Sign in to use this feature.

Years

Between: -

Subjects

remove_circle_outline
remove_circle_outline
remove_circle_outline
remove_circle_outline

Journals

Article Types

Countries / Regions

Search Results (16)

Search Parameters:
Keywords = connexin 37

Order results
Result details
Results per page
Select all
Export citation of selected articles as:
16 pages, 2914 KB  
Article
Expression of Connexins 37/40 and Pannexin 1 in Early Human and Yotari (Dab1−/−) Meninges Development
by Marko Puljiz, Natalija Filipović, Nela Kelam, Anita Racetin, Yu Katsuyama and Katarina Vukojević
Biomedicines 2025, 13(12), 3088; https://doi.org/10.3390/biomedicines13123088 - 15 Dec 2025
Viewed by 280
Abstract
Background/Objectives: The meninges, the protective membranes covering the central nervous system, undergo complex developmental processes that are critical for CNS integrity and function. Connexin 37 (Cx37) and 40 (Cx40), members of the connexin family of gap junction proteins, have been implicated in [...] Read more.
Background/Objectives: The meninges, the protective membranes covering the central nervous system, undergo complex developmental processes that are critical for CNS integrity and function. Connexin 37 (Cx37) and 40 (Cx40), members of the connexin family of gap junction proteins, have been implicated in various physiological and pathological processes. They play a critical role in cell–cell communication. The aim of our study was to investigate the expression of connexins Cx37, Cx40, and Panx1 in the meninges of both human and murine models (yotari and wild type) at the 6th week/E13.5 and 8th week/E15.5 of developmental stages. Methods: Human embryonic tissues (6th–8th week, n = 4 for the 6th week and n = 4 for the 8th week) and mouse embryos (yotari Dab1/ and wild type, E13.5–E15.5) were collected and fixed in 4% paraformaldehyde. Paraffin sections were stained for Cx37, Cx40, and Panx1 using immunofluorescence. Images were analyzed in ImageJ, and statistical comparisons were performed using one-way ANOVA with Tukey’s post hoc test (p < 0.05). Results: Cx37 was consistently expressed across all developmental stages, with the highest threshold area percentage observed at E13.5 and E15.5 in murine leptomeninges, demonstrating statistically significant differences compared to controls (p < 0.05) and notably from corresponding human stages (p < 0.001). Strong Cx37 staining intensity at E13.5 was noted in both wild-type and yot mice, while human leptomeninges displayed mild staining at the 6th week of development. In contrast, both human and murine pachymeninges exhibited moderate Cx37 expression. Additionally, the expression of Cx37 in wild-type mice surpassed that of human samples at both E13.5 and E15.5 stages (p < 0.01 and p < 0.001, respectively). For the developing dura mater, Cx37 expression peaked at E15.5 in yot mice, significantly different from both wild-type and human dura mater (p < 0.01 and p < 0.05). Cx40 expression was highest in the leptomeninges at E15.5. Panx1 was similarly expressed across stages, with the highest threshold area percent observed in wild-type leptomeninges and pachymeninges at E15.5, showing significant differences compared to yot mice and human samples (p < 0.05). Both leptomeninges and pachymeninges exhibited mild Panx1 staining at E13.5, while stronger staining was observed at E15.5 in murine samples, contrasting with mild intensity in human counterparts. Conclusions: These findings highlight the implications of Dab1 deficiency for the expression of gap junction proteins during meninges development, implicating their importance in intercellular communication that is essential for normal meningeal and neurodevelopmental processes. Full article
(This article belongs to the Section Neurobiology and Clinical Neuroscience)
Show Figures

Figure 1

15 pages, 599 KB  
Review
Immunohistochemical Assessment of Acute Myocardial Infarction: A Systematic Review
by Gianpiero D’Antonio, Nicola Di Fazio, Lavinia Pellegrini, Alessandro Ghamlouch, Fabio Del Duca, Raffaele La Russa, Paola Frati, Aniello Maiese and Gianpietro Volonnino
Int. J. Mol. Sci. 2025, 26(18), 8901; https://doi.org/10.3390/ijms26188901 - 12 Sep 2025
Viewed by 1569
Abstract
In forensic medicine, spotting signs of an acute myocardial infarction (AMI) right after it happens is still a tough call, especially in sudden-death cases. Standard histology often misses changes in those critical first hours because the tissue damage is too subtle to see. [...] Read more.
In forensic medicine, spotting signs of an acute myocardial infarction (AMI) right after it happens is still a tough call, especially in sudden-death cases. Standard histology often misses changes in those critical first hours because the tissue damage is too subtle to see. To tackle this, we reviewed research (1990–2023) from PubMed and Web of Science, following PRISMA guidelines. We focused on studies that used immunohistochemistry to identify markers of early AMI in both human autopsies and animal models, specifically in the first six hours post-event. Our selection process narrowed 418 records to 37 key papers. We screened 49 markers in total, but only a handful stood out for reliable diagnosis: C5b-9, cardiac troponins, dystrophin, and H-FABP—all showing high specificity. Markers like S100A1 and IL-15 also showed promise, whereas JunB and connexin-43 appeared less dependable. We believe immunohistochemistry can add real value in early AMI identification, especially when using combinations of markers chosen for complementary strengths. Still, to make this approach practical in forensic settings, we need more studies on human samples and agreement on standardized lab protocols. Full article
Show Figures

Figure 1

14 pages, 31917 KB  
Article
Connexin Expression Is Altered in the Eye Development of Yotari Mice: A Preliminary Study
by Ljubica Skelin, Anita Racetin, Nela Kelam, Marin Ogorevc, Ljubo Znaor, Mirna Saraga-Babić, Natalija Filipović, Yu Katsuyama, Zenon Pogorelić and Katarina Vukojević
Biomolecules 2024, 14(9), 1174; https://doi.org/10.3390/biom14091174 - 19 Sep 2024
Cited by 1 | Viewed by 1613
Abstract
This study aimed to explore how Dab1 functional silencing influences the expression patterns of different connexins in the developing yotari (yot) mice eyes as potential determinants of retinogenesis. Using immunofluorescence staining, the protein expression of Dab1, Reelin, and connexin 37, 40, [...] Read more.
This study aimed to explore how Dab1 functional silencing influences the expression patterns of different connexins in the developing yotari (yot) mice eyes as potential determinants of retinogenesis. Using immunofluorescence staining, the protein expression of Dab1, Reelin, and connexin 37, 40, 43, and 45 (Cx37, Cx40, Cx43, and Cx45) in the wild-type (wt) and yot eyes at embryonic days 13.5 and 15.5 (E13.5 and E15.5) were analyzed. Different expression patterns of Cx37 were seen between the wt and yot groups. The highest fluorescence intensity of Cx37 was observed in the yot animals at E15.5. Cx40 had higher expression at the E13.5 when differentiation of retinal layers was still beginning, whereas it decreased at the E15.5 when differentiation was at the advanced stage. Higher expression of Cx43 was found in the yot group at both time points. Cx45 was predominantly expressed at E13.5 in both groups. Our results reveal the altered expression of connexins during retinogenesis in yot mice and their potential involvement in retinal pathology, where they might serve as prospective therapeutic targets. Full article
Show Figures

Figure 1

10 pages, 1434 KB  
Article
Effect of Cyclic Adenosine Monophosphate on Connexin 37 Expression in Sheep Cumulus-Oocyte Complexes
by Mengyao Zhao, Gerile Subudeng, Yufen Zhao, Shaoyu Hao and Haijun Li
J. Dev. Biol. 2024, 12(2), 10; https://doi.org/10.3390/jdb12020010 - 27 Mar 2024
Cited by 1 | Viewed by 2780
Abstract
Gap junctional connection (GJC) in the cumulus–oocyte complex (COC) provides necessary support for message communication and nutrient transmission required for mammalian oocyte maturation. Cyclic adenosine monophosphate (cAMP) is not only a prerequisite for regulating oocyte meiosis, but also the key intercellular factor for [...] Read more.
Gap junctional connection (GJC) in the cumulus–oocyte complex (COC) provides necessary support for message communication and nutrient transmission required for mammalian oocyte maturation. Cyclic adenosine monophosphate (cAMP) is not only a prerequisite for regulating oocyte meiosis, but also the key intercellular factor for affecting GJC function in COCs. However, there are no reports on whether cAMP regulates connexin 37 (Cx37) expression, one of the main connexin proteins, in sheep COCs. In this study, the expression of Cx37 protein and gene in immature sheep COC was detected using immunohistochemistry and PCR. Subsequently, the effect of cAMP on Cx37 expression in sheep COCs cultured in a gonadotropin-free culture system for 10 min or 60 min was evaluated using competitive ELISA, real-time fluorescent quantitative PCR (RT-qPCR), and Western blot. The results showed that the Cx37 protein was present in sheep oocytes and cumulus cells; the same results were found with respect to GJA4 gene expression. In the gonadotropin-free culture system, compared to the control, significantly higher levels of cAMP as well as Cx37 gene and protein expression were found in sheep COCs following treatment in vitro with Forskolin and IBMX (100 μM and 500 μM)) for 10 min (p < 0.05). Compared to the controls (at 10 or 60 min), cAMP levels in sheep COCs were significantly elevated as a result of Forskolin and IBMX treatment (p < 0.05). Following culturing in vitro for 10 min or 60 min, Forskolin and IBMX treatment can significantly promote Cx37 expression in sheep COCs (p < 0.05), a phenomenon which can be counteracted when the culture media is supplemented with RP-cAMP, a cAMP-specific competitive inhibitor operating through suppression of the protein kinase A (PKA). In summary, this study reports the preliminary regulatory mechanism of cAMP involved in Cx37 expression for the first time, and provides a novel explanation for the interaction between cAMP and GJC communication during sheep COC culturing in vitro. Full article
(This article belongs to the Special Issue The 10th Anniversary of JDB: Feature Papers)
Show Figures

Figure 1

14 pages, 6981 KB  
Article
Connexin 37, 40, 43 and Pannexin 1 Expression in the Gastric Mucosa of Patients with Systemic Sclerosis
by Berna Pavic, Marin Ogorevc, Katarina Boric, Dubravka Vukovic, Mirna Saraga-Babic and Snjezana Mardesic
Biomedicines 2023, 11(9), 2487; https://doi.org/10.3390/biomedicines11092487 - 7 Sep 2023
Cited by 13 | Viewed by 1601
Abstract
Systemic sclerosis (SSc) is an autoimmune disease characterized by fibrosis of the skin and internal organs. Although its pathogenesis is not fully understood, connexins (Cxs) and pannexins (Panx) could be involved in the process of fibrosis. We analyzed the protein expression of Cx37, [...] Read more.
Systemic sclerosis (SSc) is an autoimmune disease characterized by fibrosis of the skin and internal organs. Although its pathogenesis is not fully understood, connexins (Cxs) and pannexins (Panx) could be involved in the process of fibrosis. We analyzed the protein expression of Cx37, Cx40, Cx43, and Panx1 in the gastric mucosa of patients with SSc and healthy volunteers, using immunofluorescence staining. Protein levels of Cx37 were slightly increased, while the levels of Cx40 were significantly decreased in the lamina propria of the gastric mucosa of SSc patients compared to the controls. The changes were proportional to SSc severity, with the most prominent changes found in patients with severe diffuse cutaneous SSc. No differences in Cx43 or Panx1 levels were found between the analyzed groups of samples. The lack of changes in Cx43 expression, which has been previously associated with fibrosis, could be due to the weak expression of Cx43 in the gastric mucosa in general. Further studies on full-thickness gastric biopsies containing muscle layers and animal SSc models are needed to fully elucidate the role of Cxs and Panxs in SSc-associated fibrosis. Full article
(This article belongs to the Special Issue Gap Junctions and the Connexin Protein Family in Health and Disease)
Show Figures

Figure 1

16 pages, 25261 KB  
Article
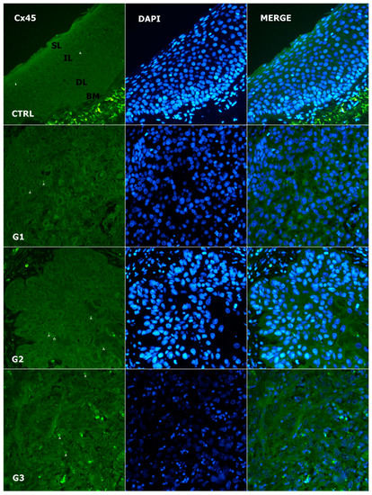
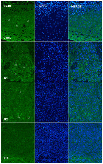
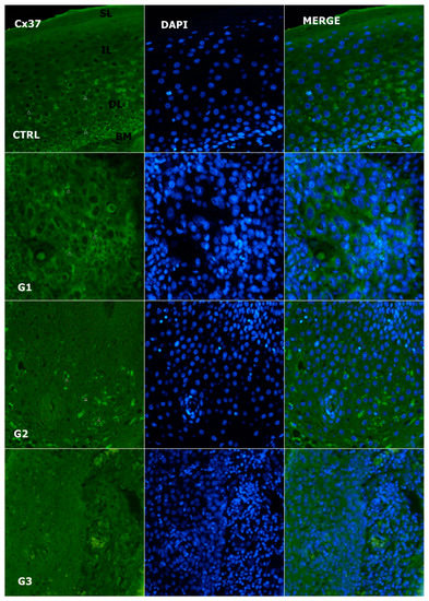
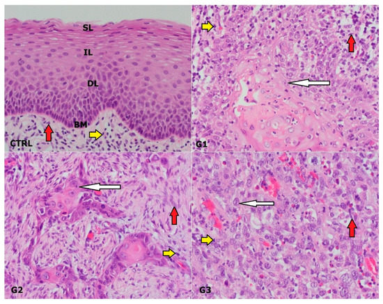
Expression of Connexins 37, 40 and 45, Pannexin 1 and Vimentin in Laryngeal Squamous Cell Carcinomas
by Ivan Mizdrak, Maja Mizdrak, Anita Racetin, Braco Bošković, Benjamin Benzon, Merica Glavina Durdov, Katarina Vukojević and Natalija Filipović
Genes 2023, 14(2), 446; https://doi.org/10.3390/genes14020446 - 9 Feb 2023
Cited by 8 | Viewed by 2295
Abstract
Approximately 60% of patients with squamous cell carcinoma (LSCC) have regional occult metastatic disease/distant metastases at the time of diagnosis, putting them at higher risk for disease progression. Therefore, biomarkers are needed for early prognostic purpose. The aim of this study was to [...] Read more.
Approximately 60% of patients with squamous cell carcinoma (LSCC) have regional occult metastatic disease/distant metastases at the time of diagnosis, putting them at higher risk for disease progression. Therefore, biomarkers are needed for early prognostic purpose. The aim of this study was to analyze the expression pattern of connexins (Cx) 37, 40 and 45, pannexin1 (Panx1) and vimentin in LSCC and correlate with tumor grade (G) and outcome. Methods: Thirty-four patients who underwent (hemi-)laryngectomy and regional lymphadenectomy due to LSCC from 2017 to 2018 in University Hospital Split, Croatia, were studied. Samples of tumor tissue and adjacent normal mucosa embedded in paraffin blocks were stained using the immunofluorescence method and were semi-quantitatively analyzed. Results: The expression of Cx37, Cx40, and Panx1 differed between cancer and adjacent normal mucosa and between histological grades, being the highest in well-differentiated (G1) cancer and low/absent in poorly differentiated (G3) cancer (all p < 0.05). The expression of vimentin was the highest in G3 cancer. Expression of Cx45 was generally weak/absent, with no significant difference between cancer and the controls or between grades. Lower Panx1 and higher vimentin expression were found to be prognostic factors for regional metastatic disease. Lower Cx37 and 40 expressions were present in patients with disease recurrence after the three-year follow-up period. Conclusion: Cx37 and Cx40, Panx1, and vimentin have the potential to be used as prognostic biomarkers for LSCC. Full article
(This article belongs to the Section Molecular Genetics and Genomics)
Show Figures

Figure 1

16 pages, 27170 KB  
Article
The Implications of Connexin 43 Deficiency during the Early Stages of Chemically Induced Mouse Colon Carcinogenesis
by Sara Gomes Espírito Santo, Tereza Cristina da Silva, Mathieu Vinken, Bruno Cogliati, Luís Fernando Barbisan and Guilherme Ribeiro Romualdo
Antioxidants 2022, 11(12), 2368; https://doi.org/10.3390/antiox11122368 - 30 Nov 2022
Cited by 2 | Viewed by 2593
Abstract
Colorectal cancer (CRC), associated with an increased intake of processed red meats, saturated fats, and simple carbohydrates accompanied by low dietary fiber, fruits, and vegetables consumption, presents a high epidemiological burden. Connexin43 (Cx43) protein, which forms gap junctions or hemichannels, has tumor suppressor [...] Read more.
Colorectal cancer (CRC), associated with an increased intake of processed red meats, saturated fats, and simple carbohydrates accompanied by low dietary fiber, fruits, and vegetables consumption, presents a high epidemiological burden. Connexin43 (Cx43) protein, which forms gap junctions or hemichannels, has tumor suppressor or oncogenic activities in a cancer type- and stage-dependent manner. Cx43 expression varies during colon carcinogenesis, and its functional role is not fully understood. Thus, we evaluated the implications of Cx43 heterologous deletion (Cx43+/−) during the early stages of a chemically induced model of colon carcinogenesis. Female C57BL/6J mice (wild-type or Cx43+/−) were submitted to a colon carcinogenesis model induced by 1,2 dimethylhydrazine (DMH). Mice were euthanized eight hours (week 7) or 30 weeks (week 37) after the last DMH administration to evaluate subacute colon toxicity outcomes or the burden of (pre)neoplastic lesions, respectively. At week 7, Cx43 deficiency inferred no alterations in the DMH-induced increase in systemic (peripheral blood), in situ (colonocytes) DNA damage, and apoptosis in the colonocytes. At week 30, Cx43+/− mice presented an increase in preneoplastic aberrant crypt foci (ACF) multiplicity, while no alterations were observed in colorectal adenoma (CRA) occurrence, multiplicity, volume, proliferation, growth, and β-catenin immunoexpression. Similarly, an in silico analysis of human CRA showed decreased mRNA expression of Cx43 with no correlation with proliferation, apoptosis, and β-catenin markers. These findings indicate the discrete role of Cx43 in the early stages of chemically induced mouse colon carcinogenesis. Full article
(This article belongs to the Section Health Outcomes of Antioxidants and Oxidative Stress)
Show Figures

Figure 1

23 pages, 7167 KB  
Article
A Lack of GD3 Synthase Leads to Impaired Renal Expression of Connexins and Pannexin1 in St8sia1 Knockout Mice
by Diana Meter, Anita Racetin, Katarina Vukojević, Marta Balog, Vedrana Ivić, Milorad Zjalić, Marija Heffer and Natalija Filipović
Int. J. Mol. Sci. 2022, 23(11), 6237; https://doi.org/10.3390/ijms23116237 - 2 Jun 2022
Cited by 5 | Viewed by 3145
Abstract
The aim of this study was to determine the effects of altered ganglioside composition on the expression of Cx37, Cx40, Cx43, Cx45, and Panx1 in different kidney regions of St8sia1 gene knockout mice (St8sia1 KO) lacking the GD3 synthase enzyme. Experiments were [...] Read more.
The aim of this study was to determine the effects of altered ganglioside composition on the expression of Cx37, Cx40, Cx43, Cx45, and Panx1 in different kidney regions of St8sia1 gene knockout mice (St8sia1 KO) lacking the GD3 synthase enzyme. Experiments were performed in twelve male 6-month-old mice: four wild-type (C57BL/6-type, WT) and eight St8sia1 KO mice. After euthanasia, kidney tissue was harvested, embedded in paraffin wax, and processed for immunohistochemistry. The expression of connexins and Panx1 was determined in different regions of the kidney: cortex (CTX.), outer stripe of outer medulla (O.S.), inner stripe of outer medulla (IN.S.), and inner medulla (IN.MED.). We determined significantly lower expression of Cx37, Cx40, Cx45, and Panx1 in different parts of the kidneys of St8sia1 KO mice compared with WT. The most consistent decrease was found in the O.S. where all markers (Cx 37, 40, 45 and Panx1) were disrupted in St8si1 KO mice. In the CTX. region, we observed decrease in the expression of Cx37, Cx45, and Panx1, while reduced expression of Cx37 and Panx1 was more specific to IN.S. The results of the present study suggest that deficiency of GD3 synthase in St8sia1 KO mice leads to disruption of renal Cx expression, which is probably related to alteration of ganglioside composition. Full article
(This article belongs to the Special Issue Connexin and Pannexin Signaling in Health and Disease 2.0)
Show Figures

Figure 1

16 pages, 3340 KB  
Article
The Expression of Connexin 37, 40, 43, 45 and Pannexin 1 in the Early Human Retina and Choroid Development and Tumorigenesis
by Matea Žužul, Mirela Lozić, Natalija Filipović, Samir Čanović, Ana Didović Pavičić, Joško Petričević, Nenad Kunac, Violeta Šoljić, Mirna Saraga-Babić, Suzana Konjevoda and Katarina Vukojevic
Int. J. Mol. Sci. 2022, 23(11), 5918; https://doi.org/10.3390/ijms23115918 - 25 May 2022
Cited by 9 | Viewed by 2588
Abstract
The expression pattern of Connexins (Cx) 37, 40, 43, 45 and Pannexin 1 (Pnx1) was analyzed immunohistochemically, as well as semi-quantitatively and quantitatively in histological sections of developing 8th- to 12th-week human eyes and postnatal healthy eye, in retinoblastoma and different uveal melanomas. [...] Read more.
The expression pattern of Connexins (Cx) 37, 40, 43, 45 and Pannexin 1 (Pnx1) was analyzed immunohistochemically, as well as semi-quantitatively and quantitatively in histological sections of developing 8th- to 12th-week human eyes and postnatal healthy eye, in retinoblastoma and different uveal melanomas. Expressions of both Cx37 and Cx43 increased during development but diminished in the postnatal period, being higher in the retina than in the choroid. Cx37 was highly expressed in the choroid of retinoblastoma, and Cx43 in epitheloid melanoma, while they were both increasingly expressed in mixoid melanoma. In contrast, mild retinal Cx40 expression during development increased to strong in postnatal period, while it was significantly higher in the choroid of mixoid melanoma. Cx45 showed significantly higher expression in the developing retina compared to other samples, while it became low postnatally and in all types of melanoma. Pnx1 was increasingly expressed in developing choroid but became lower in the postnatal eye. It was strongly expressed in epithelial and spindle melanoma, and particularly in retinoblastoma. Our results indicate importance of Cx37 and Cx40 expression in normal and pathological vascularization, and Cx43 expression in inflammatory response. Whereas Cx45 is involved in early stages of eye development, Pnx1might influence cell metabolism. Additionally, Cx43 might be a potential biomarker of tumor prognosis. Full article
(This article belongs to the Special Issue Connexin and Pannexin Signaling in Health and Disease 2.0)
Show Figures

Figure 1

13 pages, 1254 KB  
Article
Supplementation of EGF, IGF-1, and Connexin 37 in IVM Medium Significantly Improved the Maturation of Bovine Oocytes and Vitrification of Their IVF Blastocysts
by Sha Yang, Yuze Yang, Haisheng Hao, Weihua Du, Yunwei Pang, Shanjiang Zhao, Huiying Zou, Huabin Zhu, Peipei Zhang and Xueming Zhao
Genes 2022, 13(5), 805; https://doi.org/10.3390/genes13050805 - 30 Apr 2022
Cited by 31 | Viewed by 4003
Abstract
The quality and developmental capacity of oocytes derived from in vitro maturation (IVM) remain unsatisfactory, which greatly impairs the efficiency and application of embryo technologies. The present experiment was designed to investigate the effect of the supplementation of EGF, IGF-1, and Cx37 in [...] Read more.
The quality and developmental capacity of oocytes derived from in vitro maturation (IVM) remain unsatisfactory, which greatly impairs the efficiency and application of embryo technologies. The present experiment was designed to investigate the effect of the supplementation of EGF, IGF-1, and Cx37 in an IVM medium on the maturation quality and development ability of bovine oocytes. The cytoplasmic maturation events of oocytes and the quality of in vitro fertilization (IVF) blastocysts were examined to investigate the relative mechanisms. Our results showed that the nuclear maturation and blastocyst development after the IVF of oocytes treated with 25 μg/mL Cx37 or the combination of 50 ng/mL EGF and 100 ng/mL IGF-1 were significantly increased compared to those of the control group (p < 0.05). Furthermore, the blastocyst rate, and blastocyst total cell number and survival rate after vitrification of the EGF+IGF-1+Cx37 group, were significantly higher than those of the control group (p < 0.05), but lower than those of the FSH+LH+EGF+IGF-1+Cx37 group (p < 0.05). The transzonal projection (TZP) intensity, glutathione (GSH) level, and mitochondrial function of the EGF+IGF-1+Cx37 group were significantly higher than that of the control group, and lower than those of the FSH+LH+EGF+IGF-1+Cx37 group, in contrast to the results of the reactive oxygen species (ROS) levels. In conclusion, our results showed that the supplementation of 50 ng/mL EGF, 100 ng/mL IGF-1, and 25 μg/mL Cx37 in the IVM of bovine oocytes significantly improved their quality and developmental ability by increasing the TZP, mitochondrial function, and GSH level. Full article
(This article belongs to the Special Issue Early Embryonic Development of Animals)
Show Figures

Figure 1

23 pages, 6752 KB  
Article
Chronic Stress and Gonadectomy Affect the Expression of Cx37, Cx40 and Cx43 in the Spinal Cord
by Marija Jurić, Marta Balog, Vedrana Ivić, Benjamin Benzon, Anita Racetin, Ivana Bočina, Nives Kević, Suzana Konjevoda, Kálmán F. Szűcs, Róbert Gáspár, Marija Heffer, Katarina Vukojević, Sandor G. Vari and Natalija Filipović
Life 2021, 11(12), 1330; https://doi.org/10.3390/life11121330 - 1 Dec 2021
Cited by 7 | Viewed by 3035
Abstract
The study aimed to determine whether the exposure to chronic stress and/or performance of gonadectomy might lead to disturbance in the expression of connexin (Cx) 37, 40 and 43 in the spinal cord (SC), as a potential explanation for sex differences in stress-related [...] Read more.
The study aimed to determine whether the exposure to chronic stress and/or performance of gonadectomy might lead to disturbance in the expression of connexin (Cx) 37, 40 and 43 in the spinal cord (SC), as a potential explanation for sex differences in stress-related chronic pain conditions. After the rats were sham-operated or gonadectomized, three 10-day sessions of sham or chronic stress were applied. Immunohistochemistry and transmission electron microscopy (TEM) were used to examine Cx localization and expression in the SC. The gonadectomy resulted in an increase of Cx37 expression in the dorsal horn (DH) of the female rats, but chronic stress suppressed the effects of castration. In male rats, only the combined effects of castration and chronic stress increased Cx37 expression. The influence of chronic stress on the DH Cx40 expression was inversely evident after the castration: increased in the ovariectomized female rats, while decreased in the orchidectomized male rats. We did not find any effect of chronic stress and castration, alone or together, on Cx43 expression in the DH, but the percentage of Cx43 overlapping the astrocyte marker glial fibrillary acidic protein (gfap) increased in the male stressed group after the castration. In conclusion, the association of the chronic stress with sex hormone depletion results in disturbances of the SC Cx expression and might be a possible mechanism of disturbed pain perception after chronic stress exposure. Full article
(This article belongs to the Section Medical Research)
Show Figures

Figure 1

18 pages, 4646 KB  
Article
BPA and BPS Affect Connexin 37 in Bovine Cumulus Cells
by Reem Sabry, Charlotte Apps, Jaqueline A. Reiter-Saunders, Angela C. Saleh, Sumetha Balachandran, Elizabeth J. St. John and Laura A. Favetta
Genes 2021, 12(2), 321; https://doi.org/10.3390/genes12020321 - 23 Feb 2021
Cited by 16 | Viewed by 4412
Abstract
Bisphenol S (BPS) is used as an alternative plasticizer to Bisphenol A (BPA), despite limited knowledge of potential adverse effects. BPA exhibits endocrine disrupting effects during development. This article focuses on the impact of bisphenols during oocyte maturation. Connexins (Cx) are gap junctional [...] Read more.
Bisphenol S (BPS) is used as an alternative plasticizer to Bisphenol A (BPA), despite limited knowledge of potential adverse effects. BPA exhibits endocrine disrupting effects during development. This article focuses on the impact of bisphenols during oocyte maturation. Connexins (Cx) are gap junctional proteins that may be affected by bisphenols, providing insight into their mechanism during development. Cxs 37 and 43 are crucial in facilitating cell communication between cumulus cells and oocytes. Cumulus-oocyte complexes (COCs), denuded oocytes, and cumulus cells were exposed to 0.05 mg/mL BPA or BPS for 24 h. Both compounds had no effect on Cx43. Cumulus cells exhibited a significant increase in Cx37 expression following BPA (p = 0.001) and BPS (p = 0.017) exposure. COCs treated with BPA had increased Cx37 protein expression, whilst BPS showed no effects, suggesting BPA and BPS act through different mechanisms. Experiments conducted in in vitro cultured cumulus cells, obtained by stripping germinal vesicle oocytes, showed significantly increased expression of Cx37 in BPA, but not the BPS, treated group. BPA significantly increased Cx37 protein expression, while BPS did not. Disrupted Cx37 following BPA exposure provides an indication of possible effects of bisphenols on connexins during the early stages of development. Full article
(This article belongs to the Special Issue Early Embryo Development in Livestock)
Show Figures

Figure 1

21 pages, 6187 KB  
Article
Expression of Connexins 37, 43 and 45 in Developing Human Spinal Cord and Ganglia
by Marija Jurić, Julia Zeitler, Katarina Vukojević, Ivana Bočina, Maximilian Grobe, Genia Kretzschmar, Mirna Saraga-Babić and Natalija Filipović
Int. J. Mol. Sci. 2020, 21(24), 9356; https://doi.org/10.3390/ijms21249356 - 8 Dec 2020
Cited by 11 | Viewed by 3738
Abstract
Direct intercellular communication via gap junctions has an important role in the development of the nervous system, ranging from cell migration and neuronal differentiation to the formation of neuronal activity patterns. This study characterized and compared the specific spatio-temporal expression patterns of connexins [...] Read more.
Direct intercellular communication via gap junctions has an important role in the development of the nervous system, ranging from cell migration and neuronal differentiation to the formation of neuronal activity patterns. This study characterized and compared the specific spatio-temporal expression patterns of connexins (Cxs) 37, 43 and 45 during early human developmental stages (since the 5th until the 10th developmental week) in the spinal cord (SC) and dorsal root ganglia (DRG) using double immunofluorescence and transmission electron microscopy. We found the expression of all three investigated Cxs during early human development in all the areas of interest, in the SC, DRG, developing paravertebral ganglia of the sympathetic trunk, notochord and all three meningeal layers, with predominant expression of Cx37. Comparing the expression of different Cxs between distinct developmental periods, we did not find significant differences. Specific spatio-temporal pattern of Cxs expression might reflect their relevance in the development of all areas of interest via cellular interconnectivity and synchronization during the late embryonic and early fetal period of human development. Full article
(This article belongs to the Special Issue Connexin and Pannexin Signaling in Health and Disease)
Show Figures

Figure 1

21 pages, 3441 KB  
Article
Phosphorylation-Dependent Intra-Domain Interaction of the Cx37 Carboxyl-Terminus Controls Cell Survival
by Nicole L. Jacobsen, Tasha K. Pontifex, Paul R. Langlais and Janis M. Burt
Cancers 2019, 11(2), 188; https://doi.org/10.3390/cancers11020188 - 6 Feb 2019
Cited by 9 | Viewed by 3398
Abstract
Differential phosphorylation of the carboxyl-terminus of connexin 37 (Cx37-CT) regulates phenotypic switching between cell growth phenotypes (cell death, cell cycle arrest, proliferation). The specific phosphorylation events in the Cx37-CT that are necessary for these growth regulatory effects are currently unknown. Through the combined [...] Read more.
Differential phosphorylation of the carboxyl-terminus of connexin 37 (Cx37-CT) regulates phenotypic switching between cell growth phenotypes (cell death, cell cycle arrest, proliferation). The specific phosphorylation events in the Cx37-CT that are necessary for these growth regulatory effects are currently unknown. Through the combined use of deletion and site specific (de)phospho-mimetic Cx37-CT mutants, our data suggest a phosphorylation-dependent interaction between the mid-tail (aa 273–317) and end-tail (aa 318–333) portions of the Cx37-CT that regulates cell survival. As detected by mass spectrometry, Cx37 was phosphorylated at serines 275, 321, and 328; phosphomimetic mutations of these sites resulted in cell death when expressed in rat insulinoma cells. Alanine substitution at S328, but not at S275 or S321, also triggered cell death. Cx37-S275D uniquely induced the death of only low density, non-contact forming cells, but neither hemichannel open probability nor channel conductance distinguished death-inducing mutants. As channel function is necessary for cell death, together the data suggest that the phosphorylation state of the Cx37-CT controls an intra-domain interaction within the CT that modifies channel function and induces cell death. Full article
Show Figures

Figure 1

11 pages, 1130 KB  
Article
GJA4/Connexin 37 Mutations Correlate with Secondary Lymphedema Following Surgery in Breast Cancer Patients
by Mahrooyeh Hadizadeh, Seiied Mojtaba Mohaddes Ardebili, Mansoor Salehi, Chris Young, Fariborz Mokarian, James McClellan, Qin Xu, Mohammad Kazemi, Elham Moazam, Behzad Mahaki and Maziar Ashrafian Bonab
Biomedicines 2018, 6(1), 23; https://doi.org/10.3390/biomedicines6010023 - 22 Feb 2018
Cited by 23 | Viewed by 6678
Abstract
Lymphedema is a condition resulting from mutations in various genes essential for lymphatic development and function, which leads to obstruction of the lymphatic system. Secondary lymphedema is a progressive and incurable condition, most often manifesting after surgery for breast cancer. Although its causation [...] Read more.
Lymphedema is a condition resulting from mutations in various genes essential for lymphatic development and function, which leads to obstruction of the lymphatic system. Secondary lymphedema is a progressive and incurable condition, most often manifesting after surgery for breast cancer. Although its causation appears complex, various lines of evidence indicate that genetic predisposition may play a role. Previous studies show that mutations in connexin 47 are associated with secondary lymphedema. We have tested the hypothesis that connexin 37 gene mutations in humans are associated with secondary lymphedema following breast cancer surgery. A total of 2211 breast cancer patients were screened and tested for reference single nucleotide polymorphisms (SNPs) of the GJA4 gene (gap junction protein alpha 4 gene). The results presented in this paper indicate that two SNPs in the 3’ UTR (the three prime untranslated region) of the GJA4 gene are associated with an increased risk of secondary lymphedema in patients undergoing breast cancer treatment. Our results provide evidence of a novel genetic biomarker for assessing the predisposition to secondary lymphedema in human breast cancer patients. Testing for the condition-associated alleles described here could assist and inform treatment and post-operative care plans of breast cancer patients, with potentially positive outcomes for the management of disease progression. Full article
Show Figures

Graphical abstract

Back to TopTop