Pylephlebitis: A Rare but Redoubtable Complication of Intra-Abdominal Infections—A Series of 15 Cases
Abstract
1. Introduction
1.1. Definition
1.2. Pathophysiology
1.2.1. PVT
- The hypercoagulable status is the primary determinant of PVT in patients with inherited or acquired thrombophilia. An example of acquired thrombophilia is primary myeloproliferative disorders. Another group of conditions associated with hypercoagulable status includes neoplastic diseases. In some cases, direct invasion of the portal vein (such as in hepatocellular carcinoma and cholangiocarcinoma), or tumour or lymph node compression, may favour PVT [8].
- Slowed portal blood flow. Reduced portal venous flow is a key contributor to portal vein thrombosis (PVT) in patients with liver cirrhosis, primarily due to structural distortion of the hepatic architecture. Moreover, cirrhotic patients exhibit a distinct haemostatic profile known as rebalanced haemostasis, which renders them susceptible to both bleeding and thrombotic complications [8,9]. Additionally, endotoxemia—frequently observed in cirrhosis—is associated with an increased risk of thrombotic events [8].
- Endothelial (vascular) injury. Intra-abdominal inflammatory or infectious diseases, as well as local injuries related to surgical procedures, can damage the vascular endothelium [10,11,12]. Activated neutrophils in inflamed areas promote thrombin generation and thrombi formation, a phenomenon observed regardless the cirrhotic or non-cirrhotic status [13,14,15].
1.2.2. Pylephlebitis
1.3. Aetiology and Diagnosis
1.4. Evolution and Prognosis
1.5. The Aim of Our Study
2. Materials and Methods
3. Results
3.1. Demographics and Risk Factors
- Out of 15 patients, 12 were men, with a male-to-female ratio of 4:1. The age at diagnosis had a median of 58 years [IQR: 28].
- The comorbidities of each patient were listed in Table 1. As PVT known risk factors, five patients reported alcohol abuse, one had thrombophilia (without being on anticoagulation treatment), one had an antiphospholipid syndrome, and one was diagnosed during admission with a pancreatic head tumour. The team carefully reviewed this case. It was finally included in the study as it was a small mass, localised in the pancreatic head, without local involvement of the lymph nodes, or criteria for local invasion (particularly in the local veins), and it was associated with a liver abscess.
3.2. Diagnosis
3.2.1. Clinical Features
3.2.2. Laboratory Nonspecific Tests
3.2.3. Microbiology
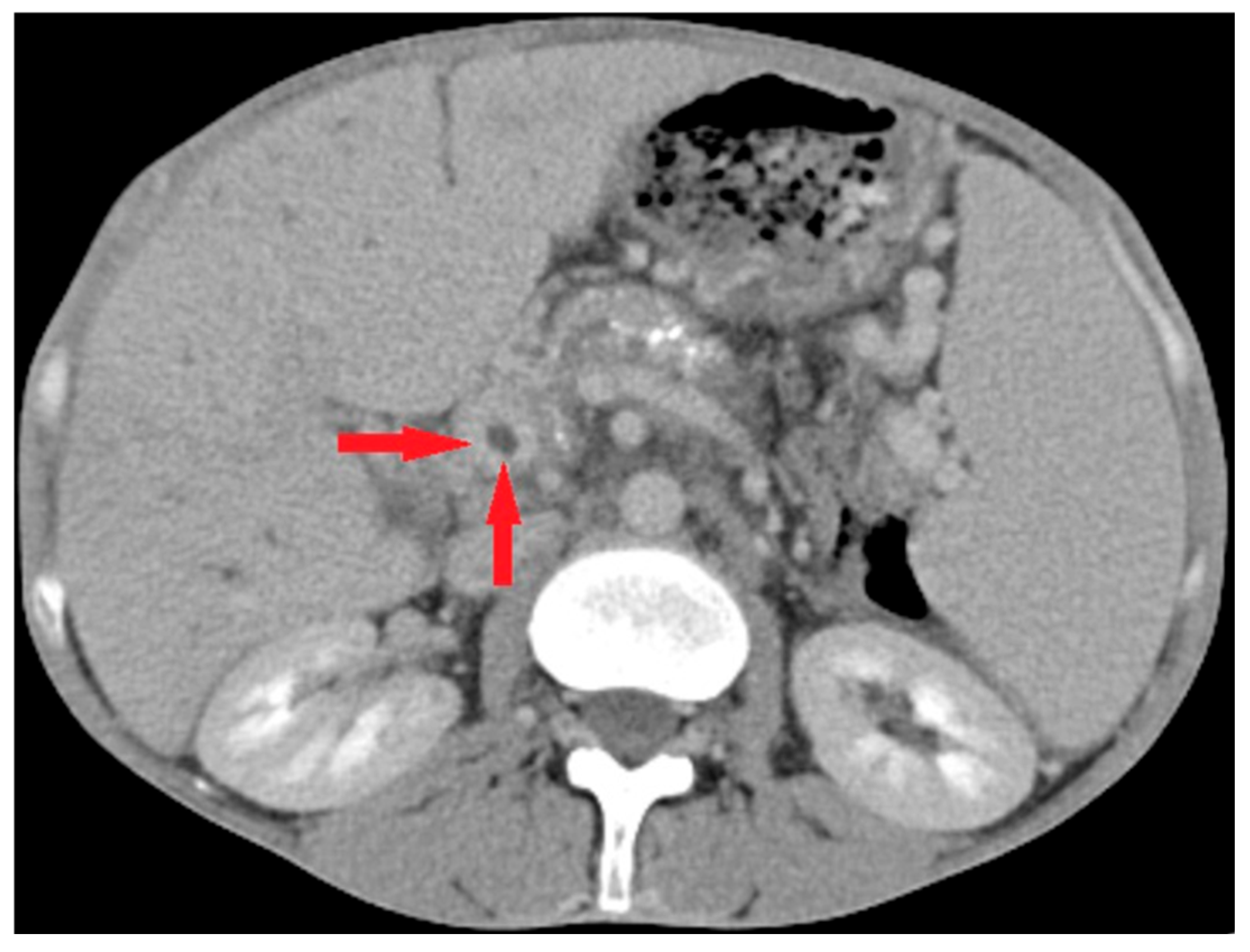
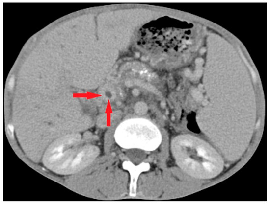
3.2.4. Imaging
3.3. Treatment
3.3.1. Antibiotic Therapy
3.3.2. Anticoagulant Therapy
3.3.3. Surgery
3.4. Outcome
4. Discussion
4.1. Infectious Source of Pylephlebitis
4.2. Clinical Presentation in Pylephlebitis
4.3. Paraclinical Findings in Pylephlebitis
4.3.1. Routine Laboratory Tests
4.3.2. Etiological Agent(s)
4.3.3. Imaging in Pylephlebitis
4.4. Treatment of Pylephlebitis
4.4.1. Antibiotics
4.4.2. Anticoagulant and Recanalization (Thrombolytic) Treatment
4.4.3. Surgery in Pylephlebitis
4.5. Evolution, Complications, and Prognosis
4.6. The Study Limitations
5. Conclusions
Author Contributions
Funding
Institutional Review Board Statement
Informed Consent Statement
Data Availability Statement
Acknowledgments
Conflicts of Interest
References
- Bayraktar, Y.; Harmanci, O. Etiology and consequences of thrombosis in abdominal vessels. World J. Gastroenterol. 2006, 12, 1165–1174. [Google Scholar] [CrossRef]
- Ponziani, F.R.; Zocco, M.A.; Campanale, C.; Rinninella, E.; Tortora, A.; Di Maurizio, L.; Bombardieri, G.; De Cristofaro, R.; De Gaetano, A.M.; Landolfi, R.; et al. Portal vein thrombosis: Insight into physiopathology, diagnosis, and treatment. World J. Gastroenterol. 2010, 16, 143–155. [Google Scholar] [CrossRef]
- Hartpence, J.; Woolf, A. Pylephlebitis. [Updated 2023 Aug 13]. In: StatPearls [Internet]. Treasure Island (FL): StatPearls Publishing. Available online: https://www.ncbi.nlm.nih.gov/books/NBK563246/ (accessed on 31 January 2025).
- Fusaro, L.; Di Bella, S.; Martingano, P.; Saveria Crocè, L.S.; Giuffrè, M. Pylephlebitis: A systematic review. Diagnostics 2023, 13, 429. [Google Scholar] [CrossRef]
- Choudhry, A.J.; Baghdadi, Y.M.; Amr, M.A.; Alzghari, M.J.; Jenkins, D.H.; Zielinski, M.D. Pylephlebitis: A review of 95 cases. J. Gastrointest. Surg. 2016, 20, 656–661. [Google Scholar] [CrossRef] [PubMed]
- Belhassen-García, M.; Gomez-Munuera, M.; Pardo-Lledias, J.; Velasco-Tirado, V.; Perez-Persona, E.; Galindo-Perez, I.; Alvela-Suárez, L.; Romero-Alegría, Á.; Muñoz-Bellvis, L.; Cordero-Sánchez, M. Pylephlebitis: Incidence and prognosis in a tertiary hospital. Enferm. Infecc. Microbiol. Clin. 2014, 32, 350–354. [Google Scholar] [CrossRef]
- Jevtic, D.; Gavrancic, T.; Pantic, I.; Nordin, T.; Nordstrom, C.W.; Antic, M.; Pantic, N.; Kaljevic, M.; Joksimovic, B.; Jovanovic, M.; et al. Suppurative Thrombosis of the Portal Vein (Pylephlebitis): A Systematic Review of Literature. J. Clin. Med. 2022, 11, 4992. [Google Scholar] [CrossRef] [PubMed]
- Chawla, Y.K.; Bodh, V. Portal Vein Thrombosis. J. Clin. Exp. Hepatol. 2015, 5, 22–40. [Google Scholar] [CrossRef] [PubMed]
- Intagliata, N.M.; Caldwell, S.H.; Tripodi, A. Diagnosis, development, and treatment of portal vein thrombosis in patients with and without cirrhosis. Gastroenterology 2019, 156, 1582–1599. [Google Scholar] [CrossRef]
- Condat, B.; Valla, D. Nonmalignant portal vein thrombosis in adults. Nat. Clin. Pract. Gastroenterol. Hepatol. 2006, 3, 505–515. [Google Scholar] [CrossRef]
- Poultsides, G.A.; Lewis, W.C.; Feld, R.; Walters, D.L.; Cherry, D.A.; Ruby, S.T. Portal vein thrombosis after laparoscopic colectomy: Thrombolytic therapy via the superior mesenteric vein. Am. Surg. 2005, 71, 856–860. [Google Scholar] [CrossRef]
- Bick, R.L. Coagulation abnormalities in malignancy: A review. Semin. Thromb. Hemost. 1992, 18, 353–372. [Google Scholar] [CrossRef] [PubMed]
- Tripodi, A.; Branchi, A.; Chantarangkul, V.; Clerici, M.; Merati, G.; Artoni, A.; Mannucci, P.M. Hypercoagulability in patients with type 2 diabetes mellitus detected by a thrombin generation assay. J. Thromb. Thrombolysis 2011, 31, 165–172. [Google Scholar] [CrossRef] [PubMed]
- Bucciarelli, P.; Martinelli, I.; Artoni, A.; Passamonti, S.M.; Previtali, E.; Merati, G.; Tripodi, A.; Mannucci, P.M. Circulating microparticles and risk of venous thromboembolism. Thromb. Res. 2012, 129, 591–597. [Google Scholar] [CrossRef]
- Van Montfoort, M.L.; Stephan, F.; Lauw, M.N.; Hutten, B.A.; Van Mierlo, G.J.; Solati, S.; Middeldorp, S.; Meijers, J.C.; Zeerleder, S. Circulating nucleosomes and neutrophil activation as risk factors for deep vein thrombosis. Arterioscler. Thromb. Vasc. Biol. 2013, 33, 147–151. [Google Scholar] [CrossRef]
- Kumar, V.; Abbas, A.K.; Aster, J.C. Robbins and Cotran Pathologic Basis of Disease, 9th ed.; Elsevier Saunders: Philadelphia, PA, USA, 2014; pp. 822–825. [Google Scholar]
- Basit, S.A.; Stone, C.D.; Gish, R.G. Portal Vein Thrombosis. Clin. Liver Dis. 2015, 19, 199–221. [Google Scholar] [CrossRef]
- Chaudhary, H.; Jindal, P.; Pandiarajan, V.; Kumar, J.; Sudhakar, M.; Ezhumalai, G.; Nada, R.; Gupta, K. Portal vein thrombosis, livedo reticularis, polymicrobial sepsis and high antiphospholipid antibody titers in a newborn: A clinicopathological conference of antiphospholipid-associated neonatal syndrome. Lupus 2021, 30, 141–148. [Google Scholar] [CrossRef]
- Baril, N.; Wren, S.; Radin, R.; Ralls, P.; Stain, S. The role of anticoagulation in pylephlebitis. Am. J. Surg. 1996, 172, 449–452. [Google Scholar] [CrossRef]
- Tursi, A. Diverticular disease: A therapeutic overview. World J. Gastrointest. Pharmacol. Ther. 2010, 1, 27. [Google Scholar] [CrossRef]
- Pradka, S.P.; Trankiem, C.T.; Ricotta, J.J. Pylephlebitis and acute mesenteric ischemia in a young man with inherited thrombophilia and suspected foodborne illness. J. Vasc. Surg. 2012, 55, 1769–1772. [Google Scholar] [CrossRef]
- Calomino, N.; Carbone, L.; Kelmendi, E.; Piccioni, S.A.; Poto, G.E.; Bagnacci, G.; Resca, L.; Guarracino, A.; Tripodi, S.; Barbato, B.; et al. Western Experience of Hepatolithiasis: Clinical Insights from a Case Series in a Tertiary Center. Medicina 2025, 61, 860. [Google Scholar] [CrossRef] [PubMed]
- Chau, N.; Bhatia, S.; Raman, M. Pylephlebitis and pyogenic liver abscesses: A complication of hemorrhoidal banding. Can. J. Gastroenterol. Hepatol. 2007, 21, 601–603. [Google Scholar] [CrossRef]
- De Roover, A.; Detry, O.; Coimbra, C.; Hamoir, E.; Honoré, P.; Meurisse, M. Pylephlebitis of the portal vein complicating intragastric migration of an adjustable gastric band. Obes. Surg. 2006, 16, 369–371. [Google Scholar] [CrossRef]
- Tandon, R.; Davidoff, A.; Worthington, M.G.; Ross, J.J. Pylephlebitis after CT-guided percutaneous liver biopsy. Am. J. Roentgenol. 2005, 184 (Suppl. S3), S70–S72. [Google Scholar] [CrossRef]
- James, A.W.; Rabl, C.; Westphalen, A.C.; Fogarty, P.F.; Posselt, A.M.; Campos, G.M. Portomesenteric venous thrombosis after laparoscopic surgery: A systematic literature review. Arch. Surg. 2009, 144, 520–526. [Google Scholar] [CrossRef] [PubMed]
- Kanellopoulou, T.; Alexopoulou, A.; Theodossiades, G.; Koskinas, J.; Archimandritis, A.J. Pylephlebitis: An overview of non-cirrhotic cases and factors related to outcome. Scand. J. Infect. Dis. 2010, 42, 804–811. [Google Scholar] [CrossRef] [PubMed]
- Naymagon, L.; Tremblay, D.; Schiano, T.; Mascarenhas, J. The role of anticoagulation in pylephlebitis: A retrospective examination of characteristics and outcomes. J. Thromb. Thrombolysis 2020, 49, 325–331. [Google Scholar] [CrossRef]
- De Gaetano, A.M.; Lafortune, M.; Patriquin, H.; De Franco, A.; Aubin, B.; Paradis, K. Cavernous transformation of the portal vein: Patterns of intrahepatic and splanchnic collateral circulation detected with Doppler sonography. AJR Am. J. Roentgenol. 1995, 165, 1151–1155. [Google Scholar] [CrossRef] [PubMed]
- Davis, J.P.E.; Lim, J.K.; Francis, F.F.; Ahn, J. AGA Clinical Practice Update on Management of Portal Vein Thrombosis in Patients With Cirrhosis: Expert Review. Gastroenterology 2025, 168, 396–404.e1, ISSN 0016-5085. [Google Scholar] [CrossRef]
- Kocher, G.; Himmelmann, A. Portal vein thrombosis (PVT): A study of 20 non-cirrhotic cases. Swiss Med. Wkly. 2005, 135, 372–376. [Google Scholar] [CrossRef]
- Elkrief, L.; Corcos, O.; Bruno, O.; Larroque, B.; Rautou, P.; Zekrini, K.; Bretagnol, F.; Joly, F.; Francoz, C.; Bondjemah, V.; et al. Type 2 diabetes mellitus as a risk factor for intestinal resection in patients with superior mesenteric vein thrombosis. Liver Int. 2014, 34, 1314–1321. [Google Scholar] [CrossRef]
- Al-Hamid, H.; Manatsathit, W.; Johnson, L.; Barawi, M. Pylephlebitis with pyogenic liver abscesses: A rare complication of pancreatitis. Am. J. Gastroenterol. 2014, 109, 166. [Google Scholar] [CrossRef]
- Wireko, M.; Berry, P.A.; Brennan, J.; Aga, R. Unrecognized pylephlebitis causing life-threatening septic shock: A case report. World J. Gastroenterol. 2005, 11, 614–615. [Google Scholar] [CrossRef]
- Boiko, V.V.; Tishchenko, A.M.; Gusak, I.V.; Maloshtan, A.A.; Skoryi, D.I.; Smachilo, R.M. Surgical treatment of a solitary hepatic abscess. Klin. Kir. 2013, 6, 22–25. [Google Scholar]
- Huang, C.J.; Pitt, H.A.; Lipsett, P.A.; Osterman, F.A., Jr.; Lillemoe, K.D.; Cameron, J.L.; Zuidema, G.D. Pyogenic hepatic abscess. Changing trends over 42 years. Ann. Surg. 1996, 223, 600–609. [Google Scholar] [CrossRef]
- Anand, S.; Umeh, C.A.; Giberson, C.; Wassel, E.; Nguyen, A.; Porter, H.; Choday, P.; Kaur, H.; Kundu, A.; Penaherrera, J. Septic Portal Vein Thrombosis, Clinical Presentation, and Management. Cureus 2021, 13, e19840. [Google Scholar] [CrossRef]
- Rodrigues, C.; Siciliano, R.F.; Zeigler, R.; Strabelli, T.M. Bacteroides fragilis endocarditis: A case report and review of literature. Braz. J. Infect. Dis. 2012, 16, 100–104. [Google Scholar] [CrossRef] [PubMed][Green Version]
- Liappis, A.P.; Roberts, A.D.; Schwartz, A.M.; Simon, G.L. Thrombosis and infection: A case of transient anti-cardiolipin antibody associated with pylephlebitis. Am. J. Med. Sci. 2003, 325, 365–368. [Google Scholar] [CrossRef]
- Abbas, M.T.; Khan, F.Y.; Muhsin, S.A.; Al-Dehwe, B.; Abukamar, M.; Elzouki, A.N. Epidemiology, Clinical Features and Outcome of Liver Abscess: A single Reference Center Experience in Qatar. Oman Med. J. 2014, 29, 260–263. [Google Scholar] [CrossRef]
- Akhondi, H.; Sabih, D.E. Liver Abscess. [Updated 2023 Jul 3]. In: StatPearls [Internet]. Treasure Island (FL): StatPearls Publishing. Available online: https://www.ncbi.nlm.nih.gov/books/NBK538230/ (accessed on 30 January 2025).
- Popescu, G.A.; Tanase, D.; Petrescu, A.M.; Florea, D. Liver abscess associated with severe myopathy caused by Klebsiella pneumoniae serotype K1 in Romania. J. Infect. Dev. Ctries. 2014, 8, 1491–1493. [Google Scholar] [CrossRef] [PubMed][Green Version]
- Angeles-Solano, M.; Tabashsum, Z.; Chen, L.; Rowe, S.E. Klebsiella pneumoniae liver abscesses: Pathogenesis, treatment, and ongoing challenges. Infect. Immun. 2025, 93, e00508-24. [Google Scholar] [CrossRef]
- Kalangi, H.; Yancovitz, S.R.; Camins, B. A unique case of hypervirulent Klebsiella pneumoniae acute cholecystitis complicated by portal vein thrombophlebitis: A case report and literature review. IDCases 2024, 36, e01935. [Google Scholar] [CrossRef] [PubMed]
- Sarin, S.K.; Philips, C.A.; Kamath, P.S.; Choudhury, A.; Maruyama, H.; Nery, F.G.; Valla, D.C. Toward a comprehensive new classification of portal vein thrombosis in patients with cirrhosis. Gastroenterology 2016, 151, 574–577.e3. [Google Scholar] [CrossRef] [PubMed]
- Balthazar, E.J.; Gollapudi, P. Septic Thrombophlebitis of the Mesenteric and Portal Veins: CT Imaging. J. Comput. Assist. Tomogr. 2000, 24, 755–760. [Google Scholar] [CrossRef]
- Webster, G.J.; Burroughs, A.K.; Riordan, S.M. Review article: Portal vein thrombosis—New insights into aetiology and management. Aliment. Pharmacol. Ther. 2005, 21, 1–9. [Google Scholar] [CrossRef]
- Shah, T.U.; Semelka, R.C.; Voultsinos, V.; Elias, J.; Altun, E.; Pamuklar, E.; Firat, Z.; Gerber, D.A.; Fair, J.; Russo, M.W. Accuracy of magnetic resonance imaging for preoperative detection of portal vein thrombosis in liver transplant candidates. Liver Transpl 2006, 12, 1682–1688. [Google Scholar] [CrossRef] [PubMed]
- Sanford Guide to Antimicrobial Therapy 2025 App Version 7.0.9. Available online: https://www.sanfordguide.com/ (accessed on 30 January 2025).
- Nery, F.; Valadares, D.; Morais, S.; Gomes, M.T.; De Gottardi, A. Efficacy and safety of direct-acting oral anticoagulants use in acute portal vein thrombosis unrelated to cirrhosis. Gastroenterol. Res. 2017, 10, 141–143. [Google Scholar] [CrossRef]
- Janczak, D.T.; Mimier, M.K.; McBane, R.D.; Kamath, P.S.; Simmons, B.S.; Bott-Kitslaar, D.M.; Lenz, C.J.; Vargas, E.R.; Hodge, D.O.; Wysokinski, W.E. Rivaroxaban and apixaban for initial treatment of acute venous thromboembolism of atypical location. Mayo Clin. Proc. 2018, 93, 40–47. [Google Scholar] [CrossRef]
- Hale, G.R.; Sakkal, L.A.; Galanis, T. Pylephlebitis treated with apixaban. Hosp. Pract. 2019, 47, 192–195. [Google Scholar] [CrossRef]
- Chang, Y.S.; Min, S.Y.; Joo, S.H.; Lee, S.H. Septic thrombophlebitis of the porto-mesenteric veins as a complication of acute appendicitis. World J. Gastroenterol. 2008, 14, 4580–4582. [Google Scholar] [CrossRef]
- Pérez-Bru, S.; Nofuentes-Riera, C.; García-Marín, A.; Luri-Prieto, P.; Morales-Calderón, M.; García-García, S. Pylephlebitis: A rare but possible complication of intra-abdominal infections. Cirugía Cir. 2015, 83, 501–505. [Google Scholar] [CrossRef]
- Saxena, R.; Adolph, M.; Ziegler, J.R.; Murphy, W.; Rutecki, G.W. Pylephlebitis: A case report and review of outcome in the antibiotic era. Am. J. Gastroenterol. 1996, 91, 1251–1253. [Google Scholar]
- Nigussie, B.; Woredekal, D.; Abaleka, F.I.; Gizaw, M.; Tharu, B. A Sporadic Case of Disseminated Fusobacterium Causing Pylephlebitis and Intracranial and Hepatic Abscesses in a Healthy Young Patient. Cureus 2020, 12, e9229. [Google Scholar] [CrossRef] [PubMed]
- Kumar, S.; Sarr, M.G.; Kamath, P.S. Mesenteric venous thrombosis. N. Engl. J. Med. 2001, 345, 1683–1688. [Google Scholar] [CrossRef] [PubMed]
- Murray, J.L.; Connell, J.L.; Stacy, A.; Turner, K.H.; Whiteley, M. Mechanisms of synergy in polymicrobial infections. J. Microbiol. 2014, 52, 188–199. [Google Scholar] [CrossRef] [PubMed]
- Shah, P.M.; Edwards, B.L.; Dietch, Z.C.; Guidry, C.A.; Davies, S.W.; Hennessy, S.A.; Duane, T.M.; O’Neill, P.J.; Coimbra, R.; Cook, C.H.; et al. Do Polymicrobial Intra-Abdominal Infections Have Worse Outcomes than Monomicrobial Intra-Abdominal Infections? Surg. Infect. 2016, 17, 27. [Google Scholar] [CrossRef]


| No. | Sex Age | Comorbidities | Clinical | Intra- Abdominal Infection | Imagery (US/CT) | Blood Cultures |
|---|---|---|---|---|---|---|
| #1 | M 24 | HIV infection History of tuberculosis | Fever Sepsis Jaundice Profuse sweating Deterioration of general condition Weight loss | Undetermined | (CT): PVT Hepatosplenomegaly Multiple intra-abdominal enlarged lymph nodes | Negative |
| #2 | M 66 | Diabetes Alcohol abuse | Fever and chills Abdominal pain (epigastric) Myalgia and arthralgia Loss of appetite Physical asthenia | Liver abscess (multiple) | (US): Left branch PVT Multiple liver abscesses | Negative |
| #3 | M 44 | Burns of 2/3 degree | Fever | Liver abscess (multiple) | (CT): Multiple liver abscesses | Negative |
| #4 | M 60 | Diabetes | Low-grade fever and chills Diarrhoea Confusion Physical asthenia | Liver abscess (two) | (US): Main PVT (CT): Two liver abscesses Pancreatic head tumour without local invasion | Klebsiella pneumoniae Escherichia coli |
| #5 | M 67 | Cardiac pathology Aortic prosthesis History of Pyocholecystitis and liver abscesses | Fever | Cholecystitis Liver abscess (multiple) | (CT): Right branch PVT Multiple hepatic abscesses Cholecystitis (US): Portal vein gas Multiple hepatic abscesses | Negative |
| #6 | F 58 | Cardiac pathology Diabetes Alcohol abuse | Fever and chills Abdominal pain (intermittent, right hypochondrium) Nausea and vomiting | Liver abscess (not detailed) | (CT): PVT; Suprahepatic vein thrombosis Hepatic abscess | Klebsiella pneumoniae |
| #7 | M 48 | Cardiac pathology COPD Obesity Diverticulosis | Fever Abdominal pain (colicky, diffuse) | Diverticulitis Intraabdominal abscess (not detailed) | (CT): Main PVT Portal vein gas Diverticulitis with secondary abscess | Klebsiella pneumoniae Enterococcus avium |
| #8 | M 75 | Cardiac pathology Ictus Alcohol abuse | Fever | Splenic abscess Liver abscess (multiple) | (CT): Right branch PVT Hepatic and splenic abscesses | Negative |
| #9 | F 64 | Hypertension Diabetes Recent history of Pyocholecystitis | Fever | Cholecystitis Liver abscess (not detailed) | (CT): PVT Hepatosplenomegaly Hepatic abscess Cholecystitis | Negative |
| #10 | M 83 | Dementia Alcohol abuse | Fever and chills Abdominal pain (diffuse) Loss of appetite Loss of consciousness | Splenic abscess Prostatic abscess Liver abscess (multiloculated) | (CT): Left branch PVT Multiloculated hepatic abscess Splenic abscesses Prostatic abscess | Bacteroides fragilis |
| #11 | M 16 | No comorbidities | Fever Abdominal pain Dry cough Loss of appetite Deterioration of general condition | Splenic abscess Liver abscess (multiple) | (CT): PVT Multiple hepatic abscesses Dilatation of intrahepatic bile ducts (US): Multiple hepatic abscesses Multiple splenic abscesses | Bacteroides fragilis Clostridium symbiosum |
| #12 | M 51 | Hypertrophic cardiomyopathy | Fever Nausea Myalgia | Liver abscess (not detailed) | (CT): Main PVT; Suprahepatic vein thrombosis Hepatic abscess | Klebsiella pneumoniae Pseudomonas aeruginosa |
| #13 | M 39 | Alcohol abuse | Fever and chills Nausea Weight loss Abdominal pain (epigastric and right hypochondrium) | Liver abscess (multiple) | (CT): Main PVT; Porto-splenic confluence thrombosis Hepatosplenomegaly Multiple hepatic abscesses | Negative |
| #14 | F 74 | Cardiac pathology Antiphospholipid syndrome Diverticulosis | Fever Abdominal pain (diffuse) Diarrhoea | Liver abscess (not detailed) | (CT): PVT Hepatic abscess | Escherichia coli |
| #15 | M 38 | Thrombophilia HIV newly Dx Obesity | Fever; chills Abdominal pain (epigastric and right hypochondrium) Nausea; vomiting Diarrhoea | Diverticulitis Pancreatitis | (CT): Total PVT; Splenic and Superior Mesenteric veins thrombosis; Right branch PVT Portal cavernoma (left portal branch transformation) Splenic infarction | Bacteroides fragilis |
| No | Sex Age | Antibiotic Therapy | ATB Duration (Days) | Anti Coagulation | Surgery | Outcome |
|---|---|---|---|---|---|---|
| #1 | M, 24 | Meropenem (20 days) | 20 | No | No | Death |
| #2 | M, 66 | Ciprofloxacin (7 days) → Levofloxacin + Ampicillin/Sulbactam (23 days) | 30 | LMWH | No | Favourable |
| #3 | M, 44 | Meropenem + Linezolid + Colistin (23 days) → Meropenem + Linezolid + Fluconazole (14 days) → Linezolid + Tigecycline (1 day) → Tigecycline (24 days) | 62 | LMWH VKA | No | Favourable |
| #4 | M, 60 | Tigecycline + Ceftazidime (25 days) → Tigecycline (10 days) → Moxifloxacin + Ceftazidime (6 days) | 41 | LMWH | No | Death |
| #5 | M, 67 | Piperacillin/Tazobactam + Gentamicin (14 days) → Piperacillin/Tazobactam (37 days) | 51 | VKA (started before diagnosis) | No | Favourable Fibrosis in the affected territory |
| #6 | F, 58 | Ampicillin/Sulbactam (5 days) → Piperacillin/Tazobactam (2 days) → Ertapenem + Teicoplanin (11 days) | 42 | LMWH | Yes (liver abscess drainage) | Unknown |
| #7 | M, 48 | Tigecycline + Meropenem + Linezolid + Colistin (21 days) → Tigecycline + Meropenem + Colistin (21 days) | 18 | LMWH VKA | Yes (drainage of intra-abdominal abscess) | Favourable |
| #8 | M, 75 | Meropenem + Vancomycin (14 days) | 14 | LMWH | No | Favourable |
| #9 | F, 64 | Meropenem + Vancomycin (5 days) → Meropenem (21 days) | 26 | LMWH | Yes (Cholecystectomy) | Favourable |
| #10 | M, 83 | Ertapenem (25 days) → Tigecycline (9 days) → Ceftriaxone + Metronidazole (7 days) → Metronidazole (7 days) | 23 | LMWH | No | Favourable |
| #11 | M, 16 | Ceftriaxone (2 days) → Cefotaxime (6 days) → Ciprofloxacin + Sulfamethoxazole/Trimethoprim (5 days) → Piperacillin/Tazobactam + Metronidazole (25 days) → Piperacillin/Tazobactam (8 days) | 46 | LMWH | No | Favourable Hepatic left lobe atrophy |
| #12 | M, 51 | Cefotaxime + Metronidazole (9 days) → Cefixime + Metronidazole (7 days) → Meropenem (22 days) | 38 | LMWH | No | Favourable |
| #13 | M, 39 | Piperacillin/Tazobactam (29 days) | 29 | LMWH | No | Favourable |
| #14 | F, 74 | Ampicillin/Sulbactam (7 days) → Ampicillin/Sulbactam (4 days) → Ertapenem (1 day) | 12 | VKA | Yes (drainage of hepatic abscess) | Unknown |
| #15 | M, 38 | Piperacillin/Tazobactam (6 days) → Metronidazole (10 days) | 16 | LMWH DOAC | No | Favourable Portal (hepatic hilus) cavernoma |
Disclaimer/Publisher’s Note: The statements, opinions and data contained in all publications are solely those of the individual author(s) and contributor(s) and not of MDPI and/or the editor(s). MDPI and/or the editor(s) disclaim responsibility for any injury to people or property resulting from any ideas, methods, instructions or products referred to in the content. |
© 2025 by the authors. Licensee MDPI, Basel, Switzerland. This article is an open access article distributed under the terms and conditions of the Creative Commons Attribution (CC BY) license (https://creativecommons.org/licenses/by/4.0/).
Share and Cite
Benea, S.N.; Deaconu, T.; Florea, D.; Moroti, R.; Oprica, G.; Nae, A.; Patrascu, R.E.; Militaru, E.; Gedik, H.; Savulescu-Fiedler, I. Pylephlebitis: A Rare but Redoubtable Complication of Intra-Abdominal Infections—A Series of 15 Cases. Life 2025, 15, 1525. https://doi.org/10.3390/life15101525
Benea SN, Deaconu T, Florea D, Moroti R, Oprica G, Nae A, Patrascu RE, Militaru E, Gedik H, Savulescu-Fiedler I. Pylephlebitis: A Rare but Redoubtable Complication of Intra-Abdominal Infections—A Series of 15 Cases. Life. 2025; 15(10):1525. https://doi.org/10.3390/life15101525
Chicago/Turabian StyleBenea, Serban Nicolae, Teodora Deaconu, Dragos Florea, Ruxandra Moroti, Gabriela Oprica, Alina Nae, Raluca Elena Patrascu, Eliza Militaru, Habip Gedik, and Ilinca Savulescu-Fiedler. 2025. "Pylephlebitis: A Rare but Redoubtable Complication of Intra-Abdominal Infections—A Series of 15 Cases" Life 15, no. 10: 1525. https://doi.org/10.3390/life15101525
APA StyleBenea, S. N., Deaconu, T., Florea, D., Moroti, R., Oprica, G., Nae, A., Patrascu, R. E., Militaru, E., Gedik, H., & Savulescu-Fiedler, I. (2025). Pylephlebitis: A Rare but Redoubtable Complication of Intra-Abdominal Infections—A Series of 15 Cases. Life, 15(10), 1525. https://doi.org/10.3390/life15101525

