Sign in to use this feature.

Years

Between: -

Subjects

remove_circle_outline
remove_circle_outline
remove_circle_outline
remove_circle_outline
remove_circle_outline
remove_circle_outline
remove_circle_outline

Journals

Article Types

Countries / Regions

Search Results (28)

Search Parameters:
Keywords = corn with increased anthocyanins

Order results
Result details
Results per page
Select all
Export citation of selected articles as:
21 pages, 2309 KB  
Article
Anthocyanins Separated from Degrained Purple-Corn Cobs with Aqueous Biphasic Systems as Food Pigments
by Abigail López-Herrera, Rafael Angel del Sagrado Corazón Ortega-Paczka, Ofelia Sandoval-Castilla, Leticia García-Cruz and Salvador Valle-Guadarrama
Appl. Sci. 2025, 15(19), 10730; https://doi.org/10.3390/app151910730 - 5 Oct 2025
Viewed by 880
Abstract
The importance of purple corn (Zea mays L.) varieties has increased due to their high anthocyanin contents both in the kernels and the degrained cob. The aim of this work was to separate anthocyanins from degrained purple-corn cobs to assess their pigmentation [...] Read more.
The importance of purple corn (Zea mays L.) varieties has increased due to their high anthocyanin contents both in the kernels and the degrained cob. The aim of this work was to separate anthocyanins from degrained purple-corn cobs to assess their pigmentation potential in food matrices. Two populations of purple corn were used, namely, Negro de Ixtenco (NIX) and Negro de Ixtenco x Negro de Perú (PIX), collected in Juchitepec, Mexico. Flours of degrained cob were obtained with average moisture, crude protein, ash, lipid, crude fiber, and carbohydrate contents of 7.06, 3.70, 4.48, 0.76, 37.73, and 46.27%, respectively. Aqueous biphasic systems composed of a mixture of 7.88% trisodium citrate, 2.63% citric acid, and 50.88% ethanol were applied at an atmospheric pressure of 77,993.0 Pa and 25 °C, aided by ultrasound and orbital agitation. Extracts with anthocyanin concentrations of 33.01 and 39.55 mg per gram of degrained corn cob were obtained from NIX and PIX, respectively. Pigmentation kinetics were assessed in yogurt and corn dough, which had a logarithmic tendency towards hue angles of 2.25 and 333.05°, respectively. A 60% pigmentation relative to the limit was suggested, which required 0.45 and 11.65% of the extract in yogurt and corn dough, respectively. Pigmentation stability was verified in refrigerated yogurt and in cooked corn dough. Full article
(This article belongs to the Section Food Science and Technology)
Show Figures

Figure 1

13 pages, 1770 KB  
Article
Zea mays-Derived Protein Hydrolysate and Diverse Application Modes Differentially Compose Crop Production and Fruit Quality of Strawberry Cultivated Under Tunnel
by Fabiana Mancuso, Lorena Vultaggio, Leo Sabatino, Pietro Bellitto, Georgia Ntatsi, Enrica Allevato, Gaetano Giuseppe La Placa, Salvatore La Bella and Beppe Benedetto Consentino
Agronomy 2025, 15(6), 1314; https://doi.org/10.3390/agronomy15061314 - 27 May 2025
Viewed by 1404
Abstract
Agriculture is presently facing several ecological concerns related to the upsurging request for premium-value food produced in compliance with natural horticultural tools. The use of natural substances, such as biostimulants, principally protein hydrolysates (PHs), could be useful to maximize overall vegetable plant fitness. [...] Read more.
Agriculture is presently facing several ecological concerns related to the upsurging request for premium-value food produced in compliance with natural horticultural tools. The use of natural substances, such as biostimulants, principally protein hydrolysates (PHs), could be useful to maximize overall vegetable plant fitness. However, the mode of application (foliar spray or fertigation) could affect biostimulant efficiency. The current research was conducted to evaluate the effect of a Zea mays-derived PH (Surnan®, SPAA, Pescara, Italy) and its mode of application (foliar spray and/or fertigation) on yield traits, mineral profile, nutritional and functional components, along with NUE of “Florida fortuna” strawberry cultivated under tunnel. The findings showed that the corn-based PH effectively enhanced yield and number of marketable fruits per plant (NMFP) compared with the control (+20.1% and +25.4%, respectively). Fruits from biostimulated plants also showed a higher fruit lightness and ascorbic acid and anthocyanin concentration than fruits from control plots. Furthermore, Surnan® PH increased nitrogen use efficiency (NUE) of strawberry plants. Captivatingly, plants biostimulated via fertigation showed the highest fruit potassium (K) concentration, while those exposed to the foliar spray had the highest fruit phenolic concentration. Generally, our findings recommended that the application of Zea mays-derived PH via foliar spray could be considered a suitable tool to increase functional traits of strawberry grown under tunnel. Full article
(This article belongs to the Section Horticultural and Floricultural Crops)
Show Figures

Figure 1

27 pages, 15139 KB  
Article
Nitrogen Level Impacts the Dynamic Changes in Nitrogen Metabolism, and Carbohydrate and Anthocyanin Biosynthesis Improves the Kernel Nutritional Quality of Purple Waxy Maize
by Wanjun Feng, Weiwei Xue, Zequn Zhao, Haoxue Wang, Zhaokang Shi, Weijie Wang, Baoguo Chen, Peng Qiu, Jianfu Xue and Min Sun
Plants 2024, 13(20), 2882; https://doi.org/10.3390/plants13202882 - 15 Oct 2024
Cited by 8 | Viewed by 2499
Abstract
Waxy corn is a special type of maize primarily consumed as a fresh vegetable by humans. Nitrogen (N) plays an essential role in regulating the growth progression, maturation, yield, and quality of waxy maize. A reasonable N application rate is vital for boosting [...] Read more.
Waxy corn is a special type of maize primarily consumed as a fresh vegetable by humans. Nitrogen (N) plays an essential role in regulating the growth progression, maturation, yield, and quality of waxy maize. A reasonable N application rate is vital for boosting the accumulation of both N and carbon (C) in the grains, thereby synergistically enhancing the grain quality. However, the impact of varying N levels on the dynamic changes in N metabolism, carbohydrate formation, and anthocyanin synthesis in purple waxy corn kernels, as well as the regulatory relationships among these processes, remains unclear. To explore the effects of varying N application rates on the N metabolism, carbohydrate formation, and anthocyanin synthesis in kernels during grain filling, a two-year field experiment was carried out using the purple waxy maize variety Jinnuo20 (JN20). This study examined the different N levels, specifically 0 (N0), 120 (N1), 240 (N2), and 360 (N3) kg N ha−1. The results of the analysis revealed that, for nearly all traits measured, the N application rate of N2 was the most suitable. Compared to the N0 treatment, the accumulation and content of anthocyanins, total nitrogen, soluble sugars, amylopectin, and C/N ratio in grains increased by an average of 35.62%, 11.49%, 12.84%, 23.74%, 13.00%, and 1.87% under N2 treatment over five filling stages within two years, respectively, while the harmful compound nitrite content only increased by an average of 30.2%. Correspondingly, the activities of related enzymes also significantly increased and were maintained under N2 treatment compared to N0 treatment. Regression and correlation analysis results revealed that the amount of anthocyanin accumulation was highly positively correlated with the activities of phenylalanine ammonia-lyase (PAL) and flavanone 3-hydroxylase (F3H), but negatively correlated with anthocyanidin synthase (ANS) and UDP-glycose: flavonoid-3-O-glycosyltransferase (UFGT) activity, nitrate reductase (NR), and glutamine synthetase (GS) showed significant positive correlations with the total nitrogen content and lysine content, and a significant negative correlation with nitrite, while soluble sugars were negatively with ADP-glucose pyrophosphorylase (AGPase) activity, and amylopectin content was positively correlated with the activities of soluble starch synthase (SSS), starch branching enzyme (SBE), and starch debranching enzyme (SDBE), respectively. Furthermore, there were positive or negative correlations among the detected traits. Hence, a reasonable N application rate improves purple waxy corn kernel nutritional quality by regulating N metabolism, as well as carbohydrate and anthocyanin biosynthesis. Full article
(This article belongs to the Topic Crop Ecophysiology: From Lab to Field, 2nd Volume)
Show Figures

Figure 1

15 pages, 4095 KB  
Article
Nutritional Enhancement of Polimaize Lines: Integrating Native Mexican Maize Alleles into High-Yield Varieties
by Guadalupe Oyoque-Salcedo, Sergio Arias-Martínez, Oscar Giovanni Gutiérrez-Cárdenas, José Luis Montañez-Soto, Ernesto Oregel-Zamudio and Jesús Rubén Torres-García
Agronomy 2024, 14(3), 403; https://doi.org/10.3390/agronomy14030403 - 20 Feb 2024
Cited by 2 | Viewed by 1868
Abstract
In this study, we evaluated Polimaize lines, named Polimaize, through the integration of alleles from the Native Blue Corn (NBC-JIQ), a local Mexican maize variety indigenous to the northeast region of Michoacán, Mexico, into elite maize lines curated by the International Maize and [...] Read more.
In this study, we evaluated Polimaize lines, named Polimaize, through the integration of alleles from the Native Blue Corn (NBC-JIQ), a local Mexican maize variety indigenous to the northeast region of Michoacán, Mexico, into elite maize lines curated by the International Maize and Wheat Improvement Center (CIMMYT). This crossbreeding aimed to enhance the nutritional profile of maize, particularly in terms of antioxidants and anthocyanins, which are scarce in elite lines. Our results demonstrated a significant increase in these compounds in the Polimaize lines, with variations due to heterosis. Despite these nutritional improvements, some traits showed decreased concentrations compared to parent lines, notably in sucrose and tryptophan, suggesting a potential trade-off. The study also found significant heritability in amino acids and tryptophan, while hexose sugars showed no substantial heritability. The Polimaize variety exhibited high starch content heritability, comparable to elite lines. Field trials confirmed Polimaize’s promising yield and agronomic traits, highlighting its potential for enhancing consumer health and contributing to sustainable agriculture through enriched crop nutritional quality. This project underscores the value of integrating local race alleles into elite lines, offering genetic diversity in maize cultivation. Full article
Show Figures

Graphical abstract

11 pages, 259 KB  
Article
Production Traits, Blood Metabolic Profile, and Antioxidative Status of Dairy Goats Fed a Red Corn Supplemented Feed Mixture
by Zvonko Antunović, Željka Klir Šalavardić, Josip Novoselec, Zvonimir Steiner, Mislav Đidara, Valentina Pavić, Lidija Jakobek Barron, Mario Ronta and Boro Mioč
Agriculture 2024, 14(1), 82; https://doi.org/10.3390/agriculture14010082 - 30 Dec 2023
Cited by 1 | Viewed by 2084
Abstract
This study investigated the effect of red corn in the feed mixture of dairy goats on production traits, blood metabolic profile, and antioxidative status. The study was conducted on 30 French Alpine dairy goats. The feed mixture for the goats in the control [...] Read more.
This study investigated the effect of red corn in the feed mixture of dairy goats on production traits, blood metabolic profile, and antioxidative status. The study was conducted on 30 French Alpine dairy goats. The feed mixture for the goats in the control group (CC) contained yellow corn (100%). In the first experimental group (RC50), yellow corn was partially (50%) replaced by red corn (RC), and in the second experimental group (RC100), yellow corn was completely (100%) replaced by red corn. No significance variations (p > 0.05) were determined in production traits of dairy goats between dietary treatments. A significant increase in hemoglobin (84.43, 100.00 and 106.55 g/L), mean corpuscular hemoglobin (7.98, 9.70 and 12.54 pg), and mean corpuscular hemoglobin concentration (293.57, 357.50 and 462.78 g/L) was found in the RC groups, and a decrease in erythrocytes in the RC100 compared with the RC50 group of goats (from 8.71 to 10.45 × 1012 L). A significant increase in blood superoxide dismutase (SOD) activity in the RC groups was found (0.29, 0.53, and 0.44 U/mL). The results indicate maintaining production traits and a moderate effect on blood metabolic profile (most hematologic parameters) as well as a positive antioxidative effect RC. Full article
18 pages, 16315 KB  
Article
Modeling of Sensory Properties of Poppy Sherbet by Turkish Consumers and Changes in Quality Properties during Storage Process
by Behiye İncisu Aydoğdu, Nazan Tokatlı Demirok and Seydi Yıkmış
Foods 2023, 12(16), 3114; https://doi.org/10.3390/foods12163114 - 18 Aug 2023
Cited by 6 | Viewed by 2352
Abstract
Poppy is an important edible plant containing bioactive components. This study aimed to produce good-tasting poppy sherbet by determining the content using a response surface methodology (RSM). At the same time, bioactive components, phenolic compounds, and color properties were investigated in optimum poppy [...] Read more.
Poppy is an important edible plant containing bioactive components. This study aimed to produce good-tasting poppy sherbet by determining the content using a response surface methodology (RSM). At the same time, bioactive components, phenolic compounds, and color properties were investigated in optimum poppy sherbet during storage; 0.26 g of dried corn poppy flowers, 0.15 g of citric acid, and 4.29 g of sucrose values were the most promising, achieving high scores for color, smell, taste, and general acceptance from sensory properties (sensory score of 8.55 for color; 7.19 for smell; 8.38 for taste; 7.98 for general acceptability). A total of nine polyphenols were detected in the optimum poppy sherbet sample; gallic acid was the most common. There was no statistically significant difference between the samples stored on the 0th and 30th days regarding gallic acid content (23.886 ± 0.164 μg/mL, 23.403 ± 0.343 μg/mL) and protocatechuic acid (1.146 ± 0.048 μg/mL, 1.047 ± 0.038 μg/mL). Total flavonoid contents (TFC), total phenolic contents (TPC), CUPRAC (cupric ion reducing antioxidant capacity), DPPH (e free radical diphenylpicrylhydrazyl), total monomeric anthocyanin (TAC), and color values were found to decrease as the storage period increased. It was considered that a highly palatable and rich bioactive component product could be obtained. Full article
(This article belongs to the Section Sensory and Consumer Sciences)
Show Figures

Figure 1

15 pages, 5839 KB  
Article
Stability of Purple Corn Anthocyanin Encapsulated by Maltodextrin, and Its Combinations with Gum Arabic and Whey Protein Isolate
by Wei Deng, Xiaoyi Li, Guoqiu Ren, Qingmei Bu, Yanye Ruan, Ying Feng and Bin Li
Foods 2023, 12(12), 2393; https://doi.org/10.3390/foods12122393 - 16 Jun 2023
Cited by 31 | Viewed by 5522
Abstract
Purple corn anthocyanins are important natural colourants with cheap prices and rich bioactivities. However, their stability is limited. Microencapsulation is an effective way to improve anthocyanin stability and the influence of the type of wall material on the stability of encapsulated anthocyanin is [...] Read more.
Purple corn anthocyanins are important natural colourants with cheap prices and rich bioactivities. However, their stability is limited. Microencapsulation is an effective way to improve anthocyanin stability and the influence of the type of wall material on the stability of encapsulated anthocyanin is very important. In this study, maltodextrin (MD) and its combination with whey protein isolate (WPI) or gum arabic (GA) were utilised as wall materials to obtain encapsulated purple corn anthocyanins (PCAs) (MD–PCA, MD–WPI–PCA, MD–GA–PCA) using spray drying. The effect of the amount of the wall material was determined by encapsulation efficiency, anthocyanin content, and colour. On this basis, the effects of the types of wall materials on the physicochemical characteristics, storage, and digestion stabilities of encapsulated PCA, as well as their stabilities in chewing tablets, were investigated. The highest encapsulation efficiency, suitable colour, and anthocyanin content were obtained with the mass ratios 1:1 PCA to MD, 2:3 PCA to MD–GA, and 1:1 PCA to MD–WPI. Microencapsulation increased PCA storage and digestion stabilities. All three types of PCA microcapsules had low water content and hygroscopicity and good water solubility. MD–PCA had the strongest stability when stored at 25 °C; MD–GA–PCA—when stored at 40 °C, or in the presence of 5000 Lux light illumination; MD–WPI–PCA—when stored in 75% relative humidity or during gastric–intestinal digestion, but its resistance to 40 °C temperature and light illumination was lower than those for the two others. When used in chewing tablets, MD encapsulation was most stable in the presence of Ca2+, VC, or Fe2+ and improved PCA digestion stability. In conclusion, MD is a good choice for PCA encapsulation in regular conditions. MD–GA and MD–WPI can be used when considering high storage temperature (or light illumination) and high humidity (or for high digestion stability), respectively. The results of this study provide a reference for the storage and application of PCA. Full article
(This article belongs to the Section Food Physics and (Bio)Chemistry)
Show Figures

Figure 1

15 pages, 1873 KB  
Article
Black Bean Hulls as a Byproduct of an Extraction Process to Enhance Nutraceutical and Glycemic-Related Properties of Nixtamalized Maize Tostadas
by Lesly Xiomara Machado-Velarde, Juan Pablo Dávila-Vega, Janet Gutiérrez-Uribe, Johanan Espinosa-Ramírez, Mariana Martínez-Ávila, Daniel Guajardo-Flores and Cristina Chuck-Hernández
Foods 2023, 12(9), 1915; https://doi.org/10.3390/foods12091915 - 8 May 2023
Cited by 8 | Viewed by 3513
Abstract
Black bean hulls (BBH) are rich in phenolic compounds, such as anthocyanins, which can be incorporated into common staple foods such as maize tostadas, enhancing the nutraceutical properties of these products. This study incorporates black bean hulls to produce nixtamalized maize tostadas with [...] Read more.
Black bean hulls (BBH) are rich in phenolic compounds, such as anthocyanins, which can be incorporated into common staple foods such as maize tostadas, enhancing the nutraceutical properties of these products. This study incorporates black bean hulls to produce nixtamalized maize tostadas with nutraceutical properties. Nixtamalized corn flour (NCF) and black bean hulls (BBH) were characterized in terms of protein, fat, crude and dietary fiber, anthocyanin concentration, and different starch fractions. NCF and BBH depicted 53.7 and 16.8% of total digestible starch (TDS), respectively, and 1.2 and 7.6% of resistant starch (RS), in the same order. BBH was incorporated into nixtamalized flour at 10, 15, and 20% w/w, and the resulting dough was thermo-mechanically characterized. Tostadas with BBH had higher protein, dietary fiber, and anthocyanin concentrations. Enriched tostadas did not show significant changes in texture or other sensory characteristics. However, a reduction in total digestible starch (61.97 up to 59.07%), an increase in resistant starch (0.46 to 2.3% from control tostadas to 20% BBH tostadas), and a reduction in the predicted glycemic index (52 to 49), among other parameters, indicated that BBH is a suitable alternative for developing nutraceutical food products. Full article
(This article belongs to the Special Issue Cereal: Storage, Processing, and Nutritional Attributes)
Show Figures

Figure 1

18 pages, 341 KB  
Article
The Influence of Fruit Pomaces on Nutritional, Pro-Health Value and Quality of Extruded Gluten-Free Snacks
by Dorota Gumul, Wiktor Berski and Tomasz Zięba
Appl. Sci. 2023, 13(8), 4818; https://doi.org/10.3390/app13084818 - 11 Apr 2023
Cited by 14 | Viewed by 3279
Abstract
The processing of fruit generates large amounts of different by-products, such as pomace. The extrusion process gives an opportunity for their utilization as a good source of pro-health components. Therefore, this research focused on the utilization of fruit pomaces (cherries, blackcurrants, and chokeberries) [...] Read more.
The processing of fruit generates large amounts of different by-products, such as pomace. The extrusion process gives an opportunity for their utilization as a good source of pro-health components. Therefore, this research focused on the utilization of fruit pomaces (cherries, blackcurrants, and chokeberries) as a value-added component of extruded corn snacks. The effect of the level of pomace addition on the content of bioactive polyphenols and nutritional value in cornmeal-based extrudates, as well as antioxidant capacity, was investigated. Additionally, the influence of fruit pomace on the quality of extruded gluten-free snacks was also investigated. It was found that pomace can be a good pro-health addition to corn snacks due to the enrichment of bioactive compounds and dietary fiber in this product. Especially valuable proved to be chokeberry pomace added at a 20% level. Such additions to snacks caused an increase in the content of total phenolic compounds, phenolic acids, flavonoids, flavonols, anthocyanins, and antioxidant activity, respectively, by about 10 times, 2 times, 5 times, 2 times, 10 times, and 5 times, as compared to control snacks. It was observed that the addition of chokeberry pomace did not worsen the physical properties (WBC, hardness, and expansion ratio) of the resulting snacks, which affect the quality of the obtained product. Therefore, such snacks could be recommended for commercial production in order to increase the availability of gluten-free products for people with celiac disease. Full article
(This article belongs to the Special Issue Potential Health Benefits of Fruits and Vegetables III)
16 pages, 2724 KB  
Article
Polyphenol and Tryptophan Contents of Purple Corn (Zea mays L.) Variety KND and Butterfly Pea (Clitoria ternatea) Aqueous Extracts: Insights into Phytochemical Profiles with Antioxidant Activities and PCA Analysis
by Juthamat Ratha, Chawalit Yongram, Panyada Panyatip, Patcharapol Powijitkul, Pimolwan Siriparu, Suthida Datham, Aroonsri Priprem, Tarapong Srisongkram and Ploenthip Puthongking
Plants 2023, 12(3), 603; https://doi.org/10.3390/plants12030603 - 30 Jan 2023
Cited by 16 | Viewed by 4941
Abstract
Plants are a rich source of phytochemical compounds with antioxidant activity. Several studies have revealed that the consumption of plant polyphenols reduces the risk of diseases. Purple corn (Zea mays L. variety KND) and butterfly pea (Clitoria ternatea; CT) were [...] Read more.
Plants are a rich source of phytochemical compounds with antioxidant activity. Several studies have revealed that the consumption of plant polyphenols reduces the risk of diseases. Purple corn (Zea mays L. variety KND) and butterfly pea (Clitoria ternatea; CT) were selected to be investigated as alternative natural polyphenol sources to increase the value of these plants. Phytochemical profiles and antioxidant activities of KND cob, silk, husk and CT extracts alone and in combination were investigated in this study. The results revealed that purple corn cob (C) extract had the highest tryptophan, melatonin, total anthocyanin (TAC) and delphinidin content, while the purple corn silk (S) extract showed the highest total phenolic content (TPC) and antioxidant activities. Serotonin was found only in purple corn husk (H) extract and C extract. High contents of tryptophan and sinapic acid were found in CT extract. Principal component analysis (PCA) revealed that strong antioxidant activities were strongly correlated with protocatechuic acid and p-hydroxybenzoic acid contents, moderate antioxidant activities were strongly correlated with melatonin, and low antioxidant activities were strongly correlated with sinapic acid content. Therefore, the purple corn variety KND waste cobs, silk and husks are a potentially rich source of health-promoting phytochemical compounds. Full article
Show Figures

Figure 1

23 pages, 7141 KB  
Article
Peonidin-3-O-Glucoside from Purple Corncob Ameliorates Nonalcoholic Fatty Liver Disease by Regulating Mitochondrial and Lysosome Functions to Reduce Oxidative Stress and Inflammation
by Ruilin Hao, Shuhua Shan, Dandan Yang, Huimin Zhang, Yi Sun and Zhuoyu Li
Nutrients 2023, 15(2), 372; https://doi.org/10.3390/nu15020372 - 11 Jan 2023
Cited by 18 | Viewed by 4325
Abstract
A frequent chronic liver condition across the world is nonalcoholic fatty liver disease (NAFLD). Oxidative stress caused by lipid accumulation is generally considered to be the main cause of NAFLD. Anthocyanins can effectively inhibit the production of reactive oxygen species and improve oxidative [...] Read more.
A frequent chronic liver condition across the world is nonalcoholic fatty liver disease (NAFLD). Oxidative stress caused by lipid accumulation is generally considered to be the main cause of NAFLD. Anthocyanins can effectively inhibit the production of reactive oxygen species and improve oxidative stress. In this work, six major anthocyanins were separated from purple corncob by semi-preparative liquid chromatography. The effects of the 6 kinds of anthocyanins against NAFLD were investigated using a free fatty acid (FFA)-induced cell model. The results showed that peonidin 3-O-glucoside (P3G) can significantly reduce lipid accumulation in the NAFLD cell model. The treatment with P3G also inhibited oxidative stress via inhibiting the excessive production of reactive oxygen species and superoxide anion, increasing glutathione levels, and enhancing the activities of SOD, GPX, and CAT. Further studies unveiled that treatment with P3G not only alleviated inflammation but also improved the depletion of mitochondrial content and damage of the mitochondrial electron transfer chain developed concomitantly in the cell model. P3G upregulated transcription factor EB (TFEB)-mediated lysosomal function and activated the peroxisome proliferator-activated receptor alpha (PPARα)-mediated peroxisomal lipid oxidation by interacting with PPARα possibly. Overall, this study added to our understanding of the protective effects of purple corn anthocyanins against NAFLD and offered suggestions for developing functional foods containing these anthocyanins. Full article
Show Figures

Figure 1

23 pages, 4266 KB  
Article
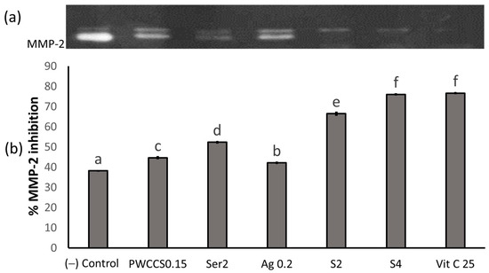
The Potential of Purple Waxy Corn Cob (Zea mays L.) Extract Loaded-Sericin Hydrogel for Anti-Hyperpigmentation, UV Protection and Anti-Aging Properties as Topical Product Applications
by Nattawadee Kanpipit, Natsajee Nualkaew and Suthasinee Thapphasaraphong
Pharmaceuticals 2023, 16(1), 35; https://doi.org/10.3390/ph16010035 - 27 Dec 2022
Cited by 18 | Viewed by 4959
Abstract
Sericin-hydrogel formulations incorporating purple waxy corn (Zea mays L.) cob extract (PWCC) were developed as potential topical skin cosmetic products. Sericin has wound healing properties, protects against ultraviolet (UV) radiation, and exhibits anti-inflammatory, anti-oxidation, and anti-tyrosinase activities. PWCC is a rich source [...] Read more.
Sericin-hydrogel formulations incorporating purple waxy corn (Zea mays L.) cob extract (PWCC) were developed as potential topical skin cosmetic products. Sericin has wound healing properties, protects against ultraviolet (UV) radiation, and exhibits anti-inflammatory, anti-oxidation, and anti-tyrosinase activities. PWCC is a rich source of anthocyanins with antioxidants, UV protective, anti-inflammatory, and collagen-enhancing activities. Six hydrogel formulations (S1–S6) were investigated for anti-melanogenesis on the B16F10 melanoma cell line and UV-protection on human keratinocytes (HaCaT) and anti-aging activities on normal human dermal fibroblasts (NHDFs). The results showed that the hydrogel formulations enhanced the anthocyanin permeation through the skin. The S4 formulation indicated the highest inhibition of tyrosinase activity and reduced the melanin pigment, increased the cell viability of the UV-induced HaCaT cells, the inhibition of collagenase and elastase, and increased the collagen type I production without cytotoxicity. Therefore, the PWCC loaded-sericin hydrogels show a high potential as a novel anti-hyperpigmentation, UV protection, and anti-aging products for topical applications. Full article
(This article belongs to the Section Pharmaceutical Technology)
Show Figures

Figure 1

14 pages, 1836 KB  
Article
Effect of Black Corn Anthocyanin-Rich Extract (Zea mays L.) on Cecal Microbial Populations In Vivo (Gallus gallus)
by Thaisa Agrizzi Verediano, Nikita Agarwal, Hércia Stampini Duarte Martino, Nikolai Kolba, Mariana Grancieri, Maria Cristina Dias Paes and Elad Tako
Nutrients 2022, 14(21), 4679; https://doi.org/10.3390/nu14214679 - 4 Nov 2022
Cited by 11 | Viewed by 3442
Abstract
Black corn has been attracting attention to investigate its biological properties due to its anthocyanin composition, mainly cyanidin-3-glucoside. Our study evaluated the effects of black corn extract (BCE) on intestinal morphology, gene expression, and the cecal microbiome. The BCE intra-amniotic administration was evaluated [...] Read more.
Black corn has been attracting attention to investigate its biological properties due to its anthocyanin composition, mainly cyanidin-3-glucoside. Our study evaluated the effects of black corn extract (BCE) on intestinal morphology, gene expression, and the cecal microbiome. The BCE intra-amniotic administration was evaluated by an animal model in Gallus gallus. The eggs (n = 8 per group) were divided into: (1) no injection; (2) 18 MΩ H2O; (3) 5% black corn extract (BCE); and (4) 0.38% cyanidin-3-glucoside (C3G). A total of 1 mL of each component was injected intra-amniotic on day 17 of incubation. On day 21, the animals were euthanized after hatching, and the duodenum and cecum content were collected. The cecal microbiome changes were attributed to BCE administration, increasing the population of Bifidobacterium and Clostridium, and decreasing E. coli. The BCE did not change the gene expression of intestinal inflammation and functionality. The BCE administration maintained the villi height, Paneth cell number, and goblet cell diameter (in the villi and crypt), similar to the H2O injection but smaller than the C3G. Moreover, a positive correlation was observed between Bifidobacterium, Clostridium, E. coli, and villi GC diameter. The BCE promoted positive changes in the cecum microbiome and maintained intestinal morphology and functionality. Full article
(This article belongs to the Special Issue Emerging Dietary Bioactives in Health and Disease)
Show Figures

Figure 1

14 pages, 284 KB  
Article
The Effects of Purple Corn Pigment on Growth Performance, Blood Biochemical Indices, Meat Quality, Muscle Amino Acids, and Fatty Acids of Growing Chickens
by Qingyuan Luo, Jiaxuan Li, Hui Li, Di Zhou, Xu Wang, Yayuan Tian, Jixiao Qin, Xingzhou Tian and Qi Lu
Foods 2022, 11(13), 1870; https://doi.org/10.3390/foods11131870 - 24 Jun 2022
Cited by 21 | Viewed by 3633
Abstract
This study investigated the effects of dietary supplementation with different levels of purple corn pigment (PCP) on the growth performance, blood biochemical indices, meat quality, muscle amino acids, and fatty acids of growing chickens. A total of 288 (8 weeks of age) growing [...] Read more.
This study investigated the effects of dietary supplementation with different levels of purple corn pigment (PCP) on the growth performance, blood biochemical indices, meat quality, muscle amino acids, and fatty acids of growing chickens. A total of 288 (8 weeks of age) growing Chishui black-bone chickens (body weight, 940 ± 80 g; mean ± standard deviation) were randomly divided into 4 groups using a completely randomized design. The four diet groups were as follows: (1) control, basal diet; (2) treatment 1, treatment 2, and treatment 3, which were basal diet with 80, 160, and 240 mg/kg PCP, respectively. The results showed that compared with the control group, the feeding of anthocyanins significantly (p < 0.05) increased the average daily feed intake and average daily gain in chickens. Moreover, chickens receiving 80 mg/kg PCP significantly increased (p < 0.05) plasma total antioxidant capacity, superoxide dismutase, glutathione peroxidase, catalase, high-density lipoprotein cholesterol, and albumin concentrations relative to the control group. For meat quality, dietary supplementation with PCP significantly (p < 0.05) reduced the drip loss and water loss rate in breast muscle. Additionally, chickens receiving PCP tended to increase (p < 0.05) the levels of most individual amino acids, essential amino acids, and umami amino acids in the muscle. Specifically, the addition of 80 mg/kg PCP significantly improved (p < 0.05) total polyunsaturated fatty acids in chicken muscle. Accordingly, the consumption of anthocyanin-rich PCP by the growing chickens had the potential to increase the growth performance, enhance antioxidant and immune capacities, increase meat quality, and improve essential and umami amino acids as well as unsaturated fatty acids in the muscle. Full article
(This article belongs to the Special Issue Meat Quality and Health)
10 pages, 613 KB  
Article
Investigating the Effect of the Interaction of Maize Inducer and Donor Backgrounds on Haploid Induction Rates
by Henrique Uliana Trentin, Grigorii Batîru, Ursula Karoline Frei, Somak Dutta and Thomas Lübberstedt
Plants 2022, 11(12), 1527; https://doi.org/10.3390/plants11121527 - 7 Jun 2022
Cited by 11 | Viewed by 4096
Abstract
Doubled haploid technology is a feasible, fast, and cost-efficient way of producing completely homozygous lines in maize. Many factors contribute to the success of this system including the haploid induction rate (HIR) of inducer lines, the inducibility of donor background, and environmental conditions. [...] Read more.
Doubled haploid technology is a feasible, fast, and cost-efficient way of producing completely homozygous lines in maize. Many factors contribute to the success of this system including the haploid induction rate (HIR) of inducer lines, the inducibility of donor background, and environmental conditions. Sixteen inducer lines were tested on eight different genetic backgrounds of five categories in different environments for the HIR to determine possible interaction specificity. The HIR was assessed using the R1-nj phenotype and corrected using the red root marker or using a gold-standard test that uses plant traits. RWS and Mo-17-derived inducers showed higher average induction rates and the commercial dent hybrid background showed higher inducibility. In contrast, sweet corn and flint backgrounds had a relatively lower inducibility, while non-stiff stalk and stiff stalk backgrounds showed intermediate inducibility. For the poor-performing donors (sweet corn and flint), there was no difference in the HIR among the inducers. Anthocyanin inhibitor genes in such donors were assumed to have increased the misclassification rate in the F1 fraction and, hence, result in a lower HIR. Full article
(This article belongs to the Collection Doubled Haploid Technology in Plant Breeding)
Show Figures

Figure 1

Back to TopTop