Sign in to use this feature.

Years

Between: -

Subjects

remove_circle_outline
remove_circle_outline
remove_circle_outline
remove_circle_outline
remove_circle_outline
remove_circle_outline
remove_circle_outline
remove_circle_outline
remove_circle_outline

Journals

remove_circle_outline
remove_circle_outline
remove_circle_outline
remove_circle_outline
remove_circle_outline
remove_circle_outline
remove_circle_outline
remove_circle_outline
remove_circle_outline
remove_circle_outline
remove_circle_outline

Article Types

Countries / Regions

remove_circle_outline
remove_circle_outline
remove_circle_outline

Search Results (675)

Search Parameters:
Keywords = contour integral

Order results
Result details
Results per page
Select all
Export citation of selected articles as:
25 pages, 7920 KB  
Article
MBA-Former: A Boundary-Aware Transformer for Synergistic Multi-Modal Representation in Pine Wilt Disease Detection from High-Resolution Satellite Imagery
by Rui Hou, Yantao Zhou, Ying Wang, Zhiquan Huang, Jing Yao, Quanjun Jiao, Wenjiang Huang and Biyao Zhang
Forests 2026, 17(5), 517; https://doi.org/10.3390/f17050517 (registering DOI) - 23 Apr 2026
Abstract
Pine wilt disease (PWD) is a devastating biological forest disturbance, making its large-scale and high-precision remote sensing monitoring crucial for epidemic prevention and control. However, the performance of existing deep learning methods in high-resolution imagery is often limited by the confusion of spectral [...] Read more.
Pine wilt disease (PWD) is a devastating biological forest disturbance, making its large-scale and high-precision remote sensing monitoring crucial for epidemic prevention and control. However, the performance of existing deep learning methods in high-resolution imagery is often limited by the confusion of spectral features among disparate ground objects and the complexity of forest boundaries. To address these challenges, this study proposes an innovative, end-to-end deep learning architecture termed MBA-Former. Built upon the robust Swin Transformer V2 backbone, the model systematically integrates two highly adaptable functional modules: (1) a front-end intelligent fusion module designed to adaptively fuse heterogeneous features, and (2) a back-end boundary refinement module that refines segmentation contours via dual-task learning. To train and evaluate the model, fine-grained manual annotations were first performed on Gaofen-2 satellite imagery acquired from multiple typical epidemic areas across northern and southern China. Information-enhanced datasets were constructed by fusing the original spectral bands, typical vegetation indices, and texture features. A comprehensive performance evaluation was then conducted, specifically targeting typical challenging scenarios characterized by complex ground object boundaries. The experimental results demonstrate that the Multi-modal Boundary-Aware Transformer (MBA-Former) significantly outperforms current state-of-the-art models. It achieved a mean Intersection over Union (mIoU) of 81.74%, an IoU of 77.58% for the most critical infected tree category, and a Boundary F1-Score of 78.62%. Compared to the best-performing baseline model, Swin-Unet, these three metrics exhibited notable improvements of 2.88%, 3.55%, and 4.46%, respectively. These findings convincingly demonstrate that MBA-Former provides a highly accurate and robust solution for the large-scale, automated remote sensing monitoring of forest diseases, offering immense value in preventing significant economic losses and preserving forest ecosystem integrity. Full article
Show Figures

Figure 1

26 pages, 2695 KB  
Article
An Extended BEM Model for 2-D Elasticity Problems
by Lei Zhou, Chunguang Li and Hong Zheng
Mathematics 2026, 14(8), 1394; https://doi.org/10.3390/math14081394 - 21 Apr 2026
Abstract
Within the framework of Somigliana’s displacement and traction identities, we propose an extended equivalent elastic model that enables a BEM that is singularity-free in the primary solution stage for two-dimensional elastostatics. The central idea is to shift the integration boundary from the physical [...] Read more.
Within the framework of Somigliana’s displacement and traction identities, we propose an extended equivalent elastic model that enables a BEM that is singularity-free in the primary solution stage for two-dimensional elastostatics. The central idea is to shift the integration boundary from the physical contour S1 to an auxiliary contour S2, introducing a geometric separation that removes boundary-source singularities from the discrete system. When the separation between S1 and S2 is sufficiently large, all integrals in the assembled algebraic equations become regular, and post-processing can be performed in a unified manner using the same nonsingular expressions for both boundary and interior evaluation. We introduce a practical separation measure, the dimensionless parameter δ, and verify that a moderate choice (e.g., δ0.5) is effective through a rigid-body displacement test. Benchmark examples demonstrate that, at lower computational cost, the proposed method improves accuracy and convergence compared with the conventional direct BEM (displacement boundary integral equation (BIE) with free-term coefficient c=1/2) and compares favorably with the finite element method (FEM). In particular, thin structures can be treated directly without invoking plate or shell theories. Full article
35 pages, 54902 KB  
Review
Flow-Line Evolution, Defect Formation, and Structure–Property Relationships in Aluminum Alloy Forging: A Review
by HaiTao Wang, GuoZheng Quan, Chenghai Pan, Xugang Dong and Jie Zhou
Materials 2026, 19(8), 1665; https://doi.org/10.3390/ma19081665 - 21 Apr 2026
Abstract
Flow lines in aluminum alloy forgings are not merely post-deformation metallographic features; they are integrated indicators of material transport, microstructural evolution, defect susceptibility, and service performance. This review critically examines the mechanisms controlling flow-line evolution, with emphasis on constitutive flow behavior, dynamic recovery [...] Read more.
Flow lines in aluminum alloy forgings are not merely post-deformation metallographic features; they are integrated indicators of material transport, microstructural evolution, defect susceptibility, and service performance. This review critically examines the mechanisms controlling flow-line evolution, with emphasis on constitutive flow behavior, dynamic recovery and recrystallization, second-phase redistribution, friction, thermal gradients, and die/preform design. It then evaluates how abnormal flow paths promote key defects, including folding/laps, flow-through discontinuities, vortex-like instability, and exposed flow lines, and distinguishes well-established mechanisms from topics that still rely on indirect evidence. Particular attention is given to the effects of flow-line morphology on anisotropy, notch sensitivity, corrosion-assisted damage, and fatigue life in forged aluminum alloys. Current control strategies, including preform optimization, FE-based backward tracing, multiphysics defect indices, frictional heat management, and isothermal forging, are also assessed. The available literature shows that stable contour-following flow lines are essential for the simultaneous control of defect formation, microstructural homogeneity, and durability, while major research needs remain in in situ validation, quantitative defect criteria, and digitally closed-loop process control. This review is therefore framed as a critical narrative synthesis rather than a formal systematic review; emphasis is placed on forging-centered studies that directly relate flow-path evolution to defect formation, anisotropy, fatigue, and process optimization, while evidence transferred from adjacent processes is treated as mechanistic support rather than equivalent proof. Full article
(This article belongs to the Section Metals and Alloys)
Show Figures

Figure 1

24 pages, 9819 KB  
Article
AI Clothing Pattern Generation: Combining Improved Pix2Pix Image Generation and Diffusion Model Repairing
by Xiaohu Zheng, Xiechen Li, Bing Liu and Bingshun Xu
Electronics 2026, 15(8), 1751; https://doi.org/10.3390/electronics15081751 - 21 Apr 2026
Abstract
Clothing pattern-making is an important part of transforming design concepts into finished products; however, the traditional manual pattern-making process is not only time-consuming, but also suffers from inefficiency, which seriously restricts the automation and precision of clothing production. This study proposes an automated [...] Read more.
Clothing pattern-making is an important part of transforming design concepts into finished products; however, the traditional manual pattern-making process is not only time-consuming, but also suffers from inefficiency, which seriously restricts the automation and precision of clothing production. This study proposes an automated clothing pattern-making method, the core of which lies in the organic combination of an improved Pix2Pix model and a conditional diffusion model. The improved Pix2Pix model effectively captures the complex structural information in clothing patterns by introducing a multi-scale discriminator and a new composite loss function. Due to limited data, the improved Pix2Pix falls short in terms of image generation quality, so a conditional diffusion model was introduced to enhance the detail and overall integrity of the generated images. Experiments were conducted on pattern-making tasks for the sleeves and back panels of various typical clothing styles. The sleeve components primarily validated the model’s basic generation capabilities. The results showed that the improved Pix2Pix-generated initial template could capture the basic contour structure, and after diffusion model repair, the lines became clearer and the details more complete; the back panels components validated the model’s robustness. Quantitative results showed that the proposed method achieved SSIM, PSNR, and LPIPS values of 0.869, 22.31, and 0.1318, respectively. Compared with the results of other advanced models, the proposed method exhibits the highest accuracy and clarity in the generated images, confirming its practicality and effectiveness in automated apparel pattern-making. Full article
(This article belongs to the Special Issue 2D/3D Industrial Visual Inspection and Intelligent Image Processing)
Show Figures

Figure 1

6 pages, 1773 KB  
Case Report
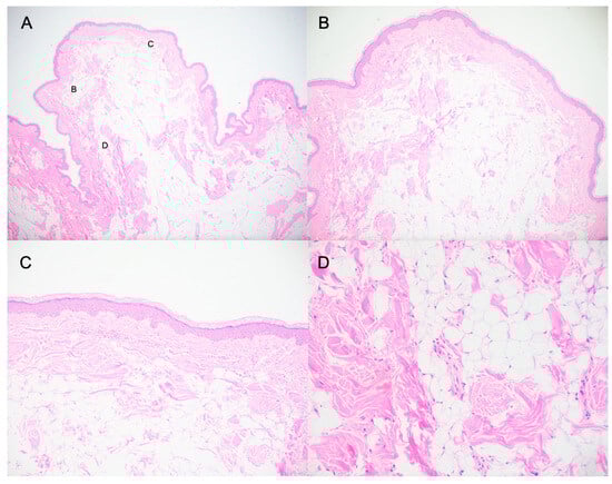
Nevus Lipomatosus Superficialis with Mixed Morphologic Features: Gross, Sonographic, and Histopathologic Correlation
by Michelle T. Nguyen, Leo P. Wu and Grant M. Pham
Life 2026, 16(4), 693; https://doi.org/10.3390/life16040693 - 21 Apr 2026
Abstract
Nevus lipomatosus superficialis (NLS) is an uncommon benign hamartoma characterized by ectopic adipocytes within the dermis and may present with features that overlap clinically with other soft, pedunculated, or cerebriform lesions. We report a rare presentation with mixed morphologic traits that created diagnostic [...] Read more.
Nevus lipomatosus superficialis (NLS) is an uncommon benign hamartoma characterized by ectopic adipocytes within the dermis and may present with features that overlap clinically with other soft, pedunculated, or cerebriform lesions. We report a rare presentation with mixed morphologic traits that created diagnostic uncertainty on gross examination. The lesion demonstrated atypical surface contour and texture, prompting multimodal evaluation to clarify the differential diagnosis and support safe outpatient management. Point-of-care ultrasound (POCUS) was used to evaluate lesion architecture and vascularity. Findings provided real-time, noninvasive support for benign morphology and informed procedural planning. Subsequent histopathologic analysis established the diagnosis by demonstrating dermal adipose deposition consistent with NLS. This case underscores the value of integrating gross examination with sonographic assessment and histopathology when cutaneous lesions have overlapping clinical features. In addition, it contributes to the limited literature describing ultrasound findings in NLS. Incorporating POCUS into the assessment of atypical cutaneous growths may improve diagnostic confidence, reduce unnecessary escalation of care, and support efficient, safe treatment in outpatient settings. Full article
Show Figures

Figure 1

26 pages, 4268 KB  
Article
Peristalsis of Thermally Heated Eyring–Powell Fluid Within an Elliptic Channel Having Ciliated Wavy Walls Under Mass Transfer Impact
by Noha M. Hafez
Dynamics 2026, 6(2), 14; https://doi.org/10.3390/dynamics6020014 - 19 Apr 2026
Viewed by 72
Abstract
The physical characteristics of a heated non-Newtonian Eyring–Powell fluid in a conduit with sinusoidally moving ciliated walls are highlighted in this analytical study. The impact of mass transmission is considered in this model. The dimensional form of the governing equations is simplified using [...] Read more.
The physical characteristics of a heated non-Newtonian Eyring–Powell fluid in a conduit with sinusoidally moving ciliated walls are highlighted in this analytical study. The impact of mass transmission is considered in this model. The dimensional form of the governing equations is simplified using the long-wavelength estimation and suitable transformations to produce a set of dimensionless partial differential equations with pertinent boundary conditions. To solve it, the perturbation technique is utilized applying polynomial solutions. The solutions of temperature, concentrations, and velocity profiles are obtained, and then are further analyzed through graphical results. An accurate mathematical solution for the pressure gradient is achieved by integrating the velocity profile over the elliptic cross-section. The non-Newtonian Eyring–Powell fluid flows quicker through this vertical ciliated elliptic duct than the Newtonian fluid. Moreover, the cilia elliptic movement eccentricity and the wave number for metachronal wave have a dual effect on the velocity profile. Increasing the dimensionless flow rate and occlusion leads to an increase in closed contour size, as seen in the streamline description. Full article
36 pages, 5744 KB  
Article
Multi-Scale Atrous Feature Fusion Based on a VGG19-UNet Encoder for Brain Tumor Segmentation
by Shoffan Saifullah and Rafał Dreżewski
Appl. Sci. 2026, 16(8), 3971; https://doi.org/10.3390/app16083971 - 19 Apr 2026
Viewed by 100
Abstract
Accurate brain tumor segmentation from magnetic resonance imaging (MRI) remains challenging due to heterogeneous tumor morphology, intensity variability, and multi-scale structural complexity. This study proposes a DeepLabV3+-based segmentation framework integrating a VGG19-UNet encoder, Atrous Spatial Pyramid Pooling (ASPP), and low-level feature refinement to [...] Read more.
Accurate brain tumor segmentation from magnetic resonance imaging (MRI) remains challenging due to heterogeneous tumor morphology, intensity variability, and multi-scale structural complexity. This study proposes a DeepLabV3+-based segmentation framework integrating a VGG19-UNet encoder, Atrous Spatial Pyramid Pooling (ASPP), and low-level feature refinement to simultaneously capture hierarchical semantics and boundary-sensitive spatial details. The architecture enhances receptive field coverage without additional downsampling while preserving fine-grained contour information during reconstruction. Extensive evaluation was conducted on the Figshare Brain Tumor Segmentation (FBTS) dataset and the BraTS 2021 and BraTS 2018 benchmarks, focusing on Whole Tumor segmentation across multiple MRI modalities and tumor grades. Under five-fold cross-validation, the proposed model achieved a mean Dice Similarity Coefficient of 0.9717 and Jaccard Index of 0.9456 on FBTS, with stable and competitive performance across FLAIR, T1, T2, and T1CE modalities in both HGG and LGG cases. Boundary-level analysis further confirmed controlled Hausdorff Distance and low Average Symmetric Surface Distance. Statistical validation and ablation analysis demonstrate consistent improvements over baseline U-Net configurations. The proposed framework provides a robust and computationally efficient solution for automated brain tumor segmentation across heterogeneous datasets. Full article
(This article belongs to the Special Issue Research on Artificial Intelligence in Healthcare)
22 pages, 10122 KB  
Article
Salient Object Detection with Semantic-Aware Edge Refinement and Edge-Guided Cross-Attention Feature Aggregation
by Yitong Lu and Ziguan Cui
Sensors 2026, 26(8), 2439; https://doi.org/10.3390/s26082439 - 16 Apr 2026
Viewed by 299
Abstract
Hybrid multi-backbone architectures and the utilization of edge cues for auxiliary training have become two major research trends in salient object detection (SOD). It is widely acknowledged that CNNs can effectively model local spatial structures, while Transformers can capture long-range global dependencies. However, [...] Read more.
Hybrid multi-backbone architectures and the utilization of edge cues for auxiliary training have become two major research trends in salient object detection (SOD). It is widely acknowledged that CNNs can effectively model local spatial structures, while Transformers can capture long-range global dependencies. However, the representation discrepancy between CNN and Transformer features, together with boundary-detail degradation during multi-scale fusion, remains a major challenge. In addition, how to effectively leverage edge cues as reliable structural guidance without introducing texture-induced false boundaries or boundary leakages remains an open issue. In this paper, we present SECA-Net, a unified framework that establishes a profound synergy between CNN and Transformer representations. It explicitly bridges their inherent discrepancies through level-dependent interaction strategies, while resolving structural degradation via a sequential “purify-and-guide” mechanism. This approach enables the network to extract and utilize edge cues effectively, thereby alleviating boundary degradation and texture-induced false contours. Specifically, we design a dual-encoder structure to extract features. A level-wise feature interaction (LFI) module is introduced to perform discrepancy-aware fusion across feature levels, stabilizing CNN–Transformer aggregation. Meanwhile, the features extracted from the CNN branch are projected into a semantic-aware edge refinement (SAER) module to produce clean multi-scale edge priors under high-level semantic guidance, suppressing texture-induced spurious edges. Finally, we design an edge-guided cross-attention feature aggregation (ECFA) module, which progressively injects refined edge priors as structural constraints into multi-scale saliency decoding via cascaded cross-attention, enabling effective structural refinement. Overall, LFI reduces cross-branch discrepancy, SAER purifies boundary priors, and ECFA integrates semantics and structure in a progressive decoding manner, forming a unified SECA-Net framework. Extensive experimental results on five benchmark SOD datasets show that SECA-Net outperforms 19 state-of-the-art methods, demonstrating its effectiveness. Specifically, our proposed method ranks first in Fβ and BDE across all datasets, notably improving Fβ by 1.54% on the challenging DUTS-TE dataset. Full article
(This article belongs to the Section Sensing and Imaging)
Show Figures

Figure 1

26 pages, 10629 KB  
Article
LRD-DETR: A Lightweight RT-DETR-Based Model for Road Distress Detection
by Chen Dong and Yunwei Zhang
Sensors 2026, 26(8), 2375; https://doi.org/10.3390/s26082375 - 12 Apr 2026
Viewed by 238
Abstract
Intelligent road distress detection technology has emerged as an important research topic in the field of highway maintenance. However, the accuracy and practicality of pavement distress detection are constrained by multiple factors, primarily including the irregular shapes of distress, the tendency for fine [...] Read more.
Intelligent road distress detection technology has emerged as an important research topic in the field of highway maintenance. However, the accuracy and practicality of pavement distress detection are constrained by multiple factors, primarily including the irregular shapes of distress, the tendency for fine cracks to be overlooked, and the high parameter count of detection models that makes deployment difficult. Therefore, this study proposes a lightweight road distress detection model based on an improved RT-DETR architecture—LRD-DETR. First, this work integrates the C2f-LFEM module with the ADown adaptive down-sampling strategy into the backbone network, significantly reducing the number of model parameters and computational load while effectively enhancing the representation capacity of multi-scale pavement distress features. Second, a frequency-domain spatial attention is embedded in the S4 feature layer, where synergistic integration of frequency-domain filtering and spatial attention enables detail enhancement of distress edges and contours, automatically focuses on the distress regions, and suppresses background interference. The polarity-aware linear attention is incorporated into the S5 feature layer, by explicitly modeling polarity interactions, it effectively captures textural discrepancies between damaged regions and the intact road surface, and a learnable power function dynamically rescales attention weights to strengthen distress-specific feature responses. Finally, a cross-scale spatial feature fusion module (CSF2M) is developed to reconstruct and fuse multi-level spatial featurez, thereby improving detection robustness for pavement distresses with diverse morphologies under complex background conditions. Quantitative experiments indicate that, in contrast with the baseline RT-DETR, the presented framework improves the F1-score by 7.1% and mAP@50 by 9.0%, while reducing computational complexity and parameter quantity by 43.8% and 38.0%, respectively. These advantages enable LRD-DETR to be suitably deployed on resource-limited embedded platforms for real-time road distress detection. Full article
(This article belongs to the Special Issue AI and Smart Sensors for Intelligent Transportation Systems)
Show Figures

Figure 1

38 pages, 22393 KB  
Article
High-Resolution 3D Structural Documentation of the Saqqara Pyramids, Egypt, Using Terrestrial Laser Scanning and Integrated Geomatics Techniques for Heritage Preservation
by Abdelhamid Elbshbeshi, Abdelmonem Mohamed and Ismael M. Ibraheem
Remote Sens. 2026, 18(8), 1138; https://doi.org/10.3390/rs18081138 - 11 Apr 2026
Viewed by 605
Abstract
Accurate 3D documentation of large and complex structures is essential for long-term stability assessment, structural monitoring, and conservation planning, particularly for heritage sites exposed to environmental and anthropogenic threats. This study develops an integrated workflow combining Terrestrial Laser Scanning (TLS), Global Navigation Satellite [...] Read more.
Accurate 3D documentation of large and complex structures is essential for long-term stability assessment, structural monitoring, and conservation planning, particularly for heritage sites exposed to environmental and anthropogenic threats. This study develops an integrated workflow combining Terrestrial Laser Scanning (TLS), Global Navigation Satellite System (GNSS), and Total Station geodetic control for large-scale, high-precision documentation. The approach was implemented at the Saqqara archaeological zone, a UNESCO World Heritage Site facing significant deterioration risks, to document four major pyramids: Djoser, Unas, Teti, and Userkaf. More than 2.1 billion georeferenced points were acquired from 16 scan positions with sub-centimeter registration errors and overall geometric accuracy better than ±1 cm. From these datasets, detailed mesh models, orthoimages, Digital Elevation Models (DEMs), contour maps, and 2D plans were derived. These enabled quantitative analyses of height loss and volumetric change, indicating severe structural degradation in Unas (~53%), Teti (~66%), and Userkaf (~63%), as well as localized deformations such as 4.2 cm displacement at Teti’s south flank. The degradation results from environmental factors and anthropogenic influences. Beyond this case study, the workflow proves that integrated TLS documentation can be applied to large and complex structures, supporting deformation monitoring, stability assessment, and digital twin development. Full article
Show Figures

Figure 1

34 pages, 56063 KB  
Article
Deep Learning-Based Intelligent Analysis of Rock Thin Sections: From Cross-Scale Lithology Classification to Grain Segmentation for Quantitative Fabric Characterization
by Wenhao Yang, Ang Li, Liyan Zhang and Xiaoyao Qin
Electronics 2026, 15(7), 1509; https://doi.org/10.3390/electronics15071509 - 3 Apr 2026
Viewed by 390
Abstract
Quantitative microstructure evaluation of sedimentary rock thin sections is essential for revealing reservoir flow mechanisms and assessing reservoir quality. However, traditional manual identification is inefficient and prone to subjectivity. Although current deep learning approaches have improved efficiency, most remain confined to single tasks [...] Read more.
Quantitative microstructure evaluation of sedimentary rock thin sections is essential for revealing reservoir flow mechanisms and assessing reservoir quality. However, traditional manual identification is inefficient and prone to subjectivity. Although current deep learning approaches have improved efficiency, most remain confined to single tasks and lack a pathway to translate image recognition into quantifiable geological parameters. Moreover, these methods struggle with cross-scale feature extraction and accurate grain boundary localization in complex textures. To overcome these limitations, this study proposes a three-stage automated analysis framework integrating intelligent lithology identification, sandstone grain segmentation, and quantitative analysis of fabric parameters. To address scale discrepancies in lithology discrimination, Rock-PLionNet integrates a Partial-to-Whole Context Fusion (PWC-Fusion) module and the Lion optimizer, which mitigates cross-scale feature inconsistencies and enables accurate screening of target sandstone samples. Subsequently, to correct boundary deviations caused by low contrast and grain adhesion, the PetroSAM-CRF strategy integrates polarization-aware enhancement with dense conditional random field (DenseCRF)-based probabilistic refinement to extract precise grain contours. Based on these outputs, the framework automatically calculates key fabric parameters, including grain size and roundness. Experiments on 3290 original multi-source thin-section images show that Rock-PLionNet achieves a classification accuracy of 96.57% on the test set. Furthermore, PetroSAM-CRF reduces segmentation bias observed in general-purpose models under complex texture conditions, enabling accurate parameter estimation with a roundness error of 2.83%. Overall, this study presents an intelligent workflow linking microscopic image recognition with quantitative analysis of geological fabric parameters, providing a practical pathway for digital petrographic evaluation in hydrocarbon exploration. Full article
Show Figures

Figure 1

13 pages, 653 KB  
Article
Microperimetry-Based Fixation Training in Patients with Age-Related Macular Degeneration (AMD)
by Karolina Ciszewska, Mateusz Winiarczyk, Dagmara Winiarczyk and Jerzy Mackiewicz
J. Clin. Med. 2026, 15(7), 2651; https://doi.org/10.3390/jcm15072651 - 31 Mar 2026
Viewed by 375
Abstract
Background: Age-related macular degeneration (AMD) is the primary cause of severe visual acuity loss in individuals over 60 with increasing prevalence. Currently, no effective treatments exist for geographic atrophy and macular scarring, highlighting the need for visual rehabilitation in these patients. Microperimetry [...] Read more.
Background: Age-related macular degeneration (AMD) is the primary cause of severe visual acuity loss in individuals over 60 with increasing prevalence. Currently, no effective treatments exist for geographic atrophy and macular scarring, highlighting the need for visual rehabilitation in these patients. Microperimetry offers functional assessment at any AMD stage and employs fixation training to help patients utilize the most effective retinal areas for vision. Methods: A prospective study involving 25 patients (50 eyes) aged 67 to 90. The MAIA II microperimeter assessed scotoma size and location, retinal sensitivity, macular integrity, fixation parameters (P1, P2, 63%BCEA, 95%BCEA), fixation stability, and preferred retinal locus. Quality of life was evaluated using the National Eye Institute Visual Function Questionnaire (NEI-VFQ-25). A subgroup with inactive AMD-related macular changes, either bilateral geographic atrophy (13 patients, 26 eyes) or bilateral scarring (12 patients, 24 eyes), was identified, all exhibiting bilateral absolute central scotomas of at least 2 degrees. Each patient completed 10 fixation training sessions with a microperimeter, training the eye with better acuity weekly. One-week post-training, a functional assessment was performed on both trained and untrained eyes. Results: Fixation training significantly improved best corrected visual acuity (BCVA) in trained eyes (mean change −0.14 logMAR, p < 0.001, large effect size) and also in fellow untrained eyes (−0.16 logMAR, p < 0.001). BNVA improved from 2.25 to 1.86 in trained eyes (p < 0.001) and from 2.96 to 2.76 in untrained eyes (p = 0.004). Fixation stability parameters improved significantly, including increases in P1 and P2 and reductions in Bivariate Contour Ellipse Area (BCEA). Quality of life measured using the NEI-VFQ-25 questionnaire improved significantly in 9 of 11 domains. Conclusions: Microperimetry may be a valuable tool for assessing visual function in AMD patients. Fixation training with the MAIA II microperimeter is both safe and effective for vision rehabilitation in those with geographic atrophy and macular scarring. Full article
(This article belongs to the Special Issue Current Concepts and Updates in Eye Diseases)
Show Figures

Figure 1

23 pages, 4933 KB  
Article
Research on Angle-Adaptive Look-Ahead Compensation Method for Five-Degree-of-Freedom Additive Manufacturing Based on Sech Attenuation Curve
by Xingguo Han, Wenquan Li, Shizheng Chen, Xuan Liu and Lixiu Cui
Micromachines 2026, 17(4), 423; https://doi.org/10.3390/mi17040423 - 30 Mar 2026
Viewed by 343
Abstract
To address over-extrusion and forming defects at path corners caused by path overlap in additive manufacturing, this paper proposes an angle-adaptive look-ahead compensation algorithm based on a Sech attenuation curve. This method establishes a mapping model between the path angle and the adaptive [...] Read more.
To address over-extrusion and forming defects at path corners caused by path overlap in additive manufacturing, this paper proposes an angle-adaptive look-ahead compensation algorithm based on a Sech attenuation curve. This method establishes a mapping model between the path angle and the adaptive look-ahead distance of the overlapping area, aiming to eliminate the material accumulation at the corner by precisely identifying the overlapping area and modulating the flow rate. By building a Beckhoff five-axis 3D-printing device and relying on the TwinCAT control platform, the compensation triggering logic based on PLC real-time Euclidean distance calculation was realized, and a slicing software with dynamic bias compensation was also developed. Experiments were conducted on triangular samples with extreme acute angles of 5°, universal acute angles of 85°, and 90° straight angles for printing verification. The results show that this algorithm can effectively suppress the material over-extrusion and accumulation at the path overlap in multiple angles, achieving a smooth transition of the sharp corners in the printed contour. The research confirms that the algorithm proposed in this study, together with the integrated software and hardware system, can ensure the forming accuracy of extreme and conventional geometric features while also guaranteeing the printing efficiency, providing an important reference for ensuring the quality coordination control of the formation process of extreme geometric features in additive manufacturing. Full article
Show Figures

Figure 1

19 pages, 2718 KB  
Article
The Design and Practice of an Experimental Teaching Case for UAV-Based Field-Data Acquisition in Outdoor Ecological Education
by Hao Li, Zhiying Xie and Suhong Liu
Sustainability 2026, 18(7), 3340; https://doi.org/10.3390/su18073340 - 30 Mar 2026
Viewed by 330
Abstract
Outdoor ecological practice is essential for cultivating ecological literacy; however, there is currently a relative lack of comprehensive outdoor practical teaching case designs for class-based teaching. This study describes the design of an experimental teaching case for ecological education involving UAV-based field data [...] Read more.
Outdoor ecological practice is essential for cultivating ecological literacy; however, there is currently a relative lack of comprehensive outdoor practical teaching case designs for class-based teaching. This study describes the design of an experimental teaching case for ecological education involving UAV-based field data collection. For the scheme, we selected the Xinhui Tangerine Peel Germplasm Resources Conservation Center in Jiangmen City, Guangdong Province as the study area, utilizing the DJI Phantom 4 RTK drone, which serves as the equipment for experimental teaching. The experiment is structured into three phases: indoor preparation, field execution, and data processing. Students from four groups collaboratively conducted aerial surveys across 24 partitioned plots, with flight altitudes stratified between groups to ensure safety and data integrity. (1) In the indoor preparation phase, appropriate single-flight operational units were defined. QGIS software (version 3.26.2) was employed for zonal mission planning, and suitable flight altitudes were estimated using contour data. (2) Field experiment phase. This involved conducting a comprehensive survey of the on-site environment, selecting suitable takeoff and landing points, dividing students into teams to carry out UAV-image-acquisition tasks, and assigning different altitudes for flight routes among the teams. (3) After the fieldwork, students processed imagery using Agisoft Metashape (version 2.0.1) to generate orthomosaics and digital surface models, and engaged in ecological interpretation of the results. The experimental design ensured orderly execution, complete data coverage, and active student participation. The results indicate the approach effectively enhanced students’ UAV operational skills, outdoor problem-solving abilities, and teamwork capabilities, while deepening their ecological understanding through real-world inquiry. This case provides a replicable model for integrating UAV technology into ecological education, contributing to the transformation of ecological awareness into actionable practice. Full article
Show Figures

Figure 1

19 pages, 436 KB  
Review
Artificial Intelligence and Esthetics: Redefining Precision and Beauty in Plastic Surgery
by Dinu Iuliu Dumitrascu, Stefan Lucian Popa, Victor Incze, Darius-Stefan Amarie, Leo Gaspari, Paul Aluas, Abdulrahman Ismaiel, Daniel Corneliu Leucuta, Liliana David, Florin Vasile Mihaileanu, Claudia Diana Gherman, Vlad Dumitru Brata and Irina Dora Magurean
Medicina 2026, 62(4), 633; https://doi.org/10.3390/medicina62040633 - 26 Mar 2026
Viewed by 405
Abstract
Artificial intelligence (AI) is increasingly reshaping esthetic and reconstructive plastic surgery by improving measurement accuracy, treatment planning, and prediction of surgical outcomes. This article provides a scientific overview of current AI applications, including automated image analysis, machine-learning-based outcome forecasting, and generative models for [...] Read more.
Artificial intelligence (AI) is increasingly reshaping esthetic and reconstructive plastic surgery by improving measurement accuracy, treatment planning, and prediction of surgical outcomes. This article provides a scientific overview of current AI applications, including automated image analysis, machine-learning-based outcome forecasting, and generative models for preoperative simulation. AI-driven three-dimensional morphometrics allow precise, reproducible quantification of facial and body structures, supporting more objective assessments of symmetry, proportion, and contour. Predictive algorithms trained on large clinical datasets can estimate postoperative results and complication risks with higher consistency than traditional subjective evaluation. Intraoperative AI tools, such as real-time image guidance and robotic assistance, show potential to increase procedural precision and reduce variability. Despite these advances, important limitations persist. Algorithmic bias, restricted data diversity, opaque model architectures, and unresolved ethical concerns regarding data privacy and esthetic standardization challenge widespread clinical adoption. Overall, AI offers a powerful framework for enhancing precision and reproducibility in esthetic surgery, but its safe and responsible integration will require rigorous validation, transparent methodology, and continued human oversight. Full article
(This article belongs to the Special Issue Advances in Reconstructive and Plastic Surgery)
Show Figures

Figure 1

Back to TopTop