Sign in to use this feature.

Years

Between: -

Subjects

remove_circle_outline
remove_circle_outline
remove_circle_outline
remove_circle_outline
remove_circle_outline
remove_circle_outline

Journals

Article Types

Countries / Regions

Search Results (23)

Search Parameters:
Keywords = cancer–stromal hybridization

Order results
Result details
Results per page
Select all
Export citation of selected articles as:
47 pages, 10163 KB  
Review
Nanomedicine in Ovarian Cancer: Advances in Imaging, Targeted Delivery, and Theranostic Therapeutic Platforms
by Dorota Bartusik-Aebisher, Izabella Wilk and David Aebisher
Cancers 2026, 18(1), 86; https://doi.org/10.3390/cancers18010086 - 27 Dec 2025
Viewed by 354
Abstract
Ovarian cancer continues to be the most lethal gynaecological malignancy, principally due to its late-stage diagnosis, extensive peritoneal dissemination, chemoresistance, and limitations of current imaging and therapeutic strategies. By optimising pharmacokinetics, refining tumour-selective drug delivery, and supporting high-resolution, multimodal imaging, nanomedicine offers a [...] Read more.
Ovarian cancer continues to be the most lethal gynaecological malignancy, principally due to its late-stage diagnosis, extensive peritoneal dissemination, chemoresistance, and limitations of current imaging and therapeutic strategies. By optimising pharmacokinetics, refining tumour-selective drug delivery, and supporting high-resolution, multimodal imaging, nanomedicine offers a versatile platform to address these limitations. In this review, current progress across lipid-based, polymeric, inorganic, hybrid, and biomimetic nanocarriers is synthesised, emphasising how tailored physiochemical properties, surface functionalisation, and stimuli-responsive designs can improve tumour localisation, surmount stromal and ascetic barriers, and enable controlled drug release. Concurrently, significant advancement in imaging nanoprobes, including magnetic resonance imaging (MRI), positron emission tomography (PET)/single-photon emission computed tomography (SPECT), optical, near-infrared imaging (NIR), ultrasound, and photoacoustic systems, has evolved early lesion detection, intraoperative guidance, and quantitative monitoring of treatment. Diagnosis and therapy are further integrated within single platforms by emerging theranostic constructs, encouraging real-time visualisation of drug distribution and treatment response. Additionally, immune-nanomedicine, intraperitoneal depot systems, and nucleic acid-centred nanotherapies offer promising strategies to address immune suppression and molecular resistance in advanced ovarian cancer. In spite of noteworthy achievements, clinical translation is limited by complex manufacturing requirements, challenges with safety and stability, and restricted patient stratification. To unlock the full clinical potential of nanotechnology in ovarian cancer management, constant innovation in scalable design, regulatory standardisation, and integration of precision biomarkers will be necessary. Full article
(This article belongs to the Section Methods and Technologies Development)
Show Figures

Graphical abstract

24 pages, 821 KB  
Review
Proteoglycans in Prostate Cancer Progression and Therapy Resistance
by Ivana Samaržija
Medicina 2025, 61(12), 2112; https://doi.org/10.3390/medicina61122112 - 27 Nov 2025
Viewed by 305
Abstract
The extracellular matrix (ECM) is a complex noncellular network of (macro-)molecules that surrounds and supports diverse cells in tissues and organs. In cancer, ECM is a part of the tumor microenvironment (TME) that embeds its cellular components including cancer cells and the neighboring [...] Read more.
The extracellular matrix (ECM) is a complex noncellular network of (macro-)molecules that surrounds and supports diverse cells in tissues and organs. In cancer, ECM is a part of the tumor microenvironment (TME) that embeds its cellular components including cancer cells and the neighboring non-cancerous stromal cells such as fibroblasts, endothelial, and immune cells. Given the complexity of players and interactions that the ECM participates in and is exposed to in the TME, it does not come as a surprise that many of the processes that drive cancer progression take part precisely in the ECM compartment of the TME. Along with diverse glycoproteins and collagens, proteoglycans (PGs) are among the main components of the core ECM. PGs are composed of a protein core to which glycosaminoglycan chains are attached. Considering the structural diversity of these molecules and their ‘hybrid’ nature, it is not surprising that they are involved in a variety of processes that are vital for surrounding cells. Moreover, they are secreted by both cancer and stromal cells, contributing to the complexity of interactions in the TME. In prostate cancer, PGs have been shown to be involved in many steps of its progression; the most prominent examples include the seemingly tumor-promoting roles of versican, perlecan, and biglycan, and the tumor-suppressive roles of decorin and betaglycan. The role of syndecan 1 is a bit more complex; namely, the nature of its role is context dependent. In this narrative review article, the roles of PGs in prostate cancer progression and therapy resistance are discussed in more detail. Full article
(This article belongs to the Special Issue Prostate Cancer in the Molecular Era)
Show Figures

Figure 1

28 pages, 2869 KB  
Review
Scaffolds Mimicking the Tumor Microenvironment for In Vitro Malignancy Models
by Elisabetta Rosellini and Maria Grazia Cascone
Biomimetics 2025, 10(10), 695; https://doi.org/10.3390/biomimetics10100695 - 14 Oct 2025
Viewed by 1222
Abstract
The tumor microenvironment (TME) plays a crucial role in regulating cancer cell proliferation, invasion, and drug resistance. Traditional two-dimensional (2D) in vitro models and animal models often fail to replicate the biochemical and biophysical complexity of human tumors, leading to low predictive power [...] Read more.
The tumor microenvironment (TME) plays a crucial role in regulating cancer cell proliferation, invasion, and drug resistance. Traditional two-dimensional (2D) in vitro models and animal models often fail to replicate the biochemical and biophysical complexity of human tumors, leading to low predictive power in preclinical drug screening. In recent years, scaffold-based three-dimensional (3D) in vitro models have emerged as promising alternatives, offering a more physiologically relevant context for studying tumor behavior. Among these, biomimetic scaffolds capable of replicating the composition, stiffness, porosity, and signaling features of the tumor extracellular matrix (ECM) are of particular interest. This review provides a comprehensive overview of scaffold-based approaches for mimicking the TME in vitro. After outlining the key characteristics of the tumor ECM, we discuss various scaffold typologies, including those based on natural, synthetic, and hybrid biomaterials, as well as decellularized ECM. Recent advancements in fabrication technologies, such as electrospinning and 3D bioprinting, are also highlighted for their role in replicating the geometric and mechanical features of tumor tissues. Special attention is given to the integration of vascular components and stromal cells to recapitulate the complexity of the TME. Finally, we explore current limitations and future directions, emphasizing the need for standardized and reproducible models, particularly in the context of personalized cancer therapy. Full article
Show Figures

Figure 1

14 pages, 7053 KB  
Article
Assessment of Human Epididymis Protein 4 Expression in Breast Ductal Carcinoma In Situ
by Nah Ihm Kim, Min Ho Park and Ji Shin Lee
Diagnostics 2025, 15(9), 1058; https://doi.org/10.3390/diagnostics15091058 - 22 Apr 2025
Viewed by 769
Abstract
Background/Objectives: Elevated expression of human epididymis protein 4 (HE4) has been observed in breast cancer and is associated with cancer progression; however, its role in ductal carcinoma in situ (DCIS) remains unclear. This study aimed to evaluate HE4 levels in serum and [...] Read more.
Background/Objectives: Elevated expression of human epididymis protein 4 (HE4) has been observed in breast cancer and is associated with cancer progression; however, its role in ductal carcinoma in situ (DCIS) remains unclear. This study aimed to evaluate HE4 levels in serum and tissue from patients with DCIS and their correlation with clinicopathological features. Methods: Preoperative serum HE4 levels were measured in 59 DCIS patients. HE4 mRNA and protein expression in DCIS and adjacent normal tissues were assessed using RNAscope in situ hybridization and immunohistochemistry, respectively. An additional independent tissue microarray of 41 DCIS cases was also analyzed for HE4 expression in tumor tissue only. Furthermore, the BreastMark database was applied to assess the prognostic significance of HE4 expression in a larger cohort of breast cancer. Results: Serum HE4 levels (mean ± SD: 39.4 ± 11.9 pmol/L) were within the normal range and showed no significant correlation with clinicopathological parameters except menopausal status. HE4 expression was significantly higher in DCIS tissues compared to adjacent normal tissues, with a positive correlation between mRNA and protein levels (r = 0.771, p < 0.001). High HE4 mRNA and protein expression was associated with ER positivity, HER2 negativity, low stromal tumor-infiltrating lymphocyte density, and HR+/HER2− subtypes, but was not predictive of DCIS recurrence. In breast cancer patients, high HE4 expression was significantly correlated with improved survival outcomes. Conclusions: Although serum HE4 is not elevated in DCIS, high HE4 expression in tissue is associated with favorable clinicopathological features. These findings highlight the need for further investigation into the potential prognostic role of HE4. Full article
(This article belongs to the Section Pathology and Molecular Diagnostics)
Show Figures

Figure 1

17 pages, 13134 KB  
Article
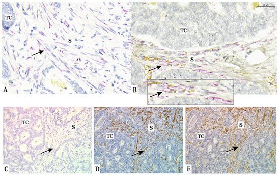
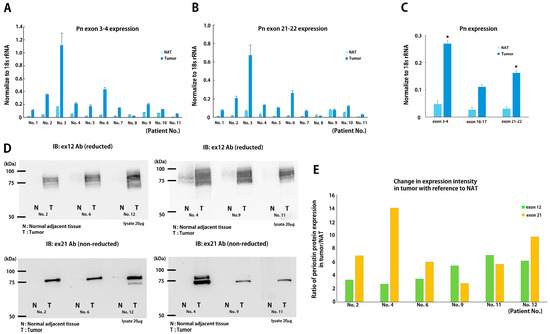
Expression of Periostin Alternative Splicing Variants in Normal Tissue and Breast Cancer
by Yuko Kanemoto, Fumihiro Sanada, Kana Shibata, Yasuo Tsunetoshi, Naruto Katsuragi, Nobutaka Koibuchi, Tetsuhiro Yoshinami, Koichi Yamamoto, Ryuichi Morishita, Yoshiaki Taniyama and Kenzo Shimazu
Biomolecules 2024, 14(9), 1093; https://doi.org/10.3390/biom14091093 - 31 Aug 2024
Cited by 2 | Viewed by 3077
Abstract
(1) Background: Periostin (Pn) is a secreted protein found in the extracellular matrix, and it plays a variety of roles in the human body. Physiologically, Pn has a variety of functions, including bone formation and wound healing. However, it has been implicated in [...] Read more.
(1) Background: Periostin (Pn) is a secreted protein found in the extracellular matrix, and it plays a variety of roles in the human body. Physiologically, Pn has a variety of functions, including bone formation and wound healing. However, it has been implicated in the pathogenesis of various malignant tumors and chronic inflammatory diseases. Pn has alternative splicing variants (ASVs), and our previous research revealed that aberrant ASVs contribute to the pathogenesis of breast cancer and heart failure. However, the difference in expression pattern between physiologically expressed Pn-ASVs and those expressed during pathogenesis is not clear. (2) Methods and results: We examined normal and breast cancer tissues, focusing on the Pn-ASVs expression pattern to assess the significance of pathologically expressed Pn-ASVs as potential diagnostic and therapeutic targets. We found that most physiologically expressed Pn isoforms lacked exon 17 and 21. Next, we used human breast cancer and normal adjacent tissue (NAT) to investigate the expression pattern of Pn-ASVs under pathological conditions. Pn-ASVs with exon 21 were significantly increased in tumor tissues compared with NAT. In situ hybridization identified the synthesis of Pn-ASVs with exon 21 in peri-tumoral stromal cells. Additionally, the in vivo bio-distribution of 89Zr-labeled Pn antibody against exon 21 (Pn-21Ab) in mice bearing breast cancer demonstrated selective and specific accumulation in tumors, while Pn-21Ab significantly suppressed tumor growth in the mouse breast cancer model. (3) Conclusions: Together, these data indicate that Pn-ASVs might have potential for use as diagnostic and therapeutic targets for breast cancer. Full article
Show Figures

Figure 1

18 pages, 15026 KB  
Article
Spontaneous Fusion with Transformed Mesenchymal Stromal Cells Results in Complete Heterogeneity in Prostate Cancer Cells
by Ruoxiang Wang, Peizhen Hu, Fubo Wang, Ji Lyu, Yan Ou, Mouad Edderkaoui, Yi Zhang, Michael S. Lewis, Stephen J. Pandol, Haiyen E. Zhau and Leland W. K. Chung
Cancers 2024, 16(5), 951; https://doi.org/10.3390/cancers16050951 - 27 Feb 2024
Viewed by 2099
Abstract
Tumor cells gain advantages in growth and survival by acquiring genotypic and phenotypic heterogeneity. Interactions with bystander cells in the tumor microenvironment contribute to the progression of heterogeneity. We have shown that fusion between tumor and bystander cells is one form of interaction, [...] Read more.
Tumor cells gain advantages in growth and survival by acquiring genotypic and phenotypic heterogeneity. Interactions with bystander cells in the tumor microenvironment contribute to the progression of heterogeneity. We have shown that fusion between tumor and bystander cells is one form of interaction, and that tumor–bystander cell fusion has contrasting effects. By trapping fusion hybrids in the heterokaryon or synkaryon state, tumor–bystander cell fusion prevents the progression of heterogeneity. However, if trapping fails, fusion hybrids will resume replication to form derivative clones with diverse genomic makeups and behavioral phenotypes. To determine the characteristics of bystander cells that influence the fate of fusion hybrids, we co-cultured prostate mesenchymal stromal cell lines and their spontaneously transformed sublines with LNCaP as well as HPE-15 prostate cancer cells. Subclones derived from cancer–stromal fusion hybrids were examined for genotypic and phenotypic diversifications. Both stromal cell lines were capable of fusing with cancer cells, but only fusion hybrids with the transformed stromal subline generated large numbers of derivative subclones. Each subclone had distinct cell morphologies and growth behaviors and was detected with complete genomic hybridization. The health conditions of the bystander cell compartment play a crucial role in the progression of tumor cell heterogeneity. Full article
(This article belongs to the Section Tumor Microenvironment)
Show Figures

Graphical abstract

16 pages, 1249 KB  
Review
Emerging Hallmarks of Metabolic Reprogramming in Prostate Cancer
by Francesco Lasorsa, Nicola Antonio di Meo, Monica Rutigliano, Matteo Ferro, Daniela Terracciano, Octavian Sabin Tataru, Michele Battaglia, Pasquale Ditonno and Giuseppe Lucarelli
Int. J. Mol. Sci. 2023, 24(2), 910; https://doi.org/10.3390/ijms24020910 - 4 Jan 2023
Cited by 46 | Viewed by 6003
Abstract
Prostate cancer (PCa) is the most common male malignancy and the fifth leading cause of cancer death in men worldwide. Prostate cancer cells are characterized by a hybrid glycolytic/oxidative phosphorylation phenotype determined by androgen receptor signaling. An increased lipogenesis and cholesterogenesis have been [...] Read more.
Prostate cancer (PCa) is the most common male malignancy and the fifth leading cause of cancer death in men worldwide. Prostate cancer cells are characterized by a hybrid glycolytic/oxidative phosphorylation phenotype determined by androgen receptor signaling. An increased lipogenesis and cholesterogenesis have been described in PCa cells. Many studies have shown that enzymes involved in these pathways are overexpressed in PCa. Glutamine becomes an essential amino acid for PCa cells, and its metabolism is thought to become an attractive therapeutic target. A crosstalk between cancer and stromal cells occurs in the tumor microenvironment because of the release of different cytokines and growth factors and due to changes in the extracellular matrix. A deeper insight into the metabolic changes may be obtained by a multi-omic approach integrating genomics, transcriptomics, metabolomics, lipidomics, and radiomics data. Full article
(This article belongs to the Special Issue Novel Insights into Molecular Biology of Urological Cancers 2.0)
Show Figures

Figure 1

33 pages, 11363 KB  
Article
Patient-Derived Primary Cancer-Associated Fibroblasts Mediate Resistance to Anti-Angiogenic Drug in Ovarian Cancers
by Raed Sulaiman, Pradip De, Jennifer C. Aske, Xiaoqian Lin, Adam Dale, Nischal Koirala, Kris Gaster, Luis Rojas Espaillat, David Starks and Nandini Dey
Biomedicines 2023, 11(1), 112; https://doi.org/10.3390/biomedicines11010112 - 1 Jan 2023
Cited by 18 | Viewed by 5973
Abstract
Ovarian cancers rank first in both aggressiveness and dismal prognosis among gynecological neoplasms. The poor outcome is explained by the fact that most patients present with late-stage disease and progress through the first line of treatment. Ovarian neoplasms, especially epithelial ovarian cancers, are [...] Read more.
Ovarian cancers rank first in both aggressiveness and dismal prognosis among gynecological neoplasms. The poor outcome is explained by the fact that most patients present with late-stage disease and progress through the first line of treatment. Ovarian neoplasms, especially epithelial ovarian cancers, are diagnosed at advanced/metastatic stages, often with a high angiogenesis index, one of the hallmarks of ovarian cancers with rapid progression and poor outcome as resistance to anti-angiogenic therapy develops. Despite therapy, the metastatic progression of aggressive ovarian cancer is a spectacularly selective function of tumor cells aided and abetted by the immune, mesenchymal and angiogenic components of the tumor microenvironment (TME) that enforces several pro-metastatic event(s) via direct and indirect interactions with stromal immune cells, cancer-associated fibroblasts (CAFs), and vascular endothelial cells. Since transdifferentiation of tumor endothelium is one of the major sources of CAFs, we hypothesized that ovarian CAF plays a critical role in resisting anti-angiogenic effects via direct crosstalk with endothelium and hence plays a direct role in the development of resistance to anti-angiogenic drugs. To test the hypothesis, we set up a hybrid ex vivo model for co-culture comprising Patient-Derived ex vivo primary CAFs from ovarian tumor samples and human umbilical vein endothelial cells (HUVEC). Patient-Derived CAFs were characterized by the mRNA and protein expression of positive (SMA, S100A4, TE-7, FAP-A, CD90/THY1), negative (EpCAM, CK 8,18, CD31, CD44, CD45), functional (PDGFRA, TGFB1, TGFB2, TGFRA) and immunological markers (PD-L1, PD-L2, PD-1) associated with CAFs by qRT-PCR, flow cytometry, Western blot, and ICC. Data from our HUVEC-on-CAF ex vivo Hybrid Co-Culture (HyCC) study demonstrate the pro-angiogenic effect of Patient-Derived ovarian CAFs by virtue of their ability to resist the effect of anti-angiogenic drugs, thereby aiding the development of resistance to anti-angiogenic drugs. Ascertaining direct experimental proof of the role of CAFs in developing resistance to specific anti-angiogenic drugs will provide an opportunity to investigate new drugs for counteracting CAF resistance and "normalizing/re-educating" TME in aggressive ovarian cancers. Our data provide a unique experimental tool for the personalized testing of anti-angiogenic drugs, positively predicting the development of future resistance to anti-angiogenic drugs well before it is clinically encountered in patients. Full article
(This article belongs to the Special Issue Arteriogenesis and Angiogenesis: Molecular Mechanisms and Therapies)
Show Figures

Figure 1

22 pages, 6864 KB  
Article
A 3D, Compartmental Tumor-Stromal Microenvironment Model of Patient-Derived Bone Metastasis
by Mansoureh Mohseni Garakani, Megan E. Cooke, Michael H. Weber, Michael R. Wertheimer, Abdellah Ajji and Derek H. Rosenzweig
Int. J. Mol. Sci. 2023, 24(1), 160; https://doi.org/10.3390/ijms24010160 - 21 Dec 2022
Cited by 2 | Viewed by 3202
Abstract
Bone is a frequent site of tumor metastasis. The bone–tumor microenvironment is heterogeneous and complex in nature. Such complexity is compounded by relations between metastatic and bone cells influencing their sensitivity/resistance to chemotherapeutics. Standard chemotherapeutics may not show efficacy for every patient, and [...] Read more.
Bone is a frequent site of tumor metastasis. The bone–tumor microenvironment is heterogeneous and complex in nature. Such complexity is compounded by relations between metastatic and bone cells influencing their sensitivity/resistance to chemotherapeutics. Standard chemotherapeutics may not show efficacy for every patient, and new therapeutics are slow to emerge, owing to the limitations of existing 2D/3D models. We previously developed a 3D interface model for personalized therapeutic screening, consisting of an electrospun poly lactic acid mesh activated with plasma species and seeded with stromal cells. Tumor cells embedded in an alginate-gelatin hydrogel are overlaid to create a physiologic 3D interface. Here, we applied our 3D model as a migration assay tool to verify the migratory behavior of different patient-derived bone metastasized cells. We assessed the impact of two different chemotherapeutics, Doxorubicin and Cisplatin, on migration of patient cells and their immortalized cell line counterparts. We observed different migratory behaviors and cellular metabolic activities blocked with both Doxorubicin and Cisplatin treatment; however, higher efficiency or lower IC50 was observed with Doxorubicin. Gene expression analysis of MDA-MB231 that migrated through our 3D hybrid model verified epithelial–mesenchymal transition through increased expression of mesenchymal markers involved in the metastasis process. Our findings indicate that we can model tumor migration in vivo, in line with different cell characteristics and it may be a suitable drug screening tool for personalized medicine approaches in metastatic cancer treatment. Full article
Show Figures

Figure 1

18 pages, 4738 KB  
Article
Type IV Collagen in Human Colorectal Liver Metastases—Cellular Origin and a Circulating Biomarker
by Moa Lindgren, Gunilla Rask, Josefin Jonsson, Anette Berglund, Christina Lundin, Pär Jonsson, Ingrid Ljuslinder and Hanna Nyström
Cancers 2022, 14(14), 3396; https://doi.org/10.3390/cancers14143396 - 13 Jul 2022
Cited by 11 | Viewed by 2590
Abstract
Circulating type IV collagen (cCOL IV) is a potential biomarker for patients with colorectal liver metastases (CLM) who present with elevated levels of COL IV in both CLM tissue and circulation. This study aimed to establish the cellular origin of elevated levels of [...] Read more.
Circulating type IV collagen (cCOL IV) is a potential biomarker for patients with colorectal liver metastases (CLM) who present with elevated levels of COL IV in both CLM tissue and circulation. This study aimed to establish the cellular origin of elevated levels of COL IV and analyze circulating COL IV in CLM patients. The cellular source was established through in situ hybridization, immunohistochemical staining, and morphological evaluation. Cellular expression in vitro was assessed by immunofluorescence. Tissue expression of COL IV-degrading matrix metalloproteinases (MMPs)-2, -7, -9, and -13 was studied with immunohistochemical staining. Plasma levels of COL IV in CLM patients and healthy controls were analyzed with ELISA. This study shows that cancer-associated fibroblasts (CAFs) express COL IV in the stroma of CLM and that COL IV is expressed in vitro by fibroblasts but not by tumor cells. MMP-2, -7, -9, and -13 are expressed in CLM tissue, mainly by hepatocytes and immune cells, and circulating COL IV is significantly elevated in CLM patients compared with healthy controls. Our study shows that stromal cells, not tumor cells, produce COL IV in CLM, and that circulating COL IV is elevated in patients with CLM. Full article
(This article belongs to the Section Tumor Microenvironment)
Show Figures

Figure 1

19 pages, 4062 KB  
Article
An Innovative Arteriovenous (AV) Loop Breast Cancer Model Tailored for Cancer Research
by Ran An, Pamela L. Strissel, Majida Al-Abboodi, Jan W. Robering, Reakasame Supachai, Markus Eckstein, Ajay Peddi, Theresa Hauck, Tobias Bäuerle, Aldo R. Boccaccini, Almoatazbellah Youssef, Jiaming Sun, Reiner Strick, Raymund E. Horch, Anja M. Boos and Annika Kengelbach-Weigand
Bioengineering 2022, 9(7), 280; https://doi.org/10.3390/bioengineering9070280 - 27 Jun 2022
Cited by 5 | Viewed by 4395
Abstract
Animal models are important tools to investigate the pathogenesis and develop treatment strategies for breast cancer in humans. In this study, we developed a new three-dimensional in vivo arteriovenous loop model of human breast cancer with the aid of biodegradable materials, including fibrin, [...] Read more.
Animal models are important tools to investigate the pathogenesis and develop treatment strategies for breast cancer in humans. In this study, we developed a new three-dimensional in vivo arteriovenous loop model of human breast cancer with the aid of biodegradable materials, including fibrin, alginate, and polycaprolactone. We examined the in vivo effects of various matrices on the growth of breast cancer cells by imaging and immunohistochemistry evaluation. Our findings clearly demonstrate that vascularized breast cancer microtissues could be engineered and recapitulate the in vivo situation and tumor-stromal interaction within an isolated environment in an in vivo organism. Alginate–fibrin hybrid matrices were considered as a highly powerful material for breast tumor engineering based on its stability and biocompatibility. We propose that the novel tumor model may not only serve as an invaluable platform for analyzing and understanding the molecular mechanisms and pattern of oncologic diseases, but also be tailored for individual therapy via transplantation of breast cancer patient-derived tumors. Full article
(This article belongs to the Special Issue Bio-Applications of Soft Materials)
Show Figures

Figure 1

10 pages, 955 KB  
Article
Tropomyosin-Related Kinase Fusions in Gastrointestinal Stromal Tumors
by Ji Hyun Lee, Su-Jin Shin, Eun-Ah Choe, Jungyoun Kim, Woo Jin Hyung, Hyo Song Kim, Minkyu Jung, Seung-Hoon Beom, Tae Il Kim, Joong Bae Ahn, Hyun Cheol Chung and Sang Joon Shin
Cancers 2022, 14(11), 2659; https://doi.org/10.3390/cancers14112659 - 27 May 2022
Cited by 13 | Viewed by 2480 | Correction
Abstract
The canonical mutations in gastrointestinal stromal tumors (GISTs) are typically activating mutations in KIT and platelet-derived growth factor receptor alpha (PDGFRA). GISTs with non-canonical mutations are a heterogeneous group. Here, we examined tropomyosin-related kinase (TRK) fusion in GIST cases without KIT/PDGFRA mutations ( [...] Read more.
The canonical mutations in gastrointestinal stromal tumors (GISTs) are typically activating mutations in KIT and platelet-derived growth factor receptor alpha (PDGFRA). GISTs with non-canonical mutations are a heterogeneous group. Here, we examined tropomyosin-related kinase (TRK) fusion in GIST cases without KIT/PDGFRA mutations (KIT/PDGFRA wild-type (WT) GISTs). We retrospectively analyzed patients who were diagnosed with GISTs at the Yonsei Cancer Center, Severance Hospital, between January 1998 and December 2016. Thirty-one patients with KIT/PDGFRA WT GISTs were included in the analysis. TRK expression in tumor samples was assessed by pan-TRK immunohistochemistry (IHC), and the neurotrophic tyrosine receptor kinase (NTRK: the gene encoding TRK) rearrangement was analyzed by fluorescence in situ hybridization (FISH). IHC analyses revealed that five cases in this cohort exhibited a weak to moderate TRK expression. NTRK1 fusions were detected in three tumor samples, and two samples harbored NTRK3 fusions. The remaining 26 samples did not harbor NTRK fusions. Two types of NTRK fusions were detected, and the overall NTRK fusion frequency in KIT/PDGFRA WT GIST cases was 16% (5/31). Our data provide insights into the molecular alterations underpinning KIT/PDGFRA WT GISTs. More effort should be devoted to improve methods to identify this distinct disease subtype within the KIT/PDGFRA WT GIST group. Full article
Show Figures

Figure 1

18 pages, 7017 KB  
Article
Combined Assessment of the Tumor–Stroma Ratio and Tumor Immune Cell Infiltrate for Immune Checkpoint Inhibitor Therapy Response Prediction in Colon Cancer
by Cor J. Ravensbergen, Meaghan Polack, Jessica Roelands, Stijn Crobach, Hein Putter, Hans Gelderblom, Rob A. E. M. Tollenaar and Wilma E. Mesker
Cells 2021, 10(11), 2935; https://doi.org/10.3390/cells10112935 - 28 Oct 2021
Cited by 20 | Viewed by 4208
Abstract
The best current biomarker strategies for predicting response to immune checkpoint inhibitor (ICI) therapy fail to account for interpatient variability in response rates. The histologic tumor–stroma ratio (TSR) quantifies intratumoral stromal content and was recently found to be predictive of response to neoadjuvant [...] Read more.
The best current biomarker strategies for predicting response to immune checkpoint inhibitor (ICI) therapy fail to account for interpatient variability in response rates. The histologic tumor–stroma ratio (TSR) quantifies intratumoral stromal content and was recently found to be predictive of response to neoadjuvant therapy in multiple cancer types. In the current work, we predicted the likelihood of ICI therapy responsivity of 335 therapy-naive colon adenocarcinoma tumors from The Cancer Genome Atlas, using bioinformatics approaches. The TSR was scored on diagnostic tissue slides, and tumor-infiltrating immune cells (TIICs) were inferred from transcriptomic data. Tumors with high stromal content demonstrated increased T regulatory cell infiltration (p = 0.014) but failed to predict ICI therapy response. Consequently, we devised a hybrid tumor microenvironment classification of four stromal categories, based on histological stromal content and transcriptomic-deconvoluted immune cell infiltration, which was associated with previously established transcriptomic and genomic biomarkers for ICI therapy response. By integrating these biomarkers, stroma-low/immune-high tumors were predicted to be most responsive to ICI therapy. The framework described here provides evidence for expansion of current histological TIIC quantification to include the TSR as a novel, easy-to-use biomarker for the prediction of ICI therapy response. Full article
(This article belongs to the Special Issue Cellular and Molecular Mechanisms of Fibrosis)
Show Figures

Figure 1

15 pages, 2752 KB  
Article
Crosstalk between Cancer Cells and Fibroblasts for the Production of Monocyte Chemoattractant Protein-1 in the Murine 4T1 Breast Cancer
by Mayu Imamura, Tiantian Li, Chunning Li, Masayoshi Fujisawa, Naofumi Mukaida, Akihiro Matsukawa and Teizo Yoshimura
Curr. Issues Mol. Biol. 2021, 43(3), 1726-1740; https://doi.org/10.3390/cimb43030122 - 22 Oct 2021
Cited by 4 | Viewed by 4006
Abstract
The chemokine monocyte chemoattractant protein-1 (MCP-1/CCL2) is shown to promote the progression of breast cancer. We previously identified cancer cell-derived granulocyte-macrophage colony-stimulating factor (GM-CSF) as a potential regulator of MCP-1 production in the murine 4T1 breast cancer, but it played a minimum role [...] Read more.
The chemokine monocyte chemoattractant protein-1 (MCP-1/CCL2) is shown to promote the progression of breast cancer. We previously identified cancer cell-derived granulocyte-macrophage colony-stimulating factor (GM-CSF) as a potential regulator of MCP-1 production in the murine 4T1 breast cancer, but it played a minimum role in overall MCP-1 production. Here, we evaluated the crosstalk between 4T1 cells and fibroblasts. When fibroblasts were co-cultured with 4T1 cells or stimulated with the culture supernatants of 4T1 cells (4T1-sup), MCP-1 production by fibroblasts markedly increased. 4T1 cells expressed mRNA for platelet-derived growth factor (PDGF)-a, b and c, and the PDGF receptor inhibitor crenolanib almost completely inhibited 4T1-sup-induced MCP-1 production by fibroblasts. However, PDGF receptor antagonists failed to reduce MCP-1 production in tumor-bearing mice. Histologically, 4T1 tumors contained a small number of αSMA-positive fibroblasts, and Mcp-1 mRNA was mainly associated with macrophages, especially those surrounding necrotic lesions on day 14, by in situ hybridization. Thus, although cancer cells have the capacity to crosstalk with fibroblasts via PDGFs, this crosstalk does not play a major role in MCP-1 production or cancer progression in this model. Unraveling complex crosstalk between cancer cells and stromal cells will help us identify new targets to help treat breast cancer patients. Full article
(This article belongs to the Section Biochemistry, Molecular and Cellular Biology)
Show Figures

Figure 1

20 pages, 1654 KB  
Review
Cancer Cell Fusion and Post-Hybrid Selection Process (PHSP)
by Ralf Hass, Juliane von der Ohe and Thomas Dittmar
Cancers 2021, 13(18), 4636; https://doi.org/10.3390/cancers13184636 - 16 Sep 2021
Cited by 23 | Viewed by 6070
Abstract
Fusion of cancer cells either with other cancer cells (homotypic fusion) in local vicinity of the tumor tissue or with other cell types (e.g., macrophages, cancer-associated fibroblasts (CAFs), mesenchymal stromal-/stem-like cells (MSC)) (heterotypic fusion) represents a rare event. Accordingly, the clinical relevance of [...] Read more.
Fusion of cancer cells either with other cancer cells (homotypic fusion) in local vicinity of the tumor tissue or with other cell types (e.g., macrophages, cancer-associated fibroblasts (CAFs), mesenchymal stromal-/stem-like cells (MSC)) (heterotypic fusion) represents a rare event. Accordingly, the clinical relevance of cancer-cell fusion events appears questionable. However, enhanced tumor growth and/or development of certain metastases can originate from cancer-cell fusion. Formation of hybrid cells after cancer-cell fusion requires a post-hybrid selection process (PHSP) to cope with genomic instability of the parental nuclei and reorganize survival and metabolic functionality. The present review dissects mechanisms that contribute to a PHSP and resulting functional alterations of the cancer hybrids. Based upon new properties of cancer hybrid cells, the arising clinical consequences of the subsequent tumor heterogeneity after cancer-cell fusion represent a major therapeutic challenge. However, cellular partners during cancer-cell fusion such as MSC within the tumor microenvironment or MSC-derived exosomes may provide a suitable vehicle to specifically address and deliver anti-tumor cargo to cancer cells. Full article
Show Figures

Figure 1

Back to TopTop