Sign in to use this feature.

Years

Between: -

Subjects

remove_circle_outline
remove_circle_outline
remove_circle_outline
remove_circle_outline
remove_circle_outline
remove_circle_outline
remove_circle_outline
remove_circle_outline
remove_circle_outline

Journals

Article Types

Countries / Regions

Search Results (110)

Search Parameters:
Keywords = capsule filling

Order results
Result details
Results per page
Select all
Export citation of selected articles as:
23 pages, 16175 KB  
Article
The Effects of Ovine-Derived Reinforced Tissue Matrix Surrounding Silicone-Based Implants in a Rat Prepectoral Reconstruction Model
by Sai L. Pinni, Cameron Martin, Nicholas Fadell, Xiaochao Xia, Evan Marsh, Lauren Schellhardt, Xiaowei Li, Matthew D. Wood and Justin M. Sacks
Bioengineering 2026, 13(2), 150; https://doi.org/10.3390/bioengineering13020150 (registering DOI) - 28 Jan 2026
Abstract
Silicone-based implants have been widely used in breast reconstruction but have also been associated with poorly understood complications, including pathologic foreign body responses such as capsular contracture. In this study, we leveraged 3D-printing technology to generate silicone-based implants in a novel, anatomically relevant, [...] Read more.
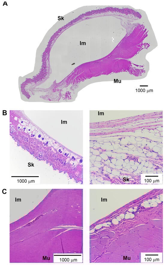
Silicone-based implants have been widely used in breast reconstruction but have also been associated with poorly understood complications, including pathologic foreign body responses such as capsular contracture. In this study, we leveraged 3D-printing technology to generate silicone-based implants in a novel, anatomically relevant, prepectoral rat model. We used this model to evaluate the response to an extracellular matrix-based product: ovine-derived reinforced tissue matrix (RTM). Two-piece negative molds were developed through computer-aided design and 3D-printed. The molds were filled with various polydimethylsiloxane mixtures and dip-coated to fabricate implants. Implant material characterization revealed that the implants retained the original 3D-printed mold shape and qualitatively demonstrated a shell with an inner solid gel-like structure. Fabricated implants had smooth surfaces, as well as tunable features including implant stiffness (storage modulus). From initial studies in our rat model, placement of bilateral prepectoral implants allowed assessment of both muscle- and skin-facing capsules and were well-tolerated for at least 12 weeks. Comparison of the foreign body response between RTM-covered and uncovered (control) implants in this model revealed that the capsule thickness did not differ between groups at the 12-week endpoint. However, RTM reduced contractile fibroblasts (alpha-smooth muscle actin) and macrophages (Iba1) compared to the control. Our findings suggested that RTM may improve capsule quality by attenuating cells involved in fibrosis, even when total capsule thickness remains unchanged. However, these changes to cells involved in fibrosis were only observed at this early endpoint and may not predict long-term clinical outcomes. Full article
(This article belongs to the Section Biomedical Engineering and Biomaterials)
Show Figures

Graphical abstract

13 pages, 365 KB  
Article
The Effects of an Acute Dose of Cannabidiol on Health and Two-Mile Time Trial Performance—A Pilot Study
by Elyssa R. Bell, Brandon Elias, Seth M. Gutierrez and Laura K. Stewart
Nutrients 2026, 18(1), 29; https://doi.org/10.3390/nu18010029 - 20 Dec 2025
Viewed by 1270
Abstract
Objective: The purpose of this study was to explore the effects of an acute dose of cannabidiol (CBD) on physical and mental health, as well as running performance in a group of runners. Methods: This study used a randomized, cross-over design where individuals [...] Read more.
Objective: The purpose of this study was to explore the effects of an acute dose of cannabidiol (CBD) on physical and mental health, as well as running performance in a group of runners. Methods: This study used a randomized, cross-over design where individuals were given CBD (CBD-T) or placebo (PLA-T) capsules on two separate occasions. During their first visit, the subjects consumed 300 mg of either placebo or CBD capsules and were then instructed to sit quietly for 2 h. Then, participants filled out a State Trait Anxiety Inventory (STAI) and completed measures of resting systolic (SBP) and diastolic blood pressure (DBP), heart rate (HR), blood lactate (BL), and heart rate variability (HRV). Next, participants completed a 2-mile treadmill run as fast as possible. During each run, HR, rating of perceived exertion (RPE), and BL were measured during and after the run. Participants completed a gastrointestinal (GI) symptom questionnaire immediately after the 2-mile time trial. Results: Participants (N = 12; 4 males, 8 females) averaged 25.5 years ± 3.34 years of age. Mean CBD-T reported increased feelings of calm (21% p = 0.04) and relaxed (22%, p = 0.02) when compared to PLA-T. There were no differences in the severity of GI symptoms, SBP, DBP, or HRV between the treatments. The CBD-T experienced an 8% reduction in average RPE at mile 1 of the run compared with PLA-T (p = 0.05). There was no significant difference in run performance time. Conclusions: An acute dose of CBD (300 mg) taken 2 h before a 2-mile run may potentially benefit runners in shorter distance competitions by increasing calm and relaxed feelings and reducing perceived effort at the halfway point without impairing performance or increasing gastrointestinal upset. Full article
(This article belongs to the Section Sports Nutrition)
Show Figures

Figure 1

20 pages, 4255 KB  
Article
Hydroxypropyl Methylcellulose Capsules Enhance Aerodynamic Performance of Carrier-Based Dry Powder Inhaler Formulations: A Comprehensive Evaluation of Capsule Material Effects
by Camille Dumont, Sandrine Picco, Beatriz Noriega-Fernandes, Pierre Verlhac, Andrea Elena Cortez, Camille Boulet, Molly Gallagher, Christopher Bock and Vincent Jannin
Pharmaceutics 2025, 17(12), 1621; https://doi.org/10.3390/pharmaceutics17121621 - 17 Dec 2025
Viewed by 655
Abstract
Background/Objectives: This study aims to investigate the underexplored impact of capsule type on the performances of capsule-based dry powder inhalers (cDPIs). It compares specific properties of hard gelatin-based capsules (Hard Gelatin Capsules (HGC), HGC including polyethylene glycol (HGC + PEG)) and hypromellose-based [...] Read more.
Background/Objectives: This study aims to investigate the underexplored impact of capsule type on the performances of capsule-based dry powder inhalers (cDPIs). It compares specific properties of hard gelatin-based capsules (Hard Gelatin Capsules (HGC), HGC including polyethylene glycol (HGC + PEG)) and hypromellose-based capsules, (Zephyr® Vcaps® (VC), Zephyr® Vcaps® Plus (VCP) and Vcaps® Plus Zephyr Inhance™ (VCP-I)) with aerosolization performances of model carrier-based formulation, providing insights into their impact on pulmonary drug delivery efficacy. Methods: Aerosolization properties of a model phenytoin/lactose blend formulation filled in the different capsules was evaluated using a Next Generation Impactor (NGI) with RS01 device. Capsule shell characteristics were evaluated in terms of water activity, static charges, and inner surface aspect and roughness. Results: Hypromellose-based capsules, especially VC and VCP-I, exhibited significantly higher drug delivery performances compared to gelatin-based capsules. In particular, VCP-I demonstrated good results with excellent batch-to-batch reproducibility and 51% of the nominal dose available for lung absorption. Although capsule inner surface showed clear differences between both polymer families, no clear correlation could be found between cDPI performances and capsule roughness and density of charge. All capsules presented good mechanical properties in the conditions of the tests. Conclusions: Capsule type exerts a significant impact on cDPI performances. These findings highlight the importance of capsule selection as a critical material attribute in the design and optimization of inhalation products. Full article
(This article belongs to the Section Pharmaceutical Technology, Manufacturing and Devices)
Show Figures

Figure 1

17 pages, 2174 KB  
Case Report
Fourth Ventricle Epidermoid Cyst: Case Report of Precision Telovelar Microsurgery, Functional Preservation, and Lifelong Surveillance
by Daniel Costea, Nicolaie Dobrin, Catalina-Ioana Tataru, Corneliu Toader, Răzvan-Adrian Covache-Busuioc, Matei Șerban, Octavian Munteanu and Ionut Bogdan Diaconescu
Diagnostics 2025, 15(20), 2600; https://doi.org/10.3390/diagnostics15202600 - 15 Oct 2025
Cited by 3 | Viewed by 1101
Abstract
Background and Clinical Significance: Fourth ventricular epidermoid cysts are among the least frequently encountered intracranial tumors (less than 1%). Their slow growth pattern along cisternal and subarachnoid spaces, and their close proximity to neurovascular structures (brainstem–cerebellar), create difficulty for surgical treatment. Total [...] Read more.
Background and Clinical Significance: Fourth ventricular epidermoid cysts are among the least frequently encountered intracranial tumors (less than 1%). Their slow growth pattern along cisternal and subarachnoid spaces, and their close proximity to neurovascular structures (brainstem–cerebellar), create difficulty for surgical treatment. Total removal is often complicated by the capsule’s adherence to eloquent structures and requires a thoughtful surgical approach of weighing radical resection versus neurologic/function preservation. This case description provides an example of using careful clinical–radiological correlation and anatomy-dissecting microsurgery as a method of permanent decompression and neurologic recovery with low operative risk. Case Presentation: A 57-year-old female presented with impaired stability of gait, gaze-evoked nystagmus, appendicular ataxia, minimal ipsilateral hypotonia, and mild bulbar dyscoordination. Imaging (MRI, MRA) revealed a large, lobulated mass that was lobulated and avascular centered in the left cerebellar hemisphere, with an extension into the vermis and cisterna magna, and partial filling of the fourth ventricle with classic epidermoid imaging. Resection was performed via a midline suboccipital telovelar approach with microsurgery, relying on native arachnoid planes and quadrant opportunities of decompression, while preserving critical neurovascular structures. A thin rim of capsule intimately adherent to the floor of the ventricle was intentionally left to minimize irreversible cranial nerve injury. Histology showed keratinizing stratified squamous epithelium with laminated keratin and cholesterol clefts. Following resection, truncal stability, limb coordination, and ocular pursuit improved without additional deficits. Initial and 3-month postoperative MRI showed total decompression, re-established CSF pathways, and no recurrence. Conclusions: This case demonstrates that maximal safe resection (with function preservation) through natural anatomy corridors can achieve excellent neurologic results in fourth ventricular epidermoids. Lifelong MRI surveillance will be needed due to the srisk of delayed recurrence even after near-total resection. Full article
Show Figures

Figure 1

27 pages, 4484 KB  
Article
Formulation of Self-Emulsifying Microemulsion for Acemetacin Using D-Optimal Design: Enteric-Coated Capsule for Targeted Intestinal Release and Bioavailability Enhancement
by Zaineb Z. Abduljaleel and Khalid K. Al-Kinani
Pharmaceutics 2025, 17(10), 1270; https://doi.org/10.3390/pharmaceutics17101270 - 27 Sep 2025
Viewed by 1256
Abstract
Objectives: The current work aimed to formulate and optimize a self-emulsifying microemulsion drug delivery system (SEME) for acemetacin (ACM) to increase ACM’s aqueous solubility, improve oral bioavailability, and reduce gastrointestinal complications. Methods: Screening of components capable of enhancing ACM solubility was [...] Read more.
Objectives: The current work aimed to formulate and optimize a self-emulsifying microemulsion drug delivery system (SEME) for acemetacin (ACM) to increase ACM’s aqueous solubility, improve oral bioavailability, and reduce gastrointestinal complications. Methods: Screening of components capable of enhancing ACM solubility was performed. Pseudo-ternary phase diagrams were performed to choose the optimal formulation ratio. The ACM-SEME formulation’s composition was optimized using D-optimal design. Oil, Smix, and water percentages were used as independent variables, while globule size, polydispersity index, ACM content, and in vitro ACM release after 90 min were used as dependent variables. Also, thermodynamic stability and transmittance percentage tests were studied. Zeta potential was assessed for the optimized ACM-SEME formulation, which was then subjected to spray drying. The dried ACM-SEME was characterized using field-emission scanning electron microscope, Fourier-transform infrared spectroscopy, X-ray diffraction, and differential scanning calorimetry. The dried ACM-SEME formulation was filled into hard gelatin capsules and coated with Eudragit L100 to achieve pH-dependent release. Results: The antinociceptive activity of ACM-SEME was evaluated in vivo using Eddy’s hot plate test in rats, revealing a significant prolongation of the noxious time threshold compared to control groups. Ex vivo permeation studies across rat intestinal tissue confirmed the enhanced permeation potential of the ACM-SEME. Conclusions: It was concluded that the developed ACM-SEME system demonstrated improved physicochemical properties, enhanced release behavior, and superior therapeutic performance, highlighting its potential as a safer and more effective oral delivery platform for ACM. Full article
(This article belongs to the Special Issue Advances in Emulsifying Drug Delivery Systems)
Show Figures

Graphical abstract

15 pages, 3284 KB  
Article
Development of Diallyl Phthalate-Filled Ceramic Shell Self-Healing Capsules for High-Temperature Polymer Composites
by Murat Yazıcı, Aycan Karaman, Eslem Şahin and Gönenç Duran
Polymers 2025, 17(12), 1621; https://doi.org/10.3390/polym17121621 - 11 Jun 2025
Viewed by 1371
Abstract
In this study, a production method for ceramic shell macrocapsules and a high-temperature-resistant, polymer agent-based self-healing system was developed. Two types of macrocapsules were created by filling hollow ceramic capsules with high-temperature-resistant diallyl phthalate (DAP) resin, known for its thermal stability, and a [...] Read more.
In this study, a production method for ceramic shell macrocapsules and a high-temperature-resistant, polymer agent-based self-healing system was developed. Two types of macrocapsules were created by filling hollow ceramic capsules with high-temperature-resistant diallyl phthalate (DAP) resin, known for its thermal stability, and a peroxide-based curing agent. These capsules were incorporated into epoxy and DAP matrix materials to develop polymer composite materials with self-healing properties The macrocapsules were produced by coating polystyrene (PS) sacrificial foam beads with raw ceramic slurry, followed by sintering to convert the liquid phase into a solid ceramic shell. Moreover, FTIR, TGA/DTA, and DSC analyses were performed. According to the thermal analysis results, DAP resin can effectively function as a healing agent up to approximately 340 °C. In addition, quasi-static compression tests were applied to composite specimens. After the first cycle, up to 69% healing efficiency was obtained in the epoxy matrix composite and 63.5% in the DAP matrix composite. Upon reloading, the second-cycle performance measurements showed healing efficiencies of 56% for the DAP matrix composite and 58% for the epoxy matrix composite. Full article
(This article belongs to the Section Polymer Composites and Nanocomposites)
Show Figures

Graphical abstract

14 pages, 1586 KB  
Article
Stability-Guided Formulation of a Light-Sensitive D-LSD Capsule for Clinical Investigation
by Bernard Do, Luc Mallet, Maxime Annereau, Danielle Libong, Audrey Solgadi, Florence Vorspan, Muriel Paul and Philippe-Henri Secretan
Pharmaceutics 2025, 17(6), 767; https://doi.org/10.3390/pharmaceutics17060767 - 11 Jun 2025
Viewed by 1957
Abstract
Background/Objectives: D-lysergic acid diethylamide (D-LSD) is under investigation as a potential therapeutic strategy for alcohol use disorder (AUD). However, the extreme light sensitivity of D-LSD presents a significant challenge in developing suitable pharmaceutical forms, particularly for clinical trial settings. This study proposes a [...] Read more.
Background/Objectives: D-lysergic acid diethylamide (D-LSD) is under investigation as a potential therapeutic strategy for alcohol use disorder (AUD). However, the extreme light sensitivity of D-LSD presents a significant challenge in developing suitable pharmaceutical forms, particularly for clinical trial settings. This study proposes a liquid-filled capsule formulation designed to provide accurate dosing while protecting D-LSD from photodegradation. Methods: To support formulation development and ensure its suitability as an investigational medicinal product, a multi-tiered analytical strategy was employed. This included liquid chromatography coupled with ion mobility spectrometry and mass spectrometry (LC-IM-MS), along with quantum chemical calculations (density functional theory (DFT) and time dependent-DFT (TD-DFT)), to ensure robust and orthogonal structural characterization of degradation products. Results: Photostress studies demonstrated that while D-LSD in solution rapidly degrades into photoisomers and photooxidative byproducts, the capsule formulation markedly mitigates these transformations under ICH-compliant conditions. Conclusions: These findings highlight the essential role of orthogonal stability profiling in guiding formulation development and demonstrate that this approach may offer a viable, photostable platform for future clinical investigation of D-LSD in the treatment of AUD. Full article
Show Figures

Figure 1

12 pages, 925 KB  
Opinion
Navigating the Development of Dry Powder for Inhalation: A CDMO Perspective
by Beatriz Noriega-Fernandes, Mariam Ibrahim, Rui Cruz, Philip J. Kuehl and Kimberly B. Shepard
Pharmaceuticals 2025, 18(3), 434; https://doi.org/10.3390/ph18030434 - 19 Mar 2025
Cited by 1 | Viewed by 3966
Abstract
Interest in pulmonary/nasal routes for local delivery has significantly increased over the last decade owing to challenges faced in the delivery of molecules with poor solubility, systemic side effects, or new modalities such as biologics. This increasing interest has attracted new stakeholders to [...] Read more.
Interest in pulmonary/nasal routes for local delivery has significantly increased over the last decade owing to challenges faced in the delivery of molecules with poor solubility, systemic side effects, or new modalities such as biologics. This increasing interest has attracted new stakeholders to the field who have yet to explore inhaled drug product development. Contract development and manufacturing organizations (CDMOs) play a key role in supporting the development of drug products for inhalation, from early feasibility to post marketing. However, a critical gap exists for these newcomers: a clear, integrated, and a CDMO-centric roadmap for navigating the complexities of pulmonary/nasal drug product development. The purpose of this publication is to highlight the key aspects considered in the product development of inhaled dry powder products from a CDMO perspective, providing a novel and stepwise development strategy. A roadmap for the development of inhalable drug products is proposed with authors’ recommendations to facilitate the decision-making process, starting from the definition of the desired target product profile followed by dose selection in preclinical studies. The importance of understanding the nature of the API, whether a small molecule or a biologic, will be highlighted. Additionally, technical guidance on the choice of formulation (dry powder/liquid) will be provided with special focus on dry powders. Selection criteria for the particle engineering technology, mainly jet milling and spray drying, will also be discussed, including the advantages and limitations of such technologies, based on the authors’ industry expertise. Lastly, the paper will highlight the challenges and considerations for encapsulating both spray dried and jet milled powders. Unlike existing literature, this paper offers a unified framework that bridges preclinical, formulation, manufacturing, and encapsulation considerations, providing a practical tool for newcomers. Full article
(This article belongs to the Special Issue Emerging Trends in Inhaled Drug Delivery)
Show Figures

Graphical abstract

13 pages, 1483 KB  
Article
From Waste to Value: Solubility and Dissolution Enhancement of Bioactive Extracts from Olive Leaves Using Poloxamers
by Muhammad Wasim and Maria Camilla Bergonzi
Molecules 2025, 30(4), 928; https://doi.org/10.3390/molecules30040928 - 17 Feb 2025
Cited by 1 | Viewed by 1218
Abstract
The European Union, producing over 2.5 billion tons of waste annually, has prompted the European Parliament to implement legal measures and encourage the shift towards a circular economy. Millions of tons of biowaste from olive plant leaves are generated annually, resulting in environmental [...] Read more.
The European Union, producing over 2.5 billion tons of waste annually, has prompted the European Parliament to implement legal measures and encourage the shift towards a circular economy. Millions of tons of biowaste from olive plant leaves are generated annually, resulting in environmental and economic challenges. To address this, the biowaste of olive leaves was valorized, resulting in the extraction of valuable components, triterpenes and polyphenols, which hold potential pharmaceutical, food, or cosmetic applications. Our research involved the formulation of a triterpene extract (TTP70, 70% triterpenes) as a solid dispersion using Poloxamer-188 (P188) and Poloxamer-407 (P407). The solid dispersions were prepared using a kneading method and various extract-to-polymer weight ratios, including 1:1, 1:2, and 1:5. The influence of hydrophilic carriers on the solubility, dissolution profile, and in vitro passive permeability of TTP70 was evaluated. Both carriers and all considered weight ratios significantly improved the solubility of hydrophobic extract and the dissolution of triterpenes. PAMPA experiments demonstrated the efficacy of the formulation in improving the passive permeation of triterpenes. Subsequently, the solid dispersions were physically mixed with a polyphenol-enriched extract (OPA40, 49% of polyphenols) also obtained from olive leaves, and they were used to fill hard gelatin capsules and produce an oral dosage form. The composite formulations improved the dissolution of both classes of constituents. Full article
Show Figures

Graphical abstract

17 pages, 3970 KB  
Article
PCM-Filled Capsules (RT44HC) for Heat Storage—Laboratory Scale Pilot Study
by Łukasz Amanowicz and Michał Turski
Energies 2025, 18(2), 345; https://doi.org/10.3390/en18020345 - 14 Jan 2025
Cited by 3 | Viewed by 1944
Abstract
Peak power shaving in heating systems can be achieved using heat accumulators, traditionally implemented in the form of water storage tanks. Their heat capacity can be increased by using a phase change material (PCM) instead of water, which, however, usually requires a change [...] Read more.
Peak power shaving in heating systems can be achieved using heat accumulators, traditionally implemented in the form of water storage tanks. Their heat capacity can be increased by using a phase change material (PCM) instead of water, which, however, usually requires a change in the tank design. The innovation of this paper is an interesting concept to use plastic capsules filled with a PCM that replace part of the water volume in an existing heat accumulator. The aim of this paper is to compare the cooling rate of the same volume of water as that of the water mixed with the PCM capsules to initially verify the heat storage potential of the capsules. The results of pilot experimental studies on a laboratory scale are presented and discussed, showing the potential of this idea for heat storage. The partial replacement of water with capsules (40% of the total volume) results in significantly faster heat accumulation with the same tank volume (3.85 times at the beginning of the process) and more heat stored (decrease in the temperature of water alone by 14 K and water with PCM capsules by 26 K in the same period of time), which gives promising perspectives for the use of this solution on a semitechnical scale and further in a real-size heating system. Full article
(This article belongs to the Section G2: Phase Change Materials for Energy Storage)
Show Figures

Figure 1

15 pages, 1451 KB  
Article
Development of Novel Fluticasone/Salmeterol/Tiotropium-Loaded Dry Powder Inhaler and Bioequivalence Assessment to Commercial Products in Rats
by Hyukjun Cho, Hyunji Lee and Duhyeong Hwang
Pharmaceutics 2025, 17(1), 103; https://doi.org/10.3390/pharmaceutics17010103 - 14 Jan 2025
Cited by 2 | Viewed by 2261
Abstract
Background/Objectives: Inhaler devices have been developed for the effective delivery of inhaled medications used in the treatment of pulmonary diseases. However, differing operating procedures across the devices can lead to user errors and reduce treatment efficacy, especially when patients use [...] Read more.
Background/Objectives: Inhaler devices have been developed for the effective delivery of inhaled medications used in the treatment of pulmonary diseases. However, differing operating procedures across the devices can lead to user errors and reduce treatment efficacy, especially when patients use multiple devices simultaneously. To address this, we developed a novel dry powder inhaler (DPI), combining fluticasone propionate (FP), salmeterol xinafoate (SX), and tiotropium bromide (TB) into a single device designed for bioequivalent delivery compared to existing commercial products in an animal model. Methods: The micronized FP/SX/TB-loaded capsule was prepared by sieving, blending, and filling capsules. Capsule suitability of the drugs was investigated from the comparison of the stability of drugs within various capsule formulations to that of commercial products. The particle size of the drugs was adjusted using spiral air jet milling, and the ratio of lactose hydrate carriers was optimized by comparing the aerodynamic particle size distribution (APSD) with that of commercial products. To investigate the bioequivalence of micronized FP/SX/TB-loaded DPI to commercial products, the dissolution profile of FP/SX/TB particles and pharmacokinetics in rats were evaluated and compared to commercial products. Results: Capsules with hydroxypropyl methylcellulose (HPMC) without a gelling agent showed superior stability of the drugs compared to commercial products. The deposition pattern was influenced by the particle size of the drugs, and fine particle mass exhibited a significant correlation with the amount of fine carrier. Micronized FP/SX/TB-loaded DPI gave a similar APSD and dissolution profile compared to the commercial products and showed dose uniformity by the DPI device. Furthermore, micronized FP/SX/TB-loaded DPI exhibited bioequivalence to commercial products, as evidenced by no significant differences in pharmacokinetic parameters following intratracheal administration in rats. Conclusions: A novel triple-combination DPI containing FP/SX/TB was successfully developed, demonstrating comparable pharmacological performance to commercial products. Optimized FP/SX/TB-loaded DPI with HPMC capsule achieved bioequivalence in rat studies, suggesting its potential for improved patient compliance and therapeutic outcomes. This novel single-device DPI offers a promising alternative for triple therapy in pulmonary diseases. Full article
Show Figures

Graphical abstract

21 pages, 5454 KB  
Article
Investigation on the Fracture Mechanism of Self-Healing Mortar Specimens Using Acoustic Emission (AE) Analysis and a Lattice Discrete Element Method (LDEM)
by Giuseppe Lacidogna, Pedro Marin Montanari, Boris Nahuel Rojo Tanzi, Ignácio Iturrioz, Jean-Marc Tulliani, Giovanni Anglani and Paola Antonaci
Sci 2025, 7(1), 5; https://doi.org/10.3390/sci7010005 - 2 Jan 2025
Cited by 1 | Viewed by 1845
Abstract
This paper discusses the combined application of the Acoustic Emission (AE) technique and a Lattice Discrete Element Method (LDEM) to study the damage process in cement mortar specimens subjected to three-point bending tests. The experimental work was carried out in a previous study [...] Read more.
This paper discusses the combined application of the Acoustic Emission (AE) technique and a Lattice Discrete Element Method (LDEM) to study the damage process in cement mortar specimens subjected to three-point bending tests. The experimental work was carried out in a previous study by the research team. The specimens contain macro-capsules filled with a polyurethane resin that promotes a self-healing mechanism upon crack formation. The numerical model here developed provides an estimate of the fracture energy of the resin, which is difficult to obtain by relying purely on experimental results. Furthermore, this study includes the analysis of both fracture energy and Acoustic Emission energy based on experimental tests using the same specimens. Through the comparison of experimental and numerical results, a correlation between the toughness of the specimens and AE activity is established. The findings indicate that, for the self-healing specimens, there is a decrease in fracture energy as the emitted Acoustic Emission (AE) energy increases. Full article
(This article belongs to the Special Issue Feature Papers—Multidisciplinary Sciences 2023)
Show Figures

Figure 1

15 pages, 7972 KB  
Article
PM2.5 Exposure Induces Glomerular Hyperfiltration in Mice in a Gender-Dependent Manner
by Hao Wang, Li Ma, Yuqiong Guo, Lingyu Ren, Guangke Li and Nan Sang
Toxics 2024, 12(12), 878; https://doi.org/10.3390/toxics12120878 - 1 Dec 2024
Cited by 1 | Viewed by 12418
Abstract
As one of the most common air pollutants, fine particulate matter (PM2.5) increases the risk of diseases in various systems, including the urinary system. In the present study, we exposed male and female C57BL/6J mice to PM2.5 for 8 weeks. [...] Read more.
As one of the most common air pollutants, fine particulate matter (PM2.5) increases the risk of diseases in various systems, including the urinary system. In the present study, we exposed male and female C57BL/6J mice to PM2.5 for 8 weeks. Examination of renal function indices, including creatinine (CRE), blood urea nitrogen (BUN), uric acid (UA), and urinary microalbumin, indicated that the kidneys of female mice, not male mice, underwent early renal injury, exhibiting glomerular hyperfiltration. Meanwhile, pathological staining showed that the kidneys of female mice exhibited enlarged glomerulus that filled the entire Bowman’s capsule in the female mice. Afterward, we explored the potential causes and mechanisms of glomerular hyperfiltration. Variations in mRNA levels of key genes involved in the renin–angiotensin system (RAS) and kallikrein–kinin system (KKS) demonstrated that PM2.5 led to elevated glomerular capillary hydrostatic pressure in female mice by disturbing the balance between the RAS and KKS, which in turn increased the glomerular filtration rate (GFR). In addition, we found that PM2.5 increased blood glucose levels in the females, which enhanced tubular reabsorption of glucose, attenuated macular dense sensory signaling, induced renal hypoxia, and affected adenosine triphosphate (ATP) synthesis, thus attenuating tubuloglomerular feedback (TGF)-induced afferent arteriolar constriction and leading to glomerular hyperfiltration. In conclusion, this study indicated that PM2.5 induced glomerular hyperfiltration in female mice by affecting RAS/KKS imbalances, as well as the regulation of TGF; innovatively unveiled the association between PM2.5 subchronic exposure and early kidney injury and its gender dependence; enriched the toxicological evidence of PM2.5 and confirmed the importance of reducing ambient PM2.5 concentrations. Full article
(This article belongs to the Special Issue Toxicity and Human Health Assessment of Air Pollutants)
Show Figures

Graphical abstract

17 pages, 4791 KB  
Article
Capsule Endoscopy Image Enhancement for Small Intestinal Villi Clarity
by Shaojie Zhang, Yinghui Wang, Peixuan Liu, Yukai Wang, Liangyi Huang, Mingfeng Wang and Ibragim Atadjanov
Mathematics 2024, 12(21), 3317; https://doi.org/10.3390/math12213317 - 23 Oct 2024
Cited by 1 | Viewed by 2459
Abstract
Wireless capsule endoscopy (WCE) has become an important tool for gastrointestinal examination due to its non-invasive nature and minimal patient discomfort. However, the quality of WCE images is often limited by built-in lighting and the complex gastrointestinal environment, particularly in the region filled [...] Read more.
Wireless capsule endoscopy (WCE) has become an important tool for gastrointestinal examination due to its non-invasive nature and minimal patient discomfort. However, the quality of WCE images is often limited by built-in lighting and the complex gastrointestinal environment, particularly in the region filled with small intestinal villi. Additionally, the morphology of these villi usually serves as a crucial indicator for related diseases. To address this, we propose a novel method to enhance the clarity of small intestinal villi in WCE images. Our method uses a guided filter to separate the low- and high-frequency components of WCE images. Illumination gain factors are calculated from the low-frequency components, while gradient gain factors are derived from Laplacian convolutions on different regions. These factors enhance the high-frequency components, combined with the original image. This approach improves edge detail while suppressing noise and avoiding edge overshoot, providing clearer images for diagnosis. Experimental results show that our proposed method achieved a 45.47% increase in PSNR compared to classical enhancement algorithms, a 12.63% improvement in IRMLE relative to the original images, and a 31.84% reduction in NIQE with respect to the original images. Full article
Show Figures

Figure 1

19 pages, 8485 KB  
Article
Evaluation of the In-Vitro Effects of Albendazole, Mebendazole, and Praziquantel Nanocapsules against Protoscolices of Hydatid Cyst
by Nooshinmehr Soleymani, Soheil Sadr, Cinzia Santucciu, Abbas Rahdar, Giovanna Masala and Hassan Borji
Pathogens 2024, 13(9), 790; https://doi.org/10.3390/pathogens13090790 - 12 Sep 2024
Cited by 10 | Viewed by 3719
Abstract
Cystic echinococcosis still remains a serious health and economic problem worldwide. The etiologic agent is Echinococcus granulosus sensu lato, giving origin to a fluid-filled cystic lesion. Therapy faces several challenges. Nanodrugs have shown promise as chemotherapeutics against hydatid cysts. The present study [...] Read more.
Cystic echinococcosis still remains a serious health and economic problem worldwide. The etiologic agent is Echinococcus granulosus sensu lato, giving origin to a fluid-filled cystic lesion. Therapy faces several challenges. Nanodrugs have shown promise as chemotherapeutics against hydatid cysts. The present study evaluated a highly safe lipid nano-polymeric capsule for its superior efficacy and ability to overcome drug resistance. Nanocapsule drugs were formulated into six groups: Albendazole, mebendazole, praziquantel, albendazole + mebendazole, albendazole + praziquantel, and praziquantel + mebendazole. The protoscolicidal effects of these six groups were assessed at 10, 60, and 120 min in three concentrations (1, 0.5, and 0.25 mg/mL). Drug formulations were evaluated via zeta potential, droplet size, solubility, particle size analyzer (PSA), and scanning electron microscopy. According to the PSA results, the mean size of the albendazole nanocapsules was 193.01 nm, mebendazole was 170.40 nm, and praziquantel was 180.44 nm. Albendazole + mebendazole showed the greatest protoscolicidal activity at a concentration of 1 mg/mL after 120 min. In contrast, each drug’s 0.25 mg/mL single-dose times showed the least protoscolicidal activity after 120 min. With the right application of nanotechnology, it is possible to produce safe and effective drugs, such as the polymeric combination of albendazole and mebendazole, which has promising implications. Full article
(This article belongs to the Section Parasitic Pathogens)
Show Figures

Figure 1

Back to TopTop