—represent a promising avenue. Future trials should emphasize biomarker-driven, CAS-specific strategies to improve clinical outcomes in this challenging malignancy. Full article
11 pages, 2186 KB  
Article
MyD88 Plays an Important Role in UVB-Induced Suppression of Dendritic Cell Activity, T Cell Function, and Cutaneous Immune Response
by Mohammad Asif Sherwani, Carlos Alberto Mier Aguilar, Charlotte McRae, Gelare Ghajar-Rahimi, Aisha Anwaar, Ahmed Omar Jasser, Ariq Chandra, Hui Xu and Nabiha Yusuf
Int. J. Mol. Sci. 2025, 26(19), 9361; https://doi.org/10.3390/ijms26199361 - 25 Sep 2025
Abstract
Ultraviolet B (UVB) radiation triggers DNA damage and immune suppression, establishing conditions favorable for skin carcinogenesis. Previous studies have shown that a downstream adaptor for Toll-like receptors (TLRs), myeloid differentiation primary response 88 (MyD88), plays a role in UVB-induced DNA damage and immunosuppression. [...] Read more.
Ultraviolet B (UVB) radiation triggers DNA damage and immune suppression, establishing conditions favorable for skin carcinogenesis. Previous studies have shown that a downstream adaptor for Toll-like receptors (TLRs), myeloid differentiation primary response 88 (MyD88), plays a role in UVB-induced DNA damage and immunosuppression. However, specific mechanisms for the effects on dendritic cells and T cells remain poorly understood. The objective of this study is to determine the role of MyD88 and TIR-domain-containing adaptor inducing interferon-β (TRIF), another key TLR downstream adaptor, in UVB-induced suppression of dendritic cell activity and T cell function. MyD88−/−, Trif−/−, and wild-type (WT) mice were evaluated for UVB-induced effects on dendritic cell, T cells, and contact hypersensitivity responses in skin. MyD88−/− mice exhibited significant resistance to UVB-induced immune suppression, compared to Trif−/− mice and wild-type controls. The MyD88 deficiency significantly reduced UVB-induced Treg cells that were CD4+CD25+Foxp3+ and produced interleukin (IL)-10. Moreover, it significantly inhibited the UVB-induced suppression of IL-12/IL-23 producing CD11c+ dendritic cells. Further experiments confirmed that MyD88 conditional knockout (MyD88fl/flXCD11c.Cre) mice were protected against UVB-induced immune suppression. Dendritic cells from MyD88 genomic or conditional knockout mice were resistant to UVB-induced reduction of major histocompatibility complex (MHC) class II antigens. These findings show that MyD88 plays a key role in UVB-induced immune suppression. The deficiency in the MyD88 gene inhibits UVB-induced suppression of CD11c+ dendritic cell (DC) activity and reduces UVB-induced development of Treg cells. Our studies demonstrate a new mechanism for MyD88-mediated regulation of UVB-induced immune suppression. Full article
Show Figures

Figure 1

23 pages, 3182 KB  
Review
Jellyfish Venom-Induced Cardiotoxicity and Immune Responses: Mechanisms and Potential Therapeutic Strategies
by Yueyue Li, Zhiwen Qiu, Bingbing Li, Xiaoyu Geng, Xuelu Yu, Yue Li, Wei Li and Jishun Yang
Mar. Drugs 2025, 23(10), 369; https://doi.org/10.3390/md23100369 - 23 Sep 2025
Viewed by 286
Abstract
Jellyfish stings represent a significant global marine hazard, causing injuries from localized skin damage to fatal systemic complications. While skin reactions are the most common symptom, heart toxicity (cardiotoxicity) is the primary cause of death. A growing body of evidence shows that the [...] Read more.
Jellyfish stings represent a significant global marine hazard, causing injuries from localized skin damage to fatal systemic complications. While skin reactions are the most common symptom, heart toxicity (cardiotoxicity) is the primary cause of death. A growing body of evidence shows that the immune system’s response worsens this venom-induced heart damage. However, current research remains disproportionately focused on cutaneous inflammatory responses, leaving systemic immunopathological processes—especially those potentiating cardiotoxicity—poorly understood. Moreover, few jellyfish toxins (like those from the Chironex fleckeri) have been thoroughly studied, and the molecular mechanisms of heart injury remain largely unknown. This review introduces a novel pathophysiological classification of jellyfish envenomation into three distinct categories—immunotoxicity-dominant, cardiotoxicity-dominant, and dual-mechanism synergistic—based on clinical and mechanistic profiles. By synthesizing current knowledge on venom components and their multi-system interaction, we aim to identify actionable therapeutic targets and propose mechanism-driven treatment strategies. This refined classification offers a foundation for future clinical decision-making and the development of targeted therapies, potentially improving patient outcomes through more personalized envenomation management. Full article
(This article belongs to the Special Issue Jellyfish-Derived Compounds)
Show Figures

Figure 1

17 pages, 299 KB  
Review
Indications and Mechanisms of Action of the Main Treatment Modalities for Non-Melanoma Skin Cancer
by Marcio F. Chedid, Aline C. Tregnago, Floriano Riva, Lucas Prediger, Anisha Agarwal and Jane Mattei
Life 2025, 15(9), 1447; https://doi.org/10.3390/life15091447 - 16 Sep 2025
Viewed by 423
Abstract
Skin cancer is the most common cancer worldwide. The incidence of skin cancer has been increasing worldwide. Nearly 75% of all skin cancers are basal cell carcinomas (BCC), cutaneous squamous cell carcinoma (cSCC) represents approximately 20%, and those remaining are melanomas (4%) or [...] Read more.
Skin cancer is the most common cancer worldwide. The incidence of skin cancer has been increasing worldwide. Nearly 75% of all skin cancers are basal cell carcinomas (BCC), cutaneous squamous cell carcinoma (cSCC) represents approximately 20%, and those remaining are melanomas (4%) or other rare tumors (1%). Given the high cure rates and the ability to histologically confirm tumor clearance, surgical therapy is the gold standard for the treatment of skin cancer. Conventional surgery is the most employed technique for the removal of non-melanoma skin cancer (NMSCs). Mohs Micrographic Surgery (MMS) is the most precise surgical method for the treatment of non-melanoma skin cancer, allowing for 100% margin evaluation, being the gold-standard method for surgical treatment of non-melanoma skin cancer. Whenever it is possible to obtain wide margins (4 to 6 mm), cure rates vary from 70% to 99%. Imiquimod, a synthetic imidazoquinolinone amine, is a topical immune response modifier approved by the U.S. Food and Drug Administration (FDA) for the treatment of external anogenital warts, actinic keratosis (AK), and superficial basal cell carcinoma (sBCC). The efficacy of imiquimod is primarily attributed to its ability to modulate both innate and adaptive immune responses, as well as its direct effects on cancer cells. Imiquimod exerts its immunomodulatory effects by activating Toll-like receptors 7 and 8 (TLR7/8) on various immune cells, including dendritic cells, macrophages, and natural killer (NK) cells. Upon binding to these receptors, imiquimod triggers the MyD88-dependent signaling pathway, leading to the activation of nuclear factor kappa B (NF-κB) and interferon regulatory factors (IRFs). This cascade leads to the production of pro-inflammatory cytokines, including interferon-alpha (IFN-α), tumor necrosis factor-alpha (TNF-α), interleukin-12 (IL-12), and interleukin-6 (IL-6). These cytokines enhance local inflammation, recruit additional immune cells to the tumor site, and stimulate antigen presentation, thereby promoting an anti-tumor immune response. Radiation therapy (RTh) may be employed as a primary treatment to BCC. It may also be employed as an adjuvant treatment to surgery for SCC and aggressive subtypes of BCC. RTh triggers both direct and indirect DNA damage on cancer cells and generates reactive oxygen species (ROS) within cells. ROS trigger oxidative damage to DNA, proteins, and lipids, exacerbating the cellular stress and contributing to tumor cell death. Recently, immunotherapy emerged as a revolutionary treatment for all stages of SCC. Cemiplimab is a human programmed cell death 1 (PD-1)-blocking antibody that triggers a response to over 50% of patients with locally advanced and metastatic SCC. A randomized clinical trial (RCT) published in 2022 revealed that cemiplimab was highly effective in the neoadjuvant treatment of large SCCs. The drug promoted a significant tumor size decrease, enabling organ-sparing operations and a much better cosmetic effect. A few months ago, a RCT of cemiplimab on adjuvant therapy for locally aggressive SCC was published. Interestingly, cemiplimab was administered to patients with local or regional cutaneous squamous cell carcinoma after surgical resection and postoperative radiotherapy, at high risk for recurrence owing to nodal features, revealed that cemiplimab led to much lower risks both of locoregional recurrence and distant recurrence. Full article
15 pages, 1569 KB  
Review
Plasminogen Activator Inhibitor-1 in Skin Malignancies: Therapeutic Implications of Its Inhibition
by Taku Fujimura, Yusuke Muto and Yoshihide Asano
Biomolecules 2025, 15(9), 1317; https://doi.org/10.3390/biom15091317 - 13 Sep 2025
Viewed by 366
Abstract
Plasminogen activator inhibitor-1 (PAI-1), a key regulator of fibrinolysis, has emerged as a critical stromal factor that contributes to tumor progression in various malignancies, including skin cancers. Beyond its classical role in inhibiting plasminogen activators, PAI-1 exerts pleiotropic effects within the tumor microenvironment, [...] Read more.
Plasminogen activator inhibitor-1 (PAI-1), a key regulator of fibrinolysis, has emerged as a critical stromal factor that contributes to tumor progression in various malignancies, including skin cancers. Beyond its classical role in inhibiting plasminogen activators, PAI-1 exerts pleiotropic effects within the tumor microenvironment, promoting immunosuppression, angiogenesis, and extracellular matrix remodeling. This review highlights the tumor-promoting functions of PAI-1 in melanoma, cutaneous squamous cell carcinoma, cutaneous angiosarcoma and cutaneous T-cell lymphoma, with a particular focus on its modulation of tumor-associated macrophages, cancer-associated fibroblasts, and endothelial cells. We also discuss recent preclinical and clinical studies targeting PAI-1, including TM5614, a novel oral PAI-1 inhibitor currently under investigation in phase II /III trials. By summarizing the multifaceted roles of PAI-1 and its impact on the immune and stromal landscape of skin malignancies, this review provides a rationale for PAI-1 as a promising therapeutic target and calls for further clinical validation of PAI-1–directed therapies. Full article
Show Figures

Figure 1

12 pages, 1302 KB  
Article
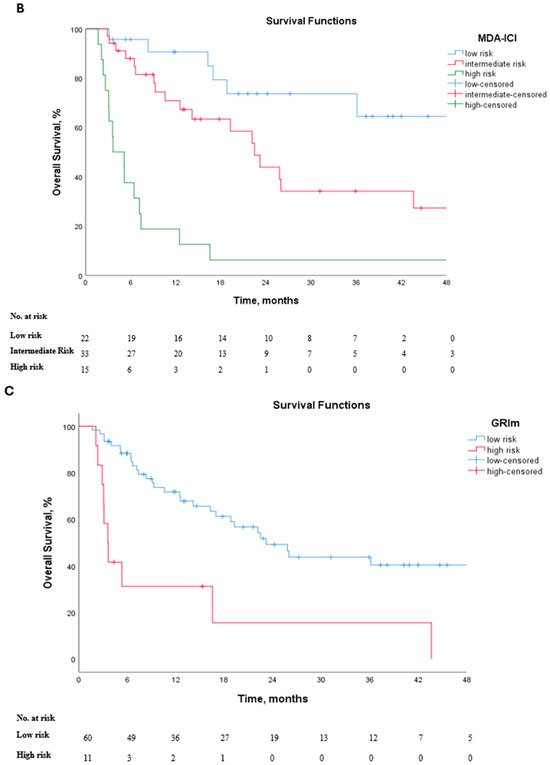
A Real-World Evaluation of Clinical Prognostic Scores in Advanced Melanoma Treated with Immune Checkpoint Inhibitors
by Gul Sema Yildiran Keskin and Nuri Karadurmus
J. Clin. Med. 2025, 14(18), 6452; https://doi.org/10.3390/jcm14186452 - 12 Sep 2025
Viewed by 248
Abstract
Background: Despite improved survival outcomes with immune checkpoint inhibitors (ICIs), the treatment response of patients with metastatic melanoma remains highly variable. There is a growing need for reliable, accessible prognostic tools that incorporate clinical and inflammatory markers in order to stratify patients [...] Read more.
Background: Despite improved survival outcomes with immune checkpoint inhibitors (ICIs), the treatment response of patients with metastatic melanoma remains highly variable. There is a growing need for reliable, accessible prognostic tools that incorporate clinical and inflammatory markers in order to stratify patients better and guide therapeutic decisions. Methods: We conducted a retrospective cohort study involving 73 patients with metastatic cutaneous melanoma treated with ICIs at a single tertiary center between 2017 and 2024. Baseline clinical and laboratory parameters were collected to calculate the Royal Marsden Hospital (RMH), Gustave Roussy Immune (GRIm) and MD Anderson Immune Checkpoint Inhibitor (MDA-ICI) scores. Overall survival (OS) and progression-free survival (PFS) were analyzed via Kaplan–Meier estimates and Cox proportional hazards models. Prognostic performance was assessed using Harrell’s concordance index (C-index) and receiver operating characteristic (ROC) analysis. Results: The median follow-up was 35.9 months, and the median OS was 22.1 months. All three scores were significantly associated with OS in univariate analysis. In multivariate models, only the RMH (HR: 5.45, p < 0.001) and MDA-ICI (HR: 4.24, p = 0.015) scores remained independent predictors of OS. Harrell’s C-index indicated strong discriminative ability for both RMH (0.742) and MDA-ICI (0.730) scores, whereas the GRIm score demonstrated lower predictive accuracy (0.615). Similarly, ROC curve analysis showed higher AUC values for RMH (0.732) and MDA-ICI (0.739) compared with GRIm (0.595). Conclusions: In this real-world cohort of metastatic melanoma patients treated with ICI, the RMH and MDA-ICI scores demonstrated favorable prognostic performance and outperformed the GRIm score in predicting overall survival. These findings support the clinical utility of RMH and MDA-ICI as practical, accessible tools for prognostic risk stratification in melanoma, though external validation in larger, multicenter cohorts is required. Full article
(This article belongs to the Section Oncology)
Show Figures

Figure 1

21 pages, 366 KB  
Review
Molecular and Genetic Markers for Malignant Melanoma: Implications for Prognosis and Therapy
by Lauren Fleshner, Alyssa Sayegh, Mehmet Fatih Atak, Rahim Hirani, Banu Farabi, Bijan Safai and Shoshana Marmon
Dermatopathology 2025, 12(3), 31; https://doi.org/10.3390/dermatopathology12030031 - 12 Sep 2025
Viewed by 506
Abstract
Despite therapeutic advancements, malignant melanoma remains a leading cause of skin cancer-related mortality, with incidence continuing to rise globally. Traditional prognostic tools offer important clinical guidance but fail to capture the biological heterogeneity of melanoma or reliably predict responses to emerging therapies. In [...] Read more.
Despite therapeutic advancements, malignant melanoma remains a leading cause of skin cancer-related mortality, with incidence continuing to rise globally. Traditional prognostic tools offer important clinical guidance but fail to capture the biological heterogeneity of melanoma or reliably predict responses to emerging therapies. In this review, we summarize recent advances in prognostic and predictive molecular biomarkers reported over the past five years. We discuss immunohistochemical and tissue-based markers, circulating biomarkers, microRNAs, and gene expression profiles that enhance risk stratification and inform surveillance strategies. We also review immune-related markers that may predict response to immune-checkpoint inhibitor therapy. Lastly, we highlight investigational biomarkers—including gene signatures, epigenomic alterations, and microbiome influences—that are shaping the future landscape. Together, these advances reflect a shift toward precision oncology in melanoma, with the integration of biomarker-driven strategies offering the potential to personalize treatment and improve patient outcomes. Full article
14 pages, 1057 KB  
Review
Pathogenesis of Cutaneous Mycobacterial Infections—M. marinum and M. leprae
by William Dela Cruz, Erika Fernau and Vishwanath Venketaraman
Int. J. Mol. Sci. 2025, 26(18), 8897; https://doi.org/10.3390/ijms26188897 - 12 Sep 2025
Viewed by 267
Abstract
Mycobacterium marinum and Mycobacterium leprae are zoonotic mycobacteria causing chronic cutaneous infections that challenge host immunity and tissue integrity. Reactive oxygen species (ROS) play a complex role in the host defense system. While essential for pathogen elimination and intracellular signaling, excessive ROS can [...] Read more.
Mycobacterium marinum and Mycobacterium leprae are zoonotic mycobacteria causing chronic cutaneous infections that challenge host immunity and tissue integrity. Reactive oxygen species (ROS) play a complex role in the host defense system. While essential for pathogen elimination and intracellular signaling, excessive ROS can lead to immune dysregulation and impaired tissue healing. This review explores M. marinum and M. leprae pathogenesis through the role of ROS in redox imbalances, immunity, and cutaneous wound healing. Physiological ROS levels are vital for T-cell activation and differentiation. However, excessive ROS production, particularly in innate immune cells, can lead to T-cell suppression. M. leprae infection is associated with a significant reduction in key antioxidants such as glutathione (GSH), GSH peroxidase (GSH-Px), and GSH reductase (GR), a reduction that correlates with disease severity. For M. marinum, disrupting the pathogen’s redox balance through thioredoxin reductase (TrxR) inhibition sensitizes bacteria to ROS damage, reducing bacterial load. Overall, redox imbalance is central to the pathogenesis and persistence of cutaneous mycobacterial infections, compromising host defense and impairing tissue repair. Restoring and maintaining proper redox homeostasis, potentially by exploring the role of GSH as an antioxidant, represents a promising adjunct treatment to improve host outcomes in these challenging dermatological conditions. Full article
(This article belongs to the Special Issue Molecular Insights into Zoonotic Diseases)
Show Figures

Figure 1

16 pages, 2437 KB  
Article
Phenotypic and Quantitative Characterization of Mast Cells in Cutaneous Melanoma: Correlation with Staging Metrics
by Grigory Demyashkin, Dmitrii Atiakshin, Kirill Silakov, Vladimir Shchekin, Maxim Bobrov, Olga Abramova, Matvey Vadyukhin, Tatyana Borovaya, Ekaterina Blinova, Petr Shegay and Andrei Kaprin
Curr. Issues Mol. Biol. 2025, 47(9), 752; https://doi.org/10.3390/cimb47090752 - 12 Sep 2025
Viewed by 276
Abstract
Background: Mast cells, key effectors of the innate immune system, are known to participate in various stages of tumor progression, including inflammation, angiogenesis, and extracellular matrix remodeling. Their role in melanoma, particularly in relation to Breslow thickness, pT stage, and AJCC staging, [...] Read more.
Background: Mast cells, key effectors of the innate immune system, are known to participate in various stages of tumor progression, including inflammation, angiogenesis, and extracellular matrix remodeling. Their role in melanoma, particularly in relation to Breslow thickness, pT stage, and AJCC staging, remains unclear. This study aims to quantitatively and phenotypically assess mast cell infiltration in cutaneous melanoma at different stages of progression, focusing on Tryptase- and Chymase-positive subtypes. Methods: This retrospective multicenter study included 124 patients with cutaneous melanoma (AJCC 8th edition, stages IA–IIIC). Histological sections were stained with hematoxylin and eosin, and mast cells were visualized using toluidine blue and immunohistochemistry with anti-Tryptase and anti-Chymase antibodies. Mast cells were counted manually in intratumoral and peritumoral regions by two independent observers. Quantitative data were analyzed using non-parametric tests and presented as median [Q1–Q3]. Results: Histological examination of 124 melanoma samples confirmed typical features of cutaneous melanoma, with nodular melanoma being the most common subtype (68 cases, 54.8%) and the lower extremities identified as the predominant tumor location (47 cases, 37.9%). Toluidine blue staining verified the presence of mast cells in both intratumoral and peritumoral compartments, with the highest density observed in early-stage melanomas. Immunohistochemical analysis identified both Tryptase+ and Chymase+ mast cells. The intratumoral number of Tryptase+ cells declined from 17 [14–19] per HPF at AJCC stage IA to 6 [5–7] per HPF at stage IIIC, while Chymase+ mast cells decreased from 14 [11–16] per HPF to 2 [1–3] per HPF over the same stages. Peritumoral counts also showed a downward trend, although less pronounced. Overall, the most significant reduction was observed in Chymase+ mast cells, suggesting their potential role as markers of melanoma progression. Conclusions: This study highlights the dynamic changes in mast cell populations in cutaneous melanoma, with a pronounced decrease in Chymase+ mast cells as the tumor progresses. Further research is needed to explore the mechanistic role of mast cells and their phenotypic shifts in melanoma progression. Full article
(This article belongs to the Section Biochemistry, Molecular and Cellular Biology)
Show Figures

Figure 1

16 pages, 698 KB  
Review
Autoimmune Skin Diseases in the Era of COVID-19: Pathophysiological Insights and Clinical Implications
by Aikaterini I. Liakou, Eleni Routsi, Kalliopi Plisioti, Eleni Tziona, Dimitra Koumaki, Magdalini Kalamata, Evangelia-Konstantina Bompou, Rozeta Sokou, Petros Ioannou, Stefanos Bonovas, George Samonis, Andreas G. Tsantes and Alexander Stratigos
Microorganisms 2025, 13(9), 2129; https://doi.org/10.3390/microorganisms13092129 - 11 Sep 2025
Viewed by 462
Abstract
The COVID-19 pandemic has highlighted intricate associations between SARS-CoV-2 infection and autoimmune skin diseases (ASDs). This review examines the bidirectional relationship between COVID-19 and ASDs including hidradenitis suppurativa, psoriasis, atopic dermatitis, alopecia areata, autoimmune bullous diseases, cutaneous and systemic lupus erythematosus, systemic sclerosis, [...] Read more.
The COVID-19 pandemic has highlighted intricate associations between SARS-CoV-2 infection and autoimmune skin diseases (ASDs). This review examines the bidirectional relationship between COVID-19 and ASDs including hidradenitis suppurativa, psoriasis, atopic dermatitis, alopecia areata, autoimmune bullous diseases, cutaneous and systemic lupus erythematosus, systemic sclerosis, dermatomyositis, and lichen planus. Current evidence indicates that SARS-CoV-2 may precipitate or worsen ASDs via mechanisms such as molecular mimicry, dysregulated cytokine signaling, and enhanced Th1/Th17 immune responses, leading to loss of self-tolerance and autoantibody production. Epidemiological studies have identified increased incidence and flares of psoriasis, hidradenitis suppurativa, and other ASDs following both COVID-19 infection and vaccination, with mRNA vaccines associated with a higher risk of flare in hidradenitis suppurativa compared with non-mRNA vaccines. Notably, severe COVID-19 is associated with a greater risk of new-onset autoimmune disease, and patients with pre-existing inflammatory skin conditions may have increased susceptibility to SARS-CoV-2 infection but experience less severe COVID-19 courses. These findings underscore the need for ongoing surveillance and mechanistic studies to clarify the immunopathogenic links between SARS-CoV-2 and ASDs and inform management strategies for affected patients in the context of both infection and vaccination. Full article
(This article belongs to the Special Issue SARS-CoV-2: Infection, Transmission, and Prevention)
Show Figures

Figure 1

28 pages, 1014 KB  
Review
The Role of Immunotherapy and Radiation Therapy in the Treatment of Breast Cancer
by Drishti Panse, Kristin Hsieh, Danielle Arons, Juliana Runnels, Monica Wassel, Anuja Shah, Rima Patel, Amy Tiersten, Anthony D. Nehlsen, Deborah Marshall, Robert M. Samstein, Sheryl Green and Julie Bloom
Biomedicines 2025, 13(9), 2209; https://doi.org/10.3390/biomedicines13092209 - 9 Sep 2025
Viewed by 721
Abstract
Breast cancer is the most commonly diagnosed non-cutaneous cancer and is the leading cause of cancer mortality in females worldwide. Breast cancer incidence has been increasing over the last few decades; simultaneously, novel therapeutic agents including immunotherapies and targeted therapies have become more [...] Read more.
Breast cancer is the most commonly diagnosed non-cutaneous cancer and is the leading cause of cancer mortality in females worldwide. Breast cancer incidence has been increasing over the last few decades; simultaneously, novel therapeutic agents including immunotherapies and targeted therapies have become more prominent in use. Radiation therapy continues to serve as a cornerstone to breast cancer treatment in both early-stage and locoregionally advanced disease. Given the improvement in systemic agents, there is increasing interest in investigating the potential synergistic effect of radiation therapy and immunotherapy. As new trials and studies emerge demonstrating the clinical benefits of immune checkpoint inhibitors (ICIs) in breast cancer, especially in PD-L1-positive triple-negative breast cancer (TNBC), it is crucial to investigate the safety and efficacy of combining immunotherapy with radiation treatment. This narrative review discusses the impact of radiation therapy on anti-tumor immunogenicity, and examines the role of immunotherapy and radiation therapy in early-stage, locally advanced, recurrent, and metastatic breast cancer. We conducted a targeted literature search between 2010 and 2024, and included phase II/III clinical trials, mechanistic studies, and ongoing trials that evaluated the combination of immunotherapy (IO) and radiation therapy (RT). We discuss ongoing clinical studies, side effects, and optimal timing of combined IO and RT to enhance therapeutic outcomes. Full article
Show Figures

Figure 1

21 pages, 1473 KB  
Review
Ashes to Rashes: An Exploration of the Intersection Between Smoking and Cutaneous Lupus Erythematosus
by Rafael O. Homer, Ahmed Eldaboush, Darae Kang, Nada S. Ahmed, Touraj Khosravi-Hafshejani, Ming-Lin Liu and Victoria P. Werth
Biomolecules 2025, 15(9), 1250; https://doi.org/10.3390/biom15091250 - 29 Aug 2025
Viewed by 879
Abstract
Cutaneous lupus erythematosus is an autoimmune skin disorder with a known association with cigarette smoking. Smokers with cutaneous lupus have a worse disease course and may be refractory to treatments. Despite many studies documenting this association, minimal work exists examining the molecular drivers [...] Read more.
Cutaneous lupus erythematosus is an autoimmune skin disorder with a known association with cigarette smoking. Smokers with cutaneous lupus have a worse disease course and may be refractory to treatments. Despite many studies documenting this association, minimal work exists examining the molecular drivers of these clinical differences. This review delves into how cigarette smoke may influence key immunopathogenic pathways in cutaneous lupus, including oxidative stress, interferon signaling, inflammatory cell recruitment, extracellular vesicles, and immune regulation. Additionally, factors such as epigenetics and heat injury are considered as well. Here, we integrate the existing and emerging literature on the pathophysiology of cutaneous lupus with known effects of cigarette smoke on the skin and immune system and propose hypotheses that may explain clinical differences in smokers. Understanding the molecular underpinnings of these differences may yield a clearer picture of the disease and more effective treatment strategies. Full article
(This article belongs to the Section Biological Factors)
Show Figures

Figure 1

18 pages, 2457 KB  
Article
Comprehensive Assessment of Prognostic Factors for Immune-Related Adverse Events in Immune Checkpoint Inhibitor-Treated Melanoma
by Julian Kött, Myriam Merkle, Lina Bergmann, Noah Zimmermann, Tim Zell, Isabel Heidrich, Glenn Geidel, Klaus Pantel, Stefan W. Schneider, Christoffer Gebhardt and Daniel J. Smit
Cancers 2025, 17(17), 2806; https://doi.org/10.3390/cancers17172806 - 27 Aug 2025
Viewed by 933
Abstract
Background: Immune checkpoint inhibition (ICI) is the standard treatment for advanced melanoma patients. Despite its high efficacy compared to previous treatment options, immune-related adverse events (irAEs) occur frequently. While most of the patients experience mild to moderate irAEs, some patients develop severe [...] Read more.
Background: Immune checkpoint inhibition (ICI) is the standard treatment for advanced melanoma patients. Despite its high efficacy compared to previous treatment options, immune-related adverse events (irAEs) occur frequently. While most of the patients experience mild to moderate irAEs, some patients develop severe to lethal irAEs under ICI treatment; hence, biomarkers are urgently required. Methods: In this retrospective single-center study, 157 advanced melanoma patients treated with ICI at the University Medical Center Hamburg–Eppendorf were included. IrAEs were correlated with clinico-pathological parameters, disease-related outcomes, and irAE-free survival. Results: In our cohort, 130 out of 157 patients receiving immunotherapy experienced irAE, of which more than half experienced irAE Grade ≥ 3. The most common irAE independent of its grade included cutaneous irAE, colitis, endocrine irAE, and hepatitis. Patients experiencing irAE had significantly longer progression-free survival (PFS) and overall survival (OS) compared to patients who did not experience irAE under ICI therapy. Stratification by irAE groups revealed that musculoskeletal irAEs are associated with the longest, whereas myocarditis is associated with the shortest OS and PFS. IrAE was a significant beneficial prognosticator for PFS in univariate, but not in multivariate Cox regression analysis. With respect to OS, the occurrence of irAE was an independent prognostic factor among ECOG status ≥ 2 and uveal melanoma. ROC analysis demonstrated that D-dimers have moderate predictive capability for irAE occurrence. Cox regression analysis demonstrated that elevated D-dimers and PD-1 monotherapy vs. CTLA-4 and PD-1 combination regimen are the only independent prospective prognostic markers for irAE-free survival. Conclusions: Our study demonstrates that different irAE across the irAE spectrum have a different impact on the PFS and OS of advanced melanoma patients. D-dimers may be used as a blood-based biomarker for irAE prediction, warranting future validation in multi-center studies. Full article
(This article belongs to the Section Cancer Immunology and Immunotherapy)
Show Figures

Figure 1

9 pages, 958 KB  
Case Report
Diagnosis of Leishmania Following Septoplasty: A Case Report
by Agustina Arbía, Andrés Navarro, Gabriela Bosco, Claudia M. Morante and Guillermo Plaza
J. Otorhinolaryngol. Hear. Balance Med. 2025, 6(2), 13; https://doi.org/10.3390/ohbm6020013 - 25 Aug 2025
Viewed by 496
Abstract
Background/Objectives: Leishmania spp. are protozoan parasites transmitted by female sandflies (Phlebotomus or Lutzomyia). Clinical manifestations depend on species and host immunity. While cutaneous and visceral forms prevail, mucocutaneous involvement—particularly isolated nasal septum leishmaniasis—is rare and frequently misdiagnosed as an inflammatory, [...] Read more.
Background/Objectives: Leishmania spp. are protozoan parasites transmitted by female sandflies (Phlebotomus or Lutzomyia). Clinical manifestations depend on species and host immunity. While cutaneous and visceral forms prevail, mucocutaneous involvement—particularly isolated nasal septum leishmaniasis—is rare and frequently misdiagnosed as an inflammatory, infectious, or neoplastic condition. Risk factors associated with mucocutaneous leishmaniasis include systemic or local immunodeficiency, prior renal transplantation, treatment with chronic inhaled steroids, residence in endemic areas or travel to such regions, and previous Leishmania infections. Immunosuppressed patients are at higher risk for atypical presentations and delayed diagnosis, which can result in extensive tissue destruction. Early clinical suspicion, histopathological confirmation, and prompt therapy are essential to prevent permanent mucosal damage. Therefore, a multidisciplinary approach is needed for adequate evaluation and effective treatment. Methods: A 67-year-old man with rheumatoid arthritis on methotrexate reported a two-year history of right-sided nasal obstruction and ulceration that failed to respond to antibiotics. He did not present systemic symptoms. Results: Facial CT revealed a septal deviation; the patient underwent septoplasty, and biopsy confirmed Leishmania amastigotes. Serology (rK39 immunochromatographic test) was positive. He was treated with liposomal amphotericin B at 4 mg/kg/day for five days, followed by miltefosine at 100 mg/day orally for 14 days. At an eight-week follow-up, the nasal mucosa was fully healed, obstruction was resolved, and there was no evidence of recurrence. Conclusions: Although nasal septum leishmaniasis is uncommon, it should be considered in the differential diagnosis of chronic nasal lesions, especially in immunocompromised patients or those from endemic regions. Definitive diagnosis requires biopsy with histological or molecular confirmation. Combined liposomal amphotericin B and miltefosine therapy yields high cure rates and prevents mucosal destruction. Early recognition is critical to avoid diagnostic delays and long-term sequelae. Full article
(This article belongs to the Section Laryngology and Rhinology)
Show Figures

Figure 1

Back to TopTop