Sign in to use this feature.

Years

Between: -

Subjects

remove_circle_outline
remove_circle_outline
remove_circle_outline
remove_circle_outline
remove_circle_outline
remove_circle_outline
remove_circle_outline
remove_circle_outline
remove_circle_outline

Journals

remove_circle_outline
remove_circle_outline
remove_circle_outline
remove_circle_outline
remove_circle_outline
remove_circle_outline
remove_circle_outline
remove_circle_outline
remove_circle_outline

Article Types

Countries / Regions

remove_circle_outline
remove_circle_outline
remove_circle_outline
remove_circle_outline
remove_circle_outline

Search Results (836)

Search Parameters:
Keywords = bone morphogenetic proteins

Order results
Result details
Results per page
Select all
Export citation of selected articles as:
15 pages, 5264 KB  
Article
Pilose Antler Protein Extract Alleviates Osteoporosis and Is Associated with Activation of the Wnt/β-Catenin Signaling Pathway
by Junxiao Gong, Yuman Ma, Jun Huang, Wenyu Yang, Yi Wang and Yanan Sun
Pharmaceuticals 2026, 19(5), 665; https://doi.org/10.3390/ph19050665 - 24 Apr 2026
Viewed by 74
Abstract
Objectives: Pilose antler protein extract (PAE) was investigated for its therapeutic efficacy against ovariectomy (OVX)-induced osteoporosis and its underlying molecular mechanism. Methods: An OVX rat model was established to evaluate the effects of PAE on bone microarchitecture, histopathological changes, and bone [...] Read more.
Objectives: Pilose antler protein extract (PAE) was investigated for its therapeutic efficacy against ovariectomy (OVX)-induced osteoporosis and its underlying molecular mechanism. Methods: An OVX rat model was established to evaluate the effects of PAE on bone microarchitecture, histopathological changes, and bone metabolism-related parameters. Bone structure was assessed using Micro-CT and histological analysis, and biochemical and bone turnover markers were quantified. In vitro, Mouse calvarial pre-osteoblast subclone 14 (MC3T3-E1) Subclone 14 cells were used to examine the effects of PAE on cell viability, proliferation, osteogenic differentiation, and osteogenesis-related protein expression. Results: High-dose PAE markedly improved trabecular bone microarchitecture in OVX rats, as reflected by increased bone surface area and bone volume fraction and reduced trabecular separation. PAE significantly enhanced bone calcium content and elevated serum Bone Morphogenetic Protein 2 (BMP-2) and Procollagen Type I N-Terminal Propeptide (PINP) levels, while decreasing serum Alkaline Phosphatase (ALP) activity and C-Terminal Telopeptide of Type I Collagen (CTX-I) levels, indicating a shift toward bone formation. Mechanistically, PAE activated the Wnt-3a/β-Catenin signaling pathway in bone tissue and MC3T3-E1 cells, as evidenced by increased expression of Wnt-3a and β-Catenin proteins. In vitro experiments further demonstrated that PAE promoted MC3T3-E1 cell proliferation and upregulated osteogenic markers, i.e., Runt-related transcription factor 2 (RUNX2) and Osteocalcin (OCN). Conclusions: Collectively, these findings suggest that PAE exerts pronounced anti-osteoporotic effects and is associated with activation of the Wnt/β-Catenin signaling pathway. Full article
(This article belongs to the Section Natural Products)
Show Figures

Figure 1

17 pages, 7593 KB  
Article
Bone Regeneration Drug BMP-7 Mitigates Ponatinib-Induced Cardiotoxicity via Inhibition of Pyroptosis and Modulation of TGF-β/SMAD Signaling Pathway
by Jonatas M. Rolando and Dinender K. Singla
Cells 2026, 15(9), 762; https://doi.org/10.3390/cells15090762 - 24 Apr 2026
Viewed by 167
Abstract
Background: Ponatinib (PON), an effective tyrosine kinase inhibitor for leukemias harboring the T315I mutation, is limited by severe cardiotoxicity, including myocardial infarction and heart failure. Here, we investigated the therapeutic potential of Bone Morphogenetic Protein-7 (BMP-7), an anti-inflammatory growth factor, in a murine [...] Read more.
Background: Ponatinib (PON), an effective tyrosine kinase inhibitor for leukemias harboring the T315I mutation, is limited by severe cardiotoxicity, including myocardial infarction and heart failure. Here, we investigated the therapeutic potential of Bone Morphogenetic Protein-7 (BMP-7), an anti-inflammatory growth factor, in a murine model of PON-induced cardiotoxicity. Methods: C57BL/6J mice were distributed into experimental groups receiving PON (25 mg/kg cumulative dose) either alone or with BMP-7 (600 μg/kg cumulative dose), along with a corresponding control group. Cardiac analyses included molecular and histological assessments. Results: PON administration induced a marked increase in monocyte infiltration and M1 macrophage polarization. These inflammatory events led to the upregulation of the pyroptotic cascade, leading to activation of the TGF-β1/SMAD2/3 signaling axis. In contrast, BMP-7 significantly attenuated these pathological responses by suppressing inflammation-induced pyroptosis and the TGF-β1/SMAD2/3 signaling axis. Conclusions: These findings identify inflammation-induced pyroptosis as a central driver of the pathological changes in PON-induced cardiotoxicity. Notably, our work highlights BMP-7’s capacity to inhibit these disease-related alterations. Collectively, these results expand on the current knowledge of the mechanistic framework of PON-induced cardiotoxicity, while also emphasizing BMP-7 as a promising therapeutic candidate with potential translational relevance. Full article
(This article belongs to the Special Issue Molecular and Cellular Mechanisms of Heart Regeneration)
Show Figures

Graphical abstract

22 pages, 4327 KB  
Article
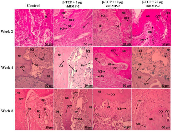
Dose-Dependent Osteoinduction by rhBMP-2-Loaded β-Tricalcium Phosphate Scaffolds in Rabbit Critical-Sized Calvarial Defects: Histological, Histomorphometric, CD31 Immunohistochemical Evaluation
by Solaf Abdulqadir Mustafa, Chenar Anwar Mohammad and Rafal Abdulrazaq Alrawi
Int. J. Mol. Sci. 2026, 27(8), 3609; https://doi.org/10.3390/ijms27083609 - 18 Apr 2026
Viewed by 179
Abstract
Critical-sized bone defects represent a major clinical challenge, as defects of this magnitude do not heal spontaneously without regenerative intervention. This study aimed to evaluate the osteoinductive effects of recombinant human bone morphogenetic protein-2 (rhBMP-2) loaded β-tricalcium phosphate (β-TCP) scaffolds on bone regeneration [...] Read more.
Critical-sized bone defects represent a major clinical challenge, as defects of this magnitude do not heal spontaneously without regenerative intervention. This study aimed to evaluate the osteoinductive effects of recombinant human bone morphogenetic protein-2 (rhBMP-2) loaded β-tricalcium phosphate (β-TCP) scaffolds on bone regeneration and vascularization in a rabbit calvarial critical-sized defect model. Eighteen male New Zealand White rabbits were used, and four standardized circular defects (5 mm in diameter) were created in the calvaria of each animal. The defects were assigned to four groups: control (unfilled), β-TCP + 5 µg rhBMP-2, β-TCP + 10 µg rhBMP-2, and β-TCP + 20 µg rhBMP-2. Bone healing was evaluated at 2, 4, and 8 weeks using histological, histomorphometric, and cluster of differentiation 31 (CD31) immunohistochemical analyses. The results demonstrated that rhBMP-2–loaded β-TCP scaffolds significantly enhanced bone regeneration compared with the control group, with a progressive increase in bone formation observed with increasing rhBMP-2 doses. The β-TCP + 20 µg rhBMP-2 group exhibited the highest levels of new bone formation, more advanced bone maturation, improved collagen organization, and increased vascularization. However, no statistically significant differences were observed between the 10 µg and 20 µg groups at later time points (p > 0.05), suggesting a dose-dependent saturation (plateau) effect. In conclusion, rhBMP-2–loaded β-TCP scaffolds promote bone regeneration and angiogenesis in a dose-related manner up to a threshold, beyond which additional increases in dose do not result in proportional improvements. These findings emphasize that optimal rhBMP-2 dosing is critical to maximize regenerative outcomes while avoiding unnecessary dose escalation. Full article
(This article belongs to the Section Molecular Immunology)
Show Figures

Graphical abstract

13 pages, 851 KB  
Article
Angiopoietin-2 and Growth Differentiation Factor-15 as Predictors of Device-Detected Atrial Fibrillation Burden
by Valentin Bilgeri, Philipp Spitaler, Jasmina Gavranovic-Novakovic, Theresa Dolejsi, Patrick Rockenschaub, Moritz Messner, Marc Michael Zaruba, Fabian Barbieri, Agne Adukauskaite, Markus Stühlinger, Bernhard Erich Pfeifer, Pietro Lacaita, Gudrun Feuchtner, Peter Willeit, Axel Bauer and Wolfgang Dichtl
Biomedicines 2026, 14(4), 902; https://doi.org/10.3390/biomedicines14040902 - 16 Apr 2026
Viewed by 302
Abstract
Background: Pacemakers enable continuous long-term surveillance of atrial fibrillation detected by implanted devices. Circulating biomarkers reflecting endothelial dysfunction, inflammation, and myocardial stress may help identify patients at risk for atrial fibrillation (AF) progression and higher arrhythmic burden. Methods: This analysis included [...] Read more.
Background: Pacemakers enable continuous long-term surveillance of atrial fibrillation detected by implanted devices. Circulating biomarkers reflecting endothelial dysfunction, inflammation, and myocardial stress may help identify patients at risk for atrial fibrillation (AF) progression and higher arrhythmic burden. Methods: This analysis included patients from the prospective ACaSA study (NCT05127720) with a dual chamber pacemaker (Microport® BOREA DR or TEO DR) and monitored weekly via remote monitoring technology (SMARTVIEW®). Individuals with permanent AF or single-chamber systems were excluded. Baseline plasma concentrations of angiopoietin-2 (ANGPT2), growth differentiation factor-15 (GDF-15), fibroblast growth factor-23 (FGF-23), bone morphogenetic protein-10 (BMP10), and tumor necrosis factor–related apoptosis-inducing ligand receptor-2 (TRAIL-R2) were quantified using enzyme-linked immunosorbent assays. N-terminal pro-B-type natriuretic peptide (NT-proBNP) was measured using electrochemiluminescence immunoassay. Biomarkers were log2-transformed, with values below assay detection limits imputed at half the lower limit of detection. Two endpoints were assessed following a 30-day blanking period: (1) progression to persistent AF, defined as ≥7 consecutive days with >99% daily AF burden, analyzed using Cox regression; and (2) AF burden, calculated as total AF time normalized to monitored days and categorized as <25%, 25–75%, or >75%, analyzed using multinomial logistic regression. Multivariable models were adjusted for age, sex, heart failure, diabetes, and prior myocardial infarction; Cox models were limited to age, sex, and heart failure due to fewer events. Results: A total of 223 patients were included (median age 75 years; 37.2% women). During follow-up, 28 patients (13.3%) progressed to persistent AF. Higher baseline ANGPT2 was the strongest predictor of progression (HR per doubling 1.83, 95% CI 1.27–2.66, p = 0.001), followed by GDF-15 (HR 1.52, 95% CI 1.03–2.24, p = 0.036). In the burden analysis, ANGPT2 demonstrated a pronounced graded relationship with arrhythmic load, with markedly increased odds of high (>75%) AF burden (OR 8.31, 95% CI 2.63–26.26, p < 0.001). GDF-15 independently predicted both medium (OR 2.05, p = 0.025) and high burden (OR 2.32, p = 0.037). NT-proBNP displayed a borderline association with high burden (OR 2.02, p = 0.061). No significant associations were observed for FGF-23, BMP10, or TRAIL-R2. Conclusions: In continuously monitored pacemaker patients, ANGPT2 and GDF-15 emerged as key biomarkers associated with AF disease severity. ANGPT2 was strongly linked to both progression to persistent AF and high AF burden, whereas GDF-15 consistently predicted higher AF burden and also contributed to risk of progression. These findings highlight endothelial and inflammatory pathways as potential markers of atrial disease progression. Full article
(This article belongs to the Section Cell Biology and Pathology)
Show Figures

Figure 1

43 pages, 3580 KB  
Review
Heterotopic Ossification: Molecular Drivers, Subtype-Specific Mechanisms, and Translational Therapeutic Advances
by Sihong Chen and Hui Lin
Biomolecules 2026, 16(4), 585; https://doi.org/10.3390/biom16040585 - 15 Apr 2026
Viewed by 458
Abstract
Heterotopic ossification (HO), the pathological formation of mature bone in non-skeletal soft tissues (e.g., muscles, tendons), severely impairs patient mobility and quality of life. Despite decades of research, systematic analysis of signaling networks across HO subtypes (acquired traumatic HO, hereditary Fibrodysplasia Ossificans Progressiva [...] Read more.
Heterotopic ossification (HO), the pathological formation of mature bone in non-skeletal soft tissues (e.g., muscles, tendons), severely impairs patient mobility and quality of life. Despite decades of research, systematic analysis of signaling networks across HO subtypes (acquired traumatic HO, hereditary Fibrodysplasia Ossificans Progressiva (FOP), Progressive Osseous Heteroplasia (POH)) remains insufficient, and clinical therapies suffer from high recurrence and severe side effects. This review synthesizes recent advances in HO pathogenesis: FOP involves gain-of-function activin A receptor type I (ACVR1) mutations (mostly R206H), disrupting bone morphogenetic protein (BMP)/Activin A signaling; POH arises from paternal guanine nucleotide-binding protein, alpha-stimulating activity polypeptide (GNAS) loss-of-function mutations, derepressing Hedgehog signaling via reduced cyclic adenosine monophosphate (cAMP)/protein kinase A (PKA) activity; tHO features trauma-induced inflammation/hypoxia activating BMP/transforming growth factor–beta (TGF-β) pathways. Key signaling crosstalk (e.g., BMP-Yes-associated protein (YAP)-Indian hedgehog (IHH)) is integrated, and novel therapies (ACVR1 inhibitors, Activin A antibodies, retinoic acid receptor gamma (RARγ) agonists, adeno-associated virus (AAV)-mediated ACVR1 silencing) are highlighted, with emphasis on subtype-specific efficacy. A stratified, mechanism-based HO management framework is proposed, aiming to accelerate precision therapy development and advance understanding of aberrant tissue regeneration. Full article
(This article belongs to the Section Molecular Medicine)
Show Figures

Figure 1

25 pages, 3711 KB  
Article
Gelatin–Polyvinyl Alcohol Microspheres for Controlled and Sustained Release of BMP-2 and VEGF Enhance Osteogenic and Angiogenic Cell Differentiation
by Varvara Platania, Konstantinos Loukelis and Maria Chatzinikolaidou
Gels 2026, 12(4), 326; https://doi.org/10.3390/gels12040326 - 11 Apr 2026
Viewed by 479
Abstract
Bone morphogenetic protein-2 (BMP-2) and vascular endothelial growth factor (VEGF) play a pivotal role in promoting osteogenesis and angiogenesis that concurrently take place during bone regeneration. The rapid degradation and diffusion of these growth factors, combined with the potential side effects associated with [...] Read more.
Bone morphogenetic protein-2 (BMP-2) and vascular endothelial growth factor (VEGF) play a pivotal role in promoting osteogenesis and angiogenesis that concurrently take place during bone regeneration. The rapid degradation and diffusion of these growth factors, combined with the potential side effects associated with their exogenous insertion, limit their applications. To overcome these shortcomings, we developed a controlled release system for BMP-2 and VEGF on microspheres comprising gelatin (Gel) and polyvinyl alcohol (PVA). We fabricated Gel–PVA microspheres using a constant Gel concentration of 10% w/v and a varied PVA concentration of 0, 5, and 10% w/v (Gel–PVA0%, Gel–PVA5%, and Gel–PVA10%, respectively). The microspheres were loaded with the model protein bovine serum albumin (BSA) first. The Gel–PVA10% microspheres demonstrated significantly higher loading capacity and encapsulation efficiency, as well as lower cumulative release rate, compared to the Gel–PVA5% ones when loaded with BSA. Thus, the microspheres with the Gel–PVA10% composition were selected for loading with BMP-2 and VEGF. Kinetic studies of BMP-2 and VEGF loaded into Gel–PVA10% microspheres indicated similar results to those with BSA. The microsphere concentration with the optimal cytocompatibility was 0.5 mg/mL, and it was applied for the assessment of the osteogenic differentiation using bone marrow-derived mesenchymal stem cells (MSCs), and for the angiogenic differentiation in Wharton jelly and adipose-derived MSCs. Alkaline phosphatase activity, collagen secretion, and calcium mineralization were significantly upregulated in the presence of BMP-2-loaded microspheres, while tubular formation and PECAM-1 secretion were significantly higher in VEGF-loaded microspheres compared to the unloaded control, demonstrating their effectiveness as drug delivery carriers. Full article
(This article belongs to the Special Issue Biofunctional Hydrogels for Biofabrication in Tissue Engineering)
Show Figures

Graphical abstract

29 pages, 10928 KB  
Review
A Narrative Review on Preclinical Small Molecules for Bone Regeneration: Mechanisms, Delivery Strategies, and Translational Gaps
by Abdurahman A. Niazy
Future Pharmacol. 2026, 6(2), 23; https://doi.org/10.3390/futurepharmacol6020023 - 10 Apr 2026
Viewed by 276
Abstract
Treatment for large critical-sized bone defects and impaired fracture healing remain challenging. Clinically used protein-based osteoinductive factors, such as recombinant bone morphogenetic proteins (BMPs), can be effective; however, they are costly and limited by stability, dose-delivery issues, and safety concerns. Preclinical small molecules [...] Read more.
Treatment for large critical-sized bone defects and impaired fracture healing remain challenging. Clinically used protein-based osteoinductive factors, such as recombinant bone morphogenetic proteins (BMPs), can be effective; however, they are costly and limited by stability, dose-delivery issues, and safety concerns. Preclinical small molecules offer an alternative because they are chemically stable, scalable to manufacture, and readily integrated for systemic administration or localized release from scaffolds, hydrogels, cements, and implant coatings. With an emphasis on delivery formats and mechanistic themes, this review examines small molecules that have been shown to improve bone regeneration in preclinical models, contrasting those of biological origin with synthetic and repurposed compounds. Across studies, these selected compounds promote osteoblast commitment, differentiation, and matrix mineralization via BMP/Smad signaling and Wnt/beta-catenin (β-catenin) activation, often through glycogen synthase kinase-3 beta (GSK-3β) inhibition or relief of pathway antagonism or Hedgehog (Hh) pathway stimulation. Beyond osteoinduction, several candidates address issues that commonly limit repair, including angiogenesis, oxidative stress, inflammatory tone, osteoimmune regulation, and suppression of osteoclast-mediated resorption. Direct head-to-head comparisons are rare across both classes and reporting heterogeneity complicates interpretation. Key translational gaps include limited cytotoxicity and immunologic profiling, dose and release optimization, durability of benefit, and insufficient evaluation of rational combinations. More rigorous in vivo studies, including larger animal models and standardized outcome metrics, are needed to prioritize promising candidates and guide clinical development. Full article
Show Figures

Figure 1

13 pages, 3324 KB  
Article
Sorghum Promotes Cell Proliferation Through Activation of the Growth Hormone/IGF-1–JAK2/STAT5b Signaling Axis In Vitro
by Sanghyeon Park, Dong Young Kang, Hyo Tae Kim, Woo-Shik Shin, Sangwon Lee, Jaehoon Cho and Kyoung-Jin Jang
Biology 2026, 15(8), 594; https://doi.org/10.3390/biology15080594 - 9 Apr 2026
Viewed by 431
Abstract
Sorghum is known for its anti-cancer, anti-inflammatory, and antioxidant properties, but its effect on cell growth is not well understood. First, the cytotoxicity of various sorghum extract (SE) concentrations was evaluated in C2C12 (murine myoblasts) and C3H10T1/2 (murine embryonic fibroblasts). The extent of [...] Read more.
Sorghum is known for its anti-cancer, anti-inflammatory, and antioxidant properties, but its effect on cell growth is not well understood. First, the cytotoxicity of various sorghum extract (SE) concentrations was evaluated in C2C12 (murine myoblasts) and C3H10T1/2 (murine embryonic fibroblasts). The extent of DNA damage was then assessed, and the activation of the JAK2/STAT5b and IGF-1 pathways was observed. Studies on the transcriptional regulatory function of STAT5b revealed that SE increased STAT5b/DNA binding and transcriptional promoter activity. Consequently, STAT5b upregulation led to the increased expression of IGF-1. Moreover, other factors, such as growth hormone receptor and bone morphogenetic protein 7, were also upregulated. The results of these experiments suggest that sorghum may enhance muscle recovery or promote growth factors by stimulating the JAK2/STAT5b and IGF-1 pathways. Therefore, sorghum is expected to be an effective functional food for bone growth and muscle recovery, without inducing adverse side effects. Full article
Show Figures

Figure 1

20 pages, 1171 KB  
Article
Towards Sustainable Bone Grafting: Life Cycle Assessment of Donor Cadaver-Derived Allograft (BMG) Production Using a BMP-Preserving Approach
by Szidonia Krisztina Veress, Mihai Vlad Golu, Lajos Csönge, Bernadette Kerekes-Máthé, Melinda Székely and Bálint Botond Bögözi
J. Funct. Biomater. 2026, 17(4), 171; https://doi.org/10.3390/jfb17040171 - 1 Apr 2026
Viewed by 386
Abstract
Background/Objectives: Healthcare activities contribute significantly to climate change and environmental pollution. The demand for bone grafting is increasing, and the biological properties of bone substitute materials are critically important. A methodology aimed at preserving BMPs may offer an opportunity to improve the biological [...] Read more.
Background/Objectives: Healthcare activities contribute significantly to climate change and environmental pollution. The demand for bone grafting is increasing, and the biological properties of bone substitute materials are critically important. A methodology aimed at preserving BMPs may offer an opportunity to improve the biological properties of donor cadaver-derived bone grafts. The aim of this study was to conduct a life cycle assessment of the BMP-preserving approach used in allograft production in order to enhance the environmental sustainability of bone grafting. Methods: Following primary data collection at the West Hungarian Regional Tissue Bank, environmental impacts were assessed using the OpenLCA software and the ReCiPe v1.03 (2016) midpoint and endpoint impact categories. A sensitivity analysis was also conducted under six alternative scenarios to evaluate which changes would have the greatest beneficial effect on environmental impacts. Results: The greatest environmental impacts of allograft production were observed in the categories of material resources: metals and minerals, terrestrial ecotoxicity, and climate change. The climate change impact was 66.759 kg CO2-eq. The environmental impacts of the production process also had a significant influence on human health, with a total DALY value of 6.58 h. The impacts were primarily driven by electricity consumption and the chemicals used; however, in several impact categories, waste management also contributed substantially. Conclusions: Transitioning to more sustainable energy sources (e.g., wind power) would substantially improve the environmental performance of allograft production. Further research is needed to identify more sustainable alternatives for the chemical agents used during processing. Full article
(This article belongs to the Section Bone Biomaterials)
Show Figures

Figure 1

16 pages, 1023 KB  
Article
Intestinal Epithelial-like Cells Stimulated by a Functional Food Ingredient Promote Lysyl Oxidase (LOX) Expression in Osteoblast Precursor Cells via BMP-1 Secretion
by Naoki Fujimoto, Shotaro Suzuki, Tomohiro Yano, Shinji Sakata, Yuka Ito and Tatsuya Ishida
Int. J. Mol. Sci. 2026, 27(7), 3156; https://doi.org/10.3390/ijms27073156 - 31 Mar 2026
Viewed by 319
Abstract
Osteoporosis is characterized by reductions in bone mineral density (BMD) and bone quality. While gut-derived signaling has been increasingly studied in relation to BMD, its contribution to molecular factors associated with bone quality remains less defined. Here, we investigated whether a heat-inactivated, freeze-dried, [...] Read more.
Osteoporosis is characterized by reductions in bone mineral density (BMD) and bone quality. While gut-derived signaling has been increasingly studied in relation to BMD, its contribution to molecular factors associated with bone quality remains less defined. Here, we investigated whether a heat-inactivated, freeze-dried, non-viable preparation of Levilactobacillus brevis AS-1 modulates intestinal epithelial-like cells and thereby promotes lysyl oxidase (LOX), a key enzyme involved in collagen cross-linking. Caco-2 cells were treated using 1 mM sodium butyrate and subsequently stimulated with 100 μg/mL L. brevis AS-1. Supernatants were collected and applied to MG63 cells. Cytokine mRNA expression in Caco-2 cells and LOX responses in MG63 cells were analyzed by qRT-PCR, and bone morphogenetic protein (BMP-1) and transforming growth factor-β (TGF-β)1 protein levels in the supernatant were measured by ELISA. L. brevis AS-1 stimulation up-regulated BMP-1 and TGF-β1 mRNA expression in SB-treated Caco-2 cells and increased BMP-1 protein secretion into the supernatant. LOX mRNA expression and total LOX activity were increased in MG63 cells treated with the conditioned supernatant, and inhibition of BMP-1/procollagen C-proteinase activity (UK383367) attenuated LOX mRNA induction. Collectively, these results suggest that L. brevis AS-1 stimulates intestinal epithelial-like cells to secrete BMP-1, which in turn promotes LOX mRNA expression in osteoblast precursor cells. This in vitro mechanism supports the concept of gut–bone crosstalk regulating molecular factors associated with bone quality. Full article
(This article belongs to the Section Bioactives and Nutraceuticals)
Show Figures

Figure 1

21 pages, 5006 KB  
Review
Integrated Genetic Networks and Epigenetic Regulation inTooth Development and Maturation
by Dong-Joon Lee, Hyung-Jin Won and Jeong-Oh Shin
Cells 2026, 15(7), 618; https://doi.org/10.3390/cells15070618 - 30 Mar 2026
Viewed by 665
Abstract
Tooth development or odontogenesis is a complex morphogenetic process that requires tightly regulated interactions between the oral epithelium and mesenchyme of neural crest origin. In this narrative review, we compile existing knowledge regarding gene regulatory networks and epigenetic factors throughout tooth development from [...] Read more.
Tooth development or odontogenesis is a complex morphogenetic process that requires tightly regulated interactions between the oral epithelium and mesenchyme of neural crest origin. In this narrative review, we compile existing knowledge regarding gene regulatory networks and epigenetic factors throughout tooth development from initiation to eruption. Signaling between the epithelium and mesenchyme is mediated by four conserved pathways—Wnt/β-catenin, bone morphogenetic protein (BMP), fibroblast growth factor (FGF), and Sonic hedgehog (Shh)—which operate iteratively and interact through extensive crosstalk at each developmental stage. Transcription factors, such as PAX9, MSX1, PITX2, and LEF1, interpret these signals to control cell fate decisions and differentiation. Epigenetic modifications, including DNA methylation, histone modifications, and microRNA-mediated regulation, provide additional layers of control that fine-tune gene expression programs. Unlike existing reviews that address these regulatory mechanisms separately, here we integrate signaling pathways, transcription factor networks, epigenetic regulation, human genetic disorders, dental stem cell biology, and recent single-cell transcriptomic insights into a unified framework. We discuss opportunities to apply developmental biology knowledge towards regenerative dentistry goals, including iPSC-derived dental models and spatially resolved multi-omics approaches, while acknowledging the considerable gap between preclinical findings and clinical applications. Full article
Show Figures

Graphical abstract

18 pages, 14699 KB  
Article
Immunomodulatory Effects of Clinically Used Fat Emulsion to Promote Angiogenesis and Osteogenesis for Bone Repair
by Luyao Cheng, Zetao Wang, Yujie Liu, Yuyang Zhang, Yu Gao, Tianyi Zhou, Yuxiao Lai and Wei Zhang
Materials 2026, 19(7), 1290; https://doi.org/10.3390/ma19071290 - 24 Mar 2026
Viewed by 313
Abstract
Bone defects have become a leading cause of disability and mortality. The pro-inflammatory state and impaired vascularization are major factors hindering bone defect repair. However, current bone regeneration materials lack the ability to regulate the osteoimmune microenvironment and promote vascularized bone regeneration. In [...] Read more.
Bone defects have become a leading cause of disability and mortality. The pro-inflammatory state and impaired vascularization are major factors hindering bone defect repair. However, current bone regeneration materials lack the ability to regulate the osteoimmune microenvironment and promote vascularized bone regeneration. In this study, we employed clinically used fat emulsion (FE), which is intravenously administered to provide nutrition and energy for patients, to investigate the effect of immunomodulation on promoting angiogenesis and osteogenesis. Results from RT-qPCR analysis and immunofluorescence staining demonstrated that FE exhibited potent anti-inflammatory effects by reducing the expression of the pro-inflammatory marker inducible nitric oxide synthase (iNOS) and upregulating the expression of the anti-inflammatory marker transforming growth factor-beta (TGF-β). Endothelial tube formation and scratch assays demonstrated that FE promoted angiogenesis and cell migration by releasing vascular endothelial growth factor (VEGF) within the inflammatory microenvironment. Alkaline phosphatase (ALP) and alizarin red S (ARS) staining revealed that FE facilitated ALP activity and calcium nodule formation by releasing bone morphogenetic protein-2 (BMP-2) within the inflammatory microenvironment. These findings may prove promising and cost-effective for the clinical treatment of bone defects. Full article
Show Figures

Figure 1

25 pages, 799 KB  
Review
Heparin-Based Biomaterials for Sustained Release of Growth Factors for Bone Tissue Engineering and Regeneration
by Keisuke Nakayama, Xueqin Gao, Britney S. Force, Marc J. Philippon and Johnny Huard
J. Funct. Biomater. 2026, 17(3), 156; https://doi.org/10.3390/jfb17030156 - 22 Mar 2026
Viewed by 881
Abstract
Large bone defects resulting from trauma, tumor resection, infection, or degenerative diseases pose a major clinical challenge in orthopedic surgery and regenerative medicine. Despite advances in biomaterials and surgical techniques, successful outcomes are often compromised by poor vascularization, limited osteoinduction, and donor-site morbidity [...] Read more.
Large bone defects resulting from trauma, tumor resection, infection, or degenerative diseases pose a major clinical challenge in orthopedic surgery and regenerative medicine. Despite advances in biomaterials and surgical techniques, successful outcomes are often compromised by poor vascularization, limited osteoinduction, and donor-site morbidity associated with autografts or allografts. However, conventional delivery systems suffer from burst release, rapid clearance, off-target effects, and supraphysiologic dosing, which can lead to undesirable complications such as ectopic ossification and inflammation, with some reports raising concerns about the long-term tumorigenic risk. Heparin, a naturally highly sulfated glycosaminoglycan structurally related to heparan sulfate, has emerged as a particularly attractive candidate for affinity-based biomaterial systems. It naturally binds over 300 growth factors, including bone morphogenetic proteins. By protecting these proteins from enzymatic degradation, enhancing their bioavailability, and mediating receptor clustering, heparin provides both biochemical stability and biofunctional modulation. This review provides a comprehensive overview of heparin-based delivery strategies in bone tissue engineering. We begin by describing the biological functions of heparin in modulating growth factor activity. We then discuss in detail the different heparin-based biomaterials designed to sustain the release of growth factors for bone tissue engineering, including the heparin–polycation coacervate system; heparin-based supramolecules; and heparin-based hydrogels, nanoparticles, and microspheres for sustained release of bone morphogenic proteins and other growth factors for bone tissue engineering. Finally, we assess the clinical and translational relevance of heparin-based systems, identify key challenges, and outline future perspectives, highlighting the potential of these biomaterials for providing safer and more effective therapies for bone regeneration. Full article
(This article belongs to the Special Issue Advanced Biomaterials for Bone Tissue Engineering)
Show Figures

Figure 1

11 pages, 1596 KB  
Communication
Amino-Modified Mesoporous Bioactive Glass Adsorbed with Osteopontin Enhances Osteogenic Differentiation and Matrix Mineralization via the Erk1/2 Signaling Pathway
by Ying Yang, Kunlu Lin, Zheng Zhou, Libangxi Liu, Long Liu, Haoming Liu, Hanyue Mao and Xiaoyan Wang
J. Funct. Biomater. 2026, 17(3), 153; https://doi.org/10.3390/jfb17030153 - 19 Mar 2026
Viewed by 632
Abstract
Mesoporous bioactive glass (MBG) has been extensively studied in bone regeneration due to its excellent bioactivity and osteoconductive properties. Here, we prepared amino-modified MBG (MBG-NH2) adsorbed osteopontin (OPN) to form MBG-NH2/OPN composites, enabling the sustained release of OPN and [...] Read more.
Mesoporous bioactive glass (MBG) has been extensively studied in bone regeneration due to its excellent bioactivity and osteoconductive properties. Here, we prepared amino-modified MBG (MBG-NH2) adsorbed osteopontin (OPN) to form MBG-NH2/OPN composites, enabling the sustained release of OPN and enhancing osteoblast differentiation and mineralization capacity. Interestingly, we observed that MBG-NH2 promotes the formation of osteoid deposits and calcium deposition in vitro. Furthermore, we also found that MBG-NH2/OPN significantly enhances cell adhesion, differentiation, and mineralization. Consistent with these observations, we found the expression of the osteoblast-specific marker gene increased, including bone morphogenetic protein 2 (Bmp2) and Collagen I. Intriguingly, we also found that MBG-NH2/OPN promotes osteoblast differentiation and mineralization through activating the extracellular regulated protein kinases1/2 (Erk1/2) signaling pathway. We concluded that MBG-NH2/OPN enhances osteoblast differentiation and mineralization through the Erk1/2 pathway. These findings indicate that MBG-NH2/OPN is a new potential biomaterial for bone regeneration. Full article
Show Figures

Figure 1

14 pages, 2911 KB  
Article
Primary Cilia Are Required for Efficient BMP Signaling in Traumatic Heterotopic Ossification
by Xinyuan Yuan, Saman Toutounchi, Susan F. Law, David Achudhan, Abhishek Chandra, Kai He, Yingshu Cao, Jinghua Hu, Robert J. Pignolo and Haitao Wang
Biomedicines 2026, 14(3), 712; https://doi.org/10.3390/biomedicines14030712 - 19 Mar 2026
Viewed by 584
Abstract
Background/Objectives: Heterotopic ossification (HO), the aberrant formation of bone within soft tissues, arises either from rare genetic mutations or more commonly from traumatic insults. It is a major cause of morbidity not only in individuals harboring causative mutations, but also in those undergoing [...] Read more.
Background/Objectives: Heterotopic ossification (HO), the aberrant formation of bone within soft tissues, arises either from rare genetic mutations or more commonly from traumatic insults. It is a major cause of morbidity not only in individuals harboring causative mutations, but also in those undergoing musculoskeletal surgery or trauma and in soldiers sustaining blast or burn injuries. Bone morphogenetic protein (BMP) signaling is a central driver of both hereditary and acquired forms of HO. Primary cilia are nonmotile, antenna-like organelles that extend from the cell surface and serve as crucial sensory and signaling hubs by concentrating key pathway components within a confined volume at the ciliary tip. However, their functional role in the pathogenesis of traumatic HO remains poorly understood. Methods: We investigate the role of primary cilia in traumatic HO using a genetically modified mouse model and cellular model. Results: We demonstrate that BMP signaling is attenuated when primary cilia function is disrupted. Both ciliation frequency and ciliary length were reduced in Scleraxis-CreERT2; Intraflagellar transport 88 floxed/floxed (Scx-CreERT2;Ift88fl/fl) tenocytes. Deletion of Ift88 effectively suppressed pathological BMP signaling and inhibited HO formation. Conclusions: These findings establish that functional primary cilia are required for traumatic HO development and highlight ciliary regulation as a potential therapeutic avenue for preventing or mitigating post-traumatic HO. Full article
(This article belongs to the Section Cell Biology and Pathology)
Show Figures

Figure 1

Back to TopTop