Sign in to use this feature.

Years

Between: -

Subjects

remove_circle_outline
remove_circle_outline
remove_circle_outline
remove_circle_outline
remove_circle_outline
remove_circle_outline
remove_circle_outline
remove_circle_outline
remove_circle_outline

Journals

remove_circle_outline
remove_circle_outline
remove_circle_outline
remove_circle_outline
remove_circle_outline
remove_circle_outline
remove_circle_outline
remove_circle_outline
remove_circle_outline

Article Types

Countries / Regions

remove_circle_outline
remove_circle_outline
remove_circle_outline

Search Results (173)

Search Parameters:
Keywords = biotechnology simulation

Order results
Result details
Results per page
Select all
Export citation of selected articles as:
26 pages, 2437 KB  
Article
Effects of Ammonia-Nitrogen-Reducing Biofilm on Stress Responses and Muscle Quality in Crucian Carp During Transportation
by Xianxian Zhang, Liangzi Zhang, Han Yang, Ling Peng, Ramy M. Khoder, Ru Liu, Juan You and Tao Yin
Foods 2026, 15(7), 1189; https://doi.org/10.3390/foods15071189 - 1 Apr 2026
Viewed by 242
Abstract
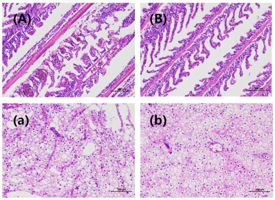
This study evaluated the efficacy of ammonia-nitrogen-reducing biofilms (aquatic nitrifying bacteria biofilm media, a fixed-bed biofilm capable of simultaneous nitrification and denitrification) in mitigating water quality deterioration and transport-induced physiological stress in live-transported Crucian carp (Carassius auratus). In a simulated bag [...] Read more.
This study evaluated the efficacy of ammonia-nitrogen-reducing biofilms (aquatic nitrifying bacteria biofilm media, a fixed-bed biofilm capable of simultaneous nitrification and denitrification) in mitigating water quality deterioration and transport-induced physiological stress in live-transported Crucian carp (Carassius auratus). In a simulated bag transport system, the application of the biofilm significantly decreased ammonia-nitrogen concentrations through enhanced nitrification, stabilized pH and dissolved oxygen dynamics, and suppressed nitrite accumulation. Correspondingly, biofilm-treated fish exhibited significantly reduced systemic stress responses, as evidenced by reduced serum cortisol, glucose, and lactate dehydrogenase concentrations, along with diminished histopathological changes in gill and liver tissues and preserved muscle fiber integrity. Regarding post-transport muscle quality, biofilm treatment delayed glycogen catabolism and lactate accumulation, maintained elevated muscle pH and water-holding capacity, reduced shear force decline, decelerated ATP hydrolysis and freshness degradation (K-value), and simultaneously suppressed lipid peroxidation and myonuclear apoptosis. These findings demonstrate that ammonia-nitrogen-reducing biofilms represent a viable biotechnological approach for maintaining water quality, mitigating stress-induced physiological disturbances, and preserving flesh quality during live fish transportation. This approach has significant potential for improving post-harvest outcomes in aquaculture logistics. Full article
Show Figures

Figure 1

19 pages, 4509 KB  
Article
Molecular Characterization and Mechanistic Insights of a Thermostable Neoagarobiose Hydrolase Aga2457 from Alteromonas sp.
by Jiang Li, Xinning Pan, Long Chen, Qian Zhang, Zhiyan Wang, Dewi Seswita Zilda and Zhou Zheng
Mar. Drugs 2026, 24(4), 123; https://doi.org/10.3390/md24040123 - 25 Mar 2026
Viewed by 310
Abstract
The enzymatic valorization of agarose, a major polysaccharide in red algae, is critical for its application in the food, pharmaceutical, and biotechnology industries. In this study, a gene encoding a thermostable α-neoagarobiose hydrolase, aga2457, was cloned from an epiphytic bacterium associated with [...] Read more.
The enzymatic valorization of agarose, a major polysaccharide in red algae, is critical for its application in the food, pharmaceutical, and biotechnology industries. In this study, a gene encoding a thermostable α-neoagarobiose hydrolase, aga2457, was cloned from an epiphytic bacterium associated with Indonesian macroalgae. Unlike typical mesophilic GH117 enzymes, recombinant Aga2457 displayed a higher optimal temperature at 50 °C and retained 55% activity after 12 days of incubation at 50 °C. The enzyme specifically hydrolyzes neoagarobiose into D-galactose and 3,6-anhydro-L-galactose, thereby facilitating the complete depolymerization of agarose. Combined molecular dynamics (MD) simulations and site-directed mutagenesis revealed that residues P253, N256, and Q285 are pivotal for substrate recognition and active site stability. These findings highlight Aga2457 as a robust biocatalyst for industrial agar processing and provide structural insights for the rational design of thermostable agarolytic enzymes. Full article
(This article belongs to the Special Issue Marine-Derived Polysaccharide-Degrading Enzyme)
Show Figures

Figure 1

17 pages, 1704 KB  
Article
Uncovering the Protein Conversion Potential of Alfalfa (Medicago sativa L.) and Duckweed (Lemna minor L.) Through Enzymatic Hydrolysis and Digestibility Assessment
by Ingrida Pauliukaitytė, Milita Žygytė, Alvija Šalaševičienė and Karolina Almonaitytė
Foods 2026, 15(5), 885; https://doi.org/10.3390/foods15050885 - 5 Mar 2026
Viewed by 270
Abstract
The growing demand for sustainable protein alternatives has increased interest in underutilized plant biomasses with high nutritional potential. This study investigated the conversion efficiency of alfalfa (Medicago sativa L.) and duckweed (Lemna minor L.) proteins through multienzyme hydrolysis, with the aim [...] Read more.
The growing demand for sustainable protein alternatives has increased interest in underutilized plant biomasses with high nutritional potential. This study investigated the conversion efficiency of alfalfa (Medicago sativa L.) and duckweed (Lemna minor L.) proteins through multienzyme hydrolysis, with the aim of evaluating how carbohydrate–protein matrix interactions influence enzymatic accessibility and apparent protein digestibility. Three biotechnological hydrolysis schemes were applied, involving combinations of α-amylase, amyloglucosidase, protease, pepsin, pancreatin, and bile salts, including an in vitro gastrointestinal digestion simulation. The first hydrolysis scheme demonstrated that starch-rich matrices formed a viscous medium that reduced protease mobility and limited protein cleavage. Improved substrate accessibility was achieved when plant material was pre-treated with amylolytic and proteolytic enzymes, which resulted in a noticeably higher release of free amino acids. Amino acid profiling revealed that this enzymatic sequence was the most effective for disrupting carbohydrate-associated protein fractions in both species. In vitro digestion assays indicated higher apparent protein conversion for duckweed compared to alfalfa under standardized laboratory conditions. Overall, the results confirm that appropriate multienzyme strategies can enhance amino acid liberation from complex plant matrices and highlight duckweed biomass as a promising candidate for sustainable protein valorization. Full article
(This article belongs to the Section Food Physics and (Bio)Chemistry)
Show Figures

Figure 1

23 pages, 2113 KB  
Article
Building-Integrated Solar Delivery Strategies for Algae Photobioreactors in Cold Climates
by Neda Ghaeili Ardabili, Mohammad Elmi and Julian Wang
Buildings 2026, 16(2), 391; https://doi.org/10.3390/buildings16020391 - 17 Jan 2026
Viewed by 432
Abstract
Microalgae photobioreactors (PBRs) are promising building-integrated biotechnologies for carbon capture and biomass production; however, their high energy requirements for artificial lighting remain a significant energy barrier in cold climates. This study developed an integrated spectral–optical energy modeling framework to evaluate two PBR deployment [...] Read more.
Microalgae photobioreactors (PBRs) are promising building-integrated biotechnologies for carbon capture and biomass production; however, their high energy requirements for artificial lighting remain a significant energy barrier in cold climates. This study developed an integrated spectral–optical energy modeling framework to evaluate two PBR deployment strategies in State College, PA: rooftop daylight-exposed integration and basement installation with solar-assisted lighting. Results show that fiber-optic daylighting can supply a substantial fraction of photosynthetically useful light without introducing additional internal heat loads, while photovoltaics sized at approximately 0.40–0.55 kWDC per reactor can offset the annual PBR lighting energy use when sufficient roof area is available. Whole-building energy simulations further reveal that rooftop PBR integration reduces total annual space energy consumption by ~21% relative to basement placement due to lower artificial lighting and cooling loads. When combined, PV and fiber systems can fully meet basement PBR lighting demand, whereas rooftop configurations may rely more on grid electricity. Economically, fiber-optic daylighting achieves comparable lighting offsets at roughly half the annualized cost of PV-based systems, subject to surface-area and routing constraints. Overall, solar-assisted lighting strategies markedly improve the operational sustainability of building-integrated PBRs in cold climates, with fiber-optic daylighting offering substantial spectral and thermal advantages, subject to surface-area availability and routing-related design constraints. Full article
(This article belongs to the Collection Buildings for the 21st Century)
Show Figures

Figure 1

21 pages, 7072 KB  
Article
Cold Shock Protein B as an Alternative to DMSO for Oocyte Vitrification
by Xinhai Wang, Jing Guo, Kaiyan Zhang, Yi Fang, Hongyu Liu, He Ding, Yang Lyu, Xin Ma and Wenfa Lyu
Antioxidants 2026, 15(1), 107; https://doi.org/10.3390/antiox15010107 - 14 Jan 2026
Viewed by 620
Abstract
Dimethyl sulfoxide (DMSO) is widely utilized in the vitrification of oocytes, but DMSO exhibits concentration-dependent toxicity, which can compromise oocyte developmental potential by disrupting key cellular processes. This study reports the first successful use of cold shock protein B (CspB protein) as a [...] Read more.
Dimethyl sulfoxide (DMSO) is widely utilized in the vitrification of oocytes, but DMSO exhibits concentration-dependent toxicity, which can compromise oocyte developmental potential by disrupting key cellular processes. This study reports the first successful use of cold shock protein B (CspB protein) as a substitute for DMSO in vitrification solutions for oocyte vitrification. Combining dynamics simulations and experimental validation, we demonstrated CspB’s ability to inhibit ice crystallization and recrystallization by stabilizing its position at the ice–water interface and reducing ice formation rates. Recombinant CspB was successfully expressed and shown to bind to the oolemma. In vitrification solutions, CspB (1–2 mg/mL) effectively reduced ice crystal size and enabled a significant reduction or complete replacement of DMSO. This strategy markedly improved the post-thaw survival rates of both mouse and bovine metaphase II (MII) oocytes. Furthermore, oocytes vitrified with an optimized formulation (15% ethylene glycol + 2 mg/mL CspB) exhibited developmental competence (cleavage and blastocyst rates), oxidative stress markers (ROS, GSH), mitochondrial function (membrane potential and content), and apoptosis levels (Caspase-3/9) comparable to those treated with a standard DMSO-containing system. Transcriptomic analysis revealed that CspB’s cryoprotection involves the modulation of the mTOR signaling pathway. This role was functionally confirmed, as activation of mTOR abolished CspB’s beneficial effects, reinstating oxidative damage, mitochondrial dysfunction, and apoptosis. Thus, the CspB protein replaces DMSO with direct ice crystal formation suppression and mTOR-mediated oxidative stress regulation. This study offers a protein-based alternative to conventional permeable cryoprotectants. This approach holds promise for improving reproductive biotechnologies across species. Full article
Show Figures

Figure 1

16 pages, 3124 KB  
Article
Effects of Microgravity, Hypergravity, and Ionizing Radiation on the Enzymatic Activity of Proteinase K
by Bartosz Rybacki, Wojciech Wysocki, Tomasz Zajkowski, Robert Brodzik and Beata Krawczyk
Molecules 2026, 31(2), 229; https://doi.org/10.3390/molecules31020229 - 9 Jan 2026
Viewed by 1071
Abstract
Space conditions offer new insights into fundamental biological and molecular mechanisms. The study aimed to evaluate the enzymatic activity of proteinase K (PK) under extreme conditions relevant to space environments: simulated microgravity, hypergravity, and gamma radiation. PK activity was tested using azocasein (AZO) [...] Read more.
Space conditions offer new insights into fundamental biological and molecular mechanisms. The study aimed to evaluate the enzymatic activity of proteinase K (PK) under extreme conditions relevant to space environments: simulated microgravity, hypergravity, and gamma radiation. PK activity was tested using azocasein (AZO) as a chromogenic substrate, with enzymatic reactions monitored spectrophotometrically at 450 nm. A rotating wall vessel (RWV) simulated microgravity, centrifugation at 1000× g (3303 rpm) generated hypergravity, and gamma radiation exposure used cesium-137 as the ionizing source. PK activity showed no remarkable changes under microgravity after 16 or 48 h; however, higher absorbance values after 96 h indicated enhanced AZO proteolysis compared to 1 g (Earth gravity) controls. In hypergravity, low PK concentrations exhibited slightly increased activity, while higher concentrations led to reduced activity. Meanwhile, gamma radiation caused a dose-dependent decline in PK activity; samples exposed to deep-space equivalent doses showed reduced substrate degradation. PK retained enzymatic activity under all tested conditions, though the type and duration of stress modulated its efficiency. The results suggest that enzyme-based systems may remain functional during space missions and, in some cases, exhibit enhanced activity. Nevertheless, their behavior must be evaluated in a context-dependent manner. These findings may be significant to advance biotechnology, diagnostics, and the development of enzyme systems for space applications. Full article
Show Figures

Graphical abstract

16 pages, 1359 KB  
Article
Theobroma bicolor (Pataxte) Fermentation: A Novel Source of Promising Probiotic Lactic Acid Bacteria
by María Fernanda Rosas-Ordaz, Beatriz Pérez-Armendáriz, María de Lourdes Meza-Jiménez, Laura Contreras-Mioni and Gabriel Abraham Cardoso-Ugarte
Fermentation 2026, 12(1), 41; https://doi.org/10.3390/fermentation12010041 - 9 Jan 2026
Viewed by 890
Abstract
This study reports the isolation, identification, and functional characterization of lactic acid bacteria (LAB) obtained from the endogenous fermentation of Theobroma bicolor (pataxte), an understudied Mesoamerican species with unexplored biotechnological potential. Five lactic acid bacteria strains were isolated and selected for comprehensive in [...] Read more.
This study reports the isolation, identification, and functional characterization of lactic acid bacteria (LAB) obtained from the endogenous fermentation of Theobroma bicolor (pataxte), an understudied Mesoamerican species with unexplored biotechnological potential. Five lactic acid bacteria strains were isolated and selected for comprehensive in vitro evaluation of their probiotic attributes. The assays included antimicrobial activity (disk diffusion and minimum inhibitory concentration), tolerance to simulated gastrointestinal conditions, and comparison of survival between non-encapsulated and bigel-encapsulated cells during digestion. All five isolates demonstrated notable antimicrobial activity against Escherichia coli ATCC 25922, Salmonella Enteritidis ATCC 13076, and Staphylococcus aureus ATCC 25923. Strain S1.B exhibited exceptional resistance to acidic pH (2.0) and bile salts, reaching 3.61 ± 0.00 log (CFU/mL) after gastrointestinal simulation. The strain was identified as Lactiplantibacillus pentosus via 16S rRNA gene sequencing, marking the first documented isolation of this species from pataxte fermentation. Bigel encapsulation markedly enhanced its survival, increasing viability to 5.08 ± 0.10 log (CFU/mL). These findings identify Lactiplantibacillus pentosus 124-2 as a potential probiotic candidate originating from pataxte fermentation and highlight bigel systems as powerful vehicles for bacterial protection. Collectively, this work expands the microbial biodiversity known in Theobroma fermentations and underscores their promise for future functional food applications. Full article
Show Figures

Figure 1

34 pages, 1919 KB  
Review
Life Cycle Optimization of Circular Industrial Processes: Advances in By-Product Recovery for Renewable Energy Applications
by Kyriaki Kiskira, Sofia Plakantonaki, Nikitas Gerolimos, Konstantinos Kalkanis, Emmanouela Sfyroera, Fernando Coelho and Georgios Priniotakis
Clean Technol. 2026, 8(1), 5; https://doi.org/10.3390/cleantechnol8010005 - 5 Jan 2026
Cited by 8 | Viewed by 1762
Abstract
The global shift toward renewable energy and circular economy models requires industrial systems that minimize waste and recover value across entire life cycles. This review synthesizes recent advances in by-product recovery technologies supporting renewable energy and circular industrial processes. Thermal, biological, chemical/electrochemical, and [...] Read more.
The global shift toward renewable energy and circular economy models requires industrial systems that minimize waste and recover value across entire life cycles. This review synthesizes recent advances in by-product recovery technologies supporting renewable energy and circular industrial processes. Thermal, biological, chemical/electrochemical, and biotechnological routes are analyzed across battery and e-waste recycling, bioenergy, wastewater, and agri-food sectors, with emphasis on integration through Life Cycle Assessment (LCA), techno-economic analysis (TEA), and multi-criteria decision analysis (MCDA) coupled to process simulation, digital twins, and artificial intelligence tools. Policy and economic frameworks, including the European Green Deal and the Critical Raw Materials Act, are examined in relation to technology readiness and environmental performance. Hybrid recovery systems, such as pyro-hydro-bio configurations, enable higher resource efficiency and reduced environmental impact compared with stand-alone routes. Across all technologies, major hotspots include electricity demand, reagent use, gas handling, and concentrate management, while process integration, heat recovery, and realistic substitution credits significantly improve life cycle outcomes. Harmonized LCA-TEA-MCDA frameworks and digitalized optimization emerge as essential tools for scaling sustainable, resource-efficient, and low-impact industrial ecosystems consistent with circular economy and renewable energy objectives. Full article
Show Figures

Figure 1

11 pages, 704 KB  
Article
cellMCD Effectively Discovers Drug Resistance and Sensitivity Genes for Acute Myeloid Leukemia
by Dora Obodo, Nam H. K. Nguyen, Xueyuan Cao, Phani Krishna Parcha, Christopher D. Vulpe, Jatinder K. Lamba and Stanley B. Pounds
Genes 2026, 17(1), 49; https://doi.org/10.3390/genes17010049 - 1 Jan 2026
Viewed by 565
Abstract
Background: Rapid advances in biotechnology provide researchers with the opportunity to integrate omics profiles (genomics, epigenomics, transcriptomics, proteomics, etc.) with multiple phenotypes or experimental conditions. In cancers such as acute myeloid leukemia (AML), where combination therapies are standard of care, identifying genetic drivers [...] Read more.
Background: Rapid advances in biotechnology provide researchers with the opportunity to integrate omics profiles (genomics, epigenomics, transcriptomics, proteomics, etc.) with multiple phenotypes or experimental conditions. In cancers such as acute myeloid leukemia (AML), where combination therapies are standard of care, identifying genetic drivers of drug resistance requires evaluating how genes are associated with multiple drug response phenotypes. Statistical analyses associating omics profiles with multiple phenotypes yield multiple significance values and rankings for each of many genes. There is a great need to consolidate these multiple rankings into a consensus ranking to prioritize specific genes for detailed follow-up wet-lab or clinical studies. Methods/Results: Here, we evaluate the well-known Fisher’s method, the sum of squared z-statistics (SSz), and the recently published cellMCD method as tools for gene prioritization. In simulation studies, cellMCD showed very similar or highly superior performance to the widely used Fisher’s and SSz methods. These advantages were also observed in an example application involving a CRISPR drug screen of an acute myeloid leukemia cell line. Conclusions: In summary, our results indicate that cellMCD should be more widely used for prioritizing discoveries from multiple omic association studies. These methods are available as an R package on github. Full article
(This article belongs to the Section Human Genomics and Genetic Diseases)
Show Figures

Figure 1

23 pages, 4673 KB  
Article
ST-Community Detection Methods for Spatial Transcriptomics Data Analysis
by Charles Zhao and Jian-Jian Ren
Stats 2026, 9(1), 4; https://doi.org/10.3390/stats9010004 - 1 Jan 2026
Viewed by 795
Abstract
The single-cell spatial transcriptomics (ST) data with cell type and spatial location, i.e., (C,x,y) with C as cell type and (x,y) as its spatial location, produced by recent biotechnologies, such as CosMx and [...] Read more.
The single-cell spatial transcriptomics (ST) data with cell type and spatial location, i.e., (C,x,y) with C as cell type and (x,y) as its spatial location, produced by recent biotechnologies, such as CosMx and Xenium, contain a huge amount of information about cancer tissue samples, thus have great potential for cancer research via detection of ST-Community which is defined as a collection of cells with distinct cell-type composition and similar neighboring patterns based on nearby cell-percentages. But for huge CosMx single-cell ST data, the existing clustering methods do not work well for st-community detection, and the commonly used kNN compositional data method shows lack of informative neighboring cell patterns. In this article, we propose a novel and more informative disk compositional data (DCD) method for single-cell ST data, which identifies neighboring patterns of each cell via taking into account of ST data features from recent new technologies. After initial processing single-cell ST data into the DCD matrix, an innovative DCD-TMHC computation method for st-community detection is proposed here. Extensive simulation studies and the analysis of CosMx breast cancer data, which is an example of single-cell ST dataset, clearly show that our proposed DCD-TMHC computation method is superior to other existing methods. Based on the st-communities detected for CosMx breast cancer data, the logistic regression analysis results demonstrate that the proposed DCD-TMHC computation method produces better interpretable and superior outcomes, especially in terms of assessment for different cancer categories. These suggest that our proposed novel and informative DCD-TMHC computation method here will be helpful and have an impact on future cancer research based on single-cell ST data, which can improve cancer diagnosis and monitor cancer treatment progress. Full article
(This article belongs to the Section Computational Statistics)
Show Figures

Figure 1

22 pages, 1663 KB  
Review
Toward Rational Design of Ion-Exchange Nanofiber Membranes: Meso-Scale Computational Approaches
by Inci Boztepe, Shuaifei Zhao, Xing Yang and Lingxue Kong
Membranes 2026, 16(1), 5; https://doi.org/10.3390/membranes16010005 - 23 Dec 2025
Cited by 1 | Viewed by 762
Abstract
This review highlights the growing relevance of ion-exchange nanofibrous membranes (IEX-NFMs) in membrane chromatography (MC) for protein purification, emphasising their structural advantages such as high porosity, tunable surface functionality, and low-pressure drops. While the adsorption of IEX-NFMs in MC is expanding due to [...] Read more.
This review highlights the growing relevance of ion-exchange nanofibrous membranes (IEX-NFMs) in membrane chromatography (MC) for protein purification, emphasising their structural advantages such as high porosity, tunable surface functionality, and low-pressure drops. While the adsorption of IEX-NFMs in MC is expanding due to their potential for high throughput and rapid mass transfer, a critical limitation remains: the precise binding capacity of these membranes is not well understood. Traditional experimental methods to evaluate protein–membrane interactions and optimise binding capacities are labour-intensive, time-consuming, and costly. Therefore, this review underscores the importance of computational modelling as a viable predictive approach to guide membrane design and performance prediction. Yet major obstacles persist, including the challenge of accurate representation of the complex and often irregular pore structures, as well as limited and/or oversimplified adsorption models. Along with molecular-scale simulations such as molecular dynamics (MD) simulations and quantum simulations, meso-scale simulations can provide insight into protein–fibre and protein–protein interactions under varying physicochemical conditions for larger time scales and lower computational burden. These tools can help identify key parameters such as binding accessibility, ionic strength effects, and surface charge density, which are essential for the rational design and performance prediction of IEX-NFMs. Moreover, integrating simulations with experimental validation can accelerate optimisation process while reducing cost. This technical review sets the foundation for a computationally driven design framework for multifunctional IEX-NFMs, supporting their use in next-generation chromatographic separations and broadening their applications in bioprocessing and analytical biotechnology. Full article
Show Figures

Figure 1

18 pages, 2365 KB  
Article
Cold-Resistant Lactic Acid Bacteria from Zamorano-Leonesa Donkey Milk: Isolation, Functional Screening, and Genome-Based Insights for Technological Applications
by David Bulnes, Irene Albertos, José-María Jiménez, María José Castro-Alija and Alexandra Díez-Méndez
Appl. Microbiol. 2025, 5(4), 135; https://doi.org/10.3390/applmicrobiol5040135 - 25 Nov 2025
Viewed by 599
Abstract
Donkey milk is an underexplored biological niche with distinctive nutritional and microbiological properties, potentially harboring lactic acid bacteria (LAB) with technological or probiotic value. In this study, raw milk from the endangered Zamorano-Leonesa donkey breed was stored at 4 °C for 24 h [...] Read more.
Donkey milk is an underexplored biological niche with distinctive nutritional and microbiological properties, potentially harboring lactic acid bacteria (LAB) with technological or probiotic value. In this study, raw milk from the endangered Zamorano-Leonesa donkey breed was stored at 4 °C for 24 h to simulate realistic cold-chain conditions and favor the recovery of cold-tolerant microorganisms. Fourteen isolates were obtained, eight of which belonged to LAB or species with potential technological interest and were selected for functional evaluation. Phenotypic screening showed that most isolates tolerated acidic conditions (pH 2.5) and that four also resisted 0.3% bile salts. Acidification assays in pasteurized donkey milk revealed variable fermentation performance, with L. mesenteroides subsp. mesenteroides B8 and Lacticaseibacillus paracasei subsp. tolerans B19 displaying the most favorable profiles. These two strains were selected for genome sequencing. Genomic analysis revealed genes associated with acid and bile resistance, adhesion, cold and environmental stress responses, and carbohydrate metabolism. Both genomes also encoded biosynthetic gene clusters linked to secondary metabolites, including β-lactones, lincosamides, and RiPP-like compounds. No acquired antimicrobial resistance genes were detected. To our knowledge, this is the first study combining isolation, phenotypic screening, and genome-based characterization of cold-tolerant LAB from Zamorano-Leonesa donkey milk. Our findings highlight this milk as a valuable reservoir of safe, cold-adapted microorganisms with promising applications in functional dairy products and food biotechnology. Full article
Show Figures

Graphical abstract

24 pages, 4698 KB  
Article
Cross-Kingdom Enzymatic Strategies for Deoxynivalenol Detoxification: Computational Analysis of Structural Mechanisms and Evolutionary Adaptations
by Francisco J. Enguita and Ana Lúcia Leitão
Microorganisms 2025, 13(10), 2384; https://doi.org/10.3390/microorganisms13102384 - 16 Oct 2025
Viewed by 1399
Abstract
Deoxynivalenol (DON) is a trichothecene mycotoxin produced by Fusarium species that frequently contaminates cereal crops, representing a major threat to food safety, public health, and agricultural productivity. Its remarkable chemical stability during food processing presents significant challenges for effective detoxification. Among the available [...] Read more.
Deoxynivalenol (DON) is a trichothecene mycotoxin produced by Fusarium species that frequently contaminates cereal crops, representing a major threat to food safety, public health, and agricultural productivity. Its remarkable chemical stability during food processing presents significant challenges for effective detoxification. Among the available mitigation strategies, biological approaches have emerged as particularly promising, as they exploit enzymatic systems capable of converting DON into metabolites with substantially reduced toxicity. In this study, we provide a comprehensive analysis of the structural and evolutionary mechanisms underlying DON detoxification across three kingdoms of life. We investigated the fungal glutathione S-transferase Fhb7, the bacterial DepA/DepB epimerization pathway, and the plant SPG glyoxalase using integrative bioinformatics, phylogenetics, molecular modeling, and docking simulations. The selected enzymatic systems employ distinct yet complementary strategies: Fhb7 conjugates DON with glutathione and disrupts its epoxide ring, DepA/DepB converts it into the less toxic 3-epi-DON through stereospecific epimerization, and SPG glyoxalase mediates DON isomerization. Despite their mechanistic differences, these enzymes share key adaptive features that enable efficient DON recognition and detoxification. This work provides an integrative view of cross-kingdom enzymatic strategies for DON degradation, offering insights into their evolution and functional diversity. These findings open avenues for biotechnological applications, including the development of DON-resistant crops and innovative solutions to reduce mycotoxin contamination in the food chain. Full article
(This article belongs to the Special Issue Secondary Metabolism of Microorganisms, 3rd Edition)
Show Figures

Figure 1

25 pages, 5782 KB  
Review
Molecular Docking as a Key Driver of Biocontrol for Agri-Food Security
by María Isabel Iñiguez-Luna, Jorge David Cadena-Zamudio, Marco A. Ramírez-Mosqueda, José Luis Aguirre-Noyola, Daniel Alejandro Cadena-Zamudio, Jorge Cadena-Iñiguez and Alma Armenta-Medina
BioTech 2025, 14(4), 80; https://doi.org/10.3390/biotech14040080 - 14 Oct 2025
Cited by 2 | Viewed by 1864
Abstract
Molecular docking has emerged as a pivotal computational approach in agri-food research, offering a rapid and targeted means to discover bioactive molecules for crop protection and food safety. Its ability to predict and visualize interactions between natural or synthetic compounds and specific biological [...] Read more.
Molecular docking has emerged as a pivotal computational approach in agri-food research, offering a rapid and targeted means to discover bioactive molecules for crop protection and food safety. Its ability to predict and visualize interactions between natural or synthetic compounds and specific biological targets provides valuable opportunities to address urgent agricultural challenges, including climate change and the rise in resistant crop pathogens. By enabling the in silico screening of diverse chemical entities, this technique facilitates the identification of molecules with antimicrobial and antifungal properties, specifically designed to interact with critical enzymatic pathways in plant pathogens. Recent advancements, such as the integration of molecular dynamics simulations and artificial intelligence-enhanced scoring functions, have significantly improved docking accuracy by addressing limitations like protein flexibility and solvent effects. These technological improvements have accelerated the discovery of eco-friendly biopesticides and multifunctional nutraceutical agents. Promising developments include nanoparticle-based delivery systems that enhance the stability and efficacy of bioactive molecules. Despite its potential, molecular docking still faces challenges related to incomplete protein structures, variability in scoring algorithms, and limited experimental validation in agricultural contexts. This work highlights these limitations while outlining current trends and future prospects to guide its effective application in agri-food biotechnology. Full article
Show Figures

Figure 1

17 pages, 4860 KB  
Article
In Vitro Evaluation of Halotolerant Bacillus velezensis 24.5 as a Promising Probiotic with Broad-Spectrum Antimicrobial Activity
by Filofteia Camelia Diguță, Radu Cristian Toma and Florentina Matei
Microorganisms 2025, 13(10), 2240; https://doi.org/10.3390/microorganisms13102240 - 24 Sep 2025
Cited by 1 | Viewed by 1483
Abstract
The remarkable metabolic adaptability of Bacillus velezensis, including efficient nutrient use, spore formation, and the secretion of antimicrobial peptides, supports its expanding role in biotechnological applications ranging from crop protection to probiotic development. In this study, the halotolerant strain 24.5 was identified as [...] Read more.
The remarkable metabolic adaptability of Bacillus velezensis, including efficient nutrient use, spore formation, and the secretion of antimicrobial peptides, supports its expanding role in biotechnological applications ranging from crop protection to probiotic development. In this study, the halotolerant strain 24.5 was identified as B. velezensis through 16S rDNA and gyrA gene sequencing. PCR analyses confirmed the presence of genes responsible for polyketides, lipopeptides, and dipeptides biosynthesis. These results indicate the potential for the production of structurally diverse bioactive metabolites. Strain 24.5 demonstrated remarkable antimicrobial activity against 19 bacterial pathogens and three Candida species (p < 0.05). The study demonstrated high survival rates under simulated gastrointestinal conditions, suggesting strong adaptability for gut colonization. Antioxidant evaluation revealed DPPH radical scavenging activities of 34.68% for intact cells and 18.47% for the cell-free extract (p < 0.05). The enzymatic profile highlighted versatile metabolic functions, supporting its multifaceted probiotic potential. Auto-aggregation reached 84.42% at 24 h, and high hydrophobicity toward hexane (71.62%) supported adhesion potential. Antibiotic susceptibility profiling showed sensitivity or intermediate susceptibility to 22 of 24 tested antibiotics (p < 0.05). No haemolytic activity was detected, supporting its safety profile. Overall, these results emphasise the adaptability and multifunctional properties of Bacillus velezensis strain 24.5, highlighting its potential as a promising probiotic candidate for applications in food safety and biotechnology. Full article
(This article belongs to the Special Issue Probiotics, Prebiotics, and Gut Microbes—Second Edition)
Show Figures

Figure 1

Back to TopTop