Sign in to use this feature.

Years

Between: -

Subjects

remove_circle_outline
remove_circle_outline
remove_circle_outline
remove_circle_outline
remove_circle_outline
remove_circle_outline
remove_circle_outline

Journals

Article Types

Countries / Regions

Search Results (120)

Search Parameters:
Keywords = complicated appendicitis

Order results
Result details
Results per page
Select all
Export citation of selected articles as:
21 pages, 1442 KB  
Article
Open-Label Prospective Randomized Comparative Study of the Efficacy and Safety of Gentamicin in Comparison to Other Antibiotics in the Management of Acute Appendicitis in Surgically Treated Patients
by Nika Obolnar, Žan Čebron, Gregor Norčič, Darko Černe, Aleš Jerin, Urška Čegovnik Primožič, Gaj Vidmar, Tadeja Pintar Kaliterna and Bojana Beović
Antibiotics 2026, 15(4), 395; https://doi.org/10.3390/antibiotics15040395 - 13 Apr 2026
Viewed by 338
Abstract
Background: Antimicrobial resistance coupled with the lack of new antibiotics calls for the responsible use of antibiotics, including old antimicrobials. Aminoglycosides are effective against bacteria in acute appendicitis, a common intra-abdominal infection. Their use has been discouraged recently, but their place in therapy [...] Read more.
Background: Antimicrobial resistance coupled with the lack of new antibiotics calls for the responsible use of antibiotics, including old antimicrobials. Aminoglycosides are effective against bacteria in acute appendicitis, a common intra-abdominal infection. Their use has been discouraged recently, but their place in therapy is based on studies performed in the era of lower resistance rates, and with multiple dosing regimens. Methods: In a prospective randomized open-label study, we compared the efficacy and safety of gentamicin in one daily dose and metronidazole (GTM+MZ) to ertapenem (ETP) and to cefuroxime with metronidazole (CXM+MZ) in adult patients surgically treated for acute appendicitis. Efficacy was assessed via the duration of antibiotic treatment and hospital stay, c-reactive protein (CRP) dynamics, and post-operative complications. Nephrotoxicity was assessed with urine biomarkers. Statistical analysis comprised mixed-model analysis of variance (ANOVA) with the missing-data-imputation method and linear mixed model (LMM). Results: One hundred-and-sixty-six patients were included in this study. There were no significant differences among the three groups in the durations of treatment and lengths of stay (p = 0.093, p = 0.222). CRP level was the lowest (p = 0.003) in the ETP group. There were five complications during hospitalization, with two of them classified as infectious. Both occurred in the GTM+MZ group; however, the difference was not statistically significant (p = 0.330). No difference was found in complications in the month following the operation (p = 0.763). Biomarkers indicating kidney injury showed the same trend in all three groups. Conclusions: Our results suggest the use of once-daily dose of gentamicin following an appendectomy for acute appendicitis. Gentamicin may be used to decrease selective pressure of other antimicrobials. Full article
(This article belongs to the Special Issue Antimicrobial Stewardship in Surgical Infection)
Show Figures

Figure 1

25 pages, 4233 KB  
Article
Usefulness of Laboratory-Based Machine Learning for Detection and Severity Classification of Acute Appendicitis in a Resource-Limited Healthcare Setting
by Margarita L. Martinez-Fierro, Jose G. Gonzalez-Rodarte, Sodel Vazquez-Reyes, Manuel Gonzalez-Plascencia, Idalia Garza-Veloz, Perla Velasco-Elizondo, Sidere M. Zorrilla-Alfaro, Jaime Y. Burciaga-Paez, Gonzalo Ibarra-Bañuelos, Luis A. Flores-Chaires and Alejandro Mauricio-Gonzalez
Diagnostics 2026, 16(7), 1090; https://doi.org/10.3390/diagnostics16071090 - 4 Apr 2026
Viewed by 494
Abstract
Background: Acute appendicitis is the most common abdominal surgical emergency, with diagnostic uncertainty greatest in resource-limited settings. Objectives: To develop and internally validate an interpretable, laboratory-driven machine learning approach to assist clinical decision-making in suspected appendicitis, including diagnosis, perforation detection, and [...] Read more.
Background: Acute appendicitis is the most common abdominal surgical emergency, with diagnostic uncertainty greatest in resource-limited settings. Objectives: To develop and internally validate an interpretable, laboratory-driven machine learning approach to assist clinical decision-making in suspected appendicitis, including diagnosis, perforation detection, and surgical severity stratification. Methods: A retrospective cohort of 246 patients with histopathologically confirmed appendicitis and 45 controls with similar abdominal pain was analyzed at a secondary-level hospital in Mexico. After cleaning and imputation, 41 laboratory variables were used to train three models: Random Forest for appendicitis detection and perforation identification, and Support Vector Machine for surgical severity stratification. Class imbalance was addressed with synthetic oversampling, and feature selection prioritized clinical interpretability. Results: Appendicitis detection achieved excellent discrimination (AUC = 0.94), correctly identifying 90% of cases, with 100% specificity. The perforation model reached 100% sensitivity (AUC = 0.875), prioritizing safe detection of high-risk cases, while severity stratification showed moderate performance (AUC = 0.721), correctly identifying 81% of complicated cases without imaging. Conclusions: Laboratory-based ML models accurately detected acute appendicitis and identified all perforated cases using routine data alone, while surgical severity stratification showed moderate discrimination in the absence of imaging. These findings demonstrate the feasibility of laboratory-driven decision support for early risk assessment in resource-limited emergency settings and support further external validation. Full article
(This article belongs to the Special Issue Innovative Advances in Diagnosis Through Artificial Intelligence)
Show Figures

Figure 1

17 pages, 1280 KB  
Review
Post-Appendectomy Intra-Abdominal Abscess in Children with Perforated Appendicitis: A Narrative Review
by Ciprian-Ioan Borca, Alexandru Cristian Cindrea, Madalin-Marius Margan, Roxana Margan, Alexandru Alexandru, Ovidiu Alexandru Mederle and Vlad Laurentiu David
Medicina 2026, 62(4), 686; https://doi.org/10.3390/medicina62040686 - 3 Apr 2026
Viewed by 431
Abstract
Post-appendectomy intra-abdominal abscess (PAA) is a common and problematic complication in children with perforated appendicitis, contributing to prolonged hospitalization, readmissions, and increased healthcare costs. Despite advances in surgical and antimicrobial management, substantial heterogeneity persists in definitions, risk stratification, and treatment strategies. This narrative [...] Read more.
Post-appendectomy intra-abdominal abscess (PAA) is a common and problematic complication in children with perforated appendicitis, contributing to prolonged hospitalization, readmissions, and increased healthcare costs. Despite advances in surgical and antimicrobial management, substantial heterogeneity persists in definitions, risk stratification, and treatment strategies. This narrative review aims to synthesize current evidence regarding the pathophysiology, risk factors, diagnostic pathways, clinical impact, and therapeutic approaches to PAA in the pediatric population. PAA occurs predominantly after perforated appendicitis and reflects persistent contamination and fibrin-driven loculation within the peritoneal cavity. Established predictors include fecalith presence, higher perforation severity, and elevated inflammatory markers. Diagnosis is typically established during the second postoperative week using ultrasound as first-line imaging. Management strategies vary widely, ranging from antibiotics alone to percutaneous or surgical drainage. PAA significantly increases length of stay, need for invasive procedures, and healthcare expenditure. In conclusion, PAA remains a clinically significant complication in pediatric perforated appendicitis. Standardized definitions, validated predictive tools, and high-quality trials are urgently needed to harmonize management, optimize outcomes, and reduce variability in care. Full article
(This article belongs to the Section Intensive Care/ Anesthesiology)
Show Figures

Figure 1

13 pages, 585 KB  
Article
Impact of Trocar Position on Surgical Site Infection After Pediatric Laparoscopic Appendectomy: A 15-Year Single-Center Study
by Zenon Pogorelić, Mateo Kraljević, Ivan Lovrinčević and Ivan Maleš
Med. Sci. 2026, 14(2), 173; https://doi.org/10.3390/medsci14020173 - 31 Mar 2026
Viewed by 348
Abstract
Background: Surgical site infection (SSI) remains the most frequent postoperative complication after pediatric laparoscopic appendectomy. Evidence is scarce regarding whether the specimen extraction port site represents a modifiable risk factor. This study evaluated the association between 10 mm trocar placement for appendix [...] Read more.
Background: Surgical site infection (SSI) remains the most frequent postoperative complication after pediatric laparoscopic appendectomy. Evidence is scarce regarding whether the specimen extraction port site represents a modifiable risk factor. This study evaluated the association between 10 mm trocar placement for appendix extraction and postoperative outcomes in children undergoing laparoscopic appendectomy. Methods: A retrospective single-center cohort study was conducted including children aged 0–17 years who underwent laparoscopic appendectomy between January 2012 and January 2026 with ≥30-day follow-up. Patients were grouped by placement site of the 10 mm trocar: supraumbilical versus left lower quadrant (LLQ). The primary outcome was postoperative wound infection. Secondary outcomes included overall complications, intra-abdominal abscess, postoperative ileus, stump dehiscence, operative time, length of stay, readmission, reoperation, and conversion to laparotomy. Subgroup analyses assessed the impact of endoscopic retrieval-bag use within each trocar-position group. Results: Baseline demographic, clinical, laboratory, and histopathological characteristics were comparable between the two 10 mm trocar placement sites. Overall, postoperative complications were higher with supraumbilical placement than with LLQ placement (6.9% vs. 2.9%, p < 0.001). SSI was more frequent with supraumbilical placement (3.7% vs. 0.3%, p < 0.001). Multivariable analysis confirmed trocar position as an independent predictor of SSI, with LLQ placement associated with a lower risk (OR 0.52, 95% CI 0.30–0.88, p = 0.015). Operative time was shorter with LLQ placement (median 32 vs. 36 min, p < 0.001). No significant differences were observed between placement sites in intra-abdominal abscess, postoperative ileus, readmission, reoperation, conversion to laparotomy, or length of hospital stay. Retrieval-bag use was not associated with differences in complication rates within either trocar placement site. Conclusions: LLQ 10 mm trocar placement site was associated with substantially lower SSI rates and shorter operative time compared with supraumbilical extraction, without increasing other postoperative complications. Extraction port selection may represent a simple technical measure to improve outcomes in pediatric laparoscopic appendectomy without requiring additional resources. Full article
Show Figures

Figure 1

19 pages, 833 KB  
Article
Routine Biomarkers in Paediatric Appendicitis Stratification: Which Add Diagnostic Value? A Retrospective Cohort Study
by Ciprian-Ioan Borca, Alexandru Alexandru, Madalin-Marius Margan, Cristiana-Smaranda Ivan, Alexandru Cristian Cindrea, Corneluta Fira-Mladinescu, Marius Negru, Delia Hutanu, Silviu-Valentin Vlad, Brigitha Vlaicu and Vlad-Laurentiu David
Children 2026, 13(4), 447; https://doi.org/10.3390/children13040447 - 25 Mar 2026
Viewed by 330
Abstract
Background: Preoperative differentiation between uncomplicated and complicated paediatric appendicitis remains challenging. This study aimed to evaluate the diagnostic performance of routine admission biomarkers and blood cell count-derived inflammatory indices for severity stratification and to determine whether fibrinogen provides additional predictive value beyond commonly [...] Read more.
Background: Preoperative differentiation between uncomplicated and complicated paediatric appendicitis remains challenging. This study aimed to evaluate the diagnostic performance of routine admission biomarkers and blood cell count-derived inflammatory indices for severity stratification and to determine whether fibrinogen provides additional predictive value beyond commonly used markers. Methods: We conducted a retrospective single-centre study (2018–2025) using electronically recorded clinical data. Patients with suspected appendicitis were identified through appendicitis-related ICD-10 codes and diagnostically validated. The final analytical cohort required complete admission laboratory data, including C-reactive protein (CRP), fibrinogen, and complete blood count parameters. Derived inflammatory indices included the neutrophil-to-lymphocyte ratio (NLR) and the systemic immune-inflammation index (SII). Diagnostic discrimination and multivariable prediction models were evaluated to assess the ability of these markers to distinguish complicated from uncomplicated appendicitis. Results: Of 1518 screened records, 1132 patients met inclusion criteria (620 complicated; 512 uncomplicated). Complicated appendicitis was associated with higher inflammatory markers and longer hospital stay (all p < 0.001). CRP demonstrated the strongest univariable discrimination (area under the curve [AUC] 0.785), while fibrinogen showed lower performance (AUC 0.744). A combined model including CRP, NLR, and SII achieved good discrimination (AUC 0.812), with minimal improvement after adding fibrinogen (AUC 0.813). In multivariable analysis, log-transformed CRP and SII remained independently associated with complicated appendicitis (both p < 0.001). A rule-out probability threshold of 0.303 achieved 90% sensitivity (negative predictive value 0.803), whereas a CRP cut-off ≥92.24 mg/L showed high specificity (0.943) and positive predictive value (0.900). Conclusions: Routine admission biomarkers and inflammatory indices derived from complete blood counts can support severity stratification in paediatric appendicitis. CRP and SII provide meaningful predictive information, whereas fibrinogen contributes little additional discriminatory value beyond CRP-based models. These findings suggest that a small set of routinely available laboratory markers may assist early risk stratification, although external validation is required before clinical implementation. Full article
(This article belongs to the Section Pediatric Surgery)
Show Figures

Figure 1

16 pages, 1585 KB  
Article
Association of Sex, Age, and Inflammatory Cell Counts with Complicated Acute Appendicitis
by Said José Serrano Guzmán, Carlos Leyber Vargas Juárez, Marcos Hernández Gómez, José Roberto Luis Vásquez, Sergio Roberto Aguilar Ruiz, Juan Carlos Ramos Martínez, Joscelin Amaranta Macías Ríos, Edgar Gustavo Ramos Martínez, José Luis Cano Pérez, Jesús David Guzmán Ortiz, Martha Silvia Martínez Luna and Leticia Lorena Hernández González
Pathophysiology 2026, 33(1), 22; https://doi.org/10.3390/pathophysiology33010022 - 14 Mar 2026
Viewed by 504
Abstract
Background/Objectives: Sex and age influence inflammatory responses, but researchers have not fully characterized their combined association with complicated acute appendicitis (CAA). This study assessed the independent and interactive associations of sex, age, and inflammatory cell counts with CAA. Methods: We conducted a retrospective [...] Read more.
Background/Objectives: Sex and age influence inflammatory responses, but researchers have not fully characterized their combined association with complicated acute appendicitis (CAA). This study assessed the independent and interactive associations of sex, age, and inflammatory cell counts with CAA. Methods: We conducted a retrospective observational study of 708 patients with histopathologically confirmed uncomplicated appendicitis (UAA) or CAA. We analyzed demographic and clinical data, including preoperative complete blood counts, stratified by sex. We used multivariable logistic regression models with interaction terms to evaluate associations and possible effect modification by sex and age. We explored the direction and magnitude of these interactions by estimating marginal predicted probabilities. Results: The incidence of CAA was significantly higher in men than in women. In men with CAA, complete blood count analysis showed elevated neutrophil and monocyte counts and reduced lymphocyte counts. Male sex (odds ratio (OR) 2.197, 95% confidence interval (CI) 1.610–2.999), continuous age (1.017, 1.002–1.033), lymphocyte count (0.656, 0.526–0.820), monocyte count (1.551, 1.036–2.321), and platelet count (1.004, 1.001–1.006) were independently associated with CAA. Interaction analysis revealed significant interactions between neutrophils and both sex and age (p < 0.05), while lymphocyte counts showed significant interaction with age but not with sex. Conclusions: This study provides new insight into complex sex- and age-related immune cell patterns in CAA and may inform future diagnostic and management strategies by highlighting immune profile variability. Full article
(This article belongs to the Collection Feature Papers in Pathophysiology)
Show Figures

Graphical abstract

20 pages, 630 KB  
Systematic Review
Nutritional Status as a Risk Factor for Appendiceal Perforation in Pediatric Acute Appendicitis: Systematic Review
by Ciprian-Ioan Borca, Cristiana-Smaranda Ivan, Corneluta Fira-Mladinescu, Roxana Margan, Madalin-Marius Margan, Alexandru Cristian Cindrea, Claudia-Raluca Balasa-Virzob, Brigitha Vlaicu and Vlad-Laurentiu David
Children 2026, 13(3), 326; https://doi.org/10.3390/children13030326 - 26 Feb 2026
Cited by 1 | Viewed by 615
Abstract
Background: The association between nutritional status and perforation or complicated appendicitis in children remains uncertain. Objective: To review evidence on anthropometric and biochemical nutritional indicators in relation to perforation and complicated appendicitis in pediatric acute appendicitis. Methods: PubMed, Scopus, and Web of Science [...] Read more.
Background: The association between nutritional status and perforation or complicated appendicitis in children remains uncertain. Objective: To review evidence on anthropometric and biochemical nutritional indicators in relation to perforation and complicated appendicitis in pediatric acute appendicitis. Methods: PubMed, Scopus, and Web of Science were searched for peer-reviewed English-language studies published from 1 January 2010 to 1 January 2026, with supplementary citation searching and Google Scholar screening. Eligible studies included participants aged 0–18 years and reported BMI-based measures and/or biochemical nutritional markers (e.g., albumin, prealbumin, or derived inflammation–nutrition indices) stratified by perforation or complicated appendicitis. Risk of bias was assessed using ROBINS-E. Results: Fourteen observational studies were included. Associations between obesity and perforation or complicated appendicitis were inconsistent, and large registry-based analyses did not identify obesity as an independent predictor after adjustment. Underweight status was more consistently associated with complicated disease and adverse clinical course. Biochemical markers and inflammation–nutrition indices showed more consistent associations with perforated or complicated appendicitis than BMI categories, with several studies reporting moderate-to-high discrimination for severe disease. Conclusions: BMI-based classifications alone did not reliably predict perforation or complicated appendicitis. Albumin- and prealbumin-based indices were more consistently associated with disease severity, but the observational evidence does not establish causality and may reflect inflammatory severity at presentation. Prospective studies with standardized definitions and marker assessment are needed to evaluate incremental prognostic value beyond symptom duration and clinical severity scores. Full article
(This article belongs to the Section Pediatric Surgery)
Show Figures

Figure 1

8 pages, 950 KB  
Case Report
Severe Abdominal Pain Mimicking Appendicitis Caused by Imperforate Hymen: Case Report and Narrative Review
by Julia Kleina, Marcin Wieczorek, Karolina Markowska, Katarzyna Nierzwicka, Julia Leszkowicz and Agnieszka Szlagatys-Sidorkiewicz
Pediatr. Rep. 2026, 18(1), 10; https://doi.org/10.3390/pediatric18010010 - 13 Jan 2026
Viewed by 683
Abstract
An imperforate hymen is a rare congenital genital anomaly causing menstrual blood retention during puberty. Treatment consists of a simple surgical incision of the hymenal membrane. We present a case of a 14-year-old girl who was admitted to the Emergency Department with severe [...] Read more.
An imperforate hymen is a rare congenital genital anomaly causing menstrual blood retention during puberty. Treatment consists of a simple surgical incision of the hymenal membrane. We present a case of a 14-year-old girl who was admitted to the Emergency Department with severe lower abdominal pain mimicking appendicitis. Medical history revealed a lack of menses and several months of cyclic abdominal pain. Imaging diagnostics confirmed an imperforate hymen with hematometrocolpos. Hymenotomy was performed with full recovery without complications. An imperforate hymen should be considered in the differential diagnosis of abdominal pain in adolescent girls, especially without expected menstruation. Early recognition allows for prompt treatment and prevents complications. Full article
Show Figures

Figure 1

12 pages, 632 KB  
Article
CLR (CRP to Lymphocytes) Score for Differentiating Simple and Complicated Appendicitis in Pediatric Patients
by Adir Alper, Ariel Galor, Mathias Lerner, Omer Levy and Osnat Zmora
J. Clin. Med. 2026, 15(1), 393; https://doi.org/10.3390/jcm15010393 - 5 Jan 2026
Cited by 2 | Viewed by 1001
Abstract
Background: Acute appendicitis, a frequent pediatric surgical emergency, requires distinguishing simple from complicated cases for treatment decisions. Current tools, such as clinical scores and ultrasound, are sometimes ineffective. This study evaluates the biomarkers: neutrophils to lymphocytes ratio (NLR), monocytes to lymphocytes ratio [...] Read more.
Background: Acute appendicitis, a frequent pediatric surgical emergency, requires distinguishing simple from complicated cases for treatment decisions. Current tools, such as clinical scores and ultrasound, are sometimes ineffective. This study evaluates the biomarkers: neutrophils to lymphocytes ratio (NLR), monocytes to lymphocytes ratio (MLR), platelet-to-lymphocyte ratio (PLR), neutrophils to monocytes ratio (NMR), neutrophils to platelet ratio (NPR), pan-immune-inflammation value (PIV) ratio, and C-Reactive Protein (CRP) to lymphocytes ratio (CLR) for differentiation between simple and complicated appendicitis. Methods: A retrospective study of 878 pediatric patients (<18 years) who underwent appendectomy (2018–2024) at a tertiary medical center, with appendicitis classified as simple (SA, n = 696) or complicated (CA, n = 182) using intraoperative findings. Biomarkers were calculated from preoperative blood counts and CRP. Diagnostic accuracy was assessed using Mann–Whitney U tests, ROC curves, and logarithmic regression. Results: Patients with CA had higher neutrophils counts (13.61 ± 4.92 vs. 11.39 ± 4.29 K/μL), monocytes counts (1.23 ± 1.41 vs. 0.95 ± 0.48 K/μL), platelet counts (294.31 ± 72.73 vs. 270.15 ± 72.08 K/μL), CRP levels (88.55 ± 97.75 vs. 27.15 ± 44.74 mg/L), and elevated biomarker ratios as compared to those with SA: NLR (≥10.15, OR = 2.45), MLR (≥0.645, OR = 2.78), PLR (≥224.38, OR = 2.502), NMR (≥6.38, OR = 2.34), NPR (≥0.0405, OR = 1.876), PIV (≥2433.85, OR = 3.348), and CLR (≥11.77, OR = 5.935), all at p < 0.01. CLR demonstrated the highest accuracy (AUC = 0.772, sensitivity 78%, specificity 62.6%), outperforming established biomarkers, followed by PIV (AUC = 0.679). NPR was the least effective marker (AUC = 0.569). Conclusions: CLR, a promising biomarker, can aid in distinguishing complicated from simple appendicitis in children, and may offer accessible tools for resource-limited settings. Full article
(This article belongs to the Section Clinical Laboratory Medicine)
Show Figures

Figure 1

15 pages, 792 KB  
Article
The Role of Emerging Immune-Inflammatory Indexes in the Preoperative Differentiation of Complicated and Uncomplicated Acute Appendicitis: A Single-Center Retrospective Analysis
by Botond-István Kiss, Daniela-Tatiana Sala, Renáta Moriczi, Szabolcs-Attila Gábor, Árpád Török, Tivadar Bara, Mircea-Gabriel Mureșan, Valentin Daniealopol, Szilárd-Leó Kiss and Radu-Mircea Neagoe
Diagnostics 2026, 16(1), 21; https://doi.org/10.3390/diagnostics16010021 - 20 Dec 2025
Viewed by 829
Abstract
Background/Objectives: Acute appendicitis (AA) is among the most common surgical emergencies. Differentiating between complicated (CAA) and uncomplicated (UAA) forms is essential for selecting the appropriate management—operative or non-operative—and for optimizing patient prioritization and outcomes. This study aimed to evaluate the diagnostic performance [...] Read more.
Background/Objectives: Acute appendicitis (AA) is among the most common surgical emergencies. Differentiating between complicated (CAA) and uncomplicated (UAA) forms is essential for selecting the appropriate management—operative or non-operative—and for optimizing patient prioritization and outcomes. This study aimed to evaluate the diagnostic performance of emerging inflammatory indices in distinguishing these forms of AA. Methods: A total of 514 adult patients with surgically confirmed AA were retrospectively analyzed. Six immune-inflammatory indices—neutrophil-to-lymphocyte ratio (NLR), platelet-to-lymphocyte ratio (PLR), monocyte-to-lymphocyte ratio (MLR), systemic immune-inflammation index (SII), systemic inflammation response index (SIRI), and pan-immune-inflammation value (PIV)—were calculated and compared with intraoperative and histopathological findings. Postoperative outcomes, including length of hospital stay (LOS) and hospitalization costs, were also evaluated. Results: All six indices were significantly higher in intraoperatively identified complicated cases (p < 0.0001). In histopathological analysis, five indices (NLR, MLR, SII, SIRI, and PIV) remained significantly elevated in patients with wall necrosis or perforation (p = 0.000–0.019), while PLR did not reach statistical significance. The indices showed fair diagnostic accuracy (AUC = 0.664–0.719, p < 0.0001). NLR and MLR were independent risk factors for CAA (p = 0.006 and p = 0.016), and MLR was also independently associated with complicated histopathological findings (p = 0.036). PIV independently predicted both increased LOS and higher hospitalization costs (p = 0.001 for each). Conclusions: These easily calculable inflammatory markers can serve as useful adjuncts for preoperative stratification of AA, supporting timely decision-making and contributing to more cost-effective emergency surgical care. Full article
(This article belongs to the Special Issue New Insights into Emergency Medicine)
Show Figures

Figure 1

12 pages, 1374 KB  
Article
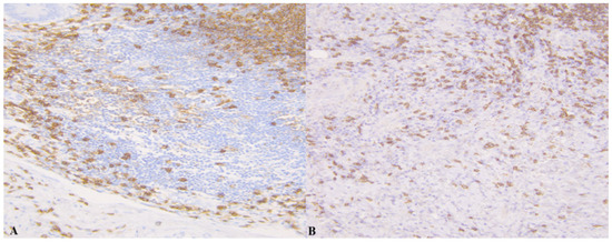
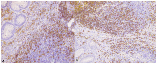
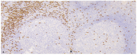
Lymphocyte Subtypes in Local Inflammatory Response: A Comparative Analysis of Simple and Complicated Appendicitis
by Maja Zecevic, Dragoljub Zivanovic, Nikola Zivkovic, Aleksandra Velickov, Vesna Marjanovic, Zoran Marjanovic, Sanja Milenkovic and Aleksandar Sretenovic
Medicina 2025, 61(12), 2161; https://doi.org/10.3390/medicina61122161 - 4 Dec 2025
Viewed by 581
Abstract
Background and Objectives: The immunological function of the appendix, as part of the gut-associated lymphoid tissue, and its immunological importance in developing and maintaining the intestinal immune system are not yet clearly understood. Therefore, we sought some answers by analyzing the lymphocyte population [...] Read more.
Background and Objectives: The immunological function of the appendix, as part of the gut-associated lymphoid tissue, and its immunological importance in developing and maintaining the intestinal immune system are not yet clearly understood. Therefore, we sought some answers by analyzing the lymphocyte population in appendiceal specimens and inflammatory markers from peripheral blood. Materials and Methods: After histopathological examination of appendiceal specimens, immunohistochemical analysis of lymphocyte subtypes CD8, CD19, and CD20 in appendiceal specimens was performed, and a panel of commercially available mouse monoclonal antibodies was used to detect immunopositivity. hematological and biochemical parameters were analyzed from peripheral blood samples, and results were correlated with immunohistochemical findings. Results: The study included 100 patients: n = 20 in the control group, where the appendix was removed during some other abdominal surgical procedure, n = 35 patients with simple appendicitis in Group A, and n = 45 with complicated appendicitis in Group B. There were 65.0% male patients, and the mean age at surgery was 10.8 ± 4.0 years. CD19 B-lymphocytes were significantly more present in the appendiceal specimens of patients with complicated appendicitis (p = 0.014 and p = 0.007), and CD8 T-lymphocytes in patients with simple appendicitis (p < 0.001). Also, there were significantly fewer CD8 T-lymphocytes in patients with complications (p = 0.024). Conclusions: The number of CD8 T-lymphocytes is increased in simple appendicitis and is considerably lower in patients who develop postoperative complications. CD19 lymphocytes were more present in complicated appendicitis. Full article
(This article belongs to the Section Surgery)
Show Figures

Figure 1

17 pages, 311 KB  
Review
Antibiotics for Intra-Abdominal Infections: When, Which, How and How Long?
by Massimo Sartelli, Miriam Palmieri and Francesco M. Labricciosa
Antibiotics 2025, 14(11), 1127; https://doi.org/10.3390/antibiotics14111127 - 7 Nov 2025
Cited by 2 | Viewed by 5758
Abstract
Intra-abdominal infections (IAIs) remain among the most challenging problems in surgical clinical practice. They range from uncomplicated appendicitis to life-threatening peritonitis, demanding rapid diagnosis, timely source control, and appropriate antibiotic therapy. Antibiotics are crucial to manage patients with complicated IAIs. Antibiotics should always [...] Read more.
Intra-abdominal infections (IAIs) remain among the most challenging problems in surgical clinical practice. They range from uncomplicated appendicitis to life-threatening peritonitis, demanding rapid diagnosis, timely source control, and appropriate antibiotic therapy. Antibiotics are crucial to manage patients with complicated IAIs. Antibiotics should always be prescribed appropriately, ensuring the correct spectrum, timing, duration, and dosage. Appropriate prescribing within hospitals enhances treatment success and patient safety, while also reducing the risk of opportunistic infections such as Clostridioides difficile and lowering the likelihood of selecting resistant pathogens. Over recent decades, antimicrobial resistance has escalated into a worldwide public health threat. The rapid rise in multidrug-resistant organisms, especially Gram-negative bacteria, has created a pressing global concern. The objective of this narrative review is to describe (a) when antibiotics should be used in patients with IAIs; (b) which antibiotics should be selected in patients with IAIs; (c) how they should be managed in patients with IAIs; and (d) how long they should be administered in patients with IAIs. Full article
16 pages, 15554 KB  
Article
Selective Appendectomy in Patients Undergoing Minimally Invasive Surgery for Endometriosis: A Retrospective Cohort Study
by Camran Nezhat, Zahra Najmi, Maryam Mirzaie, Quincy Harding, Zoë Pennington, Nikki Amirlatifi, Rana Khaloghli, Dahnia Zarroug and Eric R. Sokol
J. Clin. Med. 2025, 14(20), 7277; https://doi.org/10.3390/jcm14207277 - 15 Oct 2025
Cited by 1 | Viewed by 1557
Abstract
Background/Objectives: Endometriosis is a chronic inflammatory systemic disease that commonly affects bowel structures, including the appendix, where it may mimic or coexist with chronic appendicitis. Visual inspection alone often fails to detect appendiceal involvement, leading to underdiagnosis and suboptimal management. This study investigates [...] Read more.
Background/Objectives: Endometriosis is a chronic inflammatory systemic disease that commonly affects bowel structures, including the appendix, where it may mimic or coexist with chronic appendicitis. Visual inspection alone often fails to detect appendiceal involvement, leading to underdiagnosis and suboptimal management. This study investigates the prevalence and histopathologic spectrum of appendiceal abnormalities in patients undergoing minimally invasive laparoscopic surgery for endometriosis and evaluates the safety and postoperative outcomes of selective appendectomy. Methods: We conducted a retrospective cohort study of 236 patients who underwent a selective appendectomy concurrent with laparoscopic surgery for endometriosis with and without robotic assistance from January 2024 to April 2025. Preoperative evaluation included clinical assessment, imaging, and risk stratification using the Nezhat Endometriosis Risk Advisor tool, with some patients referred after positive ReceptivaDx testing. Intraoperatively, the appendix was examined for endometriosis, adhesions, or obliteration, and abnormal findings warranted removal using a vascular stapler. Postoperative outcomes and histopathologic results were assessed over six months, with appendiceal involvement analyzed in relation to endometriosis stage. Results: Of 236 patients who underwent selective laparoscopic appendectomy during surgical treatment for endometriosis, abnormal appendiceal pathology was identified in 216 (91.53%) patients. Histopathology revealed appendiceal endometriosis in 34 patients (14.41%), adhesions in 140 (59.32%), fibrous obliteration in 82 (34.75%), inflammation in 20 (8.47%), and neuroendocrine tumors in 3 (1.27%), one of which was malignant. Endometriotic lesions of the appendix showed a significant association with advanced-stage (III–IV) disease (p = 0.05), while other pathologies were not stage-dependent. No intraoperative complications occurred, and postoperative outcomes were favorable, with only one readmission unrelated to the appendectomy. Conclusions: Selective appendectomy during laparoscopic surgery for endometriosis revealed a high prevalence (91.5%) of appendiceal pathology. Even without visible implants, the appendix may contribute to symptoms, underscoring the importance of thorough intraoperative evaluation. Selective appendectomy based on surgical findings may aid symptom relief, prevent missed diagnoses, and enhance comprehensive management of endometriosis, but these potential benefits must be weighed against the small risks of concurrent appendectomy. Full article
(This article belongs to the Special Issue Endometriosis: Diagnosis and Treatment)
Show Figures

Figure 1

11 pages, 2048 KB  
Case Report
Delayed Diagnosis of Acute Appendicitis in the Third Trimester of Pregnancy: Diagnostic Pitfalls, Multisurgical Management, and a Prolonged Postoperative Course—A Multidisciplinary Case Report
by Gabija Didžiokaitė, Aida Kuznecovaitė, Audrius Šileikis and Virginija Paliulytė
Diagnostics 2025, 15(20), 2593; https://doi.org/10.3390/diagnostics15202593 - 14 Oct 2025
Viewed by 2915
Abstract
Background/Objectives: Acute appendicitis is the most common non-obstetric surgical emergency during pregnancy. Diagnosing appendicitis in the third trimester remains especially challenging due to physiological changes that obscure clinical presentation and limit the utility of imaging modalities. These challenges can lead to diagnostic delays, [...] Read more.
Background/Objectives: Acute appendicitis is the most common non-obstetric surgical emergency during pregnancy. Diagnosing appendicitis in the third trimester remains especially challenging due to physiological changes that obscure clinical presentation and limit the utility of imaging modalities. These challenges can lead to diagnostic delays, increasing the risk of severe complications for both mother and fetus. Case presentation: We present a complex case of a 36-year-old pregnant woman at 29 + 4 weeks of gestation who developed acute appendicitis with an atypical clinical course. Her initial symptoms were nonspecific and misattributed to gastrointestinal discomfort related to pregnancy. Her condition progressively worsened, leading to an emergency laparoscopic appendectomy. Intraoperative findings confirmed a perforated, necrotic appendix. Postoperatively, she experienced multiple complications, including ileus, wound dehiscence, and complete eventration of the abdominal wall. These required two additional laparotomies and the application of vacuum-assisted closure (VAC) therapy for effective wound management. Despite the severity of maternal complications and the risk of preterm delivery, a multidisciplinary team provided coordinated care. The patient was delivered vaginally at 34 + 4 weeks using vacuum assistance. The neonate, who developed sepsis, was treated in the neonatal intensive care unit and discharged after 24 days. Both mother and child ultimately recovered. Conclusions: This case highlights the diagnostic complexity of appendicitis in late pregnancy and the potential for severe postoperative complications. Prompt surgical intervention, high clinical suspicion, and a multidisciplinary approach are crucial. Moreover, this report adds to the limited literature on the use of VAC therapy for abdominal eventration in pregnancy, demonstrating its feasibility and safety in selected cases. Full article
Show Figures

Figure 1

20 pages, 1217 KB  
Article
Pylephlebitis: A Rare but Redoubtable Complication of Intra-Abdominal Infections—A Series of 15 Cases
by Serban Nicolae Benea, Teodora Deaconu, Dragos Florea, Ruxandra Moroti, Gabriela Oprica, Alina Nae, Raluca Elena Patrascu, Eliza Militaru, Habip Gedik and Ilinca Savulescu-Fiedler
Life 2025, 15(10), 1525; https://doi.org/10.3390/life15101525 - 26 Sep 2025
Viewed by 1394
Abstract
Pylephlebitis is the suppurative thrombosis of the portal vein system. Mainly reported as a severe complication of diverticulitis or appendicitis, it is an uncommon intra-abdominal infection: approximately 200 cases have been reported in the English literature, mostly from surgical wards. Our study aims [...] Read more.
Pylephlebitis is the suppurative thrombosis of the portal vein system. Mainly reported as a severe complication of diverticulitis or appendicitis, it is an uncommon intra-abdominal infection: approximately 200 cases have been reported in the English literature, mostly from surgical wards. Our study aims to assess the role of an infectious disease setting in managing pylephlebitis. We reviewed medical records from 2001 to 2024 at a tertiary infectious diseases hospital and identified 15 cases. The median age was 58 years [IQR = 28], with a male-to-female ratio of 4:1. Along with portal vein thrombosis (PVT), liver abscess(es) was/were the main radiological finding (n = 12), representing 80% of cases. The liver abscesses appear as secondary events in the case of pylephlebitis. In seven of 15 cases, we found the primary event associated with pylephlebitis. Blood cultures were positive in eight cases, with Gram-negative aerobic bacteria being commonly isolated (n = 5), followed by anaerobes (n = 3); in half of the cases, more than one pathogen was involved. All patients received broad-spectrum antibiotics containing beta-lactams, including eight who received carbapenems. Anticoagulation therapy was used in 14 cases. Two deaths were recorded, and four patients required surgical intervention, highlighting the importance of prompt diagnosis and swift antibiotic and anticoagulant treatment. Full article
(This article belongs to the Special Issue Diagnosis and Management of Microbial Infections)
Show Figures

Figure 1

Back to TopTop