Sign in to use this feature.

Years

Between: -

Subjects

remove_circle_outline
remove_circle_outline
remove_circle_outline
remove_circle_outline
remove_circle_outline

Journals

Article Types

Countries / Regions

Search Results (56)

Search Parameters:
Keywords = cefoperazone

Order results
Result details
Results per page
Select all
Export citation of selected articles as:
15 pages, 5928 KB  
Case Report
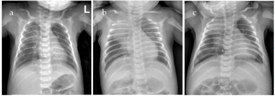
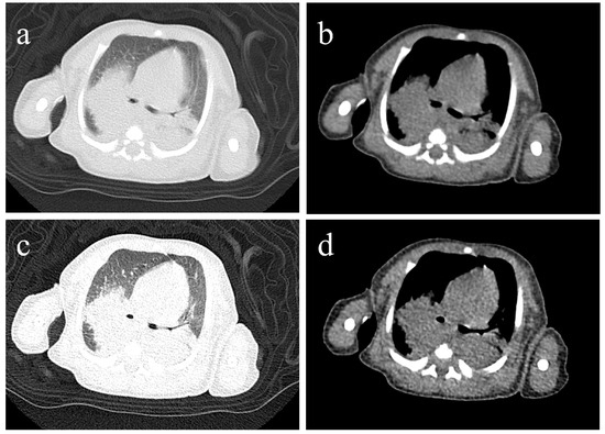
Severe Pertussis During Early Infancy from a High-Altitude Region: Two Clinical Cases and Literature Review
by Hongju Chen, Sezhen Baima, Xiaoming Xu, Tao Wang and Jing Shi
J. Clin. Med. 2026, 15(6), 2211; https://doi.org/10.3390/jcm15062211 - 14 Mar 2026
Viewed by 200
Abstract
Objective: To investigate how the high-altitude environment modifies severe pertussis in young infants and analyze its pathophysiological mechanisms and clinical management implications. Methods: Clinical data of two young infants with severe pertussis residing at 3650 m were retrospectively analyzed, including presentation, [...] Read more.
Objective: To investigate how the high-altitude environment modifies severe pertussis in young infants and analyze its pathophysiological mechanisms and clinical management implications. Methods: Clinical data of two young infants with severe pertussis residing at 3650 m were retrospectively analyzed, including presentation, laboratory findings, pathogen detection, treatment, and outcomes. A literature review explored synergistic interactions between high-altitude factors and pertussis pathophysiology. Results: Case 1 had macrolide-resistant Bordetella pertussis (MRBP, 23S rRNA A2047G) with peak WBC 52.25 × 109/L, and received cefoperazone-sulbactam, piperacillin-tazobactam and azithromycin, and was successfully treated with trimethoprim-sulfamethoxazole combined with exchange transfusion. Case 2 had Bordetella pertussis confirmed by PCR with peak WBC 36.55 × 109/L, receiving cefoperazone-sulbactam and azithromycin, and recovered. Both developed respiratory failure requiring non-invasive ventilation and survived without pulmonary hypertension. High-altitude stressors—hypoxia, enhanced pulmonary vascular reactivity, and hypercoagulability—synergize with pertussis-induced hyperleukocytosis as a “dual hit,” accelerating cardiopulmonary deterioration and elevating thrombotic risks. Conclusions: High altitude is an independent risk modifier in infantile pertussis, demanding heightened vigilance and proactive interventions: early non-invasive ventilation, prophylactic anticoagulation, and timely exchange transfusion before pulmonary hypertension develops. This is the first high-altitude case series that provides essential insights for clinicians in similar environments globally, guiding early recognition and proactive management strategies to improve outcomes in this vulnerable population. Full article
(This article belongs to the Section Clinical Pediatrics)
Show Figures

Figure 1

11 pages, 550 KB  
Article
Evaluating the Risk of Coagulopathy in Cephalosporins with Different Side Chains: A Propensity Score–Weighted Study
by Chien-Hsiang Tai, Fu-Wen Liang and Chen-Hsiang Lee
Medicina 2026, 62(3), 519; https://doi.org/10.3390/medicina62030519 - 11 Mar 2026
Viewed by 187
Abstract
Background and Objectives: Cephalosporins containing N-hydroxyethyltetrazolethiol (HTT) or N-methylthiotetrazole (NMTT) side chains, such as flomoxef and cefoperazone, have been linked to coagulation abnormalities. Cefazolin, which contains an N-methylthiadiazolethiol (MTD) side chain, may also interfere with vitamin K metabolism. However, comparative [...] Read more.
Background and Objectives: Cephalosporins containing N-hydroxyethyltetrazolethiol (HTT) or N-methylthiotetrazole (NMTT) side chains, such as flomoxef and cefoperazone, have been linked to coagulation abnormalities. Cefazolin, which contains an N-methylthiadiazolethiol (MTD) side chain, may also interfere with vitamin K metabolism. However, comparative clinical evidence remains limited. This study evaluated the associations between selected cephalosporins and coagulopathy risk. Materials and Methods: We conducted a retrospective cohort study using a comprehensive clinical database. Patients receiving cefazolin, flomoxef, or cefoperazone–sulbactam were compared with those receiving reference antibiotics. Coagulopathy was defined as either a ≥25% increase in prothrombin time (PT) from baseline or a PT exceeding the upper limit of normal by more than 3 s within three days before or after antibiotic cessation. Inverse probability of treatment weighting based on propensity scores was applied. Weighted logistic regression was used to estimate odds ratios (ORs) and 95% confidence intervals (CIs). Results: After weighting, no significant association with coagulopathy was observed for cefazolin (OR, 1.05; 95% CI, 0.86–1.29), flomoxef (OR, 1.00; 95% CI, 0.77–1.29), or cefoperazone–sulbactam (OR, 0.88; 95% CI, 0.67–1.15). Although international normalized ratio >1.2 was more frequent with cefoperazone–sulbactam, the risk of bleeding events showed a marginal increase compared with the reference group (OR, 1.06; 95% CI, 1.00–1.11). Conclusions: Cefoperazone–sulbactam was associated with more frequent laboratory INR elevation and a borderline increase in bleeding risk. Given the observational design, these findings should be interpreted cautiously, and close clinical monitoring may be considered when prescribing cefoperazone–sulbactam. Full article
(This article belongs to the Section Epidemiology & Public Health)
Show Figures

Figure 1

10 pages, 1503 KB  
Article
Perinatal Antibiotic Timing Impairs Maternal IgG Transfer via FcRn and Shapes the Neonatal Gut Microbiome in Mice
by Yanan Ding, Ali Liu, Bingbing Ma, Huiqun Zhang, Chunmei Zhang, Junmin Li, Jincheng Han and Chuanxin Shi
Microorganisms 2026, 14(2), 276; https://doi.org/10.3390/microorganisms14020276 - 24 Jan 2026
Viewed by 470
Abstract
Perinatal antibiotic exposure poses a significant risk to maternal-offspring immune programming and infant gut microbiota development. This study investigated the time-specific effects of maternal cefoperazone sodium (CPZ) administration on IgG transfer and offspring gut microbiota in a murine model. Pregnant C57BL/6J mice were [...] Read more.
Perinatal antibiotic exposure poses a significant risk to maternal-offspring immune programming and infant gut microbiota development. This study investigated the time-specific effects of maternal cefoperazone sodium (CPZ) administration on IgG transfer and offspring gut microbiota in a murine model. Pregnant C57BL/6J mice were assigned to control (CON), gestational (G-CPZ), lactational (L-CPZ), and combined gestational/lactational (GL-CPZ) treatment groups. Results showed that all CPZ treatments significantly reduced IgG and its subtype levels in maternal serum, colostrum, and offspring serum (p < 0.05). Concurrently, mRNA expression of the neonatal Fc receptor (FcRn), critical for IgG transport, was downregulated in both maternal breast and offspring intestinal tissues (p < 0.05). Furthermore, 16S rRNA sequencing revealed that CPZ exposure altered offspring gut microbiota diversity and composition. Alpha diversity was reduced, particularly in the G-CPZ group, while beta diversity showed significant separation in L-CPZ and GL-CPZ groups (p < 0.05). Taxonomic shifts included decreased Bacteroidetes and Lactobacillus, and in the GL-CPZ group, a marked increase in Firmicutes and potential pathobionts like Enterococcus and Hungatella (p < 0.05). These findings demonstrate that perinatal antibiotic exposure, depending on its timing, impairs maternal-offspring IgG transfer via the FcRn pathway and induces distinct, persistent alterations in the offspring’s gut microbiota, which may have implications for neonatal immunity and long-term health. Full article
(This article belongs to the Section Gut Microbiota)
Show Figures

Figure 1

21 pages, 1183 KB  
Article
Resistance, Ineffectiveness, and Off-Label Use Related to Cephalosporins from the Reserve Group—A Pharmacovigilance Signal Detection Study on EudraVigilance Database
by Anca Maria Arseniu, Bogdan Ioan Vintila, Anca Butuca, Laurentiu Stoicescu, Adina Frum, Adriana Aurelia Chis, Rares Arseniu, Felicia Gabriela Gligor, Steliana Ghibu, Claudiu Morgovan and Carmen Maximiliana Dobrea
Pharmaceuticals 2026, 19(1), 155; https://doi.org/10.3390/ph19010155 - 15 Jan 2026
Viewed by 469
Abstract
Background/Objectives: Antimicrobial resistance (AMR) is considered a major threat by the healthcare community. In this context, the AWaRe (Access, Watch, Reserve) classification of antibiotics is a valuable tool that can assist physicians during the clinical decision process and pharmacists in promoting the [...] Read more.
Background/Objectives: Antimicrobial resistance (AMR) is considered a major threat by the healthcare community. In this context, the AWaRe (Access, Watch, Reserve) classification of antibiotics is a valuable tool that can assist physicians during the clinical decision process and pharmacists in promoting the rational use of antibiotics. Pharmacovigilance studies based on real-world evidence offer valuable insight into the AMR phenomenon. The aim of this study was the assessment of the resistance, ineffectiveness, and off-label use signals of all five cephalosporins belonging to the Reserve group (ceftazidime/avibactam, ceftaroline, cetolozane/tazobactam, ceftobiprole, and cefiderocol). Methods: The study was conducted using descriptive approaches on EudraVigilance data and disproportionality analyses comparing each of the fourteen cephalosporins in the Watch group. Results: Ceftazidime/avibactam (n = 904, 38.6%) topped the reports, followed by ceftaroline (n = 559, 23.9%) and ceftolazane/tazobactam (n = 560, 23.9%). The lowest number of reports was submitted for cefiderocol (n = 176, 7.5%) and ceftobiprole (n = 146, 6.2%). The resistance to ceftazidime/avibactam, cefiderocol, and ceftolozane/tazobactam was reported with a higher probability than all others, the strongest signal being observed for cefiderocol against cefixime (ROR: 171.25, 95% CI 79.64–368.27). All cephalosporins from the Reserve group (except ceftobiprole) have higher probability for reporting ineffectiveness than cephalosporins from the Watch group; the strongest signal was observed for cefiderocol–cefditoren (ROR: 14.70, 95% CI 6.73–32.11). All cephalosporines from the Reserve group had a higher probability of reporting off-label use by comparison with the ones from the Watch group, except for two cases of no disproportionate signal between cefiderocol–cefoperazone and cefiderocol–ceftizoxime; the strongest signal was observed for ceftolozane/tazobactam–cefotaxim (ROR: 43.61, 95% CI 30.14–63.09). Conclusions: This analysis supplements information from clinical trials and current clinical practice, underscoring the critical need for rigorous antibiotic stewardship programs. Notably, even restricted use of cephalosporins demonstrated therapeutic failure and inappropriate utilization. Full article
(This article belongs to the Special Issue Antibiotic Resistance and Misuse)
Show Figures

Graphical abstract

17 pages, 5084 KB  
Article
Interpretable Machine Learning for Predicting Cefoperazone–Sulbactam-Associated Coagulation Abnormalities in Elderly Inpatients: A Dual-Center Retrospective Study
by Yajing Li, Hongru Deng and Yongquan Gu
Diagnostics 2026, 16(1), 103; https://doi.org/10.3390/diagnostics16010103 - 28 Dec 2025
Viewed by 468
Abstract
Background/Objectives: Cefoperazone–sulbactam is frequently prescribed to older inpatients for severe infections but has been associated with coagulation abnormalities, particularly among individuals with malnutrition or hepatic dysfunction. Early identification of at-risk patients remains challenging. To develop and validate a clinically interpretable model for [...] Read more.
Background/Objectives: Cefoperazone–sulbactam is frequently prescribed to older inpatients for severe infections but has been associated with coagulation abnormalities, particularly among individuals with malnutrition or hepatic dysfunction. Early identification of at-risk patients remains challenging. To develop and validate a clinically interpretable model for predicting cefoperazone–sulbactam-related coagulation abnormalities in elderly inpatients and to provide practical tools for bedside risk estimation. Methods: We conducted a retrospective, dual-center study of 485 patients aged ≥ 60 years treated at Fuxing Hospital and Xuanwu Hospital of Capital Medical University who received cefoperazone–sulbactam for ≥72 h. Baseline clinical and demographic variables were analyzed using univariate and multivariable logistic regression to identify independent risk factors. Ten supervised machine-learning models were trained and evaluated using area under the ROC curve (AUC), accuracy, sensitivity, specificity, precision, and F1-score. SHapley Additive exPlanations (SHAP) were applied to assess model interpretability. A nomogram was constructed from the final logistic regression model, and a web-based calculator was developed for clinical use. Results: Multivariable analysis identified age ≥ 75 years, hypoproteinemia, total parenteral nutrition, insomnia, and recent oral antibiotic use as independent predictors of coagulation abnormalities. Among machine-learning models, LightGBM achieved the best overall performance by AUC and balanced classification metrics. SHAP analyses provided individualized and global explanations of feature contributions, facilitating clinical interpretation. The nomogram and web calculator enable rapid, patient-specific risk estimation. Conclusions: An interpretable machine-learning approach, complemented by a nomogram and web calculator, accurately stratifies the risk of cefoperazone–sulbactam-induced coagulation abnormalities in elderly inpatients. These tools may support personalized risk evaluation and earlier preventive interventions in routine care. The web-based calculator facilitates rapid bedside risk estimation and may help guide earlier monitoring and preventive interventions in routine care. Full article
Show Figures

Figure 1

15 pages, 501 KB  
Article
Prevalence, Antimicrobial Resistance Profiles, and Risk Factors Analysis of Campylobacter spp. from Dogs in Kelantan, Malaysia
by Chinedu Amaeze Frank, Mohammed Dauda Goni, Nor Fadhilah Kamaruzzaman, Hafeez A. Afolabi, Mohammed S. Gaddafi, Aliyu Yakubu and Shamsaldeen Ibrahim Saeed
Bacteria 2025, 4(3), 41; https://doi.org/10.3390/bacteria4030041 - 8 Aug 2025
Viewed by 1405
Abstract
Background: Campylobacter represents a significant global public health threat, with rising prevalence and increasing concern over antimicrobial resistance (AMR). This study aims to assess the prevalence, evaluate the antimicrobial resistance profiles, and identify risk factors associated with infection in dogs from Kelantan, [...] Read more.
Background: Campylobacter represents a significant global public health threat, with rising prevalence and increasing concern over antimicrobial resistance (AMR). This study aims to assess the prevalence, evaluate the antimicrobial resistance profiles, and identify risk factors associated with infection in dogs from Kelantan, Malaysia. To the best of our knowledge, this is the first comprehensive investigation of Campylobacter spp. in dogs within this region. Methods: Campylobacter was isolated from rectal swabs of 50 dogs using modified charcoal cefoperazone deoxycholate agar (mCCDA) and confirmed biochemically, with Campylobacter identified via polymerase chain reaction (PCR). Antimicrobial resistance profile of the isolates was determined using the Kirby–Bauer disk diffusion method. Data on risk factors were assessed through a semi-structured questionnaire. Results: The results revealed an overall prevalence of Campylobacter spp. 28.0% (14/50) in dogs. C. helveticus was the predominant species in dogs (40.7%). The resistance rates of Campylobacter isolates showed notable resistance to ampicillin (85.71%), amoxicillin (71.43%), erythromycin (64.29%), tetracycline (57.14%), and sulfonamides (50%), respectively. Overall, multiple antimicrobial resistance (MAR) indices for all Campylobacter isolates were consistently above the 0.2 threshold, signifying multidrug resistance. Risk factors such as dogs that are semi-roamers and those fed homemade /raw feed were found to be associated with higher risk of Campylobacter (odds ratios: 1.180, p-value = 0.025 semi-roamers; odds ratio: 1.196, p-value = 0.019 fed homemade/raw feed). Conclusions: This study reveals significant prevalence and a remarkable antimicrobial resistance profile, thus advocating the need for improved pet management, responsible antimicrobial use, and targeted interventions to mitigate the spread of multidrug-resistant Campylobacter in companion animals. Full article
Show Figures

Figure 1

19 pages, 368 KB  
Article
Barriers to Compliance with National Guidelines Among Children Hospitalized with Community-Acquired Pneumonia in Vietnam and the Implications
by Thuy Thi Phuong Nguyen, Huong Thi Thu Vu, Anh Minh Hoang, An Minh Ho, Israel Abebrese Sefah, Brian Godman and Johanna C. Meyer
Antibiotics 2025, 14(7), 709; https://doi.org/10.3390/antibiotics14070709 - 15 Jul 2025
Cited by 4 | Viewed by 4613
Abstract
Background: Community-acquired pneumonia (CAP) is the leading cause of death in infants aged 1–59 months. Concurrent with this, there is a need to prescribe antibiotics wisely in Vietnam due to concerns with rising antimicrobial resistance (AMR). Consequently, an urgent need has arisen [...] Read more.
Background: Community-acquired pneumonia (CAP) is the leading cause of death in infants aged 1–59 months. Concurrent with this, there is a need to prescribe antibiotics wisely in Vietnam due to concerns with rising antimicrobial resistance (AMR). Consequently, an urgent need has arisen to treat patients according to agreed guidelines. The aim of this study was to investigate the current management of infants under five years old with CAP in Vietnam as well as identify possible obstacles to adhering to national guidelines. Methods: A mixed-method approach was used incorporating both quantitative and qualitative data analysis in a leading hospital in Vietnam, which influences others. Data from 108 pediatric patient records were collected and analyzed. Subsequently, in-depth interviews were conducted with pediatric doctors treating these patients to ascertain possible reasons for non-adherence to guidelines. Results: The mean age of children diagnosed with CAP was 27.94 ± 12.99 months, with 82.4% having non-severe CAP, and 41.7% of children had previously used antibiotics before hospitalization. The median length of hospital stay was 7 days. All children were prescribed antibiotics, 91.4% of children received these initially intravenously, with third-generation cephalosporins being the most (91.7%) commonly prescribed. Cefoperazone/sulbactam was the most frequently prescribed (48.2%) antibiotic. However, on 96.1% of occasions cefoperazone/sulbactam was given at higher doses than the label instructions. Overall, 73.3% of antibiotics prescribed were “Watch” antibiotics. In addition, the proportion of initial antibiotic regimens that were consistent with current national guidelines was only 4.63%. Conclusions: There were considerable concerns with low adherence rates to current guidelines alongside high rates of prescribing of injectable third-generation cephalosporins due to various internal and external barriers. Antimicrobial stewardship programs with updated national guidelines are urgently needed in Vietnamese hospitals to treat CAP in children as part of ongoing measures to reduce increasing AMR rates. Such activities should also help improve antibiotic use in the community following improved education of trainee ambulatory care physicians regarding appropriate management of children with CAP. Full article
(This article belongs to the Special Issue Antibiotic Resistance: From the Bench to Patients, 2nd Edition)
11 pages, 1669 KB  
Article
Isolation, Identification, and Drug Sensitivity Test of Pseudomonas aeruginosa from Cynomolgus Monkey (Macaca fascicularis)
by Heling Li, Ziyao Qian, Yulin Yan and Hong Wang
Vet. Sci. 2025, 12(7), 636; https://doi.org/10.3390/vetsci12070636 - 3 Jul 2025
Viewed by 1942
Abstract
In this study, we isolated and identified bacteria from the feces of a diarrheal cynomolgus monkey. The results showed that the isolated strain was P. aeruginosa, named PA/CM-101101. Morphological observations indicated that when cultured on Luria–Bertani (LB) nutrient agar at 37 °C [...] Read more.
In this study, we isolated and identified bacteria from the feces of a diarrheal cynomolgus monkey. The results showed that the isolated strain was P. aeruginosa, named PA/CM-101101. Morphological observations indicated that when cultured on Luria–Bertani (LB) nutrient agar at 37 °C for 24 h, the strain formed smooth, slightly elevated colonies with neat and wavy edges. On acetamide agar at the same temperature and duration, the colonies appeared flat with irregular edges and a faint pink periphery, while the medium changed to rose-red; in LB broth at 37 °C for 24 h, the medium became turbid and yellowish-green. Gram staining revealed that it was negative and rod-shaped, without sporulation characteristics. The 16S rRNA gene sequence analysis showed that the sequence identity of the strain shared more than 98.4% similarity with 11 strains of P. aeruginosa from various sources in GenBank. The animal toxicity test showed that it had a strong pathogenic effect on mice. The results of drug sensitivity tests showed that strain PA/CM-101101 was sensitive to amikacin, azithromycin, cefoperazone, ceftazidime, ceftriaxone, ciprofloxacin, gentamicin, imipenem, levofloxacin, meropenem, norfloxacin, ofloxacin, and polymyxin B; however, it displayed resistance to ampicillin, cefadroxil, cefazolin, erythromycin, and vancomycin. The research findings provide valuable insights for diagnosis and treatment strategies for cynomolgus monkeys. It also provides a reference for molecular epidemiological studies. To our knowledge, this is the first time P. aeruginosa isolated from the diarrhea feces of cynomolgus monkey has been reported. Full article
Show Figures

Figure 1

21 pages, 1782 KB  
Review
Innovative Antibiotic Therapies for Carbapenem-Resistant Gram-Negative Bacterial Infections: Clinical Efficacy, Safety, and Comparative Studies
by Majid Eslami, Amirabbas Safaripour, Seyedeh Zahra Banihashemian, Sahar Nikjoo Niaragh, Mohammad Amin Hemmati, Arefeh Shojaeian, Setayesh Fakhariyan, Atiye Rabbani and Valentyn Oksenych
Microorganisms 2025, 13(2), 295; https://doi.org/10.3390/microorganisms13020295 - 29 Jan 2025
Cited by 10 | Viewed by 5873
Abstract
This review provides an overview of recent research and advancements in infection prevention and the treatment of drug-resistant bacterial diseases. Cefiderocol, a novel siderophore cephalosporin, has demonstrated effectiveness against carbapenem-resistant bacteria such as Pseudomonas aeruginosa and Acinetobacter baumannii. Clinical trials, including APEKS-NP [...] Read more.
This review provides an overview of recent research and advancements in infection prevention and the treatment of drug-resistant bacterial diseases. Cefiderocol, a novel siderophore cephalosporin, has demonstrated effectiveness against carbapenem-resistant bacteria such as Pseudomonas aeruginosa and Acinetobacter baumannii. Clinical trials, including APEKS-NP and CREDIBLE-CR, affirm its efficacy for hospital-acquired pneumonia (HAP) but highlight concerns over increased mortality due to severe renal complications. Cefiderocol has shown superior outcomes in complicated urinary tract infections (cUTI) compared to imipenem–cilastatin. A comparison of colistin monotherapy versus combination therapy with meropenem for carbapenem-resistant infections revealed no significant improvement in clinical outcomes with combination therapy but noted delays in resistance development. Colistin–rifampicin combination therapy showed potential benefits for colistin-resistant Acinetobacter baumannii, although results were not statistically significant. SPR206, a polymyxin derivative, and durlobactam, a β-lactamase inhibitor, show promise in addressing these resistant strains, with durlobactam demonstrating efficacy in combination with sulbactam and imipenem–cilastatin. Additional studies investigated antibiotic strategies for resistant infections, including cefoperazone–sulbactam versus combination therapy with tigecycline, and examined infection-prevention strategies in surgical settings, comparing chlorhexidine–alcohol and povidone–iodine. This research highlights the importance of optimizing treatment regimens and infection-control measures across various healthcare settings, including neonatology and surgical care. Full article
Show Figures

Graphical abstract

15 pages, 2457 KB  
Systematic Review
Comparing the Outcomes of Cefoperazone/Sulbactam-Based and Non-Cefoperazone/Sulbactam-Based Therapeutic Regimens in Patients with Multiresistant Acinetobacter baumannii Infections—A Meta-Analysis
by Chienhsiu Huang, Lichen Lin and Sufang Kuo
Antibiotics 2024, 13(9), 907; https://doi.org/10.3390/antibiotics13090907 - 23 Sep 2024
Cited by 2 | Viewed by 5662
Abstract
The addition of sulbactam restores the complete range of cefoperazone activity against bacteria and extends its spectrum of action to include the Acinetobacter species. The effectiveness of cefoperazone/sulbactam against multiresistant Acinetobacter baumannii has not been investigated. The purpose of the current meta-analysis was [...] Read more.
The addition of sulbactam restores the complete range of cefoperazone activity against bacteria and extends its spectrum of action to include the Acinetobacter species. The effectiveness of cefoperazone/sulbactam against multiresistant Acinetobacter baumannii has not been investigated. The purpose of the current meta-analysis was to compare the efficacy of cefoperazone/sulbactam-based therapeutic regimens and non-cefoperazone/sulbactam-based therapeutic regimens in the treatment of multiresistant Acinetobacter baumannii infections. The current meta-analysis of 10 retrospective studies provides evidence that cefoperazone/sulbactam-based therapeutic regimens are superior to non-cefoperazone/sulbactam-based therapeutic regimens in terms of 30-day mortality and clinical improvement in patients with multiresistant Acinetobacter baumannii infections. The risk of mortality was reduced by 38% among multiresistant Acinetobacter baumannii infections in patients who received cefoperazone/sulbactam-based therapeutic regimens. The cefoperazone/sulbactam-based combination therapy was superior to the cefoperazone/sulbactam monotherapy in terms of 30-day mortality when both therapeutic regimens were compared to the tigecycline monotherapy in patients with multiresistant Acinetobacter baumannii infections. Full article
Show Figures

Figure 1

13 pages, 2175 KB  
Article
The Etiological and Antimicrobial Susceptibility Profiles of the Bacteria Obtained from Ovine Caseous Lymphadenitis Cases in the Çankırı Region, Türkiye
by Serdal Tarhane and Fatih Büyük
Life 2024, 14(9), 1078; https://doi.org/10.3390/life14091078 - 28 Aug 2024
Viewed by 1561
Abstract
Sheep caseous lymphadenitis (CLA) causes significant economic losses in the livestock sector by causing a loss in the quantity and quality of animal products and a loss in the breeding value of animals. Although the primary agent in CLA’s etiology is Corynebacterium pseudotuberculosis [...] Read more.
Sheep caseous lymphadenitis (CLA) causes significant economic losses in the livestock sector by causing a loss in the quantity and quality of animal products and a loss in the breeding value of animals. Although the primary agent in CLA’s etiology is Corynebacterium pseudotuberculosis, some other opportunistic microorganisms also play a role. Therefore, the control and treatment of CLA necessitates the identification of the relevant etiological agents. This study aimed to conduct an in vitro culture and molecular characterization (PCR analysis and 16S rRNA sequencing) of the bacteria involved in sheep CLA cases reported in the Çankırı province of Türkiye and determine the antibiotic susceptibility of the case isolates. In total, 82 (16.4%) of 500 sheep in five farms were diagnosed with CLA. Following the culture of the superficial abscesses samples, C. pseudotuberculosis was identified in 30 (36.59%) as a result of PCR, Pseudomonas spp. in 8 (9.76%), and Enterobacter cancerogenus in 1 (1.22%), as a result of 16S rRNA sequencing. These data revealed extensive heterogeneity among the Pseudomonas isolates, with hints of derivation from a common ancestry for some and phylogenetic similarity to isolates from Germany, Malaysia, and India. In contrast to the high susceptibility to cefoperazone and lincomycin, the high resistances of C. pseudotuberculosis and Pseudomonas spp. isolates to cephalothin, ceftiofur, cloxacillin, amoxicillin, and bacitracin were remarkable. Based on these findings, it was concluded that for an effective treatment and control of ovine CLA cases, there is a need to consider the possible involvement of opportunistic bacteria other than the primary causative agent, C. pseudotuberculosis. It also contributed to increasing the country-specific sequence data and establishing new taxa from a universal perspective. Full article
(This article belongs to the Section Microbiology)
Show Figures

Figure 1

20 pages, 1207 KB  
Systematic Review
Antibiotic-Resistant Bacteria Isolated from Street Foods: A Systematic Review
by Carmine Fusaro, Valentina Miranda-Madera, Nancy Serrano-Silva, Jaime E. Bernal, Karina Ríos-Montes, Francisco Erik González-Jiménez, Dennys Ojeda-Juárez and Yohanna Sarria-Guzmán
Antibiotics 2024, 13(6), 481; https://doi.org/10.3390/antibiotics13060481 - 23 May 2024
Cited by 10 | Viewed by 6690
Abstract
Street food may be a vehicle of antibiotic-resistant bacteria (ARB) and antibiotic resistance genes (ARGs) to humans. Foods contaminated with ARB entail serious problems or challenges in the fields of medical care, animal husbandry, food industry, and public health worldwide. The objectives of [...] Read more.
Street food may be a vehicle of antibiotic-resistant bacteria (ARB) and antibiotic resistance genes (ARGs) to humans. Foods contaminated with ARB entail serious problems or challenges in the fields of medical care, animal husbandry, food industry, and public health worldwide. The objectives of this systematic review were to identify and evaluate scientific reports associated with ARB isolated from various street foods. “Preferred reporting items for systematic reviews and meta-analysis” (PRISMA) guidelines were followed. The bibliographic material covers a period from January 2015 to April 2024. Six electronic scientific databases were searched individually for full-text articles; only those papers that met the inclusion and exclusion criteria were selected. Seventeen papers were included in this systematic review. This study highlighted the wide distribution of ARB resistant to β-lactams and other antibiotics, posing significant health risks to consumers. High resistance levels were observed for antibiotics such as ampicillin, ceftriaxone, and tetracycline, while some antibiotics, such as ceftazidime, clavulanic acid, cefoperazone, cotrimoxazole, doxycycline, doripenem, fosfomycin, vancomycin, and piperacillin-tazobactam, demonstrated 100% susceptibility. The prevalence of ARB in street foods varied between 5.2% and 70.8% among different countries. The multiple resistance of various bacteria, including Escherichia coli, Staphylococcus, Salmonella, and Klebsiella, to multiple classes of antibiotics, as well as environmental factors contributing to the spread of antibiotic resistance (AR), emphasize the urgent need for comprehensive approaches and coordinated efforts to confront antimicrobial resistance (AMR) under the “One Health” paradigm. Full article
(This article belongs to the Special Issue A One Health Approach to Antimicrobial Resistance)
Show Figures

Figure 1

37 pages, 1964 KB  
Review
Novel Siderophore Cephalosporin and Combinations of Cephalosporins with β-Lactamase Inhibitors as an Advancement in Treatment of Ventilator-Associated Pneumonia
by Szymon Viscardi, Ewa Topola, Jakub Sobieraj and Anna Duda-Madej
Antibiotics 2024, 13(5), 445; https://doi.org/10.3390/antibiotics13050445 - 14 May 2024
Cited by 5 | Viewed by 3691
Abstract
In an era of increasing antibiotic resistance among pathogens, the treatment options for infectious diseases are diminishing. One of the clinical groups especially vulnerable to this threat are patients who are hospitalized in intensive care units due to ventilator-associated pneumonia caused by multidrug-resistant/extensively [...] Read more.
In an era of increasing antibiotic resistance among pathogens, the treatment options for infectious diseases are diminishing. One of the clinical groups especially vulnerable to this threat are patients who are hospitalized in intensive care units due to ventilator-associated pneumonia caused by multidrug-resistant/extensively drug-resistant Gram-negative bacteria. In order to prevent the exhaustion of therapeutic options for this life-threatening condition, there is an urgent need for new pharmaceuticals. Novel β-lactam antibiotics, including combinations of cephalosporins with β-lactamase inhibitors, are proposed as a solution to this escalating problem. The unique mechanism of action, distinctive to this new group of siderophore cephalosporins, can overcome multidrug resistance, which is raising high expectations. In this review, we present the summarized results of clinical trials, in vitro studies, and case studies on the therapeutic efficacy of cefoperazone-sulbactam, ceftolozane-tazobactam, ceftazidime-avibactam, and cefiderocol in the treatment of ventilator-associated pneumonia. We demonstrate that treatment strategies based on siderophore cephalosporins and combinations of β-lactams with β-lactamases inhibitors show comparable or higher clinical efficacy than those used with classic pharmaceuticals, like carbapenems, colistin, or tigecycline, and are often associated with a lower risk of adverse events. Full article
Show Figures

Figure 1

15 pages, 3898 KB  
Article
Vibrational Analysis and Concentration Dependent SERS Study of Cefoperazone
by Stefana Ana-Maria Faur, Zsejke-Réka Tóth, Klára Magyari and Monica Baia
Chemosensors 2024, 12(3), 48; https://doi.org/10.3390/chemosensors12030048 - 19 Mar 2024
Cited by 3 | Viewed by 3030
Abstract
Cefoperazone is a broad-spectrum antibiotic that is extremely efficient in the treatment of respiratory, abdominal, or genital infections. Vibrational spectroscopic techniques, FT-IR, Raman, and SERS, along with DFT calculations, were involved in investigating the normal modes of vibration and adsorption behavior of this [...] Read more.
Cefoperazone is a broad-spectrum antibiotic that is extremely efficient in the treatment of respiratory, abdominal, or genital infections. Vibrational spectroscopic techniques, FT-IR, Raman, and SERS, along with DFT calculations, were involved in investigating the normal modes of vibration and adsorption behavior of this antibiotic. Using both the experimental and theoretical data, the bands in the Raman and IR spectra were assigned to the normal vibrational modes. The SERS spectra were successively obtained by using silver and gold colloidal nanoparticles as a substrate. Their analysis revealed that the molecule is chemisorbed on the nanostructured surface through the as-denoted nitrogen ring. Changes observed in the SERS spectra recorded at different cefoperazone concentrations, i.e., modifications in the relative intensity of specific bands suggest the reorientation of adsorbed molecules towards the metal surface. Full article
(This article belongs to the Special Issue Surface-Enhanced Raman Spectroscopy for Bioanalytics)
Show Figures

Figure 1

10 pages, 976 KB  
Article
Antibiotic Combination to Effectively Postpone or Inhibit the In Vitro Induction and Selection of Levofloxacin-Resistant Mutants in Elizabethkingia anophelis
by Ching-Chi Lee, Chung-Hsu Lai, Chih-Hui Yang, Yi-Han Huang and Jiun-Nong Lin
Int. J. Mol. Sci. 2024, 25(4), 2215; https://doi.org/10.3390/ijms25042215 - 12 Feb 2024
Cited by 3 | Viewed by 1994
Abstract
Fluoroquinolones are potentially active against Elizabethkingia anophelis. Rapidly increased minimum inhibitory concentrations (MICs) and emerging point mutations in the quinolone resistance-determining regions (QRDRs) following exposure to fluoroquinolones have been reported in E. anophelis. We aimed to investigate point mutations in QRDRs [...] Read more.
Fluoroquinolones are potentially active against Elizabethkingia anophelis. Rapidly increased minimum inhibitory concentrations (MICs) and emerging point mutations in the quinolone resistance-determining regions (QRDRs) following exposure to fluoroquinolones have been reported in E. anophelis. We aimed to investigate point mutations in QRDRs through exposure to levofloxacin (1 × MIC) combinations with different concentrations (0.5× and 1 × MIC) of minocycline, rifampin, cefoperazone/sulbactam, or sulfamethoxazole/trimethoprim in comparison with exposure to levofloxacin alone. Of the four E. anophelis isolates that were clinically collected, lower MICs of levofloxacin were disclosed in cycle 2 and 3 of induction and selection in all levofloxacin combination groups other than levofloxacin alone (all p = 0.04). Overall, no mutations were discovered in parC and parE throughout the multicycles inducted by levofloxacin and all its combinations. Regarding the vastly increased MICs, the second point mutations in gyrA and/or gyrB in one isolate (strain no. 1) occurred in cycle 2 following exposure to levofloxacin plus 0.5 × MIC minocycline, but they were delayed appearing in cycle 5 following exposure to levofloxacin plus 1 × MIC minocycline. Similarly, the second point mutation in gyrA and/or gyrB occurred in another isolate (strain no. 3) in cycle 4 following exposure to levofloxacin plus 0.5 × MIC sulfamethoxazole/trimethoprim, but no mutation following exposure to levofloxacin plus 1 × MIC sulfamethoxazole/trimethoprim was disclosed. In conclusion, the rapid selection of E. anophelis mutants with high MICs after levofloxacin exposure could be effectively delayed or postponed by antimicrobial combination with other in vitro active antibiotics. Full article
(This article belongs to the Section Molecular Pharmacology)
Show Figures

Figure 1

Back to TopTop